Spandidos Publications Logo
  • About
    • About Spandidos
    • Aims and Scopes
    • Abstracting and Indexing
    • Editorial Policies
    • Reprints and Permissions
    • Job Opportunities
    • Terms and Conditions
    • Contact
  • Journals
    • All Journals
    • Oncology Letters
      • Oncology Letters
      • Information for Authors
      • Editorial Policies
      • Editorial Board
      • Aims and Scope
      • Abstracting and Indexing
      • Bibliographic Information
      • Archive
    • International Journal of Oncology
      • International Journal of Oncology
      • Information for Authors
      • Editorial Policies
      • Editorial Board
      • Aims and Scope
      • Abstracting and Indexing
      • Bibliographic Information
      • Archive
    • Molecular and Clinical Oncology
      • Molecular and Clinical Oncology
      • Information for Authors
      • Editorial Policies
      • Editorial Board
      • Aims and Scope
      • Abstracting and Indexing
      • Bibliographic Information
      • Archive
    • Experimental and Therapeutic Medicine
      • Experimental and Therapeutic Medicine
      • Information for Authors
      • Editorial Policies
      • Editorial Board
      • Aims and Scope
      • Abstracting and Indexing
      • Bibliographic Information
      • Archive
    • International Journal of Molecular Medicine
      • International Journal of Molecular Medicine
      • Information for Authors
      • Editorial Policies
      • Editorial Board
      • Aims and Scope
      • Abstracting and Indexing
      • Bibliographic Information
      • Archive
    • Biomedical Reports
      • Biomedical Reports
      • Information for Authors
      • Editorial Policies
      • Editorial Board
      • Aims and Scope
      • Abstracting and Indexing
      • Bibliographic Information
      • Archive
    • Oncology Reports
      • Oncology Reports
      • Information for Authors
      • Editorial Policies
      • Editorial Board
      • Aims and Scope
      • Abstracting and Indexing
      • Bibliographic Information
      • Archive
    • Molecular Medicine Reports
      • Molecular Medicine Reports
      • Information for Authors
      • Editorial Policies
      • Editorial Board
      • Aims and Scope
      • Abstracting and Indexing
      • Bibliographic Information
      • Archive
    • World Academy of Sciences Journal
      • World Academy of Sciences Journal
      • Information for Authors
      • Editorial Policies
      • Editorial Board
      • Aims and Scope
      • Abstracting and Indexing
      • Bibliographic Information
      • Archive
    • International Journal of Functional Nutrition
      • International Journal of Functional Nutrition
      • Information for Authors
      • Editorial Policies
      • Editorial Board
      • Aims and Scope
      • Abstracting and Indexing
      • Bibliographic Information
      • Archive
    • International Journal of Epigenetics
      • International Journal of Epigenetics
      • Information for Authors
      • Editorial Policies
      • Editorial Board
      • Aims and Scope
      • Abstracting and Indexing
      • Bibliographic Information
      • Archive
    • Medicine International
      • Medicine International
      • Information for Authors
      • Editorial Policies
      • Editorial Board
      • Aims and Scope
      • Abstracting and Indexing
      • Bibliographic Information
      • Archive
  • Articles
  • Information
    • Information for Authors
    • Information for Reviewers
    • Information for Librarians
    • Information for Advertisers
    • Conferences
  • Language Editing
Spandidos Publications Logo
  • About
    • About Spandidos
    • Aims and Scopes
    • Abstracting and Indexing
    • Editorial Policies
    • Reprints and Permissions
    • Job Opportunities
    • Terms and Conditions
    • Contact
  • Journals
    • All Journals
    • Biomedical Reports
      • Information for Authors
      • Editorial Policies
      • Editorial Board
      • Aims and Scope
      • Abstracting and Indexing
      • Bibliographic Information
      • Archive
    • Experimental and Therapeutic Medicine
      • Information for Authors
      • Editorial Policies
      • Editorial Board
      • Aims and Scope
      • Abstracting and Indexing
      • Bibliographic Information
      • Archive
    • International Journal of Epigenetics
      • Information for Authors
      • Editorial Policies
      • Editorial Board
      • Aims and Scope
      • Abstracting and Indexing
      • Bibliographic Information
      • Archive
    • International Journal of Functional Nutrition
      • Information for Authors
      • Editorial Policies
      • Editorial Board
      • Aims and Scope
      • Abstracting and Indexing
      • Bibliographic Information
      • Archive
    • International Journal of Molecular Medicine
      • Information for Authors
      • Editorial Policies
      • Editorial Board
      • Aims and Scope
      • Abstracting and Indexing
      • Bibliographic Information
      • Archive
    • International Journal of Oncology
      • Information for Authors
      • Editorial Policies
      • Editorial Board
      • Aims and Scope
      • Abstracting and Indexing
      • Bibliographic Information
      • Archive
    • Medicine International
      • Information for Authors
      • Editorial Policies
      • Editorial Board
      • Aims and Scope
      • Abstracting and Indexing
      • Bibliographic Information
      • Archive
    • Molecular and Clinical Oncology
      • Information for Authors
      • Editorial Policies
      • Editorial Board
      • Aims and Scope
      • Abstracting and Indexing
      • Bibliographic Information
      • Archive
    • Molecular Medicine Reports
      • Information for Authors
      • Editorial Policies
      • Editorial Board
      • Aims and Scope
      • Abstracting and Indexing
      • Bibliographic Information
      • Archive
    • Oncology Letters
      • Information for Authors
      • Editorial Policies
      • Editorial Board
      • Aims and Scope
      • Abstracting and Indexing
      • Bibliographic Information
      • Archive
    • Oncology Reports
      • Information for Authors
      • Editorial Policies
      • Editorial Board
      • Aims and Scope
      • Abstracting and Indexing
      • Bibliographic Information
      • Archive
    • World Academy of Sciences Journal
      • Information for Authors
      • Editorial Policies
      • Editorial Board
      • Aims and Scope
      • Abstracting and Indexing
      • Bibliographic Information
      • Archive
  • Articles
  • Information
    • For Authors
    • For Reviewers
    • For Librarians
    • For Advertisers
    • Conferences
  • Language Editing
Login Register Submit
  • This site uses cookies
  • You can change your cookie settings at any time by following the instructions in our Cookie Policy. To find out more, you may read our Privacy Policy.

    I agree
Search articles by DOI, keyword, author or affiliation
Search
Advanced Search
presentation
Oncology Reports
Join Editorial Board Propose a Special Issue
Print ISSN: 1021-335X Online ISSN: 1791-2431
Journal Cover
January 2013 Volume 29 Issue 1

Full Size Image

Sign up for eToc alerts
Recommend to Library

Journals

International Journal of Molecular Medicine

International Journal of Molecular Medicine

International Journal of Molecular Medicine is an international journal devoted to molecular mechanisms of human disease.

International Journal of Oncology

International Journal of Oncology

International Journal of Oncology is an international journal devoted to oncology research and cancer treatment.

Molecular Medicine Reports

Molecular Medicine Reports

Covers molecular medicine topics such as pharmacology, pathology, genetics, neuroscience, infectious diseases, molecular cardiology, and molecular surgery.

Oncology Reports

Oncology Reports

Oncology Reports is an international journal devoted to fundamental and applied research in Oncology.

Experimental and Therapeutic Medicine

Experimental and Therapeutic Medicine

Experimental and Therapeutic Medicine is an international journal devoted to laboratory and clinical medicine.

Oncology Letters

Oncology Letters

Oncology Letters is an international journal devoted to Experimental and Clinical Oncology.

Biomedical Reports

Biomedical Reports

Explores a wide range of biological and medical fields, including pharmacology, genetics, microbiology, neuroscience, and molecular cardiology.

Molecular and Clinical Oncology

Molecular and Clinical Oncology

International journal addressing all aspects of oncology research, from tumorigenesis and oncogenes to chemotherapy and metastasis.

World Academy of Sciences Journal

World Academy of Sciences Journal

Multidisciplinary open-access journal spanning biochemistry, genetics, neuroscience, environmental health, and synthetic biology.

International Journal of Functional Nutrition

International Journal of Functional Nutrition

Open-access journal combining biochemistry, pharmacology, immunology, and genetics to advance health through functional nutrition.

International Journal of Epigenetics

International Journal of Epigenetics

Publishes open-access research on using epigenetics to advance understanding and treatment of human disease.

Medicine International

Medicine International

An International Open Access Journal Devoted to General Medicine.

Journal Cover
January 2013 Volume 29 Issue 1

Full Size Image

Sign up for eToc alerts
Recommend to Library

  • Article
  • Citations
    • Cite This Article
    • Download Citation
    • Create Citation Alert
    • Remove Citation Alert
    • Cited By
  • Similar Articles
    • Related Articles (in Spandidos Publications)
    • Similar Articles (Google Scholar)
    • Similar Articles (PubMed)
  • Download PDF
  • Download XML
  • View XML
Article

Antiproliferative effect of the HSP90 inhibitor NVP-AUY922 is determined by the expression of PTEN in esophageal cancer

  • Authors:
    • Xiao-Hong Bao
    • Munenori Takaoka
    • Hui-Fang Hao
    • Takuya Fukazawa
    • Tomoki Yamatsuji
    • Kazufumi Sakurama
    • Nagio Takigawa
    • Motowo Nakajima
    • Toshiyoshi Fujiwara
    • Yoshio Naomoto
  • View Affiliations / Copyright

    Affiliations: Department of Gastroenterological Surgery, Transplant and Surgical Oncology, Graduate School of Medicine, Dentistry and Pharmaceutical Sciences, Okayama University, Okayama, Japan, Department of General Surgery, Kawasaki Medical School, Okayama, Japan, Department of General Internal Medicine 4, Kawasaki Medical School, Okayama, Japan, SBI ALApromo, Co., Ltd, Tokyo, Japan
  • Pages: 45-50
    |
    Published online on: October 9, 2012
       https://doi.org/10.3892/or.2012.2074
  • Expand metrics +
Metrics: Total Views: 0 (Spandidos Publications: | PMC Statistics: )
Metrics: Total PDF Downloads: 0 (Spandidos Publications: | PMC Statistics: )
Cited By (CrossRef): 0 citations Loading Articles...

This article is mentioned in:



Abstract

Heat shock protein 90 (HSP90), a molecular chaperone, has provoked great interest as a promising molecular target for cancer treatment, due to its involvement in regulating the conformation, stability and functions of key oncogenic proteins. At present, a variety of chemical compounds targeting HSP90 have been developed and have shown convincing anti-neoplastic activity in various preclinical tumor models. The aim of our study was to evaluate the antitumor effects of a novel HSP90 inhibitor, NVP-AUY922, in esophageal squamous cancer cells (ESCC). Four ESCC cell lines (TE-1, TE-4, TE-8, TE-10) were examined. NVP-AUY922 potently inhibited the proliferation of ESCC, particularly in PTEN-null TE-4 cells with a 2-3 times lower IC50 than the other three cell lines. Western blot analysis showed that PTEN-null TE-4 cells exhibited higher AKT and ERK activity, which contribute to cell proliferation and survival. NVP-AUY922 significantly suppressed the activity of AKT and ERK in TE-4 but not in PTEN-proficient TE-10 cells. Genetic modification experiments demonstrated that the sensitivity to NVP-AUY922 was decreased by exogenous transduction of PTEN in TE-4 and increased by silencing PTEN expression in intact PTEN-expressing TE-10, suggesting that the expression of PTEN may be associated with cell sensitivity in HSP90 inhibition. Furthermore, the enhanced activity of AKT in PTEN-silenced TE-10 was more easily suppressed by NVP-AUY922. Collectively, NVP-AUY922 exhibits a strong antiproliferative effect, revealing its potential as a novel therapeutic alternative to current ESCC treatment. The effect may be improved further by impeding PTEN expression.

Introduction

Heat shock protein 90 (HSP90) is a highly conserved molecular chaperone that participates in stabilizing and activating a wide range of proteins (referred to as HSP90 client proteins), many of which are involved in tumor progression via interaction with more than 20 co-chaperones which contribute to its recognition of client proteins and modulate its biochemical activities (1–3). More than 100 client proteins have been explored, among which certain kinases (such as ERBB2, BRAF, EGFR, CDK6, AKT) and steroid receptors (GR, PR, AR) are well known. In malignant cells, an increased expression of HSP90 results in the subversion of its essential chaperoning functions and protects mutated and overexpressed oncoproteins from degradation and thereby promotes cancer cell survival (4). In addition, compared with the latent, uncomplexed conformation of HSP90 from normal cells, the activated, multichaperone complexes of tumor HSP90 have a 100-fold higher binding affinity to 17-allylaminogeldanamycin (17-AAG), a first-in-class HSP90 inhibitor currently in phase II/III clinical trials in adults (5,6). Oncology trials have demonstrated that blocking HSP90 function with inhibitors induces client protein degradation and apoptosis, and inhibits cell proliferation and tumor growth as well as metastasis in various cancer cells and tumor xenografts (7–9). Clinical evaluation has also confirmed that HSP90 inhibitors have clinical activity, especially when combined with other tumor-specific inhibitors (10–14). Abundant pre-clinical and clinical data demonstrate that inhibiting HSP90 is a promising strategy for cancer treatment.

Esophageal squamous cell carcinoma (ESCC) is one of the most common cancers worldwide. More than half of all patients suffering from esophageal cancer are diagnosed with an advanced stage of tumor, with either unresectable tumors or radiographically visible metastases (15). Advances in surgical resection and neoadjuvant chemoradiatherapy have yet to overcome the very low overall survival of esophageal cancer patients (15,16). However, molecular targeted therapy is a new therapeutic strategy being put into clinical usage and offers the possibility of an improvement of the survival rate. It has been shown that HSP90 is abundantly expressed in esophageal cancer and the specific inhibition of HSP90 by 17-AAG inhibited cell proliferation and survival by impeding various cellular components involving proliferative and survival signaling pathways (17). Therefore, HSP90 may be an attractive molecular target in ESCC treatment.

NVP-AUY922 is a synthetic small-molecule inhibitor which antagonizes the function of HSP90 by blocking ATP binding and exhibits a potent antitumor effect in different types of cancer (18–20). Since studies regarding HSP90 and its inhibitors in ESCC, one of the most aggressive malignancies, are rare, in the present study we assessed the antiproliferative effect of NVP-AUY922 in ESCC (TE-1, TE-4, TE-8 and TE-10 cell lines). We further determined if its antiproliferative effect can be affected by the expression status of a certain growth-related molecule, such as the phosphatase and tensin homolog deleted on chromosome 10 (PTEN), a suppressor molecule of PI3K-AKT.

Materials and methods

Cell lines and culture conditions

Human esophageal squamous cell carcinoma (ESCC) lines TE-1, TE-4, TE-8 and TE-10 were cultured in RPMI-1640 medium supplemented with 10% fetal bovine serum (FBS), 100 U/ml penicillin G sodium, 100 μg/ml streptomycin and maintained in a monolayer culture at 37°C in humidified air with 5% CO2. Cellular morphology was observed through a microscope during culture and the experiments.

Reagents

NVP-AUY922 was synthesized and provided by Novartis Pharma AG (Basel, Switzerland) through a materials transfer agreement with Okayama University (Okayama, Japan). Stock solutions of the compound (10 mmol/l) were reconstituted with dimethyl sulphoxide (DMSO; Sigma-Aldrich, St. Louis, MO, USA) and stored at −30°C. Working solutions of NVP-AUY922 with a culture medium were prepared freshly before use. The final concentration of DMSO in all cultures was 0.0005%.

Trypan blue exclusion assay and IC50 calculation

TE-1, TE-4, TE-8 and TE-10 cells were seeded in 12-well plates at a density of 1×105/well for 24 h before drug treatment. The subconfluent cells were treated with different concentrations of NVP-AUY922 for 24 h. After treatment, cells were digested with trypsin, stained with trypan blue and counted manually with a hemacytometer. Dose-effect plots were created to calculate the IC50 of NVP-AUY922 for each cell line using CalcuSyn software (Biosoft).

Western blot analysis

ESCC cells were plated into 6-well plates at a density of 2.5×105/well for 24 h before drug treatment. The subconfluent cells were treated with different concentrations of NVP-AUY922 for 24 h. The culture medium was carefully removed, washed once in cold PBS, and an appropriate amount of Mammalian Protein Extraction Reagent (M-PER; Thermo Scientific, Rockford, IL, USA) was added to the plate. Cell lysate was collected after shaking gently for 5 min and centrifuged at 15,000 rpm at 4°C for 20 min. The supernatant was transferred to a new tube for protein determination and western blot analysis. The concentration of protein lysates was measured with a Bicinchoninic acid (BCA) protein assay kit (Thermo Scientific). Equal amounts (20 μg) of protein lysate were electrophoresed under reducing conditions in 5–10% (w/v) SDS-polyacrylamide gels. Proteins were then transferred to Hybond polyvinylidene difluoride (PVDF) transfer membranes (GE Healthcare, Buckinghamshire, UK) and incubated with primary antibodies at 4°C overnight, followed by incubation with peroxidase-linked secondary antibodies at room temperature for 1 h. SuperSignal West Pico chemiluminescent substrate (Thermo Scientific) and chemiluminescence film (GE Healthcare) were used for signal detection.

The antibodies used for western blot analysis were the following: PTEN (#9559), AKT (#2938), phospho-AKT (Ser473) (#4058), ERK1/2 (#9102) and phospho-ERK1/2 (Thr202/Tyr204) (#9101) were purchased from Cell Signaling Technology, Inc. (Beverly, MA, USA). Actin (sc-69879) was obtained from Santa Cruz Biotechnology, Inc. (Santa Cruz, CA, USA). Peroxidase-conjugated secondary antibodies (goat anti-rabbit IgG and goat anti-mouse IgG) were obtained from Jackson ImmunoResearch Laboratories, Inc. (West Grove, PA, USA).

pcDNA3 GFP PTEN transfection and G418 selection

TE-4 cells with an antibiotic-free medium were seeded in a 60-mm dish for 24 h before transfection. Plasmid pcDNA GFP PTEN (Addgene, Cambridge, MA, USA) was mixed gently with Lipofectamine 2000 (Invitrogen, Carlsbad, CA, USA) and incubated for 20 min at room temperature. The medium was changed with a fresh antibiotic-containing medium after adding plasmid-Lipofectamine 2000 complexes for 6 h. To establish a stable GFP-PTEN expressing cell line, the transfected cells were placed at a 1:10 ratio into a fresh growth medium 24 h after transfection. The culture medium was changed with 300 μg/ml of G418-containing medium the following day. Cell growth was observed every 2–3 days and the medium changed with the selection drug every 3 days. PTEN transduced TE-4 cells (TE-4/PTEN cells) were maintained with 300 μg/ml of G418-containing medium and used for NVP-AUY922 treatment. TE-4 cells were used as a control group.

Cell growth curve

TE-4 and TE-4/PTEN cells were seeded in a 24-well plate at a density of 3×103/well. The number of cells was counted by trypan blue exclusion assay on Days 1, 3, 5 and 7.

siRNA transfection

TE-10 cells with an antibiotic-free medium were seeded in a 12-well plate at a density of 8×104/well for 24 h before transfection. PTEN siRNA (Cell Signaling Technology, Inc.) or control siRNA were mixed gently with Lipofectamine 2000 and incubated for 20 min at room temperature. The medium was changed with a fresh antibiotic containing medium after adding siRNA-Lipofectamine 2000 complexes for 6 h. The following day, PTEN siRNA transfected TE-10 cells were applied to drug treatment. TE-10 cells that were transfected with Lipofectamine 2000 only (mock) or control siRNA were used as a control group.

Statistical analysis

The comparison of categorical experimental data was conducted by Student’s t-test. Data are represented as the mean ± SD. All P-values are two-sided. A P-value <0.05 was considered to be statistically significant in all experiments.

Results

NVP-AUY922 potently inhibits the proliferation of ESCC

To determine the antiproliferative effect of NVP-AUY922 against HSP90, all four esophageal squamous cancer cell lines (TE-1, TE-4, TE-8 and TE-10) were treated with different concentrations (0, 10, 30 and 50 nmol/l) of NVP-AUY922 for 24 h and their sensitivity to NVP-AUY922 was assessed by trypan blue exclusion assay. The proliferation of esophageal cancer cells was inhibited by NVP-AUY922 in a dose-dependent fashion (Fig. 1). Among the four esophageal cancer cell lines, TE-4 seemed to be the most sensitive to NVP-AUY922, especially at a concentration of 30 nmol/l. To quantitatively examine the effectiveness of NVP-AUY922 in inhibiting cell proliferation, the half maximal inhibitory concentrations (IC50) were measured (Table I). The IC50 of TE-4 was 25.29 nmol/l and those of TE-1, TE-8 and TE-10 were 72.37, 52.85 and 71.30 nmol/l, respectively, suggesting that the sensitivity of TE-4 to NVP-AUY922 is 2 to 3-fold higher than that of TE-1, TE-8 or TE-10. These results demonstrated that NVP-AUY922 exhibits a potent anticancer effect on esophageal cancers, especially TE-4.

Figure 1

Potent antiproliferative effect of NVP-AUY922 to esophageal squamous cells carcinoma. Cells were treated with indicated doses of NVP-AUY922 for 24 h and cell number was counted by trypan blue exclusion assay. Cell viability refers to the percent of living cells. Error bars represent mean ± SD.

Table I

IC50 of NVP-AUY922 in esophageal squamous cell carcinoma.

Table I

IC50 of NVP-AUY922 in esophageal squamous cell carcinoma.

Cell lineTE-1TE-4TE-8TE-10
IC50 (nM)72.3725.2952.8571.30
AKT and ERK activity is significantly suppressed by NVP-AUY922 in PTEN-null cells

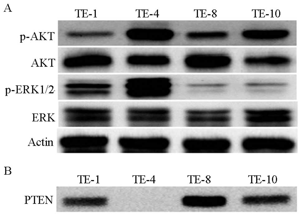
To explore the molecular mechanism by which NVP-AUY922 exerts a higher antiproliferative effect on TE-4, we first detected the activities of AKT and ERK, two key signaling molecules in the phosphatidylinositide 3-kinase (PI3K)/AKT axis and the Ras/Raf/MEK/extracellular signal-regulated kinase (ERK) axis, respectively, each of which plays an important role in cell proliferation, migration and metabolism (21,22) of esophageal cancer cells. TE-4 exhibited higher activity levels of AKT and ERK than TE-1, TE-8, or TE-10 under regular conditions (Fig. 2A). Besides regulation by upstream signaling molecules, AKT activity is also negatively regulated by PTEN via hydrolyzing the 3-phosphate on PIP3 to generate PIP2 (23). To clarify whether PTEN affects AKT activity in esophageal cancer, PTEN expression was observed by western blot analysis (Fig. 2B). The results showed that TE-1, TE-8 and TE-10 expressed PTEN at different levels, whereas TE-4 completely lost the expression of PTEN, suggesting that the higher activity of AKT in TE-4 may be a result of the loss of PTEN.

Figure 2

TE-4 cells exhibit higher activity of AKT and ERK, and lose PTEN expression. Subconfluent cells were cultured in RPMI-1640 medium for 24 h and then lysed. Lysates were subjected to western blot analysis using antibodies against (A) p-AKT (Ser473), AKT, p-ERK1/2 (Thr202/Tyr204), ERK1/2, Actin and (B) PTEN.

We next sought to determine the effect of NVP-AUY922 on AKT, a client protein of HSP90, and ERK, a key downstream kinase of HSP90 client protein Raf. PTEN-null TE-4 and PTEN-proficient TE-10 were treated with different concentrations of NVP-AUY922 (0, 10, 30 and 50 nmol/l) for 24 h and p-AKT, AKT, p-ERK and ERK were assessed (Fig. 3). Although TE-4 exhibited a higher activity level of AKT and ERK, 50 nmol/l of NVP-AUY922 almost completely depleted the phosphorylation of both AKT and ERK in TE-4, but not in TE-10. The expression of AKT was also significantly inhibited by NVP-AUY922 in a dose-dependent manner in TE-4. There was no effect on total ERK in TE-4 or TE-10. In addition, PTEN was not degraded by NVP-AUY922 in TE-10 (Fig. 3). These findings show that compared with PTEN-proficient cells, PTEN-null cells lose AKT and ERK activity more easily under NVP-AUY922 treatment.

Figure 3

NVP-AUY922 significantly inhibits p-AKT and p-ERK in TE-4 but not in TE-10 cells. Subconfluent cells were treated with indicated doses of NVP-AUY922 for 24 h and then lysed. Lysates were subjected to western blot analysis using antibodies against p-AKT (Ser473), AKT, p-ERK1/2 (Thr202/Tyr204), ERK1/2, PTEN and Actin.

The expression of PTEN may be associated with susceptibility to HSP90 inhibitors

Since PTEN-null TE-4 cells exhibited a higher sensitivity to NVP-AUY922, we hypothesized that the sensitivity of ESCC to NVP-AUY922 might be associated with the expression of PTEN. Two strategies were applied to confirm our hypothesis: one was the exogenous transduction of PTEN in PTEN-null TE-4 using the PTEN expression vector pcDNA3 GFP PTEN; the other was the silencing of PTEN expression in PTEN-proficient TE-10 using PTEN siRNA. PTEN-null TE-4 was exogenously transduced by pcDNA3 GFP PTEN. After a certain amount of G418 selection, TE-4/PTEN stably expressed the fusion protein GFP-PTEN (Fig. 4A). Although PTEN is a tumor suppression factor, the expression of PTEN in TE-4 did not affect cell proliferation (Fig. 4B). To determine cell sensitivity after the transduction of PTEN, TE-4/PTEN cells were treated with different concentrations of NVP-AUY922 (0, 10, 30 and 50 nmol/l) for 24 h and cell sensitivity was measured by trypan blue exclusion assay. As shown in Fig. 4C, the cell viability of TE-4/PTEN under 10, 30 and 50 nmol/l NVP-AUY922 treatment was increased by 21.5, 16.2 and 17.0%, respectively, suggesting that PTEN decreases cell sensitivity to NVP-AUY922.

Figure 4

PTEN transfection in TE-4 cells decreased cell’s sensitivity to NVP-AUY922. (A) TE-4 cells were transfected with pcDNA3 GFP PTEN for 24 h. After G418 selection, TE-4/PTEN cells were cultured in RPMI-1640 medium with 300 μg/ml G418. Cell lysates were subjected to western blot analysis using antibodies against PTEN. (B) The growth of TE-4 and TE-4/PTEN cells was estimated by trypan blue exclusion assay at Days 1, 3, 5 and 7. Error bars represent mean ± SD. (C) TE-4 and TE-4/PTEN cells were treated with indicated doses of NVP-AUY922 for 24 h. Cell number was counted by trypan blue exclusion assay. Cell viability refers to the percent of living cells. Error bars represent mean ± SD. *P=0.001638, **P=0.029952.

PTEN silencing by siRNA in TE-10 cells significantly suppressed PTEN expression after transfection for 48 h (Fig. 5A). PTEN expression was not changed in the mock and control siRNA groups. To estimate cell sensitivity after PTEN silencing, PTEN-silenced TE-10 cells were treated with different concentrations of NVP-AUY922 (0, 10, 30 and 50 nmol/l) for 24 h and cell sensitivity was measured by trypan blue exclusion assay (Fig. 5B). NVP-AUY922 treatment decreased the cell viability by a certain amount. After treatment with NVP-AUY922 at a concentration of 30 nmol/l, the viability of cells pretreated with TE-10/mock, TE-10/control and TE-10/PTEN were 68.5, 70.0 and 48.1% respectively, suggesting that PTEN silencing decreased cell viability by >20%. These results support our hypothesis that the expression status of PTEN may affect the sensitivity to NVP-AUY922 in ESCC cells.

Figure 5

PTEN siRNA transfection in TE-10 cells increased the cell sensitivity to NVP-AUY922 and decreased AKT activity. (A) TE-10 cells were transfected with PTEN siRNA, negative control siRNA or Lipofectamine 2000 only (mock) for 48 h and then lysed. Lysates were subjected to western blot analysis using antibodies against PTEN. (B) TE-10 cells were transfected with PTEN siRNA, negative control siRNA or Lipofectamine 2000 only (mock) for 24 h and then treated with indicated doses of NVP-AUY922 for 24 h. Cell number was counted by trypan blue exclusion assay. Cell viability refers to the percent of living cells. Error bars represent mean ± SD. *P<0.005. (C) TE-10 cells were transfected with PTEN siRNA, negative control siRNA for 24 h and then treated with indicated doses of NVP-AUY922 for 24 h. Lysates were subjected to western blot analysis using indicated antibodies.

Our results have demonstrated that NVP-AUY922 has a greater tendency to decrease AKT and ERK activity in PTEN-null cells (Fig. 3). To confirm the effect of NVP-AUY922 on AKT activity in PTEN-silencing cells, TE-10 cells that were pretreated with PTEN siRNA were treated with NVP-AUY922. AKT activity was increased by silencing PTEN in TE-10 cells (Fig. 5C). After drug treatment, p-AKT was reduced in PTEN-silenced/p-AKT-enhanced TE-10 but not in the control group (Fig. 5C), confirming the possibility that AKT activity affects the sensitivity of PTEN-silenced cells to NVP-AUY922. Notably, p-ERK was not decreased by NVP-AUY922, regardless of PTEN silencing.

In summary, NVP-AUY922 has a potent inhibitory effect on cell proliferation in esophageal cancer cells and PTEN status can affect its antiproliferative effect most likely via the regulation of AKT activity.

Discussion

In this study we have demonstrated a promising antiproliferative effect of HSP90 inhibition by NVP-AUY922 in ESCC cell lines, particularly in PTEN-loss TE-4 cells. PTEN is a dual lipid and protein phosphatase and its lipid phosphatase activity negatively regulates cell survival and proliferation via inactivating the PI3K/AKT signaling pathway (24,25). Monoallelic mutations or the complete loss of PTEN at the highest frequency were estimated in several primary and metastatic cancers (23). It has been reported that a decreased expression of nuclear PTEN is associated with disease advancement and thus may be a significant prognostic marker for patient suffering from ESCC (26). Most interestingly, a recent study has demonstrated that co-expression of HSP90 with phosphatidylinositol-3-kinase (PI3K)-p110α or the expression of HSP90 along with PTEN loss predicts significantly worse relapse-free survival (RFS), revealing strong prognostic significance in patients with invasive breast cancers (27). However, the relationship between HSP90 and PTEN expression in ESCC remains to be examined.

As demonstrated in other tumor types (glioblastoma, lung cancer and gastric cancer) (9,19,20), NVP-AUY922 treatment results in a degradation of AKT in TE-4 cells (Fig. 3). This may be because AKT as a client protein of HSP90 requires a functional HSP90/CDC37 complex to remain stable and drug treatment induces ubiquitination of AKT as well as targeting the proteasome, where it is degraded (28). Downregulation of the PI3 kinase pathway by HSP90 inhibition is partially caused by the degradation of total AKT expression and partially may be caused by the degradation of the upstream effectors of AKT (e.g. EGFR and HER2) (29,30). In addition, ERK, the crucial signaling transducer of the Ras/Raf/MAPK pathway, was also inactivated by NVP-AUY922. However, this inactivation is not due to the decline of protein expression, since HSP90 has no hand in ERK stability, but possibly due to the degradation of the upstream regulators of ERK, which require HSP90 for stabilization and maturation. It was of great interest to us that the effect of NVP-AUY922 on AKT and ERK was not significant in TE-10 cells. A good explanation of the lower antiproliferative effect of NVP-AUY922 in TE-10 compared with TE-4 cells may be the difference between the expression status of PTEN in TE-4 and TE-10, where TE-4 loses PTEN while TE-10 expresses PTEN proficiently. Our results therefore suggested that NVP-AUY922 is more effective on AKT and ERK under PTEN-loss circumstances.

Cell sensitivity to NVP-AUY922 was decreased by the exogenous transduction of PTEN in PTEN-null TE-4 cells (Fig. 4C), while it was increased by the endogenous silencing of PTEN in PTEN-proficient TE-10 (Fig. 5B). These results are consistent with the assessment of sensitivity of TE-10 and TE-4 to NVP-AUY922, and demonstrated that the expression of PTEN is associated with HSP90 inhibition. This might be confusing because PTEN is a tumor suppressor protein and negatively regulates the PI3 kinase/AKT signaling pathway. The inactivation or loss of PTEN should induce the aberrant activation of AKT and thereby promote cell proliferation and tumorigenesis. Recent studies have reported that the loss of PTEN contributes to drug resistance, for example, gefitinib and erlotinib targeting EGFR in non-small cell lung cancer (NSCLC) and PLX4720 targeting BRAF in melanomas (31,32). In contrast to these studies, however, targeting HSP90 by its specific inhibitors in PTEN-null cancer cells has been demonstrated as a promising strategy. Eccles et al(18) described that NVP-AUY922 exhibited potent antitumor efficacy in PTEN-null human glioblastoma xenografts and in a prostate carcinoma xenograft model. NXD30001, a new HSP90 inhibitor, also significantly inhibited the growth of glioblastoma multiforme, in which the loss of PTEN drives the enhanced EGFR-PI3K-Akt axis (33). Furthermore, although the anticancer effect of HSP90 inhibitors are evaluated in PTEN-null cancer cells, the role of PTEN expression in HSP90 inhibition was not determined previously. This was further evaluated by our study. We have confirmed that a decline in PTEN expression confers to HSP90 inhibition causing increased sensitivity in cancer cells, suggesting that HSP90 treatment with consideration of PTEN expression may be a novel potential therapeutic strategy for cancer treatment.

The activity of AKT is elevated by PTEN-loss (Fig. 3) or PTEN silencing (Fig. 5C) and is susceptible to HSP90 inhibition. One possible explanation is that PTEN-deficient cancer cells might be addicted to AKT and thus hypersensitive to AKT inhibition. NVP-AUY922, a specific inhibitor of HSP90, can significantly degrade AKT. Indeed, a recent study by Darido et al(34) indicated that PTEN is an important downstream effector of Grhl3 (Grainy headlike 3, a transcriptional factor essential for epidermal development) tumor suppression activity, and Grhl3/PTEN-deficient squamous cell carcinoma exhibited oncogene addiction to the PI3K/AKT signaling pathway. It will be enlightening to determine whether PTEN-downregulated or PTEN-loss ESCC cells display real oncogene addiction to AKT by using direct inhibitors of AKT.

In conclusion, we demonstrated that the novel HSP90 inhibitor NVP-AUY922 exhibits a potent antitumor effect in ESCC. PTEN expression may affect HSP90 inhibition via the regulation of PI3K/AKT signaling, providing a novel therapeutic alternative for cancer treatment.

Acknowledgements

We are grateful to Mr. Toru Tanida (Okayama University) and Ms. Noriko Miyake (Kawasaki Medical School) for their technical assistance and to Dr Minoru Haisa (Okayama Citizens’ Hospital) and Dr Takako Yamada (Kawasaki Medical School) for useful discussions.

References

1 

Zhao R, Davey M, Hsu YC, et al: Navigating the chaperone network: an integrative map of physical and genetic interactions mediated by the hsp90 chaperone. Cell. 120:715–727. 2005. View Article : Google Scholar : PubMed/NCBI

2 

Trepel J, Mollapour M, Giaccone G and Neckers L: Targeting the dynamic HSP90 complex in cancer. Nat Rev Cancer. 10:537–549. 2010. View Article : Google Scholar : PubMed/NCBI

3 

Taipale M, Jarosz DF and Lindquist S: HSP90 at the hub of protein homeostasis: emerging mechanistic insights. Nat Rev Mol Cell Biol. 11:515–528. 2010. View Article : Google Scholar : PubMed/NCBI

4 

Whitesell L and Lindquist SL: HSP90 and the chaperoning of cancer. Nature Rev Cancer. 5:761–772. 2005. View Article : Google Scholar : PubMed/NCBI

5 

Kamal A, Thao L, Sensintaffar J, Zhang L, Boehm MF, Fritz LC and Burrows FJ: A high-affinity conformation of Hsp90 confers tumour selectivity on Hsp90 inhibitors. Nature. 425:407–410. 2003. View Article : Google Scholar : PubMed/NCBI

6 

Kim YS, Alarcon SV, Lee S, Lee MJ, Giaccone G, Neckers L and Trepel JB: Update on Hsp90 inhibitors in clinical trial. Curr Top Med Chem. 9:1479–1492. 2009. View Article : Google Scholar : PubMed/NCBI

7 

Ge J, Normant E, Porter JR, et al: Design, synthesis, and biological evaluation of hydroquinone derivatives of 17-amino-17-demethoxygeldanamycin as potent, water-soluble inhibitors of Hsp90. J Med Chem. 49:4606–4615. 2006. View Article : Google Scholar : PubMed/NCBI

8 

Floris G, Debiec-Rychter M, Wozniak A, Stefan C, Normant E, Faa G, Machiels K, Vanleeuw U, Sciot R and Schöffski P: The heat shock Protein 90 inhibitor IPI-504 induces KIT degradation, tumor shrinkage, and cell proliferation arrest in xenograft models of gastrointestinal stromal tumors. Mol Cancer Ther. 10:1897–1908. 2011. View Article : Google Scholar : PubMed/NCBI

9 

Gaspar N, Sharp SY, Eccles SA, Gowan S, Popov S, Jones C, Pearson A, Vassal G and Workman P: Mechanistic evaluation of the novel HSP90 inhibitor NVP-AUY922 in adult and pediatric glioblastoma. Mol Cancer Ther. 9:1219–1233. 2010. View Article : Google Scholar : PubMed/NCBI

10 

Sausville EA, Tomaszewski JE and Ivy P: Clinical development of 17-allylamino, 17-demethoxygeldanamycin. Curr Cancer Drug Targets. 3:377–383. 2003. View Article : Google Scholar

11 

Banerji U, O’Donnell A, Scurr M, et al: Phase I pharmacokinetic and pharmacodynamic study of 17-allylamino, 17-demethoxygeldanamycin in patients with advanced malignancies. J Clin Oncol. 23:4152–4161. 2005. View Article : Google Scholar : PubMed/NCBI

12 

Modi S, Stopeck AT, Gordon MS, et al: Combination of trastuzumab and tanespimycin (17-AAG, KOS-953) is safe and active in trastuzumab-refractory HER-2 overexpressing breast cancer: a phase I dose-escalation study. J Clin Oncol. 25:5410–5417. 2007. View Article : Google Scholar : PubMed/NCBI

13 

Modi S, Stopeck A, Linden H, et al: HSP90 inhibition is effective in breast cancer: a phase II trial of tanespimycin (17-AAG) plus trastuzumab in patients with HER2-positive metastatic breast cancer progressing on trastuzumab. Clin Cancer Res. 17:5132–5139. 2011. View Article : Google Scholar : PubMed/NCBI

14 

Vaishampayan UN, Burger AM, Sausville EA, Heilbrun LK, Li J, Horiba MN, Egorin MJ, Ivy P, Pacey S and Lorusso PM: Safety, efficacy, pharmacokinetics, and pharmacodynamics of the combination of sorafenib and tanespimycin. Clin Cancer Res. 16:3795–3804. 2010. View Article : Google Scholar : PubMed/NCBI

15 

Enzinger PC and Mayer RJ: Esophageal cancer. N Engl J Med. 349:2241–2252. 2003. View Article : Google Scholar : PubMed/NCBI

16 

Jemal A, Siegel R, Ward E, Hao Y, Xu J, Murray T and Thun MJ: Cancer statistics, 2008. CA Cancer J Clin. 58:71–96. 2008. View Article : Google Scholar

17 

Wu X, Wanders A, Wardega P, et al: Hsp90 is expressed and represents a therapeutic target in human oesophageal cancer using the inhibitor 17-allylamino-17-demethoxygeldanamycin. Br J Cancer. 100:334–343. 2009. View Article : Google Scholar : PubMed/NCBI

18 

Eccles SA, Massey A, Raynaud FI, et al: NVP-AUY922: a novel heat shock protein 90 inhibitor active against xenograft tumor growth, angiogenesis, and metastasis. Cancer Res. 68:2850–2860. 2008. View Article : Google Scholar : PubMed/NCBI

19 

Ueno T, Tsukuda K, Toyooka S, et al: Strong anti-tumor effect of NVP-AUY922, a novel Hsp90 inhibitor, on non-small cell lung cancer. Lung Cancer. 76:26–31. 2012. View Article : Google Scholar : PubMed/NCBI

20 

Lee KH, Lee JH, Han SW, Im SA, Kim TY, Oh DY and Bang YJ: Antitumor activity of NVP-AUY922, a novel heat shock protein 90 inhibitor, in human gastric cancer cells is mediated through proteasomal degradation of client proteins. Cancer Sci. 102:1388–1395. 2011. View Article : Google Scholar

21 

Manning BD and Cantley LC: AKT/PKB signaling: navigating downstream. Cell. 129:1261–1274. 2007. View Article : Google Scholar : PubMed/NCBI

22 

Johnson GL and Lapadat R: Mitogen-activated protein kinase pathways mediated by ERK, JNK, and p38 protein kinases. Science. 298:1911–1912. 2002. View Article : Google Scholar : PubMed/NCBI

23 

Salmena L, Carracedo A and Pandolfi PP: Tenets of PTEN Tumor Suppression. Cell. 133:403–414. 2008. View Article : Google Scholar : PubMed/NCBI

24 

Stambolic V, Suzuki A, de la Pompa JL, Brothers GM, Mirtsos C, Sasaki T, Ruland J, Penninger JM, Siderovski DP and Mak TW: Negative regulation of PKB/Akt-dependent cell survival by the tumor suppressor PTEN. Cell. 95:29–39. 1998. View Article : Google Scholar : PubMed/NCBI

25 

Wu X, Senechal K, Neshat MS, Whang YE and Sawyers CL: The PTEN/MMAC1 tumor suppressor phosphatase functions as a negative regulator of the phosphoinositide 3-kinase/Akt pathway. Proc Natl Acad Sci USA. 95:15587–15591. 1998. View Article : Google Scholar : PubMed/NCBI

26 

Tachibana M, Shibakita M, Ohno S, Kinugasa S, Yoshimura H, Ueda S, Fujii T, Rahman MA, Dhar DK and Nagasue N: Expression and prognostic significance of PTEN product protein in patients with esophageal squamous cell carcinoma. Cancer. 94:1955–1960. 2002. View Article : Google Scholar : PubMed/NCBI

27 

Song CH, Park SY, Eom KY, Kim JH, Kim SW, Kim JS and Kim IA: Potential prognostic value of heat-shock protein 90 in the presence of phosphatidylinositol-3-kinase overexpression or loss of PTEN, in invasive breast cancers. Breast Cancer Res. 12:R202010. View Article : Google Scholar : PubMed/NCBI

28 

Basso AD, Solit DB, Chiosis G, Giri B, Tsichlis P and Rosen N: Akt forms an intracellular complex with heat shock protein 90 (Hsp90) and Cdc37 and is destabilized by inhibitors of Hsp90 function. J Biol Chem. 277:39858–39866. 2002. View Article : Google Scholar : PubMed/NCBI

29 

Jiao Y, Ou W, Meng F, Zhou H and Wang A: Targeting HSP90 in ovarian cancers with multiple receptor tyrosine kinase coactivation. Mol Cancer. 10:1252011. View Article : Google Scholar : PubMed/NCBI

30 

Scaltriti M, Serra V, Normant E, et al: Antitumor activity of the Hsp90 inhibitor IPI-504 in HER2-positive trastuzumab-resistant breast cancer. Mol Cancer Ther. 10:817–824. 2011. View Article : Google Scholar : PubMed/NCBI

31 

Yamamoto C, Basaki Y, Kawahara A, et al: Loss of PTEN expression by blocking nuclear translocation of EGR1 in gefitinib-resistant lung cancer cells harboring epidermal growth factor receptor-activating mutations. Cancer Res. 70:8715–8725. 2010. View Article : Google Scholar

32 

Paraiso KH, Xiang Y, Rebecca VW, et al: PTEN loss confers BRAF inhibitor resistance to melanoma cells through the suppression of BIM expression. Cancer Res. 71:2750–2760. 2011. View Article : Google Scholar : PubMed/NCBI

33 

Zhu H, Woolfenden S, Bronson RT, Jaffer ZM, Barluenga S, Winssinger N, Rubenstein AE, Chen R and Charest A: The novel Hsp90 inhibitor NXD30001 induces tumor regression in a genetically engineered mouse model of glioblastoma multiforme. Mol Cancer Ther. 9:2618–2626. 2010. View Article : Google Scholar : PubMed/NCBI

34 

Darido C, Georgy SR, Wilanowski T, et al: Targeting of the tumor suppressor GRHL3 by a miR-21-dependent proto-oncogenic network results in PTEN loss and tumorigenesis. Cancer Cell. 20:635–648. 2011. View Article : Google Scholar : PubMed/NCBI

Related Articles

  • Abstract
  • View
  • Download
  • Twitter
Copy and paste a formatted citation
Spandidos Publications style
Bao X, Takaoka M, Hao H, Fukazawa T, Yamatsuji T, Sakurama K, Takigawa N, Nakajima M, Fujiwara T, Naomoto Y, Naomoto Y, et al: Antiproliferative effect of the HSP90 inhibitor NVP-AUY922 is determined by the expression of PTEN in esophageal cancer. Oncol Rep 29: 45-50, 2013.
APA
Bao, X., Takaoka, M., Hao, H., Fukazawa, T., Yamatsuji, T., Sakurama, K. ... Naomoto, Y. (2013). Antiproliferative effect of the HSP90 inhibitor NVP-AUY922 is determined by the expression of PTEN in esophageal cancer. Oncology Reports, 29, 45-50. https://doi.org/10.3892/or.2012.2074
MLA
Bao, X., Takaoka, M., Hao, H., Fukazawa, T., Yamatsuji, T., Sakurama, K., Takigawa, N., Nakajima, M., Fujiwara, T., Naomoto, Y."Antiproliferative effect of the HSP90 inhibitor NVP-AUY922 is determined by the expression of PTEN in esophageal cancer". Oncology Reports 29.1 (2013): 45-50.
Chicago
Bao, X., Takaoka, M., Hao, H., Fukazawa, T., Yamatsuji, T., Sakurama, K., Takigawa, N., Nakajima, M., Fujiwara, T., Naomoto, Y."Antiproliferative effect of the HSP90 inhibitor NVP-AUY922 is determined by the expression of PTEN in esophageal cancer". Oncology Reports 29, no. 1 (2013): 45-50. https://doi.org/10.3892/or.2012.2074
Copy and paste a formatted citation
x
Spandidos Publications style
Bao X, Takaoka M, Hao H, Fukazawa T, Yamatsuji T, Sakurama K, Takigawa N, Nakajima M, Fujiwara T, Naomoto Y, Naomoto Y, et al: Antiproliferative effect of the HSP90 inhibitor NVP-AUY922 is determined by the expression of PTEN in esophageal cancer. Oncol Rep 29: 45-50, 2013.
APA
Bao, X., Takaoka, M., Hao, H., Fukazawa, T., Yamatsuji, T., Sakurama, K. ... Naomoto, Y. (2013). Antiproliferative effect of the HSP90 inhibitor NVP-AUY922 is determined by the expression of PTEN in esophageal cancer. Oncology Reports, 29, 45-50. https://doi.org/10.3892/or.2012.2074
MLA
Bao, X., Takaoka, M., Hao, H., Fukazawa, T., Yamatsuji, T., Sakurama, K., Takigawa, N., Nakajima, M., Fujiwara, T., Naomoto, Y."Antiproliferative effect of the HSP90 inhibitor NVP-AUY922 is determined by the expression of PTEN in esophageal cancer". Oncology Reports 29.1 (2013): 45-50.
Chicago
Bao, X., Takaoka, M., Hao, H., Fukazawa, T., Yamatsuji, T., Sakurama, K., Takigawa, N., Nakajima, M., Fujiwara, T., Naomoto, Y."Antiproliferative effect of the HSP90 inhibitor NVP-AUY922 is determined by the expression of PTEN in esophageal cancer". Oncology Reports 29, no. 1 (2013): 45-50. https://doi.org/10.3892/or.2012.2074
Follow us
  • Twitter
  • LinkedIn
  • Facebook
About
  • Spandidos Publications
  • Careers
  • Cookie Policy
  • Privacy Policy
How can we help?
  • Help
  • Live Chat
  • Contact
  • Email to our Support Team