Spandidos Publications Logo
  • About
    • About Spandidos
    • Aims and Scopes
    • Abstracting and Indexing
    • Editorial Policies
    • Reprints and Permissions
    • Job Opportunities
    • Terms and Conditions
    • Contact
  • Journals
    • All Journals
    • Oncology Letters
      • Oncology Letters
      • Information for Authors
      • Editorial Policies
      • Editorial Board
      • Aims and Scope
      • Abstracting and Indexing
      • Bibliographic Information
      • Archive
    • International Journal of Oncology
      • International Journal of Oncology
      • Information for Authors
      • Editorial Policies
      • Editorial Board
      • Aims and Scope
      • Abstracting and Indexing
      • Bibliographic Information
      • Archive
    • Molecular and Clinical Oncology
      • Molecular and Clinical Oncology
      • Information for Authors
      • Editorial Policies
      • Editorial Board
      • Aims and Scope
      • Abstracting and Indexing
      • Bibliographic Information
      • Archive
    • Experimental and Therapeutic Medicine
      • Experimental and Therapeutic Medicine
      • Information for Authors
      • Editorial Policies
      • Editorial Board
      • Aims and Scope
      • Abstracting and Indexing
      • Bibliographic Information
      • Archive
    • International Journal of Molecular Medicine
      • International Journal of Molecular Medicine
      • Information for Authors
      • Editorial Policies
      • Editorial Board
      • Aims and Scope
      • Abstracting and Indexing
      • Bibliographic Information
      • Archive
    • Biomedical Reports
      • Biomedical Reports
      • Information for Authors
      • Editorial Policies
      • Editorial Board
      • Aims and Scope
      • Abstracting and Indexing
      • Bibliographic Information
      • Archive
    • Oncology Reports
      • Oncology Reports
      • Information for Authors
      • Editorial Policies
      • Editorial Board
      • Aims and Scope
      • Abstracting and Indexing
      • Bibliographic Information
      • Archive
    • Molecular Medicine Reports
      • Molecular Medicine Reports
      • Information for Authors
      • Editorial Policies
      • Editorial Board
      • Aims and Scope
      • Abstracting and Indexing
      • Bibliographic Information
      • Archive
    • World Academy of Sciences Journal
      • World Academy of Sciences Journal
      • Information for Authors
      • Editorial Policies
      • Editorial Board
      • Aims and Scope
      • Abstracting and Indexing
      • Bibliographic Information
      • Archive
    • International Journal of Functional Nutrition
      • International Journal of Functional Nutrition
      • Information for Authors
      • Editorial Policies
      • Editorial Board
      • Aims and Scope
      • Abstracting and Indexing
      • Bibliographic Information
      • Archive
    • International Journal of Epigenetics
      • International Journal of Epigenetics
      • Information for Authors
      • Editorial Policies
      • Editorial Board
      • Aims and Scope
      • Abstracting and Indexing
      • Bibliographic Information
      • Archive
    • Medicine International
      • Medicine International
      • Information for Authors
      • Editorial Policies
      • Editorial Board
      • Aims and Scope
      • Abstracting and Indexing
      • Bibliographic Information
      • Archive
  • Articles
  • Information
    • Information for Authors
    • Information for Reviewers
    • Information for Librarians
    • Information for Advertisers
    • Conferences
  • Language Editing
Spandidos Publications Logo
  • About
    • About Spandidos
    • Aims and Scopes
    • Abstracting and Indexing
    • Editorial Policies
    • Reprints and Permissions
    • Job Opportunities
    • Terms and Conditions
    • Contact
  • Journals
    • All Journals
    • Biomedical Reports
      • Information for Authors
      • Editorial Policies
      • Editorial Board
      • Aims and Scope
      • Abstracting and Indexing
      • Bibliographic Information
      • Archive
    • Experimental and Therapeutic Medicine
      • Information for Authors
      • Editorial Policies
      • Editorial Board
      • Aims and Scope
      • Abstracting and Indexing
      • Bibliographic Information
      • Archive
    • International Journal of Epigenetics
      • Information for Authors
      • Editorial Policies
      • Editorial Board
      • Aims and Scope
      • Abstracting and Indexing
      • Bibliographic Information
      • Archive
    • International Journal of Functional Nutrition
      • Information for Authors
      • Editorial Policies
      • Editorial Board
      • Aims and Scope
      • Abstracting and Indexing
      • Bibliographic Information
      • Archive
    • International Journal of Molecular Medicine
      • Information for Authors
      • Editorial Policies
      • Editorial Board
      • Aims and Scope
      • Abstracting and Indexing
      • Bibliographic Information
      • Archive
    • International Journal of Oncology
      • Information for Authors
      • Editorial Policies
      • Editorial Board
      • Aims and Scope
      • Abstracting and Indexing
      • Bibliographic Information
      • Archive
    • Medicine International
      • Information for Authors
      • Editorial Policies
      • Editorial Board
      • Aims and Scope
      • Abstracting and Indexing
      • Bibliographic Information
      • Archive
    • Molecular and Clinical Oncology
      • Information for Authors
      • Editorial Policies
      • Editorial Board
      • Aims and Scope
      • Abstracting and Indexing
      • Bibliographic Information
      • Archive
    • Molecular Medicine Reports
      • Information for Authors
      • Editorial Policies
      • Editorial Board
      • Aims and Scope
      • Abstracting and Indexing
      • Bibliographic Information
      • Archive
    • Oncology Letters
      • Information for Authors
      • Editorial Policies
      • Editorial Board
      • Aims and Scope
      • Abstracting and Indexing
      • Bibliographic Information
      • Archive
    • Oncology Reports
      • Information for Authors
      • Editorial Policies
      • Editorial Board
      • Aims and Scope
      • Abstracting and Indexing
      • Bibliographic Information
      • Archive
    • World Academy of Sciences Journal
      • Information for Authors
      • Editorial Policies
      • Editorial Board
      • Aims and Scope
      • Abstracting and Indexing
      • Bibliographic Information
      • Archive
  • Articles
  • Information
    • For Authors
    • For Reviewers
    • For Librarians
    • For Advertisers
    • Conferences
  • Language Editing
Login Register Submit
  • This site uses cookies
  • You can change your cookie settings at any time by following the instructions in our Cookie Policy. To find out more, you may read our Privacy Policy.

    I agree
Search articles by DOI, keyword, author or affiliation
Search
Advanced Search
presentation
Experimental and Therapeutic Medicine
Join Editorial Board Propose a Special Issue
Print ISSN: 1792-0981 Online ISSN: 1792-1015
Journal Cover
June-2016 Volume 11 Issue 6

Full Size Image

Sign up for eToc alerts
Recommend to Library

Journals

International Journal of Molecular Medicine

International Journal of Molecular Medicine

International Journal of Molecular Medicine is an international journal devoted to molecular mechanisms of human disease.

International Journal of Oncology

International Journal of Oncology

International Journal of Oncology is an international journal devoted to oncology research and cancer treatment.

Molecular Medicine Reports

Molecular Medicine Reports

Covers molecular medicine topics such as pharmacology, pathology, genetics, neuroscience, infectious diseases, molecular cardiology, and molecular surgery.

Oncology Reports

Oncology Reports

Oncology Reports is an international journal devoted to fundamental and applied research in Oncology.

Experimental and Therapeutic Medicine

Experimental and Therapeutic Medicine

Experimental and Therapeutic Medicine is an international journal devoted to laboratory and clinical medicine.

Oncology Letters

Oncology Letters

Oncology Letters is an international journal devoted to Experimental and Clinical Oncology.

Biomedical Reports

Biomedical Reports

Explores a wide range of biological and medical fields, including pharmacology, genetics, microbiology, neuroscience, and molecular cardiology.

Molecular and Clinical Oncology

Molecular and Clinical Oncology

International journal addressing all aspects of oncology research, from tumorigenesis and oncogenes to chemotherapy and metastasis.

World Academy of Sciences Journal

World Academy of Sciences Journal

Multidisciplinary open-access journal spanning biochemistry, genetics, neuroscience, environmental health, and synthetic biology.

International Journal of Functional Nutrition

International Journal of Functional Nutrition

Open-access journal combining biochemistry, pharmacology, immunology, and genetics to advance health through functional nutrition.

International Journal of Epigenetics

International Journal of Epigenetics

Publishes open-access research on using epigenetics to advance understanding and treatment of human disease.

Medicine International

Medicine International

An International Open Access Journal Devoted to General Medicine.

Journal Cover
June-2016 Volume 11 Issue 6

Full Size Image

Sign up for eToc alerts
Recommend to Library

  • Article
  • Citations
    • Cite This Article
    • Download Citation
    • Create Citation Alert
    • Remove Citation Alert
    • Cited By
  • Similar Articles
    • Related Articles (in Spandidos Publications)
    • Similar Articles (Google Scholar)
    • Similar Articles (PubMed)
  • Download PDF
  • Download XML
  • View XML
Article Open Access

Chronic restraint stress reduces carbon tetrachloride‑induced liver fibrosis

  • Authors:
    • Meng Li
    • Quan Sun
    • Shengli Li
    • Yanan Zhai
    • Jingjing Wang
    • Baian Chen
    • Jing Lu
  • View Affiliations / Copyright

    Affiliations: Department of Laboratory Animal Science, School of Basic Medical Science, Capital Medical University, Beijing 100069, P.R. China
    Copyright: © Li et al. This is an open access article distributed under the terms of Creative Commons Attribution License.
  • Pages: 2147-2152
    |
    Published online on: March 30, 2016
       https://doi.org/10.3892/etm.2016.3205
  • Expand metrics +
Metrics: Total Views: 0 (Spandidos Publications: | PMC Statistics: )
Metrics: Total PDF Downloads: 0 (Spandidos Publications: | PMC Statistics: )
Cited By (CrossRef): 0 citations Loading Articles...

This article is mentioned in:



Abstract

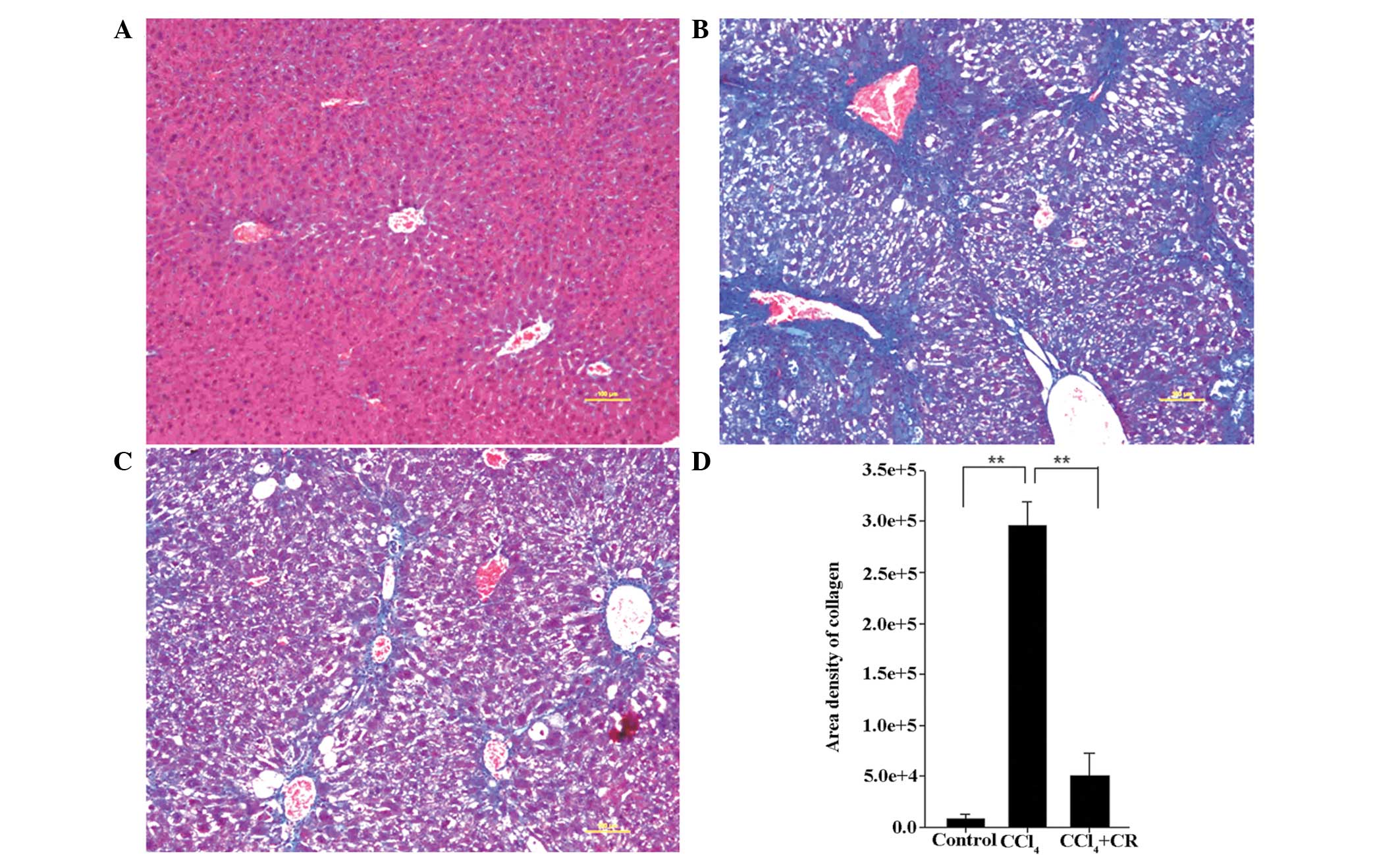
Stress as a cofactor has been reported to affect the progression and severity of liver diseases. The present study investigated the effect of chronic restraint stress on carbon tetrachloride (CCl4)‑induced liver fibrosis. A total of 30 male BALB/c mice were randomly divided into three groups: Oil‑treated control group; CCl4‑treated group; and CCl4 + restraint‑treated group. CCl4 was administrated via intraperitoneal injection once every 3 days over a period of 42 days. In the CCl4 + restraint‑treated group, mice were immobilized using 50 ml centrifuge tubes for 0.5 h to inflict chronic restraint stress immediately after the injection of CCl4. On day 42, blood and liver tissue samples were collected for analysis. The effect of restraint on CCl4‑induced liver fibrosis in mice was evaluated by analyzing the serum levels of alanine aminotransferase (ALT) and aspartate aminotransferase (AST). Histopathological examination of liver samples was performed using hematoxylin and eosin (HE), Masson's trichrome, 5‑hydroxytryptamine 2B (5‑HT2B) receptor and α‑smooth muscle actin (α‑SMA) immumohistochemical staining. ALT, AST, 5‑HT2B receptor and α‑SMA expression levels were significantly increased in mice exposed to CCl4 in comparison with those in the oil‑treated control mice (P<0.01). However, these increases were significantly reduced by exposure to restraint (P<0.05). HE and Masson's trichrome staining revealed that restraint can alleviate CCl4‑induced liver fibrosis. These results suggest that chronic restraint stress reduces the development of liver fibrosis by inhibiting the activation of hepatic stellate cells via 5‑HT2B receptor. Therefore, restraint may be a useful therapeutic approach in the management of liver fibrosis.
View Figures

Figure 1

Figure 2

Figure 3

Figure 4

Figure 5

View References

1 

Chiba S, Numakawa T, Ninomiya M, Richards MC, Wakabayashi C and Kunugi H: Chronic restraint stress causes anxiety- and depression-like behaviors, downregulates glucocorticoid receptor expression, and attenuates glutamate release induced by brain-derived neurotrophic factor in the prefrontal cortex. Prog Neuropsychopharmacol Biol Psychiatry. 39:112–119. 2012. View Article : Google Scholar : PubMed/NCBI

2 

Hirose S, Hirayama C and Ikemi Y: The influence of emotional stress on the liver blood flow. Kyushu J Med Sci. 12:319–323. 1961.PubMed/NCBI

3 

Tissari AH, Argiolas A, Fadda F, Serra G and Gessa GL: Foot-shock stress accelerates non-striatal dopamine synthesis without activating tyrosine hydroxylase. Naunyn Schmiedebergs Arch Pharmacol. 308:155–157. 1979. View Article : Google Scholar : PubMed/NCBI

4 

Chida Y, Sudo N, Sonoda J, Sogawa H and Kubo C: Electric foot shock stress-induced exacerbation of α-galactosylceramide-triggered apoptosis in mouse liver. Hepatology. 39:1131–1140. 2004. View Article : Google Scholar : PubMed/NCBI

5 

Kim JG, Jung HS, Kim KJ, Min SS and Yoon BJ: Basal blood corticosterone level is correlated with susceptibility to chronic restraint stress in mice. Neurosci Lett. 555:137–142. 2013. View Article : Google Scholar : PubMed/NCBI

6 

Golub MS, Campbell MA, Kaufman FL, Iyer P, Li LH, Donald JM and Morgan JE: Effects of restraint stress in gestation: Implications for rodent developmental toxicology studies. Birth Defects Res B Dev Reprod Toxicol. 71:26–36. 2004. View Article : Google Scholar : PubMed/NCBI

7 

Panuganti SD, Khan FD and Svensson CK: Enhanced xenobiotic-induced hepatotoxicity and Kupffer cell activation by restraint-induced stress. J Pharmacol Exp Ther. 318:26–34. 2006. View Article : Google Scholar : PubMed/NCBI

8 

Ebrahimkhani MR, Oakley F, Murphy LB, Mann J, Moles A, Perugorria MJ, Ellis E, Lakey AF, Burt AD, Douglass A, et al: Stimulating healthy tissue regeneration by targeting the 5-HT2B receptor in chronic liver disease. Nat Med. 17:1668–1673. 2011. View Article : Google Scholar : PubMed/NCBI

9 

Fujiwara K, Ogata I, Ohta Y, Hayashi S, Mishiro S, Takatsuki K, Sato Y, Yamada S, Hirata K, Oka H, et al: Decreased collagen accumulation by a prolyl hydroxylase inhibitor in pig serum-induced fibrotic rat liver. Hepatology. 8:804–807. 1988. View Article : Google Scholar : PubMed/NCBI

10 

Feliu J, Mel JR, Camps C, Escudero P, Aparicio J, Menéndez D, García Girón C, Rodriguez MR, Sánchez JJ and González Barón M: Oncopaz Cooperative Group Associated Hospitals: Raltitrexed in the treatment of elderly patients with advanced colorectal cancer: an active and low toxicity regimen. Eur J Cancer. 38:1204–1211. 2002. View Article : Google Scholar : PubMed/NCBI

11 

Segerstrom SC and Miller GE: Psychological stress and the human immune system: A meta-analytic study of 30 years of inquiry. Psychol Bull. 130:601–630. 2004. View Article : Google Scholar : PubMed/NCBI

12 

Steingrub JS: Pregnancy-associated severe liver dysfunction. Critical Care Clinics. 20:763–776. 2004. View Article : Google Scholar : PubMed/NCBI

13 

Chida Y, Sudo N and Kubo C: Does stress exacerbate liver diseases? J Gastroenterol Hepatol. 21:202–208. 2006. View Article : Google Scholar : PubMed/NCBI

14 

Swain MG: Stress and hepatic inflammation. Am J Physiol Gastrointest Liver Physiol. 279:G1135–G1138. 2000.PubMed/NCBI

15 

Gonzalez-Aseguinolaza G, de Oliveira C, Tomaska M, Hong S, Bruna-Romero O, Nakayama T, Taniguchi M, Bendelac A, Van Kaer L, Koezuka Y and Tsuji M: α-Galactosylceramide-activated Vα14 natural killer T cells mediate protection against murine malaria. Proc Natl Acad Sci USA. 97:8461–8466. 2000. View Article : Google Scholar : PubMed/NCBI

16 

Kakimi K, Guidotti LG, Koezuka Y and Chisari FV: Natural killer T cell activation inhibits hepatitis B virus replication in vivo. J Exp Med. 192:921–930. 2000. View Article : Google Scholar : PubMed/NCBI

17 

Ishigami M, Nishimura H, Naiki Y, Yoshioka K, Kawano T, Tanaka Y, Taniguchi M, Kakumu S and Yoshikai Y: The roles of intrahepatic Valpha14(+) NK1.1(+) T cells for liver injury induced by Salmonella infection in mice. Hepatology. 29:1799–1808. 1999. View Article : Google Scholar : PubMed/NCBI

18 

Nuti S, Rosa D, Valiante NM, Saletti G, Caratozzolo M, Dellabona P, Barnaba V and Abrignani S: Dynamics of intra-hepatic lymphocytes in chronic hepatitis C: Enrichment for Valpha24+ T cells and rapid elimination of effector cells by apoptosis. Eur J Immunol. 28:3448–3455. 1998. View Article : Google Scholar : PubMed/NCBI

19 

Chida Y, Sudo N, Motomura Y and Kubo C: Electric foot-shock stress drives TNF-alpha production in the liver of IL-6-deficient mice. Neuroimmunomodulation. 11:419–424. 2004. View Article : Google Scholar : PubMed/NCBI

20 

Fernández G, Mena MP, Arnau A, Sánchez O, Soley M and Ramirez I: Immobilization stress induces c-Fos accumulation in liver. Cell Stress Chaperones. 5:306–312. 2000. View Article : Google Scholar : PubMed/NCBI

21 

Hilakivi-Clarke L and Dickson RB: Stress influence on development of hepatocellular tumors in transgenic mice overexpressing TGF alpha. Acta Oncol. 34:907–912. 1995. View Article : Google Scholar : PubMed/NCBI

22 

Wu W, Yamaura T, Murakami K, Murata J, Matsumoto K, Watanabe H and Saiki I: Social isolation stress enhanced liver metastasis of murine colon 26-L5 carcinoma cells by suppressing immune responses in mice. Life Sci. 66:1827–1838. 2000. View Article : Google Scholar : PubMed/NCBI

23 

Wu W, Murata J, Murakami K, Yamaura T, Hayashi K and Saiki I: Social isolation stress augments angiogenesis induced by colon 26-L5 carcinoma cells in mice. Clin Exp Metastasis. 18:1–10. 2000. View Article : Google Scholar : PubMed/NCBI

24 

Wu W, Yamaura T, Murakami K, Ogasawara M, Hayashi K, Murata J and Saiki I: Involvement of TNF-alpha in enhancement of invasion and metastasis of colon 26-L5 carcinoma cells in mice by social isolation stress. Oncol Res. 11:461–469. 1999.PubMed/NCBI

25 

Charmandari E, Achermann JC, Carel JC, Soder O and Chrousos GP: Stress response and child health. Sci Signal. 5:mr12012. View Article : Google Scholar : PubMed/NCBI

26 

McEwen BS, Biron CA, Brunson KW, Bulloch K, Chambers WH, Dhabhar FS, Goldfarb RH, Kitson RP, Miller AH, Spencer RL and Weiss JM: The role of adrenocorticoids as modulators of immune function in health and disease: Neural, endocrine and immune interactions. Brain Res Brain Res Rev. 23:79–133. 1997. View Article : Google Scholar : PubMed/NCBI

Related Articles

  • Abstract
  • View
  • Download
  • Twitter
Copy and paste a formatted citation
Spandidos Publications style
Li M, Sun Q, Li S, Zhai Y, Wang J, Chen B and Lu J: Chronic restraint stress reduces carbon tetrachloride‑induced liver fibrosis. Exp Ther Med 11: 2147-2152, 2016.
APA
Li, M., Sun, Q., Li, S., Zhai, Y., Wang, J., Chen, B., & Lu, J. (2016). Chronic restraint stress reduces carbon tetrachloride‑induced liver fibrosis. Experimental and Therapeutic Medicine, 11, 2147-2152. https://doi.org/10.3892/etm.2016.3205
MLA
Li, M., Sun, Q., Li, S., Zhai, Y., Wang, J., Chen, B., Lu, J."Chronic restraint stress reduces carbon tetrachloride‑induced liver fibrosis". Experimental and Therapeutic Medicine 11.6 (2016): 2147-2152.
Chicago
Li, M., Sun, Q., Li, S., Zhai, Y., Wang, J., Chen, B., Lu, J."Chronic restraint stress reduces carbon tetrachloride‑induced liver fibrosis". Experimental and Therapeutic Medicine 11, no. 6 (2016): 2147-2152. https://doi.org/10.3892/etm.2016.3205
Copy and paste a formatted citation
x
Spandidos Publications style
Li M, Sun Q, Li S, Zhai Y, Wang J, Chen B and Lu J: Chronic restraint stress reduces carbon tetrachloride‑induced liver fibrosis. Exp Ther Med 11: 2147-2152, 2016.
APA
Li, M., Sun, Q., Li, S., Zhai, Y., Wang, J., Chen, B., & Lu, J. (2016). Chronic restraint stress reduces carbon tetrachloride‑induced liver fibrosis. Experimental and Therapeutic Medicine, 11, 2147-2152. https://doi.org/10.3892/etm.2016.3205
MLA
Li, M., Sun, Q., Li, S., Zhai, Y., Wang, J., Chen, B., Lu, J."Chronic restraint stress reduces carbon tetrachloride‑induced liver fibrosis". Experimental and Therapeutic Medicine 11.6 (2016): 2147-2152.
Chicago
Li, M., Sun, Q., Li, S., Zhai, Y., Wang, J., Chen, B., Lu, J."Chronic restraint stress reduces carbon tetrachloride‑induced liver fibrosis". Experimental and Therapeutic Medicine 11, no. 6 (2016): 2147-2152. https://doi.org/10.3892/etm.2016.3205
Follow us
  • Twitter
  • LinkedIn
  • Facebook
About
  • Spandidos Publications
  • Careers
  • Cookie Policy
  • Privacy Policy
How can we help?
  • Help
  • Live Chat
  • Contact
  • Email to our Support Team