Spandidos Publications Logo
  • About
    • About Spandidos
    • Aims and Scopes
    • Abstracting and Indexing
    • Editorial Policies
    • Reprints and Permissions
    • Job Opportunities
    • Terms and Conditions
    • Contact
  • Journals
    • All Journals
    • Oncology Letters
      • Oncology Letters
      • Information for Authors
      • Editorial Policies
      • Editorial Board
      • Aims and Scope
      • Abstracting and Indexing
      • Bibliographic Information
      • Archive
    • International Journal of Oncology
      • International Journal of Oncology
      • Information for Authors
      • Editorial Policies
      • Editorial Board
      • Aims and Scope
      • Abstracting and Indexing
      • Bibliographic Information
      • Archive
    • Molecular and Clinical Oncology
      • Molecular and Clinical Oncology
      • Information for Authors
      • Editorial Policies
      • Editorial Board
      • Aims and Scope
      • Abstracting and Indexing
      • Bibliographic Information
      • Archive
    • Experimental and Therapeutic Medicine
      • Experimental and Therapeutic Medicine
      • Information for Authors
      • Editorial Policies
      • Editorial Board
      • Aims and Scope
      • Abstracting and Indexing
      • Bibliographic Information
      • Archive
    • International Journal of Molecular Medicine
      • International Journal of Molecular Medicine
      • Information for Authors
      • Editorial Policies
      • Editorial Board
      • Aims and Scope
      • Abstracting and Indexing
      • Bibliographic Information
      • Archive
    • Biomedical Reports
      • Biomedical Reports
      • Information for Authors
      • Editorial Policies
      • Editorial Board
      • Aims and Scope
      • Abstracting and Indexing
      • Bibliographic Information
      • Archive
    • Oncology Reports
      • Oncology Reports
      • Information for Authors
      • Editorial Policies
      • Editorial Board
      • Aims and Scope
      • Abstracting and Indexing
      • Bibliographic Information
      • Archive
    • Molecular Medicine Reports
      • Molecular Medicine Reports
      • Information for Authors
      • Editorial Policies
      • Editorial Board
      • Aims and Scope
      • Abstracting and Indexing
      • Bibliographic Information
      • Archive
    • World Academy of Sciences Journal
      • World Academy of Sciences Journal
      • Information for Authors
      • Editorial Policies
      • Editorial Board
      • Aims and Scope
      • Abstracting and Indexing
      • Bibliographic Information
      • Archive
    • International Journal of Functional Nutrition
      • International Journal of Functional Nutrition
      • Information for Authors
      • Editorial Policies
      • Editorial Board
      • Aims and Scope
      • Abstracting and Indexing
      • Bibliographic Information
      • Archive
    • International Journal of Epigenetics
      • International Journal of Epigenetics
      • Information for Authors
      • Editorial Policies
      • Editorial Board
      • Aims and Scope
      • Abstracting and Indexing
      • Bibliographic Information
      • Archive
    • Medicine International
      • Medicine International
      • Information for Authors
      • Editorial Policies
      • Editorial Board
      • Aims and Scope
      • Abstracting and Indexing
      • Bibliographic Information
      • Archive
  • Articles
  • Information
    • Information for Authors
    • Information for Reviewers
    • Information for Librarians
    • Information for Advertisers
    • Conferences
  • Language Editing
Spandidos Publications Logo
  • About
    • About Spandidos
    • Aims and Scopes
    • Abstracting and Indexing
    • Editorial Policies
    • Reprints and Permissions
    • Job Opportunities
    • Terms and Conditions
    • Contact
  • Journals
    • All Journals
    • Biomedical Reports
      • Information for Authors
      • Editorial Policies
      • Editorial Board
      • Aims and Scope
      • Abstracting and Indexing
      • Bibliographic Information
      • Archive
    • Experimental and Therapeutic Medicine
      • Information for Authors
      • Editorial Policies
      • Editorial Board
      • Aims and Scope
      • Abstracting and Indexing
      • Bibliographic Information
      • Archive
    • International Journal of Epigenetics
      • Information for Authors
      • Editorial Policies
      • Editorial Board
      • Aims and Scope
      • Abstracting and Indexing
      • Bibliographic Information
      • Archive
    • International Journal of Functional Nutrition
      • Information for Authors
      • Editorial Policies
      • Editorial Board
      • Aims and Scope
      • Abstracting and Indexing
      • Bibliographic Information
      • Archive
    • International Journal of Molecular Medicine
      • Information for Authors
      • Editorial Policies
      • Editorial Board
      • Aims and Scope
      • Abstracting and Indexing
      • Bibliographic Information
      • Archive
    • International Journal of Oncology
      • Information for Authors
      • Editorial Policies
      • Editorial Board
      • Aims and Scope
      • Abstracting and Indexing
      • Bibliographic Information
      • Archive
    • Medicine International
      • Information for Authors
      • Editorial Policies
      • Editorial Board
      • Aims and Scope
      • Abstracting and Indexing
      • Bibliographic Information
      • Archive
    • Molecular and Clinical Oncology
      • Information for Authors
      • Editorial Policies
      • Editorial Board
      • Aims and Scope
      • Abstracting and Indexing
      • Bibliographic Information
      • Archive
    • Molecular Medicine Reports
      • Information for Authors
      • Editorial Policies
      • Editorial Board
      • Aims and Scope
      • Abstracting and Indexing
      • Bibliographic Information
      • Archive
    • Oncology Letters
      • Information for Authors
      • Editorial Policies
      • Editorial Board
      • Aims and Scope
      • Abstracting and Indexing
      • Bibliographic Information
      • Archive
    • Oncology Reports
      • Information for Authors
      • Editorial Policies
      • Editorial Board
      • Aims and Scope
      • Abstracting and Indexing
      • Bibliographic Information
      • Archive
    • World Academy of Sciences Journal
      • Information for Authors
      • Editorial Policies
      • Editorial Board
      • Aims and Scope
      • Abstracting and Indexing
      • Bibliographic Information
      • Archive
  • Articles
  • Information
    • For Authors
    • For Reviewers
    • For Librarians
    • For Advertisers
    • Conferences
  • Language Editing
Login Register Submit
  • This site uses cookies
  • You can change your cookie settings at any time by following the instructions in our Cookie Policy. To find out more, you may read our Privacy Policy.

    I agree
Search articles by DOI, keyword, author or affiliation
Search
Advanced Search
presentation
Experimental and Therapeutic Medicine
Join Editorial Board Propose a Special Issue
Print ISSN: 1792-0981 Online ISSN: 1792-1015
Journal Cover
March-2017 Volume 13 Issue 3

Full Size Image

Sign up for eToc alerts
Recommend to Library

Journals

International Journal of Molecular Medicine

International Journal of Molecular Medicine

International Journal of Molecular Medicine is an international journal devoted to molecular mechanisms of human disease.

International Journal of Oncology

International Journal of Oncology

International Journal of Oncology is an international journal devoted to oncology research and cancer treatment.

Molecular Medicine Reports

Molecular Medicine Reports

Covers molecular medicine topics such as pharmacology, pathology, genetics, neuroscience, infectious diseases, molecular cardiology, and molecular surgery.

Oncology Reports

Oncology Reports

Oncology Reports is an international journal devoted to fundamental and applied research in Oncology.

Experimental and Therapeutic Medicine

Experimental and Therapeutic Medicine

Experimental and Therapeutic Medicine is an international journal devoted to laboratory and clinical medicine.

Oncology Letters

Oncology Letters

Oncology Letters is an international journal devoted to Experimental and Clinical Oncology.

Biomedical Reports

Biomedical Reports

Explores a wide range of biological and medical fields, including pharmacology, genetics, microbiology, neuroscience, and molecular cardiology.

Molecular and Clinical Oncology

Molecular and Clinical Oncology

International journal addressing all aspects of oncology research, from tumorigenesis and oncogenes to chemotherapy and metastasis.

World Academy of Sciences Journal

World Academy of Sciences Journal

Multidisciplinary open-access journal spanning biochemistry, genetics, neuroscience, environmental health, and synthetic biology.

International Journal of Functional Nutrition

International Journal of Functional Nutrition

Open-access journal combining biochemistry, pharmacology, immunology, and genetics to advance health through functional nutrition.

International Journal of Epigenetics

International Journal of Epigenetics

Publishes open-access research on using epigenetics to advance understanding and treatment of human disease.

Medicine International

Medicine International

An International Open Access Journal Devoted to General Medicine.

Journal Cover
March-2017 Volume 13 Issue 3

Full Size Image

Sign up for eToc alerts
Recommend to Library

  • Article
  • Citations
    • Cite This Article
    • Download Citation
    • Create Citation Alert
    • Remove Citation Alert
    • Cited By
  • Similar Articles
    • Related Articles (in Spandidos Publications)
    • Similar Articles (Google Scholar)
    • Similar Articles (PubMed)
  • Download PDF
  • Download XML
  • View XML
Case Report

VanWyk‑Grumbach syndrome in a male pediatric patient: A rare case report and literature review

  • Authors:
    • Shanshan Zhang
    • Jingyan Yang
    • Rongxiu Zheng
    • Lihong Jiang
    • Ying Wei
    • Geli Liu
  • View Affiliations / Copyright

    Affiliations: Department of Pediatrics, General Hospital of Tianjin Medical University, Tianjin 300052, P.R. China
  • Pages: 1151-1154
    |
    Published online on: January 24, 2017
       https://doi.org/10.3892/etm.2017.4086
  • Expand metrics +
Metrics: Total Views: 0 (Spandidos Publications: | PMC Statistics: )
Metrics: Total PDF Downloads: 0 (Spandidos Publications: | PMC Statistics: )
Cited By (CrossRef): 0 citations Loading Articles...

This article is mentioned in:


Abstract

Primary hypothyroidism usually leads to retardation of linear growth and delay or even arrest of puberty in juvenile patients. In rare cases, pediatric patients with hypothyroidism may present with signs of VanWyk‑Grumbach's syndrome (VWGS), which includes juvenile hypothyroidism, delayed bone age and pseudoprecocious puberty. The present study reported on a rare case of VWGS and other complications, including obesity, short stature, hepatomegaly and pituitary hyperplasia. In addition, a comprehensive literature review was performed to illustrate the treatment and outcome of VWGS in pediatric patients. The present study contributed to the current knowledge regarding the diagnosis and treatment of VWGS in pediatric patients.

Introduction

VanWyk-Grumbach syndrome (VWGS) is characterized by delayed bone age, juvenile hypothyroidism and isosexual precocious puberty (1). VWGS patients usually show decreased free thyroxine (T4), together with elevated prolactin, estradiol and thyroid-stimulating hormone (TSH). At present, VWGS is well acknowledged as a prepubertal response mediated by follicle-stimulating hormone (FSH). Besides, the expression of luteinizing hormone (LH) is suppressed as revealed by the elevation of LH-releasing hormone (LHRH). All of these results confirmed that VWGS is a gonadotropin-releasing hormone (GnRH)-independent type of precocious pseudopuberty (2–9).

Phenotypically, female patients with VWGS show breast enlargement, early onset of menstrual bleeding and enlarged multicystic ovaries. In male patients, the only symptom is testicular enlargement without substantial Leydig cell stimulation or testosterone secretion (5). To the best of our knowledge, the incidence of VWGS has been more commonly reported in females (3,4,10,11), with very few case studies on males (9,12). The present case report presented a boy with features of VWGS and described the pathophysiology, clinical manifestation and treatment. Furthermore, a literature review was performed regarding the treatment of VWGS in male patients and its outcome.

Case report

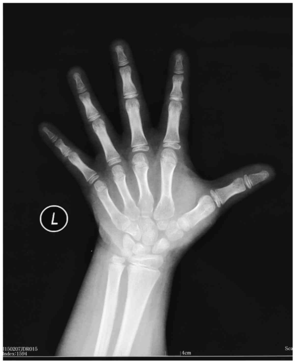
A 14-year-old male patient of non-consanguineous parents was referred to the Department of Pediatrics of the General Hospital of Tianjin Medical University (Tianjin, China) due to obesity, short stature and muscle weakness in February, 2014. He had shown progressive weight gain, delay in growth, constipation, muscle weakness and poor academic scores over the past 3–4 years. Physical examination results were as follows: Body temperature, 36.5°C; heart rate, 60 beats per min; respiratory rate, 20/min; blood pressure, 100/70 mmHg; body weight, 59 kg (>97th percentile); height, 139 cm (<3rd percentile); and body mass index, 30.5 (>97th percentile). The thyroid gland was enlarged. Abdominal examination indicated hepatomegaly and cardiac examination indicated a slightly distant heart sound without murmurs. The bilateral testicular volume was 25 ml as measured by a Prader orchidometer (Creative Health Products, Ann Arbor, MI, USA) and stretched penile length was 5 cm. No pubic or axillary hair was observed. Laboratory results are summarized in Table I. Laboratory parameters associated with renal function were normal. Thyromegaly accompanied with low-intensity echoes were identified by thyroid ultrasound. Abdominal ultrasound revealed hepatomegaly. Delayed bone age was confirmed according to X-ray imaging of the left wrist and hand (Fig. 1) with an estimated bone age of 10 years. Cranial magnetic resonance imaging (MRI) indicated enlargement of the pituitary gland (Fig. 2), and pituitary hyperplasia was suspected. Based on these results, the patient was finally diagnosed as VWGS. As a treatment, replacement therapy was given using levothyroxine with an initial dose of 25 µg/m2/day, which was gradually increased to 100 µg/m2/day. The patient was followed up for 6 months and the levels of free triiodothyronine (T3), T4 and TSH were 4.35 pmol/l, 18.65 pmol/l and 3.31 µIU/ml, respectively. The body height showed an increase of 5 cm after the treatment.

Figure 1.

X-ray indicated delayed bone age in left wrist compared with the actual age (10 vs. 14 years).

Figure 2.

Pituitary magnetic resonance image indicating enlargement of the pituitary gland, and pituitary hyperplasia was suspected based on the (A) sagittal, (B) coronal; and (C) transverse views.

Table I.

Laboratory results of the patient.

Table I.

Laboratory results of the patient.

ParameterValueNormal range
Hemoglobin, g/l  87120–150
Thyroid-stimulating hormone, µIU/ml>1500.3–5
T3, pmol/l  1.193.5–6.5
Free thyroxine, pmol/l  4.7811.5–23.5
Thyroglobulin antibody, IU/ml  1640–40
Anti-thyroidperoxidase antibody, IU/ml>1,0000–35
Antibodies against TSH receptor, IU/ml  0.010–1.5
Follicle-stimulating hormone, IU/ml26.71.4–18 I
Luteinizing hormone, IU/ml  0.371.5–34.6
Progesterone, ng/ml<0.150.28–1.22
Estradiol, pg/ml12.110–40
Prolactin, pg/ml21.942.1–17.7
Testosterone, ng/dl72.5241–827
Adrenocorticotropic hormone, pg/ml23.60–46
Serum cortisol, µg/dl11.55–25
Cholesterol, mmol/l   12.17<5.20
Triglyceride, mmol/l  1.120.56–1.70
Alanine aminotransferase, U/l  875–40
Aspartate aminotransferase, U/l  828–40
Alkaline phosphatase, U/l  12240–150

Discussion

Primary hypothyroidism has been well acknowledged to be associated with growth and pubertal delay. In rare cases, hypothyroidism was reported to induce precocious puberty and delayed bone age. These symptoms were initially described in 1905; however, VWGS was only defined in 1960 (1). A literature review revealed that VWGS has been rarely reported in male patients (13,14). The present study presented a rare case of a male pediatric patient with VWGS.

The pathogenesis of VWGS is closely associated with the complex interactions between the hypothalamic-pituitary axis. Van Wyk and Grumbach postulated that a hormonal overlap occurred in the pituitary feedback mechanism. Given that gonadotropins as well as TSH are glycoproteins, their overlap at the hormonal level is partly associated with the lack of specificity at the hypothalamic level (1). Moreover, excess TSH induced by thyrotropin-releasing hormone (TRH) may act as an agonist of FSH receptor (FSH-R) and other G protein-coupled receptors (GPCRs). In the peripubertal phase, where FSH levels are low, FSH-R is more apt to be stimulated by TSH (2,15,16). In addition, FSH-R responds to TSH in a dose-dependent manner (15,16). Furthermore, human chorionic gonadotropin (hHCG), LH, FSH and TSH share the same α-subunit, while a unique β-subunit specific to each hormone was identified. These molecules activate adenylate cyclase and stimulate cyclic adenosine monophosphate (cAMP) production by interacting with GPCRs (17).

In a previous study, Anasti et al (15) indicated that recombinant human TSH elicited a dose-dependent cAMP response in an in vitro hFSH-R bioassay. However, the concentration of recombinant hTSH required for half-maximal stimulation was several logs greater than that of hFSH. These results suggested that hTSH and hFSH act through the same receptor. The overlap between the glycoprotein hormones is not unprecedented in the presence of excessive secretion of hormones. For instance, with the homologous β-subunits of LH, HCG is able to stimulate LH receptors and serve as an evaluation method for testicular function in male pediatric patients through determination of the binding of HCG and LH receptor. To investigate the exact activation of TSH on FSH-R, Ryan et al (16) sequenced the FSH-R gene in 8 patients with overexpression of sex hormone secondary to primary hypothyroidism, which revealed no hFSH-R mutations in the patient population; however, two known polymorphisms were identified. Besides, the gonadal hyperstimulation associated with severe primary hypothyroidism is likely due to the actions of the elevated concentrations of TSH on the wild-type hFSHR, which is not dependent on the hFSH-R isoform (18).

Severe hypothyroidism is one of the major causes for the changes of gonadotrophins, such as elevation of FSH or decrease of LH (19,20). In primary hypothyroidism patients, the level of TRH was elevated, which resulted in a decrease of pulse frequency of GnRH and the downregulation of GnRH secretion (21–23). Under these conditions, the expression of FSH was elevated and the elevation of TRH induced hyperprolactinemia, which induced a decrease of LH (24). Such aspects may explain for the discordance between LH and FSH in VWGS. In a previous study, Francavilla et al (25) indicated that hypothyroidism directly affected the function of testis prior to puberty, resulting in excess proliferation of Sertoli cells and testicle enlargement. Male patients with VWGS have macroorchidism without obvious virilisation, and testicular histology reveals a predominance of tubular structures without increased Leydig cells, in line with an FSH-dominated response (15,26). However, enlargement of gonads and formation of ovarian cysts are usually associated with malignant conditions (3,4,27). Thus, early diagnosis of the disease may help to identify cases that require surgery (5,6).

Weight gain has been regarded as a symptom of hypothyroidism. In the complete absence of thyroid hormone, basal metabolic rate or resting energy expenditure was reduced by 30% or even 59% (28). In the present case, the patient showed elevation of cholesterol liver enzymes and hepatomegaly, which may be associated with hypercholesterolemia induced by hypothyroidism. Besides, hypothyroidism has been reported to have an important role in the pathogenesis of nonalcoholic fatty liver disease (NAFLD) (29). Specifically, Chung et al (30) reported that NAFLD was more severe and liver enzyme was significantly elevated in patients with hypothyroidism compared to those in normal subjects. In the present case, pituitary enlargement was revealed by cranial MRI, which may result in long-term hypothyroidism. In addition, the thyrotroph hyperplasia may lead to sella turcica expansion and pituitary hyperplasia.

Certain uncommon features, including PTH suppression, streaky hyperpigmentation and severe anemia, have been reported in certain patients (10). It has been well acknowledged that melanocyte stimulating hormone (MSH) may be involved in the pigmentation of local skin tissues (1). As MSH acts via GPCRs, it is reasonable to speculate that streaky hyperpigmentation may be induced by differences in receptor distribution and activities in the presence of homologies and cross reaction between MSH and TSH. In the present case, the patient presented with anemia, which is, to the best of our knowledge, not common in hypothyroidism (31), while it has been noted in certain cases of VWGS (2–5,7,32). It was speculated that the anemia may be associated with the reduced red cells and decreased metabolic oxygen requirement in tissues of patients with hypothyroidism (31).

In conclusion, the pathogenesis of VWGS involves a complex interaction, which is, at least in part, directly mediated by FSH and TSH receptors. It is suggested that the ‘overlap’ of hormone actions, postulated by Van Wyk and Grumbach (1), may be reflected in receptor levels. In particular, all hormones involved may act through GPCRs and common intracellular signaling pathways in the presence of elevated TSH. Early diagnosis and thyroxine replacement therapy are recommended for the treatment of VWGS.

References

1 

Van Wyk JJ and Grumbach MM: Syndrome of precocious menstruation and galactorrhea in juvenile hypothyroidism: An example of hormonal overlap in pituitary feedback. J Pediatrics. 57:416–435. 1960. View Article : Google Scholar

2 

Shu J, Xing L, Zhang L, Fang S and Huang H: Ignored adult primary hypothyroidism presenting chiefly with persistent ovarian cysts: A need for increased awareness. Reprod Biol Endocrinol. 9:1192011. View Article : Google Scholar : PubMed/NCBI

3 

Browne LP, Boswell HB, Crotty EJ, O'Hara SM, Birkemeier KL and Guillerman RP: Van Wyk and Grumbach syndrome revisited: Imaging and clinical findings in pre-and postpubertal girls. Pediatr Radiol. 38:538–542. 2008. View Article : Google Scholar : PubMed/NCBI

4 

Panico A, Lupoli GA, Fonderico F, Colarusso S, Marciello F, Poggiano MR, Del Prete M, Magliulo R, Iervolino P and Lupoli G: Multiple ovarian cysts in a young girl with severe hypothyroidism. Thyroid. 17:1289–1293. 2007. View Article : Google Scholar : PubMed/NCBI

5 

Indumathi C, Bantwal G and Patil M: Primary hypothyroidism with precocious puberty and bilateral cystic ovaries. Indian J Pediatr. 74:781–783. 2007. View Article : Google Scholar : PubMed/NCBI

6 

Chattopadhyay A, Kumar V and Marulaiah M: Polycystic ovaries, precocious puberty and acquired hypothyroidism: The Van Wyk and Grumbach syndrome. J Pediatr Surg. 38:1390–1392. 2003. View Article : Google Scholar : PubMed/NCBI

7 

Ozgen T, Güven A and Aydin M: Precocious puberty in a girl with Down syndrome due to primary hypothyroidism. Turk J Pediatr. 51:381–383. 2009.PubMed/NCBI

8 

Zhang H, Geng N, Wang Y, Tian W and Xue F: Van Wyk and Grumbach syndrome: Two case reports and review of the published work. J Obstet Gynaecol Res. 40:607–610. 2014. View Article : Google Scholar : PubMed/NCBI

9 

Esen I and Demirel F: Hypothyroidism-associated testicular enlargement: Is it a form of precocious puberty or not? A case report. Turk J Pediatr. 53:210–212. 2011.PubMed/NCBI

10 

Baranowski E and Högler W: An unusual presentation of acquired hypothyroidism: The Van Wyk-Grumbach syndrome. Eur J Endocrinol. 166:537–542. 2012. View Article : Google Scholar : PubMed/NCBI

11 

Rastogi A, Bhadada SK and Bhansali A: An unusual presentation of a usual disorder: Van Wyk-Grumbach syndrome. Indian J Endocrinol Metab. 15:(Suppl 2). S141–S143. 2011. View Article : Google Scholar : PubMed/NCBI

12 

Castro-Magaña M, Angulo M, Cañas A, Sharp A and Fuentes B: Hypothalamic-pituitary gonadal axis in boys with primary hypothyroidism and macroorchidism. J Pediatr. 112:397–402. 1988. View Article : Google Scholar : PubMed/NCBI

13 

Omran A, Peng J, Shrestha B, Ashhab MU and Yin F: Male child with Van Wyk-Grumbach's syndrome and other complications of long-standing primary hypothyroidism: A case report. Case Rep Pediatr. 2012:3527512012.PubMed/NCBI

14 

Nebesio TD and Eugster EA: Current concepts in normal and abnormal puberty. Curr Probl Pediatr Adolesc Health Care. 37:50–72. 2007. View Article : Google Scholar : PubMed/NCBI

15 

Anasti J, Flack M, Froehlich J, Nelson L and Nisula B: A potential novel mechanism for precocious puberty in juvenile hypothyroidism. J Clin Endocrinol Metab. 80:276–279. 1995. View Article : Google Scholar : PubMed/NCBI

16 

Ryan GL, Feng X, d'Alva CB, Zhang M, Van Voorhis BJ, Pinto EM, Kubias AE, Antonini SR, Latronico AC and Segaloff DL: Evaluating the roles of follicle-stimulating hormone receptor polymorphisms in gonadal hyperstimulation associated with severe juvenile primary hypothyroidism. J Clin Endocrinol Metab. 92:2312–2317. 2007. View Article : Google Scholar : PubMed/NCBI

17 

Kroeze WK, Sheffler DJ and Roth BL: G-protein-coupled receptors at a glance. J Cell Sci. 116:4867–4869. 2003. View Article : Google Scholar : PubMed/NCBI

18 

De Leener A, Montanelli L, Van Durme J, Chae H, Smits G, Vassart G and Costagliola S: Presence and absence of follicle-stimulating hormone receptor mutations provide some insights into spontaneous ovarian hyperstimulation syndrome physiopathology. J Clin Endocrinol Metab. 91:555–562. 2006. View Article : Google Scholar : PubMed/NCBI

19 

Takeuchi K, Deguchi M, Takeshima Y and Maruo T: A case of multiple ovarian cysts in a prepubertal girl with severe hypothyroidism due to autoimmune thyroiditis. Int J Gynecol Cancer. 14:543–545. 2004. View Article : Google Scholar : PubMed/NCBI

20 

Rosenfield R, Cooke D and Radovick S: Puberty and its disorders in the female. Pediatr Endocrinol. 3:573–590. 2008.

21 

Denef C: Paracrinicity: The story of 30 years of cellular pituitary crosstalk. J Neuroendocrinol. 20:1–70. 2008.PubMed/NCBI

22 

Krassas G, Poppe K and Glinoer D: Thyroid function and human reproductive health. Endocr Rev. 31:702–755. 2010. View Article : Google Scholar : PubMed/NCBI

23 

Grattan DR, Jasoni CL, Liu X, Anderson GM and Herbison AE: Prolactin regulation of gonadotropin-releasing hormone neurons to suppress luteinizing hormone secretion in mice. Endocrinology. 148:4344–4351. 2007. View Article : Google Scholar : PubMed/NCBI

24 

Thackray VG, Mellon PL and Coss D: Hormones in synergy: Regulation of the pituitary gonadotropin genes. Mol Cell Endocrinol. 314:192–203. 2010. View Article : Google Scholar : PubMed/NCBI

25 

Francavilla S, Cordeschi G, Properzi G, Di Cicco L, Jannini EA, Palmero S, Fugassa E, Loras B and D'Armiento M: Effect of thyroid hormone on the pre- and post-natal development of the rat testis. J Endocrinol. 129:35–42. 1991. View Article : Google Scholar : PubMed/NCBI

26 

Bruder J, Samuels M, Bremner W, Ridgway E and Wierman M: Hypothyroidism-induced macroorchidism: Use of a gonadotropin-releasing hormone agonist to understand its mechanism and augment adult stature. J Clin Endocrinol Metab. 80:11–16. 1995. View Article : Google Scholar : PubMed/NCBI

27 

Niedziela M and Korman E: Severe hypothyroidism due to autoimmune atrophic thyroiditis-predicted target height and a plausible mechanism for sexual precocity. J Pediatr Endocrinol Metab. 14:901–907. 2001. View Article : Google Scholar : PubMed/NCBI

28 

Silva JE: The thermogenic effect of thyroid hormone and its clinical implications. Ann Intern Med. 139:205–213. 2003. View Article : Google Scholar : PubMed/NCBI

29 

Silveira MG, Mendes FD, Diehl NN, Enders FT and Lindor KD: Thyroid dysfunction in primary biliary cirrhosis, primary sclerosing cholangitis and non-alcoholic fatty liver disease. Liver Int. 29:1094–1100. 2009. View Article : Google Scholar : PubMed/NCBI

30 

Chung GE, Kim D, Kim W, Kim W, Yim JY, Park MJ, Kim YJ, Yoon JH and Lee HS: Non-alcoholic fatty liver disease across the spectrum of hypothyroidism. J Hepatol. 57:150–156. 2012. View Article : Google Scholar : PubMed/NCBI

31 

Chu JY, Monteleone JA, Peden VH, Graviss ER and Vernava AM: Anemia in children and adolescents with hypothyroidism. Clin Pediatr (Phila). 20:696–699. 1981. View Article : Google Scholar : PubMed/NCBI

32 

Hunold A, Alzen G, Wudy SA, Bluetters-Sawatzki R, Landmann E, Reiter A and Wagner HJ: Ovarian tumor in a 12-year old female with severe hypothyroidism: A case of Van Wyk and Grumbach syndrome. Pediatr Blood Cancer. 52:677–679. 2009. View Article : Google Scholar : PubMed/NCBI

Related Articles

  • Abstract
  • View
  • Download
  • Twitter
Copy and paste a formatted citation
Spandidos Publications style
Zhang S, Yang J, Zheng R, Jiang L, Wei Y and Liu G: VanWyk‑Grumbach syndrome in a male pediatric patient: A rare case report and literature review. Exp Ther Med 13: 1151-1154, 2017.
APA
Zhang, S., Yang, J., Zheng, R., Jiang, L., Wei, Y., & Liu, G. (2017). VanWyk‑Grumbach syndrome in a male pediatric patient: A rare case report and literature review. Experimental and Therapeutic Medicine, 13, 1151-1154. https://doi.org/10.3892/etm.2017.4086
MLA
Zhang, S., Yang, J., Zheng, R., Jiang, L., Wei, Y., Liu, G."VanWyk‑Grumbach syndrome in a male pediatric patient: A rare case report and literature review". Experimental and Therapeutic Medicine 13.3 (2017): 1151-1154.
Chicago
Zhang, S., Yang, J., Zheng, R., Jiang, L., Wei, Y., Liu, G."VanWyk‑Grumbach syndrome in a male pediatric patient: A rare case report and literature review". Experimental and Therapeutic Medicine 13, no. 3 (2017): 1151-1154. https://doi.org/10.3892/etm.2017.4086
Copy and paste a formatted citation
x
Spandidos Publications style
Zhang S, Yang J, Zheng R, Jiang L, Wei Y and Liu G: VanWyk‑Grumbach syndrome in a male pediatric patient: A rare case report and literature review. Exp Ther Med 13: 1151-1154, 2017.
APA
Zhang, S., Yang, J., Zheng, R., Jiang, L., Wei, Y., & Liu, G. (2017). VanWyk‑Grumbach syndrome in a male pediatric patient: A rare case report and literature review. Experimental and Therapeutic Medicine, 13, 1151-1154. https://doi.org/10.3892/etm.2017.4086
MLA
Zhang, S., Yang, J., Zheng, R., Jiang, L., Wei, Y., Liu, G."VanWyk‑Grumbach syndrome in a male pediatric patient: A rare case report and literature review". Experimental and Therapeutic Medicine 13.3 (2017): 1151-1154.
Chicago
Zhang, S., Yang, J., Zheng, R., Jiang, L., Wei, Y., Liu, G."VanWyk‑Grumbach syndrome in a male pediatric patient: A rare case report and literature review". Experimental and Therapeutic Medicine 13, no. 3 (2017): 1151-1154. https://doi.org/10.3892/etm.2017.4086
Follow us
  • Twitter
  • LinkedIn
  • Facebook
About
  • Spandidos Publications
  • Careers
  • Cookie Policy
  • Privacy Policy
How can we help?
  • Help
  • Live Chat
  • Contact
  • Email to our Support Team