Spandidos Publications Logo
  • About
    • About Spandidos
    • Aims and Scopes
    • Abstracting and Indexing
    • Editorial Policies
    • Reprints and Permissions
    • Job Opportunities
    • Terms and Conditions
    • Contact
  • Journals
    • All Journals
    • Oncology Letters
      • Oncology Letters
      • Information for Authors
      • Editorial Policies
      • Editorial Board
      • Aims and Scope
      • Abstracting and Indexing
      • Bibliographic Information
      • Archive
    • International Journal of Oncology
      • International Journal of Oncology
      • Information for Authors
      • Editorial Policies
      • Editorial Board
      • Aims and Scope
      • Abstracting and Indexing
      • Bibliographic Information
      • Archive
    • Molecular and Clinical Oncology
      • Molecular and Clinical Oncology
      • Information for Authors
      • Editorial Policies
      • Editorial Board
      • Aims and Scope
      • Abstracting and Indexing
      • Bibliographic Information
      • Archive
    • Experimental and Therapeutic Medicine
      • Experimental and Therapeutic Medicine
      • Information for Authors
      • Editorial Policies
      • Editorial Board
      • Aims and Scope
      • Abstracting and Indexing
      • Bibliographic Information
      • Archive
    • International Journal of Molecular Medicine
      • International Journal of Molecular Medicine
      • Information for Authors
      • Editorial Policies
      • Editorial Board
      • Aims and Scope
      • Abstracting and Indexing
      • Bibliographic Information
      • Archive
    • Biomedical Reports
      • Biomedical Reports
      • Information for Authors
      • Editorial Policies
      • Editorial Board
      • Aims and Scope
      • Abstracting and Indexing
      • Bibliographic Information
      • Archive
    • Oncology Reports
      • Oncology Reports
      • Information for Authors
      • Editorial Policies
      • Editorial Board
      • Aims and Scope
      • Abstracting and Indexing
      • Bibliographic Information
      • Archive
    • Molecular Medicine Reports
      • Molecular Medicine Reports
      • Information for Authors
      • Editorial Policies
      • Editorial Board
      • Aims and Scope
      • Abstracting and Indexing
      • Bibliographic Information
      • Archive
    • World Academy of Sciences Journal
      • World Academy of Sciences Journal
      • Information for Authors
      • Editorial Policies
      • Editorial Board
      • Aims and Scope
      • Abstracting and Indexing
      • Bibliographic Information
      • Archive
    • International Journal of Functional Nutrition
      • International Journal of Functional Nutrition
      • Information for Authors
      • Editorial Policies
      • Editorial Board
      • Aims and Scope
      • Abstracting and Indexing
      • Bibliographic Information
      • Archive
    • International Journal of Epigenetics
      • International Journal of Epigenetics
      • Information for Authors
      • Editorial Policies
      • Editorial Board
      • Aims and Scope
      • Abstracting and Indexing
      • Bibliographic Information
      • Archive
    • Medicine International
      • Medicine International
      • Information for Authors
      • Editorial Policies
      • Editorial Board
      • Aims and Scope
      • Abstracting and Indexing
      • Bibliographic Information
      • Archive
  • Articles
  • Information
    • Information for Authors
    • Information for Reviewers
    • Information for Librarians
    • Information for Advertisers
    • Conferences
  • Language Editing
Spandidos Publications Logo
  • About
    • About Spandidos
    • Aims and Scopes
    • Abstracting and Indexing
    • Editorial Policies
    • Reprints and Permissions
    • Job Opportunities
    • Terms and Conditions
    • Contact
  • Journals
    • All Journals
    • Biomedical Reports
      • Information for Authors
      • Editorial Policies
      • Editorial Board
      • Aims and Scope
      • Abstracting and Indexing
      • Bibliographic Information
      • Archive
    • Experimental and Therapeutic Medicine
      • Information for Authors
      • Editorial Policies
      • Editorial Board
      • Aims and Scope
      • Abstracting and Indexing
      • Bibliographic Information
      • Archive
    • International Journal of Epigenetics
      • Information for Authors
      • Editorial Policies
      • Editorial Board
      • Aims and Scope
      • Abstracting and Indexing
      • Bibliographic Information
      • Archive
    • International Journal of Functional Nutrition
      • Information for Authors
      • Editorial Policies
      • Editorial Board
      • Aims and Scope
      • Abstracting and Indexing
      • Bibliographic Information
      • Archive
    • International Journal of Molecular Medicine
      • Information for Authors
      • Editorial Policies
      • Editorial Board
      • Aims and Scope
      • Abstracting and Indexing
      • Bibliographic Information
      • Archive
    • International Journal of Oncology
      • Information for Authors
      • Editorial Policies
      • Editorial Board
      • Aims and Scope
      • Abstracting and Indexing
      • Bibliographic Information
      • Archive
    • Medicine International
      • Information for Authors
      • Editorial Policies
      • Editorial Board
      • Aims and Scope
      • Abstracting and Indexing
      • Bibliographic Information
      • Archive
    • Molecular and Clinical Oncology
      • Information for Authors
      • Editorial Policies
      • Editorial Board
      • Aims and Scope
      • Abstracting and Indexing
      • Bibliographic Information
      • Archive
    • Molecular Medicine Reports
      • Information for Authors
      • Editorial Policies
      • Editorial Board
      • Aims and Scope
      • Abstracting and Indexing
      • Bibliographic Information
      • Archive
    • Oncology Letters
      • Information for Authors
      • Editorial Policies
      • Editorial Board
      • Aims and Scope
      • Abstracting and Indexing
      • Bibliographic Information
      • Archive
    • Oncology Reports
      • Information for Authors
      • Editorial Policies
      • Editorial Board
      • Aims and Scope
      • Abstracting and Indexing
      • Bibliographic Information
      • Archive
    • World Academy of Sciences Journal
      • Information for Authors
      • Editorial Policies
      • Editorial Board
      • Aims and Scope
      • Abstracting and Indexing
      • Bibliographic Information
      • Archive
  • Articles
  • Information
    • For Authors
    • For Reviewers
    • For Librarians
    • For Advertisers
    • Conferences
  • Language Editing
Login Register Submit
  • This site uses cookies
  • You can change your cookie settings at any time by following the instructions in our Cookie Policy. To find out more, you may read our Privacy Policy.

    I agree
Search articles by DOI, keyword, author or affiliation
Search
Advanced Search
presentation
Experimental and Therapeutic Medicine
Join Editorial Board Propose a Special Issue
Print ISSN: 1792-0981 Online ISSN: 1792-1015
Journal Cover
May-2016 Volume 11 Issue 5

Full Size Image

Sign up for eToc alerts
Recommend to Library

Journals

International Journal of Molecular Medicine

International Journal of Molecular Medicine

International Journal of Molecular Medicine is an international journal devoted to molecular mechanisms of human disease.

International Journal of Oncology

International Journal of Oncology

International Journal of Oncology is an international journal devoted to oncology research and cancer treatment.

Molecular Medicine Reports

Molecular Medicine Reports

Covers molecular medicine topics such as pharmacology, pathology, genetics, neuroscience, infectious diseases, molecular cardiology, and molecular surgery.

Oncology Reports

Oncology Reports

Oncology Reports is an international journal devoted to fundamental and applied research in Oncology.

Experimental and Therapeutic Medicine

Experimental and Therapeutic Medicine

Experimental and Therapeutic Medicine is an international journal devoted to laboratory and clinical medicine.

Oncology Letters

Oncology Letters

Oncology Letters is an international journal devoted to Experimental and Clinical Oncology.

Biomedical Reports

Biomedical Reports

Explores a wide range of biological and medical fields, including pharmacology, genetics, microbiology, neuroscience, and molecular cardiology.

Molecular and Clinical Oncology

Molecular and Clinical Oncology

International journal addressing all aspects of oncology research, from tumorigenesis and oncogenes to chemotherapy and metastasis.

World Academy of Sciences Journal

World Academy of Sciences Journal

Multidisciplinary open-access journal spanning biochemistry, genetics, neuroscience, environmental health, and synthetic biology.

International Journal of Functional Nutrition

International Journal of Functional Nutrition

Open-access journal combining biochemistry, pharmacology, immunology, and genetics to advance health through functional nutrition.

International Journal of Epigenetics

International Journal of Epigenetics

Publishes open-access research on using epigenetics to advance understanding and treatment of human disease.

Medicine International

Medicine International

An International Open Access Journal Devoted to General Medicine.

Journal Cover
May-2016 Volume 11 Issue 5

Full Size Image

Sign up for eToc alerts
Recommend to Library

  • Article
  • Citations
    • Cite This Article
    • Download Citation
    • Create Citation Alert
    • Remove Citation Alert
    • Cited By
  • Similar Articles
    • Related Articles (in Spandidos Publications)
    • Similar Articles (Google Scholar)
    • Similar Articles (PubMed)
  • Download PDF
  • Download XML
  • View XML
Article

Effects of preoperative bromocriptine treatment on prolactin-secreting pituitary adenoma surgery

  • Authors:
    • Yingxiao Cao
    • Fengju Wang
    • Zhenbo Liu
    • Baohua Jiao
  • View Affiliations / Copyright

    Affiliations: Department of Neurosurgery, The Second Hospital of Hebei Medical University, Shijiazhuang, Hebei 050000, P.R. China, Department of Neurosurgery, Xingtai People's Hospital Affiliated to Hebei Medical University, Xingtai, Hebei 054031, P.R. China
  • Pages: 1977-1982
    |
    Published online on: March 2, 2016
       https://doi.org/10.3892/etm.2016.3122
  • Expand metrics +
Metrics: Total Views: 0 (Spandidos Publications: | PMC Statistics: )
Metrics: Total PDF Downloads: 0 (Spandidos Publications: | PMC Statistics: )
Cited By (CrossRef): 0 citations Loading Articles...

This article is mentioned in:



Abstract

Pituitary adenomas are benign intracranial endocrine tumors, accounting for ~10% of intracranial tumors. The aim of the present study was to analyze the effects of preoperative treatment with bromocriptine on the surgical treatment and postoperative complications of prolactin‑secreting pituitary adenomas (prolactinomas). Data from 102 patients whose prolactinomas were surgically treated between March 2006 and March 2010 were retrospectively reviewed in the present study. The study group included 54 patients who had been treated preoperatively with bromocriptine. The patients were examined by magnetic resonance imaging (MRI) of the head and coronal computed tomography (CT) scanning, after which the pathological diagnosis of prolactinoma was confirmed. A total of 64 patients underwent total resection surgery through the nose and sphenoid sinus, and 25 patients underwent subtotal resection surgery or excision of a large portion of the tumor, leaving only a small quantity of residual tumor or tumor capsule. Patients were followed up for 1‑9 months using MRI and measurements of serum prolactin levels. Seven patients were lost to follow‑up. The results of the present study demonstrated that patients who were treated with large doses of bromocriptine or used bromocriptine chronically suffered from an increased rate of surgical difficulties and postoperative complications, as compared with the patents who had not been pre‑treated with bromocriptine. In conclusion, oral administration of bromocriptine is important in the treatment of prolactinoma tumors. However, large doses or long‑term use of bromocriptine may increase difficulties in surgery or postoperative complications, and reduce its ability to treat prolactinonas, as it can lead to hardening of the tumor tissue and capsules, and aggravate pituitary stalk adhesions.

Introduction

Pituitary adenomas are a type of benign intracranial endocrine tumor that account for ~10% of intracranial tumors (1,2), and prolactin-secreting adenomas (prolactinomas) account for 40–60% of pituitary adenomas (3). The treatment of prolactin-secreting adenomas primarily involves surgery and the administration of drugs such as bromocriptine (4,5). Some patients choose to undergo radiation therapy when surgery and drug therapies have been unsuccessful (6).

The aim of treatment is to eliminate the oppressive effects of pituitary adenomas on normal tissues, and to reduce or control hormone levels to their normal ranges. Clinical treatments include drug therapy, surgery and radiation therapy (7,8). In 2006, the diagnosis and treatment guidelines for pituitary prolactinoma devised at the 9th International Pituitary Congress stated that dopamine agonists are the preferred treatment for patients with prolactinoma (9). In China, the most commonly used treatment is surgery using a nasal transsphenoidal approach supplemented with the oral administration of dopamine agonists, such as bromocriptine. Prolactinomas typically occur in women of childbearing age (20–40 years old). Common symptoms are amenorrhea, lactation and infertility in female patients, and sexual dysfunction in male patients. Prolactinomas are also associated with vision disorders and hypopituitarism resulting from compression by the tumor (10–13).

Drug therapy serves a prominent role in the treatment of prolactinomas; currently, bromocriptine is the most widely used drug clinically; it is as a semi-synthetic lysergic alkaloid bromide that acts as a dopamine agonist. Bromocriptine can reduce tumor size by inhibiting the synthesis and secretion of prolactin, and inhibiting angiogenesis in the surrounding tissue (14). Prolactin levels decrease rapidly following treatment with bromocriptine (7.5–10 mg/day), and tumors quickly reduce in size or disappear (15,16). Galactorrhea may improve in female patients after 2 weeks of treatment with bromocriptine, and menstruation and ovulation can be recovered after 2 months of treatment (17). In male patients, sexual function can be recovered following several weeks of treatment and typically returns to normal within a year (18). However, the use of bromocriptine has a number of disadvantages; it can cause fibrosis or hardening of tumors, and capsule thickening, which increases the difficulty of surgical tumor removal. In addition, a number of adverse reactions can occur in patients, such as nausea, vomiting and orthostatic hypotension. Furthermore, bromocriptine is an expensive drug, requiring long-term administration, and patient compliance is typically poor (19,20).

In the present study, the data from 102 patients who had prolactinomas surgically removed between March 2006 and March 2010 were retrospectively analyzed. The effects of bromocriptine treatment on surgical procedures and postoperative complications were analyzed these patients.

Materials and methods

Patient information

A total of 102 patients were pathologically diagnosed with prolactinomas, and were surgically treated at Xingtai People's Hospital Affiliated to Hebei Medical University (Xingtai, China) between March 2006 and March 2010. A total of 54 patients (7 males and 47 females; age range, 15–68 years; mean age, 32.7 years), generally those with large adenomas and high prolactin levels, were treated with bromocriptine. The levels of prolactin in the blood of these patients ranged between 12.19 and 736.2 ng/ml (mean, 139.3 ng/ml. Normal levels in females and males are <33 and <17 ng/ml, respectively. The time of treatment with bromocriptine ranged between 3 weeks and 7 years (mean, 11.8 months), and the treatment doses ranged between 2.5 and 7.5 mg/day. A total of 48 patients (4 males and 44 females; age range, 17–73 years; mean age, 35.4 years) were not treated with bromocriptine because of side effects, such as gastrointestinal reactions and dizziness. The levels of prolactin in the blood ranged between 2.45 and 894.7 ng/ml (mean, 221 ng/ml).

Patients were primarily women of childbearing age, and disease duration ranged between 2 weeks and 20 years (mean, 13.1 months).

Clinical manifestations

Among the female patients, 69 patients experienced menstrual disorders, infertility and lactation, 12 patients experienced a loss of libido, 5 patients experienced acromegaly and 3 patients developed obesity or purple marks on the skin. Among the male patients, 8 patients experienced impotence and sexual dysfunction and 1 patient had gynecomastia. Vision loss or impairment occurred in 43 patients. Elderly patients frequently experienced headaches and loss of vision.

Imaging

All patients were examined by magnetic resonance imaging (MRI; Achieva 3.0TTX; Philips Healthcare, DA Best, The Netherlands) of the head and coronal computed tomography (CT) scanning (SOMATOM Definition AS+ 128; Siemens AG, Munich, Germany). In addition, 12 patients received a CT angiography (CTA) examination (tumor diameter, >4 cm surrounding the internal carotid artery) for intraoperative reference. The tumor diameter was <1 cm in 56 patients, 1–4 cm in 34 patients and >4 cm in 12 patients. The tumors were invasive in 10 patients, including 9 cases with invasion of the bilateral cavernous sinus, the third ventricle and the bottom of the frontal lobe; the hypothalamus was invaded in 2 cases. Coronal CT scanning revealed 13 patients with sellar floor bone destruction. CTA examination revealed bilateral anterior cerebral artery pressure resulting in the curved forward displacement of bilateral internal carotid arteries to one side, so that they were partly surrounded.

Prolactinoma treatment

All surgical procedures were performed by the same highly qualified surgeon. The prolactin adenoma was resected using a nasal transsphenoidal approach in 89 patients, and using a pterional approach in 13 patients. Prior to surgery, 54 patients had been treated with bromocriptine (2.5–7.5 mg/day) for between 3 weeks and 7 years (mean, 11.8 months). After complete removal of the tumor, a small artificial dura mater (Johnson & Johnson, New Brunswick, NJ, USA) coated with biological glue (Shunkang Medical Adhesive Co., Ltd., Beijing, China) was placed in the sella floor to prevent cerebrospinal fluid leakage.

Clinical criteria

Postoperative follow-ups were conducted to analyze the effectiveness of the surgery in the treatment of the prolactinomas during the 6 months after surgery. Results for the patients who were treated with bromocriptine were compared with the results obtained without bromocriptine treatment with regard to the efficiency of the surgery, which was classified as cure, remission, progressive or invalid. The criteria for cure were: Prolactin levels returned to normal, menstruation patterns were normal, lactation ceased in females, and the serum testosterone levels (normal range, 1.75–7.81 ng/ml) and sperm count (normal, >20×107/ml) were normal in male patients. Remission criteria were: Prolactinomas returned to normal, menstruation did not recover in females, and the serum testosterone level and sperm count were lower than normal in males. Progression was defined as a prolactinoma reduction of >80%, and invalid was defined as a prolactinoma reduction of ≤80%.

Statistical analysis

The data were analyzed using SPSS version 17.0 statistical software (SPSS, Inc. Chicago, IL, USA). Data are represented as the number of patients. The results were analyzed using the χ2 test. P<0.05 was considered to indicate a statistically significant difference.

Results

Intraoperative conditions

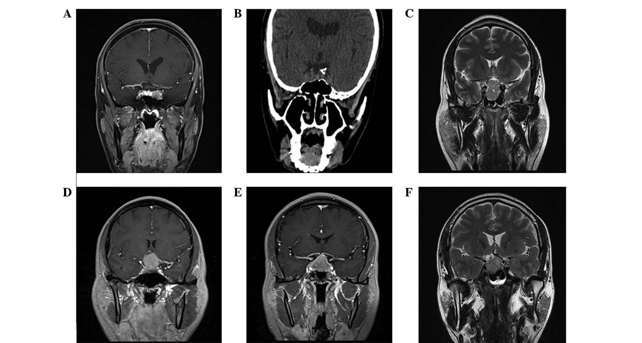
Total resection surgery was achieved through the nose and sphenoid sinus in 64 patients, and 25 patients underwent subtotal resection or substantial removal of the tumor, leaving a small area of residual tumor or tumor capsule. Craniotomy was conducted in 13 patients, which were cases where the tumors were growing invasively with suprasellar extension and it was observed during surgery that the internal carotid artery was surrounded by optic chiasm that had unclear boundaries with brain tissue. MRI results of the head and coronal CT scans are presented in Fig. 1. The surgical observations of patients with and without bromocriptine treatment are presented in Table I. Significant differences (P<0.05) in the tumor texture and the frequency of hard and tough capsules and pituitary stalk adhesions were detected between the two groups.

Figure 1.

Magnetic resonance imaging of the head and coronal computed tomography scanning used to diagnose prolactinoma. Patients were diagnosed with a pituitary tumor when an abnormal signal was exhibited by the pituitary gland. Tumor volumes are (A) 15×16×20 mm, (B) 14×16×27 mm, (C) 29×36×19 mm, (D) 23×31×26 mm, (E) 22×25×32 mm and (F) 19×11×22 mm.

Table I.

Intraoperative observations.

Table I.

Intraoperative observations.

Texture

GroupPatientsSoftHardHard and tough capsulePituitary stalk adhesionsRich blood supplyTumor apoplexyCavernous sinus bleedingCerebrospinal fluid leakage
Bromocriptine54193541292013119
Without bromocriptine483117221514865
χ2 8.7889.7445.2230.7080.8531.1330.838
P-value 0.0030.0020.0220.4000.3560.2870.360
Postoperative complications

Following the surgery, 69 patients developed transient diabetes insipidus, and 7 patients developed permanent diabetes insipidus and required long-term (>6 month) oral 1.25 mg desmopressin acetate tablets (Pfizer, Inc., Zurich, Switzerland) 2–3 times/day to control the quantity of urine produced. A total of 64 patients developed hyponatremia, and 7 patients had varying degrees of postoperative cerebrospinal fluid rhinorrhea, the majority of whom were treated within-10 days following conservative treatment with oral bromocriptine. For 2 of the patients with cerebrospinal fluid rhinorrhea, the condition was treated by repair surgery. There were 3 patients who remained unconscious following the craniotomy and were transferred to the intensive care unit for treatment. Intracranial infections with gram-negative bacilli developed in 3 patients and were treated using antibiotics. There were no mortalities. The major complications observed in the patients with and without bromocriptine treatment are presented in Table II.

Table II.

Postoperative complications.

Table II.

Postoperative complications.

GroupPatientsDiabetes insipidusElectrolyte imbalanceHypopituitarism
Bromocriptine5445419
Without bromocriptine4831296
χ2 4.7042.8390.352
P-value 0.0300.0920.553
Follow-up results

Patients were followed up for between 1 and 9 months using MRI examination of the head and measurement of serum prolactin levels. Seven patients were lost to follow-up, and thus were unable to be assessed. Recurrence of the tumor was observed in 6 patients (5.9%), all of which were a result of residual tissue from the tumor remaining following the surgery. A total of 14 patients were treated by γ-knife following the surgery, and in 6 patients the residual tumor disappeared completely after 6 months, as identified by CT. Menstrual disorders and amenorrhea improved in 38 patients, vision disorders improved in 29 patients and loss of libido improved in 7 patients. The postoperative level of serum prolactin returned to normal (female, <33 ng/ml, male, <17 ng/ml) in 68 patients; the serum prolactin concentration declined by >80% in 18 patients, and by ≤80% in 9 patients. In 19 patients, the levels of prolactin in the blood were >60 ng/ml at 1, 3 and 6 months postsurgery, and these patients were treated with bromocriptine (2.5–5.0 mg/day) for adjuvant therapy. In patients who developed hypopituitarism, thyroxine and prednisone replacement therapy was prescribed. The clinical efficacy of bromocriptine in the treatment of prolactin adenomas is presented in Table III. The cure and remission rate in patients treated with bromocriptine was 62.7% (32/51); whereas the cure and remission rate was 81.8% (36/44) in patients without bromocriptine. A significant difference was detected between the two groups (χ2=4.224; P=0.04).

Table III.

Comparison of total cure and remission cases between the two groups.

Table III.

Comparison of total cure and remission cases between the two groups.

GroupPatientsCureRemissionProgressionInvalidCure and remission, n (%)
Bromocriptine51151714532 (62.7)
Without bromocriptine4423134436 (81.8)
χ2 5.1440.157 4.224
P-value 0.0230.692 0.040

Discussion

Transsphenoidal surgery through the nose and sphenoid sinus is the most common surgical approach for the treatment of pituitary adenomas (21). It is able to entirely remove the tumors, significantly reduce the damage to brain tissue, nerves and blood vessels in during surgery, and results in fewer complications and low mortality, as compared with the traditional transcranial approach (22,23). However, a transcranial surgical approach is required for large pituitary tumors with a hard texture, rich blood supply, dumbbell-shaped tumor growth and expansion outside the sella turcica (24). Postoperative complications include diabetes insipidus, electrolyte imbalance, hypopituitarism and rhinorrhea of the cerebrospinal fluid (25).

The results in the present study demonstrated that there was a significant difference between patients with and without bromocriptine treatment with regards to tumor texture, the hardness and toughness of adenoma capsules, and pituitary stalk adhesions (P<0.05). These differences between the groups were attributable to the preoperative bromocriptine treatment, which increased the risk of damaging the normal pituitary, pituitary stalk and sellar diaphragm during the surgery. Bromocriptine, therefore, increases the difficulty of surgery and promotes postoperative complications.

Diabetes insipidus is the most common complication following pituitary adenoma surgery, and is caused by damage to the pituitary stalk, posterior pituitary, hypothalamus or the blood supply, which results in an insufficient secretion of antidiuretic hormones (26–28). The results from the present study demonstrated that postoperative complications in the bromocriptine treatment group were more prevalent than those in the group who were not treated with bromocriptine; however, the only post-operative complication that was statistically significant different in prevalence between the two groups was diabetes insipidus.

Cerebrospinal fluid rhinorrhea results from direct intraoperative injury to the sellar diaphragm; this can occur when tumors are large and are excised quickly, causing a rapid reduction of the sellar diaphragm, or when tumors have eroded the sellar diaphragm (29–31). It has also been reported that giant pituitary adenoma, repeat surgery, uneven tumor surface and tough texture may increase the risk of postoperative cerebrospinal fluid rhinorrhea (32,33). The results of the present study demonstrated that 9 patients who were preoperatively prescribed bromocriptine, and 5 patients who were not prescribed bromocriptine, experienced intraoperative cerebrospinal fluid leakage. During the surgery, artificial dura and brain-ear glue were used to repair the sellar floor, and 7 patients experienced varying degrees of cerebrospinal fluid rhinorrhea. By conservative treatment, the majority of patients were cured within 3 to 10 days, and 2 patients were treated by repair surgery using cerebrospinal fluid rhinorrhea endoscopy.

In cases where the size of the prolactinoma is not reduced to its normal size following surgery, the presence of residual tumors should be considered. Residual tumors can be too small to be identified using MRI, or they may become confounded within scars of the sella turcica or the surrounding pituitary tissue. Therefore, if the prolactinoma does not reduce in size, it is recommended that patients be closely followed up by observation of the levels of endocrine indicators and imaging studies (21). If the results from radiological examinations present a clear residual tumor, surgical exploration may be considered again with drug or radiation therapy. The purpose of radiation therapy is to inhibit tumor cell growth and reduce the secretion of hormones from the tumors (34,35). Radiation therapy is primarily used as an adjuvant therapy for patients whose hormone levels have not returned to normal levels, or who have residual tumors detected following surgical treatment.

In the present study, removal of prolactinomas was performed by an experienced neurosurgeon through the nose and sphenoid sinus; the long-term remission rates for such surgery are typically 70–80% (36). For prolactinomas that are confined within the sella turcica, the long-term remission rates can reach 80–90% (37,38). Follow-up data from these two clinical trials revealed that there was a significant difference between patients with and without bromocriptine treatment with regard to the efficacy following surgical treatment of prolactinomas. These findings were consistent with those reported by Landolt et al (39).

In the present study, treatment with bromocriptine caused difficulties in the removal of the tumors during surgery, as bromocriptine caused adhesion of the pituitary stalk, pituitary tissue, or tumor in the rear of pituitary stalk. Thus, the efficiency of surgery was reduced by bromocriptine; however, the long-term effects of bromocriptine on prolactin adenomas are currently unknown.

In conclusion, the oral administration of bromocriptine is important for the treatment of prolactinoma tumors. However, large doses or chronic use of bromocriptine can increase surgical difficulties and result in postoperative complications due to the hardening of tumor tissues, hardening and toughening of capsules and aggravated adhesions.

References

1 

Hirohata T, Ishii Y and Matsuno A: Treatment of pituitary carcinomas and atypical pituitary adenomas: A review. Neurol Med Chir (Tokyo). 54:966–973. 2014. View Article : Google Scholar : PubMed/NCBI

2 

Ciric I, Rosenblatt S, Kerr W Jr, Lamarca F, Pierce D and Baumgartner C: Perspective in pituitary adenomas: An end of the century review of tumorigenesis, diagnosis and treatment. Clin Neurosurg. 47:99–111. 2000.PubMed/NCBI

3 

Ozgen T, Oruckaptan HH, Ozcan OE and Acikgoz B: Prolactin secreting pituitary adenomas: Analysis of 429 surgically treated patients, effect of adjuvant treatment modalities and review of the literature. Acta Neurochir (Wien). 141:1287–1294. 1999. View Article : Google Scholar : PubMed/NCBI

4 

Landolt AM, Minder H, Osterwalder V and Landolt TA: Bromocriptine reduces the size of cells in prolactin-secreting pituitary adenomas. Experientia. 39:625–626. 1983. View Article : Google Scholar : PubMed/NCBI

5 

Laws ER Jr, Thorner MO and Vance ML: Bromocriptine therapy for prolactin-secreting pituitary adenomas. Neurosurg Focus. 1:e4discussion 1p following e6. 1996. View Article : Google Scholar : PubMed/NCBI

6 

Bergström M, Muhr C, Lundberg PO, Bergström K, Gee AD, Fasth KJ and Långström B: Rapid decrease in amino acid metabolism in prolactin-secreting pituitary adenomas after bromocriptine treatment: A PET study. J Comput Assist Tomogr. 11:815–819. 1987. View Article : Google Scholar : PubMed/NCBI

7 

Kim JO, Ma R, Akagami R, McKenzie M, Johnson M, Gete E and Nichol A: Long-term outcomes of fractionated stereotactic radiation therapy for pituitary adenomas at the BC Cancer Agency. Int J Radiat Oncol Biol Phys. 87:528–533. 2013. View Article : Google Scholar : PubMed/NCBI

8 

Elson A, Bovi J, Kaur K, Maas D, Sinson G and Schultz C: Effect of treatment modality on the hypothalamic-pituitary function of patients treated with radiation therapy for pituitary adenomas: Hypothalamic dose and endocrine outcomes. Front Oncol. 4:732014. View Article : Google Scholar : PubMed/NCBI

9 

Casanueva FF, Molitch ME, Schlechte JA, Abs R, Bonert V, Bronstein MD, Brue T, Cappabianca P, Colao A, Fahlbusch R, et al: Guidelines of the Pituitary Society for the diagnosis and management of prolactinomas. Clin Endocrinol (Oxf). 65:265–273. 2006. View Article : Google Scholar : PubMed/NCBI

10 

Sahoo JP, Kamalanathan S, Parida PK and Pillai V: A giant prolactinoma with nasopharyngeal extension presenting with nasal blockage and epistaxis. BMJ case reports. 2015:2015. View Article : Google Scholar

11 

Nakajima T, Tamura T, Kuroki M, Tanaka R and Hayashi H: A case of prolactinoma presenting with CSF rhinorrhea and CSF otorrhea during bromocriptine therapy. No Shinkei Geka. 20:1091–1095. 1992.(In Japanese). PubMed/NCBI

12 

Little AS: Repair of cerebrospinal fluid fistula from an invasive skull base prolactinoma using a septal mucosal vascularized flap: Technical case report. J Neurol Surg A Cent Eur Neurosurg. 74(Suppl 1): e50–e53. 2013.PubMed/NCBI

13 

Sunil B, Reddy A, Bryant N, Young DW and Ashraf AP: Invasive giant prolactinoma presenting as a nasal polyp. J Pediatr. 162:435. 2013. View Article : Google Scholar : PubMed/NCBI

14 

Webster J: Dopamine agonist therapy in hyperprolactinemia. J Reprod Med. 44(Suppl 12): S1105–S1110. 1999.

15 

Acharya SV, Gopal RA, Menon PS, Bandgar TR and Shah NS: Giant prolactinoma and effectiveness of medical management. Endocr Pract. 16:42–46. 2010. View Article : Google Scholar : PubMed/NCBI

16 

Schettini G, Lombardi G, Merola B, Miletto P, Fariello C, Cirillo S, Fusco R and Lancranjan I: Effectiveness of a single injectable dose of bromocriptine long acting in the treatment of macroprolactinomas. J Endocrinol Invest. 11:47–51. 1988. View Article : Google Scholar : PubMed/NCBI

17 

Mroueh AM and Siler-Khodr TM: Bromocryptine therapy in cases of amenorrhea-galactorrhea. Am J Obstet Gynecol. 127:291–298. 1977. View Article : Google Scholar : PubMed/NCBI

18 

Tyson D, Reggiardo D, Sklar C and David R: Prolactin-secreting macroadenomas in adolescents. Response to bromocriptine therapy. Am J Dis Child. 147:1057–1061. 1993. View Article : Google Scholar : PubMed/NCBI

19 

Palmeri CM, Petiti JP, del Sosa LV, Gutiérrez S, De Paul AL, Mukdsi JH and Torres AI: Bromocriptine induces parapoptosis as the main type of cell death responsible for experimental pituitary tumor shrinkage. Toxicol Appl Pharmacol. 240:55–65. 2009. View Article : Google Scholar : PubMed/NCBI

20 

Liuzzi A, Chiodini PG, Dallabonzana D, Oppizzi G and Verde GG: Medical treatment of pituitary adenomas: Effects on tumor growth. J Endocrinol Invest. 8:273–281. 1985. View Article : Google Scholar : PubMed/NCBI

21 

Sharma M, Ambekar S, Sonig A and Nanda A: Factors predicting the development of new onset post-operative Hydrocephalus following trans-sphenoidal surgery for pituitary adenoma. Clin Neurol Neurosurg. 115:1951–1954. 2013. View Article : Google Scholar : PubMed/NCBI

22 

Frank G, Pasquini E and Mazzatenta D: Extended transsphenoidal approach. J Neurosurg. 95:917–918. 2001.PubMed/NCBI

23 

Cappabianca P, Cavallo LM, Esposito F, De Divitiis O, Messina A and De Divitiis E: Extended endoscopic endonasal approach to the midline skull base: The evolving role of transsphenoidal surgery. Adv Tech Stand Neurosurg. 33:151–199. 2008. View Article : Google Scholar : PubMed/NCBI

24 

Grabenbauer GG, Fietkau R, Buchfelder M, Meyer M, Baumann J, Hensen J, Rummelt V, Fahlbusch R and Sauer R: Hormonally inactive hypophyseal adenomas: The results and late sequelae after surgery and radiotherapy. Strahlenther Onkol. 172:193–197. 1996.(In German). PubMed/NCBI

25 

Goyal N, Borkar SA, Agrawal D and Mahapatra AK: Pituitary adenoma presenting with cerebrospinal fluid rhinorrhea as the sole symptom. Neurol India. 60:307–308. 2012. View Article : Google Scholar : PubMed/NCBI

26 

Perrin G, Stevenaert A and Jouanneau E: Technical aspects and surgical strategy for removal of corticotroph pituitary adenoma. Neurochirurgie. 48:186–214. 2002.(In French). PubMed/NCBI

27 

Gondim JA, Almeida JP, de Albuquerque LA, Gomes E, Schops M and Mota JI: Endoscopic endonasal transsphenoidal surgery in elderly patients with pituitary adenomas. J Neurosurg. 123:31–38. 2015. View Article : Google Scholar : PubMed/NCBI

28 

Berkmann S, Schlaffer S, Nimsky C, Fahlbusch R and Buchfelder M: Intraoperative high-field MRI for transsphenoidal reoperations of nonfunctioning pituitary adenoma. J Neurosurg. 121:1166–1175. 2014. View Article : Google Scholar : PubMed/NCBI

29 

Mehta GU, Bakhtian KD and Oldfield EH: Effect of primary empty sella syndrome on pituitary surgery for Cushing's disease. J Neurosurg. 121:518–526. 2014. View Article : Google Scholar : PubMed/NCBI

30 

Berker M, Hazer DB, Yucel T, Gurlek A, Cila A, Aldur M and Onerci M: Complications of endoscopic surgery of the pituitary adenomas: Analysis of 570 patients and review of the literature. Pituitary. 15:288–300. 2012. View Article : Google Scholar : PubMed/NCBI

31 

Cho JM, Ahn JY, Chang JH and Kim SH: Prevention of cerebrospinal fluid rhinorrhea after transsphenoidal surgery by collagen fleece coated with fibrin sealant without autologous tissue graft or postoperative lumbar drainage. Neurosurgery. 68:130–136. 2011.PubMed/NCBI

32 

Lehman NL, Horoupian DS and Harsh GR IV: Synchronous subarachnoid drop metastases from a pituitary adenoma with multiple recurrences. Case report. J Neurosurg. 98:1120–1123. 2003. View Article : Google Scholar : PubMed/NCBI

33 

Kim EH, Ku CR, Lee EJ and Kim SH: Extracapsular en bloc resection in pituitary adenoma surgery. Pituitary. 18:397–404. 2015. View Article : Google Scholar : PubMed/NCBI

34 

Tanaka S, Link MJ, Brown PD, Stafford SL, Young WF Jr and Pollock BE: Gamma knife radiosurgery for patients with prolactin-secreting pituitary adenomas. World Neurosurg. 74:147–152. 2010. View Article : Google Scholar : PubMed/NCBI

35 

Wollesen F and Bendsen BB: Effect rates of different modalities for treatment of prolactin adenomas. Am J Med. 78:114–122. 1985. View Article : Google Scholar : PubMed/NCBI

36 

Dai WD, Liu WH and Zhang DL: One hemodialysis patient with headache, blurred vision and hypotension induced by pituitary prolactinoma. Chin Med J (Engl). 125:2787–2789. 2012.PubMed/NCBI

37 

Domingue ME, Devuyst F, Alexopoulou O, Corvilain B and Maiter D: Outcome of prolactinoma after pregnancy and lactation: A study on 73 patients. Clin Endocrinol (Oxf). 80:642–648. 2014. View Article : Google Scholar : PubMed/NCBI

38 

Qu X, Wang M, Wang G, Han T, Mou C, Han L, Jiang M, Qu Y, Zhang M, Pang Q and Xu G: Surgical outcomes and prognostic factors of transsphenoidal surgery for prolactinoma in men: A single-center experience with 87 consecutive cases. Eur J Endocrinol. 164:499–504. 2011. View Article : Google Scholar : PubMed/NCBI

39 

Landolt AM, Keller PJ, Froesch ER and Mueller J: Bromocriptine: Does it jeopardise the result of later surgery for prolactinomas? Lancet. 2:657–658. 1982. View Article : Google Scholar : PubMed/NCBI

Related Articles

  • Abstract
  • View
  • Download
  • Twitter
Copy and paste a formatted citation
Spandidos Publications style
Cao Y, Wang F, Liu Z and Jiao B: Effects of preoperative bromocriptine treatment on prolactin-secreting pituitary adenoma surgery. Exp Ther Med 11: 1977-1982, 2016.
APA
Cao, Y., Wang, F., Liu, Z., & Jiao, B. (2016). Effects of preoperative bromocriptine treatment on prolactin-secreting pituitary adenoma surgery. Experimental and Therapeutic Medicine, 11, 1977-1982. https://doi.org/10.3892/etm.2016.3122
MLA
Cao, Y., Wang, F., Liu, Z., Jiao, B."Effects of preoperative bromocriptine treatment on prolactin-secreting pituitary adenoma surgery". Experimental and Therapeutic Medicine 11.5 (2016): 1977-1982.
Chicago
Cao, Y., Wang, F., Liu, Z., Jiao, B."Effects of preoperative bromocriptine treatment on prolactin-secreting pituitary adenoma surgery". Experimental and Therapeutic Medicine 11, no. 5 (2016): 1977-1982. https://doi.org/10.3892/etm.2016.3122
Copy and paste a formatted citation
x
Spandidos Publications style
Cao Y, Wang F, Liu Z and Jiao B: Effects of preoperative bromocriptine treatment on prolactin-secreting pituitary adenoma surgery. Exp Ther Med 11: 1977-1982, 2016.
APA
Cao, Y., Wang, F., Liu, Z., & Jiao, B. (2016). Effects of preoperative bromocriptine treatment on prolactin-secreting pituitary adenoma surgery. Experimental and Therapeutic Medicine, 11, 1977-1982. https://doi.org/10.3892/etm.2016.3122
MLA
Cao, Y., Wang, F., Liu, Z., Jiao, B."Effects of preoperative bromocriptine treatment on prolactin-secreting pituitary adenoma surgery". Experimental and Therapeutic Medicine 11.5 (2016): 1977-1982.
Chicago
Cao, Y., Wang, F., Liu, Z., Jiao, B."Effects of preoperative bromocriptine treatment on prolactin-secreting pituitary adenoma surgery". Experimental and Therapeutic Medicine 11, no. 5 (2016): 1977-1982. https://doi.org/10.3892/etm.2016.3122
Follow us
  • Twitter
  • LinkedIn
  • Facebook
About
  • Spandidos Publications
  • Careers
  • Cookie Policy
  • Privacy Policy
How can we help?
  • Help
  • Live Chat
  • Contact
  • Email to our Support Team