Spandidos Publications Logo
  • About
    • About Spandidos
    • Aims and Scopes
    • Abstracting and Indexing
    • Editorial Policies
    • Reprints and Permissions
    • Job Opportunities
    • Terms and Conditions
    • Contact
  • Journals
    • All Journals
    • Oncology Letters
      • Oncology Letters
      • Information for Authors
      • Editorial Policies
      • Editorial Board
      • Aims and Scope
      • Abstracting and Indexing
      • Bibliographic Information
      • Archive
    • International Journal of Oncology
      • International Journal of Oncology
      • Information for Authors
      • Editorial Policies
      • Editorial Board
      • Aims and Scope
      • Abstracting and Indexing
      • Bibliographic Information
      • Archive
    • Molecular and Clinical Oncology
      • Molecular and Clinical Oncology
      • Information for Authors
      • Editorial Policies
      • Editorial Board
      • Aims and Scope
      • Abstracting and Indexing
      • Bibliographic Information
      • Archive
    • Experimental and Therapeutic Medicine
      • Experimental and Therapeutic Medicine
      • Information for Authors
      • Editorial Policies
      • Editorial Board
      • Aims and Scope
      • Abstracting and Indexing
      • Bibliographic Information
      • Archive
    • International Journal of Molecular Medicine
      • International Journal of Molecular Medicine
      • Information for Authors
      • Editorial Policies
      • Editorial Board
      • Aims and Scope
      • Abstracting and Indexing
      • Bibliographic Information
      • Archive
    • Biomedical Reports
      • Biomedical Reports
      • Information for Authors
      • Editorial Policies
      • Editorial Board
      • Aims and Scope
      • Abstracting and Indexing
      • Bibliographic Information
      • Archive
    • Oncology Reports
      • Oncology Reports
      • Information for Authors
      • Editorial Policies
      • Editorial Board
      • Aims and Scope
      • Abstracting and Indexing
      • Bibliographic Information
      • Archive
    • Molecular Medicine Reports
      • Molecular Medicine Reports
      • Information for Authors
      • Editorial Policies
      • Editorial Board
      • Aims and Scope
      • Abstracting and Indexing
      • Bibliographic Information
      • Archive
    • World Academy of Sciences Journal
      • World Academy of Sciences Journal
      • Information for Authors
      • Editorial Policies
      • Editorial Board
      • Aims and Scope
      • Abstracting and Indexing
      • Bibliographic Information
      • Archive
    • International Journal of Functional Nutrition
      • International Journal of Functional Nutrition
      • Information for Authors
      • Editorial Policies
      • Editorial Board
      • Aims and Scope
      • Abstracting and Indexing
      • Bibliographic Information
      • Archive
    • International Journal of Epigenetics
      • International Journal of Epigenetics
      • Information for Authors
      • Editorial Policies
      • Editorial Board
      • Aims and Scope
      • Abstracting and Indexing
      • Bibliographic Information
      • Archive
    • Medicine International
      • Medicine International
      • Information for Authors
      • Editorial Policies
      • Editorial Board
      • Aims and Scope
      • Abstracting and Indexing
      • Bibliographic Information
      • Archive
  • Articles
  • Information
    • Information for Authors
    • Information for Reviewers
    • Information for Librarians
    • Information for Advertisers
    • Conferences
  • Language Editing
Spandidos Publications Logo
  • About
    • About Spandidos
    • Aims and Scopes
    • Abstracting and Indexing
    • Editorial Policies
    • Reprints and Permissions
    • Job Opportunities
    • Terms and Conditions
    • Contact
  • Journals
    • All Journals
    • Biomedical Reports
      • Information for Authors
      • Editorial Policies
      • Editorial Board
      • Aims and Scope
      • Abstracting and Indexing
      • Bibliographic Information
      • Archive
    • Experimental and Therapeutic Medicine
      • Information for Authors
      • Editorial Policies
      • Editorial Board
      • Aims and Scope
      • Abstracting and Indexing
      • Bibliographic Information
      • Archive
    • International Journal of Epigenetics
      • Information for Authors
      • Editorial Policies
      • Editorial Board
      • Aims and Scope
      • Abstracting and Indexing
      • Bibliographic Information
      • Archive
    • International Journal of Functional Nutrition
      • Information for Authors
      • Editorial Policies
      • Editorial Board
      • Aims and Scope
      • Abstracting and Indexing
      • Bibliographic Information
      • Archive
    • International Journal of Molecular Medicine
      • Information for Authors
      • Editorial Policies
      • Editorial Board
      • Aims and Scope
      • Abstracting and Indexing
      • Bibliographic Information
      • Archive
    • International Journal of Oncology
      • Information for Authors
      • Editorial Policies
      • Editorial Board
      • Aims and Scope
      • Abstracting and Indexing
      • Bibliographic Information
      • Archive
    • Medicine International
      • Information for Authors
      • Editorial Policies
      • Editorial Board
      • Aims and Scope
      • Abstracting and Indexing
      • Bibliographic Information
      • Archive
    • Molecular and Clinical Oncology
      • Information for Authors
      • Editorial Policies
      • Editorial Board
      • Aims and Scope
      • Abstracting and Indexing
      • Bibliographic Information
      • Archive
    • Molecular Medicine Reports
      • Information for Authors
      • Editorial Policies
      • Editorial Board
      • Aims and Scope
      • Abstracting and Indexing
      • Bibliographic Information
      • Archive
    • Oncology Letters
      • Information for Authors
      • Editorial Policies
      • Editorial Board
      • Aims and Scope
      • Abstracting and Indexing
      • Bibliographic Information
      • Archive
    • Oncology Reports
      • Information for Authors
      • Editorial Policies
      • Editorial Board
      • Aims and Scope
      • Abstracting and Indexing
      • Bibliographic Information
      • Archive
    • World Academy of Sciences Journal
      • Information for Authors
      • Editorial Policies
      • Editorial Board
      • Aims and Scope
      • Abstracting and Indexing
      • Bibliographic Information
      • Archive
  • Articles
  • Information
    • For Authors
    • For Reviewers
    • For Librarians
    • For Advertisers
    • Conferences
  • Language Editing
Login Register Submit
  • This site uses cookies
  • You can change your cookie settings at any time by following the instructions in our Cookie Policy. To find out more, you may read our Privacy Policy.

    I agree
Search articles by DOI, keyword, author or affiliation
Search
Advanced Search
presentation
International Journal of Molecular Medicine
Join Editorial Board Propose a Special Issue
Print ISSN: 1107-3756 Online ISSN: 1791-244X
Journal Cover
November-2019 Volume 44 Issue 5

Full Size Image

Sign up for eToc alerts
Recommend to Library

Journals

International Journal of Molecular Medicine

International Journal of Molecular Medicine

International Journal of Molecular Medicine is an international journal devoted to molecular mechanisms of human disease.

International Journal of Oncology

International Journal of Oncology

International Journal of Oncology is an international journal devoted to oncology research and cancer treatment.

Molecular Medicine Reports

Molecular Medicine Reports

Covers molecular medicine topics such as pharmacology, pathology, genetics, neuroscience, infectious diseases, molecular cardiology, and molecular surgery.

Oncology Reports

Oncology Reports

Oncology Reports is an international journal devoted to fundamental and applied research in Oncology.

Experimental and Therapeutic Medicine

Experimental and Therapeutic Medicine

Experimental and Therapeutic Medicine is an international journal devoted to laboratory and clinical medicine.

Oncology Letters

Oncology Letters

Oncology Letters is an international journal devoted to Experimental and Clinical Oncology.

Biomedical Reports

Biomedical Reports

Explores a wide range of biological and medical fields, including pharmacology, genetics, microbiology, neuroscience, and molecular cardiology.

Molecular and Clinical Oncology

Molecular and Clinical Oncology

International journal addressing all aspects of oncology research, from tumorigenesis and oncogenes to chemotherapy and metastasis.

World Academy of Sciences Journal

World Academy of Sciences Journal

Multidisciplinary open-access journal spanning biochemistry, genetics, neuroscience, environmental health, and synthetic biology.

International Journal of Functional Nutrition

International Journal of Functional Nutrition

Open-access journal combining biochemistry, pharmacology, immunology, and genetics to advance health through functional nutrition.

International Journal of Epigenetics

International Journal of Epigenetics

Publishes open-access research on using epigenetics to advance understanding and treatment of human disease.

Medicine International

Medicine International

An International Open Access Journal Devoted to General Medicine.

Journal Cover
November-2019 Volume 44 Issue 5

Full Size Image

Sign up for eToc alerts
Recommend to Library

  • Article
  • Citations
    • Cite This Article
    • Download Citation
    • Create Citation Alert
    • Remove Citation Alert
    • Cited By
  • Similar Articles
    • Related Articles (in Spandidos Publications)
    • Similar Articles (Google Scholar)
    • Similar Articles (PubMed)
  • Download PDF
  • Download XML
  • View XML
Article Open Access

Polyphenol mixture of a native Korean variety of Artemisia argyi H. (Seomae mugwort) and its anti‑inflammatory effects

  • Authors:
    • Seong Min Kim
    • Soo Jung Lee
    • Venu Venkatarame Gowda Saralamma
    • Sang Eun Ha
    • Preethi Vetrivel
    • Kebede Taye Desta
    • Jin Young Choi
    • Won Sup Lee
    • Sung Chul Shin
    • Gon‑Sup Kim
  • View Affiliations / Copyright

    Affiliations: Research Institute of Life Science and College of Veterinary Medicine, Gyeongsang National University, Jinju, Gyeongsang 52828, Republic of Korea, Institute of Agriculture and Life Science, Gyeongsang National University, Jinju, Gyeongsang 52828, Republic of Korea, Department of Chemistry, College of Natural and Computational Sciences, Mekelle University, Mekelle, Tigray National Regional State, Ethiopia, Department of Chemistry, Gyeongsang National University, Jinju, Gyeongsang 52828, Republic of Korea, Department of Internal Medicine, Institute of Health Sciences, Gyeongsang National University Hospital and Gyeongsang National University School of Medicine, Jinju, Gyeongsang 52828, Republic of Korea, Research Institute of Life Science, Gyeongsang National University, Jinju, Gyeongsang 52828, Republic of Korea
    Copyright: © Kim et al. This is an open access article distributed under the terms of Creative Commons Attribution License.
  • Pages: 1741-1752
    |
    Published online on: September 9, 2019
       https://doi.org/10.3892/ijmm.2019.4334
  • Expand metrics +
Metrics: Total Views: 0 (Spandidos Publications: | PMC Statistics: )
Metrics: Total PDF Downloads: 0 (Spandidos Publications: | PMC Statistics: )
Cited By (CrossRef): 0 citations Loading Articles...

This article is mentioned in:



Abstract

In the present study, a polyphenolic mixture was isolated from Seomae mugwort (SM; a native Korean variety of Artemisia argyi H.) via extraction with aqueous 70% methanol followed by the elution of ethyl acetate over a silica gel column. Each polyphenolic compound was analyzed using high‑performance liquid chromatography coupled with tandem mass spectrometry, and compared with the literature. In addition to the 14 characterized components, one hydroxycinnamate, six flavonoids, and one lignan were reported for the first time, to the best our knowledge, in Artemisia argyi H. The anti‑inflammatory properties of SM polyphenols were studied in lipopolysaccharide‑treated RAW 264.7 macrophage cells. The SM polyphenols attenuated the activation of macrophages via the inhibition of nitric oxide production, nuclear factor‑κB activation, the mRNA expression of inducible nitric oxide synthase, tumor necrosis factor α and interleukin‑1β, and the phosphorylation of mitogen‑activated protein kinase. Our results suggested that SM polyphenols may have therapeutic potential for the treatment of inflammatory‑related diseases.

Introduction

The genus Artemisia argyi H. (A. argyi), a perennial herb that belongs to the Asteraceae family, is ubiquitously distributed in the northern hemisphere (1). The plant has been used for various purposes, such as spring greens, spices, native tea or ornamentation (2). In addition, it has been traditionally used in the Far East to treat or prevent a variety of diseases, which include eczema, diarrhea, inflammation, hemostasis, menstruation-related symptoms and tuberculosis (3). Pharmacological research has demonstrated that A. argyi exhibits a variety of biological activities, such as anti-diabetic (4), anti-oxidant (5), anti-cancer (6,7), anti-microbial (8), anti-inflammatory (9), anti-ulcer (10), and anti-allergic (11) activities.

Among a number of components (fatty acid, amino acid, vitamin C, coumarins, glycosides, polyphenols, polyacetylenes, terpenes, sterols, sesquiterpene lactones and essential oils) identified from A. argyi (12,13). Polyphenols usually detected in plants can be classified into two groups of flavonoids and non-flavonoids, and may be notably responsible for various pharmacological activities (14). Polyphenols including flavo-noids serve a role as powerful anti-oxidants that are capable of scavenging reactive oxygen species, thereby suppressing the pathogenesis of age-related degenerative diseases, such as diabetes, cardiovascular disease, cancer, and neurodegenera-tive diseases (15,16). Scientists have been shown great interest in the study of plant flavonoids, as of their potential application in the fields of nutrition and pharmacology, where A. argyi could be an attractive research target (17).

Inflammation is a defensive immune response of the human body that is conferred by the host against harmful stimuli, such as foreign pathogens, damaged cells or irritants (18). Prolonged and uncontrolled inflammation hyperactivates macrophage and nuclear factor-κB (NF-κB), which up regulates pro-inflammatory mediators, such as inducible nitric oxide synthase (iNOS), cyclooxygenase-2 (COX-2) and and cytokines which include tumor necrosis factor-α (TNF-α), interleukin-1β (IL-1β), and IL-6 (19). This inflammation-related process may result in the pathogenesis of various chronic diseases, such as hay fever, periodontitis, atherosclerosis, rheumatoid arthritis, Alzheimer's disease, and even cancer, such as gallbladder carcinoma (20). Therefore, inhibiting NF-κB and/or various pro-inflammatory mediators could be considered a promising strategy for drug discovery in relation to the treatment of various chronic disease (21). Widely used pharmaceuticals, such as indo-methacin, naproxen and etanercept have been designed for the inhibition of specific inflammatory mediators (22). Despite their benefits, such synthetic medicines may cause serious adverse effects (23). Therefore, scientific trials that have been intensively concentrated on plant substances to find more effective and less deleterious therapeutic agents are required. It has been scientifically demonstrated that various compounds of plant species show anti-inflammatory potential (24). The polyphenols are a group of secondary metabolites that are ubiquitously found in the plant kingdom, and exhibit various pharmaceutical effects (25). It is well-known that the polyphenols of oriental herbs can inhibit inflammatory pathways and mediators, such as NF-κB, TNF-α, iNOS, and COX-2, IL-1β and IL-6 (26).

Seomae mugwort (SM) is a Korean variety of A. argyi H. Lév. & Vaniot that is exclusively cultivated on Namhae Island, and has been registered under protection as a local-specific resource by the Korea Forest Service (registration no. 42, 2013, 09. 27) (27). Few studies have been conducted to investigate its chemical and biological characteristics (12). Therefore, further analysis of its chemical composition and biological activities is required. Though previous studies have been conducted on the anti-inflammatory effect of Artemisia polyphenols (28), no information regarding the anti-inflammatory properties of SM polyphenols has been obtained at the molecular level.

In the present study, we aimed to comprehensively char-acterize the SM polyphenolic metabolomes, such as flavonoid using high-performance liquid chromatography coupled with tandem mass spectrometry (HPLC-MS/MS), and investigated their anti-inflammatory effects.

Materials and methods

Experimental extraction of polyphenols Standards and reagents

Caffeic acid, apigenin, kaempferol, amentoflavone, ferulic acid, quercetin and flavone were purchased from Sigma-Aldrich (Merck KGaA), and used as external standards, after recrystallization in ≥99.9% HPLC-grade methanol. The purities of all standards were confirmed by HPLC to be >99%. All other chemicals and solvents were of analytical grade, and were obtained from Duksan Pure Chemical Co., Ltd.

Collection and preparation of plant materials

The SM plants were collected in May 2017 from Namhae Island. The Animal Bioresource Research Bank authenticated the plants as taxonomically homozygous. The voucher specimens (ref nos. 2012M3A9B8019303 and 2017R1A2B4003974) were deposited at the herbarium of the Research Institute of Life Science, Gyeongsang National University. The plants were washed with water, lyophilized and stored at -20°C, till extraction.

Extraction and purification

The isolation of polyphenols from the plant was carried out based on the technique described by Song et al with minor modifications (29). The lyophilized plants (90 g) were refluxed in 70% methanol (1.5 l) for 20 h at room temperature. The mixture was filtered through a Büchner funnel, and concentrated to ~300 ml at reduced pressure at 35°C, using a rotary evaporator with 80 rpm. The concentrated filtrate was washed with n-hexane (300 ml) three times to remove nonpolar impurities. Subsequently, the filtrate was extracted using ethyl acetate (100 ml) three times, and dried over anhydrous MgSO4. The solvent was removed under reduced pressure. The sticky residue was placed on the top of a silica gel solvent (40×2.5 cm), and eluted with ethyl acetate to eliminate highly polar impurities. The solvent was then removed to yield solids of polyphenol mixture (1.34 g, 1.5% of the lyophilized plants). The mixture was stored at -20°C, pending analysis.

HPLC-MS/MS analysis

HPLC-MS/MS were conducted according to the method previously reported by Song et al (29). HPLC-MS/MS was performed on a 1,100 series HPLC system (Agilent Technologies, Inc.) and 3200 QTrap tandem mass system (Sciex LLC) operated in negative ion mode (spray voltage set at -4.5 kV). The exception being only that the gradient system comprised 0.5% aqueous formic acid (A) and 100% methanol (B) at a flow rate of 0.5 ml/min. The gradient conditions used in the mobile phase were 0-10 min, 15% B; 10-15 min, 15-20% B; 15-25 min, 20% B; 25-30 min, 20-25% B; 30-60 min, 25-45% B; 60-65 min, 45-70% B; 65-70 min, 70-15% B.

Quantification of polyphenol

Polyphenol samples were quantified using LC-UV chromatograms (at 280 nm) with seven selected standards. Calibration curves were plotted for each using five concentration levels (n=5; 50, 100, 200, 500, and 1,000 μg/ml) and polyphenol contents were determined in terms of peak area ratios with the analyte vs. analyte concentrations using a 1/x (x, concentration) weighted linear regression (n=5). Quantification of each polyphenol can be conducted using a standard with the same chromophore. Thus, the standard caffeic acid was used to quantify compounds 1, 6, 10, 11 and 14; apigenin was used to quantify compounds 2 and 3; kaempferol was used for compounds 8 and 9; amentoflavone was applied for compounds 5 and 7, followed by ferulic acid, quercetin, and flavone was used to quantify compounds 4, 12 and 13, respectively. And all samples were repeated three or more times.

Anti-inflammatory experiments Cell culture

The mouse macrophage cells, RAW 264.7 (American Type Culture Collection), were cultured in Dulbecco's Modified Eagles medium (HyClone; GE Healthcare Life Sciences) supplemented with 10% fetal bovine serum and 100 U/ml streptomycin at 37°C in humidified 5% CO2 incubator.

Cell viability assay

Cell viability was evaluated with MTT assay. RAW 264.7 cells were seeded at a density of 5×104 per well in 48-well culture plates. The cells were stimulated with LPS at 1 μg/ml for 1 h and then incubated with SM polyphenols at the indicated concentration (2.5-30 μg/ml) for 24 h at 37°C. Control and LPS-only treated groups were treated with the same volume of the solvent dimethyl sulfoxide. After washing the cells, 0.05% MTT solution was added to each well, and then incubated for 3 h at 37°C. The formazan crystals in live cells were dissolved in dimethyl sulfoxide. The absorbance of each well was measured at 570 nm using PowerWave HT microplate spectrophotometry (BioTek, Inc.). The cell viability was expressed as a percentage of viable cells compared with the control group consisting of untreated cells.

Measurement of nitric oxide (NO) expression

The quantitation of NO expression in biological systems was analyzed using Griess reagent kit (Promega Corporation, TB229), according to the manufacturer's instructions. RAW 264.7 cells were seeded at a density of 1.5×104 per well in 96-well culture plates. RAW 264.7 cells were then pretreated with 1 μg/ml LPS for 1 h, followed by treatment with SM polyphenols at a concentration of 2.5 and 5 μg/ml for 24 h at 37°C. The mixture of 50 μl of cell culture supernatant and 50 μl of sulfanilamide solution (1% sulfanilamide in 5% phosphoric acid) was incubated in 96-well plate for 10 min at room temperature, protected from light. After incubation, 50 μl of N-(1-naphthyl) ethylene diamine hydrochloride solution was added to each mixture, and incubated for 10 min at room temperature, protected from light. The absorbance of each well was measured at a wavelength of 520 nm using PowerWave HT microplate spectrophotometer (BioTek Instruments, Inc.). To calibrate the amount of NO, sodium nitrite (0, 1.56, 3.13, 6.25, 12.5, 25, 50, and 100 μM) was used as the nitrate standard.

Enzyme-linked immunosorbent assay (ELISA)

RAW 264.7 cells were seeded at a density of 5×104 per well in 48-well culture plates. The cells were pretreated with 1 μg/ml LPS for 1 h and then incubated with SM polyphenols for 24 h at 37°C. The cytokine IL-1 β levels were quantified using the mouse IL-1β kit (ADI-900-132A, Enzo Life Sciences) according to the manufacturer's instructions.

Western blot analysis

Whole cell lysates were prepared using radioimmunoprecipitation assay buffer (RIPA; iNtRON; 50 mM Tris-HCl, pH 7.5, 150 mM sodium chloride, 0.5% sodium deoxycholate, 1% Triton X-100, 0.1% SDS, 2 mM EDTA) containing protease inhibitor cocktail (Thermo Fisher Scientific, Inc.) and phosphatase inhibitor (Thermo Fisher Scientific, Inc.). The concentration of proteins was determined by a BCA protein assay kit (Thermo Fisher Scientific, Inc.). An equal amount of protein (20 μg) was separated using 8-15% SDS-PAGE, and transferred onto a polyvinylidene difluoride membrane. The membranes were blocked with 5% non-fat milk or 5% bovine serum albumin (Gibco; Thermo Fisher Scientific, Inc.) in Tris-buffered saline with Tween-20 (TBS-T; 25 mM Tris, 137 mM NaCl, 2.7 mM KCl, and 0.1 % Tween-20) at room temperature for 1 h, and incubated with the respective primary antibodies at 4°C for 16 h. Primary antibodies against iNOS (cat. no. 13120S; 1:1,000), COX-2 (cat. no. 12282S; 1:1,000), phosphorylated (p)-p65 (Ser536; 3033S; 1:1,000), p65 (8242S; 1:1,000), p-IκBα (Ser32; cat. no. 2859S; 1:1,000), IκBα (cat. no. 4812S; 1:1,000), p-JNK1/2 (Thr183/Tyr185; cat. no. 4671S, 1:1,000), JNK (cat. no. 9258S, 1:1,000), p-p38 (Thr180/Tyr182; cat. no. 9216S, 1:1,000), p38 (cat. no. 8690S; 1:1,000), p-ERK1/2 (Thr202/Tyr204; cat. no. 4370S, 1:1,000), ERK1/2 (cat. no. 4695S; 1:1,000), and β-actin (cat. no. 3700S, 1:10,000) were purchased from Cell Signaling Technology, Inc. After washing with TBS-T more than five times, the membranes were incubated with the anti-rabbit or anti-mouse (cat. nos. A120-101P and A90-116P, respectively, Bethyl Laboratory, Inc.) secondary antibodies (1:2,000) conjugated with horseradish peroxidase for 3 h at room temperature, followed by visualization with an enhanced chemiluminescence kit (Bio-Rad Laboratories, Inc.). The images were acquired by the ChemiDoc imaging system (Bio-Rad Laboratories, Inc.). The β-actin protein was used as a loading control. Western blot images were quantified using the ImageJ 1.50i software (National Institutes of Health).

Reverse transcription-quantitative polymerase chain reaction analysis (RT-qPCR)

After treatment, total RNA was extracted from RAW 264.7 cells by using TRIzol reagent (Thermo Fisher Scientific, Inc.). cDNA was reverse-transcribed from 1 μg of RNA with iScript cDNA synthesis kit (Bio-Rad Laboratories, Inc.), according to the manufacturer's instructions, and used as templates in quantitative real-time PCR using AccuPower® 2X GreenstarTM qPCR Master (Bioneer, Daejeon, Republic of Korea). The sequence of primers were as follows: iNOS, 5′-TCC TAC ACC ACA CCA AAC-3′ (forward) and 5′-CTC CAA TCT CTG CCT ATC-3′ (reverse), IL-1β, 5′-TGC AGA GTT CCC CAA CTG GTA CAT C-3′ (forward) and 5′-GTG CTG CCT AAT GTC CCC TTG AAT C-3′ (reverse), TNFα, 5′-TGG AGT CAT TGC TCT GTG AAG GGA-3′ (forward) and 5′-AGT CCT TGA TGG TGG TGC ATG AGA-3′ (reverse), β-actin, 5′-TAC TGC CCT GGC TCC TAG CA-3′ (forward), and 5′-TGG ACA GTG AGG CCA GGA TAG-3′ (reverse) (30-32). Thermocycling conditions consisted of an pre-denaturation for 2 min at 95°C, followed by 40 cycles at 95°C for 5 sec, 58°C for 30 sec, and 95°C for 5 sec; qPCR was conducted with a CFX384 Real-Time PCR Detection System (Bio-Rad Laboratories, Inc.). All data was investigated with the Bio-Rad CFX Manager Version 3.1 software. Relative quantitation was analyzed on taking the difference (ΔCq). The mRNA expression levels were normal-ized using the expression of β-actin.

Statistical analysis

All the results of the anti-inflammatory experiment were presented as the mean ± standard error of the mean of triplicate samples. Statistical analyses were conducted using GraphPad Prism software version 5.02 (GraphPad Software, Inc.). Significant differences between groups were calculated by one-way factorial analysis of variance, followed by a Dunnett's test. P<0.05 was considered to indicate a statistically significant difference.

Results

Separation and characterization of SM polyphenols

The mixture of polyphenols isolated from SM by 70% methanol extraction was followed by the elution of ethyl acetate over a silica gel column. Each polyphenol was characterized via HPLC using a C18 column, MS/MS in negative ion mode, and a comparison with the reported data was performed. The polyphenols were labeled according to their retention time (tR) order in the 10‑60 min absorbance segment of chromatogram recorded at 280 nm (Table I). A total of fourteen polyphenols were characterized, which are composed of five hydroxycinnamates (1, 6, 10, 11 and 14), eight flavonoids (2, 3, 5, 7, 8, 9, 12 and 13) and one lignan (4). As shown in Figs. 1 and 2, and Table I, the structures and HPLC‑ MS/MS data of the polyphenols were presented. Hydroxycinnamates (1, 6, 10, and 11) and flavonoids (2 and 3) were recently reported in Chinese and Korean A. argyi (33). To the best of our knowledge, we are the first to characterize one hydroxycinnamate (14), six flavonoids (5, 7, 8, 9, 12 and 13), and lignan (4) in the SM variety of A. argyi. It has been known that plant bioactive components may vary in accordance with the plant variety based on geographical location, which is attributed mainly to climatic variation and nutrient availability (12). The novel polyphenols were identified on the basis of their molecular ions and mass fragmentation patterns in comparison with the literature data. Thus, phenolic component 4 (tR=24.02 min) yield [M‑H]‑ at m/z 361, which was fragmented to ions m/z 346 [M‑H‑C H3]‑, 313 [M‑H‑C H2O]‑, 179 [C6H4(O)(OCH3)CH=CHCH2OH]‑, and 165 [C6H3(CO)2CH2CH2CH2Ox]‑, was identified as secoisolariciresinol (34). Flavonoid 5 (tR=28.70 min) was identified as amentoflavone isomer, which has shown [M‑H]‑ at m/z 537, and fragmented to generate an ion at m/z 443 [M‑H‑C 6H5OH]‑, 417 [C ring 0,2 cleavage, M‑H‑C 6H4(O)CO]‑, 399 [C' ring 0',3' cleavage, M‑H‑C 6H2(OH)2CO‑2H]‑, 375 [C ring 0,4 retro‑D iels Alder fragment, M‑H‑C 6H4(OH)C(O)CHCO]‑, 331 [M‑H‑(A' + C') rings‑C O]‑ and 117 [C6H4(OH)C=C]‑ (35). Flavonoid 7 (tR=34.17 min) was also identified as an amentoflavone isomer, which showed the similar fragmentation pattern [M‑H]‑ as flavonoid 5. Three amentoflavone type isomers (molecular weight=538, amentoflavone, robustaflavone and hinokiflavone) have been reported until now (36). However at present, it is unclear which of the three isomers should be assigned to 5 or 7, because the MS/MS data are not sufficient to exactly characterize the atomic connectivity of the isomers. Therefore, for exact identification and confirmation, further spectroscopic investigation should be performed. Flavonoid 8 (tR=41.69 min) yielded [M‑H]‑ at m/z 593 with additional peaks observed at m/z 447 [M‑H‑rhamnosyl]‑ and 285 [kampferol aglycon]‑, and this component was identified as kaempferol 3‑O‑rutinoside (37). Flavonoid 9 (tR=42.83 min) yielded [M‑H]‑ at m/z 461, and showed an additional fragmented peak at 285 [kampferol aglycon, M‑H‑glucuronyl]‑, which was identified as kaempferol-3-O-glucuronide (38). Flavonoid 12 (tR=46.49 min) yielded [M-H]- at m/z 329, which was fragmented to ions at m/z 314 [M-H-CH3]-, 299 [quercetin aglycon, M-H-2CH3 ]-, and 271 [quercetin aglycon-CO] -, and was identified as quercetin dimethyl ether (39). Flavonoid 13 (tR=48.12 min) was identified as skullcapflavone II, which showed [M-H]- at m/z 373, which was fragmented to generate an ion at m/z 358 [M-H-CH3]- and 343 [M-H-2CH3]- (40). Hydroxycinnamate (14) (tR=51.73 min) was identified as calce-larioside A, and its MS/MS showed [M-H]- at m/z 477, which was fragmented to 315 [M-H-caffeoyl]-, 179 [caffeic acid-H]- and 161 [glucosyl-H2O]- (41).

Figure 1

Structure of the polyphenols in Artemisia argyi.

Figure 2

High-performance liquid chromatography of polyphenols of Artemisia argyi.

Table I

High-performance liquid chromatography MS/MS data of polyphenols from Seomae mugwort.

Table I

High-performance liquid chromatography MS/MS data of polyphenols from Seomae mugwort.

Author, yearNo.Compound tR (min) [M-H]-MS/MS (m/z)(Refs.)
Dou et al, 2007;1Caffeoylquinic acid isomer10.29353353, 191, 179, 135(53,54)
Del Rio et al, 2004
Simirgiotis et al, 20132 6,8-di-C-glucosylapigenin (vicenin II)12.19593593, 503, 473, 413, 383, 353(55)
Dou et al, 20073 6-C-Arabinosyl-8-C-glucosylapigenin16.60563563, 545, 503, 473, 443, 383, 353(53)
Fischer et al, 20124 Secoisolariciresinol24.02361361, 346, 313, 179, 165(34)
Yao et al, 20175Amentoflavone isomer28.70537537, 443, 417, 399, 375, 357, 335, 331, 201, 178, 161, 117(35)
Dou et al, 2007;6Caffeoylquinic acid isomer30.89353353, 191, 179, 135(53,54)
Del Rio et al, 2004
Yao et al, 20177Amentoflavone isomer34.17537537, 375, 357, 179, 134(35)
Ahmed et al, 20168 Kaempferol-3-O-rutinoside41.69593593, 447, 285(56)
Ahmed et al, 20169 Kaempferol-3-O-glucuronide42.83461461, 323, 285, 160(56)
Bastos et al, 200710Dicaffeoylquinic acid44.79515515, 353, 191,(57)
179, 173, 134
Gouveia and Castilho,11 3,4,5-O-Tricaffeoylquinic acid45.01677677, 515, 353,(58)
2012335, 299, 191, 173
Li et al, 201812Quercetin dimethyl ether46.49329329, 314, 299, 271(59)
Luo et al, 201213Skullcapflavone II48.12373373, 358, 343(40)
Sanz et al, 201214Calcelarioside A51.73477477, 179, 161(41)

[i] tR, retention time; MS/MS, tandem mass spectrometry.

Validation and quantification of SM polyphenols

Quantification of the individual polyphenols was performed using calibration curves obtained from structurally related external standards as described above. As presented in Table II, satisfactory validation data were obtained for the parameters considered. The calibration curve (R2) was found to be ≥0.9714. The limits of detection and limits of quantitation were between 1.00-2.96 and 3.01-8.95 mg/l, respectively. Recoveries at 50 and 100 mg/ml were between 80.9-98.1 and 80.3-100.3%, respectively. The relative standard deviation values were in the ranges of 3.4-7.5 and 2.3-9.1%, respectively.

Table II

Calibration curves and validation data for quantification of polyphenols in Seomae mugwort.

Table II

Calibration curves and validation data for quantification of polyphenols in Seomae mugwort.

StandardCalibration curveR2LOD (mg/l)LOQ (mg/l)Recovery (%) ± RSD
50 mg/ml100 mg/ml
Catechiny=13.58x+1470.99622.958.9580.9±7.198.5±6.2
Caffeic acidy=67.66x+80.20.99541.153.4790.9±6.490.3±4.4
Ferulic acidy=59.25x+93.30.99141.003.0198.1±6.1100.3±5.7
Apigeniny=33.87x+31.80.99982.968.9593.7±3.493.3±2.3
Quercetiny=44.86x-1330.99751.815.4985.7±7.188.1±5.3
Kaempferoly=43.96x-58.40.99831.103.3490.8±7.580.6±9.1
Amentoflavoney=39.64x+70.90.99111.083.2491.7±5.989.7±4.2
Flavoney=55.20x+2010.97141.675.0781.4±5.180.3±3.8

[i] y, peak area of standard; x, concentration of standard (mg/l); LOD, limit of detection; LOQ, limit of quantitation; RSD, relative standard deviation.

The contents of the individual components were listed in Table III. The total hydroxycinnamate content was ~2-folds higher than that of flavonoids. Among the hydroxycinnamates, caffeoyl quinates (1, 6, 10 and 11) were predominant, and in the case of flavonoids, amentoflavones (5 and 7) were found to be abundant. Additionally, >90% of the total isolated compounds were found to be caffeoyl quinates and amentoflavones derivatives.

Table III

Content of polyphenols in Seomae mugwort.

Table III

Content of polyphenols in Seomae mugwort.

CompoundsAmount (mg/kg of dried plant)
17.25±0.41
658.91±0.54
1019.90±0.31
110.84±0.11
140.65±0.04
Total hydroxycinnamates87.55±0.75
20.92±0.03
30.30±0.02
512.18±0.51
715.83±1.17
80.21±0.01
90.11±0.01
123.67±0.11
133.59±0.29
Total flavonoids36.81±1.31
40.97±0.01
Total125.34±1.31
Anti-inflammatory effects of SM polyphenols on RAW 264.7 macrophage cells

Our results indicated that >90% of the SM polyphenols were composed of caffeoyl quinates and amentofla-vones, which have been known to possess various pharmacological activities, including anti-oxidant, anti-viral, anti-depressant and anti-inflammatory effects (36,42). The alcoholic extract of A. argyi was recently studied for its anti-inflammatory effects (9), but that of A. argyi polyphenols remains unclear. Thus, we further investigated this property in SM.

Cytotoxicity of SM polyphenols on RAW 264.7 cells

An MTT assay was used to investigate the potential cytotoxic effects of SM polyphenols. RAW 264.7 macrophage cells were treated with SM polyphenols at a concentration range of 2.5-30 μg/ml with or without LPS (1 μg/ml) for 24 h. SM polyphenols at a concentration of 2.5 and 5 μg/ml did not exhibit significant cytotoxicity to RAW 264.7 macrophages in both LPS-treated and untreated cell group of cells. On the contrary, significant cytotoxicity was reported for cells treated with ≥10 μg/ml SM in the presence or absence of LPS, compared with the control group of cells (Fig. 3A and B).

Figure 3

Cytotoxicity of SM polyphenol on RAW264.7 cells. (A) Cells were incubated with different concentrations of SM polyphenols (2.5-30 μg/ml) for 24 h. (B) Cells were pretreated with 1 μg/ml of LPS for 1 h, and then treated with different concentrations of SM polyphenols (2.5-30 μg/ml) for 24 h. Percentage of cell viability was measured via an MTT assay. ***P<0.001 vs. LPS-treated group. DMSO, dimethyl sulfoxide; LPS, lipopolysaccharide; SM, Seomae mugwort.

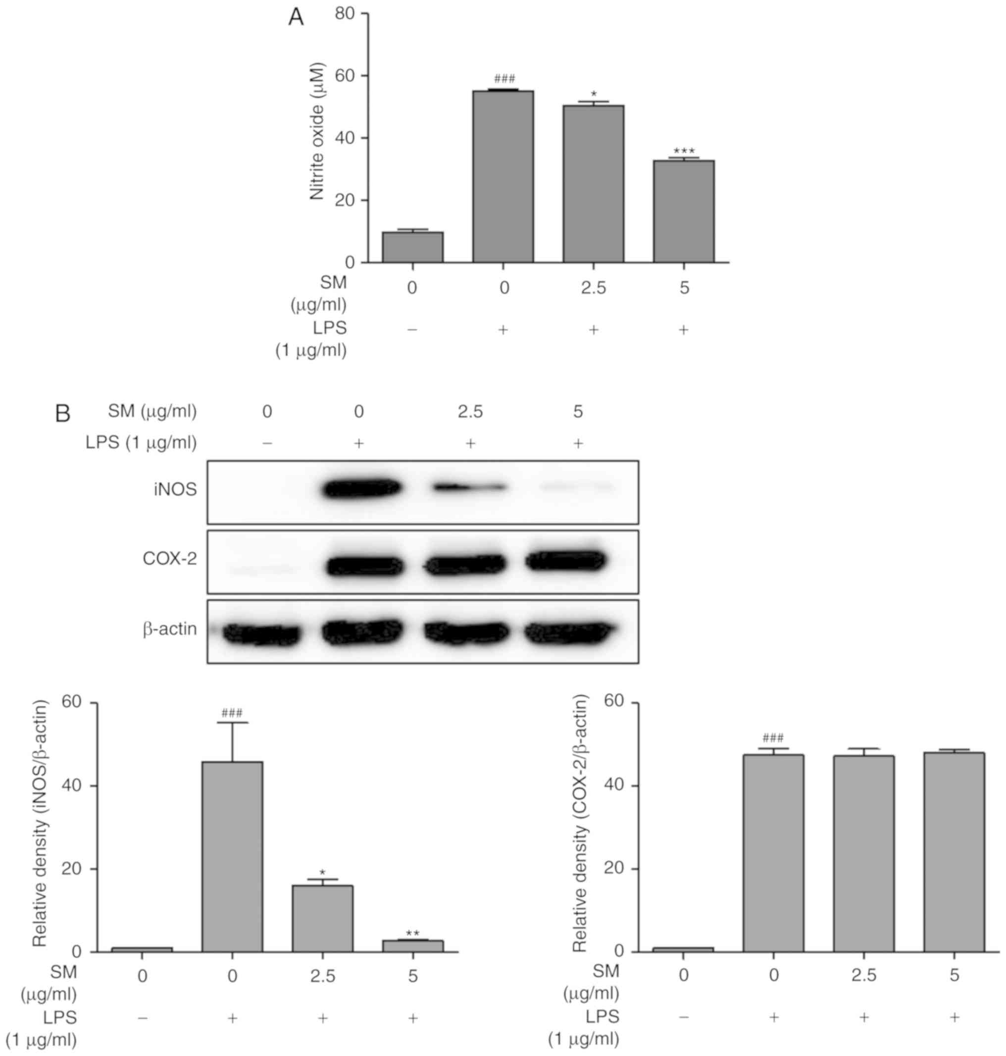
Effects of SM polyphenols on LPS-induced NO production and protein expression of iNOS in RAW 264.7 cells

In order to investigate the inhibitory effects of SM polyphenols on NO formation in LPS-induced RAW 264.7 cells, NO2- production was measured by a Griess assay. As shown in Fig. 4A, NO production followed by LPS-treatment was increased significantly by 5-fold, compared with that of non-induced cells. SM polyphenols were determined to significantly inhibit LPS-induced NO production in a dose-dependent manner. The protein expression of iNOS and COX-2 were investigated by a western blot assay. The proteins iNOS and COX-2 are involved in NO and prostaglandin-endoperoxide synthesis, respectively. LPS could significantly increase the expression of iNOS in LPS-stimulated RAW 264.7 cells, compared with that of unstimulated cells. Treatment with SM polyphenols revealed a significant decrease in LPS-stimulated iNOS expression in a dose-dependent manner (Fig. 4B). On the contrary, SM polyphenols did not notably affect the protein expression of COX-2; LPS induced a significant upregulation in COX-2 expression compared with the control.

Figure 4

Effects of SM polyphenols on LPS-induced nitrite oxide production and protein expression of iNOS in RAW 264.7 cells. Cells were pretreated and stimulated with LPS for 1 h, and then treated with the indicated concentration of SM polyphenols for 24 h. (A) The cell culture media were measured for the amount of NO formation. (B) The protein expression of expression levels of iNOS and COX-2 were determined by western blotting. β-actin was used as a loading control. ###P<0.001 vs. untreated group; *P<0.05, **P<0.005 and ***P<0.001 vs. LPS-treated group. COX-2, cyclooxygenase-2; iNOS, inducible nitric oxide synthase; LPS, lipopolysaccharide; SM, Seomae mugwort.

Effects of SM polyphenols on NF-κB and inflammatory cytokines in LPS-stimulated RAW 264.7 cells

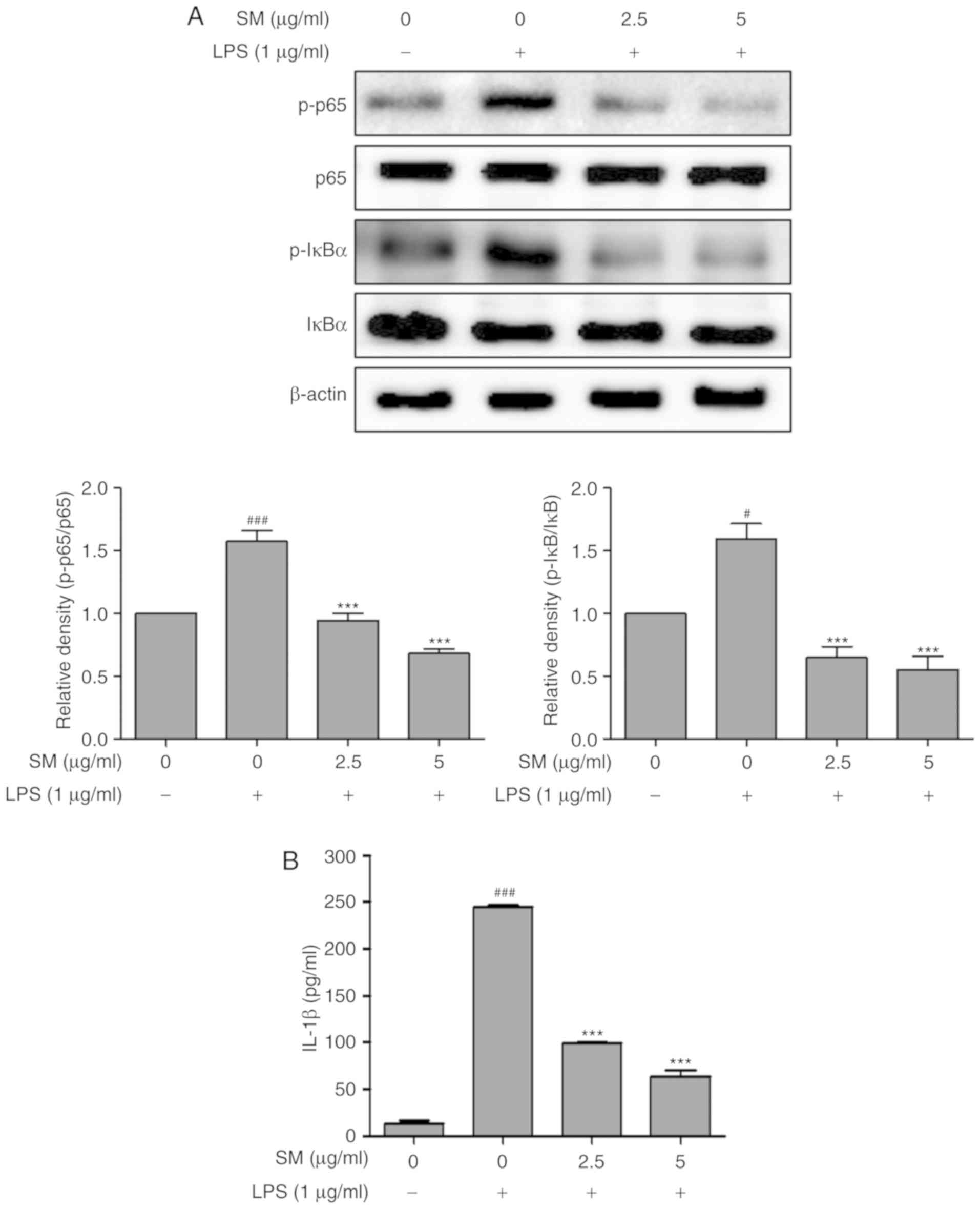
The ability of SM polyphenols to induce the expression of the cytokines via iNOS was examined in LPS-induced RAW 264.7 macrophage cells. The activation of NF-κB and the mRNA levels of cyto-kines following LPS treatment were investigated by western blotting and RT-qPCR, respectively. The expression levels of IL-1β were measured using ELISA. The SM polyphenols significantly attenuated the upregulation of IL-1β, p-NF-κB (p-p65 and p-IκBα) induced by LPS in a dose-dependent manner, also decreased the mRNA expression of iNOS, TNFα, and IL-1β (Figs. 5 and 6). These results indicate that SM polyphenols effectively inhibited the NF-κB pathway, and the protein and mRNA expression of cytokines involved in the inflammatory process.

Figure 5

Effects of SM polyphenols on the activation of NF-κB and expression of IL-1β in LPS-stimulated RAW 264.7 cells. (A) Cells were pretreated with LPS for 1 h, and then incubated with the indicated concentrations of SM polyphenols for 3 h. The activation of NF-κB was investigated by western blot assay. (B) Cells were stimulated with LPS for 1 h, and SM polyphenols were treated with the indicated concentration for 24 h. IL-1β level was measured by ELISA. #P<0.05 and ###P<0.001 vs. untreated group; ***P<0.001 vs. LPS-treated group. IL-1β, interleukin-1β; LPS, lipopolysaccharide; NF-κB, nuclear factor-κB; p, phosphorylated; SM, Seomae mugwort.

Figure 6

Inhibitory effects of SM polyphenols on the mRNA expression of pro-inflammatory factors in LPS-stimulated RAW 264.7 cells. Cells were pretreated with LPS for 1 h, and then incubated with the indicated concentrations of SM polyphenols for 16 h. The mRNA expression levels of (A) iNOS, (B) TNFα and (C) IL-1β were analyzed by reverse transcription-quantitative polymerase chain reaction, and normalized using β-actin. ###P<0.001 vs. untreated group; ***P<0.001 vs. LPS-treated group. IL-1β, interleukin-1β; LPS, lipopolysaccharide; SM, Seomae mugwort; TNFα, tumor necrosis factor α.

Effects of SM on the phosphorylation of MAPKs in LPS-stimulated RAW 264.7 cells

To determine the relevance of the MAPK pathway with SM polyphenols, we examined the effects of the SM polyphenols on the phosphorylation of JNK, p38 and ERK. Treatment with SM polyphenols significantly suppressed the phosphorylation of the JNK, p38 and ERK in a dose-dependent manner when induced by LPS (Fig. 7). These findings suggest that the SM polyphenols exhibit anti-inflammatory effects by regulating the activation of NF-κB and MAPK pathways.

Figure 7

Effects of SM polyphenols on the phosphorylation of MAPKs in LPS-stimulated RAW 264.7 cells. Cells were pretreated with LPS for 1 h, and then incubated with the indicated concentrations of SM polyphenols for 3 h. The protein expression levels of MAPKs (JNK1/2, p38 and ERK1/2) were measured by western blotting. ###P<0.001, ##P<0.005 and #P<0.05 vs. untreated group; **P<0.005 and ***P<0.001 vs. LPS-treated group. ERK, extracellular signal-related kinase; JNK, c-Jun N-terminal kinase; p, phosphorylated.

Discussion

A. argyi is a traditional Asian medicinal remedy for diarrhea, hemostasis and inflammation. SM is a Korean variety of A. argyi harvested in Namhae, Korea. The alcoholic extract of A. argyi was recently studied for its anti-inflammatory effect (9), but that of A. argyi polyphenols has remained unknown until now. In the present study, the anti-inflammatory effects of polyphenol extract form of SM on LPS-stimulated RAW 264.7 mouse macrophage cells were investigated. Among the 14 components profiled via a single HPLC-MS/MS, one hydroxy-cinnamate, six flavonoids and one lignan were reported for the first time in A. argyi. Our quantification analysis based on the validated methods indicated that >90% of the total compounds comprised caffeoyl quinates and amentoflavones, which have been known to possess various pharmacological activities, including anti-oxidant, anti-viral, anti-depressant and anti-inflammatory effects (36,42). In the present study, we investigated the anti-inflammatory effect of SM polyphenols.

Additionally, the total content (125.34 mg/kg) was calculated by the sum of each isolated phenol compound and identified by HPLC analysis. As the lyophilized sample was subjected to liquid-liquid extraction to remove lipophilic impurities, such as fatty acids, the silica column was subjected to the removal of sugars and proteins before the HPLC analysis. Therefore, there may be a difference in the content between the substances purified by the gel column of raw samples and some phenolic compounds detected by their HPLC analysis at 280 nm.

Nitric oxide synthases (NOSs) are composed of three types of enzyme (iNOS, endothelial NOS and neuronal NOS) that catalyze the production of NO from L-arginine (43). iNOS is involved in the immune response-like secretion of pro-inflammatory cytokines through the increased production of NO (43). NO radicals serve a crucial role in regulating inflammation and immune responses in asthma and inflammatory bowel diseases (44). In the process of inflammation, cellular NO is immediately oxidized to NO2- (45). As expected, treatment with SM polyphenols inhibited NO production in our study. In addition, the protein expression of iNOS was decreased, but no significant reduction in the expression level of COX-2 was observed by SM polyphenols in LPS-stimulated RAW 264.7 cells. This discordant result may be attributed to the degree of reliance of the transcription factors required for the expression of iNOS and COX-2 (46).

Activation of transcription factor NF-κB has been considered as the pivotal factor to regulate the expression of inflammatory enzymes and cytokines, such as iNOS, TNFα and IL-1β, which comprise the NF-κB binding sites in their promoters (47). Therefore, the proper regulation of NF-κB could be useful in the treatment of many inflammation-related disorders, such as allergies, cancer, dermatitis and arthritis (48-50). The activation of NF-κB and the increased mRNA levels of cytokines following LPS treatment were investigated by western blot and RT-qPCR analyses, respectively. The levels of IL-1β were measured using ELISA. SM polyphenols were observed to attenuate the upregulation of IL-1β, phosphory-lated NF-κB (p-p65 and p-IκBα), and increases in the mRNA expression of iNOS, TNFα and IL-1β in a dose-dependent manner. These results indicated that SM polyphenols effectively inhibit the NF-κB pathway, and the protein and mRNA expression of cytokines involved in the inflammatory process.

During the inflammatory process, the phosphorylation of MAPKs, in which serine and threonine protein kinases perform a crucial role in the transcriptional regulation, mediates LPS-stimulated iNOS and COX2 expression through NF-κB activation (51,52). To determine the relevance of the MAPK pathway with SM polyphenols, we examined the effects of the SM polyphenols on JNK, ERK and the p38 phosphorylation levels. Treatment with SM polyphenols significantly suppressed the phosphorylation of JNK, p38, and ERK in a dose-dependent manner in the current study.

These findings confirm the anti-inflammatory effects of SM polyphenols, which may be accomplished by regulating the activation of NF-κB and MAPKs signaling pathways. Therefore, SM polyphenols have great potential to be developed into a therapeutic drug for inflammatory-related disorders. In the future, we may also perform animal experiment to further validate our findings. The present study proposed that SM could be effective for treating chronic inflammatory related diseases, including diabetes, cancer and arthritis due to its significant effects on the suppression of the inflammatory response.

Acknowledgments

Not applicable.

Funding

The present study was supported partly by the National Research Foundation of Korea (NRF) funded by the Ministry of Science, ICT and Future Planning (grant nos. 2012M3A9B8019303 and 2017R1A2B4003974).

Availability of data and materials

All data generated or analyzed during this study are included in this published article.

Authors' contributions

SMK and SJL conceived and designed the experiments, performed the experiments, organized focus group discussion, collected, analyzed all study data; VVGS made contributions to the analysis of data and prepared the final manuscript; SEH and PV revised the study design and prepared the final manuscript; KTD and SCS performed the extraction of polyphenols. JYC, WSL and GSK and revised the study design, revised the results and final revision of manuscript for publication.

Ethics approval and consent to participate

Not applicable.

Patient consent for publication

Not applicable.

Competing interests

The authors declare that they have no competing interests.

References

1 

Torrell M, Cerbah M, Siljak-Yakovlev S and Vallès J: Molecular cytogenetics of the genus Artemisia (Asteraceae, Anthemideae): Fluorochrome banding and fluorescence in situ hybridization. I. Subgenus Seriphidium and related taxa. Plant Syst Evol. 239:141–153. 2003. View Article : Google Scholar

2 

Lee MY, Doh EJ, Park CH, Kim YH, Kim ES, Ko BS and Oh SE: Development of SCAR marker for discrimination of Artemisia princeps and A. argyi from other Artemisia herbs. Biol Pharm Bull. 29:629–633. 2006. View Article : Google Scholar : PubMed/NCBI

3 

Shin NR, Ryu HW, Ko JW, Park SH, Yuk HJ, Kim HJ, Kim JC, Jeong SH and Shin IS: Artemisia argyi attenuates airway inflammation in ovalbumin-induced asthmatic animals. J Ethnopharmacol. 209:108–115. 2017. View Article : Google Scholar : PubMed/NCBI

4 

Adams JD, Garcia C and Garg G: Mugwort (Artemisia vulgaris, Artemisia douglasiana, Artemisia argyi) in the treatment of menopause, premenstrual syndrome, dysmenorrhea and attention deficit hyperactivity disorder. Chin Med. 3:116–123. 2012. View Article : Google Scholar

5 

Ferreira JF, Luthria DL, Sasaki T and Heyerick A: Flavonoids from Artemisia annua L. as antioxidants and their potential synergism with artemisinin against malaria and cancer. Molecules. 15:3135–3170. 2010. View Article : Google Scholar : PubMed/NCBI

6 

Adams M, Efferth T and Bauer R: Activity-guided isolation of scopoletin and isoscopoletin, the inhibitory active principles towards CCRF-CEM leukaemia cells and multi-drug resistant CEM/ADR5000 cells, from Artemisia argyi. Planta Med. 72:862–864. 2006. View Article : Google Scholar : PubMed/NCBI

7 

Seo JM, Kang HM, Son KH, Kim JH, Lee CW, Kim HM, Chang SI and Kwon BM: Antitumor activity of flavones isolated from Artemisia argyi. Planta Med. 69:218–222. 2003. View Article : Google Scholar : PubMed/NCBI

8 

Kim JH, Kim HK, Jeon SB, Son KH, Kim EH, Kang SK, Sung ND and Kwon BM: New sesquiterpene-monoterpene lactone, artemisolide, isolated from Artemisia argyi. Tetrahedron Lett. 43:6205–6208. 2002. View Article : Google Scholar

9 

Yun C, Jung Y, Chun W, Yang B, Ryu J, Lim C, Kim JH, Kim H and Cho SI: Anti-inflammatory effects of artemisia leaf extract in mice with contact dermatitis in vitro and in vivo. Mediators Inflamm. 2016.8027537:2016.

10 

Yoon KD, Chin YW, Yang MH and Kim J: Separation of anti-ulcer flavonoids from Artemisia extracts by high-speed countercurrent chromatography. Food Chem. 129:679–683. 2011. View Article : Google Scholar : PubMed/NCBI

11 

Ji HY, Kim SY, Kim DK, Jeong JH and Lee HS: Effects of eupatilin and jaceosidin on cytochrome p450 enzyme activities in human liver microsomes. Molecules. 15:6466–6475. 2010. View Article : Google Scholar : PubMed/NCBI

12 

Kim JK, Shin EC, Lim HJ, Choi SJ, Kim CR, Suh SH, Kim CJ, Park GG, Park CS, Kim HK, et al: Characterization of nutritional composition, antioxidative capacity, and sensory attributes of seomae mugwort, a native Korean variety of artemisia argyi H. Lév. & Vaniot. J Anal Methods Chem. 2015.916346:2015.

13 

Bao X, Yuan H, Wang C, Liu J and Lan M: Antitumor and immu-nomodulatory activities of a polysaccharide from Artemisia argyi. Carbohydr Polym. 98:1236–1243. 2013. View Article : Google Scholar : PubMed/NCBI

14 

Libro R, Giacoppo S, Soundara Rajan T, Bramanti P and Mazzon E: Natural phytochemicals in the treatment and prevention of dementia: An overview. Molecules. 21:5182016. View Article : Google Scholar : PubMed/NCBI

15 

Seo ON, Kim GS, Park S, Lee JH, Kim YH, Lee WS, Lee SJ, Kim CY, Jin JS, Choi SK and Shin SC: Determination of poly-phenol components of Lonicera japonica Thunb. using liquid chromatography-tandem mass spectrometry: Contribution to the overall antioxidant activity. Food Chem. 134:572–577. 2012. View Article : Google Scholar

16 

Lee CY: Challenges in providing credible scientific evidence of health benefits of dietary polyphenols. J Funct Foods. 5:524–526. 2013. View Article : Google Scholar

17 

Carvalho IS, Cavaco T and Brodelius M: Phenolic composition and antioxidant capacity of six artemisia species. Industr Crops Prod. 33:382–388. 2011. View Article : Google Scholar

18 

Chen L, Deng H, Cui H, Fang J, Zuo Z, Deng J, Li Y, Wang X and Zhao L: Inflammatory responses and inflammation-associated diseases in organs. Oncotarget. 9:7204–7218. 2018.PubMed/NCBI

19 

Hayes JB, Sircy LM, Heusinkveld LE, Ding W, Leander RN, McClelland EE and Nelson DE: Modulation of macrophage inflammatory nuclear factor κB (NF-κB) signaling by intracellular cryptococcus neoformans. J Biol Chem. 291:15614–15627. 2016. View Article : Google Scholar : PubMed/NCBI

20 

Mittal M, Siddiqui MR, Tran K, Reddy SP and Malik AB: Reactive oxygen species in inflammation and tissue injury. Antioxid Redox Signal. 20:1126–1167. 2014. View Article : Google Scholar :

21 

Niu N, Li B, Hu Y, Li X, Li J and Zhang H: Protective effects of scoparone against lipopolysaccharide-induced acute lung injury. Int Immunopharmacol. 23:127–133. 2014. View Article : Google Scholar : PubMed/NCBI

22 

Li P, Zheng Y and Chen X: Drugs for autoimmune inflammatory diseases: From small molecule compounds to anti-TNF biologics. Front Pharmacol. 8:4602017. View Article : Google Scholar : PubMed/NCBI

23 

Wang Y, Lai L, Teng L, Li Y, Cheng J, Chen J and Deng C: Mechanism of the anti-inflammatory activity by a polysaccharide from Dictyophora indusiata in lipopolysaccharide-stimulated macrophages. Int J Biol Macromol. 126:1158–1166. 2019. View Article : Google Scholar : PubMed/NCBI

24 

Gautam R and Jachak SM: Recent developments in anti-inflammatory natural products. Med Res Rev. 29:767–820. 2009. View Article : Google Scholar : PubMed/NCBI

25 

Lin D, Xiao M, Zhao J, Li Z, Xing B, Li X, Kong M, Li L, Zhang Q, Liu Y, et al: An overview of plant phenolic compounds and their importance in human nutrition and management of type 2 diabetes. Molecules. 21:2016. View Article : Google Scholar

26 

Giugliano D, Ceriello A and Esposito K: The effects of diet on inflammation: Emphasis on the metabolic syndrome. J Am Coll Cardiol. 48:677–685. 2006. View Article : Google Scholar : PubMed/NCBI

27 

Ha GJ, Lee DS, Seung TW, Park CH, Park SK, Jin DE, Kim NK, Shin HY and Heo HJ: Anti-amnesic and neuroprotective effects of Artemisia argyi H. (Seomae mugwort) extracts. Korean J Food Sci Technol. 47:380–387. 2015. View Article : Google Scholar

28 

Chen LL, Zhang HJ, Chao J and Liu JF: Essential oil of Artemisia argyi suppresses inflammatory responses by inhibiting JAK/STATs activation. J Ethnopharmacol. 204:107–117. 2017. View Article : Google Scholar : PubMed/NCBI

29 

Song Y, Desta KT, Kim GS, Lee SJ, Lee WS, Kim YH, Jin JS, Abd El-Aty AM, Shin HC, Shim JH and Shin SC: Polyphenolic profile and antioxidant effects of various parts of Artemisia annua L. Biomed Chromatogr. 30:588–595. 2016. View Article : Google Scholar

30 

Ji G, Zhang Y, Yang Q, Cheng S, Hao J, Zhao X and Jiang Z: Genistein suppresses LPS-induced inflammatory response through inhibiting NF-κB following AMP kinase activation in RAW 264.7 macrophages. PLoS One. 7:pp. e531012012, View Article : Google Scholar

31 

Oh YC, Jeong YH, Cho WK, Ha JH, Gu MJ and Ma JY: Anti-inflammatory and analgesic effects of pyeongwisan on LPS-stimulated murine macrophages and mouse models of acetic acid-induced writhing response and xylene-induced ear edema. Int J Mol Sci. 16:1232–1251. 2015. View Article : Google Scholar : PubMed/NCBI

32 

Scarfi S, Magnone M, Ferraris C, Pozzolini M, Benvenuto F, Benatti U and Giovine M: Ascorbic acid pre-treated quartz stimulates TNF-alpha release in RAW 264.7 murine macrophages through ROS production and membrane lipid peroxidation. Respir Res. 10:252009. View Article : Google Scholar : PubMed/NCBI

33 

Han B, Xin Z, Ma S, Liu W, Zhang B, Ran L, Yi L and Ren D: Comprehensive characterization and identification of antioxidants in Folium Artemisiae Argyi using high-resolution tandem mass spectrometry. J Chromatogr B Analyt Technol Biomed Life Sci. 1063:84–92. 2017. View Article : Google Scholar : PubMed/NCBI

34 

Fischer UA, Jaksch AV, Carle R and Kammerer DR: Determination of lignans in edible and nonedible parts of pomegranate (Punica granatum L.) and products derived therefrom, particularly focusing on the quantitation of isolar-iciresinol using HPLC-DAD-ESI/MSn. J Agric Food Chem. 60:283–292. 2012. View Article : Google Scholar

35 

Yao H, Chen B, Zhang Y, Ou H, Li Y, Li S, Shi P and Lin X: Analysis of the total biflavonoids extract from selaginella doeder-leinii by HPLC-QTOF-MS and its in vitro and in vivo anticancer effects. Molecules. 22:2017. View Article : Google Scholar

36 

Zhang YX, Li QY, Yan LL and Shi Y: Structural characterization and identification of biflavones in Selaginella tamariscina by liquid chromatography-diode-array detection/electrospray ionization tandem mass spectrometry. Rapid Commun Mass Spectrom. 25:2173–2186. 2011. View Article : Google Scholar : PubMed/NCBI

37 

Pandey R, Chandra P, Arya KR and Kumar B: Development and validation of an ultra high performance liquid chromatography electrospray ionization tandem mass spectrometry method for the simultaneous determination of selected flavonoids in Ginkgo biloba. J Sep Sci. 37:3610–3618. 2014. View Article : Google Scholar : PubMed/NCBI

38 

Kajd ža noska M: HPLC-DAD-ESI-MSn identification of phenolic compounds in cultivated strawberries from Macedonia. Macedonian J Chem Chem Eng. 29:2010.

39 

Bertrams J, Kunz N, Müller M, Kammerer D and Stintzing FC: Phenolic compounds as marker compounds for botanical origin determination of German propolis samples based on TLC and TLC-MS. J Appl Bot Food Qual. 86:143–153. 2013.

40 

Luo JL, Lu FL, Liu YC and Lo CF: Identification of scutel-laria baicalensis in traditional Chinese medicine preparations by LC/MS/MS fingerprinting method. J Food Drug Anal. 20:887–899. 9842012.

41 

Sanz M, de Simón BF, Cadahía E, Esteruelas E, Muñoz AM, Hernández T, Estrella I and Pinto E: LC-DAD/ESI-MS/MS study of phenolic compounds in ash (Fraxinus excelsior L. and F. americana L.) heartwood. Effect of toasting intensity at cooperage. J Mass Spectrom. 47:905–918. 2012. View Article : Google Scholar : PubMed/NCBI

42 

Miyamae Y, Kurisu M, Han J, Isoda H and Shigemori H: Structure-activity relationship of caffeoylquinic acids on the accelerating activity on ATP production. Chem Pharm Bull (Tokyo). 59:pp. 502–507. 2011, View Article : Google Scholar

43 

Green SJ, Scheller LF, Marletta MA, Seguin MC, Klotz FW, Slayter M, Nelson BJ and Nacy CA: Nitric oxide: Cytokine-regulation of nitric oxide in host resistance to intracellular pathogens. Immunol Lett. 43:87–94. 1994. View Article : Google Scholar : PubMed/NCBI

44 

Guzik TJ, Korbut R and Adamek-Guzik T: Nitric oxide and superoxide in inflammation and immune regulation. J Physiol Pharmacol. 54:469–487. 2003.

45 

Wu C, Zhao W, Zhang X and Chen X: Neocryptotanshinone inhibits lipopolysaccharide-induced inflammation in RAW264.7 macrophages by suppression of NF-κB and iNOS signaling pathways. Acta Pharm Sin B. 5:pp. 323–329. 2015, View Article : Google Scholar : PubMed/NCBI

46 

Lee JA, Song HY, Ju SM, Lee SJ, Kwon HJ, Eum WS, Jang SH, Choi SY and Park JS: Differential regulation of inducible nitric oxide synthase and cyclooxygenase-2 expression by superoxide dismutase in lipopolysaccharide stimulated RAW 264.7 cells. Exp Mol Med. 41:629–637. 2009. View Article : Google Scholar : PubMed/NCBI

47 

Lawrence T, Willoughby DA and Gilroy DW: Anti-inflammatory lipid mediators and insights into the resolution of inflammation. Nat Rev Immunol. 2:787–795. 2002. View Article : Google Scholar : PubMed/NCBI

48 

Coussens LM and Werb Z: Inflammation and cancer. Nature. 420:860–867. 2002. View Article : Google Scholar : PubMed/NCBI

49 

Galli SJ, Tsai M and Piliponsky AM: The development of allergic inflammation. Nature. 454:445–454. 2008. View Article : Google Scholar : PubMed/NCBI

50 

Lee JH, Cho DH and Park HJ: IL-18 and cutaneous inflammatory diseases. Int J Mol Sci. 16:29357–29369. 2015. View Article : Google Scholar : PubMed/NCBI

51 

Guha M and Mackman N: LPS induction of gene expression in human monocytes. Cell Signal. 13:85–94. 2001. View Article : Google Scholar : PubMed/NCBI

52 

Yang Y, Kim SC, Yu T, Yi YS, Rhee MH, Sung GH, Yoo BC and Cho JY: Functional roles of p38 mitogen-activated protein kinase in macrophage-mediated inflammatory responses. Mediators Inflamm. 2014.352371:2014.

53 

Dou J, Lee VS, Tzen JT and Lee MR: Identification and comparison of phenolic compounds in the preparation of oolong tea manufactured by semifermentation and drying processes. J Agric Food Chem. 55:7462–7468. 2007. View Article : Google Scholar : PubMed/NCBI

54 

Del Rio D, Stewart AJ, Mullen W, Burns J, Lean ME, Brighenti F and Crozier A: HPLC-MSn analysis of phenolic compounds and purine alkaloids in green and black tea. J Agric Food Chem. 52:2807–2815. 2004. View Article : Google Scholar : PubMed/NCBI

55 

Simirgiotis MJ, Schmeda-Hirschmann G, Bórquez J and Kennelly EJ: The Passiflora tripartita (Banana Passion) fruit: A source of bioactive flavonoid C-glycosides isolated by HSCCC and characterized by HPLC-DAD-ESI/MS/MS. Molecules. 18:1672–1692. 2013. View Article : Google Scholar : PubMed/NCBI

56 

Ahmed H, Moawad A, Owis A, AbouZid S and Ahmed O: Flavonoids of Calligonum polygonoides and their cytotoxicity. Pharm Biol. 54:2119–2126. 2016. View Article : Google Scholar : PubMed/NCBI

57 

Bastos DH, Saldanha LA, Catharino RR, Sawaya AC, Cunha IB, Carvalho PO and Eberlin MN: Phenolic antioxidants identified by ESI-MS from Yerba maté (Ilex paraguariensis) and green tea (Camelia sinensis) extracts. Molecules. 12:423–432. 2007. View Article : Google Scholar : PubMed/NCBI

58 

Gouveia S and Castilho PC: Helichrysum monizii Lowe: Phenolic composition and antioxidant potential. Phytochem Anal. 23:72–83. 2012. View Article : Google Scholar

59 

Li W, Pang X, Han LF, Zhou Y and Cui YM: Chemcial constituents of Eclipta prostrata. Zhongguo Zhong Yao Za Zhi. 43:3498–3505. 2018.In Chinese. PubMed/NCBI

Related Articles

  • Abstract
  • View
  • Download
  • Twitter
Copy and paste a formatted citation
Spandidos Publications style
Kim SM, Lee SJ, Venkatarame Gowda Saralamma V, Ha SE, Vetrivel P, Desta KT, Choi JY, Lee WS, Shin SC, Kim GS, Kim GS, et al: Polyphenol mixture of a native Korean variety of Artemisia argyi H. (Seomae mugwort) and its anti‑inflammatory effects. Int J Mol Med 44: 1741-1752, 2019.
APA
Kim, S.M., Lee, S.J., Venkatarame Gowda Saralamma, V., Ha, S.E., Vetrivel, P., Desta, K.T. ... Kim, G. (2019). Polyphenol mixture of a native Korean variety of Artemisia argyi H. (Seomae mugwort) and its anti‑inflammatory effects. International Journal of Molecular Medicine, 44, 1741-1752. https://doi.org/10.3892/ijmm.2019.4334
MLA
Kim, S. M., Lee, S. J., Venkatarame Gowda Saralamma, V., Ha, S. E., Vetrivel, P., Desta, K. T., Choi, J. Y., Lee, W. S., Shin, S. C., Kim, G."Polyphenol mixture of a native Korean variety of Artemisia argyi H. (Seomae mugwort) and its anti‑inflammatory effects". International Journal of Molecular Medicine 44.5 (2019): 1741-1752.
Chicago
Kim, S. M., Lee, S. J., Venkatarame Gowda Saralamma, V., Ha, S. E., Vetrivel, P., Desta, K. T., Choi, J. Y., Lee, W. S., Shin, S. C., Kim, G."Polyphenol mixture of a native Korean variety of Artemisia argyi H. (Seomae mugwort) and its anti‑inflammatory effects". International Journal of Molecular Medicine 44, no. 5 (2019): 1741-1752. https://doi.org/10.3892/ijmm.2019.4334
Copy and paste a formatted citation
x
Spandidos Publications style
Kim SM, Lee SJ, Venkatarame Gowda Saralamma V, Ha SE, Vetrivel P, Desta KT, Choi JY, Lee WS, Shin SC, Kim GS, Kim GS, et al: Polyphenol mixture of a native Korean variety of Artemisia argyi H. (Seomae mugwort) and its anti‑inflammatory effects. Int J Mol Med 44: 1741-1752, 2019.
APA
Kim, S.M., Lee, S.J., Venkatarame Gowda Saralamma, V., Ha, S.E., Vetrivel, P., Desta, K.T. ... Kim, G. (2019). Polyphenol mixture of a native Korean variety of Artemisia argyi H. (Seomae mugwort) and its anti‑inflammatory effects. International Journal of Molecular Medicine, 44, 1741-1752. https://doi.org/10.3892/ijmm.2019.4334
MLA
Kim, S. M., Lee, S. J., Venkatarame Gowda Saralamma, V., Ha, S. E., Vetrivel, P., Desta, K. T., Choi, J. Y., Lee, W. S., Shin, S. C., Kim, G."Polyphenol mixture of a native Korean variety of Artemisia argyi H. (Seomae mugwort) and its anti‑inflammatory effects". International Journal of Molecular Medicine 44.5 (2019): 1741-1752.
Chicago
Kim, S. M., Lee, S. J., Venkatarame Gowda Saralamma, V., Ha, S. E., Vetrivel, P., Desta, K. T., Choi, J. Y., Lee, W. S., Shin, S. C., Kim, G."Polyphenol mixture of a native Korean variety of Artemisia argyi H. (Seomae mugwort) and its anti‑inflammatory effects". International Journal of Molecular Medicine 44, no. 5 (2019): 1741-1752. https://doi.org/10.3892/ijmm.2019.4334
Follow us
  • Twitter
  • LinkedIn
  • Facebook
About
  • Spandidos Publications
  • Careers
  • Cookie Policy
  • Privacy Policy
How can we help?
  • Help
  • Live Chat
  • Contact
  • Email to our Support Team