Spandidos Publications Logo
  • About
    • About Spandidos
    • Aims and Scopes
    • Abstracting and Indexing
    • Editorial Policies
    • Reprints and Permissions
    • Job Opportunities
    • Terms and Conditions
    • Contact
  • Journals
    • All Journals
    • Oncology Letters
      • Oncology Letters
      • Information for Authors
      • Editorial Policies
      • Editorial Board
      • Aims and Scope
      • Abstracting and Indexing
      • Bibliographic Information
      • Archive
    • International Journal of Oncology
      • International Journal of Oncology
      • Information for Authors
      • Editorial Policies
      • Editorial Board
      • Aims and Scope
      • Abstracting and Indexing
      • Bibliographic Information
      • Archive
    • Molecular and Clinical Oncology
      • Molecular and Clinical Oncology
      • Information for Authors
      • Editorial Policies
      • Editorial Board
      • Aims and Scope
      • Abstracting and Indexing
      • Bibliographic Information
      • Archive
    • Experimental and Therapeutic Medicine
      • Experimental and Therapeutic Medicine
      • Information for Authors
      • Editorial Policies
      • Editorial Board
      • Aims and Scope
      • Abstracting and Indexing
      • Bibliographic Information
      • Archive
    • International Journal of Molecular Medicine
      • International Journal of Molecular Medicine
      • Information for Authors
      • Editorial Policies
      • Editorial Board
      • Aims and Scope
      • Abstracting and Indexing
      • Bibliographic Information
      • Archive
    • Biomedical Reports
      • Biomedical Reports
      • Information for Authors
      • Editorial Policies
      • Editorial Board
      • Aims and Scope
      • Abstracting and Indexing
      • Bibliographic Information
      • Archive
    • Oncology Reports
      • Oncology Reports
      • Information for Authors
      • Editorial Policies
      • Editorial Board
      • Aims and Scope
      • Abstracting and Indexing
      • Bibliographic Information
      • Archive
    • Molecular Medicine Reports
      • Molecular Medicine Reports
      • Information for Authors
      • Editorial Policies
      • Editorial Board
      • Aims and Scope
      • Abstracting and Indexing
      • Bibliographic Information
      • Archive
    • World Academy of Sciences Journal
      • World Academy of Sciences Journal
      • Information for Authors
      • Editorial Policies
      • Editorial Board
      • Aims and Scope
      • Abstracting and Indexing
      • Bibliographic Information
      • Archive
    • International Journal of Functional Nutrition
      • International Journal of Functional Nutrition
      • Information for Authors
      • Editorial Policies
      • Editorial Board
      • Aims and Scope
      • Abstracting and Indexing
      • Bibliographic Information
      • Archive
    • International Journal of Epigenetics
      • International Journal of Epigenetics
      • Information for Authors
      • Editorial Policies
      • Editorial Board
      • Aims and Scope
      • Abstracting and Indexing
      • Bibliographic Information
      • Archive
    • Medicine International
      • Medicine International
      • Information for Authors
      • Editorial Policies
      • Editorial Board
      • Aims and Scope
      • Abstracting and Indexing
      • Bibliographic Information
      • Archive
  • Articles
  • Information
    • Information for Authors
    • Information for Reviewers
    • Information for Librarians
    • Information for Advertisers
    • Conferences
  • Language Editing
Spandidos Publications Logo
  • About
    • About Spandidos
    • Aims and Scopes
    • Abstracting and Indexing
    • Editorial Policies
    • Reprints and Permissions
    • Job Opportunities
    • Terms and Conditions
    • Contact
  • Journals
    • All Journals
    • Biomedical Reports
      • Information for Authors
      • Editorial Policies
      • Editorial Board
      • Aims and Scope
      • Abstracting and Indexing
      • Bibliographic Information
      • Archive
    • Experimental and Therapeutic Medicine
      • Information for Authors
      • Editorial Policies
      • Editorial Board
      • Aims and Scope
      • Abstracting and Indexing
      • Bibliographic Information
      • Archive
    • International Journal of Epigenetics
      • Information for Authors
      • Editorial Policies
      • Editorial Board
      • Aims and Scope
      • Abstracting and Indexing
      • Bibliographic Information
      • Archive
    • International Journal of Functional Nutrition
      • Information for Authors
      • Editorial Policies
      • Editorial Board
      • Aims and Scope
      • Abstracting and Indexing
      • Bibliographic Information
      • Archive
    • International Journal of Molecular Medicine
      • Information for Authors
      • Editorial Policies
      • Editorial Board
      • Aims and Scope
      • Abstracting and Indexing
      • Bibliographic Information
      • Archive
    • International Journal of Oncology
      • Information for Authors
      • Editorial Policies
      • Editorial Board
      • Aims and Scope
      • Abstracting and Indexing
      • Bibliographic Information
      • Archive
    • Medicine International
      • Information for Authors
      • Editorial Policies
      • Editorial Board
      • Aims and Scope
      • Abstracting and Indexing
      • Bibliographic Information
      • Archive
    • Molecular and Clinical Oncology
      • Information for Authors
      • Editorial Policies
      • Editorial Board
      • Aims and Scope
      • Abstracting and Indexing
      • Bibliographic Information
      • Archive
    • Molecular Medicine Reports
      • Information for Authors
      • Editorial Policies
      • Editorial Board
      • Aims and Scope
      • Abstracting and Indexing
      • Bibliographic Information
      • Archive
    • Oncology Letters
      • Information for Authors
      • Editorial Policies
      • Editorial Board
      • Aims and Scope
      • Abstracting and Indexing
      • Bibliographic Information
      • Archive
    • Oncology Reports
      • Information for Authors
      • Editorial Policies
      • Editorial Board
      • Aims and Scope
      • Abstracting and Indexing
      • Bibliographic Information
      • Archive
    • World Academy of Sciences Journal
      • Information for Authors
      • Editorial Policies
      • Editorial Board
      • Aims and Scope
      • Abstracting and Indexing
      • Bibliographic Information
      • Archive
  • Articles
  • Information
    • For Authors
    • For Reviewers
    • For Librarians
    • For Advertisers
    • Conferences
  • Language Editing
Login Register Submit
  • This site uses cookies
  • You can change your cookie settings at any time by following the instructions in our Cookie Policy. To find out more, you may read our Privacy Policy.

    I agree
Search articles by DOI, keyword, author or affiliation
Search
Advanced Search
presentation
Experimental and Therapeutic Medicine
Join Editorial Board Propose a Special Issue
Print ISSN: 1792-0981 Online ISSN: 1792-1015
Journal Cover
May-2014 Volume 7 Issue 5

Full Size Image

Sign up for eToc alerts
Recommend to Library

Journals

International Journal of Molecular Medicine

International Journal of Molecular Medicine

International Journal of Molecular Medicine is an international journal devoted to molecular mechanisms of human disease.

International Journal of Oncology

International Journal of Oncology

International Journal of Oncology is an international journal devoted to oncology research and cancer treatment.

Molecular Medicine Reports

Molecular Medicine Reports

Covers molecular medicine topics such as pharmacology, pathology, genetics, neuroscience, infectious diseases, molecular cardiology, and molecular surgery.

Oncology Reports

Oncology Reports

Oncology Reports is an international journal devoted to fundamental and applied research in Oncology.

Experimental and Therapeutic Medicine

Experimental and Therapeutic Medicine

Experimental and Therapeutic Medicine is an international journal devoted to laboratory and clinical medicine.

Oncology Letters

Oncology Letters

Oncology Letters is an international journal devoted to Experimental and Clinical Oncology.

Biomedical Reports

Biomedical Reports

Explores a wide range of biological and medical fields, including pharmacology, genetics, microbiology, neuroscience, and molecular cardiology.

Molecular and Clinical Oncology

Molecular and Clinical Oncology

International journal addressing all aspects of oncology research, from tumorigenesis and oncogenes to chemotherapy and metastasis.

World Academy of Sciences Journal

World Academy of Sciences Journal

Multidisciplinary open-access journal spanning biochemistry, genetics, neuroscience, environmental health, and synthetic biology.

International Journal of Functional Nutrition

International Journal of Functional Nutrition

Open-access journal combining biochemistry, pharmacology, immunology, and genetics to advance health through functional nutrition.

International Journal of Epigenetics

International Journal of Epigenetics

Publishes open-access research on using epigenetics to advance understanding and treatment of human disease.

Medicine International

Medicine International

An International Open Access Journal Devoted to General Medicine.

Journal Cover
May-2014 Volume 7 Issue 5

Full Size Image

Sign up for eToc alerts
Recommend to Library

  • Article
  • Citations
    • Cite This Article
    • Download Citation
    • Create Citation Alert
    • Remove Citation Alert
    • Cited By
  • Similar Articles
    • Related Articles (in Spandidos Publications)
    • Similar Articles (Google Scholar)
    • Similar Articles (PubMed)
  • Download PDF
  • Download XML
  • View XML
Article

FIZZ1 promotes airway remodeling through the PI3K/Akt signaling pathway in asthma

  • Authors:
    • Junfei Wang
    • Fei Li
    • Mengmeng Yang
    • Jinxiang Wu
    • Jiping Zhao
    • Wenbin Gong
    • Wen Liu
    • Wenxiang Bi
    • Liang Dong
  • View Affiliations / Copyright

    Affiliations: Department of Pulmonary Medicine, Qilu Hospital of Shandong University, Jinan, Shandong 250012, P.R. China, Department of Pulmonary Medicine, The Second Hospital of Shandong University, Jinan, Shandong 250100, P.R. China, Institute of Biochemistry and Molecular Biology, School of Medicine, Shandong University, Jinan, Shandong 250012, P.R. China
  • Pages: 1265-1270
    |
    Published online on: February 24, 2014
       https://doi.org/10.3892/etm.2014.1580
  • Expand metrics +
Metrics: Total Views: 0 (Spandidos Publications: | PMC Statistics: )
Metrics: Total PDF Downloads: 0 (Spandidos Publications: | PMC Statistics: )
Cited By (CrossRef): 0 citations Loading Articles...

This article is mentioned in:



Abstract

Found in inflammatory zone 1 (FIZZ1) plays a vital role in pulmonary inflammation and angiogenesis. In addition, FIZZ1 plays a role in the early stages of airway remodeling in asthma by increasing the expression of α smooth muscle actin (α‑SMA) and type I collagen. However, the role of FIZZ1 in the airway remodeling of asthma remains unclear. In the present study, FIZZ1 was identified to be upregulated in ovalbumin (OVA)‑induced asthmatic mice, along with phosphorylated protein kinase B (Akt). Following FIZZ1 recombinant protein co‑culture in the murine lung epithelial‑cell line, Akt phosphorylation was upregulated, however, following transfection with FIZZ1‑small hairpin RNA, the phosphorylation levels were decreased. The variation in α‑SMA and type I collagen expression levels was consistent with the Akt phosphorylation levels. Intratracheal administration of LY294002 and Akt inhibitor IV to the asthmatic mice was capable of reducing airway inflammation, downregulating the expression of α‑SMA, type I collagen and fibronectin‑1 and increasing the expression of E‑cadherin. In conclusion, the present study demonstrated that FIZZ1 promoted airway remodeling in asthma via the phosphoinositide 3‑kinase (PI3K)/Akt signaling pathway. Blocking the PI3K/Akt signaling pathway may attenuate the early stages of airway remodeling induced by OVA by regulating the abnormal process of epithelial‑mesenchymal transition.

Introduction

Asthma is a chronic inflammatory disease of the bronchial airway characterized by chronic airway inflammation, airway hyperresponsiveness, mucus overproduction and airway remodeling (1,2). A previous study demonstrated that airway remodeling is a characteristic feature of asthma and may be observed from the early stages (3). Structural and functional changes to the epithelial cells are significant in the process of airway remodeling (3,4) and airway epithelial cells are able to promote the process through epithelial-mesenchymal transition (EMT) (5). During the process of EMT, the expression levels of type I collagen, fibronectin-1 and α-smooth muscle actin (α-SMA) have been observed to be upregulated, while the expression of the epithelial marker, E-cadherin, has been shown to be reduced (6). The abnormal process of EMT was observed as a central pathological and physiological characteristic in the early stages of airway remodeling (7).

Found in inflammatory zone 1 (FIZZ1) was first reported in 2000 by Holcomb et al in allergic pulmonary inflammation (8) and was shown to play a vital role in pulmonary inflammation and angiogenesis (9). Our previous study demonstrated that FIZZ1 was vital in airway remodeling in asthma and was capable of increasing the expression levels of α-SMA and type I collagen in the early stages of airway remodeling (10).

However, the mechanism by which FIZZ1 functions in the process of airway remodeling remains unclear. In the present study, the hypothesis that FIZZ1 may activate the phosphoinositide 3-kinase (PI3K)/protein kinase B (Akt) signaling pathway through promoting Akt phosphorylation in vitro was investigated. In addition, the effect that blocking the PI3K/Akt pathway has on decreasing inflammatory cell infiltration and alleviating airway remodeling via regulating the process of EMT was investigated.

Materials and methods

Animals

Specific-pathogen-free, female BALB/c mice (age, 8–10 weeks; weight, 20±2 g; Animal Experiment Center of Shandong University, Shandong, China) were sensitized on days 1 and 14 by intraperitoneal injection of 20 μg ovalbumin (OVA; Sigma-Aldrich, St. Louis, MO, USA) and 4 mg Al(OH)3 (Sigma-Aldrich) suspended in 0.2 ml saline. On days 21–23 following the initial sensitization, the mice were challenged for 30 min with an aerosol of 1% (wt/vol) OVA in saline using an ultrasonic nebulizer (PARI BOY SX, Starnberg, Germany), while saline alone was used to challenge the control group. LY294002 (7.5 mg/kg body weight; Cell Signaling Technology, Inc., Beverly, MA, USA), Akt inhibitor IV (5 mg/kg body weight; Santa Cruz Biotechnology, Inc., Santa Cruz, CA, USA) or saline were administered intratracheally 2 h prior to each OVA aerosol challenge (Table I). All the animal experiments were approved by the Institutional Animal Care and Use Committee of Shandong University (Jinan, China).

Table I

Animal model generation.

Table I

Animal model generation.

GroupSensitize on days 1 and 14Challenge on days 21, 22 and 23Intratracheal agents
ControlSalineSalineSaline
OVAOVAOVASaline
LY294002OVAOVALY294002
Akt inhibitor IVOVAOVAAkt inhibitor IV

[i] OVA, ovalbumin; Akt, protein kinase B.

Analysis of airway responsiveness

At 24 h after the last challenge, the mice were anesthetized by intraperitoneal injection of chloral hydrate (4 mg/kg body weight). Methacholine was administered at a concentration of 0, 4, 8, 12 or 16 g/l. Measurements of airway hyperresponsiveness were conducted using an animal pulmonary instrument (flexiVent, Hong Kong, China) 1 min after each dose with 2 min between doses. The results were expressed as the maximum resistance following each dose minus the baseline (saline alone) resistance.

Histological analysis

Lung tissues were fixed in 10% neutral formalin, paraffin-embedded, cut into 4-μm sections and stained with hematoxylin and eosin for examination of inflammatory cell infiltration.

Immunohistochemistry analysis

Sections were dewaxed, rehydrated and antigen retrieval was performed with 10 mM sodium citrate (pH 6.1). Next, the sections were blocked with 5% bovine serum albumin for 20 mins at 37°C. The sections were incubated with anti-FIZZ1 (1:300), anti-type I collagen (1:300), anti-E-cadherin (l:300) or anti-fibronectin-1 (l:300) antibodies (all Santa Cruz Biotechnology, Inc.) overnight at 4°C. The sections were subsequently incubated with polyclonal goat anti-rabbit immunoglobulins/horseradish peroxidase (1:200) for 30 min at 37°C. The nuclei were counterstained with hematoxylin.

Murine lung epithelial-12 (MLE-12) cell culture

The MLE-12 cell line was purchased from a cell bank (American Type Culture Collection, Manassas, VA, USA) and cultured in Dulbecco’s modified Eagle’s medium/F12 complete medium with 10% fetal bovine serum, 2 mM glutamine, 100 U/ml penicillin and 100 μg/ml streptomycin at 37°C and 5% CO2. Following a 48-h culture, the cells were seeded in 6-well culture plates.

FIZZ1 recombinant protein co-culture and FIZZ1 small hairpin RNA (shRNA) transfection

The MEL-12 cell line was cultured with FIZZ1 recombinant protein (1 μg/ml; Santa Cruz Biotechnology, Inc.), while the control group used phosphate-buffered saline instead. Subsequent to 24 h, the protein was extracted from the cell line for analysis of the Akt phosphorylation levels and the expression levels of α-SMA and type I collagen.

Escherichia coli JM109 bacteria of the FIZZ1-shRNA plasmid (sc-39724-SH; Santa Cruz Biotechnology, Inc.) were amplified in liquid medium. Plasmid DNA was extracted with the Omega D6950 plasmid extraction kit (Omega Bio-tek, Inc., Norcross, GA, USA).

Lipofectamine 2000 reagent (Invitrogen Life Technologies, Carlsbad, CA, USA) was used to transfect the FIZZ1-shRNA plasmid to the cell line, according to the manufacturer’s instructions. After 48 h of incubation, the cells were harvested for analysis of FIZZ1, p-Akt, α-SMA and type I collagen.

An empty plasmid was added to the control and was cultured for the same amount of time. The cells were then collected to analyze the expression of FIZZ1, p-Akt, α-SMA and type I collagen by western blot analysis.

Quantitative polymerase chain reaction (PCR)

Total RNA was extracted from the mouse lungs with TRIzol reagent (Invitrogen Life Technologies), according to the manufacturer’s instructions, and was reverse transcribed with a PrimeScript 1st Strand cDNA Synthesis kit (Takara Bio, Inc., Shiga, Japan). cDNA was amplified by SYBR Premix Ex TaqII (Perfect Real Time; Takara Bio, Inc.) in Roche Light Cycler 2.0. The primers used were as follows: α-SMA forward, 5′-CCACCGCAAATGCTTCTAAGT-3′ and reverse, 3′-GGCAGGAATGATTTGGAAAGG-5′; type I collagen forward, 5′-CGCCATCAAGGTCTACTGC-3′ and reverse, 3′-GAATCCATCGGTCATGCTCT-5′; and GADPH forward, 5′-GTGGCAAAGTGGAGATTGTT-3′ and reverse, 3′-CTCGCTCCTGGAAGATGG-5′. The PCR conditions were 95°C for 10 sec, then 40 cycles at 95°C for 5 sec, 57°C for 30 sec and 72°C for 30 sec. The expression levels of α-SMA and type I collagen were assessed using the comparative Ct method.

Western blot analysis

In total, 30 μg protein extracted from the lung was separated by 10% SDS-PAGE, transferred onto a polyvinylidene fluoride membrane and subjected to immunoblotting with anti-α-SMA, anti-type I collagen or anti-β-actin antibodies (Santa Cruz Biotechnology, Inc.).

Statistical analysis

Data are presented as the mean ± SEM. Continuous variables were analyzed using the Student’s t-test between the groups studied. P<0.05 was considered to indicate a statistically significant difference.

Results

Asthma model in mice

The murine asthma model was confirmed by detecting airway hyperresponsiveness and histopathology. As shown in Fig. 1A, the OVA-treated mice developed airway hyperresponsiveness to inhaled methacholine compared with the saline-challenged group. Furthermore, the OVA aerosol challenge induced the infiltration of inflammatory cells around the airway (Fig. 1B).

Figure 1

Airway hyperresponsiveness and inflammatory cell infiltration around the airway. (A) Airway hyperresponsiveness developed in the OVA group (*P<0.05, vs. saline control). (B) Massive infiltration of inflammatory cells may be observed in the OVA group (hematoxylin and eosin; magnification, ×200). OVA, ovalbumin.

FIZZ1 and p-Akt expression in mice

The expression of FIZZ1 in mouse airway epithelium cells was upregulated in the OVA-induced asthmatic mice compared with the saline control group (Fig. 2A). In terms of protein levels, an enhancement of FIZZ1 expression and Akt phosphorylation was detected in the OVA group by western blot analysis (Fig. 2B).

Figure 2

FIZZ1 expression and phosphorylation levels of Akt in the lung tissues. (A) Expression of FIZZ1 was upregulated in the epithelial cells of the airway in the OVA group, as shown by immunohistochemistry (hematoxylin and eosin; magnification, ×400). (B) The same result was demonstrated by western blot analysis and Akt phosphorylation levels also increased in the OVA group. FIZZ1, found in inflammatory zone 1; OVA, ovalbumin.

Expression of FIZZ1 and Akt phosphorylation in MLE-12 cells following FIZZ1 shRNA transfection by western blot analysis

To verify whether FIZZ1 was able to promote Akt phosphorylation, the MLE-12 cell line was cultured with FIZZ1 recombinant protein following FIZZ1 shRNA transfection and the phosphorylation levels of Akt were detected. Following FIZZ1 recombinant protein co-culture, Akt phosphorylation and α-SMA and type I collagen expression were upregulated (Fig. 3A). The level of FIZZ1 expression in the MLE-12 cells following FIZZ1 shRNA transfection was downregulated, as were the levels of Akt phosphorylation and α-SMA and type I collagen expression (Fig. 3B).

Figure 3

Effect of FIZZ1 on Akt phosphorylation and airway remodeling. (A) Following co-culturing with FIZZ1 recombinant protein, the phosphorylation of Akt was enhanced, as well as α-SMA and type I collagen expression. (B) Upon silencing the expression of FIZZ1, the Akt phosphorylation levels were suppressed. The variation of α-SMA and type I collagen expression was the same as for p-Akt. FIZZ1, found in inflammatory zone 1; Akt, protein kinase B.; α-SMA, α smooth muscle actin.

Effects of LY294002 and Akt inhibitor IV on OVA-induced inflammatory cell infiltration

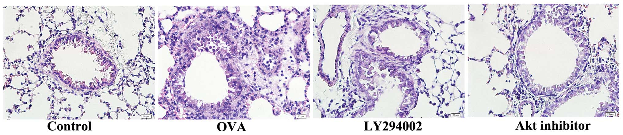
To determine the role of the PI3K/Akt signaling pathway in inflammatory cell infiltration, LY294002 and Akt inhibitor IV were administered intratracheally to the asthmatic mouse model. Histological analysis, as presented in Fig. 4, demonstrated that LY294002 and Akt inhibitor IV may attenuate inflammatory cell infiltration as compared with the OVA-induced asthmatic group.

Figure 4

Effects of LY294002 and Akt inhibitor IV on inflammatory cell infiltration. Following administration of LY294002 and Akt inhibitor IV to the asthmatic mouse model, the inflammatory cell infiltration was alleviated (hematoxylin and eosin; magnification, ×400). Akt, protein kinase B.

LY294002 and Akt inhibitor IV may overcome airway remodeling

To verify the effects of the PI3K/Akt pathway on OVA-induced airway remodeling, the expression levels of E-cadherin, fibronectin-1 and type I collagen in the airway epithelium cells were detected by immunohistochemistry following LY294002 and Akt inhibitor IV intratracheal administration. High expression levels of fibronectin-1 and type I collagen were identified in the epithelial cells of the airway in the asthmatic mice; LY294002 and Akt inhibitor IV reduced this expression compared with the OVA group. By contrast, the expression level of E-cadherin decreased in the OVA-induced mice, and LY294002 and Akt inhibitor IV were shown to upregulate the expression (Fig. 5). In addition, higher expression levels of α-SMA and type I collagen were identified at the mRNA and protein levels in the OVA-induced mice. Therefore, blocking the PI3K/Akt pathway may inhibit the production of α-SMA and type I collagen (Fig. 6).

Figure 5

Effects of LY294002 and Akt inhibitor IV on airway remodeling. The expression of E-cadherin was decreased in the OVA-induced mice, while LY294002 and Akt inhibitor IV upregulated the expression. Fibronectin-1 and type I collagen were highly expressed in the epithelial cells of the airways of the OVA-aerosol-challenged mice, and LY294002 and Akt inhibitor reduced their expression (immunohistochemical staining; magnification, ×400). OVA, ovalbumin Akt, protein kinase B.

Figure 6

Effects of LY294002 and Akt inhibitor IV on α-SMA and type I collagen. (A and B) Quantitative PCR demonstrated that the mRNA expression levels of α-SMA and type I collagen were higher in the OVA-induced mice compared with the control, and LY294002 and Akt inhibitor IV significantly decreased their expression. (C) The same result may be observed in the protein expression levels as shown by western blot analysis. *P<0.05, vs. control. α-SMA, α smooth muscle actin; OVA, ovalbumin; PCR, polymerase chain reaction; Akt, protein kinase B.

Discussion

In the present study, FIZZ1 was demonstrated to be overexpressed in the OVA-induced asthmatic mouse model and was shown to promote Akt phosphorylation in vitro. By blocking the PI3K/Akt pathway, inflammatory cell infiltration in the OVA group was alleviated. In the OVA group, the expression levels of α-SMA, type I collagen and fibronectin-1 were upregulated in the epithelial cells, while the expression of E-cadherin was decreased, indicating that EMT is induced in the airways of asthmatic mice. LY294002 and Akt inhibitor IV can intervene with this EMT process by increasing E-cadherin expression and downregulating the expression of α-SMA, type I collagen and fibronectin-1. Thus, we hypothesize that FIZZ1 may promote airway remodeling in asthmatic mice via the PI3K/Akt signaling pathway, and that blocking the PI3K/Akt pathway may relieve airway remodeling by regulating the abnormal process of EMT in OVA-induced mouse models.

Bronchial asthma is a chronic inflammatory disease of the airways. Airway remodeling, first reported by Huber in 1922 (11), is the main pathological feature of asthma and is the result of sustained inflammation and epithelial cell damage in response to airway injuries (12). The main characteristics of airway remodeling include epithelial detachment, subepithelial fibrosis, airway smooth muscle cell and goblet cell hypertrophy and hyperplasia. All the pathological changes are the major cause of the clinical symptoms and loss of lung function (3,13). Therefore, further studies of airway remodeling may provide a novel treatment strategy for asthma.

Previous studies have demonstrated that EMT promotes airway remodeling (7,14). In the present study, the expression levels of α-SMA, type I collagen and fibronectin-1 were observed to be significantly increased and E-cadherin expression was reduced compared with the saline control, indicating the occurrence of the EMT process.

Preliminary study has revealed that the expression of FIZZ1 was enhanced in the epithelium of the asthmatic rats, which stimulated the expression of α-SMA and type I collagen in fibroblasts (10). However, the mechanism by which FIZZ1 functions in this process remains unknown. In the present study, FIZZ1 was demonstrated to be capable of regulating this process via the PI3K/Akt signaling pathway.

PI3K has a wide range of biological effects in numerous types of immune cells. A previous study revealed that PI3K enzyme activity was increased in OVA-induced murine models of asthma, along with p-Akt, one of the downstream signaling molecules of PI3K (15). LY294002, a specific PI3K inhibitor, is able to significantly downregulate Akt phosphorylation and suppress inflammatory cell infiltration, mucus production and airway hyperresponsiveness in a murine asthmatic model (16). Inflammation and airway remodeling is reduced in PI3Kγ-deficient mice (17). The PI3K/Akt signaling pathway is important in asthma and can promote airway inflammation and hyperresponsiveness, upregulate T-helper 2 cytokine levels and increase mucus production (18). In the present study, following intratracheal administration of LY294002 and Akt inhibitor IV, the infiltration of inflammatory cells was relieved and the markers of EMT, α-SMA, type I collagen and fibronectin-1, expression levels were downregulated with E-cadherin expression increased when compared with the asthmatic mouse model. This result indicates that the PI3K/Akt pathway is involved in the EMT process. Thus, we hypothesize that by blocking the signaling pathway, the process of EMT may be interrupted, which in turn relieves airway remodeling in the mouse asthmatic model.

The PI3K/Akt signaling pathway may be blocked by phosphatase and tensin homolog deleted on chromosome 10 (PTEN) through dephosphorylating the signaling lipid, phosphatidylinositol 3,4,5-triphosphate (19). PTEN protein expression and activity are decreased in allergen-induced asthma (20). Intratracheal administration of adenoviruses carrying PTEN cDNA can reduce the levels of interleukin-4 and −5 in bronchoalveolar lavage fluid, bronchial inflammation and airway hyperresponsiveness (21). A previous study demonstrated that PTEN inhibited the proliferation and migration of human airway smooth muscle mass cells by downregulating the activity of the Akt signaling pathway (22). Numerous studies indicate that PTEN plays a significant role in asthma. However, whether FIZZ1 is an upstream regulator of PTEN, that affects the process of EMT by regulating the PI3K/Akt pathway, remains unknown. Thus, this is the direction of research for future studies.

In summary, the results of the present study demonstrate that FIZZ1 promotes airway remodeling via the PI3K/Akt signaling pathway. In addition, blocking the PI3K/Akt signaling pathway may alleviate airway remodeling in the early stages by intervening with the EMT process. Antagonism of the PI3K/Akt signaling pathway may be a potentially useful strategy in the therapeutic intervention for asthma.

Acknowledgements

Our study was supported by National Natural Science Foundation of China (no. 81070016 and no. 81270072) and Natural Science Funding committee of Shandong province (no. ZR2011HM020).

References

1 

Nakagome K and Nagata M: Pathogenesis of airway inflammation in bronchial asthma. Auris Nasus Larynx. 38:555–563. 2011. View Article : Google Scholar : PubMed/NCBI

2 

Holtage ST: Pathogenesis of asthma. Clin Exp Allergy. 38:872–897. 2008. View Article : Google Scholar

3 

Sumi Y and Hamid Q: Airway remodeling in asthma. Allergol Int. 56:341–348. 2007. View Article : Google Scholar

4 

Holgate ST, Davies DE, Lackie PM, Wilson SJ, Puddicombe SM and Lordan JL: Epithelial-mesenchymal interactions in the pathogenesis of asthma. J Allergy Clin Immunol. 105:193–204. 2000. View Article : Google Scholar : PubMed/NCBI

5 

Hackett TL: Epithelial-mesemchymal transition in the pathophysiology of airway remodelling in asthma. Curr Opin Allergy Clin Immunol. 12:53–59. 2012. View Article : Google Scholar : PubMed/NCBI

6 

Hackett TL, Warner SM, Stefanowicz D, et al: Induction of epithelial-mesenchymal transition in primary airway epithelial cells from patients with asthma by transforming growth factor-beta1. Am J Respir Crit Care Med. 180:122–133. 2009. View Article : Google Scholar : PubMed/NCBI

7 

Folli C, Descalzi D, Scordamaglia F, Riccio AM, Galamero C and Canonica GW: New insights into airway remodelling in asthma and its possible modulation. Curr Opin Allergy Clin Immunol. 8:367–375. 2008. View Article : Google Scholar : PubMed/NCBI

8 

Holcomb IN, Kabakoff RC, Chan B, et al: FIZZ1, a novel cysteine-rich secreted protein associated with pulmonary inflammation, defines a new gene family. EMBO J. 19:4046–4055. 2000. View Article : Google Scholar : PubMed/NCBI

9 

Yamaji-Kegan K, Su Q, Angelini DJ, Champion HC and Johns RA: Hypoxia-induced mitogenic factor has proangiogenic and proinflammatory effects in the lung via VEGF and VEGF receptor-2. Am J Physiol Lung Cell Mol Physiol. 291:L1159–L1168. 2006. View Article : Google Scholar : PubMed/NCBI

10 

Dong L, Wang SJ, Camoretti-Mercado B, Li HJ, Chen M and Bi WX: FIZZ1 plays a crucial role in early stage airway remodeling of OVA-induced asthma. J Asthma. 45:648–653. 2008. View Article : Google Scholar : PubMed/NCBI

11 

Huber P, Menif K and Jouvet P: Acute severe asthma in pediatric resuscitation. The French Study Group on Pediatric Resuscitation. Arch Pediatr. 1:346–349. 1994.(In French).

12 

Cho JY: Recent advances in mechanisms and treatments of airway remodeling in asthma: a message from the bench side to the clinic. Korean J Intern Med. 26:367–383. 2011. View Article : Google Scholar : PubMed/NCBI

13 

Halwani R, Al-Muhsen S and Hamid Q: Airway remodeling in asthma. Curr Opin Pharmacol. 10:236–245. 2010. View Article : Google Scholar

14 

Yadav UC, Naura AS, Aguilera-Aguirre L, et al: Aldose reductase inhibition prevents allergic airway remodeling through PI3K/AKT/GSK3β pathway in mice. PLoS One. 8:e574422013.PubMed/NCBI

15 

Lee KS, Lee HK, Hayflick JS, Lee YC and Puri KD: Inhibition of phosphoinositide 3-kinase delta attenuates allergic airway inflammation and hyperresponsiveness in murine asthma model. FASEB J. 20:455–465. 2006. View Article : Google Scholar : PubMed/NCBI

16 

Duan W, Aguinaldo Datiles AM, Leung BP, Vlahos CJ and Wong WS: An anti-inflammatory role for a phophoinositide 3-kinase inhibitor LY294002 in a mouse asthma model. Int Immunopharmacol. 5:495–502. 2005. View Article : Google Scholar : PubMed/NCBI

17 

Lim DH, Cho JY, Song DJ, Lee SY, Miller M and Broide DH: PI3K gamma-deficient mice have reduced levels of allergen-induced eosinophilic inflammation and airway remodeling. Am J Physiol Lung Cell Mol Physiol. 296:L210–L219. 2009. View Article : Google Scholar : PubMed/NCBI

18 

Medina-Tato DA, Ward SG and Watson ML: Phosphoinositide 3-kinase signalling in lung disease: leucocytes and beyond. Immunology. 121:448–461. 2007. View Article : Google Scholar : PubMed/NCBI

19 

Lee KS, Kim SR, Park SJ, et al: Phosphatase and tensin homolog deleted on chromosome 10 (PTEN) reduces vascular endothelial growth factor expression in allergen-induced airway inflammation. Mol Pharmacol. 69:1829–1839. 2006. View Article : Google Scholar : PubMed/NCBI

20 

Lee YC: The role of PTEN in allergic inflammation. Arch Immunol Ther Exp (Warsz). 52:250–254. 2004.PubMed/NCBI

21 

Kwark YG, Song CH, Yi HK, Hwang PH, Kim JS, Lee KS and Lee YC: Involvement of PTEN in airway hyperresponsiveness and inflammation in bronchial asthma. J Clin Invest. 111:1083–1092. 2003. View Article : Google Scholar : PubMed/NCBI

22 

Lan H, Zhong H, Gao Y, et al: The PTEN tumor suppressor inhibits human airway smooth muscle cell migration. Int J Mol Med. 26:893–899. 2010.PubMed/NCBI

Related Articles

  • Abstract
  • View
  • Download
  • Twitter
Copy and paste a formatted citation
Spandidos Publications style
Wang J, Li F, Yang M, Wu J, Zhao J, Gong W, Liu W, Bi W and Dong L: FIZZ1 promotes airway remodeling through the PI3K/Akt signaling pathway in asthma. Exp Ther Med 7: 1265-1270, 2014.
APA
Wang, J., Li, F., Yang, M., Wu, J., Zhao, J., Gong, W. ... Dong, L. (2014). FIZZ1 promotes airway remodeling through the PI3K/Akt signaling pathway in asthma. Experimental and Therapeutic Medicine, 7, 1265-1270. https://doi.org/10.3892/etm.2014.1580
MLA
Wang, J., Li, F., Yang, M., Wu, J., Zhao, J., Gong, W., Liu, W., Bi, W., Dong, L."FIZZ1 promotes airway remodeling through the PI3K/Akt signaling pathway in asthma". Experimental and Therapeutic Medicine 7.5 (2014): 1265-1270.
Chicago
Wang, J., Li, F., Yang, M., Wu, J., Zhao, J., Gong, W., Liu, W., Bi, W., Dong, L."FIZZ1 promotes airway remodeling through the PI3K/Akt signaling pathway in asthma". Experimental and Therapeutic Medicine 7, no. 5 (2014): 1265-1270. https://doi.org/10.3892/etm.2014.1580
Copy and paste a formatted citation
x
Spandidos Publications style
Wang J, Li F, Yang M, Wu J, Zhao J, Gong W, Liu W, Bi W and Dong L: FIZZ1 promotes airway remodeling through the PI3K/Akt signaling pathway in asthma. Exp Ther Med 7: 1265-1270, 2014.
APA
Wang, J., Li, F., Yang, M., Wu, J., Zhao, J., Gong, W. ... Dong, L. (2014). FIZZ1 promotes airway remodeling through the PI3K/Akt signaling pathway in asthma. Experimental and Therapeutic Medicine, 7, 1265-1270. https://doi.org/10.3892/etm.2014.1580
MLA
Wang, J., Li, F., Yang, M., Wu, J., Zhao, J., Gong, W., Liu, W., Bi, W., Dong, L."FIZZ1 promotes airway remodeling through the PI3K/Akt signaling pathway in asthma". Experimental and Therapeutic Medicine 7.5 (2014): 1265-1270.
Chicago
Wang, J., Li, F., Yang, M., Wu, J., Zhao, J., Gong, W., Liu, W., Bi, W., Dong, L."FIZZ1 promotes airway remodeling through the PI3K/Akt signaling pathway in asthma". Experimental and Therapeutic Medicine 7, no. 5 (2014): 1265-1270. https://doi.org/10.3892/etm.2014.1580
Follow us
  • Twitter
  • LinkedIn
  • Facebook
About
  • Spandidos Publications
  • Careers
  • Cookie Policy
  • Privacy Policy
How can we help?
  • Help
  • Live Chat
  • Contact
  • Email to our Support Team