Spandidos Publications Logo
  • About
    • About Spandidos
    • Aims and Scopes
    • Abstracting and Indexing
    • Editorial Policies
    • Reprints and Permissions
    • Job Opportunities
    • Terms and Conditions
    • Contact
  • Journals
    • All Journals
    • Oncology Letters
      • Oncology Letters
      • Information for Authors
      • Editorial Policies
      • Editorial Board
      • Aims and Scope
      • Abstracting and Indexing
      • Bibliographic Information
      • Archive
    • International Journal of Oncology
      • International Journal of Oncology
      • Information for Authors
      • Editorial Policies
      • Editorial Board
      • Aims and Scope
      • Abstracting and Indexing
      • Bibliographic Information
      • Archive
    • Molecular and Clinical Oncology
      • Molecular and Clinical Oncology
      • Information for Authors
      • Editorial Policies
      • Editorial Board
      • Aims and Scope
      • Abstracting and Indexing
      • Bibliographic Information
      • Archive
    • Experimental and Therapeutic Medicine
      • Experimental and Therapeutic Medicine
      • Information for Authors
      • Editorial Policies
      • Editorial Board
      • Aims and Scope
      • Abstracting and Indexing
      • Bibliographic Information
      • Archive
    • International Journal of Molecular Medicine
      • International Journal of Molecular Medicine
      • Information for Authors
      • Editorial Policies
      • Editorial Board
      • Aims and Scope
      • Abstracting and Indexing
      • Bibliographic Information
      • Archive
    • Biomedical Reports
      • Biomedical Reports
      • Information for Authors
      • Editorial Policies
      • Editorial Board
      • Aims and Scope
      • Abstracting and Indexing
      • Bibliographic Information
      • Archive
    • Oncology Reports
      • Oncology Reports
      • Information for Authors
      • Editorial Policies
      • Editorial Board
      • Aims and Scope
      • Abstracting and Indexing
      • Bibliographic Information
      • Archive
    • Molecular Medicine Reports
      • Molecular Medicine Reports
      • Information for Authors
      • Editorial Policies
      • Editorial Board
      • Aims and Scope
      • Abstracting and Indexing
      • Bibliographic Information
      • Archive
    • World Academy of Sciences Journal
      • World Academy of Sciences Journal
      • Information for Authors
      • Editorial Policies
      • Editorial Board
      • Aims and Scope
      • Abstracting and Indexing
      • Bibliographic Information
      • Archive
    • International Journal of Functional Nutrition
      • International Journal of Functional Nutrition
      • Information for Authors
      • Editorial Policies
      • Editorial Board
      • Aims and Scope
      • Abstracting and Indexing
      • Bibliographic Information
      • Archive
    • International Journal of Epigenetics
      • International Journal of Epigenetics
      • Information for Authors
      • Editorial Policies
      • Editorial Board
      • Aims and Scope
      • Abstracting and Indexing
      • Bibliographic Information
      • Archive
    • Medicine International
      • Medicine International
      • Information for Authors
      • Editorial Policies
      • Editorial Board
      • Aims and Scope
      • Abstracting and Indexing
      • Bibliographic Information
      • Archive
  • Articles
  • Information
    • Information for Authors
    • Information for Reviewers
    • Information for Librarians
    • Information for Advertisers
    • Conferences
  • Language Editing
Spandidos Publications Logo
  • About
    • About Spandidos
    • Aims and Scopes
    • Abstracting and Indexing
    • Editorial Policies
    • Reprints and Permissions
    • Job Opportunities
    • Terms and Conditions
    • Contact
  • Journals
    • All Journals
    • Biomedical Reports
      • Information for Authors
      • Editorial Policies
      • Editorial Board
      • Aims and Scope
      • Abstracting and Indexing
      • Bibliographic Information
      • Archive
    • Experimental and Therapeutic Medicine
      • Information for Authors
      • Editorial Policies
      • Editorial Board
      • Aims and Scope
      • Abstracting and Indexing
      • Bibliographic Information
      • Archive
    • International Journal of Epigenetics
      • Information for Authors
      • Editorial Policies
      • Editorial Board
      • Aims and Scope
      • Abstracting and Indexing
      • Bibliographic Information
      • Archive
    • International Journal of Functional Nutrition
      • Information for Authors
      • Editorial Policies
      • Editorial Board
      • Aims and Scope
      • Abstracting and Indexing
      • Bibliographic Information
      • Archive
    • International Journal of Molecular Medicine
      • Information for Authors
      • Editorial Policies
      • Editorial Board
      • Aims and Scope
      • Abstracting and Indexing
      • Bibliographic Information
      • Archive
    • International Journal of Oncology
      • Information for Authors
      • Editorial Policies
      • Editorial Board
      • Aims and Scope
      • Abstracting and Indexing
      • Bibliographic Information
      • Archive
    • Medicine International
      • Information for Authors
      • Editorial Policies
      • Editorial Board
      • Aims and Scope
      • Abstracting and Indexing
      • Bibliographic Information
      • Archive
    • Molecular and Clinical Oncology
      • Information for Authors
      • Editorial Policies
      • Editorial Board
      • Aims and Scope
      • Abstracting and Indexing
      • Bibliographic Information
      • Archive
    • Molecular Medicine Reports
      • Information for Authors
      • Editorial Policies
      • Editorial Board
      • Aims and Scope
      • Abstracting and Indexing
      • Bibliographic Information
      • Archive
    • Oncology Letters
      • Information for Authors
      • Editorial Policies
      • Editorial Board
      • Aims and Scope
      • Abstracting and Indexing
      • Bibliographic Information
      • Archive
    • Oncology Reports
      • Information for Authors
      • Editorial Policies
      • Editorial Board
      • Aims and Scope
      • Abstracting and Indexing
      • Bibliographic Information
      • Archive
    • World Academy of Sciences Journal
      • Information for Authors
      • Editorial Policies
      • Editorial Board
      • Aims and Scope
      • Abstracting and Indexing
      • Bibliographic Information
      • Archive
  • Articles
  • Information
    • For Authors
    • For Reviewers
    • For Librarians
    • For Advertisers
    • Conferences
  • Language Editing
Login Register Submit
  • This site uses cookies
  • You can change your cookie settings at any time by following the instructions in our Cookie Policy. To find out more, you may read our Privacy Policy.

    I agree
Search articles by DOI, keyword, author or affiliation
Search
Advanced Search
presentation
Experimental and Therapeutic Medicine
Join Editorial Board Propose a Special Issue
Print ISSN: 1792-0981 Online ISSN: 1792-1015
Journal Cover
March-2015 Volume 9 Issue 3

Full Size Image

Sign up for eToc alerts
Recommend to Library

Journals

International Journal of Molecular Medicine

International Journal of Molecular Medicine

International Journal of Molecular Medicine is an international journal devoted to molecular mechanisms of human disease.

International Journal of Oncology

International Journal of Oncology

International Journal of Oncology is an international journal devoted to oncology research and cancer treatment.

Molecular Medicine Reports

Molecular Medicine Reports

Covers molecular medicine topics such as pharmacology, pathology, genetics, neuroscience, infectious diseases, molecular cardiology, and molecular surgery.

Oncology Reports

Oncology Reports

Oncology Reports is an international journal devoted to fundamental and applied research in Oncology.

Experimental and Therapeutic Medicine

Experimental and Therapeutic Medicine

Experimental and Therapeutic Medicine is an international journal devoted to laboratory and clinical medicine.

Oncology Letters

Oncology Letters

Oncology Letters is an international journal devoted to Experimental and Clinical Oncology.

Biomedical Reports

Biomedical Reports

Explores a wide range of biological and medical fields, including pharmacology, genetics, microbiology, neuroscience, and molecular cardiology.

Molecular and Clinical Oncology

Molecular and Clinical Oncology

International journal addressing all aspects of oncology research, from tumorigenesis and oncogenes to chemotherapy and metastasis.

World Academy of Sciences Journal

World Academy of Sciences Journal

Multidisciplinary open-access journal spanning biochemistry, genetics, neuroscience, environmental health, and synthetic biology.

International Journal of Functional Nutrition

International Journal of Functional Nutrition

Open-access journal combining biochemistry, pharmacology, immunology, and genetics to advance health through functional nutrition.

International Journal of Epigenetics

International Journal of Epigenetics

Publishes open-access research on using epigenetics to advance understanding and treatment of human disease.

Medicine International

Medicine International

An International Open Access Journal Devoted to General Medicine.

Journal Cover
March-2015 Volume 9 Issue 3

Full Size Image

Sign up for eToc alerts
Recommend to Library

  • Article
  • Citations
    • Cite This Article
    • Download Citation
    • Create Citation Alert
    • Remove Citation Alert
    • Cited By
  • Similar Articles
    • Related Articles (in Spandidos Publications)
    • Similar Articles (Google Scholar)
    • Similar Articles (PubMed)
  • Download PDF
  • Download XML
  • View XML
Case Report

Macrolide therapy in cryptogenic organizing pneumonia: A case report and literature review

  • Authors:
    • Qun‑Li Ding
    • Dan Lv
    • Bi‑Jiong Wang
    • Qiao‑Li Zhang
    • Yi‑Ming Yu
    • Shi‑Fang Sun
    • Zhong‑Bo Chen
    • Hong‑Ying Ma
    • Zai‑Chun Deng
  • View Affiliations / Copyright

    Affiliations: Department of Respiratory Medicine, Affiliated Hospital, School of Medicine, Ningbo University, Ningbo, Zhejiang 315020, P.R. China
  • Pages: 829-834
    |
    Published online on: January 15, 2015
       https://doi.org/10.3892/etm.2015.2183
  • Expand metrics +
Metrics: Total Views: 0 (Spandidos Publications: | PMC Statistics: )
Metrics: Total PDF Downloads: 0 (Spandidos Publications: | PMC Statistics: )
Cited By (CrossRef): 0 citations Loading Articles...

This article is mentioned in:



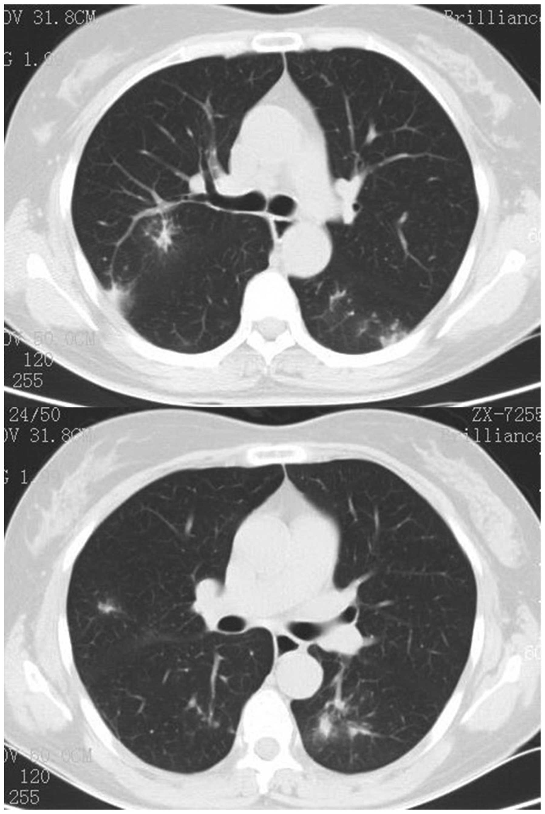
Abstract

Cryptogenic organizing pneumonia (COP) is a pulmonary disorder associated with nonspecific clinical presentations. The macrolide class of antimicrobial agents is widely used to treat infectious and inflammatory respiratory diseases in humans. The present study reports a case of COP that was effectively treated with azithromycin in combination with glucocorticoid. A literature review of similar cases is also presented. It was found that all COP patients in the literature received macrolide treatment, including six cases with unknown clinical outcomes. For the remaining 29 patients, 20 patients initially received the macrolide as a single therapy and 4/5 of them (16 cases) were cured with a treatment time of 3‑14 months, while 1/5 (4 cases) showed no improvement after treatment for 1 month and were switched to a glucocorticoid or combination treatment with a glucocorticoid, after which the disease was finally well‑controlled. Side‑effects of macrolide were rare. Based on this analysis, it is recommended that macrolides can be used as a first‑line therapy in patients with mild COP. For patients with recurrent COP, it is suggested that macrolides should be used as an adjunctive therapy with other treatments, such as a glucocorticoid.
View Figures

Figure 1

Figure 2

Figure 3

Figure 4

View References

1 

Drakopanagiotakis F, Paschalaki K, et al: Cryptogenic and secondary organizing pneumonia: clinical presentation, radiographic findings, treatment response and prognosis. Chest. 139:893–900. 2011. View Article : Google Scholar

2 

American Thoracic Society and European Respiratory Society. American Thoracic Society/European Respiratory Society International Multidisciplinary Consensus Classification of the Idiopathic Interstitial Pneumonias. This joint statement of the American Thoracic Society (ATS) and the European Respiratory Society (ERS) was adopted by the ATS board of directors, June 2001 and by the ERS Executive Committee, June 2001. Am J Respir Crit Care Med. 165:277–304. 2002.

3 

Drakopanagiotakis F, Polychronopoulos V and Judson MA: Organizing pneumonia. Am J Med Sci. 335:34–39. 2008. View Article : Google Scholar : PubMed/NCBI

4 

Hatipoglu U and Rubinstein I: Low-dose, long-term macrolide therapy in asthma: An overview. Clin Mol Allergy. 2:42004. View Article : Google Scholar : PubMed/NCBI

5 

Chang WJ, Lee EJ, Lee SY, In KH, Kim CH, Kim HK and Park S: Successful salvage treatment of steroid-refractory bronchiolar COP with low-dose macrolide. Pathol Int. 62:144–148. 2012. View Article : Google Scholar : PubMed/NCBI

6 

Radzikowska E, Wiatr E, Gawryluk D, et al: Organizing pneumonia - clarithromycin treatment. Pneumonol Alergol Pol. 76:334–339. 2008.(In Polish).

7 

Vaz AP, Morais A, Melo N, et al: Azithromycin as an adjuvant therapy in cryptogenic organizing pneumonia. Rev Port Pneumol. 17:186–189. 2011.(In Portuguese). View Article : Google Scholar : PubMed/NCBI

8 

Lee J, Cha SI, Park TI, Park JY, Jung TH and Kim CH: Adjunctive effects of cyclosporine and macrolide in rapidly progressive cryptogenic organizing pneumonia with no prompt response to steroid. Intern Med. 50:475–479. 2011. View Article : Google Scholar : PubMed/NCBI

9 

Mukae H, Kadota J, Kohno S, Matsukura S and Hara K: Increase of activated T-cells in BAL fluid of Japanese patients with bronchiolitis obliterans organizing pneumonia and chronic eosinophilic pneumonia. Chest. 108:123–128. 1995. View Article : Google Scholar : PubMed/NCBI

10 

Cai M, Bonella F, Dai H, Sarria R, Guzman J and Costabel U: Macrolides inhibit cytokine production by alveolar macrophages in bronchiolitis obliterans organizing pneumonia. Immunobiology. 218:930–937. 2013. View Article : Google Scholar

11 

Yousem SA, Lohr RH and Colby TV: Idiopathic bronchiolitis obliterans organizing pneumonia/cryptogenic organizing pneumonia with unfavorable outcome: pathologic predictors. Mod Pathol. 10:864–871. 1997.PubMed/NCBI

12 

Ichikawa Y, Ninomiya H, Katsuki M, Hotta M, Tanaka M and Oizumi K: Low-dose/long-term erythromycin for treatment of bronchiolitis obliterans organizing pneumonia (BOOP). Kurume Med J. 40:65–67. 1993. View Article : Google Scholar : PubMed/NCBI

13 

Ishii T, Manabe A, Ebihara Y, Ueda T, Yoshino H, Mitsui T, et al: Improvement in bronchiolitis obliterans organizing pneumonia in a child after allogeneic bone marrow transplantation by a combination of oral prednisolone and low dose erythromycin. Bone Marrow Transplant. 26:907–910. 2000. View Article : Google Scholar : PubMed/NCBI

14 

Stover DE and Mangino D: Macrolides: a treatment alternative for bronchiolitis obliterans organizing pneumonia? Chest. 128:3611–3617. 2005. View Article : Google Scholar : PubMed/NCBI

15 

Ianaro A, Ialenti A, Maffia P, Sautebin L, Rombolà L, Carnuccio R, et al: Anti-inflammatory activity of macrolide antibiotics. J Pharmacol Exp Ther. 292:156–163. 2000.

16 

Luisi F, Gandolfi TD, Daudt AD, Sanvitto JP, Pitrez PM and Pinto LA: Anti-inflammatory effects of macrolides in childhood lung diseases. J Bras Pneumol. 38:786–796. 2012. View Article : Google Scholar

17 

Zarogoulidis P, Papanas N, Kioumis I, Chatzaki E, Maltezos E and Zarogoulidis K: Macrolides: from in vitro anti-inflammatory and immunomodulatory properties to clinical practice in respiratory diseases. Eur J Clin Pharmacol. 68:479–503. 2012. View Article : Google Scholar

18 

Wagner T and Burns JL: Anti-inflammatory properties of macrolides. Pediatr Infect Dis J. 26:75–76. 2007. View Article : Google Scholar : PubMed/NCBI

19 

Langelot M, Cellerin L and Germaud P: Anti-inflammatory effects of macrolides: applications in lung disease. Rev Pneumol Clin. 62:215–222. 2006.(In French). View Article : Google Scholar : PubMed/NCBI

20 

Davidson R and Peloquin P: Anti-inflammatory effects of the macrolides. J Otolaryngol. 31(Suppl 1): 38–40. 2002. View Article : Google Scholar

21 

Kudoh S: Erythromycin treatment in diffuse panbronchiolitis. Curr Opin Pulm Med. 4:116–121. 1998. View Article : Google Scholar : PubMed/NCBI

22 

Itkin IH and Menzel ML: The use of macrolide antibiotic substances in the treatment of asthma. J Allergy. 45:146–162. 1970. View Article : Google Scholar : PubMed/NCBI

23 

Sharma S, Jaffe A and Dixon G: Immunomodulatory effects of macrolide antibiotics in respiratory disease: therapeutic implications for asthma and cystic fibrosis. Paediatr Drugs. 9:107–118. 2007. View Article : Google Scholar : PubMed/NCBI

Related Articles

  • Abstract
  • View
  • Download
  • Twitter
Copy and paste a formatted citation
Spandidos Publications style
Ding QL, Lv D, Wang BJ, Zhang QL, Yu YM, Sun SF, Chen ZB, Ma HY and Deng ZC: Macrolide therapy in cryptogenic organizing pneumonia: A case report and literature review. Exp Ther Med 9: 829-834, 2015.
APA
Ding, Q., Lv, D., Wang, B., Zhang, Q., Yu, Y., Sun, S. ... Deng, Z. (2015). Macrolide therapy in cryptogenic organizing pneumonia: A case report and literature review. Experimental and Therapeutic Medicine, 9, 829-834. https://doi.org/10.3892/etm.2015.2183
MLA
Ding, Q., Lv, D., Wang, B., Zhang, Q., Yu, Y., Sun, S., Chen, Z., Ma, H., Deng, Z."Macrolide therapy in cryptogenic organizing pneumonia: A case report and literature review". Experimental and Therapeutic Medicine 9.3 (2015): 829-834.
Chicago
Ding, Q., Lv, D., Wang, B., Zhang, Q., Yu, Y., Sun, S., Chen, Z., Ma, H., Deng, Z."Macrolide therapy in cryptogenic organizing pneumonia: A case report and literature review". Experimental and Therapeutic Medicine 9, no. 3 (2015): 829-834. https://doi.org/10.3892/etm.2015.2183
Copy and paste a formatted citation
x
Spandidos Publications style
Ding QL, Lv D, Wang BJ, Zhang QL, Yu YM, Sun SF, Chen ZB, Ma HY and Deng ZC: Macrolide therapy in cryptogenic organizing pneumonia: A case report and literature review. Exp Ther Med 9: 829-834, 2015.
APA
Ding, Q., Lv, D., Wang, B., Zhang, Q., Yu, Y., Sun, S. ... Deng, Z. (2015). Macrolide therapy in cryptogenic organizing pneumonia: A case report and literature review. Experimental and Therapeutic Medicine, 9, 829-834. https://doi.org/10.3892/etm.2015.2183
MLA
Ding, Q., Lv, D., Wang, B., Zhang, Q., Yu, Y., Sun, S., Chen, Z., Ma, H., Deng, Z."Macrolide therapy in cryptogenic organizing pneumonia: A case report and literature review". Experimental and Therapeutic Medicine 9.3 (2015): 829-834.
Chicago
Ding, Q., Lv, D., Wang, B., Zhang, Q., Yu, Y., Sun, S., Chen, Z., Ma, H., Deng, Z."Macrolide therapy in cryptogenic organizing pneumonia: A case report and literature review". Experimental and Therapeutic Medicine 9, no. 3 (2015): 829-834. https://doi.org/10.3892/etm.2015.2183
Follow us
  • Twitter
  • LinkedIn
  • Facebook
About
  • Spandidos Publications
  • Careers
  • Cookie Policy
  • Privacy Policy
How can we help?
  • Help
  • Live Chat
  • Contact
  • Email to our Support Team