Spandidos Publications Logo
  • About
    • About Spandidos
    • Aims and Scopes
    • Abstracting and Indexing
    • Editorial Policies
    • Reprints and Permissions
    • Job Opportunities
    • Terms and Conditions
    • Contact
  • Journals
    • All Journals
    • Oncology Letters
      • Oncology Letters
      • Information for Authors
      • Editorial Policies
      • Editorial Board
      • Aims and Scope
      • Abstracting and Indexing
      • Bibliographic Information
      • Archive
    • International Journal of Oncology
      • International Journal of Oncology
      • Information for Authors
      • Editorial Policies
      • Editorial Board
      • Aims and Scope
      • Abstracting and Indexing
      • Bibliographic Information
      • Archive
    • Molecular and Clinical Oncology
      • Molecular and Clinical Oncology
      • Information for Authors
      • Editorial Policies
      • Editorial Board
      • Aims and Scope
      • Abstracting and Indexing
      • Bibliographic Information
      • Archive
    • Experimental and Therapeutic Medicine
      • Experimental and Therapeutic Medicine
      • Information for Authors
      • Editorial Policies
      • Editorial Board
      • Aims and Scope
      • Abstracting and Indexing
      • Bibliographic Information
      • Archive
    • International Journal of Molecular Medicine
      • International Journal of Molecular Medicine
      • Information for Authors
      • Editorial Policies
      • Editorial Board
      • Aims and Scope
      • Abstracting and Indexing
      • Bibliographic Information
      • Archive
    • Biomedical Reports
      • Biomedical Reports
      • Information for Authors
      • Editorial Policies
      • Editorial Board
      • Aims and Scope
      • Abstracting and Indexing
      • Bibliographic Information
      • Archive
    • Oncology Reports
      • Oncology Reports
      • Information for Authors
      • Editorial Policies
      • Editorial Board
      • Aims and Scope
      • Abstracting and Indexing
      • Bibliographic Information
      • Archive
    • Molecular Medicine Reports
      • Molecular Medicine Reports
      • Information for Authors
      • Editorial Policies
      • Editorial Board
      • Aims and Scope
      • Abstracting and Indexing
      • Bibliographic Information
      • Archive
    • World Academy of Sciences Journal
      • World Academy of Sciences Journal
      • Information for Authors
      • Editorial Policies
      • Editorial Board
      • Aims and Scope
      • Abstracting and Indexing
      • Bibliographic Information
      • Archive
    • International Journal of Functional Nutrition
      • International Journal of Functional Nutrition
      • Information for Authors
      • Editorial Policies
      • Editorial Board
      • Aims and Scope
      • Abstracting and Indexing
      • Bibliographic Information
      • Archive
    • International Journal of Epigenetics
      • International Journal of Epigenetics
      • Information for Authors
      • Editorial Policies
      • Editorial Board
      • Aims and Scope
      • Abstracting and Indexing
      • Bibliographic Information
      • Archive
    • Medicine International
      • Medicine International
      • Information for Authors
      • Editorial Policies
      • Editorial Board
      • Aims and Scope
      • Abstracting and Indexing
      • Bibliographic Information
      • Archive
  • Articles
  • Information
    • Information for Authors
    • Information for Reviewers
    • Information for Librarians
    • Information for Advertisers
    • Conferences
  • Language Editing
Spandidos Publications Logo
  • About
    • About Spandidos
    • Aims and Scopes
    • Abstracting and Indexing
    • Editorial Policies
    • Reprints and Permissions
    • Job Opportunities
    • Terms and Conditions
    • Contact
  • Journals
    • All Journals
    • Biomedical Reports
      • Information for Authors
      • Editorial Policies
      • Editorial Board
      • Aims and Scope
      • Abstracting and Indexing
      • Bibliographic Information
      • Archive
    • Experimental and Therapeutic Medicine
      • Information for Authors
      • Editorial Policies
      • Editorial Board
      • Aims and Scope
      • Abstracting and Indexing
      • Bibliographic Information
      • Archive
    • International Journal of Epigenetics
      • Information for Authors
      • Editorial Policies
      • Editorial Board
      • Aims and Scope
      • Abstracting and Indexing
      • Bibliographic Information
      • Archive
    • International Journal of Functional Nutrition
      • Information for Authors
      • Editorial Policies
      • Editorial Board
      • Aims and Scope
      • Abstracting and Indexing
      • Bibliographic Information
      • Archive
    • International Journal of Molecular Medicine
      • Information for Authors
      • Editorial Policies
      • Editorial Board
      • Aims and Scope
      • Abstracting and Indexing
      • Bibliographic Information
      • Archive
    • International Journal of Oncology
      • Information for Authors
      • Editorial Policies
      • Editorial Board
      • Aims and Scope
      • Abstracting and Indexing
      • Bibliographic Information
      • Archive
    • Medicine International
      • Information for Authors
      • Editorial Policies
      • Editorial Board
      • Aims and Scope
      • Abstracting and Indexing
      • Bibliographic Information
      • Archive
    • Molecular and Clinical Oncology
      • Information for Authors
      • Editorial Policies
      • Editorial Board
      • Aims and Scope
      • Abstracting and Indexing
      • Bibliographic Information
      • Archive
    • Molecular Medicine Reports
      • Information for Authors
      • Editorial Policies
      • Editorial Board
      • Aims and Scope
      • Abstracting and Indexing
      • Bibliographic Information
      • Archive
    • Oncology Letters
      • Information for Authors
      • Editorial Policies
      • Editorial Board
      • Aims and Scope
      • Abstracting and Indexing
      • Bibliographic Information
      • Archive
    • Oncology Reports
      • Information for Authors
      • Editorial Policies
      • Editorial Board
      • Aims and Scope
      • Abstracting and Indexing
      • Bibliographic Information
      • Archive
    • World Academy of Sciences Journal
      • Information for Authors
      • Editorial Policies
      • Editorial Board
      • Aims and Scope
      • Abstracting and Indexing
      • Bibliographic Information
      • Archive
  • Articles
  • Information
    • For Authors
    • For Reviewers
    • For Librarians
    • For Advertisers
    • Conferences
  • Language Editing
Login Register Submit
  • This site uses cookies
  • You can change your cookie settings at any time by following the instructions in our Cookie Policy. To find out more, you may read our Privacy Policy.

    I agree
Search articles by DOI, keyword, author or affiliation
Search
Advanced Search
presentation
Molecular Medicine Reports
Join Editorial Board Propose a Special Issue
Print ISSN: 1791-2997 Online ISSN: 1791-3004
Journal Cover
February-2016 Volume 13 Issue 2

Full Size Image

Sign up for eToc alerts
Recommend to Library

Journals

International Journal of Molecular Medicine

International Journal of Molecular Medicine

International Journal of Molecular Medicine is an international journal devoted to molecular mechanisms of human disease.

International Journal of Oncology

International Journal of Oncology

International Journal of Oncology is an international journal devoted to oncology research and cancer treatment.

Molecular Medicine Reports

Molecular Medicine Reports

Covers molecular medicine topics such as pharmacology, pathology, genetics, neuroscience, infectious diseases, molecular cardiology, and molecular surgery.

Oncology Reports

Oncology Reports

Oncology Reports is an international journal devoted to fundamental and applied research in Oncology.

Experimental and Therapeutic Medicine

Experimental and Therapeutic Medicine

Experimental and Therapeutic Medicine is an international journal devoted to laboratory and clinical medicine.

Oncology Letters

Oncology Letters

Oncology Letters is an international journal devoted to Experimental and Clinical Oncology.

Biomedical Reports

Biomedical Reports

Explores a wide range of biological and medical fields, including pharmacology, genetics, microbiology, neuroscience, and molecular cardiology.

Molecular and Clinical Oncology

Molecular and Clinical Oncology

International journal addressing all aspects of oncology research, from tumorigenesis and oncogenes to chemotherapy and metastasis.

World Academy of Sciences Journal

World Academy of Sciences Journal

Multidisciplinary open-access journal spanning biochemistry, genetics, neuroscience, environmental health, and synthetic biology.

International Journal of Functional Nutrition

International Journal of Functional Nutrition

Open-access journal combining biochemistry, pharmacology, immunology, and genetics to advance health through functional nutrition.

International Journal of Epigenetics

International Journal of Epigenetics

Publishes open-access research on using epigenetics to advance understanding and treatment of human disease.

Medicine International

Medicine International

An International Open Access Journal Devoted to General Medicine.

Journal Cover
February-2016 Volume 13 Issue 2

Full Size Image

Sign up for eToc alerts
Recommend to Library

  • Article
  • Citations
    • Cite This Article
    • Download Citation
    • Create Citation Alert
    • Remove Citation Alert
    • Cited By
  • Similar Articles
    • Related Articles (in Spandidos Publications)
    • Similar Articles (Google Scholar)
    • Similar Articles (PubMed)
  • Download PDF
  • Download XML
  • View XML
Article

Anti-inflammatory activity of Kochia scoparia fruit on contact dermatitis in mice

  • Authors:
    • Suzy Jo
    • Junghyun Ryu
    • Hye‑Yeon Han
    • Geumsan Lee
    • Mi Heon Ryu
    • Hyungwoo Kim
  • View Affiliations / Copyright

    Affiliations: Department of Pharmacology, School of Korean Medicine, Pusan National University, Yangsan, Gyeongsangnam‑do 626‑870, Republic of Korea, Department of Oral Pathology, School of Dentistry, Pusan National University, Yangsan, Gyeongsangnam‑do 626‑870, Republic of Korea, Department of Herbology, College of Korean Medicine, Wonkwang University, Iksan, Jeollabuk‑do 565-806, Republic of Korea
  • Pages: 1695-1700
    |
    Published online on: December 21, 2015
       https://doi.org/10.3892/mmr.2015.4698
  • Expand metrics +
Metrics: Total Views: 0 (Spandidos Publications: | PMC Statistics: )
Metrics: Total PDF Downloads: 0 (Spandidos Publications: | PMC Statistics: )
Cited By (CrossRef): 0 citations Loading Articles...

This article is mentioned in:



Abstract

The mature fruit of Kochia scoparia (L.) Schrad. is widely administered in China and Korea as a medicinal herb for treatment of skin diseases, diabetes mellitus and rheumatoid arthritis. The present study investigated the effects of methanol extracts of K. scoparia dried fruit (MEKS) on ear swelling, histopathological changes (such as epidermal acanthosis, spongiosis and immune cell infiltration) and cytokine production in 1‑fluoro‑2,4‑dinitrofluorobenzene (DNFB)‑induced contact dermatitis mice. Topical application of MEKS inhibited DNFB‑induced ear thickness and weight increases, as well as DNFB‑induced epidermal acanthosis, spongiosis and immune cell infiltration. In addition, treatment with MEKS significantly decreased the levels of tumor necrosis factor‑α, interferon‑γ and monocyte chemotactic protein‑1 in inflamed tissues. These data indicate that the mature fruit of K. scoparia has the potential to be administered for the treatment of inflammatory skin diseases and that the anti‑inflammatory action of K. scoparia is involved in the inhibition of type 1 T helper cell skewing reactions.

Introduction

Contact dermatitis (CD), the predominant inflammatory skin disease worldwide, is a type of eczematous eruption that occurs following contact with foreign substances (1,2). The histopathological features of CD include epithelial hyperkeratosis, acanthosis and spongiosis that present with perivascular inflammatory cell infiltration, primarily consisting of T cells in the epidermis and upper dermis (3).

Following exposure to a skin irritant, various cells, including activated keratinocytes, dendritic cells, dermal fibroblasts, and endothelial cells, release proinflammatory and inflammatory cytokines/chemokines (4). The cytokines/chemokines induce the dilatation of blood vessels and inflammatory cell infiltration, resulting in epidermal acanthosis and spongiosis, however, the precise mechanism remains to be elucidated (4). Tumor necrosis factor (TNF)-α, interferon (IFN)-γ and monocyte chemotactic protein (MCP)-1 are key primary cytokines in the activation cascade and pathogenesis of CD (4,5).

The fruit of Kochia scoparia (L.) Schrad., which is also designated Bassia scoparia, Bassia sieversiana or Kochia alata, is administered to treat skin diseases, diabetes mellitus and rheumatoid arthritis in Chinese and Korean traditional medicine (6,7). Furthermore, it is frequently administered to treat urticaria in Taiwan (8). Previous studies have indicated that K. scoparia and its components exert anti-inflammatory (9) and anti-allergic (10,11) activities. Choi et al (12) recently reported that the water extract of K. scoparia inhibits the development of CD in mice.

The aim of the current study was to evaluate the anti-inflammatory effects of methanol extracts of K. scoparia dried fruit (MEKS) on 1-fluoro-2,4-dinitrobenzene (DNFB)-induced CD. For this reason, the effects of MEKS on ear thickness and weight, the histopathological changes in ear tissue samples, and the cytokine and chemokine levels of inflamed tissues were assessed in vivo.

Materials and methods

Preparation of MEKS

The mature fruit of K. scoparia was purchased from Hwalim Medicinal Herbs (Pusan, Korea). A total of 100 g K. scoparia dried fruit was immersed in 1,000 ml methanol and sonicated for 30 min, following which the samples were extracted for 48 h. The extract was subsequently filtered through Whatman filter paper No. 20 (Advantech, Milpitas, CA, USA) and evaporated under reduced pressure using a vacuum evaporator (N-1000V-W; Eyela Co., Ltd., Tokyo, Japan), following which the condensed extract was lyophilized using a freeze dryer (Labconco Corporation, Kansas City, MO, USA) and 4.46 g lyophilized powder was obtained (yield, 4.46%). An aliquot of the extract (MEKS) was deposited at the Department of Pharmacology, School of Korean Medicine, Pusan National University (Yangsan, South Korea; voucher no. MH2013-006).

Animals

A total of 44 male 6-week-old BALB/c mice were purchased from Samtaco (Incheon, Korea). The mice were housed under specific pathogen-free conditions with a 12-h light/dark cycle and free access to standard rodent food and water. All animal experiments were approved by the Animal Care and Use Committee of Pusan National University and performed according to institutional guidelines (PNU-2011-000406).

Induction of CD and experimental design

Mice were sensitized by applying 50 µl DNFB (0.1%, v/v; Sigma-Aldrich, St. Louis, MO, USA), in a vehicle of acetone:olive oil (AOO; 4:1), onto the shaved back of each mouse for three consecutive days. Four days following sensitization, each mouse was challenged by applying 30 µl DNFB (0.2%, v/v) in AOO onto the dorsal surface of each ear every two days (four applications in total). MEKS solution (30, 100 or 300 µg/ear) was applied onto the dorsal surface of each ear for seven consecutive days. Healthy mice (n=6) were treated with the vehicle, AOO and only AOO was topically applied (non-treated normal mice; NOR). Control mice (n=8) were sensitized and challenged with DNFB, following which AOO was topically applied (non-treated CD mice; CTL). MEKS-treated mice (n=8) were sensitized and challenged with DNFB, and 30, 100 or 300 µg/ear (1%, w/v) of MEKS was topically applied. Dexamethasone (DEX; Sigma-Aldrich)-treated mice (n=6) were sensitized and challenged with DNFB, exposed to 75 µg/ear DEX and served as a positive control. The experimental design is summarized in Fig. 1.

Figure 1

Experimental design. On days 1, 2 and 3 DNFB was applied to the shaved backs of mice in the treatment groups for sensitization. DNFB was then applied to the dorsal surface of each ear on days 7, 9, 11 and 13. MEKS and dexamethasone were topically applied for 7 consecutive days. All animals were sacrificed on day 15. DNFB, 1-fluoro-2,4-dinitrofluorobenzene; MEKS, methanol extracts of Kochia scoparia dried fruit; S, sacrifice.

Measurement of ear thicknesses and weights

Mice were anesthetized with 30 mg/kg Zoletil® (Virbac, Carros, France) and sacrificed by cervical dislocation, following which the thickness of each ear was measured using vernier calipers (Mitutoyo, Kanagawa, Japan). The pieces of ear (5 mm in diameter) obtained via dermal punch were weighed using a microbalance (US/EL-2000S; Sartorius AG, Göttingen, Germany).

Histopathological examination

Following assessment of ear thicknesses and weights, ear tissues (4 µm) were resected, formalin-fixed (Sigma-Aldrich) and embedded in paraffin (Leica Microsystems GmbH, Wetzlar, Germany). Sections were cut and stained with hematoxylin and eosin (Sigma-Aldrich) to observe histopathological changes, such as epidermal acanthosis, spongiosis and immune cell infiltration. Stained tissue sections were observed using a light microscope (magnification, x200; DE/Axio Imager A1; Carl Zeiss AG, Oberkochen, Germany).

Evaluation of epidermal acanthosis and immune cell infiltration

To evaluate the epidermal acanthosis and immune cell infiltration, five non-overlapping fields per slide were randomly selected and images were captured with the light microscope. To measure the thickness of the epithelium, the vertical length between the basal lamina and top of the outermost stratum granulosum was quantified. For each slide, five lengths were measured at random using Motic Images Plus 2.0 (Motic Instruments, Richmond, BC, Canada), following which the mean epithelial thicknesses of all experimental groups were used for analysis. To evaluate immune cell infiltration, the immune cells were counted using a cell counting grid.

Measurement of cytokine production

Cytokine levels in the ear tissue samples were measured according to the cytometric bead array (CBA) method with the Mouse Inflammation CBA kit (BD Biosciences, San Jose, CA, USA). Resected ear tissue samples were lysed and homogenized with protein extraction solution (Pro-Prep; Intron Biotechnology, Seoul, Korea) using a bullet blender (BB2516; Next Advance, Averill Park, NY, USA) to obtain tissue lysates. The levels of TNF-α, IFN-γ, interleukin (IL)-10 and MCP-1 were measured in 50 µg each lysate using the CBA kit. All experimental procedures were conducted according to the manufacturer's protocols.

Measurement of body and spleen weights

Body and spleen weights were measured on day 15 using the microbalance. The effects of MEKS on changes in spleen weights were analyzed as the spleen/body weight ratio.

Statistical analysis

A Mann-Whitney U test was used for all statistical comparisons, and Prism 5 for Windows version 5.01 (GraphPad Software Inc., La Jolla, CA, USA) was used for all analyses. All data are presented as the mean ± standard deviation and P<0.05 was considered to indicate a statistically significant difference.

Results

MEKS decreased the DNFB-induced changes in ear thickness and weight

Topical application of DNFB induced ear swelling, which is a major feature of CD. These increases in the thickness and weight of ear tissues were inhibited in a dose-dependent manner by topical application of MEKS (ear thickness: P<0.001, MEKS treatment on left ear; P<0.01, MEKS treatment on right ear; P<0.001, DEX treatment on both ears. Ear weight: P<0.05, 100 or 300 µg/ear MEKS treatment; P<0.001, 75 µg/ear DEX treatment) as presented in Fig. 2.

Figure 2

Effect of MEKS on ear thickness and weight in CD mice. Reduction of ear (A) thickness and (B) weight, in response to topical application of MEKS, was analyzed using vernier calipers and a microbalance on day 15. Values are presented as means ± standard deviation. ###P<0.001 vs. NOR; *P<0.05, **P<0.01 and ***P<0.001 vs. CTL. CD, contact dermatitis; NOR, non-treated normal mice; CTL, non-treated CD mice; DEX, dexamethasone; MEKS, methanol extracts of Kochia scoparia dried fruit.

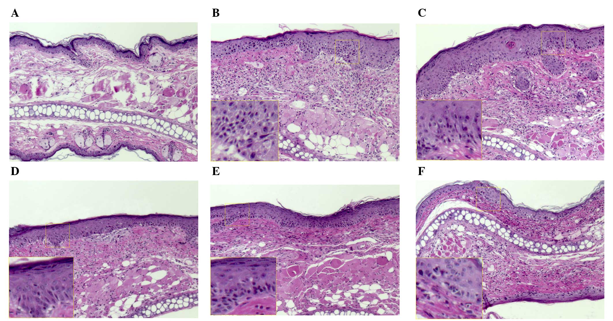
MEKS inhibited epidermal spongiosis in the inflamed tissue

Histological examination in the tissue sections of the NOR group demonstrated normal epidermal thickness and a smaller degree of immune cell infiltration into the dermis (Fig. 3A). Repeated application of DNFB induced small and large subcorneal and intraepidermal vesicles, diffused spongiotic changes and intercellular edema, which are characteristics of CD (Fig. 3B). Topical application of MEKS inhibited epidermal spongiosis in the inflamed tissue (Fig. 3C–E).

Figure 3

Effect of MEKS on histopathological changes in CD mice. Ear tissues were stained with hematoxylin and eosin and observed using a light microscope. (A) NOR group, (B) CTL group, (C) 30 µg/ear MEKS-treated group, (D) 100 µg/ear MEKS-treated group, (E) 300 µg/ear MEKS-treated group and (F) 75 µg/ear dexamethasone-treated group. The insets represent spongiotic areas. Magnification, x200. MEKS, methanol extracts of Kochia scoparia dried fruit; CD, contact dermatitis; NOR, non-treated normal mice; CTL, non-treated CD mice.

MEKS inhibited epidermal acanthosis and immune cell infiltration

Repeated application of DNFB induced acanthosis, hyperkeratosis and focal crust formation in the epidermis. In addition, DNFB induced diffuse acute and chronic immune cell infiltration, blood vessel dilation and perivascular eosinophil infiltration into the dermis. Topical application of MEKS effectively relieved epidermal acanthosis and immune cell infiltration in a dose-dependent manner (epithelial thickness: P<0.05, 100 µg/ear MEKS treatment; P<0.01, 300 µg/ear MEKS treatment; P<0.001, 75 µg/ear DEX treatment. Immune cell infiltration: P<0.001, 100 or 300 µg/ear MEKS treatment or 75 µg/ear DEX treatment) as presented in Fig. 4.

Figure 4

Effects of MEKS on epidermal acanthosis and immune cell infiltration in inflamed tissue. (A) The epithelial thickness and (B) number of infiltrated immune cells were observed under a light microscope. All values are presented as means ± standard deviation. ###P<0.001 vs. NOR; *P<0.05, **P<0.01 and ***P<0.001 vs. CTL. MEKS, methanol extracts of Kochia scoparia dried fruit; DEX, dexamethasone; NOR, non-treated normal mice; CTL, non-treated contact dermatitis mice.

MEKS reduced expression levels of TNF-α, IFN-γ and MCP-1 in ear tissue samples of CD mice

Marked increases in TNF-α, IFN-γ and MCP-1 production were observed in the CTL group. These increases were effectively reduced in a dose-dependent manner by topical application of MEKS (TNF-α and IFN-γ: P<0.05, 100 µg/ear MEKS treatment; P<0.01, 300 µg/ear MEKS treatment; P<0.001, 75 µg/ear DEX treatment. MCP-1: P<0.01, 300 µg/ear MEKS treatment or 75 µg/ear DEX treatment). Treatment with MEKS did not affect the production of IL-10, although DEX treatment reduced the IL-10 level significantly when compared with that of the NOR and CTL groups (P<0.05, 75 µg/ear DEX treatment) as presented in Fig. 5.

Figure 5

Effect of MEKS on expression levels of TNF-α, IFN-γ, MCP-1 and IL-10 in CD mice. The expression levels of (A) TNF-α, (B) IFN-γ, (C) MCP-1 and (D) IL-10 in the ear tissues were analyzed using the cytometric bead array method. A total of 50 µg tissue lysates was used to measure the cytokine levels. All values are presented as means ± standard deviation. ##P<0.01, ###P<0.001 vs. NOR; *P<0.05, **P<0.01 and ***P<0.001 vs. CTL. TNF-α, tumor necrosis factor-α; IFN-γ; interferon-γ; MCP-1, monocyte chemotactic protein-1; IL-10, interleukin-10; NOR, non-treated normal mice; CD, contact dermatitis; CTL, non-treated CD mice; MEKS, methanol extracts from Kochia scoparia dried fruit; DEX, dexamethasone.

MEKS did not affect spleen/body weight ratio in CD mice

The effects of MEKS on enlargement of the spleen were estimated in terms of the spleen/body weight ratio. The spleen/body weight ratio in the CTL group was significantly elevated compared with the NOR group (P<0.001). Treatment with MEKS did not affect the spleen/body weight ratio in CD mice. However, this ratio was significantly reduced in the DEX group when compared with that of the CTL and NOR groups (Fig. 6; P<0.001).

Figure 6

Effect of MEKS on spleen/body weight ratio in CD mice. Body and spleen weights were measured on day 15 and the spleen/body weight ratio was calculated. All values are presented as means ± standard deviation. ###P<0.001 vs. NOR; ***P<0.001 vs. CTL. MEKS, methanol extracts of Kochia scoparia dried fruit; CD, contact dermatitis; NOR, non-treated normal mice; CTL, non-treated CD mice; DEX, dexamethasone.

Discussion

The present study demonstrated the anti-inflammatory effects of MEKS on CD. MEKS effectively prevented ear thickness and weight increases, as well as epidermal acanthosis, spongiosis and immune cell infiltration in inflamed tissues. In addition, the expression levels of TNF-α, IFN-γ and MCP-1 were dose-dependently reduced in response to MEKS. These findings indicate that MEKS treatment prevents the inflammatory reactions, which leads to the inhibition of ear thickness and weight increases in inflamed tissues.

Inflammatory reactions, such as immune cell infiltration and pro-inflammatory cytokine production, are important in the pathophysiology of CD and may serve as therapeutic targets. During progression of CD, IL-1 and TNF-α markedly upregulate various chemokines, resulting in the recruitment of leukocytes (5). In addition, IFN-γ is indicative of type 1 T helper skewing reaction of T cells and rapidly promotes the secretion of mediators, including chemokine (C-X-C motif) receptor 3 agonist and MCP-1, when it is present alone or together with TNF-α (13,14). The results of the present study are consistent with those of a previous study by Choi et al (12), who demonstrated that topical application of K. scoparia extract inhibited the expression of IL-1β and TNF-α messenger RNA. In the present study, the production of TNF-α, IFN-γ, MCP-1 and IL-10 was evaluated using proteins obtained from samples of lysed tissues. Treatment with MEKS effectively decreased expression levels of TNF-α and IFN-γ in inflamed tissues. MCP-1, also termed chemokine (C-C motif) ligand 2, is a small chemokine that belongs to the CC chemokine family, which recruits monocytes, T cells and dendritic cells to inflammatory sites (15,16). In the present study, treatment with 300 µg/ear of MEKS significantly inhibited MCP-1 production in samples of ear tissue. These results indicate that the underlying mechanism of MEKS inhibition of immune cell infiltration involves decreasing MCP-1 production.

The effects of MEKS on CD were further demonstrated by histopathological analysis, which indicated that epidermal hyperplasia, spongiosis and immune cell infiltration were decreased by topical application of MEKS. Keratinocytes at the site of CD overexpress numerous cytokines and chemokines, such as TNF-α, IFN-γ, MCP-1 and IL-10 (17–19). It has been previously reported that IFN-γ is important in the development of skin hypertrophy, and TNF-α and MCP-1 function as stimulants of immune cell recruitment around blood vessels (17–19). In the present study, the topical application of MEKS inhibited the histopathological features of CD via suppression of TNF-α, IFN-γ and MCP-1 expression. These observations and the changes in cytokine production in the MEKS-treated tissue samples, suggest that MEKS is an anti-inflammatory agent against the Th1 skewing reaction, thus, reducing inflammatory reactions, such as epidermal acanthosis, spongiosis and immune cell infiltration.

DEX and MEKS prevented ear swelling, diminished epidermal acanthosis, spongiosis and immune cell infiltration and decreased the levels of TNF-α, IFN-γ and MCP-1 in ear tissue samples. MEKS did not affect the expression of IL-10, however, DEX significantly reduced the expression levels of all cytokines examined in the present study, including IL-10, which has a suppressive role in CD and atopic dermatitis (20). Treatment with DEX also led to a significant reduction in the spleen/body weight ratio when compared with the CTL and the NOR groups, which is indicative of an immune reaction. These findings indicate that the underlying therapeutic mechanism of MEKS differs to that of DEX, particularly with regards to general immune suppression, which is one of the major side effects of corticosteroids, such as DEX.

The findings of the present study indicate that MEKS may be administered for the treatment of inflammatory skin diseases. In addition, the current study suggests that an anti-inflammatory mechanism of MEKS is involved in the inhibition of Th1 skewing reactions.

In conclusion, the present study demonstrated that MEKS reduces Th1 skewing reactions, such as production of TNF-α, IFN-γ and MCP-1, resulting in decreased epidermal acanthosis, spongiosis and immune cell infiltration. Repeated administration of MEKS resulted in anti-inflammatory reactions leading to the inhibition of ear swelling. The effects of MEKS were similar to those of DEX, however, no general immune suppression was observed in response to MEKS treatment. The findings of the present study indicate that MEKS may be used to reduce or replace corticosteroid use with relative safety.

Acknowledgments

This research was supported by the National Research Foundation of Korea grant funded by the Korean government (MSIP; grant no. 2015R1A2A2A04005619).

References

1 

English JS: Current concepts of irritant contact dermatitis. Occup Environ Med. 61:722–726. 6742004. View Article : Google Scholar : PubMed/NCBI

2 

Usatine RP and Riojas M: Diagnosis and management of contact dermatitis. Am Family Physician. 82:249–255. 2010.

3 

Streit M and Braathen LR: Contact dermatitis: Clinics and pathology. Acta Odontol Scand. 59:309–314. 2001. View Article : Google Scholar : PubMed/NCBI

4 

Lee HY, Stieger M, Yawalkar N and Kakeda M: Cytokines and chemokines in irritant contact dermatitis. Mediators of Inflamm. 2013:9164972013. View Article : Google Scholar

5 

Grabbe S and Schwarz T: Immunoregulatory mechanisms involved in elicitation of allergic contact hypersensitivity. Immunol Today. 19:37–44. 1998. View Article : Google Scholar : PubMed/NCBI

6 

Kim NY, Lee MK, Park MJ, Kim SJ, Park HJ, Choi JW, Kim SH, Cho SY and Lee JS: Momordin Ic and oleanolic acid from Kochiae fructus reduce carbon tetrachloride-induced hepatotoxicity in rats. J Med Food. 8:177–183. 2005. View Article : Google Scholar : PubMed/NCBI

7 

Choi J, Lee KT, Jung H, Park HS and Park HJ: Anti-rheumatoid arthritis effect of the Kochia scoparia fruits and activity comparison of momordin lc, its prosapogenin and sapogenin. Arch Pharm Res. 25:336–342. 2002. View Article : Google Scholar : PubMed/NCBI

8 

Lin YH, Chen YC, Hu S, Chen HY, Chen JL and Yang SH: Identifying core herbal treatments for urticaria using Taiwan's nationwide prescription database. J Ethnopharmacol. 148:556–562. 2013. View Article : Google Scholar : PubMed/NCBI

9 

Shin KM, Kim YH, Park WS, Kang I, Ha J, Choi JW, Park HJ and Lee KT: Inhibition of methanol extract from the fruits of Kochia scoparia on lipopolysaccharide-induced nitric oxide, prostaglandin [correction of prostagladin] E2, and tumor necrosis factor-alpha production from murine macrophage RAW 264.7 cells. Biol Pharm Bull. 27:538–543. 2004. View Article : Google Scholar : PubMed/NCBI

10 

Lee MY, Shin IS, Lim HS, Seo CS, Ha H and Shin HK: Kochia scoparia fruit attenuates allergic airway inflammation in ovalbumin (OVA)-induced murine asthma model. Inhal Toxicol. 23:938–946. 2011. View Article : Google Scholar : PubMed/NCBI

11 

Matsuda H, Dai Y, Ido Y, Yoshikawa M and Kubo M: Studies on kochiae fructus. IV Anti-allergic effects of 70% ethanol extract and its component, momordin Ic from dried fruits of Kochia scoparia L. Biol Pharm Bull. 20:1165–1170. 1997. View Article : Google Scholar : PubMed/NCBI

12 

Choi YY, Kim MH, Lee JY, Hong J, Kim SH and Yang WM: Topical application of Kochia scoparia inhibits the development of contact dermatitis in mice. J Ethnopharmacol. 154:380–385. 2014. View Article : Google Scholar : PubMed/NCBI

13 

Albanesi C, Cavani A and Girolomoni G: IL-17 is produced by nickel-specific T lymphocytes and regulates ICAM-1 expression and chemokine production in human keratinocytes: Synergistic or antagonist effects with IFN-gamma and TNF-alpha. J Immunol. 162:494–502. 1999.PubMed/NCBI

14 

Sebastiani S, Albanesi C, De PO, Puddu P, Cavani A and Girolomoni G: The role of chemokines in allergic contact dermatitis. Arch Dermatol Res. 293:552–559. 2002. View Article : Google Scholar : PubMed/NCBI

15 

Carr MW, Roth SJ, Luther E, Rose SS and Springer TA: Monocyte chemoattractant protein 1 acts as a T-lymphocyte chemoattractant. Proc Natl Acad Sci USA. 91:3652–3656. 1994. View Article : Google Scholar : PubMed/NCBI

16 

Xu LL, Warren MK, Rose WL, Gong W and Wang JM: Human recombinant monocyte chemotactic protein and other C-C chemokines bind and induce directional migration of dendritic cells in vitro. J Leukoc Biol. 60:365–371. 1996.PubMed/NCBI

17 

Tung D, Cheung PH, Kaur P, Foreman O, Kavirayani A, Hain HS and Saha S: Anti-inflammatory and immunomodulatory effects of bortezomib in various in vivo models. Pharmacology. 88:100–113. 2011. View Article : Google Scholar : PubMed/NCBI

18 

Fukuda S, Midoro K, Kamei T, Gyoten M, Kawano Y, Ashida Y and Nagaya H: Inhibition of allergic dermal inflammation by the novel imidazopyridazine derivative TAK-427 in a guinea pig experimental model of eczema. J Pharmacol Exp Ther. 303:1283–1290. 2002. View Article : Google Scholar : PubMed/NCBI

19 

Gaffal E, Cron M, Glodde N, Bald T, Kuner R, Zimmer A, Lutz B and Tüting T: Cannabinoid 1 receptors in keratinocytes modulate proinflammatory chemokine secretion and attenuate contact allergic inflammation. J Immunol. 190:4929–4936. 2013. View Article : Google Scholar : PubMed/NCBI

20 

Boyman O, Werfel T and Akdis CA: The suppressive role of IL-10 in contact and atopic dermatitis. J Allergy Clin Immunol. 129:160–161. 2012. View Article : Google Scholar

Related Articles

  • Abstract
  • View
  • Download
  • Twitter
Copy and paste a formatted citation
Spandidos Publications style
Jo S, Ryu J, Han HY, Lee G, Ryu MH and Kim H: Anti-inflammatory activity of Kochia scoparia fruit on contact dermatitis in mice. Mol Med Rep 13: 1695-1700, 2016.
APA
Jo, S., Ryu, J., Han, H., Lee, G., Ryu, M.H., & Kim, H. (2016). Anti-inflammatory activity of Kochia scoparia fruit on contact dermatitis in mice. Molecular Medicine Reports, 13, 1695-1700. https://doi.org/10.3892/mmr.2015.4698
MLA
Jo, S., Ryu, J., Han, H., Lee, G., Ryu, M. H., Kim, H."Anti-inflammatory activity of Kochia scoparia fruit on contact dermatitis in mice". Molecular Medicine Reports 13.2 (2016): 1695-1700.
Chicago
Jo, S., Ryu, J., Han, H., Lee, G., Ryu, M. H., Kim, H."Anti-inflammatory activity of Kochia scoparia fruit on contact dermatitis in mice". Molecular Medicine Reports 13, no. 2 (2016): 1695-1700. https://doi.org/10.3892/mmr.2015.4698
Copy and paste a formatted citation
x
Spandidos Publications style
Jo S, Ryu J, Han HY, Lee G, Ryu MH and Kim H: Anti-inflammatory activity of Kochia scoparia fruit on contact dermatitis in mice. Mol Med Rep 13: 1695-1700, 2016.
APA
Jo, S., Ryu, J., Han, H., Lee, G., Ryu, M.H., & Kim, H. (2016). Anti-inflammatory activity of Kochia scoparia fruit on contact dermatitis in mice. Molecular Medicine Reports, 13, 1695-1700. https://doi.org/10.3892/mmr.2015.4698
MLA
Jo, S., Ryu, J., Han, H., Lee, G., Ryu, M. H., Kim, H."Anti-inflammatory activity of Kochia scoparia fruit on contact dermatitis in mice". Molecular Medicine Reports 13.2 (2016): 1695-1700.
Chicago
Jo, S., Ryu, J., Han, H., Lee, G., Ryu, M. H., Kim, H."Anti-inflammatory activity of Kochia scoparia fruit on contact dermatitis in mice". Molecular Medicine Reports 13, no. 2 (2016): 1695-1700. https://doi.org/10.3892/mmr.2015.4698
Follow us
  • Twitter
  • LinkedIn
  • Facebook
About
  • Spandidos Publications
  • Careers
  • Cookie Policy
  • Privacy Policy
How can we help?
  • Help
  • Live Chat
  • Contact
  • Email to our Support Team