Spandidos Publications Logo
  • About
    • About Spandidos
    • Aims and Scopes
    • Abstracting and Indexing
    • Editorial Policies
    • Reprints and Permissions
    • Job Opportunities
    • Terms and Conditions
    • Contact
  • Journals
    • All Journals
    • Oncology Letters
      • Oncology Letters
      • Information for Authors
      • Editorial Policies
      • Editorial Board
      • Aims and Scope
      • Abstracting and Indexing
      • Bibliographic Information
      • Archive
    • International Journal of Oncology
      • International Journal of Oncology
      • Information for Authors
      • Editorial Policies
      • Editorial Board
      • Aims and Scope
      • Abstracting and Indexing
      • Bibliographic Information
      • Archive
    • Molecular and Clinical Oncology
      • Molecular and Clinical Oncology
      • Information for Authors
      • Editorial Policies
      • Editorial Board
      • Aims and Scope
      • Abstracting and Indexing
      • Bibliographic Information
      • Archive
    • Experimental and Therapeutic Medicine
      • Experimental and Therapeutic Medicine
      • Information for Authors
      • Editorial Policies
      • Editorial Board
      • Aims and Scope
      • Abstracting and Indexing
      • Bibliographic Information
      • Archive
    • International Journal of Molecular Medicine
      • International Journal of Molecular Medicine
      • Information for Authors
      • Editorial Policies
      • Editorial Board
      • Aims and Scope
      • Abstracting and Indexing
      • Bibliographic Information
      • Archive
    • Biomedical Reports
      • Biomedical Reports
      • Information for Authors
      • Editorial Policies
      • Editorial Board
      • Aims and Scope
      • Abstracting and Indexing
      • Bibliographic Information
      • Archive
    • Oncology Reports
      • Oncology Reports
      • Information for Authors
      • Editorial Policies
      • Editorial Board
      • Aims and Scope
      • Abstracting and Indexing
      • Bibliographic Information
      • Archive
    • Molecular Medicine Reports
      • Molecular Medicine Reports
      • Information for Authors
      • Editorial Policies
      • Editorial Board
      • Aims and Scope
      • Abstracting and Indexing
      • Bibliographic Information
      • Archive
    • World Academy of Sciences Journal
      • World Academy of Sciences Journal
      • Information for Authors
      • Editorial Policies
      • Editorial Board
      • Aims and Scope
      • Abstracting and Indexing
      • Bibliographic Information
      • Archive
    • International Journal of Functional Nutrition
      • International Journal of Functional Nutrition
      • Information for Authors
      • Editorial Policies
      • Editorial Board
      • Aims and Scope
      • Abstracting and Indexing
      • Bibliographic Information
      • Archive
    • International Journal of Epigenetics
      • International Journal of Epigenetics
      • Information for Authors
      • Editorial Policies
      • Editorial Board
      • Aims and Scope
      • Abstracting and Indexing
      • Bibliographic Information
      • Archive
    • Medicine International
      • Medicine International
      • Information for Authors
      • Editorial Policies
      • Editorial Board
      • Aims and Scope
      • Abstracting and Indexing
      • Bibliographic Information
      • Archive
  • Articles
  • Information
    • Information for Authors
    • Information for Reviewers
    • Information for Librarians
    • Information for Advertisers
    • Conferences
  • Language Editing
Spandidos Publications Logo
  • About
    • About Spandidos
    • Aims and Scopes
    • Abstracting and Indexing
    • Editorial Policies
    • Reprints and Permissions
    • Job Opportunities
    • Terms and Conditions
    • Contact
  • Journals
    • All Journals
    • Biomedical Reports
      • Information for Authors
      • Editorial Policies
      • Editorial Board
      • Aims and Scope
      • Abstracting and Indexing
      • Bibliographic Information
      • Archive
    • Experimental and Therapeutic Medicine
      • Information for Authors
      • Editorial Policies
      • Editorial Board
      • Aims and Scope
      • Abstracting and Indexing
      • Bibliographic Information
      • Archive
    • International Journal of Epigenetics
      • Information for Authors
      • Editorial Policies
      • Editorial Board
      • Aims and Scope
      • Abstracting and Indexing
      • Bibliographic Information
      • Archive
    • International Journal of Functional Nutrition
      • Information for Authors
      • Editorial Policies
      • Editorial Board
      • Aims and Scope
      • Abstracting and Indexing
      • Bibliographic Information
      • Archive
    • International Journal of Molecular Medicine
      • Information for Authors
      • Editorial Policies
      • Editorial Board
      • Aims and Scope
      • Abstracting and Indexing
      • Bibliographic Information
      • Archive
    • International Journal of Oncology
      • Information for Authors
      • Editorial Policies
      • Editorial Board
      • Aims and Scope
      • Abstracting and Indexing
      • Bibliographic Information
      • Archive
    • Medicine International
      • Information for Authors
      • Editorial Policies
      • Editorial Board
      • Aims and Scope
      • Abstracting and Indexing
      • Bibliographic Information
      • Archive
    • Molecular and Clinical Oncology
      • Information for Authors
      • Editorial Policies
      • Editorial Board
      • Aims and Scope
      • Abstracting and Indexing
      • Bibliographic Information
      • Archive
    • Molecular Medicine Reports
      • Information for Authors
      • Editorial Policies
      • Editorial Board
      • Aims and Scope
      • Abstracting and Indexing
      • Bibliographic Information
      • Archive
    • Oncology Letters
      • Information for Authors
      • Editorial Policies
      • Editorial Board
      • Aims and Scope
      • Abstracting and Indexing
      • Bibliographic Information
      • Archive
    • Oncology Reports
      • Information for Authors
      • Editorial Policies
      • Editorial Board
      • Aims and Scope
      • Abstracting and Indexing
      • Bibliographic Information
      • Archive
    • World Academy of Sciences Journal
      • Information for Authors
      • Editorial Policies
      • Editorial Board
      • Aims and Scope
      • Abstracting and Indexing
      • Bibliographic Information
      • Archive
  • Articles
  • Information
    • For Authors
    • For Reviewers
    • For Librarians
    • For Advertisers
    • Conferences
  • Language Editing
Login Register Submit
  • This site uses cookies
  • You can change your cookie settings at any time by following the instructions in our Cookie Policy. To find out more, you may read our Privacy Policy.

    I agree
Search articles by DOI, keyword, author or affiliation
Search
Advanced Search
presentation
Biomedical Reports
Join Editorial Board Propose a Special Issue
Print ISSN: 2049-9434 Online ISSN: 2049-9442
Journal Cover
January-February 2013 Volume 1 Issue 1

Full Size Image

Sign up for eToc alerts
Recommend to Library

Journals

International Journal of Molecular Medicine

International Journal of Molecular Medicine

International Journal of Molecular Medicine is an international journal devoted to molecular mechanisms of human disease.

International Journal of Oncology

International Journal of Oncology

International Journal of Oncology is an international journal devoted to oncology research and cancer treatment.

Molecular Medicine Reports

Molecular Medicine Reports

Covers molecular medicine topics such as pharmacology, pathology, genetics, neuroscience, infectious diseases, molecular cardiology, and molecular surgery.

Oncology Reports

Oncology Reports

Oncology Reports is an international journal devoted to fundamental and applied research in Oncology.

Experimental and Therapeutic Medicine

Experimental and Therapeutic Medicine

Experimental and Therapeutic Medicine is an international journal devoted to laboratory and clinical medicine.

Oncology Letters

Oncology Letters

Oncology Letters is an international journal devoted to Experimental and Clinical Oncology.

Biomedical Reports

Biomedical Reports

Explores a wide range of biological and medical fields, including pharmacology, genetics, microbiology, neuroscience, and molecular cardiology.

Molecular and Clinical Oncology

Molecular and Clinical Oncology

International journal addressing all aspects of oncology research, from tumorigenesis and oncogenes to chemotherapy and metastasis.

World Academy of Sciences Journal

World Academy of Sciences Journal

Multidisciplinary open-access journal spanning biochemistry, genetics, neuroscience, environmental health, and synthetic biology.

International Journal of Functional Nutrition

International Journal of Functional Nutrition

Open-access journal combining biochemistry, pharmacology, immunology, and genetics to advance health through functional nutrition.

International Journal of Epigenetics

International Journal of Epigenetics

Publishes open-access research on using epigenetics to advance understanding and treatment of human disease.

Medicine International

Medicine International

An International Open Access Journal Devoted to General Medicine.

Journal Cover
January-February 2013 Volume 1 Issue 1

Full Size Image

Sign up for eToc alerts
Recommend to Library

  • Article
  • Citations
    • Cite This Article
    • Download Citation
    • Create Citation Alert
    • Remove Citation Alert
    • Cited By
  • Similar Articles
    • Related Articles (in Spandidos Publications)
    • Similar Articles (Google Scholar)
    • Similar Articles (PubMed)
  • Download PDF
  • Download XML
  • View XML
Case Report

Oral verrucous carcinoma arising from lichen planus and esophageal squamous cell carcinoma in a patient with hepatitis C virus-related liver cirrhosis-hyperinsulinemia and malignant transformation: A case report

  • Authors:
    • Yumiko Nagao
    • Michio Sata
  • View Affiliations / Copyright

    Affiliations: Department of Digestive Disease Information and Research, Kurume University School of Medicine, Kurume, Fukuoka 830-0011, Japan, Division of Gastroenterology, Department of Medicine, Kurume University School of Medicine, Kurume, Fukuoka 830-0011, Japan
  • Pages: 53-56
    |
    Published online on: October 3, 2012
       https://doi.org/10.3892/br.2012.14
  • Expand metrics +
Metrics: Total Views: 0 (Spandidos Publications: | PMC Statistics: )
Metrics: Total PDF Downloads: 0 (Spandidos Publications: | PMC Statistics: )
Cited By (CrossRef): 0 citations Loading Articles...

This article is mentioned in:



Abstract

Oral lichen planus (OLP) is a potentially malignant disorder associated with an increased risk of oral cancer. In Japan, the association of OLP with hepatitis C virus (HCV) infection is well documented. In the present study, a case of oral verrucous carcinoma arising from OLP coexisting vulvo‑vaginal‑gingival syndrome and esophageal squamous cell carcinoma (SCC) in a patient with HCV‑related liver cirrhosis is reported. A 71‑year old, non‑smoking Japanese woman presented with lesions of OLP affecting the bilateral buccal mucosa, tongue, gingival, palate, oral floor and lower lip. Ten years later, an exophytic mass developed in the mandibular alveolar mucosa, the right buccal mucosa and the right lower lip. Pathological diagnosis confirmed the presence of verrucous carcinoma. However, she developed esophageal rather than oral cancer. The oral cancer was resected surgically three times and the patients underwent radiotherapy. The esophageal cancer was removed by endoscopic submucosal dissection. The risk of carcinogenesis increased as hyperinsulinemia continued. The results suggested that it is necessary to monitor for malignant changes in patients with OLP lesions and HCV infection. In addition, treatment requires the cooperation of various medical specialists, as well as an oral surgeon.

Introduction

Oral lichen planus (OLP) is an inflammatory disorder of the skin and mucous membranes. Extraoral mucosal lesions have been reported in the esophagus, conjunctiva, bladder, nasal mucosa, larynx, pharynx, stomach, anal mucosa, vulva, vagina and penis (1,2). Some patients with OLP develop extraoral manifestations simultaneously (1). Vulvo-vaginal-gingival syndrome is a variant of mucosal lichen planus characterized by erosions and desquamation of the vulva, vagina and gingiva (3).

One of the potential complications of OLP is malignant transformation. Patients with OLP have an increased risk of developing oral squamous cell carcinomas (OSCC), which led the World Health Organization (WHO) to classify OLP as a potentially malignant disorder (4). A number of studies have reported an association between OLP and a premalignant state, with a malignant transformation rate of 0–12.5% (5–10).

Lichen planus is known to occur in patients with liver disease, particularly hepatitis C. A close association of lichen planus and hepatitis C virus (HCV) infection has been reported in Japan and certain southern European regions (11,12). In multiple meta-analyses, patients with lichen planus have an ∼5-fold higher risk, compared to the controls, of being HCV-seropositive (odds ratio: 2.5–4.5) (13–15).

An association between HCV infection and OSCC has been reported (16–19). The prevalence of HCV infection in OSCC with multiple primary carcinomas was previously reported (20). In addition, HCV infection has been found to be an independent factor in the development of multiple primary carcinomas in patients with OSCC (21).

Carrozzo et al(22) reported a case of oral verrucous carcinoma arising in a patient with OLP and HCV infection. Verrucous carcinoma is a rare type of low-grade and well-differentiated SCC, with less potential for lymph node metastasis compared to other oral carcinomas and is known to occur in the larynx, pyriform sinus, nasal cavity, skin and esophagus, the oral cavity being the most common site (23).

In this study, we present a case of synchronous oral verrucous carcinoma and esophageal SCC in a patient with HCV-related liver cirrhosis. This oral verrucous carcinoma is a malignant change arising in OLP-coexisting vulvo-vaginal-gingival syndrome.

Case report

In June 1994, a 71-year-old Japanese females presented at the Kurume University Hospital (Fukuoka, Japan) with a burning pain in the oral cavity on eating and drinking. She first experienced the pain and a burning sensation in the oral mucosa approximately 12 months before. The lesions were examined and were identified as erosive and atrophic types, affecting the bilateral buccal mucosa, mandibular alveolar mucosa, tongue, gingiva, palate, oral floor and the lower lip (Fig. 1).

Figure 1.

Oral lichen planus (OLP) lesions affecting (A) the right buccal mucosa (June 1994) and (B) the mandibular alveolar mucosa (June 1994) are shown.

Two biopsy specimens of the buccal mucosa and mandibular alveolar mucosa were characterized by hyperparakeratosis with the thickening of the granular layer, a subepithelial band of infiltration of lymphocytes and liquefied degeneration of the basal cell layer. Histopathological findings were consistent with a diagnosis of OLP (Fig. 2).

Figure 2.

Biopsy specimens from the right buccal mucosa.

The patient was unaware of being infected with HCV until she underwent a serological examination at our hospital. The serum HCV RNA levels, quantified using the Roche Amplicor Monitor assay (Roche Diagnostic Systems, Inc., Indianapolis, IN, USA) and HCV genotype were 2200 KIU/ml and 1 b, respectively. Serum levels were negative for hepatitis B surface antigen (HBsAg). The patient underwent ultrasonographic (US) examination and computed tomography (CT). Alternative potential predictors of progression of liver cirrhosis were applied, including serum albumin, total bilirubin, prothrombin time and the platelet count. The patient was diagnosed with liver cirrhosis. On detailed examination, no systemic disease other than chronic liver disease was confirmed.

Laboratory data in 1994 were: aspartate aminotransferase 62 U/l; alanine aminotransferase 39 U/l; γ-glutamyl transpeptidase 26 U/l; total protein 7.8 g/dl; albumin 3.7 g/dl; red blood cell count 384×104/mm; white blood cell count 4400 mm; hemoglobin 11.8 g/dl; platelet count 15.9×104/mm; fasting plasma glucose 97 mg/dl; hemoglobin A1c 5.8; fasting serum insulin 9.04 μU/ml and homeostasis model assessment-insulin resistance (HOMA-IR) 4.78. Insulin resistance was evaluated using the homeostasis model assessment (HOMA-IR) method, using the formula: HOMA-IR = fasting glucose (mg/dl) × fasting insulin (μU/ml)/405.

Body mass index (BMI) of the patient was 20.93 kg/m2 (height 1.45 m, weight 44 kg). BMI was used as an index of obesity and was calculated as body weight in kilograms divided by the square of height in meters (kg/m2). No habitual alcohol drinking or smoking was confirmed. No history of blood transfusion or tattooing was confirmed, while her family history was not contributory.

Treatment was initiated with a topical corticosteroid and vitamins. Glycyrrhizin was administered daily from January 1995 by intravenous injection. Subsequently, the patient controlled the oral lesions by applying a topical corticosteroid for oral pain. We monitored her condition every 3–4 months by conducting an oral medical examination, blood tests and abdominal echography performed by an oral surgery specialist and a hepatologist.

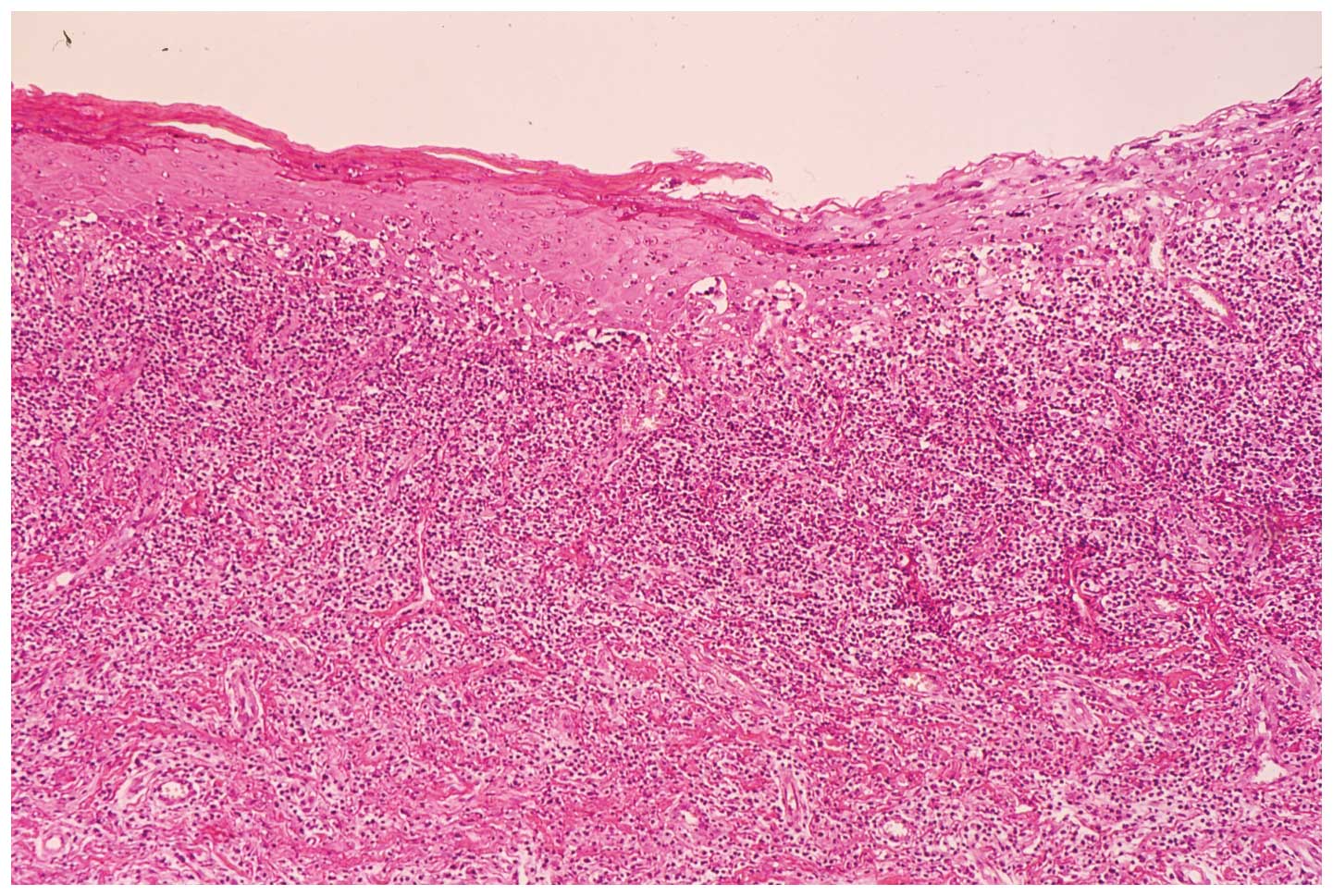
In March 2001, although the patient did not complain of sensation in the genital mucosa, she was examined by a gynecologist to determine whether genital lichen planus was present. The physical findings comprised primarily erythema of the inner labia minora. A biopsy specimen of the vulval mucosa was characterized by a subepithelial band of infiltrating lymphocytes and liquefied degeneration of the basal cell layer (Fig. 3). The clinicopathological diagnosis of the patient was vulvo-vaginal-gingival syndrome.

Figure 3.

Biopsy specimens from the vulval mucosa (March 2001) are shown.

In November, 2004, the 81-year-old patient underwent a routine examination of the upper gastrointestinal tract to confirm the presence or absence of esophageal varices associated with her liver cirrhosis. An erosive lesion of the esophagus was observed. In addition, we observed a red-and-white papillary and exophytic mass, 15×13 mm in diameter, in the mandibular alveolar and the right buccal mucosa and the right lower lip (Fig. 4). Ultrasonographic examination of the cervical region did not show lymph node metastasis. The pathological diagnosis was SCC of the esophagus (0-IIc, T1a) and verrucous carcinoma of the oral cavity (T1N0M0, stage I). There was no continuity between the esophageal and oral cancer. The patient underwent surgical resection of the oral verrucous carcinoma in December, 2004 and endoscopic submucosal dissection of the esophageal cancer in March, 2005.

Figure 4.

Oral verrucous carcinoma arising from oral lichen planus (OLP) is shown.

The oral verrucous carcinoma recurred in September, 2007 and February 2008 and was resected surgically. In addition, the patient (then 87-year-old) received radiotherapy in August, 2010, subsequent to recurrence of the oral cancer. Following radiotherapy of 45 Gy, the tumor disappeared completely. The patient’s condition was considered stable, under treatment in August, 2012, two years later. Fig. 5 shows the clinical course of the patient.

Figure 5.

Clinical course of the patient is shown. The image shows the clinical course and values of fasting serum insulin and homeostasis model assessment-insulin resistance (HOMA-IR). Frequency of carcinogenesis increased as hyperinsulinemia continued.

Discussion

Several studies have demonstrated that carcinoma may arise from OLP (5–10). In their study, Gandolfo et al(5) reported that HCV infection increased the risk of OSCC in patients with OLP by a factor of 3.16 (95% CI, 0.80–12.5). Smoking, atrophic-erosive forms, gender and age, diet and candidiasis are factors, other than HCV infection, associated with a malignant change of OLP (7).

In this study, we have presented a case of verrucous carcinoma that developed in a patient with OLP who suffered from HCV-related liver cirrhosis, 10 years after the initial diagnosis. Simultaneously, the patient developed esophageal SCC besides oral cancer. The patient had lichen planus affecting not only the oral, but also the genital mucosa.

In their study, Sikuler et al(24) evaluated the association between HCV infection and extrahepatic malignancies. Extrahepatic malignancies were found in 14.6% of anti-HCV-positive patients. Lee et al(25) prospectively studied the risk of HCV infection on hepatic and extrahepatic deaths. Their study demonstrated significant associations between anti-HCV seropositivity and increased mortality from extrahepatic cancers with multivariate-adjusted hazard ratios of 4.08 for the esophagus, 4.19 for the prostate and 8.22 for the thyroid. Furthermore, they showed that persistent HCV infection (anti-HCV and HCV RNA seropositive) markedly increased the mortality rate caused by hepatic and extrahepatic diseases.

In the present case, the factors thought to be responsible for the development of malignant transformation are the long-lasting presence of symptomatic OLP, persistent HCV infection, advanced age and hyperinsulinemia. We reported previously that insulin resistance might be involved in the development of multiple primary cancers in patients with OSCC and HCV infection (21), and might cause OLP and extrahepatic manifestations (26,27). The prevalence of extra-hepatic malignant tumors was significantly higher in patients with OLP (29.4%), compared to patients without (4.3%). Hyperinsulinemia may induce extrahepatic malignant tumors, as well as hepatocellular carcinoma (HCC), thus high insulin levels could promote the selective growth of cancer cells (28). HCV-associated insulin resistance induces hepatic steatosis, resistance to anti-viral treatment, hepatic fibrosis and esophageal varices, hepatocarcinogenesis and proliferation of HCC, and extrahepatic manifestations (29).

The patient in this report developed carcinoma when the insulin level was high, thus we believe that this should be measured regularly in patients with HCV-associated OLP.

Lichen planus is known to develop in mucosal tissues, with the exception of the oral mucosa (1–3). Eisen (1) evaluated extraoral involvement in a large series of patients with OLP and reported that extraoral manifestations included cutaneous LP in 16% of patients (93/584) and genital LP in 19% of 399 women and 4.6% of 174 men. Previously, we showed extraoral involvement in female patients with OLP of 41.7% (10/24) vulvar and 8.3% (2/24) cutaneous LP (30). It is important for patients with OLP to be monitored for the presence of extra-oral lichen planus, such as in the genital mucous membrane and the gastrointestinal tract, since it is more likely to progress to a malignant transformation.

In conclusion, we reported a case of oral verrucous carcinoma arising from OLP-coexisting vulvo-vaginal-gingival syndrome and esophageal SCC in a patient with HCV-related liver cirrhosis. Success in the detection and treatment of multiple primary cancers at early stages requires close cooperation between various medical specialists.

Abbreviations:

OLP

oral lichen planus

SCC

squamous cell carcinoma

OSCC

oral squamous cell carcinoma

HCV

hepatitis C virus

HCC

hepatocellular carcinoma

anti-HCV

HCV antibody

HBsAg

hepatitis B surface antigen

Acknowledgements

This study was supported in part by a Grant-in-Aid for Scientific Research (C) (no. 22592354) from the Ministry of Education, Culture, Sports, Science and Technology of Japan.

References

1. 

Eisen D: The evaluation of cutaneous, genital, scalp, nail, esophageal, and ocular involvement in patients with oral lichen planus. Oral Surg Oral Med Oral Pathol Oral Radiol Endod. 88:431–436. 1999. View Article : Google Scholar : PubMed/NCBI

2. 

Le Cleach L and Chosidow O: Clinical practice. Lichen planus. N Engl J Med. 366:723–732. 2012.

3. 

Pelisse M, Leibowitch M, Sedel D and Hewitt J: A new vulvovaginogingival syndrome. Plurimucous erosive lichen planus. Ann Dermatol Venereol. 109:797–798. 1982.(In French).

4. 

Warnakulasuriya S, Johnson NW and van der Waal I: Nomenclature and classification of potentially malignant disorders of the oral mucosa. J Oral Pathol Med. 36:575–580. 2007. View Article : Google Scholar : PubMed/NCBI

5. 

Gandolfo S, Richiardi L, Carrozzo M, et al: Risk of oral squamous cell carcinoma in 402 patients with oral lichen planus: a follow-up study in an Italian population. Oral Oncol. 40:77–83. 2004. View Article : Google Scholar : PubMed/NCBI

6. 

Lodi G, Scully C, Carrozzo M, Griffiths M, Sugerman PB and Thongprasom K: Current controversies in oral lichen planus: report of an international consensus meeting. Part 2. Clinical management and malignant transformation. Oral Surg Oral Med Oral Pathol Oral Radiol Endod. 100:164–178. 2005. View Article : Google Scholar : PubMed/NCBI

7. 

Gonzalez-Moles MA, Scully C and Gil-Montoya JA: Oral lichen planus: controversies surrounding malignant transformation. Oral Dis. 14:229–243. 2008. View Article : Google Scholar

8. 

Bermejo-Fenoll A, Sánchez-Siles M, López-Jornet P, Camacho-Alonso F and Salazar-Sánchez N: A retrospective clinicopathological study of 550 patients with oral lichen planus in south-eastern Spain. J Oral Pathol Med. 39:491–496. 2010. View Article : Google Scholar : PubMed/NCBI

9. 

Warnakulasuriya S, Kovacevic T, Madden P, Coupland VH, Sperandio M, Odell E and Møller H: Factors predicting malignant transformation in oral potentially malignant disorders among patients accrued over a 10-year period in South East England. J Oral Pathol Med. 40:677–683. 2011.

10. 

Bombeccari GP, Guzzi G, Tettamanti M, Giannì AB, Baj A, Pallotti F and Spadari F: Oral lichen planus and malignant transformation: a longitudinal cohort study. Oral Surg Oral Med Oral Pathol Oral Radiol Endod. 112:328–334. 2011. View Article : Google Scholar : PubMed/NCBI

11. 

Nagao Y, Sata M, Tanikawa K, Itoh K and Kameyama T: Lichen planus and hepatitis C virus in the northern Kyushu region of Japan. Eur J Clin Invest. 25:910–914. 1995. View Article : Google Scholar : PubMed/NCBI

12. 

Lodi G, Giuliani M, Majorana A, Sardella A, Bez C, Demarosi F and Carrassi A: Lichen planus and hepatitis C virus: a multicentre study of patients with oral lesions and a systematic review. Br J Dermatol. 151:1172–1181. 2004. View Article : Google Scholar : PubMed/NCBI

13. 

Shengyuan L, Songpo Y, Wen W, Wenjing T, Haitao Z and Binyou W: Hepatitis C virus and lichen planus: a reciprocal association determined by a meta-analysis. Arch Dermatol. 145:1040–1047. 2009.PubMed/NCBI

14. 

Lodi G, Pellicano R and Carrozzo M: Hepatitis C virus infection and lichen planus: a systematic review with meta-analysis. Oral Dis. 16:601–612. 2010. View Article : Google Scholar : PubMed/NCBI

15. 

Petti S, Rabiei M, De Luca M and Scully C: The magnitude of the association between hepatitis C virus infection and oral lichen planus: meta-analysis and case control study. Odontology. 99:168–178. 2011. View Article : Google Scholar : PubMed/NCBI

16. 

Nagao Y, Sata M, Tanikawa K, Itoh K and Kameyama T: High prevalence of hepatitis C virus antibody and RNA in patients with oral cancer. J Oral Pathol Med. 24:354–360. 1995. View Article : Google Scholar : PubMed/NCBI

17. 

Nagao Y, Sata M, Itoh K, et al: High prevalence of hepatitis C virus antibody and RNA in patients with head and neck squamous cell carcinoma. Hepatol Res. 7:206–212. 1997.

18. 

Nobles J, Wold C, Fazekas-May M, Gilbert J and Friedlander PL: Prevalence and epidemiology of hepatitis C virus in patients with squamous cell carcinoma of the head and neck. Laryngoscope. 114:2119–2122. 2004. View Article : Google Scholar : PubMed/NCBI

19. 

Hunt J, Hagan J, Nobles J, Wold C, Fazekas-May M, Gilbert J and Friedlander PL: Outcome analysis of patients with squamous cell carcinoma of the head and neck and hepatitis C virus. Laryngoscope. 115:1882–1886. 2005. View Article : Google Scholar : PubMed/NCBI

20. 

Yoshida M, Nagao Y, Sata M, Kusukawa J and Kameyama T: Multiple primary neoplasms and hepatitis C virus infection in oral cancer patients. Hepatol Res. 9:75–81. 1997. View Article : Google Scholar

21. 

Nagao Y and Sata M: High incidence of multiple primary carcinomas in HCV-infected patients with oral squamous cell carcinoma. Med Sci Monit. 15:CR453–CR459. 2009.PubMed/NCBI

22. 

Carrozzo M, Carbone M, Gandolfo S, Valente G, Colombatto P and Ghisetti V: An atypical verrucous carcinoma of the tongue arising in a patient with oral lichen planus associated with hepatitis C virus infection. Oral Oncol. 33:220–225. 1997. View Article : Google Scholar : PubMed/NCBI

23. 

Spiro RH: Verrucous carcinoma, then and now. Am J Surg. 176:393–397. 1998. View Article : Google Scholar : PubMed/NCBI

24. 

Sikuler E, Shnaider A, Zilberman D, Hilzenrat N, Shemer-Avni Y, Neumann L and Buskila D: Hepatitis C virus infection and extrahepatic malignancies. J Clin Gastroenterol. 24:87–89. 1997. View Article : Google Scholar : PubMed/NCBI

25. 

Lee MH, Yang HI, Lu SN, et al: Chronic hepatitis C virus infection increases mortality from hepatic and extrahepatic diseases: a community-based long-term prospective study. J Infect Dis. 206:469–477. 2012. View Article : Google Scholar : PubMed/NCBI

26. 

Nagao Y, Kawaguchi T, Tanaka K, Kumashiro R and Sata M: Extrahepatic manifestations and insulin resistance in an HCV hyperendemic area. Int J Mol Med. 16:291–296. 2005.PubMed/NCBI

27. 

Nagao Y, Kawasaki K and Sata M: Insulin resistance and lichen planus in patients with HCV-infectious liver diseases. J Gastroenterol Hepatol. 23:580–585. 2008. View Article : Google Scholar : PubMed/NCBI

28. 

Jee SH, Ohrr H, Sull JW, Yun JE, Ji M and Samet JM: Fasting serum glucose level and cancer risk in Korean men and women. JAMA. 293:194–202. 2005. View Article : Google Scholar

29. 

Kawaguchi T and Sata M: Importance of hepatitis C virus-associated insulin resistance: therapeutic strategies for insulin sensitization. World J Gastroenterol. 28:1943–1952. 2010. View Article : Google Scholar : PubMed/NCBI

30. 

Nagao Y, Tomonari R, Kage M, Komai K, Tsubone K, Kamura T and Sata M: The possible intraspousal transmission of HCV in terms of lichen planus. Int J Mol Med. 10:569–573. 2002.PubMed/NCBI

Related Articles

  • Abstract
  • View
  • Download
  • Twitter
Copy and paste a formatted citation
Spandidos Publications style
Nagao Y and Sata M: Oral verrucous carcinoma arising from lichen planus and esophageal squamous cell carcinoma in a patient with hepatitis C virus-related liver cirrhosis-hyperinsulinemia and malignant transformation: A case report. Biomed Rep 1: 53-56, 2013.
APA
Nagao, Y., & Sata, M. (2013). Oral verrucous carcinoma arising from lichen planus and esophageal squamous cell carcinoma in a patient with hepatitis C virus-related liver cirrhosis-hyperinsulinemia and malignant transformation: A case report. Biomedical Reports, 1, 53-56. https://doi.org/10.3892/br.2012.14
MLA
Nagao, Y., Sata, M."Oral verrucous carcinoma arising from lichen planus and esophageal squamous cell carcinoma in a patient with hepatitis C virus-related liver cirrhosis-hyperinsulinemia and malignant transformation: A case report". Biomedical Reports 1.1 (2013): 53-56.
Chicago
Nagao, Y., Sata, M."Oral verrucous carcinoma arising from lichen planus and esophageal squamous cell carcinoma in a patient with hepatitis C virus-related liver cirrhosis-hyperinsulinemia and malignant transformation: A case report". Biomedical Reports 1, no. 1 (2013): 53-56. https://doi.org/10.3892/br.2012.14
Copy and paste a formatted citation
x
Spandidos Publications style
Nagao Y and Sata M: Oral verrucous carcinoma arising from lichen planus and esophageal squamous cell carcinoma in a patient with hepatitis C virus-related liver cirrhosis-hyperinsulinemia and malignant transformation: A case report. Biomed Rep 1: 53-56, 2013.
APA
Nagao, Y., & Sata, M. (2013). Oral verrucous carcinoma arising from lichen planus and esophageal squamous cell carcinoma in a patient with hepatitis C virus-related liver cirrhosis-hyperinsulinemia and malignant transformation: A case report. Biomedical Reports, 1, 53-56. https://doi.org/10.3892/br.2012.14
MLA
Nagao, Y., Sata, M."Oral verrucous carcinoma arising from lichen planus and esophageal squamous cell carcinoma in a patient with hepatitis C virus-related liver cirrhosis-hyperinsulinemia and malignant transformation: A case report". Biomedical Reports 1.1 (2013): 53-56.
Chicago
Nagao, Y., Sata, M."Oral verrucous carcinoma arising from lichen planus and esophageal squamous cell carcinoma in a patient with hepatitis C virus-related liver cirrhosis-hyperinsulinemia and malignant transformation: A case report". Biomedical Reports 1, no. 1 (2013): 53-56. https://doi.org/10.3892/br.2012.14
Follow us
  • Twitter
  • LinkedIn
  • Facebook
About
  • Spandidos Publications
  • Careers
  • Cookie Policy
  • Privacy Policy
How can we help?
  • Help
  • Live Chat
  • Contact
  • Email to our Support Team