Spandidos Publications Logo
  • About
    • About Spandidos
    • Aims and Scopes
    • Abstracting and Indexing
    • Editorial Policies
    • Reprints and Permissions
    • Job Opportunities
    • Terms and Conditions
    • Contact
  • Journals
    • All Journals
    • Oncology Letters
      • Oncology Letters
      • Information for Authors
      • Editorial Policies
      • Editorial Board
      • Aims and Scope
      • Abstracting and Indexing
      • Bibliographic Information
      • Archive
    • International Journal of Oncology
      • International Journal of Oncology
      • Information for Authors
      • Editorial Policies
      • Editorial Board
      • Aims and Scope
      • Abstracting and Indexing
      • Bibliographic Information
      • Archive
    • Molecular and Clinical Oncology
      • Molecular and Clinical Oncology
      • Information for Authors
      • Editorial Policies
      • Editorial Board
      • Aims and Scope
      • Abstracting and Indexing
      • Bibliographic Information
      • Archive
    • Experimental and Therapeutic Medicine
      • Experimental and Therapeutic Medicine
      • Information for Authors
      • Editorial Policies
      • Editorial Board
      • Aims and Scope
      • Abstracting and Indexing
      • Bibliographic Information
      • Archive
    • International Journal of Molecular Medicine
      • International Journal of Molecular Medicine
      • Information for Authors
      • Editorial Policies
      • Editorial Board
      • Aims and Scope
      • Abstracting and Indexing
      • Bibliographic Information
      • Archive
    • Biomedical Reports
      • Biomedical Reports
      • Information for Authors
      • Editorial Policies
      • Editorial Board
      • Aims and Scope
      • Abstracting and Indexing
      • Bibliographic Information
      • Archive
    • Oncology Reports
      • Oncology Reports
      • Information for Authors
      • Editorial Policies
      • Editorial Board
      • Aims and Scope
      • Abstracting and Indexing
      • Bibliographic Information
      • Archive
    • Molecular Medicine Reports
      • Molecular Medicine Reports
      • Information for Authors
      • Editorial Policies
      • Editorial Board
      • Aims and Scope
      • Abstracting and Indexing
      • Bibliographic Information
      • Archive
    • World Academy of Sciences Journal
      • World Academy of Sciences Journal
      • Information for Authors
      • Editorial Policies
      • Editorial Board
      • Aims and Scope
      • Abstracting and Indexing
      • Bibliographic Information
      • Archive
    • International Journal of Functional Nutrition
      • International Journal of Functional Nutrition
      • Information for Authors
      • Editorial Policies
      • Editorial Board
      • Aims and Scope
      • Abstracting and Indexing
      • Bibliographic Information
      • Archive
    • International Journal of Epigenetics
      • International Journal of Epigenetics
      • Information for Authors
      • Editorial Policies
      • Editorial Board
      • Aims and Scope
      • Abstracting and Indexing
      • Bibliographic Information
      • Archive
    • Medicine International
      • Medicine International
      • Information for Authors
      • Editorial Policies
      • Editorial Board
      • Aims and Scope
      • Abstracting and Indexing
      • Bibliographic Information
      • Archive
  • Articles
  • Information
    • Information for Authors
    • Information for Reviewers
    • Information for Librarians
    • Information for Advertisers
    • Conferences
  • Language Editing
Spandidos Publications Logo
  • About
    • About Spandidos
    • Aims and Scopes
    • Abstracting and Indexing
    • Editorial Policies
    • Reprints and Permissions
    • Job Opportunities
    • Terms and Conditions
    • Contact
  • Journals
    • All Journals
    • Biomedical Reports
      • Information for Authors
      • Editorial Policies
      • Editorial Board
      • Aims and Scope
      • Abstracting and Indexing
      • Bibliographic Information
      • Archive
    • Experimental and Therapeutic Medicine
      • Information for Authors
      • Editorial Policies
      • Editorial Board
      • Aims and Scope
      • Abstracting and Indexing
      • Bibliographic Information
      • Archive
    • International Journal of Epigenetics
      • Information for Authors
      • Editorial Policies
      • Editorial Board
      • Aims and Scope
      • Abstracting and Indexing
      • Bibliographic Information
      • Archive
    • International Journal of Functional Nutrition
      • Information for Authors
      • Editorial Policies
      • Editorial Board
      • Aims and Scope
      • Abstracting and Indexing
      • Bibliographic Information
      • Archive
    • International Journal of Molecular Medicine
      • Information for Authors
      • Editorial Policies
      • Editorial Board
      • Aims and Scope
      • Abstracting and Indexing
      • Bibliographic Information
      • Archive
    • International Journal of Oncology
      • Information for Authors
      • Editorial Policies
      • Editorial Board
      • Aims and Scope
      • Abstracting and Indexing
      • Bibliographic Information
      • Archive
    • Medicine International
      • Information for Authors
      • Editorial Policies
      • Editorial Board
      • Aims and Scope
      • Abstracting and Indexing
      • Bibliographic Information
      • Archive
    • Molecular and Clinical Oncology
      • Information for Authors
      • Editorial Policies
      • Editorial Board
      • Aims and Scope
      • Abstracting and Indexing
      • Bibliographic Information
      • Archive
    • Molecular Medicine Reports
      • Information for Authors
      • Editorial Policies
      • Editorial Board
      • Aims and Scope
      • Abstracting and Indexing
      • Bibliographic Information
      • Archive
    • Oncology Letters
      • Information for Authors
      • Editorial Policies
      • Editorial Board
      • Aims and Scope
      • Abstracting and Indexing
      • Bibliographic Information
      • Archive
    • Oncology Reports
      • Information for Authors
      • Editorial Policies
      • Editorial Board
      • Aims and Scope
      • Abstracting and Indexing
      • Bibliographic Information
      • Archive
    • World Academy of Sciences Journal
      • Information for Authors
      • Editorial Policies
      • Editorial Board
      • Aims and Scope
      • Abstracting and Indexing
      • Bibliographic Information
      • Archive
  • Articles
  • Information
    • For Authors
    • For Reviewers
    • For Librarians
    • For Advertisers
    • Conferences
  • Language Editing
Login Register Submit
  • This site uses cookies
  • You can change your cookie settings at any time by following the instructions in our Cookie Policy. To find out more, you may read our Privacy Policy.

    I agree
Search articles by DOI, keyword, author or affiliation
Search
Advanced Search
presentation
Experimental and Therapeutic Medicine
Join Editorial Board Propose a Special Issue
Print ISSN: 1792-0981 Online ISSN: 1792-1015
Journal Cover
January-2018 Volume 15 Issue 1

Full Size Image

Sign up for eToc alerts
Recommend to Library

Journals

International Journal of Molecular Medicine

International Journal of Molecular Medicine

International Journal of Molecular Medicine is an international journal devoted to molecular mechanisms of human disease.

International Journal of Oncology

International Journal of Oncology

International Journal of Oncology is an international journal devoted to oncology research and cancer treatment.

Molecular Medicine Reports

Molecular Medicine Reports

Covers molecular medicine topics such as pharmacology, pathology, genetics, neuroscience, infectious diseases, molecular cardiology, and molecular surgery.

Oncology Reports

Oncology Reports

Oncology Reports is an international journal devoted to fundamental and applied research in Oncology.

Experimental and Therapeutic Medicine

Experimental and Therapeutic Medicine

Experimental and Therapeutic Medicine is an international journal devoted to laboratory and clinical medicine.

Oncology Letters

Oncology Letters

Oncology Letters is an international journal devoted to Experimental and Clinical Oncology.

Biomedical Reports

Biomedical Reports

Explores a wide range of biological and medical fields, including pharmacology, genetics, microbiology, neuroscience, and molecular cardiology.

Molecular and Clinical Oncology

Molecular and Clinical Oncology

International journal addressing all aspects of oncology research, from tumorigenesis and oncogenes to chemotherapy and metastasis.

World Academy of Sciences Journal

World Academy of Sciences Journal

Multidisciplinary open-access journal spanning biochemistry, genetics, neuroscience, environmental health, and synthetic biology.

International Journal of Functional Nutrition

International Journal of Functional Nutrition

Open-access journal combining biochemistry, pharmacology, immunology, and genetics to advance health through functional nutrition.

International Journal of Epigenetics

International Journal of Epigenetics

Publishes open-access research on using epigenetics to advance understanding and treatment of human disease.

Medicine International

Medicine International

An International Open Access Journal Devoted to General Medicine.

Journal Cover
January-2018 Volume 15 Issue 1

Full Size Image

Sign up for eToc alerts
Recommend to Library

  • Article
  • Citations
    • Cite This Article
    • Download Citation
    • Create Citation Alert
    • Remove Citation Alert
    • Cited By
  • Similar Articles
    • Related Articles (in Spandidos Publications)
    • Similar Articles (Google Scholar)
    • Similar Articles (PubMed)
  • Download PDF
  • Download XML
  • View XML
Case Report

Distinct magnetic resonance imaging features in a patient with novel RARS2 mutations: A case report and review of the literature

  • Authors:
    • Jie Zhang
    • Zhongbin Zhang
    • Yao Zhang
    • Ye Wu
  • View Affiliations / Copyright

    Affiliations: Department of Pediatrics, Peking University First Hospital, Beijing 100034, P.R. China
  • Pages: 1099-1104
    |
    Published online on: November 10, 2017
       https://doi.org/10.3892/etm.2017.5491
  • Expand metrics +
Metrics: Total Views: 0 (Spandidos Publications: | PMC Statistics: )
Metrics: Total PDF Downloads: 0 (Spandidos Publications: | PMC Statistics: )
Cited By (CrossRef): 0 citations Loading Articles...

This article is mentioned in:



Abstract

Pontocerebellar hypoplasia type 6 (PCH6) is a rare autosomal recessive disease that occurs due to mutations in the mitochondrial arginyl‑tRNA synthetase 2 (RARS2) gene. To the best of our knowledge, 23 cases with relatively complete clinical data have been reported thus far. In the present study, a case with PCH6 caused by novel RARS2 mutations is described, in which distinct magnetic resonance imaging (MRI) features were identified. In addition, 23 PCH6 cases found in the literature were reviewed. Early onset hypotonia (43.48%), epileptic seizures (34.78%), encephalopathy (26.08%) and feeding difficulties (17.39%) were common initial symptoms of PCH6. During disease progression, the patients presented refractory epileptic seizures (94.12%), feeding problems (60.87%), severe developmental delay (100%), microcephaly (88.89%) and hyperlactacidemia (76.47%). The clinical features of the present patient were suggestive of PCH6, with early onset epilepsy, feeding difficulties, severe developmental delay, microcephaly, hearing loss and hyperlactacidemia. According to available MRI data from 20 reported cases with PCH6, the characteristic finding in MRI was pontocerebellar dysplasia or progressive cerebral/pontocerebellar atrophy in 16 cases, while 4 cases did not present pontocerebellar hypoplasia, and no basal ganglia involvement was observed in any of the cases. Distinctive MRI features were also identified in the present case, including pontocerebellar preservation after 1 year of age, as well as a high diffusion‑weighted imaging signal suggesting intracellular edema in the cerebellar hemispheres, basal ganglia, thalamus and corpus callosum. Progressive loss of cerebral white matter and cortical volume were common features shared by all patients. In conclusion, in the present study, two novel heterozygous mutations were identified in RARS2, namely c.1718C>T(p.Thr573Ile) and c.991A>G (p.Ile331Val). Thus, the present case enriched the phenotypic and genotypic spectrum of the RARS2 mutations.

Introduction

The mitochondrial arginyl-tRNA synthetase 2 (RARS2) encodes the mitochondrial arginyl-transfer RNA synthetase (1), which is essential for the translation of all proteins synthesized in the mitochondria. In 2007, mutations in RARS2 were first identified in pontocerebellar hypoplasia type 6 (PCH6; MIM no. 611523) with autosomal recessive inheritance (2). To the best of our knowledge, 23 cases with RARS2 mutations have been reported in the literature thus far (1–11). PCH6 is a rare mitochondrial disease. The age of disease onset varies from birth (6,11,14,15) to 9 months old (8). The common initial symptoms of mitochondrial disease include hypotonia (1,2,4,6–8), epileptic seizures (5,6,8,9,11), encephalopathy (1,2,4,6,10) and feeding difficulties (2,3). Furthermore, other uncommon initial presentations have been suggested, including hypoglycemia (6,11), tachypnea (2,10) and cyanosis (7). Almost all patients developed early-onset epileptic seizures (1–3,5,6,9,11) and the age of onset may vary from 1 day (5) to 9 months old (8). Seizures have been typically described as intractable to a variety of antiepileptic drugs. In addition, feeding difficulties have been suggested a prominent problem in the patients with PCH6 (1–6,8,11) and some cases have been diagnosed with gastroesophageal reflux (3,6). The majority of patients have presented with severe developmental delay (1–3,5,6,8,9,11) and microcephaly (1–6,8–11). Hyperlactacidemia has also been determined a common clinical feature in PCH6 (1–3,5–7,11). Additionally, hearing loss and optic atrophy have been observed in some cases (1,8). The most characteristic finding in magnetic resonance imaging (MRI) is early onset or progressive cerebral/pontocerebellar atrophy (1–3,5–8,11). Furthermore, one case has been reported with subdural effusions in MRI (7).

In the present study, a PCH6 case with distinctive MRI presentations in an infant was reported. In addition, the characteristics of previous published cases of PCH6 in the literature were reviewed. The present case enriched the phenotypic and genotypic spectrum of the RARS2 mutations.

Case report

Case

The present case involves a boy at the age of 3 months that presented at the Peking University First Hospital (Beijing, China) at September, 2014 with complaint of frequent convulsions. The patient was a full-term infant (birth weight, 2,250 g) with non-consanguineous parents, and failed a neonatal hearing screening. Frequent multifocal myoclonic seizures and focal seizures were reported, which began at the age of 3 months. The patient did not respond to antiepileptic drug treatment for the seizures, including valproic acid, levetiracetam, topiramate, phenobarbital and clonazepam. Ketogenic diet therapy was attempted; however, this was stopped due to poor tolerance. The infant gradually presented with hypotonia and feeding difficulty from 5 months of age, lethargy and progressive microcephaly from 7 months of age.

Hyperlactacidemia was determined from blood samples with the range of 3.2–9.5 mmol/l (normal range is 0~2.5 mmol/l), which was observed since 4 months of age. An electroencephalogram at the age of 6 months demonstrated diffuse slow waves mixed with multifocal spikes and fast waves in the two hemispheres, with persistent focal seizures observed during the monitoring. An auditory brainstem response test at the age of 4 months revealed no response to the stimulus with an intensity of 100 db.

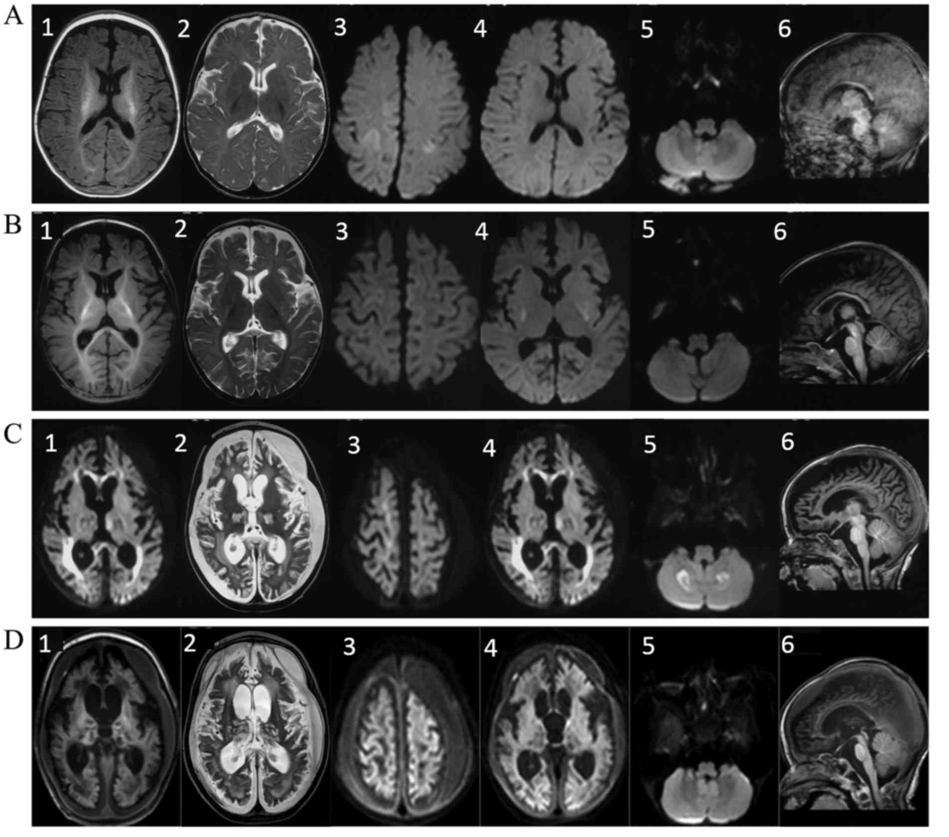
Serial brain MRI scans were performed at 4, 5, 7 and 13 months after birth, respectively (Fig. 1). Various distinctive features were observed in these scans, whereas pontocerebellar dysplasia or atrophy was absent. A high diffusion-weighted imaging (DWI) signal was detected in the frontal and parietal cerebral cortex at 4 and 5 months, which resolved after 7 months. The cortex edema was possibly associated with the frequent multifocal seizures at that time. From 5 months of age, a high signal was present on T2-weighted image (T2WI) and DWI scans in the basal ganglia and thalamus, followed by progressive atrophy. At 7 months, a symmetric high signal was detected on DWI in bilateral cerebellar hemispheres, which was suggestive of intracellular edema. In addition, in the 7-month scan, atrophy of the cerebral cortex became prominent with concomitant subdural effusions, while high DWI signals were observed in the genu and splenium of the corpus callosum, concomitant with progressive white matter depletion.

Figure 1.

Serial brain MRI scans performed in the present case. MRI scanning was performed at (A) 4 months, (B) 5 months, (C) 7 months and (D) 13 months after birth. The images show the axial T1WI (labeled as 1), axial T2WI (labeled as 2), axial DWI in the frontal and parietal cerebral cortex (labeled as 3), axial DWI in the basal ganglia and thalamus (labeled as 4), axial DWI in the cerebellar hemispheres (labeled as 5) and sagittal T1WI scans (labeled as 6). The following distinctive features were observed in the MRI scans: i) Absence of pontocerebellar dysplasia or atrophy was absent (A6, B6, C6 and D6); ii) symmetric high signal was observed on the DWI scan in the bilateral cerebellar hemispheres at 7 months of age (C5), which was suggestive of intracellular edema; iii) a high DWI signal was observed in the frontal and parietal cerebral cortex at 4 months (A3), which resolved after 7 months of age (C3); iv) atrophy of the cerebral cortex became prominent at 7 months of age, with concomitant subdural effusions (C1, C2, D1 and D2) and v) high T2WI and DWI signals were observed in the basal ganglia and thalamus at 5 months (B4), followed by progressive atrophy (C4 and D4). vi) A high DWI signal was detected in the genu and splenium of the corpus callosum at 7 months (C4), concomitant with progressive white matter depletion (C1-3 and D1-3). MRI, magnetic resonance imaging; WI, weighted image; DWI, diffusion-weighted imaging.

On the basis of the refractory seizures, encephalopathy, hyperlactacidemia and special MRI features, the patient was suspected with the diagnosis of early epileptic encephalopathy and mitochondrial disease since his 9 months. He received gene analysis at the age of 9 months, which included analysis of common mitochondrial nuclear genes.

Genomic DNA was isolated from peripheral leukocytes, fragmented into 150–200 bp length and sonicated. The DNA fragments were then processed by end-repairing, A-tailing and adaptor ligation, a 4-cycle pre-capture PCR amplification and enriched by a custom-designed panel capturing the coding exons of 256 genes associated with mitochondrial nuclear genes, including RARS2. Paired-end sequencing (150 bp) was performed on Illumina HiSeq X-ten platform to provide a mean sequence coverage of >x100, with >95% of the target bases having at least ×20 coverage. Raw data was processed by the Illumina pipeline (version 1.3.4) for image analysis, error estimation, base calling and generating the primary sequence data. For the quality control, the Cutadapt (https://pypi.python.org/pypi/cutadapt) and FastQC (www.bioinformatics.babraham.ac.uk/projects/fastqc/) were used to remove 3′-/5′-adapters and low-quality reads, respectively. The clean reads were mapped to the human reference genome (UCSC hg19) with the use of the BWA (version 0.7.10, http://bio-bwa.sourceforge.net) (12), duplicate sequence reads were removed by Picard (version 1.85; http://picard.sourceforge.net), and GATK (version 3.1, https://software.broadinstitute.org/gatk/) (13) was used to detect variants. Variants were annotated using ANNOVAR software (http://www.openbioinformatics.org/annovar/) as described previously (14), which included function implication (gene region, functional effect, mRNA GenBank accession number, amino acid change and cytoband) and allele frequency in several databases: dbSNP138, 1000 Genomes (Phase 3-Variant Frequencies 5b), ExAc (exac.broadinstitute.org/) as described previously (15). Damaging missense mutations were predicted by SIFT (sift.bii.a-star.edu.sg/), PolyPhen-2 (genetics.bwh.harvard.edu/pph2/), and MutationTaster (www.mutationtaster.org/). Interpretation of the variants was conducted according to the American College of Medical Genetics and Genomics recommended standards (16), and all the variants were categorized into ‘pathogenic’, ‘likely pathogenic’, ‘uncertain significance’, ‘likely benign’ and ‘benign’. Sanger sequencing was performed to validate the putative pathogenic variants and segregation analyses where possible.

Novel compound heterozygous mutations in RARS2, namely c.1718C>T(p.Thr573Ile) and c.991A>G(p.Ile331Val), were identified in the patient. SIFT (sift.bii.a-star.edu.sg/) and Mutation Taster (www.mutationtaster.org/) predicted that these mutations would affect the protein function (Table I). At the age of 10 months, the patient was diagnosed with PCH6 due to RARS2 mutations.

Table I.

RARS2 mutations in patients with PCH6 in the present and previous studies.

Table I.

RARS2 mutations in patients with PCH6 in the present and previous studies.

PatientMutation locationNucleotide changeAmino acid change(Refs.)
1Exon14c.1211T>Ap.Met404Lys(1)
Exon7c.472_474delAAAp.Lys158del
2Intron2c.110+5A>G–(2)
Exon1c.35A>Gp.Gln12Arg
3Intron2c.110+5A>G–(2)
Exon1c.35A>Gp.Gln12Arg
4Intron2c.110+5A>G–(2)
Exon1c.35A>Gp.Gln12Arg
5Exon12c.1024 A>Gp.Met342Val(3)
Exon1c.35A>Gp.Gln12Arg
6Intron2c.110+5A>G–(4)
Exon1c.35A>Gp.Gln12Arg
7Exon10773G>Ap.Arg258His(5)
Intron19c.1651–2A>G–
8Exon10773G>Ap.Arg258His(5)
Intron19c.1651-2A>G–
9Exon1c.25A>Gp.Ile9Val(6)
Intron18c.1586+3A>T–
10Exon1c.25A>Gp.Ile9Val(6)
Intron18c.1586+3A>T–
11Exon9c.734G>Ap.Arg245Gln(6)
Exon16c.1406G>Ap.Arg469His
12Exon9c.734G>Ap.Arg245Gln(6)
Exon16c.1406G>Ap.Arg469His
13Exon9c.721T>Ap.Trp241Arg(6)
Exon1c.35A>Gp.Gln12Arg
14Exon1c.1A>G;p.Met1Val(7)
Intron8 c.613-3927C>T–
15Exon1c.1A>Gp.Met1Val(7)
Intron8 c.613-3927C>T–
165′-UTRc.-2A>G–(8)
5′-UTRc.-2A>G–
175′-UTRc.-2A>G–(8)
5′-UTRc.-2A>G–
18Intron2c.110+5A>G–(9)
Intron10c.878+5G>T–
19Intron2c.110+5A>G–(9)
Intron10c.878+5G>T–
20Exon5c.392T > Gp.Phe131Cys(10)
Exon5c.392T > Gp.Phe131Cys
21Exon5c.392T > Gp.Phe131Cys(10)
Exon5c.392T > Gp.Phe131Cys
22Exon7 c.472_474delAAAp.Lys158del(11)
Exon10c.848T>Ap.Leu283Glu
23Exon7 c.472_474delAAAp.Lys158del(11)
Exon10c.848T>Ap.Leu283Glu
Present caseExon20c.1718C>Tp.Thr573Ile
Exon12c.991A>Gp.Ile331Val

The last follow-up was performed when the patient was 3 years old. The patient was receiving nasogastric feeding, while severe developmental delay, rigidity and loss of response to external stimuli were reported. The seizures were partially managed by combination therapy with topiramate (4 mg/kg/day) and levetiracetam (42 mg/kg/day).

Written informed consent was obtained from the patient's family for the publication of the present case study.

Literature review

The databases PubMed (https://www.ncbi.nlm.nih.gov/pubmed), EMbase (http://www.embase.com), CBM (http://www.sinomed.ac.cn/), CNKI (http://www.cnki.net/) and VIP (http://lib.cqvip.com/) were searched to collect studies with the key words of ‘RARS2’ and ‘PCH6’, date from database foundation to December, 2016. The publication language was limited to English and Chinese. Studies reported of cases with PCH6, which include detailed clinical data were included in the present study.

Discussion

Since the identification of RARS2 mutations in PCH6 in 2007 (2), a total of 23 cases with RARS2 mutations have been reported in 11 studies (1–11), as identified according to a literature review performed in the present study. The clinical features of the reported cases are summarized in Table II.

Table II.

Clinical features of 23 previously reported cases and the present case with pontocerebellar hypoplasia type 6.

Table II.

Clinical features of 23 previously reported cases and the present case with pontocerebellar hypoplasia type 6.

Patient

Characteristics1234567891011121314151617181920212223Present case
Study reference(1)(2)(2)(2)(3)(4)(5)(5)(6)(6)(6)(6)(6)(7)(7)(8)(8)(9)(9)(10)(10)(11)(11)–
Basic characteristics
  SexFFMFF–FMMMFFMFFMFFMMFMMM
  Small for gestational ageNN–NN–NNYYNYNNNNNNNNNNNY
Symptoms
  Age at disease onset16 h1 d19 h3 w19 hbirth2-3 w1 d1 d1 dbirth11 d20 dbirthbirth9 m6 m2 m3 m1 d2 d40 h8 w3 m
  Initial symptomsHy,Hy,Ta,Hy,Ta,Hy,SeSeEnHy,HypSeHy, SeHy,Hy,Hy,HySeSeEnTaHypSeSe
EnPoPoEn, PoPoEn En CyCySe
  EpilepsyYY–YY–YYYYYYY––YNYYY–YYY
  Age of seizures onset4 w2 m–4 m36 h–2-3 w1 d11 d4 m20 d11 d20 d––9 mN2 m3 m3 m–5 w8 w3 m
  Feeding difficultiesYYYYYYNNYYYYY––YN–––NYYY
  Development delayYYYYY–YYYYYYY––YYYYY–YYY
  Hearing lossY–––––NN–––––––––––––––Y
  Optic atrophyY–––NNNN––––––NYY––N–––N
Signs
  HypotoniaYYYYYYYYYYYNYYYYY–YYNNYY
  MicrocephalyYY–NY–YYYYYYY––YYY–YNYYY
Biochemical test
  HyperlactacidemiaYNYNY–NYYYYYY–Y––––YYYNY
  Elevated lactic level in CSFY––YYYY–YYY–N–Y––––N–NNN
Brain MRI findings
  Pontocerebellar atrophyY–YYY–YYYYYYY–YYYNNNNYYN
  Subdural effusionsNN–NN–YNNNNNN–NNNNNNNNNY
  Basal ganglia involvementNN–NN–NNNNNNN–NNNNNNNNNY

[i] Unavailable data are demonstrated by hyphens. When referring to the age of patients, the following abbreviations were used: d, days; w, weeks; m, months. F, female; M, male; N, no; Y, yes; MRI, magnetic resonance imaging; CSF, cerebrospinal fluid; Hy, hypotonia; En, encephalopathy; Se, seizure; Hyp, hypoglycemia; Cy, cyanotic; Ta, tachypnea; Po, poor feeding; small for gestational age, birth weight <10 percentile of the same gestational age.

In these previously reported PCH6 cases, the age of disease onset was 1 day to 9 months. In 52.17% (12/23) of cases symptoms were detected on the first day of life, while disease onset was observed between 1 day and 1 month of age in 26.09% (6/23) of cases, between 1 month and 3 months of age in 13.04% (3/23) and after 6 months in 8.70% (2/23) of cases. The initial presentations included symptoms of hypotonia (43.48%; 10/23), epileptic seizures (34.78%; 8/23), encephalopathy (26.08%; 6/23) and feeding difficulties (17.39%; 4/23). Other uncommon initial presentations were hypoglycemia (8.70%; 2/23), tachypnea (13.04%; 3/23) and cyanosis (8.70%; 2/23). Patients often presented with more than one initial symptom. In the present study, the initial presentation of the patient was epileptic seizures, which began at the age of 3 months.

With the exception of 4 cases of neonatal mortality and 1 patient with an age of 2 months at the last follow-up, almost all patients (94.44%; 17/18) developed early-onset epileptic seizures. The age of onset of refractory epilepsy was 1 day to 9 months, and seizures were usually intractable to a variety of antiepileptic drugs. Furthermore, 14 cases (60.87%; 14/23) presented feeding difficulties subsequent to birth or in the process of the follow-up. Of the included cases, 2 patients were unavailable for evaluation due to mortality within 2 weeks after birth, while information regarding feeding was unavailable in 3 cases. In total, 6 patients were diagnosed with gastroesophageal reflux, whereas 4 patients presented no feeding problems until the last follow-up conducted at 2 months, 1, 1.5 and 3 years of age, respectively. The present case also presented severe feeding difficulty and required nasogastric feeding subsequent to the disease onset.

The majority (82.61%; 19/23) of included cases presented severe developmental delay, with the exception of 3 cases of mortality within 14 days (at 14 days of age) and 1 patient with a last follow-up at the age of 2 months, who were unavailable for assessment. In addition, with the exception of 4 cases of mortality within 1 day to 7 weeks (aged 7 weeks old) and unavailable information of head circumference in 1 case, microcephaly was observed in 88.89% (16/18) of patients. Only 2 cases had a normal head circumference until the age of 2 and 4 months, respectively, which were the last follow-up times.

Mortality was reported in 6 (6 cases succumbed to fatality at 1, 14 day, 7 weeks, 16 months, 6 days and 4 years) out of 23 patients in the previous studies included in this literature review. In 1 case, mortality was reported on the first day following birth, between 6 days to 2 months in 3 patients, and at 16 months and 4 years in 2 other patients. In total, 73.91% (17/23) were alive at the last follow-up, with an age of 2 months to 11 years.

Hyperlactacidemia was identified in 76.47% (13/17) of cases among 17 patients with available data. Other clinical features included hearing loss that was reported in 4.35% (1/23) cases and optic atrophy identified in 13.04% (3/23). The clinical features of the present patient were suggestive of PCH6, with early-onset epilepsy, feeding difficulty, severe developmental delay, microcephaly, hearing loss and hyperlactacidemia.

The characteristic finding in MRI was pontocerebellar dysplasia or progressive cerebral/pontocerebellar atrophy and in the majority of patients (80.00%, 16/20) were observed with this feature. Compared with the available MRI data from 20 reported cases with PCH6, certain distinct MRI features were noted in the patient of the present study. No pontocerebellar dysplasia or atrophy was observed prior to 1 year of age in the present patient. In the previously reported 20 patients with available MRI data, 4 cases did not present pontocerebellar dysplasia/atrophy when tested at 10 days (10), 13 months (9), 16 months (9) and 40 months (10), respectively. By contrast, pontocerebellar dysplasia/atrophy were present in 16 cases, with 25% (4/16) in the neonatal stage, 43.75% (7/16) between 1 and 6 months, 18.75% (3/16) between 1 and 9 months, and 12.5% (2/16) between 1–24 months (with a long interval between the two MRI examinations). The last brain MRI scan of the present study patient was performed at 13 months, therefore it does not exclude that pontocerebellar atrophy may have occurred at a later time.

MRI examination in the present patient also demonstrated high signals on T2WI and DWI scans in the cerebral cortex, cerebellar hemispheres, basal ganglia and thalamus. Notably, as PCH6 is an encephalopathy resulting from mitochondrial functional defect, basal ganglia involvement has not been reported in any previous patients with PCH6. Another MRI feature in the current study involves atrophy of the cerebral cortex that became prominent at 7 months after birth, with concomitant subdural effusions. Subdural effusions have only been reported in 1 previous case (5). Finally, a high DWI signal was detected in the genu and splenium of the corpus callosum at 7 months, concomitant with progressive white matter depletion. In previously reported cases, a high DWI signal was not described, whereas white matter depletion was present in almost all cases.

A total of 18 mutations in RARS2 have been identified in the previously reported cases, comprising of 11 missense mutations, one in-frame deletion, one substitution of nucleotide in the 5′-untranslated region that resulted in decreased mRNA expression level, and five mutations in introns. In the present case, two novel missense mutations in RARS2 were identified, c.1718C>T(p.Thr573Ile) and c.991A>G(p.Ile331Val) (Table I).

In conclusion, in the current study, two novel RARS2 mutations were identified in a patient with typical clinical manifestations of PCH6. Distinctive MRI features were identified, including pontocerebellar preservation after 1 year of age, as well as a high DWI signal suggestive of intracellular edema in the cerebellar hemispheres, basal ganglia, thalamus and corpus callosum. Furthermore, progressive loss of cerebral white matter and cortical volume were common features shared by all patients in similar previously reported cases, which were also observed in the present patient. Therefore, the findings reported in the present case enriched the phenotypic and genotypic spectrum of the RARS2 mutations in PCH6 patients.

References

1 

Glamuzina E, Brown R, Hogarth K, Saunders D, Russell-Eggitt I, Pitt M, de Sousa C, Rahman S, Brown G and Grunewald S: Further delineation of pontocerebellar hypoplasia type due to mutations in the gene encoding mitochondrial arginyl-tRNA synthetase, RARS. J Inherit Metab Dis. 35:459–467. 2012. View Article : Google Scholar : PubMed/NCBI

2 

Edvardson S, Shaag A, Kolesnikova O, Gomori JM, Tarassov I, Einbinder T, Saada A and Elpeleg O: Deleterious mutation in the mitochondrial arginyl-transfer RNA synthetase gene is associated with pontocerebellar hypoplasia. Am J Hum Genet. 81:857–862. 2007. View Article : Google Scholar : PubMed/NCBI

3 

Rankin J, Brown R, Dobyns WB, Harington J, Patel J, Quinn M and Brown G: Pontocerebellar hypoplasia type: A British case with PEHO-like features. Am J Med Genet A. 152A:2079–2084. 2010. View Article : Google Scholar : PubMed/NCBI

4 

Namavar Y, Barth PG, Kasher PR, van Ruissen F, Brockmann K, Bernert G, Writzl K, Ventura K, Cheng EY, Ferriero DM, et al: Clinical, neuroradiological and genetic findings in pontocerebellar hypoplasia. Brain. 134:143–156. 2011. View Article : Google Scholar : PubMed/NCBI

5 

Kastrissianakis K, Anand G, Quaghebeur G, Price S, Prabhakar P, Marinova J, Brown G and McShane T: Subdural effusions and lack of early pontocerebellar hypoplasia in siblings with RARS mutations. Arch Dis Child. 98:1004–1007. 2013. View Article : Google Scholar : PubMed/NCBI

6 

Cassandrini D, Cilio MR, Bianchi M, Doimo M, Balestri M, Tessa A, Rizza T, Sartori G, Meschini MC, Nesti C, et al: Pontocerebellar hypoplasia type 6 caused by mutations in RARS2: Definition of the clinical spectrum and molecular findings in five patients. J Inherit Metab Dis. 36:43–53. 2013. View Article : Google Scholar : PubMed/NCBI

7 

Lax NZ, Alston CL, Schon K, Park SM, Krishnakumar D, He L, Falkous G, Ogilvy-Stuart A, Lees C, King RH, et al: Neuropathologic characterization of pontocerebellar hypoplasia type 6 associated with cardiomyopathy and hydrops fetalis and severe multisystem respiratory chain deficiency due to novel RARS2 mutations. J Neuropathol Exp Neurol. 74:688–703. 2015. View Article : Google Scholar : PubMed/NCBI

8 

Li Z, Schonberg R, Guidugli L, Johnson AK, Arnovitz S, Yang S, Scafidi J, Summar ML, Vezina G, Das S, et al: A novel mutation in the promoter of RARS2 causes pontocerebellar hypoplasia in two siblings. J Hum Genet. 60:363–369. 2015. View Article : Google Scholar : PubMed/NCBI

9 

Nishri D, Goldberg-Stern H, Noyman I, Blumkin L, Kivity S, Saitsu H, Nakashima M, Matsumoto N, Leshinsky-Silver E, Lerman-Sagie T and Lev D: RARS2 mutations cause early onset epileptic encephalopathy without ponto-cerebellar ypoplasia. Eur J Paediatr Neurol. 20:412–417. 2016. View Article : Google Scholar : PubMed/NCBI

10 

Lühl S, Bode H, Schlötzer W, Bartsakoulia M, Horvath R, Abicht A, Stenzel M, Kirschner J and Grünert SC: Novel homozygous RARS mutation in two siblings without pontocerebellar hypoplasia-further expansion of the phenotypic spectrum. Orphanet J Rare Dis.

11 

Ngoh A, Bras J, Guerreiro R, Meyer E, McTague A, Dawson E, Mankad K, Gunny R, Clayton R, Mills PB, et al: RARS2 mutations in a sibship with infantile spasms. Epilepsia. 57:e97–e102. 2016. View Article : Google Scholar : PubMed/NCBI

12 

Li H and Durbin R: Fast and accurate long-read alignment with Burrows-Wheeler transform. Bioinforma. 26:589–595. 2010. View Article : Google Scholar

13 

McKenna A, Hanna M, Banks E, Sivachenko A, Cibulskis K, Kernytsky A, Garimella K, Altshuler D, Gabriel S, Daly M and DePristo MA: The Genome Analysis Toolkit: A MapReduce framework for analyzing next-generation DNA sequencing data. Genome Res. 20:1297–1303. 2010. View Article : Google Scholar : PubMed/NCBI

14 

Wang K, Li M and Hakonarson H: ANNOVAR: Functional annotation of genetic variants from high-throughput sequencing data. Nucleic Acids Res. 38:e1642010. View Article : Google Scholar : PubMed/NCBI

15 

Lek M, Karczewski KJ, Minikel EV, Samocha KE, Banks E, Fennell T, O'Donnell-Luria AH, Ware JS, Hill AJ, Cummings BB, et al: Analysis of protein-coding genetic variation in 60,706 humans. Nature. 536:285–291. 2016. View Article : Google Scholar : PubMed/NCBI

16 

Richards S, Aziz N, Bale S, Bick D, Das S, Gastier-Foster J, Grody WW, Hegde M, Lyon E, Spector E, et al: Standards and guidelines for the interpretation of sequence variants: A joint consensus recommendation of the American College of Medical Genetics and Genomics and the Association for Molecular Pathology. Genet Med. 17:405–424. 2015. View Article : Google Scholar : PubMed/NCBI

Related Articles

  • Abstract
  • View
  • Download
  • Twitter
Copy and paste a formatted citation
Spandidos Publications style
Zhang J, Zhang Z, Zhang Y and Wu Y: Distinct magnetic resonance imaging features in a patient with novel RARS2 mutations: A case report and review of the literature. Exp Ther Med 15: 1099-1104, 2018.
APA
Zhang, J., Zhang, Z., Zhang, Y., & Wu, Y. (2018). Distinct magnetic resonance imaging features in a patient with novel RARS2 mutations: A case report and review of the literature. Experimental and Therapeutic Medicine, 15, 1099-1104. https://doi.org/10.3892/etm.2017.5491
MLA
Zhang, J., Zhang, Z., Zhang, Y., Wu, Y."Distinct magnetic resonance imaging features in a patient with novel RARS2 mutations: A case report and review of the literature". Experimental and Therapeutic Medicine 15.1 (2018): 1099-1104.
Chicago
Zhang, J., Zhang, Z., Zhang, Y., Wu, Y."Distinct magnetic resonance imaging features in a patient with novel RARS2 mutations: A case report and review of the literature". Experimental and Therapeutic Medicine 15, no. 1 (2018): 1099-1104. https://doi.org/10.3892/etm.2017.5491
Copy and paste a formatted citation
x
Spandidos Publications style
Zhang J, Zhang Z, Zhang Y and Wu Y: Distinct magnetic resonance imaging features in a patient with novel RARS2 mutations: A case report and review of the literature. Exp Ther Med 15: 1099-1104, 2018.
APA
Zhang, J., Zhang, Z., Zhang, Y., & Wu, Y. (2018). Distinct magnetic resonance imaging features in a patient with novel RARS2 mutations: A case report and review of the literature. Experimental and Therapeutic Medicine, 15, 1099-1104. https://doi.org/10.3892/etm.2017.5491
MLA
Zhang, J., Zhang, Z., Zhang, Y., Wu, Y."Distinct magnetic resonance imaging features in a patient with novel RARS2 mutations: A case report and review of the literature". Experimental and Therapeutic Medicine 15.1 (2018): 1099-1104.
Chicago
Zhang, J., Zhang, Z., Zhang, Y., Wu, Y."Distinct magnetic resonance imaging features in a patient with novel RARS2 mutations: A case report and review of the literature". Experimental and Therapeutic Medicine 15, no. 1 (2018): 1099-1104. https://doi.org/10.3892/etm.2017.5491
Follow us
  • Twitter
  • LinkedIn
  • Facebook
About
  • Spandidos Publications
  • Careers
  • Cookie Policy
  • Privacy Policy
How can we help?
  • Help
  • Live Chat
  • Contact
  • Email to our Support Team