Spandidos Publications Logo
  • About
    • About Spandidos
    • Aims and Scopes
    • Abstracting and Indexing
    • Editorial Policies
    • Reprints and Permissions
    • Job Opportunities
    • Terms and Conditions
    • Contact
  • Journals
    • All Journals
    • Oncology Letters
      • Oncology Letters
      • Information for Authors
      • Editorial Policies
      • Editorial Board
      • Aims and Scope
      • Abstracting and Indexing
      • Bibliographic Information
      • Archive
    • International Journal of Oncology
      • International Journal of Oncology
      • Information for Authors
      • Editorial Policies
      • Editorial Board
      • Aims and Scope
      • Abstracting and Indexing
      • Bibliographic Information
      • Archive
    • Molecular and Clinical Oncology
      • Molecular and Clinical Oncology
      • Information for Authors
      • Editorial Policies
      • Editorial Board
      • Aims and Scope
      • Abstracting and Indexing
      • Bibliographic Information
      • Archive
    • Experimental and Therapeutic Medicine
      • Experimental and Therapeutic Medicine
      • Information for Authors
      • Editorial Policies
      • Editorial Board
      • Aims and Scope
      • Abstracting and Indexing
      • Bibliographic Information
      • Archive
    • International Journal of Molecular Medicine
      • International Journal of Molecular Medicine
      • Information for Authors
      • Editorial Policies
      • Editorial Board
      • Aims and Scope
      • Abstracting and Indexing
      • Bibliographic Information
      • Archive
    • Biomedical Reports
      • Biomedical Reports
      • Information for Authors
      • Editorial Policies
      • Editorial Board
      • Aims and Scope
      • Abstracting and Indexing
      • Bibliographic Information
      • Archive
    • Oncology Reports
      • Oncology Reports
      • Information for Authors
      • Editorial Policies
      • Editorial Board
      • Aims and Scope
      • Abstracting and Indexing
      • Bibliographic Information
      • Archive
    • Molecular Medicine Reports
      • Molecular Medicine Reports
      • Information for Authors
      • Editorial Policies
      • Editorial Board
      • Aims and Scope
      • Abstracting and Indexing
      • Bibliographic Information
      • Archive
    • World Academy of Sciences Journal
      • World Academy of Sciences Journal
      • Information for Authors
      • Editorial Policies
      • Editorial Board
      • Aims and Scope
      • Abstracting and Indexing
      • Bibliographic Information
      • Archive
    • International Journal of Functional Nutrition
      • International Journal of Functional Nutrition
      • Information for Authors
      • Editorial Policies
      • Editorial Board
      • Aims and Scope
      • Abstracting and Indexing
      • Bibliographic Information
      • Archive
    • International Journal of Epigenetics
      • International Journal of Epigenetics
      • Information for Authors
      • Editorial Policies
      • Editorial Board
      • Aims and Scope
      • Abstracting and Indexing
      • Bibliographic Information
      • Archive
    • Medicine International
      • Medicine International
      • Information for Authors
      • Editorial Policies
      • Editorial Board
      • Aims and Scope
      • Abstracting and Indexing
      • Bibliographic Information
      • Archive
  • Articles
  • Information
    • Information for Authors
    • Information for Reviewers
    • Information for Librarians
    • Information for Advertisers
    • Conferences
  • Language Editing
Spandidos Publications Logo
  • About
    • About Spandidos
    • Aims and Scopes
    • Abstracting and Indexing
    • Editorial Policies
    • Reprints and Permissions
    • Job Opportunities
    • Terms and Conditions
    • Contact
  • Journals
    • All Journals
    • Biomedical Reports
      • Information for Authors
      • Editorial Policies
      • Editorial Board
      • Aims and Scope
      • Abstracting and Indexing
      • Bibliographic Information
      • Archive
    • Experimental and Therapeutic Medicine
      • Information for Authors
      • Editorial Policies
      • Editorial Board
      • Aims and Scope
      • Abstracting and Indexing
      • Bibliographic Information
      • Archive
    • International Journal of Epigenetics
      • Information for Authors
      • Editorial Policies
      • Editorial Board
      • Aims and Scope
      • Abstracting and Indexing
      • Bibliographic Information
      • Archive
    • International Journal of Functional Nutrition
      • Information for Authors
      • Editorial Policies
      • Editorial Board
      • Aims and Scope
      • Abstracting and Indexing
      • Bibliographic Information
      • Archive
    • International Journal of Molecular Medicine
      • Information for Authors
      • Editorial Policies
      • Editorial Board
      • Aims and Scope
      • Abstracting and Indexing
      • Bibliographic Information
      • Archive
    • International Journal of Oncology
      • Information for Authors
      • Editorial Policies
      • Editorial Board
      • Aims and Scope
      • Abstracting and Indexing
      • Bibliographic Information
      • Archive
    • Medicine International
      • Information for Authors
      • Editorial Policies
      • Editorial Board
      • Aims and Scope
      • Abstracting and Indexing
      • Bibliographic Information
      • Archive
    • Molecular and Clinical Oncology
      • Information for Authors
      • Editorial Policies
      • Editorial Board
      • Aims and Scope
      • Abstracting and Indexing
      • Bibliographic Information
      • Archive
    • Molecular Medicine Reports
      • Information for Authors
      • Editorial Policies
      • Editorial Board
      • Aims and Scope
      • Abstracting and Indexing
      • Bibliographic Information
      • Archive
    • Oncology Letters
      • Information for Authors
      • Editorial Policies
      • Editorial Board
      • Aims and Scope
      • Abstracting and Indexing
      • Bibliographic Information
      • Archive
    • Oncology Reports
      • Information for Authors
      • Editorial Policies
      • Editorial Board
      • Aims and Scope
      • Abstracting and Indexing
      • Bibliographic Information
      • Archive
    • World Academy of Sciences Journal
      • Information for Authors
      • Editorial Policies
      • Editorial Board
      • Aims and Scope
      • Abstracting and Indexing
      • Bibliographic Information
      • Archive
  • Articles
  • Information
    • For Authors
    • For Reviewers
    • For Librarians
    • For Advertisers
    • Conferences
  • Language Editing
Login Register Submit
  • This site uses cookies
  • You can change your cookie settings at any time by following the instructions in our Cookie Policy. To find out more, you may read our Privacy Policy.

    I agree
Search articles by DOI, keyword, author or affiliation
Search
Advanced Search
presentation
Biomedical Reports
Join Editorial Board Propose a Special Issue
Print ISSN: 2049-9434 Online ISSN: 2049-9442
Journal Cover
April-2022 Volume 16 Issue 4

Full Size Image

Sign up for eToc alerts
Recommend to Library

Journals

International Journal of Molecular Medicine

International Journal of Molecular Medicine

International Journal of Molecular Medicine is an international journal devoted to molecular mechanisms of human disease.

International Journal of Oncology

International Journal of Oncology

International Journal of Oncology is an international journal devoted to oncology research and cancer treatment.

Molecular Medicine Reports

Molecular Medicine Reports

Covers molecular medicine topics such as pharmacology, pathology, genetics, neuroscience, infectious diseases, molecular cardiology, and molecular surgery.

Oncology Reports

Oncology Reports

Oncology Reports is an international journal devoted to fundamental and applied research in Oncology.

Experimental and Therapeutic Medicine

Experimental and Therapeutic Medicine

Experimental and Therapeutic Medicine is an international journal devoted to laboratory and clinical medicine.

Oncology Letters

Oncology Letters

Oncology Letters is an international journal devoted to Experimental and Clinical Oncology.

Biomedical Reports

Biomedical Reports

Explores a wide range of biological and medical fields, including pharmacology, genetics, microbiology, neuroscience, and molecular cardiology.

Molecular and Clinical Oncology

Molecular and Clinical Oncology

International journal addressing all aspects of oncology research, from tumorigenesis and oncogenes to chemotherapy and metastasis.

World Academy of Sciences Journal

World Academy of Sciences Journal

Multidisciplinary open-access journal spanning biochemistry, genetics, neuroscience, environmental health, and synthetic biology.

International Journal of Functional Nutrition

International Journal of Functional Nutrition

Open-access journal combining biochemistry, pharmacology, immunology, and genetics to advance health through functional nutrition.

International Journal of Epigenetics

International Journal of Epigenetics

Publishes open-access research on using epigenetics to advance understanding and treatment of human disease.

Medicine International

Medicine International

An International Open Access Journal Devoted to General Medicine.

Journal Cover
April-2022 Volume 16 Issue 4

Full Size Image

Sign up for eToc alerts
Recommend to Library

  • Article
  • Citations
    • Cite This Article
    • Download Citation
    • Create Citation Alert
    • Remove Citation Alert
    • Cited By
  • Similar Articles
    • Related Articles (in Spandidos Publications)
    • Similar Articles (Google Scholar)
    • Similar Articles (PubMed)
  • Download PDF
  • Download XML
  • View XML
Article Open Access

Lotus essential oil improves neurite elongation and facilitates functional recovery after peripheral nerve injury

  • Authors:
    • Napatr Sriraksa
    • Ratchaniporn Kongsui
    • Sitthisak Thongrong
  • View Affiliations / Copyright

    Affiliations: Division of Physiology, School of Medical Sciences, University of Phayao, Amphur Muang, Phayao 56000, Thailand, The Unit of Excellence in Translational Neurosciences Initiative, University of Phayao, Amphur Muang, Phayao 56000, Thailand
    Copyright: © Sriraksa et al. This is an open access article distributed under the terms of Creative Commons Attribution License.
  • Article Number: 30
    |
    Published online on: February 18, 2022
       https://doi.org/10.3892/br.2022.1513
  • Expand metrics +
Metrics: Total Views: 0 (Spandidos Publications: | PMC Statistics: )
Metrics: Total PDF Downloads: 0 (Spandidos Publications: | PMC Statistics: )
Cited By (CrossRef): 0 citations Loading Articles...

This article is mentioned in:



Abstract

Injury to the peripheral nerve may lead to deficits in nerve function. An increase in the levels of free radicals plays a role in inhibition of nerve regeneration following damage. The aim of this study was to investigate the effects of lotus essential oil (LEO) on neurite outgrowth in vitro and nerve regeneration in vivo in a rat model of sciatic nerve crush injury. Gas chromatography‑mass spectrometry analysis showed that the principal constituent of LEO was palmitic acid ethyl ester (25.12%). The radical scavenging activity of LEO was evaluated using the DPPH method, and was determined to be IC50=29.01±2.93 µg/ml. LEO‑treated sensory neurons exhibited increased neurite outgrowth and upregulated levels of phospho‑ERK. Sensory and motor functions were improved in rats treated with 50 and 100 mg/kg LEO, and this was accompanied by an increase in the number of neurons in the dorsal root ganglia, as well as an increase in the nerve axon diameters following nerve injury. Taken together, these results suggests that LEO may serve as a novel pharmacological option for the management of peripheral nerve injury.

Introduction

Peripheral nerve injury (PNI) is a serious chronic disease that can result in motor and sensory function impairments. Furthermore, PNI causes the death of motor neurons in the spinal cord and sensory neurons in dorsal root ganglia (DRG), which can result in reduced motor and sensory recovery (1,2). PNI consequently induces axonal demyelination and degeneration, and this can result in the absence of reinnervation to the target organs leading to more severe morphological changes, such as muscular atrophy (3,4). Therefore, faster long-distance regeneration of nerves is required for improvement of functional recovery. Following PNI, oxidative stress is increased at the site of the injured nerve and this plays a crucial role in exacerbating damage and hindering nerve reformation (5). Free radical molecules, such as reactive oxygen species, destroy numerous molecules in the cell, resulting in mitochondrial dysfunction, lipid peroxidation and eventually cellular apoptosis (6).

Nelumbo nucifera (N. nucifera), also known as lotus or Bualuang in Thai, is an aquatic plant in the family Nelumbonaceae, and it is widely cultivated in Asian countries (7). All the parts of N. nucifera are used in traditional herbal medicines and have been reported to exhibit several beneficial pharmacological effects, including antimicrobial, anticancer and anti-inflammatory activity (8,9). Extracts of N. nucifera seeds can increase superoxide dismutase and catalase levels, which results in increased free radical scavenging activity in rat kidneys and liver (10). A study in a diabetic rat model showed that extracts from lotus leaves could decrease diabetes-induced nephropathy (11). Aporphine alkaloids extracted from N. nucifera flowers were shown to promote neurite outgrowth in PC-12 cells (12). In addition, it has been shown that the major component in lotus flower oil is palmitic acid, which possesses antioxidant activity and can increase the phosphorylation of ERK and can increase cellular proliferation (13,14).

Since oxidative stress is increased following PNI, and free radicals play a role in inhibiting axonal regeneration and increasing cellular apoptosis following nerve injury, the aim of the present study was to investigate the effects of lotus flower oil on neurite outgrowth and nerve regeneration in an in vivo model of PNI.

Materials and methods

Gas chromatography-mass spectrometry analysis of lotus flower oil

Whole lotus flowers were used for extraction using an absolute extraction method from Tropicalife Co., Ltd., according to the manufacturer's protocol. The organic compounds of the lotus essential oil (LEO) were analyzed using GC-MS by Scientific and Technological Instruments Center of Mae Fah Luang University, Thailand. The operating conditions were as follows: The capillary column (HP-5 ms) was used with a flow rate of 1 ml/min. The gas chromatograph oven was set at 40-240˚C. Hexane was used as the solvent. The temperature of the injector and detector were set at 250 and 230˚C, respectively. The mass spectrometer was set to determine a molecular weight range of 20-300 Dalton. The organic compounds were identified by comparing their retention times and mass spectra with the data from the National Institute of Standards and Technology Mass Spectra database (NIST08). The relative quantity of each compound was presented by area %.

Antioxidant activity of LEO using the DPPH method

LEO antioxidant activity was evaluated by assessing the radical scavenging effect of the stable DPPH free radical. According to the method described by Kumaran et al (15), 50 µl LEO at various concentrations (5, 10, 20, 40, 80, 160, 320 and 640 µg/ml) was added to 200 µl 0.1 mM DPPH-ethanol solution in a 96-well plate. After 30 min of incubation in the dark at 25˚C, the absorbance was determined at 520 nm using a Cytation5 microplate reader (BioTek Instruments, Inc.) and the DPPH radical scavenging activity was calculated as the IC50 using the formula: % inhibition = [(Acontrol - Asample)/Acontrol]x100; where Acontrol is the absorbance of DPPH without sample and Asample is the absorbance of DPPH with LEO. The experiment was performed three times for each sample.

DRG cell culture and treatment

The dilution of essential oil in ethanol was performed as described by Shinomiya et al (16) was used. Briefly, LEO was diluted 50% (v/v) in 70% ethanol before treatment. The final concentration of ethanol was 0.01% in RPMI medium. DRG cell culture was performed as described by Hausott et al (17). Briefly, male Wistar rats were sacrificed using CO2 at a volume displacement rate of 30-70% of the chamber per min for 5 min.

Death was confirmed by cardiac arrest, the spinal cord was exposed and ~45 DRGs were collected in cold RPMI medium (Invitrogen; Thermo Fisher Scientific, Inc.). Thereafter, DRGs were incubated in collagenase type I (5,000 U/ml, Invitrogen; Thermo Fisher Scientific, Inc.) for 1 h at 37˚C followed by 0.25% trypsin/EDTA (Invitrogen; Thermo Fisher Scientific, Inc.) for 15 min at 37˚C. DRGs were next washed 3 times in RPMI medium containing 10% horse serum and 5% fetal bovine serum (Sigma-Aldrich; Merck KGaA), and then transferred to culture medium (RPMI supplemented with B27; Invitrogen; Thermo Fisher Scientific, Inc.) and dissociated using fire-polished Pasteur pipettes. The cell suspension was seeded onto plastic dishes coated with poly-D-lysine hydrobromide (100 µg/ml, Sigma-Aldrich; Merck KGaA) at 37˚C overnight and then coated with laminin (5 µg/ml; Sigma-Aldrich ; Merck KGaA) at 37˚C for 4 h. A total of 1 h after seeding the medium was changed and the cells were treated with 0.15, 0.3 or 0.6 µl/ml LEO in RPMI medium supplemented with B27 supplement and an antibiotic-antimycotic (Invitrogen; Thermo Fisher Scientific, Inc.). Cells were incubated in a humidified incubator at 37˚C with 5% CO2 for 24 h. The DRG neuron cultures were performed three times.

Sciatic nerve crush model

Male Wistar rats with an initial weight of 200-220 g (6-8 weeks old) were obtained from Nomura Siam International Co., Ltd. The rats were housed in a temperature (25±2˚C) and humidity (35-60%) controlled room with a 12 h light/dark cycle, and provided ad libitum access to food and water. The rats were randomly divided into a control, sham, sciatic nerve injury (SNI), SNI + 50 mg/kg LEO or SNI + 100 mg/kg LEO group (6 rats/group). To induce SNI, the rats were anesthetized using 50 mg/kg intraperitoneal injection of sodium pentobarbital. The nerve crush procedure was performed on the left hind limb. An incision was made in the middle of the thigh, and the muscles were carefully incised at the intermuscular septum without cutting the muscle fibers to expose the sciatic nerve. The nerve was clamped at 1 cm proximal to the bifurcation using artery forceps (straight 12 cm for 30 sec. The sham rats underwent the same surgery without clamping of the nerve. Thereafter, the skin was sutured with a nylon suture to close the wound without stitching up muscles to avoid muscle damage (18,19). After surgery, all rats were an intraperitoneal injection of 10 mg/kg meloxicam to provide pain relief and reduce inflammation for 3 consecutive days.

Foot withdrawal test

Thermal stimulation was applied to determine recovery of sensory function on days 7, 14, 21 and 28 after surgery (20). Prior to the test, the rats were placed on a non-heated plate for 10 min. Subsequently, the paw withdrawal latency (PWL) in response to a heat stimulus (50˚C) using a hot plate at the plantar side of the hind paw was recorded. The rats were not allowed contact with the heated plate for more than 20 sec. PWL was recorded on the left paw three times and the time interval between tests was 5 min. The experiment was repeated three times with each rat.

Walking track analysis

The recovery of motor function was assessed on days 7, 14, 21 and 28 after surgery using walking tract analysis. Briefly, the hind paws of trained rats were pressed down onto a stamp pad soaked with water-soluble black ink. The rats were allowed to walk along a confined box (30x90x20 cm), which was placed on a white paper (21x90 cm). The footprints were recorded to calculate the sciatic functional index (SFI) as described by Bain et al (21). The experiment was repeated three times with each rat.

Immunocytochemistry and histological analysis

After 24 h, DRG neurons were fixed with 4% paraformaldehyde at 25˚C for 30 min. Cells were washed three times with PBS and permeabilized with 0.5% Triton X-100 (Sigma-Aldrich; Merck KGaA) at 25˚C for 5 min, and blocked with 10% goat serum (Thermo Fisher Scientific, Inc.) in PBS at 25˚C for 30 min. Cells were incubated with primary antibodies against neuron specific β-III tubulin (Thermo Fisher Scientific, Inc.; cat. no. MA1-118; 1:1,000) and phospho- (p-)ERK (Cell Signaling Technology, Inc.; cat. no. 3179; 1:250) at 4˚C overnight. Secondary antibodies (Alexa-594 chicken anti-mouse; cat. no. A-21201) for β-III tubulin staining and Alexa-488 goat anti-rabbit (cat. no. A32731) for p-ERK staining; both at 1:1,000; Invitrogen; Thermo Fisher Scientific, Inc.) were applied for 30 min at 25˚C. Immunofluorescence labeled neurons were observed using an inverted fluorescence microscope (Zeiss Axiovert 100, Carl Zeiss AG; magnification, x20 objective lens). p-ERK fluorescence intensity measurements and neurite outgrowth were determined using Metamorph© version 7. Evaluation of the average fluorescence intensity was performed after background subtraction. The longest neurite from the cell body to the growth cone was measured and taken as the maximal distance (22).

Histological analysis was performed on day 28 after nerve injury. The rats were sacrificed using CO2 (30-70% volume displacement rate for 5 min), the sciatic nerve and L4-L6 DRG were fixed in 4% PFA at 4˚C for 48 h followed by 15% sucrose in PBS for 24 h and then 30% sucrose in PBS for 48 h. Sections were cut (20 µm thick) using a cryostat (Leica Microsystems, Inc., CM1950) for hematoxylin & eosin (H&E) (Sigma-Aldrich; Merck KGaA) staining. The sections were stained for 10 min with hematoxylin followed by 20 sec with eosin both at 25˚C. DRG neurons were counted in area of 80,000 µm2 using a 40x objective lens, and axon diameters were measured under a 100x oil immersion lens. Tissue morphology was determined using the ECLIPSE Ni-U | Upright Microscopes (Nikon Corporation) and analyzed using NIS Elements imaging software version 5 (Nikon Corporation). All histological experiments were performed three times.

Statistical analysis

Data are presented as the mean ± SD for DPPH analysis or SEM for DRG cell culture, tissue morphological analysis and behavioral tests. A one-way ANOVA followed by a Tukey's post-hoc test was used to analyze the data in GraphPad Prism version 9 (GraphPad Software, Inc.). P<0.05 was considered to indicate a statistically significant difference.

Results

Composition analysis and assessment of the free radical scavenging activity of LEO

There were three primary compounds that individually accounted for >10% of the total content of LEO: Palmitic acid ethyl ester (25.12%), linoleic acid ethyl ester (18.17%) and methyl 8,11,14-heptadecatrienoate (10.45%) (Table I). DPPH is widely used to evaluate radical scavenging activity (23-25). Ascorbic acid and Trolox (both from Sigma-Aldrich; Merck KGaA) were used as positive controls antioxidants. LEO had ability to inhibit DPPH radical activity with an IC50 value of 29.01±2.93 µg/ml (Table II).

Table I

Gas chromatography-mass spectrometry analysis of lotus essential oil.

Table I

Gas chromatography-mass spectrometry analysis of lotus essential oil.

Compound nameRetention time, minArea, %
(6Z,9E)-Heptadeca-6,9-diene29.462.62
Palmitic acid methyl ester34.662.79
Palmitic acid ethyl ester35.4025.12
Heneicosane36.287.26
Linoleic acid ethyl ester36.9318.17
Methyl 8,11,14-heptadecatrienoate37.0710.45
Methyl 2-methylhexadecanoate37.237.09
Hexadecane38.122.78

Table II

DPPH radical inhibition by lotus essential oil.

Table II

DPPH radical inhibition by lotus essential oil.

Test samplesIC50 ± SD, µg/ml
Lotus essential oil29.01±2.93
Ascorbic acid1.37±0.21
Trolox2.89±0.54
LEO promotes neurite elongation and ERK phosphorylation

DRG neurons were cultured and treated with various concentration of LEO. The length of the longest neurite of DRG neurons was measured as the maximal distance to indicate the effect of LEO on axon elongation. Neurite outgrowth was observed after 24 h of treatment, LEO at concentrations of 0.3 and 0.6 µl/ml showed a significant increase in maximal distance when compared with the negative control and vehicle control groups (both P<0.001, Fig. 1). LEO-mediated promotion of neurite outgrowth may be mediated via ERK activation. Elevation of the p-ERK/ERK ratio plays a crucial role in axonal elongation in vivo (22). Phosphorylation of ERK was investigated by immunofluorescence staining of DRG neurons after 24 h of LEO treatment. Average fluorescence intensity of the p-ERK/ERK ratio in DRG neurons treated with 0.3 or 0.6 µl/ml LEO was significantly higher compared with the negative control and vehicle control groups (P<0.01 and P<0.001, respectively; Fig. 2).

Figure 1

Effect of LEO on neurite outgrowth, DRG neurons were treated with various concentrations of LEO for 24 h. DRG neurons treated with 0.3 and 0.6 µl/ml LEO exhibited increased neurite elongation when compared with the control and vehicle groups. (A) Control, (B) vehicle, (C) 0.15 µl/ml LEO, (D) 0.3 µl/ml LEO and (E) 0.6 µl/ml LEO. (F) Quantitative analysis of neurite length. Data are presented as the mean ± SEM of three independent experiments. Scale bar, 100 µm. ***P<0.001 vs. control and vehicle groups. LEO, lotus essential oil; DRG, dorsal root ganglion.

Figure 2

Effect of LEO on ERK activation, DRG neurons were treated with LEO for 24 h. When treated with 0.3 or 0.6 µl/ml, DRG neurons exhibited a significant increase in the ratio of p-ERK/ERK fluorescence. (A) Control, (B) vehicle, (C) 0.15 µl/ml LEO, (D) 0.3 µl/ml LEO and (E) 0.6 µl/ml LEO. (F) Quantitative analysis of p-ERK/ERK fluorescence intensity. Data are presented as the mean ± SEM of three independent experiments. Scale bar, 100 µm. **P<0.01, ***P<0.001 vs. control and vehicle groups. LEO, lotus essential oil; DRG, dorsal root ganglion; p-, phospho-.

Histological analysis of DRG and sciatic nerve after crush injury

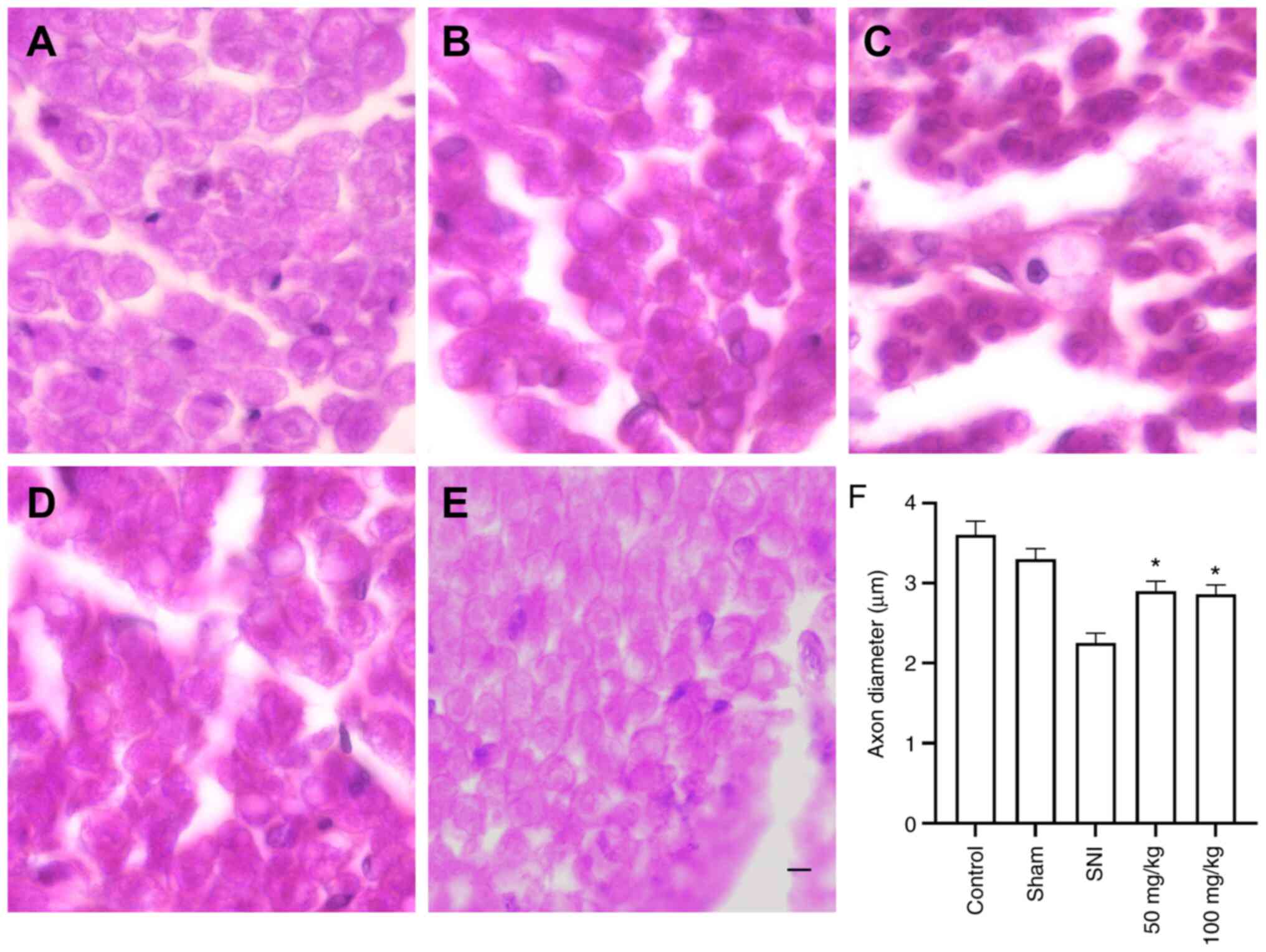
To study the effect of LEO on PNI, sciatic nerve and L4-L6 DRG were cut and stained with H&E. After 28 days of SNI, injured rats orally administered 50 or 100 mg/kg LEO showed a significant increase in the number of DRG neurons compared with the SNI group (P<0.001 and P<0.05, respectively; Fig. 3). Axon diameters were measured to assess the effect of LEO on nerve regeneration. On day 28 after SNI, axon diameters were decreased in all injured animals. However, oral administration of 50 or 100 mg/kg LEO significantly increased axon diameter when compared to the SNI group (P<0.05, Fig. 4).

Figure 3

Effect of LEO on the survival of sensory neurons 28 days after SNI. Treatment with 50 or 100 mg/kg LEO significantly increased the number of sensory neurons in the DRG compared with the SNI group. (A) Control, (B) sham, (C) SNI, (D) 50 mg/kg LEO and (E) 100 mg/kg. (F) Quantitative analysis of sensory neurons in DRG. Data are presented as the mean ± SEM of three independent experiments. *P<0.05, ***P<0.001 vs. SNI. Scale bar, 50 µm. LEO, lotus essential oil; SNI, sciatic nerve injury.

Figure 4

Histological analysis of nerve axon diameters. (A) Hematoxylin and eosin staining to assess the effect of LEO on axon diameter. The diameters of regenerated axons were significantly larger when treated with 50 or 100 mg/kg LEO compared with the SNI group. (A) Control, (B) sham, (C) SNI, (D) 50 mg/kg LEO and (E) 100 mg/kg LEO. (F) Quantitative analysis of nerve axon diameters. Data are presented as the mean ± SEM of three independent experiments. *P<0.05 vs. SNI. Scale bar, 5 µm. LEO, lotus essential oil; SNI, sciatic nerve injury.

LEO promotes functional recovery after SNI

The in vitro and in vivo data indicated that LEO enhanced neurite elongation, and promoted DRG neuron survival and nerve regeneration. Therefore, whether oral administration of LEO exerted a therapeutic effect on sensory and motor function recovery was next assessed in vivo. Prior to establishment of the SNI model, all animals were tested behaviorally to obtain baseline values of locomotor function using walking tract analysis and sensory function using a thermo-withdrawal test. The baseline values did not differ between animals. After SNI, injured animals exhibited sensory and motor function deficits. Behaviors were assessed over a 4-week period. Sensory function recovery was improved in mice treated with 50 or 100 mg/kg LEO by day 21 after SNI (P<0.05). The differences became more pronounced by day 28 (P<0.001) (Fig. 5A).

Figure 5

LEO promotes functional recovery after SNI. (A) Foot withdrawal latency throughout the experiment was used to assess sensory recovery as shown. (B) Motor function recovery was assessed using walking track analysis and presented as the sciatic function index on days 7, 14, 21 and 28 after SNI. *P<0.05, **P<0.01, ***P<0.001 vs. SNI group. Data are presented as the mean ± SEM. n=6 rats. LEO, lotus essential oil; SNI, sciatic nerve injury.

Motor function recovery was assessed by walking tract analysis. The SFI gradually improved with time. Significant differences between SNI alone vs. SNI + 50 or 100 mg/kg LEO were observed on week 4 after lesion (P<0.01 and P<0.001, respectively; Fig. 5B). Overall, the results indicated that administration of LEO improved sensory and motor functions in a rat model of SNI, and this corresponded with enhanced nerve regeneration.

Discussion

Local upregulation of free radicals is observed following PNI (26). Increases in the levels of free radical molecules has been shown to attenuate recovery of nerve function after injury (27). The levels of free radical molecules have been reported to increase after injury to the DRG and the sciatic nerve (28). The increase in the free radical levels also plays a role in inducing nerve degeneration and interferes with the regeneration process of the injured nerve (29). In this study, the effect of LEO, the crude extract from lotus flower, on nerve functional recovery after injury was assessed. The results from the GC-MS analysis showed three major components of lotus flower oil, including palmitic acid, linoleic acid and methyl 8,11,14-heptadecatrienoate. A previous study reported that palmitic acid is a fatty acid that exhibits antioxidant activity (30). To confirm whether LEO exhibited radical scavenging activity, the DPPH method was used, and the results showed that LEO exhibited potent DPPH radical scavenging activity with an IC50 value of 29.01±2.93 µg/ml. A previous study reported that the antioxidant and DPPH radical scavenging activities of lotus extract could prevent oxidative stress-induced neuronal death in the central nervous system (15). Faster axon elongation and nerve re-innervation are required in nerve recovery after injury (31). The results of the present study showed that, treatment of DRG neurons with LEO resulted in increased axonal distance growth compared with the control and vehicle-treated groups. LEO induced neurite outgrowth and elongation in vitro, and this was likely associated with the upregulation of ERK activation, as shown through increased ERK phosphorylation. Stimulation of ERK activation has been reported to promote neurite outgrowth in vitro (32) and axon regrowth after nerve transection (33); thus, these are important processes for nerve regeneration. Lu et al (34) reported that the accumulation of antioxidant molecules at the site of the injured nerve resulted in an increase in the ratio of p-ERK/ERK, and this could improve axon regeneration.

A notable finding of the present study was that LEO enhanced neurite outgrowth and elongation, both of which are essential processes for nerve repair and functional recovery. Thus the effect of LEO on functional recovery of nerves was assessed in the sciatic nerve crush model. After sciatic nerve injury, the animals exhibited motor and sensory neuron death as a result of impaired nerve regeneration (35). A previous study reported that the recovery of nerve sensory function following PNI could be defined by the number of cells that survived within the DRG (36). Α decrease in DRG neurons after PNI can reduce sensory functional recovery (37). The results of the present study showed that administration of LEO could prevent DRG neurons from death after sciatic nerve lesion. Animals treated with 50 and 100 mg/kg LEO showed an increase in the number of DRG neurons compared with the animals in the control group. A previous study showed that antioxidants from the lotus plant could protect neurons from death following acute nerve injury (38). The neuroprotective effect of LEO on DRG neurons was likely associated with the antioxidant effect and increased phosphorylation of ERK activation (34). The rescue of sensory function was evaluated using thermal stimulation. Rats with sciatic nerve lesion exhibited an increased foot withdrawal threshold. By day 21 of LEO treatment, sensory function was improved in the animals treated with LEO compared with the untreated SNI animals. Of note, the improvement in sensory function continually increased with the treatment period. This result also correlates with the higher numbers of neurons in the DRG.

In the present study, it was shown that treatment with LEO could improve locomotor functional recovery by day 28 after sciatic nerve crush. Axon regrowth and remyelination are required for reinnervation of target tissues, and these are associated with functional motor recovery (39). Remyelination after injury to the peripheral nerve is possible and required to connect the nerve to the skin or other target tissues (40). The results of the present study showed that the axon diameters were increased in the LEO treated groups compared with the SNI group. Since free radicals and oxidative stress have been reported to damage the peripheral nerve and delay its functional recovery (41), increased axon diameters in LEO treated groups may be the result of the antioxidant activity of lotus flower oil. Upregulation of antioxidant enzymes, such as glutathione reductase, can increase the axon diameter and density after SNI. Therefore, antioxidative systems are also involved in the recovery process after nerve lesions (42). Thus, the ability of LEO to increase radical scavenging activity, neurite elongation activity and functional recovery of the nerve may have been achieved through the synergistic action of different bioactive components. However, the effects of the primary components of LEO individually have not been tested on neurite elongation and functional nerve recovery, therefore, this is a limitation of the present study and the subject of a future study. Further experiments are required to determine the individual effects of the constituents of LEO separately in the PNI model. LEO is a rich source of several long-chain fatty acids; however, the effect of these fatty acids on functional nerve recovery have not been assessed. Therefore, additional experiments are to study the effects of these long-chain fatty acids, such as stearic acid, oleic acid and linolenic acid on PNI. Antioxidants have been shown to promote nerve recovery after injury. Ascorbyl palmitate, a fat-soluble form of ascorbic acid with potent antioxidant activity, should be assessed future experiments of sciatic nerve injury. Moreover, LEO can promote nerve regeneration and functional recovery after crush injury, and this may be due to the effects of LEO on the expression of proteins. Thus, the expression levels of proteins related to remyelination, such as myelin protein zero and peripheral myelin protein 2, should be assessed to better understand the effect of LEO on the mechanism of nerve remyelination.

In summary, injury to the peripheral nerve results in motor and sensory functional impairment, and administration of LEO accelerated functional nerve recovery. Lotus, a plant that possesses antioxidant activity, can prevent sensory neurons from death and promote an increase in axon diameter. Based on the results of the present study, LEO may be a potential beneficial therapeutic option for the management of PNI. However, the effect of LEO on the activity and levels of endogenous antioxidant enzymes remains unclear. Therefore, additional studies are required to investigate the effect of LEO on endogenous antioxidant enzyme activities after nerve injury.

Acknowledgements

Not applicable.

Funding

Funding: This study was supported in part by funding from the School of Medical Sciences, University of Phayao (Phayao, Thailand; grant no. MS 201017).

Availability of data and materials

The datasets used and/or analyzed during the present study are available from the corresponding author on reasonable request.

Authors' contributions

ST and NS wrote the manuscript, analyzed the data and designed the study. RK collected the data. All authors have read and approved the final manuscript. ST, NS and RK confirm the authenticity of all the raw data.

Ethics approval and consent to participate

All animal experiments were approved by the Animal Ethics Committee of University of Phayao (Phayao, Thailand; approval no. 630104008).

Patient consent for publication

Not applicable.

Competing interests

The authors declare that there are no competing interests.

References

1 

Kinugasa T, Ozaki S, Hamanaka S and Kudo N: The effects of sciatic nerve axotomy on spinal motoneurons in neonatal Bax-deficient mice. Neurosci Res. 44:439–446. 2002.PubMed/NCBI View Article : Google Scholar

2 

Shi TJ, Hua XY, Lu X, Malkmus S, Kinney J, Holmberg K, Wirz S, Ceccatelli S, Yaksh T, Bartfai T and Hökfelt T: Sensory neuronal phenotype in galanin receptor 2 knockout mice: Focus on dorsal root ganglion neurone development and pain behaviour. Eur J Neurosci. 23:627–636. 2006.PubMed/NCBI View Article : Google Scholar

3 

Zachodne DL and Ho T: Endoneural microenvironment and acute nerve crush injury in the rat sciatic nerve. Brain Res. 535:43–48. 1990.PubMed/NCBI View Article : Google Scholar

4 

Rasul A, Al-shawi AA, Malik SA, Anwar H, Rasool B, Razzaq A, Aziz N, Kamran SKS, Sarfraz I, Shabbir A, et al: Neurada procumbens promotes functions regain in a mouse model of mechanically induced sciatic nerve injury. Pak J Pharm Sci. 32 (Suppl 4):S1761–S1766. 2019.PubMed/NCBI

5 

Dong L, Li R, Li D, Wang B, Lu Y, Li P, Yu F, Jin Y, Ni X, Wu Y, et al: FGF10 enhances peripheral nerve regeneration via the preactivation of the PI3K/Akt signaling-mediated antioxidant response. Front Pharmacol. 16(1224)2019.PubMed/NCBI View Article : Google Scholar

6 

Wang CH, Wu SB, Wu YT and Wei YH: Oxidative stressresponse elicited by mitochondrial dysfunction: Implication in thepathophysiology of aging. Exp Biol Med (Maywood). 238:450–460. 2013.PubMed/NCBI View Article : Google Scholar

7 

Ono Y, Hattori E, Fukaya Y, Imai S and Ohizumi Y: Anti-obesity effect of Nelumbo nucifera leaves extract in mice and rats. J Ethnopharmacol. 106:238–244. 2006.PubMed/NCBI View Article : Google Scholar

8 

Park E, Kim GD, Go MS, Kwon D, Jung IK, Auh JH and Kim JH: Anti-inflammatory effects of Nelumbo leaf extracts and identification of their metabolites. Nutr Res Pract. 11:265–274. 2017.PubMed/NCBI View Article : Google Scholar

9 

Liu CP, Tsai WJ, Lin YL, Liao JF, Chen CF and Kuo YC: The extracts from Nelumbo nucifera suppress cell cycle progression, cytokine genes expression, and cell proliferation in human peripheral blood mononuclear cells. Life Sci. 75:699–716. 2004.PubMed/NCBI View Article : Google Scholar

10 

Rai S, Wahile A, Mukherjee K, Saha BP and Mukherjee PK: Antioxidant activity of Nelumbo nucifera (sacred lotus) seeds. J Ethnopharmacol. 104:322–327. 2006.PubMed/NCBI View Article : Google Scholar

11 

Chen HW, Yang MY, Hung TW, Chang YC and Wang CJ: Nelumbo nucifera leaves extract attenuate the pathological progression of diabetic nephropathy in high-fat diet-fed and streptozotocin-induced diabetic rats. J Food Drug Anal. 27:736–748. 2019.PubMed/NCBI View Article : Google Scholar

12 

Yano M, Nakashima S, Oda Y, Nakamura S and Matsuda H: BBB-permeable aporphine-type alkaloids in Nelumbo nucifera flowers with accelerative effects on neurite outgrowth in PC-12 cells. J Nat Med. 74:212–218. 2020.PubMed/NCBI View Article : Google Scholar

13 

Jeon S, Kim NH, Koo BS, Kim JY and Lee AY: Lotus (Nelumbo nuficera) flower essential oil increased melanogenesis in normal human melanocytes. Exp Mol Med. 41:517–525. 2009.PubMed/NCBI View Article : Google Scholar

14 

Schevzov G, Kee AJ, Wang B, Sequeira VB, Hook J, Coombes JD, Lucas CA, Stehn JR, Musgrove EA, Cretu A, et al: Regulation of cell proliferation by ERK and signal-dependent nuclear translocation of ERK is dependent on Tm5NM1-containing actin filaments. Mol Biol Cell. 26:2475–2490. 2015.PubMed/NCBI View Article : Google Scholar

15 

Kumaran A, Ho CC and Hwang LS: Protective effect of Nelumbo nucifera extracts on beta amyloid protein induced apoptosis in PC12 cells, in vitro model of Alzheimer's disease. J Food Drug Anal. 26:172–181. 2018.PubMed/NCBI View Article : Google Scholar

16 

Shinomiya M, Kawamura K, Tanida E, Nagoshi M, Motoda H, Kasanami Y, Hiragami F and Kano Y: Neurite outgrowth of PC12 mutant cells induced by orange oil and d-limonene via the p38 MAPK pathway. Acta Med Okayama. 66:111–118. 2012.PubMed/NCBI View Article : Google Scholar

17 

Hausott B, Vallant N, Auer M, Yang L, Dai F, Brand-Saberi B and Klimaschewski L: Sprouty2 down-regulation promotes axon growth by adult sensory neurons. Mol Cell Neurosci. 42:328–340. 2009.PubMed/NCBI View Article : Google Scholar

18 

Ramli D, Aziz I, Mohamad M, Abdulahi D and Sanusi J: The changes in rats with sciatic nerve crush injury supplemented with evening primrose oil: Behavioural, morphologic, and morphometric analysis. Evid Based Complement Alternat Med. 2017(3476407)2017.PubMed/NCBI View Article : Google Scholar

19 

Sriraksa N, Kongsui R, Thongrong S, Duangjai A and Hawiset T: Effect of Azadirachta Indica flower extract on functional recovery of sciatic nerve crush injury in rat models of DM. Exp Ther Med. 17:541–550. 2019.PubMed/NCBI View Article : Google Scholar

20 

Menéndez L, Lastra A, Hidalgo A and Baamonde A: Unilateral hot plate test: A simple and sensitive method for detecting central and peripheral hyperalgesia in mice. J Neurosci Methods. 113:91–97. 2002.PubMed/NCBI View Article : Google Scholar

21 

Bain JR, Mackinnon SE and Hunter DA: Functional evaluation of complete sciatic, peroneal, and posterior tibial nerve lesions in the rat. Plast Reconstr Surg. 83:129–138. 1989.PubMed/NCBI View Article : Google Scholar

22 

Marvaldi L, Thongrong S, Kozłowska A, Irschick R, Pritz CO, Bäumer B, Ronchi G, Geuna S, Hausott B and Klimaschewski L: Enhanced axon outgrowth and improved long-distance axon regeneration in sprouty2 deficient mice. Dev Neurobiol. 75:217–231. 2015.PubMed/NCBI View Article : Google Scholar

23 

Yang D, Wang Q, Ke L, Jiang J and Ying T: Antioxidant activities of various extracts of lotus (Nelumbo nuficera Gaertn) rhizome. Asia Pac J Clin Nutr. 16 (Suppl 1):S158–S163. 2007.PubMed/NCBI

24 

Gangwar M, Gautam MK, Sharma AK, Tripathi YB, Goel RK and Nath G: Antioxidant capacity and radical scavenging effect of polyphenol rich Mallotus philippenensis fruit extract on human erythrocytes: An in vitro study. ScientificWorldJournal. 2014(279451)2014.PubMed/NCBI View Article : Google Scholar

25 

Huang B, Ban X, He J, Tong J, Tian J and Wang YL: Comparative analysis of essential oil components and antioxidant activity of extracts of Nelumbo nucifera from various areas of China. J Agric Food Chem. 58:441–448. 2010.PubMed/NCBI View Article : Google Scholar

26 

Varija D, Kumar KP, Reddy KP and Reddy VK: Prolonged constriction of sciatic nerve affecting oxidative stressors & antioxidant enzymes in rat. Indian J Med Res. 129:587–592. 2009.PubMed/NCBI

27 

Zhang L, Johnson D and Johnson JA: Deletion of Nrf2 impairs functional recovery, reduces clearance of myelin debris and decreases axonal remyelination after peripheral nerve injury. Neurobiol Dis. 54:329–338. 2013.PubMed/NCBI View Article : Google Scholar

28 

Saray A, Apan A and Kisa U: Free radical-induced damage in experimental peripheral nerve injection injury. J Reconstr Microsurg. 19:401–406. 2003.PubMed/NCBI View Article : Google Scholar

29 

Hervera A, De Virgiliis F, Palmisano I, Zhou L, Tantardini E, Kong G, Hutson T, Danzi MC, Perry RB, Santos CXC, et al: Reactive oxygen species regulate axonal regeneration through the release of exosomal NADPH oxidase 2 complexes into injured axons. Nat Cell Biol. 20:307–319. 2018.PubMed/NCBI View Article : Google Scholar

30 

Tyagi T and Mala A: Phytochemical and GC-MS analysis of bioactive constituents in the ethanolic of Pistia stratiotes L and Eichhornia crassipes (Mart.) solms. J Pharmacogn Phytochem. 6:195–206. 2017.

31 

Jungnickel J, Haase K, Konitzer J, Timmer M and Grothe C: Faster nerve regeneration after sciatic nerve injury in mice over-expressing basic fibroblast growth factor. J Neurobiol. 66:940–948. 2006.PubMed/NCBI View Article : Google Scholar

32 

Wang X, Wang Z, Yao Y, Li J, Zhang X, Li C, Cheng Y, Ding G, Liu L and Ding Z: Essential role of ERK activation in neurite outgrowth induced by α-lipoic acid. Biochim Biophys Acta. 1813:827–838. 2011.PubMed/NCBI View Article : Google Scholar

33 

Chierzi S, Ratto GM, Verma P and Fawcett JW: The ability of axons to regenerate their growth cones depends on axonal type and age, and is regulated by calcium, cAMP and ERK. Eur J Neurosci. 21:2051–2062. 2005.PubMed/NCBI View Article : Google Scholar

34 

Lu Y, Li R, Zhu J, Wu Y, Li D, Dong L, Li Y, Wen X, Yu F, Zhang H, et al: Fibroblast growth factor 21 facilitates peripheral nerve regeneration through suppressing oxidative damage and autophagic cell death. J Cell Mol Med. 23:497–511. 2019.PubMed/NCBI View Article : Google Scholar

35 

Kemp SW, Chiang CD, Liu EH, Wood MD, Willand MP, Gordon T and Borschel GH: Characterization of neuronal death and functional deficits following nerve injury during the early postnatal developmental period in rats. Dev Neurosci. 37:66–77. 2015.PubMed/NCBI View Article : Google Scholar

36 

Hart AM, Terenghi G and Wiberg M: Neuronal death after peripheral nerve injury and experimental strategies for neuroprotection. Neurol Res. 30:999–1011. 2008.PubMed/NCBI View Article : Google Scholar

37 

McKay Hart A, Brannstrom T, Wiberg M and Terenghi G: Primary sensory neurons and satellite cells after peripheral axotomy in the adult rat: Timecourse of cell death and elimination. Exp Brain Res. 142:308–318. 2002.PubMed/NCBI View Article : Google Scholar

38 

Xiong W, MacColl Garfinkel AE, Li Y, Benowitz LI and Cepko CL: NRF2 promotes neuronal survival in neurodegeneration and acute nerve damage. J Clin Invest. 125:1433–1445. 2015.PubMed/NCBI View Article : Google Scholar

39 

Chen P, Piao X and Bonaldo P: Role of macrophages in Wallerian degeneration and axonal regeneration after peripheral nerve injury. Acta Neuropathol. 130:605–618. 2015.PubMed/NCBI View Article : Google Scholar

40 

Fatemi MJ, Foroutan KS, Ashtiani AK, Mansoori MJ, Vaghardoost R, Pedram S, Hosseinpolli A, Rajabi F and Mousavi SJ: Comparison of divided sciatic nerve growth within dermis, venous and nerve graft conduit in rat. J Res Med Sci. 15:208–213. 2010.PubMed/NCBI

41 

Levy D, Kubes P and Zochodne DW: Delayed peripheral nerve degeneration, regeneration, and pain in mice lacking inducible nitric oxide synthase. J Neuropathol Exp Neurol. 60:411–421. 2001.PubMed/NCBI View Article : Google Scholar

42 

Renno WM, Benov L and Khan KM: Possible role of antioxidative capacity of (-)-epigallocatechin-3-gallate treatment in morphological and neurobehavioral recovery after sciatic nerve crush injury. J Neurosurg Spine. 27:593–613. 2017.PubMed/NCBI View Article : Google Scholar

Related Articles

  • Abstract
  • View
  • Download
  • Twitter
Copy and paste a formatted citation
Spandidos Publications style
Sriraksa N, Kongsui R and Thongrong S: Lotus essential oil improves neurite elongation and facilitates functional recovery after peripheral nerve injury. Biomed Rep 16: 30, 2022.
APA
Sriraksa, N., Kongsui, R., & Thongrong, S. (2022). Lotus essential oil improves neurite elongation and facilitates functional recovery after peripheral nerve injury. Biomedical Reports, 16, 30. https://doi.org/10.3892/br.2022.1513
MLA
Sriraksa, N., Kongsui, R., Thongrong, S."Lotus essential oil improves neurite elongation and facilitates functional recovery after peripheral nerve injury". Biomedical Reports 16.4 (2022): 30.
Chicago
Sriraksa, N., Kongsui, R., Thongrong, S."Lotus essential oil improves neurite elongation and facilitates functional recovery after peripheral nerve injury". Biomedical Reports 16, no. 4 (2022): 30. https://doi.org/10.3892/br.2022.1513
Copy and paste a formatted citation
x
Spandidos Publications style
Sriraksa N, Kongsui R and Thongrong S: Lotus essential oil improves neurite elongation and facilitates functional recovery after peripheral nerve injury. Biomed Rep 16: 30, 2022.
APA
Sriraksa, N., Kongsui, R., & Thongrong, S. (2022). Lotus essential oil improves neurite elongation and facilitates functional recovery after peripheral nerve injury. Biomedical Reports, 16, 30. https://doi.org/10.3892/br.2022.1513
MLA
Sriraksa, N., Kongsui, R., Thongrong, S."Lotus essential oil improves neurite elongation and facilitates functional recovery after peripheral nerve injury". Biomedical Reports 16.4 (2022): 30.
Chicago
Sriraksa, N., Kongsui, R., Thongrong, S."Lotus essential oil improves neurite elongation and facilitates functional recovery after peripheral nerve injury". Biomedical Reports 16, no. 4 (2022): 30. https://doi.org/10.3892/br.2022.1513
Follow us
  • Twitter
  • LinkedIn
  • Facebook
About
  • Spandidos Publications
  • Careers
  • Cookie Policy
  • Privacy Policy
How can we help?
  • Help
  • Live Chat
  • Contact
  • Email to our Support Team