Spandidos Publications Logo
  • About
    • About Spandidos
    • Aims and Scopes
    • Abstracting and Indexing
    • Editorial Policies
    • Reprints and Permissions
    • Job Opportunities
    • Terms and Conditions
    • Contact
  • Journals
    • All Journals
    • Oncology Letters
      • Oncology Letters
      • Information for Authors
      • Editorial Policies
      • Editorial Board
      • Aims and Scope
      • Abstracting and Indexing
      • Bibliographic Information
      • Archive
    • International Journal of Oncology
      • International Journal of Oncology
      • Information for Authors
      • Editorial Policies
      • Editorial Board
      • Aims and Scope
      • Abstracting and Indexing
      • Bibliographic Information
      • Archive
    • Molecular and Clinical Oncology
      • Molecular and Clinical Oncology
      • Information for Authors
      • Editorial Policies
      • Editorial Board
      • Aims and Scope
      • Abstracting and Indexing
      • Bibliographic Information
      • Archive
    • Experimental and Therapeutic Medicine
      • Experimental and Therapeutic Medicine
      • Information for Authors
      • Editorial Policies
      • Editorial Board
      • Aims and Scope
      • Abstracting and Indexing
      • Bibliographic Information
      • Archive
    • International Journal of Molecular Medicine
      • International Journal of Molecular Medicine
      • Information for Authors
      • Editorial Policies
      • Editorial Board
      • Aims and Scope
      • Abstracting and Indexing
      • Bibliographic Information
      • Archive
    • Biomedical Reports
      • Biomedical Reports
      • Information for Authors
      • Editorial Policies
      • Editorial Board
      • Aims and Scope
      • Abstracting and Indexing
      • Bibliographic Information
      • Archive
    • Oncology Reports
      • Oncology Reports
      • Information for Authors
      • Editorial Policies
      • Editorial Board
      • Aims and Scope
      • Abstracting and Indexing
      • Bibliographic Information
      • Archive
    • Molecular Medicine Reports
      • Molecular Medicine Reports
      • Information for Authors
      • Editorial Policies
      • Editorial Board
      • Aims and Scope
      • Abstracting and Indexing
      • Bibliographic Information
      • Archive
    • World Academy of Sciences Journal
      • World Academy of Sciences Journal
      • Information for Authors
      • Editorial Policies
      • Editorial Board
      • Aims and Scope
      • Abstracting and Indexing
      • Bibliographic Information
      • Archive
    • International Journal of Functional Nutrition
      • International Journal of Functional Nutrition
      • Information for Authors
      • Editorial Policies
      • Editorial Board
      • Aims and Scope
      • Abstracting and Indexing
      • Bibliographic Information
      • Archive
    • International Journal of Epigenetics
      • International Journal of Epigenetics
      • Information for Authors
      • Editorial Policies
      • Editorial Board
      • Aims and Scope
      • Abstracting and Indexing
      • Bibliographic Information
      • Archive
    • Medicine International
      • Medicine International
      • Information for Authors
      • Editorial Policies
      • Editorial Board
      • Aims and Scope
      • Abstracting and Indexing
      • Bibliographic Information
      • Archive
  • Articles
  • Information
    • Information for Authors
    • Information for Reviewers
    • Information for Librarians
    • Information for Advertisers
    • Conferences
  • Language Editing
Spandidos Publications Logo
  • About
    • About Spandidos
    • Aims and Scopes
    • Abstracting and Indexing
    • Editorial Policies
    • Reprints and Permissions
    • Job Opportunities
    • Terms and Conditions
    • Contact
  • Journals
    • All Journals
    • Biomedical Reports
      • Information for Authors
      • Editorial Policies
      • Editorial Board
      • Aims and Scope
      • Abstracting and Indexing
      • Bibliographic Information
      • Archive
    • Experimental and Therapeutic Medicine
      • Information for Authors
      • Editorial Policies
      • Editorial Board
      • Aims and Scope
      • Abstracting and Indexing
      • Bibliographic Information
      • Archive
    • International Journal of Epigenetics
      • Information for Authors
      • Editorial Policies
      • Editorial Board
      • Aims and Scope
      • Abstracting and Indexing
      • Bibliographic Information
      • Archive
    • International Journal of Functional Nutrition
      • Information for Authors
      • Editorial Policies
      • Editorial Board
      • Aims and Scope
      • Abstracting and Indexing
      • Bibliographic Information
      • Archive
    • International Journal of Molecular Medicine
      • Information for Authors
      • Editorial Policies
      • Editorial Board
      • Aims and Scope
      • Abstracting and Indexing
      • Bibliographic Information
      • Archive
    • International Journal of Oncology
      • Information for Authors
      • Editorial Policies
      • Editorial Board
      • Aims and Scope
      • Abstracting and Indexing
      • Bibliographic Information
      • Archive
    • Medicine International
      • Information for Authors
      • Editorial Policies
      • Editorial Board
      • Aims and Scope
      • Abstracting and Indexing
      • Bibliographic Information
      • Archive
    • Molecular and Clinical Oncology
      • Information for Authors
      • Editorial Policies
      • Editorial Board
      • Aims and Scope
      • Abstracting and Indexing
      • Bibliographic Information
      • Archive
    • Molecular Medicine Reports
      • Information for Authors
      • Editorial Policies
      • Editorial Board
      • Aims and Scope
      • Abstracting and Indexing
      • Bibliographic Information
      • Archive
    • Oncology Letters
      • Information for Authors
      • Editorial Policies
      • Editorial Board
      • Aims and Scope
      • Abstracting and Indexing
      • Bibliographic Information
      • Archive
    • Oncology Reports
      • Information for Authors
      • Editorial Policies
      • Editorial Board
      • Aims and Scope
      • Abstracting and Indexing
      • Bibliographic Information
      • Archive
    • World Academy of Sciences Journal
      • Information for Authors
      • Editorial Policies
      • Editorial Board
      • Aims and Scope
      • Abstracting and Indexing
      • Bibliographic Information
      • Archive
  • Articles
  • Information
    • For Authors
    • For Reviewers
    • For Librarians
    • For Advertisers
    • Conferences
  • Language Editing
Login Register Submit
  • This site uses cookies
  • You can change your cookie settings at any time by following the instructions in our Cookie Policy. To find out more, you may read our Privacy Policy.

    I agree
Search articles by DOI, keyword, author or affiliation
Search
Advanced Search
presentation
World Academy of Sciences Journal
Join Editorial Board Propose a Special Issue
Print ISSN: 2632-2900 Online ISSN: 2632-2919
Journal Cover
May-June 2026 Volume 8 Issue 3

Full Size Image

Sign up for eToc alerts
Recommend to Library

Journals

International Journal of Molecular Medicine

International Journal of Molecular Medicine

International Journal of Molecular Medicine is an international journal devoted to molecular mechanisms of human disease.

International Journal of Oncology

International Journal of Oncology

International Journal of Oncology is an international journal devoted to oncology research and cancer treatment.

Molecular Medicine Reports

Molecular Medicine Reports

Covers molecular medicine topics such as pharmacology, pathology, genetics, neuroscience, infectious diseases, molecular cardiology, and molecular surgery.

Oncology Reports

Oncology Reports

Oncology Reports is an international journal devoted to fundamental and applied research in Oncology.

Experimental and Therapeutic Medicine

Experimental and Therapeutic Medicine

Experimental and Therapeutic Medicine is an international journal devoted to laboratory and clinical medicine.

Oncology Letters

Oncology Letters

Oncology Letters is an international journal devoted to Experimental and Clinical Oncology.

Biomedical Reports

Biomedical Reports

Explores a wide range of biological and medical fields, including pharmacology, genetics, microbiology, neuroscience, and molecular cardiology.

Molecular and Clinical Oncology

Molecular and Clinical Oncology

International journal addressing all aspects of oncology research, from tumorigenesis and oncogenes to chemotherapy and metastasis.

World Academy of Sciences Journal

World Academy of Sciences Journal

Multidisciplinary open-access journal spanning biochemistry, genetics, neuroscience, environmental health, and synthetic biology.

International Journal of Functional Nutrition

International Journal of Functional Nutrition

Open-access journal combining biochemistry, pharmacology, immunology, and genetics to advance health through functional nutrition.

International Journal of Epigenetics

International Journal of Epigenetics

Publishes open-access research on using epigenetics to advance understanding and treatment of human disease.

Medicine International

Medicine International

An International Open Access Journal Devoted to General Medicine.

Journal Cover
May-June 2026 Volume 8 Issue 3

Full Size Image

Sign up for eToc alerts
Recommend to Library

  • Article
  • Citations
    • Cite This Article
    • Download Citation
    • Create Citation Alert
    • Remove Citation Alert
    • Cited By
  • Similar Articles
    • Related Articles (in Spandidos Publications)
    • Similar Articles (Google Scholar)
    • Similar Articles (PubMed)
  • Download PDF
  • Download XML
  • View XML
Article Open Access

Evaluation of the cell viability and in vivo biocompatibility of three potential regenerative biomaterials derived from eggshells in Wistar rats

  • Authors:
    • Sruthy Prathap
    • Rajesh Kashyap Shankar
    • Nebu George Thomas
    • Riaz Abdulla
    • Binsi Puthanpurakkalkizhakkethil Kamalamma
    • Suprith Surya
    • Prathap Mulackal Sreekanatan
  • View Affiliations / Copyright

    Affiliations: Department of Periodontology, Yenepoya Dental College, Yenepoya University, Mangalore, Karnataka 575018, India, Department of Periodontology, Pushpagiri College of Dental Sciences, Pushpagiri Institute of Medical Sciences and Research Centre, Thiruvalla, Kerala 689107, India, Department of Oral Pathology, Yenepoya University, Mangalore, Karnataka 575018, India, Fish Processing Division, Central Institute of Fisheries Technology, Willington Island, Cochin, Kerala 682029, India, Advanced Surgical Skill Enhancement Division, Yenepoya University, Mangalore, Karnataka 575018, India, Department of Conservative Dentistry and Endodontics, Yenepoya Dental College, Mangalore, Karnataka 575018, India
    Copyright: © Prathap et al. This is an open access article distributed under the terms of Creative Commons Attribution License [CC BY 4.0].
  • Article Number: 35
    |
    Published online on: March 10, 2026
       https://doi.org/10.3892/wasj.2026.450
  • Expand metrics +
Metrics: Total Views: 0 (Spandidos Publications: | PMC Statistics: )
Metrics: Total PDF Downloads: 0 (Spandidos Publications: | PMC Statistics: )
Cited By (CrossRef): 0 citations Loading Articles...

This article is mentioned in:


Abstract

The development of novel bone substitutes for the management of periodontal osseous defects requires assured biological function upon implantation. Chicken egg shells have been introduced for some time in reconstructive surgeries due to their mineral composition. Egg shells are among the most abundant byproducts of food processing waste and appear to have unique biological and chemical properties that support cell differentiation. Additives such as fish collagen and glycerine may enhance their efficacy by improving their regenerative properties, which mimic those of human bone, and increasing their handling characteristics. Biocompatibility and cell viability are two critical factors affecting the ability of any regenerative material to integrate into the body. The aim of the present study was to determine the cell viability and biocompatibility of three egg shell‑derived biomaterials, namely, egg shell‑derived hydroxyapatite (EHPA), EHPA modified with fish collagen EHPA/Coll, and EHPA/Coll with glycerine. Chicken egg shells were used to synthesise hydroxyapatite via chemical precipitation. The synthesised hydroxyapatite was modified with fish collagen and then with glycerol. All three materials were tested for their viability in mouse fibroblasts and for their in vivo biocompatibility in Wistar rats. The results revealed that eggshell‑derived hydroxyapatite was highly biocompatible and did not exert any cytotoxic effects. Its modification using fish collagen and glycerine also resulted in derivatives that were biocompatible and noncytotoxic. On the whole, the present study demonstrates that all three materials tested, which were eggshell derivatives, were highly biocompatible and promoted cell growth.

Introduction

A wide variety of replacement grafts have been attempted in the pursuit of achieving the elusive goal of bone regeneration in osseous defects. These materials are indicated for osseous regeneration in the management of periodontal and peri-implant defects, as are procedures such as socket preservation, ridge augmentation and guided bone regeneration. Biocompatibility and cell viability are critical properties for biomaterials that come in proximity to biological tissues, and represent the capability of a substance to associate with cells in a living system without leading to destruction by unfavourable reactions (1). It is directly related to cytotoxic effects, or the capacity of the material to induce damage to a living system (2).

There are two types of materials that induce bone formation: Grafts and bone substitutes. Both can promote bone regeneration (3). On the basis of their source, these materials with applications in regenerative procedures are autogenous when procured from the same individual, homogenous or allogenic when they are acquired from individuals of the same species, and xenogenic when they are obtained from different species. Alloplastic materials are synthetically manufactured (4).

Alloplasts are prospective bone substitutes, and their outstanding versatility allows them to be manufactured via novel techniques to obtain porous structures that mimic cancellous bone or resemble the fibrillar portion of the extracellular matrix (5,6).

Synthetic materials also provide the advantage of incorporating components with anti-inflammatory and antibiotic effects, thereby reducing the possibility of complications or biological reactions. For example, bone morphogenic protein-9 is used to achieve an osteoinductive effect.

Numerous commercially available osseous grafts currently utilise synthetic materials combined with natural products processed in the laboratory to create biomimetic scaffolds that simulate the extracellular bone matrix (7). Animal bones, fish bones and scales, avian eggshells and the exoskeletons of marine organisms have been used to develop xenogenic materials (8).

Eggshells have been used for various reconstructive surgeries. The mineral composition and high biological activity of these materials render them potentially functional for biological and pharmaceutical applications (9). Surface modifications of eggshell grafts have been attempted to enhance their properties (10). The use of a material derived from eggshells may also have several other benefits due to its obtainability and biodegradability (11,12).

The incorporation of collagen into these scaffolds could improve the efficacy of the biomaterial by contributing to an osteopromoting quality (13). Moreover, it has been reported that hydroxyapatite-collagen scaffolds can have a profound effect on mechanical properties, such as strength, stiffness and pore size (14). Nevertheless, further investigations are required to substantiate the demand for collagen to increase the biocompatibility and stability of the biomaterial without influencing creeping substitution.

Owing to their extensive array of applications, several collagen sources have been investigated. However, the use of collagen, which is mammal-based, has been limited by diseases, such as bovine spongiform encephalopathy and other spiritual constraints (15).

Marine-based collagen is a potential replacement for mammal-based collagen due to its amenable chemical properties, ease of extraction, biocompatibility, low risk of disease transmission and environmental contamination, and few religious and ethical concerns. It has a high collagen content and excellent absorption properties (15).

Glycerol is a non-toxic, biodegradable liquid that the FDA considers ‘Generally Recognised as Safe’ (GRAS) (16). Hence, it is referred to as an inert carrier and provides improved handling characteristics. Glycerol also provides the advantages of excellent graft containment and flexibility.

Although, there is limited research on HPA-Coll composites (14), the literature on composites derived from hydroxyapatite of egg shell origin and fish collagen is very limited. All the more glycerine has been used as a binder here.

The immune response induced by a biomaterial can influence the healing of biological tissues. Hence, it is a critical property to consider when selecting a regenerative material as a primary anti-inflammatory approach can enhance tissue healing (17).

Before the regenerative capacity of a material can be assessed, its biocompatibility needs to be established to ensure that it does not induce adverse tissue reactions. The present study aimed to examine the biological behaviour of egg shell-derived hydroxyapatite (EHPA), a composite graft prepared using EHPA and fish collagen (EHPA/Coll), and a composite material with glycerol (EHPA/Coll/ Gly) in vitro and in vivo to demonstrate the cell viability, biocompatibility and inflammatory tissue reactions of these materials in Wistar rats.

Materials and methods

Eggshells and fish collagen

Domestic chicken eggshells of an indigenous breed of hen (Aseel) were obtained from a local poultry farm (Kurupseval farm, Kerala, India). Hydroxyapatite was synthesised from the egg shells via the chemical precipitation method (18). The steps involved cleaning eggshells after removing their membranes, followed by drying, grinding and sintering at high temperature (900˚C in a muffle furnace), resulting in formation of calcium oxide and further calcium hydroxide (following a reaction with atmospheric moisture). Furthermore, the product was reacted with a phosphate source (ammonium phosphate) to give rise to hydroxyapatite.

Fish collagen was extracted at the Central Institute of Fisheries Technology, Kochi, India, via a laboratory-standardised protocol from Rohu fish (Labeo rohita) and supplied. The scales were subjected to cleaning and pre-treatment to remove debris, followed by demineralisation (using 0.4M HCl) and further treatment with 0.4 M acetic acid. This was followed by the removal of insoluble portions by filtration and the collection of soluble collagen by salting out the pooled filtrate with NaCl. Centrifugation was performed for 1 h at 8,000 x g and 4˚C, and the collagen was collected as a pellet. Furthermore, the collagen was re-dissolved in 0.5 M acetic acid, after which the salting-in and salting-out processes were repeated twice. The salt was removed from the final suspension via dialysis. The purified collagen was collected by centrifugation for1 h at 8,000 x g and 4˚C. and freeze-dried. A temperature of 4˚C was maintained throughout the entire extraction process.

Hydroxyapatite was modified with fish collagen at a ratio of 60:40 at 80˚C, a vacuum level of 0.02 mbar, and a bench-top lyophiliser (Labconco) was used to obtain a sample volume of 5 ml and a flask size of 15 ml. The ratio of 60:40 was selected based on the preliminary optimisation trials where different ratios of hydroxyapatite to collagen 70:30,50:50 and 60:40 were tested. The viability of cells cell exposed to the materials (50 µg/ml) was found to be 121.199±3.336, 128.31±4.090 and 128.58±3.926. All the three ratios were found to be non-cytotoxic. Hence the ratio which mimics the composition of human bone was selected. The procedure was carried out for 24 h.

The modified material, which was in powder form, was converted to an injectable consistency by incorporating glycerol via a mortar and pestle (10 mg of the composite material with 6 ml glycerol).

Cytotoxicity analysis. Cell line and culture conditions

L929 murine fibroblasts (NCCS, Pune, India) were used for the study. They were cultured in Dulbecco's Modified Eagle's medium (DMEM Hi-media) supplemented with 10% FBS, 1% glutamine and 1% antibiotic-antimycotic solution (HiMedia Laboratories, LLC). A humidified atmosphere was maintained throughout the experiment, and the cells were maintained at 37˚C and 5% CO2.

Assessment of cell viability by MTT assay. The effects of the test compounds (EHPA, EHPA/Coll and EHPA/Coll/Gly) on the cells was assessed using methyl thiazolyl tetrazolium (MTT) assay, as previously described by Mosmann (19). The seeding of the cells (L929 cell line) was performed in a a 96-well microtiter plate at a density of 5,000 cells/well. The cells were allowed to attach overnight at 37˚C and 5% CO2. Following adherence, various concentrations (0, 12.5, 25, 50 and 100 µg/ml) of the samples were added to the wells followed by incubation for 24 h at 37˚C and 5% CO2. The medium was decanted after 24 h of incubation. MTT reagent (HiMedia Laboratories, LLC) 1 mg/ml was added to the wells which were subsequently incubated at 37˚C for 4 h. The MTT solution was removed from the wells, and the formazan crystals formed were solubilised, and the absorbance was recorded at 570 nm using a multimode microplate reader (FluoSTAR Omega, BMG Labtech). The percentage of viable cells in the sample was calculated with respect to that of the untreated cell control cells, as previously described (19).

In vivo biocompatibility

The experiment was conducted on 6 Wistar male albino rats. The animals were 12-15 weeks old and weighed ~250 g. Ethical clearance was obtained from the Institutional Animal Ethics Committee (YU/IAEC/25/2022). Animals were supplied by the Animal House at Yenepoya Research Centre. Pre-operatively, a 10-day preparation time was used for standard rat health tests. All animal welfare considerations were taken care. Animals were provided with special housing conditions such as adequate ventilation, humidity 60-65%, temperature of 22˚C, appropriate cage size, ad libitum access to food and water. 6 animals were anaesthetised via an intramuscular injection (80 ml/kg) of a combination of ketamine hydrochloride and xylazine (ketamine at 80 mg/kg body weight and xylazine at 10 mg/kg) for 20-30 min. Once the appropriate level of sedation was obtained, through a 1-cm incision, three subcutaneous pockets were created in the paravertebral region using a BP blade (no. 15). Subdermal implantations were performed using the three materials, namely, EHPA, composite graft (EHPA/Collagen), composite graft with glycerine (EHPA/Coll/Gly), in the left, middle and right subcutaneous pouches, respectively in all 6 animals. Following implantation, the wounds were sutured using four-zero silk sutures. Additionally, 0.1% gentamicin was applied to the wound, and diclofenac 75 mg was injected intramuscularly. Following anaesthesia using an intramuscular injection (80 ml/kg) of combination of ketamine hydrochloride and xylazine (ketamine at 80 mg/kg body weight and xylazine at 10 mg/kg), The wound was sutured with 4-0 silk sutures followed by the application of 0.1% gentamycin and injection of 75 mg diclofenac. The animals were observed twice daily for a period of 3 months. All animal welfare considerations were used to minimize suffering and distress. No death of any animal was reported during this period. Tissue processing procedures were carried out using a tissue processor (Leica Microsystems). The recovered tissue samples (after 14 days) around the implanted sites were procured and stored in buffered formalin for 48 h at room temperature. The tissues were then embedded in paraffin blocks. The samples were cut to a thickness of 6 microns using a microtome (Leica RM 2245).

For histological analyses, the samples were stained using haematoxylin and eosin (Nice Chemicals Private Limited) following deparaffinisation using Xylene for 5 min followed by hydration through graded alcohols. Nuclear staining was performed using Meyer's haematoxylin (2 min) followed by rinsing with water. Cytoplasmic staining was performed with eosin (2 min) at room temperature followed by dehydration, clearing and mounting. The slides were examined under microscope (Olympus CX41 Research Microscope) and microphotographs were obtained. The slides were evaluated by two pathologists who were unaware of the materials used in the experiment. Representative areas with the highest density of inflammatory cells were selected. The inflammatory responses were graded by counting the number of inflammatory cells at high power in the field showing maximum inflammatory cell infiltrate as previously described (20) (Table I).

Table I

Grading of the inflammatory response.

Table I

Grading of the inflammatory response.

Grade of inflammationInflammatory response
Grade 0Absence of inflammatory cells
Grade 1Mild inflammation, an average of <25 inflammatory cells per high power field
Grade 2Moderate inflammation, an average of 25-124 inflammatory cells per high power field
Grade 3Severe inflammation, an average of ≥125 inflammatory cells per high power field

[i] The information presented in this table has been obtained from a previous study (20).

Statistical analysis

The cell viability assays were performed in triplicate and the data are presented as the mean and standard deviation. The statistical analysis was performed using Statistical Package for the Social Sciences 18.0 (SPSS, Inc.) The Kruskal-Wallis test was used to compare the mean inflammatory scores between the groups followed by Dunn's multiple comparison test. A P-value <0.05 was considered to indicate a statistically significant difference. Spearman's rank correlation analysis was used to assess difference between the inflammatory scores within the same animal.

Results

Cytotoxicity of the materials

All three materials, EHPA, EHPA/Coll and EHPA/Coll/Gly, were found to be non-cytotoxic after 14 days. When the cells were examined under a phase contrast microscope, no morphological alterations were detected (Fig. 1).

Phase contrast images of the cells
treated with the indicated samples at x100 magnification. (A)
Control, (B) eggshell-derived hydroxyapatite, (C) composite graft
(EHPA/Coll), (D) composite graft with glycerine (EHPA/Coll/Gly).
EHPA, egg shell-derived hydroxyapatite; Coll, collagen; Gly,
glycerine.

Figure 1

Phase contrast images of the cells treated with the indicated samples at x100 magnification. (A) Control, (B) eggshell-derived hydroxyapatite, (C) composite graft (EHPA/Coll), (D) composite graft with glycerine (EHPA/Coll/Gly). EHPA, egg shell-derived hydroxyapatite; Coll, collagen; Gly, glycerine.

The effects of the materials at various concentrations on cell viability are demonstrated in Table II. Although all the materials promoted cell growth, the EHPA/Coll material resulted in greater cell viability than did pure EHPA or EHPA/Coll/Gly at concentrations of 12.5, 25 and 50 µg/ml. However, at a concentration of 100 µg/ml, EHPA promoted the increased growth of murine fibroblasts.

Table II

Effect of the materials at various concentrations on the viability of mouse fibroblasts.

Table II

Effect of the materials at various concentrations on the viability of mouse fibroblasts.

 Cell viability, %
Concentration, µg/mlEHPAEHPA/CollEHPA/Coll/Glyc
12.591.01±3.904116.33±3.20279.76±1.769
2596.03±2.766123.15±3.741113.49±3.487
50116.38±3.093128.58±3.926121.01±2.998
100122.82±2.868117.59±2.648106.4±2.597

[i] EHPA, egg shell-derived hydroxyapatite; Coll, collagen; Gly, glycerine.

Skin reactions following the placement of the materials

There were no adverse skin reactions noted throughout a period of 14 days after the materials were placed in the dorsal soft tissue pouches of the animals. Given that the initial inflammation caused by surgical trauma is a phase of healing, all sites exhibited a minimal inflammatory response. There were no notable signs of hypersensitivity reactions (Fig. 2). The number of inflammatory cells at a high power field exhibiting the maximum inflammatory cell infiltrate was calculated (Table III). At 14 days post-surgery, the initial phagocytic activities of the cells were noted, followed by the degradation process and the subsequent reabsorption of the material. In the implantation area, the particles were surrounded by collagen fibres, accompanied by a mild inflammatory infiltrate. A sparse number of multinucleated cells and large blood vessels were also observed. Minimum numbers of inflammatory cells were noted at all three sites (Fig. 3).

Skin reactions following the placement
of materials. (A) Material placed in subcutaneous pouches; (B) 7th
day post-operative image (no notable skin reactions such as colour
changes, enema, rashes, or pus discharge were observed).

Figure 2

Skin reactions following the placement of materials. (A) Material placed in subcutaneous pouches; (B) 7th day post-operative image (no notable skin reactions such as colour changes, enema, rashes, or pus discharge were observed).

Histological representation of the
tissues from the implantation sites after 14 days. (A) Tissue from
untreated control sites, (B) tissue from sites treated with the
EHPA graft, (C) tissue from sites treated with the composite graft
(EHPA/Coll), (D) tissue from sites treated with the composite graft
with solvent (EHPA/Coll/Gly). Stereomicroscopy images (at x10
magnification) of the tissues collected from the animals, which
included the rat epithelium and connective tissue. The arrows
depict the inflammatory cells. EHPA, egg shell-derived
hydroxyapatite; Coll, collagen; Gly, glycerine.

Figure 3

Histological representation of the tissues from the implantation sites after 14 days. (A) Tissue from untreated control sites, (B) tissue from sites treated with the EHPA graft, (C) tissue from sites treated with the composite graft (EHPA/Coll), (D) tissue from sites treated with the composite graft with solvent (EHPA/Coll/Gly). Stereomicroscopy images (at x10 magnification) of the tissues collected from the animals, which included the rat epithelium and connective tissue. The arrows depict the inflammatory cells. EHPA, egg shell-derived hydroxyapatite; Coll, collagen; Gly, glycerine.

Table III

Scoring based on the number of inflammatory cells per unit area recorded.

Table III

Scoring based on the number of inflammatory cells per unit area recorded.

SampleEmpty control (group A)EHPA (group B)Composite graft (EHPA + fish collagen, group C)Composite graft (EHPA + collagen + glycerine)
Sample 11222
Sample 21321
Sample 31222
Sample 41211
Sample 50221
Sample 62211

[i] EHPA, egg shell-derived hydroxyapatite; Coll, collagen; Gly, glycerine.

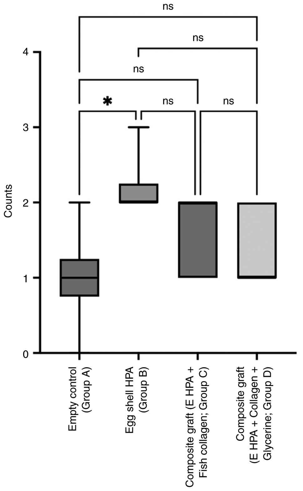
The Kruskal-Wallis was used to compare the mean inflammatory scores, which revealed that there was no statistically significant difference in the grade of inflammation (number of inflammatory cells per unit area) between the groups at the 2nd week (Fig. 4). Within the same animals, no correlation was found between the inflammatory scores produced by the different materials (Fig. 5). The animals tolerated the surgical procedures well. No adverse reactions occurred during the 14-day study period. There was no difference in the mean inflammatory score between the groups on the 14th day. Further observations for 3 months period also did not reveal any adverse reactions.

Comparison of the mean inflammatory
scores between the groups. The Kruskall-Wallis test revealed no
significant difference between the groups (P>0.9999), although
slightly higher inflammatory scores were noted in the EHPA group
compared to the empty control (P=0.0137). *P<0.05
denotes a significant difference.

Figure 4

Comparison of the mean inflammatory scores between the groups. The Kruskall-Wallis test revealed no significant difference between the groups (P>0.9999), although slightly higher inflammatory scores were noted in the EHPA group compared to the empty control (P=0.0137). *P<0.05 denotes a significant difference.

Correlation of the inflammatory scores
associated with different materials within the same animal.
Spearman's correlation revealed no correlation between the mean
inflammatory scores produced by different materials within the same
animal.

Figure 5

Correlation of the inflammatory scores associated with different materials within the same animal. Spearman's correlation revealed no correlation between the mean inflammatory scores produced by different materials within the same animal.

Discussion

The evaluation of the cytotoxicity and biocompatibility of regenerative biomaterials is a preliminary and crucial step before their effectiveness in regenerative medicine can be assessed. Cytotoxicity refers to the ability of a material to destroy cells, whereas biocompatibility is the capacity of the material to perform its function without causing detrimental effects in the body.

The three bone substitutes derived from eggshells, eggshell-derived hydroxyapatite, EHPA modified with fish collagen, and EHPA/collagen/Gly were found to be non-cytotoxic and their use led to good cell viability, promoting the growth of L929 fibroblasts. No morphological changes were detected in the cells, and minimal inflammatory infiltration was noted. Similar observations were noted in other cell lines in other studies, as follows:

In their study, Gutiérrez-Prieto et al (21) reported a cell viability of 96% for experimental eggshell-derived hydroxyapatite modified with silicon and poly lactic-co-glycolic (PLGA); 90% for bovine bone-PLGA, and 86% for EHPA/PLGA in osteoblast cell lines. Oladipupo et al (22) performed an MTT assay on MG63 cells (osteosarcoma cell lines) and ascertained that, by comparing a sample of EHPA with various concentrations of ammonium bicarbonate, a sample that contained 0% ammonium bicarbonate led to a viability of >85%. By contrast, in EHPA with 40% ammonium bicarbonate, toxicity was detected (22).

In another study, direct-contact assays on hydroxyapatite-β TCP/agarose disks revealed no cytotoxic effects on L929 fibroblasts or human osteosarcoma cells (23). The adherence and proliferation of both cell types on the biomaterial surface, maintaining their characteristic morphology, were observed. Few transient changes in several properties, such as cell cycle, size and complexity were observed. Mild apoptotic changes were induced in Saos-2 osteoblasts but not in fibroblasts (23). These findings support the findings of the present study.

Ma et al (24) reported that eggshell-derived amorphous calcium phosphate (ACP) particles displayed better biocompatibility than ACP synthesised from synthetic hydroxyapatite in three-dimensional osteoblastic spheroids. Another study on the effects of eggshell granulate and calcium carbonate on bovine osteoblasts revealed that additives (eggshell-derived calcium carbonate) increased osteoblast activity. The cell cultures treated with eggshells displayed the most potent effects, whereas for hyaluronan, a weaker cell activity was detected (25).

Chuysinuan et al (26) conducted a primary cytotoxicity test on MC3T3 cells and reported that the newly fabricated hydrogel, egg shell hydroxyapatite incorporated fibroin alginate hydrogel, was non-cytotoxic. He et al (27) also reported that the biomimetic collagen composite matrix-hydroxyapatite scaffolds exhibited high biocompatibility in critical-sized cranial defects in a rat model.

Biocompatibility tests have also revealed that human mesenchymal cells can infiltrate and remain viable after culture on collagen-hydroxyapatite scaffolds and antibiotic-doped substrates (ciprofloxacin and gentamycin) (28). Wang et al (29) established that the collagen/glycerol/pullulan gel exhibited maximum cell attachment and uniform cell distribution, with an improved morphology displaying better extension and three-dimensional characteristics, with sufficiently extended filamentous pseudopods. It was hypothesized that glycerine and pullulan enhanced the physical properties of the gel and also were conducive to cell attachment and proliferation (29). The present study also revealed that the incorporation of glycerine does not negatively impact the cell viability of the material.

In the present study, at 1 week post-implantation, no adverse skin reactions (Fig. 1B) were noted at all three sites. At 2 weeks, the initial phagocytic activities of the cell were noted, followed by the degradation process and subsequent reabsorption of the material. In the implantation area, the particles were surrounded by collagen fibres, with mild inflammatory infiltrate. A sparse number of multinucleated cells and large blood vessels were also observed. The minimum number of inflammatory cells was noted at all three sites.

In the study by Prohl et al (30), the histological analysis of inflammatory tissue reactions was compared between a novel material based on a xenogenic bone substitute combined with hyaluronic acid and another xenogenic material of similar composition and a sham operation group. A 2 weeks post-implantation, moderate inflammatory reactions were observed in all three study groups. No differences were found between the groups with respect to pro-inflammatory and anti-inflammatory cells (30).

The study by Markel et al (31) revealed that the HPA product generated a low inflammatory reaction compared to demineralised bone matrix. L929 cells, which are mouse fibroblast cell lines, due to their pro-healing properties, are advantageous in regenerative medicine. Hence, their use is highly recommended in studies involving biomaterials, drug delivery and tissue regeneration.

The present study demonstrated that the incorporation of additives, such as fish collagen and glycerol into eggshell-derived hydroxyapatite did not have any negative impact on the cell viability or biocompatibility of the materials. The materials did not lead to any adverse skin reactions in the Wistar rats; hence, their potential as bone regenerative materials should be considered. Further in vivo studies on animal models and humans are warranted to establish the regenerative potential of the material.

The present study has certain limitations which should be mentioned. The present study only evaluated the in vitro cell viability of the materials and the tissue reactions following their placement in the subcutaneous pouches of Wistar rats. Other mechanical properties, such as compressive strength and injectability, need to be assessed. The regenerative capacity of the materials needs to be confirmed in vitro and in animal models before performing any human studies.

In conclusion, in the present study, hydroxyapatite derived from egg shells was used and then modified with fish collagen and glycerine. The samples were evaluated for their cell viability in mouse fibroblasts. All three materials were found to be non-cytotoxic. The biocompatibility was tested in an animal model, which established that the materials were biocompatible. Further studies are required however, to prove their regenerative properties and their application as bone substitutes.

Acknowledgements

The authors acknowledge the Yenepoya Pharmacy College and Yenepoya Research Centre for providing technical support, as well as Dr Ranajit Das, Yenepoya Research Center, Yenepoya University (Mangalore, India) for his contribution in the statistical analysis of the data.

Funding

Funding: The present study received financial support from Yenepoya University (Project no. YU/Seed grant/130-2022).

Availability of data and materials

The data generated in the present study may be requested from the corresponding author.

Authors' contributions

SP was involved in the conception of the study, in acquisition and interpretation of data, and in the drafting of the manuscript. RKS was involved in the conception of the study, in the interpretation of data, in manuscript editing, and in the critical evaluation of the study content. NGT was involved in the conception of the study, in the interpretation of data, and in the evaluation of the study content. SS conducted the experiments and was involved in the acquisition of data. RA was involved in the acquisition of data, in data interpretation, and in manuscript preparation. BPK conducted the experiments and was involved in the conception of the study. PMS was involved in data interpretation and manuscript revision. SS and RA confirm the authenticity of all the raw data. The manuscript has been read and approved by all the authors.

Ethics approval and consent to participate

Ethical approval was obtained from the Institutional Animal Ethics Committee (YU/IAEC/25/2022).

Patient consent for publication

Not applicable.

Competing interests

The authors declare that they have no competing interests.

References

1 

Bassi APF, Bizelli VF, Consolaro RB and de Carvalho PSP: Biocompatibility and osteopromotor factor of bovine integral Bone-A microscopic and histometric analysis. Front. Oral Maxillofac. Med. 3:1–11. 2021.

2 

Hosseinpour S, Gaudin A and Peters OA: A critical analysis of research methods and experimental models to study biocompatibility of endodontic materials. Int Endod J. 55 (Suppl 2):S346–S369. 2022.PubMed/NCBI View Article : Google Scholar

3 

Zhao R, Yang R, Cooper PR, Khurshid Z, Shavandi A and Ratnayake J: Bone grafts and substitutes in dentistry: A review of current trends and developments. Molecules. 26(3007)2021.PubMed/NCBI View Article : Google Scholar

4 

Gill S, Prakash M, Forghany M and Vaderhobli RM: An ethical perspective to using bone grafts in dentistry. J Am Dent Assoc. 153:88–91. 2020.PubMed/NCBI View Article : Google Scholar

5 

Dorj B, Won JE, Purevdorj O, Patel KD, Kim JH, Lee EJ and Kim HW: A novel therapeutic design of microporous-Structured biopolymer scaffolds for drug loading and delivery. Acta Biomater. 10:1238–1250. 2014.PubMed/NCBI View Article : Google Scholar

6 

Patel KD, Kim TH, Mandakhbayar N, Singh RK, Jang JH, Lee JH and Kim HW: Coating biopolymer nanofibers with carbon nanotubes accelerates tissue healing and bone regeneration through orchestrated Cell-and Tissue-regulatory responses. Acta Biomater. 108:97–110. 2020.PubMed/NCBI View Article : Google Scholar

7 

Rather HA, Patel R, Yadav UCS and Vasita R: Dual Drug-delivering Polycaprolactone-collagen scaffold to induce early osteogenic differentiation and coupled angiogenesis. Biomed. Mater. 15(45008)2020.PubMed/NCBI View Article : Google Scholar

8 

Suh H, Han D, Park J, Lee DH, Lee WS and Han CD: A Bone replaceable artificial bone substitute: Osteoinduction by combining with bone inducing agent. Artif Organs. 25:459–466. 2001.PubMed/NCBI View Article : Google Scholar

9 

Dupoirieux L, Pourquier D, Souyris FF, Surgery M and Prof H, Surgery E and Prof H: Powdered eggshell: A pilot study on a new bone substitute for use in maxillofacial surgery. J Cranio Maxillofac Surg. 23:187–190. 1995.PubMed/NCBI View Article : Google Scholar

10 

Zhang Y, Xue C, Zhang Y, Zhang Q, Zhang K, Liu Y, Shan Z, Qiu W, Chen G, Li N, et al: Cocktail effect of ionic patch driven by triboelectric nanogenerator for diabetic wound healing. Chin Chem Lett. 35(109196)2024.

11 

Opris H, Bran S, Dinu C, Baciut M, Prodan DA, Mester A and Baciut G: Clinical applications of avian eggshell-derived hydroxyapatite. Bosn J Basic Med Sci. 20:430–437. 2020.PubMed/NCBI View Article : Google Scholar

12 

Park JW, Bae SR, Suh JY, Lee DH, Kim SH, Kim H and Lee CS: Evaluation of bone healing with eggshell-derived bone graft substitutes in rat calvaria: A pilot study. J Biomed Mater Res. 87:203–214. 2008.PubMed/NCBI View Article : Google Scholar

13 

Keil C, Gollmer B, Zeidler-Rentzsch I, Gredes T and Heinemann F: Histological evaluation of extraction sites grafted with bio-Oss collagen: Randomised controlled trial. Ann Anat. 237(151722)2021.PubMed/NCBI View Article : Google Scholar

14 

Ryan AJ, Gleeson JP, Matsiko A, Thompson EM and O'Brien FJ: Effect of different hydroxyapatite incorporation methods on the structural and biological properties of porous collagen scaffolds for bone repair. J Anat. 227:732–745. 2015.PubMed/NCBI View Article : Google Scholar

15 

Furtado M, Chen L, Chen Z, Chen A and Cui W: Development of fish collagen in tissue regeneration and drug delivery. Engineered Regeneration. 3:217–231. 2022.

16 

Food and Drug Administration. Glycerine. 182(1320)2016.https://www.law.cornell.edu/cfr/text/21/182.1320.

17 

Low KL, Tan SH, Zein SH, Roether JA, Mouriño V and Boccaccini AR: Calcium phosphate-based composites as injectable bone substitute materials. J Biomed Mater Res B Appl Biomater. 94:273–286. 2010.PubMed/NCBI View Article : Google Scholar

18 

Prathap S, Rajesh KS, Thomas NG, Venkateshan J, Prathap MS and Surya S: Domestic chicken Eggshell-Derived bone substitute: Synthesis, characterisation, and in vitro cell viability. J Pharm Bioallied Sci. 16 (Suppl 4):S3116–S3119. 2024.PubMed/NCBI View Article : Google Scholar

19 

Mosmann T: Rapid colorimetric assay for cellular growth and survival: Application to proliferation and cytotoxicity assays. J Immunol Methods. 65:55–63. 1983.PubMed/NCBI View Article : Google Scholar

20 

Yaltirik M, Ozbahar H, Bilgic B and Issever H: Reactions of connective tissue to mineral trioxide aggregate and amalgam. J Endod. 30:95–99. 2004.PubMed/NCBI View Article : Google Scholar

21 

Gutiérrez-Prieto SJ, Fonseca LF, Sequeda-Castañeda LG, Díaz KJ, Castañeda LY, Leyva-Rojas JA, Salcedo-Reyes JC and Acosta AP: Elaboration and biocompatibility of an Eggshell-derived hydroxyapatite material modified with Si/PLGA for bone regeneration in dentistry. Int J Dent. 2019(5949232)2019.PubMed/NCBI View Article : Google Scholar

22 

Oladipupo OF, Adekola AH, Ofudje EA, Al-Ahmary KM, Al-Mhyawi SR, Alshdoukhi IF, Alrahili MR and Alsaiari AA: Eggshell-derived scaffold of hydroxyapatite-ammonium bicarbonate nanocomposite: Bioactivity and cytotoxicity studies. Heliyon. 10(e36493)2024.PubMed/NCBI View Article : Google Scholar

23 

Alcaide M, Serrano MC, Pagani R, Sánchez-Salcedo S, Vallet-Regí M and Portolés MT: Biocompatibility markers for the study of interactions between osteoblasts and composite biomaterials. Biomaterials. 30:45–51. 2009.PubMed/NCBI View Article : Google Scholar

24 

Ma Q, Rubenis K, Sigurjónsson OE, Hildebrand T, Standal T, Zemjane S, Locs J, Loca D, Jostein H and Haugen HJ: Eggshell-derived amorphous calcium phosphate: Synthesis, characterisation, and biofunctions as bone graft materials in novel 3D osteoblastic spheroids model. Smart Materials Med. 4:522–537. 2023.

25 

Neunzehn J, Szuwart T and Wiesmann HP: Eggshells as natural calcium carbonate source in combination with hyaluronan as beneficial additives for bone graft materials, an in vitro study. Head Face Med. 11(12)2015.PubMed/NCBI View Article : Google Scholar

26 

Chuysinuan P, Nooeaid P, Thanyacharoen T, Techasakul S, Pavasant P and Kanjanamekanant K: Injectable eggshell-derived hydroxyapatite-incorporated fibroin-alginate composite hydrogel for bone tissue engineering. Int J Biol Macromol. 193:799–808. 2021.PubMed/NCBI View Article : Google Scholar

27 

He H, Wang L, Cai X, Wang Q, Liu P and Xiao J: Biomimetic collagen composite matrix-hydroxyapatite scaffold induces bone regeneration in critical size cranial defects. Materials Design. 236(112510)2023.

28 

Filip Ionescu OL, Mocanu AG, Neacşu IA, Ciocilteu MV, Rău G and Neamţu J: Biocompatibility studies on a Collagen-hydroxyapatite biomaterial. Curr Health Sci J. 48:217–225. 2022.PubMed/NCBI View Article : Google Scholar

29 

Wang X, Komasa S, Tahara Y, Inui S, Matsumoto M and Maekawa K: Novel injectable Collagen/Glycerol/Pullulan gel promotes osteogenic differentiation of mesenchymal stem cells and the repair of rat cranial defects. Gels. 10(775)2024.PubMed/NCBI View Article : Google Scholar

30 

Prohl A, Batinic M, Alkildani S, Hahn M, Radenkovic M, Najman S, Jung O and Barbeck M: In vivo analysis of the biocompatibility and bone healing capacity of a novel bone grafting material combined with hyaluronic acid. Int J Mol Sci. 22(4818)2021.PubMed/NCBI View Article : Google Scholar

31 

Markel DC, Guthrie ST, Wu B, Song Z and Wooley PH: Characterisation of the inflammatory response to four commercial bone graft substitutes using a murine biocompatibility model. J Inflamm Res. 5:13–18. 2012.PubMed/NCBI View Article : Google Scholar

Related Articles

  • Abstract
  • View
  • Download
Copy and paste a formatted citation
Spandidos Publications style
Prathap S, Shankar RK, Thomas NG, Abdulla R, Kamalamma BP, Surya S and Sreekanatan PM: Evaluation of the cell viability and <em>in vivo</em> biocompatibility of three potential regenerative biomaterials derived from eggshells in Wistar rats. World Acad Sci J 8: 35, 2026.
APA
Prathap, S., Shankar, R.K., Thomas, N.G., Abdulla, R., Kamalamma, B.P., Surya, S., & Sreekanatan, P.M. (2026). Evaluation of the cell viability and <em>in vivo</em> biocompatibility of three potential regenerative biomaterials derived from eggshells in Wistar rats. World Academy of Sciences Journal, 8, 35. https://doi.org/10.3892/wasj.2026.450
MLA
Prathap, S., Shankar, R. K., Thomas, N. G., Abdulla, R., Kamalamma, B. P., Surya, S., Sreekanatan, P. M."Evaluation of the cell viability and <em>in vivo</em> biocompatibility of three potential regenerative biomaterials derived from eggshells in Wistar rats". World Academy of Sciences Journal 8.3 (2026): 35.
Chicago
Prathap, S., Shankar, R. K., Thomas, N. G., Abdulla, R., Kamalamma, B. P., Surya, S., Sreekanatan, P. M."Evaluation of the cell viability and <em>in vivo</em> biocompatibility of three potential regenerative biomaterials derived from eggshells in Wistar rats". World Academy of Sciences Journal 8, no. 3 (2026): 35. https://doi.org/10.3892/wasj.2026.450
Copy and paste a formatted citation
x
Spandidos Publications style
Prathap S, Shankar RK, Thomas NG, Abdulla R, Kamalamma BP, Surya S and Sreekanatan PM: Evaluation of the cell viability and <em>in vivo</em> biocompatibility of three potential regenerative biomaterials derived from eggshells in Wistar rats. World Acad Sci J 8: 35, 2026.
APA
Prathap, S., Shankar, R.K., Thomas, N.G., Abdulla, R., Kamalamma, B.P., Surya, S., & Sreekanatan, P.M. (2026). Evaluation of the cell viability and <em>in vivo</em> biocompatibility of three potential regenerative biomaterials derived from eggshells in Wistar rats. World Academy of Sciences Journal, 8, 35. https://doi.org/10.3892/wasj.2026.450
MLA
Prathap, S., Shankar, R. K., Thomas, N. G., Abdulla, R., Kamalamma, B. P., Surya, S., Sreekanatan, P. M."Evaluation of the cell viability and <em>in vivo</em> biocompatibility of three potential regenerative biomaterials derived from eggshells in Wistar rats". World Academy of Sciences Journal 8.3 (2026): 35.
Chicago
Prathap, S., Shankar, R. K., Thomas, N. G., Abdulla, R., Kamalamma, B. P., Surya, S., Sreekanatan, P. M."Evaluation of the cell viability and <em>in vivo</em> biocompatibility of three potential regenerative biomaterials derived from eggshells in Wistar rats". World Academy of Sciences Journal 8, no. 3 (2026): 35. https://doi.org/10.3892/wasj.2026.450
Follow us
  • Twitter
  • LinkedIn
  • Facebook
About
  • Spandidos Publications
  • Careers
  • Cookie Policy
  • Privacy Policy
How can we help?
  • Help
  • Live Chat
  • Contact
  • Email to our Support Team