Spandidos Publications Logo
  • About
    • About Spandidos
    • Aims and Scopes
    • Abstracting and Indexing
    • Editorial Policies
    • Reprints and Permissions
    • Job Opportunities
    • Terms and Conditions
    • Contact
  • Journals
    • All Journals
    • Oncology Letters
      • Oncology Letters
      • Information for Authors
      • Editorial Policies
      • Editorial Board
      • Aims and Scope
      • Abstracting and Indexing
      • Bibliographic Information
      • Archive
    • International Journal of Oncology
      • International Journal of Oncology
      • Information for Authors
      • Editorial Policies
      • Editorial Board
      • Aims and Scope
      • Abstracting and Indexing
      • Bibliographic Information
      • Archive
    • Molecular and Clinical Oncology
      • Molecular and Clinical Oncology
      • Information for Authors
      • Editorial Policies
      • Editorial Board
      • Aims and Scope
      • Abstracting and Indexing
      • Bibliographic Information
      • Archive
    • Experimental and Therapeutic Medicine
      • Experimental and Therapeutic Medicine
      • Information for Authors
      • Editorial Policies
      • Editorial Board
      • Aims and Scope
      • Abstracting and Indexing
      • Bibliographic Information
      • Archive
    • International Journal of Molecular Medicine
      • International Journal of Molecular Medicine
      • Information for Authors
      • Editorial Policies
      • Editorial Board
      • Aims and Scope
      • Abstracting and Indexing
      • Bibliographic Information
      • Archive
    • Biomedical Reports
      • Biomedical Reports
      • Information for Authors
      • Editorial Policies
      • Editorial Board
      • Aims and Scope
      • Abstracting and Indexing
      • Bibliographic Information
      • Archive
    • Oncology Reports
      • Oncology Reports
      • Information for Authors
      • Editorial Policies
      • Editorial Board
      • Aims and Scope
      • Abstracting and Indexing
      • Bibliographic Information
      • Archive
    • Molecular Medicine Reports
      • Molecular Medicine Reports
      • Information for Authors
      • Editorial Policies
      • Editorial Board
      • Aims and Scope
      • Abstracting and Indexing
      • Bibliographic Information
      • Archive
    • World Academy of Sciences Journal
      • World Academy of Sciences Journal
      • Information for Authors
      • Editorial Policies
      • Editorial Board
      • Aims and Scope
      • Abstracting and Indexing
      • Bibliographic Information
      • Archive
    • International Journal of Functional Nutrition
      • International Journal of Functional Nutrition
      • Information for Authors
      • Editorial Policies
      • Editorial Board
      • Aims and Scope
      • Abstracting and Indexing
      • Bibliographic Information
      • Archive
    • International Journal of Epigenetics
      • International Journal of Epigenetics
      • Information for Authors
      • Editorial Policies
      • Editorial Board
      • Aims and Scope
      • Abstracting and Indexing
      • Bibliographic Information
      • Archive
    • Medicine International
      • Medicine International
      • Information for Authors
      • Editorial Policies
      • Editorial Board
      • Aims and Scope
      • Abstracting and Indexing
      • Bibliographic Information
      • Archive
  • Articles
  • Information
    • Information for Authors
    • Information for Reviewers
    • Information for Librarians
    • Information for Advertisers
    • Conferences
  • Language Editing
Spandidos Publications Logo
  • About
    • About Spandidos
    • Aims and Scopes
    • Abstracting and Indexing
    • Editorial Policies
    • Reprints and Permissions
    • Job Opportunities
    • Terms and Conditions
    • Contact
  • Journals
    • All Journals
    • Biomedical Reports
      • Information for Authors
      • Editorial Policies
      • Editorial Board
      • Aims and Scope
      • Abstracting and Indexing
      • Bibliographic Information
      • Archive
    • Experimental and Therapeutic Medicine
      • Information for Authors
      • Editorial Policies
      • Editorial Board
      • Aims and Scope
      • Abstracting and Indexing
      • Bibliographic Information
      • Archive
    • International Journal of Epigenetics
      • Information for Authors
      • Editorial Policies
      • Editorial Board
      • Aims and Scope
      • Abstracting and Indexing
      • Bibliographic Information
      • Archive
    • International Journal of Functional Nutrition
      • Information for Authors
      • Editorial Policies
      • Editorial Board
      • Aims and Scope
      • Abstracting and Indexing
      • Bibliographic Information
      • Archive
    • International Journal of Molecular Medicine
      • Information for Authors
      • Editorial Policies
      • Editorial Board
      • Aims and Scope
      • Abstracting and Indexing
      • Bibliographic Information
      • Archive
    • International Journal of Oncology
      • Information for Authors
      • Editorial Policies
      • Editorial Board
      • Aims and Scope
      • Abstracting and Indexing
      • Bibliographic Information
      • Archive
    • Medicine International
      • Information for Authors
      • Editorial Policies
      • Editorial Board
      • Aims and Scope
      • Abstracting and Indexing
      • Bibliographic Information
      • Archive
    • Molecular and Clinical Oncology
      • Information for Authors
      • Editorial Policies
      • Editorial Board
      • Aims and Scope
      • Abstracting and Indexing
      • Bibliographic Information
      • Archive
    • Molecular Medicine Reports
      • Information for Authors
      • Editorial Policies
      • Editorial Board
      • Aims and Scope
      • Abstracting and Indexing
      • Bibliographic Information
      • Archive
    • Oncology Letters
      • Information for Authors
      • Editorial Policies
      • Editorial Board
      • Aims and Scope
      • Abstracting and Indexing
      • Bibliographic Information
      • Archive
    • Oncology Reports
      • Information for Authors
      • Editorial Policies
      • Editorial Board
      • Aims and Scope
      • Abstracting and Indexing
      • Bibliographic Information
      • Archive
    • World Academy of Sciences Journal
      • Information for Authors
      • Editorial Policies
      • Editorial Board
      • Aims and Scope
      • Abstracting and Indexing
      • Bibliographic Information
      • Archive
  • Articles
  • Information
    • For Authors
    • For Reviewers
    • For Librarians
    • For Advertisers
    • Conferences
  • Language Editing
Login Register Submit
  • This site uses cookies
  • You can change your cookie settings at any time by following the instructions in our Cookie Policy. To find out more, you may read our Privacy Policy.

    I agree
Search articles by DOI, keyword, author or affiliation
Search
Advanced Search
presentation
Experimental and Therapeutic Medicine
Join Editorial Board Propose a Special Issue
Print ISSN: 1792-0981 Online ISSN: 1792-1015
Journal Cover
November-2017 Volume 14 Issue 5

Full Size Image

Sign up for eToc alerts
Recommend to Library

Journals

International Journal of Molecular Medicine

International Journal of Molecular Medicine

International Journal of Molecular Medicine is an international journal devoted to molecular mechanisms of human disease.

International Journal of Oncology

International Journal of Oncology

International Journal of Oncology is an international journal devoted to oncology research and cancer treatment.

Molecular Medicine Reports

Molecular Medicine Reports

Covers molecular medicine topics such as pharmacology, pathology, genetics, neuroscience, infectious diseases, molecular cardiology, and molecular surgery.

Oncology Reports

Oncology Reports

Oncology Reports is an international journal devoted to fundamental and applied research in Oncology.

Experimental and Therapeutic Medicine

Experimental and Therapeutic Medicine

Experimental and Therapeutic Medicine is an international journal devoted to laboratory and clinical medicine.

Oncology Letters

Oncology Letters

Oncology Letters is an international journal devoted to Experimental and Clinical Oncology.

Biomedical Reports

Biomedical Reports

Explores a wide range of biological and medical fields, including pharmacology, genetics, microbiology, neuroscience, and molecular cardiology.

Molecular and Clinical Oncology

Molecular and Clinical Oncology

International journal addressing all aspects of oncology research, from tumorigenesis and oncogenes to chemotherapy and metastasis.

World Academy of Sciences Journal

World Academy of Sciences Journal

Multidisciplinary open-access journal spanning biochemistry, genetics, neuroscience, environmental health, and synthetic biology.

International Journal of Functional Nutrition

International Journal of Functional Nutrition

Open-access journal combining biochemistry, pharmacology, immunology, and genetics to advance health through functional nutrition.

International Journal of Epigenetics

International Journal of Epigenetics

Publishes open-access research on using epigenetics to advance understanding and treatment of human disease.

Medicine International

Medicine International

An International Open Access Journal Devoted to General Medicine.

Journal Cover
November-2017 Volume 14 Issue 5

Full Size Image

Sign up for eToc alerts
Recommend to Library

  • Article
  • Citations
    • Cite This Article
    • Download Citation
    • Create Citation Alert
    • Remove Citation Alert
    • Cited By
  • Similar Articles
    • Related Articles (in Spandidos Publications)
    • Similar Articles (Google Scholar)
    • Similar Articles (PubMed)
  • Download PDF
  • Download XML
  • View XML
Article

Expression and significance of caveolin‑1 in hepatitis B virus‑associated hepatocellular carcinoma

  • Authors:
    • Hao Cheng
    • Yiming Pan
    • Yongzhong Yao
    • Zhanghua Zhu
    • Jun Chen
    • Xitai Sun
    • Yudong Qiu
    • Yitao Ding
  • View Affiliations / Copyright

    Affiliations: Department of Hepato‑Pancreato‑Biliary Surgery, The Affiliated Drum Tower Hospital of Nanjing University Medical School, Nanjing, Jiangsu 210008, P.R. China, Department of Intensive Care Unit, The Affiliated Drum Tower Hospital of Nanjing University Medical School, Nanjing, Jiangsu 210008, P.R. China, Department of Pathology, The Affiliated Drum Tower Hospital of Nanjing University Medical School, Nanjing, Jiangsu 210008, P.R. China
  • Pages: 4356-4362
    |
    Published online on: August 25, 2017
       https://doi.org/10.3892/etm.2017.5038
  • Expand metrics +
Metrics: Total Views: 0 (Spandidos Publications: | PMC Statistics: )
Metrics: Total PDF Downloads: 0 (Spandidos Publications: | PMC Statistics: )
Cited By (CrossRef): 0 citations Loading Articles...

This article is mentioned in:



Abstract

Caveolin‑1 (Cav‑1) is a major component of caveolae and has been recently identified as a tumor suppressor. As little is known about Cav‑1 in hepatitis B virus (HBV)‑associated hepatocellular carcinoma (HCC), the aim of the present study was to investigate the expression and significance of Cav‑1 in HBV‑associated HCC. Semi‑quantitative reverse transcription‑polymerase chain reaction (RT‑PCR) was performed to detect the mRNA expression level of Cav‑1 in 40 cases of HBV‑associated HCC, the corresponding 11 non‑tumor cases of HBV‑associated chronic hepatitis, 29 non‑tumor cases of HBV‑associated cirrhosis and 6 cases of normal liver tissues. Immunohistochemical analysis indicated the expression of Cav‑1, cluster of differentiation 34 and vascular endothelial growth factor (VEGF) in HBV‑associated HCC tissue samples. In addition, the association of Cav‑1 expression with angiogenesis and clinicopathological characteristics of HBV‑associated HCC was also analyzed. RT‑PCR results demonstrated that the expression rate of Cav‑1 mRNA in HBV‑associated HCC, non‑tumor HBV‑associated chronic hepatitis and cirrhosis liver tissues and control normal liver tissues from patients with metastatic carcinoma was 92.5, 85.0 and 16.7%, respectively. mRNA expression level of Cav‑1 was significantly increased in chronic hepatitis, cirrhosis and HBV‑associated HCC livers compared with normal control livers (P<0.05 and P<0.01, respectively). Cav‑1 protein was detected by immunohistochemistry in 80% of the samples of HBV‑associated HCC. Furthermore, Cav‑1 and VEGF protein expression levels were correlated with microvessel density (MVD; γs<0.46, P=0.01 and γs<0.31, P=0.05, respectively). In addition, Cav‑1 expression and MVD were significantly associated with metastasis (P=0.031 and P=0.046, respectively). In conclusion, Cav‑1 may have an important role in the carcinogenesis and progression of HBV‑associated HCC and angiogenesis may be affected by Cav‑1 during this process.

Introduction

Caveolae are 50–100-nm in size, non-clathrin-coated, flask-shaped invaginations of the plasma membrane that are involved in vesicular transport and signal transduction (1). Caveolins (CAVs) were identified as essential proteins involved in the formation of invaginations (2). Numerous studies have indicated that CAVs associate with several signaling factors, including heterotrimeric G-protein α-subunits, endothelial nitric oxide synthase (eNOS), receptor and non-receptor tyrosine kinases and protein kinase C (3–5). A previous study have suggested that signaling interactions of CAVs with these factors are mediated by the CAV scaffolding domain, which is a membrane-proximal region (residues 82–101 in Cav-1) of the CAVs (6). Currently, Cav-1, −2 and −3 have been identified as members of the CAV family (1). Cav-1 also exists in non-caveolar, cellular or extracellular forms (1). The Cav-1 isoform is particularly abundant in endothelial cells (ECs), where it regulates various functions, including transcytosis, permeability, vasculartone and angiogenesis (7). Previous results have demonstrated that Cav-1 is a growth-inhibitory protein that may act as a tumor suppressor (8,9). Cav-1 expression is downregulated in some forms of cancer, including mesenchymal tumors and sarcomas (8,10); however, in other cancer types; for example, oral squamous cell carcinoma, Cav-1 expression is high (11,12). These findings suggest that Cav-1 has multiple actions in human cancer cells.

Angiogenesis is the process of generating novel blood vessels derived as extensions from the existing vasculature (13). The principal cells involved are ECs, which line all blood vessels and constitute virtually the entirety of capillaries (13). Non-caveolar Cav-1 has an important role in the regulation of EC proliferation, differentiation and tube formation (14). In addition, eNOS is a CAV-interacting protein that has a central role in angiogenesis (15), and Cav-1 abundance and its cellular distribution in ECs may be altered in nitric oxide (NO)-mediated angiogenesis (16). Our previous experimental study demonstrated that Cav-1 was important for NO-mediated angiogenesis (17). However, the exact molecular mechanisms of Cav-1 in the process of angiogenesis have not been thoroughly explored.

Hepatocellular carcinoma (HCC) is one of the most prevalent cancers worldwide, particularly in the Asia Pacific region (18). Due to late diagnosis and high rate metastasis of HCC, HCC is still associated with poor survival rate (18). At present, the 5-year survival rate of individuals with HCC is very low at 34% (19). The major risk factor for HCC in China is infection with hepatitis B virus (HBV) (20).

The aim of the present study was to investigate the expression and significance of Cav-1 in HBV-associated HCC. TRIzol reagent was used for RNA extraction; semi-quantitative reverse transcription-polymerase chain reaction (RT-PCR) and the mRNA expression evels of Cav-1 mRNA were detected. Immunohistochemistry analysis and microvessel counting was used for exploring the expression of Cav-1, cluster of differentiation (CD)34 and vascular endothelial growth factor (VEGF).

Materials and methods

Patients and tissue collection

The present study was approved by the Ethics Committee of The Affiliated Drum Tower Hospital of Nanjing University Medical School (Nanjing, China), and informed written consent was obtained from all subjects. Tissue samples, including HBV-associated HCC, non-tumor HBV-associated chronic hepatitis and cirrhosis, were all obtained from 40 patients with HBV-associated HCC (33 males and 7 females) who had consecutively undergone surgical resections between June 2002 and June 2006 in our hospital. The patients were selected according to the following criteria: i) having primary HCC, ii) having a history of HBV infection and tested positive for serum hepatitis B surface antigen (HBsAg). All the 40 patients were diagnosed and histopathologically confirmed with HCC (40 patients), including chronic hepatitis (11 patients) and cirrhosis (29 patients). The control normal liver (non-tumor) specimens were obtained from patients (n=6; Group 1) with metastatic liver carcinoma without HBV infection. The corresponding non-tumor tissues were obtained from the same 40 patients with HBV-associated HCC, which were subsequently divided into the HBV-associated chronic hepatitis group (n=11; Group 2) and cirrhosis group (n=29; Group 3). The patients' clinical records and histopathologic diagnoses were fully reviewed. The mean age of the patients was 50±11 years. Tumor size varied from 2–15 cm in diameter and the tumor diameter was determined as the longest diameter of the specimen measured at the time of pathological examination. Serum α-fetoprotein concentrations were measured using an ELISA kit (EL0018; Huzhou Innoreagents Co., Ltd., Huzhou, China) according to the manufacturer's instructions, with normal AFP concentration defined as <20 ng/ml. Cancer tissues and adjacent non-tumor liver tissues of the 40 patients with HBV-associated HCC were excised from each surgical specimen immediately after liver resection. Half of the tissue was flash-frozen in liquid nitrogen for RT-PCR analysis. The other half of the tissue was fixed in 10% neutral formalin for 2 weeks at 4°C and subjected to histopathological examination and immunohistochemical study. All the tissues were prepared from paraffin blocks as described below. The scoring system of pathological grade and differentiation was performed according to Edmonson Steiner grading system proposed in 1954. The following scoring was applied: Grade 1, minor differentiation between tumor cells and hyperplastic liver cells; Grade 2, tumor cells resemble normal hepatic cells while the nuclei are larger and more hyperchromatic, and cell characteristics indicate sharp, clear-cut borders; Grade 3, larger and more hyperchromatic nuclei are present with a higher proportion of nuclei to existing cytoplasm; and Grade 4, cells are filled with nuclei that are intensely hyperchromatic. The diagnosis of tumors with cancerous thrombi in the portal vein or intrahepatic metastasis by computed tomography in HCC met the diagnosis criteria of the American Association for the study of Liver Diseases (21).

RNA extraction

Total RNA from frozen tissues was extracted using TRIzol reagent (Invitrogen; Thermo Fisher Scientific, Inc.), according to the manufacturer's protocol. The concentration of RNA extracted was determined at wavelength of 260 nm using a spectrophotometer (Eppendorf, Hamburg, Germany).

Semi-quantitative RT-PCR

The cycle number was set to 28, 30, 34 and 36 to determine the plateau (22). cDNA were synthesized using a Reverse Transcription System (Promega Corp., Madison, WI, USA), according to the manufacturer's protocol. Total RNA (1 µg) was reverse transcribed to first-strand cDNA in 20 µl of mixture containing 25 mM MgCl2 (4 µl), reverse transcription 10X buffer (2 µl), 10 mM dNTP mixture (2 µl), recombinant RNase inhibitor (0.5 µl), AMV reverse transcriptase (15 µl and Oligo (dT) primers (0.5 µg). The reaction conditions were as follows: 42°C for 60 min, followed by 95°C for 5 min. Semi-quantitative analysis for the expression of Cav-1 mRNA was performed using RT-PCR technique and β-actin used as an internal control (22). PCR was performed using the following program: 94°C for 5 min, followed by 30 cycles of 94°C for 30 sec, 58°C for 60 sec and 72°C for 45 sec. The primers for RT-PCR were as follows: Cav-1, forward 5′-GACTTTGAAGATGTGATTGC-3′ and reverse 5′-AGATGGAATAGACACGGCTG-3′; and β-actin, forward 5′-CTACAATGAGCTGCGTGTGGC-3′ and reverse 5′-CAGGTCCAGACGCAGGATGGC-3′. The PCR products were 254 and 275 bp, respectively. RT-PCR was performed using a DNA thermal cycler MJ Research PTC-200 (Bio-Rad Laboratories, Inc., Hercules, CA, USA). The PCR samples were analyzed using a 1% agarose gel and visualized by ethidium bromide staining. The intensity of the bands was measured by densitometry utilizing Tobias TBX1000 scanning densitometer (Tobias Associates, Inc., Miami Beach, FL, USA).

Immunohistochemistry and microvessel counting

A light microscope was utilized in the following experiment. Serial sections (4-µm thick) from tumor and corresponding non-tumor tissues tissue samples obtained from all patients previously fixed in formalin were prepared from paraffin blocks. Sections were deparaffinized and rehydrated in Tris-buffered saline. Endogenous peroxidase activity was blocked with 3% H2O2 for 10 min at room temperature. Antigen retrieval was performed by microwave pretreatment with Trisodium citrate 2.94 g, 0.2 M hydrochloric acid solution (22.0 ml), UltraPure sterile water, 0.1 M sodium hydroxide 1N solution (pH=13, 0.1 M hydrochloric acid solution (pH=1, xylene and methanol under 98°C prior to staining. Non-specific binding was blocked with 5% normal bovine serum (Jackson ImmunoResearch Laboratories, Inc., Shanghai, China) for 10 min at room temperature. The β-actin was used as internal reference obtained from GenScript Co. Ltd. (Nanjing, China; cat. no. A00702-100; 1:20). Subsequently, sections were incubated with anti-CD 34 (1:30; cat. no. MS-363-P0; Leica Microsystems Ltd., Milton Keynes, UK) at room temperature for 45 min, and anti-Cav-1 (1:100; cat. no. 610406; BD Biosciences; Franklin Lakes, NJ, USA) and anti-vascular endothelial growth factor (VEGF; 1:200; cat. no. SC-7269; Santa Cruz Biotechnology, Inc., Dallas, TX, USA) at room temperature for 1 h. Subsequently, corresponding secondary biotinylated immunoglobulin was applied and then reacted with a streptavidin biotinylated horseradish peroxidase complex (1:5,000; cat. no. ab96895; Dako; Agilent Technologies, Inc., Santa Clara, CA, USA) at 37°C for 30 min. The sections were stained with a freshly prepared diaminobenzidine solution and then counterstained with Mayer's hematoxylin. Negative control was obtained by omitting the primary antibodies. A semi-quantitative system was employed to evaluate the level of Cav-1 and VEGF expression: Intensity was scored as absent (grade 0), weakly positive (grade 1), moderately positive (grade 2) or strongly positive (grade 3) based on the proportion (percentage of positive cells) and intensity, as described previously (23). Microvessel density (MVD) was determined with CD34-stained slides using the procedure outlined by Weidner et al (24). Individual microvessels were counted in the area of highest vascularity at magnification ×200 in three selected microscopic fields. The microvessel count was expressed as the mean number of vessels in the selected area.

Statistical analysis

All data were expressed as the mean ± standard deviation as indicated. Data were analyzed using SPSS 16.0 statistical software (SPSS, Inc., Chicago, IL, USA). Statistical comparisons were made between two groups using the Student's test and between multiple groups with one-way analysis of variance followed by Tukey's test. P<0.05 was considered to indicate a statistically significant difference.

Results

Cav-1 mRNA expression levels

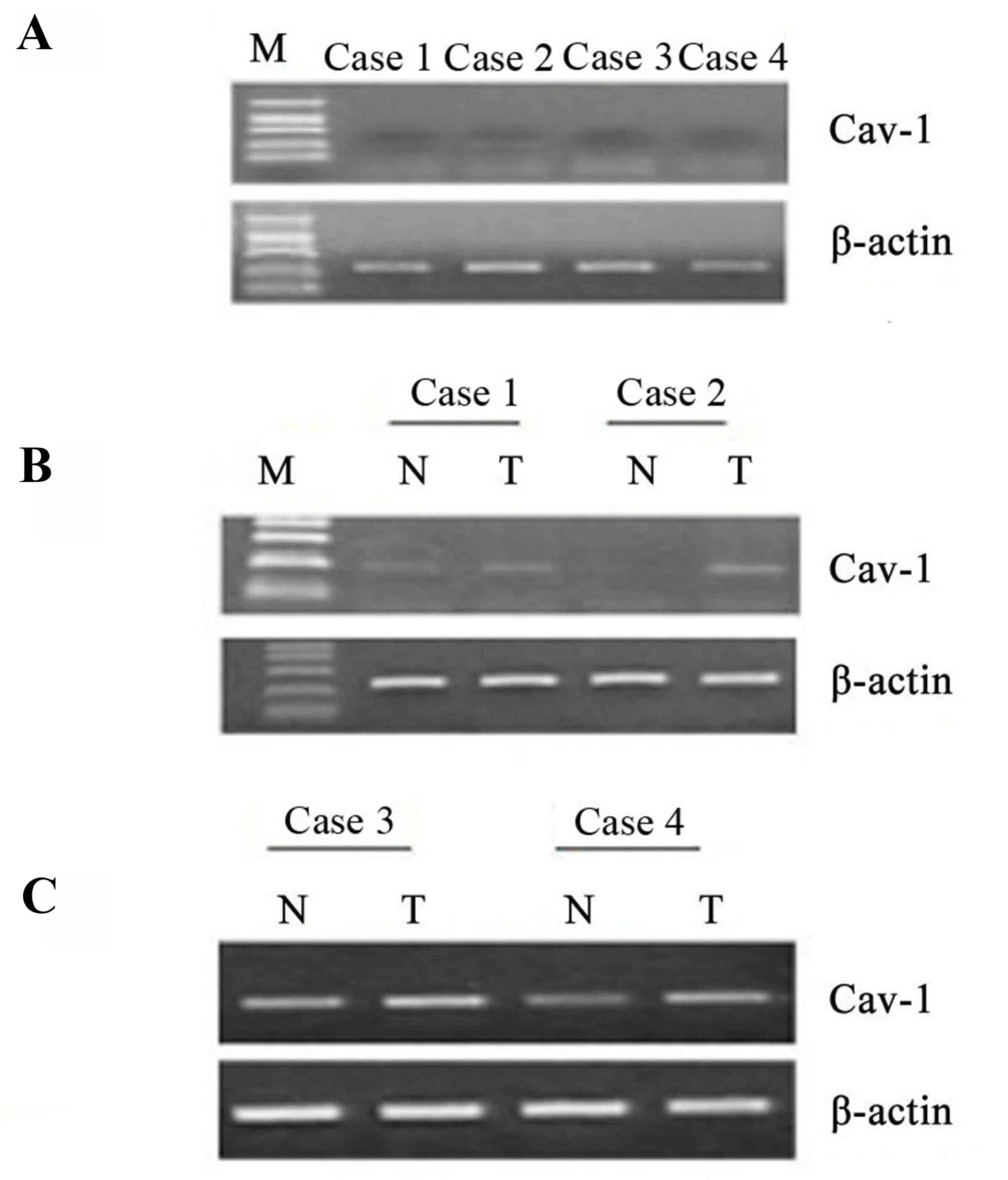
Cav-1 gene expression was evaluated in different types of liver diseases Cav-1 mRNA expression was detected in 1/6 (16.7%) control non-tumor normal liver tissues from patients with metastatic carcinoma without HBV infection, 34/40 (85.0%) non-tumor liver tissues and 37/40 (92.5%) HBV-associated HCC. The Cav-1 mRNA expression levels in the control normal liver tissues were negative or very low (Figs. 1 and 2). However, the expression level of Cav-1 mRNA was increased in HBV-associated chronic hepatitis (Group 2), HBV-associated cirrhosis (Group 3) and HBV-associated HCC compared with non-tumor normal liver tissue from patients with metastatic liver carcinoma without HBV infection (Group 1; Figs. 1 and 2). The expression levels of Cav-1 mRNA in HBV-associated chronic hepatitis and cirrhosis were significantly elevated compared with that in non-tumor normal liver tissue from patients with metastatic carcinoma without HBV infection (P<0.001); however, there was no significant difference between HBV-associated chronic hepatitis and cirrhosis (P=0.076). The expression levels of Cav-1 mRNA in HBV-associated HCC were significantly decreased compared with that of corresponding non-tumor tissues in HBV-associated chronic hepatitis and cirrhosis (P=0.019 and P=0.045, respectively). But there was no significant difference in the expression levels of Cav-1 mRNA in HBV-associated HCC between Group 2 and Group 3 (P=0.41; Fig. 2).

Figure 1.

Cav-1 mRNA expression level in (A) non-tumor normal liver tissue from 4 cases of patients with metastasis carcinoma without HBV infection. Cav-1 mRNA expression levels in HBV-associated HCC tumor and adjacent non-tumor in 2 cases of patients with (B) HBV-associated chronic hepatitis and (C) HBV-associated cirrhosis tissues were compared. The mRNA expression levels of Cav-1 were normalized to β-actin expression and tests were performed in triplicate. Cav-1, caveolin-1; M, maker; N, non-tumor liver tissue; T, tumor tissue.

Figure 2.

mRNA expression levels of Cav-1 relative to β-actin in groups 1–3 comparing their respective non-tumor groups with HBV-associated HCC tumor. Data are presented as mean + standard deviation (n=3). *P<0.05 and **P<0.01 vs. group 1 non-tumor tissue; #P=0.019 vs. group 2 non-tumor tissue; ##P=0.045 vs. group 3 non-tumor tissue. Cav-1, caveolin-1; HCC, HBV-associated hepatocellular carcinoma. Group 1, non-tumor normal liver tissue from patients with metastasis carcinoma without HBV infection; group 2, non-tumor liver tissue from patients with HBV-associated chronic hepatitis; group 3, non-tumor tissue from patients with HBV-associated cirrhosis.

Immunohistochemical analysis for Cav-1 and VEGF in HBV-associated HCC and their correlation with angiogenesis

Cav-1 was expressed primarily in the cytoplasm of tumor cells obtained from HBV-associated HCC tissues, as evidenced by the presence of stained granular immunoreaction products. The majority of tumors exhibited extensive staining for VEGF: seven tumors (17.5%) were grade 0, nine (22.5%) were grade 1, 13 (32.5%) were grade 2 and 11 (27.5%) were grade 3 (Fig. 3A and B). Cav-1 immunoreactivity was indicated in 32/40 (80%) HBV-associated HCC tissues: 8 tumors (20%) were grade 0, 11 (27.5%) were grade 1, 9 (22.5%) were grade 2 and 12 (30%) were grade 3 (Fig. 3C and D). MVD was 145.2±16.2 (Fig. 4). The expression levels of Cav-1 and VEGF significantly correlated with MVD (rs=0.46, P=0.01; and rs=0.31, P=0.05, respectively), which was not shown in figure.

Figure 3.

VEGF and Cav-1 immunostaining (magnification, ×200). (A and B) VEGF and (C and D) Cav-1 were measured using a hematoxylin counterstain assay. Cav-1 immunoreactivity was detected predominantly in the cytoplasm of tumor cells. Consecutive sections of hepatitis B virus-associated hepatocellular carcinoma specimens were classified as grade 1 (C), grade 2 (A and D) and grade 3 (B). VEGF, vascular endothelial growth factor; Cav-1, caveolin-1.

Figure 4.

Microvessel immunoperoxidase staining. Microvessels were highlighted by staining endothelial cells with cluster of differentiation 34, using a standard immunoperoxidase technique. (A) Low-power view and (B) High-power view of intensively stained microvessels in a hepatitis B virus-associated hepatocellular carcinoma specimen.

Correlation of the expression of Cav-1 mRNA and MVD with clinicopathological characteristics of HBV-associated HCC

The patients' clinical records and histopathologic diagnoses were fully reviewed. As demonstrated in Table I, the expression levels of Cav-1 mRNA and MVD exhibited a significant association with metastasis (P=0.031 and P=0.046, respectively). However, no significant association was noted between Cav-1 mRNA expression levels and MVD and the other clinicopathological variables.

Table I.

Association between Cav-1 mRNA expression and MVD and clinicopathological features of the patients.

Table I.

Association between Cav-1 mRNA expression and MVD and clinicopathological features of the patients.

VariablesnCav-1 expressionaP-valueMVDP-value
Age, years 0.72 0.45
  <6026 0.72±0.18 148.4±14.1
  >6014 0.65±0.17 139.3±10.3
Gender 0.42 0.67
  Male33 0.68±0.20 143.3±17.4
  Female  7 0.75±0.13 154.4±20.1
α-fetoprotein, µg/l 0.12 0.98
  <36316 0.63±0.19 141.1±16.4
  ≥36324 0.73±0.12 148.3±19.2
Tumor diameter, cm 0.25 0.37
  <523 0.65±0.21 138.1±18.8
  ≥517 0.75±0.11 152.6±17.1
Edmondson grading system 0.09 0.05
  I+II24 0.63±0.18 134.9±24.1
  IIIa+IIIb16 0.78±0.12 163.2±14.7
Differentiation 0.06 0.41
  Well-differentiated  6 0.60±0.10 141.7±20.4
  Moderately + poorly differentiated34 0.71±0.12 149.3±17.7
Metastasis 0.03 0.05
  Yes19 0.80±0.18 164.8±33.9
  No21 0.59±0.11 127.2±16.5

a Relative to β-actin. Data are presented as the mean ± standard deviation. Cav-1, caveolin-1; MVD, microvessel density; Yes, tumors with cancerous thrombi in portal vein or intrahepatic metastasis; No, tumors without cancerous thrombi in portal vein or intrahepatic metastasis.

Discussion

A study by Koleske et al (25) demonstrated that Cav-1 mRNA and protein expression levels were reduced in NIH 3T3 cells transformed by various oncogenes, and caveolae were also absent from these transformed cells. A previous study has indicated that Cav-1 gene mutations were identified in breast carcinomas and that the Cav-1 gene localizes to a suspected tumor suppressor locus on chromosome 7q31.1, which is commonly deleted in a variety of types of human cancer (26). Prior reports have suggested that Cav-1 may function as a tumor suppressor gene (27,28). However, this finding is inconsistent with the fact that Cav-1 is highly expressed in multiple cancer types and cancer cell lines (29,30). In the present study, positive Cav-1 mRNA expression was detected in 37/40 tumors, and the expression of Cav-1 was elevated in HBV-associated HCC compared with non-tumor liver tissues from patients with metastatic liver carcinoma without HBV infection. In addition, 32/40 (80%) HBV-associated HCC specimens indicated Cav-1 immunoreactivity in tumor cells. These results suggested that increased Cav-1 expression was detected in HBV-associated HCC compared with the non-tumor tissue in group 1. Additionally, the results of the present study also demonstrated that Cav-1 expression was downregulated in HBV-associated HCC tissues compared with the corresponding non-tumor tissues. The exact reason of the decreased expression levels in HBV-associated HCC compared with corresponding non-tumor tissue was unclear; however, a previous study demonstrated that Cav-1 gene disruption was involved in promoting mammary tumor growth and enhancing cell metastasis (31), which may explain the reduced Cav-1 expression observed in the HBV-associated HCC specimens. These effects of Cav-1 in different cancer specimens may be mediated by different regions of the Cav-1 molecule (32). Although various studies have suggested the correlation of Cav-1 with cancer, the exact role of Cav-1 in cancer remains to be elucidated (32).

Numerous studies have demonstrated that Cav-1 may have an important role in the carcinogenesis of HCC (33,34). A study previously demonstrated that the expression of Cav-1 in cirrhotic livers was markedly enhanced at the protein and mRNA levels, whereas Cav-1 was almost undetectable in control liver tissue (35). Macroregenerative and dysplastic nodules (MDNs) are HCC precursor lesions and exhibit distinct vascular profiles relative to adjacent cirrhotic liver (36). It was determined that Cav-1 expression levels increased during the progression from normal to cirrhotic liver, and further increased in MDNs, whereas hepatitis C virus (HCV)-associated HCC liver exhibited similar or decreased Cav-1 expression relative to adjacent non-neoplastic liver (37). These findings suggested that Cav-1 may have a direct role in malignant transformation of hepatocytes. However, these studies were focused on HCV-associated tissues. The present results demonstrated that the expression of Cav-1 was upregulated in HBV-associated HCC and the percentage and level of detectable Cav-1 mRNA was increased in non-tumor and HBV-associated HCC liver tissues compared with normal liver tissues. From the present results, it may be concluded that Cav-1 has a direct role in the malignant transformation of HBV-associated HCC.

Cav-1 has been identified to be a metastatic-associated gene with an independent prognostic value for various types of cancer (29,33,38). A study by Williams et al (39) revealed that loss of Cav-1 attenuated prostate development by significantly reducing primary tumor burden and metastatic disease in a transgenic prostate cancer model. However, another study demonstrated that Cav-1 gene disruption promoted mammary tumor growth and enhanced cell metastasis (31). These studies indicate that Cav-1 has tissue-or cell type-specific roles with regard to tumorigenesis. In the present study, the expression of Cav-1 was significantly correlated with metastasis, which suggests that Cav-1 may act in the progression of HBV-associated HCC.

The role of Cav-1 in angiogenesis has only been partially defined. A previous study indicated that angiogenic inhibition in pancreatic cancer was associated with the upregulation of Cav-1 (40). Furthermore, endothelial-specific expression of Cav-1 has been suggested to impair eNOS activation, endothelial barrier function and angiogenic responses to exogenous VEGF (41). Additionally, other research has shown that Cav-1 was essential for capillary formation but had different roles depending on the stage of angiogenesis (42).

HCCs are hypervascular tumors that exhibit distinctive vascular profiles relative to the surrounding liver in which they arise (36). HCV-associated HCC, in which Cav-1 may be involved, was indicated to be associated with angiogenesis in a previous study (36). A study by Mazzanti et al (43) demonstrated that angiogenesis was significantly varied in HCV-positive patients compared with HBV-infected subjects or controls. In light of these findings, the present study investigated the association between the expression of Cav-1 and angiogenesis in HBV-associated HCC. It has been demonstrated that VEGF-stimulated phosphorylation of extracellular signal regulated kinase 1/2 and eNOS was abrogated in Cav−/− ECs, but enhanced in the Cav+/+ mice and ECs (41,44). Cav-1 expression is critical for VEGF-induced angiogenesis (35). MVD, an indicator of angiogenesis, has been correlated with Cav-1 expression in clear cell renal cell carcinoma (45). Similarly, the present study demonstrated a strong association between Cav-1 expression and MVD in HBV-associated HCC patients. As angiogenesis is fundamental to the growth and metastasis of solid tumors, we speculate that the increasing level of Cav-1 may act in the progression of HBV-associated HCC by affecting angiogenesis.

In conclusion, the present results indicated that Cav-1 may have an important role in the carcinogenesis and progression of HBV-associated HCC. The results suggested that Cav-1 may be associated with angiogenesis of HCC, and therefore Cav-1 may be an important target of anti-angiogenic therapy of HCC.

Acknowledgements

The authors would like to thank Professor Min Xie (The Affiliated Drum Tower Hospital of Nanjing University Medical School, Nanjing, China) for assistance with the experiments and valuable discussion.

References

1 

Cohen AW, Hnasko R, Schubert W and Lisanti MP: Role of caveolae and caveolins in health and disease. Physiol Rev. 84:1341–1379. 2004. View Article : Google Scholar : PubMed/NCBI

2 

Busija AR, Patel HH and Insel PA: Caveolins and cavins in the trafficking, maturation, and degradation of caveolae: Implications for cell physiology. Am J Physiol Cell Physiol. 312:C459–C477. 2017. View Article : Google Scholar : PubMed/NCBI

3 

Okamoto T, Schlegel A, Scherer PE and Lisanti MP: Caveolins, a family of scaffolding proteins for organizing ‘preassembled signaling complexes’ at the plasma membrane. J Biol Chem. 273:5419–5422. 1998. View Article : Google Scholar : PubMed/NCBI

4 

Gupta VK, You Y, Klistorner A and Graham SL: Shp-2 regulates the TrkB receptor activity in the retinal ganglion cells under glaucomatous stress. Biochim Biophys Acta. 1822:1643–1649. 2012. View Article : Google Scholar : PubMed/NCBI

5 

Trane AE, Hiob MA, Uy T, Pavlov D and Bernatchez P: Caveolin-1 scaffolding domain residue phenylalanine 92 modulates Akt signaling. Eur J Pharmacol. 766:46–55. 2015. View Article : Google Scholar : PubMed/NCBI

6 

Chen F, Barman S, Yu Y, Haigh S, Wang Y, Black SM, Rafikov R, Dou H, Bagi Z, Han W, et al: Caveolin-1 is a negative regulator of NADPH oxidase-derived reactive oxygen species. Free Radic Biol Med. 73:201–213. 2014. View Article : Google Scholar : PubMed/NCBI

7 

Sowa G: Regulation of cell signaling and function by endothelial caveolins: Implications in disease. Transl Med (Sunnyvale). (Suppl 8):pii: 001. 2012. View Article : Google Scholar : PubMed/NCBI

8 

Wiechen K, Sers C, Agoulnik AI, Arlt K, Dietel M, Schlag PM and Schneider U: Down-regulation of caveolin-1, a candidate tumor suppressor gene, in sarcomas. Am J Pathol. 158:833–839. 2001. View Article : Google Scholar : PubMed/NCBI

9 

Shi L, Chen XM, Wang L, Zhang L and Chen Z: Expression of caveolin-1 in mucoepidermoid carcinoma of the salivary glands: Correlation with vascular endothelial growth factor, microvessel density, and clinical outcome. Cancer. 109:1523–1531. 2007. View Article : Google Scholar : PubMed/NCBI

10 

Riwaldt S, Bauer J, Pietsch J, Braun M, Segerer J, Schwarzwälder A, Corydon TJ, Infanger M and Grimm D: The importance of caveolin-1 as key-regulator of three-dimensional growth in thyroid cancer cells cultured under real and simulated microgravity conditions. Int J Mol Sci. 16:28296–28310. 2015. View Article : Google Scholar : PubMed/NCBI

11 

Huang CF, Yu GT, Wang WM, Liu B and Sun ZJ: Prognostic and predictive values of SPP1, PAI and caveolin-1 in patients with oral squamous cell carcinoma. Int J Clin Exp Pathol. 7:6032–6039. 2014.PubMed/NCBI

12 

Auzair LB, Vincent-Chong VK, Ghani WM, Kallarakkal TG, Ramanathan A, Lee CE, Rahman ZA, Ismail SM, Abraham MT and Zain RB: Caveolin 1 (Cav-1) and actin-related protein 2/3 complex, subunit 1B (ARPC1B) expressions as prognostic indicators for oral squamous cell carcinoma (OSCC). Eur Arch Otorhinolaryngol. 273:1885–1893. 2016. View Article : Google Scholar : PubMed/NCBI

13 

Profirovic J, Strekalova E, Urao N, Krbanjevic A, Andreeva AV, Varadarajan S, Fukai T, Hen R, Ushio-Fukai M and Voyno-Yasenetskaya TA: A novel regulator of angiogenesis in endothelial cells: 5-hydroxytriptamine 4 receptor. Angiogenesis. 16:15–28. 2013. View Article : Google Scholar : PubMed/NCBI

14 

Nassar ZD, Hill MM, Parton RG, Francois M and Parat MO: Non-caveolar caveolin-1 expression in prostate cancer cells promotes lymphangiogenesis. Oncoscience. 2:635–645. 2015. View Article : Google Scholar : PubMed/NCBI

15 

Luo JD and Chen AF: Nitric oxide: A newly discovered function on wound healing. Acta Pharmacol Sin. 26:259–264. 2005. View Article : Google Scholar : PubMed/NCBI

16 

Phillips PG and Birnby LM: Nitric oxide modulates caveolin-1 and matrix metalloproteinase-9 expression and distribution at the endothelial cell/tumor cell interface. Am J Physiol Lung Cell Mol Physiol. 286:L1055–L1065. 2004. View Article : Google Scholar : PubMed/NCBI

17 

Pan YM, Yao YZ, Zhu ZH, Sun XT, Qiu YD and Ding YT: Caveolin-1 is important for nitric-oxide angiogenesis in fibrin gels with human umbilical vein endothelial cells. Acta Pharmacol Sin. 27:1567–1574. 2006. View Article : Google Scholar : PubMed/NCBI

18 

Niu ZS, Niu XJ and Wang WH: Genetic alterations in hepatocellular carcinoma: An update. World J Gastroenterol. 22:9069–9095. 2016. View Article : Google Scholar : PubMed/NCBI

19 

Riccardo Lencioni, Adrian M and Di Bisceglie EASL: An update of angiogenesis in endothelial cells: 5-hypatocellular carcinoma. J Hepatology. 56:9082012.

20 

Sarin SK, Kumar M, Lau GK, Abbas Z, Chan HL, Chen CJ, Chen DS, Chen HL, Chen PJ, Chien RN, et al: Asian-Pacific clinical practice guidelines on the management of hepatitis B: A 2015 update. Hepatol Int. 10:1–98. 2016. View Article : Google Scholar : PubMed/NCBI

21 

Bruix J and Sherman M: American Association for the Study of Liver Diseases: Management of hepatocellular carcinoma: An update. Hepatology. 53:1020–1022. 2011. View Article : Google Scholar : PubMed/NCBI

22 

Marone M, Mozzetti S, De Ritis D, Pierelli L and Scambia G: Semiquantitative RT-PCR analysis to assess the expression levels of multiple transcripts from the same sample. Biol Proced Onlin. 3:19–25. 2001. View Article : Google Scholar

23 

Friedrichs K, Gluba S, Eidtmann H and Jonat W: Overexpression of p53 and prognosis in breast cancer. Cancer. 72:3641–3647. 1993. View Article : Google Scholar : PubMed/NCBI

24 

Weidner N, Carroll PR, Flax J, Blumenfeld W and Folkman J: Tumor angiogenesis correlates with metastasis in invasive prostate carcinoma. Am J Pathol. 143:401–409. 1993.PubMed/NCBI

25 

Koleske AJ, Baltimore D and Lisanti MP: Reduction of caveolin and caveolae in oncogenically transformed cells. Proc Natl Acad Sci USA. 92:1381–1385. 1995. View Article : Google Scholar : PubMed/NCBI

26 

Hayashi K, Matsuda S, Machida K, Yamamoto T, Fukuda Y, Nimura Y, Hayakawa T and Hamaguchi M: Invasion activating caveolin-1 mutation in human scirrhous breast cancer. Cancer Res. 61:2361–2364. 2001.PubMed/NCBI

27 

Fu P, Chen F, Pan Q, Zhao X, Zhao C, Cho WC and Chen H: The different functions and clinical significances of caveolin-1 in human adenocarcinoma and squamous cell carcinoma. Onco Targets Ther. 10:819–835. 2017. View Article : Google Scholar : PubMed/NCBI

28 

Trimmer C, Sotgia F, Whitaker-Menezes D, Balliet RM, Eaton G, Martinez-Outschoorn UE, Pavlides S, Howell A, Iozzo RV, Pestell RG, et al: Caveolin-1 and mitochondrial SOD2 (MnSOD) function as tumor suppressors in the stromal microenvironment: A new genetically tractable model for human cancer associated fibroblasts. Cancer Biol Ther. 11:383–394. 2011. View Article : Google Scholar : PubMed/NCBI

29 

Wang R, He W, Li Z, Chang W, Xin Y and Huang T: Caveolin-1 functions as a key regulator of 17β-estradiol-mediated autophagy and apoptosis in BT474 breast cancer cells. Int J Mol Med. 34:822–827. 2014. View Article : Google Scholar : PubMed/NCBI

30 

Sugie S, Mukai S, Yamasaki K, Kamibeppu T, Tsukino H and Kamoto T: Significant association of caveolin-1 and caveolin-2 with prostate cancer progression. Cancer Genomics Proteomics. 12:391–396. 2015.PubMed/NCBI

31 

Williams TM, Medina F, Badano I, Hazan RB, Hutchinson J, Muller WJ, Chopra NG, Scherer PE, Pestell RG and Lisanti MP: Caveolin-1 gene disruption promotes mammary tumorigenesis and dramatically enhances lung metastasis in vivo. Role of Cav-1 in cell invasiveness and matrix metalloproteinase (MMP-2/9) secretion. J Biol Chem. 279:51630–51646. 2004. View Article : Google Scholar : PubMed/NCBI

32 

Gai X, Lu Z, Tu K, Liang Z and Zheng X: Caveolin-1 Is up-regulated by GLI1 and contributes to GLI1-driven EMT in hepatocellular carcinoma. PLoS One. 9:e845512014. View Article : Google Scholar : PubMed/NCBI

33 

Liu WR, Jin L, Tian MX, Jiang XF, Yang LX, Ding ZB, Shen YH, Peng YF, Gao DM, Zhou J, et al: Caveolin-1 promotes tumor growth and metastasis via autophagy inhibition in hepatocellular carcinoma. Clin Res Hepatol Gastroenterol. 40:169–178. 2016. View Article : Google Scholar : PubMed/NCBI

34 

Tang W, Feng X, Zhang S, Ren Z, Liu Y, Yang B, Lv B, Cai Y, Xia J and Ge N: Caveolin-1 confers resistance of hepatoma cells to anoikis by activating IGF-1 pathway. Cell Physiol Biochem. 36:1223–1236. 2015. View Article : Google Scholar : PubMed/NCBI

35 

Yokomori H, Oda M, Yoshimura K, Nomura M, Wakabayashi G, Kitajima M and Ishii H: Elevated expression of caveolin-1 at protein and mRNA level in human cirrhotic liver: Relation with nitric oxide. J Gastroenterol. 38:854–860. 2003. View Article : Google Scholar : PubMed/NCBI

36 

Pan YM, Yao YZ, Zhu ZH, Sun XT, Qiu YD and Ding YT: Caveolin-1 is important for nitric oxide-mediated angiogenesis in fibrin gels with human umbilical vein endothelial cells. Acta Pharmacol Sin. 27:1567–1574. 2006. View Article : Google Scholar : PubMed/NCBI

37 

Yerian LM, Anders RA, Tretiakova M and Hart J: Caveolin and thrombospondin expression during hepatocellular carcinogenesis. Am J Surg Pathol. 28:357–364. 2004. View Article : Google Scholar : PubMed/NCBI

38 

Huang WS, Wang RJ, Ding JL, Liu CY and Wang JH: Caveolin-1: A novel biomarker for prostate cancer. Zhonghua Nan Ke Xue. 18:635–638. 2012.(In Chinese). PubMed/NCBI

39 

Williams TM, Hassan GS, Li J, Cohen AW, Medina F, Frank PG, Pestell RG, Di Vizio D, Loda M and Lisanti MP: Caveolin-1 promotes tumor progression in an autochthonous mouse model of prostate cancer: Genetic ablation of Cav-1 delays advanced prostate tumor development in tramp mice. J Biol Chem. 280:25134–25145. 2005. View Article : Google Scholar : PubMed/NCBI

40 

Bocci G, Fioravanti A, Orlandi P, Di Desidero T, Natale G, Fanelli G, Viacava P, Naccarato AG, Francia G and Danesi R: Metronomic ceramide analogs inhibit angiogenesis in pancreatic cancer through up-regulation of caveolin-1 and thrombospondin-1 and down-regulation of cyclin D1. Neoplasia. 14:833–845. 2012. View Article : Google Scholar : PubMed/NCBI

41 

Bauer PM, Yu J, Chen Y, Hickey R, Bernatchez PN, Looft-Wilson R, Huang Y, Giordano F, Stan RV and Sessa WC: Endothelial-specific expression of caveolin-1 impairs microvascular permeability and angiogenesis. Proc Natl Acad Sci USA. 102:204–209. 2005. View Article : Google Scholar : PubMed/NCBI

42 

Liu J, Razani B, Tang S, Terman BI, Ware JA and Lisanti MP: Angiogenesis activators and inhibitors differentially regulate caveolin-1 expression and caveolae formation in vascular endothelial cells. Angiogenesis inhibitors block vascular endothelial growth factor-induced down-regulation of caveolin-1. J Biol Chem. 274:15781–15785. 1999. View Article : Google Scholar : PubMed/NCBI

43 

Mazzanti R, Messerini L, Monsacchi L, Buzzelli G, Zignego AL, Foschi M, Monti M, Laffi G, Morbidelli L, Fantappié O, et al: Chronic viral hepatitis induced by hepatitis C but not hepatitis B virus infection correlates with increased liver angiogenesis. Hepatology. 25:229–234. 1997. View Article : Google Scholar : PubMed/NCBI

44 

Sonveau X, Martinive P, DeWever J, Batova Z, Daneau G, Pelat M, Ghisdal P, Grégoire V, Dessy C, Balligand JL and Feron O: Caveolin-1 expression is critical for vascular endothelial growth factor-induced ischemic hindlimb collateralization and nitric oxide-mediated angiogenesis. Circ Res. 95:154–161. 2004. View Article : Google Scholar : PubMed/NCBI

45 

Joo HJ, Oh DK, Kim YS, Lee KB and Kim SJ: Increased expression of caveolin-1 and microvessel density correlates with metastasis and poor prognosis in clear cell renal cell carcinoma. BJU Int. 93:291–296. 2004. View Article : Google Scholar : PubMed/NCBI

Related Articles

  • Abstract
  • View
  • Download
  • Twitter
Copy and paste a formatted citation
Spandidos Publications style
Cheng H, Pan Y, Yao Y, Zhu Z, Chen J, Sun X, Qiu Y and Ding Y: Expression and significance of caveolin‑1 in hepatitis B virus‑associated hepatocellular carcinoma. Exp Ther Med 14: 4356-4362, 2017.
APA
Cheng, H., Pan, Y., Yao, Y., Zhu, Z., Chen, J., Sun, X. ... Ding, Y. (2017). Expression and significance of caveolin‑1 in hepatitis B virus‑associated hepatocellular carcinoma. Experimental and Therapeutic Medicine, 14, 4356-4362. https://doi.org/10.3892/etm.2017.5038
MLA
Cheng, H., Pan, Y., Yao, Y., Zhu, Z., Chen, J., Sun, X., Qiu, Y., Ding, Y."Expression and significance of caveolin‑1 in hepatitis B virus‑associated hepatocellular carcinoma". Experimental and Therapeutic Medicine 14.5 (2017): 4356-4362.
Chicago
Cheng, H., Pan, Y., Yao, Y., Zhu, Z., Chen, J., Sun, X., Qiu, Y., Ding, Y."Expression and significance of caveolin‑1 in hepatitis B virus‑associated hepatocellular carcinoma". Experimental and Therapeutic Medicine 14, no. 5 (2017): 4356-4362. https://doi.org/10.3892/etm.2017.5038
Copy and paste a formatted citation
x
Spandidos Publications style
Cheng H, Pan Y, Yao Y, Zhu Z, Chen J, Sun X, Qiu Y and Ding Y: Expression and significance of caveolin‑1 in hepatitis B virus‑associated hepatocellular carcinoma. Exp Ther Med 14: 4356-4362, 2017.
APA
Cheng, H., Pan, Y., Yao, Y., Zhu, Z., Chen, J., Sun, X. ... Ding, Y. (2017). Expression and significance of caveolin‑1 in hepatitis B virus‑associated hepatocellular carcinoma. Experimental and Therapeutic Medicine, 14, 4356-4362. https://doi.org/10.3892/etm.2017.5038
MLA
Cheng, H., Pan, Y., Yao, Y., Zhu, Z., Chen, J., Sun, X., Qiu, Y., Ding, Y."Expression and significance of caveolin‑1 in hepatitis B virus‑associated hepatocellular carcinoma". Experimental and Therapeutic Medicine 14.5 (2017): 4356-4362.
Chicago
Cheng, H., Pan, Y., Yao, Y., Zhu, Z., Chen, J., Sun, X., Qiu, Y., Ding, Y."Expression and significance of caveolin‑1 in hepatitis B virus‑associated hepatocellular carcinoma". Experimental and Therapeutic Medicine 14, no. 5 (2017): 4356-4362. https://doi.org/10.3892/etm.2017.5038
Follow us
  • Twitter
  • LinkedIn
  • Facebook
About
  • Spandidos Publications
  • Careers
  • Cookie Policy
  • Privacy Policy
How can we help?
  • Help
  • Live Chat
  • Contact
  • Email to our Support Team