Spandidos Publications Logo
  • About
    • About Spandidos
    • Aims and Scopes
    • Abstracting and Indexing
    • Editorial Policies
    • Reprints and Permissions
    • Job Opportunities
    • Terms and Conditions
    • Contact
  • Journals
    • All Journals
    • Oncology Letters
      • Oncology Letters
      • Information for Authors
      • Editorial Policies
      • Editorial Board
      • Aims and Scope
      • Abstracting and Indexing
      • Bibliographic Information
      • Archive
    • International Journal of Oncology
      • International Journal of Oncology
      • Information for Authors
      • Editorial Policies
      • Editorial Board
      • Aims and Scope
      • Abstracting and Indexing
      • Bibliographic Information
      • Archive
    • Molecular and Clinical Oncology
      • Molecular and Clinical Oncology
      • Information for Authors
      • Editorial Policies
      • Editorial Board
      • Aims and Scope
      • Abstracting and Indexing
      • Bibliographic Information
      • Archive
    • Experimental and Therapeutic Medicine
      • Experimental and Therapeutic Medicine
      • Information for Authors
      • Editorial Policies
      • Editorial Board
      • Aims and Scope
      • Abstracting and Indexing
      • Bibliographic Information
      • Archive
    • International Journal of Molecular Medicine
      • International Journal of Molecular Medicine
      • Information for Authors
      • Editorial Policies
      • Editorial Board
      • Aims and Scope
      • Abstracting and Indexing
      • Bibliographic Information
      • Archive
    • Biomedical Reports
      • Biomedical Reports
      • Information for Authors
      • Editorial Policies
      • Editorial Board
      • Aims and Scope
      • Abstracting and Indexing
      • Bibliographic Information
      • Archive
    • Oncology Reports
      • Oncology Reports
      • Information for Authors
      • Editorial Policies
      • Editorial Board
      • Aims and Scope
      • Abstracting and Indexing
      • Bibliographic Information
      • Archive
    • Molecular Medicine Reports
      • Molecular Medicine Reports
      • Information for Authors
      • Editorial Policies
      • Editorial Board
      • Aims and Scope
      • Abstracting and Indexing
      • Bibliographic Information
      • Archive
    • World Academy of Sciences Journal
      • World Academy of Sciences Journal
      • Information for Authors
      • Editorial Policies
      • Editorial Board
      • Aims and Scope
      • Abstracting and Indexing
      • Bibliographic Information
      • Archive
    • International Journal of Functional Nutrition
      • International Journal of Functional Nutrition
      • Information for Authors
      • Editorial Policies
      • Editorial Board
      • Aims and Scope
      • Abstracting and Indexing
      • Bibliographic Information
      • Archive
    • International Journal of Epigenetics
      • International Journal of Epigenetics
      • Information for Authors
      • Editorial Policies
      • Editorial Board
      • Aims and Scope
      • Abstracting and Indexing
      • Bibliographic Information
      • Archive
    • Medicine International
      • Medicine International
      • Information for Authors
      • Editorial Policies
      • Editorial Board
      • Aims and Scope
      • Abstracting and Indexing
      • Bibliographic Information
      • Archive
  • Articles
  • Information
    • Information for Authors
    • Information for Reviewers
    • Information for Librarians
    • Information for Advertisers
    • Conferences
  • Language Editing
Spandidos Publications Logo
  • About
    • About Spandidos
    • Aims and Scopes
    • Abstracting and Indexing
    • Editorial Policies
    • Reprints and Permissions
    • Job Opportunities
    • Terms and Conditions
    • Contact
  • Journals
    • All Journals
    • Biomedical Reports
      • Information for Authors
      • Editorial Policies
      • Editorial Board
      • Aims and Scope
      • Abstracting and Indexing
      • Bibliographic Information
      • Archive
    • Experimental and Therapeutic Medicine
      • Information for Authors
      • Editorial Policies
      • Editorial Board
      • Aims and Scope
      • Abstracting and Indexing
      • Bibliographic Information
      • Archive
    • International Journal of Epigenetics
      • Information for Authors
      • Editorial Policies
      • Editorial Board
      • Aims and Scope
      • Abstracting and Indexing
      • Bibliographic Information
      • Archive
    • International Journal of Functional Nutrition
      • Information for Authors
      • Editorial Policies
      • Editorial Board
      • Aims and Scope
      • Abstracting and Indexing
      • Bibliographic Information
      • Archive
    • International Journal of Molecular Medicine
      • Information for Authors
      • Editorial Policies
      • Editorial Board
      • Aims and Scope
      • Abstracting and Indexing
      • Bibliographic Information
      • Archive
    • International Journal of Oncology
      • Information for Authors
      • Editorial Policies
      • Editorial Board
      • Aims and Scope
      • Abstracting and Indexing
      • Bibliographic Information
      • Archive
    • Medicine International
      • Information for Authors
      • Editorial Policies
      • Editorial Board
      • Aims and Scope
      • Abstracting and Indexing
      • Bibliographic Information
      • Archive
    • Molecular and Clinical Oncology
      • Information for Authors
      • Editorial Policies
      • Editorial Board
      • Aims and Scope
      • Abstracting and Indexing
      • Bibliographic Information
      • Archive
    • Molecular Medicine Reports
      • Information for Authors
      • Editorial Policies
      • Editorial Board
      • Aims and Scope
      • Abstracting and Indexing
      • Bibliographic Information
      • Archive
    • Oncology Letters
      • Information for Authors
      • Editorial Policies
      • Editorial Board
      • Aims and Scope
      • Abstracting and Indexing
      • Bibliographic Information
      • Archive
    • Oncology Reports
      • Information for Authors
      • Editorial Policies
      • Editorial Board
      • Aims and Scope
      • Abstracting and Indexing
      • Bibliographic Information
      • Archive
    • World Academy of Sciences Journal
      • Information for Authors
      • Editorial Policies
      • Editorial Board
      • Aims and Scope
      • Abstracting and Indexing
      • Bibliographic Information
      • Archive
  • Articles
  • Information
    • For Authors
    • For Reviewers
    • For Librarians
    • For Advertisers
    • Conferences
  • Language Editing
Login Register Submit
  • This site uses cookies
  • You can change your cookie settings at any time by following the instructions in our Cookie Policy. To find out more, you may read our Privacy Policy.

    I agree
Search articles by DOI, keyword, author or affiliation
Search
Advanced Search
presentation
Experimental and Therapeutic Medicine
Join Editorial Board Propose a Special Issue
Print ISSN: 1792-0981 Online ISSN: 1792-1015
Journal Cover
January-2015 Volume 9 Issue 1

Full Size Image

Sign up for eToc alerts
Recommend to Library

Journals

International Journal of Molecular Medicine

International Journal of Molecular Medicine

International Journal of Molecular Medicine is an international journal devoted to molecular mechanisms of human disease.

International Journal of Oncology

International Journal of Oncology

International Journal of Oncology is an international journal devoted to oncology research and cancer treatment.

Molecular Medicine Reports

Molecular Medicine Reports

Covers molecular medicine topics such as pharmacology, pathology, genetics, neuroscience, infectious diseases, molecular cardiology, and molecular surgery.

Oncology Reports

Oncology Reports

Oncology Reports is an international journal devoted to fundamental and applied research in Oncology.

Experimental and Therapeutic Medicine

Experimental and Therapeutic Medicine

Experimental and Therapeutic Medicine is an international journal devoted to laboratory and clinical medicine.

Oncology Letters

Oncology Letters

Oncology Letters is an international journal devoted to Experimental and Clinical Oncology.

Biomedical Reports

Biomedical Reports

Explores a wide range of biological and medical fields, including pharmacology, genetics, microbiology, neuroscience, and molecular cardiology.

Molecular and Clinical Oncology

Molecular and Clinical Oncology

International journal addressing all aspects of oncology research, from tumorigenesis and oncogenes to chemotherapy and metastasis.

World Academy of Sciences Journal

World Academy of Sciences Journal

Multidisciplinary open-access journal spanning biochemistry, genetics, neuroscience, environmental health, and synthetic biology.

International Journal of Functional Nutrition

International Journal of Functional Nutrition

Open-access journal combining biochemistry, pharmacology, immunology, and genetics to advance health through functional nutrition.

International Journal of Epigenetics

International Journal of Epigenetics

Publishes open-access research on using epigenetics to advance understanding and treatment of human disease.

Medicine International

Medicine International

An International Open Access Journal Devoted to General Medicine.

Journal Cover
January-2015 Volume 9 Issue 1

Full Size Image

Sign up for eToc alerts
Recommend to Library

  • Article
  • Citations
    • Cite This Article
    • Download Citation
    • Create Citation Alert
    • Remove Citation Alert
    • Cited By
  • Similar Articles
    • Related Articles (in Spandidos Publications)
    • Similar Articles (Google Scholar)
    • Similar Articles (PubMed)
  • Download PDF
  • Download XML
  • View XML
Case Report

Long‑term survival of a patient with lung cancer metastasis to the spine following surgical treatment combined with radiation and epithelial growth factor receptor inhibitor therapy: A case report

  • Authors:
    • Songfeng Xu
    • Xiuchun Yu
    • Ming Xu
  • View Affiliations / Copyright

    Affiliations: Department of Orthopedics, General Hospital of Ji'nan Military Region, Ji'nan, Shandong 250031, P.R. China
  • Pages: 117-119
    |
    Published online on: November 7, 2014
       https://doi.org/10.3892/etm.2014.2055
  • Expand metrics +
Metrics: Total Views: 0 (Spandidos Publications: | PMC Statistics: )
Metrics: Total PDF Downloads: 0 (Spandidos Publications: | PMC Statistics: )
Cited By (CrossRef): 0 citations Loading Articles...

This article is mentioned in:



Abstract

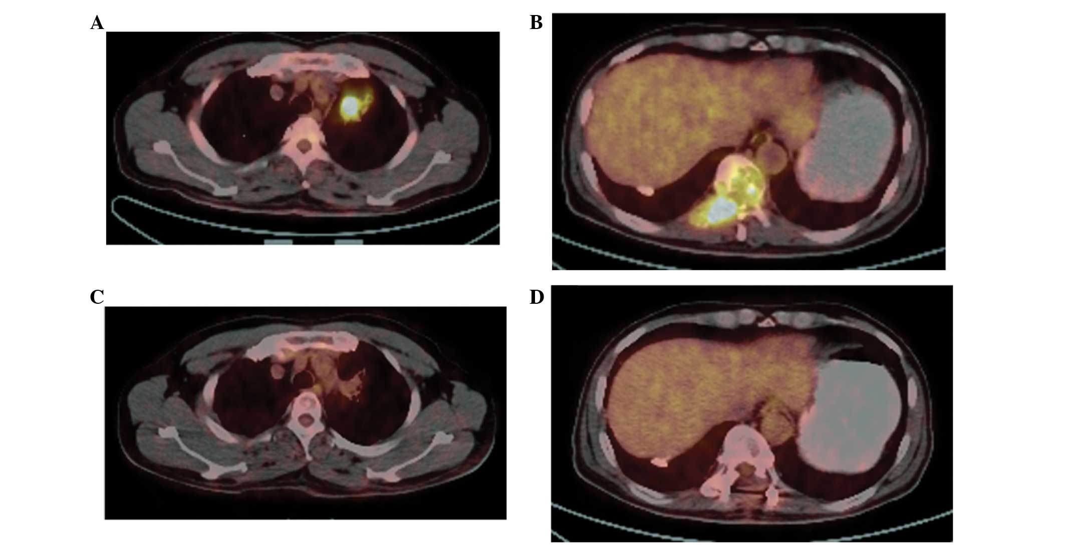
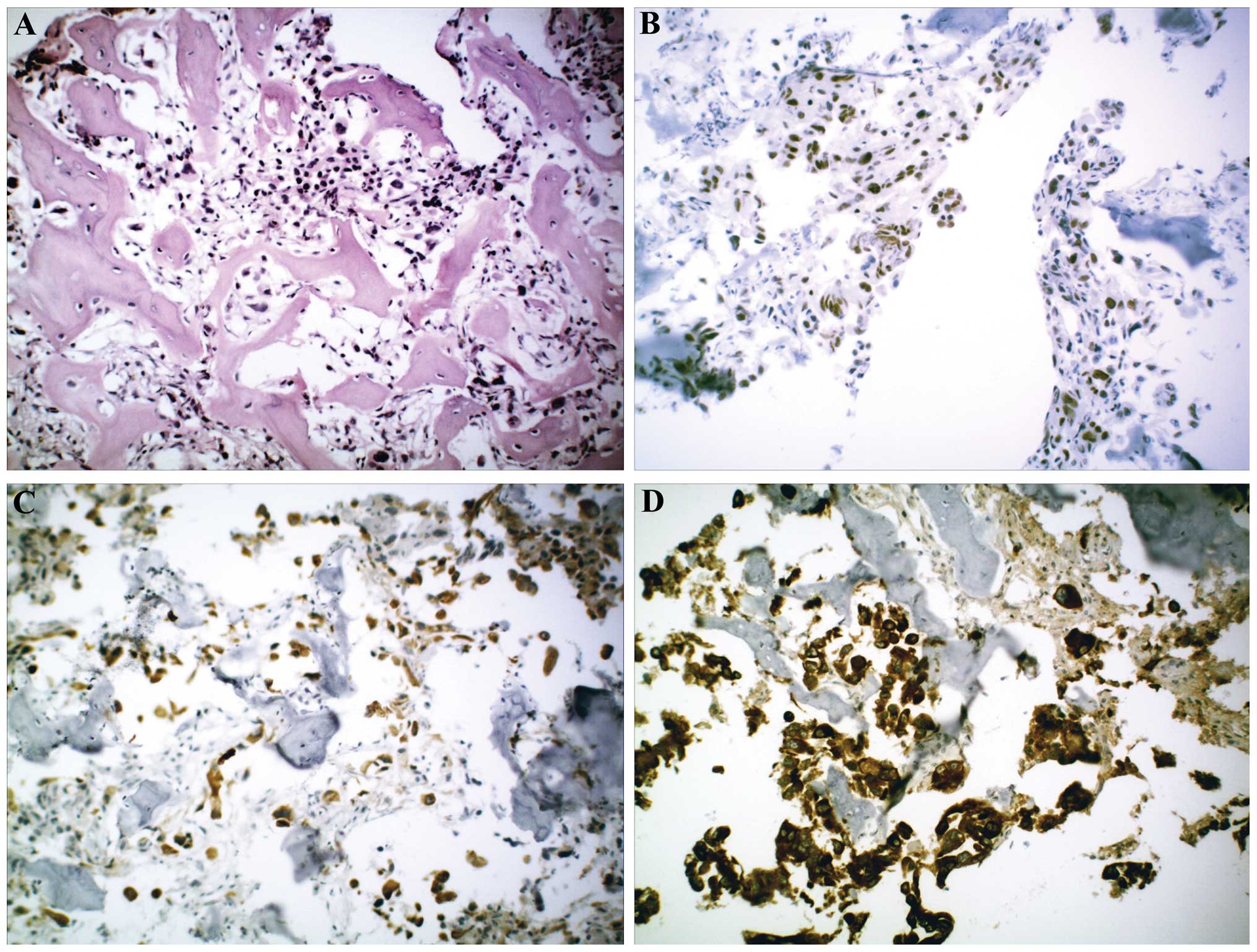
The prognosis of patients with lung cancer metastasis to the spine is poor, and the choice of surgery is questionable based on the aggressiveness of the disease. The present study describes a case of a 56‑year‑old male with metastatic spinal cord compression. The patient underwent surgery for posterior decompression and internal fixation, in addition to receiving postoperative radiation and epidermal growth factor receptor (EGFR) inhibitor medication. After 24 months, positron emission tomography‑computed tomography scan showed a reduction in the left upper lobe mass in the short axis and inactivation of the neoplasm in the left upper lobe and T9 vertebra. Based on these promising results, it is suggested that orthopedic oncologists consider the combination of radiation and EGFR inhibitor therapy with surgery for the treatment of lung cancer metastasis to the spine.
View Figures

Figure 1

Figure 2

View References

1 

Sciubba DM and Gokaslan ZL: Diagnosis and management of metastatic spine disease. Surg Oncol. 15:141–151. 2006. View Article : Google Scholar : PubMed/NCBI

2 

Sundaresan N, Boriani S, Rothman A and Holtzman R: Tumors of the osseous spine. J Neurooncol. 69:273–290. 2004. View Article : Google Scholar : PubMed/NCBI

3 

White AP, Kwon BK, Lindskog DM, et al: Metastatic disease of the spine. J Am Acad Orthop Surg. 14:587–598. 2006.PubMed/NCBI

4 

Witham TF, Khavkin YA, Gallia GL, et al: Surgery insight: current management of epidural spinal cord compression from metastatic spine disease. Nat Clin Pract Neurol. 2:87–94. 2006. View Article : Google Scholar : PubMed/NCBI

5 

Black P: Spinal metastasis: current status and recommended guidelines for management. Neurosurgery. 5:726–746. 1979. View Article : Google Scholar : PubMed/NCBI

6 

Stanley KE: Prognostic factors for survival in patients with inoperable lung cancer. J Natl Cancer Inst. 65:25–32. 1980.PubMed/NCBI

7 

Freise G, Gabler A and Liebig S: Bronchial carcinoma and long-term survival. Retrospective study of 433 patients who underwent resection. Thorax. 33:228–234. 1978. View Article : Google Scholar : PubMed/NCBI

8 

Sugiura H, Yamada K, Sugiura T, et al: Predictors of survival in patients with bone metastasis of lung cancer. Clin Orthop Relat Res. 466:729–736. 2008. View Article : Google Scholar : PubMed/NCBI

9 

Tokuhashi Y, Matsuzaki H, Oda H, et al: A revised scoring system for preoperative evaluation of metastatic spine tumor prognosis. Spine (Phila Pa 1976). 30:2186–2191. 2005. View Article : Google Scholar

10 

Klimo P Jr and Schmidt MH: Surgical management of spinal metastases. Oncologist. 9:188–196. 2004. View Article : Google Scholar : PubMed/NCBI

11 

Morgen SS, Lund-Andersen C, Larsen CF, et al: Prognosis in patients with symptomatic metastatic spinal cord compression: survival in different cancer diagnosis in a cohort of 2321 patients. Spine (Phila Pa 1976). 38:1362–1367. 2013. View Article : Google Scholar

12 

Komatsu T, Kunieda E, et al: An analysis of the survival rate after radiotherapy in lung cancer patients with bone metastasis: is there an optimal subgroup to be treated with high-dose radiation therapy? Neoplasma. 59:650–657. 2012. View Article : Google Scholar : PubMed/NCBI

13 

Jacobs WB and Perrin RG: Evaluation and treatment of spinal metastases: an overview. Neurosurg Focus. 11:e102001. View Article : Google Scholar

14 

Agarawal JP, Swangsilpa T, van der Linden Y, et al: The role of external beam radiotherapy in the management of bone metastases. Clin Oncol (R Coll Radiol). 18:747–760. 2006. View Article : Google Scholar

15 

Mitsudomi T, Kosaka T, Endoh H, et al: Mutations of the epidermal growth factor receptor gene predict prolonged survival after gefitinib treatment in patients with non-small-cell lung cancer with postoperative recurrence. J Clin Oncol. 23:2513–2520. 2005. View Article : Google Scholar : PubMed/NCBI

16 

Yokouchi H, Yamazaki K, Kinoshita I, et al: Clinical benefit of readministration of gefitinib for initial gefitinib-responders with non-small cell lung cancer. BMC Cancer. 7:512007. View Article : Google Scholar : PubMed/NCBI

17 

Herbst RS, Maddox AM, Rothenberg ML, et al: Selective oral epidermal growth factor receptor tyrosine kinase inhibitor ZD1839 is generally well-tolerated and has activity in non-small-cell lung cancer and other solid tumors: results of a phase I trial. J Clin Oncol. 20:3815–3825. 2002. View Article : Google Scholar : PubMed/NCBI

18 

Inoue A, Saijo Y, Maemondo M, et al: Severe acute interstitial pneumonia and gefitinib. Lancet. 361:137–139. 2003. View Article : Google Scholar : PubMed/NCBI

19 

Ni X, Wu P, Wu C, et al: Treatment of cervical vertebral (C1) metastasis of lung cancer with radiotherapy: A case report. Oncol Lett. 5:1129–1132. 2013.PubMed/NCBI

20 

Aoude AA and Amiot LP: Surgical treatment of a patient with lung cancer metastasized to the spine with EGFR mutation: A case report. Int J Surg Case Rep. 3:510–512. 2012. View Article : Google Scholar : PubMed/NCBI

Related Articles

  • Abstract
  • View
  • Download
  • Twitter
Copy and paste a formatted citation
Spandidos Publications style
Xu S, Yu X and Xu M: Long‑term survival of a patient with lung cancer metastasis to the spine following surgical treatment combined with radiation and epithelial growth factor receptor inhibitor therapy: A case report. Exp Ther Med 9: 117-119, 2015.
APA
Xu, S., Yu, X., & Xu, M. (2015). Long‑term survival of a patient with lung cancer metastasis to the spine following surgical treatment combined with radiation and epithelial growth factor receptor inhibitor therapy: A case report. Experimental and Therapeutic Medicine, 9, 117-119. https://doi.org/10.3892/etm.2014.2055
MLA
Xu, S., Yu, X., Xu, M."Long‑term survival of a patient with lung cancer metastasis to the spine following surgical treatment combined with radiation and epithelial growth factor receptor inhibitor therapy: A case report". Experimental and Therapeutic Medicine 9.1 (2015): 117-119.
Chicago
Xu, S., Yu, X., Xu, M."Long‑term survival of a patient with lung cancer metastasis to the spine following surgical treatment combined with radiation and epithelial growth factor receptor inhibitor therapy: A case report". Experimental and Therapeutic Medicine 9, no. 1 (2015): 117-119. https://doi.org/10.3892/etm.2014.2055
Copy and paste a formatted citation
x
Spandidos Publications style
Xu S, Yu X and Xu M: Long‑term survival of a patient with lung cancer metastasis to the spine following surgical treatment combined with radiation and epithelial growth factor receptor inhibitor therapy: A case report. Exp Ther Med 9: 117-119, 2015.
APA
Xu, S., Yu, X., & Xu, M. (2015). Long‑term survival of a patient with lung cancer metastasis to the spine following surgical treatment combined with radiation and epithelial growth factor receptor inhibitor therapy: A case report. Experimental and Therapeutic Medicine, 9, 117-119. https://doi.org/10.3892/etm.2014.2055
MLA
Xu, S., Yu, X., Xu, M."Long‑term survival of a patient with lung cancer metastasis to the spine following surgical treatment combined with radiation and epithelial growth factor receptor inhibitor therapy: A case report". Experimental and Therapeutic Medicine 9.1 (2015): 117-119.
Chicago
Xu, S., Yu, X., Xu, M."Long‑term survival of a patient with lung cancer metastasis to the spine following surgical treatment combined with radiation and epithelial growth factor receptor inhibitor therapy: A case report". Experimental and Therapeutic Medicine 9, no. 1 (2015): 117-119. https://doi.org/10.3892/etm.2014.2055
Follow us
  • Twitter
  • LinkedIn
  • Facebook
About
  • Spandidos Publications
  • Careers
  • Cookie Policy
  • Privacy Policy
How can we help?
  • Help
  • Live Chat
  • Contact
  • Email to our Support Team