Spandidos Publications Logo
  • About
    • About Spandidos
    • Aims and Scopes
    • Abstracting and Indexing
    • Editorial Policies
    • Reprints and Permissions
    • Job Opportunities
    • Terms and Conditions
    • Contact
  • Journals
    • All Journals
    • Oncology Letters
      • Oncology Letters
      • Information for Authors
      • Editorial Policies
      • Editorial Board
      • Aims and Scope
      • Abstracting and Indexing
      • Bibliographic Information
      • Archive
    • International Journal of Oncology
      • International Journal of Oncology
      • Information for Authors
      • Editorial Policies
      • Editorial Board
      • Aims and Scope
      • Abstracting and Indexing
      • Bibliographic Information
      • Archive
    • Molecular and Clinical Oncology
      • Molecular and Clinical Oncology
      • Information for Authors
      • Editorial Policies
      • Editorial Board
      • Aims and Scope
      • Abstracting and Indexing
      • Bibliographic Information
      • Archive
    • Experimental and Therapeutic Medicine
      • Experimental and Therapeutic Medicine
      • Information for Authors
      • Editorial Policies
      • Editorial Board
      • Aims and Scope
      • Abstracting and Indexing
      • Bibliographic Information
      • Archive
    • International Journal of Molecular Medicine
      • International Journal of Molecular Medicine
      • Information for Authors
      • Editorial Policies
      • Editorial Board
      • Aims and Scope
      • Abstracting and Indexing
      • Bibliographic Information
      • Archive
    • Biomedical Reports
      • Biomedical Reports
      • Information for Authors
      • Editorial Policies
      • Editorial Board
      • Aims and Scope
      • Abstracting and Indexing
      • Bibliographic Information
      • Archive
    • Oncology Reports
      • Oncology Reports
      • Information for Authors
      • Editorial Policies
      • Editorial Board
      • Aims and Scope
      • Abstracting and Indexing
      • Bibliographic Information
      • Archive
    • Molecular Medicine Reports
      • Molecular Medicine Reports
      • Information for Authors
      • Editorial Policies
      • Editorial Board
      • Aims and Scope
      • Abstracting and Indexing
      • Bibliographic Information
      • Archive
    • World Academy of Sciences Journal
      • World Academy of Sciences Journal
      • Information for Authors
      • Editorial Policies
      • Editorial Board
      • Aims and Scope
      • Abstracting and Indexing
      • Bibliographic Information
      • Archive
    • International Journal of Functional Nutrition
      • International Journal of Functional Nutrition
      • Information for Authors
      • Editorial Policies
      • Editorial Board
      • Aims and Scope
      • Abstracting and Indexing
      • Bibliographic Information
      • Archive
    • International Journal of Epigenetics
      • International Journal of Epigenetics
      • Information for Authors
      • Editorial Policies
      • Editorial Board
      • Aims and Scope
      • Abstracting and Indexing
      • Bibliographic Information
      • Archive
    • Medicine International
      • Medicine International
      • Information for Authors
      • Editorial Policies
      • Editorial Board
      • Aims and Scope
      • Abstracting and Indexing
      • Bibliographic Information
      • Archive
  • Articles
  • Information
    • Information for Authors
    • Information for Reviewers
    • Information for Librarians
    • Information for Advertisers
    • Conferences
  • Language Editing
Spandidos Publications Logo
  • About
    • About Spandidos
    • Aims and Scopes
    • Abstracting and Indexing
    • Editorial Policies
    • Reprints and Permissions
    • Job Opportunities
    • Terms and Conditions
    • Contact
  • Journals
    • All Journals
    • Biomedical Reports
      • Information for Authors
      • Editorial Policies
      • Editorial Board
      • Aims and Scope
      • Abstracting and Indexing
      • Bibliographic Information
      • Archive
    • Experimental and Therapeutic Medicine
      • Information for Authors
      • Editorial Policies
      • Editorial Board
      • Aims and Scope
      • Abstracting and Indexing
      • Bibliographic Information
      • Archive
    • International Journal of Epigenetics
      • Information for Authors
      • Editorial Policies
      • Editorial Board
      • Aims and Scope
      • Abstracting and Indexing
      • Bibliographic Information
      • Archive
    • International Journal of Functional Nutrition
      • Information for Authors
      • Editorial Policies
      • Editorial Board
      • Aims and Scope
      • Abstracting and Indexing
      • Bibliographic Information
      • Archive
    • International Journal of Molecular Medicine
      • Information for Authors
      • Editorial Policies
      • Editorial Board
      • Aims and Scope
      • Abstracting and Indexing
      • Bibliographic Information
      • Archive
    • International Journal of Oncology
      • Information for Authors
      • Editorial Policies
      • Editorial Board
      • Aims and Scope
      • Abstracting and Indexing
      • Bibliographic Information
      • Archive
    • Medicine International
      • Information for Authors
      • Editorial Policies
      • Editorial Board
      • Aims and Scope
      • Abstracting and Indexing
      • Bibliographic Information
      • Archive
    • Molecular and Clinical Oncology
      • Information for Authors
      • Editorial Policies
      • Editorial Board
      • Aims and Scope
      • Abstracting and Indexing
      • Bibliographic Information
      • Archive
    • Molecular Medicine Reports
      • Information for Authors
      • Editorial Policies
      • Editorial Board
      • Aims and Scope
      • Abstracting and Indexing
      • Bibliographic Information
      • Archive
    • Oncology Letters
      • Information for Authors
      • Editorial Policies
      • Editorial Board
      • Aims and Scope
      • Abstracting and Indexing
      • Bibliographic Information
      • Archive
    • Oncology Reports
      • Information for Authors
      • Editorial Policies
      • Editorial Board
      • Aims and Scope
      • Abstracting and Indexing
      • Bibliographic Information
      • Archive
    • World Academy of Sciences Journal
      • Information for Authors
      • Editorial Policies
      • Editorial Board
      • Aims and Scope
      • Abstracting and Indexing
      • Bibliographic Information
      • Archive
  • Articles
  • Information
    • For Authors
    • For Reviewers
    • For Librarians
    • For Advertisers
    • Conferences
  • Language Editing
Login Register Submit
  • This site uses cookies
  • You can change your cookie settings at any time by following the instructions in our Cookie Policy. To find out more, you may read our Privacy Policy.

    I agree
Search articles by DOI, keyword, author or affiliation
Search
Advanced Search
presentation
Molecular Medicine Reports
Join Editorial Board Propose a Special Issue
Print ISSN: 1791-2997 Online ISSN: 1791-3004
Journal Cover
November-2015 Volume 12 Issue 5

Full Size Image

Sign up for eToc alerts
Recommend to Library

Journals

International Journal of Molecular Medicine

International Journal of Molecular Medicine

International Journal of Molecular Medicine is an international journal devoted to molecular mechanisms of human disease.

International Journal of Oncology

International Journal of Oncology

International Journal of Oncology is an international journal devoted to oncology research and cancer treatment.

Molecular Medicine Reports

Molecular Medicine Reports

Covers molecular medicine topics such as pharmacology, pathology, genetics, neuroscience, infectious diseases, molecular cardiology, and molecular surgery.

Oncology Reports

Oncology Reports

Oncology Reports is an international journal devoted to fundamental and applied research in Oncology.

Experimental and Therapeutic Medicine

Experimental and Therapeutic Medicine

Experimental and Therapeutic Medicine is an international journal devoted to laboratory and clinical medicine.

Oncology Letters

Oncology Letters

Oncology Letters is an international journal devoted to Experimental and Clinical Oncology.

Biomedical Reports

Biomedical Reports

Explores a wide range of biological and medical fields, including pharmacology, genetics, microbiology, neuroscience, and molecular cardiology.

Molecular and Clinical Oncology

Molecular and Clinical Oncology

International journal addressing all aspects of oncology research, from tumorigenesis and oncogenes to chemotherapy and metastasis.

World Academy of Sciences Journal

World Academy of Sciences Journal

Multidisciplinary open-access journal spanning biochemistry, genetics, neuroscience, environmental health, and synthetic biology.

International Journal of Functional Nutrition

International Journal of Functional Nutrition

Open-access journal combining biochemistry, pharmacology, immunology, and genetics to advance health through functional nutrition.

International Journal of Epigenetics

International Journal of Epigenetics

Publishes open-access research on using epigenetics to advance understanding and treatment of human disease.

Medicine International

Medicine International

An International Open Access Journal Devoted to General Medicine.

Journal Cover
November-2015 Volume 12 Issue 5

Full Size Image

Sign up for eToc alerts
Recommend to Library

  • Article
  • Citations
    • Cite This Article
    • Download Citation
    • Create Citation Alert
    • Remove Citation Alert
    • Cited By
  • Similar Articles
    • Related Articles (in Spandidos Publications)
    • Similar Articles (Google Scholar)
    • Similar Articles (PubMed)
  • Download PDF
  • Download XML
  • View XML
Article

Sirtuin 1 regulates lipid metabolism associated with optic nerve regeneration

  • Authors:
    • Yan Zhang
    • Hongyang Li
    • Yongmei Cao
    • Maonian Zhang
    • Shihui Wei
  • View Affiliations / Copyright

    Affiliations: Department of Ophthalmology, Chinese PLA General Hospital, Beijing 100085, P.R. China, Department of Ophthalmology, International Mongolion Hospital, Hohhot, Inner Mongolia 010065, P.R. China
  • Pages: 6962-6968
    |
    Published online on: September 2, 2015
       https://doi.org/10.3892/mmr.2015.4286
  • Expand metrics +
Metrics: Total Views: 0 (Spandidos Publications: | PMC Statistics: )
Metrics: Total PDF Downloads: 0 (Spandidos Publications: | PMC Statistics: )
Cited By (CrossRef): 0 citations Loading Articles...

This article is mentioned in:



Abstract

Injury to the optic nerve may lead to axonal degeneration, followed by the gradual death of retinal ganglion cells (RGCs), which results in irreversible vision loss. In the present study the mechanism of optic nerve injury, and the following regeneration and repair processes associated with sirtuin 1 (SIRT1)‑regulated lipid metabolism were analyzed. In addition, the treatment of optic nerve injury using resveratrol was investigated. A rat model of optic nerve damage was prepared, and rats were divided into control, model and resveratrol groups. The model rats (with optic nerve damage) were treated with phosphate‑buffered saline or resveratrol once a day for seven, 14 and 21 days. The rats were then sacrificed and the optic nerve was dissected. The expression levels of SIRT1, sterol regulatory element‑binding protein 2 (SREBP‑2) and 3‑hydroxy‑3‑methylglutaryl‑CoA reductase (HMGCR) mRNA in the optic nerve were measured by reverse transcription‑quantitative polymerase chain reaction, and the protein expression of SIRT1, SREBP2 and HMGCR was evaluated by western blotting. In addition, the cholesterol level of the optic nerve was assessed. The retina was excised and the surviving RGCs were observed and counted. The morphology of the RGCs in the rat model of optic nerve injury changed; however, the degree of damage in rats treated with resveratrol was relatively small. The number of surviving RGCs and the cholesterol level in the RGCs from the model rats was observed to be restored by treatment with resveratrol following optic nerve damage. Additionally, the expression levels of SIRT1, SREBP‑2 and HMGCR mRNA and protein were restored by resveratrol treatment in the rats with optic nerve damage. Thus, resveratrol reversed certain features of the optic nerve injury damage via SIRT1 and SREBP‑2‑associated signaling pathways and the downstream regulated gene, HMGCR. Furthermore, resveratrol promoted cholesterol synthesis in, and repair of, RGCs. Therefore, SIRT1 may serve as a promising novel target for the treatment of optic nerve damage.

Introduction

The poor regenerative capacity of injured central nervous system (CNS) axons leads to permanent neurological deficits following brain, spinal cord or optic nerve lesions. Recent studies regarding the optic nerve revealed that stimulation of the cytokine or mammalian target of rapamycin signaling pathways potently enhances sprouting and regeneration of injured retinal ganglion cell (RGC) axons in adult mice, however, does not allow the majority of axons to reach their primary cerebral targets. Furthermore, recent studies have revealed axon navigation defects in the optic nerve and at the optic chiasm as a result of strong growth stimulation (1).

As with other CNS tracts in higher vertebrates, the optic nerve is unable to regenerate following traumatic injury. Optic nerve crush (ONC) is a popular model for investigating this phenomenon, and establishing novel regenerative strategies and potential treatment methods. The adeno-associated virus, serotype 2 was shown to display specific tropism to, and a high rate of infectivity for, RGCs; allowing researchers to target and manipulate specific intracellular signaling molecules involved in CNS neuron survival and axonal regeneration in vivo (2). The weak intrinsic capacity of adult neurons to reactivate a growth program following injury was proposed to be a significant impediment to axonal regrowth (3). Indeed, following birth, intrinsic growth repressors, for example, those of the Kruppel-like factor transcription factor family, are upregulated in the developing retina, while growth-inducing transcription factors are downregulated in RGCs and other CNS neurons (4). Similarly, the neuronal tissue environment is growth enhancing during development, and switches to being predominantly growth inhibitory in the adult brain and spinal cord (5,6). The presence of growth-repressing molecules in the CNS tissue and within the neurons, as well as the lack of adequate stimulation and growth responses by adult neurons are currently proposed to be the predominant causes of axon regeneration failure (6).

SIRT1 belongs to a family of class III histone deacetylases, originally identified as significant to calorie restriction and longevity (7). SIRT1 activity is dependent on NAD+ as a co-activator (8), and SIRT1 generally localizes to the nucleus, although it may translocate to the cytoplasm and catalyzes deacetylation of various protein targets in addition to histones (9). Numerous SIRT1 substrates are transcription factors, including peroxisome proliferator-activated receptor γ coactivator 1α, forkhead box O3 (FOXO), and hypoxia-inducible factor, whose activities are altered by SIRT1-mediated deacetylation, leading to altered expression levels of target genes (9–11). SIRT1 has been associated with various biologic processes, including oxidative stress, gene silencing and DNA repair, in addition to senescence, neurogenesis, circadian rhythms, neuroendocrine signals and dendritic branching, all of which affect the NS during normal physiologic functioning, as well as with aging and during pathologic processes (12). Within the brain, SIRT1 is crucial for normal cognitive function (13), and its activation protects against neurodegenerative diseases, including Parkinson's, Alzheimer's and Huntington's disease, as observed in animal models (14–16). In addition to its role in neurons, Sirt1 contributes to blood vessel growth during development via regulation of Notch signaling (17) and FOXO1 (18). Chen et al (19) observed that SIRT1 is upregulated in RGCs in the vaso-obliteration zone of ischemic neuronal retinas, and conditional depletion of SIRT1 in retinal neurons significantly impaired vascular regrowth into the vascular zone and precipitated pathologic neovascularization in retinopathy. These results indicate that SIRT1 is a critical, stress-induced, metabolically-dependent protective mechanism in retinopathy (20).

In the current study the mechanism of optic nerve injury, and the subsequent regeneration and repair associated with SIRT1-regulated lipid metabolism was investigated. In addition, the efficacy of resveratrol treatment on optic nerve injury was assessed. It is hypothesized that a balanced growth stimulatory treatment, combined with guidance factors and suppression of local growth inhibitory factors, is required to obtain full regeneration of the optic nerve following injury.

Materials and methods

Animals

All animal procedures adhered strictly to the guidelines of the Association for Research in the Vision and Ophthalmology Statement on the Use of Animals in Ophthalmic and Visual Research, and were performed according to approved protocols by the Board of Animal Welfare at the Chinese PLA General Hospital (Beijing, China).

Adult male Sprague Dawley rats (n=70; weight, 280–320 g; (Sino-British SIPPR/BK Lab Animal Ltd., Shanghai, China) were used in the present study, and the results of eye and fundus examinations were normal. The rats were housed in a commercial cage. They were maintained under a 12-h light/dark cycle at an ambient temperature (22±1° C) and given free access to food. Using the random number table method for grouping, 10 rats were assigned to the control group, while 30 rats formed the model group [treated with phosphate-buffered saline (PBS; Invitrogen Life Technologies, Inc., Carlsbad, CA, USA)] and 30 rats formed the Res group (treated with resveratrol; Sigma-Aldrich, St. Louis, MO, USA). Each of the model and Res groups were comprised of three subgroups (n=10) of rats that were treated for either seven, 14 or 21 days.

Model preparation and treatment process

Following intra-peritoneal injection of 50 mg/kg ketamine (Sigma-Aldrich) to anesthetize the rats, the optic nerve was fully exposed. Then reverse tweezers with an optic ball (cross-locking tweezers, bent & straight reverse action, stainless steel, 4–3/4″ 2pc; size, 0.5–1.0 mm) were used to clamp the optic nerve and cause incomplete injury of rats. In the resveratrol-treated group following postoperative injury, an intraperitoneal injection of 30 mg/kg resveratrol was administered every 12 h. The same protocol was followed in the control group, however, the intraperitoneal injection of resveratrol was replaced with PBS (2.5 µl/g). The rats were sacrificed seven, 14 or 21 days after treatment, and the optic nerves and retinas were excised.

Retina dissection, staining and imaging

The rats were anesthetized with Avertin (0.2 ml/10 g; Sigma-Aldrich) and sacrificed with CO2. The eyes were enucleated, fixed in 4% paraformaldehyde (Novus Biologicals, LLC, Littleton, CO, USA) in PBS for 1 h and dissected to isolate the retina. The retinas without retina pigment epithelium were rapidly (<5 min) dissected from the eyeball on ice, according to the method of Glowinski and lverse (1). Each sample was immediately labeled and then flash-frozen in liquid nitrogen and stored at −80° C for further analysis. The retinas were subsequently stained overnight with Isolectin GS-IB4 from Griffonia simplicifolia, Alexa Fluor® 594 Conjugate (dilution, 1:100; Invitrogen Life Technologies) in PBS with 1 mM CaCl2 to visualize the blood vessels. After 2-h washes in PBS, the retinas were whole-mounted (photoreceptor side down) onto Superfrost™ Plus microscope slides (Thermo Fisher Scientific, Inc., Waltham, MA, USA) using SlowFade Antifade reagent (Invitrogen Life Technologies). Whole-mounted retinas were imaged using an AxioObserver.Z1 microscope (magnification, ×5; Carls Zeiss AG, Oberkochen, Germany) and merged using AxioVision 4.6.3.0 software (Carl Zeiss AG) to produce images of the entire retinal vasculature. Estimates of RGC counts were obtained using a previously published model (20), which combines estimates of RGC numbers (from standard automated perimetry sensitivity thresholds and retinal nerve fiber layer thickness measurements) with spectral domain optical coherence tomography.

Reverse transcription-quantitative polymerase chain reaction (RT-qPCR)

Total RNA was prepared from retinal cells using the RNeasy Mini kit (Qiagen, Inc., Valencia, CA, USA) and subjected to RT by SuperScriptH III reverse transcriptase (Invitrogen Life Technologies) according to the manufacturer's instructions. A hot-start at 95° C for 5 min was followed by 40 cycles of denaturation at 95° C for 15 sec, annealing of the primers at 60° C for 30 sec and elongation at 72° C for 30 sec, using an ABI 7500 Fast Real-Time PCR system (Invitrogen Life Technologies). Phire Hot Start II DNA Polymerase (Thermo Fisher Scientific, Inc.) incorporates a dsDNA-binding domain that allows short extension times (10–15 sec/kb), helps improve yields, and can increase the fidelity by two-fold compared to that of Taq DNA polymerase. In addition, the unique hot start technology allows complete re-activation of the enzyme in 'zero-time' at standard cycling temperatures. This combination of features makes Phire Hot Start II DNA Polymerase an ideal solution for routine and high-throughput PCR applications. The primer sequences used were as follows: Upstream, 5′-TGTACGACGACGAAGACGACGAC-3′ and downstream, 5′-GGTTATCTCGGTACCCAATCG-3′ for SIRT1; upstream, 5′-GCTGGCTCACCTTTCCAG-3′ and downstream, 5′-GGCCTCAGTTATTCTGTCTTGC-3′ for SREBP2; and upstream, 5′-CTTGAAGTTCATGGTGATCAGTG-3′ and downstream, 5′-CCATTTTCAACTGGCAGGA-3′ for HMGCR. Data were normalized to GAPDH and represented as the average value of three independent duplicate experiments.

Western blot analysis

Retinal cell lysates were prepared from cells using a lysis buffer [50 mM Tris (pH 8), 150 mM NaCl, 0.02% NaN3, 0.1% SDS, 1% NP-40 and 0.5% sodium deoxycholate; Upstate Biotechnology, Lake Placid, NY, USA] containing 1 mM phenylmethylsulfonyl fluoride (Sigma-Aldrich) and protease inhibitor cocktail (Roche Diagnostics, Indianapolis, IN, USA). The protein concentration was determined by Bradford assay using the Coomassie Plus Protein Reagent (Invitrogen Life Technologies) and western blot analysis was performed using the Novex® system (Invitrogen Life Technologies).

Blots were incubated with primary antibodies anti-SIRT1 [cat no. sc-15404; H-300; rabbit polyclonal immunoglobulin (Ig)G], anti-SREBP-2 (cat no. sc-13552; 1C6; mouse monoclonal IgG1) or anti-HMGCR (cat no. sc-27578; C-18; goat polyclonal IgG) (all from Santa Cruz Biotechnology, Inc., Dallas, TX, USA) at 4° C overnight (dilution, 1:1,000) and washed with PBS three times. Subsequently, blots were incubated with horseradish peroxidase-conjugated secondary antibodies (GE Healthcare Bio-Sciences, Pittsburgh, PA, USA) at room temperature for 1 h (dilution, 1:5,000) and washed with PBS three times. Protein bands were detected using Enhanced Chemiluminescence Western Blotting Detection Reagent (GE Healthcare Bio-Sciences).

Cholesterol level quantification in the optic nerve

The cholesterol level was determined in the optic nerve tissues using the Cholesterol/Cholesteryl Ester Detection kit (Abcam, Cambridge, MA, USA) by oxidase-peroxidase enzymatic assay according to the manufacturer's instructions. Briefly, 10 µl suspension liquid of optic nerve tissues and 1 ml working fluid (oxidase peroxidase enzyme in cholesterol assay buffer) were incubated at 37° C in a water bath for 10 min, and then the absorbance value of cholesterol standard pipe (A) and samples (B) were determined under the spectrophotometer (Mithras LB 940; Berthold Technologies, Bad Wildbad, Germany)at a wavelength of 500 nm. The following formula was used to calculate the content of cholesterol in every 10 g of tissue protein: Cholesterol level (mg/10 g tissue protein) = [(A/B) × concentration of standard fluid x 150/weight of sample] × 10.

Statistical analysis

Continuous normally distributed variables were represented graphically as the mean ± standard deviation. For statistical comparison of quantitative data between groups, analysis of variance (ANOVA) or a two-tailed Student's t-test was performed. To determine differences between groups that were not normally distributed, medians were compared using Kruskal-Wallis ANOVA. The χ2 test was used when necessary for qualitative data. The degree of association between variables was assessed using Spearman's non-parametric correlation. All statistical analyses were conducted using SPSS software version 13.0 (SPSS, Inc., Chicago, IL, USA) and P<0.05 was considered to indicate a statistically significant difference.

Results

Effective establishment of the rat model of optic nerve injury

Following excision, the rats' wounds healed well and there was no inflammatory response. The corneas were transparent and there were no cases of traumatic cataract. Furthermore, no vitreous inflammatory reaction was observed and there was no blood in the vitreous cavity, retinal bleeding or detachment of the retina as a result of the surgery. Mydriasis was apparent following surgery (diameter, of 2–4 mm), indicated by a direct (−) and indirect light reflex (+), which indicated relative afferent pupillary defect. These evaluation indexes indicated the successful creation of the rat model of optic nerve injury.

Morphological changes of the retina

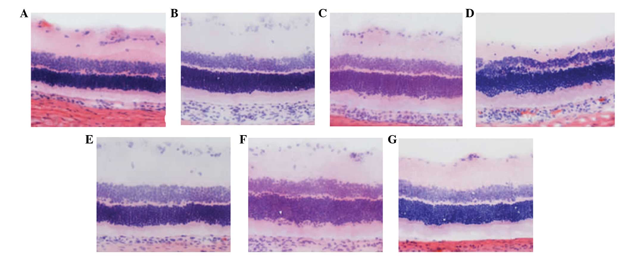
The ganglion cell layer, and inner and outer nuclear layers of the retina of the normal control rats, from outside to inside, were dense and arranged in parallel. Seven days after optic nerve injury, the cell nuclei of the ganglion cell layer exhibited scattered distribution, shrinkage of the nuclei volume, and chromatin margination and condensation. The inner and outer nuclear layers were thinning and the cell arrangement was disordered. However, no marked changes were observed in the rats treated with resveratrol. At 14 days after optic nerve injury, the cell nuclei count in the ganglion cell layer decreased markedly, and demonstrated a sparse arrangement and increased nuclear condensation. The inner and outer nuclear layers had become thinner. In the rats treated with resveratrol, the number of large and stained nuclei of the gangliocytes decreased, while the nuclei of the gangliocytes exhibited slight changes in size or number. After 21 days, the cell count in each layer decreased and few nuclei were observed in the gangliocytes. Chromatin margination, cavitation of the RGCs and glial cell infiltration were observed. The cell count in the inner and outer nuclear layer decreased. However, the extent of damage was relatively small in the resveratrol-treated rats (Fig. 1).

Figure 1

Morphological changes in the retina (magnification, ×400; hematoxylin and eosin staining). (A) In the normal control rats, the ganglial cell layer as well as the inner or outer nuclear layers of the retinas were dense and arranged in parallel from the exterior to the interior. (B) Seven days after optic nerve injury, the cell nuclei of the ganglion cell layer exhibited a scattered distribution, volume shrinkage, and patterns of chromatin margination and condensation were observed. The inner and outer nuclear layers were thinning. (C) At 14 days after optic nerve injury, the cell nuclei count in the ganglion cell layer decreased markedly and demonstrated a sparse arrangement. A greater number of condensed nuclei was observed. (D) After 21 days, the cell count in each layer had decreased and ganglial cells rarely contained nuclei. In addition, chromatin margination, cavitation of ganglion cells and infiltration of glial cells was apparent. The cell count of the inner and outer nuclear layer decreased. The inner and outer nuclear layers were thinning, and the cell arrangement was disordered. (E) No marked changes were apparent in the rats that were treated with resveratrol. (F) The quantity of large and stained gangliocytic nuclei decreased and chromatin margination was observed in the rats treated with resveratrol. (G) The extent of damage in rats treated with resveratrol was relatively small.

Resveratrol restores RGC number

The number of surviving RGCs in the rat models significantly reduced, in a time-dependent manner, when compared with those in the control group at each time point (P<0.01). In the resveratrol-treated group, the number of surviving RGCs decreased marginally at each time point, in a time-dependent manner, when compared with the control group (P<0.01). The differences between the resveratrol group and the control group were statistically significant at each time point (P<0.01; Table I). This indicated that the number of surviving RGCs in rats with optic nerve damage was restored by treatment with resveratrol.

Table I

Number of RGCs at each time point.

Table I

Number of RGCs at each time point.

GroupnNumber of RGCs
7 days14 days21 days
Control1033.18±5.0232.47±4.3834.65±5.18
Resveratrol3029.46±3.28a25.19±2.54a22.66±1.87a
Model3017.31±3.1814.55±2.2813.62±2.88

a P<0.01 vs. control group. RGC, retinal ganglion cell.

Cholesterol levels in RGCs are restored by resveratrol treatment

The levels of cholesterol in the RGCs of the model rats reduced significantly and in a time-dependent manner when compared with those of the control group at each time point (P<0.01). The cholesterol levels of the rats in the resveratrol group decreased marginally at each time point and in a time-dependent manner compared with the control group (P<0.05). The differences between the resveratrol group and the model group were statistically significant at each time point (P<0.01). Thus, cholesterol levels in the RGCs of rat models of optic nerve damage were restored by treatment with resveratrol (Table II).

Table II

Cholesterol levels in RGCs.

Table II

Cholesterol levels in RGCs.

GroupnCholesterol levels in RGCs (mg/10 g tissue protein)
7 days14 days21 days
Control10102.26±4.23108.35±7.33110.79±6.25
Resveratrol3087.54±8.63a72.15±6.38a64.38±5.14a
Model3054.21±4.67b,c43.59±3.96b,c32.65±3.12b,c

a P<0.01 vs. control group;

b P<0.01 control vs. model group;

c P<0.01 resveratrol vs. model group. RGCs, retinal ganglion cells.

SIRT1, SREBP-2 and HMGCR mRNA levels decrease in rat models of optic nerve injury

The expression levels of SIRT1, SREBP-2 and HMGCR mRNA (Figs. 2Figure 3–4, respectively) in the rat models of optic nerve injury reduced significantly, and in a time-dependent manner, at each time point when compared with the control group (P<0.01). The expression levels of SIRT1, SREBP-2 and HMGCR mRNA (Figs. 2Figure 3–4, respectively) in the resveratrol group decreased marginally, and in a time-dependent manner, at each time point when compared with the normal group (P<0.05). The differences between the resveratrol group and the model group were statistically significant at each time point (P<0.01). Therefore, treatment with resveratrol restored the expression levels of SIRT1, SREBP-2 and HMGCR mRNA (Figs. 2Figure 3–4, respectively) in rat models of optic nerve damage.

Figure 2

Expression level of SIRT1 mRNA in the optic nerve. The expression level of SIRT1 mRNA in the rat model of optic nerve injury reduced significantly and in a time-dependent manner at each time point when compared with the control group (P<0.01). The expression level of SIRT1 mRNA in the Res group decrease marginally, and in a time-dependent manner, at each time point when compared with the control group (P<0.05). The difference between the Res group and the model group at each time point was statistically significant (P<0.01). Thus, the expression level of SIRT1 mRNA may be restored by treatment with Res in rats with optic nerve damage. SIRT1, sirtuin 1; Res, resveratrol.

Figure 3

Expression level of SREBP-2 mRNA in the optic nerve. The expression level of SREBP-2 mRNA in the rat model of optic nerve injury reduced significantly and in a time-dependent manner at each time point when compared with the control group (P<0.01). The expression level of SREBP-2 mRNA in the Res group decrease marginally, and in a time-dependent manner, at each time point when compared with the control group (P<0.05). The difference between the Res group and the model group at each time point was statistically significant (P<0.01). Thus, the expression level of SREBP-2 mRNA may be restored by treatment with Res in rats with optic nerve damage. SREBP-2, sterol regulatory element-binding protein 2; Res, resveratrol.

Figure 4

Expression level of HMGCR mRNA in the optic nerve. The expression level of HMGCR mRNA in the rat model of optic nerve injury reduced significantly and in a time-dependent manner at each time point when compared with the control group (P<0.01). The expression level of HMGCR mRNA in the Res group decrease marginally, and in a time-dependent manner, at each time point when compared with the control group (P<0.05). The difference between the Res group and the model group at each time point was statistically significant (P<0.01). Thus, the expression level of HMGCR mRNA may be restored by treatment with Res in rats with optic nerve damage. HMGCR, 3-hydroxy-3-methylglutaryl-CoA reductase; Res, resveratrol.

Levels of SIRT1, SREBP-2 and HMGCR protein decrease in rat models of optic nerve injury

The expression levels of SIRT1, SREBP-2 and HMGCR proteins in the rat models of optic nerve injury reduced significantly, and in a time-dependent manner, at each time point when compared with the control group (P<0.01). The expression levels of SIRT1, SREBP-2 and HMGCR proteins in the resveratrol group decreased marginally at each time point and in a time-dependent manner compared with the normal group (P<0.05). The differences between the resveratrol group and the model group at each time point were statistically significant (P<0.01). The findings demonstrate that the expression level of SIRT1, SREBP-2 and HMGCR proteins in rat models of optic nerve damage were restored by treatment with resveratrol (Fig. 5).

Figure 5

Expression levels of the SIRT1, SREBP-2 and HMGCR proteins in the rat model of optic nerve injury. The expression levels of the SIRT1, SREBP-2 and HMGCR proteins in the rat model group reduced significantly and in a time-dependent manner at each time point when compared with the control group (P<0.01). The expression levels of the SIRT1, SREBP-2 and HMGCR proteins in the Res group decreased marginally and in a time-dependent manner at each time point when compared with the control group (P<0.05). The difference between the Res group and the model group at each time point was statistically significant (P<0.01). Thus, the expression level of the SIRT1, SREBP-2 and HMGCR proteins may be restored by treatment with Res in rats with optic nerve damage. SIRT1, sirtuin 1; SREBP-2, sterol regulatory element-binding protein 2; HMGCR, 3-hydroxy-3-methyl-glutaryl-CoA reductase; Res, resveratrol.

Discussion

The retina and optic nerve form part of the CNS. Since CNS damage is irreversible, injuries to the optic nerve, such as those caused by trauma, inflammation and ocular hypertension, lead to RGC loss, which results in permanent loss of vision or blindness. Currently, and to the best of our knowledge, no therapeutic agent has been developed for the effective treatment of optic nerve injury. Therefore, a neuroprotective remedy that delays or prevents RGC loss following optic nerve injury is required (21).

Lipidomics, a subgroup within the field of metabolomics, presents two areas of interest. Architecture/membrane lipidomics describes the comprehensive and quantitative nature of membrane lipid constituents, while mediator lipidomics includes the structural characterization and quantification of bioactive lipid species (8). The lipid composition of the membranes of numerous tissues and cell types has been well established (13), however, little is known regarding the distribution of lipids within these membranes. One specific class of lipid molecules, the docosanoids, appears to be significant in retinal structure and function, as well as being involved in the orchestration of homeostasis, anti-inflammation, inflammatory resolution, and cell survival bioactivity (22,23). Previous studies have described the following observations: (i) Docosahexaenoic acid (DHA) from the liver is targeted to the brain and retina, where it is actively retained and protected from peroxidation (23–25). When lipid peroxidation is triggered in animal models of retinal degeneration, alterations in photoreceptor function, damage and cell death are observed. (ii) The blood concentration of DHA is decreased in various forms of retinitis pigmentosa and in Usher syndrome, indicating that decreased DHA supply may cause photoreceptor impairment (22,26) and when animal models overexpress rhodopsin mutations that are homologous to human retinitis pigmentosa, the photoreceptors contain a reduced quantity of DHA (27). However, while these observations may suggest that reduced retinal DHA is associated with photoreceptor dysfunction, a reduction in DHA may, instead, be an adaptive response to metabolic stress caused by the mutation (27,28). Furthermore, the association between circulating DHA, retinal DHA and pathology has not been conclusively demonstrated, and human data has been obtained that does not reveal a positive association between circulating and retinal DHA (29,30) or between circulating DHA and age-related macular degeneration (31). Therefore, it is important to note that the association between decreased DHA availability, disease initiation and progression of retinal degeneration remains unclear. (iii) Finally, in constant light-mediated retinal degeneration, photoreceptor DHA levels are reduced, and rats reared in bright cyclic light were shown to be protected from DHA loss and degeneration, which indicates a mechanism of adaptation and/or a plasticity response (31). DHA, in conjunction with pigment epithelial-derived factor, triggers early synthesis of neuroprotectin D1, which is neuroprotective, and promotes regeneration of corneal nerves and restores corneal sensitivity.

In the present study, the neuroprotective effect of the agonist for SIRT1 was examined, in addition, the efficacy of resveratrol treatment on RGCs was analyzed and the role of cholesterol synthesis was investigated following ONC injury in rats. In the control group, the ganglion cell layers of the retinas, including inner and outer nuclear layers, were dense and arranged in parallel. After optic nerve injury, they exhibited a scattered distribution; the nuclei changed, the inner and outer nuclear layer were thinner and a disordered arrangement of cells was observed. Of note, there was significant improvement in rats treated with resveratrol, with the degree of damage being markedly attenuated by resveratrol in a concentration-dependent manner. The retinas were damaged in model rats with optic nerve injury, while the degree of damage in rats treated with resveratrol was relatively low. The number of surviving RGCs and the content of cholesterol in RGCs of model rats was restored by resveratrol. Resveratrol treatment also restored the mRNA and protein expression levels of SIRT1, SREBP2 and HMGCR.

In conclusion, treatment with resveratrol represents a novel approach for regenerating the optic nerve, as well as a potential treatment for prevention of severe injury following surgery or disease of the ocular surface. Notably, mediator lipidomic characterization of signaling mechanisms, triggered by stress and cellular damage that upregulate neuroprotective events leading to nerve regeneration, may provide unique pharmacological targets for numerous neuronal and ocular degenerative diseases.

Acknowledgments

The present study was supported the National Natural Science Foundation of China (grant no. 30600524).

References

1 

Pernet V and Schwab ME: Lost in the jungle: New hurdles for optic nerve axon regeneration. Trends Neurosci. 37:381–387. 2014. View Article : Google Scholar : PubMed/NCBI

2 

Pernet V, Hauswirth WW and Di Polo A: Extracellular signal-regulated kinase 1/2 mediates survival, but not axon regeneration, of adult injured central nervous system neurons in vivo. J Neurochem. 93:72–83. 2005. View Article : Google Scholar : PubMed/NCBI

3 

Goldberg JL, Klassen MP, Hua Y and Barres BA: Amacrine-signaled loss of intrinsic axon growth ability by retinal ganglion cells. Science. 296:1860–1864. 2002. View Article : Google Scholar : PubMed/NCBI

4 

Moore DL, Blackmore MG, Hu Y, Kaestner KH, Bixby JL, Lemmon VP and Goldberg JL: KLF family members regulate intrinsic axon regeneration ability. Science. 326:298–301. 2009. View Article : Google Scholar : PubMed/NCBI

5 

Schwab ME: Functions of Nogo proteins and their receptors in the nervous system. Nat Rev Neurosci. 11:799–811. 2010. View Article : Google Scholar : PubMed/NCBI

6 

Yiu G and He Z: Glial inhibition of CNS axon regeneration. Nat Rev Neurosci. 7:617–627. 2006. View Article : Google Scholar : PubMed/NCBI

7 

Guarente L and Franklin H: Epstein lecture: Sirtuins, aging and medicine. N Engl J Med. 364:2235–2244. 2011. View Article : Google Scholar : PubMed/NCBI

8 

Canto C, Gerhart-Hines Z, Feige JN, Lagouge M, Noriega L, Milne JC, Elliott PJ, Puigserver P and Auwerx J: AMPK regulates energy expenditure by modulating NAD+ metabolism and SIRT1 activity. Nature. 458:1056–1060. 2009. View Article : Google Scholar : PubMed/NCBI

9 

Brunet A, Sweeney LB, Sturgill JF, Chua KF, Greer PL, Lin Y, Tran H, Ross SE, Mostoslavsky R, Cohen HY, et al: Stressdependent regulation of FOXO transcription factors by the SIRT1 deacetylase. Science. 303:2011–2015. 2004. View Article : Google Scholar : PubMed/NCBI

10 

Rodgers JT, Lerin C, Haas W, Gygi SP, Spiegelman BM and Puigserver P: Nutrient control of glucose homeostasis through a complex of PGC-1alpha and SIRT1. Nature. 434:113–118. 2005. View Article : Google Scholar : PubMed/NCBI

11 

Dioum EM, Chen R, Alexander MS, Zhang Q, Hogg RT, Gerard RD and Garcia JA: Regulation of hypoxia-inducible factor 2alpha signaling by the stress-responsive deacetylase sirtuin 1. Science. 324:1289–1293. 2009. View Article : Google Scholar : PubMed/NCBI

12 

Michan S: Acetylome regulation by sirtuins in the brain: From normal physiology to aging and pathology. Curr Pharm Des. 19:6823–6838. 2013. View Article : Google Scholar : PubMed/NCBI

13 

Michan S, Li Y, Chou MM, Parrella E, Ge H, Long JM, Allard JS, Lewis K, Miller M, Xu W, et al: SIRT1 is essential for normal cognitive function and synaptic plasticity. J Neurosci. 30:9695–9707. 2010. View Article : Google Scholar : PubMed/NCBI

14 

Donmez G, Wang D, Cohen DE and Guarente L: SIRT1 suppresses beta-amyloid production by activating the alpha-secretase gene ADAM10. Cell. 142:320–332. 2010. View Article : Google Scholar : PubMed/NCBI

15 

Jiang M, Wang J, Fu J, Du L, Jeong H, West T, Xiang L, Peng Q, Hou Z, Cai H, et al: Neuroprotective role of Sirt1 in mammalian models of Huntington's disease through activation of multiple Sirt1 targets. Nat Med. 18:153–158. 2011. View Article : Google Scholar : PubMed/NCBI

16 

Donmez G, Arun A, Chung CY, McLean PJ, Lindquist S and Guarente L: SIRT1 protects against α-synuclein aggregation by activating molecular chaperones. J Neurosci. 32:124–132. 2012. View Article : Google Scholar : PubMed/NCBI

17 

Guarani V, Deflorian G, Franco CA, Krüger M, Phng LK, Bentley K, Toussaint L, Dequiedt F, Mostoslavsky R, Schmidt MH, et al: Acetylation-dependent regulation of endothelial Notch signalling by the SIRT1 deacetylase. Nature. 473:234–238. 2011. View Article : Google Scholar : PubMed/NCBI

18 

Potente M, Ghaeni L, Baldessari D, Mostoslavsky R, Rossig L, Dequiedt F, Haendeler J, Mione M, Dejana E, Alt FW, et al: SIRT1 controls endothelial angiogenic functions during vascular growth. Genes Dev. 21:2644–2658. 2007. View Article : Google Scholar : PubMed/NCBI

19 

Chen J, Michan S, Juan AM, Hurst CG, Hatton CJ, Pei DT, Joyal JS, Evans LP, Cui Z, Stahl A, et al: Neuronal sirtuin1 mediates retinal vascular regeneration in oxygen-induced ischemic retinopathy. Angiogenesis. 16:985–992. 2013. View Article : Google Scholar : PubMed/NCBI

20 

Michan S, Juan AM, Hurst CG, Cui Z, Evans LP, Hatton CJ, Pei DT, Ju M, Sinclair DA, Smith LE and Chen J: Sirtuin1 over-expression does not impact retinal vascular and neuronal degeneration in a mouse model of oxygen-induced retinopathy. PLoS One. 9:e850312014. View Article : Google Scholar : PubMed/NCBI

21 

Jiao X, Peng Y and Yang L: Minocycline protects retinal ganglion cells after optic nerve crush injury in mice by delaying autophagy and upregulating nuclear factor-κB2. Chin Med J (Engl). 127:1749–1754. 2014.

22 

Bazan NG: Homeostatic regulation of photoreceptor cell integrity: Significance of the potent mediator neuroprotectin D1 biosynthesized from docosahexaenoic acid: The proctor lecture. Invest Ophthalmol Vis Sci. 48:4866–4881. 2007. View Article : Google Scholar : PubMed/NCBI

23 

Bazan NG, Birkle DL and Reddy TS: Biochemical and nutritional aspects of the metabolism of polyunsaturated fatty acids and phospholipids in experimental models of retinal degeneration. Retinal Degeneration: Experimental and Clinical Studies. LaVail MM, Hollyfield JG and Anderson RE: 2. A.R. Liss; New York, NY: pp. 159–187. 1985

24 

Scott BL and Bazan NG: Membrane docosahexaenoate is supplied to the developing brain and retina by the liver. Proc Natl Acad Sci USA. 86:2903–2907. 1989. View Article : Google Scholar : PubMed/NCBI

25 

Gordon WC, Rodriguez de Turco EB and Bazan NG: Retinal pigment epithelial cells play a central role in the conservation of docosahexaenoic acid by photoreceptor cells after shedding and phagocytosis. Curr Eye Res. 11:73–83. 1992. View Article : Google Scholar : PubMed/NCBI

26 

Hoffman DR, Boettcher JA and Diersen-Schade DA: Toward optimizing vision and cognition in term infants by dietary docosahexaenoic and arachidonic acid supplementation: A review of randomized controlled trials. Prostaglandins Leukot Essent Fatty Acids. 81:151–158. 2009. View Article : Google Scholar : PubMed/NCBI

27 

Anderson RE, Maude MB and Bok D: Low docosahexaenoic acid levels in rod outer segment membranes of mice with rds/peripherin and P216L peripherin mutations. Invest Ophthalmol Vis Sci. 42:1715–1720. 2001.PubMed/NCBI

28 

Gordon WC and Bazan NG: Mediator lipidomics in ophthalmology: Targets for modulation in inflammation, neuro-protection and nerve regeneration. Curr Eye Res. 38:995–1005. 2013. View Article : Google Scholar : PubMed/NCBI

29 

Bretillon L, Thuret G, Grégoire S, Acar N, Joffre C, Bron AM, Gain P and Creuzot-Garcher CP: Lipid and fatty acid profile of the retina, retinal pigment epithelium/choroid and the lacrimal gland and associations with adipose tissue fatty acids in human subjects. Exp Eye Res. 87:521–528. 2008. View Article : Google Scholar : PubMed/NCBI

30 

Acar N, Berdeaux O, Grégoire S, Cabaret S, Martine L, Gain P, Thuret G, Creuzot-Garcher CP, Bron AM and Bretillon L: Lipid composition of the human eye: Are red blood cells a good mirror of retinal and optic nerve fatty acids? PLoS One. 7:e351022012. View Article : Google Scholar : PubMed/NCBI

31 

Kabasawa S, Mori K, Horie-Inoue K, Gehlbach PL, Inoue S, Awata T, Katayama S and Yoneya S: Associations of cigarette smoking but not serum fatty acids with age-related macular degeneration in a Japanese population. Ophthalmology. 118:1082–1088. 2011. View Article : Google Scholar : PubMed/NCBI

Related Articles

  • Abstract
  • View
  • Download
  • Twitter
Copy and paste a formatted citation
Spandidos Publications style
Zhang Y, Li H, Cao Y, Zhang M and Wei S: Sirtuin 1 regulates lipid metabolism associated with optic nerve regeneration. Mol Med Rep 12: 6962-6968, 2015.
APA
Zhang, Y., Li, H., Cao, Y., Zhang, M., & Wei, S. (2015). Sirtuin 1 regulates lipid metabolism associated with optic nerve regeneration. Molecular Medicine Reports, 12, 6962-6968. https://doi.org/10.3892/mmr.2015.4286
MLA
Zhang, Y., Li, H., Cao, Y., Zhang, M., Wei, S."Sirtuin 1 regulates lipid metabolism associated with optic nerve regeneration". Molecular Medicine Reports 12.5 (2015): 6962-6968.
Chicago
Zhang, Y., Li, H., Cao, Y., Zhang, M., Wei, S."Sirtuin 1 regulates lipid metabolism associated with optic nerve regeneration". Molecular Medicine Reports 12, no. 5 (2015): 6962-6968. https://doi.org/10.3892/mmr.2015.4286
Copy and paste a formatted citation
x
Spandidos Publications style
Zhang Y, Li H, Cao Y, Zhang M and Wei S: Sirtuin 1 regulates lipid metabolism associated with optic nerve regeneration. Mol Med Rep 12: 6962-6968, 2015.
APA
Zhang, Y., Li, H., Cao, Y., Zhang, M., & Wei, S. (2015). Sirtuin 1 regulates lipid metabolism associated with optic nerve regeneration. Molecular Medicine Reports, 12, 6962-6968. https://doi.org/10.3892/mmr.2015.4286
MLA
Zhang, Y., Li, H., Cao, Y., Zhang, M., Wei, S."Sirtuin 1 regulates lipid metabolism associated with optic nerve regeneration". Molecular Medicine Reports 12.5 (2015): 6962-6968.
Chicago
Zhang, Y., Li, H., Cao, Y., Zhang, M., Wei, S."Sirtuin 1 regulates lipid metabolism associated with optic nerve regeneration". Molecular Medicine Reports 12, no. 5 (2015): 6962-6968. https://doi.org/10.3892/mmr.2015.4286
Follow us
  • Twitter
  • LinkedIn
  • Facebook
About
  • Spandidos Publications
  • Careers
  • Cookie Policy
  • Privacy Policy
How can we help?
  • Help
  • Live Chat
  • Contact
  • Email to our Support Team