Spandidos Publications Logo
  • About
    • About Spandidos
    • Aims and Scopes
    • Abstracting and Indexing
    • Editorial Policies
    • Reprints and Permissions
    • Job Opportunities
    • Terms and Conditions
    • Contact
  • Journals
    • All Journals
    • Oncology Letters
      • Oncology Letters
      • Information for Authors
      • Editorial Policies
      • Editorial Board
      • Aims and Scope
      • Abstracting and Indexing
      • Bibliographic Information
      • Archive
    • International Journal of Oncology
      • International Journal of Oncology
      • Information for Authors
      • Editorial Policies
      • Editorial Board
      • Aims and Scope
      • Abstracting and Indexing
      • Bibliographic Information
      • Archive
    • Molecular and Clinical Oncology
      • Molecular and Clinical Oncology
      • Information for Authors
      • Editorial Policies
      • Editorial Board
      • Aims and Scope
      • Abstracting and Indexing
      • Bibliographic Information
      • Archive
    • Experimental and Therapeutic Medicine
      • Experimental and Therapeutic Medicine
      • Information for Authors
      • Editorial Policies
      • Editorial Board
      • Aims and Scope
      • Abstracting and Indexing
      • Bibliographic Information
      • Archive
    • International Journal of Molecular Medicine
      • International Journal of Molecular Medicine
      • Information for Authors
      • Editorial Policies
      • Editorial Board
      • Aims and Scope
      • Abstracting and Indexing
      • Bibliographic Information
      • Archive
    • Biomedical Reports
      • Biomedical Reports
      • Information for Authors
      • Editorial Policies
      • Editorial Board
      • Aims and Scope
      • Abstracting and Indexing
      • Bibliographic Information
      • Archive
    • Oncology Reports
      • Oncology Reports
      • Information for Authors
      • Editorial Policies
      • Editorial Board
      • Aims and Scope
      • Abstracting and Indexing
      • Bibliographic Information
      • Archive
    • Molecular Medicine Reports
      • Molecular Medicine Reports
      • Information for Authors
      • Editorial Policies
      • Editorial Board
      • Aims and Scope
      • Abstracting and Indexing
      • Bibliographic Information
      • Archive
    • World Academy of Sciences Journal
      • World Academy of Sciences Journal
      • Information for Authors
      • Editorial Policies
      • Editorial Board
      • Aims and Scope
      • Abstracting and Indexing
      • Bibliographic Information
      • Archive
    • International Journal of Functional Nutrition
      • International Journal of Functional Nutrition
      • Information for Authors
      • Editorial Policies
      • Editorial Board
      • Aims and Scope
      • Abstracting and Indexing
      • Bibliographic Information
      • Archive
    • International Journal of Epigenetics
      • International Journal of Epigenetics
      • Information for Authors
      • Editorial Policies
      • Editorial Board
      • Aims and Scope
      • Abstracting and Indexing
      • Bibliographic Information
      • Archive
    • Medicine International
      • Medicine International
      • Information for Authors
      • Editorial Policies
      • Editorial Board
      • Aims and Scope
      • Abstracting and Indexing
      • Bibliographic Information
      • Archive
  • Articles
  • Information
    • Information for Authors
    • Information for Reviewers
    • Information for Librarians
    • Information for Advertisers
    • Conferences
  • Language Editing
Spandidos Publications Logo
  • About
    • About Spandidos
    • Aims and Scopes
    • Abstracting and Indexing
    • Editorial Policies
    • Reprints and Permissions
    • Job Opportunities
    • Terms and Conditions
    • Contact
  • Journals
    • All Journals
    • Biomedical Reports
      • Information for Authors
      • Editorial Policies
      • Editorial Board
      • Aims and Scope
      • Abstracting and Indexing
      • Bibliographic Information
      • Archive
    • Experimental and Therapeutic Medicine
      • Information for Authors
      • Editorial Policies
      • Editorial Board
      • Aims and Scope
      • Abstracting and Indexing
      • Bibliographic Information
      • Archive
    • International Journal of Epigenetics
      • Information for Authors
      • Editorial Policies
      • Editorial Board
      • Aims and Scope
      • Abstracting and Indexing
      • Bibliographic Information
      • Archive
    • International Journal of Functional Nutrition
      • Information for Authors
      • Editorial Policies
      • Editorial Board
      • Aims and Scope
      • Abstracting and Indexing
      • Bibliographic Information
      • Archive
    • International Journal of Molecular Medicine
      • Information for Authors
      • Editorial Policies
      • Editorial Board
      • Aims and Scope
      • Abstracting and Indexing
      • Bibliographic Information
      • Archive
    • International Journal of Oncology
      • Information for Authors
      • Editorial Policies
      • Editorial Board
      • Aims and Scope
      • Abstracting and Indexing
      • Bibliographic Information
      • Archive
    • Medicine International
      • Information for Authors
      • Editorial Policies
      • Editorial Board
      • Aims and Scope
      • Abstracting and Indexing
      • Bibliographic Information
      • Archive
    • Molecular and Clinical Oncology
      • Information for Authors
      • Editorial Policies
      • Editorial Board
      • Aims and Scope
      • Abstracting and Indexing
      • Bibliographic Information
      • Archive
    • Molecular Medicine Reports
      • Information for Authors
      • Editorial Policies
      • Editorial Board
      • Aims and Scope
      • Abstracting and Indexing
      • Bibliographic Information
      • Archive
    • Oncology Letters
      • Information for Authors
      • Editorial Policies
      • Editorial Board
      • Aims and Scope
      • Abstracting and Indexing
      • Bibliographic Information
      • Archive
    • Oncology Reports
      • Information for Authors
      • Editorial Policies
      • Editorial Board
      • Aims and Scope
      • Abstracting and Indexing
      • Bibliographic Information
      • Archive
    • World Academy of Sciences Journal
      • Information for Authors
      • Editorial Policies
      • Editorial Board
      • Aims and Scope
      • Abstracting and Indexing
      • Bibliographic Information
      • Archive
  • Articles
  • Information
    • For Authors
    • For Reviewers
    • For Librarians
    • For Advertisers
    • Conferences
  • Language Editing
Login Register Submit
  • This site uses cookies
  • You can change your cookie settings at any time by following the instructions in our Cookie Policy. To find out more, you may read our Privacy Policy.

    I agree
Search articles by DOI, keyword, author or affiliation
Search
Advanced Search
presentation
Molecular Medicine Reports
Join Editorial Board Propose a Special Issue
Print ISSN: 1791-2997 Online ISSN: 1791-3004
Journal Cover
February-2018 Volume 17 Issue 2

Full Size Image

Sign up for eToc alerts
Recommend to Library

Journals

International Journal of Molecular Medicine

International Journal of Molecular Medicine

International Journal of Molecular Medicine is an international journal devoted to molecular mechanisms of human disease.

International Journal of Oncology

International Journal of Oncology

International Journal of Oncology is an international journal devoted to oncology research and cancer treatment.

Molecular Medicine Reports

Molecular Medicine Reports

Covers molecular medicine topics such as pharmacology, pathology, genetics, neuroscience, infectious diseases, molecular cardiology, and molecular surgery.

Oncology Reports

Oncology Reports

Oncology Reports is an international journal devoted to fundamental and applied research in Oncology.

Experimental and Therapeutic Medicine

Experimental and Therapeutic Medicine

Experimental and Therapeutic Medicine is an international journal devoted to laboratory and clinical medicine.

Oncology Letters

Oncology Letters

Oncology Letters is an international journal devoted to Experimental and Clinical Oncology.

Biomedical Reports

Biomedical Reports

Explores a wide range of biological and medical fields, including pharmacology, genetics, microbiology, neuroscience, and molecular cardiology.

Molecular and Clinical Oncology

Molecular and Clinical Oncology

International journal addressing all aspects of oncology research, from tumorigenesis and oncogenes to chemotherapy and metastasis.

World Academy of Sciences Journal

World Academy of Sciences Journal

Multidisciplinary open-access journal spanning biochemistry, genetics, neuroscience, environmental health, and synthetic biology.

International Journal of Functional Nutrition

International Journal of Functional Nutrition

Open-access journal combining biochemistry, pharmacology, immunology, and genetics to advance health through functional nutrition.

International Journal of Epigenetics

International Journal of Epigenetics

Publishes open-access research on using epigenetics to advance understanding and treatment of human disease.

Medicine International

Medicine International

An International Open Access Journal Devoted to General Medicine.

Journal Cover
February-2018 Volume 17 Issue 2

Full Size Image

Sign up for eToc alerts
Recommend to Library

  • Article
  • Citations
    • Cite This Article
    • Download Citation
    • Create Citation Alert
    • Remove Citation Alert
    • Cited By
  • Similar Articles
    • Related Articles (in Spandidos Publications)
    • Similar Articles (Google Scholar)
    • Similar Articles (PubMed)
  • Download PDF
  • Download XML
  • View XML
Article

Honokiol induces autophagy and apoptosis of osteosarcoma through PI3K/Akt/mTOR signaling pathway

  • Authors:
    • Zhiquan Li
    • Hui Dong
    • Mo Li
    • Yaoping Wu
    • Yanwu Liu
    • Yinan Zhao
    • Xiaochao Chen
    • Minliang Ma
  • View Affiliations / Copyright

    Affiliations: PLA Institute of Orthopedics and Traumatology, Xijing Hospital, The Fourth Military Medical University, Xi'an, Shaanxi 710032, P.R. China, Department of Orthopedics, The 474th Hospital of PLA, Urumqi, Xinjiang 830013, P.R. China
  • Pages: 2719-2723
    |
    Published online on: November 21, 2017
       https://doi.org/10.3892/mmr.2017.8123
  • Expand metrics +
Metrics: Total Views: 0 (Spandidos Publications: | PMC Statistics: )
Metrics: Total PDF Downloads: 0 (Spandidos Publications: | PMC Statistics: )
Cited By (CrossRef): 0 citations Loading Articles...

This article is mentioned in:



Abstract

Honokiol is the main active constituent of Magnolia officinalis. With effective and long‑term pharmacological functions of being antibacterial, anti‑oxidative, anti‑inflammatory, antitumor, anti‑spasmic, anti‑anxiety and anti‑viral, Honokiol is clinically used in the treatment of acute enteritis and chronic gastritis. The aim of the present study was to observe the possible anti‑effects of honokiol on autophagy and apoptosis of osteosarcoma, and to investigate the role of the PI3K/Akt/mTOR signaling pathway in its anticancer effects. MTT assay was used to evaluate cell proliferation and Annexin V‑fluorescein isothiocyanate/propidium iodide staining flow cytometry was used to analyze the apoptotic rate. The authors identified that honokiol could inhibit cell proliferation and induce the apoptotic rate of osteosarcoma cells. The expression level of Bcl‑2‑like protein 4, caspase‑3 and p53 protein expression were induced and cyclin D1 protein expression was suppressed in osteosarcoma cells by honokiol. Autophagy‑associated LC3II protein expression level was promoted, and PI3K, p‑Akt and p‑mTOR protein expression level was suppressed in osteosarcoma cells by honokiol. The present study demonstrated, to the best of the authors' knowledge, for the first time that honokiol induces autophagy and apoptosis of osteosarcoma cells through the PI3K/Akt/mTOR signaling pathway.

Introduction

As the most common primary malignant bone tumor occurring in children and adolescents, osteosarcoma is characterized by early lung metastasis and high recurrence rate (1). Surgery, combined with neoadjuvant chemotherapy and other comprehensive treatment approaches, can significantly improve the disease, but some local osteosarcomas still recur; at present, there have been no effective approaches for the treatment of recurrent and metastatic osteosarcoma (2). Although neoadjuvant chemotherapy combined with surgery improves the long-term survival rate of patients with osteosarcoma, short-term survival rate of patients has not been further improved in recent years (3).

Autophagy is an ancient biological phenomenon in the evolution of creatures, and extensively occurs in plants and low-ranking organisms as an important ways to maintain the stability of cellular homeostasis; autophagy is also one of the most important means by which mammals can eliminate tumor cells. Autophagy is closely related to the incidence, development, prognosis and treatment of tumor cells (4). When the body grows tumor cells, autophagy will be activated to remove damaged organelles and degrade harmful substances in cells such as peroxides, so as to prevent normal cells from developing into tumor cells (5). Some scholars observed autophagosomes wrapped parts of the nucleolus, suggesting that autophagy is involved in the metabolism of genetic materials in cells and in the elimination of mutant chromosomes (6). Regulating the expression of autophagy combined with chemotherapy drugs has synergistic or antagonistic effects in the growth of tumor cells. Compared with chemotherapy alone, the regulation autophagy changes the apoptosis rate of tumor cells (7). Inhibiting the expression of autophagy during radiotherapy or chemotherapy may cause tumor cells to be unable to eliminate damaged organelles, thereby accelerating the death of tumor cells, so as to enhance the efficacy of treatment (8).

Akt (also known as protein kinase B) is a regulator located at the downstream of the PI3K pathway. Mammalian target of rapamycin (mTOR), a kind of serine/threonine protein kinase, is a member of phosphatidylinositol 3-kinase family (9). mTOR exists in multi-protein complexes, such as mTORC1 and mTORC2. The PI3K-Akt-mTOR signaling pathway serves important roles in cells, regulating a variety of cellular behaviors such as growth, survival, proliferation, apoptosis, angiogenesis and autophagy of cells (10). Many diseases, including cancer, autoimmune diseases and neuropathy, are caused by disorders of the PI3K-Akt-mTOR signaling pathway (10). The PI3K-Akt-mTOR signaling pathway is related to several important mechanisms of cell growth, so a better understanding of the PI3K-Akt-mTOR signaling pathway contributes to the development of cancer drugs, and mTOR inhibitors have been previously developed and applied as novel antitumor targeting drugs (11).

As one of the two major active constituents of Magnolia officinalis, honokiol can effectively fight against bacteria, oxidation, inflammation and tumors, inhibit central nervous and muscular relaxation, kill pathogenic microorganisms and lower cholesterol levels, and is generally used in the treatment of acute enteritis, bacterial or amoebic dysentery and chronic gastritis (12). A large number of studies have demonstrated that honokiol inhibits the proliferation and apoptosis of cancer cells and prevents from angiogenesis in vivo, indicating that it has good therapeutic effect on different tumors (13). Honokiol has a better curative effect if combined with other anticancer drugs. A study suggested that Honokiol downregulates the phosphorylation of Akt and upregulates the expression of PTEN to realize the negative regulation of PI3K/Akt/mTOR pathway, so as to inhibit breast cancer (14). Honokiol promoted cycle arrest and apoptosis of breast cancer cells through the downregulation of the c-Src/EGFR signaling pathway. Furthermore, the authors investigated whether honokiol induces autophagy and apoptosis of osteosarcoma, and analyzed the possible mechanisms underlying these anticancer effects.

Materials and methods

Cell culture

The human OS cell line, MG-63, was purchased from the Wuhan Cell Bank of Sciences China (Wuhan, China) and maintained in Dulbecco's modified Eagles medium, which contains 10% heat-inactivated FBS (both from Gibco; Thermo Fisher Scientific, Inc., Waltham, MA, USA) at 37°C in 5% CO2. Honokiol was purchased from Sigma-Aldrich; Merck KGaA (Darmstadt, Germany) and its constitutional formula is presented in Fig. 1.

Figure 1.

Constitutional formula of honokiol.

MTT assay

MG-63 cells were seeded in 96-well plates at a density of 1×104 cells/well overnight and then treated with various concentrations of honokiol (0, 5, 10 and 20 µg/ml) for 24, 48 and 72 h. A total of 20 µl MTT solution (5 g/l; Thermo Fisher Scientific, Inc.) was added to each well and incubated for 4 h. DMSO (Thermo Fisher Scientific, Inc.) was added to cells and dissolved for 20 min. The absorbance value was read using an automatic multiwell spectrophotometer (PowerWave HT; Bio-Tek Instruments, Inc., Winooski, VT, USA) at 570 nm.

Apoptosis

MG-63 cells were seeded in 6-well plates at a density of 1×106 cells/well overnight and then treated with various concentrations of honokiol (0, 5, 10 and 20 µg/ml) for 48 h. MG-63 cells were washed three times with PBS and stained using the Annexin V-fluorescein isothiocyanate (FITC)/propidium iodide (PI) assay (BD Biosciences, Franklin Lakes, NJ, USA) following the manufacturer's protocol. Apoptotic rate was detected using flow cytometry (FACSCanto™) and analyzed by CellQuest™ software (version 3.2) (both from BD Biosciences).

Caspase-3 and western blotting analysis

MG-63 cells were seeded in six-well plates at a density of 1×106 cells/well overnight and then treated with various concentrations of Honokiol (0, 5, 10 and 20 µg/ml) for 48 h. MG-63 cells were resuspended in radioimmunoprecipitation assay buffer (Beyotime Institute of Biotechnology, Haimen, China) at 4°C for 30 min and the lysate was centrifuged at 120,000 × g for 10 min at 4°C. Protein contents were detected using the Bicinchoninic Acid protein assay kit (Thermo Fisher Scientific, Inc.). A total of 5–10 µg protein was incubated with Ac-DEVD-pNA for 1–1.5 h at 37°C. The absorbance value was read using an automatic multiwell spectrophotometer (PowerWave HT; Bio-Tek Instruments, Inc.) at 405 nm.

Next, equal amounts of total protein (50 µg) were separated on 6–12% SDS-PAGE gel and transferred to polyvinylidene difluoride membranes (Thermo Fisher Scientific, Inc.). The membranes were blocked with fat-free milk solution (5%, w/v) for 12 h and then incubated with rabbit anti-B-cell lymphoma-2 (Bcl-2, 1:500, cat no. sc-783) and anti-Bcl-2-like protein 4 (Bax, 1:500, cat no. sc-6236), p53 (cat no. sc-6243), cyclin D1 (1:500, cat no. sc-717), LC3II (1:500, cat no. sc-292354), PI3K (1:500, cat no. sc-7174), p-Akt (1:550, cat no. sc-16646-R), p-mTOR (1:500, cat no. sc-101738) and GAPDH (1:500, cat no. sc-25778) (all from Santa Cruz Biotechnology, Inc., Dallas, TX, USA) primary antibodies at 4°C for 12 h. After washing 3 times with TBS and 0.1% Tween-20, membrane was incubated with horseradish peroxidase-conjugated anti-rabbit IgG antibody (1:5,000, cat no. sc-2004; Santa Cruz Biotechnology, Inc.) at 37°C for 1 h and were visualized using Western Blotting Chemiluminescence Reagent (BD Biosciences). Blots blank was quantified using BandScan software (version 5.0; Glyko Inc., Novato, CA, USA).

Statistical analysis

Data are presented as the mean ± standard deviation. Student's t-tests were performed for the comparison of results between different groups. P<0.05 was considered to indicate a statistically significant difference.

Results

Honokiol inhibited cell proliferation of osteosarcoma cells

As presented in Fig. 2, an MTT assay demonstrated that various concentrations of honokiol inhibited cell proliferation of osteosarcoma cells (MG-63) in a dose- and time-dependent manner. Treatment with osteosarcoma cell (5, 10 and 20 µg/ml honokiol for 72 h), or 10 and 20 µg/ml honokiol for 48 h or 20 µg/ml honokiol for 24 h significantly inhibited cell proliferation of MG-63 cells, compared with the control group (0 µg/ml group).

Figure 2.

Honokiol inhibited cell proliferation of osteosarcoma cells. Honokiol inhibited cell proliferation of osteosarcoma cells for 24 h and 48 h. 0 µg/ml, 0 µg/ml honokiol; 5 µg/ml, 5 µg/ml honokiol; 10 µg/ml, 10 µg/ml honokiol; 20 µg/ml, 20 µg/ml honokiol. **P<0.01 vs. 0 µg/ml honokiol group.

Honokiol induced apoptotic rate of osteosarcoma cell

Therefore, the authors detected the apoptotic rate of osteosarcoma cells (MG-63) by honokiol for 48 h. As demonstrated in Fig. 3, Annexin V-FITC/PI indicated that 10 and 20 µg/ml honokiol significantly induced apoptotic rate of MG-63 cells, compared with the control group (0 µg/ml group).

Figure 3.

Honokiol induced apoptotic rate of osteosarcoma cells. 0 µg/ml, 0 µg/ml honokiol; 5 µg/ml, 5 µg/ml honokiol; 10 µg/ml, 10 µg/ml honokiol; 20 µg/ml, 20 µg/ml honokiol. **P<0.01 vs. 0 µg/ml honokiol group.

Honokiol induced Bax, p53 and cyclin D1 protein expression and caspase-3 activity of osteosarcoma cells

To investigate apoptosis mechanism of Honokiol on osteosarcoma cell, the authors firstly detected Bax, p53 and cyclin D1 protein expression and caspase-3 activity in osteosarcoma cell (MG-63) by honokiol for 48 h. In Fig. 4, 10 and 20 µg/ml honokiol significantly induced bax and p53, and significantly inhbited cyclin D1 protein expression levels compared with the control. Honokiol treatment led to increased caspase-3 activity of MG-63 cells, compared with the control group (0 µg/ml group).

Figure 4.

Honokiol induced Bax, p53 and cyclin D1 protein expression and caspase-3 activity of osteosarcoma cell. Honokiol induced (A and B) Bax, (B and C) p53 and (B and D) cyclin D1 protein expression by western blotting and statistical analysis. (E) caspase-3 activity of osteosarcoma cells. 0 µg/ml, 0 µg/ml honokiol; 5 µg/ml, 5 µg/ml honokiol; 10 µg/ml, 10 µg/ml honokiol; 20 µg/ml, 20 µg/ml honokiol. **P<0.01 vs. 0 µg/ml honokiol group. Bax, B-cell lymphoma-2-associated X protein.

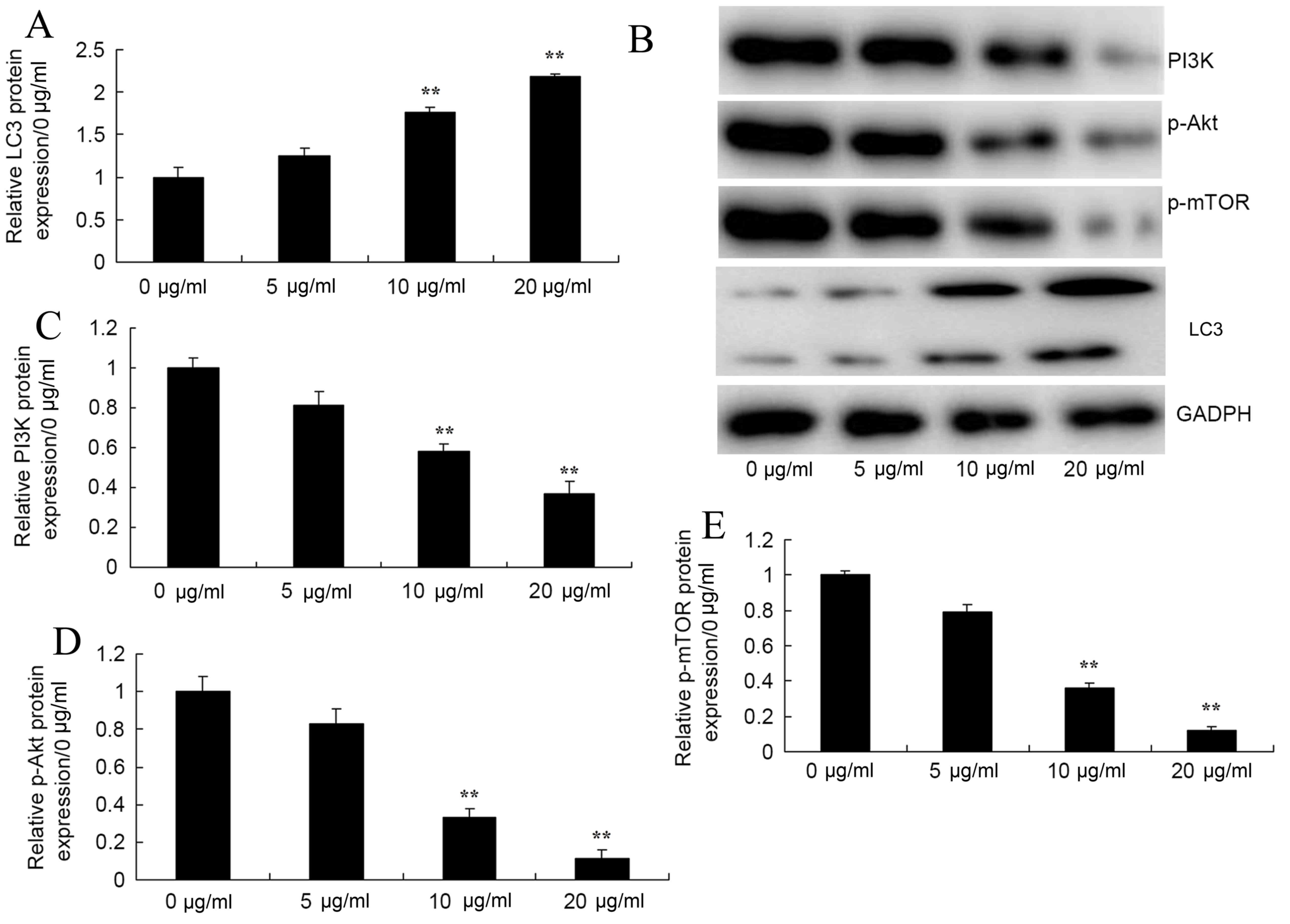
Honokiol promoted LC3, PI3K, p-Akt and p-mTOR protein expression of osteosarcoma cells

In order to test the role of autophagy in the anticancer effects of honokiol on osteosarcoma cells, LC3II protein expression of MG-63 cell was measured. Western blotting revealed that 10 and 20 µg/ml honokiol significantly promoted LC3 protein expression of MG-63 cell, compared with the control group (0 µg/ml group; Fig. 5A and B). The authors then examined the autophagy mechanism of anticancer effects of honokiol on osteosarcoma cells. As presented in Fig. 5A and C-E, PI3K, p-Akt and p-mTOR protein expression levels of MG-63 cells was significantly suppressed by 10 and 20 µg/ml honokiol in MG-63 cells, compared with the control group (0 µg/ml group).

Figure 5.

Honokiol promoted LC3, PI3K, p-Akt and p-mTOR protein expression of osteosarcoma cells. Honokiol induced (A and B) LC3, (B and C) PI3K, (B and D) p-Akt and (B and E) p-mTOR protein expression of osteosarcoma cells by western blotting and statistical analysis. 0 µg/ml, 0 µg/ml honokiol; 5 µg/ml, 5 µg/ml honokiol; 10 µg/ml, 10 µg/ml honokiol; 20 µg/ml, 20 µg/ml honokiol. **P<0.01 vs. 0 µg/ml honokiol group. PI3K, phosphoinositide 3-kinase; p-Akt, phosphorylated protein kinase B; p-mTOR, phosphorylated mammalian target of rapamycin.

Discussion

Osteosarcoma is the bone malignancy most commonly occurring in adolescents (15). Neoadjuvant chemotherapy significantly improves the survival rate of patients with osteosarcoma, and reduces the rate of recurrence and metastasis, but it has a poor chemotherapy effect in some patients, easy leading to recurrence and metastasis (15,16). Therefore, revealing the mechanism of the incidence and development of osteosarcoma from a new perspective to fundamentally cure tumor has always been the focus and challenge in the study of orthopedics (16). The present study demonstrated that honokiol significantly inhibited cell proliferation and induced apoptotic rate of MG-63 cells.

Cell autophagy removes excessive and harmful proteins or organelles with long half-life from cells, to protect the components of cells and provide raw materials for the reconstruction, regeneration and repair of cells, thus realizing recycle and reuse of components in cells (17). Cell autophagy is closely associated with cancers through multiple signaling pathways, such as the PI3K/Akt/mTOR signaling pathway, the LKB1/AMPK/mTOR signaling pathway, the p53 signaling pathway and the BCL-2 pathway, as well as endoplasmic reticulum stress (18). In the present study, honokiol significantly induced Bax and p53 protein expression, increased caspase-3 activity and suppressed cyclin D1 of MG-63 cells.

Cell autophagy removes excessive and harmful proteins or organelles with long half-life from cells to protect the components of cells (5). Under normal circumstances, autophagy is conducive to the survival of cells, so the dysfunction of autophagy causes many diseases, such as neurodegenerative diseases, bacterial infection, intestinal inflammation, aging and cancers (19,20). In normal cells, autophagy pathways are regulated by the signaling network, which centers on mTOR (21). Nutrients and growth factors can activate the PI3K/Akt/mTOR signaling pathway, thereby inhibiting the activity of the autophagy pathway, to promote the growth and proliferation of cells (22). When cells are lacking in nutrients and growth factors, or under the condition of hypoxia and other stresses, PI3K/Akt/m TOR signaling pathways will be inhibited and thus, the autophagy pathway be activated, inhibiting cell growth and proliferation (23). The autophagy pathway basically serves the same role in tumor cells as it does in normal cells, only the PI3K/Akt/mTOR signaling pathway is damaged and interacts with other signaling pathways, which makes the autophagy pathway in tumor cells more complex (24). The current study demonstrated that honokiol significantly promoted LC3 protein expression of MG-63 cells. Lv et al (19) revealed that honokiol increased the expression of p62 and LC3 I in the A549 and H460 cells.

The PI3K-AKT pathway is improperly activated in various types of cancer. PI3K-AKT can be activated through two major mechanisms, such as the activation of specific nodes in pathway and the activation of receptor tyrosine kinase, so understanding the activation mechanisms of PI3K is vital for the development of effective therapies and PI3K inhibitors (10,18). It is often reported that the PI3K/Akt/mTOR signaling pathway works abnormally in cancer cells, and even being constitutively activated, which promotes the growth and proliferation of tumor cells (18). This may be due to one or more cellular events closely related to the incidence and development of cancers, such as mutation or deletion of PTEN, mutation of TSC1/2, tyrosine kinase receptor growth factor and type I PI3K, overexpression of Akt, inhibition of mTOR, exposure to carcinogens, which may lead to the activation of PI3K/Akt/mTOR, thereby inhibiting the autophagy of cells (25,26). The results demonstrated that honokiol significantly suppressed PI3K, p-Akt and p-mTOR protein expression of MG-63 cell. Lin et al (27) reported that honokiol induces autophagic cell death via regulation of the p53/PI3K/Akt/mTOR signaling pathway in malignant glioma (27).

In summary, the present study demonstrates, honokiol significantly inhibited cell proliferation, induced apoptotic rate, and induced Bax and p53 protein expression, increased caspase-3 activity and suppressed cyclin D1 of MG-63 cells, which may induces autophagy through the PI3K/Akt/mTOR signaling pathway. In summary, the current study indicated that honokiol may be a promising strategy for osteosarcoma therapy or clinical applications.

Acknowledgements

The present study was supported by the Natural Science Foundation Research Project of Shaanxi Province (grant no. 2014JM4120).

References

1 

Nataraj V, Batra A, Rastogi S, Khan SA, Sharma MC, Vishnubhatla S and Bakhshi S: Developing a prognostic model for patients with localized osteosarcoma treated with uniform chemotherapy protocol without high dose methotrexate: A single-center experience of 237 patients. J Surg Oncol. 112:662–668. 2015. View Article : Google Scholar : PubMed/NCBI

2 

Tai BC, Machin D, White I and Gebski V; EOI (The European Osteosarcoma Intergroup), : Competing risks analysis of patients with osteosarcoma: A comparison of four different approaches. Stat Med. 20:661–684. 2001. View Article : Google Scholar : PubMed/NCBI

3 

London CA, Gardner HL, Mathie T, Stingle N, Portela R, Pennell ML, Clifford CA, Rosenberg MP, Vail DM, Williams LE, et al: Impact of toceranib/piroxicam/cyclophosphamide maintenance therapy on outcome of dogs with appendicular osteosarcoma following amputation and carboplatin chemotherapy: A multi-institutional study. PLoS One. 10:e01248892015. View Article : Google Scholar : PubMed/NCBI

4 

Li L, Li Y, Zhao J, Fan S, Wang L and Li X: CX-5461 induces autophagy and inhibits tumor growth via mammalian target of rapamycin-related signaling pathways in osteosarcoma. Onco Targets Ther. 9:5985–5997. 2016. View Article : Google Scholar : PubMed/NCBI

5 

Huang Q, Ou YS, Tao Y, Yin H and Tu PH: Apoptosis and autophagy induced by pyropheophorbide-a methyl ester-mediated photodynamic therapy in human osteosarcoma MG-63 cells. Apoptosis. 21:749–760. 2016. View Article : Google Scholar : PubMed/NCBI

6 

Ma K, Zhang C, Huang MY, Li WY and Hu GQ: Cinobufagin induces autophagy-mediated cell death in human osteosarcoma U2OS cells through the ROS/JNK/p38 signaling pathway. Oncol Rep. 36:90–98. 2016. View Article : Google Scholar : PubMed/NCBI

7 

Zhang B, Yu X and Xia H: The flavonoid luteolin enhances doxorubicin-induced autophagy in human osteosarcoma U2OS cells. Int J Clin Exp Med. 8:15190–15197. 2015.PubMed/NCBI

8 

Zhou J, Wu S, Chen Y, Zhao J, Zhang K, Wang J and Chen S: microRNA-143 is associated with the survival of ALDH1+CD133+ osteosarcoma cells and the chemoresistance of osteosarcoma. Exp Biol Med (Maywood). 240:867–875. 2015. View Article : Google Scholar : PubMed/NCBI

9 

Hu K, Dai HB and Qiu ZL: mTOR signaling in osteosarcoma: Oncogenesis and therapeutic aspects (Review). Oncol Rep. 36:1219–1225. 2016. View Article : Google Scholar : PubMed/NCBI

10 

Zhang J, Yu XH, Yan YG, Wang C and Wang WJ: PI3K/Akt signaling in osteosarcoma. Clin Chim Acta. 444:182–192. 2015. View Article : Google Scholar : PubMed/NCBI

11 

Wang Y, Sun Y, Wu Y and Zhang J: Cucurbitacin E inhibits osteosarcoma cells proliferation and invasion through attenuation of PI3K/AKT/mTOR signaling. Biosci Rep. pii:BSR201601652016.

12 

Averett C, Bhardwaj A, Arora S, Srivastava SK, Khan MA, Ahmad A, Singh S, Carter JE, Khushman M and Singh AP: Honokiol suppresses pancreatic tumor growth, metastasis and desmoplasia by interfering with tumor-stromal cross-talk. Carcinogenesis. 37:1052–1061. 2016. View Article : Google Scholar : PubMed/NCBI

13 

Herrmann D, Schreiber A, Ciotkowska A, Strittmatter F, Waidelich R, Stief CG, Gratzke C and Hennenberg M: Honokiol, a constituent of Magnolia species, inhibits adrenergic contraction of human prostate strips and induces stromal cell death. Prostate Int. 2:140–146. 2014. View Article : Google Scholar : PubMed/NCBI

14 

Crane C, Panner A, Pieper RO, Arbiser J and Parsa AT: Honokiol-mediated inhibition of PI3K/mTOR pathway: A potential strategy to overcome immunoresistance in glioma, breast, and prostate carcinoma without impacting T cell function. J Immunother. 32:585–592. 2009. View Article : Google Scholar : PubMed/NCBI

15 

Felgenhauer JL, Nieder ML, Krailo MD, Bernstein ML, Henry DW, Malkin D, Baruchel S, Chuba PJ, Sailer SL, Brown K, et al: A pilot study of low-dose anti-angiogenic chemotherapy in combination with standard multiagent chemotherapy for patients with newly diagnosed metastatic Ewing sarcoma family of tumors: A Children's Oncology Group (COG) Phase II study NCT00061893. Pediatr Blood Cancer. 60:409–414. 2013. View Article : Google Scholar : PubMed/NCBI

16 

Altaf S, Enders F, Jeavons E, Krailo M, Barkauskas DA, Meyers P and Arndt C: High-BMI at diagnosis is associated with inferior survival in patients with osteosarcoma: A report from the children's oncology group. Pediatr Blood Cancer. 60:2042–2046. 2013. View Article : Google Scholar : PubMed/NCBI

17 

Yang C, Shogren KL, Goyal R, Bravo D, Yaszemski MJ and Maran A: RNA-dependent protein kinase is essential for 2-methoxyestradiol-induced autophagy in osteosarcoma cells. PLoS One. 8:e594062013. View Article : Google Scholar : PubMed/NCBI

18 

Niu NK, Wang ZL, Pan ST, Ding HQ, Au GH, He ZX, Zhou ZW, Xiao G, Yang YX, Zhang X, et al: Pro-apoptotic and pro-autophagic effects of the Aurora kinase A inhibitor alisertib (MLN8237) on human osteosarcoma U-2 OS and MG-63 cells through the activation of mitochondria-mediated pathway and inhibition of p38 MAPK/PI3K/Akt/mTOR signaling pathway. Drug Des Devel Ther. 9:1555–1584. 2015.PubMed/NCBI

19 

Lv X, Liu F, Shang Y and Chen SZ: Honokiol exhibits enhanced antitumor effects with chloroquine by inducing cell death and inhibiting autophagy in human non-small cell lung cancer cells. Oncol Rep. 34:1289–1300. 2015. View Article : Google Scholar : PubMed/NCBI

20 

Zhang H, Guo M, Chen JH, Wang Z, Du XF, Liu PX and Li WH: Osteopontin knockdown inhibits av, b3 integrin-induced cell migration and invasion and promotes apoptosis of breast cancer cells by inducing autophagy and inactivating the PI3K/Akt/mTOR pathway. Cell Physiol Biochem. 33:991–1002. 2014. View Article : Google Scholar : PubMed/NCBI

21 

Li Y, Liu Y, Shi F, Cheng L and She J: Knockdown of Rap1b enhances apoptosis and autophagy in gastric cancer cells via the PI3K/Akt/mTOR pathway. Oncol Res. 24:287–293. 2016. View Article : Google Scholar : PubMed/NCBI

22 

Bai H, Li H, Li W, Gui T, Yang J, Cao D and Shen K: The PI3K/AKT/mTOR pathway is a potential predictor of distinct invasive and migratory capacities in human ovarian cancer cell lines. Oncotarget. 6:25520–25532. 2015. View Article : Google Scholar : PubMed/NCBI

23 

Roy R, Singh SK, Chauhan LK, Das M, Tripathi A and Dwivedi PD: Zinc oxide nanoparticles induce apoptosis by enhancement of autophagy via PI3K/Akt/mTOR inhibition. Toxicol Lett. 227:29–40. 2014. View Article : Google Scholar : PubMed/NCBI

24 

Kumar D, Das B, Sen R, Kundu P, Manna A, Sarkar A, Chowdhury C, Chatterjee M and Das P: Andrographolide analogue induces apoptosis and autophagy mediated cell death in U937 cells by inhibition of PI3K/Akt/mTOR pathway. PLoS One. 10:e01396572015. View Article : Google Scholar : PubMed/NCBI

25 

Xishan Z: Peer review report 1 on ‘P53 suppresses cell proliferation, metastasis, and angiogenesis of osteosarcoma through inhibition of the PI3K/AKT/mTOR pathway’. Int J Surg. 13 Suppl 1:S322015. View Article : Google Scholar

26 

Liu Y, Bi T, Dai W, Wang G, Qian L, Shen G and Gao Q: Lupeol induces apoptosis and cell cycle arrest of human osteosarcoma cells through PI3K/AKT/mTOR pathway. Technol Cancer Res Treat. 15:NP16–NP24. 2016. View Article : Google Scholar : PubMed/NCBI

27 

Lin CJ, Chen TL, Tseng YY, Wu GJ, Hsieh MH, Lin YW and Chen RM: Honokiol induces autophagic cell death in malignant glioma through reactive oxygen species-mediated regulation of the p53/PI3K/Akt/mTOR signaling pathway. Toxicol Appl Pharmacol. 304:59–69. 2016. View Article : Google Scholar : PubMed/NCBI

Related Articles

  • Abstract
  • View
  • Download
  • Twitter
Copy and paste a formatted citation
Spandidos Publications style
Li Z, Dong H, Li M, Wu Y, Liu Y, Zhao Y, Chen X and Ma M: Honokiol induces autophagy and apoptosis of osteosarcoma through PI3K/Akt/mTOR signaling pathway. Mol Med Rep 17: 2719-2723, 2018.
APA
Li, Z., Dong, H., Li, M., Wu, Y., Liu, Y., Zhao, Y. ... Ma, M. (2018). Honokiol induces autophagy and apoptosis of osteosarcoma through PI3K/Akt/mTOR signaling pathway. Molecular Medicine Reports, 17, 2719-2723. https://doi.org/10.3892/mmr.2017.8123
MLA
Li, Z., Dong, H., Li, M., Wu, Y., Liu, Y., Zhao, Y., Chen, X., Ma, M."Honokiol induces autophagy and apoptosis of osteosarcoma through PI3K/Akt/mTOR signaling pathway". Molecular Medicine Reports 17.2 (2018): 2719-2723.
Chicago
Li, Z., Dong, H., Li, M., Wu, Y., Liu, Y., Zhao, Y., Chen, X., Ma, M."Honokiol induces autophagy and apoptosis of osteosarcoma through PI3K/Akt/mTOR signaling pathway". Molecular Medicine Reports 17, no. 2 (2018): 2719-2723. https://doi.org/10.3892/mmr.2017.8123
Copy and paste a formatted citation
x
Spandidos Publications style
Li Z, Dong H, Li M, Wu Y, Liu Y, Zhao Y, Chen X and Ma M: Honokiol induces autophagy and apoptosis of osteosarcoma through PI3K/Akt/mTOR signaling pathway. Mol Med Rep 17: 2719-2723, 2018.
APA
Li, Z., Dong, H., Li, M., Wu, Y., Liu, Y., Zhao, Y. ... Ma, M. (2018). Honokiol induces autophagy and apoptosis of osteosarcoma through PI3K/Akt/mTOR signaling pathway. Molecular Medicine Reports, 17, 2719-2723. https://doi.org/10.3892/mmr.2017.8123
MLA
Li, Z., Dong, H., Li, M., Wu, Y., Liu, Y., Zhao, Y., Chen, X., Ma, M."Honokiol induces autophagy and apoptosis of osteosarcoma through PI3K/Akt/mTOR signaling pathway". Molecular Medicine Reports 17.2 (2018): 2719-2723.
Chicago
Li, Z., Dong, H., Li, M., Wu, Y., Liu, Y., Zhao, Y., Chen, X., Ma, M."Honokiol induces autophagy and apoptosis of osteosarcoma through PI3K/Akt/mTOR signaling pathway". Molecular Medicine Reports 17, no. 2 (2018): 2719-2723. https://doi.org/10.3892/mmr.2017.8123
Follow us
  • Twitter
  • LinkedIn
  • Facebook
About
  • Spandidos Publications
  • Careers
  • Cookie Policy
  • Privacy Policy
How can we help?
  • Help
  • Live Chat
  • Contact
  • Email to our Support Team