Spandidos Publications Logo
  • About
    • About Spandidos
    • Aims and Scopes
    • Abstracting and Indexing
    • Editorial Policies
    • Reprints and Permissions
    • Job Opportunities
    • Terms and Conditions
    • Contact
  • Journals
    • All Journals
    • Oncology Letters
      • Oncology Letters
      • Information for Authors
      • Editorial Policies
      • Editorial Board
      • Aims and Scope
      • Abstracting and Indexing
      • Bibliographic Information
      • Archive
    • International Journal of Oncology
      • International Journal of Oncology
      • Information for Authors
      • Editorial Policies
      • Editorial Board
      • Aims and Scope
      • Abstracting and Indexing
      • Bibliographic Information
      • Archive
    • Molecular and Clinical Oncology
      • Molecular and Clinical Oncology
      • Information for Authors
      • Editorial Policies
      • Editorial Board
      • Aims and Scope
      • Abstracting and Indexing
      • Bibliographic Information
      • Archive
    • Experimental and Therapeutic Medicine
      • Experimental and Therapeutic Medicine
      • Information for Authors
      • Editorial Policies
      • Editorial Board
      • Aims and Scope
      • Abstracting and Indexing
      • Bibliographic Information
      • Archive
    • International Journal of Molecular Medicine
      • International Journal of Molecular Medicine
      • Information for Authors
      • Editorial Policies
      • Editorial Board
      • Aims and Scope
      • Abstracting and Indexing
      • Bibliographic Information
      • Archive
    • Biomedical Reports
      • Biomedical Reports
      • Information for Authors
      • Editorial Policies
      • Editorial Board
      • Aims and Scope
      • Abstracting and Indexing
      • Bibliographic Information
      • Archive
    • Oncology Reports
      • Oncology Reports
      • Information for Authors
      • Editorial Policies
      • Editorial Board
      • Aims and Scope
      • Abstracting and Indexing
      • Bibliographic Information
      • Archive
    • Molecular Medicine Reports
      • Molecular Medicine Reports
      • Information for Authors
      • Editorial Policies
      • Editorial Board
      • Aims and Scope
      • Abstracting and Indexing
      • Bibliographic Information
      • Archive
    • World Academy of Sciences Journal
      • World Academy of Sciences Journal
      • Information for Authors
      • Editorial Policies
      • Editorial Board
      • Aims and Scope
      • Abstracting and Indexing
      • Bibliographic Information
      • Archive
    • International Journal of Functional Nutrition
      • International Journal of Functional Nutrition
      • Information for Authors
      • Editorial Policies
      • Editorial Board
      • Aims and Scope
      • Abstracting and Indexing
      • Bibliographic Information
      • Archive
    • International Journal of Epigenetics
      • International Journal of Epigenetics
      • Information for Authors
      • Editorial Policies
      • Editorial Board
      • Aims and Scope
      • Abstracting and Indexing
      • Bibliographic Information
      • Archive
    • Medicine International
      • Medicine International
      • Information for Authors
      • Editorial Policies
      • Editorial Board
      • Aims and Scope
      • Abstracting and Indexing
      • Bibliographic Information
      • Archive
  • Articles
  • Information
    • Information for Authors
    • Information for Reviewers
    • Information for Librarians
    • Information for Advertisers
    • Conferences
  • Language Editing
Spandidos Publications Logo
  • About
    • About Spandidos
    • Aims and Scopes
    • Abstracting and Indexing
    • Editorial Policies
    • Reprints and Permissions
    • Job Opportunities
    • Terms and Conditions
    • Contact
  • Journals
    • All Journals
    • Biomedical Reports
      • Information for Authors
      • Editorial Policies
      • Editorial Board
      • Aims and Scope
      • Abstracting and Indexing
      • Bibliographic Information
      • Archive
    • Experimental and Therapeutic Medicine
      • Information for Authors
      • Editorial Policies
      • Editorial Board
      • Aims and Scope
      • Abstracting and Indexing
      • Bibliographic Information
      • Archive
    • International Journal of Epigenetics
      • Information for Authors
      • Editorial Policies
      • Editorial Board
      • Aims and Scope
      • Abstracting and Indexing
      • Bibliographic Information
      • Archive
    • International Journal of Functional Nutrition
      • Information for Authors
      • Editorial Policies
      • Editorial Board
      • Aims and Scope
      • Abstracting and Indexing
      • Bibliographic Information
      • Archive
    • International Journal of Molecular Medicine
      • Information for Authors
      • Editorial Policies
      • Editorial Board
      • Aims and Scope
      • Abstracting and Indexing
      • Bibliographic Information
      • Archive
    • International Journal of Oncology
      • Information for Authors
      • Editorial Policies
      • Editorial Board
      • Aims and Scope
      • Abstracting and Indexing
      • Bibliographic Information
      • Archive
    • Medicine International
      • Information for Authors
      • Editorial Policies
      • Editorial Board
      • Aims and Scope
      • Abstracting and Indexing
      • Bibliographic Information
      • Archive
    • Molecular and Clinical Oncology
      • Information for Authors
      • Editorial Policies
      • Editorial Board
      • Aims and Scope
      • Abstracting and Indexing
      • Bibliographic Information
      • Archive
    • Molecular Medicine Reports
      • Information for Authors
      • Editorial Policies
      • Editorial Board
      • Aims and Scope
      • Abstracting and Indexing
      • Bibliographic Information
      • Archive
    • Oncology Letters
      • Information for Authors
      • Editorial Policies
      • Editorial Board
      • Aims and Scope
      • Abstracting and Indexing
      • Bibliographic Information
      • Archive
    • Oncology Reports
      • Information for Authors
      • Editorial Policies
      • Editorial Board
      • Aims and Scope
      • Abstracting and Indexing
      • Bibliographic Information
      • Archive
    • World Academy of Sciences Journal
      • Information for Authors
      • Editorial Policies
      • Editorial Board
      • Aims and Scope
      • Abstracting and Indexing
      • Bibliographic Information
      • Archive
  • Articles
  • Information
    • For Authors
    • For Reviewers
    • For Librarians
    • For Advertisers
    • Conferences
  • Language Editing
Login Register Submit
  • This site uses cookies
  • You can change your cookie settings at any time by following the instructions in our Cookie Policy. To find out more, you may read our Privacy Policy.

    I agree
Search articles by DOI, keyword, author or affiliation
Search
Advanced Search
presentation
Biomedical Reports
Join Editorial Board Propose a Special Issue
Print ISSN: 2049-9434 Online ISSN: 2049-9442
Journal Cover
June-2021 Volume 14 Issue 6

Full Size Image

Sign up for eToc alerts
Recommend to Library

Journals

International Journal of Molecular Medicine

International Journal of Molecular Medicine

International Journal of Molecular Medicine is an international journal devoted to molecular mechanisms of human disease.

International Journal of Oncology

International Journal of Oncology

International Journal of Oncology is an international journal devoted to oncology research and cancer treatment.

Molecular Medicine Reports

Molecular Medicine Reports

Covers molecular medicine topics such as pharmacology, pathology, genetics, neuroscience, infectious diseases, molecular cardiology, and molecular surgery.

Oncology Reports

Oncology Reports

Oncology Reports is an international journal devoted to fundamental and applied research in Oncology.

Experimental and Therapeutic Medicine

Experimental and Therapeutic Medicine

Experimental and Therapeutic Medicine is an international journal devoted to laboratory and clinical medicine.

Oncology Letters

Oncology Letters

Oncology Letters is an international journal devoted to Experimental and Clinical Oncology.

Biomedical Reports

Biomedical Reports

Explores a wide range of biological and medical fields, including pharmacology, genetics, microbiology, neuroscience, and molecular cardiology.

Molecular and Clinical Oncology

Molecular and Clinical Oncology

International journal addressing all aspects of oncology research, from tumorigenesis and oncogenes to chemotherapy and metastasis.

World Academy of Sciences Journal

World Academy of Sciences Journal

Multidisciplinary open-access journal spanning biochemistry, genetics, neuroscience, environmental health, and synthetic biology.

International Journal of Functional Nutrition

International Journal of Functional Nutrition

Open-access journal combining biochemistry, pharmacology, immunology, and genetics to advance health through functional nutrition.

International Journal of Epigenetics

International Journal of Epigenetics

Publishes open-access research on using epigenetics to advance understanding and treatment of human disease.

Medicine International

Medicine International

An International Open Access Journal Devoted to General Medicine.

Journal Cover
June-2021 Volume 14 Issue 6

Full Size Image

Sign up for eToc alerts
Recommend to Library

  • Article
  • Citations
    • Cite This Article
    • Download Citation
    • Create Citation Alert
    • Remove Citation Alert
    • Cited By
  • Similar Articles
    • Related Articles (in Spandidos Publications)
    • Similar Articles (Google Scholar)
    • Similar Articles (PubMed)
  • Download PDF
  • Download XML
  • View XML
Article Open Access

Effects of obesity and 10 weeks metformin treatment on liver steatosis

  • Authors:
    • Reza Hakkak
    • Shannon Rose
    • Beverly Spray
    • Melisa Kozaczek
    • Soheila Korourian
  • View Affiliations / Copyright

    Affiliations: Department of Dietetics and Nutrition, University of Arkansas for Medical Sciences, Little Rock, AR 72205, USA, Department of Pediatrics, University of Arkansas for Medical Sciences, Little Rock, AR 72205, USA, Arkansas Children's Research Institute, Little Rock, AR 72202, USA, Department of Pathology, University of Arkansas for Medical Sciences, Little Rock, AR 72205, USA
    Copyright: © Hakkak et al. This is an open access article distributed under the terms of Creative Commons Attribution License.
  • Article Number: 49
    |
    Published online on: March 30, 2021
       https://doi.org/10.3892/br.2021.1425
  • Expand metrics +
Metrics: Total Views: 0 (Spandidos Publications: | PMC Statistics: )
Metrics: Total PDF Downloads: 0 (Spandidos Publications: | PMC Statistics: )
Cited By (CrossRef): 0 citations Loading Articles...

This article is mentioned in:



Abstract

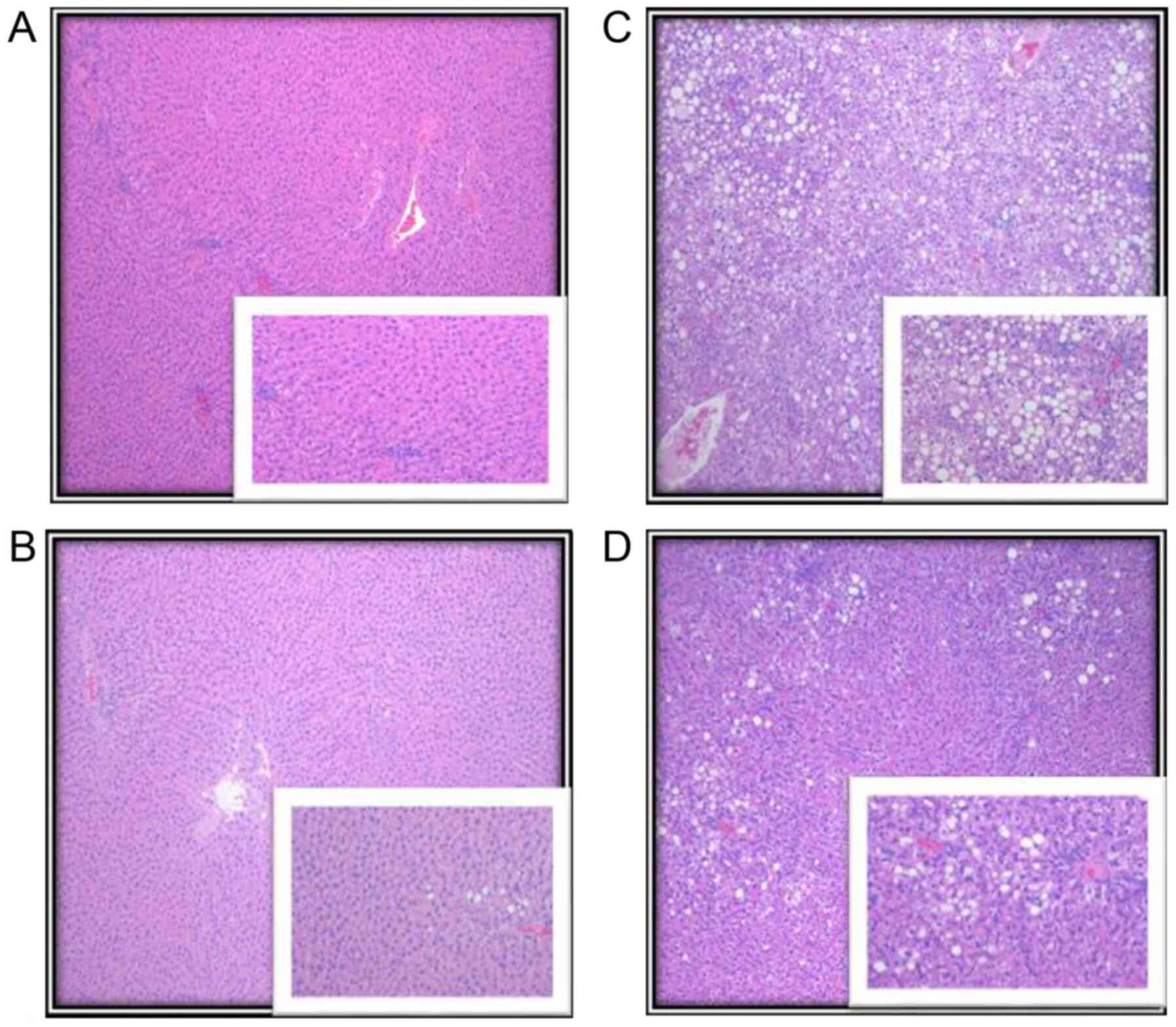
Non‑alcoholic fatty liver disease (NAFLD) is the leading cause of liver disease in adolescents and adults, and the risk of developing NAFLD increases with obesity. In the present study, it was shown that obesity increased fatty liver (steatosis) using an obese Zucker rat model. Metformin is an oral anti‑hyperglycemic agent approved by the FDA for treatment of type 2 diabetes in adults and children >10 years of age. There is insufficient evidence regarding the effects of metformin on pediatric liver steatosis. Thus, in the present study, the effects of 10 weeks metformin treatment on liver steatosis and related serum markers for liver damage was assessed. Lean and obese (n=16 per group) 5‑week old female Zucker rats were provided an AIN‑93 G diet for 8 weeks to induce NAFLD, and then rats were randomly assigned to 4 groups (8 rats/group): i) lean without metformin (LC), ii) lean + metformin (LM), iii) obese without metformin (OC), and iv) obese + metformin (OM). Rats were provided ad libitum access to the diet containing metformin (1 g metformin per kg of food). Rats were weighed twice weekly and were sacrificed 10 weeks later. Serum was collected to measure the levels of aspartate aminotransferase (AST), alanine aminotransferase (ALT), leptin and adiponectin. Livers were collected for histological analysis. The results showed that obese rats gained significantly more weight than lean rats in both the control and metformin treatment groups (P<0.001). OM treated rats exhibited a lower degree of liver steatosis compared with the OC rats (P<0.04). There were no significant differences in serum ALT levels between the groups. However, obesity significantly increased serum AST levels in both the control and metformin treatment groups (P=0.01). The ratio of leptin to adiponectin was increased in obese compared with the lean rats in both the control and metformin treatment groups (P<0.0001). There was no effect of metformin on serum biomarkers. In summary, short‑term metformin treatment decreased liver steatosis but did not affect the serum markers of liver steatosis.
View Figures

Figure 1

Figure 2

Figure 3

Figure 4

View References

1 

Centers for Disease Control and Prevention: Adult Obesity Facts. CDC, 2020.

2 

World Health Oraganization: Overweight and obesity. WHO, 2020.

3 

Ogden CL, Carroll MD, Curtin LR, Lamb MM and Flegal KM: Prevalence of high body mass index in US children and adolescents, 2007-2008. JAMA. 303:242–249. 2010.PubMed/NCBI View Article : Google Scholar

4 

Ogden CL, Carroll MD, Lawman HG, Fryar CD, Kruszon-Moran D, Kit BK and Flegal KM: Trends in obesity prevalence among children and adolescents in the United States, 1988-1994 through 2013-2014. JAMA. 315:2292–2299. 2016.PubMed/NCBI View Article : Google Scholar

5 

Lazo M, Hernaez R, Eberhardt MS, Bonekamp S, Kamel I, Guallar E, Koteish A, Brancati FL and Clark JM: Prevalence of nonalcoholic fatty liver disease in the United States: The Third National Health and Nutrition Examination Survey, 1988-1994. Am J Epidemiol. 178:38–45. 2013.PubMed/NCBI View Article : Google Scholar

6 

Angulo P: GI epidemiology: Nonalcoholic fatty liver disease. Aliment Pharmacol Ther. 25:883–889. 2007.PubMed/NCBI View Article : Google Scholar

7 

Welsh JA, Karpen S and Vos MB: Increasing prevalence of nonalcoholic fatty liver disease among United States adolescents, 1988-1994 to 2007-2010. J Pediatr. 162:496–500.e1. 2013.PubMed/NCBI View Article : Google Scholar

8 

Hakkak R, Al-Dwairi A, Fuchs GJ, Korourian S and Simmen FA: Dietary soy protein induces hepatic lipogenic enzyme gene expression while suppressing hepatosteatosis in obese female Zucker rats bearing DMBA-initiated mammary tumors. Genes Nutr. 7:549–558. 2012.PubMed/NCBI View Article : Google Scholar

9 

Hakkak R, Zeng H, Dhakal IB and Korourian S: Short- and long-term soy diet versus casein protects liver steatosis independent of the arginine content. J Med Food. 18:1274–1280. 2015.PubMed/NCBI View Article : Google Scholar

10 

Thomas I and Gregg B: Metformin; a review of its history and future: From lilac to longevity. Pediatr Diabetes. 18:10–16. 2017.PubMed/NCBI View Article : Google Scholar

11 

Khokhar A, Umpaichitra V, Chin VL and Perez-Colon S: Metformin use in children and adolescents with prediabetes. Pediatr Clin North Am. 64:1341–1353. 2017.PubMed/NCBI View Article : Google Scholar

12 

Luong DQ, Oster R and Ashraf AP: Metformin treatment improves weight and dyslipidemia in children with metabolic syndrome. J Pediatr Endocrinol Metab. 28:649–655. 2015.PubMed/NCBI View Article : Google Scholar

13 

Madiraju AK, Qiu Y, Perry RJ, Rahimi Y, Zhang XM, Zhang D, Camporez JG, Cline GW, Butrico GM, Kemp BE, et al: Metformin inhibits gluconeogenesis via a redox-dependent mechanism in vivo. Nat Med. 24:1384–1394. 2018.PubMed/NCBI View Article : Google Scholar

14 

Lin HZ, Yang SQ, Chuckaree C, Kuhajda F, Ronnet G and Diehl AM: Metformin reverses fatty liver disease in obese, leptin-deficient mice. Nat Med. 6:998–1003. 2000.PubMed/NCBI View Article : Google Scholar

15 

Marchesini G, Brizi M, Bianchi G, Tomassetti S, Zoli M and Melchionda N: Metformin in non-alcoholic steatohepatitis. Lancet. 358:893–894. 2001.PubMed/NCBI View Article : Google Scholar

16 

Xu H, Zhou Y, Liu Y, Ping J, Shou Q, Chen F and Ruo R: Metformin improves hepatic IRS2/PI3K/Akt signaling in insulin-resistant rats of NASH and cirrhosis. J Endocrinol. 229:133–144. 2016.PubMed/NCBI View Article : Google Scholar

17 

Tiikkainen M, Häkkinen AM, Korsheninnikova E, Nyman T, Mäkimattila S and Yki-Järvinen H: Effects of rosiglitazone and metformin on liver fat content, hepatic insulin resistance, insulin clearance, and gene expression in adipose tissue in patients with type 2 diabetes. Diabetes. 53:2169–2176. 2004.PubMed/NCBI View Article : Google Scholar

18 

Nair S, Diehl AM, Wiseman M, Farr GH Jr and Perrillo RP: Metformin in the treatment of non-alcoholic steatohepatitis: A pilot open label trial. Aliment Pharmacol Ther. 20:23–28. 2004.PubMed/NCBI View Article : Google Scholar

19 

Lavine JE, Schwimmer JB, Van Natta ML, Molleston JP, Murray KF, Rosenthal P, Abrams SH, Scheimann AO, Sanyal AJ, Chalasani N, et al: Nonalcoholic Steatohepatitis Clinical Research Network: Effect of vitamin E or metformin for treatment of nonalcoholic fatty liver disease in children and adolescents: The TONIC randomized controlled trial. JAMA. 305:1659–1668. 2011.PubMed/NCBI View Article : Google Scholar

20 

Labruna G, Pasanisi F, Nardelli C, Caso R, Vitale DF, Contaldo F and Sacchetti L: High leptin/adiponectin ratio and serum triglycerides are associated with an ‘at-risk’ phenotype in young severely obese patients. Obesity (Silver Spring). 19:1492–1496. 2011.PubMed/NCBI View Article : Google Scholar

21 

Korourian S, Hakkak R, Ronis MJJ, Shelnutt SR, Waldron J, Ingelman-Sundberg M and Badger TM: Diet and risk of ethanol-induced hepatotoxicity: Carbohydrate-fat relationships in rats. Toxicol Sci. 47:110–117. 1999.PubMed/NCBI View Article : Google Scholar

22 

Zucker LM: Fat mobilization in vitro and in vivo in the genetically obese Zucker rat ‘fatty’. J Lipid Res. 13:234–243. 1972.PubMed/NCBI

23 

Zucker LM and Zucker TF: Fatty, a new mutation in the rat. J Hered. 52:275–278. 1961.

24 

Hakkak R, Gauss CH, Bell A and Korourian S: Short-term soy protein isolate feeding prevents liver steatosis and reduces serum ALT and AST levels in obese female zucker rats. Biomedicines. 6(6)2018.PubMed/NCBI View Article : Google Scholar

25 

Zheng J, Woo SL, Hu X, Botchlett R, Chen L, Huo Y and Wu C: Metformin and metabolic diseases: A focus on hepatic aspects. Front Med. 9:173–186. 2015.PubMed/NCBI View Article : Google Scholar

26 

Lu CH, Hung YJ and Hsieh PS: Additional effect of metformin and celecoxib against lipid dysregulation and adipose tissue inflammation in high-fat fed rats with insulin resistance and fatty liver. Eur J Pharmacol. 789:60–67. 2016.PubMed/NCBI View Article : Google Scholar

27 

Srinivasan S, Ambler GR, Baur LA, Garnett SP, Tepsa M, Yap F, Ward GM and Cowell CT: Randomized, controlled trial of metformin for obesity and insulin resistance in children and adolescents: Improvement in body composition and fasting insulin. J Clin Endocrinol Metab. 91:2074–2080. 2006.PubMed/NCBI View Article : Google Scholar

28 

Love-Osborne K, Sheeder J and Zeitler P: Addition of metformin to a lifestyle modification program in adolescents with insulin resistance. J Pediatr. 152:817–822. 2008.PubMed/NCBI View Article : Google Scholar

29 

Burgert TS, Duran EJ, Goldberg-Gell R, Dziura J, Yeckel CW, Katz S, Tamborlane WV and Caprio S: Short-term metabolic and cardiovascular effects of metformin in markedly obese adolescents with normal glucose tolerance. Pediatr Diabetes. 9:567–576. 2008.PubMed/NCBI View Article : Google Scholar

30 

Wilson DM, Abrams SH, Aye T, Lee PD, Lenders C, Lustig RH, Osganian SV and Feldman HA: Glaser Pediatric Research Network Obesity Study Group. Metformin extended release treatment of adolescent obesity: A 48-week randomized, double-blind, placebo-controlled trial with 48-week follow-up. Arch Pediatr Adolesc Med. 164:116–123. 2010.PubMed/NCBI View Article : Google Scholar

31 

Kay JP, Alemzadeh R, Langley G, D'Angelo L, Smith P and Holshouser S: Beneficial effects of metformin in normoglycemic morbidly obese adolescents. Metabolism. 50:1457–1461. 2001.PubMed/NCBI View Article : Google Scholar

32 

Atabek ME and Pirgon O: Use of metformin in obese adolescents with hyperinsulinemia: A 6-month, randomized, double-blind, placebo-controlled clinical trial. J Pediatr Endocrinol Metab. 21:339–348. 2008.PubMed/NCBI View Article : Google Scholar

33 

El-Lakkany NM, Seif El-Din SH, Sabra AA, Hammam OA and Ebeid FA: Co-administration of metformin and N-acetylcysteine with dietary control improves the biochemical and histological manifestations in rats with non-alcoholic fatty liver. Res Pharm Sci. 11:374–382. 2016.PubMed/NCBI View Article : Google Scholar

34 

Ghadge A, Harsulkar A, Karandikar M, Pandit V and Kuvalekar A: Comparative anti-inflammatory and lipid-normalizing effects of metformin and omega-3 fatty acids through modulation of transcription factors in diabetic rats. Genes Nutr. 11(10)2016.PubMed/NCBI View Article : Google Scholar

35 

Sui Y, Kong X, Fan R, Ye Y, Mai H, Zhuo S, Lu W, Ruan P, Fang S and Yang T: Long-term treatment with metformin in the prevention of fatty liver in Zucker diabetic fatty rats. Diabetol Metab Syndr. 11(94)2019.PubMed/NCBI View Article : Google Scholar

36 

Chen D, Jia D, Wu X, Shi K, Ren C, Dou Y, Guo M, Wang J, Ma M, Wu Z, et al: A novel metformin derivative showed improvement of lipid metabolism in obese rats with type 2 diabetes. Clin Exp Pharmacol Physiol. 47:1382–1392. 2020.PubMed/NCBI View Article : Google Scholar

Related Articles

  • Abstract
  • View
  • Download
  • Twitter
Copy and paste a formatted citation
Spandidos Publications style
Hakkak R, Rose S, Spray B, Kozaczek M and Korourian S: Effects of obesity and 10 weeks metformin treatment on liver steatosis. Biomed Rep 14: 49, 2021.
APA
Hakkak, R., Rose, S., Spray, B., Kozaczek, M., & Korourian, S. (2021). Effects of obesity and 10 weeks metformin treatment on liver steatosis. Biomedical Reports, 14, 49. https://doi.org/10.3892/br.2021.1425
MLA
Hakkak, R., Rose, S., Spray, B., Kozaczek, M., Korourian, S."Effects of obesity and 10 weeks metformin treatment on liver steatosis". Biomedical Reports 14.6 (2021): 49.
Chicago
Hakkak, R., Rose, S., Spray, B., Kozaczek, M., Korourian, S."Effects of obesity and 10 weeks metformin treatment on liver steatosis". Biomedical Reports 14, no. 6 (2021): 49. https://doi.org/10.3892/br.2021.1425
Copy and paste a formatted citation
x
Spandidos Publications style
Hakkak R, Rose S, Spray B, Kozaczek M and Korourian S: Effects of obesity and 10 weeks metformin treatment on liver steatosis. Biomed Rep 14: 49, 2021.
APA
Hakkak, R., Rose, S., Spray, B., Kozaczek, M., & Korourian, S. (2021). Effects of obesity and 10 weeks metformin treatment on liver steatosis. Biomedical Reports, 14, 49. https://doi.org/10.3892/br.2021.1425
MLA
Hakkak, R., Rose, S., Spray, B., Kozaczek, M., Korourian, S."Effects of obesity and 10 weeks metformin treatment on liver steatosis". Biomedical Reports 14.6 (2021): 49.
Chicago
Hakkak, R., Rose, S., Spray, B., Kozaczek, M., Korourian, S."Effects of obesity and 10 weeks metformin treatment on liver steatosis". Biomedical Reports 14, no. 6 (2021): 49. https://doi.org/10.3892/br.2021.1425
Follow us
  • Twitter
  • LinkedIn
  • Facebook
About
  • Spandidos Publications
  • Careers
  • Cookie Policy
  • Privacy Policy
How can we help?
  • Help
  • Live Chat
  • Contact
  • Email to our Support Team