Spandidos Publications Logo
  • About
    • About Spandidos
    • Aims and Scopes
    • Abstracting and Indexing
    • Editorial Policies
    • Reprints and Permissions
    • Job Opportunities
    • Terms and Conditions
    • Contact
  • Journals
    • All Journals
    • Oncology Letters
      • Oncology Letters
      • Information for Authors
      • Editorial Policies
      • Editorial Board
      • Aims and Scope
      • Abstracting and Indexing
      • Bibliographic Information
      • Archive
    • International Journal of Oncology
      • International Journal of Oncology
      • Information for Authors
      • Editorial Policies
      • Editorial Board
      • Aims and Scope
      • Abstracting and Indexing
      • Bibliographic Information
      • Archive
    • Molecular and Clinical Oncology
      • Molecular and Clinical Oncology
      • Information for Authors
      • Editorial Policies
      • Editorial Board
      • Aims and Scope
      • Abstracting and Indexing
      • Bibliographic Information
      • Archive
    • Experimental and Therapeutic Medicine
      • Experimental and Therapeutic Medicine
      • Information for Authors
      • Editorial Policies
      • Editorial Board
      • Aims and Scope
      • Abstracting and Indexing
      • Bibliographic Information
      • Archive
    • International Journal of Molecular Medicine
      • International Journal of Molecular Medicine
      • Information for Authors
      • Editorial Policies
      • Editorial Board
      • Aims and Scope
      • Abstracting and Indexing
      • Bibliographic Information
      • Archive
    • Biomedical Reports
      • Biomedical Reports
      • Information for Authors
      • Editorial Policies
      • Editorial Board
      • Aims and Scope
      • Abstracting and Indexing
      • Bibliographic Information
      • Archive
    • Oncology Reports
      • Oncology Reports
      • Information for Authors
      • Editorial Policies
      • Editorial Board
      • Aims and Scope
      • Abstracting and Indexing
      • Bibliographic Information
      • Archive
    • Molecular Medicine Reports
      • Molecular Medicine Reports
      • Information for Authors
      • Editorial Policies
      • Editorial Board
      • Aims and Scope
      • Abstracting and Indexing
      • Bibliographic Information
      • Archive
    • World Academy of Sciences Journal
      • World Academy of Sciences Journal
      • Information for Authors
      • Editorial Policies
      • Editorial Board
      • Aims and Scope
      • Abstracting and Indexing
      • Bibliographic Information
      • Archive
    • International Journal of Functional Nutrition
      • International Journal of Functional Nutrition
      • Information for Authors
      • Editorial Policies
      • Editorial Board
      • Aims and Scope
      • Abstracting and Indexing
      • Bibliographic Information
      • Archive
    • International Journal of Epigenetics
      • International Journal of Epigenetics
      • Information for Authors
      • Editorial Policies
      • Editorial Board
      • Aims and Scope
      • Abstracting and Indexing
      • Bibliographic Information
      • Archive
    • Medicine International
      • Medicine International
      • Information for Authors
      • Editorial Policies
      • Editorial Board
      • Aims and Scope
      • Abstracting and Indexing
      • Bibliographic Information
      • Archive
  • Articles
  • Information
    • Information for Authors
    • Information for Reviewers
    • Information for Librarians
    • Information for Advertisers
    • Conferences
  • Language Editing
Spandidos Publications Logo
  • About
    • About Spandidos
    • Aims and Scopes
    • Abstracting and Indexing
    • Editorial Policies
    • Reprints and Permissions
    • Job Opportunities
    • Terms and Conditions
    • Contact
  • Journals
    • All Journals
    • Biomedical Reports
      • Information for Authors
      • Editorial Policies
      • Editorial Board
      • Aims and Scope
      • Abstracting and Indexing
      • Bibliographic Information
      • Archive
    • Experimental and Therapeutic Medicine
      • Information for Authors
      • Editorial Policies
      • Editorial Board
      • Aims and Scope
      • Abstracting and Indexing
      • Bibliographic Information
      • Archive
    • International Journal of Epigenetics
      • Information for Authors
      • Editorial Policies
      • Editorial Board
      • Aims and Scope
      • Abstracting and Indexing
      • Bibliographic Information
      • Archive
    • International Journal of Functional Nutrition
      • Information for Authors
      • Editorial Policies
      • Editorial Board
      • Aims and Scope
      • Abstracting and Indexing
      • Bibliographic Information
      • Archive
    • International Journal of Molecular Medicine
      • Information for Authors
      • Editorial Policies
      • Editorial Board
      • Aims and Scope
      • Abstracting and Indexing
      • Bibliographic Information
      • Archive
    • International Journal of Oncology
      • Information for Authors
      • Editorial Policies
      • Editorial Board
      • Aims and Scope
      • Abstracting and Indexing
      • Bibliographic Information
      • Archive
    • Medicine International
      • Information for Authors
      • Editorial Policies
      • Editorial Board
      • Aims and Scope
      • Abstracting and Indexing
      • Bibliographic Information
      • Archive
    • Molecular and Clinical Oncology
      • Information for Authors
      • Editorial Policies
      • Editorial Board
      • Aims and Scope
      • Abstracting and Indexing
      • Bibliographic Information
      • Archive
    • Molecular Medicine Reports
      • Information for Authors
      • Editorial Policies
      • Editorial Board
      • Aims and Scope
      • Abstracting and Indexing
      • Bibliographic Information
      • Archive
    • Oncology Letters
      • Information for Authors
      • Editorial Policies
      • Editorial Board
      • Aims and Scope
      • Abstracting and Indexing
      • Bibliographic Information
      • Archive
    • Oncology Reports
      • Information for Authors
      • Editorial Policies
      • Editorial Board
      • Aims and Scope
      • Abstracting and Indexing
      • Bibliographic Information
      • Archive
    • World Academy of Sciences Journal
      • Information for Authors
      • Editorial Policies
      • Editorial Board
      • Aims and Scope
      • Abstracting and Indexing
      • Bibliographic Information
      • Archive
  • Articles
  • Information
    • For Authors
    • For Reviewers
    • For Librarians
    • For Advertisers
    • Conferences
  • Language Editing
Login Register Submit
  • This site uses cookies
  • You can change your cookie settings at any time by following the instructions in our Cookie Policy. To find out more, you may read our Privacy Policy.

    I agree
Search articles by DOI, keyword, author or affiliation
Search
Advanced Search
presentation
Biomedical Reports
Join Editorial Board Propose a Special Issue
Print ISSN: 2049-9434 Online ISSN: 2049-9442
Journal Cover
May-2024 Volume 20 Issue 5

Full Size Image

Sign up for eToc alerts
Recommend to Library

Journals

International Journal of Molecular Medicine

International Journal of Molecular Medicine

International Journal of Molecular Medicine is an international journal devoted to molecular mechanisms of human disease.

International Journal of Oncology

International Journal of Oncology

International Journal of Oncology is an international journal devoted to oncology research and cancer treatment.

Molecular Medicine Reports

Molecular Medicine Reports

Covers molecular medicine topics such as pharmacology, pathology, genetics, neuroscience, infectious diseases, molecular cardiology, and molecular surgery.

Oncology Reports

Oncology Reports

Oncology Reports is an international journal devoted to fundamental and applied research in Oncology.

Experimental and Therapeutic Medicine

Experimental and Therapeutic Medicine

Experimental and Therapeutic Medicine is an international journal devoted to laboratory and clinical medicine.

Oncology Letters

Oncology Letters

Oncology Letters is an international journal devoted to Experimental and Clinical Oncology.

Biomedical Reports

Biomedical Reports

Explores a wide range of biological and medical fields, including pharmacology, genetics, microbiology, neuroscience, and molecular cardiology.

Molecular and Clinical Oncology

Molecular and Clinical Oncology

International journal addressing all aspects of oncology research, from tumorigenesis and oncogenes to chemotherapy and metastasis.

World Academy of Sciences Journal

World Academy of Sciences Journal

Multidisciplinary open-access journal spanning biochemistry, genetics, neuroscience, environmental health, and synthetic biology.

International Journal of Functional Nutrition

International Journal of Functional Nutrition

Open-access journal combining biochemistry, pharmacology, immunology, and genetics to advance health through functional nutrition.

International Journal of Epigenetics

International Journal of Epigenetics

Publishes open-access research on using epigenetics to advance understanding and treatment of human disease.

Medicine International

Medicine International

An International Open Access Journal Devoted to General Medicine.

Journal Cover
May-2024 Volume 20 Issue 5

Full Size Image

Sign up for eToc alerts
Recommend to Library

  • Article
  • Citations
    • Cite This Article
    • Download Citation
    • Create Citation Alert
    • Remove Citation Alert
    • Cited By
  • Similar Articles
    • Related Articles (in Spandidos Publications)
    • Similar Articles (Google Scholar)
    • Similar Articles (PubMed)
  • Download PDF
  • Download XML
  • View XML
Case Report Open Access

Rare histopathological finding of ovarian pseudotumor: A case report

  • Authors:
    • Batool Samara
    • Suha Shriam
    • Aseel Al-Balas
    • Reham Isied
    • Ismaiel Abu Mahfouz
    • Anwar Almasri
  • View Affiliations / Copyright

    Affiliations: Department of Obstetrics and Gynaecology, Specialty Hospital, Amman 11194, Jordan, Department of Obstetrics and Gynaecology, Faculty of Medicine, Al‑Balqa Applied University, Al Salt 19117, Jordan, Department of Histopathology, Specialty Hospital, Amman 11194, Jordan
    Copyright: © Samara et al. This is an open access article distributed under the terms of Creative Commons Attribution License.
  • Article Number: 79
    |
    Published online on: March 19, 2024
       https://doi.org/10.3892/br.2024.1767
  • Expand metrics +
Metrics: Total Views: 0 (Spandidos Publications: | PMC Statistics: )
Metrics: Total PDF Downloads: 0 (Spandidos Publications: | PMC Statistics: )
Cited By (CrossRef): 0 citations Loading Articles...

This article is mentioned in:



Abstract

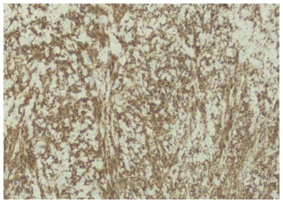
An inflammatory pseudotumor (IPT) is a benign, rare chronic inflammatory process that is destructive to normal histology of the involved organs. While IPT most frequently affects the lung and orbits, it can occur in almost any part of the body. Additionally, histopathological examination is often difficult to interpret, typically showing myofibroblasts and mixed inflammatory and spindle‑shaped cells. The histopathological picture may resemble low grade fibrosarcoma with inflammatory cells, making the differentiation between benign and malignant diseases more difficult and potentially requiring specialized histopathological studies. In the present study, a 39‑year‑old healthy female patient with no history of sexual activity presented to The Specialty Hospital (Amman Jordan) in January 2023 with mild lower abdominal pain. A pelvic ultrasound scan showed a complex right ovarian cyst measuring 6.0x6.5 cm. Tumor markers were normal. The patient underwent laparotomy with an ovarian cystectomy and left ovarian, omental and peritoneal biopsies. The histopathology of the cyst was suggestive of IPT. Other histopathological results were normal.The patient was followed up for 1 year after surgery with no recurrence of the disease.
View Figures

Figure 1

Figure 2

Figure 3

Figure 4

Figure 5

Figure 6

Figure 7

Figure 8

Figure 9

View References

1 

Patnana M, Sevrukov AB, Elsayes KM, Viswanathan C, Lubner M and Menias CO: Inflammatory pseudotumor: The great mimicker. AJR Am J Roentgenol. 198:W217–W227. 2012.PubMed/NCBI View Article : Google Scholar

2 

Stolnicu S and Soslow RA: Inflammatory pseudotumor presenting as a mesosalpingeal mass. Int J Gynecol Pathol. 37:473–476. 2018.PubMed/NCBI View Article : Google Scholar

3 

Sun TT, Cheng NH, Cao DY and Peng P: Ovarian fibrosarcoma: A single-institution experience and a review of the literature. J Ovarian Res. 13(142)2020.PubMed/NCBI View Article : Google Scholar

4 

Gude D, Rayudu R and Bansal D: How pseudo is an inflammatory pseudotumor? Indian J Med Paediatr Oncol. 32:204–206. 2011.PubMed/NCBI View Article : Google Scholar

5 

Ajani MA, Fatunla EO, Onakpoma FA and Salami AA: Inflammatory Pseudotumor: A 20-year single institutional experience. Adv Biomed Res. 9(68)2020.PubMed/NCBI View Article : Google Scholar

6 

Fayad FT, Bezerra MCT, da Rosa MRP and Pinheiro TN: Diagnosis, treatment, and rehabilitation of a patient with inflammatory pseudotumor. Eur J Dent. 12:454–458. 2018.PubMed/NCBI View Article : Google Scholar

7 

Sedlic T, Scali EP, Lee WK, Verma S and Chang SD: Inflammatory Pseudotumours in the Abdomen and Pelvis: A pictorial essay. Can Assoc Radiol J. 65:52–59. 2014.PubMed/NCBI View Article : Google Scholar

8 

Perkins GL, Slater ED, Sanders GK and Prichard JG: Serum tumor markers. Am Fam Physician. 68:1075–1082. 2003.PubMed/NCBI

9 

Gücer F, Altaner S, Mülayim N and Yapicier O: Invasive inflammatory pseudotumor of uterine cervix: A case report. Gynecol Oncol. 98:325–328. 2005.PubMed/NCBI View Article : Google Scholar

10 

Ntinas A, Kardassis D, Miliaras D, Tsinoglou K, Dimitriades A and Vrochides D: Inflammatory pseudotumor of the liver: A case report and review of the literature. J Med Case Rep. 5(196)2011.PubMed/NCBI View Article : Google Scholar

11 

Gultekin M, Dursun P, Ozyuncu O, Usubutun A, Yuce K and Ayhan A: Primary ovarian fibrosarcoma: A case report and review of the literature. Int J Gynecol Cancer. 15:1142–1147. 2005.PubMed/NCBI View Article : Google Scholar

12 

Goto T, Akanabe K, Maeshima A and Kato R: Surgery for recurrent inflammatory pseudotumor of the lung. World J Surg Oncol. 9(133)2011.PubMed/NCBI View Article : Google Scholar

Related Articles

  • Abstract
  • View
  • Download
  • Twitter
Copy and paste a formatted citation
Spandidos Publications style
Samara B, Shriam S, Al-Balas A, Isied R, Abu Mahfouz I and Almasri A: Rare histopathological finding of ovarian pseudotumor: A case report. Biomed Rep 20: 79, 2024.
APA
Samara, B., Shriam, S., Al-Balas, A., Isied, R., Abu Mahfouz, I., & Almasri, A. (2024). Rare histopathological finding of ovarian pseudotumor: A case report. Biomedical Reports, 20, 79. https://doi.org/10.3892/br.2024.1767
MLA
Samara, B., Shriam, S., Al-Balas, A., Isied, R., Abu Mahfouz, I., Almasri, A."Rare histopathological finding of ovarian pseudotumor: A case report". Biomedical Reports 20.5 (2024): 79.
Chicago
Samara, B., Shriam, S., Al-Balas, A., Isied, R., Abu Mahfouz, I., Almasri, A."Rare histopathological finding of ovarian pseudotumor: A case report". Biomedical Reports 20, no. 5 (2024): 79. https://doi.org/10.3892/br.2024.1767
Copy and paste a formatted citation
x
Spandidos Publications style
Samara B, Shriam S, Al-Balas A, Isied R, Abu Mahfouz I and Almasri A: Rare histopathological finding of ovarian pseudotumor: A case report. Biomed Rep 20: 79, 2024.
APA
Samara, B., Shriam, S., Al-Balas, A., Isied, R., Abu Mahfouz, I., & Almasri, A. (2024). Rare histopathological finding of ovarian pseudotumor: A case report. Biomedical Reports, 20, 79. https://doi.org/10.3892/br.2024.1767
MLA
Samara, B., Shriam, S., Al-Balas, A., Isied, R., Abu Mahfouz, I., Almasri, A."Rare histopathological finding of ovarian pseudotumor: A case report". Biomedical Reports 20.5 (2024): 79.
Chicago
Samara, B., Shriam, S., Al-Balas, A., Isied, R., Abu Mahfouz, I., Almasri, A."Rare histopathological finding of ovarian pseudotumor: A case report". Biomedical Reports 20, no. 5 (2024): 79. https://doi.org/10.3892/br.2024.1767
Follow us
  • Twitter
  • LinkedIn
  • Facebook
About
  • Spandidos Publications
  • Careers
  • Cookie Policy
  • Privacy Policy
How can we help?
  • Help
  • Live Chat
  • Contact
  • Email to our Support Team