Spandidos Publications Logo
  • About
    • About Spandidos
    • Aims and Scopes
    • Abstracting and Indexing
    • Editorial Policies
    • Reprints and Permissions
    • Job Opportunities
    • Terms and Conditions
    • Contact
  • Journals
    • All Journals
    • Oncology Letters
      • Oncology Letters
      • Information for Authors
      • Editorial Policies
      • Editorial Board
      • Aims and Scope
      • Abstracting and Indexing
      • Bibliographic Information
      • Archive
    • International Journal of Oncology
      • International Journal of Oncology
      • Information for Authors
      • Editorial Policies
      • Editorial Board
      • Aims and Scope
      • Abstracting and Indexing
      • Bibliographic Information
      • Archive
    • Molecular and Clinical Oncology
      • Molecular and Clinical Oncology
      • Information for Authors
      • Editorial Policies
      • Editorial Board
      • Aims and Scope
      • Abstracting and Indexing
      • Bibliographic Information
      • Archive
    • Experimental and Therapeutic Medicine
      • Experimental and Therapeutic Medicine
      • Information for Authors
      • Editorial Policies
      • Editorial Board
      • Aims and Scope
      • Abstracting and Indexing
      • Bibliographic Information
      • Archive
    • International Journal of Molecular Medicine
      • International Journal of Molecular Medicine
      • Information for Authors
      • Editorial Policies
      • Editorial Board
      • Aims and Scope
      • Abstracting and Indexing
      • Bibliographic Information
      • Archive
    • Biomedical Reports
      • Biomedical Reports
      • Information for Authors
      • Editorial Policies
      • Editorial Board
      • Aims and Scope
      • Abstracting and Indexing
      • Bibliographic Information
      • Archive
    • Oncology Reports
      • Oncology Reports
      • Information for Authors
      • Editorial Policies
      • Editorial Board
      • Aims and Scope
      • Abstracting and Indexing
      • Bibliographic Information
      • Archive
    • Molecular Medicine Reports
      • Molecular Medicine Reports
      • Information for Authors
      • Editorial Policies
      • Editorial Board
      • Aims and Scope
      • Abstracting and Indexing
      • Bibliographic Information
      • Archive
    • World Academy of Sciences Journal
      • World Academy of Sciences Journal
      • Information for Authors
      • Editorial Policies
      • Editorial Board
      • Aims and Scope
      • Abstracting and Indexing
      • Bibliographic Information
      • Archive
    • International Journal of Functional Nutrition
      • International Journal of Functional Nutrition
      • Information for Authors
      • Editorial Policies
      • Editorial Board
      • Aims and Scope
      • Abstracting and Indexing
      • Bibliographic Information
      • Archive
    • International Journal of Epigenetics
      • International Journal of Epigenetics
      • Information for Authors
      • Editorial Policies
      • Editorial Board
      • Aims and Scope
      • Abstracting and Indexing
      • Bibliographic Information
      • Archive
    • Medicine International
      • Medicine International
      • Information for Authors
      • Editorial Policies
      • Editorial Board
      • Aims and Scope
      • Abstracting and Indexing
      • Bibliographic Information
      • Archive
  • Articles
  • Information
    • Information for Authors
    • Information for Reviewers
    • Information for Librarians
    • Information for Advertisers
    • Conferences
  • Language Editing
Spandidos Publications Logo
  • About
    • About Spandidos
    • Aims and Scopes
    • Abstracting and Indexing
    • Editorial Policies
    • Reprints and Permissions
    • Job Opportunities
    • Terms and Conditions
    • Contact
  • Journals
    • All Journals
    • Biomedical Reports
      • Information for Authors
      • Editorial Policies
      • Editorial Board
      • Aims and Scope
      • Abstracting and Indexing
      • Bibliographic Information
      • Archive
    • Experimental and Therapeutic Medicine
      • Information for Authors
      • Editorial Policies
      • Editorial Board
      • Aims and Scope
      • Abstracting and Indexing
      • Bibliographic Information
      • Archive
    • International Journal of Epigenetics
      • Information for Authors
      • Editorial Policies
      • Editorial Board
      • Aims and Scope
      • Abstracting and Indexing
      • Bibliographic Information
      • Archive
    • International Journal of Functional Nutrition
      • Information for Authors
      • Editorial Policies
      • Editorial Board
      • Aims and Scope
      • Abstracting and Indexing
      • Bibliographic Information
      • Archive
    • International Journal of Molecular Medicine
      • Information for Authors
      • Editorial Policies
      • Editorial Board
      • Aims and Scope
      • Abstracting and Indexing
      • Bibliographic Information
      • Archive
    • International Journal of Oncology
      • Information for Authors
      • Editorial Policies
      • Editorial Board
      • Aims and Scope
      • Abstracting and Indexing
      • Bibliographic Information
      • Archive
    • Medicine International
      • Information for Authors
      • Editorial Policies
      • Editorial Board
      • Aims and Scope
      • Abstracting and Indexing
      • Bibliographic Information
      • Archive
    • Molecular and Clinical Oncology
      • Information for Authors
      • Editorial Policies
      • Editorial Board
      • Aims and Scope
      • Abstracting and Indexing
      • Bibliographic Information
      • Archive
    • Molecular Medicine Reports
      • Information for Authors
      • Editorial Policies
      • Editorial Board
      • Aims and Scope
      • Abstracting and Indexing
      • Bibliographic Information
      • Archive
    • Oncology Letters
      • Information for Authors
      • Editorial Policies
      • Editorial Board
      • Aims and Scope
      • Abstracting and Indexing
      • Bibliographic Information
      • Archive
    • Oncology Reports
      • Information for Authors
      • Editorial Policies
      • Editorial Board
      • Aims and Scope
      • Abstracting and Indexing
      • Bibliographic Information
      • Archive
    • World Academy of Sciences Journal
      • Information for Authors
      • Editorial Policies
      • Editorial Board
      • Aims and Scope
      • Abstracting and Indexing
      • Bibliographic Information
      • Archive
  • Articles
  • Information
    • For Authors
    • For Reviewers
    • For Librarians
    • For Advertisers
    • Conferences
  • Language Editing
Login Register Submit
  • This site uses cookies
  • You can change your cookie settings at any time by following the instructions in our Cookie Policy. To find out more, you may read our Privacy Policy.

    I agree
Search articles by DOI, keyword, author or affiliation
Search
Advanced Search
presentation
Experimental and Therapeutic Medicine
Join Editorial Board Propose a Special Issue
Print ISSN: 1792-0981 Online ISSN: 1792-1015
Journal Cover
May 2013 Volume 5 Issue 5

Full Size Image

Sign up for eToc alerts
Recommend to Library

Journals

International Journal of Molecular Medicine

International Journal of Molecular Medicine

International Journal of Molecular Medicine is an international journal devoted to molecular mechanisms of human disease.

International Journal of Oncology

International Journal of Oncology

International Journal of Oncology is an international journal devoted to oncology research and cancer treatment.

Molecular Medicine Reports

Molecular Medicine Reports

Covers molecular medicine topics such as pharmacology, pathology, genetics, neuroscience, infectious diseases, molecular cardiology, and molecular surgery.

Oncology Reports

Oncology Reports

Oncology Reports is an international journal devoted to fundamental and applied research in Oncology.

Experimental and Therapeutic Medicine

Experimental and Therapeutic Medicine

Experimental and Therapeutic Medicine is an international journal devoted to laboratory and clinical medicine.

Oncology Letters

Oncology Letters

Oncology Letters is an international journal devoted to Experimental and Clinical Oncology.

Biomedical Reports

Biomedical Reports

Explores a wide range of biological and medical fields, including pharmacology, genetics, microbiology, neuroscience, and molecular cardiology.

Molecular and Clinical Oncology

Molecular and Clinical Oncology

International journal addressing all aspects of oncology research, from tumorigenesis and oncogenes to chemotherapy and metastasis.

World Academy of Sciences Journal

World Academy of Sciences Journal

Multidisciplinary open-access journal spanning biochemistry, genetics, neuroscience, environmental health, and synthetic biology.

International Journal of Functional Nutrition

International Journal of Functional Nutrition

Open-access journal combining biochemistry, pharmacology, immunology, and genetics to advance health through functional nutrition.

International Journal of Epigenetics

International Journal of Epigenetics

Publishes open-access research on using epigenetics to advance understanding and treatment of human disease.

Medicine International

Medicine International

An International Open Access Journal Devoted to General Medicine.

Journal Cover
May 2013 Volume 5 Issue 5

Full Size Image

Sign up for eToc alerts
Recommend to Library

  • Article
  • Citations
    • Cite This Article
    • Download Citation
    • Create Citation Alert
    • Remove Citation Alert
    • Cited By
  • Similar Articles
    • Related Articles (in Spandidos Publications)
    • Similar Articles (Google Scholar)
    • Similar Articles (PubMed)
  • Download PDF
  • Download XML
  • View XML
Article

Effects of renal pelvic high-pressure perfusion on nephrons in a porcine pyonephrosis model

  • Authors:
    • Jian Wang
    • Da-Qing Zhou
    • Meng He
    • Wen-Gang Li
    • Xiang Pang
    • Xiao-Xiang Yu
    • Bo Jiang
  • View Affiliations / Copyright

    Affiliations: Department of Urology, 303rd Hospital of People's Liberation Army, Nanning, Guangxi 530021, P.R. China
  • Pages: 1389-1392
    |
    Published online on: March 21, 2013
       https://doi.org/10.3892/etm.2013.1023
  • Expand metrics +
Metrics: Total Views: 0 (Spandidos Publications: | PMC Statistics: )
Metrics: Total PDF Downloads: 0 (Spandidos Publications: | PMC Statistics: )
Cited By (CrossRef): 0 citations Loading Articles...

This article is mentioned in:



Abstract

The aim of this study was to investigate the effects of various renal pelvic pressure gradients on nephrons with purulent infection. Five miniature test pigs were selected. One side of the kidney was used to prepare the pyonephrosis model and the other side was used as the healthy control. A piezometer and a water fill tube were inserted into the renal pelvis through the ureter. Prior to perfusion, punctures were made on the healthy and purulent sides of the kidneys to obtain tissues (as controls). Subsequently, a puncture biopsy was conducted on the kidneys at five pressure levels: 10, 20, 30, 40 and 50 mmHg. Once the renal pelvic pressure had increased, the healthy and injured kidneys presented pathological changes, including dilation of the renal tubule and capsule and compression of the renal glomerulus. When the renal pelvic pressure exceeded 20 mmHg, the injured kidney presented more damage. Electron microscopy revealed that the increase in pressure resulted in the following: the podocyte gap widened, the epithelial cells of the renal capsule separated from the basement membrane, the basement membrane thickness became uneven, the continuity of the basement membrane was interrupted at multiple positions and the renal tubule microvillus arrangement became disorganised. The manifestations in the pyonephrosis model were more distinct compared with those in the healthy kidney. As the renal pelvic pressure exceeds 20 mmHg under a renal purulent infection status, the nephrons become damaged. The extent of the damage is aggravated as the pressure is increased.

Introduction

As percutaneous nephrolithotomy continues to advance, the majority of upper urinary calculi do not require open surgical treatments. Percutaneous nephrolithotomy has become the main method of upper urinary calculi treatment, particularly for Staghorn calculi (1,2). However, percutaneous nephrolithotomy has its disadvantages. It requires persistent washing to maintain a clear field of vision during surgery. This procedure causes the washing liquid to be absorbed and the renal pelvic pressure to increase, thereby resulting in a backflow problem (3,4). When the kidney is injured or in a purulent infection status, the renal pelvic pressure increases, which causes backflow of bacteria into the blood, causing septicaemia of urinary origin and a higher mortality rate (5–8). Therefore, when the kidney is infected, the majority of medical doctors do not conduct one-stage percutaneous nephrolithotomy. Instead, they initially conduct percutaneous nephrostomy, followed by two-stage percutaneous nephrolithotomy once the disease condition has become stable (9–11). However, under certain conditions, conducting one-stage percutaneous nephrolithotomy is also feasible, even if the kidney has purulent infection (12). Thus, several questions arise, particularly concerning the procedures involved in conducting surgery when renal infection is present, as well as on the correlation between renal pelvic pressure and renal backflow. Currently, studies on these issues are rare. Therefore, investigating the correlation between renal pelvic pressure and renal backflow during renal infection is important. This study presents a pathological biopsy by preparing the porcine pyonephrosis model and implementing various perfusion pressures to observe the pathological changes in the kidney under different pressures and to investigate the effects of pressure on the infected kidney. This study also aims to provide information concerning the clinical surgical treatment of calculus pyonephrosis.

Materials and methods

Animals

Five miniature common male test pigs aged 2 months with body weights ranging from 25 to 30 kg were selected. They were fed conventionally. This study was performed in strict accordance with the recommendations in the Guide for the Care and Use of Laboratory Animals of the National Institutes of Health. The animal use protocol was reviewed and approved by the Institutional Animal Care and Use Committee (IACUC) of the 303rd Hospital of the Chinese People’s Liberation Army.

Methods

Five miniature test pigs were used to prepare the pyonephrosis model. After the pigs had been adaptively fed for 5 days, the experiment was conducted. Prior to surgery, 10 mg/kg ketamine hydrochloride was administered by intra-muscular injection for anaesthesia. Next, 5 mg/kg ketamine hydrochloride was administered by intravenous injection for maintenance. Once the pigs were anaesthetised, they were laid on the left side while surgery was performed on the right ureter. Each pig was coeliotomised using a right waist incision to expose the right kidney and right ureter. At 5 cm from the right kidney, 2 ml supernatant of pig manure and normal saline was injected into the right ureter. When the injection had been administered, the abdominal cavity was closed. Following surgery, the pigs were fed normally and no antibiotic was administered.

After 3 days, the miniature test pigs were anaesthetised using the aforementioned method. The pigs were coeliotomised to expose the bilateral kidneys and ureters. Bilateral ureters were ligated 5 cm from the renal pelvis and a piezometer and a water fill tube were inserted from the ligation-proximal ureter towards the renal pelvis. At this time, the water fill tube was opened. The model was qualified after purulent urine was drained from the right injured kidney and clear urine was drained from the left healthy kidney.

Prior to perfusion, punctures were performed on the healthy and purulent sides of the kidneys to obtain tissues (as controls). Normal saline was perfused into the renal pelvis to allow the renal pelvic pressure to increase rapidly to 10 mmHg; this pressure was maintained for 10 min. Subsequently, the healthy and injured kidneys were punctured using one needle to conduct biopsy. Next, the perfusion liquid was drained and normal saline was perfused again to increase the pressure to 20 mmHg. When this pressure had been maintained for 10 min, the kidneys were punctured again. Similarly, puncture biopsy was performed at renal pelvic pressures of 10, 20, 30, 40 and 50 mmHg. The obtained tissues were restored in 10% formalin and electron microscopy fixation solutions.

Optical microscopy

Haematoxylin and eosin (H&E) staining of a specimen was conducted. Afterwards, the morphological structures of the renal capsule, renal glomerulus and renal tubule were observed under an optical microscope. At the same time, images were captured.

Electron microscopy

A specimen was cut into ultra-thin sections of 60–68 nm. A JEM-1010 model transmission electron microscope was used to observe the ultra-microstructures of the renal capsule, renal glomerulus and renal tubule. At the same time, images were captured.

Results

Pathological examination

When the renal pelvic pressure increased, healthy and injured kidneys presented pathological changes, including renal tubule and renal capsule dilations and renal glomerulus compression. At the same time, the purulent infected kidney exhibited interstitial oedema and inflammatory cell infiltration. When the perfusion pressure exceeded 20 mmHg, the purulent infected kidney exhibited degenerative necrosis of the renal tubule. When the perfusion pressure was increased to 40 mmHg, damage in the renal glomerulus and renal tubule became more evident and local structures of the renal glomerulus and renal tubule were damaged and destroyed. Under the same pressure, the healthy kidney exhibited dilations of the renal tubule and capsule and compression of the renal glomerulus. Less damage and fewer changes were observed in the healthy kidney (Fig. 1).

Figure 1

Pathological examination results. (A) When the pressure in the healthy side increased to 20 mmHg, the renal tubule dilated (H&E staining; optical microscope magnification, ×200). (B) When the pressure in the healthy side increased to 40 mmHg, the renal tubule and renal capsule were clearly dilated and the nephron structure was complete (H&E staining, magnification, ×200). (C) When the pressure in the infected side increased to 20 mmHg, the renal tubule and renal capsule were dilated and the continuity of the renal tubule basement membrane was partially interrupted (H&E staining, magnification, ×200). (D) When the pressure in the infected side increased to 40 mmHg, the renal tubule and renal capsule were clearly dilated and the continuities of the renal capsule and renal tubule were interrupted (H&E staining, magnification, ×200). H&E, haematoxylin and eosin.

Electron microscopy

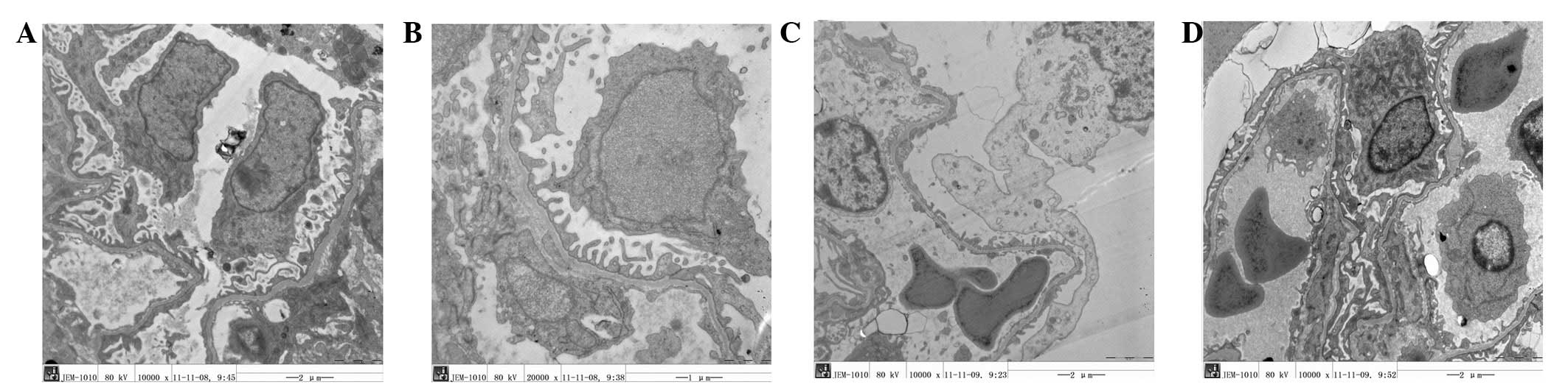
Different results were observed as the pressure was increased. The podocyte gap widened and the epithelial cells in the renal capsule separated from the basement membrane. The basement membrane thickness became uneven and its continuity was interrupted at multiple positions. The renal tubule microvillus arrangement became disorganised. The manifestations in the pyonephrosis model were more evident compared with those in the healthy kidney. In the renal capsule, inflammatory cells and transudatory erythrocytes were visible. In addition, microvillus disorder and shedding, mitochondrial vacuolisation, reduction in mitochondrial cristae and lysosomal expansion were visible at multiple sites (Fig. 2).

Figure 2

Electron microscopy results. (A) When the pressure in the healthy side increased to 20 mmHg, the separation of podocytes from the basement membrane was increased (transmission electron microscope; magnification, ×10,000). (B) When the pressure in the healthy side increased to 40 mmHg, the separation of podocytes from the basement membrane continued to increase and morphological disorders appeared (transmission electron microscope; magnification, ×10,000). (C) When the pressure in the injured side increased to 20 mmHg, the podocytes protruded and were clearly separated from the basement membrane, protuberances were flattened and the structure became disordered. Additionally, podocyte protuberance fragments were visible (transmission electron microscope; magnification, ×10,000). (D) When the pressure in the infected side increased to 40 mmHg, morphological changes of podocyte protuberances were acutely aggravated. Additionally, erythrocyte leakage occurred and leukocytes appeared (transmission electron microscope; magnification, ×10,000).

Discussion

Upper urinary calculus is a common disease that causes kidney obstruction and hydrops. In physiological status, the renal pelvic pressure is ∼0.98 kPa (7.35 mmHg). In the early stage of kidney obstruction, renal blood flow perfusion increases and the renal pelvic pressure gradually increases until it reaches a maximum (8.82 kPa) (13). Following this, the renal blood flow begins to decrease, the renal glomerulus filtration rate consequently drops and the renal pelvic pressure gradually decreases, at times becoming reduced to the baseline or to a level slightly above the normal baseline. Furthermore, ureter dilatation and renal pathological changes occur (13). Therefore, a basic method of relieving renal obstructive lesions is the prompt removal of the obstruction. Percutaneous nephrolithotomy is a common treatment method for the removal of calculus obstruction. However, it requires persistent perfusion and washing during surgery. Thus, renal pelvic pressure is likely to increase rapidly within a short time, which easily affects the renal structure and function. The effect is most evident in cases of complicated purulent infection.

According to the results of an in vitro study (14), a renal pelvic pressure >35 mmHg causes persistent reverse flow in the renal pelvic veins and lymphatic vessels. In cases of infection, a renal pelvic pressure of 15–18 mmHg may cause reverse flow. According to Kukreja et al(15), perfusion liquid absorption occurs during percutaneous nephrolithotomy. Even when renal pelvic pressure is <30 mmHg, perfusion liquid absorption continues to occur. During high-pressure perfusion, the perfusion liquid is absorbed through the impaired collection system mucosae and the open vessel of the puncture channel and the maximum amount of reabsorbed liquid may reach 474 ml. Furthermore, post-operative fever, pain and reductions in haemoglobin levels are all related to perfusion liquid absorption. For certain patients with complications involving heart and lung diseases and renal inadequacy, or even children, large amounts of absorbed liquids cause body fluid levels to increase excessively (16). If the calculus is complicated with bacterial infection, the absorbed bacteria cause bacteraemia. Therefore, administering furosemide following surgery is helpful in post-operative recovery. Using the radioactive labelling method, Stenberg et al(17) identified that liquid backflow sites are located in the renal calyceal fornix region. The liquid also undergoes backflow through the renal veins, instead of the lymphatic system. In vitro renal model studies (18) have shown that high pressure in the renal pelvis is related to the size and length of the puncture sheath and its position in the kidney. Therefore, decreasing the renal pelvic pressure during surgery is necessary to expand the puncture channel or decrease the height of the perfusion liquid (19). Ng et al(20) conducted micro-channel percutaneous nephrolithotomy on patients in a supine position. When the working sheath was placed at a position lower than the renal collecting system, high-pressure perfusion liquid flowed from the gap between the working sheath and the percutaneous nephroscope due to gravity and the renal pelvic pressure was significantly less than that when the patient was in a prone position. Furthermore, effective intra-operative gravel washing was conducted and the post-operative complications were slightly reduced. These observations indicate that perfusion liquid absorption or backflow caused by an increase in the renal pelvic pressure is an important factor that causes various post-operative complications. Minimising the corresponding complications by decreasing the intra-operative renal pelvic pressure also becomes possible.

The current study investigated the effects of renal pelvic pressure on the kidney. The study was specifically designed to investigate the correlation between nephron damage and renal pelvic pressure with renal purulent infection. Since a porcine kidney is extremely similar to a human kidney, the porcine renal model efficiently represents the progressive situation of the same lesions in humans. This study shows that an increase in the renal pelvic pressure within a certain range (<50 mmHg) for a healthy kidney causes renal tubule and renal capsule dilation and renal glomerulus compression. Less damage and fewer changes were also observed. For a kidney with purulent infection, renal tubule degenerative necrosis was observed at a perfusion pressure >20 mmHg. When the pressure increased to 40 mmHg, damage in the renal glomerulus and renal tubule became more evident and local structures in the renal glomerulus and renal tubule were damaged and destroyed. The same changes were visible under an electron microscope. When the renal pelvic perfusion pressure was increased to 20 mmHg, the thickness of the renal glomerulus and renal tubule basement membrane became uneven and the continuity of the basement membrane was interrupted at multiple positions. The experimental results demonstrate that the pressure resistance of a kidney with purulent infection is significantly lower than that of the normal kidney. If treatment is conducted at this time, pathogenic bacteria invade the vessels at the damaged basement membrane and cause bacteraemia or septicaemia through the blood circulation. Therefore, when percutaneous nephrolithotomy is performed for renal calculus complicated with infection, strictly control of the intra-operative renal pelvic pressure is necessary. Maintaining the pressure below 20 mmHg is also relatively safe. This study investigated only the effects of renal pelvic pressure on a kidney with acute infection. However, chronic renal infection is more common in clinical practice. Therefore, further studies on the effect of chronic renal infection are required to determine whether our results would be consistent with those of acute infection.

References

1. 

Ganpule AP and Desai M: Management of staghorn calculus: multiple-tract versus single-tract percutaneous nephrolithotomy. Curr Opin Urol. 18:220–223. 2008. View Article : Google Scholar : PubMed/NCBI

2. 

Soucy F, Ko R, Duvdevani M, Nott L, Denstedt JD and Razvi H: Percutaneous nephrolithotomy for staghorn calculi: a single center’s experience over 15 years. J Endourol. 23:1669–1673. 2009.

3. 

Shao Y, Shen ZJ, Zhu YY, Sun XW, Lu J and Xia SJ: Fluid-electrolyte and renal pelvic pressure changes during ureteroscopic lithotripsy. Minim Invasive Ther Allied Technol. 21:302–306. 2012. View Article : Google Scholar : PubMed/NCBI

4. 

Mohta M, Bhagchandani T, Tyagi A, Pendse M and Sethi AK: Haemodynamic, electrolyte and metabolic changes during percutaneous nephrolithotomy. Int Urol Nephrol. 40:477–482. 2008. View Article : Google Scholar : PubMed/NCBI

5. 

Troxel SA and Low RK: Renal intrapelvic pressure during percutaneous nephrolithotomy and its correlation with the development of postoperative fever. J Urol. 168:1348–1351. 2002. View Article : Google Scholar : PubMed/NCBI

6. 

Bag S, Kumar S, Taneja N, Sharma V, Mandal AK and Singh SK: One week of nitrofurantoin before percutaneous nephrolithotomy significantly reduces upper tract infection and urosepsis: a prospective controlled study. Urology. 77:45–49. 2011. View Article : Google Scholar

7. 

Korets R, Graversen JA, Kates M, Mues AC and Gupta M: Post-percutaneous nephrolithotomy systemic inflammatory response: a prospective analysis of preoperative urine, renal pelvic urine and stone cultures. J Urol. 186:1899–1903. 2011. View Article : Google Scholar

8. 

Labate G, Modi P, Timoney A, et al: The percutaneous nephrolithotomy global study: classification of complications. J Endourol. 25:1275–1280. 2011. View Article : Google Scholar : PubMed/NCBI

9. 

Hemal AK and Mishra S: Retroperitoneoscopic nephrectomy for pyonephrotic nonfunctioning kidney. Urology. 75:585–588. 2010. View Article : Google Scholar : PubMed/NCBI

10. 

Ng CK, Yip SK, Sim LS, et al: Outcome of percutaneous nephrostomy for the management of pyonephrosis. Asian J Surg. 25:215–219. 2002. View Article : Google Scholar : PubMed/NCBI

11. 

Lojanapiwat B and Kitirattrakarn P: Role of preoperative and intra-operative factors in mediating infection complication following percutaneous nephrolithotomy. Urol Int. 86:448–452. 2011. View Article : Google Scholar

12. 

Tu MQ, Shi GW and He JY: Treatment of pyonephrosis with upper urinary tract calculi. Zhonghua Yi Xue Za Zhi. 91:1115–1117. 2011.(In Chinese).

13. 

Shokeir AA, Shoma AM, Abubieh EA, Nasser MA, Eassa W and El-Asmy A: Recoverability of renal function after relief of acute complete ureteral obstruction: clinical prospective study of the role of renal resistive index. J Urology. 59:506–510. 2002. View Article : Google Scholar

14. 

Hinman F and Redewell FH: Pyelovenous backflow. JAMA. 87:1287–1293. 1926. View Article : Google Scholar

15. 

Kukreja RA, Desai MR, Sabnis RB and Patel SH: Fluid absorption during percutaneous nephrolithotomy: does it matter? J Endourol. 16:221–224. 2002. View Article : Google Scholar : PubMed/NCBI

16. 

Dogan HS, Kilicarslan H, Kordan Y, Celen S and Oktay B: Percutaneous nephrolithotomy in children: does age matter? World J Urol. 29:725–729. 2011. View Article : Google Scholar : PubMed/NCBI

17. 

Stenberg A, Bohmant S, Morsing P, Müller-Suur C, Olsen L and Persson AE: Back-leak of pelvic urine to the bloodstream. Acta Physiol Scand. 134:223–234. 1998. View Article : Google Scholar : PubMed/NCBI

18. 

Low RK: Nephroscopy sheath characteristics and intrarenal pelvic pressure: human kidney model. J Endourol. 13:205–208. 1999. View Article : Google Scholar : PubMed/NCBI

19. 

Zhong W, Zeng G, Wu K, Li X, Chen W and Yang H: Does a smaller tract in percutaneous nephrolithotomy contribute to high renal pelvic pressure and postoperative fever? J Endourol. 22:2147–2151. 2008. View Article : Google Scholar : PubMed/NCBI

20. 

Ng MT, Sun WH, Chen CW and Chan ES: Supine position is safe and effective for percutaneous nephrolithotomy. J Endourol. 18:469–474. 2004. View Article : Google Scholar : PubMed/NCBI

Related Articles

  • Abstract
  • View
  • Download
  • Twitter
Copy and paste a formatted citation
Spandidos Publications style
Wang J, Zhou D, He M, Li W, Pang X, Yu X and Jiang B: Effects of renal pelvic high-pressure perfusion on nephrons in a porcine pyonephrosis model. Exp Ther Med 5: 1389-1392, 2013.
APA
Wang, J., Zhou, D., He, M., Li, W., Pang, X., Yu, X., & Jiang, B. (2013). Effects of renal pelvic high-pressure perfusion on nephrons in a porcine pyonephrosis model. Experimental and Therapeutic Medicine, 5, 1389-1392. https://doi.org/10.3892/etm.2013.1023
MLA
Wang, J., Zhou, D., He, M., Li, W., Pang, X., Yu, X., Jiang, B."Effects of renal pelvic high-pressure perfusion on nephrons in a porcine pyonephrosis model". Experimental and Therapeutic Medicine 5.5 (2013): 1389-1392.
Chicago
Wang, J., Zhou, D., He, M., Li, W., Pang, X., Yu, X., Jiang, B."Effects of renal pelvic high-pressure perfusion on nephrons in a porcine pyonephrosis model". Experimental and Therapeutic Medicine 5, no. 5 (2013): 1389-1392. https://doi.org/10.3892/etm.2013.1023
Copy and paste a formatted citation
x
Spandidos Publications style
Wang J, Zhou D, He M, Li W, Pang X, Yu X and Jiang B: Effects of renal pelvic high-pressure perfusion on nephrons in a porcine pyonephrosis model. Exp Ther Med 5: 1389-1392, 2013.
APA
Wang, J., Zhou, D., He, M., Li, W., Pang, X., Yu, X., & Jiang, B. (2013). Effects of renal pelvic high-pressure perfusion on nephrons in a porcine pyonephrosis model. Experimental and Therapeutic Medicine, 5, 1389-1392. https://doi.org/10.3892/etm.2013.1023
MLA
Wang, J., Zhou, D., He, M., Li, W., Pang, X., Yu, X., Jiang, B."Effects of renal pelvic high-pressure perfusion on nephrons in a porcine pyonephrosis model". Experimental and Therapeutic Medicine 5.5 (2013): 1389-1392.
Chicago
Wang, J., Zhou, D., He, M., Li, W., Pang, X., Yu, X., Jiang, B."Effects of renal pelvic high-pressure perfusion on nephrons in a porcine pyonephrosis model". Experimental and Therapeutic Medicine 5, no. 5 (2013): 1389-1392. https://doi.org/10.3892/etm.2013.1023
Follow us
  • Twitter
  • LinkedIn
  • Facebook
About
  • Spandidos Publications
  • Careers
  • Cookie Policy
  • Privacy Policy
How can we help?
  • Help
  • Live Chat
  • Contact
  • Email to our Support Team