Spandidos Publications Logo
  • About
    • About Spandidos
    • Aims and Scopes
    • Abstracting and Indexing
    • Editorial Policies
    • Reprints and Permissions
    • Job Opportunities
    • Terms and Conditions
    • Contact
  • Journals
    • All Journals
    • Oncology Letters
      • Oncology Letters
      • Information for Authors
      • Editorial Policies
      • Editorial Board
      • Aims and Scope
      • Abstracting and Indexing
      • Bibliographic Information
      • Archive
    • International Journal of Oncology
      • International Journal of Oncology
      • Information for Authors
      • Editorial Policies
      • Editorial Board
      • Aims and Scope
      • Abstracting and Indexing
      • Bibliographic Information
      • Archive
    • Molecular and Clinical Oncology
      • Molecular and Clinical Oncology
      • Information for Authors
      • Editorial Policies
      • Editorial Board
      • Aims and Scope
      • Abstracting and Indexing
      • Bibliographic Information
      • Archive
    • Experimental and Therapeutic Medicine
      • Experimental and Therapeutic Medicine
      • Information for Authors
      • Editorial Policies
      • Editorial Board
      • Aims and Scope
      • Abstracting and Indexing
      • Bibliographic Information
      • Archive
    • International Journal of Molecular Medicine
      • International Journal of Molecular Medicine
      • Information for Authors
      • Editorial Policies
      • Editorial Board
      • Aims and Scope
      • Abstracting and Indexing
      • Bibliographic Information
      • Archive
    • Biomedical Reports
      • Biomedical Reports
      • Information for Authors
      • Editorial Policies
      • Editorial Board
      • Aims and Scope
      • Abstracting and Indexing
      • Bibliographic Information
      • Archive
    • Oncology Reports
      • Oncology Reports
      • Information for Authors
      • Editorial Policies
      • Editorial Board
      • Aims and Scope
      • Abstracting and Indexing
      • Bibliographic Information
      • Archive
    • Molecular Medicine Reports
      • Molecular Medicine Reports
      • Information for Authors
      • Editorial Policies
      • Editorial Board
      • Aims and Scope
      • Abstracting and Indexing
      • Bibliographic Information
      • Archive
    • World Academy of Sciences Journal
      • World Academy of Sciences Journal
      • Information for Authors
      • Editorial Policies
      • Editorial Board
      • Aims and Scope
      • Abstracting and Indexing
      • Bibliographic Information
      • Archive
    • International Journal of Functional Nutrition
      • International Journal of Functional Nutrition
      • Information for Authors
      • Editorial Policies
      • Editorial Board
      • Aims and Scope
      • Abstracting and Indexing
      • Bibliographic Information
      • Archive
    • International Journal of Epigenetics
      • International Journal of Epigenetics
      • Information for Authors
      • Editorial Policies
      • Editorial Board
      • Aims and Scope
      • Abstracting and Indexing
      • Bibliographic Information
      • Archive
    • Medicine International
      • Medicine International
      • Information for Authors
      • Editorial Policies
      • Editorial Board
      • Aims and Scope
      • Abstracting and Indexing
      • Bibliographic Information
      • Archive
  • Articles
  • Information
    • Information for Authors
    • Information for Reviewers
    • Information for Librarians
    • Information for Advertisers
    • Conferences
  • Language Editing
Spandidos Publications Logo
  • About
    • About Spandidos
    • Aims and Scopes
    • Abstracting and Indexing
    • Editorial Policies
    • Reprints and Permissions
    • Job Opportunities
    • Terms and Conditions
    • Contact
  • Journals
    • All Journals
    • Biomedical Reports
      • Information for Authors
      • Editorial Policies
      • Editorial Board
      • Aims and Scope
      • Abstracting and Indexing
      • Bibliographic Information
      • Archive
    • Experimental and Therapeutic Medicine
      • Information for Authors
      • Editorial Policies
      • Editorial Board
      • Aims and Scope
      • Abstracting and Indexing
      • Bibliographic Information
      • Archive
    • International Journal of Epigenetics
      • Information for Authors
      • Editorial Policies
      • Editorial Board
      • Aims and Scope
      • Abstracting and Indexing
      • Bibliographic Information
      • Archive
    • International Journal of Functional Nutrition
      • Information for Authors
      • Editorial Policies
      • Editorial Board
      • Aims and Scope
      • Abstracting and Indexing
      • Bibliographic Information
      • Archive
    • International Journal of Molecular Medicine
      • Information for Authors
      • Editorial Policies
      • Editorial Board
      • Aims and Scope
      • Abstracting and Indexing
      • Bibliographic Information
      • Archive
    • International Journal of Oncology
      • Information for Authors
      • Editorial Policies
      • Editorial Board
      • Aims and Scope
      • Abstracting and Indexing
      • Bibliographic Information
      • Archive
    • Medicine International
      • Information for Authors
      • Editorial Policies
      • Editorial Board
      • Aims and Scope
      • Abstracting and Indexing
      • Bibliographic Information
      • Archive
    • Molecular and Clinical Oncology
      • Information for Authors
      • Editorial Policies
      • Editorial Board
      • Aims and Scope
      • Abstracting and Indexing
      • Bibliographic Information
      • Archive
    • Molecular Medicine Reports
      • Information for Authors
      • Editorial Policies
      • Editorial Board
      • Aims and Scope
      • Abstracting and Indexing
      • Bibliographic Information
      • Archive
    • Oncology Letters
      • Information for Authors
      • Editorial Policies
      • Editorial Board
      • Aims and Scope
      • Abstracting and Indexing
      • Bibliographic Information
      • Archive
    • Oncology Reports
      • Information for Authors
      • Editorial Policies
      • Editorial Board
      • Aims and Scope
      • Abstracting and Indexing
      • Bibliographic Information
      • Archive
    • World Academy of Sciences Journal
      • Information for Authors
      • Editorial Policies
      • Editorial Board
      • Aims and Scope
      • Abstracting and Indexing
      • Bibliographic Information
      • Archive
  • Articles
  • Information
    • For Authors
    • For Reviewers
    • For Librarians
    • For Advertisers
    • Conferences
  • Language Editing
Login Register Submit
  • This site uses cookies
  • You can change your cookie settings at any time by following the instructions in our Cookie Policy. To find out more, you may read our Privacy Policy.

    I agree
Search articles by DOI, keyword, author or affiliation
Search
Advanced Search
presentation
Oncology Reports
Join Editorial Board Propose a Special Issue
Print ISSN: 1021-335X Online ISSN: 1791-2431
Journal Cover
September 2013 Volume 30 Issue 3

Full Size Image

Sign up for eToc alerts
Recommend to Library

Journals

International Journal of Molecular Medicine

International Journal of Molecular Medicine

International Journal of Molecular Medicine is an international journal devoted to molecular mechanisms of human disease.

International Journal of Oncology

International Journal of Oncology

International Journal of Oncology is an international journal devoted to oncology research and cancer treatment.

Molecular Medicine Reports

Molecular Medicine Reports

Covers molecular medicine topics such as pharmacology, pathology, genetics, neuroscience, infectious diseases, molecular cardiology, and molecular surgery.

Oncology Reports

Oncology Reports

Oncology Reports is an international journal devoted to fundamental and applied research in Oncology.

Experimental and Therapeutic Medicine

Experimental and Therapeutic Medicine

Experimental and Therapeutic Medicine is an international journal devoted to laboratory and clinical medicine.

Oncology Letters

Oncology Letters

Oncology Letters is an international journal devoted to Experimental and Clinical Oncology.

Biomedical Reports

Biomedical Reports

Explores a wide range of biological and medical fields, including pharmacology, genetics, microbiology, neuroscience, and molecular cardiology.

Molecular and Clinical Oncology

Molecular and Clinical Oncology

International journal addressing all aspects of oncology research, from tumorigenesis and oncogenes to chemotherapy and metastasis.

World Academy of Sciences Journal

World Academy of Sciences Journal

Multidisciplinary open-access journal spanning biochemistry, genetics, neuroscience, environmental health, and synthetic biology.

International Journal of Functional Nutrition

International Journal of Functional Nutrition

Open-access journal combining biochemistry, pharmacology, immunology, and genetics to advance health through functional nutrition.

International Journal of Epigenetics

International Journal of Epigenetics

Publishes open-access research on using epigenetics to advance understanding and treatment of human disease.

Medicine International

Medicine International

An International Open Access Journal Devoted to General Medicine.

Journal Cover
September 2013 Volume 30 Issue 3

Full Size Image

Sign up for eToc alerts
Recommend to Library

  • Article
  • Citations
    • Cite This Article
    • Download Citation
    • Create Citation Alert
    • Remove Citation Alert
    • Cited By
  • Similar Articles
    • Related Articles (in Spandidos Publications)
    • Similar Articles (Google Scholar)
    • Similar Articles (PubMed)
  • Download PDF
  • Download XML
  • View XML
Article

Invasion potential of H22 hepatocarcinoma cells is increased by HMGB1-induced tumor NF-κB signaling via initiation of HSP70

  • Authors:
    • Wei Gong
    • Zhi-Yong Wang
    • Guo-Xi Chen
    • Yu-Qiao Liu
    • Xiao-Yan Gu
    • Wen-Wei Liu
  • View Affiliations / Copyright

    Affiliations: Department of Oncology, XiangYang Central Hospital, Hubei University of Arts and Science, XiangYang, Hubei 441021, P.R. China, Department of Neurosurgery, XiangYang Central Hospital, Hubei University of Arts and Science, XiangYang, Hubei 441021, P.R. China, Department of Respiratory Medicine, Wuhan Tuberculosis Prevention and Cure Institute, Wuhan, Hubei 430010, P.R. China, Department of Cardiology, XiangYang Central Hospital, Hubei University of Arts and Science, XiangYang, Hubei 441021, P.R. China
  • Pages: 1249-1256
    |
    Published online on: July 5, 2013
       https://doi.org/10.3892/or.2013.2595
  • Expand metrics +
Metrics: Total Views: 0 (Spandidos Publications: | PMC Statistics: )
Metrics: Total PDF Downloads: 0 (Spandidos Publications: | PMC Statistics: )
Cited By (CrossRef): 0 citations Loading Articles...

This article is mentioned in:



Abstract

The functional relationship and cross-regulation between damage-associated molecular patterns and NF‑κB in the tumor microenvironment remains unclear. In the present study, high-mobility group protein B1 (HMGB1) was secreted in response to feed second phase of NF‑κB activation from heat shock protein (HSP) 70 that may result in a higher invasion potential of hepatocarcinoma cells. HSP70 promoted the proliferation of H22 hepatocarcinoma cells through Toll-like receptor (TLR) 2 and TLR4 signaling and induced the early phosphorylation of NF-κB, which reached maximum levels within 30 min. However, HSP70 promoted the upregulation of Beclin-1 expression via Jun N-terminal kinase (JNK) activation in tumor cells and the release of HMGB1 from tumor cells. Inhibition of Beclin-1/c-JNK production prevented the second, but not the first, phase of NF-κB phosphorylation, implicating Beclin-1/c-JNK in the second phase of phosphorylation. HSP70 induced Beclin-1-derived HMGB1 production at 4 h, which occurred before the rise in the second phosphorylation that occurred at 6 h. Exogenous HMGB1 also induced the rapid phosphorylation of NF-κB and upregulated the expression of MMP-9, inhibited the rapid phosphorylation of NF-κB and reduced MMP-9 by receptor for advanced glycation end products (RAGE) inhibitor that prevented HMGB1-induced cell invasion in vitro, which demonstrated that the biological significance of HMGB1/RAGE is key to the second, but not the first, phase of NF-κB phosphorylation in tumor cells. HSP70 triggered a positive feedback loop of NF-κB activation in H22 cells. The second phase of NF-κB phosphorylation mediated by HSP70 is implicated in the increase of tumor cell malignant invasion.

Introduction

Chronic inflammation increases the risk of cancer development and progression (1). In the tumor microenvironment, intracellular molecules are released from tumor cells damaged by immune cells. Some of these molecules are inflammatory mediators referred to as damage-associated molecular pattern molecules (DAMPs) (2). DAMPs play critical roles in triggering immune responses and activating repair mechanisms to produce both antitumor and protumor effects (2). In tumor progression, the inflammatory response is triggered by interactions between intracellular molecules and Toll-like receptors (TLRs) expressed on tumor cells or local immune cells. These interactions promote neoplastic cell growth and have been proposed as initiating factors in ~15% of human tumors (3). In addition to passive release from necrotic cells and pulsatile release from apoptotic cells, DAMPs can be secreted in response to feed forward signals from identical or other DAMPs (4). This mechanism is complex and has yet to be fully elucidated.

Heat shock protein (HSP) 70 is a well-characterized DAMP involved in chronic inflammation (5). Stress-inducible HSP70 functions as a cytoprotective protein when cells are exposed to stressful stimuli. However, stress-inducible HSP70 can also be passively released from necrotic cells (6) as well as actively released when tumor cells suffer from exogenous stress (7). In the tumor microenvironment, extracellular HSP70 can bind to TLR2 and TLR4 expressed by tumor cells and causes immune tolerance, cancer progression and propagation of the tumor microenvironment (6,7). However, HSP70 also participates in preventing apoptosis through autophagy and can act as a prosurvival mechanism (8). Indeed, HSP70 augmented autophagy through c-Jun N-terminal kinase (JNK) phosphorylation and Beclin-1 upregulation (8). Several studies have demonstrated that inhibition of the autophagy regulator Beclin-1 by RNAi in tumor cells inhibited stress induced autophagy and high-mobility group protein B1 (HMGB1) release (8). Among different signaling pathways induced by HSP70, the promotion of tumor growth by activation of the NF-κB cascade has been identified in several tumor cells (9). Thus, HSP70 can stimulate both the NF-κB and JNK-Beclin-1/HMGB1 pathways in tumor cells. However, whether communication between the two signaling pathways is involved in the increased malignant potential of tumor cells remains unknown.

HMGB1 is widely expressed by numerous tumor cells and can be secreted or released upon necrotic cell death (2,10). HMGB1 expression is high in migrating growth cones and malignant cells (2). HMGB1 binds tissue-type plasminogen activator and plasminogen, promoting plasmin production and tissue invasion (2,11). Secreted HMGB1 mediates responses to infection and injury by binding with high affinity to several receptors including receptor for advanced glycation end products (RAGE), TLR2 and TLR4, thereby promoting tumor invasion and metastasis (12,13).

The pathogenic role of HMGB1 secretion in patients undergoing cancer treatment remains largely unexplored (14). HMGB1 release may initiate immune responses against tumor cells in patients undergoing chemotherapy-induced necrosis (15). In the present study, we demonstrated that HMGB1 release is a critical regulator of the response to various forms of metabolic stress. HSP70 production by DAMP stimulation resulted in NF-κB activation in tumor cells via TLR signaling accompanied by increased tumor cell proliferation. Extracellular HSP70 also activated JNK/Beclin-1 pathways in tumor cells and induced the release of HMGB1 from tumor cells, resulting in a second phase of NF-κB activation and a long-lasting tumor promoting effect, reinforcing and amplifying DAMP-induced signaling (a positive feedback loop). These findings suggest that this feedback signaling pathway may play an important role in the initiation and progression of cancer.

Materials and methods

Animals and cells

BALB/c mice (6–8 weeks old) were purchased from the Center of Medical Experimental Animals of Hubei Province (Wuhan, China). Mice were maintained in the accredited animal facility of Tongji Medical College, and used for studies approved by the Animal Care and Use Committee of Tongji Medical College. Murine H22, a human HepG2 hepatocarcinoma cell line, was purchased from China Center for Type Culture Collection (CCTCC, Wuhan, China) and cultured according to CCTCC guidelines.

Reagents and plasmids

Resveratrol (3,4′,5-trihydroxy-trans-stilbene) was purchased from Sigma-Aldrich (St. Louis, MO, USA). 6-Amino-4-(4-phenoxyphenylethylamino) quinazoline (QNZ) was purchased from Merck4Biosciences (Calbiochem, Darmstadt, Germany). Recombinant human HSP70 and HMGB1 were prepared from engineered bacteria carrying an expression plasmid kindly provided by Dr Richard Morimoto and Ji-Zhong Cheng (The University of Texas Medical Branch), purified and tested for endotoxin as previously described (16). The content of the endotoxin was <0.006 EU/ml for concentrations of recombinant HSP70 up to 50 μg/ml. Eukaryotic expression vectors psTLR2 and psTLR4 carrying cDNAs encoding the signal peptide and extracellular domain of murine TLR2 and TLR4 were constructed by the insertion of cDNA into plasmid pcDNA3.1 (Invitrogen, Carlsbad, CA, USA) in our laboratory. Antibodies were purchased from Cell Signaling Technology (Beverly, MA, USA) and Santa Cruz Biotechnology, Inc. (Santa Cruz, CA, USA).

Construction of short interfering RNA (shRNA)-expressing H22 tumor cell line

To downregulate HMGB1, RAGE or Beclin-1 in tumor cells, cells were transduced with HMGB1shRNA(h), RAGE-shRNA(h) or Beclin-1 shRNA(h) lentiviral particles or control shRNA lentiviral particles (Santa Cruz Biotechnology, Inc.), according to the manufacturer’s protocol.

Animal experiments and treatment protocols

For the treatment of tumors with DTC-Ms, HSP70 or HMGB1, BALB/c mice were inoculated with 1×105 H22 cells by intramuscular injection into the right hind thigh. Following inoculation, the mice of treatment groups received intramuscular injection of DTC-Ms, HSP70 or HMGB1 (200 μg/mouse) at the inoculation site, starting on day 1 (d1) after tumor inoculation or d7 after tumor inoculation when the tumor was palpable, once every 2 days for 4 times. Mice from the control group received intramuscular injection of an equal volume of PBS. Mice were sacrificed and tumors were dissected and weighed at the indicated times.

For treatment of tumor with sTLR2 and sTLR4, BALB/c mice were inoculated with 1×105 H22 cells by intramuscular injection into the right hind thigh. On d6, 8, 10, and 12 after inoculation, the mice of the treatment groups received an intramuscular injection (local naked DNA transfection) of 100 μg of psTLR2 or psTLR4 at the inoculation site. The control group mice received an equal volume of saline or an equal amount of pcDNA3.1 plasmid. In other experiments, mice received an intramuscular injection of psTLR2, psTLR4 or psTLR2/psTLR4 at the tumor inoculation site as described above, and also received intramuscular injection of HSP70 (200 μg/mouse) or saline at the inoculation site on d7, 9, 11 and 13 after tumor inoculation. Mice were sacrificed and tumors were dissected and weighed on d15 after inoculation.

For analysis of tumor metastasis after treatment with HSP70 or HMGB1, H22 cells or HMGB1shRNA-transfected H22 cells were injected into the liver of BALB/c mice (n=8/group). Mice were treated by intravenous injection of HSP70 or HMGB1 (200 μg/mouse) or saline once every 2 days 6 times after tumor inoculation. Mice were sacrificed and tumors were dissected and weighed on d16 after inoculation. The size of the main tumor nodule was measured and satellite tumor nodes were counted.

Detection of HMGB1 in tumors

To detect extracellular HMGB1 in the tumor milieu, BALB/c mice were inoculated with 1×105 H22 cells by intramuscular injection into the right hind thigh. Tissues at the inoculation site or tumor peripheral tissues were surgically excised at the indicated time points after inoculation. Tissues adjacent to the tumor or inoculation site were used as controls. Interstitial molecules from the tissues were prepared by digesting the tissue with collagenase and removing debris by centrifugation, and were then used for detection of HMGB1 by western blotting. HMGB1 antibody was purchased from Cell Signaling Technology (Danvers, MA, USA).

Analysis of gene expression by reverse transcriptase (RT)-PCR and real-time PCR

Total RNAs were isolated from cells or muscle tissues of mice using TRIzol reagent (Invitrogen), according to the manufacturer’s instructions. RT-PCR was used to detect mRNAs of psTLR2 and psTLR4 as previously described (17). To detect the mRNAs of sTLR2 and sTLR4 expressed by expression vectors, the primer sequences were: sTLR2 sense, 5′-CCAAGCTGGCTAGCGTTTA-3′ and antisense, 5′-CAAATGTTCAAGACTGCCCA-3′; sTLR4 sense, 5′-GACCCAAGCTGGCTAGCGTTT-3′ and anti-sense, 5′-TTTGTCTCCACAGCCACCA-3′; β-actin sense, 5′-ATGGG TCAGAAGGACTCCTATG-3′ and antisense, 5′-ATCTCC TGCTCGAAGTCTAGAG-3′.

The quantitative real-time RT-PCR for MMP-9 and β-actin was performed as previously described (17). MMP-9 sense, 5′-CAGATGATGGGAGAGAAGCAG-3′ and antisense, 5′-GAAGGTGAAGGGAAAGTGAC-3′; β-actin sense, 5′-ATGGGTCAGAAGGACTCCTATG-3′ and antisense, 5′-ATCTCCTGCTCGAAGTCTAGAG-3′. The results are expressed as the expression level of the gene relative to that of the housekeeping gene β-actin.

Western blot analysis

Following incubation of cells in the presence or absence of HSP70 or HMGB1, tissue samples after in vivo transfection were lysed or homogenized for western blot analysis as previously described (17). Primary antibodies and horseradish peroxidase-conjugated secondary antibodies were purchased from Chemicon (Temecula, CA, USA), Santa Cruz Biotechnology, Inc., R&D Systems (Minneapolis, MN, USA) and Cell Signaling Technology, respectively.

MMP assay by gelatin zymography

MMP-9 assay of protein samples was performed as previously described (17). Briefly, proteins prepared from the tumor tissues or tumor cells of each group were separated by 7.5% sodium dodecyl sulfate-polyacrylamide gel electrophoresis (SDS-PAGE) containing 1% gelatin. Gels were incubated in MMP activation buffer containing 50 mM Tris (pH 8.0) and 10 mM CaCl2 at 37°C overnight, and then stained with 1% Coomassie Brilliant Blue R-250 for 3 h and destained in 10% (v/v) methanol and 5% (v/v) acetic acid. The area and gray scale of bands were analyzed by the HPIAS-1000 analytical system. The relative activity of MMP-9 was calculated using the formula: (band gray scale - background gray scale) × band area.

Flow cytometric analysis

Tumor cells were stained with PE-Cy7 anti-mouse TLR2 antibody, PE anti-mouse TLR4 antibody (eBioscience, San Diego, CA, USA), or isotype control antibody for flow cytometric analysis. Parameters were acquired on a FACSCalibur Flow Cytometer and analyzed with CellQuest Software (both from BD Biosciences).

Proliferation assays

H22 cells were labeled with carboxyfluorescein succinimidyl ester (CFSE) and cultured for 3 days. Cell proliferation was analyzed by flow cytometry. Flow cytometric analysis acquired at least 1×104 events on a BD LSR II Flow Cytometer. The proliferation index was calculated in the responder population gate using the ModFit LT for Win32 Software.

Preparation of DTC-Ms

H22 cells were washed with phosphate-buffered saline (PBS), and resuspended in PBS to a final concentration of 5×107/ml. After four-rounds of freeze-thaw cycles followed by vortexing for 30 sec, the cells were removed by centrifugation. The supernatant contained a mixture of DTC-Ms. The concentration of DTC-Ms was defined by the concentration of protein, determined using Coomassie Bradford reagent (Thermo Fisher Scientific, Inc., Rockford, IL, USA), according to the manufacturer’s instructions.

Statistical analysis

The results are expressed as the mean value ± standard deviation (SD) and are interpreted by ANOVA-repeated measures test. Differences are considered statistically significant when P<0.05.

Results

Damaged tumor cells promote the proliferation of living tumor cells and increase HMGB1 expression through initiation of HSP70

The effect of TLR2/4 signaling on the growth of hepatocarcinoma cells was measured after inoculating 1×105 H22 cells into the hind thigh muscle and treating mice with DTC-Ms containing TLR2/4 ligands (18). Treatment with HSP70 and HMGB1 was used as control. Tumor growth increased significantly after two weeks of treatment with DTC-Ms. Notably, the effect of HSP70 on H22 cells was very similar to DTC-Ms stimulation (Fig. 1A). Moreover, at the same time interval, a rise in HMGB1 was detected in DTC-Ms and HSP70 treated tissues at the site of tumor cell inoculation, and increased in local tissues with the development of the tumor (Fig. 1B). These results suggested that HSP70 is a critical molecule(s) in DTC-Ms that can upregulate the expression of HMGB1 and may promote tumor development. As triggering of TLR4 and TLR2 in tumor cells promotes tumor cell proliferation (19) and both TLR2 and TLR4 were expressed on H22 cells (Fig. 1C) we verified whether TLR2 and TLR4 mediate the increased expression of HMGB1 and tumor promoting effects of HSP70. We expressed sTLR2 and sTLR4 in the tissue at the site of the palpable tumor by intramuscular transfection of sTLR2 and sTLR4 expression vectors (Fig. 1D). Expression of sTLR2 and sTLR4 suppressed tumor growth (Fig. 1E). The promoting effect of HSP70 on tumor growth was reduced by sTLR2 or sTLR4 expression (Fig. 1E), but the production of HMGB1 was not significantly influenced by blockade of TLR2 and TLR4 (Fig. 1F). Thus, HSP70-inducible expression of HMGB1 in the tumor microenvironment, independent of both TLR2 and TLR4, may promote tumor development.

Figure 1

Extracellular high-mobility group protein B1 (HMGB1) is increased in the tumor microenvironment during tumor progression by DTC-Ms and heat shock protein (HSP) 70. (A and B) Effect of DTC-Ms and HSP70 on tumor growth. (A) BALB/c mice were inoculated with H22 cells on day (d) 0 and received intramuscular injection of DTC-Ms and HSP70 (200 μg/mouse), once every 2 days from d1 to 13. Tumors (n=8 in each group) were dissected and weighed on d15 (d1-13 injection) after tumor inoculation. *P<0.05. (B) Detection of HMGB1 in tumors. Extracellular HMGB1 was detected by western blot analysis at the indicated time point after inoculation as described in Materials and methods. Tissues adjacent to the tumor were used as controls. (C) Expression of sTLR2 and sTLR4 after intramuscular transfection. Naked plasmid DNA was injected into muscle of mice. Tissues at sites of injection were surgically excised 72 h later and homogenized. The expressions of sTLR2 and sTLR4 were identified by reverse transcriptase-PCR and western blot analysis. (D) Flow cytometric analysis of TLR2 and TLR4 expression on H22 cells. (E and F) sTLR2 and sTLR4 suppressed HSP70 production but not HMGB1 production. (E) Mice inoculated with H22 cells received intramuscular injection of saline, pcDNA3.1, or psTLR2/psTLR4, with simultaneous injection of HSP70 as described in Materials and methods. Tumors (n=8 in each group) were dissected and weighed on d15 after tumor inoculation. *P<0.05. (F) Extracellular HMGB1 was detected by western blot analysis at the indicated time point after inoculation as described in Materials and methods.

Malignant tumor invasion is increased by HSP70-inducible expression of HMGB1

Based on the above results, we next investigated whether HSP70 could increase H22 cell capability for malignant invasion by inducible expression of HMGB1 in the tumor microenvironment. In mice receiving 1×105 H22 cells in the liver, injection of HSP70 increased the expression of HMGB1. Production of active MMP-9 also increased significantly in the HSP70 treatment groups (Fig. 2A), suggesting it is a major contributor to tumor invasion (20). Both increased tumor growth and increased satellite tumor nodes were observed in the HSP70 treatment groups (Fig. 2B), whereas treatment of mice with HMGB1shRNA transfection suppressed tumor growth and the formation of satellite tumor nodes (Fig. 2B). However, in the presence of HMGB1, increased satellite tumor nodes in the liver and increased production of active MMP-9 was observed (Fig. 2A and B), suggesting the increased capability for malignant invasion of the tumor was not induced by HSP70 but was due to HSP70-inducible expression of HMGB1. We used specific antibodies to neutralize HMGB1 activity that may be present in the HSP70 preparation to confirm the direct effect of HMGB1 on H22 cells cultured for 5 or 24 h in the presence of HSP70 or HMGB1. The production of active MMP-9 was increased in the presence of HMGB1 for 5 or 24 h but was unaffected by incubation in the presence of HSP70 for 5 h (Fig. 2C). In addition, anti-HMGB1 antibody treatment significantly reduced the increased production of active MMP-9 in the presence of HSP70 incubated for 24 h (Fig. 2C).

Figure 2

Tumor cells exhibit an increased invasive growth by heat shock protein (HSP) 70-induced expression of high-mobility group protein B1 (HMGB1). (A and B) H22 cells or HMGB1shRNA expressing H22 cells were treated in vitro and then inoculated to the liver of mice. Mice received no treatment or were administered HSP70 or HMGB1 as described in Materials and methods. (A) The invasive growth of tumor cells after HSP70 or HMGB1 treatment. The tumors in the liver of the mice are shown (upper). The main tumor nodules were measured (lower, left) and satellite tumor nodes counted (lower, right). *P<0.05, compared with control or saline groups. No satellite nodes were observed in control or the HMGB1shRNA mice administered H22 tumors. (B) On day (d) 16 after inoculation, tumor marginal tissues were surgically removed to extract RNA and proteins. The relative mRNA levels of MMP-9 were detected by real-time reverse transcriptase (RT)-PCR (left). *P<0.05, compared with control groups. MMP-9 in supernatants was detected by zymography assay (right). (C) Assay of MMP-9 production. Cells were cultured in the presence or absence of HSP70 or HMGB1 for 5 or 24 h. The relative mRNA levels of MMP-9 were detected by real-time RT-PCR (left). *P<0.05, compared with control groups. MMP-9 in supernatants was detected by zymography assay (right).

HSP70 stimulation results in different temporal patterns of NF-κB activation in H22 cells

TLR2 and TLR4 can activate NF-κB that mediates the effects of HSP70 (20). The proliferation of H22 cells was promoted by administration of HSP70 (Fig. 3A). Moreover, stimulation of H22 cells with HSP70 induced a biphasic temporal pattern of I-κB activation, an inhibitory protein of NF-κB, and increased the quantity of NF-κB in the cell nucleus, with a rapid increase in phosphorylation within 30 min, followed by a second rise at ~6 h (Fig. 3B). Preincubation of H22 cells with resveratrol, a TLR4 and TLR2 signaling inhibitor (21), inhibited the HSP70-induced first phase of NF-κB phosphorylation but not the second phase (Fig. 3B), and the proliferation of H22 cells was significantly suppressed (Fig. 3A). QNZ, an inhibitor of NF-κB, abrogated the effect of HSP70 (Fig. 3A) suggesting that both TLR2 and TLR4 mediated the first phase of NF-κB activation and were involved in promoting the effect of HSP70 on tumor cell proliferation. Next, we looked at whether the second phase of NF-κB phosphorylation may last if HSP70 was removed. To test this, H22 cells were treated with HSP70 for 4 h and then specific HSP70 neutralizing antibodies were administered. I-κB activation increased at ~6 h, although not as high as that when in the continuous presence of HSP70 (Fig. 3B). Collectively, the results suggest that HSP70 stimulation in tumor cells may result in a previously unrecognized activation of NF-κB but not dependent of TLR4 and TLR2 signal pathways.

Figure 3

Effects of heat shock protein (HSP) 70 on the activation of NF-κB in H22 cells. (A) Effect of HSP70 on H22 cell proliferation. H22 cells were cultured in the presence of HSP70 using different protocols, and the proliferation of tumor cells was analyzed by flow cytometry as described in Materials and methods. *P<0.05. (B) H22 cells were incubated with HSP70 (20 μg/ml) using different protocols for various times (0–8 h), and NF-κB phosphorylation was analyzed by western blotting and compared with basal levels (without HSP70).

The second phase of HSP70-induced NF-κB activation is dependent on JNK signaling and HMGB1 expression in H22 cells

HSP70 regulates diverse signaling pathways involving NF-κB in different types of cells (22). However, the mechanism(s) of the second phase of NF-κB activation by HSP70 is unknown. Given that HSP70 can induce HMGB1 release via JNK activation and Beclin-1 expression and that HMGB1 can trigger NF-κB activation (8,23), we hypothesized that the second phase of NF-κB activation in H22 cells is caused by Beclin-1-derived HMGB1 production induced by HSP70. To test this hypothesis, we examined the temporal production of HMGB1 by HSP70. In H22 cells, HSP70 induced rapid JNK phosphorylation, significant upregulation of Beclin-1 and HMGB1 at 4 h (Fig. 4A and B), which preceded the second phase of NF-κB activation. Then, we examined the effect of exogenously delivered HMGB1 on NF-κB signaling. Stimulation of H22 cells with HMGB1 induced rapid NF-κB phosphorylation (Fig. 4D). These results indicated that H22 cells activated NF-κB rapidly but the second phase of NF-κB activation was not induced by HMGB1. The second phase of NF-κB activation induced by HSP70 in H22 cells could be due to HMGB1 generation via JNK mediating Beclin-1. However, when cancer cells were pretreated with a selective JNK inhibitor (SP600125) HSP70-induced JNK, phosphorylation was inhibited (Fig. 4B), which prevented Beclin-1 and HMGB1 production in H22 cells (Fig. 4C). HMGB1 production by HSP70 was also inhibited by Beclin-1 shRNA (Fig. 4C). Moreover, the JNK inhibitor prevented the second, but not the first, phase of HSP70-induced activation of NF-κB (Fig. 4D). From these results, we conclude that HSP70 induces the second phase of NF-κB activation via JNK-mediated Beclin-1-dependent HMGB1 production in H22 cells.

Figure 4

Time course analysis of heat shock protein (HSP) 70-induced high-mobility group protein B1 (HMGB1) and Beclin-1 production and effect of Jun N-terminal kinase (JNK) inhibitors on HSP70-induced NF-κB activation. (A) Effect of HSP70 on production of HMGB1 and Beclin-1. H22 cells were incubated with HSP70 (20 μg/ml) for various times and Beclin-1 and HMGB1 protein production was analyzed over a 6-h period. Supernatants were collected at various times after HSP70 stimulation and the concentration of Beclin-1 and HMGB1 was determined by western blotting and compared with basal levels (time 0). (B) A JNK specific inhibitor inhibited JNK activation. Cells were treated with and/or without JNK specific inhibitor (SP600125, 10 μmol/l) followed by stimulation with HSP70 (20 μg/ml) for 4 h. JNK and p-JNKs were measured by western blotting. (C) Activation of JNK is required for HSP70-induced Beclin-1 and HMGB1 production. Cells were treated with and/or without a JNK specific inhibitor (SP600125, 10 μmol/l) and/or Beclin-1 shRNA followed by stimulation with HSP70 (20 μg/ml) for 4 h. Empty vector served as a negative control. HMGB1 and Beclin-1 were measured by western blotting. (D) Effects on NF-κB activation in H22 cells. H22 cells were incubated with HMGB1 (20 μg/ml) or with a JNK specific inhibitor (SP600125, 10 μmol/l) followed by stimulation with HSP70 (20 μg/ml) for various times (0–8 h), and NF-κB phosphorylation was analyzed by western blotting.

HMGB1/RAGE-mediated NF-κB phosphorylation is involved in hepatocarcinoma cell invasion

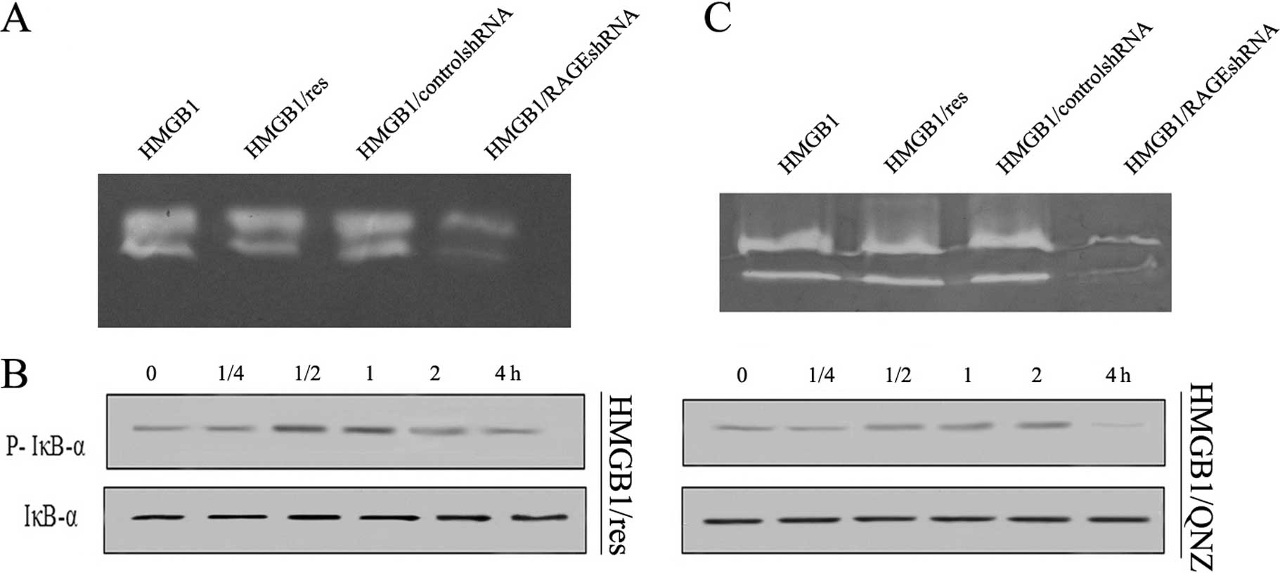
HMGB1 mediates the response to inflammation-based carcinogenesis by binding with high affinity to several receptors including the RAGE and TLRs 2 and 4, thereby augmenting tumor growth and invasion. To determine whether RAGE and/or TLR2/4 mediate HMGB1-induced increased production of active MMP-9, a target-specific shRNA against these receptors was transfected into tumor cells. Knockdown of RAGE in cancer cells diminished HMGB1-induced increased production of MMP-9 (Fig. 5A). By contrast, there was no effect on HMGB1-induced increased production of MMP-9 when resveratrol was used to inhibit TLR2/4 (Fig. 5A). This suggested RAGE is required for HMGB1 promotion of tumor invasion by increased production of active MMP-9. To analyze the pathway(s) involved in the effect of RAGE-mediated NF-κB signaling, we stimulated H22 cells with HMGB1 in the presence of QNZ (NF-κB inhibitor) and resveratrol (TRIF inhibitor). The effect of RAGE-mediated NF-κB signaling was completely abolished by QNZ, but not resveratrol (Fig. 5B), suggesting that NF-κB was involved in RAGE signaling for MMP-9 expression in H22 cells. A human hepatocarcinoma cell line, HepG2, was used to evaluate the effect of RAGE signaling. The human cancer cell line showed a similar pattern of increased MMP-9 expression in response to HMGB1 stimulation (Fig. 5C). Taken together, these results suggested that RAGE signaling activated NF-κB to regulate the expression of MMP-9 in hepatocarcinoma H22 cells.

Figure 5

Receptor for advanced glycation end products (RAGE) but not Toll-like receptor (TLR)2/TLR4 is required for high-mobility group protein B1 (HMGB1)-mediated MMP-9 enhancement. (A) H22 cells were transfected with the indicated RAGE-shRNA for 48 h and were then cultured in the presence of HMGB1 and/or resveratrol (Res, 30 μM). MMP-9 in supernatants was detected by zymography assay. (B) H22 cells were cultured in the presence of HMGB1 and QNZ (20 nM) or Res (30 μM), and NF-κB phosphorylation was analyzed by western blotting. (C) HepG2 cells were transfected with the indicated RAGE-shRNA for 48 h and were then cultured in the presence of HMGB1 and/or Res (30 μM). MMP-9 in supernatants was detected by zymography assay.

Discussion

The present study demonstrated that HMGB1 secreted from cells during the initial steps of HSP70 induction may result in a higher invasion potential of hepatocarcinoma cells by mediating a second phase of NF-κB activation. Stress-inducible HSP70 is abundantly expressed in various types of tumor cells, and is regarded as a cancer-relevant survival protein (22). However, data in the current study showed a distinct effect of HSP70 in progressively growing tumors. In the early stages of tumor growth, HSP70/TLR2/4 could promote H22 cell proliferation by stimulating NF-κB pathways, which is strongly associated with tumor growth (24). Of note, in the microenvironment of late-stage tumors, tumor cells pretreated with HSP70 showed stronger trend to form tumors after inoculation, and had increased metastatic potential after the removal of HSP70. The underlying mechanisms may involve the increased expression of HMGB1 in tumor cells and the release of HMGB1 from tumor cells by treatment with HSP70, similar to the effect of LPS in promoting the expression and release of HMGB1 (25). Extracellular HMGB1 has been extensively related to tumor growth and metastasis (10) as it can activate NF-κB through TLR2/4 and RAGE signaling (26). We found that RAGE RNAi abolished HMGB1-induced activation of NF-κB and induced metastasis in tumor cells. However, blocking TLR2/4 had no effect, suggesting they are indispensable for HMGB1/RAGE in the NF-κB pathway of hepatocarcinoma cells in response to HSP70. Therefore, HSP70 could mediate biphasic NF-κB activation in H22 cells. In this situation, the effect of HSP70 on tumor cells in the original microenvironment could promote invasion and metastasis of tumor cells into a new microenvironment where HSP70 has not accumulated.

In cancerous conditions, cells dying through non-apoptotic pathways can release stress-inducible HSP70 into the extracellular space. However, living tumor cells can secrete stress-inducible HSP70 under stress conditions (7). DTC-Ms could promote survival and proliferation of tumor cells by HSP70/TLR2/4 mediated NF-κB activation (19,20). In addition, it was proposed that within tumor microenvironments, stress-induced HSP70 increases JNK phosphorylation and enhances autophagy by increasing Beclin-1 expression (8). In the current study, we found that HSP70 enhanced HMGB1 production in H22 cells, which constitutively expressed Beclin-1, via a JNK signaling cascade. Furthermore, HSP70-induced HMGB1 production was prevented completely by inhibitors of Beclin-1 and JNK. Thus, DAMPs released during the early stages of tumor development can generate a positive feedback loop by stimulating HMGB1 release from tumor cells. However, our data also showed that HSP70 did not induce Beclin-1 upregulation significantly until 4 h after stimulation, suggesting that Beclin-1/HMGB1 is unlikely to be responsible for the NF-κB phosphorylation observed at 30 min. Administration of a JNK inhibitor, SP600125, inhibited the second, but not the first, phase of NF-κB phosphorylation. These findings indicated that Beclin-1-derived HMGB1 synthesis induced by HSP70 was mediated by activation of the JNK signaling cascade. Activation of JNK signaling in H22 cells resulted in HMGB1 production, which was maximal 4 h after exposure to HSP70, and preceded the second phase of NF-κB activation.

NF-κB functions as a tumor promoter in inflammation-associated cancer (3,9). The activation of NF-κB signaling pathways is implicated in the proliferation and metastasis of several tumors (3). Although it is known that TLR-mediated signal transduction leads to the activation of NF-κB (3), the mechanism whereby NF-κB is chronically activated in tumors remains to be elucidated. In the present study, we showed that in H22 cells, HSP70, a pathophysiological stimulus, induces biphasic NF-κB phosphorylation; the early phase occurs ~30 min after stimulation, involving TLR-mediated proliferation of tumor cells. Both TLR2 and TLR4 can activate NF-κB through MyD88-dependent and TRIF-dependent signaling pathways (27). Our data showed that the effect of HSP70 on tumor cell proliferation was abrogated by NF-κB inhibitor, whereas resveratrol by TRIF (27). Thus, HSP70-mediated TLR2/4 signaling can activate NF-κB through the TRIF pathway in H22 cells. The delayed phase occurred ~6 h after stimulation via the HMGB1-RAGE signaling pathway, and mediated the invasion and increased production of active MMP-9 of tumor cells. Moreover, the involvement of HMGB1/RAGE in the NF-κB pathway has been demonstrated in numerous studies (28), although the precise mechanism remains unknown. We demonstrated that HMGB1/RAGE activity of the NF-κB pathway was partly induced by IκBa degradation, since the effect of HMGB1/RAGE was completely abrogated by QNZ.

The present results are in keeping with recent computational analyses showing that positive feedback loops allow cells to modulate the amplitude and duration of signaling responses (29). Our data showed that activation of NF-κB was indispensable for the effect of HSP70. HSP70 induced a positive feedback loop involving Beclin-1/HMGB1 production, causing re-phosphorylation of NF-κB. This resulted in a significant promotion of cell invasion ability of the cancer cells, a critical aspect of tumor progression. Future studies will address a variety of potential outcomes of this important feedback pathway, including carcinogenic effects and effects on cell differentiation. Thus, this signaling cascade may provide further insights into the pathophysiology of inflammation and tumorigenesis.

Acknowledgements

This study was supported by the National Science Foundation of Hubei province (2012FFB01906) and the ‘Important Foundation’ of XiangYang Central Hospital (no.YY2010B05).

References

1 

Sato Y, Goto Y, Narita N and Hoon DS: Cancer cells expressing Toll-like receptors and the tumor microenvironment. Cancer Microenviron. 2:S205–S214. 2009. View Article : Google Scholar

2 

Srikrishna G and Freeze HH: Endogenous damage-associated molecular pattern molecules at the crossroads of inflammation and cancer. Neoplasia. 11:615–628. 2009.PubMed/NCBI

3 

Huang B, Zhao J, Shen S, et al: Listeria monocytogenes promotes tumor growth via tumor cell toll like receptor 2 signaling. Cancer Res. 67:4346–4352. 2007. View Article : Google Scholar : PubMed/NCBI

4 

Korbelik M, Zhang W and Merchant S: Involvement of damage-associated molecular patterns in tumor response to photodynamic therapy: surface expression of calreticulin and high-mobility group box-1 release. Cancer Immunol Immunother. 60:1431–1437. 2011. View Article : Google Scholar

5 

Jäättelä M: Escaping cell death: survival proteins in cancer. Exp Cell Res. 248:30–43. 1999.PubMed/NCBI

6 

Basu S, Binder RJ, Suto R, Anderson KM and Srivastava PK: Necrotic but not apoptotic cell death releases heat shock proteins, which deliver a partial maturation signal to dendritic cells and activate the NF-kappaB pathway. Int Immunol. 12:1539–1546. 2000. View Article : Google Scholar : PubMed/NCBI

7 

Bausero MA, Gastpar R, Multhoff G and Asea A: Alternative mechanism by which IFN-gamma enhances tumor recognition: active release of heat shock protein 72. J Immunol. 175:2900–2912. 2005. View Article : Google Scholar : PubMed/NCBI

8 

Li S, Zhou Y, Fan J, Cao S, et al: Heat shock protein 72 enhances autophagy as a protective mechanism in lipopolysaccharide-induced peritonitis in rats. Am J Pathol. 179:2822–2834. 2011. View Article : Google Scholar : PubMed/NCBI

9 

Pikarsky E, Porat RM, Stein I, Abramovitch R, et al: NF-kappaB functions as a tumour promoter in inflammation-associated cancer. Nature. 431:461–466. 2004. View Article : Google Scholar : PubMed/NCBI

10 

Ellerman JE, Brown CK, de Vera M, et al: Masquerader: high mobility group box-1 and cancer. Clin Cancer Res. 13:2836–2848. 2007. View Article : Google Scholar : PubMed/NCBI

11 

Taguchi A, Blood DC, del Toro G, et al: Blockade of RAGE-amphoterin signalling suppresses tumour growth and metastases. Nature. 405:354–360. 2000. View Article : Google Scholar : PubMed/NCBI

12 

Lotze MT and Tracey KJ: High-mobility group box 1 protein (HMGB1): nuclear weapon in the immune arsenal. Nat Rev Immunol. 5:331–342. 2005. View Article : Google Scholar : PubMed/NCBI

13 

Tang D, Kang R, Cheh CW, et al: HMGB1 release and redox regulates autophagy and apoptosis in cancer cells. Oncogene. 29:5299–5310. 2010. View Article : Google Scholar : PubMed/NCBI

14 

Tang D, Kang R, Zeh HJ III and Lotze MT: High-mobility group box 1 and cancer. Biochim Biophys Acta. 1799:131–140. 2010. View Article : Google Scholar : PubMed/NCBI

15 

Apetoh L, Ghiringhelli F, Tesniere A, Obeid M, et al: Toll-like receptor 4-dependent contribution of the immune system to anticancer chemotherapy and radiotherapy. Nat Med. 13:1050–1059. 2007. View Article : Google Scholar

16 

Geng H, Zhang GM, Xiao H, et al: HSP70 vaccine in combination with gene therapy with plasmid DNA encoding sPD-1 overcomes immune resistance and suppresses the progression of pulmonary metastatic melanoma. Int J Cancer. 118:2657–2664. 2006. View Article : Google Scholar : PubMed/NCBI

17 

Gong W, Zhang GM, Liu Y, et al: IFN-gamma withdrawal after immunotherapy potentiates B16 melanoma invasion and metastasis by intensifying tumor integrin alphavbeta3 signaling. Int J Cancer. 123:702–708. 2008. View Article : Google Scholar : PubMed/NCBI

18 

Tsan MF and Gao B: Endogenous ligands of Toll-like receptors. J Leukoc Biol. 76:514–519. 2004. View Article : Google Scholar : PubMed/NCBI

19 

Asea A, Rehli M, Kabingu E, Boch JA, et al: Novel signal transduction pathway utilized by extracellular HSP70: role of toll-like receptor (TLR) 2 and TLR4. J Biol Chem. 277:15028–15034. 2002. View Article : Google Scholar : PubMed/NCBI

20 

Asea A: Initiation of the immune response by extracellular Hsp72: chaperokine activity of Hsp72. Curr Immunol Rev. 2:209–215. 2006. View Article : Google Scholar : PubMed/NCBI

21 

Youn HS, Lee JY, Fitzgerald KA, et al: Specific inhibition of MyD88-independent signaling pathways of TLR3 and TLR4 by resveratrol: molecular targets are TBK1 and RIP1 in TRIF complex. J Immunol. 175:3339–3346. 2005. View Article : Google Scholar : PubMed/NCBI

22 

Mosser DD and Morimoto RI: Molecular chaperones and the stress of oncogenesis. Oncogene. 23:2907–2918. 2004. View Article : Google Scholar : PubMed/NCBI

23 

Tang D, Loze MT, Zeh HJ and Kang R: the redox protein HMGB1 regulates cell death and survival in cancer treatment. Autophagy. 6:1181–1183. 2010. View Article : Google Scholar : PubMed/NCBI

24 

Rohde M, Daugaard M, Jensen MH, et al: Members of the heat-shock protein 70 family promote cancer cell growth by distinct mechanisms. Genes Dev. 19:570–582. 2005. View Article : Google Scholar : PubMed/NCBI

25 

Wu CX, Sun H, Liu Q, Guo H and Gong JP: LPS induces HMGB1 relocation and release by activating the NF-κB-CBP signal transduction pathway in the murine macrophage like cell line RAW264.7. J Surg Res. 175:88–100. 2012.PubMed/NCBI

26 

van Beijnum JR, Buurman WA and Griffioen AW: Convergence and amplification of toll-like receptor (TLR) and receptor for advanced glycation end products (RAGE) signaling pathways via high mobility group B1 (HMGB1). Angiogenesis. 11:91–99. 2008.PubMed/NCBI

27 

Lee JK, Kim SY, Kim YS, Lee WH, et al: Suppression of the TRIF-dependent signaling pathway of Toll-like receptors by luteolin. Biochem Pharmacol. 77:1391–1400. 2009. View Article : Google Scholar : PubMed/NCBI

28 

Liliensiek B, Weigand MA, Bierhaus A, Nicklas W, et al: Receptor for advanced glycation end products (RAGE) regulates sepsis but not the adaptive immune response. J Clin Invest. 113:1641–1650. 2004. View Article : Google Scholar : PubMed/NCBI

29 

Shvartsman SY, Hagan MP, Yacoub A, Dent P, et al: Autocrine loops with positive feedback enable context-dependent cell signaling. Am J Physiol Cell Physiol. 282:C545–C559. 2002. View Article : Google Scholar : PubMed/NCBI

Related Articles

  • Abstract
  • View
  • Download
  • Twitter
Copy and paste a formatted citation
Spandidos Publications style
Gong W, Wang Z, Chen G, Liu Y, Gu X and Liu W: Invasion potential of H22 hepatocarcinoma cells is increased by HMGB1-induced tumor NF-κB signaling via initiation of HSP70. Oncol Rep 30: 1249-1256, 2013.
APA
Gong, W., Wang, Z., Chen, G., Liu, Y., Gu, X., & Liu, W. (2013). Invasion potential of H22 hepatocarcinoma cells is increased by HMGB1-induced tumor NF-κB signaling via initiation of HSP70. Oncology Reports, 30, 1249-1256. https://doi.org/10.3892/or.2013.2595
MLA
Gong, W., Wang, Z., Chen, G., Liu, Y., Gu, X., Liu, W."Invasion potential of H22 hepatocarcinoma cells is increased by HMGB1-induced tumor NF-κB signaling via initiation of HSP70". Oncology Reports 30.3 (2013): 1249-1256.
Chicago
Gong, W., Wang, Z., Chen, G., Liu, Y., Gu, X., Liu, W."Invasion potential of H22 hepatocarcinoma cells is increased by HMGB1-induced tumor NF-κB signaling via initiation of HSP70". Oncology Reports 30, no. 3 (2013): 1249-1256. https://doi.org/10.3892/or.2013.2595
Copy and paste a formatted citation
x
Spandidos Publications style
Gong W, Wang Z, Chen G, Liu Y, Gu X and Liu W: Invasion potential of H22 hepatocarcinoma cells is increased by HMGB1-induced tumor NF-κB signaling via initiation of HSP70. Oncol Rep 30: 1249-1256, 2013.
APA
Gong, W., Wang, Z., Chen, G., Liu, Y., Gu, X., & Liu, W. (2013). Invasion potential of H22 hepatocarcinoma cells is increased by HMGB1-induced tumor NF-κB signaling via initiation of HSP70. Oncology Reports, 30, 1249-1256. https://doi.org/10.3892/or.2013.2595
MLA
Gong, W., Wang, Z., Chen, G., Liu, Y., Gu, X., Liu, W."Invasion potential of H22 hepatocarcinoma cells is increased by HMGB1-induced tumor NF-κB signaling via initiation of HSP70". Oncology Reports 30.3 (2013): 1249-1256.
Chicago
Gong, W., Wang, Z., Chen, G., Liu, Y., Gu, X., Liu, W."Invasion potential of H22 hepatocarcinoma cells is increased by HMGB1-induced tumor NF-κB signaling via initiation of HSP70". Oncology Reports 30, no. 3 (2013): 1249-1256. https://doi.org/10.3892/or.2013.2595
Follow us
  • Twitter
  • LinkedIn
  • Facebook
About
  • Spandidos Publications
  • Careers
  • Cookie Policy
  • Privacy Policy
How can we help?
  • Help
  • Live Chat
  • Contact
  • Email to our Support Team