Spandidos Publications Logo
  • About
    • About Spandidos
    • Aims and Scopes
    • Abstracting and Indexing
    • Editorial Policies
    • Reprints and Permissions
    • Job Opportunities
    • Terms and Conditions
    • Contact
  • Journals
    • All Journals
    • Oncology Letters
      • Oncology Letters
      • Information for Authors
      • Editorial Policies
      • Editorial Board
      • Aims and Scope
      • Abstracting and Indexing
      • Bibliographic Information
      • Archive
    • International Journal of Oncology
      • International Journal of Oncology
      • Information for Authors
      • Editorial Policies
      • Editorial Board
      • Aims and Scope
      • Abstracting and Indexing
      • Bibliographic Information
      • Archive
    • Molecular and Clinical Oncology
      • Molecular and Clinical Oncology
      • Information for Authors
      • Editorial Policies
      • Editorial Board
      • Aims and Scope
      • Abstracting and Indexing
      • Bibliographic Information
      • Archive
    • Experimental and Therapeutic Medicine
      • Experimental and Therapeutic Medicine
      • Information for Authors
      • Editorial Policies
      • Editorial Board
      • Aims and Scope
      • Abstracting and Indexing
      • Bibliographic Information
      • Archive
    • International Journal of Molecular Medicine
      • International Journal of Molecular Medicine
      • Information for Authors
      • Editorial Policies
      • Editorial Board
      • Aims and Scope
      • Abstracting and Indexing
      • Bibliographic Information
      • Archive
    • Biomedical Reports
      • Biomedical Reports
      • Information for Authors
      • Editorial Policies
      • Editorial Board
      • Aims and Scope
      • Abstracting and Indexing
      • Bibliographic Information
      • Archive
    • Oncology Reports
      • Oncology Reports
      • Information for Authors
      • Editorial Policies
      • Editorial Board
      • Aims and Scope
      • Abstracting and Indexing
      • Bibliographic Information
      • Archive
    • Molecular Medicine Reports
      • Molecular Medicine Reports
      • Information for Authors
      • Editorial Policies
      • Editorial Board
      • Aims and Scope
      • Abstracting and Indexing
      • Bibliographic Information
      • Archive
    • World Academy of Sciences Journal
      • World Academy of Sciences Journal
      • Information for Authors
      • Editorial Policies
      • Editorial Board
      • Aims and Scope
      • Abstracting and Indexing
      • Bibliographic Information
      • Archive
    • International Journal of Functional Nutrition
      • International Journal of Functional Nutrition
      • Information for Authors
      • Editorial Policies
      • Editorial Board
      • Aims and Scope
      • Abstracting and Indexing
      • Bibliographic Information
      • Archive
    • International Journal of Epigenetics
      • International Journal of Epigenetics
      • Information for Authors
      • Editorial Policies
      • Editorial Board
      • Aims and Scope
      • Abstracting and Indexing
      • Bibliographic Information
      • Archive
    • Medicine International
      • Medicine International
      • Information for Authors
      • Editorial Policies
      • Editorial Board
      • Aims and Scope
      • Abstracting and Indexing
      • Bibliographic Information
      • Archive
  • Articles
  • Information
    • Information for Authors
    • Information for Reviewers
    • Information for Librarians
    • Information for Advertisers
    • Conferences
  • Language Editing
Spandidos Publications Logo
  • About
    • About Spandidos
    • Aims and Scopes
    • Abstracting and Indexing
    • Editorial Policies
    • Reprints and Permissions
    • Job Opportunities
    • Terms and Conditions
    • Contact
  • Journals
    • All Journals
    • Biomedical Reports
      • Information for Authors
      • Editorial Policies
      • Editorial Board
      • Aims and Scope
      • Abstracting and Indexing
      • Bibliographic Information
      • Archive
    • Experimental and Therapeutic Medicine
      • Information for Authors
      • Editorial Policies
      • Editorial Board
      • Aims and Scope
      • Abstracting and Indexing
      • Bibliographic Information
      • Archive
    • International Journal of Epigenetics
      • Information for Authors
      • Editorial Policies
      • Editorial Board
      • Aims and Scope
      • Abstracting and Indexing
      • Bibliographic Information
      • Archive
    • International Journal of Functional Nutrition
      • Information for Authors
      • Editorial Policies
      • Editorial Board
      • Aims and Scope
      • Abstracting and Indexing
      • Bibliographic Information
      • Archive
    • International Journal of Molecular Medicine
      • Information for Authors
      • Editorial Policies
      • Editorial Board
      • Aims and Scope
      • Abstracting and Indexing
      • Bibliographic Information
      • Archive
    • International Journal of Oncology
      • Information for Authors
      • Editorial Policies
      • Editorial Board
      • Aims and Scope
      • Abstracting and Indexing
      • Bibliographic Information
      • Archive
    • Medicine International
      • Information for Authors
      • Editorial Policies
      • Editorial Board
      • Aims and Scope
      • Abstracting and Indexing
      • Bibliographic Information
      • Archive
    • Molecular and Clinical Oncology
      • Information for Authors
      • Editorial Policies
      • Editorial Board
      • Aims and Scope
      • Abstracting and Indexing
      • Bibliographic Information
      • Archive
    • Molecular Medicine Reports
      • Information for Authors
      • Editorial Policies
      • Editorial Board
      • Aims and Scope
      • Abstracting and Indexing
      • Bibliographic Information
      • Archive
    • Oncology Letters
      • Information for Authors
      • Editorial Policies
      • Editorial Board
      • Aims and Scope
      • Abstracting and Indexing
      • Bibliographic Information
      • Archive
    • Oncology Reports
      • Information for Authors
      • Editorial Policies
      • Editorial Board
      • Aims and Scope
      • Abstracting and Indexing
      • Bibliographic Information
      • Archive
    • World Academy of Sciences Journal
      • Information for Authors
      • Editorial Policies
      • Editorial Board
      • Aims and Scope
      • Abstracting and Indexing
      • Bibliographic Information
      • Archive
  • Articles
  • Information
    • For Authors
    • For Reviewers
    • For Librarians
    • For Advertisers
    • Conferences
  • Language Editing
Login Register Submit
  • This site uses cookies
  • You can change your cookie settings at any time by following the instructions in our Cookie Policy. To find out more, you may read our Privacy Policy.

    I agree
Search articles by DOI, keyword, author or affiliation
Search
Advanced Search
presentation
World Academy of Sciences Journal
Join Editorial Board Propose a Special Issue
Print ISSN: 2632-2900 Online ISSN: 2632-2919
Journal Cover
March-April 2026 Volume 8 Issue 2

Full Size Image

Sign up for eToc alerts
Recommend to Library

Journals

International Journal of Molecular Medicine

International Journal of Molecular Medicine

International Journal of Molecular Medicine is an international journal devoted to molecular mechanisms of human disease.

International Journal of Oncology

International Journal of Oncology

International Journal of Oncology is an international journal devoted to oncology research and cancer treatment.

Molecular Medicine Reports

Molecular Medicine Reports

Covers molecular medicine topics such as pharmacology, pathology, genetics, neuroscience, infectious diseases, molecular cardiology, and molecular surgery.

Oncology Reports

Oncology Reports

Oncology Reports is an international journal devoted to fundamental and applied research in Oncology.

Experimental and Therapeutic Medicine

Experimental and Therapeutic Medicine

Experimental and Therapeutic Medicine is an international journal devoted to laboratory and clinical medicine.

Oncology Letters

Oncology Letters

Oncology Letters is an international journal devoted to Experimental and Clinical Oncology.

Biomedical Reports

Biomedical Reports

Explores a wide range of biological and medical fields, including pharmacology, genetics, microbiology, neuroscience, and molecular cardiology.

Molecular and Clinical Oncology

Molecular and Clinical Oncology

International journal addressing all aspects of oncology research, from tumorigenesis and oncogenes to chemotherapy and metastasis.

World Academy of Sciences Journal

World Academy of Sciences Journal

Multidisciplinary open-access journal spanning biochemistry, genetics, neuroscience, environmental health, and synthetic biology.

International Journal of Functional Nutrition

International Journal of Functional Nutrition

Open-access journal combining biochemistry, pharmacology, immunology, and genetics to advance health through functional nutrition.

International Journal of Epigenetics

International Journal of Epigenetics

Publishes open-access research on using epigenetics to advance understanding and treatment of human disease.

Medicine International

Medicine International

An International Open Access Journal Devoted to General Medicine.

Journal Cover
March-April 2026 Volume 8 Issue 2

Full Size Image

Sign up for eToc alerts
Recommend to Library

  • Article
  • Citations
    • Cite This Article
    • Download Citation
    • Create Citation Alert
    • Remove Citation Alert
    • Cited By
  • Similar Articles
    • Related Articles (in Spandidos Publications)
    • Similar Articles (Google Scholar)
    • Similar Articles (PubMed)
  • Download PDF
  • Download XML
  • View XML
Case Report Open Access

Aberrant metastasis of invasive pleomorphic lobular carcinoma: A case report and brief review of the literature

  • Authors:
    • Hadeel Adnan Yasseen
    • Ari M. Abdullah
    • Rebaz M. Ali
    • Lana R.A. Pshtiwan
    • Karzan M. Salih
    • Abdulwahid M. Salih
    • Sakar O. Arif
    • Shko H. Hassan
    • Harzal H. Fatih
    • Masty K. Ahmed
    • Abdullah A. Qadir
    • Fahmi H. Kakamad
  • View Affiliations / Copyright

    Affiliations: College of Medicine, Department of Clinical Sciences, University of Sulaimani, Sulaymaniyah 46001, Iraq, Department of Pathology, Smart Health Tower, Sulaymaniyah 46001, Iraq, Department of Oncology, Hiwa Cancer Hospital, Sulaymaniyah 46001, Iraq, Department of Radiology, Smart Health Tower, Sulaymaniyah 46001, Iraq, Department of Head and Neck Surgery, Smart Health Tower, Sulaymaniyah 46001, Iraq, Department of Breast Surgery, Smart Health Tower, Sulaymaniyah 46001, Iraq
    Copyright: © Yasseen et al. This is an open access article distributed under the terms of Creative Commons Attribution License [CC BY 4.0].
  • Article Number: 31
    |
    Published online on: February 24, 2026
       https://doi.org/10.3892/wasj.2026.446
  • Expand metrics +
Metrics: Total Views: 0 (Spandidos Publications: | PMC Statistics: )
Metrics: Total PDF Downloads: 0 (Spandidos Publications: | PMC Statistics: )
Cited By (CrossRef): 0 citations Loading Articles...

This article is mentioned in:


Abstract

Pleomorphic lobular carcinoma (PLC) is a rare type of invasive lobular carcinoma. It is more aggressive and is associated with a poorer prognosis, and distinct cytologic characteristics. The present study reports a rare case of invasive PLC metastasis to the peritoneum and ovaries, and also performs a brief review of the literature. A 51‑year‑old woman with a family history of breast cancer presented with multiple right breast masses and right axillary lymphadenopathy. Imaging and biopsy confirmed invasive PLC, which was estrogen receptor (ER)/progesterone receptor (PR)‑positive and human epidermal growth factor receptor 2 (HER2)‑negative, with metastatic involvement of the axillary lymph nodes. Laparoscopy and immunohistochemistry revealed bilateral ovarian and peritoneal metastases. The patient was diagnosed with metastatic PLC of breast origin. A multidisciplinary team initiated systemic therapy with palbociclib, letrozole and Zoladex. She is currently on her fifth treatment cycle, with stable disease and no reported complications. Ongoing follow‑up continues to monitor her progress. From the literature, a total of 6 cases of breast cancer metastasis to the ovaries and 1 case involving the peritoneum were reviewed. Computed tomography was the most commonly used imaging modality, with diagnostic confirmation achieved through histopathological examination. Surgeries were performed, 1 patient succumbed, and 1 patient was lost to follow‑up. Immunohistochemistry is critical for differentiating primary and metastatic ovarian tumors. These markers include GATA3, ER, PR, HER2, Ki‑67, GCDFP‑15, CK7 and the lack of E‑cadherin. The same differentiation is crucial for metastasis to the peritoneum. On the whole, the present case report demonstrates that breast carcinoma metastases to the ovaries and peritoneum are rare, yet essential to consider. Immunohistochemistry helps differentiate them from other carcinomas.

Introduction

Invasive lobular carcinoma (ILC) is the second most commonly occurring type of breast cancer, which comprises up to ~15% of breast cancer cases, with positive results for progesterone receptor (PR) and estrogen receptor (ER), and typically has a good prognosis and is low-grade (1). There are multiple histological subtypes of ILC; however, they are defined by a lack of cohesive growth due to the inactivation of the cell-adhesion protein, E-cadherin (2,3). One of these subtypes is pleomorphic lobular carcinoma (PLC), which is clinically significant, although rare. This phenotype is associated with a poorer prognosis and is more aggressive, resulting from distinct histopathological characteristics. It may lack the expression of PR and ER, and exhibit human epidermal growth factor receptor 2 (HER2)/neu amplification, in contrast to ILC (4).

A post-menopausal status and an older age have been linked to PLC, and it represents ~15% of ILC cases and <1% of all breast cancers (4). It exhibits distinct cytological characteristics that differ from those of ILC, including higher-grade cytological features, a larger tumor size, an increased likelihood of developing distant metastases, the invasion of the lymphovascular system and a more advanced stage at diagnosis. Distinct clinical behavior is observed in lobular carcinomas, which tend to metastasize to serosal surfaces, including the gastrointestinal tract, peritoneum, uterus and ovaries (5). Breast cancer fatalities are linked to their distant metastases, and classifying breast cancer into molecular and histologic subtypes is recognized for its essential prognostic and predictive significance (6).

The present study describes a rare case of invasive PLC metastasis to the peritoneum and ovaries of a patient and also performs a brief review of the literature.

Case report

Patient information

A 51-year-old woman presented to Smart Health Tower (Sulaymaniyah, Iraq) in May, 2025 with a right breast mass that had been noticed three weeks before presentation. She had a family history of breast cancer involving her maternal aunt, maternal uncle and paternal cousin. Her medical history was significant for kidney disease, for which she had undergone three surgical procedures for renal stone removal, as well as a prior diagnostic laparoscopy for a peritoneal mass and a left thyroid lobectomy. Her obstetric history revealed gravida 6, para 6, with no history of abortion and a cumulative lactation period of 12 years.

Clinical findings

Upon a clinical examination, palpable masses were detected in the right breast, including one in the lower inner quadrant at the 4-5 o'clock position and another in the retroareolar region at the 10 o'clock position. Both masses were irregularly shaped, hard in consistency, and not fixed to the underlying structures. They caused bulging and mild tethering of the areola. Additionally, palpable right axillary lymph nodes were noted, raising concerns about possible nodal involvement.

Diagnostic assessment

A right breast ultrasound revealed multiple heterogeneous, irregular and hypoechoic masses mixed with fat echogenicity. A lesion measuring 27x19 mm was identified in the lower inner quadrant, while another mass at the 9 o'clock position, located at an anterior-middle depth, measuring 40x14 mm and extending to the nipple base. Additionally, multiple smaller adjacent masses measuring <10 mm were observed in the upper central part of the breast. The evaluation of the right axilla revealed >10 abnormal, matted lymph nodes across all axillary levels, with the largest node in level I, measuring 15 mm. No supraclavicular lymphadenopathy was detected. The findings were classified as BIRADS-5.

An abdominal ultrasound revealed bilateral renal staghorn stones, suggesting a possible underlying metabolic disorder, while the remainder of the examination did not reveal any notable findings. A breast mammography revealed multiple hyperdense masses with irregular margins throughout the right breast, with the largest lesion in the central region, measuring 40x32 mm. No microcalcifications were observed (Fig. 1). Right axillary lymph node involvement was also noted, with a small number of matted abnormal lymph nodes identified. The findings were classified as BIRADS-5. Although the ultrasound examinations was performed at the institution, the images were not available because they had not been digitally archived in the radiology database at the time of the examination. A core biopsy of the right breast mass and right axillary lymph node confirmed invasive PLC, grade II (moderately differentiated). The right axillary lymph node biopsy also revealed metastatic carcinoma (Fig. 2). Immunohistochemical analyses were performed on formalin-fixed, paraffin-embedded tissue. Sections at a thickness of 4-6 µm were prepared from paraffin blocks, mounted on charged slides and incubated overnight at 60˚C. Heat-induced antigen retrieval was carried out using the Dako PT Link system (Agilent Technologies, Inc.) at 100˚C for 5-10 min, employing either citrate buffer (pH 6.0) or Tris-EDTA buffer (pH 9.0) according to the antibody used. Following antigen retrieval, the slides were rinsed for 15 min at room temperature in Tris-buffered saline containing 0.05% Tween-20 (0.05 mol/l Tris/HCl, 0.15 mol/l NaCl; pH 7.6). The tissue sections were then demarcated using a hydrophobic pen, and endogenous peroxidase activity was quenched with 3% hydrogen peroxide. Primary antibodies directed against ER, PR, HER2, Ki-67 and E-cadherin were applied using the following reagents: ER (rabbit monoclonal, clone SP1; cat. no. RM-9101-S; Thermo Fisher Scientific, Inc.; dilution 1:100), PR (mouse monoclonal, clone PgR636; cat. no. M3569; Agilent Technologies, Inc.; dilution 1:100), HER2 (rabbit monoclonal, clone 4B5; cat. no. 790-2991; Roche Diagnostics; ready-to-use), Ki-67 (mouse monoclonal, clone MIB-1; cat. no. M7240; Agilent Technologies, Inc.; dilution 1:200) and E-cadherin (mouse monoclonal, clone NCH-38; cat. no. M3612; Agilent Technologies, Inc.; dilution 1:100). All antibodies were diluted in the manufacturer's antibody diluent and incubated for 80 min at room temperature (20-25˚C). Detection was achieved using a horseradish peroxidase-linked secondary antibody (EnVision™ FLEX HRP polymer detection system; cat. no. SM802; Agilent Technologies, Inc.; ready-to-use, no dilution) and 3,3'-diaminobenzidine (DAB) chromogen, each incubated for 15 min at room temperature (20-25˚C). Counterstaining was performed with Gill II hematoxylin for 30 sec at room temperature, after which the slides were dehydrated and coverslipped. Immunostaining results demonstrated strong nuclear ER expression with an Allred score of 8 (3 + 5) and PR positivity with an Allred score of 4 (2 + 2). HER2 staining was negative (score 1), and the Ki-67 labeling index was approximately 22%. The loss of E-cadherin expression in tumor cells was observed, consistent with ILC.

Full-field digital mammography of the
right breast (mediolateral oblique and craniocaudal views)
revealing multiple heterogeneously dense masses in different
quadrants, the largest measuring 40 mm in the central lateral
region.

Figure 1

Full-field digital mammography of the right breast (mediolateral oblique and craniocaudal views) revealing multiple heterogeneously dense masses in different quadrants, the largest measuring 40 mm in the central lateral region.

Hematoxylin and eosin-stained
sections. (A) Core biopsy of the breast mass demonstrating
infiltrative malignant pleomorphic dyscohesive cells (black arrows)
within a desmoplastic stroma (magnification, x40). (B) Core biopsy
of the lymph node from the same patient showing a tissue fragment
with a peripheral rim of benign lymphoid cells (black stars),
infiltrated by malignant dyscohesive epithelial cells (black
arrows) (magnification, x10).

Figure 2

Hematoxylin and eosin-stained sections. (A) Core biopsy of the breast mass demonstrating infiltrative malignant pleomorphic dyscohesive cells (black arrows) within a desmoplastic stroma (magnification, x40). (B) Core biopsy of the lymph node from the same patient showing a tissue fragment with a peripheral rim of benign lymphoid cells (black stars), infiltrated by malignant dyscohesive epithelial cells (black arrows) (magnification, x10).

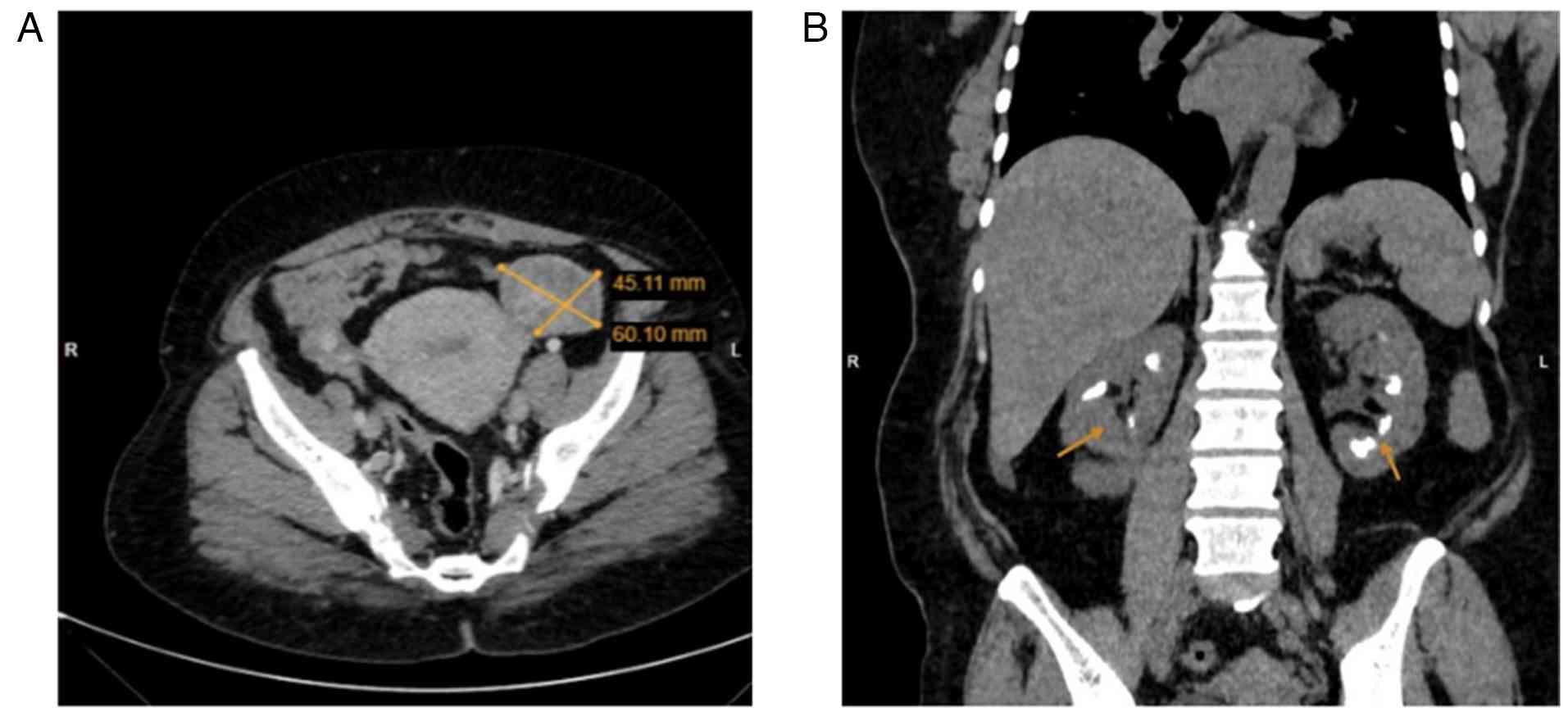
A contrast-enhanced computed tomography (CT) scan of the chest, abdomen, and pelvis revealed two right breast masses, the largest measuring 4 cm, with no evidence of chest wall invasion. Pathological right axillary lymph nodes were present across all levels, with the largest measuring 1.6 cm, while no enlarged internal mammary lymph nodes were detected. Additionally, bilateral adnexal masses were identified, raising the suspicion of primary ovarian cancer or metastatic disease with associated peritoneal deposits. Multiple bilateral renal calcifications were noted in the medullary region, suggesting medullary nephrocalcinosis (Fig. 3). To further evaluate the ovarian and peritoneal lesions, a diagnostic laparoscopy was performed, and biopsies were taken. A histopathological analysis was then performed. Sections (5-µm-thick tissue sections were fixed in 10% neutral-buffered formalin at room temperature for 24 h and subsequently embedded in paraffin. The sections were then stained with hematoxylin and eosin (Bio Optica Co.) for 1-2 min at room temperature and examined under a light microscope (Leica Microsystems GmbH). The histopathological examination revealed extensive infiltration by dyscohesive sheets and cords of malignant epithelial cells embedded within a desmoplastic stroma. The tumor cells exhibited marked nuclear pleomorphism, hyperchromatic nuclei, prominent nucleoli, and frequent mitotic figures. Occasional intracytoplasmic vacuoles imparted a signet-ring-like appearance. The peritoneal deposits exhibited infiltrative epithelial cells associated with stromal desmoplasia and focal crush artifact, supporting metastatic involvement (Fig. 4). The findings of IHC were consistent with metastatic PLC of the breast. The cytological analysis of the peritoneal fluid was positive for malignancy, confirming metastatic disease. IHC staining of the ovarian and peritoneal tumor cells revealed positivity for cytokeratin 7 (CK7), GATA-binding protein 3 (GATA3) and trichorhinophalangeal syndrome type 1 (TRPS1), further supporting a breast origin for the malignancy (Figs. 5 and 6). IHC was performed on formalin-fixed, paraffin-embedded tissue sections (4 µm thickness). The sections were deparaffinized in xylene and rehydrated through graded ethanol to distilled water. Heat-induced epitope retrieval was carried out using EnVision™ FLEX Target Retrieval Solution, High pH (cat. no. K8004, Agilent Technologies, Inc.) in a pressure-based retrieval system according to the manufacturer's instructions. Endogenous peroxidase activity was blocked using EnVision™ FLEX Peroxidase-Blocking Reagent (cat. no. SM801, Agilent Technologies, Inc.). The primary antibodies were applied at the following working dilutions: CK7 (mouse monoclonal, clone OV-TL 12/30; cat. no. M7018, Agilent Technologies, Inc.) at 1:200, GATA3 (mouse monoclonal, clone L50-823; cat. no. 386M-16, Cell Marque™ Tissue Diagnostics) at 1:100, and TRPS1 (rabbit monoclonal, clone EPR16171; cat. no. ab209664, Abcam) at 1:250. All primary antibodies were diluted in antibody diluent supplied by the manufacturer and incubated according to standard laboratory protocols. Antibodies were incubated at room temperature for 30-60 min according to the manufacturer's recommendations. Immunodetection was performed using the EnVision™ FLEX detection system (cat. no. SM802, Agilent Technologies, Inc.), which employs a dextran-based polymer secondary antibody conjugated to horseradish peroxidase (HRP). This system provides species-specific secondary antibodies against mouse and rabbit immunoglobulins and was used ready-to-use (no dilution required), in accordance with the manufacturer's instructions. All immunohistochemical staining procedures, including primary antibody incubation and polymer-based secondary antibody incubation, were carried out at room temperature (20-25˚C). Primary antibodies were incubated for 30-60 min at room temperature (20-25˚C), as recommended by the respective manufacturers. The EnVision™ FLEX HRP-labeled polymer secondary antibody was applied for 20 min at room temperature. Visualization with 3,3'-diaminobenzidine (DAB) chromogen (cat. no. DM827, Agilent Technologies, Inc.) was performed for 5-10 min, with microscopic monitoring to ensure optimal signal development. Nuclear counterstaining was performed using hematoxylin solution (cat. no. 05-M06002, Bio Optica S.p.A.) for ~1-2 min at room temperature, followed by rinsing in running tap water, dehydration through graded alcohols, clearing in xylene and mounting. The patient was diagnosed with primary invasive PLC of the right breast, with metastatic involvement of the right axillary lymph nodes, bilateral ovaries and peritoneum. Based on clinical, radiological and histopathological findings, the disease was staged as cT2N3M1 according to the TNM classification system.

Contrast-enhanced CT images. (A) Axial
post-contrast CT scan demonstrating a heterogeneously enhancing
complex cystic lesion in the left adnexa, measuring 60x45 mm,
consistent with metastatic involvement from primary invasive
lobular carcinoma of the breast. (B) Coronal non-contrast CT scan
showing multiple hyperdense calcific foci in the medullary regions
of both kidneys, consistent with medullary nephrocalcinosis. CT,
computed tomography.

Figure 3

Contrast-enhanced CT images. (A) Axial post-contrast CT scan demonstrating a heterogeneously enhancing complex cystic lesion in the left adnexa, measuring 60x45 mm, consistent with metastatic involvement from primary invasive lobular carcinoma of the breast. (B) Coronal non-contrast CT scan showing multiple hyperdense calcific foci in the medullary regions of both kidneys, consistent with medullary nephrocalcinosis. CT, computed tomography.

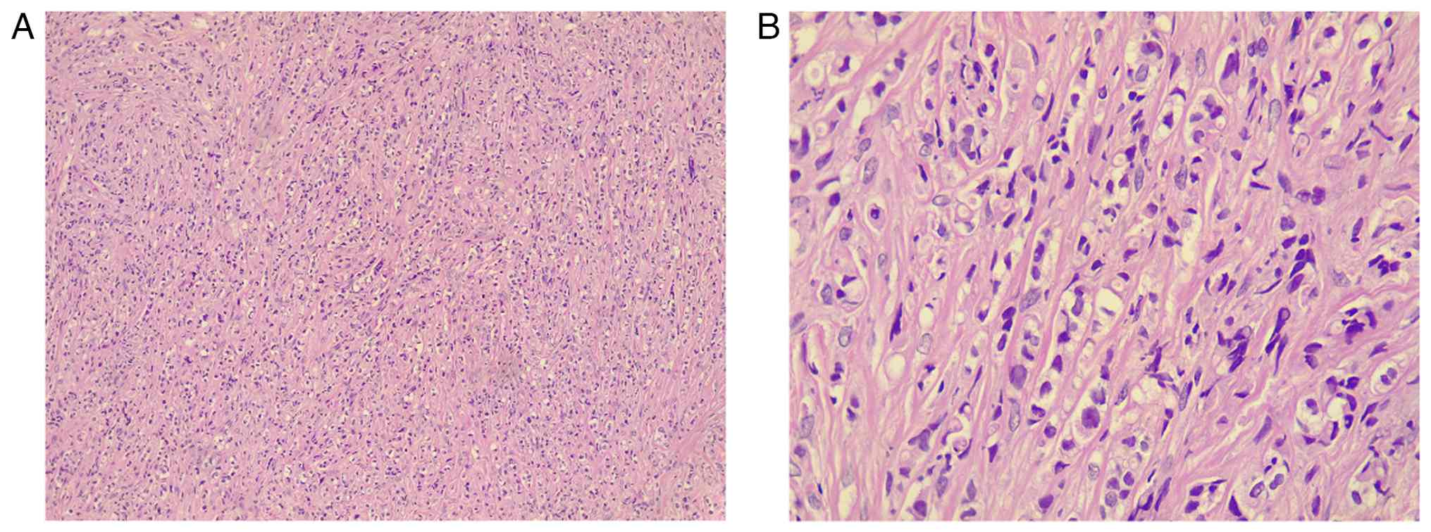
(A) Hematoxylin and eosin-stained
sections of ovarian tissue demonstrating extensive infiltration by
dyscohesive sheets and cords of malignant epithelial cells with
marked nuclear pleomorphism and prominent nucleoli (magnification,
x40). (B) Occasional tumor cells exhibit intracytoplasmic vacuoles,
imparting a signet ring-like appearance (magnification, x100).

Figure 4

(A) Hematoxylin and eosin-stained sections of ovarian tissue demonstrating extensive infiltration by dyscohesive sheets and cords of malignant epithelial cells with marked nuclear pleomorphism and prominent nucleoli (magnification, x40). (B) Occasional tumor cells exhibit intracytoplasmic vacuoles, imparting a signet ring-like appearance (magnification, x100).

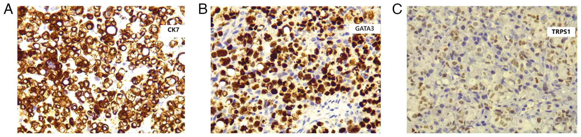
Tumor cells showing cytoplasmic
positivity for (A) CK7 (magnification, x100), along with nuclear
positivity for (B) GATA3 (magnification, x100) and (C) TRPS1
(magnification, x100) on immunohistochemistry. CK7, cytokeratin 7;
GATA3, GATA-binding protein 3; TRPS1, trichorhinophalangeal
syndrome type 1.

Figure 5

Tumor cells showing cytoplasmic positivity for (A) CK7 (magnification, x100), along with nuclear positivity for (B) GATA3 (magnification, x100) and (C) TRPS1 (magnification, x100) on immunohistochemistry. CK7, cytokeratin 7; GATA3, GATA-binding protein 3; TRPS1, trichorhinophalangeal syndrome type 1.

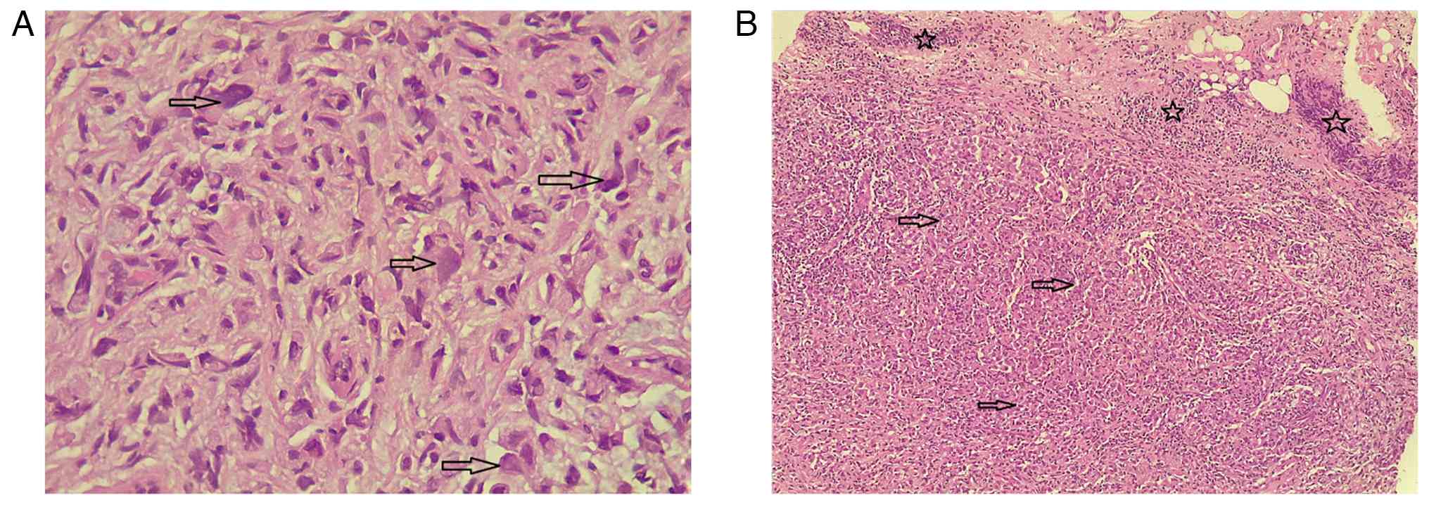
Sections from the peritoneal biopsy
illustrating (A) fibroadipose tissue infiltrated by epithelial
cells exhibiting crush artifact (magnification, x40), and (B)
associated desmoplastic stroma (magnification, x40). (C) These
cells demonstrate nuclear positivity for GATA3 on immunostaining
(magnification, x40).

Figure 6

Sections from the peritoneal biopsy illustrating (A) fibroadipose tissue infiltrated by epithelial cells exhibiting crush artifact (magnification, x40), and (B) associated desmoplastic stroma (magnification, x40). (C) These cells demonstrate nuclear positivity for GATA3 on immunostaining (magnification, x40).

Therapeutic intervention

A multidisciplinary team evaluated the case of the patient, and referral to medical oncology was recommended for definitive management. She subsequently commenced systemic therapy and received five cycles of palbociclib (125 mg orally once daily) in combination with letrozole (2.5 mg orally once daily) and goserelin (Zoladex® 3.6 mg administered subcutaneously every 28 days) as part of her treatment regimen. The selection of systemic therapy was guided by the presumed hormone receptor-positive and HER2-negative profile.

Follow-up and outcomes

The patient undergoes regular follow-ups to monitor her treatment response and disease progression. A CT scan after the third cycle revealed a partial response (Fig. 7). Thus far, she remains stable, with no reported complications or adverse effects from therapy. Her condition is being closely monitored to ensure optimal management.

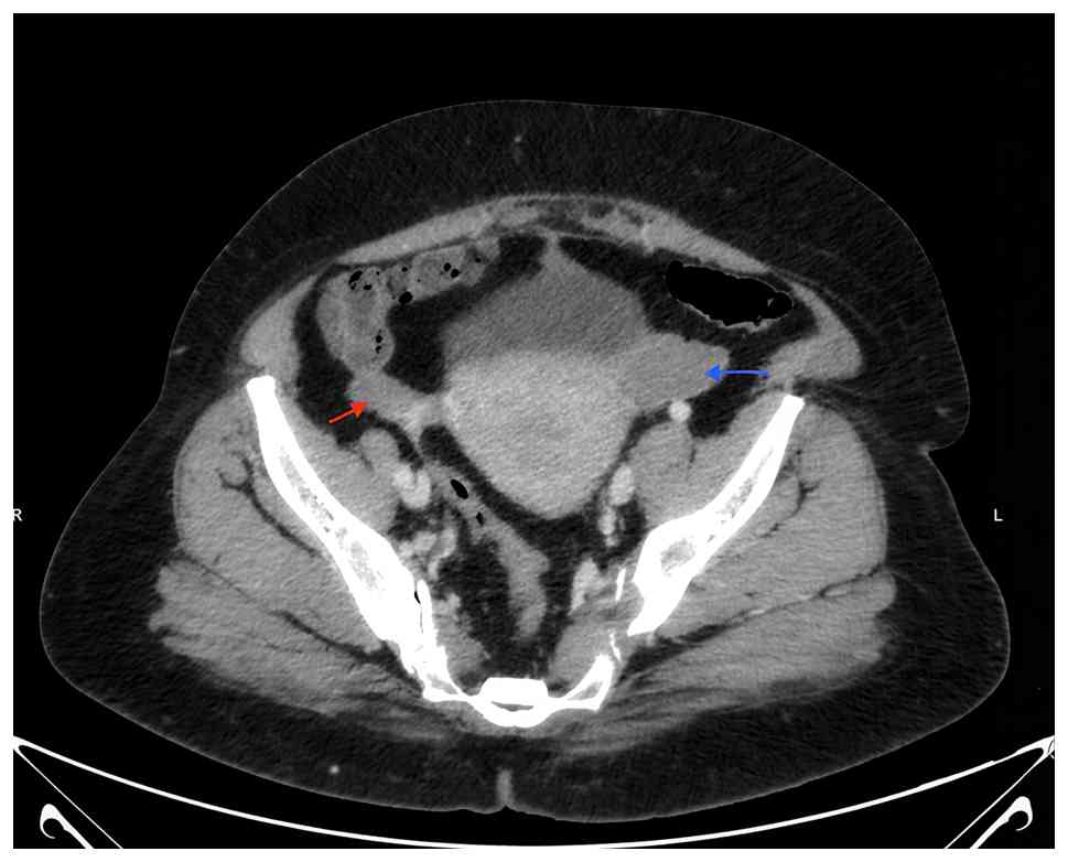
Axial contrast-enhanced computed
tomography scan (delayed phase) demonstrating bilateral enhancing
ovarian tumors (right ovarian tumor, red arrow; left ovarian tumor,
blue arrow).

Figure 7

Axial contrast-enhanced computed tomography scan (delayed phase) demonstrating bilateral enhancing ovarian tumors (right ovarian tumor, red arrow; left ovarian tumor, blue arrow).

Discussion

Breast cancer metastatic sites usually include the bones, liver, brain and lungs, while metastases to the female genital tract are rare. When it occurs, the ovary is the most frequently affected site (75.8%), followed by the vagina (13.4%), the uterine corpus (4.7%), the cervix (3.4%), the vulva (2%) and the fallopian tubes (0.7%), respectively (6). Numerous patients remain asymptomatic, underscoring the importance of routine gynecologic check-ups. Distinguishing metastatic disease in the ovary and uterus from primary ovarian or uterine cancer can be particularly challenging (6). A focused literature search was performed using Google Scholar, limited to English-language publications and case reports describing ovarian or peritoneal metastases originating from breast cancer. In total, 6 reported cases of ovarian metastases and 1 case of peritoneal metastasis were identified and reviewed (Table I) (6,7-10). A CT scan was the most frequently utilized imaging modality, and the diagnosis was supported by microscopic examination. Surgical intervention was undertaken as the primary treatment. One patient died during the course of follow-up, and another was lost to follow-up.

Table I

Review of some breast cancer metastases cases to the ovaries or peritoneum in literature.

Table I

Review of some breast cancer metastases cases to the ovaries or peritoneum in literature.

First author, year of publicationNo. of patientsAge, yearsType of cancerPresentation/clinical findingsImagingHistopathological, Immunohistochemical and cytological examinationsTreatmentPostoperative careOutcome(Refs.)
Dominguez, 2021Case 142Invasive lobular carcinoma.Abdominal pain, bloating vomiting and appetite loss.CT: Revealed ovarian growth, bilateral, probably malignant.PFC: Invasive lobular carcinoma of breast origin.Exploratory laparotomy, total abdominal hysterectomy and bilateral salpingo-oophorectomyLost to follow up.Lost to follow-up.(6)
 Case 243Metastatic carcinoma with mixed lobular and ductal features.Intraoperatively a grossly normal cervix, bilateral ovaries and appendix. Uterus: endometrial polyp, multiple leiomyoma, and thin endometriumNot mentioned.HPE: Metastatic carcinoma, mixed lobular and ductal features, probably breast in origin on bilateral ovaries. IHC: +ve ER/PR stains.Total abdominal hysterectomy & bilateral salpingo-oophorectomy.Tamoxifen, adjuvant therapy continued.Not mentioned.(6)
 Case 338Invasive ductal carcinoma.Uterus, bilateral ovaries and fallopian tubes grossly normal. Multiple implants over the peritoneum.CT: Pelvic mass.IHC: Triple-negative result of ER,PR/HER2-neu. HPE: metastatic, poorly differentiated, probably ductal carcinoma, bilateral ovaries.Exploratory laparotomy, ascitic fluid drainage, bilateral salpingo-oophorectomy infracolic omentectomy, and peritoneal biopsy.Advised adjuvant chemotherapy but refused treatment.Not mentioned.(6)
Naito, 2012154Breast cancer with solid and luminal structures.Abdominal distention, high serum carcinoembryonic antigen & carbohydrate antigen 15-3.PET/CT: Bilateral ovarian tumors with ascites.HPE: Solid and luminal structures. IHC: +ve for ER, PR, CK-7 and GCDFP15.-ve for HER2 overexpression and CK20.Bilateral oophorectomies for definitive ovarian tumors diagnosis.Aromatase inhibitor therapy.Patient in stable condition.(7)
Sohail, 2021169Invasive lobular breast carcinoma metastasizing to the gastric wall and peritoneum.Black tarry stool, increased lethargy with early satiety, mild abdominal tenderness, thickened gastric folds.CT: Gastric wall thickening, bilateral hydronephrosis and mild to moderate ascites.IHC: +ve for ER, PR and -ve for human epidermal growth factor receptor-2.Diagnostic paracentesis, gastroduodenoscopy, endoscopic ultrasound, wedge resection and biopsy of stomach and peritoneum.Patient decided on palliative care.Succumbed after a few weeks in the hospice facility.(8)
Tada, 2022157Malignant phyllodes tumor.Abdominal fullness, bilateral lower leg edema, an enlarged cystic mass occupying the pelvic cavity and abdomen.CT: Cystic mass with a thickened septum and solid component occupying abdominal cavity.HPE: proliferating stromal spindle-shaped cells with irregular nuclei arranged in a fascicular or sheeted pattern. IHC: +ve for CD10, CD34, and SMA, -ve for desmin, S-100, AE1/AE3, EMA, STAT6, ER, PR, MDM2, p16 and IMP3Emergent laparotomy, right oophorectomy & partial omentectomy.6 courses of chemotherapy consisting of doxorubicin and ifosfamidePatient in stable condition.(9)
Lin, 2023153Invasive breast carcinoma.Abdominal distension, irregular vaginal bleeding, and chest distress, abnormal bone metabolism, cancer antigen 125 present.CDU: A mass in right adnexal area.HPE: Left breast cancer with ovarian and multiple bone metastases. IHC: Ki-67 5%, +ve for ER, PR, CK, CK7, HER2 and GCDFP15. -ve for CA125, and p53.Removed uterus, bilateral adnexa, bilateral pelvic lymph nodes, abdominal para-aortic lymph nodes, greater omentum, and appendix.Fulvestrant and azolephosphonic after the breast cancer diagnosis.Patient in stable condition.(10)

[i] HPE, histopathological examination; IHC, immunohistochemistry; PFC, peritoneal fluid cytology; CT, computed tomography; CDU, color Doppler ultrasound; -ve, negative; +ve, positive; ER, estrogen receptor; PR, progesterone receptor; GCDFP15, gross cystic disease fluid protein 15; PLAP, placental alkaline phosphatase; CK, cytokeratin; SMA smooth muscle actin; EMA, epithelial membrane antigen.

Women who have a breast cancer history are up to 3- to 7-fold more likely to develop primary ovarian cancer than ovarian metastases. Risk factors contributing to the development of breast and ovarian cancers include an older age, low parity, exogenous estrogen exposure, and having a familial history of BRCA1 and BRCA2 gene mutations (11). Being a type of ILC, PLC exhibits a classic growth pattern but is distinguished by nuclear atypia and often presents with a plasmacytoid, histiocytoid, or apocrine morphological appearance (2). The molecular genetics of PLC is similar to that of ILC. However, they also exhibit additional genetic changes, such as HER2 amplification, which may contribute to their aggressive behavior. The genetic modifications in PLC are more similar to those of invasive ductal carcinoma than those of ILC (12).

IHC is an essential tool for diagnosing and differentiating primary ovarian tumors from metastatic ones. For example, GATA3 can help distinguish between the two in cases with a history of breast cancer, as its expression is positive in breast carcinoma, but negative in ovarian carcinoma. However, this differentiation may not be relevant in the rare case of ovarian mesonephric carcinoma, as it may produce GATA3. In cases of breast cancer metastatic to the ovary, CK7 positivity may also be observed. Furthermore, when the primary breast carcinoma expresses ERs, ER immunoreactivity can serve as an additional supportive diagnostic marker, as demonstrated in the present patient (13). The expression of ER and PR is at lower levels in PLC, and it can exhibit an increase in HER2/neu, in contrast to other types of ILC, which usually strongly express ER and PR and are negative for HER2 (2,4). The expression rates of PR and ERα in ILC are up to 60-70 and 95%, respectively, and Ki-67 staining results are usually low in ILC (3).

In another study, 24 patients were retrospectively reviewed who were pathologically confirmed to have metastases in ovaries from breast cancer, with data collected from two centers between 2000 and 2019(11). The results of that study demonstrated that 80% of the cases had negative HER2/neu results, and almost 90% were ER- and PR-positive (11). Another component sought is gross cystic disease fluid protein 15 (GCDFP-15), which has high specificity for breast carcinoma, but low sensitivity (14). In a previous case report described the case of a 53-year-old with abdominal distension, irregular vaginal bleeding, chest distress and a history of having a left breast mass for 2-3 years (10). The patient had an invasive breast carcinoma along with ovarian and multiple bone metastases; IHC results revealed Ki-67 5%, positive results for ER, PR, cytokeratin, CK7, HER2 and GCDFP15, and negative results for CA125 and p53(10).

The lack of E-cadherin expression is commonly used in IHC to distinguish between lobular and ductal lesions histologically (1). E-cadherin, consisting of the transmembrane E-cadherin protein along with α, β, γ and p120 catenin, is crucial for establishing intercellular tight junctions (15). It binds to identical molecules on adjacent cells in a homophilic fashion, facilitating cell-cell adhesion and maintaining cellular polarity. The cytoplasmic localization of p120 catenin can serve as a positive IHC marker for ILC (3).

The pattern of metastasis in ILC is distinct from that of invasive ductal carcinoma, which generally spreads more extensively and often affects the plasma membrane layer. While both ILC and invasive ductal carcinoma commonly metastasize to the bones and liver, ILC is more likely to spread to the gastrointestinal tract, peritoneum, retroperitoneum, and genitourinary system, with the ovaries being a particularly frequent site. Additionally, ILC often spreads to the central nervous system, including the meninges, where carcinomatous meningitis is almost exclusively seen in ILC patients. Rare metastatic sites for ILC include the orbit, parotid gland, perianal region, and even within the tumor itself. The loss of E-cadherin, due to a CDH1 mutation, disrupts cell adhesion, which contributes to the characteristic infiltration pattern of ILC. This mutation can also activate signaling pathways such as Rho/ROCK, potentially aiding tumor cell survival and spread. However, these mechanisms do not fully explain the tendency of ILC to metastasize to particular sites, suggesting that additional molecular and environmental factors are at play and need further investigation (16).

Metastasis from breast cancer to the gastric wall is uncommon and can be challenging to identify due to its morphological similarity to primary gastrointestinal cancers (8). McLemore et al (17) found an incidence rate of 0.3% of patients with metastatic gastrointestinal tract disease originating from breast carcinoma among 12,001 cases of metastatic disease. Sohail et al (8) reported the case of a 69-year-old woman presenting with abdominal pain and episodes of black tarry stool. The patient had a history of stage II-B left breast cancer, which using IHC, was found to be ER +95%, PR +5%, HER2-negative and Ki-67 70%. A CT scan of the abdomen revealed moderate to severe thickening of the gastric wall, bilateral hydronephrosis, and mild to moderate ascites (8). Wedge resection and biopsy were performed for the stomach and peritoneum, with biopsy results suggesting the diagnosis of metastatic disease originating from ILC of the breast, as indicated by GATA3 positivity in the peritoneal tumor deposit. The IHC results were ER +80%, PR +1% and HER2-negative, consistent with their diagnosis (8). Breast cancer metastasis to the stomach clinically presents similarly to that of primary gastric cancer; dyspepsia, epigastric pain, anorexia, vomiting, early satiety and bleeding are commonly occurring symptoms. Linitis plastica is the most frequent pattern of metastasis, characterized by diffuse infiltration of the submucosa and muscularis propria (18).

Haque et al (19) analyzed patients with cT1-4N1-3M0 breast cancer who had either ILC or PLC histology from the national cancer database and had undergone definitive surgical treatment. Of a total of 115,260 patients, 99.63% had ILC, while only 0.37% had PLC. Patients with PLC received systemic chemotherapy more often, whereas hormonal therapy was administered less often. They also found that worse overall survival was associated with PLC (19). The administration of chemotherapy, radiation therapy, and hormonal therapy has been linked to improved overall survival in patients (19).

Given the rarity yet clinical significance of gynecological metastases from breast cancer, particularly lobular subtypes such as PLC, patients require vigilant surveillance. Routine monitoring should include annual pelvic examinations and transvaginal ultrasound, especially for premenopausal women or those with lobular histology, family history, or symptoms such as abdominal distension or irregular bleeding.

The present case report has several limitations that should be acknowledged. First, the IHC evaluation of the ovarian and peritoneal metastatic lesions was limited to CK7, GATA3 and TRPS1. A broader IHC panel commonly used to exclude primary ovarian, peritoneal, gastrointestinal, or pulmonary malignancies, such as PAX8, WT1, mammaglobin, GCDFP-15, CK20, p53 and TTF-1, was not performed. Consequently, the exclusion of non-breast primary tumors relied on a combination of clinical context, radiological findings, morphological concordance with the primary breast tumor, and positivity for breast-associated markers rather than on an extensive exclusionary immunoprofile. Second, the original breast ultrasound images were not available for inclusion. Although the examination was performed at the institution, the images had not been digitally archived in the radiology database at the time of the study. Third, as a single-patient case report, the findings cannot be generalized, and causal inferences regarding disease behavior or treatment response are limited. Finally, although histopathological images were provided, quantitative morphometric analysis and a larger set of representative images were not available because the pathological evaluation was conducted in a routine clinical setting without access to digital whole-slide scanning and validated image-analysis tools. Despite these limitations, the present case report contributes valuable clinical, histopathological and diagnostic insights into the rare occurrence of PLC metastasizing to the ovaries and peritoneum.

In conclusion, breast cancer metastases to the ovaries and peritoneum are uncommon, yet clinically significant. IHC is a crucial tool for distinguishing between these metastatic carcinomas and other carcinomas they may resemble.

Acknowledgements

Not applicable.

Funding

Funding: No funding was received.

Availability of data and materials

The data generated in the present study may be requested from the corresponding author.

Authors' contributions

AMS and HAY were major contributors to the conception of the study, as well as to the literature search for related studies. SHH, MKA, AAQ and HHF contributed to the literature search, the acquisition and interpretation of the patient's data, and manuscript preparation. FHK and KMS contributed to the design of the study, the literature review, the critical revision of the manuscript, and the processing of the table. AMS, LRAP, SOA and RMA assisted in the diagnosis and management of the patient, and participated in manuscript review. HAY and AMA were the pathologists who performed the diagnoses. FHK and SHH confirm the authenticity of all the raw data. All authors have read and approved the final manuscript.

Ethics approval and consent to participate

Written informed consent was obtained from the patient for participation in the present study.

Patient consent for publication

Written informed consent was obtained from the patient for the publication of the present case report and any accompanying images.

Competing interests

The authors declare that they have no competing interests.

Use of artificial intelligence tools

During the preparation of this work, AI tools were used to improve the readability and language of the manuscript or to generate images, and subsequently, the authors revised and edited the content produced by the AI tools as necessary, taking full responsibility for the ultimate content of the present manuscript.

References

1 

Riedlinger GM, Joshi S, Hirshfield KM, Barnard N and Ganesan S: Targetable alterations in invasive pleomorphic lobular carcinoma of the breast. Breast Cancer Res. 23(7)2021.PubMed/NCBI View Article : Google Scholar

2 

Rakha EA, Van Deurzen CH, Paish EC, Macmillan RD, Ellis IO and Lee AH: Pleomorphic lobular carcinoma of the breast: Is it a prognostically significant pathological subtype independent of histological grade? Mod Pathol. 26:496–501. 2013.PubMed/NCBI View Article : Google Scholar

3 

Reed AE, Kutasovic JR, Lakhani SR and Simpson PT: Invasive lobular carcinoma of the breast: Morphology, biomarkers and'omics. Breast Cancer Res. 17(12)2015.PubMed/NCBI View Article : Google Scholar

4 

Al-Baimani K, Bazzarelli A, Clemons M, Robertson SJ, Addison C and Arnaout A: Invasive pleomorphic lobular carcinoma of the breast: Pathologic, clinical, and therapeutic considerations. Clin Breast Cancer. 15:421–425. 2015.PubMed/NCBI View Article : Google Scholar

5 

Da Silva L, Parry S, Reid L, Keith P, Waddell N, Kossai M, Clarke C, Lakhani SR and Simpson PT: Aberrant expression of E-cadherin in lobular carcinomas of the breast. Am J Surg Pathol. 32:773–783. 2008.PubMed/NCBI View Article : Google Scholar

6 

Dominguez RS and Billod JA: Ovary and uterus, rare sites of metastases from breast cancer: A case series. Int J Med Rev Case Rep. 5:79–85. 2021.

7 

Naito K, Oura S, Yasuoka H and Okamura Y: A case of pseudo-meigs' syndrome associated with ovarian metastases from breast cancer. J Breast Cancer. 15:474–477. 2012.PubMed/NCBI View Article : Google Scholar

8 

Sohail A, Khan A, Gross A and Shah H: Breast carcinoma metastasising to the gastric wall and the peritoneum: What physicians need to know. BMJ Case Rep. 14(e241467)2021.PubMed/NCBI View Article : Google Scholar

9 

Tada Y, Yasunaga M, Tomonobe H, Yamada Y, Hori E, Okugawa K, Yahata H, Oda Y and Kato K: A case of malignant phyllodes tumor of the breast metastasizing to the ovary. Int J Surg Pathol. 30:427–431. 2022.PubMed/NCBI View Article : Google Scholar

10 

Lin XY, Zhou XJ, Yang SP, Zheng JX and Li ZJ: Pseudo-Meigs' syndrome secondary to breast cancer with ovarian metastasis: A case report and literature review. Front Oncol. 13(1091956)2023.PubMed/NCBI View Article : Google Scholar

11 

Cerkauskaite D, Zilinskas K, Varnelis P, El Oreibi M, Asejev V and Dulskas A: Ovarian metastases from breast cancer: A report of 24 cases. J Gynecol Obstet Hum Reprod. 50(102075)2021.PubMed/NCBI View Article : Google Scholar

12 

Simpson PT, Reis-Filho JS, Lambros MB, Jones C, Steele D, Mackay A, Iravani M, Fenwick K, Dexter T, Jones A, et al: Molecular profiling pleomorphic lobular carcinomas of the breast: Evidence for a common molecular genetic pathway with classic lobular carcinomas. J Pathol. 215:231–244. 2008.PubMed/NCBI View Article : Google Scholar

13 

Katcher AH, Greenman MP, Roychoudhury S and Goldberg GL: Utilization of immunohistochemistry in gynecologic tumors: An expert review. Gynecol Oncol Rep. 56(101550)2024.PubMed/NCBI View Article : Google Scholar

14 

Fiel MI, Cernaianu G, Burstein DE and Batheja N: Value of GCDFP-15 (BRST-2) as a specific immunocytochemical marker for breast carcinoma in cytologic specimens. Acta Cytol. 40:637–641. 1996.PubMed/NCBI View Article : Google Scholar

15 

Butler D and Rosa M: Pleomorphic lobular carcinoma of the breast: A morphologically and clinically distinct variant of lobular carcinoma. Arch Pathol Lab Med. 137:1688–1692. 2013.PubMed/NCBI View Article : Google Scholar

16 

Yu B, Yan L, Wang H and Yang J and Yang J: Invasive lobular carcinoma of the breast: Metastatic patterns and treatment modalities-a review. Front Oncol. 15(1631670)2025.PubMed/NCBI View Article : Google Scholar

17 

McLemore EC, Pockaj BA, Reynolds C, Gray RJ, Hernandez JL, Grant CS and Donohue JH: Breast cancer: Presentation and intervention in women with gastrointestinal metastasis and carcinomatosis. Ann Surg Oncol. 12:886–894. 2005.PubMed/NCBI View Article : Google Scholar

18 

Jones GE, Strauss DC, Forshaw MJ, Deere H, Mahedeva U and Mason RC: Breast cancer metastasis to the stomach may mimic primary gastric cancer: Report of two cases and review of literature. World J Surg Oncol. 5(75)2007.PubMed/NCBI View Article : Google Scholar

19 

Haque W, Arms A, Verma V, Hatch S, Butler EB and Teh BS: Outcomes of pleomorphic lobular carcinoma versus invasive lobular carcinoma. Breast. 43:67–73. 2019.PubMed/NCBI View Article : Google Scholar

Related Articles

  • Abstract
  • View
  • Download
Copy and paste a formatted citation
Spandidos Publications style
Yasseen HA, Abdullah AM, Ali RM, Pshtiwan LR, Salih KM, Salih AM, Arif SO, Hassan SH, Fatih HH, Ahmed MK, Ahmed MK, et al: Aberrant metastasis of invasive pleomorphic lobular carcinoma: A case report and brief review of the literature. World Acad Sci J 8: 31, 2026.
APA
Yasseen, H.A., Abdullah, A.M., Ali, R.M., Pshtiwan, L.R., Salih, K.M., Salih, A.M. ... Kakamad, F.H. (2026). Aberrant metastasis of invasive pleomorphic lobular carcinoma: A case report and brief review of the literature. World Academy of Sciences Journal, 8, 31. https://doi.org/10.3892/wasj.2026.446
MLA
Yasseen, H. A., Abdullah, A. M., Ali, R. M., Pshtiwan, L. R., Salih, K. M., Salih, A. M., Arif, S. O., Hassan, S. H., Fatih, H. H., Ahmed, M. K., Qadir, A. A., Kakamad, F. H."Aberrant metastasis of invasive pleomorphic lobular carcinoma: A case report and brief review of the literature". World Academy of Sciences Journal 8.2 (2026): 31.
Chicago
Yasseen, H. A., Abdullah, A. M., Ali, R. M., Pshtiwan, L. R., Salih, K. M., Salih, A. M., Arif, S. O., Hassan, S. H., Fatih, H. H., Ahmed, M. K., Qadir, A. A., Kakamad, F. H."Aberrant metastasis of invasive pleomorphic lobular carcinoma: A case report and brief review of the literature". World Academy of Sciences Journal 8, no. 2 (2026): 31. https://doi.org/10.3892/wasj.2026.446
Copy and paste a formatted citation
x
Spandidos Publications style
Yasseen HA, Abdullah AM, Ali RM, Pshtiwan LR, Salih KM, Salih AM, Arif SO, Hassan SH, Fatih HH, Ahmed MK, Ahmed MK, et al: Aberrant metastasis of invasive pleomorphic lobular carcinoma: A case report and brief review of the literature. World Acad Sci J 8: 31, 2026.
APA
Yasseen, H.A., Abdullah, A.M., Ali, R.M., Pshtiwan, L.R., Salih, K.M., Salih, A.M. ... Kakamad, F.H. (2026). Aberrant metastasis of invasive pleomorphic lobular carcinoma: A case report and brief review of the literature. World Academy of Sciences Journal, 8, 31. https://doi.org/10.3892/wasj.2026.446
MLA
Yasseen, H. A., Abdullah, A. M., Ali, R. M., Pshtiwan, L. R., Salih, K. M., Salih, A. M., Arif, S. O., Hassan, S. H., Fatih, H. H., Ahmed, M. K., Qadir, A. A., Kakamad, F. H."Aberrant metastasis of invasive pleomorphic lobular carcinoma: A case report and brief review of the literature". World Academy of Sciences Journal 8.2 (2026): 31.
Chicago
Yasseen, H. A., Abdullah, A. M., Ali, R. M., Pshtiwan, L. R., Salih, K. M., Salih, A. M., Arif, S. O., Hassan, S. H., Fatih, H. H., Ahmed, M. K., Qadir, A. A., Kakamad, F. H."Aberrant metastasis of invasive pleomorphic lobular carcinoma: A case report and brief review of the literature". World Academy of Sciences Journal 8, no. 2 (2026): 31. https://doi.org/10.3892/wasj.2026.446
Follow us
  • Twitter
  • LinkedIn
  • Facebook
About
  • Spandidos Publications
  • Careers
  • Cookie Policy
  • Privacy Policy
How can we help?
  • Help
  • Live Chat
  • Contact
  • Email to our Support Team