Spandidos Publications Logo
  • About
    • About Spandidos
    • Aims and Scopes
    • Abstracting and Indexing
    • Editorial Policies
    • Reprints and Permissions
    • Job Opportunities
    • Terms and Conditions
    • Contact
  • Journals
    • All Journals
    • Oncology Letters
      • Oncology Letters
      • Information for Authors
      • Editorial Policies
      • Editorial Board
      • Aims and Scope
      • Abstracting and Indexing
      • Bibliographic Information
      • Archive
    • International Journal of Oncology
      • International Journal of Oncology
      • Information for Authors
      • Editorial Policies
      • Editorial Board
      • Aims and Scope
      • Abstracting and Indexing
      • Bibliographic Information
      • Archive
    • Molecular and Clinical Oncology
      • Molecular and Clinical Oncology
      • Information for Authors
      • Editorial Policies
      • Editorial Board
      • Aims and Scope
      • Abstracting and Indexing
      • Bibliographic Information
      • Archive
    • Experimental and Therapeutic Medicine
      • Experimental and Therapeutic Medicine
      • Information for Authors
      • Editorial Policies
      • Editorial Board
      • Aims and Scope
      • Abstracting and Indexing
      • Bibliographic Information
      • Archive
    • International Journal of Molecular Medicine
      • International Journal of Molecular Medicine
      • Information for Authors
      • Editorial Policies
      • Editorial Board
      • Aims and Scope
      • Abstracting and Indexing
      • Bibliographic Information
      • Archive
    • Biomedical Reports
      • Biomedical Reports
      • Information for Authors
      • Editorial Policies
      • Editorial Board
      • Aims and Scope
      • Abstracting and Indexing
      • Bibliographic Information
      • Archive
    • Oncology Reports
      • Oncology Reports
      • Information for Authors
      • Editorial Policies
      • Editorial Board
      • Aims and Scope
      • Abstracting and Indexing
      • Bibliographic Information
      • Archive
    • Molecular Medicine Reports
      • Molecular Medicine Reports
      • Information for Authors
      • Editorial Policies
      • Editorial Board
      • Aims and Scope
      • Abstracting and Indexing
      • Bibliographic Information
      • Archive
    • World Academy of Sciences Journal
      • World Academy of Sciences Journal
      • Information for Authors
      • Editorial Policies
      • Editorial Board
      • Aims and Scope
      • Abstracting and Indexing
      • Bibliographic Information
      • Archive
    • International Journal of Functional Nutrition
      • International Journal of Functional Nutrition
      • Information for Authors
      • Editorial Policies
      • Editorial Board
      • Aims and Scope
      • Abstracting and Indexing
      • Bibliographic Information
      • Archive
    • International Journal of Epigenetics
      • International Journal of Epigenetics
      • Information for Authors
      • Editorial Policies
      • Editorial Board
      • Aims and Scope
      • Abstracting and Indexing
      • Bibliographic Information
      • Archive
    • Medicine International
      • Medicine International
      • Information for Authors
      • Editorial Policies
      • Editorial Board
      • Aims and Scope
      • Abstracting and Indexing
      • Bibliographic Information
      • Archive
  • Articles
  • Information
    • Information for Authors
    • Information for Reviewers
    • Information for Librarians
    • Information for Advertisers
    • Conferences
  • Language Editing
Spandidos Publications Logo
  • About
    • About Spandidos
    • Aims and Scopes
    • Abstracting and Indexing
    • Editorial Policies
    • Reprints and Permissions
    • Job Opportunities
    • Terms and Conditions
    • Contact
  • Journals
    • All Journals
    • Biomedical Reports
      • Information for Authors
      • Editorial Policies
      • Editorial Board
      • Aims and Scope
      • Abstracting and Indexing
      • Bibliographic Information
      • Archive
    • Experimental and Therapeutic Medicine
      • Information for Authors
      • Editorial Policies
      • Editorial Board
      • Aims and Scope
      • Abstracting and Indexing
      • Bibliographic Information
      • Archive
    • International Journal of Epigenetics
      • Information for Authors
      • Editorial Policies
      • Editorial Board
      • Aims and Scope
      • Abstracting and Indexing
      • Bibliographic Information
      • Archive
    • International Journal of Functional Nutrition
      • Information for Authors
      • Editorial Policies
      • Editorial Board
      • Aims and Scope
      • Abstracting and Indexing
      • Bibliographic Information
      • Archive
    • International Journal of Molecular Medicine
      • Information for Authors
      • Editorial Policies
      • Editorial Board
      • Aims and Scope
      • Abstracting and Indexing
      • Bibliographic Information
      • Archive
    • International Journal of Oncology
      • Information for Authors
      • Editorial Policies
      • Editorial Board
      • Aims and Scope
      • Abstracting and Indexing
      • Bibliographic Information
      • Archive
    • Medicine International
      • Information for Authors
      • Editorial Policies
      • Editorial Board
      • Aims and Scope
      • Abstracting and Indexing
      • Bibliographic Information
      • Archive
    • Molecular and Clinical Oncology
      • Information for Authors
      • Editorial Policies
      • Editorial Board
      • Aims and Scope
      • Abstracting and Indexing
      • Bibliographic Information
      • Archive
    • Molecular Medicine Reports
      • Information for Authors
      • Editorial Policies
      • Editorial Board
      • Aims and Scope
      • Abstracting and Indexing
      • Bibliographic Information
      • Archive
    • Oncology Letters
      • Information for Authors
      • Editorial Policies
      • Editorial Board
      • Aims and Scope
      • Abstracting and Indexing
      • Bibliographic Information
      • Archive
    • Oncology Reports
      • Information for Authors
      • Editorial Policies
      • Editorial Board
      • Aims and Scope
      • Abstracting and Indexing
      • Bibliographic Information
      • Archive
    • World Academy of Sciences Journal
      • Information for Authors
      • Editorial Policies
      • Editorial Board
      • Aims and Scope
      • Abstracting and Indexing
      • Bibliographic Information
      • Archive
  • Articles
  • Information
    • For Authors
    • For Reviewers
    • For Librarians
    • For Advertisers
    • Conferences
  • Language Editing
Login Register Submit
  • This site uses cookies
  • You can change your cookie settings at any time by following the instructions in our Cookie Policy. To find out more, you may read our Privacy Policy.

    I agree
Search articles by DOI, keyword, author or affiliation
Search
Advanced Search
presentation
World Academy of Sciences Journal
Join Editorial Board Propose a Special Issue
Print ISSN: 2632-2900 Online ISSN: 2632-2919
Journal Cover
March-April 2026 Volume 8 Issue 2

Full Size Image

Sign up for eToc alerts
Recommend to Library

Journals

International Journal of Molecular Medicine

International Journal of Molecular Medicine

International Journal of Molecular Medicine is an international journal devoted to molecular mechanisms of human disease.

International Journal of Oncology

International Journal of Oncology

International Journal of Oncology is an international journal devoted to oncology research and cancer treatment.

Molecular Medicine Reports

Molecular Medicine Reports

Covers molecular medicine topics such as pharmacology, pathology, genetics, neuroscience, infectious diseases, molecular cardiology, and molecular surgery.

Oncology Reports

Oncology Reports

Oncology Reports is an international journal devoted to fundamental and applied research in Oncology.

Experimental and Therapeutic Medicine

Experimental and Therapeutic Medicine

Experimental and Therapeutic Medicine is an international journal devoted to laboratory and clinical medicine.

Oncology Letters

Oncology Letters

Oncology Letters is an international journal devoted to Experimental and Clinical Oncology.

Biomedical Reports

Biomedical Reports

Explores a wide range of biological and medical fields, including pharmacology, genetics, microbiology, neuroscience, and molecular cardiology.

Molecular and Clinical Oncology

Molecular and Clinical Oncology

International journal addressing all aspects of oncology research, from tumorigenesis and oncogenes to chemotherapy and metastasis.

World Academy of Sciences Journal

World Academy of Sciences Journal

Multidisciplinary open-access journal spanning biochemistry, genetics, neuroscience, environmental health, and synthetic biology.

International Journal of Functional Nutrition

International Journal of Functional Nutrition

Open-access journal combining biochemistry, pharmacology, immunology, and genetics to advance health through functional nutrition.

International Journal of Epigenetics

International Journal of Epigenetics

Publishes open-access research on using epigenetics to advance understanding and treatment of human disease.

Medicine International

Medicine International

An International Open Access Journal Devoted to General Medicine.

Journal Cover
March-April 2026 Volume 8 Issue 2

Full Size Image

Sign up for eToc alerts
Recommend to Library

  • Article
  • Citations
    • Cite This Article
    • Download Citation
    • Create Citation Alert
    • Remove Citation Alert
    • Cited By
  • Similar Articles
    • Related Articles (in Spandidos Publications)
    • Similar Articles (Google Scholar)
    • Similar Articles (PubMed)
  • Download PDF
  • Download XML
  • View XML
Case Report Open Access

Pulmonary epithelioid hemangioendothelioma: A case report and brief review of the literature

  • Authors:
    • Ari M. Abdullah
    • Fahmi H. Kakamad
    • Soran H. Tahir
    • Rawa M. Ali
    • Marwan N. Hassan
    • Rebaz Haji Ali
    • Hiwa O. Abdullah
    • Hadeel A. Yasseen
    • Harem K. Ahmed
    • Bander A. Abdalla
    • Sarhang Sedeeq Abdalla
  • View Affiliations / Copyright

    Affiliations: Department of Scientific Affairs, Smart Health Tower, Sulaymaniyah 46001, Iraq
    Copyright: © Abdullah et al. This is an open access article distributed under the terms of Creative Commons Attribution License [CC BY 4.0].
  • Article Number: 14
    |
    Published online on: January 19, 2026
       https://doi.org/10.3892/wasj.2026.429
  • Expand metrics +
Metrics: Total Views: 0 (Spandidos Publications: | PMC Statistics: )
Metrics: Total PDF Downloads: 0 (Spandidos Publications: | PMC Statistics: )
Cited By (CrossRef): 0 citations Loading Articles...

This article is mentioned in:


Abstract

Due to its rarity and nonspecific symptoms, pulmonary epithelioid hemangioendothelioma (PEH) is often prone to misdiagnosis or delayed diagnosis until it progresses to advanced stages. The present case report describes the case of a patient with symptomatic PEH identified by computed tomography (CT) angiography. A 31‑year‑old male worker presented with a 1‑month history of left‑sided chest pain. He had a history of 10 years of smoking. The patient initially sought evaluation by a cardiologist. A cardiac workup revealed normal coronary vessels. However, a contrast‑enhanced chest CT scan demonstrated multiple well‑defined bilateral pulmonary nodules. The patient underwent video‑assisted thoracoscopic surgery for obtaining biopsy of bilateral lung nodules, pleura and mediastinal lymph nodes. A histopathological examination confirmed the diagnosis of PEH. Immunohistochemical staining supported the diagnosis with ERG positivity, and TTF1 and AE1/AE3 negativity in the tumor cells. In addition, a total of 12 cases of PEH were selected from the literature and these cases were reviewed. The ages of these patients ranged from 35 to 70 years, with a slightly equal sex distribution. Of note, one‑third of the cases were incidental findings. The majority of the cases had bilateral lung lesions on imaging, some of which exhibited calcifications, necrosis, or pleural effusion. Metastases were observed in 4 cases, affecting bones, lymph nodes, liver, spleen and brain. Immunohistochemistry demonstrated positivity for vascular markers in all cases. A total of 6 patients succumbed due to disease progression and related complications. On the whole, the present case report demonstrates that PEH may present with non‑specific symptoms and may often be diagnosed incidentally during general checkups.

Introduction

Epithelioid hemangioendothelioma is a rare vascular tumor arising from endothelial cells, which can occur in the liver, lungs, bones and soft tissues. When it involves the lungs, it is known as pulmonary epithelioid hemangioendothelioma (PEH), which is characterized by a low to moderate malignant potential (1,2). Historically, PEH was initially described in the medical literature as an ‘intravascular bronchoalveolar tumor’. Over time, its nomenclature and understanding have greatly evolved; however, its rarity has limited comprehensive research and the development of standardized treatment protocols (3). The etiology of PEH remains largely unclear, although it is deemed to be associated with a combination of genetic predispositions and environmental exposures. The condition predominantly affects young women and is often identified incidentally upon imaging analyses, typically presenting as multiple bilateral pulmonary nodules (1). The clinical behavior of PEH exhibits considerable variability among patients, ranging from indolent disease progression in some cases, to rapid advancement and metastasis in others (4,5).

The clinical presentation of PEH is non-specific, with some patients remaining asymptomatic until the disease reaches the advanced stages. By contrast, others may develop symptoms, such as dyspnea or chest pain as a result of tumor growth or associated complications (4). Given its rarity, PEH is often misdiagnosed as other pulmonary conditions. Its incidence is markedly low, estimated at <1 case per million individuals annually, with ~250 cases reported in the medical literature (1). The present case report describes a case of symptomatic PEH in a young male worker found upon computed tomography (CT) angiography. The case was written in accordance with the CaReL guidelines (6). In addition, all references were checked to avoid citing non-peer-reviewed data (7).

Case report

Patient information

On August, 2024, a 31-year-old male worker presented to Smart Health Tower (Sulaymaniyah, Iraq) with a 1-month history of left-sided chest pain without any associated symptoms. He had a significant smoking history of 10 years, although he denied any past medical or surgical history. An analysis of family history did not reveal any notable findings. The patient initially sought evaluation by a cardiologist for his chest pain. A cardiac workup, including echocardiography and a CT coronary angiogram, revealed normal coronary vessels. However, the CT coronary angiogram revealed pulmonary nodules, warranting further investigation. He was subsequently referred to the Thoracic and Vascular Department at Smart Health Tower (Sulaymaniyah, Iraq).

Clinical findings

The vital signs (body temperature, pulse rate, respiratory rate, and blood pressure) of the patient were within the normal range. Auscultation revealed good bilateral air entry without added sounds.

Diagnostic assessment

A contrast-enhanced chest CT scan demonstrated multiple well-defined pulmonary nodules scattered throughout both lungs (Fig. 1). The largest nodule, measuring 15 mm, was located in the right upper lobe. Some nodules exhibited central calcifications and variable post-contrast enhancement, with no cavitation observed. The patient underwent a CT-guided core needle biopsy. A histopathological examination was performed by the hospital laboratory as follows: The analysis was performed on 5-µm-thick, paraffin-embedded sections. The sections were stained with 10% neutral buffered formalin at room temperature for 24 h. They were then stained with hematoxylin and eosin (H&E; Bio Optica Co, Italy for 1-2 min at room temperature and examined under a light microscope (Leica Microsystems GmbH). The histopathological examination revealed benign alveolar tissue, skeletal muscle tissue and hyalinized material (data not shown). Although a few atypical cells were noted, the tissue sample was insufficient for a definitive diagnosis or proper immune staining assessment. The case was reviewed by a multidisciplinary team, which recommended a video-assisted thoracoscopic surgery (VATS) to obtain a biopsy for a more comprehensive evaluation.

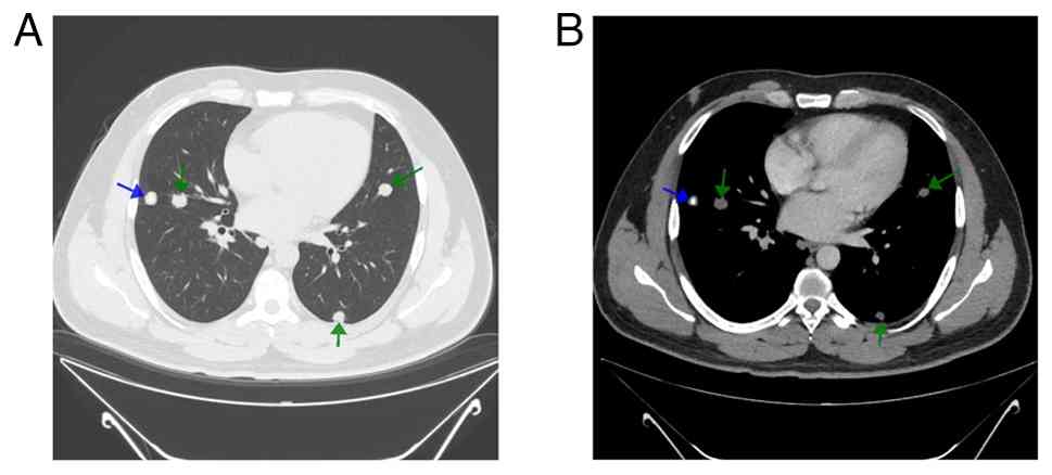
Chest computed tomography scan with IV
contrast. (A) Lung window on high-resolution computed tomography.
(B) Soft tissue window with IV contrast illustrating multiple
bilateral pulmonary nodules (green arrows), one of them containing
central coarse calcification (blue arrow).

Figure 1

Chest computed tomography scan with IV contrast. (A) Lung window on high-resolution computed tomography. (B) Soft tissue window with IV contrast illustrating multiple bilateral pulmonary nodules (green arrows), one of them containing central coarse calcification (blue arrow).

Intervention

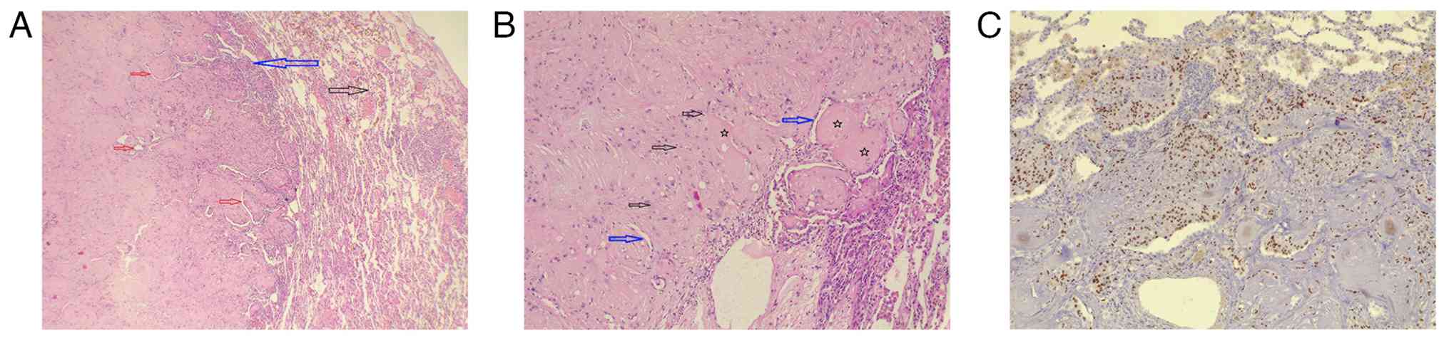
Under general anesthesia, the patient underwent VATS for a biopsy of bilateral lung nodules, pleura and mediastinal lymph nodes. A thoracoscope was inserted through double ports to access the pulmonary parenchyma and pleural surfaces. Representative nodules from the left lung and pleura were excised in addition to a mediastinal lymph node biopsy. The procedure and postoperative period were uneventful. The chest tube was removed 48 h following the procedure, and the patient was discharged in a stable condition. A histopathological examination of the lung nodules (performed as described above) revealed two well-defined masses with centrally hyalinized stroma, amorphous eosinophilic deposits and focal coagulative necrosis (Fig. 2). Slit-like spaces within the masses were lined by plump, eosinophilic, epithelioid cells with bland, round-to-oval nuclei, some of which contained inclusions. There was no marked atypia or significant mitotic activity. The surrounding lung parenchyma exhibited only mild lymphocytic infiltration. Immunohistochemistry was performed on 4-µm-thick paraffin-embedded sections and heat-induced epitope retrieval (HIER) was performed using citrate buffer (pH 6.0) for AE1/AE3 and TTF and EDTA buffer (pH 9.0) for ERG. Retrieval was carried out at 95-98˚C for 20-30 min, followed by cooling to room temperature. Endogenous peroxidase activity was blocked using 3% hydrogen peroxide for 10 min at room temperature, followed by blocking of nonspecific binding with 5% normal serum for 20 min at room temperature. The sections were incubated with primary antibodies against ERG (1:100; clone EP111, cat. no. GA65961-2), TTF-1 (1:100; clone 8G7G3/1, cat. no. M3575) and AE1/AE3 (1:100; cat. no. GA05361-2) (all from Dako; Agilent Technologies, Inc.) for 30-60 min at room temperature, followed by a polymer-based HRP-conjugated secondary detection system (EnVision™, cat. no. K4003; Dako; Agilent Technologies, Inc.) for 30 min at room temperature and visualization with 3,3'-diaminobenzidine. The slides were counterstained with hematoxylin (Thermo Fisher Scientific, Inc.) for 30 sec at room temperature, dehydrated and coverslipped and then examined under a light microscope (Leica Microsystems GmbH) at magnifications ranging from x4 to x10. Immunohistochemistry with Congo red and periodic acid-Schiff staining (MilliporeSigma; with and without diastase digestion; used for 20 min at room temperature) yielded negative results in the amorphous deposits. The histological picture, along with epithelioid cell positivity for ERG and negativity for TTF1 and AE1/AE3, supported a diagnosis of PEH (Fig. 2). The pleural biopsy did not reveal any notable findings, and the mediastinal lymph nodes were benign.

(A) Section illustrating lung
parenchymal tissue (black arrow) with a hyalinized nodule on the
left side (blue arrow) that is composed of slit-like spaces (red
arrows); hematoxylin and eosin staining; magnification, x4). (B)
Section illustrating epithelioid cells (black arrows) located
within a hyalinized stroma (black stars) with the presence of
vascular spaces that are lined by endothelial cells (blue arrows);
hematoxylin and eosin staining; magnification, x10). (C) ERG
immunohistochemistry illustrating a diffuse, strong nuclear
staining pattern within the nodule.

Figure 2

(A) Section illustrating lung parenchymal tissue (black arrow) with a hyalinized nodule on the left side (blue arrow) that is composed of slit-like spaces (red arrows); hematoxylin and eosin staining; magnification, x4). (B) Section illustrating epithelioid cells (black arrows) located within a hyalinized stroma (black stars) with the presence of vascular spaces that are lined by endothelial cells (blue arrows); hematoxylin and eosin staining; magnification, x10). (C) ERG immunohistochemistry illustrating a diffuse, strong nuclear staining pattern within the nodule.

Follow-up

The patient was referred to an oncologist for further evaluation and follow-up. During routine follow-up, a right axillary lymph node appeared suspicious on ultrasound. Fine-needle aspiration was performed, which was negative for malignancy. The patient was prescribed a pazopanib tablet (400 mg/day). At the 3-month follow-up, the CT scan demonstrated stable disease with no evidence of progression.

Discussion

Pulmonary epithelioid hemangioendothelioma is a rare, low-grade vascular tumor characterized by a low to intermediate potential for malignancy. It typically presents as multiple small nodules in both lungs (8). Due to its rarity, data on this disease remain limited. A study reported a male-to-female ratio of 1:1 among 16 patients with PEH (9). Conversely, another study indicated that the disease predominantly affects women, with an incidence rate of 2- to 4-fold higher in females compared to males (2). The age range for the diagnosis of PEH exhibits vast variability. A previous study reported an age range of 25 to 54 years (4), while another study identified an average onset age of ~47.75 years (9). Similarly, Xuan et al (2) reported an average age of onset of ~40 years. Herein, in reviewing 12 cases of PEH (2,5,10-16), the age of patients was found to range from 35 to 70 years, with a mean age of 53.9 years, including 7 males and 5 females. The disease was equally distributed, with unilateral and bilateral involvement observed in 6 cases each (50%) (Table I). The case presented herein was that of a male smoker in his thirties who presented with bilateral PEH.

Table I

Summary of 12 cases of pulmonary epithelioid hemangioendothelioma identified in the literature.

Table I

Summary of 12 cases of pulmonary epithelioid hemangioendothelioma identified in the literature.

First author, year of publicationAge, yearsSexPresentationSite of diseaseRadiological findingsTumor size (cm)Metastasis ImmunohistochemistryTreatmentAdjuvant therapyFollow-up and outcome(Refs.)
Xuan, 202450FRecurrent coughing, excess phlegm productionLULLCT: A mass with lymph node enlargement; PET: Increased SUV5.2Bones, soft tissues, and multiple lymph nodesNegative: Napsin A, TTF-1, CK (pan), Vimentin, CgA, CD56, Syn, Calretinin, CK7, EMA; ositive: CD34, INI-1, BRG1, Fli-1, CD31, ERGThoracoscopic surgery (wedge resection)Chemotherapy (ifosfamide, epirubicin, paclitaxel), targeted therapy (bevacizumab, anlotinib), immunotherapy (cardonilizumab)Succumbed to the disease(2)
Chen, 202355MIncidental findingLULLCT: Partial enhancement in soft tissue1.3Not reportedNegative: S-100, PCK, CK8, CK7, TTF-1, P63, HMB45, Syn, CgA, CD56, SMA, PAX8, WT-1, TFE-3; Positive: CAMTA-1, CD34, CD31, EMALobectomy by VATS, lymph node dissectionN/AAlive (no recurrence within 5 months post-surgery)(10)
Aung, 202058FChest tightness, shortness of breathLLLLCT: Bilateral ground glass opacities; PET: No increased SUV0.8Not reportedNegative: Pancytokeratin, TTF-1, Pax-8, CAM 5.2, EMA, CDX2, CK20, CK7; Positive: CD31, ERGConservative (N/A)N/AAlive (no progression after one year of follow-up)(11)
Da Silva, 202045MIncidental findingBilateralX-ray and CT: Solid lung nodules>1Not reportedN/AOnly follow upN/AAlive (stable after 9 years of follow-up)(12)
 70FCough, dyspnea, weight lossBilateralCT: Bilateral nodules, gross calcifications, bronchial stenosisN/ANot reportedN/AEndobronchial prosthesis, high-dose external radiotherapyTargeted therapy with pazopanibDied due to massive hemoptysis, cardio-pulmonary arrest(12)
Xiong, 202054FIncidental findingBilateralCT: Multiple small nodules with no calcificationN/ANot reportedN/AWedge resection by VATSWatchful waitingAlive (no progression at 3-month follow-up)(13)
Mao, 201743MChest painBilateralCT: Multiple small nodules2.2Not reportedNegative: Cytokeratin-7, CD56, thyroid transcription factor 1, and Syn; Positive: CD31, CD34, Vimentin, Bcl-2, and partially for CD99Palliative thoracotomy: wedge resection of the right lower lobeN/AN/A(14)
Mesquita, 201735MIncidental findingBilateralX-ray and CT: Multiple small bilateral nodules<10Not reportedPositive: CD34Only follow upN/AAlive (after 48 months of follow-up)(5)
 67FCough, hematic sputum, back painBilateralX-ray: Left lung opacification; CT: Multiple nodules with necrosis and atelectasisN/ALeft hilar lymphadenopathy, splenic nodulesPositive: CD31, CD34, Factor VIIIThoracic surgery (wedge resection)Chemotherapy (carboplatin/paclitaxel, doxorubicin/cyclophos-phamide)Succumbed due to respiratory failure(5)
Zheng, 201744MRecurrent hemoptysisRMLLCT: Multiple small nodules, pleural effusion with calcification, and metastases5Chest wall, pleura, liver, and mediastinumNegative: CD34; Positive: CD31, CK, VimentinLobectomy, pleural decorticationApatinib monotherapySuccumbed due to respiratory failure after six months(15)
Soo, 201659MProgressive breath-lessness, productive coughRULLHeterogeneous enhancing massN/ANot reportedPositive: CD31, CD34, and factor VIIIN/AN/ASuccumbed due to respiratory failure(16)
 67MHemiplegiaRULLCT: Mass with spiculated marginsN/ABrainPositive: CD31, CD34, and factor VIIITraditional treatment (N/A)N/ASuccumbed within 1 month(16)

[i] F, female; M, male; LULL, left upper lobe of lung; LLLL, left lower lobe of the lung; RMLL, right middle lobe of the lung; RULL, right upper lobe of lung; SUV, standardized uptake value; CT, computed tomography; PET, positron emission tomography; FDG, fluorodeoxyglucose; N/A, non-available; VATS, video-assisted thoracoscopic surgery.

The etiology of PEH remains uncertain. Although an association with estrogen receptors has been observed in some cases, its occurrence in both sexes challenges the hormonal hypothesis (4). No definitive risk factors or causes have been identified for this condition, and it often presents with nonspecific symptoms (10,12,13). Clinical manifestations vary significantly, with common symptoms including cough, shortness of breath and chest pain. In a previous study, 17 of 18 patients exhibited respiratory symptoms, such as cough and shortness of breath (17). Similarly, another study reported that 7 of 16 patients experienced symptoms such as cough, sputum, shortness of breath, hemoptysis and chest pain (9). Some cases may remain asymptomatic and are detected incidentally during imaging for unrelated indications (10,12,13). Pleural thickening and pleural effusion have been observed, particularly in cases involving pleural metastases (9). A previous case report described a patient presenting with a loculated pleural effusion, which was initially misdiagnosed as necrotizing pneumonia (18). Less commonly, hemoptysis and abdominal pain have been reported (5,15,17). In a previous study, abdominal pain was noted in a single case where respiratory symptoms were absent (17). In the present study, among the 12 reviewed cases, the most common presenting symptoms were coughing (33.3%), dyspnea (25%), chest pain or tightness (16.7%) and hemoptysis (16.7%). However, 33.3% of cases were incidentally diagnosed. The only symptom in the current case was chest pain, and he had a smoking history for 10 years.

Pulmonary epithelioid hemangioendothelioma generally has a favorable prognosis, with a median survival of 4.6 years and a 5-year survival rate of ~60%. However, PEH tends to have a worse prognosis compared to soft tissue or bone primaries, particularly when bilateral pulmonary involvement, pleural invasion, or concomitant liver disease is present. This contributes to a relatively higher mortality risk in PEH cases. By contrast, epithelioid hemangioendothelioma originating in soft tissue or skin often behaves more indolently and is associated with better outcomes after surgical resection (19).

Key factors influencing outcomes include anemia, pleural invasion, and lymph node and distant metastases (2). A multinodular pattern on CT scans is linked to improved survival, while pleural involvement with malignant effusion is associated with poorer outcomes (11). The literature review by Amin et al (20), reviewing >90 cases, identified the male sex, symptomatic presentation, and pleural effusion as independent predictors of reduced survival. The tumor can metastasize, involving pleural and mediastinal lymph nodes, as well as distant organs such as the liver, skin, bones, spleen, and central nervous system (2). In a study of 18 patients with PEH, extrapulmonary involvement was identified in 7 cases, notably affecting the liver and bones (21). A total of 4 cases (33.3%) reviewed in the present study were metastatic (2,5,15,16). The metastatic regions included bones, soft tissues, lymph nodes, spleen, chest wall, liver, pleura, mediastinum and brain. In the present case report, despite the positron emission tomography (PET) scan not yet being performed, an initial follow-up ultrasound revealed a suspicious right axillary lymph node. However, fine-needle aspiration was negative for malignancy.

On CT imaging, PEH typically manifests as numerous small nodules distributed across both lungs, generally measuring <2 cm in diameter. These nodules are frequently located near blood vessels, reflecting their vascular endothelial origin (21). In some cases, punctate calcifications may be present within the nodules, and associated pleural thickening can also be observed (8). PET/CT scans often reveal increased fluorodeoxyglucose uptake in PEH lesions, signifying heightened metabolic activity and potential metastasis. A positive association exists between lesion size and maximum standardized uptake values (21). Isolated lesions in PEH are uncommon; when present, they may exceed 5 cm in their largest dimension (2). The diagnosis of PEH depends on a histopathological examination supported by immunohistochemistry, as the disease lacks specific clinical or imaging features. Microscopically, tumor cells form irregular nests, strips, or sheets with eosinophilic, polygonal cytoplasm that may contain vacuoles. Primitive vascular lumens with erythrocytes are occasionally seen. Tumor cells often extend along alveolar septal blood vessels, with reactive hyperplasia in adjacent alveolar epithelium. Rarely, they invade alveolar or bronchial walls in an infiltrative pattern. Immunohistochemistry reveals the positivity of the tumor cells for vascular endothelial markers, such as CD31, CD34, Fli-1 and ERG, with CD31 being highly specific (2). Histological atypia (high nuclear grade, necrosis, high mitoses), larger tumor size and multi-organ involvement are pathological features associated with higher metastasis risk and poorer prognosis in epithelioid hemangioendothelioma, whereas routine immunostaining profiles and fusion status primarily aid diagnosis rather than prognosis (22).

Among the cases reviewed herein, immunohistochemistry data were available for 9 cases, all of which were positive for CD31. In the present case, immunohistochemical staining supported the PEH diagnosis with ERG positivity and TTF1 and AE1/AE3 negativity.

Due to its rarity, PEH lacks a standard treatment approach (2). In patients with localized PEH or disease confined to one lung or discrete lesions, complete surgical resection remains the mainstay of potentially curative therapy. It is associated with favorable local control and improved long-term outcomes when feasible, whereas the benefit of surgery in multifocal or systemic disease is less clear (2,23). For patients with multifocal pulmonary nodules, bilateral disease, pleural involvement, or distant metastases not amenable to surgery, the role of standard cytotoxic chemotherapy is limited, and no consensus regimen exists. Combination chemotherapy has yielded mixed results and generally limited efficacy in PEH (3). Given its vascular origin, therapies targeting angiogenesis are rational options in advanced disease. Agents that inhibit the vascular endothelial growth factor (VEGF) signaling pathway, such as tyrosine kinase inhibitors, like pazopanib, have demonstrated prolonged disease stabilization and symptomatic improvement, while other VEGF/VEGFR pathway inhibitors, including sorafenib, sunitinib, and bevacizumab, have shown variable responses (24,25). In selected patients with indolent or asymptomatic disease, a watchful waiting/active surveillance approach may also be considered, as some PEH cases exhibit slow progression (23).

Among the 12 cases reviewed herein, 6 patients succumbed to disease progression and related complications. Following 3 months of follow-up of the present case, the CT scan demonstrated stable disease with no evidence of progression. A notable limitation of the present report is the lack of long-term follow-up data to assess outcomes and consequences. Other limitations include unretrievable histopathology figure of initial CT-guided core needle biopsy and the lack of molecular testing for WWTR1-CAMTA1 fusion or immunohistochemistry for CAMTA1, CD31 and CD34 to support the diagnosis further.

In conclusion, PEH may present with non-specific symptoms and may often be diagnosed incidentally during checkups.

Acknowledgements

Not applicable.

Funding

Funding: No funding was received.

Availability of data and materials

The data generated in the present study may be requested from the corresponding author.

Authors' contributions

FHK and AMA were major contributors to the conception of the study and to the literature search for related studies. FHK, RHA, HOA and MNH contributed to the clinical management of the patient, assisted with data acquisition and interpretation, and participated in the literature review and manuscript preparation. HKA, BAA and SSA contributed to the conception and design of the study, the literature review, the critical revision of the manuscript and the processing of the table. SHT was the radiologist who performed the assessment of the case. AMA, RMA and HAY were the pathologists who conducted the histopathological diagnosis of the case. FHK and AMA confirm the authenticity of all the raw data. All authors have read and approved the final manuscript.

Ethics approval and consent to participate

Written informed consent was obtained from the patient for participation in the present study.

Patient consent for publication

Written informed consent was obtained from the patient for the publication of the present case report and any accompanying images.

Competing interests

The authors declare that they have no competing interests.

References

1 

Di̇rol H, Özbudak Ö and Özbudak İ: A rare primary lung tumor: Pulmonary epithelioid hemangioendothelioma and a literature review. Turk J Oncol. 35:340–344. 2020.

2 

Xuan R, Cui Z and Zhao L: Isolated pulmonary epithelioid hemangioendothelioma: A case report. Medicine (Batimore). 103(e40959)2024.PubMed/NCBI View Article : Google Scholar

3 

Ye B, Li W, Feng JI, Shi JX, Chen Y and Han BH: Treatment of pulmonary epithelioid hemangioendothelioma with combination chemotherapy: Report of three cases and review of the literature. Oncol Lett. 5:1491–1496. 2013.PubMed/NCBI View Article : Google Scholar

4 

Shao J and Zhang J: Clinicopathological characteristics of pulmonary epithelioid hemangioendothelioma: A report of four cases and review of the literature. Oncol Lett. 8:2517–2522. 2014.PubMed/NCBI View Article : Google Scholar

5 

Mesquita RD, Sousa M, Trinidad C, Pinto E and Badiola IA: New insights about pulmonary epithelioid hemangioendothelioma: Review of the literature and two case reports. Case Rep Radiol. 2017(5972940)2017.PubMed/NCBI View Article : Google Scholar

6 

Prasad S, Nassar M, Azzam AY, José FGMS, Jamee M, Sliman RK, Evola G, Mustafa AM, Abdullah HO, Abdalla BA, et al: CaReL guidelines: A consensus-based guideline on case reports and literature review (CaReL). Barw Med J. 2:13–19. 2024.

7 

Abdullah HO, Abdalla BA, Kakamad FH, Ahmed JO, Baba HO, Hassan MN, Bapir R, Rahim HM, Omar DA, Kakamad SH, et al: Predatory publishing lists: A review on the ongoing battle against fraudulent actions. Barw Med J. 2:26–30. 2024.

8 

Jang YC, Hung WC, Su TC and Wu WP: Primary pulmonary epithelioid hemangioendothelioma. BMJ Case Rep. 16(e254915)2023.PubMed/NCBI View Article : Google Scholar

9 

Zhu JX, Xie Q, Zhong AH, Lin QH and Lan CQ: Clinical analysis of 16 cases of pulmonary epithelioid hemangioendothelioma. Zhonghua Jie He He Hu Xi Za Zhi. 44:966–971. 2021.PubMed/NCBI View Article : Google Scholar : (In Chinese).

10 

Chen X, Wang Y, Che G and Shen C: An extremely rare case of pulmonary epithelioid hemangioendothelioma. Thorac Cancer. 14:2519–2522. 2023.PubMed/NCBI View Article : Google Scholar

11 

Aung TT, Chu A, Kondapi D, Markabawi D, Mirchia K and Kaul P: A case of pulmonary epithelioid hemangioendothelioma with literature review. Case Rep Oncol Med. 2020(8048056)2020.PubMed/NCBI View Article : Google Scholar

12 

Da Silva TP, Taveira MD, Guzman HO and Guimaraes MD: Pulmonary epithelioid hemangioendothelioma: Two case reports of a rare neoplasm with an unpredictable prognosis. SN Comprehensive Clinical Medicine. 2:2427–2432. 2020.

13 

Xiong W, Wang Y, Ma X and Ding X: Multiple bilateral pulmonary epithelioid hemangioendothelioma mimicking metastatic lung cancer: Case report and literature review. J Int Med Res. 48(0300060520913148)2020.PubMed/NCBI View Article : Google Scholar

14 

Mao X, Liang Z, Chibhabha F, Ou W, Li N, Xu P and Wang S: Clinico-radiological features and next generation sequencing of pulmonary epithelioid hemangioendothelioma: A case report and review of literature. Thorac Cancer. 8:687–692. 2017.PubMed/NCBI View Article : Google Scholar

15 

Zheng Z, Wang H, Jiang H, Chen E, Zhang J and Xie X: Apatinib for the treatment of pulmonary epithelioid hemangioendothelioma: A case report and literature review. Medicine (Batimore). 96(e8507)2017.PubMed/NCBI View Article : Google Scholar

16 

Soo CI, Ng BH, Tan EL and Hamid FA: Ambiguous presentations of pulmonary epithelioid hemangioendothelioma: Two case reports of a rare pulmonary malignancy. SAGE Open Med Case Rep. 4(2050313X16650323)2016.PubMed/NCBI View Article : Google Scholar

17 

Han J, Wei JG, Gao XZ, Xu Y, Zhang L, Xie YL, Liu YQ, Fan XY, Li WC and Li SL: Clinicopathological features of pulmonary epithelioid hemangioendothelioma: A study of 18 cases. Zhonghua Bing Li Xue Za Zhi. 49:550–555. 2020.PubMed/NCBI View Article : Google Scholar

18 

Nguyen T, Chagani F, Khasawneh M, Khasawneh T and Jamalifard F: Epithelioid hemangioendothelioma presenting as necrotizing pneumonia. Cureus. 15(e39328)2023.PubMed/NCBI View Article : Google Scholar

19 

Liu Z and He S: Epithelioid hemangioendothelioma: Incidence, mortality, prognostic factors, and survival analysis using the surveillance, epidemiology, and end results database. J Oncol. 2022(2349991)2022.PubMed/NCBI View Article : Google Scholar

20 

Amin RM, Hiroshima K, Kokubo T, Nishikawa M, Narita M, Kuroki M and Nakatani Y: Risk factors and independent predictors of survival in patients with pulmonary epithelioid haemangioendothelioma. Review of the literature and a case report. Respirology. 11:818–825. 2006.PubMed/NCBI View Article : Google Scholar

21 

Liu H, Wang J, Lang J and Zhang X: Pulmonary epithelioid hemangioendothelioma: Imaging and clinical features. J Comput Assist Tomogr. 45:788–794. 2021.PubMed/NCBI View Article : Google Scholar

22 

Zhang S, Liang Y, Yang Y, Guo L, Li W and Shi S: Clinicopathological features, risk model and prognosis of 115 cases of epithelioid hemangioendothelioma: A single-center study. Front Oncol. 15(1577968)2025.PubMed/NCBI View Article : Google Scholar

23 

Tsuchihashi K and Baba E: Epithelioid hemangioendothelioma-its history, clinical features, molecular biology and current therapy. Jpn J Clin Oncol. 54:739–747. 2024.PubMed/NCBI View Article : Google Scholar

24 

Semenisty V, Naroditsky I, Keidar Z and Bar-Sela G: Pazopanib for metastatic pulmonary epithelioid hemangioendothelioma-a suitable treatment option: Case report and review of anti-angiogenic treatment options. BMC Cancer. 15(402)2015.PubMed/NCBI View Article : Google Scholar

25 

Park MS, Ravi V and Araujo DM: Inhibiting the VEGF-VEGFR pathway in angiosarcoma, epithelioid hemangioendothelioma, and hemangiopericytoma/solitary fibrous tumor. Curr Opin Oncol. 22:351–355. 2010.PubMed/NCBI View Article : Google Scholar

Related Articles

  • Abstract
  • View
  • Download
Copy and paste a formatted citation
Spandidos Publications style
Abdullah AM, Kakamad FH, Tahir SH, Ali RM, Hassan MN, Ali RH, Abdullah HO, Yasseen HA, Ahmed HK, Abdalla BA, Abdalla BA, et al: <p>Pulmonary epithelioid hemangioendothelioma: A case report and brief review of the literature</p>. World Acad Sci J 8: 14, 2026.
APA
Abdullah, A.M., Kakamad, F.H., Tahir, S.H., Ali, R.M., Hassan, M.N., Ali, R.H. ... Abdalla, S.S. (2026). <p>Pulmonary epithelioid hemangioendothelioma: A case report and brief review of the literature</p>. World Academy of Sciences Journal, 8, 14. https://doi.org/10.3892/wasj.2026.429
MLA
Abdullah, A. M., Kakamad, F. H., Tahir, S. H., Ali, R. M., Hassan, M. N., Ali, R. H., Abdullah, H. O., Yasseen, H. A., Ahmed, H. K., Abdalla, B. A., Abdalla, S. S."<p>Pulmonary epithelioid hemangioendothelioma: A case report and brief review of the literature</p>". World Academy of Sciences Journal 8.2 (2026): 14.
Chicago
Abdullah, A. M., Kakamad, F. H., Tahir, S. H., Ali, R. M., Hassan, M. N., Ali, R. H., Abdullah, H. O., Yasseen, H. A., Ahmed, H. K., Abdalla, B. A., Abdalla, S. S."<p>Pulmonary epithelioid hemangioendothelioma: A case report and brief review of the literature</p>". World Academy of Sciences Journal 8, no. 2 (2026): 14. https://doi.org/10.3892/wasj.2026.429
Copy and paste a formatted citation
x
Spandidos Publications style
Abdullah AM, Kakamad FH, Tahir SH, Ali RM, Hassan MN, Ali RH, Abdullah HO, Yasseen HA, Ahmed HK, Abdalla BA, Abdalla BA, et al: <p>Pulmonary epithelioid hemangioendothelioma: A case report and brief review of the literature</p>. World Acad Sci J 8: 14, 2026.
APA
Abdullah, A.M., Kakamad, F.H., Tahir, S.H., Ali, R.M., Hassan, M.N., Ali, R.H. ... Abdalla, S.S. (2026). <p>Pulmonary epithelioid hemangioendothelioma: A case report and brief review of the literature</p>. World Academy of Sciences Journal, 8, 14. https://doi.org/10.3892/wasj.2026.429
MLA
Abdullah, A. M., Kakamad, F. H., Tahir, S. H., Ali, R. M., Hassan, M. N., Ali, R. H., Abdullah, H. O., Yasseen, H. A., Ahmed, H. K., Abdalla, B. A., Abdalla, S. S."<p>Pulmonary epithelioid hemangioendothelioma: A case report and brief review of the literature</p>". World Academy of Sciences Journal 8.2 (2026): 14.
Chicago
Abdullah, A. M., Kakamad, F. H., Tahir, S. H., Ali, R. M., Hassan, M. N., Ali, R. H., Abdullah, H. O., Yasseen, H. A., Ahmed, H. K., Abdalla, B. A., Abdalla, S. S."<p>Pulmonary epithelioid hemangioendothelioma: A case report and brief review of the literature</p>". World Academy of Sciences Journal 8, no. 2 (2026): 14. https://doi.org/10.3892/wasj.2026.429
Follow us
  • Twitter
  • LinkedIn
  • Facebook
About
  • Spandidos Publications
  • Careers
  • Cookie Policy
  • Privacy Policy
How can we help?
  • Help
  • Live Chat
  • Contact
  • Email to our Support Team