Spandidos Publications Logo
  • About
    • About Spandidos
    • Aims and Scopes
    • Abstracting and Indexing
    • Editorial Policies
    • Reprints and Permissions
    • Job Opportunities
    • Terms and Conditions
    • Contact
  • Journals
    • All Journals
    • Oncology Letters
      • Oncology Letters
      • Information for Authors
      • Editorial Policies
      • Editorial Board
      • Aims and Scope
      • Abstracting and Indexing
      • Bibliographic Information
      • Archive
    • International Journal of Oncology
      • International Journal of Oncology
      • Information for Authors
      • Editorial Policies
      • Editorial Board
      • Aims and Scope
      • Abstracting and Indexing
      • Bibliographic Information
      • Archive
    • Molecular and Clinical Oncology
      • Molecular and Clinical Oncology
      • Information for Authors
      • Editorial Policies
      • Editorial Board
      • Aims and Scope
      • Abstracting and Indexing
      • Bibliographic Information
      • Archive
    • Experimental and Therapeutic Medicine
      • Experimental and Therapeutic Medicine
      • Information for Authors
      • Editorial Policies
      • Editorial Board
      • Aims and Scope
      • Abstracting and Indexing
      • Bibliographic Information
      • Archive
    • International Journal of Molecular Medicine
      • International Journal of Molecular Medicine
      • Information for Authors
      • Editorial Policies
      • Editorial Board
      • Aims and Scope
      • Abstracting and Indexing
      • Bibliographic Information
      • Archive
    • Biomedical Reports
      • Biomedical Reports
      • Information for Authors
      • Editorial Policies
      • Editorial Board
      • Aims and Scope
      • Abstracting and Indexing
      • Bibliographic Information
      • Archive
    • Oncology Reports
      • Oncology Reports
      • Information for Authors
      • Editorial Policies
      • Editorial Board
      • Aims and Scope
      • Abstracting and Indexing
      • Bibliographic Information
      • Archive
    • Molecular Medicine Reports
      • Molecular Medicine Reports
      • Information for Authors
      • Editorial Policies
      • Editorial Board
      • Aims and Scope
      • Abstracting and Indexing
      • Bibliographic Information
      • Archive
    • World Academy of Sciences Journal
      • World Academy of Sciences Journal
      • Information for Authors
      • Editorial Policies
      • Editorial Board
      • Aims and Scope
      • Abstracting and Indexing
      • Bibliographic Information
      • Archive
    • International Journal of Functional Nutrition
      • International Journal of Functional Nutrition
      • Information for Authors
      • Editorial Policies
      • Editorial Board
      • Aims and Scope
      • Abstracting and Indexing
      • Bibliographic Information
      • Archive
    • International Journal of Epigenetics
      • International Journal of Epigenetics
      • Information for Authors
      • Editorial Policies
      • Editorial Board
      • Aims and Scope
      • Abstracting and Indexing
      • Bibliographic Information
      • Archive
    • Medicine International
      • Medicine International
      • Information for Authors
      • Editorial Policies
      • Editorial Board
      • Aims and Scope
      • Abstracting and Indexing
      • Bibliographic Information
      • Archive
  • Articles
  • Information
    • Information for Authors
    • Information for Reviewers
    • Information for Librarians
    • Information for Advertisers
    • Conferences
  • Language Editing
Spandidos Publications Logo
  • About
    • About Spandidos
    • Aims and Scopes
    • Abstracting and Indexing
    • Editorial Policies
    • Reprints and Permissions
    • Job Opportunities
    • Terms and Conditions
    • Contact
  • Journals
    • All Journals
    • Biomedical Reports
      • Information for Authors
      • Editorial Policies
      • Editorial Board
      • Aims and Scope
      • Abstracting and Indexing
      • Bibliographic Information
      • Archive
    • Experimental and Therapeutic Medicine
      • Information for Authors
      • Editorial Policies
      • Editorial Board
      • Aims and Scope
      • Abstracting and Indexing
      • Bibliographic Information
      • Archive
    • International Journal of Epigenetics
      • Information for Authors
      • Editorial Policies
      • Editorial Board
      • Aims and Scope
      • Abstracting and Indexing
      • Bibliographic Information
      • Archive
    • International Journal of Functional Nutrition
      • Information for Authors
      • Editorial Policies
      • Editorial Board
      • Aims and Scope
      • Abstracting and Indexing
      • Bibliographic Information
      • Archive
    • International Journal of Molecular Medicine
      • Information for Authors
      • Editorial Policies
      • Editorial Board
      • Aims and Scope
      • Abstracting and Indexing
      • Bibliographic Information
      • Archive
    • International Journal of Oncology
      • Information for Authors
      • Editorial Policies
      • Editorial Board
      • Aims and Scope
      • Abstracting and Indexing
      • Bibliographic Information
      • Archive
    • Medicine International
      • Information for Authors
      • Editorial Policies
      • Editorial Board
      • Aims and Scope
      • Abstracting and Indexing
      • Bibliographic Information
      • Archive
    • Molecular and Clinical Oncology
      • Information for Authors
      • Editorial Policies
      • Editorial Board
      • Aims and Scope
      • Abstracting and Indexing
      • Bibliographic Information
      • Archive
    • Molecular Medicine Reports
      • Information for Authors
      • Editorial Policies
      • Editorial Board
      • Aims and Scope
      • Abstracting and Indexing
      • Bibliographic Information
      • Archive
    • Oncology Letters
      • Information for Authors
      • Editorial Policies
      • Editorial Board
      • Aims and Scope
      • Abstracting and Indexing
      • Bibliographic Information
      • Archive
    • Oncology Reports
      • Information for Authors
      • Editorial Policies
      • Editorial Board
      • Aims and Scope
      • Abstracting and Indexing
      • Bibliographic Information
      • Archive
    • World Academy of Sciences Journal
      • Information for Authors
      • Editorial Policies
      • Editorial Board
      • Aims and Scope
      • Abstracting and Indexing
      • Bibliographic Information
      • Archive
  • Articles
  • Information
    • For Authors
    • For Reviewers
    • For Librarians
    • For Advertisers
    • Conferences
  • Language Editing
Login Register Submit
  • This site uses cookies
  • You can change your cookie settings at any time by following the instructions in our Cookie Policy. To find out more, you may read our Privacy Policy.

    I agree
Search articles by DOI, keyword, author or affiliation
Search
Advanced Search
presentation
Biomedical Reports
Join Editorial Board Propose a Special Issue
Print ISSN: 2049-9434 Online ISSN: 2049-9442
Journal Cover
January-2022 Volume 16 Issue 1

Full Size Image

Sign up for eToc alerts
Recommend to Library

Journals

International Journal of Molecular Medicine

International Journal of Molecular Medicine

International Journal of Molecular Medicine is an international journal devoted to molecular mechanisms of human disease.

International Journal of Oncology

International Journal of Oncology

International Journal of Oncology is an international journal devoted to oncology research and cancer treatment.

Molecular Medicine Reports

Molecular Medicine Reports

Covers molecular medicine topics such as pharmacology, pathology, genetics, neuroscience, infectious diseases, molecular cardiology, and molecular surgery.

Oncology Reports

Oncology Reports

Oncology Reports is an international journal devoted to fundamental and applied research in Oncology.

Experimental and Therapeutic Medicine

Experimental and Therapeutic Medicine

Experimental and Therapeutic Medicine is an international journal devoted to laboratory and clinical medicine.

Oncology Letters

Oncology Letters

Oncology Letters is an international journal devoted to Experimental and Clinical Oncology.

Biomedical Reports

Biomedical Reports

Explores a wide range of biological and medical fields, including pharmacology, genetics, microbiology, neuroscience, and molecular cardiology.

Molecular and Clinical Oncology

Molecular and Clinical Oncology

International journal addressing all aspects of oncology research, from tumorigenesis and oncogenes to chemotherapy and metastasis.

World Academy of Sciences Journal

World Academy of Sciences Journal

Multidisciplinary open-access journal spanning biochemistry, genetics, neuroscience, environmental health, and synthetic biology.

International Journal of Functional Nutrition

International Journal of Functional Nutrition

Open-access journal combining biochemistry, pharmacology, immunology, and genetics to advance health through functional nutrition.

International Journal of Epigenetics

International Journal of Epigenetics

Publishes open-access research on using epigenetics to advance understanding and treatment of human disease.

Medicine International

Medicine International

An International Open Access Journal Devoted to General Medicine.

Journal Cover
January-2022 Volume 16 Issue 1

Full Size Image

Sign up for eToc alerts
Recommend to Library

  • Article
  • Citations
    • Cite This Article
    • Download Citation
    • Create Citation Alert
    • Remove Citation Alert
    • Cited By
  • Similar Articles
    • Related Articles (in Spandidos Publications)
    • Similar Articles (Google Scholar)
    • Similar Articles (PubMed)
  • Download PDF
  • Download XML
  • View XML
Article Open Access

Association between promoter methylation and gene expression of CGB3 and NOP56 in HPV‑infected cervical cancer cells

  • Authors:
    • Palak Singh
    • Kanwalat Chalertpet
    • Juthamard Sukbhattee
    • Nannabhat Wongmanee
    • Pimwipa Suwannakart
    • Pattamawadee Yanatatsaneejit
  • View Affiliations / Copyright

    Affiliations: Program in Biotechnology, Faculty of Science, Chulalongkorn University, Bangkok 10330, Thailand, Human Genetics Research Group, Department of Botany, Faculty of Science, Chulalongkorn University, Bangkok 10330, Thailand
    Copyright: © Singh et al. This is an open access article distributed under the terms of Creative Commons Attribution License.
  • Article Number: 1
    |
    Published online on: November 3, 2021
       https://doi.org/10.3892/br.2021.1484
  • Expand metrics +
Metrics: Total Views: 0 (Spandidos Publications: | PMC Statistics: )
Metrics: Total PDF Downloads: 0 (Spandidos Publications: | PMC Statistics: )
Cited By (CrossRef): 0 citations Loading Articles...

This article is mentioned in:



Abstract

Overexpression of the E7 gene of human papillomavirus (HPV) type 16 is one of the primary causes of cervical cancer. The E7 protein can bind with DNA methyltransferase I and induce methylation of tumor suppressor genes, such as cyclin‑A1 (CCNA1), leading to suppression of their expression, and thus, cancer progression. In the present study, the confirmation of methylation‑related expression of chorionic gonadotropin subunit 3 (CGB3) and nucleolar protein 56 (NOP56) genes in 5‑Azacytidine (5'‑aza)‑treated HPV16‑positive SiHa and HPV16‑negative C33A cell lines was shown. Using methylation‑specific‑PCR and quantitative PCR, the results showed that CGB3 and NOP56 methylation significantly decreased as the 5'‑aza concentration was increased, and this was inversely associated with their expression. Moreover, overexpression of E7 contributed to the augmentation of CGB3 and NOP56 methylation levels in C33A cells, resulting in a decrease in their expression. This study extends on previous observations of E7 HPV16 oncogenic function in terms of methylation‑repressing expression in more genes, which may be wholly applied to gene therapy in cervical cancer prevention.

Introduction

Cervical cancer is the fourth most frequent cancer amongst women worldwide, resulting in ~570,000 new casesin 2018, 90% of the 311,000 women with cervical cancer died (1). Human papillomavirus (HPV) is the most common sexually transmitted infection and has been recognized as an important risk factor for cervical cancer (2,3). There are >100 types of HPVs, which are categorized into low- and high-risk HPV (4-7). High-risk HPVs include HPV16 and HPV18 amongst several others, and are the causative agents in ≥90% of cervical cancer cases, whilst also being linked to >50% of other types of anogenital cancer (7-9). High-risk HPV (16 and 18)-associated cervical cancer is driven by two major viral oncoproteins, E6 and E7, which are associated with the tumor suppressor genes p53 and retinoblastoma 1, respectively, degrading them (10-15). HPV16 E6 was found to upregulate DNA methyltransferase I (DNMT1) expression and suppress p53 in cells (16-19). Moreover, previous studies have found that E7 displayed an interaction with DNMT1, which led to aberrant methylation of the cellular genome, resulting in silencing of tumor suppressor genes (20-23).

Several groups of researchers have studied the association between HPV infection and promoter methylation. Chalertpet et al (24) reported that HPV16 E7 can induce promoter methylation in CCNA1. However, Yanatatsaneejit et al (25) in 2020 demonstrated that both HPV E6 and E7 induced promoter methylation in death-associated protein kinase 1 (DAPK1) and cell adhesion molecule 1 (CADM1), respectively. Moreover, their study indicated that the E7 protein can bind to the promoter region of CADM1, and chromatin immunoprecipitation indicated that it may bind to DNMT1 through the same mechanism as CCNA1 (25). Na Rangsee et al (26), using readings from mass spectrometry followed by STRING database protein network analysis, showed that E7 possibly formed a complex with a set of transcription factors, including SP1, which links with the Yin yang 1 (YY1) transcription factor contributing to the E7 mediated hypermethylation of the genes. This highlighted the possibility of E7 combining with DNMT1 through a transcription factor to the promoter region of the CCNA1 gene, resulting in promoter methylation. Thus, studying other tumor suppressor genes that share the same sequence as the CCNA1 promoter where HPV16 E7 can bind may highlight novel potential targets. In order to investigate this possibility, bioinformatics analysis was performed and the results revealed that YY1 was found to bind to the promoter region of CCNA1. Here, other genes which shared the same YY1 binding site as CCNA1 promoter were explored. CGB3 and NOP56 were selected to investigate the induction of promoter methylation by HPV16 E7.

The CGB3 gene plays critical roles in increased expression of the CGB subunit in ovarian cancer through demethylation of the CGB promoter (27) and malignant transformation of non-trophoblastic cells (28,29). The NOP56 gene is involved in several oncogenic roles in more than five types of cancers (30); however, there is no evidence linking it to cervical cancer, to the best of our knowledge. These findings lead to the investigation of the role of HPV16 E7 in cervical cancer progression through promoter methylation of these two genes.

As methylation does not alter DNA sequences, previous studies have focused on using inhibitors of DNA methyltransferases, including 5'-Azacytidine (5-aza), which can potentially be used as anticancer agents (31-33). Aberrant DNA methylation is a biochemical process that can be reversed using demethylating agents (34). 5-aza was the first DNA methyltransferase inhibitor approved by the U.S. Food and Drug Administration for use as a chemotherapeutic against myelodysplastic syndrome, a heterogeneous bone marrow disorder (35). 5-aza covalently binds to DNMT leading to a reduction in its DNA methyltransferase activity (32). This results in the loss of methylation in specific gene regions and activates the expression of the associated genes (36-38). Moreover, several studies have reported that the association between DNA methylation and repression of gene expression can lead to cancer progression (39-41). Therefore, re-expression of methylated genes in cervical cancer cell lines following treatment with a demethylating agent, such as 5-aza, should be further investigated to assess the effect of inhibiting the methylation rate and whether it can increase the expression of tumor suppressor genes (31,42).

The present study investigated whether HPV16 E7 could induce promoter methylation and decrease the expression of CGB3 and NOP56. The study further assessed the effects of 5-aza treatment on promoter methylation and gene expression in cervical cancer C33A and SiHa cell lines to demonstrate the association between gene methylation and the regulation of tumor gene expression. This study may serve as an alternative strategy of drug therapy for patients with cervical cancer with aberrant gene promoter methylation (42).

Materials and methods

Bioinformatics analysis

PROMO version 8.3 from the TRANSFAC database (alggen.lsi.upc.es) was used to select the genes of interest containing YY1 binding sites with CCNA1 (43,44). JASPAR database (jaspar.genereg.net) was used to separately analyze the YY1 binding site sequences in the selected genes with reference to the CCNA1 gene (45).

Cell lines and culture

Human cervical carcinoma cell lines [SiHa (HPV type 16) and C33A (HPV-)] were purchased from the American Type Culture Collection. Cells were cultured in DMEM (Gibco; Thermo Fisher Scientific, Inc.) supplemented with 10% FBS (Gibco; Thermo Fisher Scientific, Inc.) and 1% antibiotic-antimycotic (Gibco; Thermo Fisher Scientific, Inc.) at 37˚C with 5% CO2 in a humidified incubator.

Transfection

For HPV 16 E7 overexpression, 3x105 cells/ml C33A cells were seeded into a 6-well plate and incubated overnight at 37˚C. Subsequently, cells were transfected with 2 µg HPV 16 E7 plasmid (E7; Invitrogen; Thermo Fisher Scientific, Inc.) and pcDNA 3.1/myc-HIS empty vector (PC; Invitrogen; Thermo Fisher Scientific, Inc.) using TurboFect reagent (Thermo Fisher Scientific, Inc.) according to the manufacturer's protocol. A 72 h post-transfection, DNA and RNA were extracted from each sample to assess promoter methylation and gene expression, respectively, using specific primers for each gene.

5-aza treatment

To evaluate gene methylation and expression, cells were treated with 5-aza (Sigma-Aldrich; Merck KGaA). Briefly, SiHa and C33A cells (3x105 cells/ml) were seeded 1 day before 5-aza treatment. The following day fresh DMEM containing 5-aza (SiHa, 0, 20, 30 and 40 µM; C33A, 0, 3,5 and 7 µM) was added to the cells for 5 consecutive days, being replaced every 24 h until analysis (24).

Isolation of DNA

DNA was extracted from SiHa and C33A cells using 10% SDS (Sigma-Aldrich; Merck KGaA), lysis buffer II (0.75 M NaCl and 0.024 M EDTA at pH 8) and 20 mg/ml proteinase K (Invitrogen; Thermo Fisher Scientific, Inc.), digested by incubating at 50˚C overnight. Subsequently, phenol/chloroform extraction and 100% ethanol precipitation were performed. DNA was air-dried and resuspended in dH2O (46). DNA concentration was determined using a NanoDrop 2000c spectrophotometer (Thermo Fisher Scientific, Inc.).

Sodium bisulfite treatment and methylation-specific PCR (MSP)

DNA (750 ng) for each sample was subjected to bisulfite treatment using the EZ DNA Methylation-Gold kit (Zymo Research Corp.) according to the manufacturer's protocol. Eluted DNA was used to perform MSP using methylated and unmethylated specific primers (Table I). The annealing temperature for CGB3 was 54˚C and for NOP56 it was 52˚C. The thermocycling conditions were 95˚C for 15 min; followed by 27 cycles of 95˚C for 45 sec, the respective annealing temperature for 45 sec and 72˚C for 45 sec; with a final extension step of 72˚C for 7 min. Subsequently, 10 µl PCR product was observed by gel electrophoresis using an 8% acrylamide gel and stained with SYBR reagent (Lonza Group, Ltd.). The methylated and unmethylated band intensities of each sample were visualized and measured using a Storm 840 (Amersham Biosciences) and ImageJ version 2 (National Institute of Health). The EpiTect control DNA set (Qiagen GmbH) contained positive controls for methylation and unmethylation. The experiments were performed in triplicate.

Table I

Primer sequences, amplicon sizes, annealing temperature and conditions for methylation-specific PCR.

Table I

Primer sequences, amplicon sizes, annealing temperature and conditions for methylation-specific PCR.

GeneSequence, 5'-3'Product size, bpAnnealing temperature, ˚CNumber of cycles
CGB3    
     Methylated forward CGGGTTGAATTTTTCGTTGGC1165227
     Methylated reverse CCCAAAAAAAACGCGACTTCG   
     Unmethylated forward GGGTTTGGGTTGAATTTTTTGTTGGT1275527
     Unmethylated reverse CAACCTCCCAAAAAAAACACAACTTCA   
NOP56 primer I    
     Methylated forward TATTTTTTATTATATTTTGGAATC643827
     Methylated reverse ATTAAATTATTTTAACCGTCG   
     Unmethylated forward GTATTTTTTATTATATTTTGGAATT684227
     Unmethylated reverse AATATTAAATTATTTTAACCATCA   
NOP56 primer II    
     Methylated forward CGTTTATTTTGATGTATTTACGAC1205027
     Methylated reverse ATATCTACTTACGAATCAAAATCG   
     Unmethylated forward TGGAATTGTTTATTTTGATGTATTTATGATG1325227
     Unmethylated reverse AATATTAAATTATTTTAACCATCA   

[i] CGB3, chorionic gonadotropin subunit 3; NOP56, nucleolar protein 56.

Preparation of RNA and cDNA synthesis

Total RNA was extracted from cells using TRIzol® reagent (Invitrogen; Thermo Fisher Scientific, Inc.). Subsequently, total RNA (1 µg) from each sample was reverse transcribed into cDNA using the RevertAid first-strand cDNA synthesis kit (Thermo Fisher Scientific, Inc.) according to the manufacturer's protocol.

PCR

PCR was performed to assess the expression of each gene in SiHa and C33A cells using specific forward and reverse primers for CGB3 expression in HPV 16 E7 transfected cell. The PCR mixture contained 10X PCR buffer (Qiagen GmbH), 0.2 mM dNTPs (New England BioLabs, Inc.), 0.3 µM forward and reverse primer (Table I) and 1 U HotStartaq DNA polymerase (Qiagen GmbH). GAPDH was used as an internal control (Table II). PCR products (10 µl) were subjected to electrophoresis on an 8% acrylamide gel and stained with SYBR. The experiment was performed in triplicate.

Table II

Primer sequences, amplicon sizes, annealing temperatures and conditions for PCR.

Table II

Primer sequences, amplicon sizes, annealing temperatures and conditions for PCR.

GeneSequence, 5'-3'Product size, bpAnnealing temperature, ˚CNumber of cycles
Human papilloma virus 16 E7    
     Forward GGGCAATTAAATGACAGCTCAG1425630
     Reverse GTGTGCTTTGTACGCACAACC   
GAPDH    
     Forward CAGCCGCATCTTCTTTTG965628
     Reverse GCCCAATACGACCAAATC   
GAPDH1    
     Forward TGGAAGGACTCATGACCACAG1635628
     Reverse TTCAGCTCAGGGATGACCTT   
Chorionic gonadotropin subunit 3    
     Forward CAACACCACCATCTGTGC1945628
     Reverse GGCAGAGTGCACATTGAC   
Nucleolar protein 56    
     Forward CAGCATCGTTCGTCTGGTGG1055628
     Reverse AGGCGGAGGTCCTCATGAAC   
Quantitative PCR (qPCR)

CGB3 and NOP56 mRNA expression in 5-aza-treated, and HPV 16 E7 and NOP56 gene expression levels in HPV 16 E7 transfected cells were determined by qPCR using a 7500-fast qPCR system (Applied Biosystems; Thermo Fisher Scientific, Inc.) and Power SYBR-Green PCR MasterMix (Applied Biosystems; Thermo Fisher Scientific, Inc.). The qPCR was performed using specific primers (Table II), with GAPDH as the reference gene. The thermocycling condition were: 95˚C for 10 min; followed by 40 cycles of 95˚C for 15 sec, 56˚C for 30 sec and 72˚C for 45 sec. The mRNA expression levels were quantified using the 2-IICq method (47).

Statistical analysis

To assess gene promoter methylation and expression levels in 5-aza-treated cells, a one-way ANOVA followed by a Dunnett's post hoc test was performed using GraphPad Prism version 5 (GraphPad Software, Inc.). P≤0.05 was considered to indicate a statistically significant difference. Student's t-tests (unpaired) was used to compare CGB3 and NOP56 expression and methylation in SiHa and C33A cells, respectively, as well as expression and methylation of CGB3 and NOP56 in the HPV 16 E7- and PC-transfected cells.

Results

Bioinformatics analysis

YY1 was found to be the binding to the promoter of CCNA1, CGB3 and NOP56 based on PROMO analysis (Fig. 1). Moreover, the results from JASPAR demonstrated that the binding sequence of YY1 in the CCNA1 gene shared 80% similarity in sequence, GCCATG and TCCATG (Fig. 2A), to that present in CGB3 GCCATC denoted by * in (Fig. 2B) and in NOP56 TCCATC denoted by ** in (Fig. 2C), respectively. Thus, both genes were selected for further analysis.

Figure 1

A YY1 transcription factor binding site detected in the DNA sequences of CCNA1, CGB3 and NOP56 genes. The binding site was predicted in 3 or more input sequences with a dissimilarity margin of ≤15% using the PROMO database. YY1, yin yang 1; CCNA1, cyclin-A1; CGB3, chorionic gonadotropin subunit 3; NOP56, nucleolar protein 56.

Figure 2

YY1 binding site in promoter region of genes as determined using JASPAR. (A) CCNA1 with finding sequences GCCATG, GCCATG and TCCATG. (B) CGB3 gene possessed the GCCATC sequence. CCNA1 and CGB3 shared 80% same sequence denoted by (*). (C) NOP56 possessed the TCCATC sequence. CCNA1 and NOP56 shared 80% same sequence denoted by (**). YY1, yin yang 1; CCNA1, cyclin-A1; CGB3, chorionic gonadotropin subunit 3; NOP56, nucleolar protein 56.

Gene expression and methylation in HPV+/- cervical cancer cell lines

To assess the expression of CGB3 and NOP56 genes, PCR was performed in SiHa (HPV+) and C33A (HPV-) cancer cell lines. The results showed that both CGB3 and NOP56 exhibited lower expression in SiHa cells (26.74 and 38.42%, respectively) compared with that observed in C33A cells (73.26 and 44.5%), respectively (Fig. 3A and C). GAPDH was used for CGB3 gene and GAPDH1 primer was used for NOP56 gene normalization in SiHa and C33A cells. The bar graphs shows the mean ± standard error of the mean of CGB3 (P=0.001; Fig. 3B) and NOP56 expression (P=0.004; Fig. 3D).

Figure 3

Expression of CGB3 and NOP56 in SiHa and C33A cells. (A) CGB3 expression was observed. (B) Graphs represent the mean ± the standard error of the mean of CGB3 expression. (C) NOP56 expression was observed. (D) Data are presented as the mean ± the standard error of the mean of NOP56 expression. **P<0.01, ***P<0.001. Neg, distilled water negative control; CCNA1, cyclin-A1; CGB3, chorionic gonadotropin subunit 3; NOP56, nucleolar protein 56.

Furthermore, methylation status was also observed for both the genes, and compared between SiHa and C33A cells. The results demonstrated that the methylation of CGB3 and NOP56 (primer II) in SiHa cells was 61.18 and 53.94% compared with C33A cells (38.81 and 46.05%), respectively (Fig. 4A and C). The bar graph shows the mean ± standard error of the mean of CGB3 (P=0.004; Fig. 3B) and NOP56 methylation (P=0.045; Fig. 3D). The results indicated that the presence of HPV may influence the expression and methylation of CGB3 and NOP56 genes.

Figure 4

Methylation of CGB3 and NOP56 in SiHa and C33A cells. (A) CGB3 methylation was observed. (B) Graphs represent the mean ± the standard error of the mean of CGB3 methylation. (C) NOP56 methylation was observed. (D) Data are presented as the mean ± the standard error of the mean of NOP56 methylation. *P<0.05, **P<0.01. Neg, distilled water negative control; CCNA1, cyclin-A1; CGB3, chorionic gonadotropin subunit 3; NOP56, nucleolar protein 56.

HPV 16 E7 induces promoter methylation and decreases gene expression

To assess whether HPV E7 induced gene promoter methylation and thus decreased expression, HPV 16 E7 was overexpressed in C33A (HPV-) cells. The results demonstrated that the expression of HPV 16 E7 was significantly higher in HPV 16 E7 transfected cells (P=0.001) compared with the PC transfected cells (Fig. 5).

Figure 5

HPV 16 E7 recombinant plasmid and PC were overexpressed in C33A cells. The graph represents the fold change of HPV 16 E7 expression at the mRNA level. **P<0.01. Neg, distilled water negative control; PC, empty plasmid; HPV 16, human papillomavirus type 16.

Furthermore, alterations to gene promoter methylation and expression were assessed in HPV 16 E7 transfected C33A cells. At 72 h post-transfection, the band intensities of CGB3 and NOP56 were compared between E7- and PC-transfected cells. To measure gene expression and methylation, reverse transcription-PCR and MS-PCR were performed, respectively. The gene expression levels of CGB3 were significantly reduced (P=0.02) in HPV 16 E7 transfected cells (band intensity, 37.2%) compared with that in the PC transfected cells (band intensity, 62.7%) (Fig. 6A). The bar graph shows the mean ± standard error of CGB3 expression (Fig. 6B). NOP56 expression level in HPV 16 E7 transfected C33A cells was significantly decreased (P<0.0001) compared with that in the PC transfected cells (Fig. 7). GAPDH was used as an internal control. The expression of NOP56 was measured by qPCR.

Figure 6

Downregulation of CGB3 expression following HPV 16 E7 transfection (A) Expression of CGB3 following HPV 16 E7 transfection in C33A cells. (B) Data are presented as the mean ± the standard error of the mean of three repeats. *P<0.05. Neg, distilled water negative control; PC, empty plasmid; CGB3, chorionic gonadotropin subunit 3; HPV 16, human papillomavirus type 16.

Figure 7

Expression of NOP56 at mRNA level in E7 recombinant plasmid and PC transfected in C33A cells. Data are presented as the mean ± the standard error of the mean of three repeats. ***P<0.001. PC, empty plasmid; HPV 16, human papillomavirus type 16; NOP56, nucleolar protein 56.

Promoter methylation of both genes was significantly increased in HPV 16 E7 overexpressing C33A cells compared with that in the PC transfected cells. In HPV 16 E7 transfected C33A cells, the band intensities of CGB3 and NOP56 (Primer I) were 54.21 and 55.01%, respectively, which were significantly higher than those in the PC transfected cells (39.36 and 41.54%; P=0.005 and P=0.0004, respectively). The methylation positive control displayed band intensities of 6.43 and 3.45%, respectively (Fig. 8A and C). The bar graph shows the mean ± standard error of the mean of both CGB3 and NOP56 expression (Fig. 8B and D), respectively. The unmethylated forms of CGB3 and NOP56 (Primer I) in HPV 16 E7 transfected cells gradually decreased (data not shown).

Figure 8

Methylation status of CGB3 and NOP56 genes in C33A cells transfected with HPV 16 E7 or PC. Methylation of (A and B) CGB3 and (C and D) NOP56 (Primer I). Data are presented as the mean ± the standard error of the mean. **P<0.01, ***P<0.001. HPV 16, human papillomavirus type 16; CCNA1, cyclin-A1; CGB3, chorionic gonadotropin subunit 3; NOP56, nucleolar protein 56; PC, empty plasmid; M+, methylated positive control; UM+, unmethylated negative control.

Effect of 5-aza on gene promoter methylation and gene expression of CGB3 and NOP56

An association between promoter methylation and gene expression was confirmed by measuring mRNA expression levels in SiHa and C33A cells following 5-aza treatment. The C33A and SiHa cancer cells were treated continuously for 5 days with 5-aza at concentrations of 0, 3, 5 and 7 or 0, 20, 30 and 40 µM, respectively. Subsequently, DNA and RNA were extracted to measure promoter methylation and expression levels of each gene in cells following treatment with different concentrations of 5-aza.

The CGB3 and NOP56 (Primer II) promoter methylation results demonstrated that the methylation status of both gene promoters in C33A and SiHa cells were significantly decreased following treatment with different concentrations of 5-aza. The band densities of CGB3 and NOP56 methylation in C33A cells gradually decreased as the 5-aza concentration increased (0-7 µM; Fig. 9A and C), whereas the unmethylated forms of both genes in C33A cells increased with increasing 5-aza concentrations (data not shown). In parallel, the band densities of CGB3 and NOP56 methylation (Primer II) in SiHa cells decreased with increasing 5-aza concentrations (0-40 µM; Fig. 9B and D). The decrease in the methylation status of both CGB3 and NOP56 following treatment with different concentrations of 5-aza in C33A (P<0.0001 and P=0.0002; Fig. 10A and C) and SiHa (P<0.0001 and P=0.0002; Fig. 10B and D) cells was significant.

Figure 9

Treatment of C33A and SiHa cells with 0, 3, 5 and 7 µM or 0, 20, 30 and 40 µM 5-Azacytidine, respectively. Methylation status of (A) CGB3 in C33A cells, (B) CGB3 in SiHa cells, (C) NOP56 in C33A cells and (D) NOP56 in SiHa cells. Neg, distilled water negative control; CCNA1, cyclin-A1; CGB3, chorionic gonadotropin subunit 3; NOP56, nucleolar protein 56.

Figure 10

Changes in promoter methylation following after 5-azacytidine treatment. (A) CGB3 methylation in C33A cells, (B) CGB3 methylation in SiHa cells, (C) NOP56 methylation in C33A cells and (D) NOP56 methylation in SiHa cells. Data are presented as the mean ± the standard error of the mean. ***P<0.001. CCNA1, cyclin-A1; CGB3, chorionic gonadotropin subunit 3; NOP56, nucleolar protein 56.

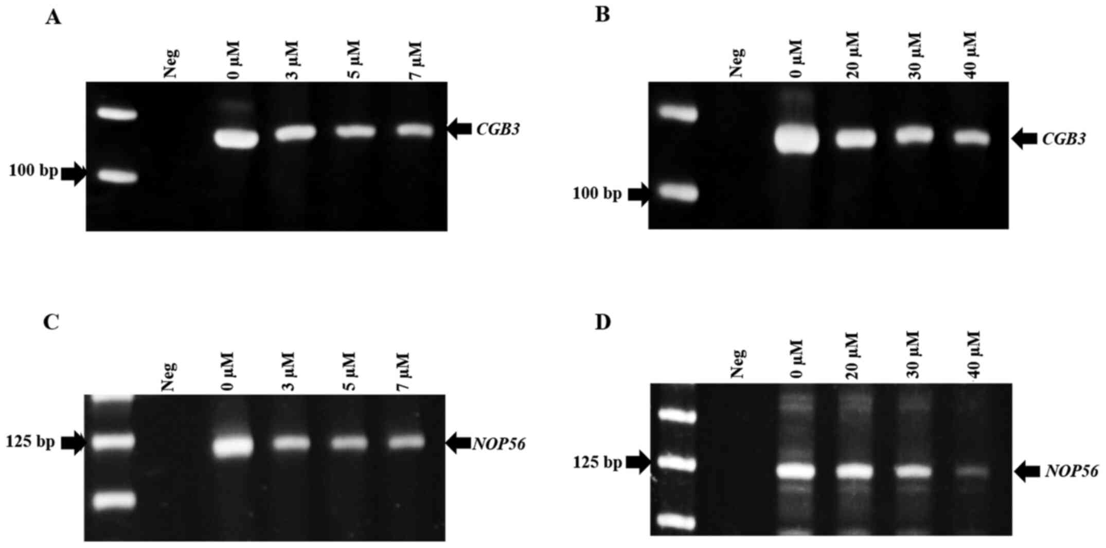
Gene expression was shown by using reverse transcription-PCR and qPCR. The band densities of CGB3 and NOP56 expression in C33A cells gradually increased with increasing 5-aza concentrations (0-7 µM; Fig. 11A and C). The expression of CGB3 and NOP56, as determined using qPCR, in C33A cells also significantly increased with all concentrations of 5-aza treatment (both P<0.0001; Fig. 11B and D). Similarly, the band densities of CGB3 and NOP56 observed in SiHa by RT-PCR gradually increased with increasing 5-aza concentration (0-40 µM; Fig. 12A and C). Expression of CGB3 and NOP56 measured by qPCR in SiHa cells were significantly higher when treated with 40 µM 5-aza (both P<0.0001; Fig. 12B and D).

Figure 11

Changes in expression following treatment with 0, 3, 5 and 7 µM 5-Azacytidine in C33A cells. (A) Agarose gel and (B) qPCR analysis of expression levels of CGB3 in C33A cells. (C) Agarose gel and (D) qPCR analysis of expression levels of NOP56 in C33A cells. Graphs represent mean ± SE between 0 µM to 40 µM, ***P<0.001. CGB3, chorionic gonadotropin subunit 3; NOP56, nucleolar protein 56; Neg, distilled water negative control; qPCR, quantitative PCR.

Figure 12

Changes in expression following treatment with 0, 20, 30 and 40 µM 5-Azacytidine in SiHa cells. (A) Agarose gel and (B) qPCR analysis of expression levels of CGB3 in SiHa cells. (C) Agarose gel and (D) qPCR analysis of expression levels of NOP56 in SiHa cells. Graphs represent mean ± SE between 0 µM to 40 µM, ***P<0.001. CGB3, chorionic gonadotropin subunit 3; NOP56, nucleolar protein 56; Neg, distilled water negative control; qPCR, quantitative PCR.

Discussion

HPV is the primary cause of cervical cancer. There are several studies showing that HPV 16 E7 is involved in promoter methylation (22,24-25). Chalertpet et al (24) showed that HPV 16 E7 can interact with DNMT1 on the CCNA1 promoter leading to its methylation. Moreover, a study by Yanatatsaneejit et al (25) showed that HPV 16 E7 could induce CADM1 promoter methylation through the same mechanism as CCNA1. In contrast, DAPK1 promoter methylation could no be induced by HPV 16 E7(25). Therefore, it was hypothesized that there would be genes other than CCNA1 and CADM1 whose promoters are methylated by HPV 16 E7, and that there would be specific transcription factors binding with HPV 16 E7 on the gene promoter. A study by Na Rangsee et al,used STRING database protein network analysis, showed that E7 possibly forms a complex with the set of transcription factors containing a YY1 domain (26). In the present study, the binding site of HPV 16 E7 on the CCNA1 promoter was analyzed to identify the putative transcription factors. According to bioinformatics analysis, a list of genes was analyzed based on the presence of the promoter sequence found in the CCNA1 gene where HPV 16 E7 binds. Interestingly the genes CGB3 and NOP56 showed positive results. Thus, in addition to CCNA1 (24) and CADM1 (25), several other tumor suppressor genes may be affected by HPV 16 E7 through the same mechanism as that observed with CCNA1 and CADM1. To assess this, CGB3 and NOP56 methylation and expression were observed in two cervical cancer cell lines, HPV 16-positive SiHa and HPV-negative C33A cells. Both CGB3 and NOP56 expression in SiHa cells had lower band intensities compared with the C33A cells, suggesting that the presence of HPV in SiHa may induce promoter methylation and decrease the expression of the genes. Moreover, the expression of CGB3 and NOP56 in cells transfected with HPV 16 E7 and PC plasmids to assess the effect of HPV 16 E7 on the expression of these genes. Both genes exhibited lower expression in HPV 16 E7 transfected cells compared with the PC transfected cells, which demonstrated that HPV16 E7 induced promoter methylation of CGB3 and NOP56, resulting in the downregulation of these genes. Thus, the expression changes in CGB3 and NOP56 following methylation inhibition using the demethylating agent 5-aza was next assessed.

5-aza interferes with DNA methylation and can be used to reactivate silenced genes in cancer (31-34). Examples of genes reactivated following 5-aza treatment include CD44, GSTP-1, BRCA1, MDR1, MUC2 and GPC3, which possess hypermethylated promoter CpG islands in tumors (31). Wong et al (48) showed that methylation-mediated silencing of gene expression can be reversed by treatment with the demethylating agent 5-aza. Reactivation of methylation-silenced genes indicates that the gene is functional, and that DNA methylation regulates its transcription (39,40). With regard to the present study, it was necessary to treat SiHa cells with higher concentrations of 5-aza compared with the C33A cells, as SiHa is a HPV positive cancer cell line, meaning that promoter methylation was more prominent in them. Therefore, the lower concentration of 5-aza may not overcome HPV-induced methylation in SiHa cells. Following treatment with 5-aza at higher concentrations of 20, 30 and 40 µM in SiHa cells, and at lower concentrations of 3, 5, and 7 µM in C33A cells for 5 days, it was found that the methylation levels of CGB3 and NOP56 were decreased leading to increased expression of both genes. At 40 µM, the re-expression of CGB3 and NOP56 genes was observed.

In conclusion, the results of the present study suggest that patients with cervical cancer with HPV infection should be treated with a higher concentration of 5-aza than patients without HPV infection (42,49). Taken together, the findings of the present study showed that 5-aza may serve as an alternative strategy of drug therapy for patients with cervical cancer with aberrant gene promoter methylation. Although the present study demonstrated that HPV16 E7 decreased the expression of CGB3 and NOP56, and that 5-aza treatment increased the expression of these genes, it cannot be concluded that these genes are tumor suppressor genes in cervical cancer. Further study of the function and effects of these genes in cervical cancer is thus required.

Acknowledgements

We are grateful to Professor Apiwat Mutirangura, Center of Excellence in Molecular Genetics of Cancer and Human Diseases, Chulalongkorn University for providing the laboratory equipment and valuable suggestions.

Funding

The present study was financially supported by the Thailand Research Fund and Chulalongkorn University (grant no. RSA5880065), The National Science and Technology Development Agency, Thailand (grant no. P-15-50270) and the Second Century Fund (C2F), Chulalongkorn University.

Availability of data and materials

The datasets used and/or analyzed during the present study are available from the corresponding author on reasonable request.

Authors' contributions

PSi performed the experiments, analyzed the data and wrote the manuscript. KC, JS and NW performed the experiments and analyzed the data. PSu performed the experiments. PY wrote the proposal for grants, designed the experiments, analyzed the data and wrote the manuscript. All authors read and approved the final manuscript. PSi and KC confirm the authenticity of all the raw data.

Ethics approval and consent to participate

Not applicable.

Patient consent for publication

Not applicable.

Competing interests

The authors declare that they have no competing interests.

References

1 

Ferlay J, Ervik M, Lam F, Colombet M, Mery L, Pineros M, Znaor A, Soerjomataram I and Bray F: Global Cancer Observatory: Cancer Today. International Agency for Research on Cancer, Lyon, 2018.

2 

Bosch FX, Burchell AN, Schiffman M, Giuliano AR, de Sanjose S, Bruni L, Tortolero-Luna G, Kjaer SK and Muñoz N: Epidemiology and natural history of human papillomavirus infections and type-specific implications in cervical neoplasia. Vaccine. 26 (Suppl 10):K1–K16. 2008.PubMed/NCBI View Article : Google Scholar

3 

zur Hausen H: Papillomaviruses in the causation of human cancers - a brief historical account. Virology. 384:260–265. 2009.PubMed/NCBI View Article : Google Scholar

4 

Clifford GM, Smith JS, Plummer M, Muñoz N and Franceschi S: Human papillomavirus types in invasive cervical cancer worldwide: A meta-analysis. Br J Cancer. 88:63–73. 2003.PubMed/NCBI View Article : Google Scholar

5 

Burd EM: Human papillomavirus and cervical cancer. Clin Microbiol Rev. 16:1–17. 2003.PubMed/NCBI View Article : Google Scholar

6 

Egawa N and Doorbar J: The low-risk papillomaviruses. Virus Res. 231:119–127. 2017.PubMed/NCBI View Article : Google Scholar

7 

Muñoz N, Bosch FX, de Sanjosé S, Herrero R, Castellsagué X, Shah KV, Snijders PJ and Meijer CJ: International Agency for Research on Cancer Multicenter Cervical Cancer Study Group. Epidemiologic classification of human papillomavirus types associated with cervical cancer. N Engl J Med. 348:518–527. 2003.PubMed/NCBI View Article : Google Scholar

8 

Tulay P and Serakinci N: The role of human papillomaviruses in cancer progression. J Cancer Metastasis Treat. 2:201–213. 2016.

9 

zur Hausen H and de Villiers EM: Human papillomaviruses. Annu Rev Microbiol. 48:427–447. 1994.

10 

Havre PA, Yuan J, Hedrick L, Cho KR and Glazer PM: p53 inactivation by HPV16 E6 results in increased mutagenesis in human cells. Cancer Res. 55:4420–4424. 1995.PubMed/NCBI

11 

Pim D, Massimi P and Banks L: Alternatively spliced HPV-18 E6* protein inhibits E6 mediated degradation of p53 and suppresses transformed cell growth. Oncogene. 15:257–264. 1997.PubMed/NCBI View Article : Google Scholar

12 

Caldeira S, Dong W and Tommasino M: Analysis of E7/Rb associations. Methods Mol Med. 119:363–379. 2005.PubMed/NCBI View Article : Google Scholar

13 

Wu EW, Clemens KE, Heck DV and Münger K: The human papillomavirus E7 oncoprotein and the cellular transcription factor E2F bind to separate sites on the retinoblastoma tumor suppressor protein. J Virol. 67:2402–2407. 1993.PubMed/NCBI View Article : Google Scholar

14 

Collins AS, Nakahara T, Do A and Lambert PF: Interactions with pocket proteins contribute to the role of human papillomavirus type 16 E7 in the papillomavirus life cycle. J Virol. 79:14769–14780. 2005.PubMed/NCBI View Article : Google Scholar

15 

Slebos RJ, Lee MH, Plunkett BS, Kessis TD, Williams BO, Jacks T, Hedrick L, Kastan MB and Cho KR: p53-dependent G1 arrest involves pRB-related proteins and is disrupted by the human papillomavirus 16 E7 oncoprotein. Proc Natl Acad Sci USA. 91:5320–5324. 1994.PubMed/NCBI View Article : Google Scholar

16 

Scheffner M, Werness BA, Huibregtse JM, Levine AJ and Howley PM: The E6 oncoprotein encoded by human papillomavirus types 16 and 18 promotes the degradation of p53. Cell. 63:1129–1136. 1990.PubMed/NCBI View Article : Google Scholar

17 

Villa LL: Human papillomaviruses and cervical cancer. Adv Cancer Res. 71:321–341. 1997.PubMed/NCBI View Article : Google Scholar

18 

Schwarz E, Freese UK, Gissmann L, Mayer W, Roggenbuck B, Stremlau A and zur Hausen H: Structure and transcription of human papillomavirus sequences in cervical carcinoma cells. Nature. 314:111–114. 1985.PubMed/NCBI View Article : Google Scholar

19 

Au Yeung CL, Tsang WP, Tsang TY, Co NN, Yau PL and Kwok TT: HPV-16 E6 upregulation of DNMT1 through repression of tumor suppressor p53. Oncol Rep. 24:1599–1604. 2010.PubMed/NCBI View Article : Google Scholar

20 

Burgers WA, Blanchon L, Pradhan S, de Launoit Y, Kouzarides T and Fuks F: Viral oncoproteins target the DNA methyltransferases. Oncogene. 26:1650–1655. 2007.PubMed/NCBI View Article : Google Scholar

21 

Sen P, Ganguly P and Ganguly N: Modulation of DNA methylation by human papillomavirus E6 and E7 oncoproteins in cervical cancer. Oncol Lett. 15:11–22. 2018.PubMed/NCBI View Article : Google Scholar

22 

Li L, Xu C, Long J, Shen D, Zhou W, Zhou Q, Yang J and Jiang M: E6 and E7 gene silencing results in decreased methylation of tumor suppressor genes and induces phenotype transformation of human cervical carcinoma cell lines. Oncotarget. 6:23930–23943. 2015.PubMed/NCBI View Article : Google Scholar

23 

Kulis M and Esteller M: DNA methylation and cancer. Adv Genet. 70:27–56. 2010.PubMed/NCBI View Article : Google Scholar

24 

Chalertpet K, Pakdeechaidan W, Patel V, Mutirangura A and Yanatatsaneejit P: Human papillomavirus type 16 E7 oncoprotein mediates CCNA1 promoter methylation. Cancer Sci. 106:1333–1340. 2015.PubMed/NCBI View Article : Google Scholar

25 

Yanatatsaneejit P, Chalertpet K, Sukbhattee J, Nuchcharoen I, Phumcharoen P and Mutirangura A: Promoter methylation of tumor suppressor genes induced by human papillomavirus in cervical cancer. Oncol Lett. 20:955–961. 2020.PubMed/NCBI View Article : Google Scholar

26 

Na Rangsee N, Yanatatsaneejit P, Pisitkun T, Somparn P, Jintaridth P and Topanurak S: Host proteome linked to HPV E7-mediated specific gene hypermethylation in cancer pathways. Infect Agent Cancer. 15(7)2020.PubMed/NCBI View Article : Google Scholar

27 

Śliwa A, Kubiczak M, Szczerba A, Walkowiak G, Nowak-Markwitz E, Burczyńska B, Butler S, Iles R, Białas P and Jankowska A: Regulation of human chorionic gonadotropin beta subunit expression in ovarian cancer. BMC Cancer. 19(746)2019.PubMed/NCBI View Article : Google Scholar

28 

Bellet D, Lazar V, Bièche I, Paradis V, Giovangrandi Y, Paterlini P, Lidereau R, Bedossa P, Bidart JM and Vidaud M: Malignant transformation of nontrophoblastic cells is associated with the expression of chorionic gonadotropin beta genes normally transcribed in trophoblastic cells. Cancer Res. 57:516–523. 1997.PubMed/NCBI

29 

Sohr S and Engeland K: The tumor suppressor p53 induces expression of the pregnancy-supporting human chorionic gonadotropin (hCG) CGB7 gene. Cell Cycle. 10:3758–3767. 2011.PubMed/NCBI View Article : Google Scholar

30 

Gong J, Li Y, Liu CJ, Xiang Y, Li C, Ye Y, Zhang Z, Hawke DH, Park PK, Diao L, et al: A Pan-cancer analysis of the expression and clinical relevance of small nucleolar RNAs in human cancer. Cell Rep. 21:1968–1981. 2017.PubMed/NCBI View Article : Google Scholar

31 

Christman JK: 5-Azacytidine and 5-aza-2'-deoxycytidine as inhibitors of DNA methylation: Mechanistic studies and their implications for cancer therapy. Oncogene. 21:5483–5495. 2002.PubMed/NCBI View Article : Google Scholar

32 

Stresemann C and Lyko F: Modes of action of the DNA methyltransferase inhibitors azacytidine and decitabine. Int J Cancer. 123:8–13. 2008.PubMed/NCBI View Article : Google Scholar

33 

Glover AB and Leyland-Jones B: Biochemistry of azacitidine: A review. Cancer Treat Rep. 71:959–964. 1987.PubMed/NCBI

34 

Miranda TB and Jones PA: DNA methylation: The nuts and bolts of repression. J Cell Physiol. 213:384–390. 2007.PubMed/NCBI View Article : Google Scholar

35 

Müller A and Florek M: 5-Azacytidine/Azacitidine. Recent Results Cancer Res. 184:159–170. 2010.PubMed/NCBI View Article : Google Scholar

36 

Lande-Diner L, Zhang J, Ben-Porath I, Amariglio N, Keshet I, Hecht M, Azuara V, Fisher AG, Rechavi G and Cedar H: Role of DNA methylation in stable gene repression. J Biol Chem. 282:12194–12200. 2007.PubMed/NCBI View Article : Google Scholar

37 

Cheng JC, Matsen CB, Gonzales FA, Ye W, Greer S, Marquez VE, Jones PA and Selker EU: Inhibition of DNA methylation and reactivation of silenced genes by zebularine. J Natl Cancer Inst. 95:399–409. 2003.PubMed/NCBI View Article : Google Scholar

38 

Ferguson AT, Lapidus RG, Baylin SB and Davidson NE: Demethylation of the estrogen receptor gene in estrogen receptor-negative breast cancer cells can reactivate estrogen receptor gene expression. Cancer Res. 55:2279–2283. 1995.PubMed/NCBI

39 

Karpf AR and Jones DA: Reactivating the expression of methylation silenced genes in human cancer. Oncogene. 21:5496–5503. 2002.PubMed/NCBI View Article : Google Scholar

40 

Baylin SB: DNA methylation and gene silencing in cancer. Nat Clin Pract Oncol. 2 (Suppl 1):S4–S11. 2005.PubMed/NCBI View Article : Google Scholar

41 

Sova P, Feng Q, Geiss G, Wood T, Strauss R, Rudolf V, Lieber A and Kiviat N: Discovery of novel methylation biomarkers in cervical carcinoma by global demethylation and microarray analysis. Cancer Epidemiol Biomarkers Prev. 15:114–123. 2006.PubMed/NCBI View Article : Google Scholar

42 

Biktasova A, Hajek M, Sewell A, Gary C, Bellinger G, Deshpande HA, Bhatia A, Burtness B, Judson B, Mehra S, et al: Demethylation therapy as a targeted treatment for human papillomavirus-associated head and neck cancer. Clin Cancer Res. 23:7276–7287. 2017.PubMed/NCBI View Article : Google Scholar

43 

Messeguer X, Escudero R, Farré D, Núñez O, Martínez J and Albà MM: PROMO: Detection of known transcription regulatory elements using species-tailored searches. Bioinformatics. 18:333–334. 2002.PubMed/NCBI View Article : Google Scholar

44 

Farré D, Roset R, Huerta M, Adsuara JE, Roselló L, Albà MM and Messeguer X: Identification of patterns in biological sequences at the ALGGEN server: PROMO and MALGEN. Nucleic Acids Res. 31:3651–3653. 2003.PubMed/NCBI View Article : Google Scholar

45 

Fornes O, Castro-Mondragon JA, Khan A, van der Lee R, Zhang X, Richmond PA, Modi BP, Correard S, Gheorghe M, Baranašić D, et al: JASPAR 2020: Update of the open-access database of transcription factor binding profiles. Nucleic Acids Res. 48:D87–D92. 2020.PubMed/NCBI View Article : Google Scholar

46 

Maniatis T, Fritsch EF and Sambrook J: Isolation of DNA from mammalian cells. In: Molecular Cloning. A Laboratory Manual. Nolan C (ed). Cold Spring Harbor, New York, NY, 9.16-9.23, 1982.

47 

Livak KJ and Schmittgen TD: Analysis of relative gene expression data using real-time quantitative PCR and the 2(-Delta Delta C(T)) method. Methods. 25:402–408. 2001.PubMed/NCBI View Article : Google Scholar

48 

Wong J, Sia YY, Misso NL, Aggarwal S, Ng A and Bhoola KD: Effects of the demethylating agent, 5-azacytidine, on expression of the kallikrein-kinin genes in carcinoma cells of the lung and pleura. Patholog Res Int. 2011(167046)2011.PubMed/NCBI View Article : Google Scholar

49 

Abdulhaq H and Rossetti JM: The role of azacitidine in the treatment of myelodysplastic syndromes. Expert Opin Investig Drugs. 16:1967–1975. 2007.PubMed/NCBI View Article : Google Scholar

Related Articles

  • Abstract
  • View
  • Download
  • Twitter
Copy and paste a formatted citation
Spandidos Publications style
Singh P, Chalertpet K, Sukbhattee J, Wongmanee N, Suwannakart P and Yanatatsaneejit P: Association between promoter methylation and gene expression of <em>CGB3</em> and <em>NOP56</em> in HPV‑infected cervical cancer cells. Biomed Rep 16: 1, 2022.
APA
Singh, P., Chalertpet, K., Sukbhattee, J., Wongmanee, N., Suwannakart, P., & Yanatatsaneejit, P. (2022). Association between promoter methylation and gene expression of <em>CGB3</em> and <em>NOP56</em> in HPV‑infected cervical cancer cells. Biomedical Reports, 16, 1. https://doi.org/10.3892/br.2021.1484
MLA
Singh, P., Chalertpet, K., Sukbhattee, J., Wongmanee, N., Suwannakart, P., Yanatatsaneejit, P."Association between promoter methylation and gene expression of <em>CGB3</em> and <em>NOP56</em> in HPV‑infected cervical cancer cells". Biomedical Reports 16.1 (2022): 1.
Chicago
Singh, P., Chalertpet, K., Sukbhattee, J., Wongmanee, N., Suwannakart, P., Yanatatsaneejit, P."Association between promoter methylation and gene expression of <em>CGB3</em> and <em>NOP56</em> in HPV‑infected cervical cancer cells". Biomedical Reports 16, no. 1 (2022): 1. https://doi.org/10.3892/br.2021.1484
Copy and paste a formatted citation
x
Spandidos Publications style
Singh P, Chalertpet K, Sukbhattee J, Wongmanee N, Suwannakart P and Yanatatsaneejit P: Association between promoter methylation and gene expression of <em>CGB3</em> and <em>NOP56</em> in HPV‑infected cervical cancer cells. Biomed Rep 16: 1, 2022.
APA
Singh, P., Chalertpet, K., Sukbhattee, J., Wongmanee, N., Suwannakart, P., & Yanatatsaneejit, P. (2022). Association between promoter methylation and gene expression of <em>CGB3</em> and <em>NOP56</em> in HPV‑infected cervical cancer cells. Biomedical Reports, 16, 1. https://doi.org/10.3892/br.2021.1484
MLA
Singh, P., Chalertpet, K., Sukbhattee, J., Wongmanee, N., Suwannakart, P., Yanatatsaneejit, P."Association between promoter methylation and gene expression of <em>CGB3</em> and <em>NOP56</em> in HPV‑infected cervical cancer cells". Biomedical Reports 16.1 (2022): 1.
Chicago
Singh, P., Chalertpet, K., Sukbhattee, J., Wongmanee, N., Suwannakart, P., Yanatatsaneejit, P."Association between promoter methylation and gene expression of <em>CGB3</em> and <em>NOP56</em> in HPV‑infected cervical cancer cells". Biomedical Reports 16, no. 1 (2022): 1. https://doi.org/10.3892/br.2021.1484
Follow us
  • Twitter
  • LinkedIn
  • Facebook
About
  • Spandidos Publications
  • Careers
  • Cookie Policy
  • Privacy Policy
How can we help?
  • Help
  • Live Chat
  • Contact
  • Email to our Support Team