Spandidos Publications Logo
  • About
    • About Spandidos
    • Aims and Scopes
    • Abstracting and Indexing
    • Editorial Policies
    • Reprints and Permissions
    • Job Opportunities
    • Terms and Conditions
    • Contact
  • Journals
    • All Journals
    • Oncology Letters
      • Oncology Letters
      • Information for Authors
      • Editorial Policies
      • Editorial Board
      • Aims and Scope
      • Abstracting and Indexing
      • Bibliographic Information
      • Archive
    • International Journal of Oncology
      • International Journal of Oncology
      • Information for Authors
      • Editorial Policies
      • Editorial Board
      • Aims and Scope
      • Abstracting and Indexing
      • Bibliographic Information
      • Archive
    • Molecular and Clinical Oncology
      • Molecular and Clinical Oncology
      • Information for Authors
      • Editorial Policies
      • Editorial Board
      • Aims and Scope
      • Abstracting and Indexing
      • Bibliographic Information
      • Archive
    • Experimental and Therapeutic Medicine
      • Experimental and Therapeutic Medicine
      • Information for Authors
      • Editorial Policies
      • Editorial Board
      • Aims and Scope
      • Abstracting and Indexing
      • Bibliographic Information
      • Archive
    • International Journal of Molecular Medicine
      • International Journal of Molecular Medicine
      • Information for Authors
      • Editorial Policies
      • Editorial Board
      • Aims and Scope
      • Abstracting and Indexing
      • Bibliographic Information
      • Archive
    • Biomedical Reports
      • Biomedical Reports
      • Information for Authors
      • Editorial Policies
      • Editorial Board
      • Aims and Scope
      • Abstracting and Indexing
      • Bibliographic Information
      • Archive
    • Oncology Reports
      • Oncology Reports
      • Information for Authors
      • Editorial Policies
      • Editorial Board
      • Aims and Scope
      • Abstracting and Indexing
      • Bibliographic Information
      • Archive
    • Molecular Medicine Reports
      • Molecular Medicine Reports
      • Information for Authors
      • Editorial Policies
      • Editorial Board
      • Aims and Scope
      • Abstracting and Indexing
      • Bibliographic Information
      • Archive
    • World Academy of Sciences Journal
      • World Academy of Sciences Journal
      • Information for Authors
      • Editorial Policies
      • Editorial Board
      • Aims and Scope
      • Abstracting and Indexing
      • Bibliographic Information
      • Archive
    • International Journal of Functional Nutrition
      • International Journal of Functional Nutrition
      • Information for Authors
      • Editorial Policies
      • Editorial Board
      • Aims and Scope
      • Abstracting and Indexing
      • Bibliographic Information
      • Archive
    • International Journal of Epigenetics
      • International Journal of Epigenetics
      • Information for Authors
      • Editorial Policies
      • Editorial Board
      • Aims and Scope
      • Abstracting and Indexing
      • Bibliographic Information
      • Archive
    • Medicine International
      • Medicine International
      • Information for Authors
      • Editorial Policies
      • Editorial Board
      • Aims and Scope
      • Abstracting and Indexing
      • Bibliographic Information
      • Archive
  • Articles
  • Information
    • Information for Authors
    • Information for Reviewers
    • Information for Librarians
    • Information for Advertisers
    • Conferences
  • Language Editing
Spandidos Publications Logo
  • About
    • About Spandidos
    • Aims and Scopes
    • Abstracting and Indexing
    • Editorial Policies
    • Reprints and Permissions
    • Job Opportunities
    • Terms and Conditions
    • Contact
  • Journals
    • All Journals
    • Biomedical Reports
      • Information for Authors
      • Editorial Policies
      • Editorial Board
      • Aims and Scope
      • Abstracting and Indexing
      • Bibliographic Information
      • Archive
    • Experimental and Therapeutic Medicine
      • Information for Authors
      • Editorial Policies
      • Editorial Board
      • Aims and Scope
      • Abstracting and Indexing
      • Bibliographic Information
      • Archive
    • International Journal of Epigenetics
      • Information for Authors
      • Editorial Policies
      • Editorial Board
      • Aims and Scope
      • Abstracting and Indexing
      • Bibliographic Information
      • Archive
    • International Journal of Functional Nutrition
      • Information for Authors
      • Editorial Policies
      • Editorial Board
      • Aims and Scope
      • Abstracting and Indexing
      • Bibliographic Information
      • Archive
    • International Journal of Molecular Medicine
      • Information for Authors
      • Editorial Policies
      • Editorial Board
      • Aims and Scope
      • Abstracting and Indexing
      • Bibliographic Information
      • Archive
    • International Journal of Oncology
      • Information for Authors
      • Editorial Policies
      • Editorial Board
      • Aims and Scope
      • Abstracting and Indexing
      • Bibliographic Information
      • Archive
    • Medicine International
      • Information for Authors
      • Editorial Policies
      • Editorial Board
      • Aims and Scope
      • Abstracting and Indexing
      • Bibliographic Information
      • Archive
    • Molecular and Clinical Oncology
      • Information for Authors
      • Editorial Policies
      • Editorial Board
      • Aims and Scope
      • Abstracting and Indexing
      • Bibliographic Information
      • Archive
    • Molecular Medicine Reports
      • Information for Authors
      • Editorial Policies
      • Editorial Board
      • Aims and Scope
      • Abstracting and Indexing
      • Bibliographic Information
      • Archive
    • Oncology Letters
      • Information for Authors
      • Editorial Policies
      • Editorial Board
      • Aims and Scope
      • Abstracting and Indexing
      • Bibliographic Information
      • Archive
    • Oncology Reports
      • Information for Authors
      • Editorial Policies
      • Editorial Board
      • Aims and Scope
      • Abstracting and Indexing
      • Bibliographic Information
      • Archive
    • World Academy of Sciences Journal
      • Information for Authors
      • Editorial Policies
      • Editorial Board
      • Aims and Scope
      • Abstracting and Indexing
      • Bibliographic Information
      • Archive
  • Articles
  • Information
    • For Authors
    • For Reviewers
    • For Librarians
    • For Advertisers
    • Conferences
  • Language Editing
Login Register Submit
  • This site uses cookies
  • You can change your cookie settings at any time by following the instructions in our Cookie Policy. To find out more, you may read our Privacy Policy.

    I agree
Search articles by DOI, keyword, author or affiliation
Search
Advanced Search
presentation
Experimental and Therapeutic Medicine
Join Editorial Board Propose a Special Issue
Print ISSN: 1792-0981 Online ISSN: 1792-1015
Journal Cover
2014-March Volume 7 Issue 3

Full Size Image

Sign up for eToc alerts
Recommend to Library

Journals

International Journal of Molecular Medicine

International Journal of Molecular Medicine

International Journal of Molecular Medicine is an international journal devoted to molecular mechanisms of human disease.

International Journal of Oncology

International Journal of Oncology

International Journal of Oncology is an international journal devoted to oncology research and cancer treatment.

Molecular Medicine Reports

Molecular Medicine Reports

Covers molecular medicine topics such as pharmacology, pathology, genetics, neuroscience, infectious diseases, molecular cardiology, and molecular surgery.

Oncology Reports

Oncology Reports

Oncology Reports is an international journal devoted to fundamental and applied research in Oncology.

Experimental and Therapeutic Medicine

Experimental and Therapeutic Medicine

Experimental and Therapeutic Medicine is an international journal devoted to laboratory and clinical medicine.

Oncology Letters

Oncology Letters

Oncology Letters is an international journal devoted to Experimental and Clinical Oncology.

Biomedical Reports

Biomedical Reports

Explores a wide range of biological and medical fields, including pharmacology, genetics, microbiology, neuroscience, and molecular cardiology.

Molecular and Clinical Oncology

Molecular and Clinical Oncology

International journal addressing all aspects of oncology research, from tumorigenesis and oncogenes to chemotherapy and metastasis.

World Academy of Sciences Journal

World Academy of Sciences Journal

Multidisciplinary open-access journal spanning biochemistry, genetics, neuroscience, environmental health, and synthetic biology.

International Journal of Functional Nutrition

International Journal of Functional Nutrition

Open-access journal combining biochemistry, pharmacology, immunology, and genetics to advance health through functional nutrition.

International Journal of Epigenetics

International Journal of Epigenetics

Publishes open-access research on using epigenetics to advance understanding and treatment of human disease.

Medicine International

Medicine International

An International Open Access Journal Devoted to General Medicine.

Journal Cover
2014-March Volume 7 Issue 3

Full Size Image

Sign up for eToc alerts
Recommend to Library

  • Article
  • Citations
    • Cite This Article
    • Download Citation
    • Create Citation Alert
    • Remove Citation Alert
    • Cited By
  • Similar Articles
    • Related Articles (in Spandidos Publications)
    • Similar Articles (Google Scholar)
    • Similar Articles (PubMed)
  • Download PDF
  • Download XML
  • View XML
Case Report

Phlebosclerotic colitis: A case report and review of the literature

  • Authors:
    • Yue‑Lin Fang
    • Ho‑Chi Hsu
    • Yenn‑Hwei Chou
    • Chin‑Chu Wu
    • Yuh‑Yu Chou
  • View Affiliations / Copyright

    Affiliations: Division of General Surgery, Department of Surgery, Shin Kong Wu Ho‑Su Memorial Hospital, Taipei 111, Taiwan, R.O.C., Department of Radiology, Shin Kong Wu Ho‑Su Memorial Hospital, Taipei 111, Taiwan, R.O.C., Department of Pathology, Shin Kong Wu Ho‑Su Memorial Hospital, Taipei 111, Taiwan, R.O.C.
  • Pages: 583-586
    |
    Published online on: January 20, 2014
       https://doi.org/10.3892/etm.2014.1492
  • Expand metrics +
Metrics: Total Views: 0 (Spandidos Publications: | PMC Statistics: )
Metrics: Total PDF Downloads: 0 (Spandidos Publications: | PMC Statistics: )
Cited By (CrossRef): 0 citations Loading Articles...

This article is mentioned in:



Abstract

Phlebosclerotic colitis (PC) is a rare but potentially life‑threatening disease. The initial presentation may include non‑specific symptoms, such as vomiting, constipation and abdominal pain; however, intestinal stenosis, gangrene and perforation may occur without appropriate management. The present report describes the case of a 56‑year‑old male with abdominal pain and constipation. Imaging studies revealed thread‑like calcifications involving almost the entire colon, which had markedly progressed over a three‑year period, and changes consistent with colonic ischemia. Angiography revealed decreased blood flow in the mesenteric veins. The patient underwent emergent subtotal colectomy, and pathological examination revealed gangrene of the colon and calcifications of the mesenteric veins. The patient's postoperative course was uneventful. In conclusion, PC is a potentially life‑threatening condition that may be diagnosed by the presence of serpentine calcifications on imaging studies. Management depends on the severity of the disease, ranging from close follow‑up to prompt surgical intervention.

Introduction

Ischemic colitis is primarily caused by arterial obstruction secondary to arteriosclerosis, thrombosis or embolism in the left-sided colon (1). Mesenteric venous abnormalities may also result in ischemic colitis, and lead to progressive fibrosis, calcification and obstruction of the colonic and mesenteric veins (1). Subsequently, the affected colon wall becomes thickened, which interferes with motility and may lead to subserosal calcifications and luminal stenosis (1). Ischemic colitis infrequently affects the right colon and the superior mesenteric vein (SMV).

Phlebosclerotic colitis (PC), also known as mesenteric phlebosclerosis, is a unique form of ischemic colitis with <80 reported cases in the literature (2,3). Calcifications along the wall of colon are the only unique radiographic feature, and delayed diagnosis may lead to intestinal gangrene (2,3). The present report describes a case of PC in a 56-year-old male.

Case report

A 56-year-old male presented with a one-day history of diffuse abdominal pain, and an absence of stool passage and occasional nausea and vomiting for one week. The patient’s medical history was significant for hypertension, which had been controlled with medication for two years. In addition, the patient had used a Chinese herbal syrup and alcohol for the relief of intermittent abdominal pain for >30 years. A similar episode of diffuse abdominal pain three years previously had resulted in the patient consulting a doctor; the patient was discharged following imaging studies and conservative treatment. The study was approved by the Ethics Committee of the Institutional Review Board of Shin Kong Wu Ho-Su Memorial Hospital (Taipei, Taiwan). Written informed consent was obtained from the patient.

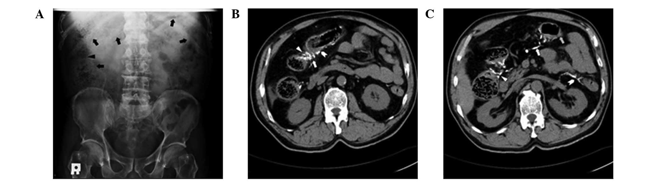
Physical examination revealed stable vital signs and rebound tenderness over the right upper abdomen. Laboratory data, including biochemistry, electrolytes and a complete blood count, were all within normal limits, except for mild leukocytosis [white blood cells (WBCs), 12,600/μl; segmented neutrophils, 70.1%]. An abdominal radiograph revealed thread-like radiopaque densities in the right upper quadrant (Fig. 1A). Computed tomography (CT) revealed numerous serpentine calcifications alongside the colonic veins, which extended from the terminal ileum to the proximal descending colon, ascites, and wall thickening and luminal stenosis over the hepatic flexure (Fig. 1B and C). Compared with the previous imaging studies, the extent of the calcifications had become more severe. Angiography showed a patent superior mesenteric artery trunk; however, there was decreased arterial perfusion and absent venous return at the tributary of the ascending colon and hepatic flexure (Fig. 2).

Figure 1

(A) Abdominal radiograph revealed fecal material in the right colon (arrowhead) with thread-like radiopaque densities representing vascular calcifications over the ascending and transverse colon (arrows). (B) CT revealed numerous serpentine calcifications (arrow) and stenosis (arrowhead) of the hepatic flexure of the colon with wall thickening (arrow tail). (C) CT also showed serpentine calcifications of the superior mesenteric vein and its tributaries of the ascending and transverse colon (arrowhead and arrow). Marked calcification of the inferior mesenteric vein and its tributaries of the descending colon was noted (arrow tail). In addition, wall thickening of the ascending, transverse and proximal descending colon, associated with poor contrast enhancement, was observed (arrow with oblique lines). CT, computed tomography.

Figure 2

SMA angiography. (A) Arterial phase showed a patent SMA with smooth contour and normal flow; however, there was torturous narrowing and a decreased number of tributaries over the ascending and transverse colon (dashed circle). (B) Venous phase revealed markedly decreased flow in the mesenteric vein and its tributaries over the ascending and transverse colon (dashed circle). SMA, superior mesenteric artery.

The patient was admitted and reported increased abdominal pain and tenderness later that day, and progressive leukocytosis was observed (WBCs, 18,800/μl; segmented neutrophils, 88.0%). The patient subsequently underwent emergent surgical intervention with suspected PC and impending ischemia or gangrene of the colon.

Intraoperatively, ischemic and gangrenous changes involving almost the entire colon, as well as turbid ascites, were observed, and a subtotal colectomy was performed. Pathological examination revealed necrotic changes, erosion and ulceration of the colonic mucosa, in addition to hemorrhagic and edematous submucosa with inflammatory cell infiltration in the colon wall. No obvious perforation was apparent. There were numerous sclerotic veins or venules with hyalinization, calcification and areas of ossification in the intramural and extramural aspect of the colon, and a focal area of near-total occlusion of the venous lumen with ossification and thrombosis (Fig. 3).

Figure 3

(A) The resected colon specimen was observed to have a dark purple-colored mucosal surface (arrow) with hemorrhagic spots and marked mural thickening of the colon wall, particularly the right colon. In addition, there was a segmental stenosis over the hepatic flexure (arrowhead). (B) Hematoxylin and eosin staining revealed hyalinization, calcification, ossification and thrombosis of the mesenteric veins.

The patient recovered well, and was discharged two weeks later. He returned to work, and has had no recurrent symptoms during the subsequent three-year follow-up.

Discussion

The signs and symptoms of PC are nonspecific and may include abdominal pain, ileus, diarrhea and bloody stools (2). Features of PC may include mesenteric venous fibrosis, hyalinization, sclerosis and/or calcifications, ulceration of the colonic mucosa, wall thickening and luminal stricture (4,5). PC occurs primarily in individuals of Asian descent. A summary of the patient and disease characteristics is shown in Table I.

Table I

Demographics and characteristics of patients with phlebosclerotic colitis reported from 1991 to 2011.

Table I

Demographics and characteristics of patients with phlebosclerotic colitis reported from 1991 to 2011.

Demographic/characteristicValue%
Country or area (n=69)
 Japan5275.4
 Taiwan1217.4
 Hong Kong22.9
 Korea34.3
Gender (n=63)
 Male3454.0
 Female2946.0
Age, years (n=63)
 Median (range)59 (33–77)NA
Symptoms and signs (n=60)
 Pain4575.0
 Diarrhea2643.3
 Ileus1728.3
 Nausea/vomiting1728.3
 Positive stool occult blood1220.0
 Constipation813.3
 Palpable mass35.0
 Fever35.0
 Body weight loss35.0
 Fatigue11.7
Location of lesions (n=62)a
 Limited to right colon (cecum and ascending colon)46.5
 Continuously extended to transverse colon2946.8
 Continuously extended to left colon (descending and sigmoid colon)2743.5
 Continuously extended to rectum23.2
Management (n=64)
 Surgical intervention3351.6
 Conservative treatment and subsequent surgery57.8
 Conservative treatment only2640.6
Procedure (n=38)b
 Right hemicolectomy1231.6
 Subtotal colectomy2668.4

a In all cases the right colon was involved.

b In two cases a laparoscopic procedure was performed. Two patients succumbed to septic shock on postoperative day 3.

{ label (or @symbol) needed for fn[@id='tfn3-etm-07-03-0583'] } NA, not applicable.

The condition is mostly neglected during the early stage of the disease, and the characteristic radiographic feature is multiple fine tortuous thread-like or serpentine mesenteric venous calcifications involving the marginal veins, vena recti and intramural tributaries (3,6). The calcifications are primarily located perpendicular to the long axis of the colon (3,6), and may extend to the vicinity of the SMV trunk (2). CT may reveal edematous wall mural thickening and luminal stricture of the colon, and angiography may show decreased venous phase perfusion. PC chiefly involves the right hemicolon, and in certain cases the lesions gradually progress in a caudal direction (3,6). In the patient described in the present report, the SMV distribution of the ascending and proximal transverse colon was affected in 2006, and three years later the lesions had extended to the proximal descending colon, suggesting a slow disease progression.

The pathogenesis of PC has not been fully elucidated (2,5). There have been seven cases of PC associated with the prolonged use of herbal medications (7,8). In addition, alcohol and chemicals, such as aristolochic acid or rolipram, have been associated with blood vessel injuries that lead to ischemic changes (7,8). The history of the patient in the present case was significant for the use of a herbal syrup for >30 years. Of note, there are numerous herbal-infused seasonings and microorganisms used in the fermenting process of foods commonly consumed in Asian countries.

It is unclear why PC primarily affects the right-sided colon; however, it has been suggested that certain toxic biochemical agents or water-soluble irritants absorbed from the ascending colon cause chronic venous damage (7,9). These substances may remain static longer in the right-sided colon, and often migrate cephalad (4). Increased intraluminal pressure in the right-sided colon may be another possible factor. Genetic susceptibility to PC has also been proposed, since almost all reported cases of PC are in individuals of Asian ancestry (4). Based on our review of the literature, an algorithm of the possible pathogenic mechanism is shown in Fig. 4.

Figure 4

Possible algorithm of the pathogenesis and management of phlebosclerotic colitis.

The management of PC should be based on the severity of the disease. In addition, the extent and duration of blood supply deprivation, as well as the degree of the intestinal injury, should be considered when selecting between surgical and conservative treatment. Previously, the majority of patients underwent surgical intervention; however, at present, conservative management with close follow-up is preferred if there are no signs of bowel compromise (10). Hemicolectomy or subtotal or total colectomy is considered curative therapy with a relatively good prognosis (10).

PC is a rare and potentially life-threatening condition that is most frequently observed in Asia, and diagnosis is made by the presence of serpentine calcifications on imaging studies. Management depends on the severity of disease, ranging from close follow-up to prompt surgical intervention.

References

1 

Feuerstadt P and Brandt LJ: Colon ischemia: recent insights and advances. Curr Gastroenterol Rep. 12:383–390. 2010. View Article : Google Scholar : PubMed/NCBI

2 

Iwashita A, Yao T, Schlemper RJ, et al: Mesenteric phlebosclerosis: a new disease entity causing ischemic colitis. Dis Colon Rectum. 46:209–220. 2003. View Article : Google Scholar : PubMed/NCBI

3 

Kwok KY, Lo SSM, Fung HS, Fan TW and Wong WK: Mesenteric phlebosclerosis - features on plain radiograph and computed tomography scan. J HK Coll Radiol. 12:136–138. 2010.

4 

Nishimura G, Nagai N, Ninomiya I, et al: Chronic ischemic lesions of the colon caused by phlebosclerosis of ileocolic mesenteric vein. Dig Endosc. 16:169–171. 2004. View Article : Google Scholar

5 

Mikami T, Hatate K, Kokuba Y, Nemoto Y, Tanigawa H and Okayasu I: A case of phlebosclerotic colitis: vasculitis as a possible origin. Kitasato Med J. 35:75–79. 2005.

6 

Markos V, Kelly S, Yee WC, Davis JE, Cheifetz RE and Alsheikh A: Phlebosclerotic colitis: imaging findings of a rare entity. AJR Am J Roentgenol. 184:1584–1586. 2005. View Article : Google Scholar : PubMed/NCBI

7 

Miyazaki M, Nakamura S and Matsumoto T: Idiopathic mesenteric phlebosclerosis occurring in a wife and her husband. Clin Gastroenterol Hepatol. 7:e32–e33. 2009. View Article : Google Scholar : PubMed/NCBI

8 

Ho TJ, Cheung CW, Wong WM and Chan FL: Phlebosclerotic colitis: an unusual cause of ischaemic colitis in a 65-year-old man. J HK Coll Radiol. 8:53–58. 2005.

9 

Chang KM: New histologic findings in idiopathic mesenteric phlebosclerosis: clues to its pathogenesis and etiology - probably ingested toxic agent-related. J Chin Med Assoc. 70:227–235. 2007. View Article : Google Scholar

10 

Yu CJ, Wang HH, Chou JW, et al: Phlebosclerotic colitis with nonsurgical treatment. Int J Colorectal Dis. 24:1241–1242. 2009. View Article : Google Scholar : PubMed/NCBI

Related Articles

  • Abstract
  • View
  • Download
  • Twitter
Copy and paste a formatted citation
Spandidos Publications style
Fang YL, Hsu HC, Chou YH, Wu CC and Chou YY: Phlebosclerotic colitis: A case report and review of the literature. Exp Ther Med 7: 583-586, 2014.
APA
Fang, Y., Hsu, H., Chou, Y., Wu, C., & Chou, Y. (2014). Phlebosclerotic colitis: A case report and review of the literature. Experimental and Therapeutic Medicine, 7, 583-586. https://doi.org/10.3892/etm.2014.1492
MLA
Fang, Y., Hsu, H., Chou, Y., Wu, C., Chou, Y."Phlebosclerotic colitis: A case report and review of the literature". Experimental and Therapeutic Medicine 7.3 (2014): 583-586.
Chicago
Fang, Y., Hsu, H., Chou, Y., Wu, C., Chou, Y."Phlebosclerotic colitis: A case report and review of the literature". Experimental and Therapeutic Medicine 7, no. 3 (2014): 583-586. https://doi.org/10.3892/etm.2014.1492
Copy and paste a formatted citation
x
Spandidos Publications style
Fang YL, Hsu HC, Chou YH, Wu CC and Chou YY: Phlebosclerotic colitis: A case report and review of the literature. Exp Ther Med 7: 583-586, 2014.
APA
Fang, Y., Hsu, H., Chou, Y., Wu, C., & Chou, Y. (2014). Phlebosclerotic colitis: A case report and review of the literature. Experimental and Therapeutic Medicine, 7, 583-586. https://doi.org/10.3892/etm.2014.1492
MLA
Fang, Y., Hsu, H., Chou, Y., Wu, C., Chou, Y."Phlebosclerotic colitis: A case report and review of the literature". Experimental and Therapeutic Medicine 7.3 (2014): 583-586.
Chicago
Fang, Y., Hsu, H., Chou, Y., Wu, C., Chou, Y."Phlebosclerotic colitis: A case report and review of the literature". Experimental and Therapeutic Medicine 7, no. 3 (2014): 583-586. https://doi.org/10.3892/etm.2014.1492
Follow us
  • Twitter
  • LinkedIn
  • Facebook
About
  • Spandidos Publications
  • Careers
  • Cookie Policy
  • Privacy Policy
How can we help?
  • Help
  • Live Chat
  • Contact
  • Email to our Support Team