Spandidos Publications Logo
  • About
    • About Spandidos
    • Aims and Scopes
    • Abstracting and Indexing
    • Editorial Policies
    • Reprints and Permissions
    • Job Opportunities
    • Terms and Conditions
    • Contact
  • Journals
    • All Journals
    • Oncology Letters
      • Oncology Letters
      • Information for Authors
      • Editorial Policies
      • Editorial Board
      • Aims and Scope
      • Abstracting and Indexing
      • Bibliographic Information
      • Archive
    • International Journal of Oncology
      • International Journal of Oncology
      • Information for Authors
      • Editorial Policies
      • Editorial Board
      • Aims and Scope
      • Abstracting and Indexing
      • Bibliographic Information
      • Archive
    • Molecular and Clinical Oncology
      • Molecular and Clinical Oncology
      • Information for Authors
      • Editorial Policies
      • Editorial Board
      • Aims and Scope
      • Abstracting and Indexing
      • Bibliographic Information
      • Archive
    • Experimental and Therapeutic Medicine
      • Experimental and Therapeutic Medicine
      • Information for Authors
      • Editorial Policies
      • Editorial Board
      • Aims and Scope
      • Abstracting and Indexing
      • Bibliographic Information
      • Archive
    • International Journal of Molecular Medicine
      • International Journal of Molecular Medicine
      • Information for Authors
      • Editorial Policies
      • Editorial Board
      • Aims and Scope
      • Abstracting and Indexing
      • Bibliographic Information
      • Archive
    • Biomedical Reports
      • Biomedical Reports
      • Information for Authors
      • Editorial Policies
      • Editorial Board
      • Aims and Scope
      • Abstracting and Indexing
      • Bibliographic Information
      • Archive
    • Oncology Reports
      • Oncology Reports
      • Information for Authors
      • Editorial Policies
      • Editorial Board
      • Aims and Scope
      • Abstracting and Indexing
      • Bibliographic Information
      • Archive
    • Molecular Medicine Reports
      • Molecular Medicine Reports
      • Information for Authors
      • Editorial Policies
      • Editorial Board
      • Aims and Scope
      • Abstracting and Indexing
      • Bibliographic Information
      • Archive
    • World Academy of Sciences Journal
      • World Academy of Sciences Journal
      • Information for Authors
      • Editorial Policies
      • Editorial Board
      • Aims and Scope
      • Abstracting and Indexing
      • Bibliographic Information
      • Archive
    • International Journal of Functional Nutrition
      • International Journal of Functional Nutrition
      • Information for Authors
      • Editorial Policies
      • Editorial Board
      • Aims and Scope
      • Abstracting and Indexing
      • Bibliographic Information
      • Archive
    • International Journal of Epigenetics
      • International Journal of Epigenetics
      • Information for Authors
      • Editorial Policies
      • Editorial Board
      • Aims and Scope
      • Abstracting and Indexing
      • Bibliographic Information
      • Archive
    • Medicine International
      • Medicine International
      • Information for Authors
      • Editorial Policies
      • Editorial Board
      • Aims and Scope
      • Abstracting and Indexing
      • Bibliographic Information
      • Archive
  • Articles
  • Information
    • Information for Authors
    • Information for Reviewers
    • Information for Librarians
    • Information for Advertisers
    • Conferences
  • Language Editing
Spandidos Publications Logo
  • About
    • About Spandidos
    • Aims and Scopes
    • Abstracting and Indexing
    • Editorial Policies
    • Reprints and Permissions
    • Job Opportunities
    • Terms and Conditions
    • Contact
  • Journals
    • All Journals
    • Biomedical Reports
      • Information for Authors
      • Editorial Policies
      • Editorial Board
      • Aims and Scope
      • Abstracting and Indexing
      • Bibliographic Information
      • Archive
    • Experimental and Therapeutic Medicine
      • Information for Authors
      • Editorial Policies
      • Editorial Board
      • Aims and Scope
      • Abstracting and Indexing
      • Bibliographic Information
      • Archive
    • International Journal of Epigenetics
      • Information for Authors
      • Editorial Policies
      • Editorial Board
      • Aims and Scope
      • Abstracting and Indexing
      • Bibliographic Information
      • Archive
    • International Journal of Functional Nutrition
      • Information for Authors
      • Editorial Policies
      • Editorial Board
      • Aims and Scope
      • Abstracting and Indexing
      • Bibliographic Information
      • Archive
    • International Journal of Molecular Medicine
      • Information for Authors
      • Editorial Policies
      • Editorial Board
      • Aims and Scope
      • Abstracting and Indexing
      • Bibliographic Information
      • Archive
    • International Journal of Oncology
      • Information for Authors
      • Editorial Policies
      • Editorial Board
      • Aims and Scope
      • Abstracting and Indexing
      • Bibliographic Information
      • Archive
    • Medicine International
      • Information for Authors
      • Editorial Policies
      • Editorial Board
      • Aims and Scope
      • Abstracting and Indexing
      • Bibliographic Information
      • Archive
    • Molecular and Clinical Oncology
      • Information for Authors
      • Editorial Policies
      • Editorial Board
      • Aims and Scope
      • Abstracting and Indexing
      • Bibliographic Information
      • Archive
    • Molecular Medicine Reports
      • Information for Authors
      • Editorial Policies
      • Editorial Board
      • Aims and Scope
      • Abstracting and Indexing
      • Bibliographic Information
      • Archive
    • Oncology Letters
      • Information for Authors
      • Editorial Policies
      • Editorial Board
      • Aims and Scope
      • Abstracting and Indexing
      • Bibliographic Information
      • Archive
    • Oncology Reports
      • Information for Authors
      • Editorial Policies
      • Editorial Board
      • Aims and Scope
      • Abstracting and Indexing
      • Bibliographic Information
      • Archive
    • World Academy of Sciences Journal
      • Information for Authors
      • Editorial Policies
      • Editorial Board
      • Aims and Scope
      • Abstracting and Indexing
      • Bibliographic Information
      • Archive
  • Articles
  • Information
    • For Authors
    • For Reviewers
    • For Librarians
    • For Advertisers
    • Conferences
  • Language Editing
Login Register Submit
  • This site uses cookies
  • You can change your cookie settings at any time by following the instructions in our Cookie Policy. To find out more, you may read our Privacy Policy.

    I agree
Search articles by DOI, keyword, author or affiliation
Search
Advanced Search
presentation
Oncology Letters
Join Editorial Board Propose a Special Issue
Print ISSN: 1792-1074 Online ISSN: 1792-1082
Journal Cover
April-2016 Volume 11 Issue 4

Full Size Image

Sign up for eToc alerts
Recommend to Library

Journals

International Journal of Molecular Medicine

International Journal of Molecular Medicine

International Journal of Molecular Medicine is an international journal devoted to molecular mechanisms of human disease.

International Journal of Oncology

International Journal of Oncology

International Journal of Oncology is an international journal devoted to oncology research and cancer treatment.

Molecular Medicine Reports

Molecular Medicine Reports

Covers molecular medicine topics such as pharmacology, pathology, genetics, neuroscience, infectious diseases, molecular cardiology, and molecular surgery.

Oncology Reports

Oncology Reports

Oncology Reports is an international journal devoted to fundamental and applied research in Oncology.

Experimental and Therapeutic Medicine

Experimental and Therapeutic Medicine

Experimental and Therapeutic Medicine is an international journal devoted to laboratory and clinical medicine.

Oncology Letters

Oncology Letters

Oncology Letters is an international journal devoted to Experimental and Clinical Oncology.

Biomedical Reports

Biomedical Reports

Explores a wide range of biological and medical fields, including pharmacology, genetics, microbiology, neuroscience, and molecular cardiology.

Molecular and Clinical Oncology

Molecular and Clinical Oncology

International journal addressing all aspects of oncology research, from tumorigenesis and oncogenes to chemotherapy and metastasis.

World Academy of Sciences Journal

World Academy of Sciences Journal

Multidisciplinary open-access journal spanning biochemistry, genetics, neuroscience, environmental health, and synthetic biology.

International Journal of Functional Nutrition

International Journal of Functional Nutrition

Open-access journal combining biochemistry, pharmacology, immunology, and genetics to advance health through functional nutrition.

International Journal of Epigenetics

International Journal of Epigenetics

Publishes open-access research on using epigenetics to advance understanding and treatment of human disease.

Medicine International

Medicine International

An International Open Access Journal Devoted to General Medicine.

Journal Cover
April-2016 Volume 11 Issue 4

Full Size Image

Sign up for eToc alerts
Recommend to Library

  • Article
  • Citations
    • Cite This Article
    • Download Citation
    • Create Citation Alert
    • Remove Citation Alert
    • Cited By
  • Similar Articles
    • Related Articles (in Spandidos Publications)
    • Similar Articles (Google Scholar)
    • Similar Articles (PubMed)
  • Download PDF
  • Download XML
  • View XML
Article

Oxaliplatin-induced sinusoidal obstruction syndrome mimicking metastatic colon cancer in the liver

  • Authors:
    • Jung‑Hye Choi
    • Young‑Woong Won
    • Hyun Sung Kim
    • Young‑Ha Oh
    • Sanghyeok Lim
    • Han‑Joon Kim
  • View Affiliations / Copyright

    Affiliations: Department of Internal Medicine, Hanyang University Guri Hospital, Guri, Gyeonggi 471‑701, Republic of Korea, Department of Pathology, Hanyang University Guri Hospital, Guri, Gyeonggi 471‑701, Republic of Korea, Department of Radiology, Hanyang University Guri Hospital, Guri, Gyeonggi 471‑701, Republic of Korea, Department of Surgery, Hanyang University Guri Hospital, Guri, Gyeonggi 471‑701, Republic of Korea
  • Pages: 2861-2864
    |
    Published online on: February 29, 2016
       https://doi.org/10.3892/ol.2016.4286
  • Expand metrics +
Metrics: Total Views: 0 (Spandidos Publications: | PMC Statistics: )
Metrics: Total PDF Downloads: 0 (Spandidos Publications: | PMC Statistics: )
Cited By (CrossRef): 0 citations Loading Articles...

This article is mentioned in:



Abstract

Oxaliplatin is an effective chemotherapeutic agent for the treatment of colorectal cancer; however, it may cause liver injury, particularly sinusoidal obstruction syndrome (SOS). Although SOS does not usually present with focal lesions on radiological images, the present study describes the case of a 22-year-old woman with oxaliplatin-induced SOS mimicking metastatic colon cancer in the liver. An abdominal computed tomography revealed a novel 1 cm, low-density lesion in segment 1 of the liver following the administration of the fourth round of oxaliplatin‑based adjuvant chemotherapy for stage III colon cancer. Since the lesion was indistinguishable from metastasis, even with detailed imaging studies, including magnetic resonance imaging and positron emission tomography‑computed tomography, an isolated caudate lobectomy was planned. The cut surface of the resected liver showed a localized reddish congested lesion measuring 1.4 cm in diameter. The adjacent hepatic parenchyma also demonstrated diffuse sinusoidal congestion with a nutmeg‑like appearance. Histologically, the lesion exhibited severe sinusoidal congestion with peliosis hepatis-like features. The widened sinusoidal space was outlined by markedly attenuated hepatic cords and filled with erythrocytes. The final diagnosis was oxaliplatin‑induced SOS. The patient recovered completely and was relapse‑free at the time of writing.

Introduction

Fluorouracil (FU)-based adjuvant chemotherapy was the standard treatment in patients with stage III colon cancer until ~25 years ago (1). Oxaliplatin has since emerged as an important drug for adjuvant treatment based on clinical data, as it demonstrates significant activity in metastatic colon cancer. The Multicenter International Study of Oxaliplatin/5-FU/Leucovorin in the Adjuvant Treatment of Colon Cancer trial indicated that adding oxaliplatin to infusional FU plus leucovorin significantly increased disease-free survival and overall survival rates (2). A combination of oxaliplatin and capecitabine is another adjuvant treatment option; therefore, oxaliplatin-based chemotherapy has become popular for the adjuvant treatment of colon cancer (3). Unfortunately, oxaliplatin may cause liver injury, including sinusoidal obstruction syndrome (SOS). SOS may present as reticular hypointensity on hepatobiliary phase images of gadoxetic acid-enhanced magnetic resonance images (EOB-MRI), but does not usually present with focal lesions (4). The present study describes a case of oxaliplatin-induced SOS mimicking metastatic colon cancer in the liver. The lesions were not differentiated from metastasis via imaging and surgery was performed. Written informed consent was obtained from the patient.

Case report

A 22-year-old woman, who had undergone a laparoscopic right hemicolectomy for ascending colon cancer 4 months prior, presented to Hanyang University Guri Hospital (Guri, South Korea) for the 5th cycle of adjuvant chemotherapy in November 2014. The pathological diagnosis of the ascending colon cancer was stage pT4aN1aM0 moderately-differentiated tubular adenocarcinoma. The patient was treated with oxaliplatin-based adjuvant chemotherapy, consisting of 130 mg/m2 oxaliplatin on day 1 and 1,000 mg/m2 capecitabine twice daily on days 1–14 every 3 weeks (XELOX).

Prior to the fifth cycle of XELOX, the patient exhibited no abnormal signs or symptoms. Laboratory tests revealed a hemoglobin level of 11.8 g/dl (normal range, 12.0–16.0 g/dl), a white blood cell count of 3,800 cells/µl (normal range, 4,000–10,000 cells/µl), a platelet count of 112,000 platelets/µl (normal range, 150,000-400,000 platelets/µl), total bilirubin level of 0.6 g/dl (normal range, 0.4–1.5 g/dl), alkaline phosphatase level of 105 IU/l (normal range, 35–95 IU/l), alanine aminotransferase concentration of 51 IU/l (normal range, 10–45 IU/l), aspartate aminotransferase concentration of 47 IU/l (normal range, 15–45 IU/l), and normal results for kidney function tests. The carcinoembryonic antigen was within the normal range (3.94 ng/ml; normal range, 0.1–5.0 ng/ml), and the results of the serological tests revealed that the patient was not infected with hepatitis B or C virus.

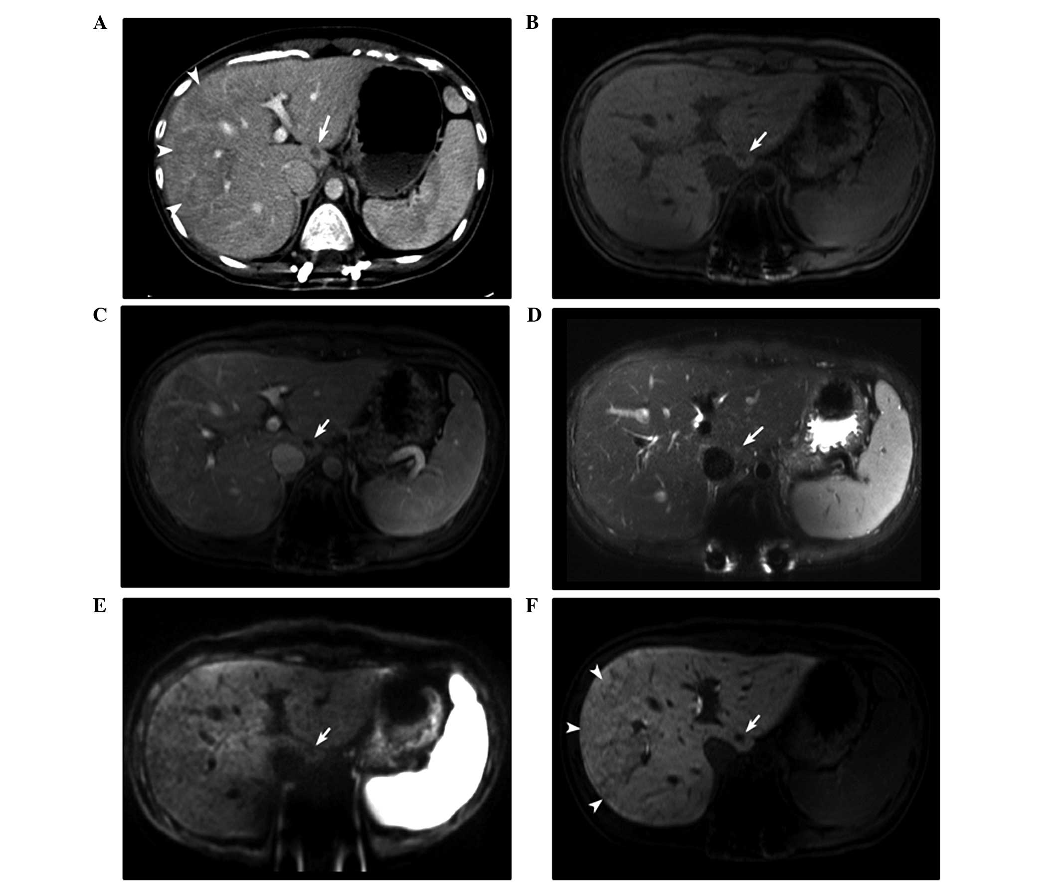
The contrast-enhanced abdominal computed tomography (CT) scan revealed a novel tiny, nodular, low-density lesion in segment 1 of the liver. EOB-MRI identified that the lesion was 1 cm in size at the widest point, ovoid and hypointense on the pre-contrast and portal-phase T1-weighted imaging, without enhancement. EOB-MRI revealed partial hyperintensity on the T2-weighted imaging and a hypointense nodule on diffusion-weighted imaging (Fig. 1). Positron emission tomography (PET)-CT identified no clear abnormal fluorodeoxyglucose (FDG) uptake suggestive of malignancy. Although the findings did not exclude a metastatic lesion, adjuvant chemotherapy [oxaliplatin (190 mg, day 1) and capecitabine (1,500 mg, twice daily, days 1–14) every 3 weeks] was administered, with a follow-up abdominal CT performed one month later.

Figure 1.

Imaging studies of a 22-year-old woman with a single, newly developed, 1.0 cm lesion in segment 1 of the liver, detected 3 months subsequent to the initiation of oxaliplatin-based adjuvant chemotherapy for colon cancer. (A) Transverse contrast-enhanced computed tomography images revealed a nodular low-density lesion (arrow) and poorly enhanced areas (arrowheads). On the EOB-MRI images, the lesion (arrows) was hypointense in the (B) pre-contrast and (C) portal phase T1-weighted images without enhancement, (D) partially hyperintense on the T2-weighted images, and (E) hypointense on the diffusion-weighted images (b = 800 sec/mm2). (F) EOB-MRI images revealed reticular hypointensity on the hepatobiliary phase images in the right lobe of the liver (arrowheads). EOB-MRI, gadoxetic acid-enhanced magnetic resonance imaging.

Abdominal CT following the fifth round of chemotherapy revealed that the lesion was more discrete and slightly enlarged. Hepatobiliary ultrasonography revealed a 1.4–cm mixed echoic lesion in segment 1 and mild splenomegaly (12.3 cm; prior to chemotherapy, 11 cm). Due to the changes observed in the lesion, a surgical resection was planned.

The patient underwent isolated caudate lobectomy of the liver. The liver was exposed through an inverted T incision. Following the cholecystectomy, the falciform ligament was divided and a liver mobilization was performed. A tumor was not visible or palpable upon gross observation of the caudate lobe. Intraoperative ultrasonography revealed a 1.5–cm lesion in the caudate lobe. The adjacent liver parenchyma was normal. For the isolated caudate lobectomy, the hanging maneuver was applied (5).

Macroscopically, an ill-defined, dark, red, congested lesion with a soft consistency measuring 1.4×1.0 cm on the cross-section was identified in the resected caudate lobe of the liver. The lesion identified was considered to be the same lesion that had indicated malignancy on the radiological studies. The adjacent parenchyma also demonstrated diffuse sinusoidal congestion and had a nutmeg-like appearance (Fig. 2A). Microscopically, the lesion exhibited severe sinusoidal dilation with congestion. The widened sinusoidal space was outlined by markedly attenuated hepatic cords and filled with erythrocytes. An immunohistochemical study of cluster of differentiation 34 revealed a decrease in sinusoidal endothelial cells in this lesion (Fig. 2B–2D). The final diagnosis was oxaliplatin-induced SOS.

Figure 2.

(A) Macroscopic cross-sections revealed a 1.4×1.0 cm, ill-defined, dark-red congested lesion in the subcapsular area. The adjacent parenchyma also revealed sparsely distributed dark-red congestion. Microscopically, the lesion revealed severe sinusoidal dilation outlined by atrophic hepatocytes, as shoen by hematoxylin and eosin staining at a magnification of (B) x12.5 and (C) x200. (D) Cluster of differentiation 34 immunohistochemical staining detected decreased sinusoidal endothelial cells (magnification, x200).

The patient had an uneventful post-operative course and recovered completely. Since the SOS was revealed histologically in the lesion and the surrounding liver tissue, administration of XELOX was discontinued. The patient remained relapse-free for three months following the lobectomy.

Discussion

Oxaliplatin, a third-generation platinum analog, is an effective chemotherapeutic agent for numerous solid tumors when combined with other drugs, including colorectal and stomach cancer. Since the first clinical study that demonstrated severe hepatic sinusoidal obstruction induced by oxaliplatin in 2004 (6), oxaliplatin-induced hepatic injury has become a major concern in patients that receive hepatic resection for metastatic colorectal cancer. Oxaliplatin-induced hepatic injury often manifests as SOS. SOS, previously termed veno-occlusive disease or blue liver syndrome, is characterized by the discontinuity of the sinusoidal membrane, collagenization of the perisinusoidal space and sinusoidal dilatations with erythrocyte congestion in centrilobular zones due to damage to the sinusoidal endothelial cells (6–8).

The majority of oxaliplatin-induced SOS data are obtained by reviewing post-chemotherapy liver resection specimens obtained from patients with colorectal liver metastases that received preoperative chemotherapy (6,8,9). The patient in the present study developed a hepatic lesion during adjuvant chemotherapy. The lesion was not differentiated from metastasis despite the use of several imaging tools. Although the hepatic lesion demonstrated no abnormal FDG uptake on the PET-CT and no abnormalities on the diffusion-restriction MRI, the lesion had increased in size one month later. Due to this finding, the possibility of metastasis was considered first. A biopsy of the lesion was initially planned; however, due to the risk of complications from the biopsy and, if the lesion was metastatic, a lobectomy was performed without a biopsy.

To the best of our knowledge, there have previously only been two reported cases of SOS mimicking a metastatic tumor on imaging that are similar to the present study (10,11). The two previous studies described patients that had developed several novel hepatic lesions during adjuvant oxaliplatin-based chemotherapy, including FOLFOX6, which consists of oxaliplatin with FU and folinic acid, and XELOX (10,11). These previous studies did not consider the possibility of non-malignant lesions prior to performing the lobectomy.

Although oxaliplatin-induced SOS is usually asymptomatic, it may be associated with an increased perioperative morbidity and bleeding risk (9). Therefore, there have been several studies that investigated the predictive parameters for oxaliplatin-induced SOS, such as EOB-MRI findings, the volume of the spleen, the levels of hyaluronic acid, the indocyanine green retention rate at 15 min (ICG-R15), and aspartate aminotransferase (AST) level (8,9,12). Shin et al (4) reported that reticular hypointensity on hepatobiliary phase images of EOB-MRI was highly specific for SOS. Shin et al divided the presence of reticular hypointensity into 5 levels, and levels 4 and 5 were considered to indicate SOS (4). In the present study, transverse contrast-enhanced CT imaging revealed diffuse, poorly enhanced regions on the right lobe of the liver, and EOB-MRI revealed confidence level 4 reticular hypointensity on the hepatobiliary phase images in the same region (Fig. 1F). In addition, the AST levels (54 IU/l) and ICG-R15 (12.25%) were increased prior to surgery. The findings suggested a diagnosis of oxaliplatin-induced SOS in the background liver. However, during the initial evaluation, only the focal lesion in segment 1 was focused on, making the diagnosis of SOS prior to surgery extremely challenging.

In summary, the present study reports the case of a patient with oxaliplatin-induced SOS that mimicked metastatic colon cancer in the liver on imaging studies. Therefore, SOS may be considered one of the causes of newly developed hepatic lesions in patients with colon cancer that receive oxaliplatin-based chemotherapy, particularly if the patients possess predictive findings for oxaliplatin-induced SOS and the lesions do not demonstrate the uptake of FDG on the PET-CT.

References

1 

Moertel CG, Fleming TR, Macdonald JS, Haller DG, Laurie JA, Goodman PJ, Ungerleider JS, Emerson WA, Tormey DC, Glick JH, et al: Levamisole and fluorouracil for adjuvant therapy of resected colon carcinoma. N Engl J Med. 322:352–358. 1990. View Article : Google Scholar : PubMed/NCBI

2 

André T, Boni C, Navarro M, Tabernero J, Hickish T, Topham C, Bonetti A, Clingan P, Bridgewater J, Rivera F and de Gramont A: Improved overall survival with oxaliplatin, fluorouracil, and leucovorin as adjuvant treatment in stage II or III colon cancer in the MOSAIC trial. J Clin Oncol. 27:3109–3116. 2009. View Article : Google Scholar : PubMed/NCBI

3 

Haller DG, Tabernero J, Maroun J, de Braud F, Price T, Van Cutsem E, Hill M, Gilberg F, Rittweger K and Schmoll HJ: Capecitabine plus oxaliplatin compared with fluorouracil and folinic acid as adjuvant therapy for stage III colon cancer. J Clin Oncol. 29:1465–1471. 2011. View Article : Google Scholar : PubMed/NCBI

4 

Shin NY, Kim MJ, Lim JS, Park MS, Chung YE, Choi JY, Kim KW and Park YN: Accuracy of gadoxetic acid-enhanced magnetic resonance imaging for the diagnosis of sinusoidal obstruction syndrome in patients with chemotherapy-treated colorectal liver metastases. Eur Radiol. 22:864–871. 2012. View Article : Google Scholar : PubMed/NCBI

5 

Kim SH, Park SJ, Lee SA, Lee WJ, Park JW and Kim CM: Isolated caudate lobectomy using the hanging maneuver. Surgery. 139:847–850. 2006. View Article : Google Scholar : PubMed/NCBI

6 

Rubbia-Brandt L, Audard V, Sartoretti P, Roth AD, Brezault C, Le Charpentier M, Dousset B, Morel P, Soubrane O, Chaussade S, et al: Severe hepatic sinusoidal obstruction associated with oxaliplatin-based chemotherapy in patients with metastatic colorectal cancer. Ann Oncol. 15:460–466. 2004. View Article : Google Scholar : PubMed/NCBI

7 

DeLeve LD, Shulman HM and McDonald GB: Toxic injury to hepatic sinusoids: Sinusoidal obstruction syndrome (veno-occlusive disease). Semin Liver Dis. 22:27–42. 2002. View Article : Google Scholar : PubMed/NCBI

8 

Morine Y, Shimada M and Utsunomiya T: Evaluation and management of hepatic injury induced by oxaliplatin-based chemotherapy in patients with hepatic resection for colorectal liver metastasis. Hepatol Res. 44:59–69. 2014. View Article : Google Scholar : PubMed/NCBI

9 

Aloia T, Sebagh M, Plasse M, Karam V, Lévi F, Giacchetti S, Azoulay D, Bismuth H, Castaing D and Adam R: Liver histology and surgical outcomes after preoperative chemotherapy with fluorouracil plus oxaliplatin in colorectal cancer liver metastases. J Clin Oncol. 24:4983–4990. 2006. View Article : Google Scholar : PubMed/NCBI

10 

Arakawa Y, Shimada M, Utsunomya T, Imura S, Morine Y, Ikemoto T, Hanaoka J, Sugimoto K and Bando Y: Oxaliplatin-related sinusoidal obstruction syndrome mimicking metastatic liver tumors. Hepatol Res. 43:685–689. 2013. View Article : Google Scholar : PubMed/NCBI

11 

Uchino K, Fujisawa M, Watanabe T, Endo Y, Nobuhisa T, Matsumoto Y, Kai K, Sato S, Notohara K and Matsukawa A: Oxaliplatin-induced liver injury mimicking metastatic tumor on images: A case report. Jpn J Clin Oncol. 43:1034–1038. 2013. View Article : Google Scholar : PubMed/NCBI

12 

van den Broek MA, Vreuls CP, Winstanley A, Jansen RL, van Bijnen AA, Dello SA, Bemelmans MH, Dejong CH, Driessen A and Olde Damink SW: Hyaluronic acid as a marker of hepatic sinusoidal obstruction syndrome secondary to oxaliplatin-based chemotherapy in patients with colorectal liver metastases. Ann Surg Oncol. 20:1462–1469. 2013. View Article : Google Scholar : PubMed/NCBI

Related Articles

  • Abstract
  • View
  • Download
  • Twitter
Copy and paste a formatted citation
Spandidos Publications style
Choi JH, Won YW, Kim HS, Oh YH, Lim S and Kim HJ: Oxaliplatin-induced sinusoidal obstruction syndrome mimicking metastatic colon cancer in the liver. Oncol Lett 11: 2861-2864, 2016.
APA
Choi, J., Won, Y., Kim, H.S., Oh, Y., Lim, S., & Kim, H. (2016). Oxaliplatin-induced sinusoidal obstruction syndrome mimicking metastatic colon cancer in the liver. Oncology Letters, 11, 2861-2864. https://doi.org/10.3892/ol.2016.4286
MLA
Choi, J., Won, Y., Kim, H. S., Oh, Y., Lim, S., Kim, H."Oxaliplatin-induced sinusoidal obstruction syndrome mimicking metastatic colon cancer in the liver". Oncology Letters 11.4 (2016): 2861-2864.
Chicago
Choi, J., Won, Y., Kim, H. S., Oh, Y., Lim, S., Kim, H."Oxaliplatin-induced sinusoidal obstruction syndrome mimicking metastatic colon cancer in the liver". Oncology Letters 11, no. 4 (2016): 2861-2864. https://doi.org/10.3892/ol.2016.4286
Copy and paste a formatted citation
x
Spandidos Publications style
Choi JH, Won YW, Kim HS, Oh YH, Lim S and Kim HJ: Oxaliplatin-induced sinusoidal obstruction syndrome mimicking metastatic colon cancer in the liver. Oncol Lett 11: 2861-2864, 2016.
APA
Choi, J., Won, Y., Kim, H.S., Oh, Y., Lim, S., & Kim, H. (2016). Oxaliplatin-induced sinusoidal obstruction syndrome mimicking metastatic colon cancer in the liver. Oncology Letters, 11, 2861-2864. https://doi.org/10.3892/ol.2016.4286
MLA
Choi, J., Won, Y., Kim, H. S., Oh, Y., Lim, S., Kim, H."Oxaliplatin-induced sinusoidal obstruction syndrome mimicking metastatic colon cancer in the liver". Oncology Letters 11.4 (2016): 2861-2864.
Chicago
Choi, J., Won, Y., Kim, H. S., Oh, Y., Lim, S., Kim, H."Oxaliplatin-induced sinusoidal obstruction syndrome mimicking metastatic colon cancer in the liver". Oncology Letters 11, no. 4 (2016): 2861-2864. https://doi.org/10.3892/ol.2016.4286
Follow us
  • Twitter
  • LinkedIn
  • Facebook
About
  • Spandidos Publications
  • Careers
  • Cookie Policy
  • Privacy Policy
How can we help?
  • Help
  • Live Chat
  • Contact
  • Email to our Support Team