Spandidos Publications Logo
  • About
    • About Spandidos
    • Aims and Scopes
    • Abstracting and Indexing
    • Editorial Policies
    • Reprints and Permissions
    • Job Opportunities
    • Terms and Conditions
    • Contact
  • Journals
    • All Journals
    • Oncology Letters
      • Oncology Letters
      • Information for Authors
      • Editorial Policies
      • Editorial Board
      • Aims and Scope
      • Abstracting and Indexing
      • Bibliographic Information
      • Archive
    • International Journal of Oncology
      • International Journal of Oncology
      • Information for Authors
      • Editorial Policies
      • Editorial Board
      • Aims and Scope
      • Abstracting and Indexing
      • Bibliographic Information
      • Archive
    • Molecular and Clinical Oncology
      • Molecular and Clinical Oncology
      • Information for Authors
      • Editorial Policies
      • Editorial Board
      • Aims and Scope
      • Abstracting and Indexing
      • Bibliographic Information
      • Archive
    • Experimental and Therapeutic Medicine
      • Experimental and Therapeutic Medicine
      • Information for Authors
      • Editorial Policies
      • Editorial Board
      • Aims and Scope
      • Abstracting and Indexing
      • Bibliographic Information
      • Archive
    • International Journal of Molecular Medicine
      • International Journal of Molecular Medicine
      • Information for Authors
      • Editorial Policies
      • Editorial Board
      • Aims and Scope
      • Abstracting and Indexing
      • Bibliographic Information
      • Archive
    • Biomedical Reports
      • Biomedical Reports
      • Information for Authors
      • Editorial Policies
      • Editorial Board
      • Aims and Scope
      • Abstracting and Indexing
      • Bibliographic Information
      • Archive
    • Oncology Reports
      • Oncology Reports
      • Information for Authors
      • Editorial Policies
      • Editorial Board
      • Aims and Scope
      • Abstracting and Indexing
      • Bibliographic Information
      • Archive
    • Molecular Medicine Reports
      • Molecular Medicine Reports
      • Information for Authors
      • Editorial Policies
      • Editorial Board
      • Aims and Scope
      • Abstracting and Indexing
      • Bibliographic Information
      • Archive
    • World Academy of Sciences Journal
      • World Academy of Sciences Journal
      • Information for Authors
      • Editorial Policies
      • Editorial Board
      • Aims and Scope
      • Abstracting and Indexing
      • Bibliographic Information
      • Archive
    • International Journal of Functional Nutrition
      • International Journal of Functional Nutrition
      • Information for Authors
      • Editorial Policies
      • Editorial Board
      • Aims and Scope
      • Abstracting and Indexing
      • Bibliographic Information
      • Archive
    • International Journal of Epigenetics
      • International Journal of Epigenetics
      • Information for Authors
      • Editorial Policies
      • Editorial Board
      • Aims and Scope
      • Abstracting and Indexing
      • Bibliographic Information
      • Archive
    • Medicine International
      • Medicine International
      • Information for Authors
      • Editorial Policies
      • Editorial Board
      • Aims and Scope
      • Abstracting and Indexing
      • Bibliographic Information
      • Archive
  • Articles
  • Information
    • Information for Authors
    • Information for Reviewers
    • Information for Librarians
    • Information for Advertisers
    • Conferences
  • Language Editing
Spandidos Publications Logo
  • About
    • About Spandidos
    • Aims and Scopes
    • Abstracting and Indexing
    • Editorial Policies
    • Reprints and Permissions
    • Job Opportunities
    • Terms and Conditions
    • Contact
  • Journals
    • All Journals
    • Biomedical Reports
      • Information for Authors
      • Editorial Policies
      • Editorial Board
      • Aims and Scope
      • Abstracting and Indexing
      • Bibliographic Information
      • Archive
    • Experimental and Therapeutic Medicine
      • Information for Authors
      • Editorial Policies
      • Editorial Board
      • Aims and Scope
      • Abstracting and Indexing
      • Bibliographic Information
      • Archive
    • International Journal of Epigenetics
      • Information for Authors
      • Editorial Policies
      • Editorial Board
      • Aims and Scope
      • Abstracting and Indexing
      • Bibliographic Information
      • Archive
    • International Journal of Functional Nutrition
      • Information for Authors
      • Editorial Policies
      • Editorial Board
      • Aims and Scope
      • Abstracting and Indexing
      • Bibliographic Information
      • Archive
    • International Journal of Molecular Medicine
      • Information for Authors
      • Editorial Policies
      • Editorial Board
      • Aims and Scope
      • Abstracting and Indexing
      • Bibliographic Information
      • Archive
    • International Journal of Oncology
      • Information for Authors
      • Editorial Policies
      • Editorial Board
      • Aims and Scope
      • Abstracting and Indexing
      • Bibliographic Information
      • Archive
    • Medicine International
      • Information for Authors
      • Editorial Policies
      • Editorial Board
      • Aims and Scope
      • Abstracting and Indexing
      • Bibliographic Information
      • Archive
    • Molecular and Clinical Oncology
      • Information for Authors
      • Editorial Policies
      • Editorial Board
      • Aims and Scope
      • Abstracting and Indexing
      • Bibliographic Information
      • Archive
    • Molecular Medicine Reports
      • Information for Authors
      • Editorial Policies
      • Editorial Board
      • Aims and Scope
      • Abstracting and Indexing
      • Bibliographic Information
      • Archive
    • Oncology Letters
      • Information for Authors
      • Editorial Policies
      • Editorial Board
      • Aims and Scope
      • Abstracting and Indexing
      • Bibliographic Information
      • Archive
    • Oncology Reports
      • Information for Authors
      • Editorial Policies
      • Editorial Board
      • Aims and Scope
      • Abstracting and Indexing
      • Bibliographic Information
      • Archive
    • World Academy of Sciences Journal
      • Information for Authors
      • Editorial Policies
      • Editorial Board
      • Aims and Scope
      • Abstracting and Indexing
      • Bibliographic Information
      • Archive
  • Articles
  • Information
    • For Authors
    • For Reviewers
    • For Librarians
    • For Advertisers
    • Conferences
  • Language Editing
Login Register Submit
  • This site uses cookies
  • You can change your cookie settings at any time by following the instructions in our Cookie Policy. To find out more, you may read our Privacy Policy.

    I agree
Search articles by DOI, keyword, author or affiliation
Search
Advanced Search
presentation
International Journal of Molecular Medicine
Join Editorial Board Propose a Special Issue
Print ISSN: 1107-3756 Online ISSN: 1791-244X
Journal Cover
February 2013 Volume 31 Issue 2

Full Size Image

Sign up for eToc alerts
Recommend to Library

Journals

International Journal of Molecular Medicine

International Journal of Molecular Medicine

International Journal of Molecular Medicine is an international journal devoted to molecular mechanisms of human disease.

International Journal of Oncology

International Journal of Oncology

International Journal of Oncology is an international journal devoted to oncology research and cancer treatment.

Molecular Medicine Reports

Molecular Medicine Reports

Covers molecular medicine topics such as pharmacology, pathology, genetics, neuroscience, infectious diseases, molecular cardiology, and molecular surgery.

Oncology Reports

Oncology Reports

Oncology Reports is an international journal devoted to fundamental and applied research in Oncology.

Experimental and Therapeutic Medicine

Experimental and Therapeutic Medicine

Experimental and Therapeutic Medicine is an international journal devoted to laboratory and clinical medicine.

Oncology Letters

Oncology Letters

Oncology Letters is an international journal devoted to Experimental and Clinical Oncology.

Biomedical Reports

Biomedical Reports

Explores a wide range of biological and medical fields, including pharmacology, genetics, microbiology, neuroscience, and molecular cardiology.

Molecular and Clinical Oncology

Molecular and Clinical Oncology

International journal addressing all aspects of oncology research, from tumorigenesis and oncogenes to chemotherapy and metastasis.

World Academy of Sciences Journal

World Academy of Sciences Journal

Multidisciplinary open-access journal spanning biochemistry, genetics, neuroscience, environmental health, and synthetic biology.

International Journal of Functional Nutrition

International Journal of Functional Nutrition

Open-access journal combining biochemistry, pharmacology, immunology, and genetics to advance health through functional nutrition.

International Journal of Epigenetics

International Journal of Epigenetics

Publishes open-access research on using epigenetics to advance understanding and treatment of human disease.

Medicine International

Medicine International

An International Open Access Journal Devoted to General Medicine.

Journal Cover
February 2013 Volume 31 Issue 2

Full Size Image

Sign up for eToc alerts
Recommend to Library

  • Article
  • Citations
    • Cite This Article
    • Download Citation
    • Create Citation Alert
    • Remove Citation Alert
    • Cited By
  • Similar Articles
    • Related Articles (in Spandidos Publications)
    • Similar Articles (Google Scholar)
    • Similar Articles (PubMed)
  • Download PDF
  • Download XML
  • View XML
Article

Synergistic effects of histone deacetylase inhibitor in combination with mTOR inhibitor in the treatment of prostate carcinoma

  • Authors:
    • Paul Thelen
    • Lisa Krahn
    • Felix Bremmer
    • Arne  Strauss
    • Ralph Brehm
    • Hagen Loertzer
  • View Affiliations / Copyright

    Affiliations: Department of Urology, University Medical Center Göttingen, Georg-August-University, D-37075 Göttingen, Germany, University of Veterinary Medicine Hannover, Foundation, D-30173 Hannover, Germany, Institute of Pathology, University Medical Center Göttingen, Georg-August-University, D-37075 Göttingen, Germany
  • Pages: 339-346
    |
    Published online on: December 21, 2012
       https://doi.org/10.3892/ijmm.2012.1221
  • Expand metrics +
Metrics: Total Views: 0 (Spandidos Publications: | PMC Statistics: )
Metrics: Total PDF Downloads: 0 (Spandidos Publications: | PMC Statistics: )
Cited By (CrossRef): 0 citations Loading Articles...

This article is mentioned in:



Abstract

The aim of this study was to elucidate whether the treatment of a prostate carcinoma cell line (LNCaP) and LNCaP-derived tumors with the histone deacetylase (HDAC) inhibitor valproate in combination with the mammalian target of rapamycin (mTOR) inhibitor temsirolimus resulted in synergistic effects on cell proliferation and tumor growth. LNCaP cells were treated with valproate, temsirolimus or a combination of both. The proliferation rates and the expression of key markers of tumorigenesis were evaluated. In in vivo experiments, LNCaP cells were implanted into immune-suppressed male nude mice. Mice were treated with valproate (per os), temsirolimus (intravenously) or with a combination of both. Tumor volumes were calculated and mRNA expression was quantified. The incubation of LNCaP cells with the combination of valproate and temsirolimus resulted in a decrease of cell proliferation with an additive effect of both drugs in comparison to the single treatment. In particular, the combined application of valproate and temsirolimus led to a significant upregulation of insulin-like growth factor-binding protein-3 (IGFBP-3), which mediates apoptosis and inhibits tumor cell proliferation. In the mouse model, we found no significant differences in tumor growth between the different treatment arms but immunohistological analyses showed that tumors treated with a combination of valproate and temsirolimus, but not with the single drugs alone, exhibited a significant lower proliferation capacity.

Introduction

Prostate carcinoma is the most common type of cancer in men in Western countries. At the time of diagnosis, two thirds of carcinoma cases are limited to the prostate and can be treated successfully (1). However, the last third cannot be cured by surgery due to dissemination of the tumor.

The therapy of choice for these patients is a complete deprivation of androgens, resulting in a remission which is, however, limited to 2–4 years, followed by the development of a castration-resistant prostate carcinoma, finally leading to mortality (2).

A key role in promoting the castration-resistant prostate carcinoma is the androgen receptor. This transcription factor in its activated state forms a stable complex with several cofactors and facilitates transcription of distinct genes, which have been shown to be crucial for cell growth and survival (3,4). Androgen deprivation abolishes this activation, leading to cell death or cell cycle arrest. However, treatment with anti-androgens does not result in a permanent regression and cure of the disease. After 2–4 years, increased serum levels of prostate specific antigen (PSA) indicate that the androgen receptor becomes transcriptionally active again (4).

Different pathways are known to reactivate the androgen receptor complex. First, intensified expression of the androgen receptor results in markedly increased protein levels, compensating for the decrease of androgen ligands upon castration. A different possibility is a broadening of the receptor’s ligand spectrum by mutations in its coding gene. Finally, altered phosphorylation pathways for the androgen receptor can enhance the receptor activity and even the synthesis of tumor-produced ligands has been described (4).

Therefore, new therapeutic approaches are needed to interfere with carcinoma-specific signal cascades in order to cure this disease.

Various studies investigated the role of histone-deacetylases (HDACs) in prostate carcinoma, which have been shown to be upregulated in these cells, mediating a decreased expression of tumor suppressors (5–8). Blocking HDACs with specific inhibitors leads to an increase in the protein levels of crucial tumor suppressors.

The drug valproate, which has been used for decades in the treatment of epilepsy, has also been shown to have inhibitory effects on HDACs (9).

The treatment of prostate carcinoma cell lines with valproate resulted in an increase in histone acetylation. Furthermore, expression of the tumor suppressor p21 was elevated and the proliferation rate of the treated cells was significantly reduced (10). In previous studies, we showed that the treatment of prostate carcinoma cells (LNCaP) with valproate leads to the induction of apoptosis and an altered gene expression in genes essential for proliferation or apoptosis (11). Functional analyses showed that the increased expression of the estrogen receptor β (ERβ) is responsible for these effects (12).

A further pathway which is involved in cell growth, metabolism and survival is the mammalian target of rapamycin (mTOR) signal cascade. The activity of the mTOR pathway is regulated by various positive and negative signals. Enhancement of mTOR activity is, for instance, mediated by growth factors such as insulin-like growth factor 1 (IGF1) and its receptor (IGF1-R), which activates phosphoinositide-3-kinase (PI3K). PI3K, in turn, is inhibited by the tumor suppressor phosphatase and tensin homolog (PTEN), an essential mediator of apoptosis (13). Mutations in PTEN have been found in various cancer specimens and facilitate proliferation and tumor growth (14–16). PTEN is downregulated in advanced stages of prostate carcinoma (17).

The amount of stimulating IGF1 is controlled by IGF-binding protein-3 (IGFBP-3). IGFBP-3 binds IGF1 and thereby prevents its association with its receptor, resulting in decreased cell proliferation (18). Moreover, IGFBP-3 also exhibits IGF-independent antiproliferative and pro-apoptotic capacities (19,20). Therefore, drugs that increase the expression of IGFBP-3 may potentially inhibit tumor cell proliferation and growth. In this study, we investigated whether a combination of the HDAC-inhibitor valproate and the mTOR inhibitor temsirolimus show synergistic effects on cell proliferation and tumor growth in vitro and in vivo.

Materials and methods

Cell culture treatment of human tumor cells

LNCaP cells were maintained in RPMI medium, supplemented with 10% fetal calf serum, 2% amino acid solution and 1% L-glutamine. For HDAC-inhibitor stimulation, 100,000 cells were seeded in 6-well petri dishes. After 24 h, cells were treated with 1 mmol/l sodium valproate (Sigma, Taufkirchen, Germany). After 48 h, an additional 1 mmol/l sodium valproate was added. Temsirolimus (Pfizer) treatment was carried out 72 h after cell seeding with a final concentration of 1 mmol/l. Combined treatment was carried out similarly. Five days after seeding, RNA was extracted as described below.

Cell vitality was estimated by the Alamar Blue assay (Biosource, Solingen, Germany), and cell proliferation was analyzed by BrdU-ELISA (Roche Diagnostics GmbH, Mannheim, Germany).

Animal experiments

In vivo experiments were approved by the local animal protection committee (Reference 33.9-42502-04-10/0111).

Eight-week-old male athymic nude NMRInu/nu mice were purchased from Janvier Laboratory, Le Genest Saint Isle, France. For acclimatization, mice were kept for 2 weeks in standard cages with air filter hoods. All animals received a subcutaneous inoculation dorsal of the forelegs of 106 LNCaP cells resuspended in 100 μl PBS mixed with 100 μl Matrigel (BD Biosciences, Heidelberg, Germany) through a 26-gauge needle. Subcutaneous tumors were measured twice a week with calipers. Tumor volumes were calculated by the formula: large diameter × (smaller diameter)2 ×0.5 (21). Treatment of the animals was initiated as soon as the tumor volume had reached 120 mm3. In four different groups, mice were left untreated (control group), or were treated with 800 mg/kg/day valproate (via drinking water), with 0.3 mg/kg temsirolimus intravenously once a week, or with a combination of both drugs by their individual application. Tumor volume was calculated over the period of 7 weeks. Subsequently, animals were sacrificed and tumor samples were excised and stored in RNAlater (Qiagen, Hilden, Germany) for mRNA measurements or in 4% formaldehyde for histology.

mRNA-expression analysis

Total cellular RNA from LNCaP cells was extracted with the Quick-RNA™MiniPrep (Zymo Research, Freiburg, Germany). Total cellular RNA from tumor biopsies was extracted by peqGold TriFast™ (Peqlab, Erlangen, Germany). RNA integrity and quantity were assessed on an Agilent 2100 Bioanalyzer with a RNA 6000 Nano LabChip kit (Agilent Technologies, Waldbronn, Germany). Reverse transcription of 500 ng total cellular RNA with random hexamer primers was performed with an Omniscript RT kit (Qiagen). Expression of acidic ribosomal protein (ARP), PSA, IGF1, IGF1-R and IGFBP-3 was assayed on an iCycler iQ real-time detection system (Bio-Rad, Munich, Germany) with SsoFast EvaGreen supermix, (Bio-Rad). The 20 μl reaction from the kit was supplemented with 2 μl cDNA, 0.6 μM gene-specific primers (IBA, Göttingen, Germany). The following primers were used: IGF1, forward, 5′-TGGATGC TCTTCAGTTCGTG-3′ and reverse, 5′-AGGGGTGC GCAATACATCT-3′; IGF1-R, forward, 5′-CCGAAGGTCTG TGAGGAAGA-3′ and reverse, 5′-AATGGCGGATCTT CACGTAG-3′; IGFBP-3, forward, 5′-GAACTTCTCCTCCGA GTCCAA-3′ and reverse, 5′-CTGGGACTCAGCACATTG AG-3′; PSA, forward, 5′-TGAACCAGAGGAGTTCTTGAC-3′ and reverse, 5′-CCCCAGAATCACCCGAGCAG-3′; ARP, forward, 5′-CGACCTGGAAGTCCAACTAC-3′ and reverse, 5′-ATCTGCTGCATCTGCTTG-3′.

Data analysis was performed according to the ΔΔCt-method (22). In cell culture and in animal experiments, ARP served as an internal control.

PSA secretion in serum from mice was measured with PSA Enzyme Immunoassay Test kit (GenWay Biotech, Inc., San Diego, CA, USA).

Histology

Sections of tumors were fixed with 4% formaldehyde in PBS for 72 h. The samples were processed according to standard procedures with a Leica TP1020 automatic tissue processor (Leica Mikrosysteme Vertrieb GmbH, Wetzlar, Germany). Paraffin-embedded tumor samples were dissected and stained with hematoxylin and eosin (HE) and immunostained against Ki-67 (23,24). For the calculation of the proliferation index, Ki-67 positive cells in correlation with the total cell number were counted in 10 fields of vision at ×400 magnification.

Results

Valproate and temsirolimus reduce proliferation of LNCaP cells and act synergistically

In order to test whether the HDAC-inhibitor valproate or the mTOR-inhibitor temsirolimus or the combination of both drugs influence cell proliferation or vitality, we performed an Alamar Blue Assay and BrdU test with treated cells. In the Alamar Blue Assay, no significant difference to the untreated control was observed, indicating that cell vitality is not immediately affected by treatment with valproate or temsirolimus (Fig. 1).

Figure 1.

Effect of valproate and/or temsirolimus treatment on the vitality of pretreated LNCaP cells (n=6). Medium control was set as 100%.

By contrast, incubation of LNCaP cells with valproate resulted in a decreased cell proliferation by 64.6% (Fig. 2). Similarly, the stimulation with temsirolimus diminished cell proliferation by 23.9%. Furthermore, the combined treatment of LNCaP cells with both drugs resulted in a reduction of proliferation by 81.8% compared with untreated cells.

Figure 2.

Effect of valproate and/or temsirolimus treatment on the proliferation of pretreated LNCaP cells (n=6). Medium control was set as 100%.

Expression changes in LNCaP cells following treatment with valproate, temsirolimus or a combination of both

To elucidate if the reduced cell proliferation of treated LNCaP cells was associated with altered expression of key regulators of cell proliferation, we analyzed the mRNA expression of PSA, IGF1, IGF1-R and IGFBP-3 using real-time RT-PCR.

Incubation with valproate led to decreased expression of PSA, IGF1 and IGF1-R (Fig. 2). By contrast, treatment with temsirolimus or with both drugs combined did not influence the expression of these genes.

Consistent with a decreased proliferation, IGFBP-3 expression was elevated 7.5-fold upon valproate treatment. This effect was markedly enhanced by the combination of valproate and temsirolimus, resulting in a 53-fold increase in IGFBP-3 expression (Fig. 3).

Figure 3.

Expression of (A) IGF1, (B) IGF1-R, (C) IGFBP-3 and (D) PSA mRNA in LNCaP cells after treatment with valproate, temsirolimus or a combination of both (n=3). Medium control was set as 100%.

Influence of valproate and temsirolimus on tumor growth in the mouse model

Next, we investigated whether the observed effect on cultured prostate carcinoma cells is also observed in vivo using LNCaP-derived tumors in a nude mouse model.

Therefore, 106 LNCaP cells were implanted subcutaneously into immune-suppressed nude mice. Of the 80 mice, only 31 (38.8%) developed tumors.

After reaching a distinct tumor volume (120 mm3), mice were treated with valproate (800 mg/kg/day per os), temsirolimus (0,3 mg/kg weekly intravenously) or with a combination of both. A fourth group was left untreated and served as control.

Tumor growth (calculated by weekly measurements of tumor volume) did not show any significant differences between the distinct groups (Fig. 4). Variation in tumor growth within each group was rather high. Only the temsirolimus treated group exhibited, with one exception, a homogenous growth. Similarly, serum levels of human PSA, which was produced by the LNCaP cells of the tumors, did not differ between the groups (data not shown). The amount of secreted PSA serves as an indicator for the transcriptional activity of the androgen receptor.

Figure 4.

Tumor growth of implanted LNCap-derived tumors in nude mice. (A) Group 0, control; (B) group 1, valproate; (C) group 2, temsirolimus; (D) group 3, valproate and temsirolimus.

Combined therapy of valproate and temsirolimus leads to a decreased proliferation capacity in vivo

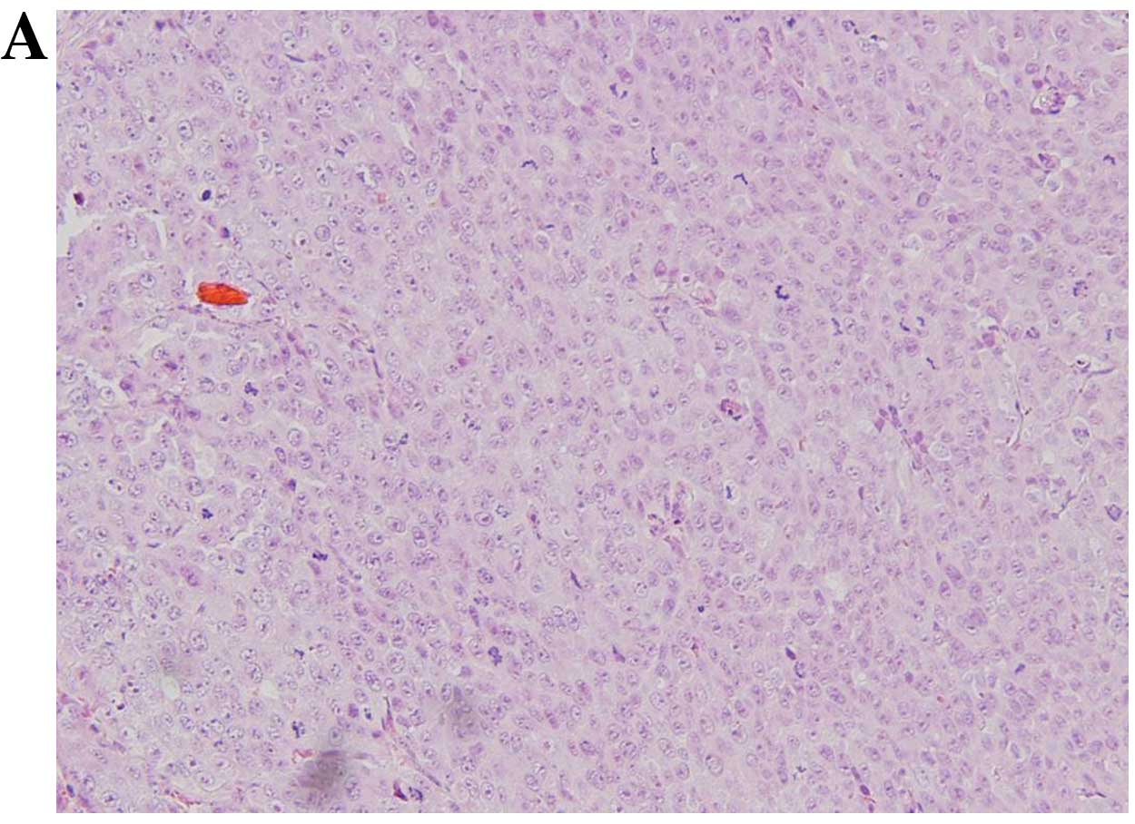
Although we detected no difference in tumor growth (measured by the increase in tumor volume), histology preparations showed that the combined application of valproate and temsirolimus resulted in a significantly decreased proliferation capacity (49%) compared to untreated control animals (80%) or mice treated with valproate (81%) or temsirolimus (77%) alone (Figs. 5–8).

Figure 5.

Tumor tissue group 0 (control). (A) HE and (B) Ki-67 staining. Magnification, ×100; scale bar 100 μm.

Figure 8.

Tumor tissue group 3 (valproate and temsirolimus). (A) HE and (B) Ki-67 staining. Magnification, ×100; scale bar 100 μm.

Expression changes in tumor cells following treatment with valproate, temsirolimus or a combination of both

Although no difference in tumor growth was observed, we investigated the mRNA expression of crucial regulators of cell proliferation in prostate carcinoma. Therefore, RNA was extracted from tumor samples and analyzed similarly to the cell culture experiments for the mRNA expression levels of PSA, IGF1, IGF1-R and IGFBP-3 via real-time PCR (Fig. 9). Valproate and the combination with temsirolimus enhanced the expression of PSA. IGF1 was reduced upon treatment with valproate and temsirolimus. The expression of IGF1-R was only increased by temsirolimus. In contrast to our cell culture experiments, the combination of valproate and temsirolimus reduced the expression of IGFBP-3.

Figure 9.

Expression of (A) PSA, (B) IGF1, (C) IGF1-R and (D) IGFBP-3 mRNA in tumor tissue after treatment with valproate, temsirolimus or a combination of both. Medium control was set as 100%.

Discussion

In the present study, we showed that valproate and temsirolimus mediate a decrease in the proliferation potential of a cultured prostate carcinoma cell line. Furthermore, the enhanced effect of a combined treatment suggests that both drugs act synergistically. Valproate has been described to inhibit tumorigenesis by reduction of tumor growth and induction of cell differentiation in different cell lines, such as neuroblastoma cells (SH-SY5Y) and a breast cancer cell line (MT-450) (9,25,26). In a previous study, we showed a fundamental mechanism underlying this phenomenon: valproate inhibits the activity of HDACs in LNCaP cells, leading to an increased expression of ERβ (10,11). ERβ itself exhibits antiproliferative, anti-invasive and pro-apoptopic capacities and is downregulated in prostate carcinoma (27–31). In addition, valproate is a negative regulator of the cell cycle: treatment with valproate increases the amount of G0/G1 phase prostate carcinoma cells and reduces the expression of Cdk1 (32). Decreased Cdk1 levels in turn result in a reduction of androgen receptor transcription (33). On the other hand, an antiproliferative influence has been reported for various mTOR inhibitors in vitro and in vivo as well (34). For instance, the application of rapamycin significantly reduces the growth rate of induced prostate carcinomas in a mouse model (35). Furthermore, Fung et al (36) showed a decreased proliferation of LNCaP cells upon treatment with temsirolimus, connected with a reduction in S-phase cells and an increase in G1-phase cells. Similar results have also been achieved with another mTOR inhibitor, RAD001 (32). The reduction of proliferation of LNCaP cells treated with a combination of valproate and temsirolimus observed in this study is in line with data from Wedel et al (32), who reported a synergistic effect of valproate with RAD001 on the inhibition of the cell cycle.

We further showed that the application of valproate on LNCaP cells results in a decrease of PSA expression, which is most likely due to an increase in ERβ expression (12). PSA is frequently used to asses the activity of prostate carcinoma and therefore a valid marker for tumorigenesis and diagnosis (37). A key regulator in tumorigenesis is the IGF-signaling pathway, which influences crucial processes such as cell proliferation, differentiation, transformation and apoptosis (38). Two regulatory mechanisms are essential for triggering the IGF activity: IGFBP-3 binds IGF1 and thereby competes with the IGF-receptor whereas PSA cleaves and inactivates IGFBP-3, thus increasing the pool of functional IGF (39). IGF1/IGF1-R-signaling enhances the metastatic capacity of prostate carcinoma cells (40,41) and facilitates the nuclear import of the androgen-receptor in the absence of androgens (42,43). In a previous study, IGF1 and IGFBP-3 were found to be correlated with advanced prostate cancer (44). Thus, IGF1 is a key mediator for the development of a castration-resistant prostate carcinoma, as it is not directly targeted by the currently used anti-androgen therapy. We found that treatment with valproate leads to a decreased expression of IGF1 and IGF1-R, whereas the expression of IGFBP-3 is enhanced. Furthermore, the combined application of valproate and temsirolimus further potentiates this effect. By contrast, temsirolimus alone does not affect IGFBP-3 expression. In addition to its inhibitory effects on IGF-signaling, IGFBP-3 also exhibits IGF-independent antiproliferative and pro-apoptotic abilities (19,20).

We showed that the simultaneous treatment of a prostate carcinoma cell line with the HDAC-inhibitor valproate and the mTOR inhibitor temsirolimus leads to synergistic anti-proliferative and pro-apoptotic effects by modulating the IGF1-signaling pathway. However, why the application of temsirolimus alone has no effect and the underlying mechanisms for the synergistic effects of the combined therapy, remain unclear.

To investigate whether the observed effect of valproate and temsirolimus on cultured prostate carcinoma cells is sufficient to inhibit tumor growth in vivo, we implanted LNCaP cells into nude mice. However, we observed no significant difference in tumor volume over the time of drug administration between the treated and untreated groups. Which concentration of the drug actually reaches the transformed cells due to its specific bioavailability has yet to be clarified. For valproate it has been shown that the dose rate we used in this study is sufficient to obtain a blood concentration, which is used in patients (45); however, different vascularization of the tumor may also influence the concentration of the drug at its destination. To our knowledge, for temsirolimus, no data are available about its bioavailability and its final concentration in targeted tissues.

In contrast to our finding, valproate has been shown in other studies to inhibit tumor growth in human stomach and liver carcinomas (46,47).

Contradictory reports have been published regarding the in vivo effect of mTOR inhibitors. The mTOR inhibitor RAD001 was able to reduce the growth of prostate carcinoma in mice as well as prostate carcinoma in mice tibiae (35,48). By contrast, the treatment of LNCaP-derived tumors in SCID mice with RAD001 did not affect tumor growth, which is in line with our results (49).

Consistent with unchanged tumor volumes, levels of human PSA in the blood of treated versus untreated mice also showed no differences. Therefore, we concluded that the activity of the androgen receptor is not permanently altered upon drug treatment in our experiment. This is in contrast to our findings from the cell culture experiment, where valproate reduced the expression of PSA 2.9-fold, whereas temsirolimus and the combined application of both drugs did not show any effects.

Whether the potential of valproate on PSA expression is not sufficient to reduce PSA levels in the blood or whether other mechanisms, which are not present in vitro, interfere, remain to be clarified.

In addition, the results from the expression analysis of PSA, IGF1, IGF1-receptor and IGFBP-3 differ from our cell culture experiments.

While PSA mRNA is decreased in cultured prostate carcinoma cells, its expression in vivo is increased by 53% upon treatment with temsirolimus and combined therapy with valproate and temsirolimus even potentiates this phenomenon. However, this elevated expression is not reflected by an increase in serum-PSA. Clearly, expression alterations induced by short-term stimulation of cultured cells do not persist in long-term in vivo treatments. In addition, the mRNA expression of IGF-axis genes does not reflect tumor growth features in vivo.

Although we did not observe any significant growth inhibition of prostate carcinoma cell-derived tumors in our nude mouse model upon treatment with valproate, temsirolimus or a combination of both, staining against the cell cycle marker Ki-67 in histological sections of the tumors showed a remarkable reduction in the proliferation potential when the mice were treated with a combination of valproate and temsirolimus. By contrast, tumors from untreated animals or mice treated with valproate or temsirolimus alone showed a significant higher proliferation potential. This is in line with our finding from the cell culture experiments, where the combined therapy exhibits synergistic effects. A similar phenomenon was observed for the combination of valproate with another mTOR inhibitor, RAD001, in cultured prostate carcinoma cells (32). However, we can only speculate why the reduced proliferation potential does not result in a reduced tumor growth. One possibility is that the period of treatment was too short, transformed cells proliferate in the beginning, without interference of a drug, and reach a steady state situation upon treatment with the valproate-temsirolimus combination. This is reflected by a reduced Ki-67-staining in tumor sections. Prolonged and extended studies are needed to clarify whether these tumors would finally arrest growth.

We hypothesize that the combined therapy of prostate carcinoma with the HDAC inhibitor valproate and the mTOR inhibitor temsirolimus exhibits synergistic effects on cell proliferation and apoptosis and is thus potentially capable of inhibiting tumor growth. The mTOR kinase is known to be the main signal integrating point receiving inputs via the PTEN/PI3K pathway through the action of Akt. In castration-resistant prostate cancer, mutated PTEN is expressed opening the PTEN/PI3K/Akt pathway for constitutive activation of anti-apoptotic mechanisms and activation of the mTOR pathway in the absence of androgens. Clinical trials with mTOR inhibitors in advanced prostate cancer led to the conclusion that it is likely that such agents will need to be combined with other therapies (50). Here, we combined the mTOR inhibitor temsirolimus with the HDAC inhibitor valproate with anti-androgen capacities, as we previously demonstrated (12). However, our in vivo data show that further studies are warranted to evaluate the optimal conditions (dose rate, application form, formulation) for the application of these two drugs in the therapy of prostate carcinoma.

Abbreviations:

LNCaP

lymph node metastasis of prostate cancer;

mTOR

mammalian target of rapamycin;

IGFBP-3

insulin-like growth factor-binding protein-3;

IGF1-R

insulin-like growth factor 1 receptor;

ARP

acidic ribosomal protein;

PSA

prostate-specific antigen;

HDAC

histone-deacetylase;

PTEN

phosphatase and tensin homolog;

BrdU

bromodeoxyuridine;

ELISA

enzyme-linked immunosorbent assay;

PBS

phosphate-buffered saline;

mRNA

messenger RNA;

RT-PCR

reverse transcription-polymerase chain reaction

References

1. 

Börgermann C, Loertzer H, Luboldt HJ, et al: PSA - Quo vadis? Urologe A. 48:1012–1014. 2009.(In German).

2. 

Tannock IF, de Wit R, Berry WR, et al: Docetaxel plus prednisone or mitoxantrone plus prednisone for advanced prostate cancer. N Engl J Med. 351:1502–1512. 2004. View Article : Google Scholar : PubMed/NCBI

3. 

Centenera MM, Harris JM, Tilley WD and Butler LM: The contribution of different androgen receptor domains to receptor dimerization and signaling. Mol Endocrinol. 22:2373–2382. 2008. View Article : Google Scholar : PubMed/NCBI

4. 

Knudsen KE and Penning TM: Partners in crime: deregulation of AR activity and androgen synthesis in prostate cancer. Trends Endocrinol Metab. 21:315–324. 2010. View Article : Google Scholar : PubMed/NCBI

5. 

Wang L, Zou X, Berger AD, et al: Increased expression of histone deacetylaces (HDACs) and inhibition of prostate cancer growth and invasion by HDAC inhibitor SAHA. Am J Transl Res. 1:62–71. 2009.PubMed/NCBI

6. 

Weichert W, Röske A, Gekeler V, et al: Histone deacetylases 1, 2 and 3 are highly expressed in prostate cancer and HDAC2 expression is associated with shorter PSA relapse time after radical prostatectomy. Br J Cancer. 98:604–610. 2008. View Article : Google Scholar : PubMed/NCBI

7. 

Halkidou K, Gaughan L, Cook S, et al: Upregulation and nuclear recruitment of HDAC1 in hormone refractory prostate cancer. Prostate. 59:177–189. 2004. View Article : Google Scholar : PubMed/NCBI

8. 

Xu WS, Parmigiani RB and Marks PA: Histone deacetylase inhibitors: molecular mechanisms of action. Oncogene. 26:5541–5552. 2007. View Article : Google Scholar : PubMed/NCBI

9. 

Göttlicher M, Minucci S, Zhu P, et al: Valproic acid defines a novel class of HDAC inhibitors inducing differentiation of transformed cells. EMBO J. 20:6969–6978. 2001.PubMed/NCBI

10. 

Xia Q, Sung J, Chowdhury W, et al: Chronic administration of valproic acid inhibits prostate cancer cell growth in vitro and in vivo. Cancer Res. 66:7237–7244. 2006. View Article : Google Scholar : PubMed/NCBI

11. 

Thelen P, Schweyer S, Hemmerlein B, et al: Expressional changes after histone deacetylase inhibition by valproic acid in LNCaP human prostate cancer cells. Int J Oncol. 24:25–31. 2004.PubMed/NCBI

12. 

Stettner M, Kaulfuss S, Burfeind P, et al: The relevance of estrogen receptor-beta expression to the antiproliferative effects observed with histone deacetylase inhibitors and phytoestrogens in prostate cancer treatment. Mol Cancer Ther. 6:2626–2633. 2007. View Article : Google Scholar

13. 

Yuan R, Kay A, Berg WJ and Lebwohl D: Targeting tumorigenesis: development and use of mTOR inhibitors in cancer therapy. J Hematol Oncol. 2:452009. View Article : Google Scholar : PubMed/NCBI

14. 

Li J, Yen C, Liaw D, et al: PTEN, a putative protein tyrosine phosphatase gene mutated in human brain, breast, and prostate cancer. Science. 275:1943–1947. 1997. View Article : Google Scholar : PubMed/NCBI

15. 

Steck PA, Pershouse MA, Jasser SA, et al: Identification of a candidate tumour suppressor gene, MMAC1, at chromosome 10q23.3 that is mutated in multiple advanced cancers. Nat Genet. 15:356–362. 1997. View Article : Google Scholar : PubMed/NCBI

16. 

Jiang BH and Liu LZ: PI3K/PTEN signaling in angiogenesis and tumorigenesis. Adv Cancer Res. 102:19–65. 2009. View Article : Google Scholar : PubMed/NCBI

17. 

Kremer CL, Klein RR, Mendelson J, et al: Expression of mTOR signaling pathway markers in prostate cancer progression. Prostate. 66:1203–1212. 2006. View Article : Google Scholar : PubMed/NCBI

18. 

Pollak M: Insulin and insulin-like growth factor signalling in neoplasia. Nat Rev Cancer. 8:915–928. 2008. View Article : Google Scholar : PubMed/NCBI

19. 

Han J, Jogie-Brahim S, Harada A and Oh Y: Insulin-like growth factor-binding protein-3 suppresses tumor growth via activation of caspase-dependent apoptosis and cross-talk with NF-κB signaling. Cancer Lett. 307:200–210. 2011.PubMed/NCBI

20. 

Franklin SL, Ferry RJ Jr and Cohen P: Rapid insulin-like growth factor (IGF)-independent effects of IGF binding protein-3 on endothelial cell survival. J Clin Endocrinol Metab. 88:900–907. 2003. View Article : Google Scholar : PubMed/NCBI

21. 

Igawa T, Lin FF, Lee MS, et al: Establishment and characterization of androgen-independent human prostate cancer LNCaP cell model. Prostate. 50:222–235. 2002. View Article : Google Scholar : PubMed/NCBI

22. 

Livak KJ and Schmittgen TD: Analysis of relative gene expression data using real-time quantitative PCR and the 2(−Delta Delta C(T)) method. Methods. 25:402–408. 2001.

23. 

Gerdes J, Lemke H, Baisch H, et al: Cell cycle analysis of a cell proliferation-associated human nuclear antigen defined by the monoclonal antibody Ki-67. J Immunol. 133:1710–1715. 1984.PubMed/NCBI

24. 

Scholzen T and Gerdes J: The Ki-67 protein: from the known and the unknown. J Cell Physiol. 182:311–322. 2000. View Article : Google Scholar : PubMed/NCBI

25. 

Yuan PX, Huang LD, Jiang YM, et al: The mood stabilizer valproic acid activates mitogen-activated protein kinases and promotes neurite growth. J Biol Chem. 276:31674–31683. 2001. View Article : Google Scholar : PubMed/NCBI

26. 

Blaheta RA and Cinatl J Jr: Anti-tumor mechanisms of valproate: a novel role for an old drug. Med Res Rev. 22:492–511. 2002. View Article : Google Scholar : PubMed/NCBI

27. 

Cheng J, Lee EJ, Madison LD and Lazennec G: Expression of estrogen receptor β in prostate carcinoma cells inhibits invasion and proliferation and triggers apoptosis. FEBS Lett. 566:169–172. 2004.

28. 

Horvath LG, Henshall SM, Lee CS, et al: Frequent loss of estrogen receptor-beta expression in prostate cancer. Cancer Res. 61:5331–5335. 2001.PubMed/NCBI

29. 

Latil A, Bièche I, Vidaud D, et al: Evaluation of androgen, estrogen (ER alpha and ER beta), and progesterone receptor expression in human prostate cancer by real-time quantitative reverse transcription-polymerase chain reaction assays. Cancer Res. 61:1919–1926. 2001.

30. 

Pasquali D, Rossi V, Esposito D, et al: Loss of estrogen receptor beta expression in malignant human prostate cells in primary cultures and in prostate cancer tissues. J Clin Endocrinol Metab. 86:2051–2055. 2001.PubMed/NCBI

31. 

Pasquali D, Staibano S, Prezioso D, et al: Estrogen receptor beta expression in human prostate tissue. Mol Cell Endocrinol. 178:47–50. 2001. View Article : Google Scholar : PubMed/NCBI

32. 

Wedel S, Hudak L, Seibel JM, et al: Inhibitory effects of the HDAC inhibitor valproic acid on prostate cancer growth are enhanced by simultaneous application of the mTOR inhibitor RAD001. Life Sci. 88:418–424. 2011. View Article : Google Scholar : PubMed/NCBI

33. 

Chen S, Xu Y, Yuan X, et al: Androgen receptor phosphorylation and stabilization in prostate cancer by cyclin-dependent kinase 1. Proc Natl Acad Sci USA. 103:15969–15974. 2006. View Article : Google Scholar : PubMed/NCBI

34. 

Azim H, Azim HA Jr and Escudier B: Targeting mTOR in cancer: renal cell is just a beginning. Target Oncol. 5:269–280. 2010. View Article : Google Scholar : PubMed/NCBI

35. 

Zhang W, Zhu J, Efferson CL, et al: Inhibition of tumor growth progression by antiandrogens and mTOR inhibitor in a Pten-deficient mouse model of prostate cancer. Cancer Res. 69:7466–7472. 2009. View Article : Google Scholar : PubMed/NCBI

36. 

Fung AS, Wu L and Tannock IF: Concurrent and sequential administration of chemotherapy and the Mammalian target of rapamycin inhibitor temsirolimus in human cancer cells and xenografts. Clin Cancer Res. 15:5389–5395. 2009. View Article : Google Scholar : PubMed/NCBI

37. 

Thompson IM Jr, Leach RJ and Ankerst DP: Prostate cancer detection: a view of the future. Eur Urol. 59:191–193. 2011. View Article : Google Scholar : PubMed/NCBI

38. 

Moschos SJ and Mantzoros CS: The role of the IGF system in cancer: from basic to clinical studies and clinical applications. Oncology. 63:317–332. 2002. View Article : Google Scholar : PubMed/NCBI

39. 

Jogie-Brahim S, Feldman D and Oh Y: Unraveling insulin-like growth factor binding protein-3 actions in human disease. Endocr Rev. 30:417–437. 2009. View Article : Google Scholar : PubMed/NCBI

40. 

Marelli MM, Moretti RM, Procacci P, et al: Insulin-like growth factor-I promotes migration in human androgen-independent prostate cancer cells via the ανβ3 integrin and PI3-K/Akt signaling. Int J Oncol. 28:723–730. 2006.PubMed/NCBI

41. 

Goya M, Miyamoto S, Nagai K, et al: Growth inhibition of human prostate cancer cells in human adult bone implanted into nonobese diabetic/severe combined immunodeficient mice by a ligand-specific antibody to human insulin-like growth factors. Cancer Res. 64:6252–6258. 2004. View Article : Google Scholar

42. 

Wen Y, Hu MC, Makino K, et al: HER-2/neu promotes androgen-independent survival and growth of prostate cancer cells through the Akt pathway. Cancer Res. 60:6841–6845. 2000.PubMed/NCBI

43. 

Manin M, Baron S, Goossens K, et al: Androgen receptor expression is regulated by the phosphoinositide 3-kinase/Akt pathway in normal and tumoral epithelial cells. Biochem J. 366:729–736. 2002.PubMed/NCBI

44. 

Rowlands MA, Holly JM, Hamdy F, et al: Serum insulin-like growth factors and mortality in localised and advanced clinically detected prostate cancer. Cancer Causes Control. 23:347–354. 2012. View Article : Google Scholar : PubMed/NCBI

45. 

Shabbeer S, Kortenhorst MS, Kachhap S, et al: Multiple molecular pathways explain the anti-proliferative effect of valproic acid on prostate cancer cells in vitro and in vivo. Prostate. 67:1099–1110. 2007. View Article : Google Scholar : PubMed/NCBI

46. 

Yagi Y, Fushida S, Harada S, et al: Effects of valproic acid on the cell cycle and apoptosis through acetylation of histone and tubulin in a scirrhous gastric cancer cell line. J Exp Clin Cancer Res. 29:1492010. View Article : Google Scholar : PubMed/NCBI

47. 

Machado MC, Bellodi-Privato M, Kubrusly MS, et al: Valproic acid inhibits human hepatocellular cancer cells growth in vitro and in vivo. J Exp Ther Oncol. 9:85–92. 2011.PubMed/NCBI

48. 

Morgan TM, Pitts TE, Gross TS, et al: RAD001 (Everolimus) inhibits growth of prostate cancer in the bone and the inhibitory effects are increased by combination with docetaxel and zoledronic acid. Prostate. 68:861–871. 2008. View Article : Google Scholar : PubMed/NCBI

49. 

Schayowitz A, Sabnis G, Goloubeva O, et al: Prolonging hormone sensitivity in prostate cancer xenografts through dual inhibition of AR and mTOR. Br J Cancer. 103:1001–1007. 2010. View Article : Google Scholar : PubMed/NCBI

50. 

Corcoran NM, Costello AJ and Hovens CM: Interfering with cell-survival signalling as a treatment strategy for prostate cancer. BJU Int. 97:1149–1153. 2006. View Article : Google Scholar : PubMed/NCBI

Related Articles

  • Abstract
  • View
  • Download
  • Twitter
Copy and paste a formatted citation
Spandidos Publications style
Thelen P, Krahn L, Bremmer F, Strauss A, Brehm R and Loertzer H: Synergistic effects of histone deacetylase inhibitor in combination with mTOR inhibitor in the treatment of prostate carcinoma. Int J Mol Med 31: 339-346, 2013.
APA
Thelen, P., Krahn, L., Bremmer, F., Strauss, A., Brehm, R., & Loertzer, H. (2013). Synergistic effects of histone deacetylase inhibitor in combination with mTOR inhibitor in the treatment of prostate carcinoma. International Journal of Molecular Medicine, 31, 339-346. https://doi.org/10.3892/ijmm.2012.1221
MLA
Thelen, P., Krahn, L., Bremmer, F., Strauss, A., Brehm, R., Loertzer, H."Synergistic effects of histone deacetylase inhibitor in combination with mTOR inhibitor in the treatment of prostate carcinoma". International Journal of Molecular Medicine 31.2 (2013): 339-346.
Chicago
Thelen, P., Krahn, L., Bremmer, F., Strauss, A., Brehm, R., Loertzer, H."Synergistic effects of histone deacetylase inhibitor in combination with mTOR inhibitor in the treatment of prostate carcinoma". International Journal of Molecular Medicine 31, no. 2 (2013): 339-346. https://doi.org/10.3892/ijmm.2012.1221
Copy and paste a formatted citation
x
Spandidos Publications style
Thelen P, Krahn L, Bremmer F, Strauss A, Brehm R and Loertzer H: Synergistic effects of histone deacetylase inhibitor in combination with mTOR inhibitor in the treatment of prostate carcinoma. Int J Mol Med 31: 339-346, 2013.
APA
Thelen, P., Krahn, L., Bremmer, F., Strauss, A., Brehm, R., & Loertzer, H. (2013). Synergistic effects of histone deacetylase inhibitor in combination with mTOR inhibitor in the treatment of prostate carcinoma. International Journal of Molecular Medicine, 31, 339-346. https://doi.org/10.3892/ijmm.2012.1221
MLA
Thelen, P., Krahn, L., Bremmer, F., Strauss, A., Brehm, R., Loertzer, H."Synergistic effects of histone deacetylase inhibitor in combination with mTOR inhibitor in the treatment of prostate carcinoma". International Journal of Molecular Medicine 31.2 (2013): 339-346.
Chicago
Thelen, P., Krahn, L., Bremmer, F., Strauss, A., Brehm, R., Loertzer, H."Synergistic effects of histone deacetylase inhibitor in combination with mTOR inhibitor in the treatment of prostate carcinoma". International Journal of Molecular Medicine 31, no. 2 (2013): 339-346. https://doi.org/10.3892/ijmm.2012.1221
Follow us
  • Twitter
  • LinkedIn
  • Facebook
About
  • Spandidos Publications
  • Careers
  • Cookie Policy
  • Privacy Policy
How can we help?
  • Help
  • Live Chat
  • Contact
  • Email to our Support Team