Spandidos Publications Logo
  • About
    • About Spandidos
    • Aims and Scopes
    • Abstracting and Indexing
    • Editorial Policies
    • Reprints and Permissions
    • Job Opportunities
    • Terms and Conditions
    • Contact
  • Journals
    • All Journals
    • Oncology Letters
      • Oncology Letters
      • Information for Authors
      • Editorial Policies
      • Editorial Board
      • Aims and Scope
      • Abstracting and Indexing
      • Bibliographic Information
      • Archive
    • International Journal of Oncology
      • International Journal of Oncology
      • Information for Authors
      • Editorial Policies
      • Editorial Board
      • Aims and Scope
      • Abstracting and Indexing
      • Bibliographic Information
      • Archive
    • Molecular and Clinical Oncology
      • Molecular and Clinical Oncology
      • Information for Authors
      • Editorial Policies
      • Editorial Board
      • Aims and Scope
      • Abstracting and Indexing
      • Bibliographic Information
      • Archive
    • Experimental and Therapeutic Medicine
      • Experimental and Therapeutic Medicine
      • Information for Authors
      • Editorial Policies
      • Editorial Board
      • Aims and Scope
      • Abstracting and Indexing
      • Bibliographic Information
      • Archive
    • International Journal of Molecular Medicine
      • International Journal of Molecular Medicine
      • Information for Authors
      • Editorial Policies
      • Editorial Board
      • Aims and Scope
      • Abstracting and Indexing
      • Bibliographic Information
      • Archive
    • Biomedical Reports
      • Biomedical Reports
      • Information for Authors
      • Editorial Policies
      • Editorial Board
      • Aims and Scope
      • Abstracting and Indexing
      • Bibliographic Information
      • Archive
    • Oncology Reports
      • Oncology Reports
      • Information for Authors
      • Editorial Policies
      • Editorial Board
      • Aims and Scope
      • Abstracting and Indexing
      • Bibliographic Information
      • Archive
    • Molecular Medicine Reports
      • Molecular Medicine Reports
      • Information for Authors
      • Editorial Policies
      • Editorial Board
      • Aims and Scope
      • Abstracting and Indexing
      • Bibliographic Information
      • Archive
    • World Academy of Sciences Journal
      • World Academy of Sciences Journal
      • Information for Authors
      • Editorial Policies
      • Editorial Board
      • Aims and Scope
      • Abstracting and Indexing
      • Bibliographic Information
      • Archive
    • International Journal of Functional Nutrition
      • International Journal of Functional Nutrition
      • Information for Authors
      • Editorial Policies
      • Editorial Board
      • Aims and Scope
      • Abstracting and Indexing
      • Bibliographic Information
      • Archive
    • International Journal of Epigenetics
      • International Journal of Epigenetics
      • Information for Authors
      • Editorial Policies
      • Editorial Board
      • Aims and Scope
      • Abstracting and Indexing
      • Bibliographic Information
      • Archive
    • Medicine International
      • Medicine International
      • Information for Authors
      • Editorial Policies
      • Editorial Board
      • Aims and Scope
      • Abstracting and Indexing
      • Bibliographic Information
      • Archive
  • Articles
  • Information
    • Information for Authors
    • Information for Reviewers
    • Information for Librarians
    • Information for Advertisers
    • Conferences
  • Language Editing
Spandidos Publications Logo
  • About
    • About Spandidos
    • Aims and Scopes
    • Abstracting and Indexing
    • Editorial Policies
    • Reprints and Permissions
    • Job Opportunities
    • Terms and Conditions
    • Contact
  • Journals
    • All Journals
    • Biomedical Reports
      • Information for Authors
      • Editorial Policies
      • Editorial Board
      • Aims and Scope
      • Abstracting and Indexing
      • Bibliographic Information
      • Archive
    • Experimental and Therapeutic Medicine
      • Information for Authors
      • Editorial Policies
      • Editorial Board
      • Aims and Scope
      • Abstracting and Indexing
      • Bibliographic Information
      • Archive
    • International Journal of Epigenetics
      • Information for Authors
      • Editorial Policies
      • Editorial Board
      • Aims and Scope
      • Abstracting and Indexing
      • Bibliographic Information
      • Archive
    • International Journal of Functional Nutrition
      • Information for Authors
      • Editorial Policies
      • Editorial Board
      • Aims and Scope
      • Abstracting and Indexing
      • Bibliographic Information
      • Archive
    • International Journal of Molecular Medicine
      • Information for Authors
      • Editorial Policies
      • Editorial Board
      • Aims and Scope
      • Abstracting and Indexing
      • Bibliographic Information
      • Archive
    • International Journal of Oncology
      • Information for Authors
      • Editorial Policies
      • Editorial Board
      • Aims and Scope
      • Abstracting and Indexing
      • Bibliographic Information
      • Archive
    • Medicine International
      • Information for Authors
      • Editorial Policies
      • Editorial Board
      • Aims and Scope
      • Abstracting and Indexing
      • Bibliographic Information
      • Archive
    • Molecular and Clinical Oncology
      • Information for Authors
      • Editorial Policies
      • Editorial Board
      • Aims and Scope
      • Abstracting and Indexing
      • Bibliographic Information
      • Archive
    • Molecular Medicine Reports
      • Information for Authors
      • Editorial Policies
      • Editorial Board
      • Aims and Scope
      • Abstracting and Indexing
      • Bibliographic Information
      • Archive
    • Oncology Letters
      • Information for Authors
      • Editorial Policies
      • Editorial Board
      • Aims and Scope
      • Abstracting and Indexing
      • Bibliographic Information
      • Archive
    • Oncology Reports
      • Information for Authors
      • Editorial Policies
      • Editorial Board
      • Aims and Scope
      • Abstracting and Indexing
      • Bibliographic Information
      • Archive
    • World Academy of Sciences Journal
      • Information for Authors
      • Editorial Policies
      • Editorial Board
      • Aims and Scope
      • Abstracting and Indexing
      • Bibliographic Information
      • Archive
  • Articles
  • Information
    • For Authors
    • For Reviewers
    • For Librarians
    • For Advertisers
    • Conferences
  • Language Editing
Login Register Submit
  • This site uses cookies
  • You can change your cookie settings at any time by following the instructions in our Cookie Policy. To find out more, you may read our Privacy Policy.

    I agree
Search articles by DOI, keyword, author or affiliation
Search
Advanced Search
presentation
Biomedical Reports
Join Editorial Board Propose a Special Issue
Print ISSN: 2049-9434 Online ISSN: 2049-9442
Journal Cover
January-2023 Volume 18 Issue 1

Full Size Image

Sign up for eToc alerts
Recommend to Library

Journals

International Journal of Molecular Medicine

International Journal of Molecular Medicine

International Journal of Molecular Medicine is an international journal devoted to molecular mechanisms of human disease.

International Journal of Oncology

International Journal of Oncology

International Journal of Oncology is an international journal devoted to oncology research and cancer treatment.

Molecular Medicine Reports

Molecular Medicine Reports

Covers molecular medicine topics such as pharmacology, pathology, genetics, neuroscience, infectious diseases, molecular cardiology, and molecular surgery.

Oncology Reports

Oncology Reports

Oncology Reports is an international journal devoted to fundamental and applied research in Oncology.

Experimental and Therapeutic Medicine

Experimental and Therapeutic Medicine

Experimental and Therapeutic Medicine is an international journal devoted to laboratory and clinical medicine.

Oncology Letters

Oncology Letters

Oncology Letters is an international journal devoted to Experimental and Clinical Oncology.

Biomedical Reports

Biomedical Reports

Explores a wide range of biological and medical fields, including pharmacology, genetics, microbiology, neuroscience, and molecular cardiology.

Molecular and Clinical Oncology

Molecular and Clinical Oncology

International journal addressing all aspects of oncology research, from tumorigenesis and oncogenes to chemotherapy and metastasis.

World Academy of Sciences Journal

World Academy of Sciences Journal

Multidisciplinary open-access journal spanning biochemistry, genetics, neuroscience, environmental health, and synthetic biology.

International Journal of Functional Nutrition

International Journal of Functional Nutrition

Open-access journal combining biochemistry, pharmacology, immunology, and genetics to advance health through functional nutrition.

International Journal of Epigenetics

International Journal of Epigenetics

Publishes open-access research on using epigenetics to advance understanding and treatment of human disease.

Medicine International

Medicine International

An International Open Access Journal Devoted to General Medicine.

Journal Cover
January-2023 Volume 18 Issue 1

Full Size Image

Sign up for eToc alerts
Recommend to Library

  • Article
  • Citations
    • Cite This Article
    • Download Citation
    • Create Citation Alert
    • Remove Citation Alert
    • Cited By
  • Similar Articles
    • Related Articles (in Spandidos Publications)
    • Similar Articles (Google Scholar)
    • Similar Articles (PubMed)
  • Download PDF
  • Download XML
  • View XML
Article Open Access

Pioglitazone modulates immune activation and ameliorates inflammation induced by injured renal tubular epithelial cells via PPARγ/miRNA‑124/STAT3 signaling

  • Authors:
    • Walaa Bayoumie El Gazzar
    • Mona Maher Allam
    • Sherif Ahmed Shaltout
    • Lina Abdelhady Mohammed
    • Ashraf Mohamed Sadek
    • Hend Elsayed Nasr
  • View Affiliations / Copyright

    Affiliations: Department of Anatomy, Physiology and Biochemistry, Faculty of Medicine, Hashemite University, Zarqa 13133, Jordan, Department of Physiology, Faculty of Medicine, Benha University, Benha 13518, Egypt, Department of Pharmacology, Public Health and Clinical Skills, Faculty of Medicine, Hashemite University, Zarqa 13133, Jordan, Department of Medical Biochemistry and Molecular Biology, Faculty of Medicine, Benha University, Benha 13518, Egypt
    Copyright: © El Gazzar et al. This is an open access article distributed under the terms of Creative Commons Attribution License.
  • Article Number: 2
    |
    Published online on: November 16, 2022
       https://doi.org/10.3892/br.2022.1584
  • Expand metrics +
Metrics: Total Views: 0 (Spandidos Publications: | PMC Statistics: )
Metrics: Total PDF Downloads: 0 (Spandidos Publications: | PMC Statistics: )
Cited By (CrossRef): 0 citations Loading Articles...

This article is mentioned in:



Abstract

Acute kidney injury (AKI) is commonly a result of renal ischemia reperfusion injury (IRI), which produces clinical complications characterized by the rapid deterioration of renal function, leading to chronic kidney disease and increases the risk of morbidity and mortality. Currently, only supportive treatment is available. AKI, which is accompanied by immune activation and inflammation, is caused by proximal tubular injury. The present study investigated the role of tubular epithelial cells as drivers of inflammation in renal IRI and their potential function as antigen‑presenting cells, as well as the molecular mechanisms by which peroxisome proliferator‑activated receptor‑γ (PPARγ) agonists [such as pioglitazone (Pio)] exert reno‑protective action in renal IRI. A total of 50 Wistar male albino rats were divided into five groups: Sham + DMSO, Sham + Pio, IRI + DMSO, IRI + prophylactic preoperative (pre) Pio and IRI + postoperative Pio. The histopathological changes in renal tissue samples and the renal epithelial cell expression of CD86, miRNA‑124, STAT3, pro‑inflammatory cytokines, inducible nitric oxide synthase (iNOS) and Arginase‑II were analyzed by immunohistochemistry, reverse transcription‑quantitative PCR, western blotting and ELISA respectively. IRI was a potent inducer for CD86 immunoexpression. An ameliorative action of Pio was demonstrated via decreased CD86 immunoexpression, upregulation of miRNA‑124, decreased STAT3 expression and beneficial anti‑inflammatory effects. The tubular epithelium served a notable role in the inflammatory response in renal IRI. Pio exerted its anti‑inflammatory effects via PPARγ/miRNA‑124/STAT3 signaling.

Introduction

Renal ischemia reperfusion (IR) often results in acute kidney injury (AKI), a clinical condition with no effective treatment, which increases the risk of morbidity and mortality perioperatively (1,2). Because of excessive workload and greater metabolic demand, as well as limited anaerobic energy production, proximal S3 segment tubular epithelial cells (TECs) of the outer medulla are most commonly affected by acute ischemic injury (3). The unique microvasculature of this structure makes it vulnerable to renal hypoxia, hypoperfusion and mitochondrial damage (4).

Inflammation is associated with the pathophysiology of renal IR injury (IRI) (5). Following ischemic injury, endothelial cells and leukocytes serve a role in initiating inflammation and damaged TECs contribute to the inflammatory process. Injured tubular epithelium produces numerous cytokines including IL-6, IL-1β, TNF-α and TGF-β, thereby affecting the behavior of macrophages and inducing a pro-inflammatory phenotype (3,6,7). To the best of our knowledge, it has not been determined whether renal epithelial cells serve as antigen-presenting cells (APCs) and exert an immunomodulatory function during renal IR.

During inflammation, inducible nitric oxide synthase (iNOS) is upregulated and converts arginine into citrulline and NO (8). This enzyme is found in the renal tubules, interlobar and arcuate arteries and glomerulus of normal rat kidney (9). Studies have documented the involvement of iNOS and NO in renal IRI development and suggested that iNOS inhibitors may prove beneficial as a therapeutic strategy in clinical scenarios where renal IRI is prevalent (10,11). Arginase-II (Arg-II), which is highly expressed within the S3 proximal TECs (12), catalyzes the conversion of L-arginine to L-ornithine and urea, which is needed for the synthesis of polyamines (13). Since iNOS and Arg-II use the same substrate, stimulating Arg-II expression exerts anti-inflammatory effects via shifting of arginine metabolism to produce polyamine at the expense of NO production (14).

Signal transducer and activator of transcription 3 (STAT3) was identified by studies on acute response factor signaling (15,16). During the binding of cytokines, JAK protein stimulates canonical STAT3 signaling. The most common activators of STAT3 are IL-6-type cytokines via IL-6-induced tyrosine phosphorylation of STAT3(17). Dysregulation in the activation of STAT3 is typically associated with multiple pathologies, including autoimmune and malignant disorders (18). The role of STAT3 in the progression of diabetic nephropathy, development of HIV-associated nephropathy, activation of renal interstitial fibroblasts and progression of renal fibrosis has been investigated (19-21). Numerous studies have also noted an association between IRI progression and the activation of STAT3 (22,23), some of which found that activation of STAT3 in renal proximal TECs may be protective during IRI (24,25). Although there is limited data regarding the therapeutic potential of STAT3 inhibitors in pathological renal models, evidence suggests that STAT3 inhibitors may be beneficial (26,27).

Peroxisome proliferator-activated receptor (PPAR)γ, a nuclear receptor superfamily member, is a transcription factor involved in regulating glucose and lipid metabolism as well as cancer progression and inflammation (28). PPARγ agonists [such as pioglitazone (Pio)] inhibit inflammation by stopping the phosphorylation of proteins involved in JAK-STAT signaling pathway (29,30). PPARγ binds to miR-124 promoter, causing the upregulation of miR-124(31), thereby regulating gene expression. Sun et al (32) reported that miR-124 targets STAT3 to decrease the production IL-6 and TNF-α converting enzyme to decrease TNF-α release.

More studies are required to understand the inflammatory response mechanisms during ischemic kidney injury to identify the molecular targets for therapeutic intervention. The present study aimed to determine the role of renal TECs as drivers of inflammation in renal IRI and their potential function as antigen-presenting cells by analyzing inflammatory markers involved in pathogenesis of renal IRI, as well as the renal epithelial cell expression of CD86, STAT3 expression in renal IRI and the molecular basis underlying the anti-inflammatory action of the PPARγ agonist Pio by investigating its effect on the expression of miRNA-124, STAT3, pro-inflammatory cytokines, iNOS, Arg-II and CD86.

Materials and methods

Chemicals and reagents

Pio was purchased from Arab Pharmaceutical Manufacturing Co., Ltd. Dimethyl sulfoxide (DMSO) was purchased from Loba Chemie Pvt. Ltd.

Animals

A total of 50 adult Wistar male albino rats (age, 6-8 weeks; weight, 160-180 g) were obtained from the Faculty of Agriculture, Benha University, Moshtohor, Egypt. Animals were randomly divided into five groups (all n=10) and each group was placed in a separate cage. The cages were maintained at 25˚C with 12/12-h light and dark cycles, relative humidity (45±5%) and all animals had access to food and water ad libitum. All rats were acclimatized to the laboratory setting for one week prior to experiments. The study followed the criteria of care and use of laboratory animals (33) and was approved by the Medical Research Ethics Committee of Benha University, Egypt (approval no. RC.11.6. 2022).

Rat model of renal IRI

The animals were divided into the following groups: i) Sham operation + DMSO; ii) sham operation + Pio; iii) renal IRI + DMSO; iv) IRI + prophylactic preoperative (pre) Pio and v) IRI + postoperative (post) Pio. All rats were anesthetized using Thiopental Na [40 mg/kg, administered intraperitoneally (i.p.)] and injected intramuscularly with antibiotic (Penicillin G procaine; 40,000 U/kg). Renal IR was performed by clamping the renal arteries bilaterally for 45 min, followed by reperfusion for 24 h, as described by Hu et al (34). Rats in sham operation groups underwent similar surgical interventions and were anesthetized but did not undergo bilateral renal pedicle clamping. Pio was dissolved in DMSO and injected i.p (10 mg/kg) as previously described (35). The drug was administered 2 h before sham operation or induction of ischemia in groups II and IV respectively, and 2 h after surgery in the IRI + postoperative (post) Pio group. Respiratory rate and pattern of rats was monitored every 10-15 min and rats were turned from side to side during the recovery period to promote a quicker recovery. Food and water intake was also monitored after recovery. At 24 h post-reperfusion, rats were euthanized via decapitation following anesthetization with 1.5 g/kg urethane (i.p). Death was verified by cessation of heartbeat and respiration, then bilateral nephrectomy was performed and each kidney was cut into two.

Renal function assessment

Blood samples (2 ml) taken from the abdominal aorta, 24 h after reperfusion, were left to clot for 15-30 min at room temperature, centrifuged at 3,000 x g at 4˚C for 10 min and supernatant was obtained to monitor renal function. Serum creatinine and blood urea nitrogen (BUN) levels were estimated using Rat Creatinine (cat. no. #MBS749827) and BUN ELISA kits (cat. no. #MBS2611086; both MyBioSource, Inc.), according to the manufacturer's instructions.

Biochemical analysis

The kidney specimens were rinsed in ice cold saline and homogenized using a Mixer Mill MM400 (Retsch GmbH) in phosphate buffer (pH 6-7). Tissue homogenate was centrifuged at 10,000 x g, 4˚C for 15 min. Supernatant was used for quantitative detection using ELISA kits, according to the manufacturer's instructions, as follows: Rat IL-1β (cat. no. E-EL-R0012; Elabscience Biotechnology, Inc.), IL-6 (cat. no. ab100772; Abcam), TNF-α (cat. no. E-CL-R0019) and TGF-β1 (cat. no. E-EL-0162; both Elabscience Biotechnology, Inc.), Arg-II (cat. no. MBS7216305) and iNOS ELISA kit (cat. no. MBS023874; both MyBioSource, Inc.).

Histopathological examination

The kidney samples were fixed in 10% buffered formalin (pH 7.8) for 72 h at room temperature, then sliced into very thin sections (4 µm), stained with hematoxylin and eosin and visualized using the high-power option of the light microscope (magnification, x400). Histopathological samples were scored using the system described by El-Nabarawy et al (36) as follows: -, no abnormal cellularity; +, minor focal lesions in 1-3 samples/group; ++, mild focal lesions in 4-6 samples/group; +++, moderate diffuse lesions in 4-6 samples/group and ++++, severe diffuse lesions in all samples.

Immunohistochemistry staining

Deparaffinized, rehydrated 4-µm tissue sections in descending alcohol series at room temperature were subjected to antigen-retrieval at 95˚C, then blocked by 0.3% H2O2 for 20 min at room temperature. Sections were incubated with anti-CD86 primary antibody (cat. no. bs-1035R; BIOSS USA; 1:150) overnight at 4˚C, washed with PBS, then incubated with secondary antibody HRP Envision kit (Dako; Agilent Technologies, Inc.) for 20 min and DAB for 15 min. Sections were washed with PBS, counterstained with hematoxylin, dehydrated and cleared in xylene and finally cover slipped for microscopic examination. A total of six non-overlapping fields were randomly selected and scanned from each sample for the determination of mean area percentage of immunohistochemical expression levels of CD86 positive cells. All light microscopic examination and morphometric data were obtained using Leica Application module for histological analysis attached to Full HD microscopic imaging system (Leica Microsystems GmbH).

Western blot analysis

Western blotting was performed to detect STAT3 expression levels. Total protein was extracted using RIPA lysis buffer (Sigma-Aldrich; Merck KGaA) and protein concentration was determined colorimetrically in kidney tissue samples using the Bradford method (37). A total of 25 µg protein/lane was mixed and boiled with SDS Loading buffer for 5 min. The solution was left to cool on ice for 7 min before loading into a 10% SDS-polyacrylamide gel and separated using the Cleaver electrophoresis unit (Cleaver Scientific Ltd., UK) and placed on PVDF membranes for 30 min via Semi-dry Electroblotter (Bio-Rad Laboratories, Inc.). Blocking was performed with 5% non-fat dry milk in Tris-buffered saline-0.05% Tween-20 (TBS-T), for 2 h at 37˚C. Incubation of the membrane was performed overnight at 4˚C with primary antibodies against STAT-3 (1:500; cat. no. ab119352; Abcam) and β-actin (1:500; cat. no. A5060; Sigma-Aldrich; Merck KGaA). Blots were washed three times (10 min each) using TBS-T, incubated at room temperature for 1 h using horseradish peroxidase-linked secondary antibodies (Dako; Agilent Technologies, Inc.), then washed three times (10 min each) with TBS-T. Chemiluminescent Western ECL substrate (PerkinElmer, Inc.) was applied according to the manufacturer's guidelines. Signals were captured using the Chemi Doc imager (Bio-Rad Laboratories, Inc.). Band intensity was normalized to β-actin.

Reverse transcription-quantitative (RT-q)PCR analysis of miRNA-124 gene expression

Total RNA was extracted from frozen kidney tissue samples using TRIzol™ Plus RNA Purification kit (cat. no. 12183555; Invitrogen; Thermo Fisher Scientific, Inc.) according to the manufacturer's guidelines. The concentration and purity of the RNA were determined by measuring the absorbance at 260 and 280 nm using a NanoDrop One spectrophotometer (Thermo Fisher Scientific, Inc.). Pure RNA has A260/A280 ratio of 1.8-2.1(38). Rat rno-mir-124 Real-time RT-PCR Detection and U6 Calibration kit (cat. no. MBS826191; MyBioSource, Inc.) was used for the detection and quantification of mir-124. RT was performed according to the Standard RT Reaction Program (30 min at 25˚C, 30 min at 42˚C, 5 min at 85˚C) followed by PCR reaction (95˚C for 3 min hold, 40 cycles of 95˚C, 12 sec; 62˚C, 40 sec) using Step One Plus Real-Time PCR System (Thermo Fisher Scientific, Inc.). The relative expression was calculated using the 2-∆∆Cq method described by Livak and Schmittgen (39). The results are expressed as the fold-change relative to the Sham operation + DMSO group.

Statistical analysis

Data are presented as the mean ± SD. Differences between groups were evaluated using one-way ANOVA followed by post hoc Tukey's test using Statistical Package for Social Science program, Version 16 (SPSS, Inc.). P≤0.05 was considered to indicate a statistically significant difference.

Results

Effect of Pio on serum levels of creatinine and BUN

Serum creatinine and BUN levels at 24 h after reperfusion were significantly increased in the renal IRI + DMSO group compared with the sham groups (Sham operation + DMSO, Sham operation + Pio). Administration of Pio prior to ischemia induction did not cause a significant decrease in serum creatinine and BUN levels compared with the renal IRI + DMSO, while its administration in the post-IR phase caused a significant decrease in the serum creatinine and BUN levels compared with the renal IRI + DMSO and the group administered Pio prior to ischemia induction (Fig. 1A and B).

Figure 1

Effect of Pioglitazone on the serum levels of creatinine and BUN. Serum (A) creatinine and (B) BUN at 24 h after renal IRI. *P<0.05 vs. Sham + DMSO group, **P<0.05 vs.Sham + Pio group, #P<0.05 vs. IRI + DMSO, $P<0.05 vs. IRI + prophylactic preoperative (pre) Pio. Data shown are means ± SD. BUN, blood urea nitrogen; IRI, ischemia reperfusion injury; Pio, pioglitazone; pre, preoperative; post, postoperative.

Effect of Pio on iNOS, Arg-II and proinflammatory cytokines levels

In the renal IRI + DMSO group, levels of pro-inflammatory cytokines (IL-6, IL-1 β and TNF-α), TGF-β and iNOS were significantly increased compared with the Sham groups (Sham operation + DMSO, Sham operation + Pio) (P<0.05; Table I). Administration of Pio prior to ischemia or post-IR caused a significant decrease in all assessed pro-inflammatory cytokines as well as iNOS levels compared with the IRI + DMSO group. A significant decrease in IL-1 β and iNOS levels was detected when Pio was administered in post-IR compared with administration before induction of ischemia. A significant decrease in Arg-II was demonstrated in the renal IRI + DMSO group compared with the sham groups (Sham operation + DMSO, Sham operation + Pio), while Pio administration prior to ischemia induction or in the post-IR phase significantly increased Arg-II.

Table I

iNOS, Arginase II and proinflammatory cytokines levels in renal tissue.

Table I

iNOS, Arginase II and proinflammatory cytokines levels in renal tissue.

ParameterSham + DMSO (n=10)Sham + Pio (n=10)IRI + DMSO (n=10)IRI + Pio pre (n=10)IRI + Pio post (n=10)
iNOS, pg/mg protein3.38±1.032.75±0.68 15.71±2.36a,b 6.38±1.54a,b,c 4.33±1.20c,d
Arginase-II, pg/mg protein3.12±0.763.40±0.70 2.32±0.74a,b 3.04±0.67c 3.66±0.65c
IL-6, pg/mg protein5.31±1.284.65±0.64 8.05±1.69a,b 6.69±0.72b,c 5.96±0.92c
IL-1 β, pg/mg protein5.79±0.903.90±0.81 18.59±3.55a,b 13.76±1.80a,b,c 6.75±1.23b,c,d
TNF-α, pg/mg protein10.77±1.229.12±1.84 55.69±15.09a,b 16.43±1.95c 11.82±1.52c
TGF-β, pg/mg protein16.48±1.1716.20±1.45 42.54±7.87a,b 21.84±2.02a,b,c 17.50±1.82c

[i] P<0.05 vs.

[ii] aSham + DMSO,

[iii] bSham + Pio,

[iv] cIRI + DMSO and

[v] dIRI + Pio pre. IRI, ischemia reperfusion injury; Pio, pioglitazone; pre, preoperative; post, postoperative; iNOS, inducible nitric oxide synthase.

Effect of Pio on histopathological changes in renal tissue samples

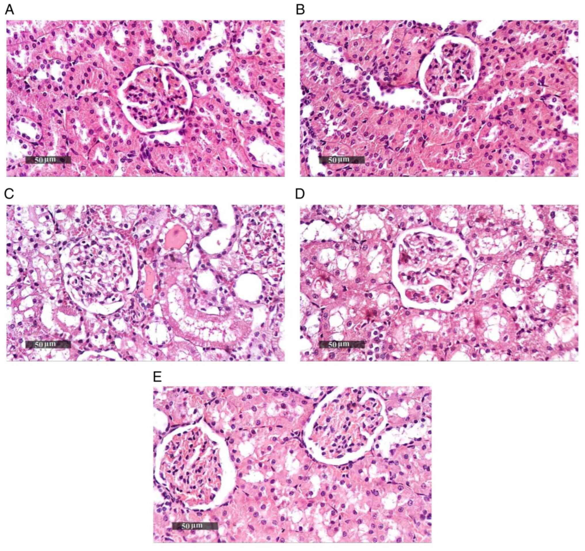
Sham groups (Sham operation + DMSO, Sham operation + Pio) showed normal histological features of renal parenchyma (both medullary and cortical components) with intact renal corpuscles and tubular segments with almost intact tubular epithelium as well as intact vasculature (Fig. 2A and B; Table II). Renal IRI + DMSO group showed notable degenerative alterations within the epithelium of tubules with moderate dilatation in different segments, occasional focal records of tubular necrosis with intraluminal casts, congested glomerular tufts and interstitial blood vessels (BVs) and mild inflammatory cell infiltrate (Fig. 2C). Pio administration prior to ischemia induction caused only a mild focal improvement of renal tissue architecture without notable protective efficacy (Fig. 2D), while Pio was effective at improving renal tissue architecture post-IR, as shown by the organized morphological features of renal parenchyma, notable protective efficacy on renal tubular epithelium, mild focal records of degenerated TECs, occasional nuclear pyknosis, mild congested interstitial BVs and glomerular tufts (Fig. 2E).

Figure 2

Photomicrographs of hematoxylin and eosin-stained renal tissue sections. (A) Sham + DMSO shows normal histological features of cortical and medullary components of renal parenchyma with apparently intact renal corpuscles and tubular segments with almost intact tubular epithelium as well as intact vasculature. (B) Sham + Pio shows almost the same records as Sham + DMSO without abnormal histological changes. (C) IRI + DMSO shows severe degenerative changes of tubular epithelium with moderate dilatation in different segments, occasional focal records of tubular necrosis with intraluminal casts, severe congested glomerular tufts, congested interstitial BVs and mild inflammatory cell infiltrate. (D) IRI + Pio pre shows almost the same records as IRI group without notable protective efficacy and mild focal improvement of renal tissue architecture. (E) IRI + Pio post shows more organized renal parenchyma with notable protective efficacy on renal tubular epithelium, mild focal records of degenerated tubular epithelial cells, occasional nuclear pyknosis and mild congested interstitial BVs and glomerular tufts. Magnification, x400. IRI, ischemia reperfusion injury; Pio, pioglitazone; pre, preoperative; post, postoperative; BVs, blood vessels.

Table II

Histopathological scoring of renal tissue samples.

Table II

Histopathological scoring of renal tissue samples.

Histopathological changesSham + DMSOSham + PioIRI + DMSOIRI + Pio preIRI + Pio post
Tubular degenerative changes--++++++++++
Tubular necrosis--+++-
Congested BVs--+++++++
Inflammatory cell infiltrates--+--

[i] -, no abnormal cellularity; +, minor focal lesions in 1-3 samples; ++, mild focal lesions in 4-6 samples; +++, moderate diffuse lesions in 4-6 samples and ++++, severe diffuse lesions in all samples; IRI, ischemia reperfusion injury; Pio, pioglitazone; pre, preoperative; post, postoperative; BV, blood vessel.

Effect of Pio on the expression of CD86 in renal tissue

IRI was a potent inducer for CD86 immunoexpression (Fig. 3). A significant increase in the mean area % of CD86 immunoexpression was detected in the IRI + DMSO, IRI + prophylactic preoperative (pre) Pio, IRI + post Pio groups (14.68, 6.58 and 3.95% respectively) compared with the Sham groups (Sham + DMSO, 0.67%; Sham + Pio, 0.52%). Pio, whether administered prior to ischemia induction or in the post-IR phase, caused a significant decrease in CD86 immunoexpression compared with the IRI + DMSO group. Moreover, the decrease in immunoexpression was more significant when Pio was administered in the post-IR phase.

Figure 3

Immunohistochemical detection of CD86 in renal tissue. (A) Sham + DMSO. (B) Sham + Pio. (C) IRI + DMSO (D) IRI + prophylactic preoperative (pre) Pio (E) IRI + postoperative (post) Pio. Magnification, x400. (F) Mean area % of CD86 immunoexpression. Data are expressed as the mean ± SD (n=6). *P<0.05 vs. Sham + DMSO; **P<0.05 vs. Sham + Pio; #P<0.05 vs. IRI + DMSO; $P<0.05 vs. IRI + prophylactic preoperative (pre) Pio. IRI, ischemia reperfusion injury; Pio, pioglitazone; pre, preoperative; post, postoperative.

Effect of Pio on expression of STAT3

Western blotting was performed to detect STAT3 expression levels. The renal IRI + DMSO group showed a significant increase in STAT3 expression compared with Sham groups (Sham operation + DMSO, Sham operation + Pio). Pio administration prior to ischemia did not cause a significant decrease in STAT3 compared with renal IRI + DMSO group, while its administration in the post-IR phase caused a significant decrease in STAT3 compared with the IRI + DMSO group (Fig. 4A and B).

Figure 4

Detection of STAT3 expression. (A) Western blotting for detection of STAT3 protein expression. (B) STAT3/β-actin ratio. *P<0.05 vs. Sham + DMSO; **P<0.05 vs. Sham + Pio; #P<0.05 vs. IRI + DMSO. Data are presented as the mean ± SD. IRI, ischemia reperfusion injury; Pio, pioglitazone; pre, preoperative; post, postoperative.

Effect of Pio on expression of miRNA-124 in renal tissue

miR-124 was significantly downregulated in renal tissue of IRI + DMSO group and the group administered Pio prior to ischemia compared with Sham groups (Sham operation + DMSO, Sham operation + Pio). Pio administration prior to ischemia caused a mild increase in miR-124 levels but was not significantly different compared with the IRI + DMSO. A marked increase in miR-124 expression was detected when Pio was administered in post-IR phase compared with IRI + DMSO and IRI + prophylactic preoperative (pre) Pio (Fig. 5).

Figure 5

miRNA-124 expression in renal tissue (n=10/group). *P<0.05 vs. Sham + DMSO; **P<0.05 vs. Sham + Pio; #P<0.05 vs. IRI + DMSO; $P<0.05 vs. IRI + prophylactic preoperative (pre) Pio. Data are presented as the mean ± SD. IRI, ischemia reperfusion injury; Pio, pioglitazone; pre, preoperative; post, postoperative; miRNA, microRNA.

Discussion

Inflammation serves a key role in the pathophysiology and development of renal ischemia-induced AKI (5,40). The tubulointerstitium and renal tubules, which are key sites that respond to injury, comprise a notable part of the kidney. Injured TECs directly (via autocrine function) or indirectly (infiltrating leukocytes via a paracrine process) increase production of inflammatory cytokines (41). TECs are considered key fibrogenic and inflammatory cells (42).

A medication which has been found to have protective functions against renal IRI mouse models is Pio, a synthetic ligand of PPAR-γ. The majority of studies has investigated the renoprotective effect of Pio in renal IR rat models with Pio administered prior to renal ischemia induction (35,43,44). The present study assessed the ability of Pio to provide protection prior to renal ischemia induction as well as in the post-IR to demonstrate the potential for acute use in AKI.

Here, Pio administration prior to ischemia or in the post-IR phase significantly decreased levels of TNF-α, IL-1β, IL-6, TGF- β and iNOS in renal tissue. Studies have found that PPARγ agonists inhibit inflammation by stopping inflammatory factor synthesis and signaling pathways (45,46).

Notably, two markers of inflammation, iNOS and IL-1β, were significantly decreased in the group administered Pio in the post-IR phase demonstrating the specific differential action of Pio and further supports the findings of previous studies demonstrated the specific effect of PPARγ on iNOS expression and IL-1β levels (47-49). According to Crosby et al (50), in mesangial cells, PPARγ agonists directly inhibit iNOS transcription as well as NO production. PPARγ is a negative regulator of NLRP3 inflammasome activation. PPARγ binding sites are located in the promoter regions of a member of the NLRP3 family, which decrease downstream molecules (such as IL-1β). Activating the NLRP3 inflammasome is associated with renal injury and inflammation in cases of I/R-induced AKI (51-54).

One of the most important reno-protective mechanisms of PPARγ agonists is mediated by inhibitory action on iNOS, as NO generated by iNOS contributes notably to renal IRI. NO reacts with superoxide anion to form peroxynitrite. Peroxynirtrite induces injury by direct oxidant injury and protein tyrosine nitration (55). Furthermore, several studies have reported that inactivation of iNOS expression and activity ameliorates NO-mediated renal injury (11,56,57).

The results of the present study showed significantly decreased levels of Arg-II in the IRI + DMSO group, while Pio increased Arg-II levels. Inhibitory effects of PPARγ agonists on iNOS expression increase the concentration of arginine, a substance used by both Arg and NOS enzymes, resulting in the stimulation of Arg expression (58). Erbas et al (59) reported that the inhibitory effects of N-Acetylcysteine on iNOS activity increased arginine availability, which caused an increase in Arg activity.

In general, the observed decrease in pro-inflammatory cytokines as well as iNOS in the group administered Pio in the post-IR phase compared with dosing prior to ischemia may be associated with Pio pharmacokinetics including time at maximum plasma concentration and elimination half-life.

The present histopathological changes demonstrated the reno-protective effects of Pio administration and confirmed that increased expression of iNOS contributed to increased IR- mediated renal tissue injury. The group given Pio in the post-IR phase showed significantly lower iNOS levels with notably decreased histological evidence of IR-mediated renal tissue injury compared with the group given Pio prior to renal ischemia induction.

To assess the role of TECs as drivers of inflammation, kidney tissue was stained for CD86 to investigate whether they served as APCs. There is conflicting data in terms of expression of CD80 and CD86, which are needed for the activation of CD4+ T cells, in renal epithelium (60,61). The results of the study showed that IRI was a potent inducer for CD86 expression in TECs. Breda et al (62) observed high expression of CD86 in proximal tubular epithelial cells and suggested an inflammation-dependent regulation of epithelium-expressed CD80 and CD86. Niemann-Masanek et al (63) reported that, in addition to generating pro-inflammatory cytokines and chemokines, tubular cells also express complement and their receptors, toll-like receptors, and co-stimulatory molecules (such as CD80 and CD86) which interact with CD28 on T lymphocytes to facilitate production of cytokines.

The present results revealed that Pio administration significantly suppressed the expression of CD86. This raises the question of which mechanism underlies the inhibitory effect of PPARγ agonists on CD86 expression in tubular epithelial cells.

To understand the molecular mechanisms in IRI, expression of STAT3 was assessed in renal tissue as its dysregulated activation is implicated in various types of kidney disease. Here, STAT3 expression was significantly increased in IRI + DMSO group and Pio administration in the post-IR phase significantly decreased STAT3 expression. Evidence suggests therapeutic potential for STAT3 inhibition in numerous pathological renal models, but results of STAT3 inhibition role in AKI is contradictory (24,26). To clarify the mechanism by which PPARγ agonists suppresses expression of STAT3, the present study assessed the levels of miRNA-124 expression in kidney tissue as it negatively regulates inflammation by targeting several pathways. Previous studies have reported that miRNA-124 targets STAT3 3' untranslated region and inhibits protein translation (32,64-67). The present study showed a significant downregulation of miRNA-124 in the IRI + DMSO group. Pio administered in the post-IR phase significantly upregulated miRNA-124 expression, which explains the significant decrease in STAT3 expression observed in this group. These findings support those of Wang et al (31) who demonstrated that activation of PPARγ upregulates miRNA-124 and inhibits miRNA-124 target genes.

To conclude, the present study demonstrated that tubular epithelium serves an important role in the inflammatory response in kidney IRI, not only generating proinflammatory cytokines which activate inflammatory cells, but also expressing CD86, which is required for T lymphocyte activity regulation. Targeting STAT3 by enhancing expression of miRNA-124 may exert beneficial anti-inflammatory effects in kidney IRI. The molecular mechanism by which Pio exerted its anti-inflammatory effect includes upregulation of miRNA-124 with subsequent inhibition of STAT3 expression. Better understanding of the molecular aspects underlying the inflammatory component in kidney IRI may provide novel therapeutic strategies to attenuate inflammation.

Acknowledgements

Not applicable.

Funding

Funding: No funding was received.

Availability of data and materials

The datasets used and/or analyzed during the current study are available from the corresponding author on reasonable request.

Authors' contributions

WBEG conceived the study, designed and performed the experiments and wrote and edited the manuscript. MMA conceived the study, designed and performed the experiments and edited the manuscript. SAS wrote the manuscript and contributed to analysis and interpretation of the data. LAM and HEN designed and performed the experiments and wrote the manuscript. AMS performed the histological examination of the kidney and wrote the manuscript. WBEG and MMA confirm the authenticity of all raw data. All authors have read and approved the final manuscript.

Ethics approval and consent to participate

The present study was approved by the Research Ethics Committee, Benha Faculty of Medicine, Benha University, Egypt (approval no. RC.11.6. 2022).

Patient consent for publication

Not applicable.

Competing interests

The authors declare that they have no competing interests.

References

1 

Han SJ and Lee HT: Mechanisms and therapeutic targets of ischemic acute kidney injury. Kidney Res Clin Pract. 38:427–440. 2019.PubMed/NCBI View Article : Google Scholar

2 

Jia P, Xu S, Ren T, Pan T, Wang X, Zhang Y, Zou Z, Guo M, Zeng Q, Shen B and Ding X: LncRNA IRAR regulates chemokines production in tubular epithelial cells thus promoting kidney ischemia-reperfusion injury. Cell Death Dis. 13(562)2022.PubMed/NCBI View Article : Google Scholar

3 

Sharfuddin AA and Molitoris BA: Pathophysiology of ischemic acute kidney injury. Nat Rev Nephrol. 7:189–200. 2011.PubMed/NCBI View Article : Google Scholar

4 

Funk JA and Schnellmann RG: Persistent disruption of mitochondrial homeostasis after acute kidney injury. Am J Physiol Renal Physiol. 302:F853–F864. 2012.PubMed/NCBI View Article : Google Scholar

5 

Bonventre JV and Zuk A: Ischemic acute renal failure: An inflammatory disease? Kidney Int. 66:480–485. 2004.PubMed/NCBI View Article : Google Scholar

6 

Wang Y, Chang J, Yao B, Niu A, Kelly E, Breeggemann MC, Abboud Werner SL, Harris RC and Zhang MZ: Proximal tubule-derived colony stimulating factor-1 mediates polarization of renal macrophages and dendritic cells, and recovery in acute kidney injury. Kidney Int. 88:1274–1282. 2015.PubMed/NCBI View Article : Google Scholar

7 

Huen SC, Huynh L, Marlier A, Lee Y, Moeckel GW and Cantley LG: GM-CSF promotes macrophage alternative activation after renal ischemia/reperfusion injury. J Am Soc Nephrol. 26:1334–1345. 2015.PubMed/NCBI View Article : Google Scholar

8 

Cinelli MA, Do HT, Miley GP and Silverman RB: Inducible nitric oxide synthase: Regulation, structure, and inhibition. Med Res Rev. 40:158–189. 2020.PubMed/NCBI View Article : Google Scholar

9 

Joles JA, Vos IH, Gröne HJ and Rabelink TJ: Inducible nitric oxide synthase in renal transplantation. Kidney Int. 61:872–875. 2002.PubMed/NCBI View Article : Google Scholar

10 

Mark LA, Robinson AV and Schulak JA: Inhibition of nitric oxide synthase reduces renal ischemia/reperfusion injury. J Surg Res. 129:236–241. 2005.PubMed/NCBI View Article : Google Scholar

11 

Chatterjee PK, Patel NS, Kvale EO, Cuzzocrea S, Brown PA, Stewart KN, Mota-Filipe H and Thiemermann C: Inhibition of inducible nitric oxide synthase reduces renal ischemia/reperfusion injury. Kidney Int. 61:862–871. 2002.PubMed/NCBI View Article : Google Scholar

12 

Levillain O, Balvay S and Peyrol S: Localization and differential expression of arginase II in the kidney of male and female mice. Pflugers Arch. 449:491–503. 2005.PubMed/NCBI View Article : Google Scholar

13 

Marselli L, Bosi E, De Luca C, Del Guerra S, Tesi M, Suleiman M and Marchetti P: Arginase 2 and polyamines in human pancreatic beta cells: Possible role in the pathogenesis of type 2 diabetes. Int J Mol Sci. 22(12099)2021.PubMed/NCBI View Article : Google Scholar

14 

Marathe C, Bradley MN, Hong C, Lopez F, Ruiz de Galarreta CM, Tontonoz P and Castrillo A: The arginase II gene is an anti-inflammatory target of liver X receptor in macrophages. J Biol Chem. 281:32197–32206. 2006.PubMed/NCBI View Article : Google Scholar

15 

Zhong Z, Wen Z and Darnell JE Jr: Stat3: A STAT family member activated by tyrosine phosphorylation in response to epidermal growth factor and interleukin-6. Science. 264:95–98. 1994.PubMed/NCBI View Article : Google Scholar

16 

Aggarwal BB, Kunnumakkara AB, Harikumar KB, Gupta SR, Tharakan ST, Koca C, Dey S and Sung B: Signal transducer and activator of transcription-3, inflammation, and cancer: How intimate is the relationship? Ann N Y Acad Sci. 1171:59–76. 2009.PubMed/NCBI View Article : Google Scholar

17 

Billing U, Jetka T, Nortmann L, Wundrack N, Komorowski M, Waldherr S, Schaper F and Dittrich A: Robustness and information transfer within IL-6-induced JAK/STAT signalling. Commun Biol. 2(27)2019.PubMed/NCBI View Article : Google Scholar

18 

Yu H, Pardoll D and Jove R: STATs in cancer inflammation and immunity: A leading role for STAT3. Nat Rev Cancer. 9:798–809. 2009.PubMed/NCBI View Article : Google Scholar

19 

Zheng C, Huang L, Luo W, Yu W, Hu X, Guan X, Cai Y, Zou C, Yin H, Xu Z, et al: Inhibition of STAT3 in tubular epithelial cells prevents kidney fibrosis and nephropathy in STZ-induced diabetic mice. Cell Death Dis. 10(848)2019.PubMed/NCBI View Article : Google Scholar

20 

Feng X, Lu TC, Chuang PY, Fang W, Ratnam K, Xiong H, Ouyang X, Shen Y, Levy DE, Hyink D, et al: Reduction of Stat3 activity attenuates HIV-induced kidney injury. J Am Soc Nephrol. 20:2138–2146. 2009.PubMed/NCBI View Article : Google Scholar

21 

Pang M, Ma L, Gong R, Tolbert E, Mao H, Ponnusamy M, Chin YE, Yan H, Dworkin LD and Zhuang S: A novel STAT3 inhibitor, S3I-201, attenuates renal interstitial fibroblast activation and interstitial fibrosis in obstructive nephropathy. Kidney Int. 78:257–268. 2010.PubMed/NCBI View Article : Google Scholar

22 

Si Y, Bao H, Han L, Shi H, Zhang Y, Xu L, Liu C, Wang J, Yang X, Vohra A and Ma D: Dexmedetomidine protects against renal ischemia and reperfusion injury by inhibiting the JAK/STAT signaling activation. J Transl Med. 11(141)2013.PubMed/NCBI View Article : Google Scholar

23 

Zhao X, Zhang E, Ren X, Bai X, Wang D, Bai L, Luo D, Guo Z, Wang Q and Yang J: Edaravone alleviates cell apoptosis and mitochondrial injury in ischemia-reperfusion-induced kidney injury via the JAK/STAT pathway. Biol Res. 53(28)2020.PubMed/NCBI View Article : Google Scholar

24 

Xu MJ, Feng D, Wang H, Guan Y, Yan X and Gao B: IL-22 ameliorates renal ischemia-reperfusion injury by targeting proximal tubule epithelium. J Am Soc Nephrol. 25:967–977. 2014.PubMed/NCBI View Article : Google Scholar

25 

Dube S, Matam T, Yen J, Mang HE, Dagher PC, Hato T and Sutton TA: Endothelial STAT3 modulates protective mechanisms in a mouse ischemia-reperfusion model of acute kidney injury. J Immunol Res. 2017(4609502)2017.PubMed/NCBI View Article : Google Scholar

26 

Pace J, Paladugu P, Das B, He JC and Mallipattu SK: Targeting STAT3 signaling in kidney disease. Am J Physiol Renal Physiol. 316:F1151–F1161. 2019.PubMed/NCBI View Article : Google Scholar

27 

Park JY, Yoo KD, Bae E, Kim KH, Lee JW, Shin SJ, Lee JS, Kim YS and Yang SH: Blockade of STAT3 signaling alleviates the progression of acute kidney injury to chronic kidney disease through antiapoptosis. Am J Physiol Renal Physiol. 322:F553–F572. 2022.PubMed/NCBI View Article : Google Scholar

28 

Kersten S, Desvergne B and Wahli W: Roles of PPARs in health and disease. Nature. 405:421–424. 2000.PubMed/NCBI View Article : Google Scholar

29 

Park EJ, Park SY, Joe EH and Jou I: 15d-PGJ2 and rosiglitazone suppress Janus kinase-STAT inflammatory signaling through induction of suppressor of cytokine signaling 1 (SOCS1) and SOCS3 in glia. J Biol Chem. 278:14747–14752. 2003.PubMed/NCBI View Article : Google Scholar

30 

Kapadia R, Yi JH and Vemuganti R: Mechanisms of anti-inflammatory and neuroprotective actions of PPAR-gamma agonists. Front Biosci. 13:1813–1826. 2008.PubMed/NCBI View Article : Google Scholar

31 

Wang D, Shi L, Xin W, Xu J, Xu J, Li Q, Xu Z, Wang J, Wang G, Yao W, et al: Activation of PPARγ inhibits pro-inflammatory cytokines production by upregulation of miR-124 in vitro and in vivo. Biochem Biophys Res Commun. 486:726–731. 2007.PubMed/NCBI View Article : Google Scholar

32 

Sun Y, Li Q, Gui H, Xu DP, Yang YL, Su DF and Liu X: MicroRNA-124 mediates the cholinergic anti-inflammatory action through inhibiting the production of pro-inflammatory cytokines. Cell Res. 23:1270–1283. 2013.PubMed/NCBI View Article : Google Scholar

33 

Committee for the Update of the Guide for the Care and Use of Laboratory Animals, Institute for Laboratory Animal Research, Division on Earth and Life Studies, National Research Council. Guide for the care and use of laboratory animals. 8th edition. National Academies Press, 2010.

34 

Hu H, Zou C, Xi X, Shi Z, Wang G and Huang X: Protective effects of pioglitazone on renal ischemia-reperfusion injury in mice. J Surg Res. 178:460–465. 2012.PubMed/NCBI View Article : Google Scholar

35 

Zou C, Hu H, Xi X, Shi Z, Wang G and Huang X: Pioglitazone protects against renal ischemia-reperfusion injury by enhancing antioxidant capacity. J Surg Res. 184:1092–1095. 2013.PubMed/NCBI View Article : Google Scholar

36 

El-Nabarawy NA, Gouda AS, Khattab MA and Rashed LA: Effects of nitrite graded doses on hepatotoxicity and nephrotoxicity, histopathological alterations, and activation of apoptosis in adult rats. Environ Sci Pollut Res Int. 27:14019–14032. 2020.PubMed/NCBI View Article : Google Scholar

37 

Bradford MM: A rapid and sensitive method for the quantitation of microgram quantities of protein utilizing the principle of protein-dye binding. Anal Biochem. 72:248–254. 1976.PubMed/NCBI View Article : Google Scholar

38 

Lucena-Aguilar G, Sánchez-López AM, Barberán-Aceituno C, Carrillo-Ávila JA, López-Guerrero JA and Aguilar-Quesada R: DNA source selection for downstream applications based on DNA quality indicators analysis. Biopreserv Biobank. 14:264–270. 2016.PubMed/NCBI View Article : Google Scholar

39 

Livak KJ and Schmittgen TD: Analysis of relative gene expression data using real-time quantitative PCR and the 2(-Delta Delta C(T)) method. Methods. 25:402–408. 2001.PubMed/NCBI View Article : Google Scholar

40 

Zuk A and Bonventre JV: Recent advances in acute kidney injury and its consequences and impact on chronic kidney disease. Curr Opin Nephrol Hypertens. 28:397–405. 2019.PubMed/NCBI View Article : Google Scholar

41 

Ding C, Zheng J, Wang B, Li Y, Xiang H, Dou M, Qiao Y, Tian P, Ding X and Xue W: Exosomal MicroRNA-374b-5p from tubular epithelial cells promoted M1 macrophages activation and worsened renal ischemia/reperfusion injury. Front Cell Dev Biol. 8(587693)2020.PubMed/NCBI View Article : Google Scholar

42 

Liu BC, Tang TT, Lv LL and Lan HY: Renal tubule injury: A driving force toward chronic kidney disease. Kidney Int. 93:568–579. 2018.PubMed/NCBI View Article : Google Scholar

43 

Chen W, Xi X, Zhang S, Zou C, Kuang R, Ye Z, Huang Y and Hu H: Pioglitazone protects against renal ischemia-reperfusion injury via the AMP-activated protein kinase-regulated autophagy pathway. Front Pharmacol. 9(851)2018.PubMed/NCBI View Article : Google Scholar

44 

Zou G, Zhou Z, Xi X, Huang R and Hu H: Pioglitazone ameliorates renal ischemia-reperfusion injury via inhibition of NF-κB activation and inflammation in rats. Front Physiol. 12(707344)2021.PubMed/NCBI View Article : Google Scholar

45 

Li Q, Tian Z, Wang M, Kou J, Wang C, Rong X, Li J, Xie X and Pang X: Luteoloside attenuates neuroinflammation in focal cerebral ischemia in rats via regulation of the PPARγ/Nrf2/NF-κB signaling pathway. Int Immunopharmacol. 66:309–316. 2019.PubMed/NCBI View Article : Google Scholar

46 

Ding Y, Kang J, Liu S, Xu Y and Shao B: The protective effects of peroxisome proliferator-activated receptor gamma in cerebral ischemia-reperfusion injury. Front Neurol. 11(588516)2020.PubMed/NCBI View Article : Google Scholar

47 

Hiben MG, de Haan L, Spenkelink B, Wesseling S, Vervoort J and Rietjens IMCM: Induction of peroxisome proliferator activated receptor γ (PPARγ) mediated gene expression and inhibition of induced nitric oxide production by Maerua subcordata (Gilg) DeWolf. BMC Complement Med Ther. 20(80)2020.PubMed/NCBI View Article : Google Scholar

48 

Hong W, Hu S, Zou J, Xiao J, Zhang X, Fu C, Feng X and Ye Z: Peroxisome proliferator-activated receptor γ prevents the production of NOD-like receptor family, pyrin domain containing 3 inflammasome and interleukin 1β in HK-2 renal tubular epithelial cells stimulated by monosodium urate crystals. Mol Med Rep. 12:6221–6226. 2015.PubMed/NCBI View Article : Google Scholar

49 

Ramirez-Moral I, Ferreira BL, de Vos AF and van der Poll T: Post-treatment with the PPAR-γ agonist pioglitazone inhibits inflammation and bacterial growth during Klebsiella pneumonia. Respir Res. 22(230)2021.PubMed/NCBI View Article : Google Scholar

50 

Crosby MB, Svenson J, Gilkeson GS and Nowling TK: A novel PPAR response element in the murine iNOS promoter. Mol Immunol. 42:1303–1310. 2005.PubMed/NCBI View Article : Google Scholar

51 

Yin F, Zheng PQ, Zhao LQ, Wang YZ, Miao NJ, Zhou ZL, Cheng Q, Chen PP, Xie HY, Li JY, et al: Caspase-11 promotes NLRP3 inflammasome activation via the cleavage of pannexin1 in acute kidney disease. Acta Pharmacol Sin. 43:86–95. 2022.PubMed/NCBI View Article : Google Scholar

52 

Wang Y, Yu B, Wang L, Yang M, Xia Z, Wei W, Zhang F and Yuan X: Pioglitazone ameliorates glomerular NLRP3 inflammasome activation in apolipoprotein E knockout mice with diabetes mellitus. PLoS One. 12(e0181248)2017.PubMed/NCBI View Article : Google Scholar

53 

Wang X, Li R, Wang X, Fu Q and Ma S: Umbelliferone ameliorates cerebral ischemia-reperfusion injury via upregulating the PPAR gamma expression and suppressing TXNIP/NLRP3 inflammasome. Neurosci Lett. 600:182–187. 2015.PubMed/NCBI View Article : Google Scholar

54 

Meng QQ, Feng ZC, Zhang XL, Hu LQ, Wang M, Zhang HF and Li SM: PPAR-γ activation exerts an anti-inflammatory effect by suppressing the NLRP3 inflammasome in spinal cord-derived neurons. Mediators Inflamm. 2019(6386729)2019.PubMed/NCBI View Article : Google Scholar

55 

Bartesaghi S and Radi R: Fundamentals on the biochemistry of peroxynitrite and protein tyrosine nitration. Redox Biol. 14:618–625. 2018.PubMed/NCBI View Article : Google Scholar

56 

Wang M, Deng J, Lai H, Lai Y, Meng G, Wang Z, Zhou Z, Chen H, Yu Z, Li S and Jiang H: Vagus nerve stimulation ameliorates renal ischemia-reperfusion injury through inhibiting NF-κB activation and iNOS protein expression. Oxid Med Cell Longev. 2020(7106525)2020.PubMed/NCBI View Article : Google Scholar

57 

Korkmaz A and Kolankaya D: Inhibiting inducible nitric oxide synthase with rutin reduces renal ischemia/reperfusion injury. Can J Surg. 56:6–14. 2013.PubMed/NCBI View Article : Google Scholar

58 

Aydogdu N, Erbas H, Atmaca G, Erten O and Kaymak K: Melatonin reduces nitric oxide via increasing arginase in rhabdomyolysis-induced acute renal failure in rats. Ren Fail. 28:435–440. 2006.PubMed/NCBI View Article : Google Scholar

59 

Erbas H, Aydogdu N and Kaymak K: Effects of N-acetylcysteine on arginase, ornithine and nitric oxide in renal ischemia-reperfusion injury. Pharmacol Res. 50:523–527. 2004.PubMed/NCBI View Article : Google Scholar

60 

Waeckerle-Men Y, Starke A, Wahl PR and Wüthrich RP: Limited costimulatory molecule expression on renal tubular epithelial cells impairs T cell activation. Kidney Blood Press Res. 30:421–429. 2007.PubMed/NCBI View Article : Google Scholar

61 

Hagerty DT, Evavold BD and Allen PM: Regulation of the costimulator B7, not class II major histocompatibility complex, restricts the ability of murine kidney tubule cells to stimulate CD4+ T cells. J Clin Invest. 93:1208–1215. 1994.PubMed/NCBI View Article : Google Scholar

62 

Breda PC, Wiech T, Meyer-Schwesinger C, Grahammer F, Huber T, Panzer U, Tiegs G and Neumann K: Renal proximal tubular epithelial cells exert immunomodulatory function by driving inflammatory CD4+ T cell responses. Am J Physiol Renal Physiol. 317:F77–F89. 2019.PubMed/NCBI View Article : Google Scholar

63 

Niemann-Masanek U, Mueller A, Yard BA, Waldherr R and van der Woude FJ: B7-1 (CD80) and B7-2 (CD 86) expression in human tubular epithelial cells in vivo and in vitro. Nephron. 92:542–556. 2002.PubMed/NCBI View Article : Google Scholar

64 

Xiao YT, Wang J, Lu W, Cao Y and Cai W: Downregulated expression of microRNA-124 in pediatric intestinal failure patients modulates macrophages activation by inhibiting STAT3 and AChE. Cell Death Dis. 7(e2521)2016.PubMed/NCBI View Article : Google Scholar

65 

Koukos G, Polytarchou C, Kaplan JL, Morley-Fletcher A, Gras-Miralles B, Kokkotou E, Baril-Dore M, Pothoulakis C, Winter HS and Iliopoulos D: MicroRNA-124 regulates STAT3 expression and is down-regulated in colon tissues of pediatric patients with ulcerative colitis. Gastroenterology. 145:842–852.e2. 2013.PubMed/NCBI View Article : Google Scholar

66 

Wang S, Wu G, Han Y, Song P, Chen J, Wu Y, Yang J and Liang P: miR-124 regulates STAT3-mediated cell proliferation, migration and apoptosis in bladder cancer. Oncol Lett. 16:5875–5881. 2018.PubMed/NCBI View Article : Google Scholar

67 

Lin S, Liu Q, Wen J, Bai K, Guo Y and Wang J: Mir-124 attenuates STAT3-mediated TH17 differentiation in colitis-driven colon cancer. Front Oncol. 10(570128)2020.PubMed/NCBI View Article : Google Scholar

Related Articles

  • Abstract
  • View
  • Download
  • Twitter
Copy and paste a formatted citation
Spandidos Publications style
El Gazzar WB, Allam MM, Shaltout SA, Mohammed LA, Sadek AM and Nasr HE: Pioglitazone modulates immune activation and ameliorates inflammation induced by injured renal tubular epithelial cells via PPARγ/miRNA‑124/STAT3 signaling. Biomed Rep 18: 2, 2023.
APA
El Gazzar, W.B., Allam, M.M., Shaltout, S.A., Mohammed, L.A., Sadek, A.M., & Nasr, H.E. (2023). Pioglitazone modulates immune activation and ameliorates inflammation induced by injured renal tubular epithelial cells via PPARγ/miRNA‑124/STAT3 signaling. Biomedical Reports, 18, 2. https://doi.org/10.3892/br.2022.1584
MLA
El Gazzar, W. B., Allam, M. M., Shaltout, S. A., Mohammed, L. A., Sadek, A. M., Nasr, H. E."Pioglitazone modulates immune activation and ameliorates inflammation induced by injured renal tubular epithelial cells via PPARγ/miRNA‑124/STAT3 signaling". Biomedical Reports 18.1 (2023): 2.
Chicago
El Gazzar, W. B., Allam, M. M., Shaltout, S. A., Mohammed, L. A., Sadek, A. M., Nasr, H. E."Pioglitazone modulates immune activation and ameliorates inflammation induced by injured renal tubular epithelial cells via PPARγ/miRNA‑124/STAT3 signaling". Biomedical Reports 18, no. 1 (2023): 2. https://doi.org/10.3892/br.2022.1584
Copy and paste a formatted citation
x
Spandidos Publications style
El Gazzar WB, Allam MM, Shaltout SA, Mohammed LA, Sadek AM and Nasr HE: Pioglitazone modulates immune activation and ameliorates inflammation induced by injured renal tubular epithelial cells via PPARγ/miRNA‑124/STAT3 signaling. Biomed Rep 18: 2, 2023.
APA
El Gazzar, W.B., Allam, M.M., Shaltout, S.A., Mohammed, L.A., Sadek, A.M., & Nasr, H.E. (2023). Pioglitazone modulates immune activation and ameliorates inflammation induced by injured renal tubular epithelial cells via PPARγ/miRNA‑124/STAT3 signaling. Biomedical Reports, 18, 2. https://doi.org/10.3892/br.2022.1584
MLA
El Gazzar, W. B., Allam, M. M., Shaltout, S. A., Mohammed, L. A., Sadek, A. M., Nasr, H. E."Pioglitazone modulates immune activation and ameliorates inflammation induced by injured renal tubular epithelial cells via PPARγ/miRNA‑124/STAT3 signaling". Biomedical Reports 18.1 (2023): 2.
Chicago
El Gazzar, W. B., Allam, M. M., Shaltout, S. A., Mohammed, L. A., Sadek, A. M., Nasr, H. E."Pioglitazone modulates immune activation and ameliorates inflammation induced by injured renal tubular epithelial cells via PPARγ/miRNA‑124/STAT3 signaling". Biomedical Reports 18, no. 1 (2023): 2. https://doi.org/10.3892/br.2022.1584
Follow us
  • Twitter
  • LinkedIn
  • Facebook
About
  • Spandidos Publications
  • Careers
  • Cookie Policy
  • Privacy Policy
How can we help?
  • Help
  • Live Chat
  • Contact
  • Email to our Support Team