Spandidos Publications Logo
  • About
    • About Spandidos
    • Aims and Scopes
    • Abstracting and Indexing
    • Editorial Policies
    • Reprints and Permissions
    • Job Opportunities
    • Terms and Conditions
    • Contact
  • Journals
    • All Journals
    • Oncology Letters
      • Oncology Letters
      • Information for Authors
      • Editorial Policies
      • Editorial Board
      • Aims and Scope
      • Abstracting and Indexing
      • Bibliographic Information
      • Archive
    • International Journal of Oncology
      • International Journal of Oncology
      • Information for Authors
      • Editorial Policies
      • Editorial Board
      • Aims and Scope
      • Abstracting and Indexing
      • Bibliographic Information
      • Archive
    • Molecular and Clinical Oncology
      • Molecular and Clinical Oncology
      • Information for Authors
      • Editorial Policies
      • Editorial Board
      • Aims and Scope
      • Abstracting and Indexing
      • Bibliographic Information
      • Archive
    • Experimental and Therapeutic Medicine
      • Experimental and Therapeutic Medicine
      • Information for Authors
      • Editorial Policies
      • Editorial Board
      • Aims and Scope
      • Abstracting and Indexing
      • Bibliographic Information
      • Archive
    • International Journal of Molecular Medicine
      • International Journal of Molecular Medicine
      • Information for Authors
      • Editorial Policies
      • Editorial Board
      • Aims and Scope
      • Abstracting and Indexing
      • Bibliographic Information
      • Archive
    • Biomedical Reports
      • Biomedical Reports
      • Information for Authors
      • Editorial Policies
      • Editorial Board
      • Aims and Scope
      • Abstracting and Indexing
      • Bibliographic Information
      • Archive
    • Oncology Reports
      • Oncology Reports
      • Information for Authors
      • Editorial Policies
      • Editorial Board
      • Aims and Scope
      • Abstracting and Indexing
      • Bibliographic Information
      • Archive
    • Molecular Medicine Reports
      • Molecular Medicine Reports
      • Information for Authors
      • Editorial Policies
      • Editorial Board
      • Aims and Scope
      • Abstracting and Indexing
      • Bibliographic Information
      • Archive
    • World Academy of Sciences Journal
      • World Academy of Sciences Journal
      • Information for Authors
      • Editorial Policies
      • Editorial Board
      • Aims and Scope
      • Abstracting and Indexing
      • Bibliographic Information
      • Archive
    • International Journal of Functional Nutrition
      • International Journal of Functional Nutrition
      • Information for Authors
      • Editorial Policies
      • Editorial Board
      • Aims and Scope
      • Abstracting and Indexing
      • Bibliographic Information
      • Archive
    • International Journal of Epigenetics
      • International Journal of Epigenetics
      • Information for Authors
      • Editorial Policies
      • Editorial Board
      • Aims and Scope
      • Abstracting and Indexing
      • Bibliographic Information
      • Archive
    • Medicine International
      • Medicine International
      • Information for Authors
      • Editorial Policies
      • Editorial Board
      • Aims and Scope
      • Abstracting and Indexing
      • Bibliographic Information
      • Archive
  • Articles
  • Information
    • Information for Authors
    • Information for Reviewers
    • Information for Librarians
    • Information for Advertisers
    • Conferences
  • Language Editing
Spandidos Publications Logo
  • About
    • About Spandidos
    • Aims and Scopes
    • Abstracting and Indexing
    • Editorial Policies
    • Reprints and Permissions
    • Job Opportunities
    • Terms and Conditions
    • Contact
  • Journals
    • All Journals
    • Biomedical Reports
      • Information for Authors
      • Editorial Policies
      • Editorial Board
      • Aims and Scope
      • Abstracting and Indexing
      • Bibliographic Information
      • Archive
    • Experimental and Therapeutic Medicine
      • Information for Authors
      • Editorial Policies
      • Editorial Board
      • Aims and Scope
      • Abstracting and Indexing
      • Bibliographic Information
      • Archive
    • International Journal of Epigenetics
      • Information for Authors
      • Editorial Policies
      • Editorial Board
      • Aims and Scope
      • Abstracting and Indexing
      • Bibliographic Information
      • Archive
    • International Journal of Functional Nutrition
      • Information for Authors
      • Editorial Policies
      • Editorial Board
      • Aims and Scope
      • Abstracting and Indexing
      • Bibliographic Information
      • Archive
    • International Journal of Molecular Medicine
      • Information for Authors
      • Editorial Policies
      • Editorial Board
      • Aims and Scope
      • Abstracting and Indexing
      • Bibliographic Information
      • Archive
    • International Journal of Oncology
      • Information for Authors
      • Editorial Policies
      • Editorial Board
      • Aims and Scope
      • Abstracting and Indexing
      • Bibliographic Information
      • Archive
    • Medicine International
      • Information for Authors
      • Editorial Policies
      • Editorial Board
      • Aims and Scope
      • Abstracting and Indexing
      • Bibliographic Information
      • Archive
    • Molecular and Clinical Oncology
      • Information for Authors
      • Editorial Policies
      • Editorial Board
      • Aims and Scope
      • Abstracting and Indexing
      • Bibliographic Information
      • Archive
    • Molecular Medicine Reports
      • Information for Authors
      • Editorial Policies
      • Editorial Board
      • Aims and Scope
      • Abstracting and Indexing
      • Bibliographic Information
      • Archive
    • Oncology Letters
      • Information for Authors
      • Editorial Policies
      • Editorial Board
      • Aims and Scope
      • Abstracting and Indexing
      • Bibliographic Information
      • Archive
    • Oncology Reports
      • Information for Authors
      • Editorial Policies
      • Editorial Board
      • Aims and Scope
      • Abstracting and Indexing
      • Bibliographic Information
      • Archive
    • World Academy of Sciences Journal
      • Information for Authors
      • Editorial Policies
      • Editorial Board
      • Aims and Scope
      • Abstracting and Indexing
      • Bibliographic Information
      • Archive
  • Articles
  • Information
    • For Authors
    • For Reviewers
    • For Librarians
    • For Advertisers
    • Conferences
  • Language Editing
Login Register Submit
  • This site uses cookies
  • You can change your cookie settings at any time by following the instructions in our Cookie Policy. To find out more, you may read our Privacy Policy.

    I agree
Search articles by DOI, keyword, author or affiliation
Search
Advanced Search
presentation
World Academy of Sciences Journal
Join Editorial Board Propose a Special Issue
Print ISSN: 2632-2900 Online ISSN: 2632-2919
Journal Cover
March-April 2026 Volume 8 Issue 2

Full Size Image

Sign up for eToc alerts
Recommend to Library

Journals

International Journal of Molecular Medicine

International Journal of Molecular Medicine

International Journal of Molecular Medicine is an international journal devoted to molecular mechanisms of human disease.

International Journal of Oncology

International Journal of Oncology

International Journal of Oncology is an international journal devoted to oncology research and cancer treatment.

Molecular Medicine Reports

Molecular Medicine Reports

Covers molecular medicine topics such as pharmacology, pathology, genetics, neuroscience, infectious diseases, molecular cardiology, and molecular surgery.

Oncology Reports

Oncology Reports

Oncology Reports is an international journal devoted to fundamental and applied research in Oncology.

Experimental and Therapeutic Medicine

Experimental and Therapeutic Medicine

Experimental and Therapeutic Medicine is an international journal devoted to laboratory and clinical medicine.

Oncology Letters

Oncology Letters

Oncology Letters is an international journal devoted to Experimental and Clinical Oncology.

Biomedical Reports

Biomedical Reports

Explores a wide range of biological and medical fields, including pharmacology, genetics, microbiology, neuroscience, and molecular cardiology.

Molecular and Clinical Oncology

Molecular and Clinical Oncology

International journal addressing all aspects of oncology research, from tumorigenesis and oncogenes to chemotherapy and metastasis.

World Academy of Sciences Journal

World Academy of Sciences Journal

Multidisciplinary open-access journal spanning biochemistry, genetics, neuroscience, environmental health, and synthetic biology.

International Journal of Functional Nutrition

International Journal of Functional Nutrition

Open-access journal combining biochemistry, pharmacology, immunology, and genetics to advance health through functional nutrition.

International Journal of Epigenetics

International Journal of Epigenetics

Publishes open-access research on using epigenetics to advance understanding and treatment of human disease.

Medicine International

Medicine International

An International Open Access Journal Devoted to General Medicine.

Journal Cover
March-April 2026 Volume 8 Issue 2

Full Size Image

Sign up for eToc alerts
Recommend to Library

  • Article
  • Citations
    • Cite This Article
    • Download Citation
    • Create Citation Alert
    • Remove Citation Alert
    • Cited By
  • Similar Articles
    • Related Articles (in Spandidos Publications)
    • Similar Articles (Google Scholar)
    • Similar Articles (PubMed)
  • Download PDF
  • Download XML
  • View XML
Case Report Open Access

Presacral tailgut cyst with complex perianal fistula: A case report and a brief review of the literature

  • Authors:
    • Shaban Latif
    • Omer H. Ghalib
    • Salah M. Fateh
    • Sivan H. Salih
    • Rawa M. Ali
    • Karokh F. Hama Hussein
    • Kani A. Ahmad
    • Hiwa O. Abdullah
    • Meer M. Abdulkarim
    • Fahmi H. Kakamad
  • View Affiliations / Copyright

    Affiliations: Department of Breast Surgery, Smart Health Tower, Sulaymaniyah 46001, Iraq, Department of Gastrointestinal Surgery, Smart Health Tower, Sulaymaniyah 46001, Iraq, Department of Clinical Sciences, College of Medicine, University of Sulaimani, Sulaymaniyah 46001, Iraq, Department of Gastroenterology, Gastroenterology and Hepatology Teaching Hospital, Sulaymaniyah 46001, Iraq, Department of Pathology, Smart Health Tower, Sulaymaniyah 46001, Iraq, Department of Scientific Affairs, Smart Health Tower, Sulaymaniyah 46001, Iraq
    Copyright: © Latif et al. This is an open access article distributed under the terms of Creative Commons Attribution License [CC BY 4.0].
  • Article Number: 32
    |
    Published online on: February 26, 2026
       https://doi.org/10.3892/wasj.2026.447
  • Expand metrics +
Metrics: Total Views: 0 (Spandidos Publications: | PMC Statistics: )
Metrics: Total PDF Downloads: 0 (Spandidos Publications: | PMC Statistics: )
Cited By (CrossRef): 0 citations Loading Articles...

This article is mentioned in:


Abstract

Tailgut cysts (TGCs) are rare congenital cystic lesions that pose diagnostic challenges due to varied manifestations, anatomic locations and a tendency to mimic or associate with other anorectal or pelvic pathologies. The present case report describes a challenging case of TGC associated with a complex perianal fistula. A 41‑year‑old female patient presented with painful defecation. A digital rectal examination revealed a deep, soft, ill‑defined fullness palpable in the presacral region. There were no palpable masses, secondary tracts, abscess cavities, or signs of purulent discharge. Magnetic resonance imaging revealed a multiloculated cystic lesion in the presacral region associated with a complex perianal fistula. The cyst and its associated fistulous tract were removed by en bloc excision. A histopathological examination of the cyst confirmed a TGC. In addition, in reviewing 13 recently reported cases, the common clinical presentations included lower abdominal or pelvic pain and constipation, while approximately a quarter of the cases were incidentally found. Malignant transformation was documented in 5 cases, most commonly into adenocarcinoma, with metastases in 3 cases. Of the cases with malignant transformation, 3 cases succumbed to disease. All patients underwent surgical excision, with the open approach used most frequently (~76.9%). Outcomes were excellent among patients with benign lesions, with no recurrence during follow‑up, whereas those with malignant transformation had a poorer prognosis. TGCs may be associated with or masked by other perianal conditions, such as fistulas, necessitating proper investigation to avoid misdiagnosis or improper management.

Introduction

Tailgut cysts (TGCs), also known as retrorectal cystic hamartomas, are rare congenital cystic lesions originating from remnants of the embryonic hindgut (1,2). They are typically located in the retrorectal or presacral space, a potential anatomical area bounded anteriorly by the fascia propria of the rectum and mesorectum, posteriorly by the presacral fascia, inferiorly by the levator ani muscle and superiorly by the peritoneal reflection (1). The disease was first recognized in the literature as developmental anomalies arising from the incomplete involution of the postcloacal gut during embryogenesis (3,4). Normally, the tailgut undergoes regression by the 6th week of gestation; failure of this process results in the formation of these cystic lesions (3). A number of patients remain asymptomatic, and lesions may be discovered incidentally (5,6). However, symptomatic cases can present with nonspecific complaints, including lower abdominal or perineal pain, constipation, dyschezia, urinary dysfunction, or neurological symptoms (2,4,7). This anomaly predominantly affects middle-aged women, with reported female-to-male ratios ranging from 3:1 to as high as 9:1, although malignant transformation appears to occur more frequently in males (1,3,4). Despite the female predominance, the overall incidence is extremely low, estimated at ~1 in 40,000 individuals, highlighting the rarity of this condition (6,8). The diagnosis of TGCs remains challenging due to their rarity, nonspecific symptoms and anatomic location, which may mimic or be associated with other anorectal or pelvic pathologies (6). In addition, given the potential for neoplastic transformation, early recognition and management are deemed necessary (2,5). The present case report describes a case of TGC associated with a complex perianal fistula in a middle-aged patient.

Case report

Patient information

In July 2024, a 41-year-old female patient presented to Smart Health Tower (Sulaymaniyah, Iraq) with severe anal pain during defecation, without radiating to other regions. The patient denied bleeding per rectum, urinary symptoms (including dysuria, frequency, or urgency) and any signs of genitourinary disease, and reported regular bowel habits. She had no history of anal or perineal discharge, local trauma, systemic symptoms such as fever, chills, weight loss, or anorexia, nor any chronic illnesses, including diabetes mellitus, inflammatory bowel disease, or malignancy. The family history for gastrointestinal, colorectal, or congenital conditions was negative. Her menstrual and gynecologic history was normal, with regular cycles and no reported complications. She had undergone three prior cesarean sections and a laminectomy ~2 months prior to presentation. There was no history of immunosuppressive therapy, radiation, or previous pelvic interventions.

Clinical findings

Upon a physical examination, the patient appeared comfortable, afebrile and hemodynamically stable. The abdomen was soft, with no rebound tenderness, guarding, palpable masses, organomegaly, or ascites. Bowel sounds were normal and audible. A perineal inspection identified a small external wound at the 6 o'clock position relative to the anal verge, with no active discharge or signs of local cellulitis. There were no signs of perianal abscess, skin breakdown in the anal verge, or external hemorrhoids. A digital rectal examination revealed a normal resting tone with pinpoint tenderness in the presacral region and localized tenderness along the posterior rectal wall. There was a deep, soft, ill-defined fullness palpable in the presacral region, while no palpable masses, secondary tracts, abscess cavities, or signs of purulent discharge were noted. The overlying rectal mucosa was smooth, and there was no intraluminal bulge or mass effect. A neurological examination revealed normal lower limb strength and reflexes. Anal reflex and voluntary contraction were intact.

Diagnostic assessments

Blood investigations revealed a normal complete blood count. Stool calprotectin was measured at 20.2 µg/g (normal range, <50 µg/g), excluding active inflammatory bowel disease. Trans-perineal ultrasonography identified a single external opening at the 6 o'clock position at the anal verge, from which a tract extended into the intersphincteric plane. A multiloculated, thin-walled cystic lesion, measuring 25x16x10 mm, was identified posterior to the anal canal. The absence of direct communication with the rectal or anal canal lumen suggested an extra-luminal origin. A magnetic resonance imaging (MRI) was conducted and confirmed the presence of a multiloculated cystic lesion, measuring 30x16x15 mm, situated in the presacral region, anterior to the distal rectum, and extending towards the anorectal junction. The cyst was thin-walled and lacked solid components, with no connection to the rectal lumen (Fig. 1). Furthermore, the MRI revealed an associated complex perianal fistula, classified as grade II according to the St. James's Hospital Classification. An ileo-colonoscopy revealed patchy areas of colitis, and multiple biopsies were obtained. A histopathological analysis was performed on 5-µm-thick paraffin-embedded tissue sections. The sections were fixed with 10% neutral buffered formalin at room temperature for 24 h and then stained with hematoxylin and eosin (H&E; Bio Optica Co.) for 1-2 min at room temperature. The sections were then examined under a light microscope (Leica Microsystems GmbH). The histopathological examination revealed no notable abnormalities, effectively ruling out inflammatory or neoplastic conditions (data not shown).

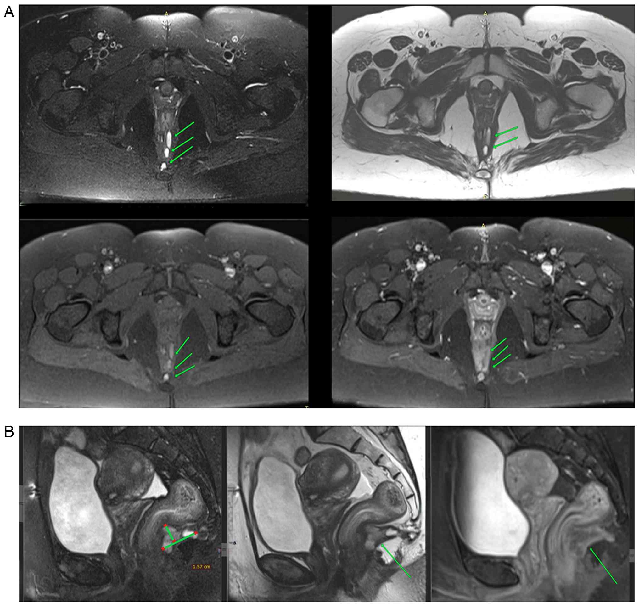
(A) Axial section images [images on
the upper panel (left panel, T2-weighted fat-saturated; right
panel, T2-weighted); images on the lower panel (left panel, T1
fat-saturated pre-contrast; right panel, T1 fat-saturated
post-contrast)] illustrating an elongated multiloculated
thin-walled cystic lesion in the presacral space (green arrows),
extending from the posterior aspect of the rectum toward the
sacrococcygeal region while rectum and vertebrae are normal with no
surrounding soft tissue edema. (B) Sagittal plane images (left
panel, T2-weighted fat-saturated; middle panel, T2-weighted; right
panel, T1 fat-saturated post-contrast) illustrating a presacral
space lesion (green arrows), which is above the pelvic diaphragm
and extending toward the anorectal junction.

Figure 1

(A) Axial section images [images on the upper panel (left panel, T2-weighted fat-saturated; right panel, T2-weighted); images on the lower panel (left panel, T1 fat-saturated pre-contrast; right panel, T1 fat-saturated post-contrast)] illustrating an elongated multiloculated thin-walled cystic lesion in the presacral space (green arrows), extending from the posterior aspect of the rectum toward the sacrococcygeal region while rectum and vertebrae are normal with no surrounding soft tissue edema. (B) Sagittal plane images (left panel, T2-weighted fat-saturated; middle panel, T2-weighted; right panel, T1 fat-saturated post-contrast) illustrating a presacral space lesion (green arrows), which is above the pelvic diaphragm and extending toward the anorectal junction.

Therapeutic intervention

Under the jackknife position, the patient underwent a fistulectomy. The external opening was identified, and the fistulous tract was meticulously followed using electrocautery, ensuring controlled dissection in the intersphincteric area. This dissection led to the identification of the underlying multiloculated cystic lesion. The cyst and its associated fistulous tract were removed by en bloc excision, ensuring the complete removal of both the pathological cyst and the communicating fistula. Following hemostasis, the surgical defect was intentionally left open to heal by secondary intention. The procedure was completed without any intraoperative complications. A histopathological examination of the cyst was performed on 5-µm-thick paraffin-embedded tissue sections. The sections were fixed with 10% neutral buffered formalin at room temperature for 24 h and then stained with hematoxylin and eosin (H&E; Bio Optica Co.) for 1-2 min at room temperature. The sections were then examined under a light microscope (Leica Microsystems GmbH). This confirmed a TGC (Fig. 2).

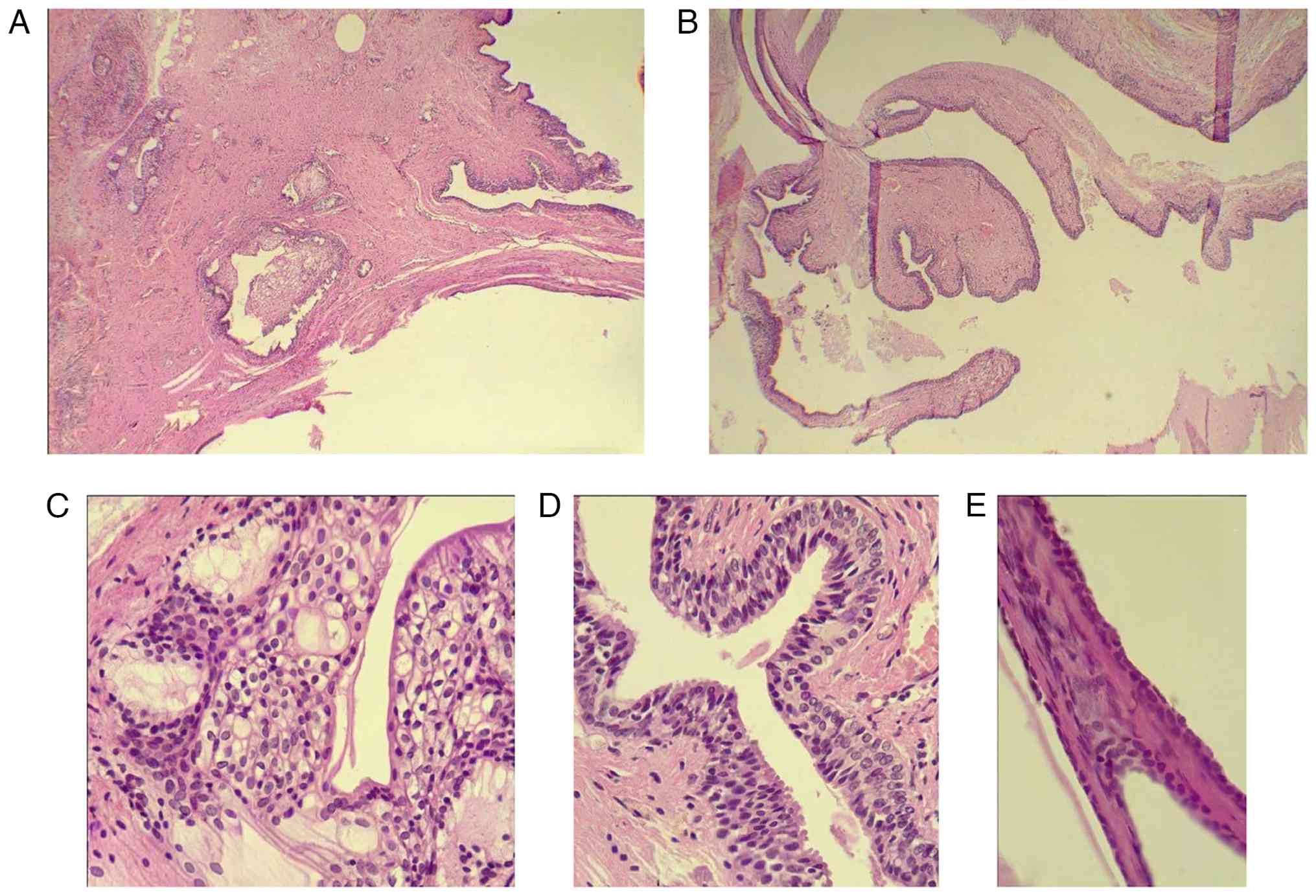
(A) The lesion is cystic and contains
numerous broad fibrous papillae that are lined by epithelium. There
is debris in the lumen of the cyst. (B) There are various types of
epithelium in the lining and wall of the cyst, including
transitional, stratified squamous, mucinous columnar, and flat to
low cuboidal epithelium. (C) The transitional epithelium is
stratified and composed of tall cells with indistinct cytoplasmic
borders, a moderate amount of lightly eosinophilic cytoplasm, and
oval nuclei with fine chromatin. It differs from the transitional
epithelium of the urothelial tract and does not belong to an
otherwise specific category of epithelium in the body. (D) The
stratified squamous epithelium is non-keratinizing and is composed
of cells with distinct cytoplasmic borders, a moderate amount of
clear to lightly eosinophilic cytoplasm, and round nuclei with fine
chromatin. The mucinous glands are lined by tall columnar cells
with abundant cytoplasmic mucin and small, round nuclei with fine
chromatin. (E) The flat to low cuboidal epithelium lines some areas
of the cyst and is composed of cells with minimal eosinophilic
cytoplasm and oval nuclei with fine chromatin. Images illustrate
hematoxylin and eosin staining; (A and B) original magnification,
x40; (C-E) original magnification, x400.

Figure 2

(A) The lesion is cystic and contains numerous broad fibrous papillae that are lined by epithelium. There is debris in the lumen of the cyst. (B) There are various types of epithelium in the lining and wall of the cyst, including transitional, stratified squamous, mucinous columnar, and flat to low cuboidal epithelium. (C) The transitional epithelium is stratified and composed of tall cells with indistinct cytoplasmic borders, a moderate amount of lightly eosinophilic cytoplasm, and oval nuclei with fine chromatin. It differs from the transitional epithelium of the urothelial tract and does not belong to an otherwise specific category of epithelium in the body. (D) The stratified squamous epithelium is non-keratinizing and is composed of cells with distinct cytoplasmic borders, a moderate amount of clear to lightly eosinophilic cytoplasm, and round nuclei with fine chromatin. The mucinous glands are lined by tall columnar cells with abundant cytoplasmic mucin and small, round nuclei with fine chromatin. (E) The flat to low cuboidal epithelium lines some areas of the cyst and is composed of cells with minimal eosinophilic cytoplasm and oval nuclei with fine chromatin. Images illustrate hematoxylin and eosin staining; (A and B) original magnification, x40; (C-E) original magnification, x400.

Follow-up and outcome

The postoperative course was uneventful. Standard analgesic therapy was administered, and routine wound care was provided to facilitate healing. The perineal wound exhibited healthy granulation tissue formation and progressive contraction, achieving complete closure within 6 weeks of the procedure. During a follow-up period exceeding 12 months, there was no evidence of recurrence of either the fistulous disease or the cystic lesion, and the patient remained asymptomatic.

Discussion

Tumors and cystic lesions in the presacral or retrorectal space are exceedingly rare (5,9). Owing to the intricate embryologic development of the region, the spectrum of presacral lesions includes inflammatory conditions such as fistulas, abscesses and granulomas, as well as neoplastic lesions. The neoplastic group encompasses osseous and mesenchymal tumors (including osteoma, osteosarcoma, Ewing sarcoma, lipoma, liposarcoma, fibrosarcoma, leiomyoma and leiomyosarcoma), neurogenic tumors (neurofibroma, neurofibrosarcoma, and ganglioneuroma) and congenital lesions such as teratoma, TGC, and rectal duplication cyst. Developmental cysts account for more than half of congenital presacral lesions, and TGCs are among the rarest congenital types derived from primitive hindgut remnants (4,5,9). Embryologically, during the 4th week of intrauterine life, the embryo folds inward to enclose the primitive gut, and the cloacal membrane (containing endoderm below Hensen's node) becomes positioned ventrally to enclose the distal portion of the hindgut, forming the tailgut. Normally, the tailgut regresses by the sixth week of gestation. Failure of this regression results in a mucus-secreting cystic lesion known as a TGC (10).

Clinically, TGCs exhibit a broad spectrum of presentations, ranging from incidental findings to symptomatic lesions. Symptoms typically result from the mass effect of the lesion on adjacent structures, leading to lower abdominal pain, pelvic or sacral discomfort, constipation, rectal fullness, dysuria, pollakiuria, and urinary retention (6,10). In some cases, infection or inflammation of the cyst can cause acute pain or lead to the formation of a sinus tract that drains externally, often misdiagnosed as a simple abscess or perianal fistula (11). Furthermore, malignant transformation, although rare, has been reported in up to 13% of cases, resulting in adenocarcinomas or carcinoid tumors (3). Due to their deep pelvic location and non-specific symptoms, retrorectal masses are often misdiagnosed. Half of all cases are discovered incidentally, and there is disagreement regarding the effectiveness of digital rectal examination in their detection (4). When palpable, they are often described as extrinsic, fluctuant masses during digital rectal evaluation, raising suspicion for a retrorectal lesion (6). In the present study, a literature research on Google Scholar was conducted using the key word ‘tail gut cyst’, and some of the recently published cases were reviewed. In reviewing 13 reported cases (1-6,8-10,12-15), there was a marked female predominance (84.6%), and an age range spanning from the neonatal period to 71 years. The common clinical presentations included lower abdominal or pelvic pain, constipation, urinary retention, and perianal swelling, while approximately a quarter of the cases were incidentally discovered. In total, 2 cases were initially misdiagnosed as ovarian or dermoid cysts. Malignant transformation was documented in five cases (~38.5%), most commonly into adenocarcinoma, followed by squamous cell carcinoma, with metastases observed in 3 cases (Table I). The patient in the present case report complained of severe anal pain during defecation without any associated symptoms or significant medical history. Upon a physical examination, there was only a small external wound in the anal verge, without discharge or local cellulitis. A digital rectal examination revealed a deep, soft, ill-defined fullness palpable in the presacral region with no palpable masses or signs of abscess.

Table I

Summary of 13 recently reported cases of tailgut cyst identified in the literature.

Table I

Summary of 13 recently reported cases of tailgut cyst identified in the literature.

Authors, year of publicationAge/sex Presentation/symptomsDuration of symptomsPMSHImaging findingsSize of cyst (cm) Misdiagnosis/associated pathologyMalignancy transformationResection status of the cyst/techniqueOutcome and recurrence(Refs.)
Malutan et al, 202530/FLow abdominal pain3 yearsThree surgical procedures for presumed left ovarian cysts without relieving symptomsPresacral tumor with right pararectal development and mass effect on the rectum2.88Initially misdiagnosed as a left ovarian cystNoneComplete/Open (Pfannenstiel approach)Symptom-free and no recurrence after 1 year of follow-up(6)
Rakia et al, 202534/MAsymptomatic (incidental finding)N/ANoneBilobed retrorectal cysts displacing the rectum4 & 7NoneNone Complete/laparoscopySymptom-free and no recurrence at the 3-month follow-up(12)
Achugatla et al, 2025Neonate/FSwelling over mid-gluteal region above anal openingSince birthNoneWell-defined solid-to-cystic lesion in precoccygeal space initially suggestive of a dermoid cyst3.64Suspected as dermoid cyst on imagingNoneComplete/open (Kraske approach)Symptom-free and no recurrence after 1 year of follow-up(13)
Ajredini et al, 202563/FConstipation, recurrent UTI, difficulty voiding3 monthsTotal hysterectomy for a large leiomyoma and partial cystectomyPericoccygeal complicated cyst compressing rectum and bladder, later MRI showed a destructive sacral lesion and L4-L5 vertebral metastasis13.8NoneTransformed into mucinous adenocarcinoma with metastasisComplete/OpenSymptoms partially improved with progressive metastatic disease(1)
Al Jada et al, 2025Early 50s/FProgressive lower abdominal pain, urinary retention, and tenesmus2 monthsNoneWell-defined presacral cystic lesion displacing rectum, uterus, and bladder; follow-up CT/MRI: Recurrent presacral cyst with liver and osseous metastases10.9NoneTransformed into mucinous adenocarcinoma with metastasesIncomplete/Open (exploratory laparotomy) due to intraoperative instability from left iliac vein injuryRecurrence after 6 months with metastases and succumbed 2 months after commencing treatment(3)
Kitazawa et al, 202540/FSevere coccygeal pain exacerbated by sittingN/AUterine polyp treated with endometrial curettageMultiloculated cystic lesion associated with median sacral vein1.2NoneNone Complete/laparoscopySymptom-free(2)
De Crombrugghe et al, 202459/MBulging and uncomfortable perianal tumorN/AThrombophlebitisLarge ovoid cystic lesion in anal canal posterior wall3NoneNoneComplete/openSymptom-free and no recurrence(8)
Haval et al, 202418/FIntermittent abdominal pain and constipation6 monthsNoneMultiloculated cystic mass in presacral/precoccygeal space displacing rectum5.4NoneNoneComplete/open (transabdominal approach)Symptom-free(10)
Kiosov et al, 202445/FAsymptomatic (incidental finding)N/ANoneOval hypoechoic inhomogeneous lesion adjacent to posterior rectal wall and connected to its muscle layer2.5NoneNone Complete/endoscopySymptom-free(5)
Manikandan et al, 202423/FVaginal discharge and lower abdominal painN/AExploratory laparotomy with marsupialization of cystThick-walled hypodense lesion with septations and calcifications displacing rectum8.9NoneTransformed into moderately differentiated adenocarcinomaComplete/open (exploratory laparotomy)PET-CECT showed residual disease. chemotherapy was planned but patient lost to follow-up(14)
Moshtaghian et al, 202351/FPelvic pain, constipation, and fecal urgencyN/ANoneHypodense cystic lesion in left retrorectal region causing rectal deviation2.3NoneTransformed into squamous cell carcinoma Incomplete/OpenRecurrence and metastasis; succumbed after 1 year(9)
Russo et al, 202331/FAsymptomatic (incidental finding)N/ANoneRetrorectal heterogeneous cystic mass located inferior to gravid uterus7.2NoneNoneComplete/open (sub-umbilical median laparotomy)Symptom-free(15)
Atiya et al, 202371/FIncreasing tailbone/pelvic painSeveral monthsPrior mass (unknown detail) in childhoodLarge multiloculated cyst with septal calcifications12.4NoneTransformed into adenocarcinomaComplete/openSuccumbed to disease(4)

[i] M, male; F, female; PMSH, past medical and surgical history; CT, computed tomography; MRI, magnetic resonance imaging; UTI, urinary tract infection; N/A, not available; PET-CECT, positron emission tomography-computed tomography.

The heterogeneous morphology of these cysts contributes to radiological ambiguity, leading to misdiagnosis in >50% of cases (4). The pre-operative diagnosis of TGCs relies heavily on imaging. MRI and computed tomography (CT) are considered the modalities of choice. On MRI, TGCs are generally hypointense on T1-weighted images and hyperintense on T2-weighted images. Still, these characteristics can vary with cyst content. CT scans usually demonstrate well-defined presacral cystic lesions with central fluid attenuation, peripheral soft-tissue enhancement, and occasional rim calcification (3). Transrectal ultrasound can further define the association of the cyst with the rectal wall and determine whether the lesion is cystic or solid (10). Pre-operative MRI and biopsy have exhibited a sensitivity of 84 and 86%, respectively, for presacral tumors (1). While a biopsy may assist in determining the surgical plan and in identifying malignant transformation, its use is controversial. Biopsy is discouraged in resectable cases as it is associated with the risk of infection or malignant seeding along the biopsy tract (11). However, in unresectable cases, biopsy may be justified to guide neoadjuvant therapy (1). In the case presented herein, trans-perineal ultrasonography identified a single external opening in the anal verge, from which a tract extended into the intersphincteric plane. In addition, a multiloculated, thin-walled cystic lesion was identified posterior to the anal canal, with no direct communication with the rectal or anal canal lumen, suggesting an extra-luminal origin. An MRI confirmed a multiloculated cystic lesion associated with a perianal fistula without discharge.

Johnson et al (11) described a 16-year-old girl with persistent pelvic pain who had undergone several surgeries for presumed recurrent perianal fistulas and abscesses. Upon re-evaluation, a presacral cystic mass was identified, leading to the diagnosis of a TGC. The authors of that study highlighted that TGCs should be considered in patients presenting with recurrent presacral abscesses or anal fistulas, as a misdiagnosis may result in delayed recognition and inappropriate management (11). Similarly, Sauer et al (16) reported the case of a 58-year-old woman initially treated for a presumed presacral abscess who developed recurrent perianal fistulas despite drainage procedures. Subsequent abdominoperineal resection revealed an adenocarcinoma arising from a TGC, emphasizing that persistent or recurrent fistulas may conceal benign or malignant cystic lesions (16). In a Korean series of 24 cases, 42% of TGCs were infected, with few presenting as perianal swelling or discharging sinuses (17). Consistently, Malutan et al (6) observed that up to half of TGCs become clinically apparent only after infection or fistula formation. These findings may explain the case in the present study, in which a perianal fistula developed without an abscess or discharge, and the definitive diagnosis could have been easily overlooked without appropriate diagnostic evaluation.

A histopathological examination remains the gold standard for confirming the diagnosis. Microscopically, TGCs are typically multilocular and filled with mucinous material. Their walls contain irregular bundles of smooth muscle and are lined by a mixture of epithelial cell types, including keratinizing or non-keratinizing squamous, columnar, ciliated and transitional epithelium. These features distinguish TGCs from other cystic lesions, such as epidermoid cysts or teratomas (7).

Complete surgical excision is the treatment of choice for both symptomatic and asymptomatic TGCs (3). The surgical approach depends mainly on the location and extent of the lesion. Lesions above the S3 vertebral level are typically approached anteriorly via a transabdominal route, while those below are managed through a posterior route, such as parasacral, transsacral, trans-coccygeal, or intersphincteric approaches. Combined abdominosacral approaches are reserved for extensive lesions (6,17). Each technique has distinct advantages: The anterior route offers direct visualization of pelvic structures, such as the ureters and iliac vessels, whereas the posterior approach provides easier access to distal lesions but carries a higher risk of nerve injury (6). Ensuring complete excision with negative margins is critical, as incomplete resection can lead to recurrence, infection, or delayed malignant transformation. Post-operative follow-up is recommended with periodic digital rectal examinations and imaging analyses, such as CT scans (3). In addition to open surgery, endoscopic removal has also been performed in some cases for small, well-defined lesions adjacent to the rectal wall with no major vessels in proximity, and acceptable outcomes have been achieved (5).

A multidisciplinary approach is essential to ensure an accurate diagnosis and optimal management. Inadequate pre- and peri-operative work-up may result in recurrence or a missed opportunity for cure (1). A previous case report assumed that recurrent lesions decades after incomplete excision may sometimes be associated with malignant change (4). This highlights the necessity for complete primary excision and vigilant long-term follow-up (4). Among the cases reviewed herein, mortality occurred in 3 cases due to malignant transformation. All patients underwent surgical excision, with the open approach used most frequently (~76.9%). In 2 cases which were malignant, the excision was incomplete and ended in metastasis and mortality. Outcomes were excellent among patients with benign lesions, with no recurrence during follow-up, whereas those with malignant transformation had a poorer prognosis. The patient in the present case report underwent the en bloc excision of both the TGC and its associated fistula without any intra- or post-operative complications. Over 1-year follow-up, the patient remained asymptomatic and had no recurrence. The limitation of this report include the inability to retrieve the histopathological image from the initial Ileo-colonoscopy biopsy.

In conclusion, TGCs, as a congenital anomaly, may present with non-specific symptoms and may be associated with or masked by other perianal conditions, such as fistulas, necessitating appropriate investigation to avoid misdiagnosis or inappropriate management.

Acknowledgements

Not applicable.

Funding

Funding: No funding was received.

Availability of data and materials

The data generated in the present study may be requested from the corresponding author.

Authors' contributions

SL, OHG, KAA and SHS were involved in the design and conception of the study, in the literature review, and in managing the case. SMF was the radiologist who performed the radiological examination and prepared the related figures. RMA was the pathologist who performed the histopathological examination of the case and also critically revised the manuscript. MMA, HOA, KFHH and FHK were involved in the literature review, in the drafting of the manuscript, in critical revision, and in the design of the study. All authors have read and approved the final manuscript. SL and KAA confirm the authenticity of all the raw data.

Ethics approval and consent to participate

Written informed consent was obtained from the patient for participation in the present case report.

Patient consent for publication

Written informed consent was obtained from the patient for the publication of the present case report and any accompanying images.

Competing interests

The authors declare that they have no competing interests.

References

1 

Ajredini M, Saracoglu C, Kus AA, Cetin SE, Aytac E and Ozer L: Clinical course of a tailgut cyst transformed to retrorectal mucinous adenocarcinoma: A case report. Int J Surg Case Rep. 134(111635)2025.PubMed/NCBI View Article : Google Scholar

2 

Kitazawa M, Karasawa S, Nakamura S, Yamamoto Y and Soejima Y: Laparoscopic excision of a tailgut cyst with refractory pain: A case report. Cureus. 17(e77644)2025.PubMed/NCBI View Article : Google Scholar

3 

Al Jada I, Oweidat M, Khaleel M, Harb O, Abu Nahla U, Bleibel R, Arafeh M and Hassouneh AWM: Recurrent presacral tailgut cyst with mucinous adenocarcinoma and metastasis. Radiol Case Rep. 20:4022–4027. 2025.PubMed/NCBI View Article : Google Scholar

4 

Atiya S, Horn A, Wedel W and Lintel N: A rare case of ruptured tailgut cyst leading to carcinomatosis. Case Rep Pathol. 2023(1282058)2023.PubMed/NCBI View Article : Google Scholar

5 

Kiosov O, Tkachov V and Gulevskyi S: Endoscopic resection of tailgut cyst. Case Rep Gastrointest Med. 2024(5538439)2024.PubMed/NCBI View Article : Google Scholar

6 

Malutan AM, Suciu VE, Ignat FL, Diculescu D, Ciortea R, Boțan EC, Bucuri CE, Roman MP, Nati I, Ormindean C and Mihu D: Tailgut cyst-gynecologist's pitfall: Literature review and case report. Diagnostics (Basel). 15(108)2025.PubMed/NCBI View Article : Google Scholar

7 

Kobayashi T, Ishida M, Miki H, Yagyu T, Hatta M, Hamada M, Hirose Y and Sekimoto M: Analysis of the clinicopathological features of tailgut cyst with emphasis on the development of neoplastic lesions. Oncol Lett. 27(286)2024.PubMed/NCBI View Article : Google Scholar

8 

de Crombrugghe J, Cimpean S, Verset L and Mehdi A: Tailgut cyst, management of a rare perianal mass: A case report. AME Case Rep. 9(18)2024.PubMed/NCBI View Article : Google Scholar

9 

Moshtaghian M, Shahsiah R, Jafari F and Aghili M: Malignant transformation of tailgut cyst to squamous cell carcinoma, a rare case with poor outcome. Clin Case Rep. 11(e6893)2023.PubMed/NCBI View Article : Google Scholar

10 

Haval S, Dwivedi D and Nichkaode P: Presacral tailgut cyst. Ann Afr Med. 23:237–241. 2024.PubMed/NCBI View Article : Google Scholar : (In French, English).

11 

Johnson KN, Young-Fadok TM, Carpentieri D, Acosta JM and Notrica DM: Case report: misdiagnosis of tailgut cyst presenting as recurrent perianal fistula with pelvic abscess. J Pediatr Surg. 48:e33–e36. 2013.PubMed/NCBI View Article : Google Scholar

12 

Rakia S, Mohamed Ali M, Hsairi M, Karim S, Brahim G, Sassi K and Slima MB: Case Report: Tailgut cyst: Diagnosis and treatment. F1000Research. 14(747)2025.

13 

Achugatla S, Karkera P, Pikale H and Bodhanwala M: Tailgut cyst in a neonate with review of literature-22nd case in pediatric population. J Indian Assoc Pediatr Surg. 30:558–559. 2025.PubMed/NCBI View Article : Google Scholar

14 

Manikandan M, Kapoor A and Yadav V: Tailgut cyst adenocarcinoma in a young female. JRCR. 15:136–138. 2024.

15 

Russo D, Bartholmot C, Fabre JM and Bardol T: Neuroendocrine tumor arising in a tailgut cyst in a pregnant woman: First case report and review of the literature. SODA: Jun 7, 2023 (Epub ahead of print).

16 

Sauer J, Wolf HK and Junginger T: Adenocarcinoma in a tail-gut cyst: A rare cause of recurrent perianal fistula. Chirurg. 71:712–716. 2000.PubMed/NCBI View Article : Google Scholar : (In German).

17 

Sakr A, Kim HS, Han YD, Cho MS, Hur H, Min BS, Lee KY and Kim NK: Single-center experience of 24 cases of tailgut cyst. Ann Coloproctol. 35:268–274. 2019.PubMed/NCBI View Article : Google Scholar

Related Articles

  • Abstract
  • View
  • Download
Copy and paste a formatted citation
Spandidos Publications style
Latif S, Ghalib OH, Fateh SM, Salih SH, Ali RM, Hama Hussein KF, Ahmad KA, Abdullah HO, Abdulkarim MM, Kakamad FH, Kakamad FH, et al: Presacral tailgut cyst with complex perianal fistula: A case report and a brief review of the literature. World Acad Sci J 8: 32, 2026.
APA
Latif, S., Ghalib, O.H., Fateh, S.M., Salih, S.H., Ali, R.M., Hama Hussein, K.F. ... Kakamad, F.H. (2026). Presacral tailgut cyst with complex perianal fistula: A case report and a brief review of the literature. World Academy of Sciences Journal, 8, 32. https://doi.org/10.3892/wasj.2026.447
MLA
Latif, S., Ghalib, O. H., Fateh, S. M., Salih, S. H., Ali, R. M., Hama Hussein, K. F., Ahmad, K. A., Abdullah, H. O., Abdulkarim, M. M., Kakamad, F. H."Presacral tailgut cyst with complex perianal fistula: A case report and a brief review of the literature". World Academy of Sciences Journal 8.2 (2026): 32.
Chicago
Latif, S., Ghalib, O. H., Fateh, S. M., Salih, S. H., Ali, R. M., Hama Hussein, K. F., Ahmad, K. A., Abdullah, H. O., Abdulkarim, M. M., Kakamad, F. H."Presacral tailgut cyst with complex perianal fistula: A case report and a brief review of the literature". World Academy of Sciences Journal 8, no. 2 (2026): 32. https://doi.org/10.3892/wasj.2026.447
Copy and paste a formatted citation
x
Spandidos Publications style
Latif S, Ghalib OH, Fateh SM, Salih SH, Ali RM, Hama Hussein KF, Ahmad KA, Abdullah HO, Abdulkarim MM, Kakamad FH, Kakamad FH, et al: Presacral tailgut cyst with complex perianal fistula: A case report and a brief review of the literature. World Acad Sci J 8: 32, 2026.
APA
Latif, S., Ghalib, O.H., Fateh, S.M., Salih, S.H., Ali, R.M., Hama Hussein, K.F. ... Kakamad, F.H. (2026). Presacral tailgut cyst with complex perianal fistula: A case report and a brief review of the literature. World Academy of Sciences Journal, 8, 32. https://doi.org/10.3892/wasj.2026.447
MLA
Latif, S., Ghalib, O. H., Fateh, S. M., Salih, S. H., Ali, R. M., Hama Hussein, K. F., Ahmad, K. A., Abdullah, H. O., Abdulkarim, M. M., Kakamad, F. H."Presacral tailgut cyst with complex perianal fistula: A case report and a brief review of the literature". World Academy of Sciences Journal 8.2 (2026): 32.
Chicago
Latif, S., Ghalib, O. H., Fateh, S. M., Salih, S. H., Ali, R. M., Hama Hussein, K. F., Ahmad, K. A., Abdullah, H. O., Abdulkarim, M. M., Kakamad, F. H."Presacral tailgut cyst with complex perianal fistula: A case report and a brief review of the literature". World Academy of Sciences Journal 8, no. 2 (2026): 32. https://doi.org/10.3892/wasj.2026.447
Follow us
  • Twitter
  • LinkedIn
  • Facebook
About
  • Spandidos Publications
  • Careers
  • Cookie Policy
  • Privacy Policy
How can we help?
  • Help
  • Live Chat
  • Contact
  • Email to our Support Team