Spandidos Publications Logo
  • About
    • About Spandidos
    • Aims and Scopes
    • Abstracting and Indexing
    • Editorial Policies
    • Reprints and Permissions
    • Job Opportunities
    • Terms and Conditions
    • Contact
  • Journals
    • All Journals
    • Oncology Letters
      • Oncology Letters
      • Information for Authors
      • Editorial Policies
      • Editorial Board
      • Aims and Scope
      • Abstracting and Indexing
      • Bibliographic Information
      • Archive
    • International Journal of Oncology
      • International Journal of Oncology
      • Information for Authors
      • Editorial Policies
      • Editorial Board
      • Aims and Scope
      • Abstracting and Indexing
      • Bibliographic Information
      • Archive
    • Molecular and Clinical Oncology
      • Molecular and Clinical Oncology
      • Information for Authors
      • Editorial Policies
      • Editorial Board
      • Aims and Scope
      • Abstracting and Indexing
      • Bibliographic Information
      • Archive
    • Experimental and Therapeutic Medicine
      • Experimental and Therapeutic Medicine
      • Information for Authors
      • Editorial Policies
      • Editorial Board
      • Aims and Scope
      • Abstracting and Indexing
      • Bibliographic Information
      • Archive
    • International Journal of Molecular Medicine
      • International Journal of Molecular Medicine
      • Information for Authors
      • Editorial Policies
      • Editorial Board
      • Aims and Scope
      • Abstracting and Indexing
      • Bibliographic Information
      • Archive
    • Biomedical Reports
      • Biomedical Reports
      • Information for Authors
      • Editorial Policies
      • Editorial Board
      • Aims and Scope
      • Abstracting and Indexing
      • Bibliographic Information
      • Archive
    • Oncology Reports
      • Oncology Reports
      • Information for Authors
      • Editorial Policies
      • Editorial Board
      • Aims and Scope
      • Abstracting and Indexing
      • Bibliographic Information
      • Archive
    • Molecular Medicine Reports
      • Molecular Medicine Reports
      • Information for Authors
      • Editorial Policies
      • Editorial Board
      • Aims and Scope
      • Abstracting and Indexing
      • Bibliographic Information
      • Archive
    • World Academy of Sciences Journal
      • World Academy of Sciences Journal
      • Information for Authors
      • Editorial Policies
      • Editorial Board
      • Aims and Scope
      • Abstracting and Indexing
      • Bibliographic Information
      • Archive
    • International Journal of Functional Nutrition
      • International Journal of Functional Nutrition
      • Information for Authors
      • Editorial Policies
      • Editorial Board
      • Aims and Scope
      • Abstracting and Indexing
      • Bibliographic Information
      • Archive
    • International Journal of Epigenetics
      • International Journal of Epigenetics
      • Information for Authors
      • Editorial Policies
      • Editorial Board
      • Aims and Scope
      • Abstracting and Indexing
      • Bibliographic Information
      • Archive
    • Medicine International
      • Medicine International
      • Information for Authors
      • Editorial Policies
      • Editorial Board
      • Aims and Scope
      • Abstracting and Indexing
      • Bibliographic Information
      • Archive
  • Articles
  • Information
    • Information for Authors
    • Information for Reviewers
    • Information for Librarians
    • Information for Advertisers
    • Conferences
  • Language Editing
Spandidos Publications Logo
  • About
    • About Spandidos
    • Aims and Scopes
    • Abstracting and Indexing
    • Editorial Policies
    • Reprints and Permissions
    • Job Opportunities
    • Terms and Conditions
    • Contact
  • Journals
    • All Journals
    • Biomedical Reports
      • Information for Authors
      • Editorial Policies
      • Editorial Board
      • Aims and Scope
      • Abstracting and Indexing
      • Bibliographic Information
      • Archive
    • Experimental and Therapeutic Medicine
      • Information for Authors
      • Editorial Policies
      • Editorial Board
      • Aims and Scope
      • Abstracting and Indexing
      • Bibliographic Information
      • Archive
    • International Journal of Epigenetics
      • Information for Authors
      • Editorial Policies
      • Editorial Board
      • Aims and Scope
      • Abstracting and Indexing
      • Bibliographic Information
      • Archive
    • International Journal of Functional Nutrition
      • Information for Authors
      • Editorial Policies
      • Editorial Board
      • Aims and Scope
      • Abstracting and Indexing
      • Bibliographic Information
      • Archive
    • International Journal of Molecular Medicine
      • Information for Authors
      • Editorial Policies
      • Editorial Board
      • Aims and Scope
      • Abstracting and Indexing
      • Bibliographic Information
      • Archive
    • International Journal of Oncology
      • Information for Authors
      • Editorial Policies
      • Editorial Board
      • Aims and Scope
      • Abstracting and Indexing
      • Bibliographic Information
      • Archive
    • Medicine International
      • Information for Authors
      • Editorial Policies
      • Editorial Board
      • Aims and Scope
      • Abstracting and Indexing
      • Bibliographic Information
      • Archive
    • Molecular and Clinical Oncology
      • Information for Authors
      • Editorial Policies
      • Editorial Board
      • Aims and Scope
      • Abstracting and Indexing
      • Bibliographic Information
      • Archive
    • Molecular Medicine Reports
      • Information for Authors
      • Editorial Policies
      • Editorial Board
      • Aims and Scope
      • Abstracting and Indexing
      • Bibliographic Information
      • Archive
    • Oncology Letters
      • Information for Authors
      • Editorial Policies
      • Editorial Board
      • Aims and Scope
      • Abstracting and Indexing
      • Bibliographic Information
      • Archive
    • Oncology Reports
      • Information for Authors
      • Editorial Policies
      • Editorial Board
      • Aims and Scope
      • Abstracting and Indexing
      • Bibliographic Information
      • Archive
    • World Academy of Sciences Journal
      • Information for Authors
      • Editorial Policies
      • Editorial Board
      • Aims and Scope
      • Abstracting and Indexing
      • Bibliographic Information
      • Archive
  • Articles
  • Information
    • For Authors
    • For Reviewers
    • For Librarians
    • For Advertisers
    • Conferences
  • Language Editing
Login Register Submit
  • This site uses cookies
  • You can change your cookie settings at any time by following the instructions in our Cookie Policy. To find out more, you may read our Privacy Policy.

    I agree
Search articles by DOI, keyword, author or affiliation
Search
Advanced Search
presentation
Experimental and Therapeutic Medicine
Join Editorial Board Propose a Special Issue
Print ISSN: 1792-0981 Online ISSN: 1792-1015
Journal Cover
June-2016 Volume 11 Issue 6

Full Size Image

Sign up for eToc alerts
Recommend to Library

Journals

International Journal of Molecular Medicine

International Journal of Molecular Medicine

International Journal of Molecular Medicine is an international journal devoted to molecular mechanisms of human disease.

International Journal of Oncology

International Journal of Oncology

International Journal of Oncology is an international journal devoted to oncology research and cancer treatment.

Molecular Medicine Reports

Molecular Medicine Reports

Covers molecular medicine topics such as pharmacology, pathology, genetics, neuroscience, infectious diseases, molecular cardiology, and molecular surgery.

Oncology Reports

Oncology Reports

Oncology Reports is an international journal devoted to fundamental and applied research in Oncology.

Experimental and Therapeutic Medicine

Experimental and Therapeutic Medicine

Experimental and Therapeutic Medicine is an international journal devoted to laboratory and clinical medicine.

Oncology Letters

Oncology Letters

Oncology Letters is an international journal devoted to Experimental and Clinical Oncology.

Biomedical Reports

Biomedical Reports

Explores a wide range of biological and medical fields, including pharmacology, genetics, microbiology, neuroscience, and molecular cardiology.

Molecular and Clinical Oncology

Molecular and Clinical Oncology

International journal addressing all aspects of oncology research, from tumorigenesis and oncogenes to chemotherapy and metastasis.

World Academy of Sciences Journal

World Academy of Sciences Journal

Multidisciplinary open-access journal spanning biochemistry, genetics, neuroscience, environmental health, and synthetic biology.

International Journal of Functional Nutrition

International Journal of Functional Nutrition

Open-access journal combining biochemistry, pharmacology, immunology, and genetics to advance health through functional nutrition.

International Journal of Epigenetics

International Journal of Epigenetics

Publishes open-access research on using epigenetics to advance understanding and treatment of human disease.

Medicine International

Medicine International

An International Open Access Journal Devoted to General Medicine.

Journal Cover
June-2016 Volume 11 Issue 6

Full Size Image

Sign up for eToc alerts
Recommend to Library

  • Article
  • Citations
    • Cite This Article
    • Download Citation
    • Create Citation Alert
    • Remove Citation Alert
    • Cited By
  • Similar Articles
    • Related Articles (in Spandidos Publications)
    • Similar Articles (Google Scholar)
    • Similar Articles (PubMed)
  • Download PDF
  • Download XML
  • View XML
Case Report

Acute tuberculous myopericarditis mimicking acute myocardial infarction: A case report and literature review

  • Authors:
    • Manyi Ren
    • Chunsheng Zhang
    • Xiaojuan Zhang
    • Jingquan Zhong
  • View Affiliations / Copyright

    Affiliations: Department of Cardiology, Shandong Provincial Qianfoshan Hospital, Shandong University, Jinan, Shandong 250014, P.R. China, Department of Cardiology, Shandong Provincial Chest Hospital, Jinan, Shandong 250013, P.R. China, Key Laboratory of Cardiovascular Remodeling and Function Research, Chinese Ministry of Education and Chinese Ministry of Health, Qilu Hospital of Shandong University, Jinan, Shandong 250012, P.R. China
  • Pages: 2373-2378
    |
    Published online on: March 24, 2016
       https://doi.org/10.3892/etm.2016.3187
  • Expand metrics +
Metrics: Total Views: 0 (Spandidos Publications: | PMC Statistics: )
Metrics: Total PDF Downloads: 0 (Spandidos Publications: | PMC Statistics: )
Cited By (CrossRef): 0 citations Loading Articles...

This article is mentioned in:



Abstract

A number of cases of acute myopericarditis mimicking acute myocardial infarction (AMI) have previously been reported in the literature. However, to the best of our knowledge, such a case resulting from Mycobacterium tuberculosis infection has not previously been described. The present study reports the case of a 21‑year‑old male patient presenting with acute chest pain, in whom focal ST‑segment elevation and elevated cardiac enzymes mimicked a diagnosis of AMI. However, acute tuberculous myopericarditis was diagnosed on the basis of a variety of imaging examinations, laboratory tests, as well as the changes observed in electrocardiograms (ECGs) and in the cardiac enzyme levels. The case highlights the importance of a detailed collection of medical history, comprehensive explanations of serial ECGs, thoracic computed tomography, echocardiogram and coronary angiography in the diagnosis and differentiation of acute tuberculous myopericarditis mimicking AMI.

Introduction

Mycobacterium tuberculosis (M. tuberculosis) is a small, rod-shaped, aerobic, non-spore-forming bacillus and the causative agent of the majority of cases of tuberculosis (1). Humans are the only known reservoirs of M. tuberculosis (1). The most frequently used diagnostic methods for tuberculosis include the tuberculin skin test, acid-fast stain and chest radiographs (1). M. tuberculosis infections may result in myocarditis (2), pericarditis (3) and myopericarditis (4). An anatomical predilection for the right-side mediastinal lymph nodes has been described in cardiac tuberculosis, such that the right side of the heart is the most vulnerable area of the myocardium owing to the potential for contiguous spread (5).

Myopericarditis is primarily a ‘pericarditic syndrome’ in which acute pericarditis is often accompanied by a certain degree of myocarditis (6). The incidence of myopericarditis was 14.6% in a clinical series of 274 consecutive cases of acute pericarditis (7). Its typical symptoms include fever, fatigue, pleuritic chest pain, a decreased exercise capacity, and palpitations secondary to cardiac arrhythmias (6). In addition, patients with acute myopericarditis may present with chest pain, focal ST-segment elevation and significant elevation of cardiac enzyme levels, thus mimicking acute myocardial infarction (AMI) (6,8). Therefore, the differentiation of acute myopericarditis from AMI is of great importance due to differences in the complications, treatment strategies and prognoses between the two conditions. A large number of studies have investigated the differentiation between acute myopericarditis and AMI since 2008 (6,8–18). However, to the best of our knowledge, acute myopericarditis resulting from M. tuberculosis infection and simulating AMI has not previously been reported. The present study reports the case of a 21-year-old male patient with acute tuberculous myopericarditis in whom focal ST-segment elevation and elevated cardiac enzymes were detected and mimicked AMI.

Case report

A 21-year-old male patient presented at the Emergency Department of Shandong Provincial Chest Hospital (Jinan, China) in April 2014 with a sharp and nonradiating substernal chest pain lasting for 30 min. The pain increased with inspiration and upon lying in supine position, while it decreased significantly by leaning forward. No rash, palpitation, dyspnea, nausea, vomiting and diarrhea were reported. The patient smoked 10 cigarettes daily for the last 4 years. In addition, the patient had experienced fever, coughing, expectoration and night sweats 2 weeks prior to admission, and had been treated with antibiotics on the basis of a presumptive diagnosis of upper respiratory tract infection at a local clinic. However, the symptoms did not subside significantly. No history of hyperlipidemia, hypertension, diabetes and cocaine abuse, or family history of premature coronary artery diseases was reported.

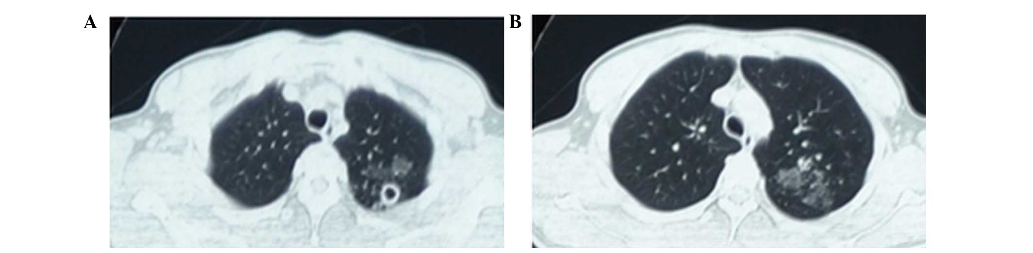
Upon presentation, the patient's vital signs were normal: Body temperature, 37.2°C; heart rate, 72 beats/min; respiratory rate, 17 breaths/min; blood pressure, 115/70 mm Hg; and oxygen saturation in room air, 99%. However, auscultation revealed crackles in the left upper lung fields. The patient's heart rate was regular and heart sounds were normal, with no murmurs, clicks, gallops or rubs. Thoracic computed tomography (CT) was performed using a GE LightSpeed VCT 64 slice CT scanner (GE Healthcare Bio-Sciences, Pittsburgh, PA, USA) and detected small round thick-walled cavities in the apex of the left lung and multiple patchy ground-glass opacities in the left upper lobe of lung (Fig. 1).

Figure 1.

Findings of thoracic computed tomography scanning in April 2014. (A) Small round thick-walled cavities were observed in the apex of the left lung and (B) multiple patchy ground-glass opacities were detected in the left upper lobe of the lung.

A preliminary diagnosis of inferolateral myocardial infarction was presumed on the basis of an abnormal electrocardiogram (ECG; FX-8322; Beijing Fukuda Denshi Medical Instruments Co., Ltd., Beijing, China) performed at the Emergency Department. Subsequent to sublingual treatment with 0.5 mg nitroglycerin (Shandong Xinyi Pharmaceutical Co., Ltd., Dezhou, China), the patient was transferred to the Coronary Care Unit (CCU) of the Shandong Provincial Chest Hospital with relief of chest pain within 20 min following admission. The initial ECG revealed a 1–4-mm ST-segment elevation with coved upward pattern in the inferior leads (II, III and AVF) and lateral precordial leads (V5 and V6), as well as a 0.5-mm PR segment depression in lead II (Fig. 2A). The second ECG performed in the CCU when the patient was not presenting chest pain showed tall positive T waves in leads V2-V6 (Fig. 2B). The patient was found to have a history of exposure to M. tuberculosis upon more detailed investigation.

Figure 2.

(A) Initial ECG revealed a 1–4-mm ST-segment elevation with coved upward pattern in the inferior leads (II, III and AVF) and lateral precordial leads (V5 and V6), as well as a 0.5-mm PR segment depression in lead II. (B) The second ECG without chest pain in the coronary care unit showed tall positive T waves in leads V2-V6. ECG, electrocardiogram.

Laboratory evaluation revealed that the erythrocyte sedimentation rate (ESR) was 50 mm/h (normal range, 0–15 mm/h), the levels of C-reactive protein (CRP) were 37.2 mg/l (normal range, 0–8.0 mg/l), and the cardiac enzyme levels were significantly elevated, with cardiac troponin I (cTnI) at 1.32 µg/l (normal level, <0.01 µg/l) and creatine kinase-MB (CKMB) fraction at 26.3 ng/ml (normal level, <5.1 ng/ml). Other laboratory values were found to be normal. A transthoracic echocardiogram showed slight global hypokinesis with left ventricular ejection fraction of 55% (normal range, 50–70%).

All the aforementioned findings favored the diagnosis of acute myopericarditis and pulmonary tuberculosis. Therefore, the patient was administered indomethacin (50 mg, thrice daily for 10 days; Shanxi Yunpeng Pharmaceutical Co., Ltd., Linfen, China), imidapril (2.5 mg, once daily for 1 month; Tianjin Tianbian Pharmaceutical Co., Ltd., Tianjin, China) and metoprolol (6.25 mg, twice daily for 1 month; AstraZeneca, Wuxi, China), along with antituberculosis therapy, including isoniazid (300 mg, once daily), rifampicin (450 mg, once daily), pyrazinamide (750 mg, twice daily) and ethambutol (750 mg, once daily; all Shanghai Sine Pharmaceutical Co., Ltd., Shanghai, China) for 2 months, followed by isoniazid (300 mg, once daily) and rifampicin (450 mg, once daily) for a further 10 months.

Approximately 14 h after admission, the patient experienced a sudden relapse of squeezing chest pain. A repeat ECG revealed 3–6-mm ST-segment elevation with coved upward pattern in leads II, III, AVF and V4-V6 (Fig. 3A). The patient received 50 mg indomethacin orally and 3 mg morphine (Shenyang First Pharmaceutical Factory, Shenyang, China) intravenously. The chest pain subsided within 5 min and did not recur. On the following day, a coronary angiography (CAG; GE Innova 2000; GE Healthcare Bio-sciences) revealed normal coronary anatomy and no ischemia or occlusions. Additionally, sputum acid-fast staining was highly positive.

Figure 3.

(A) An electrocardiogram revealed 3–6-mm ST-segment elevation with coved upward pattern in leads II, III, AVF, and V4-V6 at ~14 h after admission. (B) The elevated ST-segment resolved increasingly and the T waves begin to invert in the inferolateral leads with tall and prominent positive T waves in leads V1-V3 in May 2014.

Serum cTnI and CKMB levels rose to a maximum of 2.95 µg/l and 65.19 ng/ml, respectively, within 26 h after admission, and returned simultaneously to the normal levels at day 11. The tuberculin skin test (Chengdu Institute of Biological Products Co., Ltd., Chengdu, China) with a 22-mm diameter induration was strongly positive at day 4, and the patient's temperature fluctuated between 35.8°C and 38.4°C for 6 days and normalized after day 7 of admission. Sputum culture yielded M. tuberculosis after 20 days of incubation and was sensitive to all antituberculous agents, while no pathogens were isolated in blood cultures.

During the subsequent 3-week hospitalization period, the symptoms of the patient subsided gradually. The elevated ST-segment was gradually resolved, and the T waves began to invert in the inferolateral leads with tall and prominent positive T waves in leads V1-V3 in May 2014 (Fig. 3B). The CRP level and ESR returned to normal, and the echocardiogram was normalized, with an ejection fraction of 66%. A sputum smear was negative for acid-fast bacilli. Furthermore, serum viral titers for Coxsackie virus, adenovirus, Epstein-Barr virus, cytomegalovirus, respiratory syncytial virus, hepatitis A, B and C virus, as well as human immunodeficiency virus (HIV), were all negative. A variety of immunological tests [Euroimmun (Hangzhou) Medical Laboratory Diagnostics Co., Ltd., Hangzhou, China], including assays for rheumatoid factor and anti-nuclear antibodies, such as anti-dsDNA, anti-Sm, anti-ribonucleoprotein, anti-Ro, anti-La, anti-Jo-1 and anti-Scl-70, anti-neutrophil cytoplasmic antibodies and anti-cyclic citrullinated peptide antibody, excluded autoimmune disease.

In May 2014, the patient was discharged approximately 23 days after admission with instructions to take imidapril (2.5 mg, once daily) and metoprolol (6.25 mg, twice daily) for 1 week, as well as antituberculous drugs as mentioned above. In addition, the patient was advised to limit his physical activity for 4 weeks. During the 7-month follow-up period, the patient remained asymptomatic and the ECG was normal. Thoracic CT scans revealed patchy shadows of high density in the left upper lobe of lung (Fig. 4), suggesting a significant improvement over the initial CT prior to antituberculosis therapy. Following the withdrawal of isoniazid and rifampicin in June 2015, the patient recovered well and had normal CT lung images. Written informed consent was obtained from the patient for the publication of this study.

Figure 4.

Findings of thoracic computed tomography (CT) scanning in October 2014. (A and B) Patchy shadows of high density were observed in the left upper lobe of the lung, suggesting a significant improvement when compared with the initial CT scans prior to antituberculosis therapy.

Discussion

In clinical practice, pericarditis and myocarditis coexist since they share common etiologic agents. However, these two conditions are rarely of equivalent intensity, resulting in clinical syndromes that are mainly ‘pericarditic’ or ‘myocarditic’. Myopericarditis indicates a primarily pericarditic syndrome with minor degrees of myocardial involvement, whereas the term perimyocarditis suggests a mainly myocarditic syndrome (6).

The most common cause of myopericarditis is viral infection, followed by bacterial infection. Among bacterial causes, tuberculosis is possibly the most important cause worldwide due to the high number of cases in developing countries, particularly in the setting of HIV coinfection (19,20). Tuberculous pericarditis caused by M. tuberculosis is found in ~1% of all autopsied cases of tuberculosis and in 1–2% of cases with pulmonary tuberculosis (21). In the present case, tubercle bacilli detected in a sputum smear and culture demonstrated indirectly the diagnosis of tuberculous myopericarditis based on the exclusion of viral infection, other bacterial infections and autoimmune disease. Although a previous case of tuberculous myopericarditis has recently been published (4), to the best of our knowledge, the present study reports the first case of acute tuberculous myopericarditis mimicking AMI.

The present study performed a literature search to identify previous reports of acute myopericarditis or perimyocarditis mimicking AMI. The following search terms in ‘Titles and Abstracts’ were used to retrieve relevant articles from Scopus (http://www.scopus.com), MEDLINE (http://www.ncbi.nlm.nih.gov/pubmed) and ScienceDirect (www.sciencedirect.com) databases from inception to December 2014: ‘myopericarditis or perimyocarditis’ and ‘mimicking or simulating or masquerading’ and ‘myocardial infarction or acute coronary syndrome’ and ‘English’. The wildcard term ‘*’ was used to increase the sensitivity of the search strategy. Only the literature denoting myopericarditis or perimyocarditis mimicking AMI were included. A total of 11 cases (9–18) of acute myopericarditis or perimyocarditis mimicking AMI (Table I) were identified by this search, of which there was 1 case with Streptococcus infection, 1 case with Campylobacter jejuni, 1 case with herpes simplex virus II and 1 case with varicella, whereas unclear causes were reported in the remaining cases. All patients in previous cases were males aged 12–26 years old, with the exception of a 58-year-old man. One or more risk factors for coronary artery disease (CAD), included smoking, obesity and dyslipidemia, were found in 3 patients.

Table I.

Reported cases of acute myopericarditis/perimyocarditis mimicking acute myocardial infarction.

Table I.

Reported cases of acute myopericarditis/perimyocarditis mimicking acute myocardial infarction.

CaseYearAge/genderRisk factors for CADOrganismST-segment elevation leadsSymptoms other than chest painTherapyRefs.
  1200825/MSmoking StreptococcusI, AVLVomiting, dyspneaPenicillin9
  2200926/MNoHSV-2All but AVRFeverValacyclovir10
  3200919/MSmoking, obesityC. jejuniAll but AVRDiarrhoeaErythromycin, carvedilol, ramipril11
  4200918/MNoUnclearII, III, AVF, V5, V6FeverIndomethacin12
  5200920/MNoUnclearII, III, AVF, V3-V6Syncope, dyspneaNA13
  6201015/MNoUnclearII, III, AVF, V5, V6FeverNA14
  7201117/MNoVaricellaII, III, AVF, V4-V6FeverIndomethacin, acyclovir, esomeprazole15
  8201358/MDyslipidemiaUnclearII, III, AVF, V5, V6NoNA16
  9201416/MNoUnclearII, III, AVFNoNSAID, carvedilol, enalapril17
10201415/MNoUnclearIII, AVF, V3-V6PalpitationNA17
11201412/MNoUnclearII, III, AVF, V4-V6Nausea, vomiting, chillsNSAID, morphine18
12201421/MSmokingM. tuberculosisII, III, AVF, V5, V6Fever, cough, expectoration, night sweatsIndomethacin, morphine, imidapril, metoprolol, isoniazid, rifampicin pyrazinamide, ethambutolPresent

[i] M, male; CAD, coronary artery disease; HSV-2, Herpes simplex virus II; NA, not available; NSAID, nonsteroidal anti-inflammatory drug.

Myopericarditis can be clinically defined as a definite diagnosis of acute pericarditis and elevation of cardiac markers of injury (cTnI or troponin T, and CKMB fraction), without further focal or diffuse depressed left ventricular function observed on a echocardiogram or cardiac magnetic resonance (CMR) scan (8). In the present study, the patient's symptoms of sharp, positional chest pain and minimal pericardial effusion were suggestive of acute pericarditis. The levels of cTnI and CKMB were markedly elevated, while the left ventricular function was normal. These observations are in accordance with the clinical diagnosis of myopericarditis. However, the focal ST segment elevation in inferolateral leads resulted in difficulties in distinguishing acute myopericarditis from AMI. A typical pattern of ECG evolution includes diffuse ST elevation and PR depression, followed by normalization of the ST and PR segments, and subsequent diffuse T-wave inversions (22). Imazio et al (7) demonstrated that certain findings occurred significantly more frequently in patients with myopericarditis compared with those in acute pericarditis patients, and these findings included: Atypical ECG changes and T-wave inversion prior to ST-segment normalization; and cardiac arrhythmias, including supraventricular or ventricular ectopic beats, as well as nonsustained ventricular tachycardia.

Although a triad of acute chest pain, elevated cardiac enzymes and localized ST-segment elevation in inferolateral leads mimicked AMI, the present patient had a concave upwards morphology of the ST-segment in leads II, III, AVF and V5-V6 and a PR-segment deflection opposite to P-wave polarity in lead II, suggesting a diagnosis of myopericarditis. ST-segment elevations were almost localized in inferolateral leads of the 11 previously-reported cases (Table I). Electrocardiographic abnormalities associated with acute myopericarditis have been previously attributed to changes in repolarization involving the ventricle and atrium, which are due to epicardial inflammation. These repolarization changes consequently affect the morphology of the PR segment, ST segment, and T wave (22).

Differential diagnosis of acute myopericarditis based on the ECG findings included benign early repolarization (BER) and AMI (22). A previous study found that the morphology of ST segment elevation in BER patients is similar to that of acute myopericarditis, presenting an indistinct J point and an initial concave upsloping. Unlike in acute myopericarditis, the ST segment elevation in BER is mainly observed in the precordial leads, with most prominent appearance in the right precordial leads and less commonly in lead V6 (where the ST segment is frequently isoelectric) (23). Furthermore, ST segment elevation is often short term in acute myopericarditis, whereas its short-term resolution is not observed in BER and it may transiently return to the baseline upon exercise. However, differentiating between AMI and acute myopericarditis on an ECG can be challenging. Regarding the ST morphology, the elevation is initially convex in AMI, whereas it is concave in acute myopericarditis. In addition, Q waves may be observed in AMI, however, they are rarely reported in acute myopericarditis ECGs. By contrast, PR segment depression suggests a diagnosis of acute myopericarditis rather than AMI, as indicated by positional chest pain (22).

In the present case, a number of evidence favored the diagnosis of myopericarditis, including the young age of the patient, the single risk factor for CAD (smoking 10 cigarettes daily for 4 years), history of pulmonary tuberculous infection, concave upward ST segment elevation, PR segment depression and the absence of regional wall motion abnormalities on an echocardiogram. However, the elevated cardiac enzyme levels and the ST segment elevation in inferolateral leads mimicked a diagnosis of AMI, which was subsequently excluded by CAG examination and echocardiography.

Other imaging examinations for the differentiation between acute myopericarditis and AMI include contrast-enhanced CMR, 64-slice CT coronary angiography and endomyocardial biopsy. In acute myocarditis, CMR shows an abnormal patchy myocardial signal with delayed enhancement suggesting myonecrosis and edema, without presenting in the subendocardial region, which exclude the diagnosis of CAD (24). In acute myopericarditis, similar findings upon the use of CMR further confirm that the subepicardial myocardium is involved and the subendocardial region is spared (13,16,17). Although biopsy is the main technique used for the diagnosis of myocarditis, it may be of limited clinical value in certain cases, particularly in myopericarditis, where pericardial involvement is prevalent. In the 11 identified cases of acute myopericarditis mimicking AMI (9–18), endomyocardial biopsy of the right ventricle was only performed in 1 case, and the results demonstrated a number of the expected histological features of myocarditis, including endomyocardial fibrosis, myocytolytic changes and interstitial edema (14).

The management of acute myopericarditis is primarily aimed at the pathogen, pericarditis and myocarditis, with the exception of the recommendation of rest and avoiding of physical activity for 4–6 weeks (6). Therapy for the pathogen involves the use of antiviral drugs, antibiotics or antituberculosis medications (6). In the absence of significant myocardial failure, the management of myopericarditis is similar with that in acute pericarditis, with nonsteroidal anti-inflammatory drugs (NSAIDs) being the commonly administered therapy (6). Ibuprofen may be the preferred NSAID since side effects are rare, and it has a favorable impact on coronary artery blood flow and a large dose range (25). Other medications lacking evidence-based data in myopericarditis include corticosteroid, colchicine and intravenous immunoglobulin (6). In acute myopericarditis with decreased left ventricular ejection fraction, treatment includes myocardial protection and inhibition of cardiac remodeling. In the present case, the prescribed therapeutic measures, including rest, indomethacin, imidapril, metoprolol and antituberculosis agents, were completely performed and the patient recovered well.

In conclusion, the current study reported for the first time a case of acute tuberculous myopericarditis mimicking AMI in a 21-year-old male patient. The case highlights the importance of a detailed collection of medical history, comprehensive explanations of serial ECGs, thoracic CT scan, echocardiogram and CAG in the diagnosis and differentiation of acute tuberculous myopericarditis mimicking AMI.

Acknowledgements

The present study was sponsored by grants from the Natural Science Foundation of China (no. 81270238) and the Scientific Research Foundation for the Doctoral Degree, State Education Ministry of China (no. 20100131110059), and was supported by the Scientific Development Plan of Shandong Province of China (no. 2012G0021850).

References

1 

Goldman L and Schafer AI: Tuberculosis. Goldman-Cecil Medicine. 1:(25th). Elsevier Saunders. (Philadelphia, PA). 2030–2037. 2014.

2 

Michira BN, Alkizim FO and Matheka DM: Patterns and clinical manifestations of tuberculous myocarditis: A systematic review of cases. Pan Afr Med J. 21:1182015. View Article : Google Scholar : PubMed/NCBI

3 

Lazaros G and Tousoulis D: Tuberculous Pericarditis: A Complex Puzzle to Put Together. EBioMedicine. 2:1570–1571. 2015. View Article : Google Scholar : PubMed/NCBI

4 

Desai N, Desai S, Chaddha U and Gable B: Tuberculous myopericarditis: A rare presentation in an immunocompetent host. BMJ Case Rep 2013. 2013.

5 

Maeder M, Ammann P, Rickli H and Schoch OD: Fever and night sweats in a 22-year-old man with a mediastinal mass involving the heart. Chest. 124:2006–2009. 2003. View Article : Google Scholar : PubMed/NCBI

6 

Imazio M and Trinchero R: Myopericarditis: Etiology, management and prognosis. Int J Cardiol. 127:17–26. 2008. View Article : Google Scholar : PubMed/NCBI

7 

Imazio M, Cecchi E, Demichelis B, Chinaglia A, Ierna S, Demarie D, Ghisio A, Pomari F, Belli R and Trinchero R: Myopericarditis versus viral or idiopathic acute pericarditis. Heart. 94:498–501. 2008. View Article : Google Scholar : PubMed/NCBI

8 

Imazio M and Cooper LT: Management of myopericarditis. Expert Rev Cardiovasc Ther. 11:193–201. 2013. View Article : Google Scholar : PubMed/NCBI

9 

Khavandi A, Whitaker J, Elkington A, Probert J and Walker PR: Acute streptococcal myopericarditis mimicking myocardial infarction. Am J Emerg Med. 26:638.e1–e2. 2008. View Article : Google Scholar

10 

Tian W, Zhang Z, Bai X, Zeng D and Qi G: Acute myopericarditis masquerading as acute myocardial infarction. J Nanjing Med Uni. 22:130–133. 2008. View Article : Google Scholar

11 

Lai T, Yadav R and Schrale R: Mimicking myocardial infarction: Localized ST-segment elevation in Campylobacter jejuni myopericarditis. Intern Med J. 39:422–423. 2009. View Article : Google Scholar : PubMed/NCBI

12 

Omar HR, Fathy A, Rashad R and Elghonemy M: Acute perimyocarditis mimicking transmural myocardial infarction. Int Arch Med. 2:372009. View Article : Google Scholar : PubMed/NCBI

13 

Poh KK, Chan EH, Chia BL and Chai P: Acute perimyocarditis masquerading as acute coronary syndrome with spontaneous resolution of increased left ventricular wall thickness. Ann Acad Med Singapore. 38:278–279. 2009.PubMed/NCBI

14 

Nisbet BC and Breyer M: Acute myopericarditis with focal ECG findings mimicking acute myocardial infarction. J Emerg Med. 39:e153–e158. 2010. View Article : Google Scholar : PubMed/NCBI

15 

De A, Myridakis D, Kerrigan M and Kiblawi F: Varicella myopericarditis mimicking myocardial infarction in a 17-year-old boy. Tex Heart Inst J. 38:288–290. 2011.PubMed/NCBI

16 

Bolognesi M and Bolognesi D: Acute coronary syndrome vs. myopericarditis-not always a straightforward diagnosis. Am J Case Rep. 14:221–225. 2013. View Article : Google Scholar : PubMed/NCBI

17 

Gupta SK and Naheed Z: Chest pain in two athletic male adolescents mimicking myocardial infarction. Pediatr Emerg Care. 30:493–495. 2014. View Article : Google Scholar : PubMed/NCBI

18 

Sharma J, Fernandes N, Alvarez D and Khanna S: Acute myopericarditis in an adolescent mimicking acute myocardial infarction. Pediatr Emerg Care. 31:427–430. 2015. View Article : Google Scholar : PubMed/NCBI

19 

Mayosi BM: Contemporary trends in the epidemiology and management of cardiomyopathy and pericarditis in sub-Saharan Africa. Heart. 93:1176–1183. 2007. View Article : Google Scholar : PubMed/NCBI

20 

Krauss MR, Harris DR, Abreu T, Ferreira FG, Ruz NP, Worrell C and Hazra R: NISDI Pediatric Study Group: Tuberculosis in HIV-infected infants, children and adolescents in Latin America. Braz J Infect Dis. 19:23–29. 2015. View Article : Google Scholar : PubMed/NCBI

21 

Fowler NO: Tuberculous pericarditis. JAMA. 266:99–103. 1991. View Article : Google Scholar : PubMed/NCBI

22 

Chan TC, Brady WJ and Pollack M: Electrocardiographic manifestations: Acute myopericarditis. J Emerg Med. 17:865–872. 1999. View Article : Google Scholar : PubMed/NCBI

23 

Shabetai R: Acute pericarditis. Cardiol Clin. 8:639–644. 1990.PubMed/NCBI

24 

Kern J, Modi R, Atalay MK and Kochilas LK: Clinical myocarditis masquerading as acute coronary syndrome. J Pediatr. 154:612–615. 2009. View Article : Google Scholar : PubMed/NCBI

25 

Maisch B, Seferović PM, Ristić AD, Erbel R, Rienmüller R, Adler Y, Tomkowski WZ, Thiene G and Yacoub MH: Task Force on the Diagnosis and Management of Pricardial Diseases of the European Society of Cardiology: Guidelines on the diagnosis and management of pericardial diseases executive summary; The Task force on the diagnosis and management of pericardial diseases of the European Society of Cardiology. Eur Heart J. 25:587–610. 2004. View Article : Google Scholar : PubMed/NCBI

Related Articles

  • Abstract
  • View
  • Download
  • Twitter
Copy and paste a formatted citation
Spandidos Publications style
Ren M, Zhang C, Zhang X and Zhong J: Acute tuberculous myopericarditis mimicking acute myocardial infarction: A case report and literature review. Exp Ther Med 11: 2373-2378, 2016.
APA
Ren, M., Zhang, C., Zhang, X., & Zhong, J. (2016). Acute tuberculous myopericarditis mimicking acute myocardial infarction: A case report and literature review. Experimental and Therapeutic Medicine, 11, 2373-2378. https://doi.org/10.3892/etm.2016.3187
MLA
Ren, M., Zhang, C., Zhang, X., Zhong, J."Acute tuberculous myopericarditis mimicking acute myocardial infarction: A case report and literature review". Experimental and Therapeutic Medicine 11.6 (2016): 2373-2378.
Chicago
Ren, M., Zhang, C., Zhang, X., Zhong, J."Acute tuberculous myopericarditis mimicking acute myocardial infarction: A case report and literature review". Experimental and Therapeutic Medicine 11, no. 6 (2016): 2373-2378. https://doi.org/10.3892/etm.2016.3187
Copy and paste a formatted citation
x
Spandidos Publications style
Ren M, Zhang C, Zhang X and Zhong J: Acute tuberculous myopericarditis mimicking acute myocardial infarction: A case report and literature review. Exp Ther Med 11: 2373-2378, 2016.
APA
Ren, M., Zhang, C., Zhang, X., & Zhong, J. (2016). Acute tuberculous myopericarditis mimicking acute myocardial infarction: A case report and literature review. Experimental and Therapeutic Medicine, 11, 2373-2378. https://doi.org/10.3892/etm.2016.3187
MLA
Ren, M., Zhang, C., Zhang, X., Zhong, J."Acute tuberculous myopericarditis mimicking acute myocardial infarction: A case report and literature review". Experimental and Therapeutic Medicine 11.6 (2016): 2373-2378.
Chicago
Ren, M., Zhang, C., Zhang, X., Zhong, J."Acute tuberculous myopericarditis mimicking acute myocardial infarction: A case report and literature review". Experimental and Therapeutic Medicine 11, no. 6 (2016): 2373-2378. https://doi.org/10.3892/etm.2016.3187
Follow us
  • Twitter
  • LinkedIn
  • Facebook
About
  • Spandidos Publications
  • Careers
  • Cookie Policy
  • Privacy Policy
How can we help?
  • Help
  • Live Chat
  • Contact
  • Email to our Support Team