Spandidos Publications Logo
  • About
    • About Spandidos
    • Aims and Scopes
    • Abstracting and Indexing
    • Editorial Policies
    • Reprints and Permissions
    • Job Opportunities
    • Terms and Conditions
    • Contact
  • Journals
    • All Journals
    • Oncology Letters
      • Oncology Letters
      • Information for Authors
      • Editorial Policies
      • Editorial Board
      • Aims and Scope
      • Abstracting and Indexing
      • Bibliographic Information
      • Archive
    • International Journal of Oncology
      • International Journal of Oncology
      • Information for Authors
      • Editorial Policies
      • Editorial Board
      • Aims and Scope
      • Abstracting and Indexing
      • Bibliographic Information
      • Archive
    • Molecular and Clinical Oncology
      • Molecular and Clinical Oncology
      • Information for Authors
      • Editorial Policies
      • Editorial Board
      • Aims and Scope
      • Abstracting and Indexing
      • Bibliographic Information
      • Archive
    • Experimental and Therapeutic Medicine
      • Experimental and Therapeutic Medicine
      • Information for Authors
      • Editorial Policies
      • Editorial Board
      • Aims and Scope
      • Abstracting and Indexing
      • Bibliographic Information
      • Archive
    • International Journal of Molecular Medicine
      • International Journal of Molecular Medicine
      • Information for Authors
      • Editorial Policies
      • Editorial Board
      • Aims and Scope
      • Abstracting and Indexing
      • Bibliographic Information
      • Archive
    • Biomedical Reports
      • Biomedical Reports
      • Information for Authors
      • Editorial Policies
      • Editorial Board
      • Aims and Scope
      • Abstracting and Indexing
      • Bibliographic Information
      • Archive
    • Oncology Reports
      • Oncology Reports
      • Information for Authors
      • Editorial Policies
      • Editorial Board
      • Aims and Scope
      • Abstracting and Indexing
      • Bibliographic Information
      • Archive
    • Molecular Medicine Reports
      • Molecular Medicine Reports
      • Information for Authors
      • Editorial Policies
      • Editorial Board
      • Aims and Scope
      • Abstracting and Indexing
      • Bibliographic Information
      • Archive
    • World Academy of Sciences Journal
      • World Academy of Sciences Journal
      • Information for Authors
      • Editorial Policies
      • Editorial Board
      • Aims and Scope
      • Abstracting and Indexing
      • Bibliographic Information
      • Archive
    • International Journal of Functional Nutrition
      • International Journal of Functional Nutrition
      • Information for Authors
      • Editorial Policies
      • Editorial Board
      • Aims and Scope
      • Abstracting and Indexing
      • Bibliographic Information
      • Archive
    • International Journal of Epigenetics
      • International Journal of Epigenetics
      • Information for Authors
      • Editorial Policies
      • Editorial Board
      • Aims and Scope
      • Abstracting and Indexing
      • Bibliographic Information
      • Archive
    • Medicine International
      • Medicine International
      • Information for Authors
      • Editorial Policies
      • Editorial Board
      • Aims and Scope
      • Abstracting and Indexing
      • Bibliographic Information
      • Archive
  • Articles
  • Information
    • Information for Authors
    • Information for Reviewers
    • Information for Librarians
    • Information for Advertisers
    • Conferences
  • Language Editing
Spandidos Publications Logo
  • About
    • About Spandidos
    • Aims and Scopes
    • Abstracting and Indexing
    • Editorial Policies
    • Reprints and Permissions
    • Job Opportunities
    • Terms and Conditions
    • Contact
  • Journals
    • All Journals
    • Biomedical Reports
      • Information for Authors
      • Editorial Policies
      • Editorial Board
      • Aims and Scope
      • Abstracting and Indexing
      • Bibliographic Information
      • Archive
    • Experimental and Therapeutic Medicine
      • Information for Authors
      • Editorial Policies
      • Editorial Board
      • Aims and Scope
      • Abstracting and Indexing
      • Bibliographic Information
      • Archive
    • International Journal of Epigenetics
      • Information for Authors
      • Editorial Policies
      • Editorial Board
      • Aims and Scope
      • Abstracting and Indexing
      • Bibliographic Information
      • Archive
    • International Journal of Functional Nutrition
      • Information for Authors
      • Editorial Policies
      • Editorial Board
      • Aims and Scope
      • Abstracting and Indexing
      • Bibliographic Information
      • Archive
    • International Journal of Molecular Medicine
      • Information for Authors
      • Editorial Policies
      • Editorial Board
      • Aims and Scope
      • Abstracting and Indexing
      • Bibliographic Information
      • Archive
    • International Journal of Oncology
      • Information for Authors
      • Editorial Policies
      • Editorial Board
      • Aims and Scope
      • Abstracting and Indexing
      • Bibliographic Information
      • Archive
    • Medicine International
      • Information for Authors
      • Editorial Policies
      • Editorial Board
      • Aims and Scope
      • Abstracting and Indexing
      • Bibliographic Information
      • Archive
    • Molecular and Clinical Oncology
      • Information for Authors
      • Editorial Policies
      • Editorial Board
      • Aims and Scope
      • Abstracting and Indexing
      • Bibliographic Information
      • Archive
    • Molecular Medicine Reports
      • Information for Authors
      • Editorial Policies
      • Editorial Board
      • Aims and Scope
      • Abstracting and Indexing
      • Bibliographic Information
      • Archive
    • Oncology Letters
      • Information for Authors
      • Editorial Policies
      • Editorial Board
      • Aims and Scope
      • Abstracting and Indexing
      • Bibliographic Information
      • Archive
    • Oncology Reports
      • Information for Authors
      • Editorial Policies
      • Editorial Board
      • Aims and Scope
      • Abstracting and Indexing
      • Bibliographic Information
      • Archive
    • World Academy of Sciences Journal
      • Information for Authors
      • Editorial Policies
      • Editorial Board
      • Aims and Scope
      • Abstracting and Indexing
      • Bibliographic Information
      • Archive
  • Articles
  • Information
    • For Authors
    • For Reviewers
    • For Librarians
    • For Advertisers
    • Conferences
  • Language Editing
Login Register Submit
  • This site uses cookies
  • You can change your cookie settings at any time by following the instructions in our Cookie Policy. To find out more, you may read our Privacy Policy.

    I agree
Search articles by DOI, keyword, author or affiliation
Search
Advanced Search
presentation
Molecular Medicine Reports
Join Editorial Board Propose a Special Issue
Print ISSN: 1791-2997 Online ISSN: 1791-3004
Journal Cover
April 2012 Volume 5 Issue 4

Full Size Image

Sign up for eToc alerts
Recommend to Library

Journals

International Journal of Molecular Medicine

International Journal of Molecular Medicine

International Journal of Molecular Medicine is an international journal devoted to molecular mechanisms of human disease.

International Journal of Oncology

International Journal of Oncology

International Journal of Oncology is an international journal devoted to oncology research and cancer treatment.

Molecular Medicine Reports

Molecular Medicine Reports

Covers molecular medicine topics such as pharmacology, pathology, genetics, neuroscience, infectious diseases, molecular cardiology, and molecular surgery.

Oncology Reports

Oncology Reports

Oncology Reports is an international journal devoted to fundamental and applied research in Oncology.

Experimental and Therapeutic Medicine

Experimental and Therapeutic Medicine

Experimental and Therapeutic Medicine is an international journal devoted to laboratory and clinical medicine.

Oncology Letters

Oncology Letters

Oncology Letters is an international journal devoted to Experimental and Clinical Oncology.

Biomedical Reports

Biomedical Reports

Explores a wide range of biological and medical fields, including pharmacology, genetics, microbiology, neuroscience, and molecular cardiology.

Molecular and Clinical Oncology

Molecular and Clinical Oncology

International journal addressing all aspects of oncology research, from tumorigenesis and oncogenes to chemotherapy and metastasis.

World Academy of Sciences Journal

World Academy of Sciences Journal

Multidisciplinary open-access journal spanning biochemistry, genetics, neuroscience, environmental health, and synthetic biology.

International Journal of Functional Nutrition

International Journal of Functional Nutrition

Open-access journal combining biochemistry, pharmacology, immunology, and genetics to advance health through functional nutrition.

International Journal of Epigenetics

International Journal of Epigenetics

Publishes open-access research on using epigenetics to advance understanding and treatment of human disease.

Medicine International

Medicine International

An International Open Access Journal Devoted to General Medicine.

Journal Cover
April 2012 Volume 5 Issue 4

Full Size Image

Sign up for eToc alerts
Recommend to Library

  • Article
  • Citations
    • Cite This Article
    • Download Citation
    • Create Citation Alert
    • Remove Citation Alert
    • Cited By
  • Similar Articles
    • Related Articles (in Spandidos Publications)
    • Similar Articles (Google Scholar)
    • Similar Articles (PubMed)
  • Download PDF
  • Download XML
  • View XML
Article

Reduced levels of p15INK4b, p16INK4a, p21cip1 and p27kip1 in pancreatic carcinoma

  • Authors:
    • Gang Li
    • Yuan Ji
    • Chen Liu
    • JingQi Li
    • YingQi Zhou
  • View Affiliations / Copyright

    Affiliations: The Third General Surgery Department, Zhanghai Hospital, Second Military Medical University, Shanghai, P.R. China, Department of Pathology, Zhongshan Hospital, Fudan University, Shanghai, P.R. China, Laboratory of Cancer Research, Tongji University School of Medicine, Shanghai, P.R. China
  • Pages: 1106-1110
    |
    Published online on: January 30, 2012
       https://doi.org/10.3892/mmr.2012.771
  • Expand metrics +
Metrics: Total Views: 0 (Spandidos Publications: | PMC Statistics: )
Metrics: Total PDF Downloads: 0 (Spandidos Publications: | PMC Statistics: )
Cited By (CrossRef): 0 citations Loading Articles...

This article is mentioned in:



Abstract

Pancreatic carcinoma is one of the leading causes of cancer mortality worldwide, although the molecular mechanisms of this disease are poorly understood. The aim of this study was to examine the expression of cyclin-dependent kinase inhibitors (CDKIs) and the epigenetic modifications in the promoters of these genes. We also evaluated the correlation between the methylation status of CDKI genes and smoking habit in clinical pancreatic carcinoma specimens. Western blotting and real-time PCR were performed to assess CDKI expression. Methylation-specific PCR was carried out to examine the methylation status of the promoters of CDKI genes. In this study, we revealed that reduced levels of the CDKI proteins, p15INK4b, p16INK4a, p21cip1 and p27kip1, are a prominent feature of pancreatic carcinoma patients. The DNA hypermethylation of the promoter was observed in 40% (2 of 5) of the p15INK4b genes, 60% (3 of 5) of the p16INK4a genes and 60% of the p21cip1 genes, which markedly correlated with their decreased mRNA expression. No hypermethylation was detected in the p27kip1 gene promoter in 5 pancreatic carcinoma patients with markedly decreased expression of p27kip1 mRNA, suggesting an alternative mechanism of p27kip in these patients. In this study, patients with a smoking habit displayed methylation of 2 CDKI genes in their pancreatic carcinoma specimens. We concluded that epigenetic modification via hypermethylation represents a critical mechanism for the inactivation of CDKI genes in pancreatic carcinoma.

Introduction

Pancreatic carcinoma is one of the leading causes of cancer mortality worldwide. Pancreatic cancer has been reported to be associated with various environmental and lifestyle risk factors. Although the molecular etiology of pancreatic carcinoma is unclear, age and cigarette smoking are the unequivocal risk factors (1).

Due to the aggressive nature of the disease and the difficulties in diagnosis, the overall 5-year survival rate of pancreatic carcinoma is less than 5% (2,3). Novel approaches for the diagnosis and treatment of pancreatic cancer are necessary to improve the survival rate.

Cancer is a genetic disease where alterations in several genes accumulate and lead to a cancer cell growth advantage. Cell-cycle progression is driven by cyclins and cyclin-dependent kinases (CDKs). The activities of cyclin-CDK complexes are modulated by two classes of CDK inhibitor (CDKI) (4). The INK4 CDKI proteins (p15INK4, p16INK4, p18INK4 and p19INK4) sequester CDKs and inhibit the formation of CDK-cyclin complexes, whereas the Cip/Kip CDKIs (p21Waf1/Cip1, p27Kip1 and p57Kip2) bind to cyclin-CDK complexes (5). p21 (also known as waf1, cip1 or sdi1) is an important cellular checkpoint molecule for the inhibition of a range of cyclin-CDK activities. In our previous study, we demonstrated that association of p21cip1 with CDK2/cyclin E blocks cell-cycle progression at multiple points (6,7). The INK4A locus encodes two unrelated proteins, p14ARF and p16INK4a. p16INK4a is a specific inhibitor of the cyclin D-dependent kinases CDK4 and CDK6 (8) and antagonizes their ability to phosphorylate the retinoblastoma (Rb) family of proteins and so prevent exit from the G1 phase of the cell cycle (9). INK4A is important in mediating the signals that constrain the cell cycle in response to hyperproliferative signals, and, furthermore, are the most frequently inactivated tumor suppressor genes in human cancer (10,11).

Promoter methylation is an alternative form of gene silencing, which relies on epigenetic factors. Previous reports have revealed that aberrant INK4a or Cip/Kip promoter methylation is a frequent event in human tumors (12). Studies have indicated that suppressed expression by aberrant promoter methylation may be an alternative mechanism for inactivation of the tumor suppressor gene in pancreatic cancer cases (13).

In the present study, we reported that reduced levels of p15INK4b, p16INK4a, p21cip1 and p27kip1 CDKI proteins and mRNA are prominent features of pancreatic carcinoma. We observed that promoter hypermethylation of genes was partly correlated with decreased p15INK4b, p16INK4a and p21cip1, but not p27kip1, mRNA in the tumors from clinical patients.

Materials and methods

Study subjects

Five frozen fresh tumor specimens were surgically isolated from patients with pancreatic carcinoma. All of these patients were admitted into the third General Surgery Department, Zhongshan Hospital. Ethical approval for this study from the Zhongshan hospital and agreement by all patients were obtained.

Western blot analysis

The tumor and human normal tissues were prepared in lysis buffer from the MC-CelLytics kit (Shenergy Biocolor, Shanghai, China). The protein content was determined using the Bradford calorimetric assay method (Shenergy Biocolor). The lysate was resolved by 10% polyacrylamide-sodium lauryl sulfate gel electrophoresis and Immobilon-P transfer membrane (Millipore, MA, USA). Antibodies used for detection were p15INK4b (Santa Cruz), p16INK4a (Santa Cruz), p21cip1 (Cell Signaling) and p27kip1 (Santa Cruz). Then, the blot was incubated with a secondary antibody, IRDye 800 conjugated affinity purified anti-mouse or anti-rabbit IgG (Rockland Immunochemicals, Gilbertsville, PA, USA), and detected with an Odyssey Infrared Imaging System (LI-COR Bioscienceces, Lincoln, NE, USA).

Real-time RT-PCR analysis

Total RNA was extracted using TRIzol reagent (Invitrogen, Carlsbad, CA, USA) from tumor specimens and normal tissues. RNA was reverse transcribed using a PrimeScript™ RT reagent kit (DRR037A; Takara, Dalian, China). Real-time PCR analysis was performed in a final volume of 25 μl, containing 2 μl of cDNA template, 0.5 μl of each primer (10 μM) and 12.5 μl of a SYBR-Green master mix (2X) according to the instructions of the Real-time PCR kit (Takara, Japan) to evaluate the levels of mRNA expression. The following primers were used: 5′-AAGCTGAGCCCAGGT CTCCTA-3′ (forward) and 5′-CCACCGTTGGCCGTAAACT-3′ (reverse) for p15INK4b; 5′-ACCCTTGTGCCTCGCTCAG-3′ (forward) and 5′-GGTCTGCCGCCGTTTTC-3′ (reverse) for p21cip1, and published primers for p16INK4a (14) and p27kip1 (15). The average amount of the genes was normalized to the levels of GAPDH (16), an endogenous housekeeping gene.

Methylation analysis

The tumor and normal tissue DNA was extracted by Tissue Genomic Isolation kits (Dingguo Bio-tech, Beijing, China). For methylation-specific PCR (MSP), samples were prepared according to the instructions of the CpGenome™ FAST DNA Modification kit (S7824; Chemicon International, CA, USA). Bisulfite-treated DNA was amplified using MSP primers specific for either methylated or unmethylated DNA using published primers for p15INK4b (17), p16INK4a (17), p21cip1 (18) and p27kip1 (18). PCR was carried out with Ex-Taq Hot Start DNA polymerase (Takara). The annealing temperatures used were 60˚C for p15 U/M, 65/60˚C for p16 U/M, 57˚C for p21 U/M and 55˚C for p27 U/M.

Results

Reduced levels of p15INK4b, p16INK4a, p21cip1 and p27kip1 proteins detected in pancreatic carcinoma

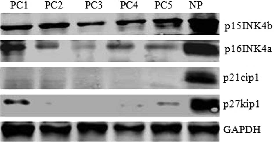
The events leading to pancreatic carcinoma development remain largely unknown. Several studies have shown that the Rb tumor-suppressive pathway is abrogated in almost all studied cases of pancreatic carcinoma, and this disruption is caused exclusively by inactivation of CDKI (19). p15INK4b, p16INK4a, p21cip1 and p27kip1 are considered the most important CDKIs. This led us to ask whether these CDKIs are involved in pancreatic tumor formation. We examined p15INK4b, p16INK4a, p21cip1 and p27kip1 expression in 5 pancreatic carcinoma specimens and controls using western blotting. As shown in Fig. 1, p15INK4b, p16INK4a, p21cip1 and p27kip1 protein levels in 5 pancreatic carcinoma specimens (PC1-5) were much lower than in normal human pancreatic tissue (NP). These data suggest that reduced levels of p15INK4b, p16INK4a, p21cip1 and p27kip1, the negative regulators of cell progression, may be causative of tumor formation in pancreatic carcinoma.

Figure 1

Reduced levels of p15INK4b, p16INK4a, p21cip1 and p27kip1 were detected in pancreatic carcinoma. Western blotting was performed to assess p15INK4b, p16INK4a, p21cip1 and p27kip1 protein levels in pancreatic carcinoma specimens (PC) and normal pancreatic tissue (NP) with GAPDH as the control.

Reduced levels of p15INK4b, p16INK4a, p21cip1 and p27kip1 mRNA expression detected in pancreatic carcinoma

Subsequently, we were interested in whether aberrant mRNA expression levels contributed to these CDKI alterations in pancreatic carcinoma specimens from patients. We evaluated p15INK4b, p16INK4a, p21cip1 and p27kip1 mRNA by real-time RT-PCR analysis to determine whether decreased mRNA accumulation contributed to their protein levels. As shown in Fig. 2, it was preceded by a >3-fold reduction in p15INK4b mRNA expression, a >4-fold reduction in p16INK4a mRNA expression, a >3-fold reduction in p21cip1 mRNA expression and a >4-fold reduction in p27kip1 mRNA expression of PC specimens, as compared to human NP tissue. Our findings suggested that the reduced levels of p15INK4b, p16INK4a, p21cip1 and p27kip1 proteins were likely due to a reduction in their mRNA synthesis, stability or translation in pancreatic carcinoma.

Figure 2

Reduced p15INK4b, p16INK4a, p21cip1 and p27kip1 mRNA expression was detected in pancreatic carcinoma. Real-time PCR was performed to assess p15INK4b, p16INK4a, p21cip1 and p27kip1 mRNA in pancreatic carcinoma specimens (PC) and normal pancreatic tissue (NP) as the control, and normalized to GAPDH expression. The error bars indicate the standard error of the mean of 3 independent experiments.

Methylation status of the p15INK4b, p16INK4a, p21cip1 and p27kip1 promoter region in pancreatic carcinoma

To explore the mechanism associated with the transcriptional silencing of the p15INK4b, p16INK4a, p21cip1 and p27kip1 genes, we examined 5 PC and human NP tissue samples to see whether there was methylation alteration in a CpG-rich region of the transcription initiation site of the these genes. The presence or absence of methylation in the promoters of the p15INK4b, p16INK4a, p21cip1 and p27kip1 genes was determined by MSP. MSP distinguishes unmethylated from methylated alleles based on sequence changes produced following bisulfite treatment of DNA, which converts unmethylated cytosine to uracil, and subsequent PCR using primers designed for either methylated or unmethylated DNA. As shown in Fig. 3, promoter hypermethylation was detected in PC2 and PC5 samples in the p15INK4b gene, PC1, 2 and 3 samples in the p16INK4a gene or PC1, 4 and 5 samples in the p21cip1 gene, while no detectable promoter hypermethylation of the p27kip1 gene was found in all 5 PC samples. No detectable promoter hypermethylation of the p15INK4b, p16INK4a, p21cip1 and p27kip1 genes was found in human NP tissue samples (Fig. 3). Thus, aberrant DNA promoter hypermethylation of the p15INK4b, p16INK4a and p21cip1 genes was thought to play a role in several cases of pancreatic carcinoma that had markedly decreased expression of p15INK4b, p16INK4a and p21cip1 mRNA, concomitant with loss of p15INK4b, p16INK4a and p21cip1 proteins, but not p27kip1 protein (Figs. 2 and 3). Thus, we suggest that DNA hypermethylation associated with transcriptional silencing of the p15INK4b, p16INK4a and p21cip1 genes may partly contribute to pancreatic carcinoma progression.

Figure 3

Methylation status of the p15INK4b, p16INK4a, p21cip1 and p27kip1 promoter regions in pancreatic carcinoma. Methylation-specific PCR was carried out. The presence of a PCR product in lanes M indicates the presence of methylated gene promoter and the presence of a product in lanes U indicates the presence of an unmethylated gene promoter in pancreatic carcinoma specimens (PC) and normal pancreatic tissue (NP).

Pancreatic carcinoma patients with smoking habits displayed methylation of 2 CDKI genes

According to our results, pancreatic carcinoma patients showed reduced levels of p15, p16, p21 and p27 mRNA or proteins. To investigate the correlation between smoking habit and the methylation status of the promoter region in pancreatic carcinoma, these 5 randomly selected pancreatic carcinomas removed from the patients were further studied. As shown in Table I, the patients having smoked for >15 years (PC1, 2 and 5) displayed methylation of 2 genes in their pancreatic carcinoma specimens. On the other hand, the other 2 pancreatic carcinoma specimens (PC3 and 4), with only 1 methylation region in the CDKI genes, occurred in the patients without a cigarette smoking record (Table I). Thus, we suggest that cigarette smoking may be associated with pancreatic tumorigenesis by inducing the methylation of the promoter regions of the CDKI genes.

Table I

Association between smoking and methylation status.

Table I

Association between smoking and methylation status.

No.GenderAge (years)Cigarette smokingp15ap16ap21a
1M42Yes×✓✓
2F62Yes✓✓×
3F49No×✓×
4F60No××✓
5M56Yes✓×✓

a Methylation status of the gene promoters.

Discussion

In this study, we revealed that the reduced levels of two classes of CDKI protein, including p15INK4b, p16INK4a, p21cip1 and p27kip1, are a prominent feature of pancreatic carcinomas. Moreover, a reduced amount of p15INK4b, p16INK4a, p21cip1 and p27kip1 mRNA expression was found in all of the pancreatic carcinoma samples. We observed that hypermethylation of the p15INK4b, p16INK4a and p21cip1 promoters, but not the p27kip1 promoter, was partly correlated with markedly decreased mRNA expression. Thus, we suggest that hypermethylation associated with transcriptional silencing of the p15INK4b, p16INK4a and p21cip1 gene may contribute to the progression of certain pancreatic carcinomas.

Due to the few treatment options for pancreatic carcinoma, understanding of the molecular pathology is a prerequisite for identifying potential molecular targets for drug therapy. CDKIs are negative regulators of cell-cycle progression at the G1-S restriction point. In this study, we showed that the reduced levels of p15INK4b, p16INK4a, p21cip1 and p27kip1 proteins were a prominent feature in the 5 pancreatic carcinoma specimens analyzed (Fig. 1), indicating that the reduced levels of p15INK4b, p16INK4a, p21cip1 and p27kip1, the negative regulators of cell progression, are involved in the tumor formation in pancreatic carcinoma.

Moreover, a reduced amount of p15INK4b, p16INK4a, p21cip1 and p27kip1 mRNA normal expression was found in 5 pancreatic carcinoma samples (Fig. 2). We observed patients with a markedly decreased >3-fold reduction in p15INK4b mRNA, a 4-fold reduction in p16INK4a mRNA, a 3-fold reduction in p21cip1 mRNA and a 4-fold reduction in p27kip1 mRNA, concomitant with reduced levels of these CDKI proteins in sporadic pancreatic carcinoma (Figs. 1 and 2). The methylation status of the p15INK4b, p16INK4a, p21cip1 and p27kip1 promoter region was detected using MSP. The DNA hypermethylation promoter was found in 40% (2 of 5) of the p15INK4b genes, 60% (3 of 5) of the p16INK4a genes, 60% (3 of 5) of the p21cip1 genes and 0% (0 of 5) of the p27kip1 genes, and markedly correlated with decreased mRNA expression in pancreatic carcinoma patients (Figs. 2 and 3). Moreover, all 5 pancreatic carcinoma patients (100%; 5/5) displayed methylation of 1 or more genes, 60% (3/5) displayed methylation of 2 genes, while control tissue did not display any methylation. It has been shown that aberrant methylation is the most prominent feature of pancreatic carcinoma, causing alterations in the expressions of genes (13). Thus, we demonstrated that the epigenetic modification of p15INK4b, p16INK4a and p21cip1 via hypermethylation represents a critical mechanism for, at least in part, the inactivation of these genes in pancreatic carcinoma. In all 5 of our pancreatic carcinoma patients with markedly decreased expression of p27kip1 mRNA, we were unable to detect hypermethylation in the promoter region, suggesting an alternative mechanism of the p27kip1 gene in these patients.

Pancreatic carcinoma has been reported to be associated with various environmental and lifestyle risk factors, occupational exposures and medical conditions; however, the only risk factors consistently reported are age and smoking status, and the etiology of the disease remains largely unknown (1). In this study, we analyzed the correlation between smoking status and biological events in 5 randomly selected sporadic pancreatic carcinomas. Indeed, the patients smoking cigarettes for more than 15 years (PC1, 2 and 5) displayed methylation of 2 genes in their pancreatic carcinoma specimens. On the other hand, the other 2 pancreatic carcinoma specimens (PC3 and 4) with only 1 methylation region in the CDKI genes were surgically isolated from the patients without a cigarette smoking record (Table I). Thus, we suggest that cigarette smoking may be associated with pancreatic tumorigenesis by inducing the methylation of the promoter regions of the CDKI genes.

Our previous data suggested that expression of p21cip1 stops cell growth progression by inactivation of CDK activity, which in turn blocks the cell cycle at the G1 and G2 phases (20,21). Consistent with our previous finding that heightened CDK/cyclin signal transduction concomitant with loss of p27kip1 (22), the present study indicates that the reduced levels of the CDKI protein are a prominent feature of pancreatic carcinoma. These data suggest that the reduced levels of p15INK4b, p16INK4a, p21cip1 and p27kip1 may lead to defects in cell-cycle regulation and confer a selective growth advantage for pancreatic cancer cells. Thus, we showed that reduced levels of p15INK4b, p16INK4a, p21cip1 and p27kip1, the negative regulators of cell progression, may be causative of tumor formation in pancreatic cancer cells.

Taken together, reduced levels of p15INK4b, p16INK4a, p21cip1 and p27kip1 are a fundamental event in tumor formation in the clinical pancreatic carcinoma patients. The CDK inhibitors may interact to mediate signals that are critical growth inhibitors. This growth regulatory circuit would be disrupted, such as in pancreatic carcinoma. Thus, our observations have significant implications for understanding the importance of p15INK4b, p16INK4a, p21cip1 and p27kip1; reduced levels of these CDKI proteins contribute to tumorigenesis in pancreatic carcinoma and developing ways to target aberrantly active parts of this growth regulatory pathway may lead to increased survival.

Acknowledgements

This study was supported by the Natural Science Foundation of China (81071740) and the Shanghai Science Foundation (10ZR1406300).

References

1 

P GhadirianHT LynchD KrewskiEpidemiology of pancreatic cancer: an overviewCancer Detect Prev278793200310.1016/S0361-090X(03)00002-312670518

2 

AF HezelAC KimmelmanBZ StangerN BardeesyRA DepinhoGenetics and biology of pancreatic ductal adenocarcinomaGenes Dev2012181249200610.1101/gad.141560616702400

3 

A JemalR SiegelE WardCancer statisticsCA Cancer J Clin5871962008

4 

SJ ElledgeJ WinstonJW HarperA question of balance: the role of cyclin-kinase inhibitors in development and tumorigenesisTrends Cell Biol6388392199610.1016/0962-8924(96)10030-115157521

5 

JW HarperGR AdamiN WeiK KeyomarsiSJ ElledgeThe p21 Cdk-interacting protein Cip1 is a potent inhibitor of G1 cyclin-dependent kinasesCell75805816199310.1016/0092-8674(93)90499-G8242751

6 

JJ TangC ShenYJ LuRequirement for pre-existing of p21 to prevent doxorubicin-induced apoptosis through inhibition of caspase-3 activationMol Cell Biochem291139144200610.1007/s11010-006-9206-716909308

7 

Y LuN YamagishiT YagiH TakebeMutated p21(WAF1/CIP1/SDI1) lacking CDK-inhibitory activity fails to prevent apoptosis in human colorectal carcinoma cellsOncogene16705712199810.1038/sj.onc.12015859488034

8 

M SerranoGJ HannonD BeachA new regulatory motif in cell-cycle control causing specific inhibition of cyclin D/CDK4Nature366704707199310.1038/366704a08259215

9 

CJ SherrJM RobertsCDK inhibitors: positive and negative regulators of G1-phase progressionGenes Dev1315011512199910.1101/gad.13.12.150110385618

10 

P HainautT SoussiB ShomerDatabase of p53 gene somatic mutations in human tumors and cell lines: updated compilation and future prospectsNucleic Acids Res25151157199710.1093/nar/25.1.1519016527

11 

M HallG PetersGenetic alterations of cyclins, cyclin-dependent kinases, and Cdk inhibitors in human cancerAdv Cancer Res6867108199610.1016/S0065-230X(08)60352-88712071

12 

F PerroneS TabanoF Colombop15INK4b, p14ARF, and p16INK4a inactivation in sporadic and neurofibromatosis type 1-related malignant peripheral nerve sheath tumorsClin Cancer Res941324138200314519636

13 

B KlumpCJ HsiehO NehlsMethylation status of p14ARF and p16INK4a as detected in pancreatic secretionsBr J Cancer88217222200310.1038/sj.bjc.660073412610506

14 

Y KuriharaK EgawaS KunimotoT TakeuchiK NoseInduction of p16/INK4a gene expression and cellular senescence by toyocamycinBio Pharm Bull2512721276200210.1248/bpb.25.127212392077

15 

B CenH LiIB WeinsteinHistidine triad nucleotide-binding protein 1 up-regulates cellular levels of p27KIP1 by targeting ScfSKP2 ubiquitin ligase and SrcJ Biol Chem28452655276200919112177

16 

AB WestG KapatosC O'FarrellN-myc regulates parkin expressionJ Biol Chem2792889628902200415078880

17 

JG HermanJR GraffS MyöhänenBD NelkinSB BaylinMethylation-specific PCR: a novel PCR assay for methylation status of CpG islandsProc Natl Acad Sci USA939821982619968790415

18 

K BrakensiekF LängerH KreipeU LehmannAbsence of p21CIP1, p27KIP1 and p57KIP2 methylation in MDS and AMLLeuk Res2913571360200515936816

19 

G SchneiderRM SchmidGenetic alterations in pancreatic carcinomaMol Cancer2215200310.1186/1476-4598-2-15

20 

H WuY ChenZY WangInvolvement of p21 (waf1) in merlin deficient sporadic vestibular schwannomasNeuroscience170149155201020600642

21 

Y JiSL MaYP ZhangA combined treatment TNF-α/Gefitinib alleviates the resistance to Gefitinib in PC-9 cells with acquired resistance to GefitinibAnticancer Drug208328372009

22 

Z WangY LuJ TangH WangH WuThe phosphorylation status of merlin in sporadic vestibular SchwannomasMol Cell Biochem324201206200919142715

Related Articles

  • Abstract
  • View
  • Download
  • Twitter
Copy and paste a formatted citation
Spandidos Publications style
Li G, Ji Y, Liu C, Li J and Zhou Y: Reduced levels of p15INK4b, p16INK4a, p21cip1 and p27kip1 in pancreatic carcinoma. Mol Med Rep 5: 1106-1110, 2012.
APA
Li, G., Ji, Y., Liu, C., Li, J., & Zhou, Y. (2012). Reduced levels of p15INK4b, p16INK4a, p21cip1 and p27kip1 in pancreatic carcinoma. Molecular Medicine Reports, 5, 1106-1110. https://doi.org/10.3892/mmr.2012.771
MLA
Li, G., Ji, Y., Liu, C., Li, J., Zhou, Y."Reduced levels of p15INK4b, p16INK4a, p21cip1 and p27kip1 in pancreatic carcinoma". Molecular Medicine Reports 5.4 (2012): 1106-1110.
Chicago
Li, G., Ji, Y., Liu, C., Li, J., Zhou, Y."Reduced levels of p15INK4b, p16INK4a, p21cip1 and p27kip1 in pancreatic carcinoma". Molecular Medicine Reports 5, no. 4 (2012): 1106-1110. https://doi.org/10.3892/mmr.2012.771
Copy and paste a formatted citation
x
Spandidos Publications style
Li G, Ji Y, Liu C, Li J and Zhou Y: Reduced levels of p15INK4b, p16INK4a, p21cip1 and p27kip1 in pancreatic carcinoma. Mol Med Rep 5: 1106-1110, 2012.
APA
Li, G., Ji, Y., Liu, C., Li, J., & Zhou, Y. (2012). Reduced levels of p15INK4b, p16INK4a, p21cip1 and p27kip1 in pancreatic carcinoma. Molecular Medicine Reports, 5, 1106-1110. https://doi.org/10.3892/mmr.2012.771
MLA
Li, G., Ji, Y., Liu, C., Li, J., Zhou, Y."Reduced levels of p15INK4b, p16INK4a, p21cip1 and p27kip1 in pancreatic carcinoma". Molecular Medicine Reports 5.4 (2012): 1106-1110.
Chicago
Li, G., Ji, Y., Liu, C., Li, J., Zhou, Y."Reduced levels of p15INK4b, p16INK4a, p21cip1 and p27kip1 in pancreatic carcinoma". Molecular Medicine Reports 5, no. 4 (2012): 1106-1110. https://doi.org/10.3892/mmr.2012.771
Follow us
  • Twitter
  • LinkedIn
  • Facebook
About
  • Spandidos Publications
  • Careers
  • Cookie Policy
  • Privacy Policy
How can we help?
  • Help
  • Live Chat
  • Contact
  • Email to our Support Team