Spandidos Publications Logo
  • About
    • About Spandidos
    • Aims and Scopes
    • Abstracting and Indexing
    • Editorial Policies
    • Reprints and Permissions
    • Job Opportunities
    • Terms and Conditions
    • Contact
  • Journals
    • All Journals
    • Oncology Letters
      • Oncology Letters
      • Information for Authors
      • Editorial Policies
      • Editorial Board
      • Aims and Scope
      • Abstracting and Indexing
      • Bibliographic Information
      • Archive
    • International Journal of Oncology
      • International Journal of Oncology
      • Information for Authors
      • Editorial Policies
      • Editorial Board
      • Aims and Scope
      • Abstracting and Indexing
      • Bibliographic Information
      • Archive
    • Molecular and Clinical Oncology
      • Molecular and Clinical Oncology
      • Information for Authors
      • Editorial Policies
      • Editorial Board
      • Aims and Scope
      • Abstracting and Indexing
      • Bibliographic Information
      • Archive
    • Experimental and Therapeutic Medicine
      • Experimental and Therapeutic Medicine
      • Information for Authors
      • Editorial Policies
      • Editorial Board
      • Aims and Scope
      • Abstracting and Indexing
      • Bibliographic Information
      • Archive
    • International Journal of Molecular Medicine
      • International Journal of Molecular Medicine
      • Information for Authors
      • Editorial Policies
      • Editorial Board
      • Aims and Scope
      • Abstracting and Indexing
      • Bibliographic Information
      • Archive
    • Biomedical Reports
      • Biomedical Reports
      • Information for Authors
      • Editorial Policies
      • Editorial Board
      • Aims and Scope
      • Abstracting and Indexing
      • Bibliographic Information
      • Archive
    • Oncology Reports
      • Oncology Reports
      • Information for Authors
      • Editorial Policies
      • Editorial Board
      • Aims and Scope
      • Abstracting and Indexing
      • Bibliographic Information
      • Archive
    • Molecular Medicine Reports
      • Molecular Medicine Reports
      • Information for Authors
      • Editorial Policies
      • Editorial Board
      • Aims and Scope
      • Abstracting and Indexing
      • Bibliographic Information
      • Archive
    • World Academy of Sciences Journal
      • World Academy of Sciences Journal
      • Information for Authors
      • Editorial Policies
      • Editorial Board
      • Aims and Scope
      • Abstracting and Indexing
      • Bibliographic Information
      • Archive
    • International Journal of Functional Nutrition
      • International Journal of Functional Nutrition
      • Information for Authors
      • Editorial Policies
      • Editorial Board
      • Aims and Scope
      • Abstracting and Indexing
      • Bibliographic Information
      • Archive
    • International Journal of Epigenetics
      • International Journal of Epigenetics
      • Information for Authors
      • Editorial Policies
      • Editorial Board
      • Aims and Scope
      • Abstracting and Indexing
      • Bibliographic Information
      • Archive
    • Medicine International
      • Medicine International
      • Information for Authors
      • Editorial Policies
      • Editorial Board
      • Aims and Scope
      • Abstracting and Indexing
      • Bibliographic Information
      • Archive
  • Articles
  • Information
    • Information for Authors
    • Information for Reviewers
    • Information for Librarians
    • Information for Advertisers
    • Conferences
  • Language Editing
Spandidos Publications Logo
  • About
    • About Spandidos
    • Aims and Scopes
    • Abstracting and Indexing
    • Editorial Policies
    • Reprints and Permissions
    • Job Opportunities
    • Terms and Conditions
    • Contact
  • Journals
    • All Journals
    • Biomedical Reports
      • Information for Authors
      • Editorial Policies
      • Editorial Board
      • Aims and Scope
      • Abstracting and Indexing
      • Bibliographic Information
      • Archive
    • Experimental and Therapeutic Medicine
      • Information for Authors
      • Editorial Policies
      • Editorial Board
      • Aims and Scope
      • Abstracting and Indexing
      • Bibliographic Information
      • Archive
    • International Journal of Epigenetics
      • Information for Authors
      • Editorial Policies
      • Editorial Board
      • Aims and Scope
      • Abstracting and Indexing
      • Bibliographic Information
      • Archive
    • International Journal of Functional Nutrition
      • Information for Authors
      • Editorial Policies
      • Editorial Board
      • Aims and Scope
      • Abstracting and Indexing
      • Bibliographic Information
      • Archive
    • International Journal of Molecular Medicine
      • Information for Authors
      • Editorial Policies
      • Editorial Board
      • Aims and Scope
      • Abstracting and Indexing
      • Bibliographic Information
      • Archive
    • International Journal of Oncology
      • Information for Authors
      • Editorial Policies
      • Editorial Board
      • Aims and Scope
      • Abstracting and Indexing
      • Bibliographic Information
      • Archive
    • Medicine International
      • Information for Authors
      • Editorial Policies
      • Editorial Board
      • Aims and Scope
      • Abstracting and Indexing
      • Bibliographic Information
      • Archive
    • Molecular and Clinical Oncology
      • Information for Authors
      • Editorial Policies
      • Editorial Board
      • Aims and Scope
      • Abstracting and Indexing
      • Bibliographic Information
      • Archive
    • Molecular Medicine Reports
      • Information for Authors
      • Editorial Policies
      • Editorial Board
      • Aims and Scope
      • Abstracting and Indexing
      • Bibliographic Information
      • Archive
    • Oncology Letters
      • Information for Authors
      • Editorial Policies
      • Editorial Board
      • Aims and Scope
      • Abstracting and Indexing
      • Bibliographic Information
      • Archive
    • Oncology Reports
      • Information for Authors
      • Editorial Policies
      • Editorial Board
      • Aims and Scope
      • Abstracting and Indexing
      • Bibliographic Information
      • Archive
    • World Academy of Sciences Journal
      • Information for Authors
      • Editorial Policies
      • Editorial Board
      • Aims and Scope
      • Abstracting and Indexing
      • Bibliographic Information
      • Archive
  • Articles
  • Information
    • For Authors
    • For Reviewers
    • For Librarians
    • For Advertisers
    • Conferences
  • Language Editing
Login Register Submit
  • This site uses cookies
  • You can change your cookie settings at any time by following the instructions in our Cookie Policy. To find out more, you may read our Privacy Policy.

    I agree
Search articles by DOI, keyword, author or affiliation
Search
Advanced Search
presentation
Experimental and Therapeutic Medicine
Join Editorial Board Propose a Special Issue
Print ISSN: 1792-0981 Online ISSN: 1792-1015
Journal Cover
December-2014 Volume 8 Issue 6

Full Size Image

Sign up for eToc alerts
Recommend to Library

Journals

International Journal of Molecular Medicine

International Journal of Molecular Medicine

International Journal of Molecular Medicine is an international journal devoted to molecular mechanisms of human disease.

International Journal of Oncology

International Journal of Oncology

International Journal of Oncology is an international journal devoted to oncology research and cancer treatment.

Molecular Medicine Reports

Molecular Medicine Reports

Covers molecular medicine topics such as pharmacology, pathology, genetics, neuroscience, infectious diseases, molecular cardiology, and molecular surgery.

Oncology Reports

Oncology Reports

Oncology Reports is an international journal devoted to fundamental and applied research in Oncology.

Experimental and Therapeutic Medicine

Experimental and Therapeutic Medicine

Experimental and Therapeutic Medicine is an international journal devoted to laboratory and clinical medicine.

Oncology Letters

Oncology Letters

Oncology Letters is an international journal devoted to Experimental and Clinical Oncology.

Biomedical Reports

Biomedical Reports

Explores a wide range of biological and medical fields, including pharmacology, genetics, microbiology, neuroscience, and molecular cardiology.

Molecular and Clinical Oncology

Molecular and Clinical Oncology

International journal addressing all aspects of oncology research, from tumorigenesis and oncogenes to chemotherapy and metastasis.

World Academy of Sciences Journal

World Academy of Sciences Journal

Multidisciplinary open-access journal spanning biochemistry, genetics, neuroscience, environmental health, and synthetic biology.

International Journal of Functional Nutrition

International Journal of Functional Nutrition

Open-access journal combining biochemistry, pharmacology, immunology, and genetics to advance health through functional nutrition.

International Journal of Epigenetics

International Journal of Epigenetics

Publishes open-access research on using epigenetics to advance understanding and treatment of human disease.

Medicine International

Medicine International

An International Open Access Journal Devoted to General Medicine.

Journal Cover
December-2014 Volume 8 Issue 6

Full Size Image

Sign up for eToc alerts
Recommend to Library

  • Article
  • Citations
    • Cite This Article
    • Download Citation
    • Create Citation Alert
    • Remove Citation Alert
    • Cited By
  • Similar Articles
    • Related Articles (in Spandidos Publications)
    • Similar Articles (Google Scholar)
    • Similar Articles (PubMed)
  • Download PDF
  • Download XML
  • View XML
Article

Ozone oxidative preconditioning inhibits renal fibrosis induced by ischemia and reperfusion injury in rats

  • Authors:
    • Lei Wang
    • Hui Chen
    • Xiu-Heng Liu
    • Zhi-Yuan Chen
    • Xiao-Dong Weng
    • Tao Qiu
    • Lin Liu
    • Heng-Cheng Zhu
  • View Affiliations / Copyright

    Affiliations: Department of Urology, Renmin Hospital of Wuhan University, Wuhan, Hubei 430060, P.R. China
  • Pages: 1764-1768
    |
    Published online on: October 6, 2014
       https://doi.org/10.3892/etm.2014.2004
  • Expand metrics +
Metrics: Total Views: 0 (Spandidos Publications: | PMC Statistics: )
Metrics: Total PDF Downloads: 0 (Spandidos Publications: | PMC Statistics: )
Cited By (CrossRef): 0 citations Loading Articles...

This article is mentioned in:



Abstract

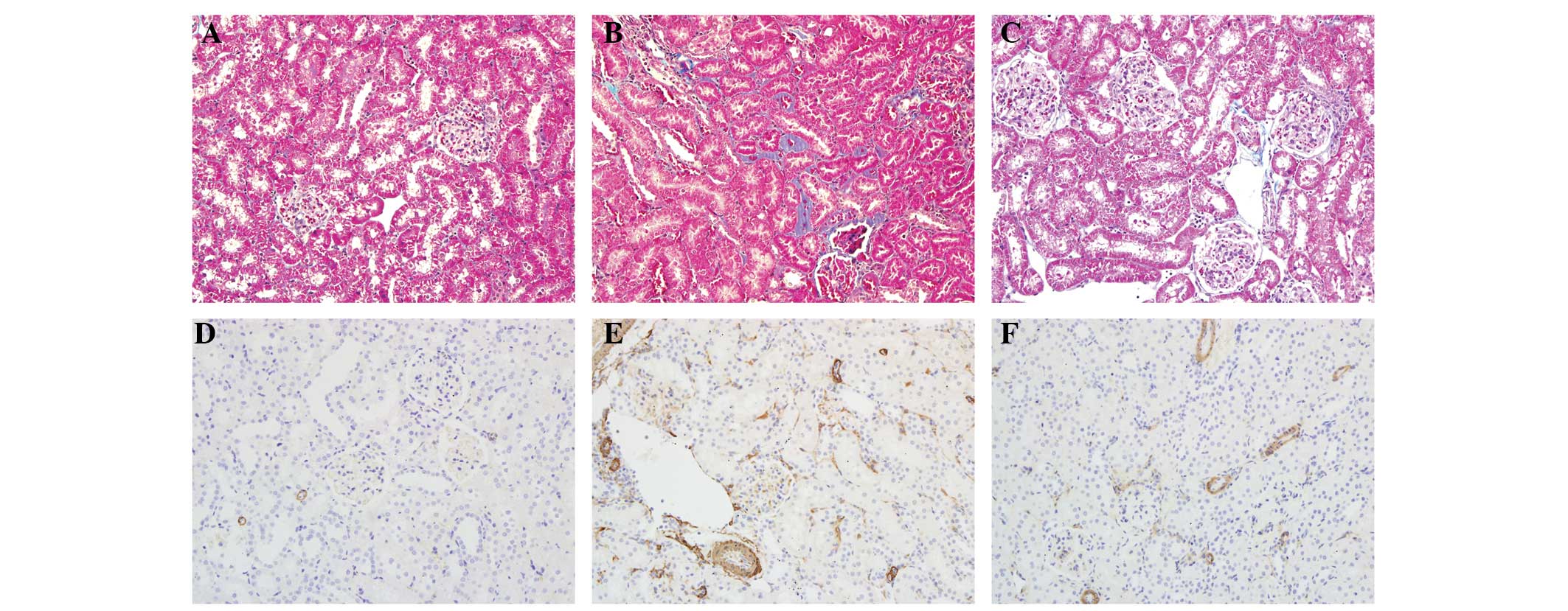
Ischemia and reperfusion injury (IRI) is a crucial contributor to the development of renal fibrosis. Ozone has been proposed as a novel medical therapy for various conditions, including organ IRI. The aim of this study was to investigate whether ozone oxidative preconditioning (OzoneOP) has a beneficial effect in preventing the development of renal fibrosis following IRI. Sprague Dawley rats were subjected to 45 min of ischemia followed by 8 weeks of reperfusion. Prior to surgery, rats in the OzoneOP group were treated with ozone and those in the IRI and Sham groups were untreated. Blood samples were collected for the detection of blood urea nitrogen (BUN) and creatinine (Cr) levels. To assess tissue fibrosis, Masson's trichrome staining was performed. Immunohistochemistry was also performed to determine the localization of α-smooth muscle actin (α-SMA). Reverse transcription quantitative polymerase chain reaction (RT-qPCR) and western blotting were conducted to analyze the expression of transforming growth factor (TGF)-β1, α-SMA and Smad7. The levels of BUN and Cr did not significantly differ between groups. Rats pretreated with ozone showed markedly less interstitial fibrosis than untreated rats following IRI. In addition, immunohistochemistry revealed that α-SMA expression was attenuated in the OzoneOP group compared with the IRI group. RT-qPCR and western blot analysis showed that OzoneOP inhibited the IRI‑induced increases in α-SMA and TGF-β1 expression levels, and that the IRI-induced reduction in the expression of Smad7 was inhibited in the OzoneOP group. The results indicate that OzoneOP has beneficial effects on ischemic renal fibrosis. OzoneOP may exert its protective effects by a mechanism involving modulation of the TGF-β1/Smad7 pathway.
View Figures

Figure 1

Figure 2

Figure 3

Figure 4

View References

1 

Yun Y, Duan WG, Chen P, et al: Ischemic postconditioning modified renal oxidative stress and lipid peroxidation caused by ischemic reperfusion injury in rats. Transplant Proc. 41:3597–3602. 2009. View Article : Google Scholar

2 

Barri YM, Sanchez EQ, Jennings LW, et al: Acute kidney injury following liver transplantation: definition and outcome. Liver Transpl. 15:475–483. 2009. View Article : Google Scholar : PubMed/NCBI

3 

Schrier RW, Wang W, Poole B and Mitra A: Acute renal failure: definitions, diagnosis, pathogenesis, and therapy. J Clin Invest. 114:5–14. 2004. View Article : Google Scholar : PubMed/NCBI

4 

Nankivell BJ, Borrows RJ, Fung CL, et al: The natural history of chronic allograft nephropathy. N Engl J Med. 349:2326–2333. 2003. View Article : Google Scholar : PubMed/NCBI

5 

Cook HT: The origin of renal fibroblasts and progression of kidney disease. Am J Pathol. 176:22–24. 2010. View Article : Google Scholar : PubMed/NCBI

6 

Li R, Chung AC, Dong Y, et al: The microRNA miR-433 promotes renal fibrosis by amplifying the TGF-β/Smad3-Azin1 pathway. Kidney Int. 84:1129–1244. 2013.PubMed/NCBI

7 

Ni H, Chen J, Pan M, et al: FTY720 prevents progression of renal fibrosis by inhibiting renal microvasculature endothelial dysfunction in a rat model of chronic kidney disease. J Mol Histol. 44:693–703. 2013. View Article : Google Scholar : PubMed/NCBI

8 

Zeisberg M, Maeshima Y, Mosterman B and Kalluri R: Renal fibrosis. Extracellular matrix microenvironment regulates migratory behavior of activated tubular epithelial cells. Am J Pathol. 160:2001–2008. 2002.

9 

Zhang X, Yang J, Li Y and Liu Y: Both Sp1 and Smad participate in mediating TGF-beta1-induced HGF receptor expression in renal epithelial cells. Am J Physiol Renal Physiol. 288:F16–F26. 2005. View Article : Google Scholar : PubMed/NCBI

10 

Nakao A, Afrakhte M, Morén A, et al: Identification of Smad7, a TGFbeta-inducible antagonist of TGF-beta signalling. Nature. 389:631–635. 1997. View Article : Google Scholar : PubMed/NCBI

11 

Ren ZP, Sun LP, Xia YC and Tong QX: Effect of the protease inhibitor MG132 on the transforming growth factor-β/Smad signaling pathway in HSC-T6 cells. J Huazhong Univ Sci Technolog Med Sci. 33:501–504. 2013.

12 

Ajamieh HH, Menendez S, Martinez-Sanchez G, et al: Effects of ozone oxidative preconditioning on nitric oxide generation and cellular redox balance in a rat model of hepatic ischaemia-reperfusion. Liver Int. 24:55–62. 2004. View Article : Google Scholar : PubMed/NCBI

13 

Ajamieh HH, Berlanga J, Merino N, et al: Role of protein synthesis in the protection conferred by ozone-oxidative-preconditioning in hepatic ischaemia/reperfusion. Transpl Int. 18:604–612. 2005. View Article : Google Scholar

14 

Chen H, Xing B, Liu X, et al: Ozone oxidative preconditioning inhibits inflammation and apoptosis in a rat model of renal ischemia/reperfusion injury. Eur J Pharmacol. 581:306–314. 2008. View Article : Google Scholar : PubMed/NCBI

15 

Martinez-Sanchez G, Al-Dalain SM, Menendez S, et al: Therapeutic efficacy of ozone in patients with diabetic foot. Eur J Pharmacol. 523:151–161. 2005. View Article : Google Scholar : PubMed/NCBI

16 

León Fernández OS, Pantoja M, Díaz Soto MT, et al: Ozone oxidative post-conditioning reduces oxidative protein damage in patients with disc hernia. Neurol Res. 34:59–67. 2012.PubMed/NCBI

17 

Leon OS, Menendez S, Merino N, et al: Ozone oxidative preconditioning: a protection against cellular damage by free radicals. Mediators Inflamm. 7:289–294. 1998. View Article : Google Scholar : PubMed/NCBI

18 

Feitoza CQ, Goncalves GM, Semedo P, et al: Inhibition of COX 1 and 2 prior to renal ischemia/reperfusion injury decreases the development of fibrosis. Mol Med. 14:724–730. 2008. View Article : Google Scholar : PubMed/NCBI

19 

Weng X, Shen H, Kuang Y, et al: Ischemic postconditioning inhibits the renal fibrosis induced by ischemia-reperfusion injury in rats. Urology. 80:481–484. 2012. View Article : Google Scholar : PubMed/NCBI

20 

Liu Y: Renal fibrosis: new insights into the pathogenesis and therapeutics. Kidney Int. 69:213–217. 2006. View Article : Google Scholar : PubMed/NCBI

21 

Border WA and Noble NA: TGF-beta in kidney fibrosis: a target for gene therapy. Kidney Int. 51:1388–1396. 1997. View Article : Google Scholar : PubMed/NCBI

22 

Kellenberger T, Krag S, Danielsen CC, et al: Differential effects of Smad3 targeting in a murine model of chronic kidney disease. Physiol Rep Dec. 1:e001812013.PubMed/NCBI

23 

Wang Y1, Zhang Z, Shen H, Lu Y, Li H, Ren X and Wu G: TGF-beta1/Smad7 signaling stimulates renal tubulointerstitial fibrosis induced by AAI. J Recept Signal Transduct Res. 28:413–428. 2008. View Article : Google Scholar : PubMed/NCBI

Related Articles

  • Abstract
  • View
  • Download
  • Twitter
Copy and paste a formatted citation
Spandidos Publications style
Wang L, Chen H, Liu X, Chen Z, Weng X, Qiu T, Liu L and Zhu H: Ozone oxidative preconditioning inhibits renal fibrosis induced by ischemia and reperfusion injury in rats. Exp Ther Med 8: 1764-1768, 2014.
APA
Wang, L., Chen, H., Liu, X., Chen, Z., Weng, X., Qiu, T. ... Zhu, H. (2014). Ozone oxidative preconditioning inhibits renal fibrosis induced by ischemia and reperfusion injury in rats. Experimental and Therapeutic Medicine, 8, 1764-1768. https://doi.org/10.3892/etm.2014.2004
MLA
Wang, L., Chen, H., Liu, X., Chen, Z., Weng, X., Qiu, T., Liu, L., Zhu, H."Ozone oxidative preconditioning inhibits renal fibrosis induced by ischemia and reperfusion injury in rats". Experimental and Therapeutic Medicine 8.6 (2014): 1764-1768.
Chicago
Wang, L., Chen, H., Liu, X., Chen, Z., Weng, X., Qiu, T., Liu, L., Zhu, H."Ozone oxidative preconditioning inhibits renal fibrosis induced by ischemia and reperfusion injury in rats". Experimental and Therapeutic Medicine 8, no. 6 (2014): 1764-1768. https://doi.org/10.3892/etm.2014.2004
Copy and paste a formatted citation
x
Spandidos Publications style
Wang L, Chen H, Liu X, Chen Z, Weng X, Qiu T, Liu L and Zhu H: Ozone oxidative preconditioning inhibits renal fibrosis induced by ischemia and reperfusion injury in rats. Exp Ther Med 8: 1764-1768, 2014.
APA
Wang, L., Chen, H., Liu, X., Chen, Z., Weng, X., Qiu, T. ... Zhu, H. (2014). Ozone oxidative preconditioning inhibits renal fibrosis induced by ischemia and reperfusion injury in rats. Experimental and Therapeutic Medicine, 8, 1764-1768. https://doi.org/10.3892/etm.2014.2004
MLA
Wang, L., Chen, H., Liu, X., Chen, Z., Weng, X., Qiu, T., Liu, L., Zhu, H."Ozone oxidative preconditioning inhibits renal fibrosis induced by ischemia and reperfusion injury in rats". Experimental and Therapeutic Medicine 8.6 (2014): 1764-1768.
Chicago
Wang, L., Chen, H., Liu, X., Chen, Z., Weng, X., Qiu, T., Liu, L., Zhu, H."Ozone oxidative preconditioning inhibits renal fibrosis induced by ischemia and reperfusion injury in rats". Experimental and Therapeutic Medicine 8, no. 6 (2014): 1764-1768. https://doi.org/10.3892/etm.2014.2004
Follow us
  • Twitter
  • LinkedIn
  • Facebook
About
  • Spandidos Publications
  • Careers
  • Cookie Policy
  • Privacy Policy
How can we help?
  • Help
  • Live Chat
  • Contact
  • Email to our Support Team