Spandidos Publications Logo
  • About
    • About Spandidos
    • Aims and Scopes
    • Abstracting and Indexing
    • Editorial Policies
    • Reprints and Permissions
    • Job Opportunities
    • Terms and Conditions
    • Contact
  • Journals
    • All Journals
    • Oncology Letters
      • Oncology Letters
      • Information for Authors
      • Editorial Policies
      • Editorial Board
      • Aims and Scope
      • Abstracting and Indexing
      • Bibliographic Information
      • Archive
    • International Journal of Oncology
      • International Journal of Oncology
      • Information for Authors
      • Editorial Policies
      • Editorial Board
      • Aims and Scope
      • Abstracting and Indexing
      • Bibliographic Information
      • Archive
    • Molecular and Clinical Oncology
      • Molecular and Clinical Oncology
      • Information for Authors
      • Editorial Policies
      • Editorial Board
      • Aims and Scope
      • Abstracting and Indexing
      • Bibliographic Information
      • Archive
    • Experimental and Therapeutic Medicine
      • Experimental and Therapeutic Medicine
      • Information for Authors
      • Editorial Policies
      • Editorial Board
      • Aims and Scope
      • Abstracting and Indexing
      • Bibliographic Information
      • Archive
    • International Journal of Molecular Medicine
      • International Journal of Molecular Medicine
      • Information for Authors
      • Editorial Policies
      • Editorial Board
      • Aims and Scope
      • Abstracting and Indexing
      • Bibliographic Information
      • Archive
    • Biomedical Reports
      • Biomedical Reports
      • Information for Authors
      • Editorial Policies
      • Editorial Board
      • Aims and Scope
      • Abstracting and Indexing
      • Bibliographic Information
      • Archive
    • Oncology Reports
      • Oncology Reports
      • Information for Authors
      • Editorial Policies
      • Editorial Board
      • Aims and Scope
      • Abstracting and Indexing
      • Bibliographic Information
      • Archive
    • Molecular Medicine Reports
      • Molecular Medicine Reports
      • Information for Authors
      • Editorial Policies
      • Editorial Board
      • Aims and Scope
      • Abstracting and Indexing
      • Bibliographic Information
      • Archive
    • World Academy of Sciences Journal
      • World Academy of Sciences Journal
      • Information for Authors
      • Editorial Policies
      • Editorial Board
      • Aims and Scope
      • Abstracting and Indexing
      • Bibliographic Information
      • Archive
    • International Journal of Functional Nutrition
      • International Journal of Functional Nutrition
      • Information for Authors
      • Editorial Policies
      • Editorial Board
      • Aims and Scope
      • Abstracting and Indexing
      • Bibliographic Information
      • Archive
    • International Journal of Epigenetics
      • International Journal of Epigenetics
      • Information for Authors
      • Editorial Policies
      • Editorial Board
      • Aims and Scope
      • Abstracting and Indexing
      • Bibliographic Information
      • Archive
    • Medicine International
      • Medicine International
      • Information for Authors
      • Editorial Policies
      • Editorial Board
      • Aims and Scope
      • Abstracting and Indexing
      • Bibliographic Information
      • Archive
  • Articles
  • Information
    • Information for Authors
    • Information for Reviewers
    • Information for Librarians
    • Information for Advertisers
    • Conferences
  • Language Editing
Spandidos Publications Logo
  • About
    • About Spandidos
    • Aims and Scopes
    • Abstracting and Indexing
    • Editorial Policies
    • Reprints and Permissions
    • Job Opportunities
    • Terms and Conditions
    • Contact
  • Journals
    • All Journals
    • Biomedical Reports
      • Information for Authors
      • Editorial Policies
      • Editorial Board
      • Aims and Scope
      • Abstracting and Indexing
      • Bibliographic Information
      • Archive
    • Experimental and Therapeutic Medicine
      • Information for Authors
      • Editorial Policies
      • Editorial Board
      • Aims and Scope
      • Abstracting and Indexing
      • Bibliographic Information
      • Archive
    • International Journal of Epigenetics
      • Information for Authors
      • Editorial Policies
      • Editorial Board
      • Aims and Scope
      • Abstracting and Indexing
      • Bibliographic Information
      • Archive
    • International Journal of Functional Nutrition
      • Information for Authors
      • Editorial Policies
      • Editorial Board
      • Aims and Scope
      • Abstracting and Indexing
      • Bibliographic Information
      • Archive
    • International Journal of Molecular Medicine
      • Information for Authors
      • Editorial Policies
      • Editorial Board
      • Aims and Scope
      • Abstracting and Indexing
      • Bibliographic Information
      • Archive
    • International Journal of Oncology
      • Information for Authors
      • Editorial Policies
      • Editorial Board
      • Aims and Scope
      • Abstracting and Indexing
      • Bibliographic Information
      • Archive
    • Medicine International
      • Information for Authors
      • Editorial Policies
      • Editorial Board
      • Aims and Scope
      • Abstracting and Indexing
      • Bibliographic Information
      • Archive
    • Molecular and Clinical Oncology
      • Information for Authors
      • Editorial Policies
      • Editorial Board
      • Aims and Scope
      • Abstracting and Indexing
      • Bibliographic Information
      • Archive
    • Molecular Medicine Reports
      • Information for Authors
      • Editorial Policies
      • Editorial Board
      • Aims and Scope
      • Abstracting and Indexing
      • Bibliographic Information
      • Archive
    • Oncology Letters
      • Information for Authors
      • Editorial Policies
      • Editorial Board
      • Aims and Scope
      • Abstracting and Indexing
      • Bibliographic Information
      • Archive
    • Oncology Reports
      • Information for Authors
      • Editorial Policies
      • Editorial Board
      • Aims and Scope
      • Abstracting and Indexing
      • Bibliographic Information
      • Archive
    • World Academy of Sciences Journal
      • Information for Authors
      • Editorial Policies
      • Editorial Board
      • Aims and Scope
      • Abstracting and Indexing
      • Bibliographic Information
      • Archive
  • Articles
  • Information
    • For Authors
    • For Reviewers
    • For Librarians
    • For Advertisers
    • Conferences
  • Language Editing
Login Register Submit
  • This site uses cookies
  • You can change your cookie settings at any time by following the instructions in our Cookie Policy. To find out more, you may read our Privacy Policy.

    I agree
Search articles by DOI, keyword, author or affiliation
Search
Advanced Search
presentation
Experimental and Therapeutic Medicine
Join Editorial Board Propose a Special Issue
Print ISSN: 1792-0981 Online ISSN: 1792-1015
Journal Cover
October-2016 Volume 12 Issue 4

Full Size Image

Sign up for eToc alerts
Recommend to Library

Journals

International Journal of Molecular Medicine

International Journal of Molecular Medicine

International Journal of Molecular Medicine is an international journal devoted to molecular mechanisms of human disease.

International Journal of Oncology

International Journal of Oncology

International Journal of Oncology is an international journal devoted to oncology research and cancer treatment.

Molecular Medicine Reports

Molecular Medicine Reports

Covers molecular medicine topics such as pharmacology, pathology, genetics, neuroscience, infectious diseases, molecular cardiology, and molecular surgery.

Oncology Reports

Oncology Reports

Oncology Reports is an international journal devoted to fundamental and applied research in Oncology.

Experimental and Therapeutic Medicine

Experimental and Therapeutic Medicine

Experimental and Therapeutic Medicine is an international journal devoted to laboratory and clinical medicine.

Oncology Letters

Oncology Letters

Oncology Letters is an international journal devoted to Experimental and Clinical Oncology.

Biomedical Reports

Biomedical Reports

Explores a wide range of biological and medical fields, including pharmacology, genetics, microbiology, neuroscience, and molecular cardiology.

Molecular and Clinical Oncology

Molecular and Clinical Oncology

International journal addressing all aspects of oncology research, from tumorigenesis and oncogenes to chemotherapy and metastasis.

World Academy of Sciences Journal

World Academy of Sciences Journal

Multidisciplinary open-access journal spanning biochemistry, genetics, neuroscience, environmental health, and synthetic biology.

International Journal of Functional Nutrition

International Journal of Functional Nutrition

Open-access journal combining biochemistry, pharmacology, immunology, and genetics to advance health through functional nutrition.

International Journal of Epigenetics

International Journal of Epigenetics

Publishes open-access research on using epigenetics to advance understanding and treatment of human disease.

Medicine International

Medicine International

An International Open Access Journal Devoted to General Medicine.

Journal Cover
October-2016 Volume 12 Issue 4

Full Size Image

Sign up for eToc alerts
Recommend to Library

  • Article
  • Citations
    • Cite This Article
    • Download Citation
    • Create Citation Alert
    • Remove Citation Alert
    • Cited By
  • Similar Articles
    • Related Articles (in Spandidos Publications)
    • Similar Articles (Google Scholar)
    • Similar Articles (PubMed)
  • Download PDF
  • Download XML
  • View XML
Article Open Access

Rare case of disseminated fusariosis in a young patient with graft vs. host disease following an allogeneic transplant

  • Authors:
    • Alina Tanase
    • Anca Colita
    • Gabriel Ianosi
    • Daniela Neagoe
    • Daciana Elena Branisteanu
    • Daniela Calina
    • Anca Oana Docea
    • Aristidis Tsatsakis
    • Simona Laura Ianosi
  • View Affiliations / Copyright

    Affiliations: Bone Marrow Transplant Center, Fundeni Clinical Institute, 022328 Bucharest, Romania, Department of Surgery, University of Medicine and Pharmacy of Craiova, 200349 Craiova, Romania, Department of Internal Medicine, University of Medicine and Pharmacy of Craiova, 200349 Craiova, Romania, Department of Dermatology, University of Medicine and Pharmacy ‘Gr. T. Popa’, 700115 Iasi, Romania, Clinical Pharmacy, University of Medicine and Pharmacy of Craiova, 200349 Craiova, Romania, Toxicology, University of Medicine and Pharmacy of Craiova, 200349 Craiova, Romania, Laboratory of Toxicology, Medical School, University of Crete, Voutes, Heraklion 71409, Greece, Department of Dermatology, University of Medicine and Pharmacy of Craiova, 200349 Craiova, Romania
    Copyright: © Tanase et al. This is an open access article distributed under the terms of Creative Commons Attribution License.
  • Pages: 2078-2082
    |
    Published online on: August 1, 2016
       https://doi.org/10.3892/etm.2016.3562
  • Expand metrics +
Metrics: Total Views: 0 (Spandidos Publications: | PMC Statistics: )
Metrics: Total PDF Downloads: 0 (Spandidos Publications: | PMC Statistics: )
Cited By (CrossRef): 0 citations Loading Articles...

This article is mentioned in:



Abstract

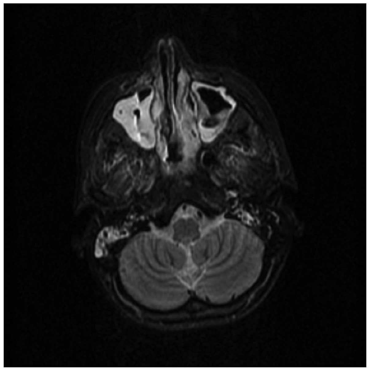
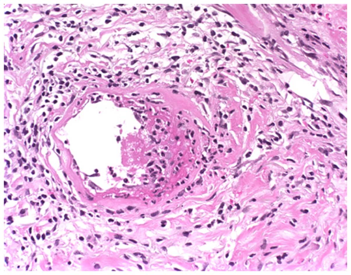
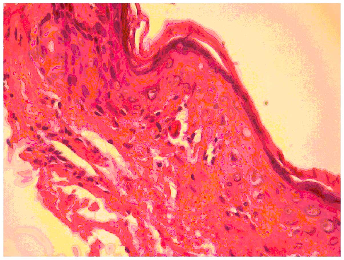
Fusarium infection is a severe fungal infection caused by fungi of the genus Fusarium. It most commonly occurs in immunocompromised patients with malignant hematological comorbidities or secondary to hematopoietic stem cell transplant. The classical route of contamination is through inhalation but infection may also occur through contiguity with a skin lesion. This report describes the case of a 24-year-old woman who developed graft‑vs.‑host disease (GVHD) at 220 days after receiving an allogeneic stem cell transplant from a sibling donor for Hodgkin disease. On day 330 after transplant the patient presented with fever and several painful subcutaneous, tender, red nodules with ulcerative and necrotic features on the pelvic region and right leg, extensive glass infiltrative lesions in the lungs and pansinusitis; however, the patient did not have onychomycosis. Following skin biopsy, culture of cutaneous lesions, computed tomography (CT) scanning of the lungs and CT scanning and magnetic resonance imaging of facial sinuses the patient was diagnosed with disseminated Fusarium species infection. Despite intensive treatment with voriconazole, the patient succumbed with respiratory insufficiency on day 400 after transplant. This case is noteworthy because the patient did not have any additional risk associated with the allogeneic transplant; there was no transplant mismatch, no severe neutropenia and no prior clinical signs of onychomycosis. The association of skin lesions with GVHD lesions increased the initial immunosuppression and delayed diagnosis.
View Figures

Figure 1

Figure 2

Figure 3

Figure 4

Figure 5

Figure 6

Figure 7

Figure 8

View References

1 

Nucci M, Marr KA, QueirozTelles F, Martins CA, Trabasso P, Costa S, Voltarelli JC, Colombo AL, Imhof A, Pasquini R, et al: Fusarium infection in hematopoietic stem cell transplant recipients. Clin Infect Dis. 38:1237–1242. 2004. View Article : Google Scholar : PubMed/NCBI

2 

Marr KA, Carter RA, Crippa F, Wald A and Corey L: Epidemiology and outcome of mould infections in hematopoietic stem cell transplant recipients. Clin Infect Dis. 34:909–917. 2002. View Article : Google Scholar : PubMed/NCBI

3 

Galimberti R, Torre AC, Baztán MC and Rodriguez-Chiappetta F: Emerging systemic fungal infections. Clin Dermatol. 30:633–650. 2012. View Article : Google Scholar : PubMed/NCBI

4 

Campo M, Lewis RE and Kontoyiannis DP: Invasive fusariosis in patients with hematologic malignancies at a cancer center: 1998-2009. J Infect. 60:331–337. 2010. View Article : Google Scholar : PubMed/NCBI

5 

Stanzani M, Tumietto F, Vianelli N and Baccarani M: Update on the treatment of disseminated fusariosis: Focus on voriconazole. Ther Clin Risk Manag. 3:1165–1173. 2007.PubMed/NCBI

6 

Filipovich AH, Weisdorf D, Pavletic S, Socie G, Wingard JR, Lee SJ, Martin P, Chien J, Przepiorka D, Couriel D, et al: National Institutes of Health consensus development project on criteria for clinical trials in chronic graft-versus-host disease: I. Diagnosis and staging working group report. Biol Blood Marrow Transplant. 11:945–956. 2005. View Article : Google Scholar : PubMed/NCBI

7 

Girmenia C, Pagano L, Corvatta L, Mele L, del Favero A and Martino P: The epidemiology of fusariosis in patients with haematological diseases. Gimema Infection Programme. Br J Haematol. 111:272–276. 2000. View Article : Google Scholar : PubMed/NCBI

8 

Minor RL Jr, Pfaller MA, Gingrich RD and Burns LJ: Disseminated Fusarium infections in patients following bone marrow transplantation. Bone Marrow Transplant. 4:653–658. 1989.PubMed/NCBI

9 

Jain A, Jain S and Rawat S: Emerging fungal infections among children: A review on its clinical manifestations, diagnosis, and prevention. J Pharm Bioallied Sci. 2:314–320. 2010. View Article : Google Scholar : PubMed/NCBI

10 

Clemons KV, Calich VL, Burger E, Filler SG, Grazziutti M, Murphy J, Roilides E, Campa A, Dias MR, Edwards JE Jr, et al: Pathogenesis I: Interactions of host cells and fungi. Med Mycol. 38(Suppl 1): S99–S111. 2000. View Article : Google Scholar

11 

Kontoyiannis DP, Bodey GP, Hanna H, Hachem R, Boktour M, Girgaway E, Mardani M and Raad II: Outcome determinants of fusariosis in a tertiary care cancer center: The impact of neutrophil recovery. Leuk Lymphoma. 45:139–141. 2004. View Article : Google Scholar : PubMed/NCBI

12 

Nucci M, Anaissie EJ, QueirozTelles F, Martins CA, Trabasso P, Solza C, Mangini C, Simões BP, Colombo AL, Vaz J, et al: Outcome predictors of 84 patients with hematologic malignancies and Fusarium infection. Cancer. 98:315–319. 2003. View Article : Google Scholar : PubMed/NCBI

13 

Short DP, O'Donnell K, Zhang N, Juba JH and Geiser DM: Widespread occurrence of diverse human pathogenic types of the fungus Fusarium detected in plumbing drains. J Clin Microbiol. 49:4264–4272. 2011. View Article : Google Scholar : PubMed/NCBI

14 

Pitt JI: Toxigenic fungi: Which are important? Med Mycol. 38(Suppl 1): S17–S22. 2000. View Article : Google Scholar

15 

Perfect JR: The impact of the host on fungal infections. Am J Med. 125(Suppl): S39–S51. 2012. View Article : Google Scholar : PubMed/NCBI

16 

Muhammed M, Coleman JJ, Carneiro HA and Mylonakis E: The challenge of managing fusariosis. Virulence. 2:91–96. 2011. View Article : Google Scholar : PubMed/NCBI

17 

DePauw B, Walsh TJ, Donnelly JP, Stevens DA, Edwards JE, Calandra T, Pappas PG, Maertens J, Lortholary O, Kauffman CA, et al: European Organization for Research and Treatment of Cancer/Invasive Fungal Infections Cooperative Group; National Institute of Allergy and Infectious Diseases Mycoses Study Group (EORTC/MSG) Consensus Group: Revised definitions of invasive fungal disease from the European Organization for Research and Treatment of Cancer/Invasive Fungal Infections Cooperative group and the National Institute of Allergy and Infectious Diseases Mycoses Study Group (EORTC/MSG) Consensus Group. Clin Infect Dis. 46:1813–1821. 2008. View Article : Google Scholar : PubMed/NCBI

18 

Hayden RT, Isotalo PA, Parrett T, Wolk DM, Qian X, Roberts GD and Lloyd RV: In situ hybridization for the differentiation of Aspergillus, Fusarium, and Pseudallescheria species in tissue section. Diagn Mo Pathol. 12:21–26. 2003. View Article : Google Scholar

19 

Leal SM Jr, Vareechon C, Cowden S, Cobb BA, Latgé JP, Momany M and Pearlman E: Fungal antioxidant pathways promote survival against neutrophils during infection. J Clin Invest. 122:2482–2498. 2012. View Article : Google Scholar : PubMed/NCBI

20 

Walsh TJ, Francesconi A, Kasai M and Chanock SJ: PCR and single-strand conformational polymorphism for recognition of medically important opportunistic fungi. J Clin Microbiol. 33:3216–3220. 1995.PubMed/NCBI

21 

Hennequin C, Abachin E, Symoens F, Lavarde V, Reboux G, Nolard N and Berche P: Identification of Fusarium species involved in human infections by 28S rRNA gene sequencing. J Clin Microbiol. 37:3586–3589. 1999.PubMed/NCBI

22 

Pfaller MA, Messer SA, Hollis RJ and Jones RN: SENTRY Participants Group: Antifungal activities of posaconazole, ravuconazole, and voriconazole compared to those of itraconazole and amphotericin B tested against 239 clinical isolates of Aspergillus spp. and other filamentous fungi: Report from the SENTRY antimicrobial surveillance program, 2000. Antimicrob Agents Chemother. 46:1032–1037. 2002. View Article : Google Scholar : PubMed/NCBI

23 

Nucci M and Anaissie E: Cutaneous infection by Fusarium species in healthy and immunocompromised hosts: Implications for diagnosis and management. Clin Infect Dis. 35:909–920. 2002. View Article : Google Scholar : PubMed/NCBI

24 

Bodey GP, Boktour M, Mays S, Duvic M, Kontoyiannis D, Hachem R and Raad I: Skin lesions associated with Fusarium infection. J Am Acad Dermatol. 47:659–666. 2002. View Article : Google Scholar : PubMed/NCBI

25 

Segal BH, Almyroudis NG, Battiwalla M, Herbrecht R, Perfect JR, Walsh TJ and Wingard JR: Prevention and early treatment of invasive fungal infection in patients with cancer and neutropenia and in stem cell transplant recipients in the era of newer broad-spectrum antifungal agents and diagnostics adjuncts. Clin Infect Dis. 44:402–409. 2007. View Article : Google Scholar : PubMed/NCBI

26 

Anaissie EJ, Kuchar RT, Rex JH, Francesconi A, Kasai M, Müller FM, Lozano-Chiu M, Summerbell RC, Dignani MC, Chanock SJ and Walsh TJ: Fusariosis associated with pathogenic Fusarium species colonization of a hospital water system: A new paradigm for the epidemiology of opportunistic mold infections. Clin Infect Dis. 33:1871–1878. 2001. View Article : Google Scholar : PubMed/NCBI

27 

Raad I, Tarrand J, Hanna H, Albitar M, Janssen E, Boktour M, Bodey G, Mardani M, Hachem R, Kontoyiannis D, et al: Epidemiology, molecular mycology, and environmental sources of Fusarium infection in patients with cancer. Infect Control Hosp Epidemiol. 23:532–537. 2002. View Article : Google Scholar : PubMed/NCBI

28 

Dannaoui E, DesnosOllivier M, GarciaHermoso D, Grenouillet F, Cassaing S, Baixench MT, Bretagne S, Dromer F and Lortholary O: French Mycoses Study Group: Candida spp. with acquired echinocandin resistance, France, 2004-2010. Emerg Infect Dis. 18:86–90. 2012. View Article : Google Scholar : PubMed/NCBI

29 

Ho DY, Lee JD, Rosso F and Montoya JG: Treating disseminated fusariosis: Amphotericin B, voriconazole or both? Mycoses. 50:227–231. 2007. View Article : Google Scholar : PubMed/NCBI

Related Articles

  • Abstract
  • View
  • Download
  • Twitter
Copy and paste a formatted citation
Spandidos Publications style
Tanase A, Colita A, Ianosi G, Neagoe D, Branisteanu DE, Calina D, Docea AO, Tsatsakis A and Ianosi SL: Rare case of disseminated fusariosis in a young patient with graft vs. host disease following an allogeneic transplant. Exp Ther Med 12: 2078-2082, 2016.
APA
Tanase, A., Colita, A., Ianosi, G., Neagoe, D., Branisteanu, D.E., Calina, D. ... Ianosi, S.L. (2016). Rare case of disseminated fusariosis in a young patient with graft vs. host disease following an allogeneic transplant. Experimental and Therapeutic Medicine, 12, 2078-2082. https://doi.org/10.3892/etm.2016.3562
MLA
Tanase, A., Colita, A., Ianosi, G., Neagoe, D., Branisteanu, D. E., Calina, D., Docea, A. O., Tsatsakis, A., Ianosi, S. L."Rare case of disseminated fusariosis in a young patient with graft vs. host disease following an allogeneic transplant". Experimental and Therapeutic Medicine 12.4 (2016): 2078-2082.
Chicago
Tanase, A., Colita, A., Ianosi, G., Neagoe, D., Branisteanu, D. E., Calina, D., Docea, A. O., Tsatsakis, A., Ianosi, S. L."Rare case of disseminated fusariosis in a young patient with graft vs. host disease following an allogeneic transplant". Experimental and Therapeutic Medicine 12, no. 4 (2016): 2078-2082. https://doi.org/10.3892/etm.2016.3562
Copy and paste a formatted citation
x
Spandidos Publications style
Tanase A, Colita A, Ianosi G, Neagoe D, Branisteanu DE, Calina D, Docea AO, Tsatsakis A and Ianosi SL: Rare case of disseminated fusariosis in a young patient with graft vs. host disease following an allogeneic transplant. Exp Ther Med 12: 2078-2082, 2016.
APA
Tanase, A., Colita, A., Ianosi, G., Neagoe, D., Branisteanu, D.E., Calina, D. ... Ianosi, S.L. (2016). Rare case of disseminated fusariosis in a young patient with graft vs. host disease following an allogeneic transplant. Experimental and Therapeutic Medicine, 12, 2078-2082. https://doi.org/10.3892/etm.2016.3562
MLA
Tanase, A., Colita, A., Ianosi, G., Neagoe, D., Branisteanu, D. E., Calina, D., Docea, A. O., Tsatsakis, A., Ianosi, S. L."Rare case of disseminated fusariosis in a young patient with graft vs. host disease following an allogeneic transplant". Experimental and Therapeutic Medicine 12.4 (2016): 2078-2082.
Chicago
Tanase, A., Colita, A., Ianosi, G., Neagoe, D., Branisteanu, D. E., Calina, D., Docea, A. O., Tsatsakis, A., Ianosi, S. L."Rare case of disseminated fusariosis in a young patient with graft vs. host disease following an allogeneic transplant". Experimental and Therapeutic Medicine 12, no. 4 (2016): 2078-2082. https://doi.org/10.3892/etm.2016.3562
Follow us
  • Twitter
  • LinkedIn
  • Facebook
About
  • Spandidos Publications
  • Careers
  • Cookie Policy
  • Privacy Policy
How can we help?
  • Help
  • Live Chat
  • Contact
  • Email to our Support Team