Spandidos Publications Logo
  • About
    • About Spandidos
    • Aims and Scopes
    • Abstracting and Indexing
    • Editorial Policies
    • Reprints and Permissions
    • Job Opportunities
    • Terms and Conditions
    • Contact
  • Journals
    • All Journals
    • Oncology Letters
      • Oncology Letters
      • Information for Authors
      • Editorial Policies
      • Editorial Board
      • Aims and Scope
      • Abstracting and Indexing
      • Bibliographic Information
      • Archive
    • International Journal of Oncology
      • International Journal of Oncology
      • Information for Authors
      • Editorial Policies
      • Editorial Board
      • Aims and Scope
      • Abstracting and Indexing
      • Bibliographic Information
      • Archive
    • Molecular and Clinical Oncology
      • Molecular and Clinical Oncology
      • Information for Authors
      • Editorial Policies
      • Editorial Board
      • Aims and Scope
      • Abstracting and Indexing
      • Bibliographic Information
      • Archive
    • Experimental and Therapeutic Medicine
      • Experimental and Therapeutic Medicine
      • Information for Authors
      • Editorial Policies
      • Editorial Board
      • Aims and Scope
      • Abstracting and Indexing
      • Bibliographic Information
      • Archive
    • International Journal of Molecular Medicine
      • International Journal of Molecular Medicine
      • Information for Authors
      • Editorial Policies
      • Editorial Board
      • Aims and Scope
      • Abstracting and Indexing
      • Bibliographic Information
      • Archive
    • Biomedical Reports
      • Biomedical Reports
      • Information for Authors
      • Editorial Policies
      • Editorial Board
      • Aims and Scope
      • Abstracting and Indexing
      • Bibliographic Information
      • Archive
    • Oncology Reports
      • Oncology Reports
      • Information for Authors
      • Editorial Policies
      • Editorial Board
      • Aims and Scope
      • Abstracting and Indexing
      • Bibliographic Information
      • Archive
    • Molecular Medicine Reports
      • Molecular Medicine Reports
      • Information for Authors
      • Editorial Policies
      • Editorial Board
      • Aims and Scope
      • Abstracting and Indexing
      • Bibliographic Information
      • Archive
    • World Academy of Sciences Journal
      • World Academy of Sciences Journal
      • Information for Authors
      • Editorial Policies
      • Editorial Board
      • Aims and Scope
      • Abstracting and Indexing
      • Bibliographic Information
      • Archive
    • International Journal of Functional Nutrition
      • International Journal of Functional Nutrition
      • Information for Authors
      • Editorial Policies
      • Editorial Board
      • Aims and Scope
      • Abstracting and Indexing
      • Bibliographic Information
      • Archive
    • International Journal of Epigenetics
      • International Journal of Epigenetics
      • Information for Authors
      • Editorial Policies
      • Editorial Board
      • Aims and Scope
      • Abstracting and Indexing
      • Bibliographic Information
      • Archive
    • Medicine International
      • Medicine International
      • Information for Authors
      • Editorial Policies
      • Editorial Board
      • Aims and Scope
      • Abstracting and Indexing
      • Bibliographic Information
      • Archive
  • Articles
  • Information
    • Information for Authors
    • Information for Reviewers
    • Information for Librarians
    • Information for Advertisers
    • Conferences
  • Language Editing
Spandidos Publications Logo
  • About
    • About Spandidos
    • Aims and Scopes
    • Abstracting and Indexing
    • Editorial Policies
    • Reprints and Permissions
    • Job Opportunities
    • Terms and Conditions
    • Contact
  • Journals
    • All Journals
    • Biomedical Reports
      • Information for Authors
      • Editorial Policies
      • Editorial Board
      • Aims and Scope
      • Abstracting and Indexing
      • Bibliographic Information
      • Archive
    • Experimental and Therapeutic Medicine
      • Information for Authors
      • Editorial Policies
      • Editorial Board
      • Aims and Scope
      • Abstracting and Indexing
      • Bibliographic Information
      • Archive
    • International Journal of Epigenetics
      • Information for Authors
      • Editorial Policies
      • Editorial Board
      • Aims and Scope
      • Abstracting and Indexing
      • Bibliographic Information
      • Archive
    • International Journal of Functional Nutrition
      • Information for Authors
      • Editorial Policies
      • Editorial Board
      • Aims and Scope
      • Abstracting and Indexing
      • Bibliographic Information
      • Archive
    • International Journal of Molecular Medicine
      • Information for Authors
      • Editorial Policies
      • Editorial Board
      • Aims and Scope
      • Abstracting and Indexing
      • Bibliographic Information
      • Archive
    • International Journal of Oncology
      • Information for Authors
      • Editorial Policies
      • Editorial Board
      • Aims and Scope
      • Abstracting and Indexing
      • Bibliographic Information
      • Archive
    • Medicine International
      • Information for Authors
      • Editorial Policies
      • Editorial Board
      • Aims and Scope
      • Abstracting and Indexing
      • Bibliographic Information
      • Archive
    • Molecular and Clinical Oncology
      • Information for Authors
      • Editorial Policies
      • Editorial Board
      • Aims and Scope
      • Abstracting and Indexing
      • Bibliographic Information
      • Archive
    • Molecular Medicine Reports
      • Information for Authors
      • Editorial Policies
      • Editorial Board
      • Aims and Scope
      • Abstracting and Indexing
      • Bibliographic Information
      • Archive
    • Oncology Letters
      • Information for Authors
      • Editorial Policies
      • Editorial Board
      • Aims and Scope
      • Abstracting and Indexing
      • Bibliographic Information
      • Archive
    • Oncology Reports
      • Information for Authors
      • Editorial Policies
      • Editorial Board
      • Aims and Scope
      • Abstracting and Indexing
      • Bibliographic Information
      • Archive
    • World Academy of Sciences Journal
      • Information for Authors
      • Editorial Policies
      • Editorial Board
      • Aims and Scope
      • Abstracting and Indexing
      • Bibliographic Information
      • Archive
  • Articles
  • Information
    • For Authors
    • For Reviewers
    • For Librarians
    • For Advertisers
    • Conferences
  • Language Editing
Login Register Submit
  • This site uses cookies
  • You can change your cookie settings at any time by following the instructions in our Cookie Policy. To find out more, you may read our Privacy Policy.

    I agree
Search articles by DOI, keyword, author or affiliation
Search
Advanced Search
presentation
Experimental and Therapeutic Medicine
Join Editorial Board Propose a Special Issue
Print ISSN: 1792-0981 Online ISSN: 1792-1015
Journal Cover
May-2017 Volume 13 Issue 5

Full Size Image

Sign up for eToc alerts
Recommend to Library

Journals

International Journal of Molecular Medicine

International Journal of Molecular Medicine

International Journal of Molecular Medicine is an international journal devoted to molecular mechanisms of human disease.

International Journal of Oncology

International Journal of Oncology

International Journal of Oncology is an international journal devoted to oncology research and cancer treatment.

Molecular Medicine Reports

Molecular Medicine Reports

Covers molecular medicine topics such as pharmacology, pathology, genetics, neuroscience, infectious diseases, molecular cardiology, and molecular surgery.

Oncology Reports

Oncology Reports

Oncology Reports is an international journal devoted to fundamental and applied research in Oncology.

Experimental and Therapeutic Medicine

Experimental and Therapeutic Medicine

Experimental and Therapeutic Medicine is an international journal devoted to laboratory and clinical medicine.

Oncology Letters

Oncology Letters

Oncology Letters is an international journal devoted to Experimental and Clinical Oncology.

Biomedical Reports

Biomedical Reports

Explores a wide range of biological and medical fields, including pharmacology, genetics, microbiology, neuroscience, and molecular cardiology.

Molecular and Clinical Oncology

Molecular and Clinical Oncology

International journal addressing all aspects of oncology research, from tumorigenesis and oncogenes to chemotherapy and metastasis.

World Academy of Sciences Journal

World Academy of Sciences Journal

Multidisciplinary open-access journal spanning biochemistry, genetics, neuroscience, environmental health, and synthetic biology.

International Journal of Functional Nutrition

International Journal of Functional Nutrition

Open-access journal combining biochemistry, pharmacology, immunology, and genetics to advance health through functional nutrition.

International Journal of Epigenetics

International Journal of Epigenetics

Publishes open-access research on using epigenetics to advance understanding and treatment of human disease.

Medicine International

Medicine International

An International Open Access Journal Devoted to General Medicine.

Journal Cover
May-2017 Volume 13 Issue 5

Full Size Image

Sign up for eToc alerts
Recommend to Library

  • Article
  • Citations
    • Cite This Article
    • Download Citation
    • Create Citation Alert
    • Remove Citation Alert
    • Cited By
  • Similar Articles
    • Related Articles (in Spandidos Publications)
    • Similar Articles (Google Scholar)
    • Similar Articles (PubMed)
  • Download PDF
  • Download XML
  • View XML
Article

Immunosuppressive effect of sinomenine in an allergic rhinitis mouse model

  • Authors:
    • Zhe Chen
    • Ze‑Zhang Tao
    • Xu‑Hong Zhou
    • Ting‑Ting Wu
    • Lin‑Feng Ye
  • View Affiliations / Copyright

    Affiliations: Department of Otolaryngology Head and Neck Surgery, Zhongnan Hospital of Wuhan University, Wuhan, Hubei 430072, P.R. China, Department of Otolaryngology Head and Neck Surgery, Renmin Hospital of Wuhan University, Wuhan, Hubei 430060, P.R. China
  • Pages: 2405-2410
    |
    Published online on: March 20, 2017
       https://doi.org/10.3892/etm.2017.4237
  • Expand metrics +
Metrics: Total Views: 0 (Spandidos Publications: | PMC Statistics: )
Metrics: Total PDF Downloads: 0 (Spandidos Publications: | PMC Statistics: )
Cited By (CrossRef): 0 citations Loading Articles...

This article is mentioned in:



Abstract

Allergic rhinitis (AR) is a chronic allergic airway disease that has become a significant global public health issue. Sinomenine (SN), a natural phytochemical found in Sinomenium acutum, showed anti‑inflammatory and immunosuppressive effect in previous studies. In order to explore the role of SN in the treatment of AR, mice were sensitized and challenged by ovalbumin (OVA) to establish an AR mouse model. SN was administered to AR mice orally, and compared with dexamethasone treatment as a positive control. Nasal symptoms and histopathological changes were used to evaluate the effect of SN treatment in the AR mice model. In addition, the levels of anti‑OVA specific IgE and various cytokines in the serum were measured by enzyme‑linked immunosorbent assay, while the levels of transforming growth factor-β (TGF-β) in the mucosa were also detected by western blot analysis and reverse transcription‑quantitative polymerase chain reaction. AR mice that received SN treatment had reduced symptom scores and milder eosinophil infiltration. The serum levels of anti‑OVA specific IgE and interleukin‑4 significantly decreased following SN treatment. Furthermore, TGF-β expression levels in the serum and nasal mucosa tissue in AR mice increased when compared with those in AR mice without treatment. In conclusion, SN treatment alleviated the symptoms of AR in mice and had an immunosuppressive effect on AR, which may result from the upregulation of TGF-β.

Introduction

Allergic rhinitis (AR) is a chronic, reversible allergic airway disease that has become a significant global public health concern and >500 million people around the world are estimated to currently be suffering with AR (1). Symptoms of AR include rhinorrhoea, nasal obstruction, nasal itching and sneezing, and it is often associated with ocular symptoms. Impairment of quality-of-life is observed in the majority of patients. They may suffer from sleep disorders and emotional problems, and experience impairments in completing activities and proper social functioning.

AR is a Type I allergic disease caused by an immunoglobulin E (IgE)-mediated adaptive immune response. IgE production results from complex interactions between B cells, T cells, mast cells and basophils, and involves the presence of interleukin (IL)-4, IL-13 and IL-18 cytokines, as well as a physical interaction between T and B-cells by a number of surface and adhesion molecules (2). T-helper 2 (Th2) cells (3) and a downregulation of T-regulatory cell responses (4–6) drive the synthesis of IgE and the recruitment, maturation, survival and effector function of accessory cells, such as eosinophils, basophils and mast cells. The influx of eosinophils and Th2 cells, producing IL-4, IL-5 and IL-13, is the main feature of AR (7).

Chinese traditional herbal medicines have long been used to maintain the immune balance and to treat various allergic diseases, such as allergic rhinitis (8–11), asthma (12) and atopic dermatitis (13). Biminne is the first herbal preparation to be clinically tested for AR internationally. It has anti-allergic and anti-inflammatory effects not only through its ability to restrain inflammatory cells degranulation and antagonistic inflammatory medium, but it can also reduce and remove serum IgE levels (8). Herbal formulas in traditional Chinese medicine referred to as Yu-ping-feng-san (9), Bu-zhong-yi-qi-tang (10) and Xin-yi-san (11) are also considered to be effective medicines for allergic rhinitis treatment. There is little research focus on the isolation of herbal in allergic rhinitis. Sinomenine (SN) was first isolated from Sinomenium acutum in the 1920′s (14), and since then a vast number of pharmacological and clinical studies have been performed in China and Japan, demonstrating that the pure alkaloid extract of SN possesses anti-inflammatory and immune-regulatory properties (14,15). Therefore, it is hypothesized that SN may be capable of immune-modulatory effects on the allergic inflammation of the airways. The aim of the present study was to evaluate whether SN had an effect on inflammation of the nasal mucosa, as well as on the immune response in an AR mouse model.

Materials and methods

Animals

A total of 40 male BALB/c mice (5-week-old; 16–18 g) raised and maintained under specific pathogen-free conditions were obtained from the Hubei Center for Disease Control and Prevention (Wuhan, China). All mice were maintained under standard conventional conditions: 12-h light/dark cycle, temperature (18–22°C) and humidity (50–60%), with food and water ad libitum. The animals were randomly divided into four groups: Normal group, AR group, SN group and dexamethasone (Dex) group and each group consisted of 10 mice. Corticosteroids such as dexamethasone, the most potent therapeutic agents used for allergic rhinitis, profoundly inhibit the activity of T cells largely through the inhibition of expression of various cytokines (1,16), thus we make it as a positive control. Mice in the AR, SN and Dex groups were sensitized by intraperitoneal injection with 500 µl phosphate-buffered saline (PBS) containing 10 µg ovalbumin (OVA; grade V; Sigma-Aldrich; Merck Millipore, Darmstadt, Germany) and 1 mg aluminum hydroxide on days 0, 7 and 14. Mice in the AR, SN and Dex groups were subjected to intranasal challenge with 20 µl PBS containing 500 µg OVA for 7 days, between days 21 and 27 (17). Mice in the normal group were injected with PBS alone, and PBS was administered intranasally following the same schedule. Along with sensitization and challenge, selected groups of mice were administered 100 mg/kg SN (purity, ≥98%) or 2 mg/kg Dex (purity, ≥98%; both Sigma-Aldrich; Merck Millipore), which were dissolved in 200 µl PBS and orally administered daily 2 h before intranasal OVA challenge between days 21 and 27 (18). The experimental protocol is shown in more detail in Fig. 1. The protocols of the current study were approved by the Animal Ethics Committee of Renmin Hospital of Wuhan University (Wuhan, China).

Figure 1.

Experimental protocol of the present study. Mice were sensitized with OVA and aluminum hydroxide on days 0, 7 and 14. All groups except for the normal group received intranasal OVA between days 21 and 27. Selected groups of mice were also treated with intraperitoneal injection of the SN or Dex at 2 h before intranasal OVA challenge. OVA, ovalbumin; AR, allergic rhinitis; SN, sinomenine; Dex, dexamethasone.

Measurement of nasal symptoms and tissue preparation

At 20 min after the final OVA/PBS challenge on day 27, four observers blinded to the study groups recorded the frequencies of nasal rubbing and sneezing in each group. After 24 h from the last challenge with OVA/PBS, mice were anesthetized with 1–2 ml diethyl ether (60–29-7; Sinopharm Chemical Reagent Co., Ltd., Shanghai, China) volatilized in a 2 liter seal pot. Blood was drawn blood from the eyeballs and mice were sacrificed quickly by cervical dislocation. The nasal mucosa of mice was rapidly collected once the mice were sacrificed using a small curette under a microscope meticulously and was immediately immersed in liquid nitrogen and stored until further use in reverse transcription-quantitative polymerase chain reaction (RT-qPCR) and western blot analyses.

Histopathological evaluation of nasal cavity

Nasal tissues were removed 24 h after the last challenge with OVA/PBS, fixed in 10% neutral buffered formalin and decalcified. The coronal nasal section (5 µm) was stained with hematoxylin and eosin, and the number of eosinophils was counted under a microscope at four random high-power fields (HPFs) of the submucosal region of the nasal cavity at ×400 magnification (19), then the mean was taken as the number of eosinophils in each group.

Enzyme-linked immunosorbent assay (ELISA)

Mice serum was obtained immediately after sacrifice, and stored at 4°C. Serum levels of anti-OVA specific IgE (N509; R&D Systems, Inc., Minneapolis, MN, USA), interferon-γ (IFN-γ; BMS6027), IL-4 (BMS613) and transforming growth factor-β (TGF-β; BMS608/4; eBioscience, Inc., San Diego, CA, USA) in the animals were measured using commercially available ELISA kits, according to the manufacturer's recommendations. The concentrations of anti-OVA specific IgE, IFN-γ, IL-4 and TGF-β were calculated from the equations obtained from standard curve plots for the standard solutions in the kits.

RT-qPCR

Total RNA was prepared from the nasal mucosa of the mice using TRIzol reagent (N15596-026, Invitrogen; Thermo Fisher Scientific, Inc., Waltham, MA, USA). Complementary DNA (cDNA) was synthesized from 2 µg total RNA using Superscript Reverse Transcriptase and oligo (dT) primers (K1629; Fermentas; Thermo Fisher Scientific, Inc.). For the analysis of TGF-β and GAPDH levels, specifically-designed primers and probes were purchased from Invitrogen (Thermo Fisher Scientific, Inc.). The mRNA expression of TGF-β and GAPDH was determined by qPCR, through amplifying 25 ng cDNA in 50 µl 1X SYBR-Green PCR Master Mix (DRR041A, Takara Biotechnology Co., Ltd., Dalian, China) containing 200 nM primers. qPCR primers were as follows: TGF-β forward, 5′-AGGGCTACCATGCCAACTTC-3′ and reverse, 5′-CCACGTAGTAGACGATGGGC-3′; and GAPDH forward, 5′-ACCCAGAAGACTGTGGATGG-3′ and reverse, 5′-TGCTGTAGCCAAATTCGTTG-3′. Experiments were performed in triplicate, using an ABI Prism 7500 Sequence Detection system (Applied Biosystems; Thermo Fisher Scientific, Inc.). The average transcript levels of genes were then normalized to GAPDH. Negative controls (Master Mix containing untranscribed total RNA, or sample without any cDNA or RNA) were used in each experiment. Relative quantitation of TGF-β mRNA expression was calculated as the fold increase in expression using the 2−ΔΔCq method (20) and the housekeeping gene was GAPDH.

Western blot analysis

Proteins were obtained from the nasal mucosa of each group using lysis buffer (containing 0.5% Triton X-100, 150 mM NaCl, 15 mM Tris (pH 7.4) 1 mM CaCl2 and 1 mM MgCl2). The protein concentrations were determined using a BCA protein assay reagent (Thermo Fisher Scientific, Inc.). Samples (20 µl; 2.7 µg/ml) were separated by 12% SDS-PAGE and transferred onto polyvinylidene difluoride membranes (EMD Millipore, Billerica, MA, USA). Next, the samples were immunoblotted with primary antibodies against TGF-β (3711) and GAPDH (5174; Cell Signaling Technology, Inc., Danvers, MA, USA) at 4°C overnight. Following washing with 1X TBST solution, membranes were immunoblotted with secondary antibodies (7074; Cell Signaling Technology, Inc.) at room temperature for 1 h. Proteins were subsequently detected with an enhanced chemiluminescence reagent (P0018; Beyotime Institute of Biotechnology, Shanghai, China) and transferred to X-ray films. Finally, Quantity One software (version 4.6.2; Bio-Rad Laboratories, Inc., Hercules, CA, USA) was used to quantify the results.

Statistical analysis

The results are presented as the mean ± standard error of the mean. A Mann-Whitney U-test was used to compare results between different groups. Statistical analyses were performed by the SPSS statistical software (version 16.0; SPSS, Inc., Chicago, IL, USA). P-values of <0.05 were considered as indicating statistically significant associations.

Results

Symptom scoring

The nasal rubbing and sneezing symptom scores in the AR group were significantly elevated when compared with those in the normal group. The frequencies were 8.6±1.2 and 5.8±1.7 times/20 min in the AR group, respectively. By contrast, the scores were significantly lower in the two treatment groups when compared with the untreated AR group (Nasal rubbing: AR vs. AR + SN, P=0.0218; AR vs. AR + Dex, P=0.0091; Sneezing: AR vs. AR + SN, P=0.0054; AR vs. AR + Dex, P=0.0055; P<0.05), and the SN treatment group showed no significant decrease in symptom incidence compared with the Dex treatment group (Fig. 2).

Figure 2.

Systemic treatment with SN suppressed allergic symptoms. (A) Rubbing symptom score. (B) Sneezing symptom score. *P<0.05, vs. AR group. N, normal; AR, allergic rhinitis; SN, sinomenine; Dex, dexamethasone.

Histology of nasal mucosa and eosinophil infiltration

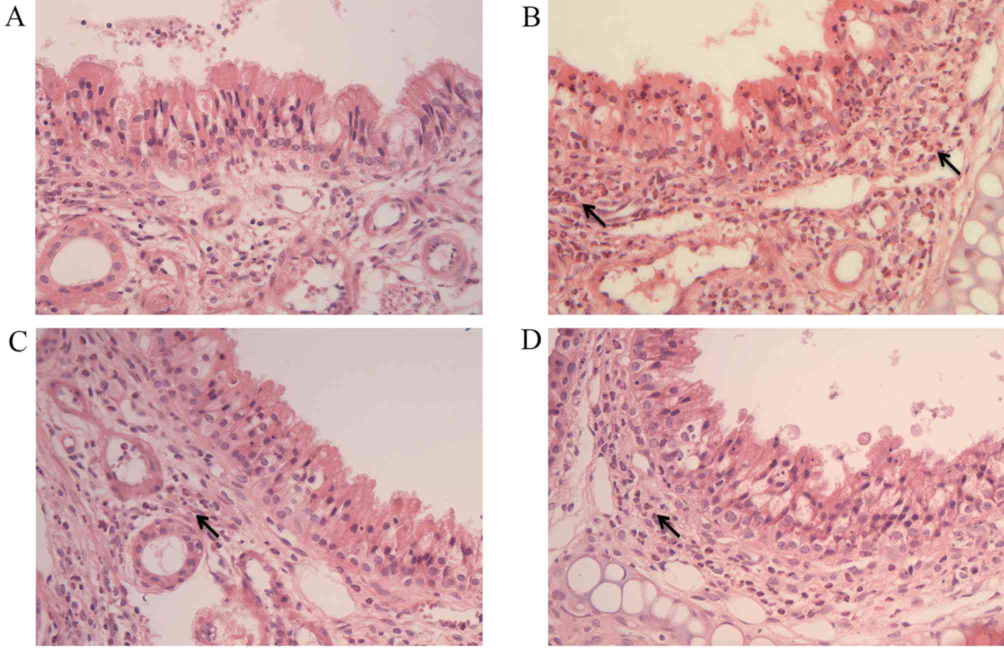
Histological images of the nasal tissue of each group are shown in Fig. 3. These images demonstrated decreased eosinophil infiltration and decreased epithelial layer disruption in the SN and Dex treatment groups when compared with the AR group (Fig. 3). The eosinophil count per HPF in the AR group was 31.5±4.9, which was significantly higher from that of the normal group (2.8±0.9 eosinophils/HPF; P<0.05). The eosinophil counts per HPF in the SN treatment group and Dex treatment group were 18.5±4.5 and 20.3±5.7, respectively (Fig. 4); thus, the number of eosinophils was significantly reduced in the two treatment groups (P<0.05) when compared with the AR group. These results indicate that the SN and Dex treatments decreased the eosinophil migration in the nasal mucosa, but there was no significant difference between them (P>0.05).

Figure 3.

Histological analysis of nasal mucosa in the (A) normal, (B) AR, (C) AR+SN and (D) AR+Dex groups. Systemic treatment with SN suppressed the eosinophil infiltration in the nasal mucosa (magnification, ×400). The normal group showed no inflammatory changes, while the nasal mucosa was infiltrated with eosinophils in the AR group (arrow). Eosinophilic infiltration was markedly reduced in the SN and Dex treatment groups. AR, allergic rhinitis; SN, sinomenine; Dex, dexamethasone.

Figure 4.

Number of eosinophils in the nasal mucosa. The number of eosinophils was significantly reduced in the SN and Dex treatment group when compared with that in the AR group. *P<0.05 vs. the AR group. N, normal; AR, allergic rhinitis; SN, sinomenine; Dex, dexamethasone.

Serum levels of OVA-specific IgE and cytokines

In order to evaluate the effects of the SN treatment on AR, the serum levels of OVA-specific IgE and various cytokines were detected by ELISA. The results indicated that OVA-specific IgE levels significantly decreased in the two treatment groups when compared with those in the AR group (P<0.05; Fig. 5). The SN treatment group demonstrated a significant decrease (P<0.05) in the Th2 cytokine IL-4 level in comparison with the level in the AR group, which was consistent with the observed symptom scores and histological observations. Similarly, the Th1 cytokine IFN-γ was also significantly reduced (P<0.05) in the two treatment groups (Fig. 5). Furthermore, treatment with SN resulted in enhancement of the production of TGF-β in the mouse serum (Fig. 6A).

Figure 5.

Protein levels of (A) OVA-specific IgE, (B) IL-4 and (C) IFN-γ in the various study groups, as determined by ELISA. Systemic treatment with SN suppressed OVA-specific IgE, while the levels of systemic Th2 cytokine IL-4 and Th1 cytokine IFN-γ decreased subsequent to SN administration. *P<0.05 vs. the AR group. OVA, ovalbumin; IL-4, interleukin-4; IFN, interferon; N, normal; AR, allergic rhinitis; SN, sinomenine; Dex, dexamethasone.

Figure 6.

Systemic treatment with SN significantly increased the expression of TGF-β. (A) Expression of TGF-β in the mouse serum as determined by ELISA. (B) mRNA expression levels of TGF-β in the nasal mucosa, as determined by reverse transcription-quantitative polymerase chain reaction. (C) Western blot and (D) quantified results of protein levels of TGF-β in the nasal mucosa. *P<0.05 vs. the AR group. TGF, transforming growth factor; N, normal; AR, allergic rhinitis; SN, sinomenine; Dex, dexamethasone.

Expression of TGF-β in the nasal mucosa

The level of TGF-β transcriptional activity was evaluated in the nasal mucosa of each group by RT-qPCR (Fig. 6B). The mRNA expression levels of TGF-β were significantly increased in the SN treatment group when compared with the AR group (P<0.05). Furthermore, the protein levels of TGF-β in the nasal mucosa were also significantly elevated in the SN treatment group, as determined by western blot analysis (Fig. 6C and D). The expression of TGF-β in the Dex group exhibited almost the same change when compared to the AR group.

Discussion

The majority of the clinical symptoms of AR, including rhinorrhea, nasal itching, sneezing and nasal congestion, cause significant discomfort to patients (21). AR is considered to result from an IgE-mediated allergy associated with a nasal inflammation of variable intensity (1). Cells, mediators, cytokines, chemokines, neuropeptides, as well as adhesion molecules and cells (2–7,22–25), are all considered to cooperate in a complex network, provoking specific symptoms and nonspecific nasal hyperreactivity. IgE production is induced following complex interactions between B-cells, T-cells, mast cells and basophils, and involves the presence IL-4, IL-13 and IL-18 cytokines and a physical interaction between T and B-cells by various surface and adhesion molecules (2). Eosinophils numbers are increased and activated in the nasal mucosa of patients with symptomatic allergic (22). Various mediators are released in nasal secretions, such as CysLT (23), ECP (24) and histamine (25). CD4+ lymphocytes with a Th2 phenotype serve an important role in the development of AR, and the suppression of Th2 lymphocytes may be a potential therapeutic target for the treatment of AR.

Various Chinese traditional medicine formulas have been used for the treatment of allergic diseases for thousands of years. The search for appropriate natural products may provide further treatment options for allergic diseases to the currently used drugs. In vitro studies have demonstrated that SN is able to inhibit lymphocyte proliferation and antibody production by B cells, as well as to potently reduce the production of inflammatory factors by macrophages (26–28). SN also inhibits the antigen-presenting capacity of bone marrow-derived DCs with the decrease of IL-12, TNF-α and IL-1β production (29). In addition, SN affects the production of several allergic mediators, including IL-6, PGD2, LTC4, β-Hex and COX-2 protein (30). In vitro experiments by Shu et al (31). revealed that the immunosuppressive activity elicited by SN in CD4+ primary lymphocytes was largely attributed to caspase-3-dependent apoptosis These findings indicate that SN has the potential for use in the treatment of allergies.

In the present study, AR mice treated with SN or Dex had lower symptoms scores for nose rubbing and sneezing. Meanwhile, the infiltration of eosinophils, the proliferation of goblet cells and the loss of ciliated cells in the nasal epithelium are common histopathological changes of the nasal mucosa in AR mice (32). Subsequent to treatment with SN or Dex, the number of eosinophils was reduced when compared with that in the nasal mucosa of untreated AR mice. Thus, it can be concluded that SN treatment, as well as Dex treatment, decreased changes in the nasal mucosa and alleviated the symptoms in AR mice.

OVA-specific IgE and IL-4 levels were found to increase in AR mice compared with those in the normal group. However, SN significantly inhibited the expression of OVA-specific IgE and IL-4 in AR mice in the current study experiments. Similarly, Feng et al (18) observed that SN treatment suppressed the production of antibodies, including anti-OVA IgG2a, IgG1 and IgE, as well as the secretion of cytokines, such as IFN-γ and IL-5. In addition, this previous study demonstrated that SN enhanced the secretion of TGF-β (18). SN also serves an important role in the Th1/Th2 cell balance by regulating the expression levels of T-bet and GATA-3, which are the transcription factors of Th1 and Th2, respectively (33). All these aforementioned results suggest that SN appears to have a suppressive effect on AR. The regulatory T cells (Tregs) have been shown to suppress Th1 and Th2 responses in vitro (34–36), and TGF-β was considered to serve an important role in the development and differentiation of Tregs (37–39). In the present study, treatment with SN was followed by an enhancement of TGF-β secretion. Thus, the downregulation of Th2 responses and allergic symptom scores by SN treatment may be associated with the role of this Treg cytokine in these immune responses.

In conclusion, the present study demonstrated that SN had an inhibitory efficacy on AR, by alleviating the symptoms and inhibiting the expression of OVA-specific IgE and Th2 cytokines in OVA-induced AR mice. SN treatment also reduced the eosinophil infiltration. These results may depend on the induction of the local and systemic TGF-β expression, which is an important cytokine in Treg cells, by SN treatment. Therefore, the results suggest that SN may have a good potency in AR treatment.

Acknowledgements

The authors are grateful to the staff in the laboratory of Renmin Hospital of Wuhan University (Wuhan, China) who fully cooperated and provided important support to the current project. The authors would specifically like to thank Dr Liu Ying (College Of Nursing, The Second Military Medical University, Shanghai, China) for correcting the manuscript.

References

1 

Bousquet J, Khaltaev N, Cruz AA, Denburg J, Fokkens WJ, Togias A, Zuberbier T, Baena-Cagnani CE, Canonica GW, van Weel C, et al: Allergic rhinitis and its impact on asthma (ARIA) 2008 update (in collaboration with the World Health Organization, GA(2)LEN and AllerGen). Allergy. 63:(Suppl 86). S8–S160. 2008. View Article : Google Scholar

2 

Punnonen J, Aversa GG, Vandekerckhove B, Roncarolo MG and de Vries JE: Induction of isotype switching and Ig production by CD5+ and CD10+ human fetal B cells. J Immunol. 148:3398–3404. 1992.PubMed/NCBI

3 

Romagnani S: Immunologic influences on allergy and the TH1/TH2 balance. J Allergy Clin Immunol. 113:395–400. 2004. View Article : Google Scholar : PubMed/NCBI

4 

Romagnani S: Regulatory T cells: Which role in the pathogenesis and treatment of allergic disorders? Allergy. 61:3–14. 2006. View Article : Google Scholar : PubMed/NCBI

5 

Allam JP and Novak N: Immunological mechanisms of sublingual immunotherapy. Curr Opin Allergy Clin Immunol. 14:564–569. 2014. View Article : Google Scholar : PubMed/NCBI

6 

Akdis CA, Barlan IB, Bahceciler N and Akdis M: Immunological mechanisms of sublingual immunotherapy. Allergy. 61:(Suppl 81). S11–S14. 2006. View Article : Google Scholar

7 

Wilson MS, Taylor MD, Balic A, Finney CA, Lamb JR and Maizels RM: Suppression of allergic airway inflammation by helminth-induced regulatory T cells. J Exp Med. 202:1199–1212. 2005. View Article : Google Scholar : PubMed/NCBI

8 

Hu G, Walls RS, Bass D, Ramon B, Grayson D, Jones M and Gebski V: The Chinese herbal formulation biminne in management of perennial allergic rhinitis: A randomized, double-blind, placebo-controlled, 12-week clinical trial. Ann Allergy Asthma Immunol. 88:478–487. 2002. View Article : Google Scholar : PubMed/NCBI

9 

Makino T: Pharmacological properties of Gyokuheifusan, a traditional Kampo medicinal formula. Yakugaku Zasshi. 125:349–354. 2005.(In Japanese). View Article : Google Scholar : PubMed/NCBI

10 

Yang SH and Yu CL: Antiinflammatory effects of Bu-zhong-yi-qi-tang in patients with perennial allergic rhinitis. J Ethnopharmacol. 115:104–109. 2008. View Article : Google Scholar : PubMed/NCBI

11 

Yang SH, Yu CL, Chen YL, Chiao SL and Chen ML: Traditional Chinese medicine, Xin-yi-san, reduces nasal symptoms of patients with perennial allergic rhinitis by its diverse immunomodulatory effects. Int Immunopharmacol. 10:951–958. 2010. View Article : Google Scholar : PubMed/NCBI

12 

Wei Y, Lyu Y, Li M, Luo Q, Sun J, Liu F, Lin Y, Chen M, Nurahmat M, Abduwaki M and Dong J: Comparison of effect of granules and herbs of Bu-Shen-Yi-Qi-Tang on airway inflammation in asthmatic mice. Chin Med J (Engl). 127:3957–3962. 2014.PubMed/NCBI

13 

Chen HY, Lin YH, Huang JW and Chen YC: Chinese herbal medicine network and core treatments for allergic skin diseases: Implications from a nationwide database. J Ethnopharmacol. 168:260–267. 2015. View Article : Google Scholar : PubMed/NCBI

14 

Yamasaki H: Pharmacology of sinomenine, an anti-rheumatic alkaloid from Sinomenium acutum. Acta medica Okayama. 30:1–20. 1976.PubMed/NCBI

15 

Lodge D, Headley PM, Duggan AW and Biscoe TJ: The effects of morphine, etorphine and sinomenine on the chemical sensitivity and synaptic responses of Renshaw cells and other spinal neurones in the rat. Eur J Pharmacol. 26:277–284. 1974. View Article : Google Scholar : PubMed/NCBI

16 

Lee SS, Won TB, Kim JW, Rhee CS, Lee CH, Hong SC and Min YG: Effects of dexamethasone on the expression of transforming growth factor-beta in the mouse model of allergic rhinitis. Laryngoscope. 117:1323–1328. 2007. View Article : Google Scholar : PubMed/NCBI

17 

Mo JH, Kang EK, Quan SH, Rhee CS, Lee CH and Kim DY: Anti-tumor necrosis factor-alpha treatment reduces allergic responses in an allergic rhinitis mouse model. Allergy. 66:279–286. 2011. View Article : Google Scholar : PubMed/NCBI

18 

Feng H, Yamaki K, Takano H, Inoue K, Yanagisawa R and Yoshino S: Suppression of Th1 and Th2 immune responses in mice by Sinomenine, an alkaloid extracted from the chinese medicinal plant Sinomenium acutum. Planta Med. 72:1383–1388. 2006. View Article : Google Scholar : PubMed/NCBI

19 

Okano M, Nishizaki K, Abe M, Wang MM, Yoshino T, Satoskar AR, Masuda Y and Harn DA Jr: Strain-dependent induction of allergic rhinitis without adjuvant in mice. Allergy. 54:593–601. 1999. View Article : Google Scholar : PubMed/NCBI

20 

Livak KJ and Schmittgen TD: Analysis of relative gene expression data using real-time quantitative PCR and the 2(−Delta Delta C(T)) Method. Methods. 25:402–408. 2001. View Article : Google Scholar : PubMed/NCBI

21 

Stokes JR, Romero FA Jr, Allan RJ, Phillips PG, Hackman F, Misfeldt J and Casale TB: The effects of an H3 receptor antagonist (PF-03654746) with fexofenadine on reducing allergic rhinitis symptoms. J Allergy Clin Immunol. 129:409–412, 412.e1-2. 2012. View Article : Google Scholar : PubMed/NCBI

22 

Eliashar R and Levi-Schaffer F: The role of the eosinophil in nasal diseases. Curr Opin Otolaryngol Head Neck Surg. 13:171–175. 2005. View Article : Google Scholar : PubMed/NCBI

23 

Skoner DP, Lee L, Doyle WJ, Boehm S and Fireman P: Nasal physiology and inflammatory mediators during natural pollen exposure. Ann Allergy. 65:206–210. 1990.PubMed/NCBI

24 

Rasp G, Thomas PA and Bujía J: Eosinophil inflammation of the nasal mucosa in allergic and non-allergic rhinitis measured by eosinophil cationic protein levels in native nasal fluid and serum. Clin Exp Allergy. 24:1151–1156. 1994. View Article : Google Scholar : PubMed/NCBI

25 

Wilson SJ, Lau L and Howarth PH: Inflammatory mediators in naturally occurring rhinitis. Clin Exp Allergy. 28:220–227. 1998. View Article : Google Scholar : PubMed/NCBI

26 

Liu L, Resch K and Kaever V: Inhibition of lymphocyte proliferation by the anti-arthritic drug sinomenine. Int J Immunopharmacol. 16:685–691. 1994. View Article : Google Scholar : PubMed/NCBI

27 

Hojo H, Kondo Y, Umeda H, Tahira T and Hashimoto Y: Effect of sinomenine on antibody responses in mice. J Immunopharmacol. 7:33–42. 1985. View Article : Google Scholar : PubMed/NCBI

28 

Kim HM, Moon PD, Chae HJ, Kim HR, Chung JG, Kim JJ and Lee EJ: The stem of Sinomenium acutum inhibits mast cell-mediated anaphylactic reactions and tumor necrosis factor-alpha production from rat peritoneal mast cells. J Ethnopharmacol. 70:135–141. 2000. View Article : Google Scholar : PubMed/NCBI

29 

Wang Y, Ma D, Jie Y, Wu Y and Pan Z: Sinomenine can prolong high-risk corneal graft survival in a rat model. Immunotherapy. 4:581–586. 2012. View Article : Google Scholar : PubMed/NCBI

30 

Oh YC, Kang OH, Choi JG, Brice OO, Lee YS, Keum JH, Kim SB, Shin DW, Ma J, Jeong GH and Kwon DY: Anti-allergic effects of sinomenine by inhibition of prostaglandin D2 and leukotriene C4 in mouse bone marrow-derived mast cells. Immunopharmacol Immunotoxicol. 33:266–270. 2011. View Article : Google Scholar : PubMed/NCBI

31 

Shu L, Yin W, Zhang J, Tang B, Kang YX, Ding F and Hua ZC: Sinomenine inhibits primary CD4+ T-cell proliferation via apoptosis. Cell Biol Int. 31:784–789. 2007. View Article : Google Scholar : PubMed/NCBI

32 

Miyata M, Hatsushika K, Ando T, Shimokawa N, Ohnuma Y, Katoh R, Suto H, Ogawa H, Masuyama K and Nakao A: Mast cell regulation of epithelial TSLP expression plays an important role in the development of allergic rhinitis. Eur J Immunol. 38:1487–1492. 2008. View Article : Google Scholar : PubMed/NCBI

33 

Cheng Y, Zhang J, Hou W, Wang D, Li F, Zhang Y and Yuan F: Immunoregulatory effects of sinomenine on the T-bet/GATA-3 ratio and Th1/Th2 cytokine balance in the treatment of mesangial proliferative nephritis. Int Immunopharmacol. 9:894–899. 2009. View Article : Google Scholar : PubMed/NCBI

34 

Xu G, Mou Z, Jiang H, Cheng L, Shi J, Xu R, Oh Y and Li H: A possible role of CD4+CD25+ T cells as well as transcription factor Foxp3 in the dysregulation of allergic rhinitis. Laryngoscope. 117:876–880. 2007. View Article : Google Scholar : PubMed/NCBI

35 

Lee SM, Gao B, Dahl M, Calhoun K and Fang D: Decreased FoxP3 gene expression in the nasal secretions from patients with allergic rhinitis. Otolaryngol Head Neck Surg. 140:197–201. 2009. View Article : Google Scholar : PubMed/NCBI

36 

Malmhäll C, Bossios A, Pullerits T and Lötvall J: Effects of pollen and nasal glucocorticoid on FOXP3+, GATA-3+ and T-bet+ cells in allergic rhinitis. Allergy. 62:1007–1013. 2007. View Article : Google Scholar : PubMed/NCBI

37 

Dardalhon V, Awasthi A, Kwon H, Galileos G, Gao W, Sobel RA, Mitsdoerffer M, Strom TB, Elyaman W, Ho IC, et al: IL-4 inhibits TGF-beta-induced Foxp3+ T cells and, together with TGF-beta, generates IL-9+ IL-10+ Foxp3(−) effector T cells. Nat Immunol. 9:1347–1355. 2008. View Article : Google Scholar : PubMed/NCBI

38 

Dardalhon V, Korn T, Kuchroo VK and Anderson AC: Role of Th1 and Th17 cells in organ-specific autoimmunity. J Autoimmun. 31:252–256. 2008. View Article : Google Scholar : PubMed/NCBI

39 

Taylor A, Verhagen J, Blaser K, Akdis M and Akdis CA: Mechanisms of immune suppression by interleukin-10 and transforming growth factor-beta: The role of T regulatory cells. Immunology. 117:433–442. 2006. View Article : Google Scholar : PubMed/NCBI

Related Articles

  • Abstract
  • View
  • Download
  • Twitter
Copy and paste a formatted citation
Spandidos Publications style
Chen Z, Tao ZZ, Zhou XH, Wu TT and Ye LF: Immunosuppressive effect of sinomenine in an allergic rhinitis mouse model. Exp Ther Med 13: 2405-2410, 2017.
APA
Chen, Z., Tao, Z., Zhou, X., Wu, T., & Ye, L. (2017). Immunosuppressive effect of sinomenine in an allergic rhinitis mouse model. Experimental and Therapeutic Medicine, 13, 2405-2410. https://doi.org/10.3892/etm.2017.4237
MLA
Chen, Z., Tao, Z., Zhou, X., Wu, T., Ye, L."Immunosuppressive effect of sinomenine in an allergic rhinitis mouse model". Experimental and Therapeutic Medicine 13.5 (2017): 2405-2410.
Chicago
Chen, Z., Tao, Z., Zhou, X., Wu, T., Ye, L."Immunosuppressive effect of sinomenine in an allergic rhinitis mouse model". Experimental and Therapeutic Medicine 13, no. 5 (2017): 2405-2410. https://doi.org/10.3892/etm.2017.4237
Copy and paste a formatted citation
x
Spandidos Publications style
Chen Z, Tao ZZ, Zhou XH, Wu TT and Ye LF: Immunosuppressive effect of sinomenine in an allergic rhinitis mouse model. Exp Ther Med 13: 2405-2410, 2017.
APA
Chen, Z., Tao, Z., Zhou, X., Wu, T., & Ye, L. (2017). Immunosuppressive effect of sinomenine in an allergic rhinitis mouse model. Experimental and Therapeutic Medicine, 13, 2405-2410. https://doi.org/10.3892/etm.2017.4237
MLA
Chen, Z., Tao, Z., Zhou, X., Wu, T., Ye, L."Immunosuppressive effect of sinomenine in an allergic rhinitis mouse model". Experimental and Therapeutic Medicine 13.5 (2017): 2405-2410.
Chicago
Chen, Z., Tao, Z., Zhou, X., Wu, T., Ye, L."Immunosuppressive effect of sinomenine in an allergic rhinitis mouse model". Experimental and Therapeutic Medicine 13, no. 5 (2017): 2405-2410. https://doi.org/10.3892/etm.2017.4237
Follow us
  • Twitter
  • LinkedIn
  • Facebook
About
  • Spandidos Publications
  • Careers
  • Cookie Policy
  • Privacy Policy
How can we help?
  • Help
  • Live Chat
  • Contact
  • Email to our Support Team