Spandidos Publications Logo
  • About
    • About Spandidos
    • Aims and Scopes
    • Abstracting and Indexing
    • Editorial Policies
    • Reprints and Permissions
    • Job Opportunities
    • Terms and Conditions
    • Contact
  • Journals
    • All Journals
    • Oncology Letters
      • Oncology Letters
      • Information for Authors
      • Editorial Policies
      • Editorial Board
      • Aims and Scope
      • Abstracting and Indexing
      • Bibliographic Information
      • Archive
    • International Journal of Oncology
      • International Journal of Oncology
      • Information for Authors
      • Editorial Policies
      • Editorial Board
      • Aims and Scope
      • Abstracting and Indexing
      • Bibliographic Information
      • Archive
    • Molecular and Clinical Oncology
      • Molecular and Clinical Oncology
      • Information for Authors
      • Editorial Policies
      • Editorial Board
      • Aims and Scope
      • Abstracting and Indexing
      • Bibliographic Information
      • Archive
    • Experimental and Therapeutic Medicine
      • Experimental and Therapeutic Medicine
      • Information for Authors
      • Editorial Policies
      • Editorial Board
      • Aims and Scope
      • Abstracting and Indexing
      • Bibliographic Information
      • Archive
    • International Journal of Molecular Medicine
      • International Journal of Molecular Medicine
      • Information for Authors
      • Editorial Policies
      • Editorial Board
      • Aims and Scope
      • Abstracting and Indexing
      • Bibliographic Information
      • Archive
    • Biomedical Reports
      • Biomedical Reports
      • Information for Authors
      • Editorial Policies
      • Editorial Board
      • Aims and Scope
      • Abstracting and Indexing
      • Bibliographic Information
      • Archive
    • Oncology Reports
      • Oncology Reports
      • Information for Authors
      • Editorial Policies
      • Editorial Board
      • Aims and Scope
      • Abstracting and Indexing
      • Bibliographic Information
      • Archive
    • Molecular Medicine Reports
      • Molecular Medicine Reports
      • Information for Authors
      • Editorial Policies
      • Editorial Board
      • Aims and Scope
      • Abstracting and Indexing
      • Bibliographic Information
      • Archive
    • World Academy of Sciences Journal
      • World Academy of Sciences Journal
      • Information for Authors
      • Editorial Policies
      • Editorial Board
      • Aims and Scope
      • Abstracting and Indexing
      • Bibliographic Information
      • Archive
    • International Journal of Functional Nutrition
      • International Journal of Functional Nutrition
      • Information for Authors
      • Editorial Policies
      • Editorial Board
      • Aims and Scope
      • Abstracting and Indexing
      • Bibliographic Information
      • Archive
    • International Journal of Epigenetics
      • International Journal of Epigenetics
      • Information for Authors
      • Editorial Policies
      • Editorial Board
      • Aims and Scope
      • Abstracting and Indexing
      • Bibliographic Information
      • Archive
    • Medicine International
      • Medicine International
      • Information for Authors
      • Editorial Policies
      • Editorial Board
      • Aims and Scope
      • Abstracting and Indexing
      • Bibliographic Information
      • Archive
  • Articles
  • Information
    • Information for Authors
    • Information for Reviewers
    • Information for Librarians
    • Information for Advertisers
    • Conferences
  • Language Editing
Spandidos Publications Logo
  • About
    • About Spandidos
    • Aims and Scopes
    • Abstracting and Indexing
    • Editorial Policies
    • Reprints and Permissions
    • Job Opportunities
    • Terms and Conditions
    • Contact
  • Journals
    • All Journals
    • Biomedical Reports
      • Information for Authors
      • Editorial Policies
      • Editorial Board
      • Aims and Scope
      • Abstracting and Indexing
      • Bibliographic Information
      • Archive
    • Experimental and Therapeutic Medicine
      • Information for Authors
      • Editorial Policies
      • Editorial Board
      • Aims and Scope
      • Abstracting and Indexing
      • Bibliographic Information
      • Archive
    • International Journal of Epigenetics
      • Information for Authors
      • Editorial Policies
      • Editorial Board
      • Aims and Scope
      • Abstracting and Indexing
      • Bibliographic Information
      • Archive
    • International Journal of Functional Nutrition
      • Information for Authors
      • Editorial Policies
      • Editorial Board
      • Aims and Scope
      • Abstracting and Indexing
      • Bibliographic Information
      • Archive
    • International Journal of Molecular Medicine
      • Information for Authors
      • Editorial Policies
      • Editorial Board
      • Aims and Scope
      • Abstracting and Indexing
      • Bibliographic Information
      • Archive
    • International Journal of Oncology
      • Information for Authors
      • Editorial Policies
      • Editorial Board
      • Aims and Scope
      • Abstracting and Indexing
      • Bibliographic Information
      • Archive
    • Medicine International
      • Information for Authors
      • Editorial Policies
      • Editorial Board
      • Aims and Scope
      • Abstracting and Indexing
      • Bibliographic Information
      • Archive
    • Molecular and Clinical Oncology
      • Information for Authors
      • Editorial Policies
      • Editorial Board
      • Aims and Scope
      • Abstracting and Indexing
      • Bibliographic Information
      • Archive
    • Molecular Medicine Reports
      • Information for Authors
      • Editorial Policies
      • Editorial Board
      • Aims and Scope
      • Abstracting and Indexing
      • Bibliographic Information
      • Archive
    • Oncology Letters
      • Information for Authors
      • Editorial Policies
      • Editorial Board
      • Aims and Scope
      • Abstracting and Indexing
      • Bibliographic Information
      • Archive
    • Oncology Reports
      • Information for Authors
      • Editorial Policies
      • Editorial Board
      • Aims and Scope
      • Abstracting and Indexing
      • Bibliographic Information
      • Archive
    • World Academy of Sciences Journal
      • Information for Authors
      • Editorial Policies
      • Editorial Board
      • Aims and Scope
      • Abstracting and Indexing
      • Bibliographic Information
      • Archive
  • Articles
  • Information
    • For Authors
    • For Reviewers
    • For Librarians
    • For Advertisers
    • Conferences
  • Language Editing
Login Register Submit
  • This site uses cookies
  • You can change your cookie settings at any time by following the instructions in our Cookie Policy. To find out more, you may read our Privacy Policy.

    I agree
Search articles by DOI, keyword, author or affiliation
Search
Advanced Search
presentation
Molecular and Clinical Oncology
Join Editorial Board Propose a Special Issue
Print ISSN: 2049-9450 Online ISSN: 2049-9469
Journal Cover
January-2018 Volume 8 Issue 1

Full Size Image

Sign up for eToc alerts
Recommend to Library

Journals

International Journal of Molecular Medicine

International Journal of Molecular Medicine

International Journal of Molecular Medicine is an international journal devoted to molecular mechanisms of human disease.

International Journal of Oncology

International Journal of Oncology

International Journal of Oncology is an international journal devoted to oncology research and cancer treatment.

Molecular Medicine Reports

Molecular Medicine Reports

Covers molecular medicine topics such as pharmacology, pathology, genetics, neuroscience, infectious diseases, molecular cardiology, and molecular surgery.

Oncology Reports

Oncology Reports

Oncology Reports is an international journal devoted to fundamental and applied research in Oncology.

Experimental and Therapeutic Medicine

Experimental and Therapeutic Medicine

Experimental and Therapeutic Medicine is an international journal devoted to laboratory and clinical medicine.

Oncology Letters

Oncology Letters

Oncology Letters is an international journal devoted to Experimental and Clinical Oncology.

Biomedical Reports

Biomedical Reports

Explores a wide range of biological and medical fields, including pharmacology, genetics, microbiology, neuroscience, and molecular cardiology.

Molecular and Clinical Oncology

Molecular and Clinical Oncology

International journal addressing all aspects of oncology research, from tumorigenesis and oncogenes to chemotherapy and metastasis.

World Academy of Sciences Journal

World Academy of Sciences Journal

Multidisciplinary open-access journal spanning biochemistry, genetics, neuroscience, environmental health, and synthetic biology.

International Journal of Functional Nutrition

International Journal of Functional Nutrition

Open-access journal combining biochemistry, pharmacology, immunology, and genetics to advance health through functional nutrition.

International Journal of Epigenetics

International Journal of Epigenetics

Publishes open-access research on using epigenetics to advance understanding and treatment of human disease.

Medicine International

Medicine International

An International Open Access Journal Devoted to General Medicine.

Journal Cover
January-2018 Volume 8 Issue 1

Full Size Image

Sign up for eToc alerts
Recommend to Library

  • Article
  • Citations
    • Cite This Article
    • Download Citation
    • Create Citation Alert
    • Remove Citation Alert
    • Cited By
  • Similar Articles
    • Related Articles (in Spandidos Publications)
    • Similar Articles (Google Scholar)
    • Similar Articles (PubMed)
  • Download PDF
  • Download XML
  • View XML
Article

Clinicopathological characteristics of disseminated carcinomatosis of the bone marrow in breast cancer patients

  • Authors:
    • Yoshiaki Shinden
    • Keishi Sugimachi
    • Fumiaki Tanaka
    • Kenji Fujiyoshi
    • Yuko Kijima
    • Shoji Natsugoe
    • Koshi Mimori
  • View Affiliations / Copyright

    Affiliations: Department of Surgery, Kyushu University Beppu Hospital, Beppu, Oita 874‑0838, Japan, Fujiyoshi Breast Clinic, Beppu, Oita 874‑0836, Japan, Tanaka Breast, Surgery, Internal Medicine Clinic, Beppu, Oita 874‑0936, Japan, Department of Digestive Surgery, Breast and Thyroid Surgery, Kagoshima University Graduate School of Medical and Dental Sciences, Kagoshima, Kagoshima 890‑8520, Japan
  • Pages: 93-98
    |
    Published online on: November 15, 2017
       https://doi.org/10.3892/mco.2017.1502
  • Expand metrics +
Metrics: Total Views: 0 (Spandidos Publications: | PMC Statistics: )
Metrics: Total PDF Downloads: 0 (Spandidos Publications: | PMC Statistics: )
Cited By (CrossRef): 0 citations Loading Articles...

This article is mentioned in:



Abstract

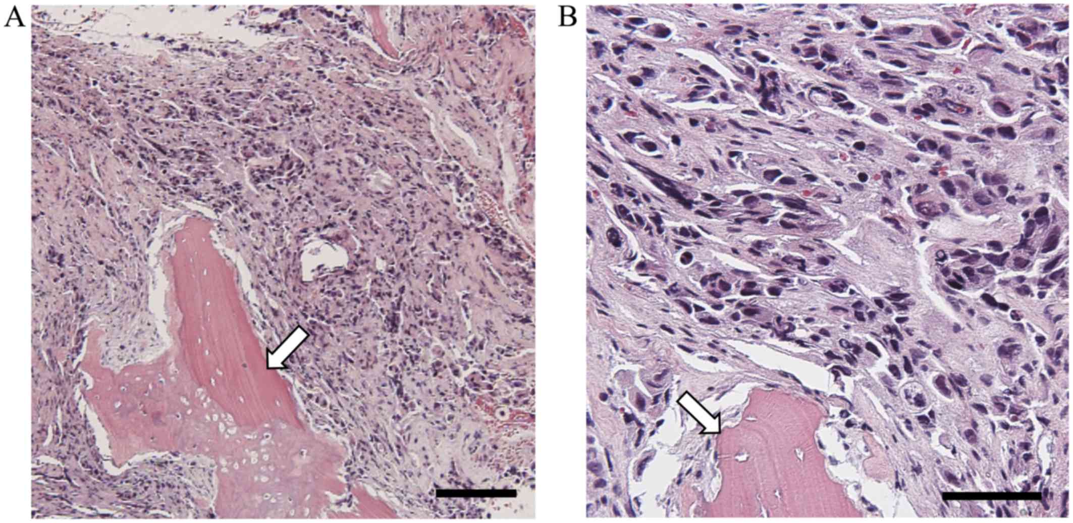
Disseminated carcinomatosis of the bone marrow (DCBM) is characterized by diffuse infiltrative growth of tumor cells in the bone marrow and is associated with systemic hematological disorders. Bone marrow metastases from breast cancer are not rare, and they may lead to serious life‑threatening conditions when there is an associated hematological disorder. Therefore, DCBM necessitates a definitive diagnosis and prompt systemic therapy. We herein present 4 such cases and a review of the previous relevant literature. Bone marrow biopsy is an effective method for diagnosing DCBM, and it may also be useful for selecting the optimal therapy. The malignant cells in the bone marrow biopsy specimens from all 4 patients were negative for progesterone receptor expression, and in 1 case, human epidermal growth factor receptor 2/neu expression was discordant between the primary tumor and the bone marrow metastases. Patients with DCBM often require granulocyte colony‑stimulating factor and/or blood transfusions due to a DCBM‑related hematological disorder. Although systemic chemotherapy for DCBM may temporarily exacerbate the need for hematological support, systemic chemotherapy may be effective for DCBM in breast cancer patients. In our experience, endocrine therapy has also been proven effective for DCBM. The aim of the present study was to review the clinical characteristics and the treatments used in 4 breast cancer patients with DCBM.
View Figures

Figure 1

Figure 2

View References

1 

Jarcho S: Diffusely infiltrative carcinoma. Arch Pathol. 22:674–696. 1936.

2 

Hayashi H, Haruyama H, Emura Y, Kiazuka I and Ozeki T: Disseminated carcinomatosis of the bone marrow. Jpn J Cancer Clin. 25:329–343. 1979.(In Japanese).

3 

Demir L, Akyol M, Bener S, Payzin KB, Erten C, Somali I, Can A, Dirican A, Bayoglu V, Kucukzeybek Y, et al: Prognostic evaluation of breast cancer patients with evident bone marrow metastasis. Breast J. 20:279–287. 2014. View Article : Google Scholar : PubMed/NCBI

4 

Kopp HG, Krauss K, Fehm T, Staebler A, Zahm J, Vogel W, Kanz L and Mayer F: Symptomatic bone marrow involvement in breast cancer-clinical presentation, treatment, and prognosis: A single institution review of 22 cases. Anticancer Res. 31:4025–4030. 2011.PubMed/NCBI

5 

Yokoyama K: A clinical study of bone marrow involvement in non-hematological malignancies. Tokyo Jikeikai Med J. 98:1006–1019. 1983.(In Japanese).

6 

Papac RJ: Bone marrow metastases. A review. Cancer. 74:2403–2413. 1994.(In Japanese).

7 

Moriwaki S, Mandai K, Okabe K, Yamauchi M, Yamamoto A and Kamei T: Pathological analysis for the bone marrow metastasis by aspiration and core needle biopsy. Jpn J Cancer Clin. 49:203–209. 2003.(In Japanese).

8 

Diel IJ, Kaufmann M, Costa SD, Holle R, von Minckwitz G, Solomayer EF, Kaul S and Bastert G: Micrometastatic breast cancer cells in bone marrow at primary surgery: Prognostic value in comparison with nodal status. J Natl Cancer Inst. 88:1652–1658. 1996. View Article : Google Scholar : PubMed/NCBI

9 

Mansi JL, Gogas H, Bliss JM, Gazet JC, Berger U and Coombes RC: Outcome of primary-breast-cancer patients with micrometastases: A long-term follow-up study. Lancet. 354:197–202. 1999. View Article : Google Scholar : PubMed/NCBI

10 

Braun S, Pantel K, Müller P, Janni W, Hepp F, Kentenich CR, Gastroph S, Wischnik A, Dimpfl T, Kindermann G, et al: Cytokeratin-positive cells in the bone marrow and survival of patients with stage I II, or III breast cancer. N Engl J Med. 342:525–533. 2000. View Article : Google Scholar : PubMed/NCBI

11 

Bidard FC, Vincent-Salomon A, Gomme S, Nos C, de Rycke Y, Thiery JP, Sigal-Zafrani B, Mignot L, Sastre-Garau X and Pierga JY; Institut Curie Breast Cancer Study Group, : Disseminated tumor cells of breast cancer patients: A strong prognostic factor for distant and local relapse. Clin Cancer Res. 14:3306–3311. 2008. View Article : Google Scholar : PubMed/NCBI

12 

Langer I, Guller U, Worni M, Berclaz G, Singer G, Schaer G, Fehr MK, Hess T, Viehl C, Bronz L, et al: Bone marrow micrometastases do not impact disease-free and overall survival in early stage sentinel lymph node-negative breast cancer patients. Ann Surg Oncol. 21:401–407. 2014. View Article : Google Scholar : PubMed/NCBI

13 

Hartkopf AD, Taran FA, Wallwiener M, Hahn M, Becker S, Solomayer EF, Brucker SY, Fehm TN and Wallwiener D: Prognostic relevance of disseminated tumour cells from the bone marrow of early stage breast cancer patients-results from a large single-centre analysis. Eur J Cancer. 50:2550–2559. 2014. View Article : Google Scholar : PubMed/NCBI

14 

Kamby C, Guldhammer B, Vejborg I, Rossing N, Dirksen H, Daugaard S and Mouridsen HT: The presence of tumor cells in bone marrow at the time of first recurrence of breast cancer. Cancer. 60:1306–1312. 1987. View Article : Google Scholar : PubMed/NCBI

15 

Mukaiyama T, Ogawa M, Horikoshi N, Inoue K, Inagaki J, Egaki K, et al: Analysis of metstatic behaviors and causes of death in 100 autopsied patients with breast cancer. Jpn J Breast Cancer. 4:121–126. 1989.(In Japanese).

16 

Koida T, Kimura M, Ogawa A and Sugihara S: A study of bone marrow on autopsied cases of breast cancer-correlated to the hormone receptor. Jpn J Breast cancer. 6:567–570. 1991.(In Japanese).

17 

Moriwaki S, Mandai K, Ohsumi S and Doihara H: Metastasis to bone marrow in autopsy cases of breast cancer-focal reactions to metastasis. Jpn J Cancer Clin. 47:389–400. 2001.(In Japanese).

18 

Evangelista L, Panunzio A, Polverosi R, Ferretti A, Chondrogiannis S, Pomerri F, Rubello D and Muzzio PC: Early bone marrow metastasis detection: The additional value of FDG-PET/CT vs. CT imaging. Biomed Pharmacother. 66:448–453. 2012. View Article : Google Scholar : PubMed/NCBI

19 

Lin CY, Chen YW, Chang CC, Yang WC, Huang CJ and Hou MF: Bone metastasis versus bone marrow metastasis? Integration of diagnosis by (18)F-fluorodeoxyglucose positron emission/computed tomography in advanced malignancy with super bone scan: Two case reports and literature review. Kaohsiung J Med Sci. 29:229–233. 2013. View Article : Google Scholar : PubMed/NCBI

20 

Delsol G, Guiu-Godfrin B, Guiu M, Pris J, Corberand J and Fabre J: Leukoerythroblastosis and cancer frequency, prognosis, and physiopathologic significance. Cancer. 44:1009–1013. 1979. View Article : Google Scholar : PubMed/NCBI

21 

Yachida S, Jones S, Bozic I, Antal T, Leary R, Fu B, Kamiyama M, Hruban RH, Eshleman JR, Nowak MA, et al: Distant metastasis occurs late during the genetic evolution of pancreatic cancer. Nature. 467:1114–1117. 2010. View Article : Google Scholar : PubMed/NCBI

22 

Meric-Bernstam F, Frampton GM, Ferrer-Lozano J, Yelensky R, Pérez-Fidalgo JA, Wang Y, Palmer GA, Ross JS, Miller VA, Su X, et al: Concordance of genomic alterations between primary and recurrent breast cancer. Mol Cancer Ther. 13:1382–1389. 2014. View Article : Google Scholar : PubMed/NCBI

23 

Swanton C: Intratumor heterogeneity: Evolution through space and time. Cancer Res. 72:4875–4882. 2012. View Article : Google Scholar : PubMed/NCBI

24 

Hilton JF, Amir E, Hopkins S, Nabavi M, DiPrimio G, Sheikh A, Done SJ, Gianfelice D, Kanji F, Dent S, et al: Acquisition of metastatic tissue from patients with bone metastases from breast cancer. Breast Cancer Res Treat. 129:761–765. 2011. View Article : Google Scholar : PubMed/NCBI

25 

Bogina G, Bortesi L, Marconi M, Venturini M, Lunardi G, Coati F, Massocco A, Manfrin E, Pegoraro C and Zamboni G: Comparison of hormonal receptor and HER-2 status between breast primary tumours and relapsing tumours: Clinical implications of progesterone receptor loss. Virchows Arch. 459:1–10. 2011. View Article : Google Scholar : PubMed/NCBI

26 

Lindström LS, Karlsson E, Wilking UM, Johansson U, Hartman J, Lidbrink EK, Hatschek T, Skoog L and Bergh J: Clinically used breast cancer markers such as estrogen receptor, progesterone receptor, and human epidermal growth factor receptor 2 are unstable throughout tumor progression. J Clin Oncol. 30:2601–2608. 2012. View Article : Google Scholar : PubMed/NCBI

27 

Castaneda CA, Andrés E, Barcena C, Gómez HL, Cortés-Funés H and Ciruelos E: Behaviour of breast cancer molecular subtypes through tumour progression. Clin Transl Oncol. 14:481–485. 2012. View Article : Google Scholar : PubMed/NCBI

28 

Simmons C, Miller N, Geddie W, Gianfelice D, Oldfield M, Dranitsaris G and Clemons MJ: Does confirmatory tumor biopsy alter the management of breast cancer patients with distant metastases? Ann Oncol. 20:1499–1504. 2009. View Article : Google Scholar : PubMed/NCBI

29 

Goldhirsch A, Winer EP, Coates AS, Gelber RD, Piccart-Gebhart M, Thürlimann B and Senn HJ; Panel members, : Personalizing the treatment of women with early breast cancer: Highlights of the st gallen international expert consensus on the primary therapy of early breast cancer 2013. Ann Oncol. 24:2206–2223. 2013. View Article : Google Scholar : PubMed/NCBI

30 

Prat A, Cheang MC, Martín M, Parker JS, Carrasco E, Caballero R, Tyldesley S, Gelmon K, Bernard PS, Nielsen TO and Perou CM: Prognostic significance of progesterone receptor-positive tumor cells within immunohistochemically defined luminal A breast cancer. J Clin Oncol. 31:203–209. 2013. View Article : Google Scholar : PubMed/NCBI

31 

Lower EE, Glass EL, Bradley DA, Blau R and Heffelfinger S: Impact of metastatic estrogen receptor and progesterone receptor status on survival. Breast Cancer Res Treat. 90:65–70. 2005. View Article : Google Scholar : PubMed/NCBI

32 

Guarneri V, Giovannelli S, Ficarra G, Bettelli S, Maiorana A, Piacentini F, Barbieri E, Dieci MV, D'Amico R, Jovic G and Conte P: Comparison of HER-2 and hormone receptor expression in primary breast cancers and asynchronous paired metastases: Impact on patient management. Oncologist. 13:838–844. 2008. View Article : Google Scholar : PubMed/NCBI

33 

Broom RJ, Tang PA, Simmons C, Bordeleau L, Mulligan AM, O'Malley FP, Miller N, Andrulis IL, Brenner DM and Clemons MJ: Changes in estrogen receptor, progesterone receptor and Her-2/neu status with time: Discordance rates between primary and metastatic breast cancer. Anticancer Res. 29:1557–1562. 2009.PubMed/NCBI

34 

Idirisinghe PK, Thike AA, Cheok PY, Tse GM, Lui PC, Fook-Chong S, Wong NS and Tan PH: Hormone receptor and c-ERBB2 status in distant metastatic and locally recurrent breast cancer. Pathologic correlations and clinical significance. Am J Clin Pathol. 133:416–429. 2010. View Article : Google Scholar : PubMed/NCBI

35 

Sari E, Guler G, Hayran M, Gullu I, Altundag K and Ozisik Y: Comparative study of the immunohistochemical detection of hormone receptor status and HER-2 expression in primary and paired recurrent/metastatic lesions of patients with breast cancer. Med Oncol. 28:57–63. 2011. View Article : Google Scholar : PubMed/NCBI

36 

Yumimoto K, Akiyoshi S, Ueo H, Sagara Y, Onoyama I, Ueo H, Ohno S, Mori M, Mimori K and Nakayama KI: F-box protein FBXW7 inhibits cancer metastasis in a non-cell-autonomous manner. J Clin Invest. 125:621–635. 2015. View Article : Google Scholar : PubMed/NCBI

37 

Takeishi S and Nakayama KI: Role of Fbxw7 in the maintenance of normal stem cells and cancer-initiating cells. Br J Cancer. 111:1054–1059. 2014. View Article : Google Scholar : PubMed/NCBI

38 

Rahim F, Hajizamani S, Mortaz E, Ahmadzadeh A, Shahjahani M, Shahrabi S and Saki N: Molecular regulation of bone marrow metastasis in prostate and breast cancer. Bone Marrow Res. 2014:4059202014. View Article : Google Scholar : PubMed/NCBI

39 

Greene FL: Breast tumoursTNM classification of malignant tumours. 7th. Sobin LH, Gospodarowicz MK and Wittekind C: Wiley-Blackwell; Oxford: pp. 181–193. 2009

Related Articles

  • Abstract
  • View
  • Download
  • Twitter
Copy and paste a formatted citation
Spandidos Publications style
Shinden Y, Sugimachi K, Tanaka F, Fujiyoshi K, Kijima Y, Natsugoe S and Mimori K: Clinicopathological characteristics of disseminated carcinomatosis of the bone marrow in breast cancer patients. Mol Clin Oncol 8: 93-98, 2018.
APA
Shinden, Y., Sugimachi, K., Tanaka, F., Fujiyoshi, K., Kijima, Y., Natsugoe, S., & Mimori, K. (2018). Clinicopathological characteristics of disseminated carcinomatosis of the bone marrow in breast cancer patients. Molecular and Clinical Oncology, 8, 93-98. https://doi.org/10.3892/mco.2017.1502
MLA
Shinden, Y., Sugimachi, K., Tanaka, F., Fujiyoshi, K., Kijima, Y., Natsugoe, S., Mimori, K."Clinicopathological characteristics of disseminated carcinomatosis of the bone marrow in breast cancer patients". Molecular and Clinical Oncology 8.1 (2018): 93-98.
Chicago
Shinden, Y., Sugimachi, K., Tanaka, F., Fujiyoshi, K., Kijima, Y., Natsugoe, S., Mimori, K."Clinicopathological characteristics of disseminated carcinomatosis of the bone marrow in breast cancer patients". Molecular and Clinical Oncology 8, no. 1 (2018): 93-98. https://doi.org/10.3892/mco.2017.1502
Copy and paste a formatted citation
x
Spandidos Publications style
Shinden Y, Sugimachi K, Tanaka F, Fujiyoshi K, Kijima Y, Natsugoe S and Mimori K: Clinicopathological characteristics of disseminated carcinomatosis of the bone marrow in breast cancer patients. Mol Clin Oncol 8: 93-98, 2018.
APA
Shinden, Y., Sugimachi, K., Tanaka, F., Fujiyoshi, K., Kijima, Y., Natsugoe, S., & Mimori, K. (2018). Clinicopathological characteristics of disseminated carcinomatosis of the bone marrow in breast cancer patients. Molecular and Clinical Oncology, 8, 93-98. https://doi.org/10.3892/mco.2017.1502
MLA
Shinden, Y., Sugimachi, K., Tanaka, F., Fujiyoshi, K., Kijima, Y., Natsugoe, S., Mimori, K."Clinicopathological characteristics of disseminated carcinomatosis of the bone marrow in breast cancer patients". Molecular and Clinical Oncology 8.1 (2018): 93-98.
Chicago
Shinden, Y., Sugimachi, K., Tanaka, F., Fujiyoshi, K., Kijima, Y., Natsugoe, S., Mimori, K."Clinicopathological characteristics of disseminated carcinomatosis of the bone marrow in breast cancer patients". Molecular and Clinical Oncology 8, no. 1 (2018): 93-98. https://doi.org/10.3892/mco.2017.1502
Follow us
  • Twitter
  • LinkedIn
  • Facebook
About
  • Spandidos Publications
  • Careers
  • Cookie Policy
  • Privacy Policy
How can we help?
  • Help
  • Live Chat
  • Contact
  • Email to our Support Team