Spandidos Publications Logo
  • About
    • About Spandidos
    • Aims and Scopes
    • Abstracting and Indexing
    • Editorial Policies
    • Reprints and Permissions
    • Job Opportunities
    • Terms and Conditions
    • Contact
  • Journals
    • All Journals
    • Oncology Letters
      • Oncology Letters
      • Information for Authors
      • Editorial Policies
      • Editorial Board
      • Aims and Scope
      • Abstracting and Indexing
      • Bibliographic Information
      • Archive
    • International Journal of Oncology
      • International Journal of Oncology
      • Information for Authors
      • Editorial Policies
      • Editorial Board
      • Aims and Scope
      • Abstracting and Indexing
      • Bibliographic Information
      • Archive
    • Molecular and Clinical Oncology
      • Molecular and Clinical Oncology
      • Information for Authors
      • Editorial Policies
      • Editorial Board
      • Aims and Scope
      • Abstracting and Indexing
      • Bibliographic Information
      • Archive
    • Experimental and Therapeutic Medicine
      • Experimental and Therapeutic Medicine
      • Information for Authors
      • Editorial Policies
      • Editorial Board
      • Aims and Scope
      • Abstracting and Indexing
      • Bibliographic Information
      • Archive
    • International Journal of Molecular Medicine
      • International Journal of Molecular Medicine
      • Information for Authors
      • Editorial Policies
      • Editorial Board
      • Aims and Scope
      • Abstracting and Indexing
      • Bibliographic Information
      • Archive
    • Biomedical Reports
      • Biomedical Reports
      • Information for Authors
      • Editorial Policies
      • Editorial Board
      • Aims and Scope
      • Abstracting and Indexing
      • Bibliographic Information
      • Archive
    • Oncology Reports
      • Oncology Reports
      • Information for Authors
      • Editorial Policies
      • Editorial Board
      • Aims and Scope
      • Abstracting and Indexing
      • Bibliographic Information
      • Archive
    • Molecular Medicine Reports
      • Molecular Medicine Reports
      • Information for Authors
      • Editorial Policies
      • Editorial Board
      • Aims and Scope
      • Abstracting and Indexing
      • Bibliographic Information
      • Archive
    • World Academy of Sciences Journal
      • World Academy of Sciences Journal
      • Information for Authors
      • Editorial Policies
      • Editorial Board
      • Aims and Scope
      • Abstracting and Indexing
      • Bibliographic Information
      • Archive
    • International Journal of Functional Nutrition
      • International Journal of Functional Nutrition
      • Information for Authors
      • Editorial Policies
      • Editorial Board
      • Aims and Scope
      • Abstracting and Indexing
      • Bibliographic Information
      • Archive
    • International Journal of Epigenetics
      • International Journal of Epigenetics
      • Information for Authors
      • Editorial Policies
      • Editorial Board
      • Aims and Scope
      • Abstracting and Indexing
      • Bibliographic Information
      • Archive
    • Medicine International
      • Medicine International
      • Information for Authors
      • Editorial Policies
      • Editorial Board
      • Aims and Scope
      • Abstracting and Indexing
      • Bibliographic Information
      • Archive
  • Articles
  • Information
    • Information for Authors
    • Information for Reviewers
    • Information for Librarians
    • Information for Advertisers
    • Conferences
  • Language Editing
Spandidos Publications Logo
  • About
    • About Spandidos
    • Aims and Scopes
    • Abstracting and Indexing
    • Editorial Policies
    • Reprints and Permissions
    • Job Opportunities
    • Terms and Conditions
    • Contact
  • Journals
    • All Journals
    • Biomedical Reports
      • Information for Authors
      • Editorial Policies
      • Editorial Board
      • Aims and Scope
      • Abstracting and Indexing
      • Bibliographic Information
      • Archive
    • Experimental and Therapeutic Medicine
      • Information for Authors
      • Editorial Policies
      • Editorial Board
      • Aims and Scope
      • Abstracting and Indexing
      • Bibliographic Information
      • Archive
    • International Journal of Epigenetics
      • Information for Authors
      • Editorial Policies
      • Editorial Board
      • Aims and Scope
      • Abstracting and Indexing
      • Bibliographic Information
      • Archive
    • International Journal of Functional Nutrition
      • Information for Authors
      • Editorial Policies
      • Editorial Board
      • Aims and Scope
      • Abstracting and Indexing
      • Bibliographic Information
      • Archive
    • International Journal of Molecular Medicine
      • Information for Authors
      • Editorial Policies
      • Editorial Board
      • Aims and Scope
      • Abstracting and Indexing
      • Bibliographic Information
      • Archive
    • International Journal of Oncology
      • Information for Authors
      • Editorial Policies
      • Editorial Board
      • Aims and Scope
      • Abstracting and Indexing
      • Bibliographic Information
      • Archive
    • Medicine International
      • Information for Authors
      • Editorial Policies
      • Editorial Board
      • Aims and Scope
      • Abstracting and Indexing
      • Bibliographic Information
      • Archive
    • Molecular and Clinical Oncology
      • Information for Authors
      • Editorial Policies
      • Editorial Board
      • Aims and Scope
      • Abstracting and Indexing
      • Bibliographic Information
      • Archive
    • Molecular Medicine Reports
      • Information for Authors
      • Editorial Policies
      • Editorial Board
      • Aims and Scope
      • Abstracting and Indexing
      • Bibliographic Information
      • Archive
    • Oncology Letters
      • Information for Authors
      • Editorial Policies
      • Editorial Board
      • Aims and Scope
      • Abstracting and Indexing
      • Bibliographic Information
      • Archive
    • Oncology Reports
      • Information for Authors
      • Editorial Policies
      • Editorial Board
      • Aims and Scope
      • Abstracting and Indexing
      • Bibliographic Information
      • Archive
    • World Academy of Sciences Journal
      • Information for Authors
      • Editorial Policies
      • Editorial Board
      • Aims and Scope
      • Abstracting and Indexing
      • Bibliographic Information
      • Archive
  • Articles
  • Information
    • For Authors
    • For Reviewers
    • For Librarians
    • For Advertisers
    • Conferences
  • Language Editing
Login Register Submit
  • This site uses cookies
  • You can change your cookie settings at any time by following the instructions in our Cookie Policy. To find out more, you may read our Privacy Policy.

    I agree
Search articles by DOI, keyword, author or affiliation
Search
Advanced Search
presentation
Molecular Medicine Reports
Join Editorial Board Propose a Special Issue
Print ISSN: 1791-2997 Online ISSN: 1791-3004
Journal Cover
August 2012 Volume 6 Issue 2

Full Size Image

Sign up for eToc alerts
Recommend to Library

Journals

International Journal of Molecular Medicine

International Journal of Molecular Medicine

International Journal of Molecular Medicine is an international journal devoted to molecular mechanisms of human disease.

International Journal of Oncology

International Journal of Oncology

International Journal of Oncology is an international journal devoted to oncology research and cancer treatment.

Molecular Medicine Reports

Molecular Medicine Reports

Covers molecular medicine topics such as pharmacology, pathology, genetics, neuroscience, infectious diseases, molecular cardiology, and molecular surgery.

Oncology Reports

Oncology Reports

Oncology Reports is an international journal devoted to fundamental and applied research in Oncology.

Experimental and Therapeutic Medicine

Experimental and Therapeutic Medicine

Experimental and Therapeutic Medicine is an international journal devoted to laboratory and clinical medicine.

Oncology Letters

Oncology Letters

Oncology Letters is an international journal devoted to Experimental and Clinical Oncology.

Biomedical Reports

Biomedical Reports

Explores a wide range of biological and medical fields, including pharmacology, genetics, microbiology, neuroscience, and molecular cardiology.

Molecular and Clinical Oncology

Molecular and Clinical Oncology

International journal addressing all aspects of oncology research, from tumorigenesis and oncogenes to chemotherapy and metastasis.

World Academy of Sciences Journal

World Academy of Sciences Journal

Multidisciplinary open-access journal spanning biochemistry, genetics, neuroscience, environmental health, and synthetic biology.

International Journal of Functional Nutrition

International Journal of Functional Nutrition

Open-access journal combining biochemistry, pharmacology, immunology, and genetics to advance health through functional nutrition.

International Journal of Epigenetics

International Journal of Epigenetics

Publishes open-access research on using epigenetics to advance understanding and treatment of human disease.

Medicine International

Medicine International

An International Open Access Journal Devoted to General Medicine.

Journal Cover
August 2012 Volume 6 Issue 2

Full Size Image

Sign up for eToc alerts
Recommend to Library

  • Article
  • Citations
    • Cite This Article
    • Download Citation
    • Create Citation Alert
    • Remove Citation Alert
    • Cited By
  • Similar Articles
    • Related Articles (in Spandidos Publications)
    • Similar Articles (Google Scholar)
    • Similar Articles (PubMed)
  • Download PDF
Article Open Access

Contactin 1 (CNTN1) expression associates with regional lymph node metastasis and is a novel predictor of prognosis in patients with oral squamous cell carcinoma

  • Authors:
    • He-Ming Wu
    • Wei Cao
    • Dongxia Ye
    • Guo-Xin Ren
    • Yu-Nong Wu
    • Wei Guo
  • View Affiliations / Copyright

    Affiliations: Shanghai Key Laboratory of Stomatology, Department of Oral and Maxillofacial - Head and Neck Oncology, Ninth People's Hospital, School of Medicine, Shanghai Jiao Tong University, Shanghai 200011, P.R. China, Institute of Stomatology, Department of Oral and Maxillofacial Surgery, Nanjing Medical University, Nanjing, Jiangsu 210029, P.R. China
    Copyright: © Wu et al. This is an open access article distributed under the terms of Creative Commons Attribution License [CC BY_NC 3.0].
  • Pages: 265-270
    |
    Published online on: May 9, 2012
       https://doi.org/10.3892/mmr.2012.910
  • Expand metrics +
Metrics: Total Views: 0 (Spandidos Publications: | PMC Statistics: )
Metrics: Total PDF Downloads: 0 (Spandidos Publications: | PMC Statistics: )
Cited By (CrossRef): 0 citations Loading Articles...

This article is mentioned in:



Abstract

The contactin 1 (CNTN1) gene exerts oncogene‑like activities and its expression has been linked to several human malignancies. In this study, a possible association between CNTN1 expression and clinicopathological parameters and clinical outcomes in patients with oral squamous cell carcinoma (OSCC) was examined. CNTN1 protein expression was evaluated by immunohistochemistry in OSCC tissues of 45 patients. For the immunohistochemical assessment of CNTN1 expression, the cytoplasmic staining labeling index was analyzed using a semiquantitative score. The association between CNTN1 protein levels and clinicopathological factors was analyzed using the Mann-Whitney U test for categorical variables and the Kruskal-Wallis test for continuous variables. The effects of CNTN1 expression on overall and disease-free survival were assessed by using univariate survival analysis. The transcript levels of CNTN1 were detected in OSCC cell lines. In addition, specific siRNA against CNTN1 was applied to investigate the effect exerted by CNTN1 ablation on OSCC cell lines by proliferation and invasion assays in vitro. During follow-up, 16 patients (35.56%) had succumbed to OSCC; the median follow-up of patients was 5.0 years (range, 0.2-8.3). A high expression of CNTN1 was markedly associated with the regional lymph node metastasis of patients with OSCC (P=0.006). CNTN1 expression was significantly associated with overall survival of patients with OSCC (P=0.032; log-rank test) and disease-free survival of patients with OSCC (P=0.038; log-rank test). In addition, CNTN1 ablation notably suppressed the invasion potential of OSCC cell lines, but there was no significant change in the proliferation of OSCC cell lines by CNTN1 knockdown in vitro. The study supports CNTN1 as a novel predictor of regional lymph node metastasis in patients with OSCC and a prognostic marker for OSCC in patients.

Introduction

Oral squamous cell carcinoma (OSCC) accounts for more than 90% of oral cavity tumors. With approximately 8000 mortalities per year nationally, it constitutes approximately 3% of all cancer cases in the United States and is one of the six most frequent types of cancer worldwide (1). Although tobacco and alcohol are regarded as primary risk factors, it is clear that genetic and epigenetic factors contribute to this cancer (2). On this basis, novel molecular markers involved in OSCC development and progress should be investigated.

The protein encoded by the CNTN1 gene is a member of the immunoglobulin superfamily, which includes N-CAM, L1 and Nr-CAM. CNTN1 is a glycosylphosphatidylinositol (GPI)-anchored neuronal membrane protein that functions as a cell adhesion molecule (3). It mediates cell surface interactions during nervous system development, involving the formation of paranodal axo-glial junctions in myelinated peripheral nerves and signaling between axons and myelinating glial cells via its association with CNTNAP1. In addition, as a ligand of Notch1, CNTN1 promotes Notch1 activation which is involved in oligodendrocyte generation through the released notch intracellular domain (NICD) and subsequent translocation to the nucleus (4). However, it is becoming increasingly evident that certain members of this immunoglobulin superfamily facilitate the motility, invasion and metastasis of cancer (5,6). Additionally, the location of CNTN1 in the 12q11-q12 chromosomal region, which is a breakpoint region in several types of cancer, suggests that CNCT1 is involved in tumor formation or progression.

Notably, in vitro silencing of CNTN1 expression may inhibit the invasive and metastatic ability of lung adenocarcinoma cells (7). Furthermore, VEGF-C/Flt-4-mediated invasion and metastasis of cancer cells were found to be through the upregulation of the neural cell adhesion molecule CNTN1 which activated the Src-p38 MAPK-C/EBP-dependent pathway (8). In view of its malignant phenotype-promoting activities in cancer cells and its growth-promoting abilities in neural cells, this study investigated the possibility of CNTN1 as a prognostic marker for patients with OSCC and the association between CNTN1 expression and metastasis of OSCC in vivo. CNTN1 protein levels were evaluated in 45 primary OSCC specimens by immunohistochemistry. Our study demonstrates that CNTN1 protein level was markedly associated with lymph node metastasis of patients with OSCC (P=0.006). CNTN1 expression was significantly associated with overall survival of patients with OSCC (P=0.032; log-rank) and disease-free survival of patients with OSCC (P=0.038; log-rank). In vitro results revealed that CNTN1 ablation was able to inhibit the invasion potential of OSCC cells, but not proliferation of OSCC cells. We conclude that CNTN1 is a novel and powerful factor for the metastasis and prognosis of OSCC patients.

Patients and methods

Patients and specimens

Patients (n=45) with stage I to IV OSCC who underwent radical surgery at the Department of Oral and Maxillofacial Surgery, Shanghai Ninth People's Hospital, Shanghai Jiao Tong University School of Medicine, Shanghai, China between January 2002 and December 2002, who had not undergone radio-or chemotherapy, were enrolled into this prospective study. All of the tumors were classified according to the International Union Against Cancer (UICC) tumor/lymph node/metastasis (TNM) classification system (9). Histological diagnoses of OSCC were made according to the criteria of the World Health Organization (WHO) for the histological typing of cancer (10). Patients were biopsied and histopathologically examined at the Ninth People's Hospital, Shanghai Jiao Tong University School of Medicine, Shanghai, China. Patients were prospectively evaluated (chest X-ray or thoracic CT scan, abdominal sonography or CT scan or MRI and serum chemistry) every 3 months for the first 2 years after surgery, every 6 months for the following 3 years and annually thereafter. This study was approved by the ethics committee of Shanghai Ninth People's Hospital. Informed consent was obtained from each patient. A total of 45 patients with follow-up periods up to 8.3 years were included in the study. Annual follow-up data were retrieved from the medical records. The specimens were fixed in 10%-buffered formalin and embedded in paraffin wax. Paraffin blocks were sectioned into 4 μm slices.

Cell lines

The human HNSCC cell lines Tca, Tca-M, Tb, Tca/CDDP (kindly provided by the Shanghai Ninth People's Hospital, Shanghai, China), TSCC (kindly provided by Wuhan University, School of Medicine, China), OSC-4, NB and NT (kindly provided by Kochi University, School of Medicine, Japan) were cultured in RPMI-1640 medium (Gibco-BRL, Carlsbad, CA, USA) supplemented with 10% heat-inactivated fetal bovine serum (FBS; Gibco-BRL), penicillin (100 U/ml) and streptomycin (100 μg/ml) at 37°C in a humidified 5% CO2 atmosphere. CAL27 (American Type Culture Collection, Manassas, VA, USA) was cultured in Dulbecco's modified Eagle is medium (DMEM; Gibco BRL) supplemented with 10% heat-inactivated FBS (Gibco BRL), penicillin (100 U/ml) and streptomycin (100 μg/ml) at 37°C in a humidified 5% CO2 atmosphere.

Immunohistochemistry

The avidin-biotin complex (ABC) technique was performed using a Vectastain Elite ABC kit (Vector Laboratories, Inc., Burlingame, CA, USA). Briefly, paraffin-embedded tissue sections were dewaxed and rehydrated using xylene and a series of graded alcohols. To determine antigenicity, slides were steamed with 10 mmol/l citrate buffer (pH 6.0; DAKO/Cytomation, Glostrup, Denmark) for 20 min. Endogenous peroxidase activity was quenched by immersing the slides in 3% hydrogen peroxide in double-distilled water for 20 min. Tissue sections were blocked with 10% normal horse serum for 30 min at room temperature. The slides were then incubated with monoclonal anti-CNTN1 antibody at 1:100 dilution (Santa Cruz Biotechnology, Inc., Santa Cruz, CA, USA) at 4°C overnight. Each section was treated with biotinylated-secondary antibody for 30 min at room temperature. Diaminobenzidine was used as the chromogen for the immunoperoxidase reaction and the slides were counterstained with Mayer's hematoxylin (DAKO/Cytomation). Sections were thoroughly washed, glass covered and analysed by light microscopy, using a magnification of up to ×400. For the immunohistochemical assessment of CNTN1 expression, the frequency of cytoplasmic staining was evaluated using a semiquantitative score: 0–1, from negativity to positivity in <50% (low expression); 2, positivity in >50% (high expression). The score of each lesion was the average of the indices generated by two observers (W.C. and H.M.W.) blinded to the clinical information. The differences between the two observers were <10% in almost all cases.

Reverse transcription-polymerase chain reaction (RT-PCR) analysis

High quality total RNA (2 μg) was directly processed to cDNA using the reverse transcription kit (Promega, Madison, WI, USA), following the manufacturer's instructions, in a total volume of 25 μl. The primer sequences used were: CNTN1, forward: 5′-CAACAAAACCATATCCTGCTGA-3′; reverse: 5′-AGATCACTGCCTATGTCCACCT-3′; β-actin, forward: 5′-TCACCCACACTGTGCCCATCTACGA-3′; reverse: 5′-CAGCGGAACCGCTCATTGCCAATGG-3′; Each primer was added at a final concentration of 0.5 μM to a 15 μl reaction mixture in PCR buffer, containing 1 μl cDNA, 0.25 mM of each dNTPs, 1.5 mM MgCl2 and 2.5 units Taq DNA polymerase. An initial denaturation was conducted for 5 min at 94°C and 35 cycles were performed with the following PCR program: denaturation at 94°C for 30 sec, annealing at 45 for 60°C for CNTN1 for 30 sec and 55°C for β-actin for 30 sec, elongation at 72°C for 30 sec, followed by a final extension of 5 min at 72°C. Ethidium bromide-stained bands were visualized by UV transillumination and the fluorescence intensity was quantified using the FR-200 system (Shanghai FURI Science and Technology Co., Ltd., Shanghai, China). RT-PCR data were from at least three independent experiments.

Small interfering RNA (siRNA) knockdown

Two siRNAs against CNTN1 were designed and chemically synthesized (Shanghai GenePharma Co., Ltd., Shanghai, China). The siRNA which had a greater silencing effect was selected for further study, with the following sequence: CNTN1-siRNA_1697: 5′-GGUCCUUCAAUGGCUAUGUTT-3′ and 5′-ACA UAGCAUUGAAGGACCTT-3′ for nucleotides 1697–1718. In addition, a negative control, siRNA_NC; 5′-UUCUCCGAACGUGUCACGUTT-3′ and 5′-ACG UGACACGUUCGGAGAATT-3′ was also synthesized. The in vitro transient transfection was performed using Lipofectamine 2000 (Invitrogen, Carlsbad, CA, USA) according to the manufacturer's instructions.

Proliferation assay

Proliferation assays were performed to analyze the proliferation potential of transient-transfected si-RNA_1697, siRNA_NC and Lipofectamine 2000 only into cells by using the Cell-Counting kit (CCK)-8 (Dojindo, Kumamoto, Japan). The cells were harvested and plated onto 96-well plates at 1×103 cells per well and maintained at 37°C in a humidified incubator. At the indicated times, 10 μl of the CCK-8 solution were added into the triplicate wells and incubated for 1 h and the absorbance at 450 nm was measured to calculate the number of vital cells in each well. Cells were performed in triplicate and the mean [± standard deviation (SD)] optical density (OD) was reported.

Invasion assays

A total of 1×105 various cells in 750 μl serum-free RPMI-1640 medium were plated onto a BD BioCoat™ Matrigel™ Invasion Chamber (8 μm pore size; BD Biosciences, Franklin Lakes, NJ, USA) and the lower chamber was immediately filled with 750 μl of RPMI-1640 medium with 10% FBS as a chemoattractant. After 48 h of incubation in a humidified atmosphere containing 5% CO2 at 37°C, the non-invading cells were removed from the upper surface of the membrane by a cotton swab and the membranes were then fixed with methanol and stained with 0.5% crystal violet. Invading cells were captured and counted in five random non-overlapping fields under a light microscope (magnification, ×100).

Statistical analysis

The associations between CNTN1 expression status and clinicopathological parameters were analyzed using the Mann-Whitney U test and the Kruskal-Wallis test for categorical variables. The probability of overall survival and disease-free survival by CNTN1 protein expression was determined using the Kaplan-Meier method. Paired t-test was used for analysis of the in vitro studies. Analyses were conducted using SAS 9.1.3 software. The tests were two-sided, and P<0.05 was considered to indicate a statistically significant difference.

Results

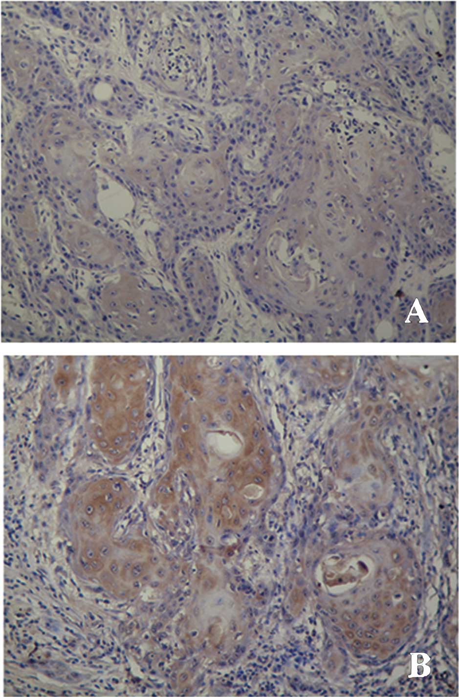
Correlation between CNTN1 expression and patient characteristics

To identify the association between CNTN1 expression and clinicopathological factors, the expression of CNTN1 was analyzed in 45 primary OSCCs by immunohistochemistry. Positive lesions demonstrated clearly membrane or cytoplasmic localization of the CNTN1 protein (Fig. 1), which is consistent with its function in cells. Distribution of the CNTN1 expression status and associations with general clinicopathological parameters are shown in Table I. Of 45 patients enrolled in this study, 12 (26.7%) patients had regional lymph node metastasis to a certain extent. Furthermore, 9 (75%) of 12 (26.7%) patients with regional lymph node metastasis revealed a high expression level of CNTN1, whereas 22 (66.7%) of 33 (73.33%) patients without regional lymph node metastasis revealed a low expression level of CNTN1. A significantly high expression level of CNTN1 was found to be markedly association with patients who had regional lymph node metastasis. Additionally, no statistically significant correlation was found between CNTN1 protein level and other clinicopathological factors, including age (P=0.063), gender (P=0.064), clinical TNM classification (P=0.069), pathological grade (P=0.527) and tumor recurrence (P=0.640).

Figure 1

Expression of CNTN1 in OSCC. CNTN1 expression was detected within the cytoplasm of OSCC cells. (A) Low staining of CNTN1 in OSCC CNTN1. (B) High staining of CNTN1 expression in OSCC. (A and B): Original magnification, ×100. CNTN1, contactin 1; OSCC, oral squamous cell carcinoma.

Table I

Correlation between CNTN1 expression and patient characteristics.

Table I

Correlation between CNTN1 expression and patient characteristics.

CNTN1 expression (No. of cases)

CharacteristicsLowHighP-value
Age at diagnosis
 <60 years2080.063
 ≥60 years710
Gender
 Female8110.064
 Male197
TNM classification
 I or II1630.069
 III or IV1115
Regional metastasis
 With390.006
 Without249
Recurrence
 With310.640
 Without2417
Histological grading
 I1150.527
 II1613
 III00

[i] CNTN1, contactin 1.

CNTN1 expression and patient survival

To determine whether CNTN1 protein expression is a prognostic marker for patients with OSCC, the overall and the disease-free survival of OSCC were calculated using the log-rank test and curves were constructed using the Kaplan-Meier method (Fig. 2). The median follow-up of patients was 5.0 years (range, 0.2–8.3). During the follow-up of 45 patients, 16 patients (35.56%) succumbed to OSCC. Of these 16 patients, 6 patients (37.5%) demonstrated a low protein level of CNTN1, while 10 patients (62.5%) demonstrated a high protein level of CNTN1. The survival of patients with OSCC was calculated from the time of radical surgery until the end of the follow-up. The disease-free survival rate at 3 and 5 years after radical surgery for the whole cohort of patients was 71.11 and 64.44%, respectively. Survival analysis revealed that CNTN1 expression was significantly associated with overall survival of patients with OSCC (P=0.032; log-rank) and disease-free survival of patients with OSCC (P=0.038; log-rank).

Figure 2

Survival rate according to tumor CNTN1 staining. (A) Overall survival rate (n=45, P=0.032), (B) disease-free survival rate (n=45, P=0.038) of OSCC patients. Solid line, patients with reduced or no expression (levels 1 and 0) of CNTN-1; dotted line, patients with a high expression of CNTN-1 (levels 2). P-value was determined by a two-sided log-rank test. CNTN1, contactin 1.

Effect of CNTN1 ablation on cell proliferation of OSCC cell lines

To evaluate whether CNTN1 promotes malignant phenotypes of OSCC cells, we firstly assessed the effect of CNTN1 ablation on cell proliferation of OSCC cell lines. Based on the CNTN1 expression pattern in OSCC-derived cell lines (Fig. 3A), we transiently transfected target CNTN1 siRNA, negative control siRNA_NC and Lipofectamine 2000-only to OSC-4 and Cal-27 cells, all of which have endogenous CNTN1 mRNA expression (Fig. 3B). However, our results demonstrated that silencing CNTN1 did not remarkably inhibit the proliferation of OSCC cells compared to cells transfected with siRNA_NC control (Fig. 4A). Furthermore, in vitro invasion assays were performed to determine the effect of CNTN1 on cell invasion using a BD BioCoat Matrigel Invasion Chamber. The Matrigel matrix served as a reconstituted basement membrane in vitro. Moreover, the number of cells invading through the transwell membrane in OSC-4 transfected with siRNA_1697 and Cal-27 transfected with siRNA_1697 was significantly lower than those transfected with siRNA_NC, respectively (P<0.01) (Fig. 4B).

Figure 3

CNTN1 expression in different oral squamous cell carcinoma cell lines and suppression of CNTN-1 expression by transient-transfected siRNA. (A) Expression of CNTN1 mRNA in different oral squamous cell carcinoma cell lines. OSC-4 and Cal-27 cells were highly expressed. (B) Suppression of CNTN1 expression by transient transfection-targeted CNTN1 siRNA (left panel OSC-4; right panel, Cal-27). Lipo., Lipofectamine 2000. CNTN1, contactin 1; siRNA, small interfering RNA.

Figure 4

Proliferation and invasive ability of OSCC cells after suppression of CNTN1 expression. (A) Proliferation of OSCC cells was not markedly inhibited after CNTN1 siRNA, compared to cells transfected with siRNA_NC control (left panel, OSCC-4; right panel, Cal-27 cells). (B) Suppression of CNTN1 expression decreased the invasive ability of OSCC cells. Left panel, in vitro invasion assays; right panel, number of cells invading through the transwell membrane in OSC-4 transfected with siRNA_1697 and Cal-27 transfected with siRNA_1697 were significantly lower than those transfected with siRNA_NC, respectively (P<0.01, two-tailed Student's t-test). Lipo, Lipofectamine 2000; OSCC, oral squamous cell carcinoma; CNTN1, contactin 1; siRNA, small interfering RNA.

Discussion

As one of the most common types of epithelial cancer, the incidence of oral squamous cell carcinoma (OSCC) is the sixth highest worldwide (11). Traditional treatments, including radical surgery, radiotherapy and chemotherapy, have not sufficiently improved the five-year survival rate of patients with this disease in more than two decades. Moreover, the development of OSCC is evolutionary and characterized by multistep carcinogenic processes, in which the activation of oncogenes and inactivation of tumor suppressor genes are key features leading to OSCC progression. Considering these factors, the identification of useful predictors or targets of OSCC for diagnosis, therapy and prognosis is promising. Although numerous studies have been conducted, few useful molecular predictors or targets for OSCC have been identified.

CNTN1 is a novel member of the contactin subgroup of the immunoglobulin superfamily which also includes contactin-2, 5 and 6. The well-known role of these proteins and ligands is the repulsive guidance of nerve axons, regulating neurite extension in a mouse neuroblastoma cell line and primary hippocampal neurons (12–14). In addition, mutations in the CNTN1 gene causing a familial type of lethal congenital myopathy have been reported (15). In addition to its regulatory role in the nervous system, CNTN1 functions as a glycosylphosphatidylinositol anchor neural cell adhesion molecule (NCAM), which is involved in tumor cell adhesion, invasion and metastasis (16–18). CNTN1 was first described as a metastasis-promoting oncogenic protein by Su et al (7,8). Suppression of CNTN1 expression abolished the ability of lung cancer cells to invade and metastasize by activating RhoA, but not Cdc42 or Rac1, suggesting that CNTN1 is a key regulator of invasion and metastasis in lung adenocarcinoma (7). Considering the particularity of OSCC in epidemiology, which is notably different from other cancer types, as well as the different molecule signatures in invasion and metastasis, in this study, we investigated whether CNTN1 is a major factor promoting OSCC progression and metastasis. Experimental results demonstrated that CNTN1 expression is markedly associated with regional lymph node metastasis (P=0.006) in patients with OSCC and silencing CNTN1 decreased the invasion potential of OSCC cells, confirming that CNTN1 is a powerful factor involved in invasion and metastasis in OSCC. Notably, CNTN1 ablation exerted little effect on the proliferation of OSCC cells, indicating that CNTN1 promotes malignant phenotypes of OSCC by exclusively activating the metastastic potential.

Our data demonstrated that CNTN1 expression was significantly associated with the overall survival of patients with OSCC (P=0.032; log-rank test) and disease-free survival of patients with OSCC (P=0.038; log-rank test) by univariate analysis. Thus, CNTN1 may be a novel predictor of clinical outcome for patients with OSCC.

Acknowledgements

This work was supported by the Project of Science and Technology Commission of Shanghai Municipality (Grant nos. 10410711200, 08140902100 and 11495802000) and the Key Project of Science and Technology Commission of Shanghai Municipality (Grant no. 03JC14052).

References

1 

Jemal A, Siegel R, Ward E, et al: Cancer Statistics. CA Cancer J Clin. 59:225–249. 2009.

2 

Warnakulasuriya S: Global epidemiology of oral and oropharyngeal cancer. Oral Oncol. 45:309–316. 2009.

3 

Falk J, Bonnon C, Girault JA and Faivre-Sarrailh C: F3/contactin, a neuronal cell adhesion molecule implicated in axogenesis and myelination. Biol Cell. 94:327–334. 2002.

4 

Hu QD, Ang BT, Karsak M, et al: F3/contactin acts as a functional ligand for Notch during oligodendrocyte maturation. Cell. 115:163–175. 2003.

5 

Prag S, Lepekin EA, Kolkova K, et al: NCAM regulates cell motility. J Cell Sci. 115:283–292. 2002.

6 

Shtutman M, Levina E, Ohouo P, Baig M and Roninson IB: Cell adhesion molecule L1 disrupts E-cadherin-containing adherens junctions and increases scattering and motility of MCF7 breast carcinoma cells. Cancer Res. 66:11370–11380. 2006.

7 

Su JL, Yang CY, Shih JY, et al: Knockdown of contactin-1 expression suppresses invasion and metastasis of lung adenocarcinoma. Cancer Res. 66:2553–2561. 2006.

8 

Su JL, Yang PC, Shih JY, et al: The VEGF-C/Flt-4 axis promotes invasion and metastasis of cancer cells. Cancer Cell. 9:209–223. 2006.

9 

Sobin LH and Fleming ID: TNM Classification of Malignant Tumors, fifth edition (1997). Union Internationale Contre le Cancer and the American Joint Committee on Cancer. Cancer. 80:1803–1804. 1997.

10 

Pindborg JJ, Reichart PA, Smith CJ, et al: Histological Typing of Cancer and Precancer of the Oral Mucosa. 2nd edition. Springer-Verlag; Berlin: pp. 24–40. 1997

11 

Mignogna MD, Fedele S and Lo Russo L: The World Cancer Report and the burden of oral cancer. Eur J Cancer Prev. 13:139–142. 2004.

12 

Reid RA, Bronson DD, Young KM and Hemperly JJ: Identification and characterization of the human cell adhesion molecule contactin. Brain Res Mol Brain Res. 21:1–8. 1994.

13 

Mikami T, Yasunaga D and Kitagawa H: Contactin-1 is a functional receptor for neuroregulatory chondroitin sulfate-E. J Biol Chem. 284:4494–4499. 2009.

14 

Eckerich C, Zapf S and Ulbricht U: Contactin is expressed in human astrocytic gliomas and mediates repulsive effects. Glia. 53:1–12. 2006.

15 

Compton AG, Albrecht DE and Seto JT: Mutations in contactin-1, a neural adhesion and neuromuscular junction protein, cause a familial form of lethal congenital myopathy. Am J Hum Genet. 83:714–724. 2008.

16 

Lehembre F, Yilmaz M and Wicki A: NCAM-induced focal adhesion assembly: a functional switch upon loss of E-cadherin. EMBO J. 27:2603–2615. 2008.

17 

Van Kilsdonk JW, Wilting RH and Bergers M: Attenuation of melanoma invasion by a secreted variant of activated leukocyte cell adhesion molecule. Cancer Res. 68:3671–3679. 2008.

18 

Gavert N, Sheffer M and Raveh S: Expression of L1-CAM and ADAM10 in human colon cancer cells induces metastasis. Cancer Res. 67:7703–7712. 2007.

Related Articles

  • Abstract
  • View
  • Download
  • Twitter
Copy and paste a formatted citation
Spandidos Publications style
Wu H, Cao W, Ye D, Ren G, Wu Y and Guo W: Contactin 1 (CNTN1) expression associates with regional lymph node metastasis and is a novel predictor of prognosis in patients with oral squamous cell carcinoma. Mol Med Rep 6: 265-270, 2012.
APA
Wu, H., Cao, W., Ye, D., Ren, G., Wu, Y., & Guo, W. (2012). Contactin 1 (CNTN1) expression associates with regional lymph node metastasis and is a novel predictor of prognosis in patients with oral squamous cell carcinoma. Molecular Medicine Reports, 6, 265-270. https://doi.org/10.3892/mmr.2012.910
MLA
Wu, H., Cao, W., Ye, D., Ren, G., Wu, Y., Guo, W."Contactin 1 (CNTN1) expression associates with regional lymph node metastasis and is a novel predictor of prognosis in patients with oral squamous cell carcinoma". Molecular Medicine Reports 6.2 (2012): 265-270.
Chicago
Wu, H., Cao, W., Ye, D., Ren, G., Wu, Y., Guo, W."Contactin 1 (CNTN1) expression associates with regional lymph node metastasis and is a novel predictor of prognosis in patients with oral squamous cell carcinoma". Molecular Medicine Reports 6, no. 2 (2012): 265-270. https://doi.org/10.3892/mmr.2012.910
Copy and paste a formatted citation
x
Spandidos Publications style
Wu H, Cao W, Ye D, Ren G, Wu Y and Guo W: Contactin 1 (CNTN1) expression associates with regional lymph node metastasis and is a novel predictor of prognosis in patients with oral squamous cell carcinoma. Mol Med Rep 6: 265-270, 2012.
APA
Wu, H., Cao, W., Ye, D., Ren, G., Wu, Y., & Guo, W. (2012). Contactin 1 (CNTN1) expression associates with regional lymph node metastasis and is a novel predictor of prognosis in patients with oral squamous cell carcinoma. Molecular Medicine Reports, 6, 265-270. https://doi.org/10.3892/mmr.2012.910
MLA
Wu, H., Cao, W., Ye, D., Ren, G., Wu, Y., Guo, W."Contactin 1 (CNTN1) expression associates with regional lymph node metastasis and is a novel predictor of prognosis in patients with oral squamous cell carcinoma". Molecular Medicine Reports 6.2 (2012): 265-270.
Chicago
Wu, H., Cao, W., Ye, D., Ren, G., Wu, Y., Guo, W."Contactin 1 (CNTN1) expression associates with regional lymph node metastasis and is a novel predictor of prognosis in patients with oral squamous cell carcinoma". Molecular Medicine Reports 6, no. 2 (2012): 265-270. https://doi.org/10.3892/mmr.2012.910
Follow us
  • Twitter
  • LinkedIn
  • Facebook
About
  • Spandidos Publications
  • Careers
  • Cookie Policy
  • Privacy Policy
How can we help?
  • Help
  • Live Chat
  • Contact
  • Email to our Support Team