Spandidos Publications Logo
  • About
    • About Spandidos
    • Aims and Scopes
    • Abstracting and Indexing
    • Editorial Policies
    • Reprints and Permissions
    • Job Opportunities
    • Terms and Conditions
    • Contact
  • Journals
    • All Journals
    • Oncology Letters
      • Oncology Letters
      • Information for Authors
      • Editorial Policies
      • Editorial Board
      • Aims and Scope
      • Abstracting and Indexing
      • Bibliographic Information
      • Archive
    • International Journal of Oncology
      • International Journal of Oncology
      • Information for Authors
      • Editorial Policies
      • Editorial Board
      • Aims and Scope
      • Abstracting and Indexing
      • Bibliographic Information
      • Archive
    • Molecular and Clinical Oncology
      • Molecular and Clinical Oncology
      • Information for Authors
      • Editorial Policies
      • Editorial Board
      • Aims and Scope
      • Abstracting and Indexing
      • Bibliographic Information
      • Archive
    • Experimental and Therapeutic Medicine
      • Experimental and Therapeutic Medicine
      • Information for Authors
      • Editorial Policies
      • Editorial Board
      • Aims and Scope
      • Abstracting and Indexing
      • Bibliographic Information
      • Archive
    • International Journal of Molecular Medicine
      • International Journal of Molecular Medicine
      • Information for Authors
      • Editorial Policies
      • Editorial Board
      • Aims and Scope
      • Abstracting and Indexing
      • Bibliographic Information
      • Archive
    • Biomedical Reports
      • Biomedical Reports
      • Information for Authors
      • Editorial Policies
      • Editorial Board
      • Aims and Scope
      • Abstracting and Indexing
      • Bibliographic Information
      • Archive
    • Oncology Reports
      • Oncology Reports
      • Information for Authors
      • Editorial Policies
      • Editorial Board
      • Aims and Scope
      • Abstracting and Indexing
      • Bibliographic Information
      • Archive
    • Molecular Medicine Reports
      • Molecular Medicine Reports
      • Information for Authors
      • Editorial Policies
      • Editorial Board
      • Aims and Scope
      • Abstracting and Indexing
      • Bibliographic Information
      • Archive
    • World Academy of Sciences Journal
      • World Academy of Sciences Journal
      • Information for Authors
      • Editorial Policies
      • Editorial Board
      • Aims and Scope
      • Abstracting and Indexing
      • Bibliographic Information
      • Archive
    • International Journal of Functional Nutrition
      • International Journal of Functional Nutrition
      • Information for Authors
      • Editorial Policies
      • Editorial Board
      • Aims and Scope
      • Abstracting and Indexing
      • Bibliographic Information
      • Archive
    • International Journal of Epigenetics
      • International Journal of Epigenetics
      • Information for Authors
      • Editorial Policies
      • Editorial Board
      • Aims and Scope
      • Abstracting and Indexing
      • Bibliographic Information
      • Archive
    • Medicine International
      • Medicine International
      • Information for Authors
      • Editorial Policies
      • Editorial Board
      • Aims and Scope
      • Abstracting and Indexing
      • Bibliographic Information
      • Archive
  • Articles
  • Information
    • Information for Authors
    • Information for Reviewers
    • Information for Librarians
    • Information for Advertisers
    • Conferences
  • Language Editing
Spandidos Publications Logo
  • About
    • About Spandidos
    • Aims and Scopes
    • Abstracting and Indexing
    • Editorial Policies
    • Reprints and Permissions
    • Job Opportunities
    • Terms and Conditions
    • Contact
  • Journals
    • All Journals
    • Biomedical Reports
      • Information for Authors
      • Editorial Policies
      • Editorial Board
      • Aims and Scope
      • Abstracting and Indexing
      • Bibliographic Information
      • Archive
    • Experimental and Therapeutic Medicine
      • Information for Authors
      • Editorial Policies
      • Editorial Board
      • Aims and Scope
      • Abstracting and Indexing
      • Bibliographic Information
      • Archive
    • International Journal of Epigenetics
      • Information for Authors
      • Editorial Policies
      • Editorial Board
      • Aims and Scope
      • Abstracting and Indexing
      • Bibliographic Information
      • Archive
    • International Journal of Functional Nutrition
      • Information for Authors
      • Editorial Policies
      • Editorial Board
      • Aims and Scope
      • Abstracting and Indexing
      • Bibliographic Information
      • Archive
    • International Journal of Molecular Medicine
      • Information for Authors
      • Editorial Policies
      • Editorial Board
      • Aims and Scope
      • Abstracting and Indexing
      • Bibliographic Information
      • Archive
    • International Journal of Oncology
      • Information for Authors
      • Editorial Policies
      • Editorial Board
      • Aims and Scope
      • Abstracting and Indexing
      • Bibliographic Information
      • Archive
    • Medicine International
      • Information for Authors
      • Editorial Policies
      • Editorial Board
      • Aims and Scope
      • Abstracting and Indexing
      • Bibliographic Information
      • Archive
    • Molecular and Clinical Oncology
      • Information for Authors
      • Editorial Policies
      • Editorial Board
      • Aims and Scope
      • Abstracting and Indexing
      • Bibliographic Information
      • Archive
    • Molecular Medicine Reports
      • Information for Authors
      • Editorial Policies
      • Editorial Board
      • Aims and Scope
      • Abstracting and Indexing
      • Bibliographic Information
      • Archive
    • Oncology Letters
      • Information for Authors
      • Editorial Policies
      • Editorial Board
      • Aims and Scope
      • Abstracting and Indexing
      • Bibliographic Information
      • Archive
    • Oncology Reports
      • Information for Authors
      • Editorial Policies
      • Editorial Board
      • Aims and Scope
      • Abstracting and Indexing
      • Bibliographic Information
      • Archive
    • World Academy of Sciences Journal
      • Information for Authors
      • Editorial Policies
      • Editorial Board
      • Aims and Scope
      • Abstracting and Indexing
      • Bibliographic Information
      • Archive
  • Articles
  • Information
    • For Authors
    • For Reviewers
    • For Librarians
    • For Advertisers
    • Conferences
  • Language Editing
Login Register Submit
  • This site uses cookies
  • You can change your cookie settings at any time by following the instructions in our Cookie Policy. To find out more, you may read our Privacy Policy.

    I agree
Search articles by DOI, keyword, author or affiliation
Search
Advanced Search
presentation
Biomedical Reports
Join Editorial Board Propose a Special Issue
Print ISSN: 2049-9434 Online ISSN: 2049-9442
Journal Cover
June-2025 Volume 22 Issue 6

Full Size Image

Sign up for eToc alerts
Recommend to Library

Journals

International Journal of Molecular Medicine

International Journal of Molecular Medicine

International Journal of Molecular Medicine is an international journal devoted to molecular mechanisms of human disease.

International Journal of Oncology

International Journal of Oncology

International Journal of Oncology is an international journal devoted to oncology research and cancer treatment.

Molecular Medicine Reports

Molecular Medicine Reports

Covers molecular medicine topics such as pharmacology, pathology, genetics, neuroscience, infectious diseases, molecular cardiology, and molecular surgery.

Oncology Reports

Oncology Reports

Oncology Reports is an international journal devoted to fundamental and applied research in Oncology.

Experimental and Therapeutic Medicine

Experimental and Therapeutic Medicine

Experimental and Therapeutic Medicine is an international journal devoted to laboratory and clinical medicine.

Oncology Letters

Oncology Letters

Oncology Letters is an international journal devoted to Experimental and Clinical Oncology.

Biomedical Reports

Biomedical Reports

Explores a wide range of biological and medical fields, including pharmacology, genetics, microbiology, neuroscience, and molecular cardiology.

Molecular and Clinical Oncology

Molecular and Clinical Oncology

International journal addressing all aspects of oncology research, from tumorigenesis and oncogenes to chemotherapy and metastasis.

World Academy of Sciences Journal

World Academy of Sciences Journal

Multidisciplinary open-access journal spanning biochemistry, genetics, neuroscience, environmental health, and synthetic biology.

International Journal of Functional Nutrition

International Journal of Functional Nutrition

Open-access journal combining biochemistry, pharmacology, immunology, and genetics to advance health through functional nutrition.

International Journal of Epigenetics

International Journal of Epigenetics

Publishes open-access research on using epigenetics to advance understanding and treatment of human disease.

Medicine International

Medicine International

An International Open Access Journal Devoted to General Medicine.

Journal Cover
June-2025 Volume 22 Issue 6

Full Size Image

Sign up for eToc alerts
Recommend to Library

  • Article
  • Citations
    • Cite This Article
    • Download Citation
    • Create Citation Alert
    • Remove Citation Alert
    • Cited By
  • Similar Articles
    • Related Articles (in Spandidos Publications)
    • Similar Articles (Google Scholar)
    • Similar Articles (PubMed)
  • Download PDF
  • Download XML
  • View XML

  • Supplementary Files
    • Supplementary_Data.pdf
Article

Brain magnetic resonance imaging findings in hyperammonemic hepatic encephalopathy: A case series and literature review

  • Authors:
    • Ahmed Bakharji
    • Hussain Alarfaj
    • Sameeh Omar
    • Sultan Alzahrani
    • Naif Alzahrani
    • Fawziya Alahmari
    • Sirin Al Mulhim
    • Husam Almuhaish
    • Shahid Bashir
    • Talal M. Al‑Harbi
  • View Affiliations / Copyright

    Affiliations: Department of Neurology, Neuroscience Center, King Fahad Specialist Hospital‑Dammam, Dammam 32253‑3202, Kingdom of Saudi Arabia, Neuroradiology Section, Medical Imaging Service Center, King Fahad Specialist Hospital‑Dammam, Dammam 32253‑3202, Kingdom of Saudi Arabia
  • Article Number: 98
    |
    Published online on: April 11, 2025
       https://doi.org/10.3892/br.2025.1976
  • Expand metrics +
Metrics: Total Views: 0 (Spandidos Publications: | PMC Statistics: )
Metrics: Total PDF Downloads: 0 (Spandidos Publications: | PMC Statistics: )
Cited By (CrossRef): 0 citations Loading Articles...

This article is mentioned in:



Abstract

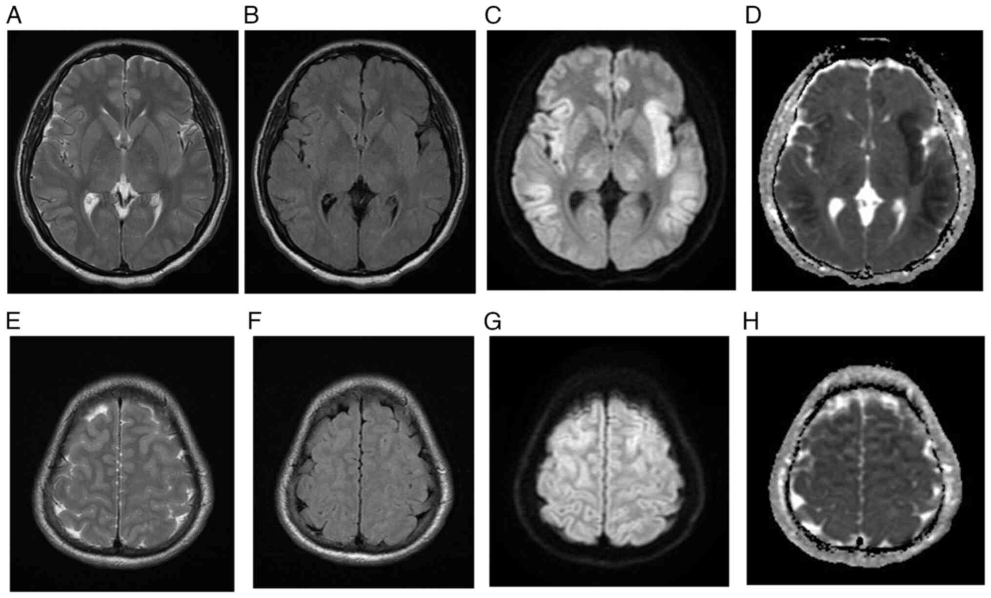
Hyperammonemic encephalopathy is a life‑threatening condition that can lead to coma and death due to brain edema and intracranial hypertension. The current study presents the clinical and magnetic resonance imaging (MRI) findings of 5 cases of acute hyperammonemic hepatic encephalopathy. MRI images of all 5 patients showed diffuse cortical swelling affecting the frontal, temporal, and parietal lobes, as well as the insular cortex and cingulate gyri. However, the underlying white matter, peri‑rolandic area, and posterior occipital lobe remained unaffected. These specific brain MRI features are more commonly observed in cases with 165 µmol/l or higher ammonia levels, suggesting a potential correlation. Further studies are needed to confirm this association.
View Figures

Figure 1

Figure 2

View References

1 

Hussain J, Schlachterman A, Kamel A and Gupte A: Hyperinsulinism hyperammonemia syndrome, a rare clinical constellation. J Investig Med High Impact Case Rep. 4(2324709616632552)2016.PubMed/NCBI View Article : Google Scholar

2 

Brusilow SW: Hyperammonemic encephalopathy. Medicine (Baltimore). 81:240–249. 2002.PubMed/NCBI View Article : Google Scholar

3 

Atluri DK, Prakash R and Mullen KD: Pathogenesis, diagnosis, and treatment of hepatic encephalopathy. J Clin Exp Hepatol. 1:77–86. 2011.PubMed/NCBI View Article : Google Scholar

4 

Dharel N and Bajaj JS: Definition and nomenclature of hepatic encephalopathy. J Clin Exp Hepatol. 5 (Suppl 1):S37–S41. 2015.PubMed/NCBI View Article : Google Scholar

5 

Zhang XD and Zhang LJ: Multimodal MR imaging in hepatic encephalopathy: State of the art. Metab Brain Dis. 33:661–671. 2018.PubMed/NCBI View Article : Google Scholar

6 

Morgan MY: Cerebral magnetic resonance imaging in patients with chronic liver disease. Metab Brain Dis. 13:273–290. 1998.PubMed/NCBI View Article : Google Scholar

7 

Rosario M, McMahon K and Finelli PF: Diffusion-weighted imaging in acute hyperammonemic encephalopathy. Neurohospitalist. 3:125–130. 2013.PubMed/NCBI View Article : Google Scholar

8 

U-King-Im JM, Yu E, Bartlett E, Soobrah R and Kucharczyk W: Acute hyperammonemic encephalopathy in adults: Imaging findings. AJNR Am J Neuroradiol. 32:413–418. 2011.PubMed/NCBI View Article : Google Scholar

9 

Reis E, Coolen T and Lolli V: MRI findings in acute hyperammonemic encephalopathy: Three cases of different etiologies: Teaching point: To recognize MRI findings in acute hyperammonemic encephalopathy. J Belg Soc Radiol. 104(9)2020.PubMed/NCBI View Article : Google Scholar

10 

Arnold SM, Els T, Spreer J and Schumacher M: Acute hepatic encephalopathy with diffuse cortical lesions. Neuroradiology. 43:551–554. 2001.PubMed/NCBI View Article : Google Scholar

11 

Lora-Tamayo J, Palom X, Sarrá J, Gasch O, Isern V, Fernández de Sevilla A and Pujol R: Multiple myeloma and hyperammonemic encephalopathy: Review of 27 cases. Clin Lymphoma Myeloma. 8:363–369. 2008.PubMed/NCBI View Article : Google Scholar

12 

Bindu PS, Sinha S, Taly AB, Christopher R and Kovoor JME: Cranial MRI in acute hyperammonemic encephalopathy. Pediatr Neurol. 41:139–142. 2009.PubMed/NCBI View Article : Google Scholar

13 

Koksel Y, Benson J, Huang H, Gencturk M and McKinney AM: Review of diffuse cortical injury on diffusion-weighted imaging in acutely encephalopathic patients with an acronym: ‘CRUMPLED’. Eur J Radiol Open. 5:194–201. 2018.PubMed/NCBI View Article : Google Scholar

14 

Takanashi J, Barkovich AJ, Cheng SF, Weisiger K, Zlatunich CO, Mudge C, Rosenthal P, Tuchman M and Packman S: Brain MR imaging in neonatal hyperammonemic encephalopathy resulting from proximal urea cycle disorders. AJNR Am J Neuroradiol. 24:1184–1187. 2003.PubMed/NCBI

15 

McKinney AM, Lohman BD, Sarikaya B, Uhlmann E, Spanbauer J, Singewald T and Brace JR: Acute hepatic encephalopathy: Diffusion-weighted and fluid-attenuated inversion recovery findings, and correlation with plasma ammonia level and clinical outcome. AJNR Am J Neuroradiol. 31:1471–1479. 2010.PubMed/NCBI View Article : Google Scholar

16 

McPhail MJW, Patel NR and Taylor-Robinson SD: Brain imaging and hepatic encephalopathy. Clin Liver Dis. 16:57–72. 2012.PubMed/NCBI View Article : Google Scholar

17 

Ott P and Vilstrup H: Cerebral effects of ammonia in liver disease: Current hypotheses. Metab Brain Dis. 29:901–911. 2014.PubMed/NCBI View Article : Google Scholar

18 

Hertz L and Kala G: Energy metabolism in brain cells: Effects of elevated ammonia concentrations. Metab Brain Dis. 22:199–218. 2007.PubMed/NCBI View Article : Google Scholar

19 

Rovira A, Alonso J and Córdoba J: MR imaging findings in hepatic encephalopathy. AJNR Am J Neuroradiol. 29:1612–1621. 2008.PubMed/NCBI View Article : Google Scholar

20 

Wang V and Saab S: Ammonia levels and the severity of hepatic encephalopathy. Am J Med. 114:237–238. 2003.PubMed/NCBI View Article : Google Scholar

21 

Clay AS and Hainline BE: Hyperammonemia in the ICU. Chest. 132:1368–1378. 2007.PubMed/NCBI View Article : Google Scholar

22 

Lichtenstein GR, Yang YX, Nunes FA, Lewis JD, Tuchman M, Tino G, Kaiser LR, Palevsky HI, Kotloff RM, Furth EE, et al: Fatal hyperammonemia after orthotopic lung transplantation. Ann Intern Med. 132:283–287. 2000.PubMed/NCBI View Article : Google Scholar

23 

Chou HF, Yang RC, Chen CY and Jong YJ: Valproate-induced hyperammonemic encephalopathy. Pediatr Neonatol. 49:201–204. 2008.PubMed/NCBI View Article : Google Scholar

24 

Nott L, Price TJ, Pittman K, Patterson K and Fletcher J: Hyperammonemia encephalopathy: An important cause of neurological deterioration following chemotherapy. Leuk Lymphoma. 48:1702–1711. 2007.PubMed/NCBI View Article : Google Scholar

25 

Liu J, Lkhagva E, Chung HJ, Kim HJ and Hong ST: The pharmabiotic approach to treat hyperammonemia. Nutrients. 10(140)2018.PubMed/NCBI View Article : Google Scholar

Related Articles

  • Abstract
  • View
  • Download
  • Twitter
Copy and paste a formatted citation
Spandidos Publications style
Bakharji A, Alarfaj H, Omar S, Alzahrani S, Alzahrani N, Alahmari F, Mulhim S, Almuhaish H, Bashir S, Al‑Harbi TM, Al‑Harbi TM, et al: Brain magnetic resonance imaging findings in hyperammonemic hepatic encephalopathy: A case series and literature review. Biomed Rep 22: 98, 2025.
APA
Bakharji, A., Alarfaj, H., Omar, S., Alzahrani, S., Alzahrani, N., Alahmari, F. ... Al‑Harbi, T.M. (2025). Brain magnetic resonance imaging findings in hyperammonemic hepatic encephalopathy: A case series and literature review. Biomedical Reports, 22, 98. https://doi.org/10.3892/br.2025.1976
MLA
Bakharji, A., Alarfaj, H., Omar, S., Alzahrani, S., Alzahrani, N., Alahmari, F., Mulhim, S., Almuhaish, H., Bashir, S., Al‑Harbi, T. M."Brain magnetic resonance imaging findings in hyperammonemic hepatic encephalopathy: A case series and literature review". Biomedical Reports 22.6 (2025): 98.
Chicago
Bakharji, A., Alarfaj, H., Omar, S., Alzahrani, S., Alzahrani, N., Alahmari, F., Mulhim, S., Almuhaish, H., Bashir, S., Al‑Harbi, T. M."Brain magnetic resonance imaging findings in hyperammonemic hepatic encephalopathy: A case series and literature review". Biomedical Reports 22, no. 6 (2025): 98. https://doi.org/10.3892/br.2025.1976
Copy and paste a formatted citation
x
Spandidos Publications style
Bakharji A, Alarfaj H, Omar S, Alzahrani S, Alzahrani N, Alahmari F, Mulhim S, Almuhaish H, Bashir S, Al‑Harbi TM, Al‑Harbi TM, et al: Brain magnetic resonance imaging findings in hyperammonemic hepatic encephalopathy: A case series and literature review. Biomed Rep 22: 98, 2025.
APA
Bakharji, A., Alarfaj, H., Omar, S., Alzahrani, S., Alzahrani, N., Alahmari, F. ... Al‑Harbi, T.M. (2025). Brain magnetic resonance imaging findings in hyperammonemic hepatic encephalopathy: A case series and literature review. Biomedical Reports, 22, 98. https://doi.org/10.3892/br.2025.1976
MLA
Bakharji, A., Alarfaj, H., Omar, S., Alzahrani, S., Alzahrani, N., Alahmari, F., Mulhim, S., Almuhaish, H., Bashir, S., Al‑Harbi, T. M."Brain magnetic resonance imaging findings in hyperammonemic hepatic encephalopathy: A case series and literature review". Biomedical Reports 22.6 (2025): 98.
Chicago
Bakharji, A., Alarfaj, H., Omar, S., Alzahrani, S., Alzahrani, N., Alahmari, F., Mulhim, S., Almuhaish, H., Bashir, S., Al‑Harbi, T. M."Brain magnetic resonance imaging findings in hyperammonemic hepatic encephalopathy: A case series and literature review". Biomedical Reports 22, no. 6 (2025): 98. https://doi.org/10.3892/br.2025.1976
Follow us
  • Twitter
  • LinkedIn
  • Facebook
About
  • Spandidos Publications
  • Careers
  • Cookie Policy
  • Privacy Policy
How can we help?
  • Help
  • Live Chat
  • Contact
  • Email to our Support Team