Spandidos Publications Logo
  • About
    • About Spandidos
    • Aims and Scopes
    • Abstracting and Indexing
    • Editorial Policies
    • Reprints and Permissions
    • Job Opportunities
    • Terms and Conditions
    • Contact
  • Journals
    • All Journals
    • Oncology Letters
      • Oncology Letters
      • Information for Authors
      • Editorial Policies
      • Editorial Board
      • Aims and Scope
      • Abstracting and Indexing
      • Bibliographic Information
      • Archive
    • International Journal of Oncology
      • International Journal of Oncology
      • Information for Authors
      • Editorial Policies
      • Editorial Board
      • Aims and Scope
      • Abstracting and Indexing
      • Bibliographic Information
      • Archive
    • Molecular and Clinical Oncology
      • Molecular and Clinical Oncology
      • Information for Authors
      • Editorial Policies
      • Editorial Board
      • Aims and Scope
      • Abstracting and Indexing
      • Bibliographic Information
      • Archive
    • Experimental and Therapeutic Medicine
      • Experimental and Therapeutic Medicine
      • Information for Authors
      • Editorial Policies
      • Editorial Board
      • Aims and Scope
      • Abstracting and Indexing
      • Bibliographic Information
      • Archive
    • International Journal of Molecular Medicine
      • International Journal of Molecular Medicine
      • Information for Authors
      • Editorial Policies
      • Editorial Board
      • Aims and Scope
      • Abstracting and Indexing
      • Bibliographic Information
      • Archive
    • Biomedical Reports
      • Biomedical Reports
      • Information for Authors
      • Editorial Policies
      • Editorial Board
      • Aims and Scope
      • Abstracting and Indexing
      • Bibliographic Information
      • Archive
    • Oncology Reports
      • Oncology Reports
      • Information for Authors
      • Editorial Policies
      • Editorial Board
      • Aims and Scope
      • Abstracting and Indexing
      • Bibliographic Information
      • Archive
    • Molecular Medicine Reports
      • Molecular Medicine Reports
      • Information for Authors
      • Editorial Policies
      • Editorial Board
      • Aims and Scope
      • Abstracting and Indexing
      • Bibliographic Information
      • Archive
    • World Academy of Sciences Journal
      • World Academy of Sciences Journal
      • Information for Authors
      • Editorial Policies
      • Editorial Board
      • Aims and Scope
      • Abstracting and Indexing
      • Bibliographic Information
      • Archive
    • International Journal of Functional Nutrition
      • International Journal of Functional Nutrition
      • Information for Authors
      • Editorial Policies
      • Editorial Board
      • Aims and Scope
      • Abstracting and Indexing
      • Bibliographic Information
      • Archive
    • International Journal of Epigenetics
      • International Journal of Epigenetics
      • Information for Authors
      • Editorial Policies
      • Editorial Board
      • Aims and Scope
      • Abstracting and Indexing
      • Bibliographic Information
      • Archive
    • Medicine International
      • Medicine International
      • Information for Authors
      • Editorial Policies
      • Editorial Board
      • Aims and Scope
      • Abstracting and Indexing
      • Bibliographic Information
      • Archive
  • Articles
  • Information
    • Information for Authors
    • Information for Reviewers
    • Information for Librarians
    • Information for Advertisers
    • Conferences
  • Language Editing
Spandidos Publications Logo
  • About
    • About Spandidos
    • Aims and Scopes
    • Abstracting and Indexing
    • Editorial Policies
    • Reprints and Permissions
    • Job Opportunities
    • Terms and Conditions
    • Contact
  • Journals
    • All Journals
    • Biomedical Reports
      • Information for Authors
      • Editorial Policies
      • Editorial Board
      • Aims and Scope
      • Abstracting and Indexing
      • Bibliographic Information
      • Archive
    • Experimental and Therapeutic Medicine
      • Information for Authors
      • Editorial Policies
      • Editorial Board
      • Aims and Scope
      • Abstracting and Indexing
      • Bibliographic Information
      • Archive
    • International Journal of Epigenetics
      • Information for Authors
      • Editorial Policies
      • Editorial Board
      • Aims and Scope
      • Abstracting and Indexing
      • Bibliographic Information
      • Archive
    • International Journal of Functional Nutrition
      • Information for Authors
      • Editorial Policies
      • Editorial Board
      • Aims and Scope
      • Abstracting and Indexing
      • Bibliographic Information
      • Archive
    • International Journal of Molecular Medicine
      • Information for Authors
      • Editorial Policies
      • Editorial Board
      • Aims and Scope
      • Abstracting and Indexing
      • Bibliographic Information
      • Archive
    • International Journal of Oncology
      • Information for Authors
      • Editorial Policies
      • Editorial Board
      • Aims and Scope
      • Abstracting and Indexing
      • Bibliographic Information
      • Archive
    • Medicine International
      • Information for Authors
      • Editorial Policies
      • Editorial Board
      • Aims and Scope
      • Abstracting and Indexing
      • Bibliographic Information
      • Archive
    • Molecular and Clinical Oncology
      • Information for Authors
      • Editorial Policies
      • Editorial Board
      • Aims and Scope
      • Abstracting and Indexing
      • Bibliographic Information
      • Archive
    • Molecular Medicine Reports
      • Information for Authors
      • Editorial Policies
      • Editorial Board
      • Aims and Scope
      • Abstracting and Indexing
      • Bibliographic Information
      • Archive
    • Oncology Letters
      • Information for Authors
      • Editorial Policies
      • Editorial Board
      • Aims and Scope
      • Abstracting and Indexing
      • Bibliographic Information
      • Archive
    • Oncology Reports
      • Information for Authors
      • Editorial Policies
      • Editorial Board
      • Aims and Scope
      • Abstracting and Indexing
      • Bibliographic Information
      • Archive
    • World Academy of Sciences Journal
      • Information for Authors
      • Editorial Policies
      • Editorial Board
      • Aims and Scope
      • Abstracting and Indexing
      • Bibliographic Information
      • Archive
  • Articles
  • Information
    • For Authors
    • For Reviewers
    • For Librarians
    • For Advertisers
    • Conferences
  • Language Editing
Login Register Submit
  • This site uses cookies
  • You can change your cookie settings at any time by following the instructions in our Cookie Policy. To find out more, you may read our Privacy Policy.

    I agree
Search articles by DOI, keyword, author or affiliation
Search
Advanced Search
presentation
Experimental and Therapeutic Medicine
Join Editorial Board Propose a Special Issue
Print ISSN: 1792-0981 Online ISSN: 1792-1015
Journal Cover
October 2012 Volume 4 Issue 4

Full Size Image

Sign up for eToc alerts
Recommend to Library

Journals

International Journal of Molecular Medicine

International Journal of Molecular Medicine

International Journal of Molecular Medicine is an international journal devoted to molecular mechanisms of human disease.

International Journal of Oncology

International Journal of Oncology

International Journal of Oncology is an international journal devoted to oncology research and cancer treatment.

Molecular Medicine Reports

Molecular Medicine Reports

Covers molecular medicine topics such as pharmacology, pathology, genetics, neuroscience, infectious diseases, molecular cardiology, and molecular surgery.

Oncology Reports

Oncology Reports

Oncology Reports is an international journal devoted to fundamental and applied research in Oncology.

Experimental and Therapeutic Medicine

Experimental and Therapeutic Medicine

Experimental and Therapeutic Medicine is an international journal devoted to laboratory and clinical medicine.

Oncology Letters

Oncology Letters

Oncology Letters is an international journal devoted to Experimental and Clinical Oncology.

Biomedical Reports

Biomedical Reports

Explores a wide range of biological and medical fields, including pharmacology, genetics, microbiology, neuroscience, and molecular cardiology.

Molecular and Clinical Oncology

Molecular and Clinical Oncology

International journal addressing all aspects of oncology research, from tumorigenesis and oncogenes to chemotherapy and metastasis.

World Academy of Sciences Journal

World Academy of Sciences Journal

Multidisciplinary open-access journal spanning biochemistry, genetics, neuroscience, environmental health, and synthetic biology.

International Journal of Functional Nutrition

International Journal of Functional Nutrition

Open-access journal combining biochemistry, pharmacology, immunology, and genetics to advance health through functional nutrition.

International Journal of Epigenetics

International Journal of Epigenetics

Publishes open-access research on using epigenetics to advance understanding and treatment of human disease.

Medicine International

Medicine International

An International Open Access Journal Devoted to General Medicine.

Journal Cover
October 2012 Volume 4 Issue 4

Full Size Image

Sign up for eToc alerts
Recommend to Library

  • Article
  • Citations
    • Cite This Article
    • Download Citation
    • Create Citation Alert
    • Remove Citation Alert
    • Cited By
  • Similar Articles
    • Related Articles (in Spandidos Publications)
    • Similar Articles (Google Scholar)
    • Similar Articles (PubMed)
  • Download PDF
  • Download XML
  • View XML
Article

Impact of intense pulsed light irradiation on cultured primary fibroblasts and a vascular endothelial cell line

  • Authors:
    • Di Wu
    • Bingrong Zhou
    • Yang Xu
    • Zhiqiang Yin
    • Dan Luo
  • View Affiliations / Copyright

    Affiliations: Department of Dermatology, The First Affiliated Hospital, Nanjing Medical University, Nanjing, Jiangsu 210029, P.R. China
  • Pages: 669-674
    |
    Published online on: August 14, 2012
       https://doi.org/10.3892/etm.2012.664
  • Expand metrics +
Metrics: Total Views: 0 (Spandidos Publications: | PMC Statistics: )
Metrics: Total PDF Downloads: 0 (Spandidos Publications: | PMC Statistics: )
Cited By (CrossRef): 0 citations Loading Articles...

This article is mentioned in:


Abstract

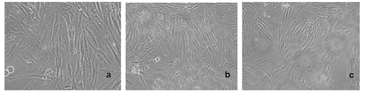
The aim of this study was to determine the effects of intense pulsed light (IPL) on cell proliferation and the secretion of vascular endothelial growth factor (VEGF) and matrix metalloproteinases (MMPs) in human fibroblasts and vascular endothelial cell lines, and to investigate the effects of IPL on the mRNA expression levels of type I and III procollagens in cultured human fibroblasts. Foreskin fibroblasts and a vascular endothelial cell line (ECV034) were cultured and treated with various wavelengths and doses of IPL irradiation. After culture for 1, 12, 24 and 48 h following IPL irradiation, fibroblasts and the vascular endothelial cell line were harvested for investigation of morphological changes by light microscopy, cell proliferation viability by MTT assay, and VEGF and MMP secretions by ELISA. The mRNA expression levels of type I and III procollagens in the fibroblasts were detected by RT-PCR. No marked morphological changes were observed in the cultured fibroblasts compared with the control. Cell growth and cellular viability were increased in fibroblasts 24 and 48 h after IPL irradiation. The levels of type I and III procollagen mRNA expression in fibroblasts increased in a time-dependent manner. However, the IPL management had no impact on VEGF and MMP secretion levels in fibroblasts and the ECV034 cell line at any time-point after irradiation as well as cell morphology and cellular proliferation. IPL irradiation may induce cellular proliferation and promote the expression of procollagen mRNAs directly in cultured primary fibroblasts, which may primarily contribute to photorejuvenation.
View Figures

Figure 1

Figure 2

Figure 3

Figure 4

Figure 5

View References

1 

Berneburg M, Plettenberg H and Krutmann J: Photoaging of human skin. Photodermatol Photoimmunol Photomed. 16:239–244. 2000. View Article : Google Scholar

2 

Ohnishi Y, Tajima S, Akiyama M, Ishibashi A, Kobayashi R and Horii I: Expression of elastin-related proteins and matrix metalloproteinases in actinic elastosis of sun-damaged skin. Arch Dermatol Res. 292:27–31. 2000. View Article : Google Scholar : PubMed/NCBI

3 

Ouchi N, Shibata R and Walsh K: AMP-activated protein kinase signaling stimulates VEGF expression and angiogenesis in skeletal muscle. Circ Res. 96:838–846. 2005. View Article : Google Scholar : PubMed/NCBI

4 

Bitter PH: Noninvasive rejuvenation of photodamaged skin using serial, full-face intense pulsed light treatments. Dermatol Surg. 26:835–843. 2000. View Article : Google Scholar : PubMed/NCBI

5 

Holck DE and Ng JD: Facial skin rejuvenation. Curr Opin Ophthalmol. 14:246–252. 2003. View Article : Google Scholar

6 

Negishi K, Tezuka Y, Kushikata N and Wakamatsu S: Photorejuvenation for Asian skin by intense pulsed light. Dermatol Surg. 27:627–632. 2001.PubMed/NCBI

7 

Negishi K, Wakamatsu S, Kushikata N, Tezuka Y, Kotani Y and Shiba K: Full-face photorejuvenation of photodamaged skin by intense pulsed light with integrated contact cooling: initial experiences in Asian patients. Lasers Surg Med. 30:298–305. 2002. View Article : Google Scholar : PubMed/NCBI

8 

Angermeier MC: Treatment of facial vascular lesions with intense pulsed light. J Cutan Laser Ther. 1:95–100. 1999. View Article : Google Scholar : PubMed/NCBI

9 

Campolmi P, Bonan P, Cannarozzo G, Bruscino N, Troiano M, Prignano F and Lotti T: Intense pulsed light in the treatment of non-aesthetic facial and neck vascular lesions: report of 85 cases. J Eur Acad Dermatol Venereol. 25:68–73. 2011. View Article : Google Scholar : PubMed/NCBI

10 

Fodor L, Peled IJ, Rissin Y, Ramon Y, Shoshani O, Eldor L, Gaiman A and Ullmann Y: Using intense pulsed light for cosmetic purposes: our experience. Plast Reconstr Surg. 113:1789–1795. 2004. View Article : Google Scholar : PubMed/NCBI

11 

Talwar HS, Griffiths CE, Fisher GJ, Hamilton TA and Voorhees JJ: Reduced type I and type III procollagens in photodamaged adult human skin. J Invest Dermatol. 105:285–290. 1995. View Article : Google Scholar : PubMed/NCBI

12 

Gale NW and Yancopoulos GD: Growth factors acting via endothelial cell-specific receptor tyrosine kinases: VEGFs, angiopoietins, and ephrins in vascular development. Genes Dev. 13:1055–1066. 1999. View Article : Google Scholar : PubMed/NCBI

13 

Bramono DS, Richmond JC, Weitzel PP, Kaplan DL and Altman GH: Matrix metalloproteinases and their clinical applications in orthopaedics. Clin Orthop Relat Res. 428:272–285. 2004. View Article : Google Scholar : PubMed/NCBI

14 

Hornebeck W: Down-regulation of tissue inhibitor of matrix metalloprotease-1 (TIMP-1) in aged human skin contributes to matrix degradation and impaired cell growth and survival. Pathol Biol (Paris). 51:569–573. 2003. View Article : Google Scholar : PubMed/NCBI

Related Articles

  • Abstract
  • View
  • Download
  • Twitter
Copy and paste a formatted citation
Spandidos Publications style
Wu D, Zhou B, Xu Y, Yin Z and Luo D: Impact of intense pulsed light irradiation on cultured primary fibroblasts and a vascular endothelial cell line. Exp Ther Med 4: 669-674, 2012.
APA
Wu, D., Zhou, B., Xu, Y., Yin, Z., & Luo, D. (2012). Impact of intense pulsed light irradiation on cultured primary fibroblasts and a vascular endothelial cell line. Experimental and Therapeutic Medicine, 4, 669-674. https://doi.org/10.3892/etm.2012.664
MLA
Wu, D., Zhou, B., Xu, Y., Yin, Z., Luo, D."Impact of intense pulsed light irradiation on cultured primary fibroblasts and a vascular endothelial cell line". Experimental and Therapeutic Medicine 4.4 (2012): 669-674.
Chicago
Wu, D., Zhou, B., Xu, Y., Yin, Z., Luo, D."Impact of intense pulsed light irradiation on cultured primary fibroblasts and a vascular endothelial cell line". Experimental and Therapeutic Medicine 4, no. 4 (2012): 669-674. https://doi.org/10.3892/etm.2012.664
Copy and paste a formatted citation
x
Spandidos Publications style
Wu D, Zhou B, Xu Y, Yin Z and Luo D: Impact of intense pulsed light irradiation on cultured primary fibroblasts and a vascular endothelial cell line. Exp Ther Med 4: 669-674, 2012.
APA
Wu, D., Zhou, B., Xu, Y., Yin, Z., & Luo, D. (2012). Impact of intense pulsed light irradiation on cultured primary fibroblasts and a vascular endothelial cell line. Experimental and Therapeutic Medicine, 4, 669-674. https://doi.org/10.3892/etm.2012.664
MLA
Wu, D., Zhou, B., Xu, Y., Yin, Z., Luo, D."Impact of intense pulsed light irradiation on cultured primary fibroblasts and a vascular endothelial cell line". Experimental and Therapeutic Medicine 4.4 (2012): 669-674.
Chicago
Wu, D., Zhou, B., Xu, Y., Yin, Z., Luo, D."Impact of intense pulsed light irradiation on cultured primary fibroblasts and a vascular endothelial cell line". Experimental and Therapeutic Medicine 4, no. 4 (2012): 669-674. https://doi.org/10.3892/etm.2012.664
Follow us
  • Twitter
  • LinkedIn
  • Facebook
About
  • Spandidos Publications
  • Careers
  • Cookie Policy
  • Privacy Policy
How can we help?
  • Help
  • Live Chat
  • Contact
  • Email to our Support Team