Spandidos Publications Logo
  • About
    • About Spandidos
    • Aims and Scopes
    • Abstracting and Indexing
    • Editorial Policies
    • Reprints and Permissions
    • Job Opportunities
    • Terms and Conditions
    • Contact
  • Journals
    • All Journals
    • Oncology Letters
      • Oncology Letters
      • Information for Authors
      • Editorial Policies
      • Editorial Board
      • Aims and Scope
      • Abstracting and Indexing
      • Bibliographic Information
      • Archive
    • International Journal of Oncology
      • International Journal of Oncology
      • Information for Authors
      • Editorial Policies
      • Editorial Board
      • Aims and Scope
      • Abstracting and Indexing
      • Bibliographic Information
      • Archive
    • Molecular and Clinical Oncology
      • Molecular and Clinical Oncology
      • Information for Authors
      • Editorial Policies
      • Editorial Board
      • Aims and Scope
      • Abstracting and Indexing
      • Bibliographic Information
      • Archive
    • Experimental and Therapeutic Medicine
      • Experimental and Therapeutic Medicine
      • Information for Authors
      • Editorial Policies
      • Editorial Board
      • Aims and Scope
      • Abstracting and Indexing
      • Bibliographic Information
      • Archive
    • International Journal of Molecular Medicine
      • International Journal of Molecular Medicine
      • Information for Authors
      • Editorial Policies
      • Editorial Board
      • Aims and Scope
      • Abstracting and Indexing
      • Bibliographic Information
      • Archive
    • Biomedical Reports
      • Biomedical Reports
      • Information for Authors
      • Editorial Policies
      • Editorial Board
      • Aims and Scope
      • Abstracting and Indexing
      • Bibliographic Information
      • Archive
    • Oncology Reports
      • Oncology Reports
      • Information for Authors
      • Editorial Policies
      • Editorial Board
      • Aims and Scope
      • Abstracting and Indexing
      • Bibliographic Information
      • Archive
    • Molecular Medicine Reports
      • Molecular Medicine Reports
      • Information for Authors
      • Editorial Policies
      • Editorial Board
      • Aims and Scope
      • Abstracting and Indexing
      • Bibliographic Information
      • Archive
    • World Academy of Sciences Journal
      • World Academy of Sciences Journal
      • Information for Authors
      • Editorial Policies
      • Editorial Board
      • Aims and Scope
      • Abstracting and Indexing
      • Bibliographic Information
      • Archive
    • International Journal of Functional Nutrition
      • International Journal of Functional Nutrition
      • Information for Authors
      • Editorial Policies
      • Editorial Board
      • Aims and Scope
      • Abstracting and Indexing
      • Bibliographic Information
      • Archive
    • International Journal of Epigenetics
      • International Journal of Epigenetics
      • Information for Authors
      • Editorial Policies
      • Editorial Board
      • Aims and Scope
      • Abstracting and Indexing
      • Bibliographic Information
      • Archive
    • Medicine International
      • Medicine International
      • Information for Authors
      • Editorial Policies
      • Editorial Board
      • Aims and Scope
      • Abstracting and Indexing
      • Bibliographic Information
      • Archive
  • Articles
  • Information
    • Information for Authors
    • Information for Reviewers
    • Information for Librarians
    • Information for Advertisers
    • Conferences
  • Language Editing
Spandidos Publications Logo
  • About
    • About Spandidos
    • Aims and Scopes
    • Abstracting and Indexing
    • Editorial Policies
    • Reprints and Permissions
    • Job Opportunities
    • Terms and Conditions
    • Contact
  • Journals
    • All Journals
    • Biomedical Reports
      • Information for Authors
      • Editorial Policies
      • Editorial Board
      • Aims and Scope
      • Abstracting and Indexing
      • Bibliographic Information
      • Archive
    • Experimental and Therapeutic Medicine
      • Information for Authors
      • Editorial Policies
      • Editorial Board
      • Aims and Scope
      • Abstracting and Indexing
      • Bibliographic Information
      • Archive
    • International Journal of Epigenetics
      • Information for Authors
      • Editorial Policies
      • Editorial Board
      • Aims and Scope
      • Abstracting and Indexing
      • Bibliographic Information
      • Archive
    • International Journal of Functional Nutrition
      • Information for Authors
      • Editorial Policies
      • Editorial Board
      • Aims and Scope
      • Abstracting and Indexing
      • Bibliographic Information
      • Archive
    • International Journal of Molecular Medicine
      • Information for Authors
      • Editorial Policies
      • Editorial Board
      • Aims and Scope
      • Abstracting and Indexing
      • Bibliographic Information
      • Archive
    • International Journal of Oncology
      • Information for Authors
      • Editorial Policies
      • Editorial Board
      • Aims and Scope
      • Abstracting and Indexing
      • Bibliographic Information
      • Archive
    • Medicine International
      • Information for Authors
      • Editorial Policies
      • Editorial Board
      • Aims and Scope
      • Abstracting and Indexing
      • Bibliographic Information
      • Archive
    • Molecular and Clinical Oncology
      • Information for Authors
      • Editorial Policies
      • Editorial Board
      • Aims and Scope
      • Abstracting and Indexing
      • Bibliographic Information
      • Archive
    • Molecular Medicine Reports
      • Information for Authors
      • Editorial Policies
      • Editorial Board
      • Aims and Scope
      • Abstracting and Indexing
      • Bibliographic Information
      • Archive
    • Oncology Letters
      • Information for Authors
      • Editorial Policies
      • Editorial Board
      • Aims and Scope
      • Abstracting and Indexing
      • Bibliographic Information
      • Archive
    • Oncology Reports
      • Information for Authors
      • Editorial Policies
      • Editorial Board
      • Aims and Scope
      • Abstracting and Indexing
      • Bibliographic Information
      • Archive
    • World Academy of Sciences Journal
      • Information for Authors
      • Editorial Policies
      • Editorial Board
      • Aims and Scope
      • Abstracting and Indexing
      • Bibliographic Information
      • Archive
  • Articles
  • Information
    • For Authors
    • For Reviewers
    • For Librarians
    • For Advertisers
    • Conferences
  • Language Editing
Login Register Submit
  • This site uses cookies
  • You can change your cookie settings at any time by following the instructions in our Cookie Policy. To find out more, you may read our Privacy Policy.

    I agree
Search articles by DOI, keyword, author or affiliation
Search
Advanced Search
presentation
World Academy of Sciences Journal
Join Editorial Board Propose a Special Issue
Print ISSN: 2632-2900 Online ISSN: 2632-2919
Journal Cover
March-April 2026 Volume 8 Issue 2

Full Size Image

Sign up for eToc alerts
Recommend to Library

Journals

International Journal of Molecular Medicine

International Journal of Molecular Medicine

International Journal of Molecular Medicine is an international journal devoted to molecular mechanisms of human disease.

International Journal of Oncology

International Journal of Oncology

International Journal of Oncology is an international journal devoted to oncology research and cancer treatment.

Molecular Medicine Reports

Molecular Medicine Reports

Covers molecular medicine topics such as pharmacology, pathology, genetics, neuroscience, infectious diseases, molecular cardiology, and molecular surgery.

Oncology Reports

Oncology Reports

Oncology Reports is an international journal devoted to fundamental and applied research in Oncology.

Experimental and Therapeutic Medicine

Experimental and Therapeutic Medicine

Experimental and Therapeutic Medicine is an international journal devoted to laboratory and clinical medicine.

Oncology Letters

Oncology Letters

Oncology Letters is an international journal devoted to Experimental and Clinical Oncology.

Biomedical Reports

Biomedical Reports

Explores a wide range of biological and medical fields, including pharmacology, genetics, microbiology, neuroscience, and molecular cardiology.

Molecular and Clinical Oncology

Molecular and Clinical Oncology

International journal addressing all aspects of oncology research, from tumorigenesis and oncogenes to chemotherapy and metastasis.

World Academy of Sciences Journal

World Academy of Sciences Journal

Multidisciplinary open-access journal spanning biochemistry, genetics, neuroscience, environmental health, and synthetic biology.

International Journal of Functional Nutrition

International Journal of Functional Nutrition

Open-access journal combining biochemistry, pharmacology, immunology, and genetics to advance health through functional nutrition.

International Journal of Epigenetics

International Journal of Epigenetics

Publishes open-access research on using epigenetics to advance understanding and treatment of human disease.

Medicine International

Medicine International

An International Open Access Journal Devoted to General Medicine.

Journal Cover
March-April 2026 Volume 8 Issue 2

Full Size Image

Sign up for eToc alerts
Recommend to Library

  • Article
  • Citations
    • Cite This Article
    • Download Citation
    • Create Citation Alert
    • Remove Citation Alert
    • Cited By
  • Similar Articles
    • Related Articles (in Spandidos Publications)
    • Similar Articles (Google Scholar)
    • Similar Articles (PubMed)
  • Download PDF
  • Download XML
  • View XML
Case Report Open Access

Diagnostic challenges of cervical vagal schwannoma: A case report and brief review of the literature

  • Authors:
    • Zuhair D. Hammood
    • Omar M. Sultan
    • Waleed Nazal Hosi
    • Berun A. Abdalla
    • Harun Amanj Ahmed
    • Shvan H. Mohammed
    • Rawezh Q. Salih
  • View Affiliations / Copyright

    Affiliations: Department of Surgical Oncology, Tikrit Teaching Hospital, Tikrit, Saladin Governorate 34001, Iraq, Department of Radiology, College of Medicine, Tikrit University, Tikrit, Saladin Governorate 34001, Iraq, Department of Pathology, College of Medicine, Tikrit University, Tikrit, Saladin Governorate 34001, Iraq, Kscien Organization for Scientific Research (Middle East Office), Sulaymaniyah 46001, Iraq, Department of Scientific Affairs, Smart Health Tower, Sulaymaniyah 46001, Iraq
    Copyright: © Hammood et al. This is an open access article distributed under the terms of Creative Commons Attribution License [CC BY 4.0].
  • Article Number: 21
    |
    Published online on: February 5, 2026
       https://doi.org/10.3892/wasj.2026.436
  • Expand metrics +
Metrics: Total Views: 0 (Spandidos Publications: | PMC Statistics: )
Metrics: Total PDF Downloads: 0 (Spandidos Publications: | PMC Statistics: )
Cited By (CrossRef): 0 citations Loading Articles...

This article is mentioned in:


Abstract

Cervical vagal schwannoma (CVS) is a rare benign tumor that may mimic other neck masses, particularly paragangliomas. Due to overlapping imaging features and a deep anatomical location, they are often misdiagnosed preoperatively. The present case report describes an uncommon case of CVS successfully treated with vagus nerve‑preserving resection, demonstrating a full post‑operative recovery without complications. A 26‑year‑old woman presented with a painless left neck mass following a flu‑like illness. An examination revealed a firm, non‑tender, laterally mobile lesion without lymphadenopathy or neurological deficits. Ultrasonography and magnetic resonance imaging suggested a paraganglioma due to vascular displacement and carotid bifurcation splaying. She underwent surgical excision, during which the mass was identified as arising from the vagus nerve and was removed with the preservation of nerve integrity. Histopathological analysis confirmed schwannoma. Post‑operative recovery was uneventful, with no neurological complications or recurrence observed during follow‑up. In addition, a review of eight published cases of cervical vagal nerve schwannoma revealed that the age of the patients involved ranged from 13‑42 years and the tumors measured 4‑13 cm, predominantly arising from the right vagus nerve. Diagnosis was mainly established using an ultrasonography, computed tomography scan, fine needle aspiration cytology and magnetic resonance imaging. Surgical excision was the primary mode of treatment, with nerve preservation achieved in the majority of cases with overall favorable outcomes. Although transient complications, such as hoarseness and dysphonia were reported, recurrence was rare, supporting surgery as an effective management strategy. CVS is a rare diagnostic challenge that often mimics other carotid‑space lesions. Definitive diagnosis and nerve‑preserving excision can result in an uncomplicated recovery with full functional preservation.

Introduction

Schwannoma is a benign, encapsulated peripheral nerve sheath tumor arising from Schwann cells, most commonly presenting as a solitary, slow-growing lesion (1,2). Although these tumors may occur anywhere along cranial, peripheral, or autonomic nerves, extracranial schwannomas of the head and neck account for approximately one-quarter to almost half of all cases, with only a small proportion originating from the cervical vagus nerve (1,3). Vagal schwannomas typically affect adults in the third to fifth decades of life and are generally benign; although malignant transformation is rare, it has been documented (4).

Despite their benign nature, schwannomas in the cervical region pose a diagnostic challenge due to their rarity and their tendency to mimic several parapharyngeal or lateral neck masses (3). Their deep anatomic location limits early detection and renders pre-operative suspicion difficult, particularly as patients may remain asymptomatic for prolonged periods of time (1). This diagnostic ambiguity contributes to delayed identification and misclassification.

Failure to recognize cervical vagal schwannoma (CVS) can complicate clinical decision-making, may contribute to inappropriate differential diagnoses and hinder optimal treatment planning. Moreover, although typically indolent, these tumors may progressively become enlarged, causing functional impairment or displacement of adjacent neurovascular structures (4). Misinterpretation may also result in unnecessary or inappropriate interventions.

Various strategies exist for the evaluation and management of schwannomas; however, their application relies heavily on correct preoperative identification. The rarity of CVS limits clinician familiarity with its epidemiological behavior and typical presentation. Furthermore, available reports highlight that a number of cases continue to be diagnosed only after surgical excision (3).

The case presented herein is uncommon due to the young age of the patient, the imaging features that closely mimicked a paraganglioma leading to an initial misdiagnosis, and the successful nerve-preserving excision with an uncomplicated postoperative course.

Case report

Patient information. On October, 2025, a 26-year-old woman presented to Tikrit Teaching Hospital (Tikrit, Iraq) with a newly developed swelling on the left side of her lower neck. The mass was first noted following a recent flu-like illness. She had initially attended an Ear, Nose, and Throat (ENT) clinic for evaluation.

Clinical findings

Upon a physical examination, the neck mass was found to be non-tender, non-pulsatile, smooth and firm. It was mobile laterally, but not vertically. No associated lymphadenopathy or respiratory symptoms were present.

Diagnostic assessment

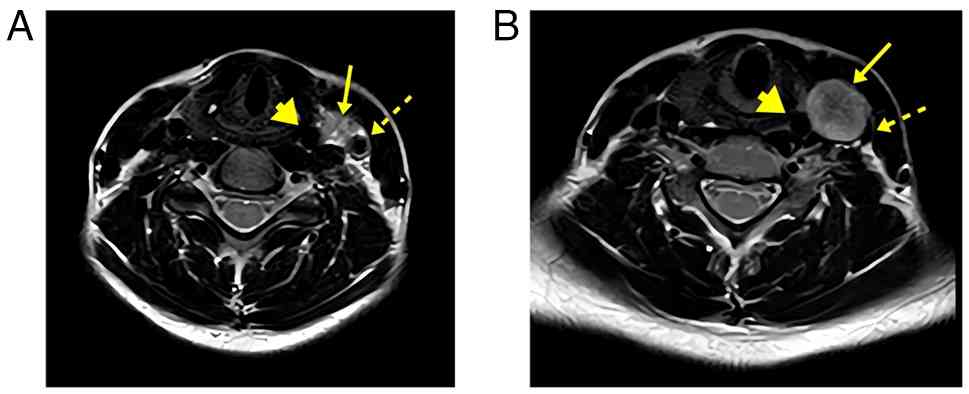
An ultrasonography revealed a well-defined heterogeneous mass (21-22x17-24 mm) located between the carotid artery and internal jugular vein, with internal vascularity and posterior venous displacement. Magnetic resonance imaging (MRI) demonstrated a rounded mass with intermediate-to-high T2 signal intensity anteromedial to the carotid bifurcation, causing characteristic vascular displacement and carotid bifurcation splaying (Fig. 1). These imaging features closely mimicked those of a paraganglioma and resulted in an initial radiological misdiagnosis, highlighting the diagnostic challenge associated with CVS. A laboratory evaluation revealed mild leukocytosis (white blood cells, 13.2x109/l), neutrophilia (74%), thrombocytosis (520x109/l) and elevated levels of inflammatory markers (erythrocyte sedimentation rate, 65 mm/h; C-reactive protein, 44 mg/l). Routine biochemical parameters, including liver and renal profiles, thyroid function (thyroid stimulating hormone, 2.1 µIU/ml) and metabolic markers, were all within normal limits (Table I). The case was reviewed in a Multidisciplinary Oncology Team (MDT) meeting, where surgical excision was recommended as the definitive management approach. A chronological summary of the clinical course of the patient, as well as the investigations performed and the progression of her condition is presented in Table II.

(A and B) Axial non-contrast MRI
images demonstrating a well-defined, rounded mass lesion with
intermediate to high T2 signal (arrow). The lesion is located
anterior to the left common carotid artery (dotted arrow), below
the level of its bifurcation, causing splaying of the common
carotid artery (dotted arrow) and the internal jugular vein
(arrowhead). It measures 20x17 mm in axial dimension.

Figure 1

(A and B) Axial non-contrast MRI images demonstrating a well-defined, rounded mass lesion with intermediate to high T2 signal (arrow). The lesion is located anterior to the left common carotid artery (dotted arrow), below the level of its bifurcation, causing splaying of the common carotid artery (dotted arrow) and the internal jugular vein (arrowhead). It measures 20x17 mm in axial dimension.

Table I

Summary of the findings of the laboratory tests performed for the patient.

Table I

Summary of the findings of the laboratory tests performed for the patient.

Test categoryResultNormal range
White blood cell count (WBC) 13.2x109/l 4.0-11.0x109/l
Neutrophils9.8x109/l (74%) 2.0-7.0x109/l (40-70%)
Platelets 520x109/l 150-450x109/l
ESR65 mm/h<20 mm/h
CRP44 mg/l<5 mg/l
AST28 U/l10-40 U/l
ALT32 U/l7-56 U/l
ALP110 U/l44-147 U/l
Blood urea28 mg/dl15-48 mg/dl
Serum creatinine0.9 mg/dl0.7-1.3 mg/dl
TSH2.1 µIU/ml0.8-6.0 µIU/ml
HbA1c5.3%4.0-5.6%
Anti-tTG IgA3 U/ml<4 U/ml
Anti-tTG IgG2 U/ml<6 U/ml

[i] ESR, erythrocyte sedimentation rate; CRP, C-reactive protein; AST, aspartate aminotransferase; ALT, alanine aminotransferase; ALP, alkaline phosphatase; TSH, thyroid-stimulating hormone; HbA1c, hemoglobin A1c; anti-tTG IgA, tissue transglutaminase immunoglobulin A; anti-tTG IgG, tissue transglutaminase immunoglobulin G.

Table II

Timeline of the clinical course of the patient.

Table II

Timeline of the clinical course of the patient.

Date/timepointEvent/clinical course
Week 0Patient noticed painless swelling on the left side of the neck after flu-like illness.
Week 1Initial visit to ENT clinic; physical exam revealed firm, mobile neck mass.
Week 2Neck ultrasound showed a well-defined, vascular solid mass.
Week 3MRI suggested paraganglioma due to carotid bifurcation splaying.
Week 4Case reviewed in Oncology MDT; surgical excision recommended.
Week 5Underwent surgery; mass identified as arising from vagus nerve.
Post-operative day 2Discharged without complications.
2 Weeks post-surgeryFollow-up: no neurological deficits or wound issues.
3 Months post-surgeryContinued stability; no evidence of recurrence.

[i] ENT clinic, Ear, Nose, and Throat clinic; MDT, multidisciplinary oncology team.

Therapeutic intervention

The patient underwent surgical resection under general anesthesia. A transverse cervical approach was used to access the mass. Careful dissection was performed to separate the lesion from the surrounding vascular structures and adjacent nerves. The tumor was well-encapsulated, allowing for safe mobilization. The complete excision of the mass was achieved without intraoperative complications (Fig. 2). The lesion was identified as arising from the vagus nerve and was excised with preservation of nerve integrity. Given the close association of cervical vagal schwannomas with vagal nerve fascicles, which often renders nerve-sparing excision technically challenging and is associated with a risk of postoperative vocal cord dysfunction, successful nerve preservation in patient in the present case report is noteworthy.

Intraoperative images demonstrating a
carotid sheath nerve sheath tumor adherent to the vagus nerve. (A)
Identification and exposure of the tumor with exploration of
adjacent vital structures, including the common carotid artery,
internal jugular vein, and vagus nerve. (B) Careful dissection of
the tumor from surrounding structures while preserving the proximal
and distal vagal nerve fibers. (C) Surgical field after complete
tumor excision, showing an intact vagus nerve, internal jugular
vein, and common carotid artery, with a small residual cavity at
the tumor bed. inter jug. vein, internal jugular vein; NST, nerve
sheath tumor; com.car.artery, common carotid artery; co. caro.
artery, common carotid artery; vagus n., vagus nerve.

Figure 2

Intraoperative images demonstrating a carotid sheath nerve sheath tumor adherent to the vagus nerve. (A) Identification and exposure of the tumor with exploration of adjacent vital structures, including the common carotid artery, internal jugular vein, and vagus nerve. (B) Careful dissection of the tumor from surrounding structures while preserving the proximal and distal vagal nerve fibers. (C) Surgical field after complete tumor excision, showing an intact vagus nerve, internal jugular vein, and common carotid artery, with a small residual cavity at the tumor bed. inter jug. vein, internal jugular vein; NST, nerve sheath tumor; com.car.artery, common carotid artery; co. caro. artery, common carotid artery; vagus n., vagus nerve.

A histopathological evaluation of the excised specimen revealed a well-encapsulated spindle-cell tumor composed of both Antoni A and Antoni B areas, with characteristic Verocay bodies, confirming the diagnosis of schwannoma. For histopathological examination, tissue sections were cut at a thickness of 4 µm from formalin-fixed, paraffin-embedded (FFPE) specimens. The tissues were fixed in 10% neutral buffered formalin for 24-48 h at room temperature (20-25˚C). Routine staining was performed using hematoxylin and eosin (H&E); the stains were obtained from Bio-Optica Co. and supplied locally by Al-Razi Medical & Laboratory Supplies Company, Baghdad, Iraq. Staining was carried out manually at room temperature, with sections immersed in hematoxylin for 5-7 min, followed by differentiation and bluing, and eosin counterstaining for 1-2 min. The sections were then dehydrated, cleared, and mounted according to standard protocols. A histological evaluation was performed using a light microscope, specifically an Olympus CX23 microscope (Olympus Corporation), supplied locally by Scientific Bureau/Olympus Iraq, Baghdad. Immunohistochemical analysis revealed diffuse S-100 positivity, further supporting the diagnosis of a benign peripheral nerve sheath tumor (Fig. 3). For immunohistochemical evaluation, 4-µm-thick sections were prepared from formalin-fixed, paraffin-embedded (FFPE) tissue blocks. Specimens had been fixed in 10% neutral buffered formalin for 24-48 h at room temperature (20-25˚C). Sections were deparaffinized in xylene and rehydrated through graded ethanol solutions (100 to 70%) to distilled water. Heat-induced epitope retrieval was performed using citrate buffer (pH 6.0) or Tris-EDTA buffer (pH 9.0) at 95-98˚C for 20-30 min, followed by cooling at room temperature. No additional permeabilization step was applied, as routine FFPE processing and antigen retrieval provided adequate antigen exposure.

(A) Encapsulated tumors (black arrow)
illustrates a biphasic tumor with compact hypercellular Antoni A
(red arrows) areas and hypocellular Antoni B areas. (B) Nuclear
palisading around fibrillary process (black arrows) (Verocay
bodies) is often observed in cellular areas; there is an area of
cystic degeneration, hemorrhage (ancient changes) (red arrows). (C)
Verocay bodies comprise of palisading rows of elongated nuclei (red
arrow) with clear zones in between (black arrow). (D) Section
depicting immunohistochemical staining (S100); spindle cells
exhibit strong and diffuse staining for S100. (A-C) Hematoxylin and
eosin staining. (A and B) Magnification, x40; (C) magnification,
x100; (D) Immunohistochemistry; magnification, x40.

Figure 3

(A) Encapsulated tumors (black arrow) illustrates a biphasic tumor with compact hypercellular Antoni A (red arrows) areas and hypocellular Antoni B areas. (B) Nuclear palisading around fibrillary process (black arrows) (Verocay bodies) is often observed in cellular areas; there is an area of cystic degeneration, hemorrhage (ancient changes) (red arrows). (C) Verocay bodies comprise of palisading rows of elongated nuclei (red arrow) with clear zones in between (black arrow). (D) Section depicting immunohistochemical staining (S100); spindle cells exhibit strong and diffuse staining for S100. (A-C) Hematoxylin and eosin staining. (A and B) Magnification, x40; (C) magnification, x100; (D) Immunohistochemistry; magnification, x40.

Endogenous peroxidase activity was blocked using 3% hydrogen peroxide for 10 min at room temperature. Non-specific protein binding was blocked with 5-10% normal goat serum for 20 min at room temperature (Dako; Agilent Technologies, Inc.). Primary antibodies were applied at manufacturer-recommended dilutions and incubated for 30-60 min at room temperature, including polyclonal rabbit anti-human S-100 (1:200; cat. no. Z0311; Dako; Agilent Technologies, Inc.), mouse monoclonal anti-SOX10 (clone BC34, 1:100; cat. no. CM385; Biocare Medical), mouse monoclonal anti-EMA (clone E29, 1:100; cat. no. M0613; Dako; Agilent Technologies, Inc.), mouse monoclonal anti-CD34 (clone QBEnd/10, 1:100; cat. no. M7165; Dako; Agilent Technologies, Inc.), and mouse monoclonal anti-Ki-67 (clone MIB-1, 1:100; cat. no. M7240; Dako; Agilent Technologies, Inc.).

Immunodetection was performed using a polymer-based horseradish peroxidase (HRP) detection system (EnVision™ FLEX Detection System, HRP; cat. no. K8002; Dako; Agilent Technologies, Inc.) with an incubation time of 20 min at room temperature. Sections were counterstained with Mayer's hematoxylin for 1 min at room temperature, followed by bluing in tap water, dehydration, clearing, and mounting.

Immunohistochemical slides were examined using a light microscope, and photomicrographs were obtained with an Olympus CX23 light microscope (Olympus Corporation).

Follow-up and outcomes

The post-operative course was smooth and uneventful. The patient did not experience any neurological deficits, vascular injury, or wound-related complications. Follow-up was conducted over a total period of 3 months, comprising two follow-up visits: the first at 1 month post-operatively and the second at 2 months thereafter (following manuscript submission). During these visits, the patient remained clinically stable, demonstrated satisfactory wound healing, and showed no evidence of tumor recurrence.

Discussion

CVS is a rare benign peripheral nerve sheath tumor derived from Schwann cells and represents one of the least common neurogenic masses in the neck (3,5). Although head and neck schwannomas account for ~25-45% of all extracranial schwannoma cases, only a small proportion originate from the vagus nerve, rendering diagnosis particularly challenging. The clinical significance of these cases lies in their variable presentations, frequent potential for misdiagnosis and the implications for preserving nerve function during surgical intervention. These tumors most commonly occur in adults between the third and fifth decades of life, with no clear sex predilection (6,7).

In order to better contextualize the present case, the authors reviewed previously reported cases of CVS focusing on clinical presentation, imaging features, management strategies and outcomes. A total of eight reported cases of cervical vagal nerve schwannoma were identified as representative samples in the literature, with the ages of the patients ranging from 13 to 42 years. Tumor sizes varied considerably, from 4 to 13 cm, and the majority of lesions arose from the right cervical vagus nerve, with only one case involving the left side. The diagnostic evaluation most commonly included an ultrasonography, computed tomography scan, fine needle aspiration cytology and MRI, whereas some reports additionally used digital subtraction angiography (DSA) or intraoperative transcranial motor-evoked potential (TcMEP) monitoring. Surgical management in all cases involved tumor excision, performed as intracapsular or subcapsular enucleation, or as total resection, with nerve preservation achieved in the majority of procedures. Post-operative outcomes were generally favorable; several patients demonstrated complete recovery or clinical improvement, no recurrence and was reported during follow-up of up to 5 years, although some cases experienced complications, such as hoarseness, dysphonia, laryngeal paralysis or persistent facial pain. Overall, surgical excision remains the primary therapeutic modality, with the majority of patients maintaining satisfactory postoperative function and recovery (1,4,8-13) (Table III).

Table III

Summary of cases of cervical vagal nerve schwannoma reported in the literature.

Table III

Summary of cases of cervical vagal nerve schwannoma reported in the literature.

AuthorsYear of publicationNMean age (years)Tumor size (cm)SexLocationDiagnostic methodSurgical techniques Outcome/follow-up(Refs.)
Gaikwad et al20131136MaleRight cervical VNUltrasound, FNAC, MRITotal excision (nerve sacrificed)Complete recovery; 10 days(8)
Martins et al20251384.5FemaleRight cervical VNMRIIntracapsular excision (transcervical)Paresis, resolved completely, and 12 months after surgery, the patient was asymptomatic(4)
Baker et al20181364FemaleRight cervical VNCT and MRISurgical excision (nerve resected)2-year: Permanent Horner's and facial pain(9)
Majeed and Ahmed200812413FemaleLeft cervical VNX-ray, Ultrasound, FNAC, CTSub-capsular excision (preserved)No hoarseness; successful preservation(10)
de Souza et al2020234-357.7, 4Male & FemaleRight cervical VN (both)FNAC, MRI, CTIntracapsular enucleation (both)5-year: No recurrence; dysphonia resolved 6 months(11)
Singh and Pinjala20071146MaleRight cervical VNUltrasound, FNAC, CT, DSAComplete excision (nerve sacrificed)10 days: Hoarseness, weakness, dysphagia(12)
Tanaka et al20221425MaleRight cervical VNMRI, TcMEP monitoringIntracapsular enucleation + monitoring1-year: Laryngeal paralysis and hoarseness(13)
Aregawi202313013MaleHead and neckFNAC, CT, MRIComplete excisionNA(1)

[i] VN, vagal nerve; FNAC, fine needle aspiration cytology; MRI, magnetic resonance imaging; CT, computed tomography; DSA, digital subtraction angiography; TcMEP, transcranial motor-evoked potential; NA, not applicable.

Typically, slow-growing and asymptomatic, vagal schwannomas may be mistaken for other parapharyngeal or carotid space lesions, such as paragangliomas, lymphadenopathy, neurofibromas, or salivary gland tumors due to overlapping clinical and radiological features (6,14,15). An MRI plays a central role in the evaluation process; however, differentiating schwannomas from paragangliomas remains difficult due to shared radiographic characteristics, including carotid bifurcation splaying and heterogeneous T2 signal intensity. Therefore, a definitive diagnosis often relies on a histopathological confirmation (16). In the case described herein, a 26-year-old patient presented with a newly developed left cervical mass following a flu-like illness. Although the temporal association suggested a possible inflammatory process, the clinical behavior and radiological appearance of the lesion indicated a neoplastic process. The mass was non-tender, mobile laterally and located between major vascular structures, which are features consistent with vagal schwannoma (3).

An ultrasonography and MRI demonstrated carotid bifurcation splaying and internal vascularity, initially leading to a radiological impression of paraganglioma. This finding is consistent with the observations reported in the study by Tzortzis et al (16), who noted that vagal schwannomas can mimic carotid body tumors or sympathetic chain schwannomas due to similar vascular displacement patterns. As with several other cases, the schwannoma in the patient described in the present case report remained radiologically indistinguishable from a paraganglioma until definitive histopathological confirmation was obtained.

Although the majority of reported cases describe progressive symptoms, such as hoarseness, dysphagia, or paroxysmal cough triggered by palpation a sign often considered pathognomonic, the patient in the present case report was entirely asymptomatic, apart from localized swelling. This clinical course is consistent with previously reported cases of asymptomatic or incidentally discovered cervical vagal schwannomas, in which patients present with minimal or no neurological symptoms despite the tumor's close proximity to vital neurovascular structures (3,7,14,16).

Surgical excision remains the definitive treatment for CVS, as is consistently supported in the literature (3,16). While earlier studies have suggested that nerve preservation is challenging due to fascicular involvement (17), recent evidence suggests that extracapsular dissection or enucleation are effective methods for the preservation of nerve integrity and minimizing post-operative morbidity (16). In the case presented herein, complete tumor excision was achieved with preservation of the vagus nerve and without post-operative complications, consistent with the favorable outcomes reported in more recent surgical series (16,18).

However, as demonstrated by Tanaka et al (13), vagal dysfunction may still occur post-operatively due to traction or ischemia during surgery, even when anatomical preservation appears to be achieved. The absence of neurological impairment in the patient in the present case report highlights the importance of meticulous microsurgical technique, particularly in smaller tumors where the risk may be lower. The present case report further underscores the ongoing diagnostic ambiguity associated with vagal schwannomas. The initial misclassification as a paraganglioma illustrates the limitations of radiological assessment and emphasizes the importance of histopathological confirmation. Moreover, the lack of pre-operative neurological symptoms and the uncomplicated postoperative course suggest that early detection and smaller tumor size may contribute to more favorable outcomes.

Complete recovery without vocal cord dysfunction or wound-related complications is in contrast to the findings of other published cases reporting post-operative hoarseness or vocal fold palsy (3,18). This difference may reflect variations in tumor size, the extent of nerve involvement and surgical expertise.

The present case report has several key limitations that should be mentioned. First, germline genetic testing for schwannomatosis-associated genes (NF2, SMARCB1 and LZTR1) was not performed. Given the young age of the patient, such testing would have been valuable to exclude an underlying hereditary tumor predisposition syndrome and to inform long-term surveillance strategies. However, comprehensive germline genetic testing is not locally available in Iraq and requires referral to international laboratories, which limits accessibility in the authors' setting.

Second, tumor molecular analysis for 22q11 deletion and somatic NF2 mutations was not conducted. These alterations are frequently reported in sporadic schwannomas and may provide insight into tumor pathogenesis and recurrence risk. Nevertheless, the authors' institution (Tikrit Teaching Hospital, Tikrit, Iraq) lacks the necessary molecular pathology infrastructure, including fluorescence in situ hybridization, chromosomal microarray analysis, and next-generation sequencing, and international referral poses additional logistical challenges. Ultrasound images were unavailable for inclusion in this report because image archiving is not fully integrated between the hospital information system and the ultrasound unit at the authors' institution.

Third, comprehensive brain and spine MRI screening for additional schwannomas was not performed. This decision was based on the isolated nature of the lesion, the absence of syndromic features, a negative family history, and a normal neurological examination. While such screening is recommended in patients with confirmed hereditary syndromes, it is not routinely indicated for solitary sporadic schwannomas. The patient remains under clinical surveillance with ongoing neurological follow-up.

In conclusion, CVS is a rare diagnostic challenge that often mimics other carotid-space lesions. Definitive diagnosis and nerve-preserving excision can result in an uncomplicated recovery with full functional preservation.

Acknowledgements

Not applicable.

Funding

Funding: No funding was received.

Availability of data and materials

The data generated in the present study may be requested from the corresponding author.

Authors' contributions

SHM and RQS were major contributors to the conception of the study, as well as to the literature search for related studies. ZDH, BAA and HAA contributed to the clinical management of the patient, assisted with data acquisition and interpretation, and participated in the literature review and manuscript preparation. OMS was the radiologist who assessed the case. WNH was the pathologist who performed the diagnosis of the case. BAA and ZDH confirm the authenticity of all the raw data. All authors have read and approved the final manuscript.

Ethics approval and consent to participate

Written informed consent was obtained from the patient for her participation in the present study.

Patient consent for publication

Written informed consent was obtained from the patient for the publication of the present and any accompanying images.

Competing interests

The authors declare that they have no competing interests.

References

1 

Aregawi AB: A rare case of cervical vagal nerve schwannoma in a 30-year-old Ethiopian man. Int Med Case Rep J. 16:141–151. 2023.PubMed/NCBI View Article : Google Scholar

2 

Hammood ZD, Baba HO, Saeed YA, Salih AM, Noori SS, Abdullah HO, Tahir SH and Kakamad FH: Cellular schwannoma of the posterior tongue: A rare case report with a literature review. IJS Short Rep. 7(e54)2022.

3 

Thatal S, Karki S, Parajuli A, Agrawal Y and Paudel D: Cervical vagal schwannoma: A case report and literature review. Clin Case Rep. 13(e70320)2025.PubMed/NCBI View Article : Google Scholar

4 

Martins RS, Oliveira AJ, Lucas E and Siqueira MG: Unusual surgical resection of asymptomatic schwannoma of the cervical vagus nerve with risk of stroke: Case report. Case Rep Surg. 2025(9443139)2025.PubMed/NCBI View Article : Google Scholar

5 

Moond V, Diwaker P, Golamari R and Jain R: Intramuscular ancient schwannoma of the axillary nerve. BMJ Case Rep. 14(e239445)2021.PubMed/NCBI View Article : Google Scholar

6 

Behuria S, Rout TK and Pattanayak S: Diagnosis and management of schwannomas originating from the cervical vagus nerve. Ann R Coll Surg Engl. 97:92–97. 2015.PubMed/NCBI View Article : Google Scholar

7 

Malone JP, Lee WJ and Levin RJ: Clinical characteristics and treatment outcome for nonvestibular schwannomas of the head and neck. Am J Otolaryngol. 26:108–112. 2005.PubMed/NCBI View Article : Google Scholar

8 

Gaikwad N, Sathe NU, Wadkar G and Chiplunkar D: Schwannoma of the cervical vagus nerve in a child: A case report. Indian J Otolaryngol Head Neck Surg. 65 (Suppl 1):S188–S191. 2013.PubMed/NCBI View Article : Google Scholar

9 

Baker AT, Homewood TJ and Baker TR: Cervical sympathetic chain schwannoma masquerading as a vagus nerve schwannoma complicated by postoperative Horner's syndrome and facial pain: A case report. Int J Surg Case Rep. 49:4–7. 2018.PubMed/NCBI View Article : Google Scholar

10 

Majeed FA and Ahmed M: Schwannoma of the cervical vagus nerve. Pakistan Armed Forces Med J. 58:107–111. 2008.

11 

De Souza FHM, Bernardino SN, Martins RS, de Araújo MBL, Malheiros RA, de Souza INB and de Souza RNB: Cervical schwannoma of the vagus nerve: Two illustrative cases. Am J Otolaryngol Head Neck Surg. 3(1114)2020.

12 

Singh D and Pinjala RK: Schwannoma of the cervical vagus nerve. Pediatr Neurosurg. 43:403–405. 2007.

13 

Tanaka A, Uemura H, Takatani T, Kawaguchi M, Hayashi H and Kitahara T: Intraoperative transcranial motor-evoked potential monitoring during head and neck surgeries: A case of cervical vagus nerve schwannoma with laryngeal paralysis. Cureus. 14(e30526)2022.PubMed/NCBI View Article : Google Scholar

14 

Gilmer-Hill HS and Kline DG: Neurogenic tumors of the cervical vagus nerve: Report of four cases and review of the literature. Neurosurgery. 46:1498–1503. 2000.PubMed/NCBI View Article : Google Scholar

15 

Cavallaro G, Pattaro G, Iorio O, Avallone M and Silecchia G: A literature review on surgery for cervical vagal schwannomas. World J Surg Oncol. 13(130)2015.PubMed/NCBI View Article : Google Scholar

16 

Tzortzis AS, Dogantzis P, Koliakos N, Tsintzos S and Tzortzis G: A rare case of cervical vagus nerve schwannoma in an adult patient. Cureus. 14(e25211)2022.PubMed/NCBI View Article : Google Scholar

17 

Colreavy MP, Lacy PD, Hughes J, Bouchier-Hayes D, Brennan P, O'Dwyer AJ, Donnelly MJ, Gaffney R, Maguire A, O'Dwyer TP, et al: Head and neck schwannomas-a 10 year review. J Laryngol Otol. 114:119–124. 2000.PubMed/NCBI View Article : Google Scholar

18 

Sandler ML, Sims JR, Sinclair C, Sharif KF, Ho R, Yue LE, Téllez MJ, Ulkatan S, Khorsandi AS, Brandwein-Weber M and Urken ML: Vagal schwannomas of the head and neck: A comprehensive review and a novel approach to preserving vocal cord innervation and function. Head Neck. 41:2450–2466. 2019.PubMed/NCBI View Article : Google Scholar

Related Articles

  • Abstract
  • View
  • Download
Copy and paste a formatted citation
Spandidos Publications style
Hammood ZD, Sultan OM, Hosi WN, Abdalla BA, Ahmed HA, Mohammed SH and Salih RQ: Diagnostic challenges of cervical vagal schwannoma: A case report and brief review of the literature. World Acad Sci J 8: 21, 2026.
APA
Hammood, Z.D., Sultan, O.M., Hosi, W.N., Abdalla, B.A., Ahmed, H.A., Mohammed, S.H., & Salih, R.Q. (2026). Diagnostic challenges of cervical vagal schwannoma: A case report and brief review of the literature. World Academy of Sciences Journal, 8, 21. https://doi.org/10.3892/wasj.2026.436
MLA
Hammood, Z. D., Sultan, O. M., Hosi, W. N., Abdalla, B. A., Ahmed, H. A., Mohammed, S. H., Salih, R. Q."Diagnostic challenges of cervical vagal schwannoma: A case report and brief review of the literature". World Academy of Sciences Journal 8.2 (2026): 21.
Chicago
Hammood, Z. D., Sultan, O. M., Hosi, W. N., Abdalla, B. A., Ahmed, H. A., Mohammed, S. H., Salih, R. Q."Diagnostic challenges of cervical vagal schwannoma: A case report and brief review of the literature". World Academy of Sciences Journal 8, no. 2 (2026): 21. https://doi.org/10.3892/wasj.2026.436
Copy and paste a formatted citation
x
Spandidos Publications style
Hammood ZD, Sultan OM, Hosi WN, Abdalla BA, Ahmed HA, Mohammed SH and Salih RQ: Diagnostic challenges of cervical vagal schwannoma: A case report and brief review of the literature. World Acad Sci J 8: 21, 2026.
APA
Hammood, Z.D., Sultan, O.M., Hosi, W.N., Abdalla, B.A., Ahmed, H.A., Mohammed, S.H., & Salih, R.Q. (2026). Diagnostic challenges of cervical vagal schwannoma: A case report and brief review of the literature. World Academy of Sciences Journal, 8, 21. https://doi.org/10.3892/wasj.2026.436
MLA
Hammood, Z. D., Sultan, O. M., Hosi, W. N., Abdalla, B. A., Ahmed, H. A., Mohammed, S. H., Salih, R. Q."Diagnostic challenges of cervical vagal schwannoma: A case report and brief review of the literature". World Academy of Sciences Journal 8.2 (2026): 21.
Chicago
Hammood, Z. D., Sultan, O. M., Hosi, W. N., Abdalla, B. A., Ahmed, H. A., Mohammed, S. H., Salih, R. Q."Diagnostic challenges of cervical vagal schwannoma: A case report and brief review of the literature". World Academy of Sciences Journal 8, no. 2 (2026): 21. https://doi.org/10.3892/wasj.2026.436
Follow us
  • Twitter
  • LinkedIn
  • Facebook
About
  • Spandidos Publications
  • Careers
  • Cookie Policy
  • Privacy Policy
How can we help?
  • Help
  • Live Chat
  • Contact
  • Email to our Support Team