Spandidos Publications Logo
  • About
    • About Spandidos
    • Aims and Scopes
    • Abstracting and Indexing
    • Editorial Policies
    • Reprints and Permissions
    • Job Opportunities
    • Terms and Conditions
    • Contact
  • Journals
    • All Journals
    • Oncology Letters
      • Oncology Letters
      • Information for Authors
      • Editorial Policies
      • Editorial Board
      • Aims and Scope
      • Abstracting and Indexing
      • Bibliographic Information
      • Archive
    • International Journal of Oncology
      • International Journal of Oncology
      • Information for Authors
      • Editorial Policies
      • Editorial Board
      • Aims and Scope
      • Abstracting and Indexing
      • Bibliographic Information
      • Archive
    • Molecular and Clinical Oncology
      • Molecular and Clinical Oncology
      • Information for Authors
      • Editorial Policies
      • Editorial Board
      • Aims and Scope
      • Abstracting and Indexing
      • Bibliographic Information
      • Archive
    • Experimental and Therapeutic Medicine
      • Experimental and Therapeutic Medicine
      • Information for Authors
      • Editorial Policies
      • Editorial Board
      • Aims and Scope
      • Abstracting and Indexing
      • Bibliographic Information
      • Archive
    • International Journal of Molecular Medicine
      • International Journal of Molecular Medicine
      • Information for Authors
      • Editorial Policies
      • Editorial Board
      • Aims and Scope
      • Abstracting and Indexing
      • Bibliographic Information
      • Archive
    • Biomedical Reports
      • Biomedical Reports
      • Information for Authors
      • Editorial Policies
      • Editorial Board
      • Aims and Scope
      • Abstracting and Indexing
      • Bibliographic Information
      • Archive
    • Oncology Reports
      • Oncology Reports
      • Information for Authors
      • Editorial Policies
      • Editorial Board
      • Aims and Scope
      • Abstracting and Indexing
      • Bibliographic Information
      • Archive
    • Molecular Medicine Reports
      • Molecular Medicine Reports
      • Information for Authors
      • Editorial Policies
      • Editorial Board
      • Aims and Scope
      • Abstracting and Indexing
      • Bibliographic Information
      • Archive
    • World Academy of Sciences Journal
      • World Academy of Sciences Journal
      • Information for Authors
      • Editorial Policies
      • Editorial Board
      • Aims and Scope
      • Abstracting and Indexing
      • Bibliographic Information
      • Archive
    • International Journal of Functional Nutrition
      • International Journal of Functional Nutrition
      • Information for Authors
      • Editorial Policies
      • Editorial Board
      • Aims and Scope
      • Abstracting and Indexing
      • Bibliographic Information
      • Archive
    • International Journal of Epigenetics
      • International Journal of Epigenetics
      • Information for Authors
      • Editorial Policies
      • Editorial Board
      • Aims and Scope
      • Abstracting and Indexing
      • Bibliographic Information
      • Archive
    • Medicine International
      • Medicine International
      • Information for Authors
      • Editorial Policies
      • Editorial Board
      • Aims and Scope
      • Abstracting and Indexing
      • Bibliographic Information
      • Archive
  • Articles
  • Information
    • Information for Authors
    • Information for Reviewers
    • Information for Librarians
    • Information for Advertisers
    • Conferences
  • Language Editing
Spandidos Publications Logo
  • About
    • About Spandidos
    • Aims and Scopes
    • Abstracting and Indexing
    • Editorial Policies
    • Reprints and Permissions
    • Job Opportunities
    • Terms and Conditions
    • Contact
  • Journals
    • All Journals
    • Biomedical Reports
      • Information for Authors
      • Editorial Policies
      • Editorial Board
      • Aims and Scope
      • Abstracting and Indexing
      • Bibliographic Information
      • Archive
    • Experimental and Therapeutic Medicine
      • Information for Authors
      • Editorial Policies
      • Editorial Board
      • Aims and Scope
      • Abstracting and Indexing
      • Bibliographic Information
      • Archive
    • International Journal of Epigenetics
      • Information for Authors
      • Editorial Policies
      • Editorial Board
      • Aims and Scope
      • Abstracting and Indexing
      • Bibliographic Information
      • Archive
    • International Journal of Functional Nutrition
      • Information for Authors
      • Editorial Policies
      • Editorial Board
      • Aims and Scope
      • Abstracting and Indexing
      • Bibliographic Information
      • Archive
    • International Journal of Molecular Medicine
      • Information for Authors
      • Editorial Policies
      • Editorial Board
      • Aims and Scope
      • Abstracting and Indexing
      • Bibliographic Information
      • Archive
    • International Journal of Oncology
      • Information for Authors
      • Editorial Policies
      • Editorial Board
      • Aims and Scope
      • Abstracting and Indexing
      • Bibliographic Information
      • Archive
    • Medicine International
      • Information for Authors
      • Editorial Policies
      • Editorial Board
      • Aims and Scope
      • Abstracting and Indexing
      • Bibliographic Information
      • Archive
    • Molecular and Clinical Oncology
      • Information for Authors
      • Editorial Policies
      • Editorial Board
      • Aims and Scope
      • Abstracting and Indexing
      • Bibliographic Information
      • Archive
    • Molecular Medicine Reports
      • Information for Authors
      • Editorial Policies
      • Editorial Board
      • Aims and Scope
      • Abstracting and Indexing
      • Bibliographic Information
      • Archive
    • Oncology Letters
      • Information for Authors
      • Editorial Policies
      • Editorial Board
      • Aims and Scope
      • Abstracting and Indexing
      • Bibliographic Information
      • Archive
    • Oncology Reports
      • Information for Authors
      • Editorial Policies
      • Editorial Board
      • Aims and Scope
      • Abstracting and Indexing
      • Bibliographic Information
      • Archive
    • World Academy of Sciences Journal
      • Information for Authors
      • Editorial Policies
      • Editorial Board
      • Aims and Scope
      • Abstracting and Indexing
      • Bibliographic Information
      • Archive
  • Articles
  • Information
    • For Authors
    • For Reviewers
    • For Librarians
    • For Advertisers
    • Conferences
  • Language Editing
Login Register Submit
  • This site uses cookies
  • You can change your cookie settings at any time by following the instructions in our Cookie Policy. To find out more, you may read our Privacy Policy.

    I agree
Search articles by DOI, keyword, author or affiliation
Search
Advanced Search
presentation
Experimental and Therapeutic Medicine
Join Editorial Board Propose a Special Issue
Print ISSN: 1792-0981 Online ISSN: 1792-1015
Journal Cover
December-2016 Volume 12 Issue 6

Full Size Image

Sign up for eToc alerts
Recommend to Library

Journals

International Journal of Molecular Medicine

International Journal of Molecular Medicine

International Journal of Molecular Medicine is an international journal devoted to molecular mechanisms of human disease.

International Journal of Oncology

International Journal of Oncology

International Journal of Oncology is an international journal devoted to oncology research and cancer treatment.

Molecular Medicine Reports

Molecular Medicine Reports

Covers molecular medicine topics such as pharmacology, pathology, genetics, neuroscience, infectious diseases, molecular cardiology, and molecular surgery.

Oncology Reports

Oncology Reports

Oncology Reports is an international journal devoted to fundamental and applied research in Oncology.

Experimental and Therapeutic Medicine

Experimental and Therapeutic Medicine

Experimental and Therapeutic Medicine is an international journal devoted to laboratory and clinical medicine.

Oncology Letters

Oncology Letters

Oncology Letters is an international journal devoted to Experimental and Clinical Oncology.

Biomedical Reports

Biomedical Reports

Explores a wide range of biological and medical fields, including pharmacology, genetics, microbiology, neuroscience, and molecular cardiology.

Molecular and Clinical Oncology

Molecular and Clinical Oncology

International journal addressing all aspects of oncology research, from tumorigenesis and oncogenes to chemotherapy and metastasis.

World Academy of Sciences Journal

World Academy of Sciences Journal

Multidisciplinary open-access journal spanning biochemistry, genetics, neuroscience, environmental health, and synthetic biology.

International Journal of Functional Nutrition

International Journal of Functional Nutrition

Open-access journal combining biochemistry, pharmacology, immunology, and genetics to advance health through functional nutrition.

International Journal of Epigenetics

International Journal of Epigenetics

Publishes open-access research on using epigenetics to advance understanding and treatment of human disease.

Medicine International

Medicine International

An International Open Access Journal Devoted to General Medicine.

Journal Cover
December-2016 Volume 12 Issue 6

Full Size Image

Sign up for eToc alerts
Recommend to Library

  • Article
  • Citations
    • Cite This Article
    • Download Citation
    • Create Citation Alert
    • Remove Citation Alert
    • Cited By
  • Similar Articles
    • Related Articles (in Spandidos Publications)
    • Similar Articles (Google Scholar)
    • Similar Articles (PubMed)
  • Download PDF
  • Download XML
  • View XML
Article Open Access

Radioprotective effects of pyrroloquinoline quinone on parotid glands in C57BL/6J mice

Retraction in: /10.3892/etm.2024.12644
  • Authors:
    • Yuanqing Huang
    • Ning Chen
    • Dengshun Miao
  • View Affiliations / Copyright

    Affiliations: Department of Stomatology, Hunan University of Medicine, Huaihua, Hunan 418000, P.R. China, Institute of Stomatology, Nanjing Medical University, Nanjing, Jiangsu 210029, P.R. China, State Key Laboratory of Reproductive Medicine, The Research Center for Bone and Stem Cells, Department of Anatomy, Histology and Embryology, Nanjing Medical University, Nanjing, Jiangsu 210029, P.R. China
    Copyright: © Huang et al. This is an open access article distributed under the terms of Creative Commons Attribution License.
  • Pages: 3685-3693
    |
    Published online on: October 26, 2016
       https://doi.org/10.3892/etm.2016.3843
  • Expand metrics +
Metrics: Total Views: 0 (Spandidos Publications: | PMC Statistics: )
Metrics: Total PDF Downloads: 0 (Spandidos Publications: | PMC Statistics: )
Cited By (CrossRef): 0 citations Loading Articles...

This article is mentioned in:



Abstract

The aim of the present study was to investigate whether pyrroloquinoline quinine (PQQ) serve a radioprotective role in parotid gland damage induced by total body irradiation (TBI) in C57BL/6J mice. A total of 15 female 8‑week‑old C57BL/6J mice were randomly assigned into three treatment groups: i) Untreated control (no irradiation); ii) 4 gray (Gy) X-ray irradiation; iii) 4 Gy X‑ray irradiation with additional dietary PQQ (4 mg PQQ/kg in normal diet). Each group included five mice. After 4 weeks, all animals were collected for evaluating the phenotype, body weight, pathological and biochemical parameters. The results indicated that PQQ had biological effects on total body phenotype. PQQ could partially rescue TBI‑induced damage to parotid glands. In addition, PQQ served radioprotective effects on parotid glands via multiple mechanisms, such as promoting proliferation, inhibiting apoptosis and senescence, upregulating antioxidant ability, scavenging reactive oxygen species and reducing DNA damage. The results of the present study demonstrate that PQQ serves a radioprotective role in parotid gland damage induced by TBI, possibly via inhibiting oxidative stress and participating in DNA damage repair. The study provides experimental and theoretical knowledge for the development of radioprotective clinical drugs.

Introduction

Radiotherapy is one of the most effective and comprehensive treatments of head and neck malignant tumors, and is commonly used to treat cancers and alleviate cancer-associated symptoms (1). However, radiation will bring a number of complications to patients, such as radioactive oral mucositis, rampant caries, dry mouth and radionecrosis of the jaw, which seriously hampers the quality of life of patients (2,3).

A previous study demonstrated that the mechanism of radiotherapy is to increase DNA double strand breaks to kill cancer cells (4). However, radiotherapy also kills normal cells in the body. The radiation damage to normal cells may be caused by the direct or indirect effects of radiation. The atom and other targeting cell compartments are directly damaged by the radiation in the body, and radiation indirectly disrupts mitochondrial function, which results in damage to normal cells through the oxidative stress-mediated DNA damage response (5). After the radiation causes the ionization of water, the reactive oxygen species (ROS) and hydroxyl free radicals are formed by oxidative stress, which results in the increase of DNA double strand breaks in targeting cells (5). However, the radiation-induced DNA damage occurs in cancer cells and normal cells. Thus, it often causes relevant complications during or following radiotherapy.

In the course of radiotherapy, radiation decreases immune functions and generates excessive free radicals that interfere with biological functions. It is well established that non-lethal doses of total body irradiation (TBI) increase ROS levels produced by hematopoietic stem cells (HSCs), leading to premature senescence of HSCs (6).

Pyrroloquinoline quinone (PQQ) was first identified as a novel cofactor of ethanol and glucose dehydrogenase in methylotrophic bacteria, and is now considered an important nutritional growth factor (7,8). It is well established that PQQ is a 4,5-dihydro-4,5-dioxo-1H-Pyrrolo [2,3-f] Quinoline-2,7,9-tricarboxylic acid, and is thought to be a bacterial glucose dehydrogenase redox cofactor, widely distributed in plants, bacteria, animals, food and a number of biological fluids. It is soluble in water and has thermal stability, and can be divided into oxidized and reduced forms (9,10).

Previous studies have demonstrated that PQQ has multiple physiological functions, such as promoting growth and reproduction (11–13), neural and cardiovascular protection (14–16), and enhancing the learning and memory function (17), immune function and antitumor activities (18). However, the underlying mechanism remains poorly understood. In addition, PQQ has been reported to be both an anti-oxidant and a pro-oxidant (19–21) that protects mitochondria from oxidative stress-induced damage (22). Further study defines PQQ as an ROS scavenger in oxidative stress (23).

In vitro, it is well established that PQQ can continuously neutralize ROS to convert it to non-reactive molecular products and thereby protect plasmid DNA and protein from oxidative damage (23). These results suggest that PQQ, as an ROS scavenger, may directly protect the mitochondrial function, and prevent premature senescence through the neutralization of ROS. Therefore, the present study hypothesizes that PQQ can inhibit oxidative stress, decrease the level of ROS, protect mitochondrial function, and serve a radioprotective role in parotid gland damage induced by TBI in C57BL/6J mice.

Materials and methods

Experimental animals

C57BL/6J mice (≤8 weeks old) were purchased from the Jackson Laboratory (Bar Harbor, ME, USA). Mice were maintained in the Experimental Animal Center of Nanjing Medical University (Nanjing, China). All experimental procedures were performed in accordance with the United States National Institutes of Health Guidelines for Care and Use of Laboratory Animals. A total of 15 female C57BL/6J mice were assigned into the following three treatment groups: i) Untreated control (no irradiation); ii) 4 gray (Gy) X-ray; and iii) 4 Gy X-ray with additional dietary PQQ. Each group included 5 mice. All experiments were performed in compliance with and approval by the Institutional Animal Care and Use Committee of Nanjing Medical University.

Analysis of mice phenotype and body weight

In order to investigate the effect of PQQ on C57BL/6J mouse phenotype, in vivo, all animals were divided into three groups of 5 mice (no irradiation, 4 Gy and 4 Gy + PQQ). Statistical analysis was performed regarding phenotype and body weight in the different groups.

TBI and supplementary of dietary PQQ

At the age of 8 weeks, one group of mice (n=5) were only fed with normal diet; the other two groups of mice (n=5 in both groups) received 4 Gy single-dose TBI by a Varian 600 CD linear accelerator and were fed a normal diet and PQQ-supplemented diet (4 mg PQQ/kg in the normal diet), respectively (24). Four weeks later, all the mice were sacrificed for further analysis.

Histology

Parotid glands were collected and fixed in PLP fixative (2% paraformaldehyde containing 0.075 mol/l lysine and 0.01 mol/l sodium periodate) overnight at 4°C, and were processed as previously described (25). All samples were dehydrated and embedded in paraffin, and sectioned at 5 µm thickness using a rotary microtome. The sections were stained using standard haematoxylin and eosin (H&E) and masson trichrome. The degree of parotid glands fibrosis was graded according to the standardized guideline proposed by the Korean Study Group for Pathology of Digestive Diseases. Stained tissue sections were assessed for the detection of changes in the magnitude of parotid glands injury using a photomicroscope.

Evaluation of apoptotic cells by TUNEL staining

Apoptosis of the fibroblasts of parotid glands was evaluated using the terminal deoxynucleotidyl transferase mediated dUTP nick end labeling (TUNEL) technique (20 mg/ml; cat. no. 21627; Chemicon International, Temecula, CA, USA), as previously described (26). To count the TUNEL-positive cells in the parotid glands tissues, an ocular micrometer compatible with an Olympus BX51 microscope was used.

Immunohistochemical staining

Immunohistochemical staining was performed to detect proliferating cell nuclear antigen (PCNA), Ki-67, casepase-3, 8-hydroxydeoxyguanosine (8-OH-dG) and γH2AX, using the avidin-biotin-peroxidase complex technique with affinity-purified goat anti-rabbit PCNA antibody (cat. no. ab18197; 1:400; Abcam, Cambridge, UK), affinity-purified goat anti-mouse Ki67 (cat. no. ab8191; 1:400; Abcam), affinity-purified goat anti-mouse casepase-3 antibody (cat. no. ASP175; 1:100; Santa Cruz Biotechnology, Inc., Santa Cruz, CA, USA), affinity-purified goat anti-mouse 8-OH-dG (cat. no. DGMGL-B001) and γH2AX (cat. no. 95060) antibody (1:400; Santa Cruz Biotechnology, Inc.), as described previously (25). Briefly, dewaxed and rehydrated paraffin-embedded sections were incubated with methanol-hydrogen peroxide (1:10) to block endogenous peroxidase activity and then washed in Tris-buffered saline (pH 7.6). The slides were then incubated with the primary antibodies overnight at room temperature. After rinsing with Tris-buffered saline for 15 min, sections were incubated with biotinylated secondary antibody (cat. no. 378C; 1:1,000; Sigma-Aldrich; Merck Millipore, Darmstadt, Germany). Sections were then washed and incubated with the Vectastain Elite ABC reagent (Vector Laboratories, Inc., Burlington, ON, Canada) for 45 min. After washing, brown pigmentation was likewise produced using 3,3-diaminobenzidine. Finally, the stained sections were counterstained with H&E staining. Images were acquired with a Leica microscope (Leica DM4000B) equipped with Leica software.

Western blot analysis

Proteins were extracted from parotid glands tissues and quantitated using a LightShift Chemiluminescent EMSA kit (cat. no. 20148; Bio-Rad Laboratories, Inc., Mississauga, Ontario, ON, Canada). Protein samples were fractionated by 10% SDS-PAGE and transferred to nitrocellulose membranes. Western blot was performed as described previously (25) using antibodies against B-cell lymphoma 2 (cat. no. SC7382; 1:500; BCL-2; goat anti-mouse; Santa Cruz Biotechnology, Inc.), PRDXI (cat. no. Rs-3875R) and PRDXIV (cat. no. H00010549-P) (goat anti-rabbit; 1:1,000) Abcam), superoxide dismutase (SOD)1 (cat. no. CSB-PA02864A0Rb) and SOD2 (cat. no. AbM51026-24-PU) (goat anti-rabbit; Abcam), casepase-3 (cat, no. ASP175; 1:100; goat anti-rabbit; Cell Signaling Technology, Inc., Danvers, MA, USA), γH2AX (cat. no. 95060; 1:400; goat anti-mouse; Santa Cruz Biotechnology, Inc.), p16 INK4a (cat. no. M-20; 1:200; goat anti-mouse; Santa Cruz Biotechnology, Inc.), p19 ARF (cat. no. M-20; 1:200; goat anti-mouse; Santa Cruz Biotechnology, Inc.), p21 (cat. no. C-19; 1:200; goat anti-mouse; Santa Cruz Biotechnology, Inc.), p27 (cat. no. F-8; 1:200; goat anti-mouse; Zymed Laboratories, Santa Cruz, CA, USA), p53 (cat. no. DO-1; 1:200; goat anti-mouse; Cell Signaling Technology, Inc.) and β-actin (cat. no. WL01774; 1:400; goat anti-rabbit; Santa Cruz Biotechnology, Inc.). Bands were visualized using enhanced chemiluminescence (GE Healthcare Life Sciences, Chalfont, UK) and quantitated by Scion Image Beta version 4.02 (Scion Corporation, Bethesda, MD, USA).

Detection of ROS levels

Parotid gland tissues were converted into single-cell suspensions containing 5×105 cells/ml. Briefly, parotid gland tissues were put in 1 ml ice PBS, ground on ice, and bone marrow cells were extracted. Then, cells were passed through a 200–400 mesh sieve, and centrifuged at 4°C for 5 min at 250 × g. Then, the supernatant was discarded, cold PBS was added and the sample was converted into a single-cell suspension. 2′,7′-dichlorofluorescein diacetate (DCFH-DA; Sigma-Aldrichl Merck Millipore) was used for the detection of intracellular ROS. Fluorescence intensity is proportional to oxidant production (27,28). DCFH-DA was added to parotid glands cell suspensions to yield final concentrations of 20 µmol/l. Then, the cells were incubated at 37°C for 30 min in the dark, washed twice with 0.01 mol/l phosphate-buffered saline, and centrifuged at 300 × g for 5 min at 4°C. ROS levels were measured by mean fluorescence intensity of 10,000 cells using a flow cytometer (BD Bioscience, Franklin Lakes, NJ, USA).

Computer-assisted image analysis

Following H&E staining, histochemical or immunohistochemical staining of sections from 15 C57BL/6J mice, images of selected fields were photographed with a SONY digital camera. Images of micrographs from single sections were digitally recorded using a rectangular template, and recordings were processed and analyzed using Northern Eclipse image analysis software, as described previously (25).

Statistic analysis

All data are expressed as the mean ± standard error. Statistical analysis of numeration data were performed using the χ2 test, while statistical analyses of measurement data were performed student's t-test. P<0.05 was considered to indicate a statistically significant difference.

Results

Effects of PQQ on the phenotype and body weight in C57BL/6J mice

To investigate whether a PQQ-supplemented diet has effects on C57BL/6J mouse phenotype and body weight, statistical analysis was performed on the phenotype and body weight of different groups of mice. As shown in Fig. 1A and B, compared with the control (no irradiation mice), 4 Gy mice fed a normal diet showed significant body weight loss (P<0.05). However, 4 Gy mice fed a PQQ-supplemented diet experienced rescued total body size and significantly increased body weight (P<0.05), compared with 4 Gy mice fed a normal diet. These data suggest that a PQQ-supplemented diet partially rescues C57BL/6J mice phenotype and body weight compared with mice fed a normal diet following 4 Gy radiation.

Figure 1.

Effects of PQQ on phenotype and body weight in C57BL/6J mice. (A) Effects of PQQ-supplemented diet on 4 Gy mouse phenotype. (B) Effects of PQQ-supplemented diet on 4 Gy mice body weight. Each value is preseted as the mean + standard error. *P<0.05 vs. no irradiation mice; #P<0.05 vs. 4 Gy mice. PQQ, pyrroloquinoline quinine; 4 Gy, 4 grey X-ray irridation.

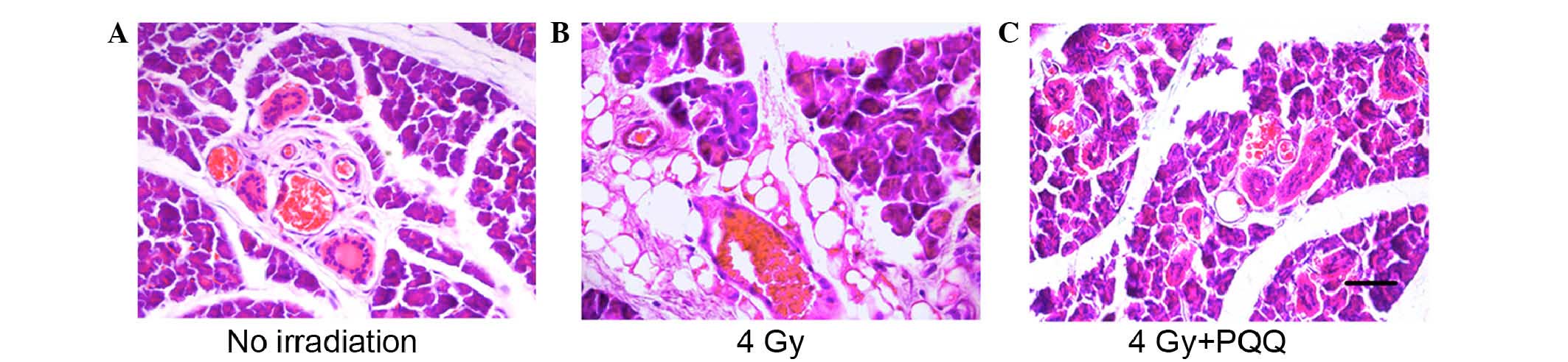
Effects of PQQ on the morphology of parotid gland damage induced by TBI

The study aimed to determine whether a PQQ-supplemented diet serves a radioprotective role in parotid gland damage induced by TBI. As shown by H&E staining (Fig. 2A and B), compared with mice fed a normal diet feeding only (no irradiation), mice (4 Gy) receiving 4 Gy TBI and a normal diet for 4 weeks showed expansion of acinar cell atrophy and disappearance of acinar cells, catheter expansion, catheter epithelia squamous metaplasia, interstitial fibrosis, inflammatory cell infiltration and proliferation of adipose tissue, and the emergence of a large quantity of fatty degeneration. Whereas mice (4 Gy + PQQ) receiving 4 Gy TBI and a PQQ-supplemented diet for 4 weeks showed increased acinar cells with regular arrangement, decreased degeneration of cytoplasmic cells, slightly swollen vascular wall in stroma, mild intraluminal hyperemia, normal catheter system and inflammatory reaction, and minimal fat vacuoles filled in the stroma compared with the 4 Gy group (Fig. 2B and C). These data support that a PQQ-supplemented diet serves a protective role in parotid gland morphology induced by TBI compared with a normal diet.

Figure 2.

Effects of PQQ on morphology of parotid glands induced by TBI. (A) Morphology of normal control mice parotid glands (no irradiation). (B) Mice (4 Gy) receiving 4 Gy TBI and normal diet for 4 weeks showed a damaged morphology in parotid glands. (C) Mice (4 Gy + PQQ) received 4 Gy TBI and PQQ supplemented diet for 4 weeks showed prevented damage in the parotid glands compared with the 4 Gy group. (hematoxylin and eosin staining; magnification, ×400). Scale bars represent 100 µm. PQQ, pyrroloquinoline quinine; TBI, total body irridation; 4 Gy, 4 grey X-ray irridation.

Effects of PQQ on the fibrosis of parotid glands induced by TBI

Following moderate to high-dose irradiation, the stroma of human parotid and submandibular glands has been described as undergoing adiposis and fibrosis, respectively (29). In addition, some stromal fibrosis has been observed in rat salivary glands (30–32). Therefore, the present study investigated whether a PQQ-supplemented diet reduces fibrosis of parotid glands induced by TBI by performing Masson staining. The results showed that 4 Gy mice have significantly increased blue stained fibrous tissue in damaged parotid glands compared with mice exposed to no irradiation (P<0.001), while PQQ significantly alleviated the increase of fibrous tissues during TBI treatment (P<0.01), but was not fully rescued by a PQQ diet (Fig. 3A and B). These data suggested that PQQ inhibited stromal fibrosis of TBI mice parotid glands.

Figure 3.

Effects of PQQ on stromal fibrosis of parotid glands. (A) There was no obvious fibrous tissue in the parotid glands of no irradiation mice. After 4 Gy TBI for 4 weeks, a large number of stromal fibrous tissues appeared in 4 Gy mice compared with no irradiation mice. (Masson trichrome staining; magnification, ×200). (B) A PQQ-supplemented diet significantly reduced stromal fibrous tissues in damaged parotid glands induced by TBI. Each value is the mean + standard error of determinations in five animals of the same groups. **P<0.01, ***P<0.001 vs. no irradiation mice; ##P<0.01 vs. 4 Gy mice. Scale bars represent 100 µm. PQQ, pyrroloquinoline quinine; TBI, total body irridation; 4 Gy, 4 grey X-ray irridation.

Effects of PQQ on the proliferation of parotid glands induced by TBI

Since the number of acinar cells decreased in the parotid glands of 4 Gy mice, which was rescued by a PQQ-supplemented diet, it was determined whether the change in number of acinar cells was caused by the effects of TBI treatment and PQQ-supplemented diet on cell proliferation using immunohistochemical staining of PCNA and Ki67 (Fig. 4A and B). Results showed that numbers of PCNA and Ki67 positive cells were significantly decreased in the parotid gland of 4 Gy mice compared with mice not exposed to irridation (P<0.001; Fig. 4C and D). However, a PQQ-supplemented diet significantly enhanced the PCNA and Ki67 positive cells in 4 Gy + PQQ mice compared with 4 Gy mice (P<0.01), but the overall levels remain lower than no irradiation mice (Fig. 4C and D).

Figure 4.

Effects of PQQ on the proliferation of damaged parotid glands. (A) Representative C57BL/6J mice parotid glands stained immunohistochemically for (A) PCNA and (B) Ki67 (magnification, ×400). The percentage of parotid gland (C) PCNA- and (D) Ki67-positive cells in no irradiation mice, 4 Gy mice and 4 Gy + PQQ mice. Each value is the mean + standard error of determinations in five animals of the same groups. **P<0.01, ***P<0.001 vs. no irradiation mice; ##P<0.01 vs. 4 Gy mice. Scale bars represent 50 µm. PQQ, pyrroloquinoline quinine; PCNA, proliferating cell nuclear antigen; 4 Gy, 4 grey X-ray irridation.

Effects of PQQ on the apoptosis of parotid glands induced by TBI

Since a decrease was observed in proliferation in parotid glands of 4 Gy mice and was partially rescued by a PQQ-supplemented diet, it was further examined whether TBI and PQQ also affect apoptosis using TUNEL and immunohistochemical staining of caspase-3 (Fig. 5A and B). Results showed that few TUNEL- and caspase-3-positive apoptotic cells existed in no irradiation mice. However, TBI treatment significantly induced cell apoptosis (P<0.001). Importantly, a PQQ-supplemented diet significantly ameliorated the increase of apoptotic cells in 4 Gy mice (P<0.01), but the number of apoptotic cells remained higher than in no irradiation mice (Fig. 5C and D). These results show that TBI treatment decreases the acinar cell number by inhibiting cell proliferation and promoting cell apoptosis, which was partially rescued by PQQ-supplemented diet in 4 Gy mice.

Figure 5.

Effects of PQQ on the apoptosis of impaired parotid glands. Representative C57BL/6J mice parotid glands stained immunohistochemically for (A) TUNEL and (B) caspase-3 (magnification, ×400). The percentage of parotid gland (C) TUNEL- and (D) caspase-3-positive cells in no irradiation mice, 4 Gy mice and 4 Gy + PQQ mice. Each value is the mean + standard error of determinations in five animals of the same groups. **P<0.01, ***P<0.001 vs. no irradiation mice; ##P<0.01 vs. 4 Gy mice. Scale bars represent 50 µm. PQQ, pyrroloquinoline quinine; 4 Gy, 4 grey X-ray irridation.

Role of PQQ in DNA damage of parotid glands induced by TBI

It is understood that the primary mechanism underlying radiotherapy of malignant tumors is to increase DNA double strand breaks. To determine whether PQQ reduces DNA damage of parotid glands induced by TBI, immunohistochemical staining of two most commonly used markers for double strand DNA breaks, 8-OH-dG and γH2AX, was performed (Fig. 6A and B). The results found that TBI treatment significantly induced cell DNA damage (P<0.001), as indicated by the expression of 8-OH-dG and γH2AX. This increased DNA damage was significantly reduced by a PQQ-supplemented diet (P<0.01; Fig. 6C and D). Therefore, these results suggest that TBI treatment increases cell apoptosis by enhancing double strand DNA damage, which is be ameliorated by a PQQ- supplemented diet in 4 Gy mice.

Figure 6.

Effects of PQQ on DNA damage of parotid glands induced by total body irridation. Representative C57BL/6J mice parotid glands stained immunohistochemically for (A) 8-OH-dG and (B) γH2AX (magnification, ×400). (C) The percentage of parotid gland (C) 8-OH-dG- and (D) γH2AX-positive cells in no irradiation mice, 4 Gy mice and 4 Gy + PQQ mice. Each value is the mean + standard error of determinations in five animals of the same groups. **P<0.01, ***P<0.001 vs. no irradiation mice; ##P<0.01 vs. 4 Gy mice. Scale bars represent 50 µm. PQQ, pyrroloquinoline quinine; 4 Gy, 4 grey X-ray irridation.

Effects of PQQ on the cell cycle proteins of parotid glands induced by TBI

It is well elucidated that cell proliferation and apoptosis are mediated by the expression and activation of tumor-suppressor, apoptotic and anti-apoptotic genes. The protein expression of P16, P19, P21, P27, P53, caspase-3 and Bcl-2 were examined (Fig. 7). Results showed that TBI promoted the expression of tumor-suppressors P16, P19, P21, P27, P53 and apoptotic caspase-3, but inhibited the expression of anti-apoptotic Bcl-2. However, a PQQ-supplemented diet in TBI mice prevented the increased expression of P16, P19, P21, P27, P53 and caspase-3, and increased the expression of Bcl-2 (Fig. 7C, H and J-N).

Figure 7.

Effects of PQQ on cell cycle proteins and antioxidant proteins of parotid glands induced by TBI. Representative C57BL/6J mice parotid gland western blots for the expression of (A) Bcl-2, PRDXI, PRDX IV, SOD1, SOD2, caspase-3 and γH2AX, and (B) p16, p19, p21, p27 and p53. β-actin was used as loading control for western blots in no irradiation mice, 4 Gy mice and 4 Gy+PQQ mice respectively. (C) Bcl-2, (D) PRDXI, (E) PRDX IV, (F) SOD1, (G) SOD2, (H) caspase-3, (I) γH2AX, (J) p16, (K) p19, (L) p21, (M) p27 and (N) p53 proteins expression levels relative to β-actin protein expression were assessed by densitometric analysis and expressed relative to levels of no irradiation mice. Each value is the mean + standard of determinations in five animals of the same groups. *P<0.05, **P<0.01, ***P<0.001 vs. no irradiation mice; #P<0.05, ##P<0.01, ###P<0.001 vs. 4 Gy mice. PQQ, pyrroloquinoline quinine; TBI, total body irridation; Bcl-2, B-cell lymphoma 2; SOD, superoxide dismutase; 4 Gy, 4 grey X-ray irridation; WT, wild type.

Role of PQQ in ROS and antioxidant proteins of parotid glands induced by TBI

It has been demonstrated that TBI increases ROS levels and hydroxyl-free radicals by oxidative stress, which subsequently results in the increase of DNA double strand breaks (5). The results showed that PQQ-supplemented diet decreased TBI-induced double strand DNA breaks in parotid glands. To determine whether PQQ inhibits ROS formation, ROS levels were examined by flow cytometry (Fig. 8A). The results showed that the increased ROS levels in TBI mice were significantly inhibited by a PQQ-supplemented diet (P<0.05; Fig. 8B). To further explore whether this effect of PQQ was associated with the enhanced expression of various antioxidant proteins, a western blot was performed to examine the expression of PRDX I, PRDX IV, SOD1, SOD2 and DNA break maker, γH2AX (Fig. 7A). Results showed that all the antioxidant proteins were downregulated in TBI mice and that DNA break maker, γH2AX, was upregulated compared with no irradiation mice, which was consistent with immunohistochemical staining results. Strikingly, the expression levels of all the antioxidant proteins were increased markedly and γH2AX was decreased significantly in 4 Gy+PQQ mice compared with 4 Gy mice (P<0.05; Fig. 7D-G and I). These data suggested that PQQ can reduce DNA damage through upregulating antioxidant abilities.

Figure 8.

Effects of PQQ on parotid gland ROS levels. (A) Representative flow cytometric analysis for ROS levels in no irradiation mice, 4 Gy mice and 4 Gy + PQQ mice. (B) Quantified ROS levels. Each value is the mean + standard error of determinations in five animals of the same groups. *P<0.05; **P<0.01 vs. no irradiation mice; #P<0.05 vs. 4 Gy mice. PQQ, pyrroloquinoline quinine; ROS, reactive oxygen species; 4 Gy, 4 grey X-ray irridation; SSC-H, side scatter-H gate

Discussion

Previous studies have shown that serous acinus cells are most vulnerable when subjected to TBI; even at moderate doses, cell degeneration and cell death occur (31,32). Dirix et al (33) confirmed that the greater lability of serous cells caused by radiation damage has been attributed to the generation of free radicals via transition metal ions, such as copper, ion, manganese and zinc, contained in their secretory proteins. However, there are few studies that investigate the radioprotectors for preventing secondary damage to parotid glands during TBI treatment. In the present study, a parotid gland animal model was established using TBI in mice to determine whether PQQ as an antioxidant serves a protective role in the injury of parotid glands. The results show that PQQ partially rescues phenotype and body weight loss in 4 Gy mice. The findings on the pathological, cellular and molecular levels of oxidative stress and antioxidant activity clearly demonstrate that PQQ-supplementary diet, at a dose of 4 mg PQQ/kg in normal diet, to TBI treated C57BL/6J mice significantly reduces acute parotid gland toxicity, which is a secondary complication of the irradiation.

Since parotid glands are frequently included in the radiotherapy for the treatment of head and neck malignant tumors, their function is rapidly impaired during therapy. The energy exchange between gamma rays and the secretory cells that produce saliva leads to cell inactivation as a result of damage to DNA, lipids and proteins following the excessive production of ROS (5,34). In animal studies, it has been well elucidated that exposure to x-ray irradiation decreases tissue concentrations of vitamins C and E, both of which are considered to be nonenzymatic natural antioxidants and cell protective compounds (35,36).

Various studies have revealed significant impairment of salivary glands and >50% reduction in the function of parotid glands within a few days following different doses of irradiation from 2.5 to 10 Gy to the head and neck region in human subjects (37–39). In addition, radiation-induced early damage to salivary glands has been demonstrated by a decreased salivary volume and diminished weights of salivary glands within 24 h after initiation of TBI in rats (40). Based on this information, the present investigation showed that TBI induced acute toxicity of parotid glands, as expected, and PQQ exhibited protective effects on TBI-induced damage to parotid glands. This translational study manifested that PQQ could be a candidate for preventing TBI-induced parotid gland damage clinically.

However, there is no effective treatment for the deleterious effects of irradiation on salivary glands clinically. Therefore, research began to focus on substances called radioprotectors that may inhibit or reduce DNA damage. The action of these radioprotectors directly targeted to reduce free radicals formed by the interaction between ionizing irradiation and live tissues (41–43). As a powerful antioxidant, PQQ may prevent the loss of secretory cells in parotid glands caused by TBI-induced oxidative stress. To the best of our knowledge, this is the first report to investigate the radio-protective role of PQQ.

In the current study, current knowledge on PQQ was extended by showing that treatment with a PQQ-supplemented diet did provide robust protection of parotid glands. As showed by the results, PQQ can rescue the damage to parotid glands in morphology, possibly by promoting cell proliferation and inhibiting cell apoptosis and DNA damage. However, the molecular mechanism underlying the radioprotective effects of PQQ on injury parotid glands induced by TBI remained unclear. Further results of the present study showed that PQQ inhibited the expression of cell cycle dependent kinase inhibitors and apoptotic genes, and upregulated various antioxidant proteins. Simultaneously, the results demonstrated that PQQ can reduce ROS levels of impaired parotid glands induced by TBI. Taken together, PQQ as an antioxidant is able to inhibit oxidative stress by decreasing levels of ROS, rescue cell survival by downregulating p53-p21, p16-Rb signaling pathways and the p53 apoptosis signaling pathway. Consequently, PQQ may serve protective effects against the injury of parotid glands.

In conclusion, the data suggest that treatment of TBI C57BL/6J mice with moderate doses of PQQ can significantly protect parotid glands from the deleterious effects of irradiation by inhibiting oxidative stress and participating in DNA damage repair. The present study provides experimental and theoretical knowledge for the research and development of radioprotective clinical drugs. As PQQ is a common product which is available as a dietary supplement, it can be given to patients receiving radiotherapy to avoid acute complications associated with parotid glands dysfunction. Thus, PQQ can significantly improve the life quality of those patients. Therefore, PQQ may be of clinical interest.

Acknowledgments

The present study was supported by the Hunan Province Education Department Scientific Research Youth Project of China (grant no. 14B141).

References

1 

Mizoe JE, Hasegawa A, Jingu K, Takagi R, Bessyo H, Morikawa T, Tonoki M, Tsuji H, Kamada T, Tsujii H and Okamoto Y: Organizing Committee for the Working Group for Head Neck Cancer: Results of carbon ion radiotherapy for head and neck cancer. Radiother Oncol. 103:32–37. 2012. View Article : Google Scholar : PubMed/NCBI

2 

Hamlet S, Faull J, Klein B, Aref A, Fontanesi J, Stachler R, Shamsa F, Jones L and Simpson M: Mastication and swallowing in patients with postirradiation xerostomia. Int J Radiat Oncol Biol Phys. 37:789–796. 1997. View Article : Google Scholar : PubMed/NCBI

3 

Logemann JA, Pauloski BR, Rademaker AW, Lazarus CL, Mittal B, Gaziano J, Stachowiak L, MacCracken E and Newman LA: Xerostomia: 12-month changes in saliva production and its relationship to perception and performance of swallow function, oral intake, and diet after chemoradiation. Head Neck. 25:432–437. 2003. View Article : Google Scholar : PubMed/NCBI

4 

Nunez MI, McMillan TJ, Valenzuela MT, de Almodóvar JM Ruiz and Pedraza V: Relationship between DNA damage, rejoining and cell killing by radiation in mammalian cells. Radiother Oncol. 39:155–165. 1996. View Article : Google Scholar : PubMed/NCBI

5 

Di Pietro C, Piro S, Tabbi G, Ragusa M, Di Pietro V, Zimmitti V, Cuda F, Anello M, Consoli U, Salinaro ET, et al: Cellular and molecular effects of protons: Apoptosis induction and potential implications for cancer therapy. Apoptosis. 11:57–66. 2006. View Article : Google Scholar : PubMed/NCBI

6 

Wang Y, Liu L, Pazhanisamy SK, Li H, Meng A and Zhou D: Total body irradiation causes residual bone marrow injury by induction of persistent oxidative stress in murine hematopoietic stem cells. Free Radic Biol Med. 48:348–356. 2010. View Article : Google Scholar : PubMed/NCBI

7 

Hauge JG: Glucose dehydrogenase of bacterium anitratum: An enzyme with a novel prosthetic group. J Biol Chem. 239:3630–3639. 1964.PubMed/NCBI

8 

Duine JA: Cofactor diversity in biological oxidations: Implications and applications. Chem Rec. 1:74–83. 2001. View Article : Google Scholar : PubMed/NCBI

9 

Mitchell AE, Jones AD, Mercer RS and Rucker RB: Characterization of pyrroloquinoline quinone amino acid derivatives by electrospray ionization mass spectrometry and detection in human milk. Anal Biochem. 269:317–325. 1999. View Article : Google Scholar : PubMed/NCBI

10 

Kumazawa T, Sato K, Seno H, Ishii A and Suzuki O: Levels of pyrroloquinoline quinone in various foods. Biochem J. 307:331–333. 1995. View Article : Google Scholar : PubMed/NCBI

11 

Stites TE, Mitchell AE and Rucker RB: Physiological importance of quinoenzymes and the O-quinone family of cofactors. J Nutr. 130:719–727. 2000.PubMed/NCBI

12 

Steinberg FM, Gershwin ME and Rucker RB: Dietary pyrroloquinoline quinone: Grono irradiationh and immune response in BALB/c mice. J Nutr. 124:744–753. 1994.PubMed/NCBI

13 

Steinberg F, Stites TE, Anderson P, Storms D, Chan I, Eghbali S and Rucker R: Pyrroloquinoline quinone improves grono irradiationh and reproductive performance in mice fed chemically defined diets. Exp Biol Med (Maywood). 228:160–166. 2003.PubMed/NCBI

14 

Zhang Y, Feustel PJ and Kimelberg HK: Neuroprotection by pyrroloquinoline quinone (PQQ) in reversible middle cerebral artery occlusion in the adult rat. Brain Res. 1094:200–206. 2006. View Article : Google Scholar : PubMed/NCBI

15 

Zhang Y and Rosenberg PA: The essential nutrient pyrroloquinoline quinone may act as a neuroprotectant by suppressing peroxynitrite formation. Eur J Neurosci. 16:1015–1024. 2002. View Article : Google Scholar : PubMed/NCBI

16 

Zhu BQ, Simonis U, Cecchini G, Zhou HZ, Li L, Teerlink JR and Karliner JS: Comparison of pyrroloquinoline quinone and/or metoprolol on myocardial infarct size and mitochondrial damage in a rat model of ischemia/reperfusion injury. J Cardiovasc Pharmacol Ther. 11:119–128. 2006. View Article : Google Scholar : PubMed/NCBI

17 

Ohwada K, Takeda H, Yamazaki M, Isogai H, Nakano M, Shimomura M, Fukui K and Urano S: Pyrroloquinoline Quinone (PQQ) prevents cognitive deficit caused by oxidative stress in rats. J Clin Biochem Nutr. 42:29–34. 2008. View Article : Google Scholar : PubMed/NCBI

18 

Shankar BS, Pandey R, Amin P, Misra HS and Sainis KB: Role of glutathione in augmenting the anticancer activity of pyrroloquinoline quinone (PQQ). Redox Rep. 15:146–154. 2010. View Article : Google Scholar : PubMed/NCBI

19 

Ouchi A, Nakano M, Nagaoka S and Mukai K: Kinetic study of the antioxidant activity of pyrroloquinolinequinol (PQQH(2), a reduced form of pyrroloquinolinequinone) in micellar solution. J Agric Food Chem. 57:450–456. 2009. View Article : Google Scholar : PubMed/NCBI

20 

Stites T, Storms D, Bauerly K, Mah J, Harris C, Fascetti A, Rogers Q, Tchaparian E, Satre M and Rucker RB: Pyrroloquinoline quinone modulates mitochondrial quantity and function in mice. J Nutr. 136:390–396. 2006.PubMed/NCBI

21 

Ishii T, Akagawa M, Naito Y, Handa O, Takagi T, Mori T, Kumazawa S, Yoshikawa T and Nakayama T: Pro-oxidant action of pyrroloquinoline quinone: Characterization of protein oxidative modifications. Biosci Biotechnol Biochem. 74:663–666. 2010. View Article : Google Scholar : PubMed/NCBI

22 

Tao R, Karliner JS, Simonis U, Zheng J, Zhang J, Honbo N and Alano CC: Pyrroloquinoline quinone preserves mitochondrial function and prevents oxidative injury in adult rat cardiac myocytes. Biochem Biophys Res Commun. 363:257–262. 2007. View Article : Google Scholar : PubMed/NCBI

23 

Misra HS, Khairnar NP, Barik A, Priyadarsini K Indira, Mohan H and Apte SK: Pyrroloquinoline-quinone: A reactive oxygen species scavenger in bacteria. FEBS Lett. 578:26–30. 2004. View Article : Google Scholar : PubMed/NCBI

24 

Bauerly K, Harris C, Chowanadisai W, Graham J, Havel PJ, Tchaparian E, Satre M, Karliner JS and Rucker RB: Altering pyrroloquinoline quinone nutritional status modulates mitochondrial, lipid, and energy metabolism in rats. PLoS One. 6:e217792011. View Article : Google Scholar : PubMed/NCBI

25 

Liu H, Guo J, Wang L, Chen N, Karaplis A, Goltzman D and Miao D: Distinctive anabolic roles of 1,25-dihydroxyvitamin D(3) and parathyroid hormone in teeth and mandible versus long bones. J Endocrinol. 203:203–213. 2009. View Article : Google Scholar : PubMed/NCBI

26 

Kressel M and Groscurth P: Distinction of apoptotic and necrotic cell death by in situ labelling of fragmented DNA. Cell Tissue Res. 278:549–556. 1994. View Article : Google Scholar : PubMed/NCBI

27 

Xue Y, Karaplis AC, Hendy GN, Goltzman D and Miao D: Genetic models show that parathyroid hormone and 1,25-dihydroxyvitamin D3 play distinct and synergistic roles in postnatal mineral ion homeostasis and skeletal development. Hum Mol Genet. 14:1515–1528. 2005. View Article : Google Scholar : PubMed/NCBI

28 

Zamzami N, Marchetti P, Castedo M, Decaudin D, Macho A, Hirsch T, Susin SA, Petit PX, Mignotte B and Kroemer G: Sequential reduction of mitochondrial transmembrane potential and generation of reactive oxygen species in early programmed cell death. J Exp Med. 182:367–377. 1995. View Article : Google Scholar : PubMed/NCBI

29 

Franke RM, Herdly J and Phillipe E: Acquired dental defects and salivary gland lesions after irradiation for carcinoma. J Am Dent Assoc. 70:868–883. 1965. View Article : Google Scholar : PubMed/NCBI

30 

Cherry CP and Gluckman A: Injury and repair following irradiation of salivary glands in male rats. Br J Radiol. 32:596–608. 1959. View Article : Google Scholar : PubMed/NCBI

31 

Phillipe RM: X-ray-induced changes in function and structure of the rat parotid gland. J Oral Surg. 28:432–437. 1970.PubMed/NCBI

32 

Sholley MM, Sodicoff M and Pratt NE: Early radiation injury in the rat parotid gland. Reaction of acinar cells and vascular endothelium. Lab Invest. 31:340–354. 1974.PubMed/NCBI

33 

Dirix P, Nuyts S and Van den Bogaert W: Radiation-induced xerostomia in patients with head and neck cancer: A literature review. Cancer. 107:2525–2534. 2006. View Article : Google Scholar : PubMed/NCBI

34 

Nuñez MI, McMillan TJ, Valenzuela MT, de Almodóvar JM Ruiz and Pedraza V: Relationship between DNA damage, rejoining and cell killing by radiation in mammalian cells. Radiother Oncol. 39:155–165. 1996. View Article : Google Scholar : PubMed/NCBI

35 

Umegaki K, Aoki S and Esashi T: Whole body X-ray irradiation to mice decreases ascorbic acid concentration in bone marrow: Comparison between ascorbic acid and vitamin E. Free Radic Biol Med. 19:493–497. 1995. View Article : Google Scholar : PubMed/NCBI

36 

Umegaki K and Ichikawa T: Decrease in vitamin E levels in the bone marrow of mice receiving whole-body X-ray irradiation. Free Radic Biol Med. 17:439–444. 1994. View Article : Google Scholar : PubMed/NCBI

37 

Liem IH, Olmos RA, Balm AJ, Keus RB, van Tinteren H, Takes RP, Muller SH, Bruce AM, Hoefnagel CA and Hilgers FJ: Evidence for early and persistent impairment of salivary gland excretion after irradiation of head and neck tumours. Eur J Nucl Med. 23:1485–1490. 1996. View Article : Google Scholar : PubMed/NCBI

38 

Taylor SE and Miller EG: Preemptive pharmacologic intervention in radiation-induced salivary dysfunction. Proc Soc Exp Biol Med. 221:14–26. 1999. View Article : Google Scholar : PubMed/NCBI

39 

Nagler RM: The enigmatic mechanism of irradiation-induced damage to the major salivary glands. Oral Dis. 8:141–146. 2002. View Article : Google Scholar : PubMed/NCBI

40 

Nagler RM, Baum BJ and Fox PC: Acute effects of X irradiation on the function of rat salivary glands. Radiat Res. 136:42–47. 1993. View Article : Google Scholar : PubMed/NCBI

41 

Pontual ML, Tuji FM, Barros SP, Bóscolo FN, Novaes PD and de Almeida SM: Ultrastructural evaluation of the radioprotective effect of sodium selenite on submandibular glands in rats. J Appl Oral Sci. 15:162–168. 2007. View Article : Google Scholar : PubMed/NCBI

42 

Medina VA, Prestifilippo JP, Croci M, Carabajal E, Bergoc RM, Elverdin JC and Rivera ES: Histamine prevents functional and morphological alterations of submandibular glands induced by ionising radiation. Int J Radiat Biol. 87:284–292. 2011. View Article : Google Scholar : PubMed/NCBI

43 

Cotrim AP, Hyodo F, Matsumoto K, Sowers AL, Cook JA, Baum BJ, Krishna MC and Mitchell JB: Differential radiation protection of salivary glands versus tumor by Tempol with accompanying tissue assessment of Tempol by magnetic resonance imaging. Clin Cancer Res. 13:4928–4933. 2007. View Article : Google Scholar : PubMed/NCBI

Related Articles

  • Abstract
  • View
  • Download
  • Twitter
Copy and paste a formatted citation
Spandidos Publications style
Huang Y, Chen N and Miao D: Radioprotective effects of pyrroloquinoline quinone on parotid glands in C57BL/6J mice Retraction in /10.3892/etm.2024.12644. Exp Ther Med 12: 3685-3693, 2016.
APA
Huang, Y., Chen, N., & Miao, D. (2016). Radioprotective effects of pyrroloquinoline quinone on parotid glands in C57BL/6J mice Retraction in /10.3892/etm.2024.12644. Experimental and Therapeutic Medicine, 12, 3685-3693. https://doi.org/10.3892/etm.2016.3843
MLA
Huang, Y., Chen, N., Miao, D."Radioprotective effects of pyrroloquinoline quinone on parotid glands in C57BL/6J mice Retraction in /10.3892/etm.2024.12644". Experimental and Therapeutic Medicine 12.6 (2016): 3685-3693.
Chicago
Huang, Y., Chen, N., Miao, D."Radioprotective effects of pyrroloquinoline quinone on parotid glands in C57BL/6J mice Retraction in /10.3892/etm.2024.12644". Experimental and Therapeutic Medicine 12, no. 6 (2016): 3685-3693. https://doi.org/10.3892/etm.2016.3843
Copy and paste a formatted citation
x
Spandidos Publications style
Huang Y, Chen N and Miao D: Radioprotective effects of pyrroloquinoline quinone on parotid glands in C57BL/6J mice Retraction in /10.3892/etm.2024.12644. Exp Ther Med 12: 3685-3693, 2016.
APA
Huang, Y., Chen, N., & Miao, D. (2016). Radioprotective effects of pyrroloquinoline quinone on parotid glands in C57BL/6J mice Retraction in /10.3892/etm.2024.12644. Experimental and Therapeutic Medicine, 12, 3685-3693. https://doi.org/10.3892/etm.2016.3843
MLA
Huang, Y., Chen, N., Miao, D."Radioprotective effects of pyrroloquinoline quinone on parotid glands in C57BL/6J mice Retraction in /10.3892/etm.2024.12644". Experimental and Therapeutic Medicine 12.6 (2016): 3685-3693.
Chicago
Huang, Y., Chen, N., Miao, D."Radioprotective effects of pyrroloquinoline quinone on parotid glands in C57BL/6J mice Retraction in /10.3892/etm.2024.12644". Experimental and Therapeutic Medicine 12, no. 6 (2016): 3685-3693. https://doi.org/10.3892/etm.2016.3843
Follow us
  • Twitter
  • LinkedIn
  • Facebook
About
  • Spandidos Publications
  • Careers
  • Cookie Policy
  • Privacy Policy
How can we help?
  • Help
  • Live Chat
  • Contact
  • Email to our Support Team