Spandidos Publications Logo
  • About
    • About Spandidos
    • Aims and Scopes
    • Abstracting and Indexing
    • Editorial Policies
    • Reprints and Permissions
    • Job Opportunities
    • Terms and Conditions
    • Contact
  • Journals
    • All Journals
    • Oncology Letters
      • Oncology Letters
      • Information for Authors
      • Editorial Policies
      • Editorial Board
      • Aims and Scope
      • Abstracting and Indexing
      • Bibliographic Information
      • Archive
    • International Journal of Oncology
      • International Journal of Oncology
      • Information for Authors
      • Editorial Policies
      • Editorial Board
      • Aims and Scope
      • Abstracting and Indexing
      • Bibliographic Information
      • Archive
    • Molecular and Clinical Oncology
      • Molecular and Clinical Oncology
      • Information for Authors
      • Editorial Policies
      • Editorial Board
      • Aims and Scope
      • Abstracting and Indexing
      • Bibliographic Information
      • Archive
    • Experimental and Therapeutic Medicine
      • Experimental and Therapeutic Medicine
      • Information for Authors
      • Editorial Policies
      • Editorial Board
      • Aims and Scope
      • Abstracting and Indexing
      • Bibliographic Information
      • Archive
    • International Journal of Molecular Medicine
      • International Journal of Molecular Medicine
      • Information for Authors
      • Editorial Policies
      • Editorial Board
      • Aims and Scope
      • Abstracting and Indexing
      • Bibliographic Information
      • Archive
    • Biomedical Reports
      • Biomedical Reports
      • Information for Authors
      • Editorial Policies
      • Editorial Board
      • Aims and Scope
      • Abstracting and Indexing
      • Bibliographic Information
      • Archive
    • Oncology Reports
      • Oncology Reports
      • Information for Authors
      • Editorial Policies
      • Editorial Board
      • Aims and Scope
      • Abstracting and Indexing
      • Bibliographic Information
      • Archive
    • Molecular Medicine Reports
      • Molecular Medicine Reports
      • Information for Authors
      • Editorial Policies
      • Editorial Board
      • Aims and Scope
      • Abstracting and Indexing
      • Bibliographic Information
      • Archive
    • World Academy of Sciences Journal
      • World Academy of Sciences Journal
      • Information for Authors
      • Editorial Policies
      • Editorial Board
      • Aims and Scope
      • Abstracting and Indexing
      • Bibliographic Information
      • Archive
    • International Journal of Functional Nutrition
      • International Journal of Functional Nutrition
      • Information for Authors
      • Editorial Policies
      • Editorial Board
      • Aims and Scope
      • Abstracting and Indexing
      • Bibliographic Information
      • Archive
    • International Journal of Epigenetics
      • International Journal of Epigenetics
      • Information for Authors
      • Editorial Policies
      • Editorial Board
      • Aims and Scope
      • Abstracting and Indexing
      • Bibliographic Information
      • Archive
    • Medicine International
      • Medicine International
      • Information for Authors
      • Editorial Policies
      • Editorial Board
      • Aims and Scope
      • Abstracting and Indexing
      • Bibliographic Information
      • Archive
  • Articles
  • Information
    • Information for Authors
    • Information for Reviewers
    • Information for Librarians
    • Information for Advertisers
    • Conferences
  • Language Editing
Spandidos Publications Logo
  • About
    • About Spandidos
    • Aims and Scopes
    • Abstracting and Indexing
    • Editorial Policies
    • Reprints and Permissions
    • Job Opportunities
    • Terms and Conditions
    • Contact
  • Journals
    • All Journals
    • Biomedical Reports
      • Information for Authors
      • Editorial Policies
      • Editorial Board
      • Aims and Scope
      • Abstracting and Indexing
      • Bibliographic Information
      • Archive
    • Experimental and Therapeutic Medicine
      • Information for Authors
      • Editorial Policies
      • Editorial Board
      • Aims and Scope
      • Abstracting and Indexing
      • Bibliographic Information
      • Archive
    • International Journal of Epigenetics
      • Information for Authors
      • Editorial Policies
      • Editorial Board
      • Aims and Scope
      • Abstracting and Indexing
      • Bibliographic Information
      • Archive
    • International Journal of Functional Nutrition
      • Information for Authors
      • Editorial Policies
      • Editorial Board
      • Aims and Scope
      • Abstracting and Indexing
      • Bibliographic Information
      • Archive
    • International Journal of Molecular Medicine
      • Information for Authors
      • Editorial Policies
      • Editorial Board
      • Aims and Scope
      • Abstracting and Indexing
      • Bibliographic Information
      • Archive
    • International Journal of Oncology
      • Information for Authors
      • Editorial Policies
      • Editorial Board
      • Aims and Scope
      • Abstracting and Indexing
      • Bibliographic Information
      • Archive
    • Medicine International
      • Information for Authors
      • Editorial Policies
      • Editorial Board
      • Aims and Scope
      • Abstracting and Indexing
      • Bibliographic Information
      • Archive
    • Molecular and Clinical Oncology
      • Information for Authors
      • Editorial Policies
      • Editorial Board
      • Aims and Scope
      • Abstracting and Indexing
      • Bibliographic Information
      • Archive
    • Molecular Medicine Reports
      • Information for Authors
      • Editorial Policies
      • Editorial Board
      • Aims and Scope
      • Abstracting and Indexing
      • Bibliographic Information
      • Archive
    • Oncology Letters
      • Information for Authors
      • Editorial Policies
      • Editorial Board
      • Aims and Scope
      • Abstracting and Indexing
      • Bibliographic Information
      • Archive
    • Oncology Reports
      • Information for Authors
      • Editorial Policies
      • Editorial Board
      • Aims and Scope
      • Abstracting and Indexing
      • Bibliographic Information
      • Archive
    • World Academy of Sciences Journal
      • Information for Authors
      • Editorial Policies
      • Editorial Board
      • Aims and Scope
      • Abstracting and Indexing
      • Bibliographic Information
      • Archive
  • Articles
  • Information
    • For Authors
    • For Reviewers
    • For Librarians
    • For Advertisers
    • Conferences
  • Language Editing
Login Register Submit
  • This site uses cookies
  • You can change your cookie settings at any time by following the instructions in our Cookie Policy. To find out more, you may read our Privacy Policy.

    I agree
Search articles by DOI, keyword, author or affiliation
Search
Advanced Search
presentation
Oncology Reports
Join Editorial Board Propose a Special Issue
Print ISSN: 1021-335X Online ISSN: 1791-2431
Journal Cover
November-2015 Volume 34 Issue 5

Full Size Image

Sign up for eToc alerts
Recommend to Library

Journals

International Journal of Molecular Medicine

International Journal of Molecular Medicine

International Journal of Molecular Medicine is an international journal devoted to molecular mechanisms of human disease.

International Journal of Oncology

International Journal of Oncology

International Journal of Oncology is an international journal devoted to oncology research and cancer treatment.

Molecular Medicine Reports

Molecular Medicine Reports

Covers molecular medicine topics such as pharmacology, pathology, genetics, neuroscience, infectious diseases, molecular cardiology, and molecular surgery.

Oncology Reports

Oncology Reports

Oncology Reports is an international journal devoted to fundamental and applied research in Oncology.

Experimental and Therapeutic Medicine

Experimental and Therapeutic Medicine

Experimental and Therapeutic Medicine is an international journal devoted to laboratory and clinical medicine.

Oncology Letters

Oncology Letters

Oncology Letters is an international journal devoted to Experimental and Clinical Oncology.

Biomedical Reports

Biomedical Reports

Explores a wide range of biological and medical fields, including pharmacology, genetics, microbiology, neuroscience, and molecular cardiology.

Molecular and Clinical Oncology

Molecular and Clinical Oncology

International journal addressing all aspects of oncology research, from tumorigenesis and oncogenes to chemotherapy and metastasis.

World Academy of Sciences Journal

World Academy of Sciences Journal

Multidisciplinary open-access journal spanning biochemistry, genetics, neuroscience, environmental health, and synthetic biology.

International Journal of Functional Nutrition

International Journal of Functional Nutrition

Open-access journal combining biochemistry, pharmacology, immunology, and genetics to advance health through functional nutrition.

International Journal of Epigenetics

International Journal of Epigenetics

Publishes open-access research on using epigenetics to advance understanding and treatment of human disease.

Medicine International

Medicine International

An International Open Access Journal Devoted to General Medicine.

Journal Cover
November-2015 Volume 34 Issue 5

Full Size Image

Sign up for eToc alerts
Recommend to Library

  • Article
  • Citations
    • Cite This Article
    • Download Citation
    • Create Citation Alert
    • Remove Citation Alert
    • Cited By
  • Similar Articles
    • Related Articles (in Spandidos Publications)
    • Similar Articles (Google Scholar)
    • Similar Articles (PubMed)
  • Download PDF
  • Download XML
  • View XML
Article

PEITC inhibits human brain glioblastoma GBM 8401 cell migration and invasion through the inhibition of uPA, Rho A, and Ras with inhibition of MMP-2, -7 and -9 gene expression

  • Authors:
    • Yu-Cheng Chou
    • Meng-Ya Chang
    • Mei-Jen Wang
    • Fu-Shun Yu
    • Hsin-Chung Liu
    • Tomor Harnod
    • Chih-Huang Hung
    • Hsu-Tung Lee
    • Jing-Gung Chung
  • View Affiliations / Copyright

    Affiliations: Division of Neurosurgical Oncology, Neurological Institute, Taichung Veterans General Hospital, Taichung 407, Taiwan, R.O.C., Institute of Medical Sciences, Tzu Chi University, Hualien 970, Taiwan, R.O.C., School of Dentistry, China Medical University, Taichung 404, Taiwan, R.O.C., Department of Biological Science and Technology, China Medical University, Taichung 404, Taiwan, R.O.C., Department of Neurosurgery, Buddhist Tzu Chi General Hospital and College of Medicine, Tzu Chi University, Hualien 970, Taiwan, R.O.C.
  • Pages: 2489-2496
    |
    Published online on: September 8, 2015
       https://doi.org/10.3892/or.2015.4260
  • Expand metrics +
Metrics: Total Views: 0 (Spandidos Publications: | PMC Statistics: )
Metrics: Total PDF Downloads: 0 (Spandidos Publications: | PMC Statistics: )
Cited By (CrossRef): 0 citations Loading Articles...

This article is mentioned in:



Abstract

Glioblastoma is the most aggressive primary brain malignancy, and the efficacy of multimodality treatments remains unsatisfactory. Phenethyl isothiocyanate (PEITC), one member of the isothiocyanate family, was found to inhibit the migration and invasion of many types of human cancer cells. In our previous study, PEITC induced the apoptosis of human brain glioblastoma GBM 8401 cells through the extrinsic and intrinsic signaling pathways. In the present study, we first investigated the effects of PEITC on the migration and invasion of GBM 8401 cells. PEITC decreased the migration of GBM 8401 cells in a dose-dependent manner as determined from scratch wound healing and Transwell migration assays. The percentage of inhibition ranged from 46.89 to 15.75%, and from 27.80 to 7.31% after a 48-h treatment of PEITC as determined from the Transwell migration assay and invasion assay, respectively. The western blot analysis indicated that PEITC decreased the levels of proteins associated with migration and invasion, Ras, uPA, RhoA, GRB2, p-p38, p-JNK, p-ERK, p65, SOS1, MMP-2, MMP-9 and MMP-13, in a dose-dependent manner. Real-time PCR analyses revealed that PEITC reduced the mRNA levels of MMP-2, MMP-7, MMP-9 and RhoA in a dose- and time-dependent manner. PEITC exhibited potent anticancer activities through the inhibition of migration and invasion in the GBM 8401 cells. Our findings elucidate the possible molecular mechanisms and signaling pathways of the anti-metastatic effects of PEITC on human brain glioblastoma cells, and PEITC may be considered as a therapeutic agent.

Introduction

Glioblastoma is the most aggressive primary brain malignancy with a median survival rate of 14.6 months from diagnosis in unselected patients, even following maximal, feasible surgical resection, radiotherapy and standard adjuvant temozolomide (TMZ) therapy (1). Only 0.4–0.5% of all GBM patients with extracranial metastasis has been reported, which may be attributable to the extremely shortened survival of these patients (2). Combining radiotherapy and TMZ provides better survival outcomes of glioblastoma patients than radiotherapy alone (3). Survival and recurrence are significantly associated with the extent of resection and residual volume (4). Gross total resection associated with survival improvement is not always possible as the preservation of neurological functions is necessary. The efficacy of current multimodality treatments including surgery, radiotherapy, chemotherapy for this tumor remains unsatisfactory.

Phenethyl isothiocyanate (PEITC) is one of the most extensively studied isothiocyanates (5). PEITC can induce cell cycle arrest and apoptotic cell death in various tumor types (6–12). In our previous study, PEITC induced apoptosis through the extrinsic (death receptor) and intrinsic (mitochondrial) pathways, dysfunction of mitochondria and ROS-induced ER stress in GBM 8401 cells (13). PEITC displayed anti-metastatic effects in vivo in a novel breast tumor metastasis model (14), and inhibited tumor migration and invasion via suppression of multiple signal transduction pathways in human colon cancer HT29 cells (15). Yet, there is no available literature concerning how PEITC affects the migration and invasion of human brain glioblastoma cells.

In the present study, we investigated the effects of PEITC on human brain glioblastoma cells in regards to migration and invasion through the signaling transduction pathways in GBM 8401 cells.

Materials and methods

Chemicals and reagents

PEITC, dimethyl sulfoxide (DMSO), propidium iodide (PI), RNase, Tris-HCl, Triton X-100 and trypan blue were obtained from Sigma Chemical Co. (St. Louis, MO, USA). RPMI-1640, fetal bovine serum (FBS), L-glutamine, penicillin-streptomycin and trypsin-EDTA were purchased from Gibco-BRL/Invitrogen (Carlsbad, CA, USA). Matrigel invasion chambers were obtained from BD Biosciences (San Jose, CA, USA).

Cell culture

The GBM 8401 cell line was purchased from the Food Industry Research and Development Institute (Hsinchu, Taiwan). Cells were plated onto 75-cm2 tissue culture flasks in RPMI-1640 medium supplemented with 10% FBS, 100 U/ml penicillin and 100 μg/ml streptomycin, 2 mM L-glutamine and grown at 37°C under a humidified 5% CO2 and 95% air at one atmosphere. The cells were subcultured with a solution of 0.25% trypsin and 0.02% EDTA. The medium was changed every 2 days (16).

Cell morphological changes and viability

GBM 8401 cells (1.6×105 cells/well) on a 12-well plate were treated with 0, 0.5, 1, 2 and 4 μM PEITC, or 0 and 500 μM TMZ, and incubated for 0, 24 and 48 h. Cells in each well were examined, and representative images were captured at ×200 magnification using a Nikon TE2000-U inverted microscope for morphological change examinations. After cells from each well were trypsinized and collected by centrifugation at 1500 rpm for 5 min, and washed twice with PBS, 5 μg/ml PI in PBS was added to determine the percentage of viable cells. Non-viable cells were stained by PI dye exclusion (indicative of an intact membrane) and displayed brighter fluorescence than the unstained (viable) cells. Cells were counted by flow cytometric analysis with FACS Calibur utilizing CellQuest software (Becton-Dickinson, San Jose, CA, USA) (17).

Scratch wound healing assay

GBM 8401 cells (1×105 cells/well) were placed for 24 h in 6-well plates, and a wound at confluence was made with a pipette tip followed by washing with serum-free medium to remove cell debris. The cells were photographed under phase contrast microscopy (time=0) and then incubated in media with PEITC (0, 2 and 4 μM), or with TMZ (500 μM) at 37°C in 5% CO2 and allowed to migrate into the wound area for up to 48 h. Cells were gently washed with phosphate-buffered saline (PBS). Images of the scratch wounds were quantified by ImageJ software. The migration inhibition rate = (original scratch width - new scratch width)/original scratch width × 100% (18).

Migration assay

GBM 8401 cells were cultured in serum-free RPMI-1640 medium containing 1% charcoal-stripped FBS for 48 h. The lower chamber of the Transwell filter was coated with 10 μg type IV collagen, and the lower chamber of each well was filled with RPMI-1640 supplemented with 1% charcoal-stripped FBS. The filter in the 6.5-mm Transwell was inserted in the 24-well plates, and the GBM 8401 cells (~3.2×104 cells/filter) were placed on the filter. The cells were treated with 0, 2 and 4 μM PEITC and 500 μM TMZ for 48 h. Migrated cells were stained with 2% crystal violet and were then examined and photographed under a microscope (16,19).

Invasion assay

The same protocol was carried out as described in the migration assay except that cells were placed on a Matrigel-coated Transwell filter (Matrigel invasion chamber; BD Biosciences) and were then examined and photographed under a microscope (16,19).

Gelatin zymography assay

GBM 8401 cells (1.6×105 cells/well) were plated on 12-well tissue culture plates and incubated with 0, 2 and 4 μM PEITC or 500 μM TMZ for 24 and 48 h. The conditioned medium was collected and separated by electrophoresis on 10% SDS-PAGE with 0.2% gelatin (Sigma-Aldrich Corp.). The gels were soaked in 2.5% Triton X-100 in dH2O twice for a total of 60 min at 25°C at the end of the electrophoresis, and they were incubated in substrate buffer (50 mM Tris HCl, 5 mM CaCl2, 0.02% NaN3 and 1% Triton X-100, pH 8.0) at 37°C for 18 h. Bands related to the enzyme activity of MMP-2 were visualized by negative staining using 0.2% Coomassie blue in 50% methanol and 10% acetic acid (20). The bands were evaluated by Image J software.

Western blot assay

GBM 8401 cells (2.4×106 cells/dish) were placed in a 10-cm dish, and 0, 2 and 4 μM PEITC or 500 μM TMZ were added to the cells. The cells were incubated for 48 h. The cells were collected and lysed in lysate buffer composed of 50 μM Tris (pH 8.0), 150 μM NaCl, 5 μM ethylenediaminetetraacetic acid and 0.5% NP-40 with protease inhibitor solution (Roche, Mannheim, Germany). The protein concentration from each treatment was determined using the Bio-Rad protein assay kit. Approximately 30 μg of protein from each sample was separated on a 10% sodium dodecyl sulfate-polyacrylamide electrophoretic gel (SDS-PAGE) and transferred to nitrocellulose membranes (GE Healthcare, Piscataway NJ, USA). The blot was soaked with blocking buffer, 5% non-fat dry milk in Tris-buffered saline containing Tween-20 (TBS-T) for 1 h at 25°C. They were incubated with the specific primary antibodies for matrix metalloproteinase (MMP)-2, MMP-9, Ras, urokinase-type plasminogen activator (uPA), Ras homolog gene family, member A (RhoA), growth factor receptor-bound protein 2 (GRB2), p-p38, phospho-Jun NH2-terminal kinase (p-JNK), p-extracellular-signal-regulated kinases (p-ERK), p65, Son of sevenless homolog 1 (SOS1), rho-associated coiled-coil-containing protein kinase 1 (Rock1) and MMP-13 (Santa Cruz Biotechnology, Santa Cruz, CA, USA) in blocking buffer at 4°C overnight. Immunoreactive proteins were detected with horseradish peroxidase-conjugated secondary antibodies and detected by chemiluminescence (GE Healthcare) and autoradiography using BioMax LightFilm (Eastman Kodak, New Heaven, CT, USA) (21). The relative protein amounts from each treatment were assessed by densitometry scanning of the X-ray film, and analyzed by Eagle Eye Image system (Stratagene, La Jolla, CA, USA).

Real-time polymerase chain reaction (RT-PCR)

GBM 8401 cells (2.4×106 cells/dish) on 10-cm dish were treated with 0, 2 and 4 μM PEITC, or 500 μM TMZ, and incubated for 24 and 48 h. The cells from each sample were collected, and the total RNA was extracted using the Qiagen RNeasy Mini kit as previously described (16,22). According to the standard protocol of the supplier (Applied Biosystems), all RNA samples were reverse-transcribed for 30 min at 42°C with High Capacity cDNA reverse transcription kit. Quantitative PCR conditions were: 2 min at 50°C, 10 min at 95°C, and 40 cycles of 15 sec at 95°C, 1 min at 60°C using 1 μl of the cDNA reverse-transcribed as described above, 2X SYBR-Green PCR Master Mix (Applied Biosystems) and 200 nM of the forward and reverse primers as shown in Table I. Each assay was processed using the Applied Biosystems 7300 Real-Time PCR system in triplicate, and fold-changes in expression were measured using the comparative CT method. The ratios of gene expression to that of GAPDH are presented.

Table I

Primer sequence used for real-time PCR.

Table I

Primer sequence used for real-time PCR.

Primer namePrimer sequence
MMP-2F: CCCCAGACAGGTGATCTTGAC
R: GCTTGCGAGGGAAGAAGTTG
MMP-7F: GGATGGTAGCAGTCTAGGGATTAACT
R: AGGTTGGATACATCACTGCATTAGG
MMP-9F: CGCTGGGCTTAGATCATTCC
R: AGGTTGGATACATCACTGCATTAGG
RhoAF: TCAAGCCGGAGGTCAACAAC
R: ACGAGCTGCCCATAGCAGAA
GAPDHF: ACACCCACTCCTCCACCTTT
R: TAGCCAAATTCGTTGTCATAC

[i] MMP, matrix metalloproteinase; RhoA, RAS homologue gene family member A; GAPDH, glyceraldehyde-3-phosphate dehydrogenase; F, forward primer; R, reverse primer.

Statistical analysis

Results are expressed as mean ± SD of 3 experiments. Differences between the PEITC-treated (experimental group) or the TMZ-treated (positive control group), and the vehicle control group were evaluated using the Student's t-test. A P-value <0.05 was considered to indicate a statistically significant difference. P-values are indicated in the figure legends

Results

Effect of PEITC on cell morphological changes and the viability of GBM 8401 cells

GBM 8401 cells were treated with 0, 0.5, 1, 2 and 4 μM PEITC or 500 μM TMZ for 24 and 48 h to determine the cytotoxic effects of PEITC. No marked morphological change in the GBM 8401 cells was induced by PEITC (Fig. 1A). Total percentages of viable cells were measured by flow cytometric assay. PEITC or TMZ did not decrease the percentage of viable GBM 8401 cells in a dose- and time-dependent manner (Fig. 1B). The total number of viable cells was not significantly decreased in the GBM 8401 cells following exposure to concentrations as high as 4 μM PEITC or 500 μM TMZ after a 24- and 48-h treatment. Consequently, concentrations of ≤4 μM PEITC or 500 μM TMZ were selected for use in subsequent experiments.

Figure 1

PEITC and TMZ did not induce marked cell morphological changes and did not decrease the percentage of viable GBM 8401 cells. (A) Cells were treated with different concentrations (0.5–4 μM) of PEITC for 24 and 48 h and cell morphological changes were examined under phase contrast microscope at ×200 magnification. (B) Cells were harvested to calculate the percentage of viable cells by flow cytometric assay. The values presented are the mean ± SD (n=3) from three independent experiments. There was no significant difference between PEITC-treated (experimental group) or TMZ-treated (positive control group) and the vehicle control group. C, control; TMZ, temozolomide.

PEITC inhibits the migration of GBM 8401 cells

GBM 8401 cells were incubated with different concentrations of PEITC and 500 μM TMZ for 48 h to determine the effects of PEITC on cell migration. The scratch wound healing assay was performed, and the results are shown in Fig. 2. An apparent and gradual increase in cells in the wounded zone at different concentrations of PEITC was observed with light microscopy. The migration inhibition rates were 12.7, 42.4, 44.3 and 44.2% after cells were treated with 0, 2 and 4 μM PEITC and 500 μM TMZ for 48 h, respectively (Fig. 2B). The effects of PEITC on the migration of GBM 8401 cells as determined from the scratch wound healing assay were dose-dependent.

Figure 2

Effects of PEITC on the migration of GBM 8401 cells in a scratch wound healing migration assay. GBM 8401 cells were placed on a plate and a wound line was made with a pipette tip. The cells were incubated with 0, 2 and 4 μM PEITC or 500 μM TMZ for 0 and 48 h. (A) Cell migration was assessed by microscopy at the indicated time-points at ×100 magnification. (B) Migration inhibition rates were determined at ×100 magnification.* P<0.05, significant difference between PEITC-treated or TMZ-treated groups and the control.

Results from the Transwell migration assay indicated that PEITC significantly inhibited the migration of GBM 8401 cells at concentrations between 2 and 4 μM (Fig. 3), and the percentage of inhibition ranged from 46.89 to 15.75% when cells were incubated with PEITC for 48 h (Fig. 3B). These effects of PEITC on the migration of GBM 8401 cells as determined by the Transwell migration assay were also dose-dependent. TMZ also had an inhibitory effect on GBM 8401 cell migration at the concentration of 500 μM.

Figure 3

PEITC inhibits the migration of GBM 8401 cells. GBM 8401 cells (3.2×104 cells/filter) were treated with 0, 2 and 4 μM PEITC or 500 μM TMZ for 48 h. (A) Cells on the Transwell filter that migrated to the lower surface of the filter were stained with crystal violet, and were photographed under a light microscope at ×200 magnification. (B) Cells from the lower chamber were counted at ×200 magnification. *P<0.05, significant difference between PEITC-treated or TMZ-treated groups and the control.

PEITC inhibits the invasion of GBM 8401 cells

GBM 8401 cells were able to invade through a filter coated with Matrigel from the upper to the lower chamber in the control (Fig. 4), while penetration of the filter by GBM 8401 cells was inhibited by PEITC at concentrations between 2 and 4 μM. The percentage of inhibition ranged from 27.80 to 7.31% after a 48-h treatment (Fig. 4B). The effects of PEITC on invasion were in a dose-dependent manner. The invasion of GBM 8401 cells was also inhibited by 500 μM TMZ.

Figure 4

PEITC inhibits the migration of GBM 8401 cells. GBM 8401 cells (3.2×104 cells/filter) were treated with 0, 2 and 4 μM PEITC or 500 μM TMZ for 48 h. (A) Cells on the Transwell filter that penetrated through the Matrigel to the lower surface of the filter were stained with crystal violet, and were photographed under a light microscope at ×200 magnification. (B) Cells from the lower chamber were counted at ×200 magnification. *P<0.05, significant difference between PEITC-treated or TMZ-treated groups and the control.

PEITC decreases the enzyme activity of MMP-2 in GBM 8401 cells

Gelatin zymography assay indicated that the enzyme activity of MMP-2 was reduced in a dose-dependent manner after GBM 8401 cells were treated with 2 and 4 μM PEITC for 24 and 48 h (Fig. 5). The enzyme activity of MMP-2 were also decreased after cells were treated with 500 μM TMZ for 24 and 48 h (Fig. 5).

Figure 5

Effects of PEITC on the enzyme activitiy of MMP-2 in GBM 8401 cells. Cells were treated with 0, 2 and 4 μM PEITC or 500 μM TMZ for 24 and 48 h. Cells were harvested for examination of MMP-2 activity following each treatment and MMP-2 activity was determined by gelatin zymography assay as described in Materials and methods.

PEITC inhibits the levels of proteins associated with migration and invasion in GBM 8401 cells

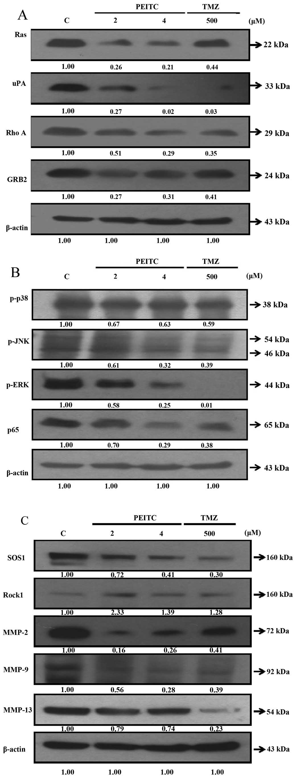
Western blot assay was applied to determine the effects of PEITC and TMZ on the levels of proteins associated with the migration and invasion of GBM 8401 cells. PEITC decreased the protein levels of Ras, uPA, RhoA, GRB2 (Fig. 6A), p-p38, p-JNK, p-ERK, p65 (Fig. 6B), SOS1, MMP-2, MM-9 and MMP-13 (Fig. 6C) in a dose-dependent manner after cells were treated with 2 and 4 μM PEITC for 48 h. TMZ reduced the protein levels of Ras, uPA, RhoA, GRB2, p-p38, p-JNK, p-ERK, p65, SOS1, MMP-2, MMP-9 and MMP-13 (Fig. 6).

Figure 6

Effects of PEITC on the levels of proteins associated with migration and invasion in GBM 8401 cells. Cells were treated with 0, 2 and 4 μM PEITC or 500 μM TMZ for 48 h. The proteins levels from each sample were determined by SDS-PAGE and western blotting. (A) Ras, uPA, Rho A, GRB2; (B) p-p38, p-JNK, p-ERK, p65 and (C) SOS1, Rock1, MMP-2, MMP-9 and MMP-13.

PEITC inhibits mRNA expression levels in GBM 8401 cells

To investigate the effects of PEITC on the expression of migration- and invasion-associated genes in GBM 8401 cells, the cells were treated with 2 and 4 μM PEITC for 24 and 48 h. Real-time PCR analyses were applied to assess the mRNA expression levels of these genes. PEITC inhibited the mRNA levels of MMP-2 (Fig. 7A), MMP-7 (Fig. 7B), MMP-9 (Fig. 7C) and RhoA (Fig. 7D) in a dose- and time-dependent manner.

Figure 7

PEITC inhibits mRNA expression levels in GBM 8401 cells. Cells were treated with 0, 2 and 4 μM PEITC or 500 μM TMZ for 24 and 48 h. RNA samples were reverse-transcribed to obtain cDNA for real-time PCR. The ratios of gene expression to that for GAPDH are presented for (A) MMP-2, (B) MMP-7, (C) MMP-9 and (D) RhoA. Data represent the mean ± SD of three experiments. Significantly different between PEITC treatment and control groups (*P<0.05, #P<0.05).

Discussion

Several studies have investigated the effects of PEITC on human glioma cells (23,24). In our previous study, PEITC was found to induce the apoptosis of human brain glioblastoma cells (13). In the present study, the cell morphology of GBM 8401 cells was not significantly altered (Fig. 1A), and the cell viability was not significantly decreased following exposure to PEITC at a concentration as high as 4 μM, or 500 μM TMZ after a 24- and 48-h treatment (Fig. 1B). Thus, the concentrations of PEITC and TMZ for cell migration and invasion studies were determined. Based on the Transwell migration assay, PEITC significantly inhibited the migration of GBM 8401 cells at concentrations between 2 and 4 μM in a dose-dependent manner (Fig. 3), and the percentage of inhibition ranged from 46.89 to 15.75% when cells were incubated with PEITC for 48 h (Fig. 3B). Based on the invasion assay, PEITC also significantly inhibited the invasion of GBM 8401 cells at concentrations between 2 and 4 μM in a dose-dependent manner (Fig. 4), and the percentage of inhibition ranged from 27.80 to 7.31% after a 48-h treatment (Fig. 4B). The current standard chemotherapy, TMZ, also had inhibitory effects on the migration and invasion of GBM 8401 cells at the concentration of 500 μM.

MMPs, a family of zinc-dependent endopeptidases, play roles in brain development, synaptic plasticity and repair after injury to the pathogenesis of various brain disorders (25). MMP-mediated extracellular matrix (ECM) degradation promotes tumor invasion, progression and is involved in angiogenesis and metastasis. MMPs are able to degrade almost all known ECM components and play important roles in mediating glioblastoma tumor cell invasion (26). The levels of MMP-2, MMP-9 and membrane type 1 (MT1)-MMP expression in gliomas are higher than those in normal brain tissue. MMP-13 enzymatic activity was found to be critical to the highly invasive potential of cancer stem cells of human glioblastoma cell line U251 (27). The levels of MMP-7 expression are correlated with tumor aggressiveness and poor prognosis in solid tumors, but they are highly variable in patients with glioblastoma (27). Cross-talk between the tumor and the surrounding stroma to regulate MMP-7 exists; the expression of MMP-7 in human U87 glioma cells is low in culture, but higher when the cells are implanted within the brain. In the present study, PEITC reduced the enzyme activity of MMP-2 in a dose- and time-dependent manner after GBM 8401 cells were treated with 2 and 4 μM PEITC for 24 and 48 h (Fig. 5). PEITC also decreased the protein levels of MMP-2, MMP-9 and MMP-13 (Fig. 6C) in a dose-dependent manner after cells were treated with 2 and 4 μM PEITC for 48 h. PEITC inhibited the mRNA levels of MMP-2 (Fig. 7A), MMP-7 (Fig. 7B), MMP-9 (Fig. 7C) in a dose- and time-dependent manner. Taken together, PEITC may inhibit the migration and invasion of GBM 8401 cells through reduction in the enzyme activity of MMP-2, the protein levels of MMP-2, MMP-9 and MMP-13, and the mRNA levels of MMP-2, MMP-7 and MMP-9.

uPA converts plasminogen to plasmin-activating MMPs, and GBM cell invasion may be enhanced by uPA-mediated direct activation of MMP-9 (28). The enhanced invasive capacity of peritumoral cells in GBM requires simultaneous Rac and RhoA activation (29). Knockdown of GRB2, mediating receptor tyrosine kinase-induced activation of RAS and downstream signaling, can reduce invasive activity of breast cancer (30). Epidermal growth factor receptor (EGFR) vIII-mediated migration and transformation of U87MG (PTEN-mutant) glioblastoma cells was found to be downregulated by the effects of signal regulatory protein α1 (SIRPα1) on the activation loop of SHP-2/FAK/GRB2/SOS-1/MAPK (31). Knockdown of RhoA inhibited the expression of p-JNK and phospho-c-Jun (p-c-Jun), reduced MMP-2 activity and cell invasion in human glioma U251 cells under hypoxic conditions (32). The ROCK-dependent signaling pathway is involved in glioma migration, and antidromic effects on glioma migration are executed by selective knockdown of either ROCK1 or ROCK2 (33). ROCK1 knockdown inhibits cell proliferation, while ROCK2 knockdown promotes it. In the present study, PEITC inhibited the protein levels of Ras, uPA, RhoA, GRB2 (Fig. 6A), p-p38, p-JNK, p-ERK, p65 (Fig. 6B) and SOS1 (Fig. 6C) in a dose-dependent manner after cells were treated with 2 and 4 μM PEITC for 48 h. PEITC decreased the mRNA levels of RhoA (Fig. 7D) in a dose- and time-dependent manner. Taken together, PEITC may inhibit the migration and invasion of GBM 8401 cells through reduction in the protein levels of Ras, uPA, RhoA, GRB2, p-p38, p-JNK, p-ERK, p65, SOS1, Rock1 and the mRNA levels of RhoA.

In conclusion, our experiments indicated that PEITC has potent anticancer activities through the inhibition of the migration and invasion of GBM 8401 cells. PEITC decreased the expression levels of MMP-2, MMP-7, MMP-9, MMP-13, Ras, uPA, RhoA, GRB2, p-p38, p-JNK, p-ERK, p65 and SOS1 in GBM 8401 cells in vitro (Fig. 8). PEITC may have therapeutic potential, and our findings have elucidated the possible molecular mechanisms and signaling pathways of the anticancer properties of PEITC in regards to human brain glioblastoma cells.

Figure 8

The possible signaling pathways involved in the inhibition of migration and invasion in human glioblastoma multiforme GBM 8401 cells by PEITC.

Acknowledgments

The present study was supported by grant TCVGH-1044903B from the Taichung Veterans General Hospital, Taichung, Taiwan.

References

1 

Stupp R, Mason WP, van den Bent MJ, et al European Organisation for Research and Treatment of Cancer Brain Tumor and Radiotherapy Groups; National Cancer Institute of Canada Clinical Trials Group: Radiotherapy plus concomitant and adjuvant temozolomide for glioblastoma. N Engl J Med. 352:987–996. 2005. View Article : Google Scholar : PubMed/NCBI

2 

Lun M, Lok E, Gautam S, Wu E and Wong ET: The natural history of extracranial metastasis from glioblastoma multiforme. J Neurooncol. 105:261–273. 2011. View Article : Google Scholar : PubMed/NCBI

3 

Yang LJ, Zhou CF and Lin ZX: Temozolomide and radiotherapy for newly diagnosed glioblastoma multiforme: A systematic review. Cancer Invest. 32:31–36. 2014. View Article : Google Scholar

4 

Chaichana KL, Jusue-Torres I, Navarro-Ramirez R, Raza SM, Pascual-Gallego M, Ibrahim A, Hernandez-Hermann M, Gomez L, Ye X, Weingart JD, et al: Establishing percent resection and residual volume thresholds affecting survival and recurrence for patients with newly diagnosed intracranial glioblastoma. Neurooncol. 16:113–122. 2014.

5 

Moon YJ, Brazeau DA and Morris ME: Dietary phenethyl isothiocyanate alters gene expression in human breast cancer cells. Evid Based Complement Alternat Med. 2011(462525)2011, http://dx.doi.org/10.1155/2011/462525.

6 

Antosiewicz J, Ziolkowski W, Kar S, Powolny AA and Singh SV: Role of reactive oxygen intermediates in cellular responses to dietary cancer chemopreventive agents. Planta Med. 74:1570–1579. 2008. View Article : Google Scholar : PubMed/NCBI

7 

Chen YR, Han J, Kori R, Kong AN and Tan TH: Phenylethyl isothiocyanate induces apoptotic signaling via suppressing phosphatase activity against c-Jun N-terminal kinase. J Biol Chem. 277:39334–39342. 2002. View Article : Google Scholar : PubMed/NCBI

8 

Hu R, Kim BR, Chen C, Hebbar V and Kong AN: The roles of JNK and apoptotic signaling pathways in PEITC-mediated responses in human HT-29 colon adenocarcinoma cells. Carcinogenesis. 24:1361–1367. 2003. View Article : Google Scholar : PubMed/NCBI

9 

Jakubikova J, Bao Y and Sedlak J: Isothiocyanates induce cell cycle arrest, apoptosis and mitochondrial potential depolarization in HL-60 and multidrug-resistant cell lines. Anticancer Res. 25:3375–3386. 2005.PubMed/NCBI

10 

Kang L and Wang ZY: Breast cancer cell growth inhibition by phenethyl isothiocyanate is associated with down-regulation of oestrogen receptor-alpha36. J Cell Mol Med. 14:1485–1493. 2010. View Article : Google Scholar :

11 

Telang U, Brazeau DA and Morris ME: Comparison of the effects of phenethyl isothiocyanate and sulforaphane on gene expression in breast cancer and normal mammary epithelial cells. Exp Biol Med (Maywood). 234:287–295. 2009. View Article : Google Scholar

12 

Tseng E, Scott-Ramsay EA and Morris ME: Dietary organic isothiocyanates are cytotoxic in human breast cancer MCF-7 and mammary epithelial MCF-12A cell lines. Exp Biol Med (Maywood). 229:835–842. 2004.

13 

Chou YC, Chang MY, Wang MJ, Harnod T, Hung CH, Lee HT, Shen CC and Chung JG: PEITC induces apoptosis of human brain glioblastoma GBM8401 cells through the extrinsic- and intrinsic -signaling pathways. Neurochem Int. 81:32–40. 2015. View Article : Google Scholar : PubMed/NCBI

14 

Gupta P, Adkins C, Lockman P and Srivastava SK: Metastasis of breast tumor cells to brain is suppressed by phenethyl isothiocyanate in a novel in vivo metastasis model. PLoS One. 8:e672782013. View Article : Google Scholar :

15 

Lai KC, Hsu SC, Kuo CL, Ip SW, Yang JS, Hsu YM, Huang HY, Wu SH and Chung JG: Phenethyl isothiocyanate inhibited tumor migration and invasion via suppressing multiple signal transduction pathways in human colon cancer HT29 cells. J Agric Food Chem. 58:11148–11155. 2010. View Article : Google Scholar : PubMed/NCBI

16 

Lin CC, Chen JT, Yang JS, Lu HF, Hsu SC, Tan TW, Lin YT, Ma YS, Ip SW, Wu JJ, et al: Danthron inhibits the migration and invasion of human brain glioblastoma multiforme cells through the inhibition of mRNA expression of focal adhesion kinase, Rho kinases-1 and metalloproteinase-9. Oncol Rep. 22:1033–1037. 2009.PubMed/NCBI

17 

Lu HF, Lai TY, Hsia TC, Tang YJ, Yang JS, Chiang JH, Lu CC, Liu CM, Wang HL and Chung JG: Danthron induces DNA damage and inhibits DNA repair gene expressions in GBM 8401 human brain glioblastoma multiforms cells. Neurochem Res. 35:1105–1110. 2010. View Article : Google Scholar : PubMed/NCBI

18 

Shang HS, Chang JB, Lin JH, Lin JP, Hsu SC, Liu CM, Liu JY, Wu PP, Lu HF, Au MK, et al: Deguelin inhibits the migration and invasion of U-2 OS human osteosarcoma cells via the inhibition of matrix metalloproteinase-2/-9 in vitro. Molecules. 19:16588–16608. 2014. View Article : Google Scholar : PubMed/NCBI

19 

Lu KW, Chen JC, Lai TY, Yang JS, Weng SW, Ma YS, Lu PJ, Weng JR, Chueh FS, Wood WG, et al: Gypenosides inhibits migration and invasion of human oral cancer SAS cells through the inhibition of matrix metalloproteinase-2 -9 and urokinase-plasminogen by ERK1/2 and NF-kappa B signaling pathways. Hum Exp Toxicol. 30:406–415. 2011. View Article : Google Scholar

20 

Liao CL, Lai KC, Huang AC, Yang JS, Lin JJ, Wu SH, Gibson Wood W, Lin JG and Chung JG: Gallic acid inhibits migration and invasion in human osteosarcoma U-2 OS cells through suppressing the matrix metalloproteinase-2/-9, protein kinase B (PKB) and PKC signaling pathways. Food Chem Toxicol. 50:1734–1740. 2012. View Article : Google Scholar : PubMed/NCBI

21 

Ho CC, Huang AC, Yu CS, Lien JC, Wu SH, Huang YP, Huang HY, Kuo JH, Liao WY, Yang JS, et al: Ellagic acid induces apoptosis in TSGH8301 human bladder cancer cells through the endoplasmic reticulum stress- and mitochondria-dependent signaling pathways. Environ Toxicol. 29:1262–1274. 2014.

22 

Lin HJ, Su CC, Lu HF, Yang JS, Hsu SC, Ip SW, Wu JJ, Li YC, Ho CC, Wu CC, et al: Curcumin blocks migration and invasion of mouse-rat hybrid retina ganglion cells (N18) through the inhibition of MMP-2, -9, FAK, RhoA and Rock-1 gene expression. Oncol Rep. 23:665–670. 2010.PubMed/NCBI

23 

Gupta B, Chiang L, Chae K and Lee DH: Phenethyl isothiocyanate inhibits hypoxia-induced accumulation of HIF-1α and VEGF expression in human glioma cells. Food Chem. 141:1841–1846. 2013. View Article : Google Scholar : PubMed/NCBI

24 

Lee DH, Kim DW, Lee HC, Lee JH and Lee TH: Phenethyl isothiocyanate sensitizes glioma cells to TRAIL-induced apoptosis. Biochem Biophys Res Commun. 446:815–821. 2014. View Article : Google Scholar : PubMed/NCBI

25 

Kim YS and Joh TH: Matrix metalloproteinases, new insights into the understanding of neurodegenerative disorders. Biomol Ther (Seoul). 20:133–143. 2012. View Article : Google Scholar

26 

Chintala SK, Tonn JC and Rao JS: Matrix metalloproteinases and their biological function in human gliomas. Int J Dev Neurosci. 17:495–502. 1999. View Article : Google Scholar : PubMed/NCBI

27 

Inoue A, Takahashi H, Harada H, Kohno S, Ohue S, Kobayashi K, Yano H, Tanaka J and Ohnishi T: Cancer stem-like cells of glioblastoma characteristically express MMP-13 and display highly invasive activity. Int J Oncol. 37:1121–1131. 2010.PubMed/NCBI

28 

Zhao Y, Lyons CE Jr, Xiao A, Templeton DJ, Sang QA, Brew K and Hussaini IM: Urokinase directly activates matrix metallo-proteinases-9: A potential role in glioblastoma invasion. Biochem Biophys Res Commun. 369:1215–1220. 2008. View Article : Google Scholar : PubMed/NCBI

29 

Ruiz-Ontañon P, Orgaz JL, Aldaz B, Elosegui-Artola A, Martino J, Berciano MT, Montero JA, Grande L, Nogueira L, Diaz-Moralli S, et al: Cellular plasticity confers migratory and invasive advantages to a population of glioblastoma-initiating cells that infiltrate peritumoral tissue. Stem Cells. 31:1075–1085. 2013. View Article : Google Scholar : PubMed/NCBI

30 

Xu Y, Zhang H, Lit LC, Grothey A, Athanasiadou M, Kiritsi M, Lombardo Y, Frampton AE, Green AR, Ellis IO, et al: The kinase LMTK3 promotes invasion in breast cancer through GRB2-mediated induction of integrin β1. Sci Signal. 7:ra582014. View Article : Google Scholar

31 

Kapoor GS and O'Rourke DM: SIRPalpha1 receptors interfere with the EGFRvIII signalosome to inhibit glioblastoma cell transformation and migration. Oncogene. 29:4130–4144. 2010. View Article : Google Scholar : PubMed/NCBI

32 

Tong JJ, Yan Z, Jian R, Tao H, Hui OT and Jian C: RhoA regulates invasion of glioma cells via the c-Jun NH2-terminal kinase pathway under hypoxia. Oncol Lett. 4:495–500. 2012.

33 

Mertsch S and Thanos S: Opposing signaling of ROCK1 and ROCK2 determines the switching of substrate specificity and the mode of migration of glioblastoma cells. Mol Neurobiol. 49:900–915. 2014. View Article : Google Scholar :

Related Articles

  • Abstract
  • View
  • Download
  • Twitter
Copy and paste a formatted citation
Spandidos Publications style
Chou Y, Chang M, Wang M, Yu F, Liu H, Harnod T, Hung C, Lee H and Chung J: PEITC inhibits human brain glioblastoma GBM 8401 cell migration and invasion through the inhibition of uPA, Rho A, and Ras with inhibition of MMP-2, -7 and -9 gene expression. Oncol Rep 34: 2489-2496, 2015.
APA
Chou, Y., Chang, M., Wang, M., Yu, F., Liu, H., Harnod, T. ... Chung, J. (2015). PEITC inhibits human brain glioblastoma GBM 8401 cell migration and invasion through the inhibition of uPA, Rho A, and Ras with inhibition of MMP-2, -7 and -9 gene expression. Oncology Reports, 34, 2489-2496. https://doi.org/10.3892/or.2015.4260
MLA
Chou, Y., Chang, M., Wang, M., Yu, F., Liu, H., Harnod, T., Hung, C., Lee, H., Chung, J."PEITC inhibits human brain glioblastoma GBM 8401 cell migration and invasion through the inhibition of uPA, Rho A, and Ras with inhibition of MMP-2, -7 and -9 gene expression". Oncology Reports 34.5 (2015): 2489-2496.
Chicago
Chou, Y., Chang, M., Wang, M., Yu, F., Liu, H., Harnod, T., Hung, C., Lee, H., Chung, J."PEITC inhibits human brain glioblastoma GBM 8401 cell migration and invasion through the inhibition of uPA, Rho A, and Ras with inhibition of MMP-2, -7 and -9 gene expression". Oncology Reports 34, no. 5 (2015): 2489-2496. https://doi.org/10.3892/or.2015.4260
Copy and paste a formatted citation
x
Spandidos Publications style
Chou Y, Chang M, Wang M, Yu F, Liu H, Harnod T, Hung C, Lee H and Chung J: PEITC inhibits human brain glioblastoma GBM 8401 cell migration and invasion through the inhibition of uPA, Rho A, and Ras with inhibition of MMP-2, -7 and -9 gene expression. Oncol Rep 34: 2489-2496, 2015.
APA
Chou, Y., Chang, M., Wang, M., Yu, F., Liu, H., Harnod, T. ... Chung, J. (2015). PEITC inhibits human brain glioblastoma GBM 8401 cell migration and invasion through the inhibition of uPA, Rho A, and Ras with inhibition of MMP-2, -7 and -9 gene expression. Oncology Reports, 34, 2489-2496. https://doi.org/10.3892/or.2015.4260
MLA
Chou, Y., Chang, M., Wang, M., Yu, F., Liu, H., Harnod, T., Hung, C., Lee, H., Chung, J."PEITC inhibits human brain glioblastoma GBM 8401 cell migration and invasion through the inhibition of uPA, Rho A, and Ras with inhibition of MMP-2, -7 and -9 gene expression". Oncology Reports 34.5 (2015): 2489-2496.
Chicago
Chou, Y., Chang, M., Wang, M., Yu, F., Liu, H., Harnod, T., Hung, C., Lee, H., Chung, J."PEITC inhibits human brain glioblastoma GBM 8401 cell migration and invasion through the inhibition of uPA, Rho A, and Ras with inhibition of MMP-2, -7 and -9 gene expression". Oncology Reports 34, no. 5 (2015): 2489-2496. https://doi.org/10.3892/or.2015.4260
Follow us
  • Twitter
  • LinkedIn
  • Facebook
About
  • Spandidos Publications
  • Careers
  • Cookie Policy
  • Privacy Policy
How can we help?
  • Help
  • Live Chat
  • Contact
  • Email to our Support Team