Spandidos Publications Logo
  • About
    • About Spandidos
    • Aims and Scopes
    • Abstracting and Indexing
    • Editorial Policies
    • Reprints and Permissions
    • Job Opportunities
    • Terms and Conditions
    • Contact
  • Journals
    • All Journals
    • Oncology Letters
      • Oncology Letters
      • Information for Authors
      • Editorial Policies
      • Editorial Board
      • Aims and Scope
      • Abstracting and Indexing
      • Bibliographic Information
      • Archive
    • International Journal of Oncology
      • International Journal of Oncology
      • Information for Authors
      • Editorial Policies
      • Editorial Board
      • Aims and Scope
      • Abstracting and Indexing
      • Bibliographic Information
      • Archive
    • Molecular and Clinical Oncology
      • Molecular and Clinical Oncology
      • Information for Authors
      • Editorial Policies
      • Editorial Board
      • Aims and Scope
      • Abstracting and Indexing
      • Bibliographic Information
      • Archive
    • Experimental and Therapeutic Medicine
      • Experimental and Therapeutic Medicine
      • Information for Authors
      • Editorial Policies
      • Editorial Board
      • Aims and Scope
      • Abstracting and Indexing
      • Bibliographic Information
      • Archive
    • International Journal of Molecular Medicine
      • International Journal of Molecular Medicine
      • Information for Authors
      • Editorial Policies
      • Editorial Board
      • Aims and Scope
      • Abstracting and Indexing
      • Bibliographic Information
      • Archive
    • Biomedical Reports
      • Biomedical Reports
      • Information for Authors
      • Editorial Policies
      • Editorial Board
      • Aims and Scope
      • Abstracting and Indexing
      • Bibliographic Information
      • Archive
    • Oncology Reports
      • Oncology Reports
      • Information for Authors
      • Editorial Policies
      • Editorial Board
      • Aims and Scope
      • Abstracting and Indexing
      • Bibliographic Information
      • Archive
    • Molecular Medicine Reports
      • Molecular Medicine Reports
      • Information for Authors
      • Editorial Policies
      • Editorial Board
      • Aims and Scope
      • Abstracting and Indexing
      • Bibliographic Information
      • Archive
    • World Academy of Sciences Journal
      • World Academy of Sciences Journal
      • Information for Authors
      • Editorial Policies
      • Editorial Board
      • Aims and Scope
      • Abstracting and Indexing
      • Bibliographic Information
      • Archive
    • International Journal of Functional Nutrition
      • International Journal of Functional Nutrition
      • Information for Authors
      • Editorial Policies
      • Editorial Board
      • Aims and Scope
      • Abstracting and Indexing
      • Bibliographic Information
      • Archive
    • International Journal of Epigenetics
      • International Journal of Epigenetics
      • Information for Authors
      • Editorial Policies
      • Editorial Board
      • Aims and Scope
      • Abstracting and Indexing
      • Bibliographic Information
      • Archive
    • Medicine International
      • Medicine International
      • Information for Authors
      • Editorial Policies
      • Editorial Board
      • Aims and Scope
      • Abstracting and Indexing
      • Bibliographic Information
      • Archive
  • Articles
  • Information
    • Information for Authors
    • Information for Reviewers
    • Information for Librarians
    • Information for Advertisers
    • Conferences
  • Language Editing
Spandidos Publications Logo
  • About
    • About Spandidos
    • Aims and Scopes
    • Abstracting and Indexing
    • Editorial Policies
    • Reprints and Permissions
    • Job Opportunities
    • Terms and Conditions
    • Contact
  • Journals
    • All Journals
    • Biomedical Reports
      • Information for Authors
      • Editorial Policies
      • Editorial Board
      • Aims and Scope
      • Abstracting and Indexing
      • Bibliographic Information
      • Archive
    • Experimental and Therapeutic Medicine
      • Information for Authors
      • Editorial Policies
      • Editorial Board
      • Aims and Scope
      • Abstracting and Indexing
      • Bibliographic Information
      • Archive
    • International Journal of Epigenetics
      • Information for Authors
      • Editorial Policies
      • Editorial Board
      • Aims and Scope
      • Abstracting and Indexing
      • Bibliographic Information
      • Archive
    • International Journal of Functional Nutrition
      • Information for Authors
      • Editorial Policies
      • Editorial Board
      • Aims and Scope
      • Abstracting and Indexing
      • Bibliographic Information
      • Archive
    • International Journal of Molecular Medicine
      • Information for Authors
      • Editorial Policies
      • Editorial Board
      • Aims and Scope
      • Abstracting and Indexing
      • Bibliographic Information
      • Archive
    • International Journal of Oncology
      • Information for Authors
      • Editorial Policies
      • Editorial Board
      • Aims and Scope
      • Abstracting and Indexing
      • Bibliographic Information
      • Archive
    • Medicine International
      • Information for Authors
      • Editorial Policies
      • Editorial Board
      • Aims and Scope
      • Abstracting and Indexing
      • Bibliographic Information
      • Archive
    • Molecular and Clinical Oncology
      • Information for Authors
      • Editorial Policies
      • Editorial Board
      • Aims and Scope
      • Abstracting and Indexing
      • Bibliographic Information
      • Archive
    • Molecular Medicine Reports
      • Information for Authors
      • Editorial Policies
      • Editorial Board
      • Aims and Scope
      • Abstracting and Indexing
      • Bibliographic Information
      • Archive
    • Oncology Letters
      • Information for Authors
      • Editorial Policies
      • Editorial Board
      • Aims and Scope
      • Abstracting and Indexing
      • Bibliographic Information
      • Archive
    • Oncology Reports
      • Information for Authors
      • Editorial Policies
      • Editorial Board
      • Aims and Scope
      • Abstracting and Indexing
      • Bibliographic Information
      • Archive
    • World Academy of Sciences Journal
      • Information for Authors
      • Editorial Policies
      • Editorial Board
      • Aims and Scope
      • Abstracting and Indexing
      • Bibliographic Information
      • Archive
  • Articles
  • Information
    • For Authors
    • For Reviewers
    • For Librarians
    • For Advertisers
    • Conferences
  • Language Editing
Login Register Submit
  • This site uses cookies
  • You can change your cookie settings at any time by following the instructions in our Cookie Policy. To find out more, you may read our Privacy Policy.

    I agree
Search articles by DOI, keyword, author or affiliation
Search
Advanced Search
presentation
World Academy of Sciences Journal
Join Editorial Board Propose a Special Issue
Print ISSN: 2632-2900 Online ISSN: 2632-2919
Journal Cover
January-February 2026 Volume 8 Issue 1

Full Size Image

Sign up for eToc alerts
Recommend to Library

Journals

International Journal of Molecular Medicine

International Journal of Molecular Medicine

International Journal of Molecular Medicine is an international journal devoted to molecular mechanisms of human disease.

International Journal of Oncology

International Journal of Oncology

International Journal of Oncology is an international journal devoted to oncology research and cancer treatment.

Molecular Medicine Reports

Molecular Medicine Reports

Covers molecular medicine topics such as pharmacology, pathology, genetics, neuroscience, infectious diseases, molecular cardiology, and molecular surgery.

Oncology Reports

Oncology Reports

Oncology Reports is an international journal devoted to fundamental and applied research in Oncology.

Experimental and Therapeutic Medicine

Experimental and Therapeutic Medicine

Experimental and Therapeutic Medicine is an international journal devoted to laboratory and clinical medicine.

Oncology Letters

Oncology Letters

Oncology Letters is an international journal devoted to Experimental and Clinical Oncology.

Biomedical Reports

Biomedical Reports

Explores a wide range of biological and medical fields, including pharmacology, genetics, microbiology, neuroscience, and molecular cardiology.

Molecular and Clinical Oncology

Molecular and Clinical Oncology

International journal addressing all aspects of oncology research, from tumorigenesis and oncogenes to chemotherapy and metastasis.

World Academy of Sciences Journal

World Academy of Sciences Journal

Multidisciplinary open-access journal spanning biochemistry, genetics, neuroscience, environmental health, and synthetic biology.

International Journal of Functional Nutrition

International Journal of Functional Nutrition

Open-access journal combining biochemistry, pharmacology, immunology, and genetics to advance health through functional nutrition.

International Journal of Epigenetics

International Journal of Epigenetics

Publishes open-access research on using epigenetics to advance understanding and treatment of human disease.

Medicine International

Medicine International

An International Open Access Journal Devoted to General Medicine.

Journal Cover
January-February 2026 Volume 8 Issue 1

Full Size Image

Sign up for eToc alerts
Recommend to Library

  • Article
  • Citations
    • Cite This Article
    • Download Citation
    • Create Citation Alert
    • Remove Citation Alert
    • Cited By
  • Similar Articles
    • Related Articles (in Spandidos Publications)
    • Similar Articles (Google Scholar)
    • Similar Articles (PubMed)
  • Download PDF
  • Download XML
  • View XML
Case Report Open Access

Papillary thyroid carcinoma with squamous differentiation: A report of two cases and a brief review of the literature

  • Authors:
    • Ari M. Abdullah
    • Rawa M. Ali
    • Abdulwahid M. Salih
    • Imad J. Habibullah
    • Hadeel A. Yasseen
    • Twana Omer Saeed
    • Shko H. Hassan
    • Harun Amanj Ahmed
    • Abdullah A. Qadir
    • Fahmi H. Kakamad
  • View Affiliations / Copyright

    Affiliations: Department of Scientific Affairs, Smart Health Tower, Sulaymaniyah 46001, Iraq
    Copyright: © Abdullah et al. This is an open access article distributed under the terms of Creative Commons Attribution License [CC BY 4.0].
  • Article Number: 8
    |
    Published online on: December 31, 2025
       https://doi.org/10.3892/wasj.2025.423
  • Expand metrics +
Metrics: Total Views: 0 (Spandidos Publications: | PMC Statistics: )
Metrics: Total PDF Downloads: 0 (Spandidos Publications: | PMC Statistics: )
Cited By (CrossRef): 0 citations Loading Articles...

This article is mentioned in:


Abstract

Papillary thyroid carcinoma (PTC) is the most common type of thyroid cancer with a good prognosis. However, in rare cases, it can behave aggressively and exhibit unusual features such as squamous differentiation, where squamous cells appear alongside typical PTC cells. PTC with squamous differentiation (PTC‑SD) is extremely rare and is thus not well understood. The present study reports two cases of PTC‑SD. The first case was that of a 28‑year‑old female patient who presented with a neck mass and hoarseness, and another that of a 49‑year‑old male patient who presented with an incidental finding of a thyroid lesion during a neck ultrasound for a dental issue. Upon investigations, both patients had suspicious thyroid nodules. A total thyroidectomy was performed for both cases. A histopathological examination confirmed PTC‑SD. Levothyroxine was prescribed for both patients, and radioactive iodine ablation was scheduled for the first case. Squamous epithelium in the thyroid is rare and can result from various causes, including primary thyroid squamous cell carcinoma, anaplastic transformation, metastasis, or PTC‑SD. Although the available data are limited, they indicate that PTC‑SD may be associated with a poorer prognosis compared to conventional PTC. Herein, in a review of 4 cases reported in the literature, it was found that 1 patient succumbed and another experienced recurrence. Despite its rarity, recognizing this variant is crucial for an accurate diagnosis and appropriate treatment planning. Patients with PTC‑SD require careful monitoring, with the majority undergoing surgical resection. Though rare, clinicians should recognize that PTC can undergo squamous differentiation.

Introduction

Papillary thyroid carcinoma (PTC) is the most commonly occurring type of thyroid cancer, accounting for >80% of all thyroid malignancies. Typically, PTC is associated with a favorable prognosis and a slow progression. Although uncommon, PTC can exhibit an aggressive behavior, such as invading the vascular system and extending into the major vessels (1). PTC occurs two- to four-fold more frequently in women than in men. It can exhibit a wide range of gross morphologic appearances, and the tumors may arise in any region of the thyroid gland (2). In a normal thyroid gland, the squamous epithelium is absent; therefore, the presence of squamous epithelial cells is considered unusual. Squamous differentiation in a thyroid tumor denotes a well-differentiated carcinoma, such as PTC, that exhibits areas of squamous differentiation without any anaplastic or poorly differentiated features (3). This may occur, for instance, when well-differentiated thyroid carcinomas such as PTC, particularly the tall cell variant, undergo further differentiation (4). While PTC is frequently associated with focal or extensive squamous metaplasia in ~20-40% of cases, the occurrence of true squamous differentiation within PTC is exceedingly rare (3). These rare variants of thyroid malignancy tend to exhibit an aggressive clinical behavior, and their prognostic outcomes remain poorly understood (5). The present study reports two cases of PTC with squamous differentiation (PTC-SD). In accordance with the CaReL guidelines, a brief literature review was also included in the present study, and all references have been checked to ensure no content was cited from blacklisted journals (6,7). The literature search was conducted on Google Scholar using the keyword ‘allintitle: squamous AND thyroid AND carcinoma AND papillary’.

Case report

Case one. Patient information

On December 1, 2024, a 28-year-old female patient presented to Smart Health Tower (Sulaymaniyah, Iraq) with a neck mass and hoarseness. An analysis of her medical history did not reveal any notable findings, apart from a prior cesarean section. She had no family history of thyroid disease or malignancy.

Clinical findings. A physical examination revealed a firm, non-tender grade I goiter without any other abnormalities.

Diagnostic approach. An ultrasonography of the thyroid revealed scattered microcalcifications in the lower third of the right lobe. Additionally, a solid hypoechoic nodule with an irregular surface, measuring 16x14x12 mm, was observed in the middle to lower third of the left lobe (data not shown). It contained both micro- and macrocalcifications, increased perinodular and intranodular vascularity, and was classified as TR5. Multiple small lymph nodes (LNs) were observed around the gland, predominantly on the left side. The largest, measuring 10x7 mm, was located below the lower pole of the left lobe and appeared highly suspicious. Furthermore, a few left-sided cervical LNs were noted, with the largest measuring 6x3 mm in the left group III. A suspicious LN, measuring 5.6x3.7 mm, was identified in the left group IV, located behind the distal left jugular vein. The patient subsequently underwent fine needle aspiration cytology, which yielded a Bethesda II result (data not shown).

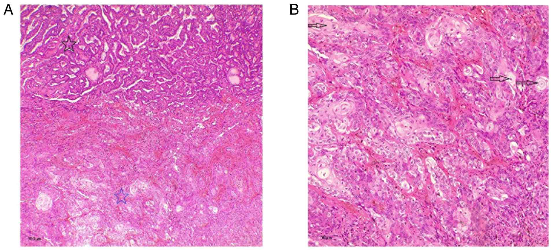
Therapeutic intervention. A total thyroidectomy with left lateral and central neck dissection was performed through a collar incision. Both recurrent laryngeal nerves and parathyroid glands were carefully preserved. Hemostasis was achieved, and the wound was closed in layers with a left-sided drain. A histopathological examination of the surgical specimen was performed by the hospital laboratory. This was performed on 5-µm-thick paraffin-embedded sections. The sections were fixed in 10% neutral buffered formalin at room temperature for 24 h and stained with hematoxylin and eosin (Bio Optica Co.) for 1-2 min at room temperature. The sections were then observed under a light microscope (Leica Microsystems GmbH). The histopathological examination revealed papillary formations lined by thyroid follicular cells that had elongated, crowded, and cleared nuclei with crowding, grooves and pseudoinclusions. Separated by areas of fibrosis, parts of the tumor were composed of larger cells with an abundant eosinophilic cytoplasm and squamous differentiation. These features were indicative of PTC-SD (Fig. 1). Out of the 34 LNs examined, six were involved by the papillary component of the tumor, four of which were from the central compartment, and two from the lateral compartment. Immunohistochemistry (IHC) was performed as follows: The paraffin blocks were cut into 4-6-µm-thick sections and transferred onto charged glass slides. Subsequently, they were placed in an oven at 60˚C overnight. Antigen retrieval was performed using the Dako PT Link (Agilent Technologies, Inc.) by boiling the sections at 100˚C for 5 to 10 min. A solution of pH 6.0 or pH 9.0 was used for the target antibody. The slides were then subjected to a 15-min wash with a 20 ml buffer solution (0.05 mol/l Tris/HCl, 0.15 mol/l NaCl, 0.05% Tween-20, pH 7.6) at room temperature. To facilitate the process, the slides were welled using the Dako Pen (Agilent Technologies, Inc.). Furthermore, endogenous peroxidase was blocked using 3% hydrogen peroxide. Subsequently, the primary antibodies [CK5/6 (1:100, mouse monoclonal, clone D5/16 B4, cat. no. M7237), p40 (1:100, mouse monoclonal, clone BC28, cat. no. M7317) and TTF-1 (1:100, mouse monoclonal, clone 8G7G3/1, cat. no. M3575) all form Dako; Agilent Technologies, Inc.] were applied at room temperature and left for 80 min. The secondary antibody, which was horseradish peroxidase-conjugated (1:200, cat. no. P0447, Dako; Agilent Technologies, Inc.) was then applied, along with the chromogen (diaminobenzidine) (MilliporeSigma), both at room temperature for 15 min. To achieve counterstaining, hematoxylin Gill II (Thermo Fisher Scientific, Inc.) was applied at room temperature for a duration of 30 sec. The slides were dried and coverslips were applied. IHC revealed the positive staining of the squamous areas for CK5/6 and p40, with negative staining for TTF-1, whereas the conventional papillary areas showed the opposite staining patterns (Fig. 2).

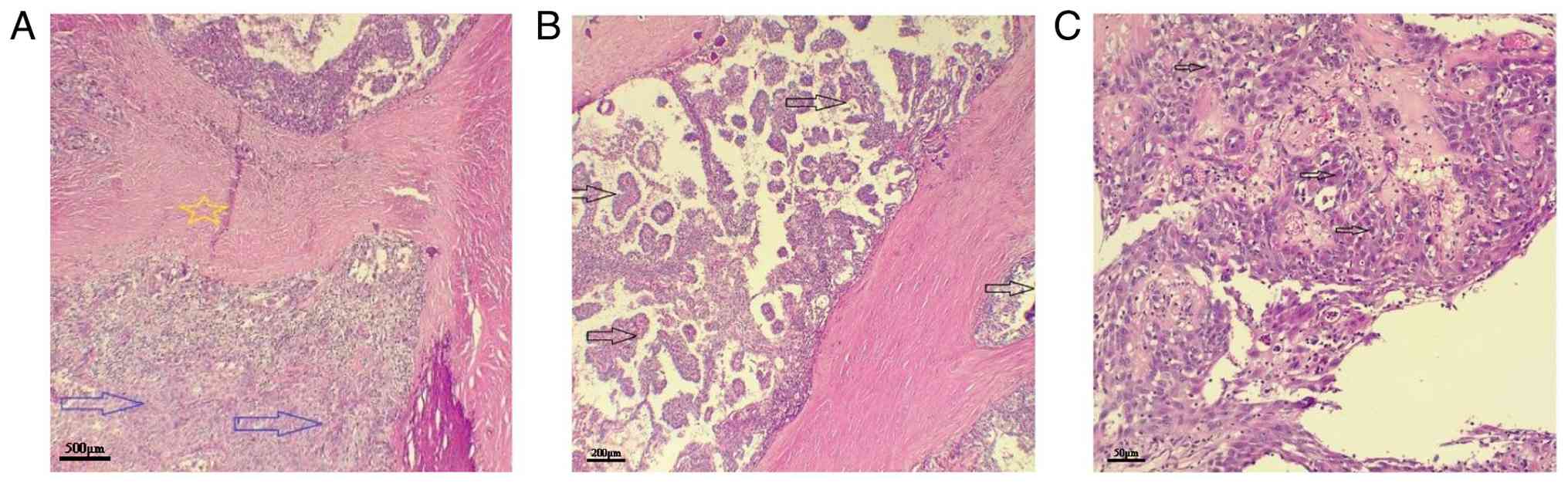
(A) Histopathology results of case one
illustrating well-formed papillary structures in the upper part of
the image with an area below it illustrating squamous cell
differentiation (blue arrows). The two areas are separate by a
thick fibrous stroma (yellow star) (hematoxylin and eosin staining;
magnification, x4). (B) Higher power view of the classical subtype
of the papillary thyroid carcinoma, which is composed of complex
papillary structures covered by follicular epithelial cells (black
arrows) (hematoxylin and eosin staining; magnification, x10). (C)
Higher power view of the squamous differentiation area,
illustrating dyskeratotic squamous cells (black arrows) without
nuclear features of papillary thyroid carcinoma in this area
(hematoxylin and eosin staining; magnification, x40).

Figure 1

(A) Histopathology results of case one illustrating well-formed papillary structures in the upper part of the image with an area below it illustrating squamous cell differentiation (blue arrows). The two areas are separate by a thick fibrous stroma (yellow star) (hematoxylin and eosin staining; magnification, x4). (B) Higher power view of the classical subtype of the papillary thyroid carcinoma, which is composed of complex papillary structures covered by follicular epithelial cells (black arrows) (hematoxylin and eosin staining; magnification, x10). (C) Higher power view of the squamous differentiation area, illustrating dyskeratotic squamous cells (black arrows) without nuclear features of papillary thyroid carcinoma in this area (hematoxylin and eosin staining; magnification, x40).

Immunohistochemistry results of case
one. (A) CK5/6 immune staining illustrating a cytoplasmic staining
pattern in the upper image (squamous cell area) and negative in the
lower image (papillary thyroid carcinoma area). (B) TTF1 immune
staining, illustrating nuclear positivity on the left side
(papillary thyroid carcinoma area) and negative on the right side
(squamous area). (C) P40 staining illustrating a diffuse, strong
nuclear staining pattern in the squamous area.

Figure 2

Immunohistochemistry results of case one. (A) CK5/6 immune staining illustrating a cytoplasmic staining pattern in the upper image (squamous cell area) and negative in the lower image (papillary thyroid carcinoma area). (B) TTF1 immune staining, illustrating nuclear positivity on the left side (papillary thyroid carcinoma area) and negative on the right side (squamous area). (C) P40 staining illustrating a diffuse, strong nuclear staining pattern in the squamous area.

Follow-up and outcome. The post-operative period was uneventful, and levothyroxine (100 mg daily) was prescribed. Subsequently, the patient was referred for radioactive iodine ablation. Following the ablation, thyroglobulin levels decreased to <0.04, indicating a favorable response. The patient condition was in a good at 3-months of follow up.

Case two. Patient information

A 49-year-old male patient was being treated for a dental issue when, during an unrelated neck ultrasound, a suspicious thyroid lesion was incidentally discovered. The patient was referred to Smart Health Tower on October 22, 2024. The analysis of the past medical and family history of the patient yielded negative results for any thyroid disease.

Clinical findings. Upon a physical examination of the cervical region, there was no palpable mass.

Diagnostic approach

The patient was euthyroid, with the following laboratory results: Thyroid-stimulating hormone level of 1.58 mIU/l (normal range, 0.4-4.0 mIU/l) and free FT4 level of 18.0 pmol/l (normal range, 12.0-22.0 pmol/l). An ultrasonography of the neck revealed a well-defined hypoechoic nodule in the mid-upper third of the right thyroid lobe (14x10x8 mm) classified as TR3, and a smaller nodule in the lower third of the left lobe (6x5x5 mm), classified as TR1 (image was not archived). Both thyroid lobes were normal in size, with a homogeneous echotexture and normal vascularity. No marked cervical pathological lymphadenopathy was detected, and the submandibular and parotid glands appeared normal with no focal lesions. Due to the right mid-upper lobe nodule, further evaluation included serum calcitonin, which was normal (8.99 pg/ml), and ultrasound-guided fine-needle aspiration of the TR3 nodule, which yielded a Bethesda VI result, highly suspicious for malignancy.

Therapeutic intervention. Pre-operatively, the patient underwent an evaluation, which revealed normal bilateral vocal cord function and normal serum calcium levels (9.16 mg/dl). Thyroglobulin was measured at 33.2 ng/ml for baseline assessment. The patient underwent a total thyroidectomy. A histopathological examination specimen was performed by the hospital laboratory. This was performed on 5-µm-thick paraffin-embedded sections. The sections were fixed in 10% neutral buffered formalin at room temperature for 24 h and stained with hematoxylin and eosin (Bio Optica Co.) for 1-2 min at room temperature. The sections were then observed under a light microscope (Leica Microsystems GmbH). The histopathological examination revealed a unifocal, unencapsulated PTC-SD (Fig. 3) in the right lobe, measuring 1.2 cm, comprising areas of conventional PTC, as well as areas of squamous differentiation without anaplastic dedifferentiation or high-grade features (increased mitotic activity or necrosis). There was no evidence of lympho-vascular invasion, perineural invasion, or extrathyroidal extension. The background parenchyma showed thyroid follicular nodule disease. A total of five LNs were isolated, and all were tumor-free.

(A) Histopathology results of case two
illustrating complex papillary structures in the upper part of the
image that are covered by follicular epithelial cells (black star)
with an area of squamous differentiation in the lower part of the
image (blue star) (hematoxylin and eosin staining; magnification,
x4). (B) Higher power view of the same area in the above image,
illustrating squamous differentiation with a clear eosinophilic
cytoplasm that contains intracellular eosinophilic keratinous
material accumulation (black arrows) (hematoxylin and eosin
staining; magnification, x40).

Figure 3

(A) Histopathology results of case two illustrating complex papillary structures in the upper part of the image that are covered by follicular epithelial cells (black star) with an area of squamous differentiation in the lower part of the image (blue star) (hematoxylin and eosin staining; magnification, x4). (B) Higher power view of the same area in the above image, illustrating squamous differentiation with a clear eosinophilic cytoplasm that contains intracellular eosinophilic keratinous material accumulation (black arrows) (hematoxylin and eosin staining; magnification, x40).

Follow-up and outcome. Post-operatively, the patient remained stable with no complications and began receiving levothyroxine. Serum calcium levels remained within the normal range (9.45 mg/dl), and thyroglobulin decreased to 0.338 ng/ml. The patient was scheduled for further follow-up. At 3-months of follow up, the condition of the patient was stable.

Discussion

The presence of squamous epithelium in the thyroid can result from various causes, including primary thyroidal squamous cell carcinoma (SCC), benign squamous metaplasia in conditions such as nodular goiter or lymphocytic thyroiditis, SCC arising through dedifferentiation in recurrent thyroid cancers often with anaplastic features, thymus-like differentiation in a cancer, metastasis from a squamous carcinoma elsewhere, or a typical PTC undergoing squamous differentiation at initial diagnosis (3). Anaplastic carcinomas may sometimes exhibit focal squamous differentiation on histological examination. However, they are typically non-keratinizing and poorly differentiated, displaying marked pleomorphism along with classic anaplastic features, such as spindle cell and giant cell components, unlike PTC-SD (8,9).

Squamous differentiation in PTC is considered to develop either through the metaplastic reprogramming of thyroid follicular cells or via a multistep dedifferentiation of the original tumor clone. Chronic inflammation may promote metaplasia, as observed in thyroid cancers and Hashimoto's thyroiditis, which often co-express the squamous transcription factor p63(10). Similarly, Ding et al (11) reported cases in which Hashimoto's foci adjacent to PTC exhibited squamous metaplastic changes. Other studies support a clonal progression toward a squamous phenotype. Thewjitcharoen et al (12) described a metastatic case exhibiting intermixed classical PTC and poorly differentiated squamous cells sharing thyroid markers (PAX8 and CK19), while only the squamous component was CK5/6-positive, indicating a common origin. Handra-Luca (13) likewise observed PTC metastases, in which p63-positive papillary epithelium gave rise to CK5/6-positive squamous cells, suggesting the activation of a latent squamous differentiation program. On a molecular level, the progression from PTC to squamous morphology parallels anaplastic transformation, with tumors typically harboring early MAPK pathway mutations (BRAF or RAS) alongside additional alterations, such as TP53 and TERT promoter mutations and CDKN2A loss (11). Advanced primary cancers from nearby components, such as the larynx, base of the tongue, upper esophagus, or pharynx, can directly extend into the thyroid gland. Although the thyroid has an extensive blood supply, metastases to the thyroid are uncommon, representing only 2-3% of all cancerous thyroid tumors, with SCC comprising only a small portion of these cases (8). Due to their varied clinical and biological characteristics, it is crucial to distinguish PTC-SD from other conditions that involve squamous epithelium in a thyroid specimen (3). Even though PTC generally has a favorable prognosis, with an >90% survival rate at 20 years, several variables can negatively impact the outlook. These include being >45 years of age at diagnosis, incomplete surgical removal, large tumors, an advanced stage, the presence of metastasis, specific histological variants such as columnar, tall cell and diffuse sclerosing types, as well as evidence of local tissue invasion (3). Squamous cells of the thyroid are documented in connection with the tall cell variant of PTC. This variant is generally larger than the classic form, tends to arise in older individuals, and is associated with a more aggressive clinical behavior. The observed link between the tall cell variant and squamous differentiation implies a potential histopathological relationship in the progression of thyroid cancer (9). However, the tall cell variant PTC was not present in the cases described herein.

In the present study, four cases of PTC-SD were reviewed in the literature (3,9,13,14). Although the sample size in these studies was small, the findings suggested a poorer outcome than conventional PTC, with 1 patient succumbing to the disease and another developing a recurrent lesion in the left clavicle (Table I). IHC examinations were performed in all the cases to determine origin of the tumor, which assisted in the differential diagnosis. Beninato et al (5) reviewed patients with PTC-SD identified either during lymph node dissection for recurrent disease or at initial total thyroidectomy from a single-center cancer registry (1995-2015) and identified only 10 cases. A total of 4 patients had PTC-SD metastases detected during surgery for recurrence, while 6 patients exhibited PTC-SD in primary tumor specimens at an initial thyroidectomy. Despite the small sample size, their findings suggested that this variant represents an aggressive form of thyroid carcinoma (5). Similarly, Ito et al (4) identified only 10 patients with PTC containing squamous components among 5,749 cases evaluated between 2006 and 2010, accounting for 0.2% and confirming its rarity. The atypical behavior of PTC is frequently observed in elderly patients who demonstrate rapid disease progression. Accordingly, cases of PTC with squamous differentiation are also commonly reported in older individuals (3). In the study by Beninato et al (5), at least half of the PTC-SD cases demonstrated multifocal tumors, extrathyroidal extension and lymph node metastases with extranodal spread. Moreover, all patients exhibited tumor involvement at the inked surgical margins (5).

Table I

Review of four cases of papillary thyroid carcinoma with squamous differentiation identified in the literature.

Table I

Review of four cases of papillary thyroid carcinoma with squamous differentiation identified in the literature.

First author, year of publicationAge, yearsSexClinical findingImagingHistopathological and Immunohistochemical examinationsFine needle aspirationMolecular examinationsTreatmentPostoperative treatmentOutcome(Refs.)
Sheta, 202330MLeft-sided neck swellingUS: Thyroidal homogeneous echo-texture, solitary thyroid noduleHPE: PTC and malignant squamous epithelial cells, psammoma bodies. IHC: +ve CK5/6 and TgSuspicious for PTC and staged as Bethesda VNot mentionedTotal thyroidectomy, axillo-bilateral breast approachNot mentionedStable condition(3)
Dennis, 201865FFluctuant left-sided neck massNoneIHC: +ve p63, CK5/6 and BRAF V600E, -ve TTF-1 and Tg. HPE: Admixed PTC and squamous cellsBrightly eosinophilic cells with squamoid featuresNot mentionedSurgical resectionChemoradiation (carboplatin and taxol), and radioactive iodine ablationLeft clavicular lesion 2 months later(9)
Grove, 201868MNeck mass, history of PTCUnknownIHC: +ve CK5/6, P63, and PAX8Keratinizing squamous cells, papillary follicular cells, amongst malignant squamous cellsNot mentionedTotal laryngectomyNot mentionedDeceased(14)
Handra-Luca, 201821FNeck massNoneHPE: multifocal thyroiditis and a neck thymus parathyroid unit. IHC: +ve P63, TTF1 Tg, and B-Raf in thyroid PTC, the same plus Ck5/6 in LN squamous differentiationNot mentionedNot mentionedTotal thyroidectomy with neck lymph node dissectionRadioactive iodide & substitutive thyroid hormonesStable condition(13)

[i] US, ultrasonography; CT, computed tomography; PET, positron emission tomography; HPE, histopathological examination; IHC, immunohistochemistry; PTC, papillary thyroid carcinoma; CK5/6, cytokeratin 5/6; TTF-1, thyroid transcription factor 1; Tg, thyroglobulin; PAX8, paired-box gene 8; LN, lymph node; -ve, negative; +ve, positive; M, male; F, female.

IHC analysis with markers specific for thyroidal and squamous differentiation aids diagnosis by demonstrating the characteristic biphasic pattern (3). Handra-Luca (13) reported a case of a 21-year-old patient with a neck mass who underwent total thyroidectomy with LN dissection. The thyroid tumor was identified as bilateral PTC. IHC analysis revealed focal p63 expression, diffuse TTF-1 positivity, and the presence of thyroglobulin and B-Raf. Notably, squamous differentiation was detected in 15 of the 19 metastatic lymph nodes, with positive staining for CK5/6, p63, TTF-1, thyroglobulin and B-Raf, indicating squamous differentiation arising from PTC metastases (13). In the present study, in the first reported case, IHC revealed positive staining of the squamous areas for CK5/6 and p40, with negative staining for TTF-1.

The morphological features of PTC-SD and its potential occurrence at metastatic sites can make distinguishing between squamous metaplasia and true squamous differentiation difficult when based solely on histology. The detection of BRAF mutations can serve as a valuable tool in excluding metastatic SCC (13). Negative molecular prognostic indicators include TERT promoter mutations and the coexistence of multiple concurrent mutations, while the prognostic significance of the BRAFV600E mutation remains controversial (3). Although the incidence of well-differentiated thyroid cancer is increasing and overall survival remains high, supporting more conservative surgical and adjuvant approaches, certain subtypes are associated with a poorer prognosis and require timely identification and aggressive management. Patients with PTC-SD should undergo careful, lifelong monitoring and, in the absence of a specific treatment protocol, should be managed according to established evidence-based guidelines for high-risk thyroid cancers (5). The majority of reported cases in the literature underwent surgical resection, often followed by post-operative radioactive iodine ablation (5,9). The main limitations of the present case report include the lack of molecular testing due to the high cost for patients and the inability to retrieve preoperative ultrasound image data, cell counts, and nuclear characteristics. A minor limitation is the lack of an IHC control sample.

In conclusion, clinicians should consider the possibility of squamous differentiation in PTC, despite its rarity. Hence, recognizing this variant is crucial for accurate diagnosis and appropriate treatment planning.

Acknowledgements

Not applicable.

Funding

Funding: No funding was received.

Availability of data and materials

The data generated in the present study may be requested from the corresponding author.

Authors' contributions

FHK and AMS were major contributors to the conception of the study, as well as to the literature search for related studies. HAA, AAQ and RMA contributed to the clinical management of the patients, assisted in data acquisition and interpretation, and participated in the literature review and manuscript preparation. HAY and TOS contributed to the conception and design of the study, in the literature review, in the critical revision of the manuscript, and in the processing of the table. IJH and SHH assisted in the diagnosis and management of the patients and participated in manuscript review. AMA was the pathologist who performed the diagnoses. FHK and AMS confirm the authenticity of all the raw data. All authors have read and approved the final manuscript.

Ethics approval and consent to participate

Written informed consent was obtained from the patients for participation in the present study.

Patient consent for publication

Written informed consent was obtained from the patients for the publication of the present case report and any accompanying images.

Competing interests

The authors declare that they have no competing interests.

References

1 

Adnan Z, Sabo E and Kassem S: Metastatic papillary thyroid carcinoma with internal jugular vein tumor thrombus-A case report and review of the literature. Front Endocrinol (Lausanne). 16(1505800)2025.PubMed/NCBI View Article : Google Scholar

2 

LiVolsi VA: Papillary thyroid carcinoma: An update. Mod Pathol. 24 (Suppl 2):S1–S9. 2011.PubMed/NCBI View Article : Google Scholar

3 

Sheta H, Abd El Hafez A, Harb D, Zuhdy M and Elzahaby IA: A Rare Entity: Papillary thyroid carcinoma with squamous differentiation diagnosed in a middle-aged man following endoscopic total thyroidectomy via axillo-bilateral breast approach. Middle East J Cancer. 14:170–175. 2023.

4 

Ito Y, Hirokawa M, Higashiyama T, Kihara M, Tomoda C, Takamura Y, Kobayashi K, Miya A and Miyauchi A: Biological behavior of papillary carcinoma of the thyroid including squamous cell carcinoma components and prognosis of patients who underwent locally curative surgery. J Thyroid Res. 2012(230283)2012.PubMed/NCBI View Article : Google Scholar

5 

Beninato T, Kluijfhout WP, Drake FT, Khanafshar E, Gosnell JE, Shen WT, Duh QY and Suh I: Squamous differentiation in papillary thyroid carcinoma: A rare feature of aggressive disease. J Surg Res. 223:39–45. 2018.PubMed/NCBI View Article : Google Scholar

6 

Abdullah HO, Abdalla BA, Kakamad FH, Ahmed JO, Baba HO, Hassan MN, Bapir R, Rahim HM, Omar DA, Kakamad SH, et al: Predatory publishing lists: A review on the ongoing battle against fraudulent actions. Barw Med J. 2:26–30. 2024.

7 

Prasad S, Nassar M, Azzam AY, José FG, Jamee M, Sliman RKA, Evola G, Mustafa AM, Abdullah HO, Abdalla BA, et al: CaReL guidelines: A consensus-based guideline on case reports and literature review (CaReL). Barw Med J. 2:13–19. 2024.

8 

Syed MI, Stewart M, Syed S, Dahill S, Adams C, McLellan DR and Clark LJ: Squamous cell carcinoma of the thyroid gland: Primary or secondary disease? J Laryngol Otol. 125:3–9. 2011.PubMed/NCBI View Article : Google Scholar

9 

Dennis K, O'Neil M and Harrington A: Not all neck mass fine-needle aspirations with squamous cells are squamous cell carcinoma; Report of a case of recurrent thyroid carcinoma with papillary and squamous components. Cytojournal. 15(23)2018.PubMed/NCBI View Article : Google Scholar

10 

Unger P, Ewart M, Wang BY, Gan LI, Kohtz DS and Burstein DE: Expression of p63 in papillary thyroid carcinoma and in Hashimoto's thyroiditis: A pathobiologic link? Hum Pathol. 34:764–769. 2003.PubMed/NCBI View Article : Google Scholar

11 

Ding W, Gao X and Ran X: Progress in diagnosing and treating thyroid squamous cell carcinoma under the 5th edition of WHO classification. Front Endocrinol (Lausanne). 14(1273472)2024.PubMed/NCBI View Article : Google Scholar

12 

Thewjitcharoen Y, Krittiyawong S, Butadej S, Nakasatien S, Polchart S, Junyangdikul P, Kanchanapituk A and Himathongkam T: De-differentiation of papillary thyroid carcinoma into squamous cell carcinoma in an elderly patient: A case report. Medicine (Baltimore). 99(e19892)2020.PubMed/NCBI View Article : Google Scholar

13 

Handra-Luca A: Squamous cell differentiation in metastatic papillary thyroid carcinoma: metaplastic reversion or progression? Iran J Pathol. 13(276)2018.PubMed/NCBI

14 

Grove N, Hartenstine J and Gallegos N: 81 potential pitfall: Papillary thyroid carcinoma mimicking squamous cell carcinoma. Am J Clin Pathol. 149 (Suppl 1)(S35)2018.

Related Articles

  • Abstract
  • View
  • Download
Copy and paste a formatted citation
Spandidos Publications style
Abdullah AM, Ali RM, Salih AM, Habibullah IJ, Yasseen HA, Saeed TO, Hassan SH, Ahmed HA, Qadir AA, Kakamad FH, Kakamad FH, et al: Papillary thyroid carcinoma with squamous differentiation: A report of two cases and a brief review of the literature. World Acad Sci J 8: 8, 2026.
APA
Abdullah, A.M., Ali, R.M., Salih, A.M., Habibullah, I.J., Yasseen, H.A., Saeed, T.O. ... Kakamad, F.H. (2026). Papillary thyroid carcinoma with squamous differentiation: A report of two cases and a brief review of the literature. World Academy of Sciences Journal, 8, 8. https://doi.org/10.3892/wasj.2025.423
MLA
Abdullah, A. M., Ali, R. M., Salih, A. M., Habibullah, I. J., Yasseen, H. A., Saeed, T. O., Hassan, S. H., Ahmed, H. A., Qadir, A. A., Kakamad, F. H."Papillary thyroid carcinoma with squamous differentiation: A report of two cases and a brief review of the literature". World Academy of Sciences Journal 8.1 (2026): 8.
Chicago
Abdullah, A. M., Ali, R. M., Salih, A. M., Habibullah, I. J., Yasseen, H. A., Saeed, T. O., Hassan, S. H., Ahmed, H. A., Qadir, A. A., Kakamad, F. H."Papillary thyroid carcinoma with squamous differentiation: A report of two cases and a brief review of the literature". World Academy of Sciences Journal 8, no. 1 (2026): 8. https://doi.org/10.3892/wasj.2025.423
Copy and paste a formatted citation
x
Spandidos Publications style
Abdullah AM, Ali RM, Salih AM, Habibullah IJ, Yasseen HA, Saeed TO, Hassan SH, Ahmed HA, Qadir AA, Kakamad FH, Kakamad FH, et al: Papillary thyroid carcinoma with squamous differentiation: A report of two cases and a brief review of the literature. World Acad Sci J 8: 8, 2026.
APA
Abdullah, A.M., Ali, R.M., Salih, A.M., Habibullah, I.J., Yasseen, H.A., Saeed, T.O. ... Kakamad, F.H. (2026). Papillary thyroid carcinoma with squamous differentiation: A report of two cases and a brief review of the literature. World Academy of Sciences Journal, 8, 8. https://doi.org/10.3892/wasj.2025.423
MLA
Abdullah, A. M., Ali, R. M., Salih, A. M., Habibullah, I. J., Yasseen, H. A., Saeed, T. O., Hassan, S. H., Ahmed, H. A., Qadir, A. A., Kakamad, F. H."Papillary thyroid carcinoma with squamous differentiation: A report of two cases and a brief review of the literature". World Academy of Sciences Journal 8.1 (2026): 8.
Chicago
Abdullah, A. M., Ali, R. M., Salih, A. M., Habibullah, I. J., Yasseen, H. A., Saeed, T. O., Hassan, S. H., Ahmed, H. A., Qadir, A. A., Kakamad, F. H."Papillary thyroid carcinoma with squamous differentiation: A report of two cases and a brief review of the literature". World Academy of Sciences Journal 8, no. 1 (2026): 8. https://doi.org/10.3892/wasj.2025.423
Follow us
  • Twitter
  • LinkedIn
  • Facebook
About
  • Spandidos Publications
  • Careers
  • Cookie Policy
  • Privacy Policy
How can we help?
  • Help
  • Live Chat
  • Contact
  • Email to our Support Team