Spandidos Publications Logo
  • About
    • About Spandidos
    • Aims and Scopes
    • Abstracting and Indexing
    • Editorial Policies
    • Reprints and Permissions
    • Job Opportunities
    • Terms and Conditions
    • Contact
  • Journals
    • All Journals
    • Oncology Letters
      • Oncology Letters
      • Information for Authors
      • Editorial Policies
      • Editorial Board
      • Aims and Scope
      • Abstracting and Indexing
      • Bibliographic Information
      • Archive
    • International Journal of Oncology
      • International Journal of Oncology
      • Information for Authors
      • Editorial Policies
      • Editorial Board
      • Aims and Scope
      • Abstracting and Indexing
      • Bibliographic Information
      • Archive
    • Molecular and Clinical Oncology
      • Molecular and Clinical Oncology
      • Information for Authors
      • Editorial Policies
      • Editorial Board
      • Aims and Scope
      • Abstracting and Indexing
      • Bibliographic Information
      • Archive
    • Experimental and Therapeutic Medicine
      • Experimental and Therapeutic Medicine
      • Information for Authors
      • Editorial Policies
      • Editorial Board
      • Aims and Scope
      • Abstracting and Indexing
      • Bibliographic Information
      • Archive
    • International Journal of Molecular Medicine
      • International Journal of Molecular Medicine
      • Information for Authors
      • Editorial Policies
      • Editorial Board
      • Aims and Scope
      • Abstracting and Indexing
      • Bibliographic Information
      • Archive
    • Biomedical Reports
      • Biomedical Reports
      • Information for Authors
      • Editorial Policies
      • Editorial Board
      • Aims and Scope
      • Abstracting and Indexing
      • Bibliographic Information
      • Archive
    • Oncology Reports
      • Oncology Reports
      • Information for Authors
      • Editorial Policies
      • Editorial Board
      • Aims and Scope
      • Abstracting and Indexing
      • Bibliographic Information
      • Archive
    • Molecular Medicine Reports
      • Molecular Medicine Reports
      • Information for Authors
      • Editorial Policies
      • Editorial Board
      • Aims and Scope
      • Abstracting and Indexing
      • Bibliographic Information
      • Archive
    • World Academy of Sciences Journal
      • World Academy of Sciences Journal
      • Information for Authors
      • Editorial Policies
      • Editorial Board
      • Aims and Scope
      • Abstracting and Indexing
      • Bibliographic Information
      • Archive
    • International Journal of Functional Nutrition
      • International Journal of Functional Nutrition
      • Information for Authors
      • Editorial Policies
      • Editorial Board
      • Aims and Scope
      • Abstracting and Indexing
      • Bibliographic Information
      • Archive
    • International Journal of Epigenetics
      • International Journal of Epigenetics
      • Information for Authors
      • Editorial Policies
      • Editorial Board
      • Aims and Scope
      • Abstracting and Indexing
      • Bibliographic Information
      • Archive
    • Medicine International
      • Medicine International
      • Information for Authors
      • Editorial Policies
      • Editorial Board
      • Aims and Scope
      • Abstracting and Indexing
      • Bibliographic Information
      • Archive
  • Articles
  • Information
    • Information for Authors
    • Information for Reviewers
    • Information for Librarians
    • Information for Advertisers
    • Conferences
  • Language Editing
Spandidos Publications Logo
  • About
    • About Spandidos
    • Aims and Scopes
    • Abstracting and Indexing
    • Editorial Policies
    • Reprints and Permissions
    • Job Opportunities
    • Terms and Conditions
    • Contact
  • Journals
    • All Journals
    • Biomedical Reports
      • Information for Authors
      • Editorial Policies
      • Editorial Board
      • Aims and Scope
      • Abstracting and Indexing
      • Bibliographic Information
      • Archive
    • Experimental and Therapeutic Medicine
      • Information for Authors
      • Editorial Policies
      • Editorial Board
      • Aims and Scope
      • Abstracting and Indexing
      • Bibliographic Information
      • Archive
    • International Journal of Epigenetics
      • Information for Authors
      • Editorial Policies
      • Editorial Board
      • Aims and Scope
      • Abstracting and Indexing
      • Bibliographic Information
      • Archive
    • International Journal of Functional Nutrition
      • Information for Authors
      • Editorial Policies
      • Editorial Board
      • Aims and Scope
      • Abstracting and Indexing
      • Bibliographic Information
      • Archive
    • International Journal of Molecular Medicine
      • Information for Authors
      • Editorial Policies
      • Editorial Board
      • Aims and Scope
      • Abstracting and Indexing
      • Bibliographic Information
      • Archive
    • International Journal of Oncology
      • Information for Authors
      • Editorial Policies
      • Editorial Board
      • Aims and Scope
      • Abstracting and Indexing
      • Bibliographic Information
      • Archive
    • Medicine International
      • Information for Authors
      • Editorial Policies
      • Editorial Board
      • Aims and Scope
      • Abstracting and Indexing
      • Bibliographic Information
      • Archive
    • Molecular and Clinical Oncology
      • Information for Authors
      • Editorial Policies
      • Editorial Board
      • Aims and Scope
      • Abstracting and Indexing
      • Bibliographic Information
      • Archive
    • Molecular Medicine Reports
      • Information for Authors
      • Editorial Policies
      • Editorial Board
      • Aims and Scope
      • Abstracting and Indexing
      • Bibliographic Information
      • Archive
    • Oncology Letters
      • Information for Authors
      • Editorial Policies
      • Editorial Board
      • Aims and Scope
      • Abstracting and Indexing
      • Bibliographic Information
      • Archive
    • Oncology Reports
      • Information for Authors
      • Editorial Policies
      • Editorial Board
      • Aims and Scope
      • Abstracting and Indexing
      • Bibliographic Information
      • Archive
    • World Academy of Sciences Journal
      • Information for Authors
      • Editorial Policies
      • Editorial Board
      • Aims and Scope
      • Abstracting and Indexing
      • Bibliographic Information
      • Archive
  • Articles
  • Information
    • For Authors
    • For Reviewers
    • For Librarians
    • For Advertisers
    • Conferences
  • Language Editing
Login Register Submit
  • This site uses cookies
  • You can change your cookie settings at any time by following the instructions in our Cookie Policy. To find out more, you may read our Privacy Policy.

    I agree
Search articles by DOI, keyword, author or affiliation
Search
Advanced Search
presentation
Experimental and Therapeutic Medicine
Join Editorial Board Propose a Special Issue
Print ISSN: 1792-0981 Online ISSN: 1792-1015
Journal Cover
July-2017 Volume 14 Issue 1

Full Size Image

Sign up for eToc alerts
Recommend to Library

Journals

International Journal of Molecular Medicine

International Journal of Molecular Medicine

International Journal of Molecular Medicine is an international journal devoted to molecular mechanisms of human disease.

International Journal of Oncology

International Journal of Oncology

International Journal of Oncology is an international journal devoted to oncology research and cancer treatment.

Molecular Medicine Reports

Molecular Medicine Reports

Covers molecular medicine topics such as pharmacology, pathology, genetics, neuroscience, infectious diseases, molecular cardiology, and molecular surgery.

Oncology Reports

Oncology Reports

Oncology Reports is an international journal devoted to fundamental and applied research in Oncology.

Experimental and Therapeutic Medicine

Experimental and Therapeutic Medicine

Experimental and Therapeutic Medicine is an international journal devoted to laboratory and clinical medicine.

Oncology Letters

Oncology Letters

Oncology Letters is an international journal devoted to Experimental and Clinical Oncology.

Biomedical Reports

Biomedical Reports

Explores a wide range of biological and medical fields, including pharmacology, genetics, microbiology, neuroscience, and molecular cardiology.

Molecular and Clinical Oncology

Molecular and Clinical Oncology

International journal addressing all aspects of oncology research, from tumorigenesis and oncogenes to chemotherapy and metastasis.

World Academy of Sciences Journal

World Academy of Sciences Journal

Multidisciplinary open-access journal spanning biochemistry, genetics, neuroscience, environmental health, and synthetic biology.

International Journal of Functional Nutrition

International Journal of Functional Nutrition

Open-access journal combining biochemistry, pharmacology, immunology, and genetics to advance health through functional nutrition.

International Journal of Epigenetics

International Journal of Epigenetics

Publishes open-access research on using epigenetics to advance understanding and treatment of human disease.

Medicine International

Medicine International

An International Open Access Journal Devoted to General Medicine.

Journal Cover
July-2017 Volume 14 Issue 1

Full Size Image

Sign up for eToc alerts
Recommend to Library

  • Article
  • Citations
    • Cite This Article
    • Download Citation
    • Create Citation Alert
    • Remove Citation Alert
    • Cited By
  • Similar Articles
    • Related Articles (in Spandidos Publications)
    • Similar Articles (Google Scholar)
    • Similar Articles (PubMed)
  • Download PDF
  • Download XML
  • View XML
Article

Metformin ameliorates diabetic nephropathy in a rat model of low-dose streptozotocin-induced diabetes

  • Authors:
    • Siwei Zhang
    • Huali Xu
    • Xiaofeng Yu
    • Yi Wu
    • Dayun Sui
  • View Affiliations / Copyright

    Affiliations: Department of Pharmacology, School of Pharmaceutical Sciences, Jilin University, Changchun, Jilin 130021, P.R. China
  • Pages: 383-390
    |
    Published online on: May 18, 2017
       https://doi.org/10.3892/etm.2017.4475
  • Expand metrics +
Metrics: Total Views: 0 (Spandidos Publications: | PMC Statistics: )
Metrics: Total PDF Downloads: 0 (Spandidos Publications: | PMC Statistics: )
Cited By (CrossRef): 0 citations Loading Articles...

This article is mentioned in:



Abstract

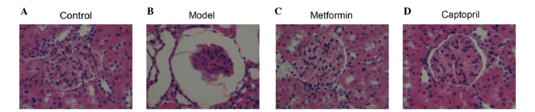
The present study aimed to explore the renoprotective effect of metformin on diabetic nephropathy in type 2 diabetic rats. A rat model of type 2 diabetic nephropathy (T2DN) was successfully induced via a high‑fat diet combined with a single low-dose of streptozotocin. Metformin was administered intragastrically for 13 weeks, and fasting blood glucose (FBG), total cholesterol (TC), triglycerides (TG), HDL‑c, LDL‑c, urinary and serum creatinine levels were subsequently examined at the end of administration. Renal function was determined after the treatment protocol. Expression levels of transforming growth factor (TGF)‑β1 and connective tissue growth factor (CTGF) were assessed via immunohistochemical analysis. Superoxide dismutase activity, malondialdehyde content and glutathione peroxidase levels were assessed in kidney tissues using commercially available kits. The results of the present study demonstrated that metformin administration significantly decreased the levels of serum blood urea nitrogen, serum creatinine, creatinine clearance, urinary albumin excretion and fasting blood glucose in rats with T2DN. Furthermore, TG, TC and LDL‑c levels were significantly decreased following metformin treatment, whereas HDL‑c was increased. Metformin treatment significantly increased SOD activity and significantly decreased malondialdehyde levels, as compared with the model group. It was also demonstrated that metformin administration significantly decreased the expression levels of TGF‑β1 and attenuated the morphological changes associated with T2DN in rats. These data clearly demonstrated the renoprotective effects of metformin against the development and progression of T2DN in rats. The underlying mechanism of this protective effect may be associated with glycemic control, lipid metabolism, and anti‑oxidative and anti‑inflammatory functions.
View Figures

Figure 1

Figure 2

Figure 3

Figure 4

Figure 5

Figure 6

View References

1 

Kashihara N, Haruna Y, Kondeti VK and Kanwar YS: Oxidative stress in diabetic nephropathy. Curr Med Chem. 17:4256–4269. 2010. View Article : Google Scholar : PubMed/NCBI

2 

Yokoyama H, Araki S, Kawai K, Hirao K, Oishi M, Sugimoto K, Sone H, Maegawa H and Kashiwagi A; Japan Diabetes Clinical Data Management Study Group: Pioglitazone treatment and cardiovascular event and death in subjects with type 2 diabetes without established cardiovascular disease (JDDM 36). Diabetes Res Clin Pract. 109:485–492. 2015. View Article : Google Scholar : PubMed/NCBI

3 

Ritz E: Diabetic nephropathy. Saudi J Kidney Dis Transpl. 17:481–490. 2006.PubMed/NCBI

4 

Zou J, Yu X, Qu S, Li X, Jin Y and Sui D: Protective effect of total flavonoids extracted from the leaves of Murraya paniculata (L.) Jack on diabetic nephropathy in rats. Food Chem Toxicol. 64:231–237. 2014. View Article : Google Scholar : PubMed/NCBI

5 

Gohda T, Mima A, Moon JY and Kanasaki K: Combat diabetic nephropathy: From pathogenesis to treatment. J Diabetes Res. 2014:2071402014. View Article : Google Scholar : PubMed/NCBI

6 

Pan HZ, Zhang L, Guo MY, Sui H, Li H, Wu WH, Qu NQ, Liang MH and Chang D: The oxidative stress status in diabetes mellitus and diabetic nephropathy. Acta Diabetol. 47 Suppl 1:S71–S76. 2010. View Article : Google Scholar

7 

Swaminathan S and Shah SV: Novel approaches targeted toward oxidative stress for the treatment of chronic kidney disease. Curr Opin Nephrol Hypertens. 17:143–148. 2008. View Article : Google Scholar : PubMed/NCBI

8 

Tabak O, Gelisgen R, Erman H, Erdenen F, Muderrisoglu C, Aral H and Uzun H: Oxidative lipid, protein and DNA damage as oxidative stress markers in vascular complications of diabetes mellitus. Clin Invest Med. 34:E163–E171. 2011. View Article : Google Scholar : PubMed/NCBI

9 

Ho C, Lee PH, Hsu YC, Wang FS, Huang YT and Lin CL: Sustained Wnt/β-catenin signaling rescues high glucose induction of transforming growth factor-β1-mediated renal fibrosis. Am J Med Sci. 344:374–382. 2012. View Article : Google Scholar : PubMed/NCBI

10 

Zorena K, Malinowska E, Raczyńska D, Myśliwiec M and Raczyńska K: Serum concentrations of transforming growth factor-Beta 1 in predicting the occurrence of diabetic retinopathy in juvenile patients with type 1 diabetes mellitus. J Diabetes Res. 2013:6149082013. View Article : Google Scholar : PubMed/NCBI

11 

Chen MM, Lam A, Abraham JA, Schreiner GF and Joly AH: CTGF expression is induced by TGF-beta in cardiac fibroblasts and cardiac myocytes: A potential role in heart fibrosis. J Mol Cell Cardiol. 32:1805–1819. 2000. View Article : Google Scholar : PubMed/NCBI

12 

Li X, Cui X, Sun X, Li X, Zhu Q and Li W: Mangiferin prevents diabetic nephropathy progression in streptozotocin-induced diabetic rats. Phytother Res. 24:893–899. 2010.PubMed/NCBI

13 

Nasri H and Rafieian-Kopaei M: Metformin: Current knowledge. J Res Med Sci. 19:658–664. 2014.PubMed/NCBI

14 

Kirpichnikov D, McFarlane SI and Sowers JR: Metformin: An update. Ann Intern Med. 137:25–33. 2002. View Article : Google Scholar : PubMed/NCBI

15 

Grossmann ME, Yang DQ, Guo Z, Potter DA and Cleary MP: Metformin Treatment for the Prevention and/or Treatment of Breast/Mammary Tumorigenesis. Curr Pharmacol Rep. 1:312–323. 2015. View Article : Google Scholar : PubMed/NCBI

16 

Rafieian-Kopaei M and Nasri H: Ginger and diabetic nephropathy. J Renal Inj Prev. 2:9–10. 2013.PubMed/NCBI

17 

Baradaran A: Lipoprotein(a), type 2 diabetes and nephropathy; the mystery continues. J Nephropathol. 1:126–129. 2012. View Article : Google Scholar : PubMed/NCBI

18 

Kim CS, Sohn EJ, Kim YS, Jung DH, Jang DS, Lee YM, Kim DH and Kim JS: Effects of KIOM-79 on hyperglycemia and diabetic nephropathy in type 2 diabetic Goto-Kakizaki rats. J Ethnopharmacol. 111:240–247. 2007. View Article : Google Scholar : PubMed/NCBI

19 

Kong LL, Wu H, Cui WP, Zhou WH, Luo P, Sun J, Yuan H and Miao LN: Advances in murine models of diabetic nephropathy. J Diabetes Res. 2013:7975482013. View Article : Google Scholar : PubMed/NCBI

20 

Dupuis F, Atkinson J, Limiñana P and Chillon JM: Captopril improves cerebrovascular structure and function in old hypertensive rats. Br J Pharmacol. 144:349–356. 2005. View Article : Google Scholar : PubMed/NCBI

21 

Szkudelski T: The mechanism of alloxan and streptozotocin action in B cells of the rat pancreas. Physiol Res. 50:537–546. 2001.PubMed/NCBI

22 

Lenzen S: The mechanisms of alloxan- and streptozotocin-induced diabetes. Diabetologia. 51:216–226. 2008. View Article : Google Scholar : PubMed/NCBI

23 

Hall-Craggs M, Brenner DE, Vigorito RD and Sutherland JC: Acute renal failure and renal tubular squamous metaplasia following treatment with streptozotocin. Hum Pathol. 13:597–601. 1982. View Article : Google Scholar : PubMed/NCBI

24 

Tay YC, Wang Y, Kairaitis L, Rangan GK, Zhang C and Harris DC: Can murine diabetic nephropathy be separated from superimposed acute renal failure? Kidney Int. 68:391–398. 2005. View Article : Google Scholar : PubMed/NCBI

25 

Jiang X, Ma H, Wang Y and Liu Y: Early life factors and type 2 diabetes mellitus. J Diabetes Res. 2013:4850822013. View Article : Google Scholar : PubMed/NCBI

26 

Lee KM, Yang SJ, Kim YD, Choi YD, Nam JH, Choi CS, Choi HS and Park CS: Disruption of the cereblon gene enhances hepatic AMPK activity and prevents high-fat diet-induced obesity and insulin resistance in mice. Diabetes. 62:1855–1864. 2013. View Article : Google Scholar : PubMed/NCBI

27 

Mogensen CE, Christensen CK and Vittinghus E: The stages in diabetic renal disease. With emphasis on the stage of incipient diabetic nephropathy. Diabetes. 32 Suppl 2:S64–S78. 1983. View Article : Google Scholar

28 

Viberti G and Wheeldon NM; MicroAlbuminuria Reduction With VALsartan (MARVAL) Study Investigators, : Microalbuminuria reduction with valsartan in patients with type 2 diabetes mellitus: A blood pressure-independent effect. Circulation. 106:672–678. 2002. View Article : Google Scholar : PubMed/NCBI

29 

Wang XL, Lu JM, Pan CY and Tian H: A study comparing the prevalence of urinary albumin excretion and microalbuminuria in pre-diabetes subjects. Zhonghua Nei Ke Za Zhi. 43:170–173. 2004.(In Chinese). PubMed/NCBI

30 

Stirban A, Gawlowski T and Roden M: Vascular effects of advanced glycation endproducts: Clinical effects and molecular mechanisms. Mol Metab. 3:94–108. 2013. View Article : Google Scholar : PubMed/NCBI

31 

Sakai H, Jinde K, Suzuki D, Yagame M and Nomoto Y: Localization of glycated proteins in the glomeruli of patients with diabetic nephropathy. Nephrol Dial Transplant. 11 Suppl 5:S66–S71. 1996. View Article : Google Scholar

32 

Rösen P, Nawroth PP, King G, Möller W, Tritschler HJ and Packer L: The role of oxidative stress in the onset and progression of diabetes and its complications: A summary of a Congress Series sponsored by UNESCO-MCBN, the American diabetes association and the german diabetes society. Diabetes Metab Res Rev. 17:189–212. 2001. View Article : Google Scholar : PubMed/NCBI

33 

Iwasaki Y, Sawada T, Kijima H, Kosuge T, Katoh M, Rokkaku K, Kita J, Shimoda M and Kubota K: Estimated glomerular filtration rate is superior to measured creatinine clearance for predicting postoperative renal dysfunction in patients undergoing pancreatoduodenectomy. Pancreas. 39:20–25. 2010. View Article : Google Scholar : PubMed/NCBI

34 

Yan LJ: Analysis of oxidative modification of proteins. Curr Protoc Protein Sci Chapter. 14:Unit14.42009.

35 

Booth AA, Khalifah RG, Todd P and Hudson BG: In vitro kinetic studies of formation of antigenic advanced glycation end products (AGEs). Novel inhibition of post-Amadori glycation pathways. J Biol Chem. 272:5430–5437. 1997. View Article : Google Scholar : PubMed/NCBI

36 

Miyoshi H, Taguchi T, Sugiura M, Takeuchi M, Yanagisawa K, Watanabe Y, Miwa I, Makita Z and Koike T: Aminoguanidine pyridoxal adduct is superior to aminoguanidine for preventing diabetic nephropathy in mice. Horm Metab Res. 34:371–377. 2002. View Article : Google Scholar : PubMed/NCBI

37 

Wagener FA, Dekker D, Berden JH, Scharstuhl A and van der Vlag J: The role of reactive oxygen species in apoptosis of the diabetic kidney. Apoptosis. 14:1451–1458. 2009. View Article : Google Scholar : PubMed/NCBI

38 

Singh DK, Winocour P and Farrington K: Oxidative stress in early diabetic nephropathy: Fueling the fire. Nat Rev Endocrinol. 7:176–184. 2011. View Article : Google Scholar : PubMed/NCBI

39 

Krishan P and Chakkarwar VA: Diabetic nephropathy: Aggressive involvement of oxidative stress. J Pharm Educ Res. 2:352011.

40 

Mima A: Inflammation and oxidative stress in diabetic nephropathy: New insights on its inhibition as new therapeutic targets. J Diabetes Res. 2013:2485632013. View Article : Google Scholar : PubMed/NCBI

41 

Shao N, Kuang HY, Wang N, Gao XY, Hao M, Zou W and Yin HQ: Relationship between oxidant/antioxidant markers and severity of microalbuminuria in the early stage of Nephropathy in type 2 diabetic Patients. J Diabetes Res. 2013:2324042013. View Article : Google Scholar : PubMed/NCBI

42 

Grover HS and Luthra S: Molecular mechanisms involved in the bidirectional relationship between diabetes mellitus and periodontal disease. J Indian Soc Periodontol. 17:292–301. 2013. View Article : Google Scholar : PubMed/NCBI

43 

Iacopino AM: Periodontitis and diabetes interrelationships: Role of inflammation. Ann Periodontol. 6:125–137. 2001. View Article : Google Scholar : PubMed/NCBI

44 

Howard BV: Lipoprotein metabolism in diabetes mellitus. J Lipid Res. 28:613–628. 1987.PubMed/NCBI

45 

Ma Y, Wang Y, Huang Q, Ren Q, Chen S, Zhang A, Zhao L, Zhen Q and Peng Y: Impaired β cell function in Chinese newly diagnosed type 2 diabetes mellitus with hyperlipidemia. J Diabetes Res. 2014:4930392014. View Article : Google Scholar : PubMed/NCBI

46 

Moorhead JF, Chan MK, El-Nahas M and Varghese Z: Lipid nephrotoxicity in chronic progressive glomerular and tubulo-interstitial disease. Lancet. 2:1309–1311. 1982. View Article : Google Scholar : PubMed/NCBI

47 

Krolewski AS, Warram JH and Christlieb AR: Hypercholesterolemia-a determinant of renal function loss and deaths in IDDM patients with nephropathy. Kidney Int Suppl. 45:S125–S131. 1994.PubMed/NCBI

48 

Ravid M, Neumann L and Lishner M: Plasma lipids and the progression of nephropathy in diabetes mellitus type II: Effect of ACE inhibitors. Kidney Int. 47:907–910. 1995. View Article : Google Scholar : PubMed/NCBI

49 

Rosario RF and Prabhakar S: Lipids and diabetic nephropathy. Curr Diab Rep. 6:455–462. 2006. View Article : Google Scholar : PubMed/NCBI

50 

Lee HB, Yu MR, Yang Y, Jiang Z and Ha H: Reactive oxygen species-regulated signaling pathways in diabetic nephropathy. J Am Soc Nephrol. 14 8 Suppl 3:S241–S245. 2003. View Article : Google Scholar : PubMed/NCBI

51 

Choudhary N and Ahlawat RS: Interleukin-6 and C-reactive protein in pathogenesis of diabetic nephropathy: New evidence linking inflammation, glycemic control and microalbuminuria. Iran J Kidney Dis. 2:72–79. 2008.PubMed/NCBI

52 

Branchetti E, Poggio P, Sainger R, Shang E, Grau JB, Jackson BM, Lai EK, Parmacek MS, Gorman RC, Gorman JH, et al: Oxidative stress modulates vascular smooth muscle cell phenotype via CTGF in thoracic aortic aneurysm. Cardiovasc Res. 100:316–324. 2013. View Article : Google Scholar : PubMed/NCBI

53 

Vestra M Dalla, Mussap M, Gallina P, Bruseghin M, Cernigoi AM, Saller A, Plebani M and Fioretto P: Acute-phase markers of inflammation and glomerular structure in patients with type 2 diabetes. J Am Soc Nephrol. 16 Suppl 1:S78–S82. 2005. View Article : Google Scholar : PubMed/NCBI

54 

Sekizuka K, Tomino Y, Sei C, Kurusu A, Tashiro K, Yamaguchi Y, Kodera S, Hishiki T, Shirato I and Koide H: Detection of serum IL-6 in patients with diabetic nephropathy. Nephron. 68:284–285. 1994. View Article : Google Scholar : PubMed/NCBI

55 

Chen FQ, Wang J, Liu XB, Ma XY, Zhang XB, Huang T, Ma DW and Wang QY: Levels of inflammatory cytokines in type 2 diabetes patients with different urinary albumin excretion rates and their correlation with clinical variables. J Diabetes Res. 2013:1389692013. View Article : Google Scholar : PubMed/NCBI

Related Articles

  • Abstract
  • View
  • Download
  • Twitter
Copy and paste a formatted citation
Spandidos Publications style
Zhang S, Xu H, Yu X, Wu Y and Sui D: Metformin ameliorates diabetic nephropathy in a rat model of low-dose streptozotocin-induced diabetes. Exp Ther Med 14: 383-390, 2017.
APA
Zhang, S., Xu, H., Yu, X., Wu, Y., & Sui, D. (2017). Metformin ameliorates diabetic nephropathy in a rat model of low-dose streptozotocin-induced diabetes. Experimental and Therapeutic Medicine, 14, 383-390. https://doi.org/10.3892/etm.2017.4475
MLA
Zhang, S., Xu, H., Yu, X., Wu, Y., Sui, D."Metformin ameliorates diabetic nephropathy in a rat model of low-dose streptozotocin-induced diabetes". Experimental and Therapeutic Medicine 14.1 (2017): 383-390.
Chicago
Zhang, S., Xu, H., Yu, X., Wu, Y., Sui, D."Metformin ameliorates diabetic nephropathy in a rat model of low-dose streptozotocin-induced diabetes". Experimental and Therapeutic Medicine 14, no. 1 (2017): 383-390. https://doi.org/10.3892/etm.2017.4475
Copy and paste a formatted citation
x
Spandidos Publications style
Zhang S, Xu H, Yu X, Wu Y and Sui D: Metformin ameliorates diabetic nephropathy in a rat model of low-dose streptozotocin-induced diabetes. Exp Ther Med 14: 383-390, 2017.
APA
Zhang, S., Xu, H., Yu, X., Wu, Y., & Sui, D. (2017). Metformin ameliorates diabetic nephropathy in a rat model of low-dose streptozotocin-induced diabetes. Experimental and Therapeutic Medicine, 14, 383-390. https://doi.org/10.3892/etm.2017.4475
MLA
Zhang, S., Xu, H., Yu, X., Wu, Y., Sui, D."Metformin ameliorates diabetic nephropathy in a rat model of low-dose streptozotocin-induced diabetes". Experimental and Therapeutic Medicine 14.1 (2017): 383-390.
Chicago
Zhang, S., Xu, H., Yu, X., Wu, Y., Sui, D."Metformin ameliorates diabetic nephropathy in a rat model of low-dose streptozotocin-induced diabetes". Experimental and Therapeutic Medicine 14, no. 1 (2017): 383-390. https://doi.org/10.3892/etm.2017.4475
Follow us
  • Twitter
  • LinkedIn
  • Facebook
About
  • Spandidos Publications
  • Careers
  • Cookie Policy
  • Privacy Policy
How can we help?
  • Help
  • Live Chat
  • Contact
  • Email to our Support Team