Spandidos Publications Logo
  • About
    • About Spandidos
    • Aims and Scopes
    • Abstracting and Indexing
    • Editorial Policies
    • Reprints and Permissions
    • Job Opportunities
    • Terms and Conditions
    • Contact
  • Journals
    • All Journals
    • Oncology Letters
      • Oncology Letters
      • Information for Authors
      • Editorial Policies
      • Editorial Board
      • Aims and Scope
      • Abstracting and Indexing
      • Bibliographic Information
      • Archive
    • International Journal of Oncology
      • International Journal of Oncology
      • Information for Authors
      • Editorial Policies
      • Editorial Board
      • Aims and Scope
      • Abstracting and Indexing
      • Bibliographic Information
      • Archive
    • Molecular and Clinical Oncology
      • Molecular and Clinical Oncology
      • Information for Authors
      • Editorial Policies
      • Editorial Board
      • Aims and Scope
      • Abstracting and Indexing
      • Bibliographic Information
      • Archive
    • Experimental and Therapeutic Medicine
      • Experimental and Therapeutic Medicine
      • Information for Authors
      • Editorial Policies
      • Editorial Board
      • Aims and Scope
      • Abstracting and Indexing
      • Bibliographic Information
      • Archive
    • International Journal of Molecular Medicine
      • International Journal of Molecular Medicine
      • Information for Authors
      • Editorial Policies
      • Editorial Board
      • Aims and Scope
      • Abstracting and Indexing
      • Bibliographic Information
      • Archive
    • Biomedical Reports
      • Biomedical Reports
      • Information for Authors
      • Editorial Policies
      • Editorial Board
      • Aims and Scope
      • Abstracting and Indexing
      • Bibliographic Information
      • Archive
    • Oncology Reports
      • Oncology Reports
      • Information for Authors
      • Editorial Policies
      • Editorial Board
      • Aims and Scope
      • Abstracting and Indexing
      • Bibliographic Information
      • Archive
    • Molecular Medicine Reports
      • Molecular Medicine Reports
      • Information for Authors
      • Editorial Policies
      • Editorial Board
      • Aims and Scope
      • Abstracting and Indexing
      • Bibliographic Information
      • Archive
    • World Academy of Sciences Journal
      • World Academy of Sciences Journal
      • Information for Authors
      • Editorial Policies
      • Editorial Board
      • Aims and Scope
      • Abstracting and Indexing
      • Bibliographic Information
      • Archive
    • International Journal of Functional Nutrition
      • International Journal of Functional Nutrition
      • Information for Authors
      • Editorial Policies
      • Editorial Board
      • Aims and Scope
      • Abstracting and Indexing
      • Bibliographic Information
      • Archive
    • International Journal of Epigenetics
      • International Journal of Epigenetics
      • Information for Authors
      • Editorial Policies
      • Editorial Board
      • Aims and Scope
      • Abstracting and Indexing
      • Bibliographic Information
      • Archive
    • Medicine International
      • Medicine International
      • Information for Authors
      • Editorial Policies
      • Editorial Board
      • Aims and Scope
      • Abstracting and Indexing
      • Bibliographic Information
      • Archive
  • Articles
  • Information
    • Information for Authors
    • Information for Reviewers
    • Information for Librarians
    • Information for Advertisers
    • Conferences
  • Language Editing
Spandidos Publications Logo
  • About
    • About Spandidos
    • Aims and Scopes
    • Abstracting and Indexing
    • Editorial Policies
    • Reprints and Permissions
    • Job Opportunities
    • Terms and Conditions
    • Contact
  • Journals
    • All Journals
    • Biomedical Reports
      • Information for Authors
      • Editorial Policies
      • Editorial Board
      • Aims and Scope
      • Abstracting and Indexing
      • Bibliographic Information
      • Archive
    • Experimental and Therapeutic Medicine
      • Information for Authors
      • Editorial Policies
      • Editorial Board
      • Aims and Scope
      • Abstracting and Indexing
      • Bibliographic Information
      • Archive
    • International Journal of Epigenetics
      • Information for Authors
      • Editorial Policies
      • Editorial Board
      • Aims and Scope
      • Abstracting and Indexing
      • Bibliographic Information
      • Archive
    • International Journal of Functional Nutrition
      • Information for Authors
      • Editorial Policies
      • Editorial Board
      • Aims and Scope
      • Abstracting and Indexing
      • Bibliographic Information
      • Archive
    • International Journal of Molecular Medicine
      • Information for Authors
      • Editorial Policies
      • Editorial Board
      • Aims and Scope
      • Abstracting and Indexing
      • Bibliographic Information
      • Archive
    • International Journal of Oncology
      • Information for Authors
      • Editorial Policies
      • Editorial Board
      • Aims and Scope
      • Abstracting and Indexing
      • Bibliographic Information
      • Archive
    • Medicine International
      • Information for Authors
      • Editorial Policies
      • Editorial Board
      • Aims and Scope
      • Abstracting and Indexing
      • Bibliographic Information
      • Archive
    • Molecular and Clinical Oncology
      • Information for Authors
      • Editorial Policies
      • Editorial Board
      • Aims and Scope
      • Abstracting and Indexing
      • Bibliographic Information
      • Archive
    • Molecular Medicine Reports
      • Information for Authors
      • Editorial Policies
      • Editorial Board
      • Aims and Scope
      • Abstracting and Indexing
      • Bibliographic Information
      • Archive
    • Oncology Letters
      • Information for Authors
      • Editorial Policies
      • Editorial Board
      • Aims and Scope
      • Abstracting and Indexing
      • Bibliographic Information
      • Archive
    • Oncology Reports
      • Information for Authors
      • Editorial Policies
      • Editorial Board
      • Aims and Scope
      • Abstracting and Indexing
      • Bibliographic Information
      • Archive
    • World Academy of Sciences Journal
      • Information for Authors
      • Editorial Policies
      • Editorial Board
      • Aims and Scope
      • Abstracting and Indexing
      • Bibliographic Information
      • Archive
  • Articles
  • Information
    • For Authors
    • For Reviewers
    • For Librarians
    • For Advertisers
    • Conferences
  • Language Editing
Login Register Submit
  • This site uses cookies
  • You can change your cookie settings at any time by following the instructions in our Cookie Policy. To find out more, you may read our Privacy Policy.

    I agree
Search articles by DOI, keyword, author or affiliation
Search
Advanced Search
presentation
Experimental and Therapeutic Medicine
Join Editorial Board Propose a Special Issue
Print ISSN: 1792-0981 Online ISSN: 1792-1015
Journal Cover
November-2016 Volume 12 Issue 5

Full Size Image

Sign up for eToc alerts
Recommend to Library

Journals

International Journal of Molecular Medicine

International Journal of Molecular Medicine

International Journal of Molecular Medicine is an international journal devoted to molecular mechanisms of human disease.

International Journal of Oncology

International Journal of Oncology

International Journal of Oncology is an international journal devoted to oncology research and cancer treatment.

Molecular Medicine Reports

Molecular Medicine Reports

Covers molecular medicine topics such as pharmacology, pathology, genetics, neuroscience, infectious diseases, molecular cardiology, and molecular surgery.

Oncology Reports

Oncology Reports

Oncology Reports is an international journal devoted to fundamental and applied research in Oncology.

Experimental and Therapeutic Medicine

Experimental and Therapeutic Medicine

Experimental and Therapeutic Medicine is an international journal devoted to laboratory and clinical medicine.

Oncology Letters

Oncology Letters

Oncology Letters is an international journal devoted to Experimental and Clinical Oncology.

Biomedical Reports

Biomedical Reports

Explores a wide range of biological and medical fields, including pharmacology, genetics, microbiology, neuroscience, and molecular cardiology.

Molecular and Clinical Oncology

Molecular and Clinical Oncology

International journal addressing all aspects of oncology research, from tumorigenesis and oncogenes to chemotherapy and metastasis.

World Academy of Sciences Journal

World Academy of Sciences Journal

Multidisciplinary open-access journal spanning biochemistry, genetics, neuroscience, environmental health, and synthetic biology.

International Journal of Functional Nutrition

International Journal of Functional Nutrition

Open-access journal combining biochemistry, pharmacology, immunology, and genetics to advance health through functional nutrition.

International Journal of Epigenetics

International Journal of Epigenetics

Publishes open-access research on using epigenetics to advance understanding and treatment of human disease.

Medicine International

Medicine International

An International Open Access Journal Devoted to General Medicine.

Journal Cover
November-2016 Volume 12 Issue 5

Full Size Image

Sign up for eToc alerts
Recommend to Library

  • Article
  • Citations
    • Cite This Article
    • Download Citation
    • Create Citation Alert
    • Remove Citation Alert
    • Cited By
  • Similar Articles
    • Related Articles (in Spandidos Publications)
    • Similar Articles (Google Scholar)
    • Similar Articles (PubMed)
  • Download PDF
  • Download XML
  • View XML
Article Open Access

Increased apoptosis rate of human decidual cells and cytotrophoblasts in patients with recurrent spontaneous abortion as a result of abnormal expression of CDKN1A and Bax

  • Authors:
    • Xiaomei Lv
    • Zhenhong Cai
    • Su Li
  • View Affiliations / Copyright

    Affiliations: Department of Obstetrics and Gynecology, Jinan Central Hospital Affiliated to Shandong University, Jinan, Shangdong 250014, P.R. China
    Copyright: © Lv et al. This is an open access article distributed under the terms of Creative Commons Attribution License.
  • Pages: 2865-2868
    |
    Published online on: September 9, 2016
       https://doi.org/10.3892/etm.2016.3692
  • Expand metrics +
Metrics: Total Views: 0 (Spandidos Publications: | PMC Statistics: )
Metrics: Total PDF Downloads: 0 (Spandidos Publications: | PMC Statistics: )
Cited By (CrossRef): 0 citations Loading Articles...

This article is mentioned in:



Abstract

In the present study, we analyzed the proliferation and apoptosis of trophoblasts and human decidual cells in patients with recurrent spontaneous abortion and the related cellular pathway mechanism. Thirty-four patients with recurrent abortion and 30 healthy pregnant women undergoing planned artificial abortion were selected. The trophoblast and decidual cells were collected by negative pressure aspiration technique. TUNEL method was used to detect the apoptosis rate. Immunohistochemical method was used for detection of TP53 protein. Quantitative real-time PCR was used for detection of the relative expression level of CDKN1A and Bax mRNA. It was found that the cell apoptosis rate in the recurrent miscarriage group was significantly increased and the expression levels of TP53 protein, CDKN1A and Bax mRNA were also significantly increased (p<0.05). In conclusion, the trophoblast and decidual cells of patients with recurrent abortion were obviously apoptotic, which was probably related to abnormal expression of the CDKN1A and Bax genes mediated by TP53 protein through cellular pathways.

Introduction

The incidence of recurrent abortion is approximately 10–15% among all pregnancies. The rate of recurrent pregnancy loss can be as high as 50%, and recurrent spontaneous abortion brings serious injury and distress to the pregnant woman and her family (1). There are a number reasons for the medical condition including genetic defects, reproductive system abnormalities, endocrine disorders, immune disorders, infection, thrombosis and environmental factors (2). In the clinic, the cause of pregnancy loss is unable to be determined in more than 55% of the patients, which makes treatment difficulty (3). The mechanism of recurrent abortion is considered to be related to the proliferation and apoptosis of human decidual cells and cytotrophoblasts (4). TP53 protein can induce cell growth arrest, apoptosis, differentiation and DNA repair, and activate or inhibit the expression of downstream genes such as Bax and CDKN1A (5). In the present study, we comparatively analyzed the cell apoptosis and cell signaling pathways of healthy patients and those with recurrent spontaneous abortion, providing a theoretical basis for clinical treatment.

Patients and methods

Patients

A total of 34 cases diagnosed with recurrent spontaneous abortion in our hospital were continuously selected from January 2015 to January 2016. Exclusion criteria included: a) no previous surgery and drug therapy; b) possibility of genetic defects; c) reproductive system abnormalities or endocrine disorders; d) immune system disorders or infections; e) thrombosis and environmental factors with normal function of male reproductive system; and f) semen and no fetal haemolytic disease. The age of patients ranged from 23 to 37 years with a mean age of 26.6±5.2 years. Gestational weeks were 5–16 weeks, with an average of 9.2±3.7 weeks. Thirty healthy pregnant women planning an artificial abortion were chosen as control. The controls had an age range of 20 to 35 years and an average age of 24.3±5.6 years. Gestational age ranged from 4.5 to 12 weeks, and an average age of 8.3±3.9 weeks. The age and gestational weeks of the women were compared between the two groups and the differences were not statistically significant (p>0.05).

Specimen collection

The tissues were obtained through negative pressure aspiration biopsy. Each sample was divided into two parts. One part was frozen and stored in liquid nitrogen at −196°C to prepare for polymerase chain reaction (PCR) experiments. Another part was fixed at room temperature with 10% formalin and embedded with paraffin. The section thickness was 5 µm, and was placed on a glass slide with APES for immunohistochemistry and apoptotic staining.

Apoptosis rate as detected with terminal deoxynucleotidyl-transferase-mediated dUTP nick end labelling (TUNEL) method
Reagents and equipment

DeadEnd™ Fluorometric TUNEL system kit (Promega, Madison, WI, USA), proteinase K (Biotechnology Engineering and Technical Services Co., Shanghai, China), propidium iodide (Sigma-Aldrich, St. Louis, MO, USA), and Slowfade® Gold Antifade reagent (Invitrogen Life Technologies, Carlsbad, CA, USA) were used to determine the apoptotic rate. Inverted fluorescence microscope (Olympus, Tokyo, Japan) was used for imaging.

Procedure

Preprocessing of the tissue sections was performed before paraffin embedding [dewaxing with xylene, graded alcohol and phosphate-buffered saline (PBS) washing]. The tissues were incubated in polyformaldehyde solution at room temperature for 15 min, followed by washing with PBS. The proteinase K solution (20 µg/ml) of 100 µl was added and incubation was carried out at room temperature for 8 min, followed by another PBS washing. The poly-formaldehyde solution was incubated at room temperature for 15 min and then washed with PBS. For apoptosis detection, each sample was covered using 100 µl equilibrium buffer to cover the cells. The nucleoside mixture was thawed at room temperature for 10 min and soaked with bibulous paper. Fifty microliters of rTdT incubation buffer was added to every 5 cm2 area of the cells, followed by covering with a cover glass. The sections were incubated in a humidified chamber to avoid light for incubation at 37°C for 60 min for the tailing reaction. The 20X SSC was diluted with deionized water to 1:10, and added to cover the dye vat. Subsequently, the reaction was stopped by placing at room temperature for 15 min. The PBS was used again to remove the redundant fluorescein-deoxyuridine triphosphate. Two drops of SlowFade® Gold Antifade reagent with DAPI was added to the sample. Finally, transparent nail polish was used for slide mounting.

To assess the staining, green staining of the nucleus was indicative of an apoptotic cell under fluorescence microscopy. Three fields were selected for each sample (100x magnification). Each field was photographed under a fluorescence microscope at 520-nm wavelength (green TUNEL) and at 430-nm wavelength (bluish violet DAPI). Photoshop CS5 was used to merge the two images for the final fluorescence analysis with ImagePro Plus 6.0.

Detection of TP53 protein with immunohistochemistry (IHC)
Reagents and equipment

Mouse anti-human TP53 monoclonal antibody (1:300; Santa Cruz Biotechnology, Inc., Santa Cruz, CA, USA), goat anti-mouse antibody (GBI Labs, Mukilteo, WA, USA) and DAB (ZSGB-BIO, Beijing, China) were used for IHC. Leica RM2245 paraffin slicing machine (Leica, Shanghai, China) was utilized.

Procedure

The procedure for IHC was followed as described elsewhere (6). The positive tissue in the positive control group was used as the control group. The PBS buffer was used instead of the primary antibody in the negative control with other operating procedures unchanged. Each sample was observed by taking images from three horizons at 200x magnification. The images in each field were calculated from the gray value by using ImageJ 1.44 software, and then the average value of three horizons was taken.

Detection of the relative expression of CDKN1A and BAX mRNA as determined by real-time quantitative PCR method
Main reagents and instruments

TRIzol (Invitrogen Life Technologies), reverse transcription kit (Takara, Dalian, China), DNAmarker Marker III, 50-bp ladder, 1-kb ladder, Lamda-HindIII fragment (Fermentas International, Inc., Burlington, ON, Canada), SYBR-Green Mix (Roche, Basel, Switzerland). PTC-220 PCR instrument (MJ Research Inc., Waltham, MA, USA), GIS-1000 Gel imaging system (Shanghai Quanray Electronics Co., Shanghai, China), real-time PCR instrument (Applied Biosystems Life Technologies, Foster City, CA, USA), Model 650–60 fluorescence spectrophotometer (Hitachi, Ltd., Tokyo, Japan), ZF-90 Multifunctional box type UV transilluminators (Gu-cun, Shanghai, CN) and a 96-well culture dish (Applied Biosystems Life Technologies) were used for real-time quantitative PCR method.

Procedure

The conventional TRIzol method was used to extract RNA. The concentration and purity of the RNA were determined by UV spectrophotometer, and cDNA was synthesized with the kit. The primers were designed and synthesized by Takara and were: CDKN1A forward, 5′-GCAGCGGAACAAGGAGT, 3′-GGAGAAACGGGAACCAG; BAX forward, 5′-CCCCCGAGAGGTCTTTTTCC, 3′-TGTCCAGCCCATGATGGTTC; internal reference GAPDH forward, 5′-GGCTACAGCAACAGGGTG, 3′-TTTGGTTGAGCACAGGGT.

The PCR reaction system consists of SYBR® Premix Ex Taq™ [2x (12.5 µl)], primers 10 µM (1 µl), ddH2O (10.5 µl) to make a final volume of 25 µl. The reaction conditions consisted of denaturation at 95°C for 30 sec, 95°C for 3 sec, annealing at 60°C for 30 sec, extension at 84°C for 1 sec for up to 40 cycles. The fluorescence intensity was measured at 84°C to construct the dissolution curve. The relative expression of mRNA was calculated using the 2−∆∆Ct method.

Statistical analysis

SPSS statistical software was used for data input and analysis. The quantitative data are represented as mean ± standard deviation, and t-test was applied for the intergroup comparison. Qualitative data are expressed as number or percentage (%), and the comparison between groups was carried out using the χ2 test. p<0.05 indicates a statistically significant difference.

Results

Comparison of the apoptosis rate

The apoptosis rate in the spontaneous abortion group was significantly increased as compared to the rate noted in the healthy control group (Fig. 1).

Figure 1.

Apoptosis rate as detected by TUNEL method (magnification, 100x). (A) Control group and (B) recurrent abortion group.

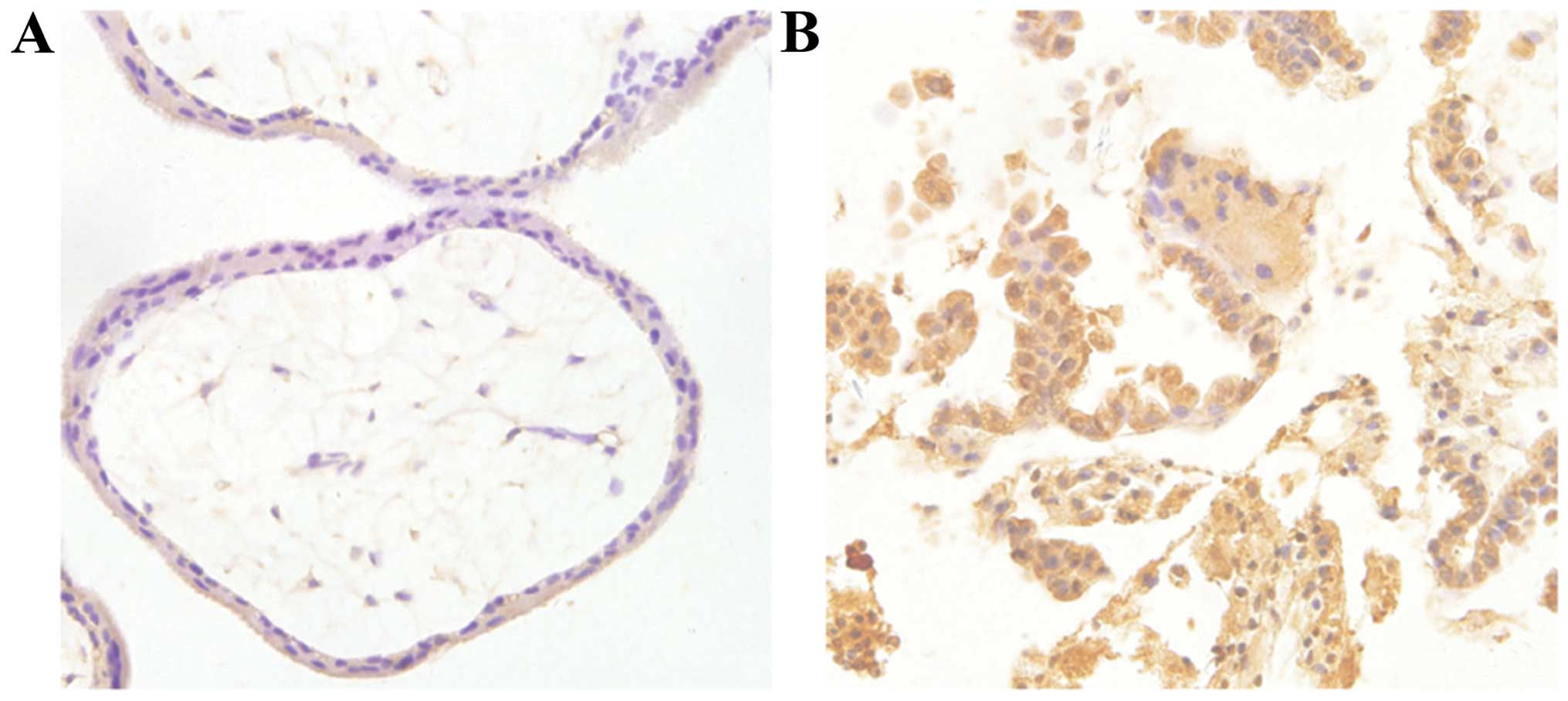
Comparison of TP53 protein expression

TP53 protein was mainly expressed in the nucleus, shown as brown or brownish yellow granules. The TP53 protein expression level in the recurrent abortion group was significantly increased as compared to the expression noted in the healthy control group (Fig. 2).

Figure 2.

Immunohistochemical staining for TP53 protein (magnification, 200x). (A) Control group and (B) recurrent abortion group.

Comparison of the relative expression of CDKN1A and BAX mRNA

The expression levels of CDKN1A and BAX mRNA were significantly upregulated in the recurrent abortion group (p<0.05) as compared with levels in the healthy control group (Table I).

Table I.

Comparison of the relative expression of CDKN1A and BAX mRNA.

Table I.

Comparison of the relative expression of CDKN1A and BAX mRNA.

GroupCDKN1ABAX
Control0.42±0.090.46±0.08
Recurrent abortion0.13±0.050.15±0.06
T7.5287.629
P-value0.0090.006

Discussion

Currently, treatment for recurrent spontaneous abortion includes progesterone and hCG supplementation therapy, immune therapy for blocking antibody-negative patients, antibody therapy, coagulopathy for those with anti-phospholipid antibody syndrome, aspirin and heparin treatment for those with coagulation disorder. The methods are unsatisfactory, and the mechanisms of recurrent spontaneous abortion remain unclear.

The apoptosis and proliferation of placenta villi and decidua during cell normal pregnancy is in a relative state of balance, and the apoptosis rates of decidual cells in women with repeated abortion are significantly higher than those of normal pregnant women. Excessive apoptosis can lead to a series of cellular dysfunction and eventually threaten the entire process of pregnancy (7). During a study of the mechanism of spontaneous abortion in pregnant women exposed to PCBs, it was found that PCBs induced abnormal gC1qR expression resulting in trophoblast cell apoptosis eventually leading to the occurrence of spontaneous abortion (8). The apoptotic phenomena of villus trophoblast cells and decidual cells were noted in both patients with recurrent abortion and those with healthy pregnancy and the apoptosis rate in the recurrent abortion group was significantly higher. The expression levels of TP53, CDKN1A and Bax mRNA were significantly increased. Whether the high expression level of the TP53 protein was caused by the high level of upregulation of the transcription level or TP53 post-transcriptional modification warrants further study. TP53 protein is a typical inhibitor protein of the G1 phase of the cell cycle (9). When cells are damaged, TP53 encodes transcription activated protein that can be quickly assembled in the DNA damaged location, resulting in termination of the cell cycle in the G1 phase and DNA replication. The damaged DNA is then repaired. If the cell repair cannot be completed, the cell tends to undergo apoptosis mediated by TP53 protein (10). When the cells are damaged and cannot complete the TP53-mediated apoptosis, the genetic material of the cell may change and ultimately lead to malignant transformation. The TP53 gene is highly correlated with human tumors (11).

The cell signal transduction pathway mediated by TP53 plays an important role in the regulation of normal cell activities, and cell contact between other signal transduction pathways is very complex. Thus, TP53 is included in the regulation for more than 160 genes (12). CDKN1A protein is the downstream transcription protein of the TP53 gene. The rpL3 gene was found to regulate TP53-CDKN1A so as to block cell cycle and promote cell apoptosis (13). Rabdosia rubescens was found to increase CDKN1A expression and promote autophagy and apoptosis in prostate cancer cells (14). BAX has a pro-apoptotic effect that can directly activate the mitochondrial apoptosis pathway activated by TP53 (15). BCL2 and BAX are two important members of the BCL2 family, and BCL2 is an anti-apoptotic molecule. The Bax expression levels in trophoblast cells, endometrial cells, stroma and decidual cells in patients with early spontaneous abortion were found to be significantly higher than those in women with voluntary terminated pregnancy (16). The expression of Bax in placenta of preeclampsia was also higher than normal term placenta and Bax expression was lower in placenta of patients with diabetes that of the normal term placenta. In addition, melatonin was found to decrease the BCL2 expression level and increase the expression level of Bax in a study of in vitro mouse xenograft melatonin therapy, so as to be therapeutic through apoptosis and necrosis and also to prove the BCL2/Bax balance relationship (17).

In conclusion, the apoptosis rate of human decidual cells and cytotrophoblasts in patients with recurrent abortion was increased, which may be related to the abnormal expression of CDKN1A and BAX genes in the downstream mediated by TP53 protein.

Acknowledgements

The present study was funded by the Shandong Province Outstanding Young Scientist Award Fund BS2014YY058.

References

1 

Saravelos SH, Cocksedge KA and Li TC: The pattern of pregnancy loss in women with congenital uterine anomalies and recurrent miscarriage. Reprod Biomed Online. 20:416–422. 2010. View Article : Google Scholar : PubMed/NCBI

2 

Franssen MT, Musters AM, van der Veen F, Repping S, Leschot NJ, Bossuyt PM, Goddijn M and Korevaar JC: Reproductive outcome after PGD in couples with recurrent miscarriage carrying a structural chromosome abnormality: asystematic review. Hum Reprod Update. 17:467–475. 2011. View Article : Google Scholar : PubMed/NCBI

3 

Mekinian A, Cohen J, Alijotas-Reig J, Carbillon L, Nicaise- Roland P, Kayem G, Daraï E, Fain O and Bornes M: Unexplained recurrent miscarriage and recurrent implantation failure: is there a place for immunomodulation? Am J Reprod Immunol. 5:13–15. 2016.

4 

Cinar O, Kara F and Can A: Potential role of decidual apoptosis in the pathogenesis of miscarriages. Gynecol Endocrinol. 28:382–385. 2012. View Article : Google Scholar : PubMed/NCBI

5 

Tang W, Zhou X, Chan Y, Wu X and Luo Y: p53 codon 72 polymorphism and recurrent pregnancy loss: a meta-analysis. J Assist Reprod Genet. 28:965–969. 2011. View Article : Google Scholar : PubMed/NCBI

6 

McNamee K, Dawood F and Farquharson R: Recurrent miscarriage and thrombophilia: an update. Curr Opin Obstet Gynecol. 24:229–234. 2012. View Article : Google Scholar : PubMed/NCBI

7 

Seyedhassani S Mohammad, Houshmand M, Kalantar S Mehdi, Aflatoonian A, Modabber G, Gorgi F Hashemi and Hadipour Z: BAX pro-apoptotic gene alterations in repeated pregnancy loss. Arch Med Sci. 7:117–122. 2011. View Article : Google Scholar : PubMed/NCBI

8 

Gu PQ, Gao LJ, Li L, Liu Z, Luan FQ, Peng YZ and Guo XR: Endocrine disruptors, polychlorinated biphenyls-induced gC1qR-dependent apoptosis in human trophoblast cell line HTR-8/SVneo. Reprod Sci. 19:181–189. 2012. View Article : Google Scholar : PubMed/NCBI

9 

Kaare M, Bützow R, Ulander VM, Kaaja R, Aittomäki K and Painter JN: Study of p53 gene mutations and placental expression in recurrent miscarriage cases. Reprod Biomed Online. 18:430–435. 2009. View Article : Google Scholar : PubMed/NCBI

10 

Kruse JP and Gu W: Modes of p53 regulation. Cell. 137:609–622. 2009. View Article : Google Scholar : PubMed/NCBI

11 

Carp HJ: Recurrent miscarriage: genetic factors and assessment of the embryo. Isr Med Assoc J. 10:229–231. 2008.PubMed/NCBI

12 

Jacob T, Hingorani A and Ascher E: p53 gene therapy modulates signal transduction in the apoptotic and cell cycle pathways downregulating neointimal hyperplasia. Vasc Endovascular Surg. 46:45–53. 2012. View Article : Google Scholar : PubMed/NCBI

13 

Russo A, Esposito D, Catillo M, Pietropaolo C, Crescenzi E and Russo G: Human rpL3 induces G1/S arrest or apoptosis by modulating p21 (waf1/cip1) levels in a p53-independent manner. Cell Cycle. 12:76–87. 2013. View Article : Google Scholar : PubMed/NCBI

14 

Li X, Li X, Wang J, Ye Z and Li JC: Oridonin up-regulates expression of P21 and induces autophagy and apoptosis in human prostate cancer cells. Int J Biol Sci. 8:901–912. 2012. View Article : Google Scholar : PubMed/NCBI

15 

Cobellis L, De Falco M, Torella M, Trabucco E, Caprio F, Federico E, Manente L, Coppola G, Laforgia V, Cassandro R, et al: Modulation of Bax expression in physiological and pathological human placentas throughout pregnancy. In Vivo. 21:777–783. 2007.PubMed/NCBI

16 

ESHRE Capri Workshop Group, . Genetic aspects of female reproduction. Hum Reprod Update. 14:293–307. 2008. View Article : Google Scholar : PubMed/NCBI

17 

Xu C, Wu A, Zhu H, Fang H, Xu L, Ye J and Shen J: Melatonin is involved in the apoptosis and necrosis of pancreatic cancer cell line SW-1990 via modulating of Bcl-2/Bax balance. Biomed Pharmacother. 67:133–139. 2013. View Article : Google Scholar : PubMed/NCBI

Related Articles

  • Abstract
  • View
  • Download
  • Twitter
Copy and paste a formatted citation
Spandidos Publications style
Lv X, Cai Z and Li S: Increased apoptosis rate of human decidual cells and cytotrophoblasts in patients with recurrent spontaneous abortion as a result of abnormal expression of CDKN1A and Bax. Exp Ther Med 12: 2865-2868, 2016.
APA
Lv, X., Cai, Z., & Li, S. (2016). Increased apoptosis rate of human decidual cells and cytotrophoblasts in patients with recurrent spontaneous abortion as a result of abnormal expression of CDKN1A and Bax. Experimental and Therapeutic Medicine, 12, 2865-2868. https://doi.org/10.3892/etm.2016.3692
MLA
Lv, X., Cai, Z., Li, S."Increased apoptosis rate of human decidual cells and cytotrophoblasts in patients with recurrent spontaneous abortion as a result of abnormal expression of CDKN1A and Bax". Experimental and Therapeutic Medicine 12.5 (2016): 2865-2868.
Chicago
Lv, X., Cai, Z., Li, S."Increased apoptosis rate of human decidual cells and cytotrophoblasts in patients with recurrent spontaneous abortion as a result of abnormal expression of CDKN1A and Bax". Experimental and Therapeutic Medicine 12, no. 5 (2016): 2865-2868. https://doi.org/10.3892/etm.2016.3692
Copy and paste a formatted citation
x
Spandidos Publications style
Lv X, Cai Z and Li S: Increased apoptosis rate of human decidual cells and cytotrophoblasts in patients with recurrent spontaneous abortion as a result of abnormal expression of CDKN1A and Bax. Exp Ther Med 12: 2865-2868, 2016.
APA
Lv, X., Cai, Z., & Li, S. (2016). Increased apoptosis rate of human decidual cells and cytotrophoblasts in patients with recurrent spontaneous abortion as a result of abnormal expression of CDKN1A and Bax. Experimental and Therapeutic Medicine, 12, 2865-2868. https://doi.org/10.3892/etm.2016.3692
MLA
Lv, X., Cai, Z., Li, S."Increased apoptosis rate of human decidual cells and cytotrophoblasts in patients with recurrent spontaneous abortion as a result of abnormal expression of CDKN1A and Bax". Experimental and Therapeutic Medicine 12.5 (2016): 2865-2868.
Chicago
Lv, X., Cai, Z., Li, S."Increased apoptosis rate of human decidual cells and cytotrophoblasts in patients with recurrent spontaneous abortion as a result of abnormal expression of CDKN1A and Bax". Experimental and Therapeutic Medicine 12, no. 5 (2016): 2865-2868. https://doi.org/10.3892/etm.2016.3692
Follow us
  • Twitter
  • LinkedIn
  • Facebook
About
  • Spandidos Publications
  • Careers
  • Cookie Policy
  • Privacy Policy
How can we help?
  • Help
  • Live Chat
  • Contact
  • Email to our Support Team