Spandidos Publications Logo
  • About
    • About Spandidos
    • Aims and Scopes
    • Abstracting and Indexing
    • Editorial Policies
    • Reprints and Permissions
    • Job Opportunities
    • Terms and Conditions
    • Contact
  • Journals
    • All Journals
    • Oncology Letters
      • Oncology Letters
      • Information for Authors
      • Editorial Policies
      • Editorial Board
      • Aims and Scope
      • Abstracting and Indexing
      • Bibliographic Information
      • Archive
    • International Journal of Oncology
      • International Journal of Oncology
      • Information for Authors
      • Editorial Policies
      • Editorial Board
      • Aims and Scope
      • Abstracting and Indexing
      • Bibliographic Information
      • Archive
    • Molecular and Clinical Oncology
      • Molecular and Clinical Oncology
      • Information for Authors
      • Editorial Policies
      • Editorial Board
      • Aims and Scope
      • Abstracting and Indexing
      • Bibliographic Information
      • Archive
    • Experimental and Therapeutic Medicine
      • Experimental and Therapeutic Medicine
      • Information for Authors
      • Editorial Policies
      • Editorial Board
      • Aims and Scope
      • Abstracting and Indexing
      • Bibliographic Information
      • Archive
    • International Journal of Molecular Medicine
      • International Journal of Molecular Medicine
      • Information for Authors
      • Editorial Policies
      • Editorial Board
      • Aims and Scope
      • Abstracting and Indexing
      • Bibliographic Information
      • Archive
    • Biomedical Reports
      • Biomedical Reports
      • Information for Authors
      • Editorial Policies
      • Editorial Board
      • Aims and Scope
      • Abstracting and Indexing
      • Bibliographic Information
      • Archive
    • Oncology Reports
      • Oncology Reports
      • Information for Authors
      • Editorial Policies
      • Editorial Board
      • Aims and Scope
      • Abstracting and Indexing
      • Bibliographic Information
      • Archive
    • Molecular Medicine Reports
      • Molecular Medicine Reports
      • Information for Authors
      • Editorial Policies
      • Editorial Board
      • Aims and Scope
      • Abstracting and Indexing
      • Bibliographic Information
      • Archive
    • World Academy of Sciences Journal
      • World Academy of Sciences Journal
      • Information for Authors
      • Editorial Policies
      • Editorial Board
      • Aims and Scope
      • Abstracting and Indexing
      • Bibliographic Information
      • Archive
    • International Journal of Functional Nutrition
      • International Journal of Functional Nutrition
      • Information for Authors
      • Editorial Policies
      • Editorial Board
      • Aims and Scope
      • Abstracting and Indexing
      • Bibliographic Information
      • Archive
    • International Journal of Epigenetics
      • International Journal of Epigenetics
      • Information for Authors
      • Editorial Policies
      • Editorial Board
      • Aims and Scope
      • Abstracting and Indexing
      • Bibliographic Information
      • Archive
    • Medicine International
      • Medicine International
      • Information for Authors
      • Editorial Policies
      • Editorial Board
      • Aims and Scope
      • Abstracting and Indexing
      • Bibliographic Information
      • Archive
  • Articles
  • Information
    • Information for Authors
    • Information for Reviewers
    • Information for Librarians
    • Information for Advertisers
    • Conferences
  • Language Editing
Spandidos Publications Logo
  • About
    • About Spandidos
    • Aims and Scopes
    • Abstracting and Indexing
    • Editorial Policies
    • Reprints and Permissions
    • Job Opportunities
    • Terms and Conditions
    • Contact
  • Journals
    • All Journals
    • Biomedical Reports
      • Information for Authors
      • Editorial Policies
      • Editorial Board
      • Aims and Scope
      • Abstracting and Indexing
      • Bibliographic Information
      • Archive
    • Experimental and Therapeutic Medicine
      • Information for Authors
      • Editorial Policies
      • Editorial Board
      • Aims and Scope
      • Abstracting and Indexing
      • Bibliographic Information
      • Archive
    • International Journal of Epigenetics
      • Information for Authors
      • Editorial Policies
      • Editorial Board
      • Aims and Scope
      • Abstracting and Indexing
      • Bibliographic Information
      • Archive
    • International Journal of Functional Nutrition
      • Information for Authors
      • Editorial Policies
      • Editorial Board
      • Aims and Scope
      • Abstracting and Indexing
      • Bibliographic Information
      • Archive
    • International Journal of Molecular Medicine
      • Information for Authors
      • Editorial Policies
      • Editorial Board
      • Aims and Scope
      • Abstracting and Indexing
      • Bibliographic Information
      • Archive
    • International Journal of Oncology
      • Information for Authors
      • Editorial Policies
      • Editorial Board
      • Aims and Scope
      • Abstracting and Indexing
      • Bibliographic Information
      • Archive
    • Medicine International
      • Information for Authors
      • Editorial Policies
      • Editorial Board
      • Aims and Scope
      • Abstracting and Indexing
      • Bibliographic Information
      • Archive
    • Molecular and Clinical Oncology
      • Information for Authors
      • Editorial Policies
      • Editorial Board
      • Aims and Scope
      • Abstracting and Indexing
      • Bibliographic Information
      • Archive
    • Molecular Medicine Reports
      • Information for Authors
      • Editorial Policies
      • Editorial Board
      • Aims and Scope
      • Abstracting and Indexing
      • Bibliographic Information
      • Archive
    • Oncology Letters
      • Information for Authors
      • Editorial Policies
      • Editorial Board
      • Aims and Scope
      • Abstracting and Indexing
      • Bibliographic Information
      • Archive
    • Oncology Reports
      • Information for Authors
      • Editorial Policies
      • Editorial Board
      • Aims and Scope
      • Abstracting and Indexing
      • Bibliographic Information
      • Archive
    • World Academy of Sciences Journal
      • Information for Authors
      • Editorial Policies
      • Editorial Board
      • Aims and Scope
      • Abstracting and Indexing
      • Bibliographic Information
      • Archive
  • Articles
  • Information
    • For Authors
    • For Reviewers
    • For Librarians
    • For Advertisers
    • Conferences
  • Language Editing
Login Register Submit
  • This site uses cookies
  • You can change your cookie settings at any time by following the instructions in our Cookie Policy. To find out more, you may read our Privacy Policy.

    I agree
Search articles by DOI, keyword, author or affiliation
Search
Advanced Search
presentation
Experimental and Therapeutic Medicine
Join Editorial Board Propose a Special Issue
Print ISSN: 1792-0981 Online ISSN: 1792-1015
Journal Cover
March-2017 Volume 13 Issue 3

Full Size Image

Sign up for eToc alerts
Recommend to Library

Journals

International Journal of Molecular Medicine

International Journal of Molecular Medicine

International Journal of Molecular Medicine is an international journal devoted to molecular mechanisms of human disease.

International Journal of Oncology

International Journal of Oncology

International Journal of Oncology is an international journal devoted to oncology research and cancer treatment.

Molecular Medicine Reports

Molecular Medicine Reports

Covers molecular medicine topics such as pharmacology, pathology, genetics, neuroscience, infectious diseases, molecular cardiology, and molecular surgery.

Oncology Reports

Oncology Reports

Oncology Reports is an international journal devoted to fundamental and applied research in Oncology.

Experimental and Therapeutic Medicine

Experimental and Therapeutic Medicine

Experimental and Therapeutic Medicine is an international journal devoted to laboratory and clinical medicine.

Oncology Letters

Oncology Letters

Oncology Letters is an international journal devoted to Experimental and Clinical Oncology.

Biomedical Reports

Biomedical Reports

Explores a wide range of biological and medical fields, including pharmacology, genetics, microbiology, neuroscience, and molecular cardiology.

Molecular and Clinical Oncology

Molecular and Clinical Oncology

International journal addressing all aspects of oncology research, from tumorigenesis and oncogenes to chemotherapy and metastasis.

World Academy of Sciences Journal

World Academy of Sciences Journal

Multidisciplinary open-access journal spanning biochemistry, genetics, neuroscience, environmental health, and synthetic biology.

International Journal of Functional Nutrition

International Journal of Functional Nutrition

Open-access journal combining biochemistry, pharmacology, immunology, and genetics to advance health through functional nutrition.

International Journal of Epigenetics

International Journal of Epigenetics

Publishes open-access research on using epigenetics to advance understanding and treatment of human disease.

Medicine International

Medicine International

An International Open Access Journal Devoted to General Medicine.

Journal Cover
March-2017 Volume 13 Issue 3

Full Size Image

Sign up for eToc alerts
Recommend to Library

  • Article
  • Citations
    • Cite This Article
    • Download Citation
    • Create Citation Alert
    • Remove Citation Alert
    • Cited By
  • Similar Articles
    • Related Articles (in Spandidos Publications)
    • Similar Articles (Google Scholar)
    • Similar Articles (PubMed)
  • Download PDF
  • Download XML
  • View XML
Article

Microscopic surgery for pituitary adenomas to preserve the pituitary gland and stalk

  • Authors:
    • Hao‑Yu Li
    • Cheng‑Yuan Feng
    • Chi Zhang
    • Jun Su
    • Jian Yuan
    • Yuanyang Xie
    • Yiwei Liao
    • Xianrui Yuan
    • Qing Liu
  • View Affiliations / Copyright

    Affiliations: Department of Neurosurgery, Xiangya Hospital, Central South University, Changsha, Hunan 410008, P.R. China
  • Pages: 1011-1016
    |
    Published online on: January 19, 2017
       https://doi.org/10.3892/etm.2017.4063
  • Expand metrics +
Metrics: Total Views: 0 (Spandidos Publications: | PMC Statistics: )
Metrics: Total PDF Downloads: 0 (Spandidos Publications: | PMC Statistics: )
Cited By (CrossRef): 0 citations Loading Articles...

This article is mentioned in:



Abstract

Surgery is the primary treatment of choice for all symptomatic pituitary adenomas except prolactinomas. Common postoperative complications include endocrinopathies, vision impairment and cerebrospinal fluid leak. The present study assessed 153 continuous microscopic surgeries for pituitary adenomas performed by an author of the present study between 2010 to 2014. Patients underwent either transphenoidal or transcranial surgery depending on their individual tumor characteristics. Five typical cases are presented in the present study and intraoperative identification and preservation of the gland and stalk were discussed. Postoperative complications were analyzed and compared with the literature. In the present analysis, 90.2% patients received transphenoidal surgery, and the rest underwent transcranial operation. Gross total resection was achieved in 81.2% patients in the transphenoidal group and 46.7% patients in the transcranial group. No new hypopituitarism or worsening of the pre‑existing pituitary dysfunctions was detected. The most common postoperative endocrinopathy was diabetes insipidus (transphenoidal group, 4.3%; transcranial group, 26.7%). All patients were fully recovered prior to discharge. The findings indicated the importance of pituitary gland and stalk preservation during the microscopic surgery to minimize postoperative morbidity and mortality, without compromising the extent of tumor resection. Based on preoperative imaging characteristics and intraoperative observations, surgeons should try all possible means to preserve the pituitary stalk and gland during surgery in order to minimize postoperative endocrinopathies and improve quality of life.

Introduction

Neurosurgery evolved into an independent medical specialty more than one hundred years ago. However, the rapid technological advancement and the quantum leap in our understanding of the human nervous system has reshaped this field in the past few decades. With the most sophisticated medical instrumentation, surgeries that were previously deemed impossible can now be performed.

A good example of this medical evolution is the surgical management of pituitary adenomas. The earliest trial dates back to the late 19th century when Canton and Horsley performed the first transcranial pituitary surgeries (1,2). Due to significant mortality rates associated with this approach, Schloffer explored a transphenoidal route to the sellar region in the early 1900s (3). Following the introduction of the operating microscope into transphenoidal surgery in the 1960s (4), there was a marked reduction in postoperative morbidity and mortality (5–8). This microsurgical technique is still considered to be the gold standard for pituitary tumor management (9). As for the endoscope, it was used as an adjunct to the operative microscope when first introduced (10). With the increasing emphasis on minimally invasive surgeries, endoscopic surgery has increased in popularity since the mid-1990s (11,12), and may have the potential to replace microscopic surgery as the new standard technique (13). However, no matter which technique or approach is used, pituitary surgery is associated with significant complications, including endocrinopathies, vision impairment, and cerebrospinal fluid leak (14). In a recent large meta-analysis, Ammirati et al (15) reported that 11.6% of patients undergoing pituitary surgery presented with postoperative hypopituitarism and 4.3% with permanent diabetes insipidus (DI). Therefore, the central question in the surgical management of pituitary adenomas is how to achieve maximal tumor resection whilst preserving pituitary functions and minimizing postoperative complications.

In the present study, 153 continuous microsurgical cases performed between 2010 and 2014 were reviewed and the results were compared with the existing literature in order to elucidate any techniques that may facilitate the improved identification and preservation of the gland and stalk during surgery without compromising the extent of tumor resection, which is essential to minimize postoperative morbidity and mortality.

Materials and methods

Ethics statement

Ethical approval was granted by the institutional review boards of Xiangya Hospital Central South University (Changsha, China). Informed consent was obtained from patients scheduled for surgery following an explanation of the study aims and protocol.

Patients

A total of 153 continuous microscopic surgeries (Table I) for pituitary adenomas were performed by a senior author of the present study (QL) at Xiangya Hospital, Central South University between August 2010 and December 2014. Among these patients were 87 males and 66 females (mean age, 44.4±30 years). A total of 138 patients underwent transnasal transphenoidal surgery and 15 received transcranial surgery (subfrontal or pterional craniotomy), depending on their individual tumor characteristics. All surgeries were performed using Zeiss Pentero microscopes (Zeiss AG, Oberkochen, Germany). Magnetic resonance imaging (MRI) was performed prior to and following surgery. Diagnoses were further confirmed by pathology using a modified Hardy's grading system (16).

Table I.

Patient characteristics.

Table I.

Patient characteristics.

CharacteristicsNo. of patients
Age44.4±30
Gender
  Male87 (56.9%)
  Female66 (43.1%)
Approach
  Transnasal transphenoidal138 (90.2%)
  Subfrontal10 (6.5%)
  Pterional5 (3.3%)
Follow-up

Pre- and postoperative MRI were analyzed to determine the extent of resection, including gross-total resection (GTR), near-total resection (NTR) and partial resection. Pituitary hormone levels were measured before the operation and on the post-operative days 1 and 3. Fasting venous blood samples were used. All samples were processed in the Clinical Endocrinology Research Center at Xiangya Hospital Central South University. The hormone levels were measured by radioimmunoassay using the standard commercially available kits. Hypopituitarism was defined as impairment in at least one axis. Hormone levels were monitored one week after discharge, monthly for 3 months, and then semiannually. MRI follow-ups were scheduled every six months within the first year, and were extended to annually after this period. Patients who received non-GTR underwent further radiotherapy for one month after surgery.

Results

Extent of tumor resection

As outlined, a modified Hardy's grading system (17) was used for tumor classification. Pre- and postoperative MRI were analyzed to determine the extent of resection, including GTR, NTR and partial resection. As shown in Table II, all patients with grade I and II tumors underwent transphenoidal surgery, with a GTR rate of 94.3%. For grade III and IV tumors, GTR was achieved in 72.9% of the patients in the transphenoidal group and 46.7% of the patients in the transcranial group. The overall GTR rate was 81.2% for the transphenoidal approach, and 46.7% for the transcranial approach.

Table II.

Association between tumor size, surgical approach and extent of resection.

Table II.

Association between tumor size, surgical approach and extent of resection.

Number of patientsTransphenoidal approachTranscranial approach



GradeTransphenoidalTranscranialGTRNTROtherGTRNTROther
I7–6 (85.7%)1 (14.3%)––––
II46–44 (95.7%)2 (4.3%)––––
III73759 (80.8%)11 (15.1%)3 (4.1%)2 (28.6%)4 (57.1%)1 (14.3%)
IV1283 (25.0%)6 (50.0%)3 (25.0%)5 (62.5%)2 (25.0%)1 (12.5%)
Total13815112 (81.2%)20 (14.5%)6 (4.3%)7 (46.7%)6 (40.0%)2 (13.3%)

[i] Modified Hardy's grading system: Grade I, ≤10 mm, within the sella turcica (microadenoma); Grade II, 10–20 mm, suprasellar extension within 10 mm of planum sphenoidale; Grade III, 20–40 mm, suprasellar extension ≤30 mm, invading into the anterior third ventricle; Grade IV, ≥40 mm, extends far beyond the sellar space, with lateral or multi-directional expansions (12). GTR, gross-total resection; NTR, near-total resection.

Complications

Postoperative complications are listed in Tables III and IV. The present study predominantly focused on the pituitary functions of patients, including hypopituitarism and DI, which indicate the integrity of the pituitary gland and the stalk.

Table III.

Pre- and post-operative cases of hypopituitarism.

Table III.

Pre- and post-operative cases of hypopituitarism.

Post-operative

Pre-operativeNew/worsenedRecoveredImprovedUnchanged
TS69018 (26.1%)24 (34.8%)27 (39.1%)
TC1201 (8.3%)5 (41.7%)6 (50.0%)

[i] TS, transsphenoidal surgery; TC, transcranial surgery.

Table IV.

Other postoperative complications.

Table IV.

Other postoperative complications.

TSTC
Permanent diabetes insipidus00
Transient diabetes insipidus6 (4.3%)4 (26.7%)
CSF leak3 (2.2%)0
Intracranial hemorrhage01 (6.7%)
Intracranial infection01 (6.7%)
Perioperative mortality00

[i] TS, transsphenoidal surgery; TC, transcranial surgery; CSF cerebrospinal fluid.

None of the 153 patients examined developed new anterior pituitary insufficiency. A total of 69 (50.0%) patients undergoing transsphenoidal surgery presented with hypopituitarism prior to surgery. Among those, 18 (26.1%) patients exhibited normal pituitary functions following the procedure. In the transcranial group, 12 (80%) patients demonstrated preoperative hypopituitarism; the pituitary functions of one patient (8.3%) returned to normal following surgery. Partial recovery of the pituitary functions was achieved in 24 (34.8%) patients in the transsphenoidal group and 5 (41.7%) patients in the transcranial group. Pituitary functions remained unchanged in the remaining patients.

No patients presented with DI prior to surgery; however, 4.3% patients in the transsphenoidal group and 26.7% patients in the transcranial group exhibited transient postoperative DI. Their symptoms resolved quickly with or without vasopressin treatment prior to discharge.

Follow-up

The follow-up period ranged from 6 months to 5 years with a mean of 2.2 years. No patients exhibited clear tumor recurrence in the GTR group. Among those who received non-GTR, three patients (8.8%) were found to exhibit regrowth and underwent subsequent radiotherapy or surgery.

Patients with abnormal pituitary functions after surgery routinely received hormone replacement therapy. In the case of post-operative hypothyroidism, oral levothyroxine tablets were prescribed. For patients with adrenocortical insufficiency, hydrocortisone was administered. Patients were followed in the endocrinology clinic. Pituitary hormone levels were measured and the drug doses were adjusted accordingly. The hormone levels of 6.5% of patients (4/62) returned to normal and no longer required hormone replacement during the follow-up period.

Typical cases
Case 1

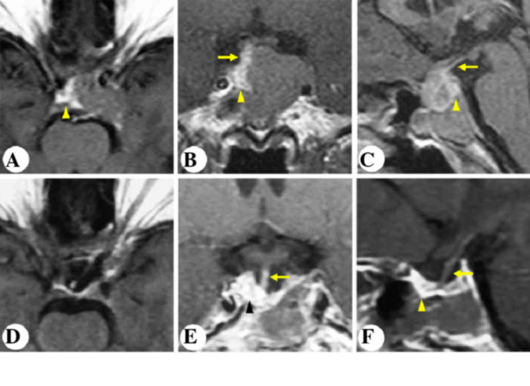
A 63-year-old male complained of severe intermittent headache for the past three years. MRI revealed an intrasellar non-enhancing lesion (Fig. 1). The pituitary gland and stalk was stretched and displaced posterolaterally to the right (Fig. 1A-C). The patient underwent microscopic transphenoidal surgery (Fig. 2). Postoperative MRI demonstrated gross-total resection of the tumor and an anatomically intact gland and stalk (Fig. 1D-F). An intraoperative view of the pituitary gland (Fig. 2) is shown in Fig. 2A after tumor removal.

Figure 1.

Patient 1. Representative post contrast T1-weighted images. Preoperative (A) horizontal, (B) coronal and (C) sagittal MRI images demonstrated the space-occupying lesion in the sellar region. Postoperative (D) horizontal, (E) coronal and (F) sagittal MRI images showed gross-total resection of the tumor and the anatomically intact pituitary stalk and gland. Arrows indicate the pituitary stalk. Arrowheads indicate the pituitary gland. MRI, magnetic resonance imaging.

Figure 2.

Representative intraoperative microscopic images of the pituitary gland and the stalk after tumor removal. (A) Case 1, (B) case 3, (C) case 4 and (D) case 5. Hollow arrowheads indicate the anterior pituitary lobe. Hollow arrows indicate the posterior pituitary lobe. Solid arrows indicate the pituitary stalk.

Case 2

A 48-year-old female complained of progressive intermittent headache and dizziness for the past nine years. MRI revealed an intrasellar and suprasellar non-enhancing lesion, invading the left cavernous sinus and the sphenoidal sinus. The stalk was displaced posterolaterally to the right (Fig. 3A-C). The patient underwent microscopic transphenoidal surgery. Postoperative MRI outlined GTR of the tumor and an anatomically intact gland and stalk (Fig. 3D-F).

Figure 3.

Patient 2. Representative post contrast T1-weighted images. Preoperative (A) horizontal, (B) coronal and (C) sagittal and postoperative (D) horizontal, (E) coronal and (F) sagittal magnetic resonance imaging of the sellar region. Arrows indicate the pituitary stalk. Arrowheads indicate the pituitary gland.

Case 3

A 20-year-old male presented with severe intermittent headache and progressive vision impairment in the right eye for two years. Preoperative MRI is presented in Fig. 4A-C. MRI revealed an intrasellar and suprasellar non-enhancing lesion, invading the left cavernous sinus. The patient underwent unilateral subfrontal surgery. As shown in Fig. 2B, the pituitary stalk was visualized between the optic nerves, and the gland extended distally into the sella turcica. Postoperative MRI revealed gross-total resection of the tumor and an anatomically intact gland and stalk (Fig. 4D-F).

Figure 4.

Patient 3. Representative post contrast T1-weighted images. Preoperative (A) horizontal, (B) coronal and (C) sagittal and postoperative (D) horizontal, (E) coronal and (F) sagittal magnetic resonance imaging of the sellar region. Arrows indicate the pituitary stalk. Arrowheads indicate the pituitary gland.

Case 4

A 50-year-old male complained of progressive visual disturbance in both eyes for 10 years. MRI demonstrated a large intra- and suprasellar lesion, invading the sphenoidal sinus inferiorly and the third ventricle superiorly, compressing the optic chiasm and encasing the left internal carotid arteries. The stalk was buried deep inside the tumor, and the gland was displaced posteriorly (Fig. 5A-C). Lab tests suggested a nonfunctioning pituitary adenoma. The patient subsequently underwent unilateral subfrontal craniotomy. Following tumor resection, the pituitary gland and the stalk were visualized in the posteromedial side of the right optic nerve (Fig. 2C). Postoperative MRI showed near-total resection (Fig. 5D-F).

Figure 5.

Patient 4. Representative post contrast T1-weighted images. Preoperative (A) horizontal, (B) coronal and (C) sagittal and postoperative (D) horizontal, (E) coronal and (F) sagittal magnetic resonance imaging of the sellar region. Arrows indicate the pituitary stalk. Arrowheads indicate the pituitary gland.

Case 5

A 33-year-old female was diagnosed with acromegaly three years ago. Pituitary hormone panel suggested a growth hormone secreting adenoma. Preoperative MRI showed a homogenously enhancing intra-, supra-, and parasellar lesion with a multilobular configuration (Fig. 6A-C). The stalk was compressed, distorted and displaced posterolaterally to the right. The gland was also displaced anterolaterally to the same side (Fig. 6A-C). The patient underwent pterional craniotomy. Following tumor excision, the pituitary stalk was visualized between the right optic nerve and the right internal carotid artery (Fig. 2D). Postoperative MRI showed gross total removal of the tumor and an anatomically intact gland and stalk (Fig. 6D-F).

Figure 6.

Patient 5. Representative post contrast T1-weighted images. Preoperative (A) horizontal, (B) coronal and (C) sagittal and postoperative (D) horizontal, (E) coronal and (F) sagittal magnetic resonance imaging of the sellar region. Arrows indicate the pituitary stalk. Arrowheads indicate the pituitary gland.

Discussion

Pituitary adenomas account for 10–15% of all intracranial tumors (17,18). Surgery is the primary treatment of choice for all symptomatic patients, with the exception of those with prolactinomas (19). It remains still controversial whether microscopic or endoscopic surgery is the gold standard (9,13). The present study predominantly focused on the microscopic approach. The majority of pituitary tumors (with or without suprasellar extension) are removed via transnasal transphenoidal microscopic surgery. However, transcranial microscopic surgery is recommended in up to 10% of patients (5,6,20). In the present patient series, 138 patients (90.2%) underwent transphenoidal surgeries, and 15 patients (9.8%) received transcranial operations. Regardless of the surgical approach, the treatment goals were four-fold: i) To achieve GTR whenever possible, ii) reduce intracranial pressure if present, iii) relieve neurological and endocrine manifestations, and iv) preserve normal pituitary anatomy. It is important to preserve both the gland and stalk in order to minimize new postoperative endocrinopathies and improve quality of life (5,15,21).

Preoperative pituitary MRI provides invaluable information to facilitate the localization and protection of the gland and stalk during surgery. The imaging characteristics of the normal gland (22) and the pituitary adenomas (23–25) have been well studied. The anterior lobe is isointense on both T1 and T2 images, and the posterior lobe is hyperintense on T1 and hypointense on T2 sequences. The gland (seen as a bright spot in the sella) is diffusely enhanced on post contrast T1 images, which can be distinguished from the pituitary adenomas (26). The stalk is wider near the hypothalamus, and smoothly tapers as it travels caudally. It is relatively hypointense compared with the optic chiasm and the neurohypophysis on T1 images, and is also diffusedly enhanced after IV contrast administration (27). For microadenomas, the stalk may slightly deviate away from the tumor (28). For macroadenomas, the longitudinal axis of the stalk may point directly toward the normal gland (28).

As mentioned previously, the transphenoidal approach is the preferred approach for the majority of pituitary adenomas due to postoperative low morbidity and mortality (6–8,20). During transphenoidal surgery, adequate dura opening on the sellar floor is essential to allow sufficient exposure of the tumor. Following removal of the inferior pole of the tumor, the posterior lobe can be identified as a red and firm structure, separated from the tumor by a pseudocapsule. The tumor is then carefully excised from next to the pituitary gland. Every effort should be made to protect the anterior lobe. Special attention should be paid to the color, the texture and the pseudocapsule, and excessive electrocoagulation in its vicinity should be avoided to preserve the blood supply. Then we can resect the tumor lateral to the cavernous sinus, and finally explore the suprasellar region and remove any residual tumor above the diaphragm. In the present patient series, the anatomical relationship was relatively straightforward between the microadenoma and the pituitary gland. For macro- and giant adenomas, particularly when tumors invade the cavernous sinus, the anterior lobe and the stalk are usually displaced to the opposite side, while the location of the posterior lobe is constant in the sella, as in cases 1 and 2

In contrast to the transphenoidal approach, the transcranial approach is associated with significant morbidity and mortality (6–8,29). Therefore, strict guidelines must be followed. Various factors should be taken into consideration prior to surgery, including the patient's age, current health condition, visual function, and imaging characteristics (29). This approach is reserved for tumors extending superolaterally to the supraclinoid internal carotid artery, reaching the foramen of Monro or encasing the subarachnoid arteries, and tumors with asymmetric subfrontal extension or predominantly cavernous sinus invasion (5,29,30). It is also indicated in patients with small sellae, diaphragmatic constriction, fibrous pituitary adenomas, or postoperative apoplexy of the residual suprasellar tumor (5,29,30). All of the present patients who underwent transcranial procedures had grade III or IV tumors. The majority of these cases received unilateral subfrontal craniotomy combined with trans lamina terminalis approach when necessary, as in cases 3 and 4). Pterional craniotomy was indicated for the tumors with dominant parasellar extension, particularly with significant cavernous sinus invasion, as in case 5). The majority of tumors with regular contours exhibit distinct anatomical relationships with the gland and stalk. During surgery, the intrasellar tumor was excised through the prechiasmatic space. Using similar criteria to identify the pituitary gland (color, texture and pseudocapsule), the cavernous sinus was subsequently explored and as much of the tumor as possible was removed. Finally, the residual tumor was meticulously dissected away from the optic pathway and the anterior communicating artery complex, and the suprasellar tumor was resected. Care must be taken to identify and protect the stalk and gland along the dilated diaphragmatic foramen. For those large or giant pituitary multilobular adenomas, the anatomical relationships are not clear. The tumor can encase the stalk and/or the anterior lobe, as observed in cases 3–5. The anatomy of the region in question must be carefully assessed in the preoperative MRI in order to establish an appropriate surgical plan. We propose that it is preferable to excise the intrasellar tumor first so that the tumor blood supply can be restricted to facilitate subsequent tumor removal and normal anatomy preservation. When dealing with intrasellar tumors, the residual anterior lobe was identified based on its color, texture and the pseudocapsule. Excessive traction and electrocoagulation should be avoided. Following sufficient tumor decompression, the stalk was identified and preserved using landmarks, including the dorsum sellae and diaphragma sellae. Care must be taken to protect bilateral superior hypophyseal arteries. For tumors with excessive cavernous sinus invasion, the epidural or subdural approach may be attempted. However, particular attention should be paid to protect the oculomotor nerve and the cavernous segment of the internal carotid artery. The residual tumor extending into the third ventricle can be safely removed after sufficient decompression due to its loose attachment to the ventricular floor, supported by the surgeon's knowledge of the individual suprasellar anatomy during surgery.

New-onset postoperative hypopituitarism and permanent DI indicate possible intraoperative damage to the pituitary gland and/or stalk. Excessive use of the aspirator, rough handling and excessive electrocoagulation (31) near the pituitary gland and stalk can lead to these potentially fatal endocrinopathies. It has been reported that new-onset hypopituitarism and permanent DI occurred in 11.6 and 4.3% of patients undergoing transphenoidal surgeries (15), and 15 and 3.2% of patients after transcranial surgery (5). In the present patient series, preoperative pituitary insufficiency was identified in 50.0 and 80.0% of the patients undergoing transsphenoidal or transcranial craniotomy, respectively. Pituitary functions returned to normal in 26.1 and 8.3% of those patients following surgery. No new-onset hypopituitarism or worsening of the preexisting pituitary dysfunctions was detected. Postoperative DI occurred in 4.3 and 26.7% of the patients undergoing transsphenoidal and transcranial surgery, respectively, and all these patients were fully recovered prior to discharge. In our experience, it was more difficult to preserve the integrity of the gland and stalk during the transcranial surgery as all the present transcranial cases were grade III and IV tumors). Fatemi et al (21) reported that the tumor diameter (>20 mm) is the single most important predictor of new-onset hypopiuitarism. In addition, if hypopituitarism presents prior to surgery, full recovery is less likely following surgery. However, if the patient does not present with preoperative pituitary dysfunction or DI, new-onset postoperative hypopituitarism or permanent DI is not expected to occur.

Pituitary tissue preservation is not a novel concept (21,26,27,21). However it is difficult to achieve in cases of large pituitary tumors that displace or even encase the gland and the stalk. Under these conditions, normal structures cannot be clearly identified in the images, which renders pituitary protection difficult during surgery. The present surgical observations may allow surgeons to better identify and preserve the gland and stalk without compromising the extent of resection, which is essential to minimize postoperative morbidity and mortality.

In conclusion, based on preoperative imaging characteristics and intraoperative observations, surgeons should try all possible means to preserve the pituitary stalk and gland during surgery, in order to minimize postoperative endocrinopathies and improve the patient's quality of life.

Acknowledgements

The present study was supported by the National Key Technology Research and Development Program of the Ministry of Science and Technology of China (grant no. 2014BAI04B01) and the Technology Plan of Science and Technology Bureau (grant no. 2013SK2022).

References

1 

Caton R: Notes of a case of acromegaly treated by operation. Br Med J. 2:1421–1423. 1893. View Article : Google Scholar : PubMed/NCBI

2 

Horsley V: On the technique of operations on the central nervous system. Br Med J. 2:411–423. 1906. View Article : Google Scholar

3 

Schloffer H: Successful surgical treatment of a pituitary tumor in the nasal cavity. Wien Klin Wochenschr. 20:621–624. 1907.(In German).

4 

Hardy J: Surgery of the pituitary gland, using the trans-sphenoidal approach. Comparative study of 2 technical methods. Union Med Can. 96:702–712. 1967.(In French). PubMed/NCBI

5 

Buchfelder M and Kreutzer J: Transcranial surgery for pituitary adenomas. Pituitary. 11:375–384. 2008. View Article : Google Scholar : PubMed/NCBI

6 

Wilson CB: A decade of pituitary microsurgery. The Herbert Olivecrona lecture. J Neurosurg. 61:814–833. 1984. View Article : Google Scholar : PubMed/NCBI

7 

Laws ER and Jane JA Jr: Pituitary tumors-long-term outcomes and expectations. Clin Neurosurg. 48:306–319. 2001.PubMed/NCBI

8 

Wilson CB: Surgical management of pituitary tumors. J Clin Endocrinol Metab. 82:2381–2385. 1997. View Article : Google Scholar : PubMed/NCBI

9 

Mortini P: Cons: Endoscopic endonasal transsphenoidal pituitary surgery is not superior to microscopic transsphenoidal surgery for pituitary adenomas. Endocrine. 47:415–420. 2014. View Article : Google Scholar : PubMed/NCBI

10 

Apuzzo ML, Heifetz MD, Weiss MH and Kurze T: Neurosurgical endoscopy using the side-viewing telescope. J Neurosurg. 46:398–400. 1977. View Article : Google Scholar : PubMed/NCBI

11 

Jho HD, Carrau RL, Ko Y and Daly MA: Endoscopic pituitary surgery: An early experience. Surg Neurol. 47:213–222; discussion 222–223. 1997. View Article : Google Scholar : PubMed/NCBI

12 

Alfieri A: Endoscopic endonasal transsphenoidal approach to the sellar region: Technical evolution of the methodology and refinement of a dedicated instrumentation. J Neurosurg Sci. 43:85–92. 1999.PubMed/NCBI

13 

Mamelak AN: Pro: Endoscopic endonasal transsphenoidal pituitary surgery is superior to microscope-based transsphenoidal surgery. Endocrine. 47:409–414. 2014. View Article : Google Scholar : PubMed/NCBI

14 

Dehdashti AR, Ganna A, Karabatsou K and Gentili F: Pure endoscopic endonasal approach for pituitary adenomas: Early surgical results in 200 patients and comparison with previous microsurgical series. Neurosurgery. 62:1006–1015; discussion 1015–1017. 2008. View Article : Google Scholar : PubMed/NCBI

15 

Ammirati M, Wei L and Ciric I: Short-term outcome of endoscopic versus microscopic pituitary adenoma surgery: A systematic review and meta-analysis. J Neurol Neurosurg Psychiatry. 84:843–849. 2013. View Article : Google Scholar : PubMed/NCBI

16 

Shou XF, Li SQ, Wang YF, Zhao Y, Jia PF and Zhou LF: Treatment of pituitary adenomas with a transsphenoidal approach. Neurosurgery. 56:249–256; discussion 249–256. 2005. View Article : Google Scholar : PubMed/NCBI

17 

Kovacs K and Horvath E: Pathology of pituitary tumors. Endocrinol Metab Clin North Am. 16:529–551. 1987.PubMed/NCBI

18 

Scheithauer BW: Surgical pathology of the pituitary: The adenomas. Part I. Pathol Annu. 19:317–374. 1984.PubMed/NCBI

19 

Laws ER and Jane JA Jr: Neurosurgical approach to treating pituitary adenomas. Growth Horm IGF Res. 15:(Suppl A). S36–S41. 2005. View Article : Google Scholar : PubMed/NCBI

20 

Wilson CB: Endocrine-inactive pituitary adenomas. Clin Neurosurg. 38:10–31. 1991.

21 

Fatemi N, Dusick JR, Mattozo C, McArthur DL, Cohan P, Boscardin J, Wang C, Swerdloff RS and Kelly DF: Pituitary hormonal loss and recovery after transsphenoidal adenoma removal. Neurosurgery. 63:709–718; discussion 718–719. 2008. View Article : Google Scholar : PubMed/NCBI

22 

Kirsten Forbes JK and White WL: Imaging of the pituitary gland. Barrow Quarterly. 18:9–19. 2002.

23 

Cottier JP, Destrieux C, Brunereau L, Bertrand P, Moreau L, Jan M and Herbreteau D: Cavernous sinus invasion by pituitary adenoma: MR imaging. Radiology. 215:463–469. 2000. View Article : Google Scholar : PubMed/NCBI

24 

Kaufman B, Kaufman BA, Arafah BM, Roessmann U and Selman WR: Large pituitary gland adenomas evaluated with magnetic resonance imaging. Neurosurgery. 21:540–546. 1987. View Article : Google Scholar : PubMed/NCBI

25 

Rajaraman V and Schulder M: Postoperative MRI appearance after transsphenoidal pituitary tumor resection. Surg Neurol. 52:592–598; discussion 598–599. 1999. View Article : Google Scholar : PubMed/NCBI

26 

Oldfield EH: Pituitary adenoma identification. J Neurosurg. 116:933–934; author reply 934. 2012. View Article : Google Scholar : PubMed/NCBI

27 

Simmons GE, Suchnicki JE, Rak KM and Damiano TR: MR imaging of the pituitary stalk: Size, shape, and enhancement pattern. AJR Am J Roentgenol. 159:375–377. 1992. View Article : Google Scholar : PubMed/NCBI

28 

Cho CH, Barkhoudarian G, Hsu L, Bi WL, Zamani AA and Laws ER: Magnetic resonance imaging validation of pituitary gland compression and distortion by typical sellar pathology. J Neurosurg. 119:1461–1466. 2013. View Article : Google Scholar : PubMed/NCBI

29 

de Divitiis E and de Divitiis O: Surgery for large pituitary adenomas: What is the best way? World Neurosurg. 77:448–450. 2012. View Article : Google Scholar : PubMed/NCBI

30 

Youssef AS, Agazzi S and van Loveren HR: Transcranial surgery for pituitary adenomas. Neurosurgery. 57:(Suppl 1). S168–S175; discussion 168–175. 2005.

31 

Berker M, Hazer DB, Yücel T, Gürlek A, Cila A, Aldur M and Onerci M: Complications of endoscopic surgery of the pituitary adenomas: Analysis of 570 patients and review of the literature. Pituitary. 15:288–300. 2012. View Article : Google Scholar : PubMed/NCBI

Related Articles

  • Abstract
  • View
  • Download
  • Twitter
Copy and paste a formatted citation
Spandidos Publications style
Li HY, Feng CY, Zhang C, Su J, Yuan J, Xie Y, Liao Y, Yuan X and Liu Q: Microscopic surgery for pituitary adenomas to preserve the pituitary gland and stalk. Exp Ther Med 13: 1011-1016, 2017.
APA
Li, H., Feng, C., Zhang, C., Su, J., Yuan, J., Xie, Y. ... Liu, Q. (2017). Microscopic surgery for pituitary adenomas to preserve the pituitary gland and stalk. Experimental and Therapeutic Medicine, 13, 1011-1016. https://doi.org/10.3892/etm.2017.4063
MLA
Li, H., Feng, C., Zhang, C., Su, J., Yuan, J., Xie, Y., Liao, Y., Yuan, X., Liu, Q."Microscopic surgery for pituitary adenomas to preserve the pituitary gland and stalk". Experimental and Therapeutic Medicine 13.3 (2017): 1011-1016.
Chicago
Li, H., Feng, C., Zhang, C., Su, J., Yuan, J., Xie, Y., Liao, Y., Yuan, X., Liu, Q."Microscopic surgery for pituitary adenomas to preserve the pituitary gland and stalk". Experimental and Therapeutic Medicine 13, no. 3 (2017): 1011-1016. https://doi.org/10.3892/etm.2017.4063
Copy and paste a formatted citation
x
Spandidos Publications style
Li HY, Feng CY, Zhang C, Su J, Yuan J, Xie Y, Liao Y, Yuan X and Liu Q: Microscopic surgery for pituitary adenomas to preserve the pituitary gland and stalk. Exp Ther Med 13: 1011-1016, 2017.
APA
Li, H., Feng, C., Zhang, C., Su, J., Yuan, J., Xie, Y. ... Liu, Q. (2017). Microscopic surgery for pituitary adenomas to preserve the pituitary gland and stalk. Experimental and Therapeutic Medicine, 13, 1011-1016. https://doi.org/10.3892/etm.2017.4063
MLA
Li, H., Feng, C., Zhang, C., Su, J., Yuan, J., Xie, Y., Liao, Y., Yuan, X., Liu, Q."Microscopic surgery for pituitary adenomas to preserve the pituitary gland and stalk". Experimental and Therapeutic Medicine 13.3 (2017): 1011-1016.
Chicago
Li, H., Feng, C., Zhang, C., Su, J., Yuan, J., Xie, Y., Liao, Y., Yuan, X., Liu, Q."Microscopic surgery for pituitary adenomas to preserve the pituitary gland and stalk". Experimental and Therapeutic Medicine 13, no. 3 (2017): 1011-1016. https://doi.org/10.3892/etm.2017.4063
Follow us
  • Twitter
  • LinkedIn
  • Facebook
About
  • Spandidos Publications
  • Careers
  • Cookie Policy
  • Privacy Policy
How can we help?
  • Help
  • Live Chat
  • Contact
  • Email to our Support Team