Spandidos Publications Logo
  • About
    • About Spandidos
    • Aims and Scopes
    • Abstracting and Indexing
    • Editorial Policies
    • Reprints and Permissions
    • Job Opportunities
    • Terms and Conditions
    • Contact
  • Journals
    • All Journals
    • Oncology Letters
      • Oncology Letters
      • Information for Authors
      • Editorial Policies
      • Editorial Board
      • Aims and Scope
      • Abstracting and Indexing
      • Bibliographic Information
      • Archive
    • International Journal of Oncology
      • International Journal of Oncology
      • Information for Authors
      • Editorial Policies
      • Editorial Board
      • Aims and Scope
      • Abstracting and Indexing
      • Bibliographic Information
      • Archive
    • Molecular and Clinical Oncology
      • Molecular and Clinical Oncology
      • Information for Authors
      • Editorial Policies
      • Editorial Board
      • Aims and Scope
      • Abstracting and Indexing
      • Bibliographic Information
      • Archive
    • Experimental and Therapeutic Medicine
      • Experimental and Therapeutic Medicine
      • Information for Authors
      • Editorial Policies
      • Editorial Board
      • Aims and Scope
      • Abstracting and Indexing
      • Bibliographic Information
      • Archive
    • International Journal of Molecular Medicine
      • International Journal of Molecular Medicine
      • Information for Authors
      • Editorial Policies
      • Editorial Board
      • Aims and Scope
      • Abstracting and Indexing
      • Bibliographic Information
      • Archive
    • Biomedical Reports
      • Biomedical Reports
      • Information for Authors
      • Editorial Policies
      • Editorial Board
      • Aims and Scope
      • Abstracting and Indexing
      • Bibliographic Information
      • Archive
    • Oncology Reports
      • Oncology Reports
      • Information for Authors
      • Editorial Policies
      • Editorial Board
      • Aims and Scope
      • Abstracting and Indexing
      • Bibliographic Information
      • Archive
    • Molecular Medicine Reports
      • Molecular Medicine Reports
      • Information for Authors
      • Editorial Policies
      • Editorial Board
      • Aims and Scope
      • Abstracting and Indexing
      • Bibliographic Information
      • Archive
    • World Academy of Sciences Journal
      • World Academy of Sciences Journal
      • Information for Authors
      • Editorial Policies
      • Editorial Board
      • Aims and Scope
      • Abstracting and Indexing
      • Bibliographic Information
      • Archive
    • International Journal of Functional Nutrition
      • International Journal of Functional Nutrition
      • Information for Authors
      • Editorial Policies
      • Editorial Board
      • Aims and Scope
      • Abstracting and Indexing
      • Bibliographic Information
      • Archive
    • International Journal of Epigenetics
      • International Journal of Epigenetics
      • Information for Authors
      • Editorial Policies
      • Editorial Board
      • Aims and Scope
      • Abstracting and Indexing
      • Bibliographic Information
      • Archive
    • Medicine International
      • Medicine International
      • Information for Authors
      • Editorial Policies
      • Editorial Board
      • Aims and Scope
      • Abstracting and Indexing
      • Bibliographic Information
      • Archive
  • Articles
  • Information
    • Information for Authors
    • Information for Reviewers
    • Information for Librarians
    • Information for Advertisers
    • Conferences
  • Language Editing
Spandidos Publications Logo
  • About
    • About Spandidos
    • Aims and Scopes
    • Abstracting and Indexing
    • Editorial Policies
    • Reprints and Permissions
    • Job Opportunities
    • Terms and Conditions
    • Contact
  • Journals
    • All Journals
    • Biomedical Reports
      • Information for Authors
      • Editorial Policies
      • Editorial Board
      • Aims and Scope
      • Abstracting and Indexing
      • Bibliographic Information
      • Archive
    • Experimental and Therapeutic Medicine
      • Information for Authors
      • Editorial Policies
      • Editorial Board
      • Aims and Scope
      • Abstracting and Indexing
      • Bibliographic Information
      • Archive
    • International Journal of Epigenetics
      • Information for Authors
      • Editorial Policies
      • Editorial Board
      • Aims and Scope
      • Abstracting and Indexing
      • Bibliographic Information
      • Archive
    • International Journal of Functional Nutrition
      • Information for Authors
      • Editorial Policies
      • Editorial Board
      • Aims and Scope
      • Abstracting and Indexing
      • Bibliographic Information
      • Archive
    • International Journal of Molecular Medicine
      • Information for Authors
      • Editorial Policies
      • Editorial Board
      • Aims and Scope
      • Abstracting and Indexing
      • Bibliographic Information
      • Archive
    • International Journal of Oncology
      • Information for Authors
      • Editorial Policies
      • Editorial Board
      • Aims and Scope
      • Abstracting and Indexing
      • Bibliographic Information
      • Archive
    • Medicine International
      • Information for Authors
      • Editorial Policies
      • Editorial Board
      • Aims and Scope
      • Abstracting and Indexing
      • Bibliographic Information
      • Archive
    • Molecular and Clinical Oncology
      • Information for Authors
      • Editorial Policies
      • Editorial Board
      • Aims and Scope
      • Abstracting and Indexing
      • Bibliographic Information
      • Archive
    • Molecular Medicine Reports
      • Information for Authors
      • Editorial Policies
      • Editorial Board
      • Aims and Scope
      • Abstracting and Indexing
      • Bibliographic Information
      • Archive
    • Oncology Letters
      • Information for Authors
      • Editorial Policies
      • Editorial Board
      • Aims and Scope
      • Abstracting and Indexing
      • Bibliographic Information
      • Archive
    • Oncology Reports
      • Information for Authors
      • Editorial Policies
      • Editorial Board
      • Aims and Scope
      • Abstracting and Indexing
      • Bibliographic Information
      • Archive
    • World Academy of Sciences Journal
      • Information for Authors
      • Editorial Policies
      • Editorial Board
      • Aims and Scope
      • Abstracting and Indexing
      • Bibliographic Information
      • Archive
  • Articles
  • Information
    • For Authors
    • For Reviewers
    • For Librarians
    • For Advertisers
    • Conferences
  • Language Editing
Login Register Submit
  • This site uses cookies
  • You can change your cookie settings at any time by following the instructions in our Cookie Policy. To find out more, you may read our Privacy Policy.

    I agree
Search articles by DOI, keyword, author or affiliation
Search
Advanced Search
presentation
Experimental and Therapeutic Medicine
Join Editorial Board Propose a Special Issue
Print ISSN: 1792-0981 Online ISSN: 1792-1015
Journal Cover
April-2018 Volume 15 Issue 4

Full Size Image

Sign up for eToc alerts
Recommend to Library

Journals

International Journal of Molecular Medicine

International Journal of Molecular Medicine

International Journal of Molecular Medicine is an international journal devoted to molecular mechanisms of human disease.

International Journal of Oncology

International Journal of Oncology

International Journal of Oncology is an international journal devoted to oncology research and cancer treatment.

Molecular Medicine Reports

Molecular Medicine Reports

Covers molecular medicine topics such as pharmacology, pathology, genetics, neuroscience, infectious diseases, molecular cardiology, and molecular surgery.

Oncology Reports

Oncology Reports

Oncology Reports is an international journal devoted to fundamental and applied research in Oncology.

Experimental and Therapeutic Medicine

Experimental and Therapeutic Medicine

Experimental and Therapeutic Medicine is an international journal devoted to laboratory and clinical medicine.

Oncology Letters

Oncology Letters

Oncology Letters is an international journal devoted to Experimental and Clinical Oncology.

Biomedical Reports

Biomedical Reports

Explores a wide range of biological and medical fields, including pharmacology, genetics, microbiology, neuroscience, and molecular cardiology.

Molecular and Clinical Oncology

Molecular and Clinical Oncology

International journal addressing all aspects of oncology research, from tumorigenesis and oncogenes to chemotherapy and metastasis.

World Academy of Sciences Journal

World Academy of Sciences Journal

Multidisciplinary open-access journal spanning biochemistry, genetics, neuroscience, environmental health, and synthetic biology.

International Journal of Functional Nutrition

International Journal of Functional Nutrition

Open-access journal combining biochemistry, pharmacology, immunology, and genetics to advance health through functional nutrition.

International Journal of Epigenetics

International Journal of Epigenetics

Publishes open-access research on using epigenetics to advance understanding and treatment of human disease.

Medicine International

Medicine International

An International Open Access Journal Devoted to General Medicine.

Journal Cover
April-2018 Volume 15 Issue 4

Full Size Image

Sign up for eToc alerts
Recommend to Library

  • Article
  • Citations
    • Cite This Article
    • Download Citation
    • Create Citation Alert
    • Remove Citation Alert
    • Cited By
  • Similar Articles
    • Related Articles (in Spandidos Publications)
    • Similar Articles (Google Scholar)
    • Similar Articles (PubMed)
  • Download PDF
  • Download XML
  • View XML
Article Open Access

A morphological and biochemical evaluation of the effects of quercetin on experimental sciatic nerve damage in rats

  • Authors:
    • Sibel Türedi
    • Esin Yuluğ
    • Ahmet Alver
    • Akın Bodur
    • İmran İnce
  • View Affiliations / Copyright

    Affiliations: Department of Histology and Embryology, Faculty of Medicine, Karadeniz Technical University, Trabzon 61080, Turkey, Department of Medical Biochemistry, Faculty of Medicine, Karadeniz Technical University, Trabzon 61080, Turkey
    Copyright: © Türedi et al. This is an open access article distributed under the terms of Creative Commons Attribution License.
  • Pages: 3215-3224
    |
    Published online on: January 31, 2018
       https://doi.org/10.3892/etm.2018.5824
  • Expand metrics +
Metrics: Total Views: 0 (Spandidos Publications: | PMC Statistics: )
Metrics: Total PDF Downloads: 0 (Spandidos Publications: | PMC Statistics: )
Cited By (CrossRef): 0 citations Loading Articles...

This article is mentioned in:



Abstract

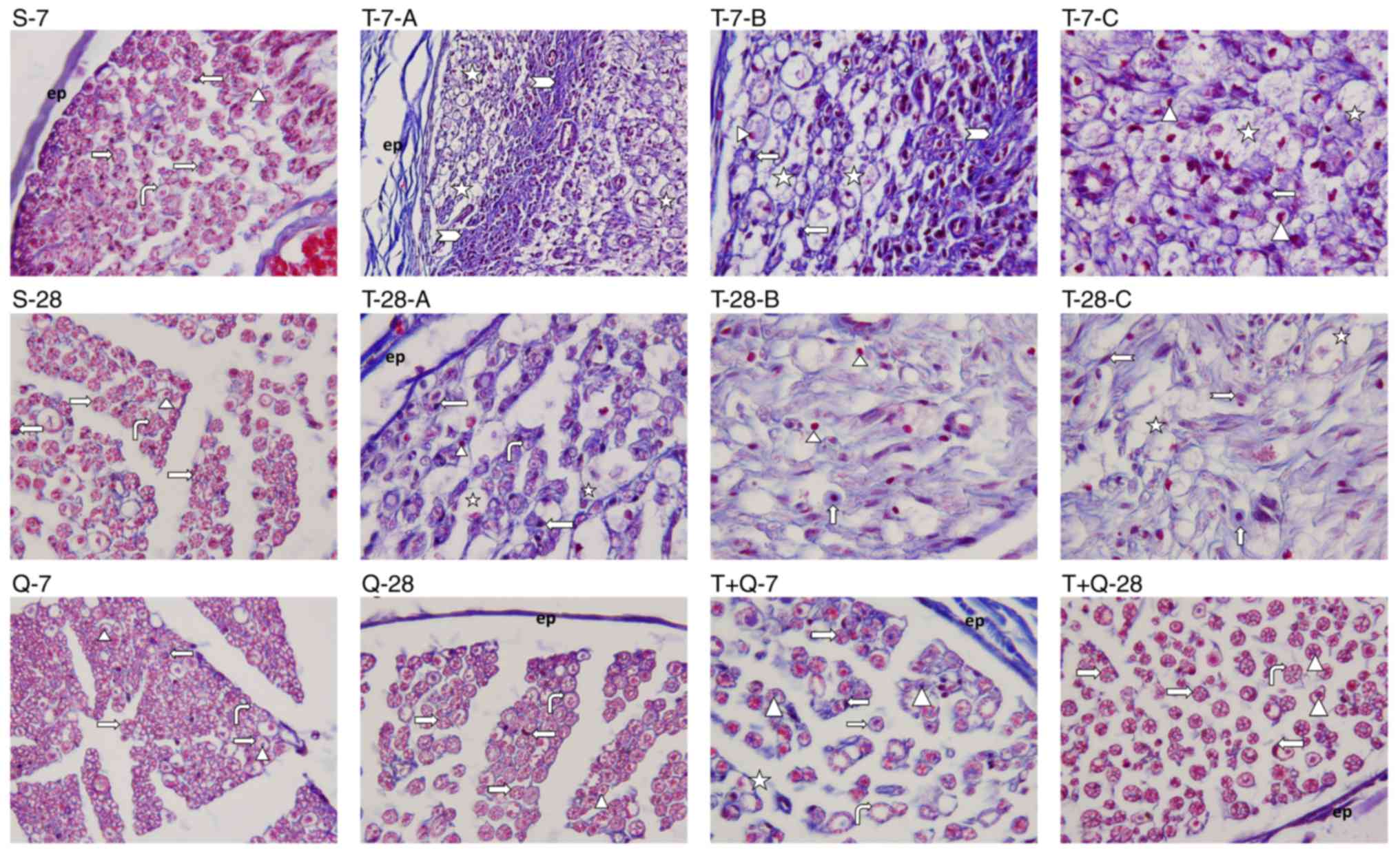
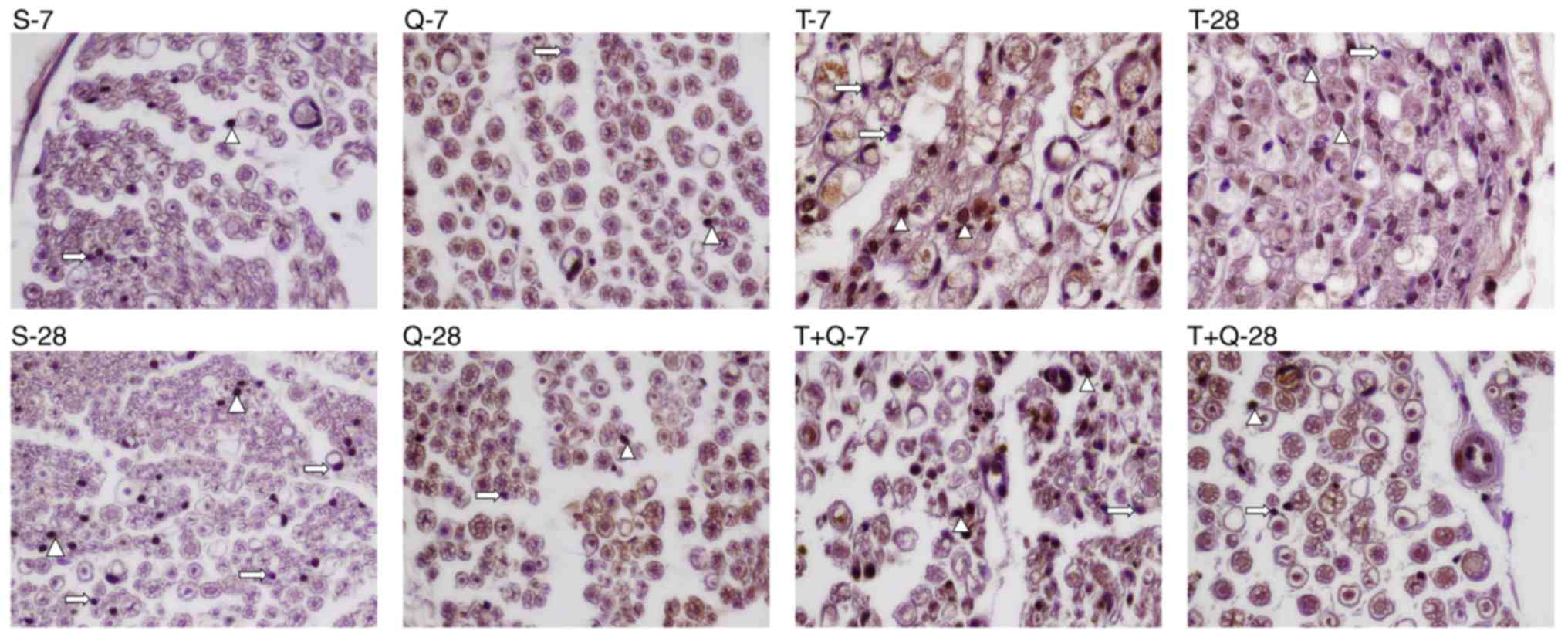
The present study evaluated the neuroprotective and antioxidant effects of quercetin in a rat model of sciatic nerve crush injury using histopathological, morphometric and biochemical methods. A total of 48 male Sprague Dawley rats, aged 10-12 weeks old were randomly divided into eight groups, consisting of two sham groups (S‑7, S‑28), three quercetin‑treated groups (Q‑7, Q‑28; 200 mg/kg/7 days), trauma (T‑7, T‑28; 1 min sciatic nerve crush injury) and three trauma+quercetin groups (T+Q‑7, T+Q‑28; trauma+quercetin 200 mg/kg/7 days). Rats were sacrificed on day 7 or 28. Oxidant‑antioxidant biochemical parameters in nerve tissues from all groups were analyzed using histopathological staining with toluidine blue and Masson's trichrome. DNA fragmentations were identified using terminal deoxynucleotidyl transferase deoxyuridine triphosphate nick‑end labeling in cells from each tissue sample. Degeneration of the axons and myelin sheath, the breakdown of the concentric lamellar structure of the myelin sheath and axonal swelling were observed in groups T‑7 and T‑28. Myelin sheath thicknesses, nerve fiber diameters and the number of myelinated nerve fibers decreased, while the apoptotic index (AI) increased in the T‑7 and T‑28 groups. However, it was observed that nerve regeneration began in the T+Q‑7 and T+Q‑28 groups compared with the sham groups, together with the healing of cellular damage and axonal structure and a decrease in the AI. Malondialdehyde and superoxide dismutase activity did not differ significantly between the T‑7 and S‑7 groups. However, catalase activity significantly decreased in the T‑28 group when compared with the sham 7 day group. Tissue malondialdehyde levels significantly increased, while serum catalase activity increased in the T+Q‑7 group compared with the T‑7 group. These results suggest that quercetin has beneficial effects on nerve regeneration and may shorten the healing period in crush‑type sciatic nerve injuries.
View Figures

Figure 1

Figure 2

Figure 3

View References

1 

Wang W, Li D, Li Q, Wang L, Bai G, Yang T, Li Q, Zhu Z and Sun H: Erythropoietin promotes peripheral nerve regeneration in rats by upregulating expression of insulin-like growth factor-1. Arch Med Sci. 11:433–437. 2015. View Article : Google Scholar : PubMed/NCBI

2 

Yüce S, Cemal Gökçe E, Işkdemir A, Koç ER, Cemil DB, Gökçe A and Sargon MF: An experimental comparison of the effects of propolis, curcumin, and methylprednisolone on crush injuries of the sciatic nerve. Ann Plast Surg. 74:684–692. 2015. View Article : Google Scholar : PubMed/NCBI

3 

Yildirim AE, Dalgic A, Divanlioglu D, Akdag R, Cetinalp NE, Alagoz F, Helvacioglu F, Take G, Guvenc Y, Koksal I and Belen AD: Biochemical and histopathological effects of catechin on experimental peripheral nerve injuries. Turk Neurosurg. 25:453–460. 2015.PubMed/NCBI

4 

Gao Y, Weng C and Wang X: Changes in nerve microcirculation following peripheral nerve compression. Neural Regen Res. 8:1041–1047. 2013.PubMed/NCBI

5 

Roglio I, Bianchi R, Gotti S, Scurati S, Giatti S, Pesaresi M, Caruso D, Panzica GC and Melcangi RC: Neuroprotective effects of dihydroprogesterone and progesterone in an experimental model of nevre crush injury. Neuroscience. 155:673–685. 2008. View Article : Google Scholar : PubMed/NCBI

6 

Beck-Broichsitter BE, Lamia A, Geuna S, Fregnan F, Smeets R, Becker ST and Sinis N: Does pulsed magnetic field therapy influence nerve regeneration in the median nerve model of the rat? Biomed Res Int 2014. 4017602014.

7 

Schmelzer JD, Zochodne DW and Low PA: Ischemic and reperfusion injury of rat peripheral nerve. Proc Natl Acad Sci USA. 86:pp. 1639–1642. 1989; View Article : Google Scholar : PubMed/NCBI

8 

Waseem M and Parvez S: Neuroprotective activities of curcumin and Quercetin with potential relevance to mitochondrial dysfunction induced by oxaliplatin. Protoplasma. 253:417–430. 2016. View Article : Google Scholar : PubMed/NCBI

9 

Arikan S, Ersan I, Karaca T, Kara S, Gencer B, Karaboga I and Hasan Ali T: Quercetin protects the retina by reducing apoptosis due to ischemia-reperfusion injury in a rat model. Arq Bras Oftalmol. 78:100–104. 2015. View Article : Google Scholar : PubMed/NCBI

10 

Yao RQ, Qi DS, Yu HL, Liu J, Yang LH and Wu XX: Quercetin attenuates cell apoptosis in focal cerebral ischemia rat brain via activation of BDNF-TrkB-PI3K/Akt signaling pathway. Neurochem Res. 37:2777–2786. 2012. View Article : Google Scholar : PubMed/NCBI

11 

Sharma DR, Wani WY, Sunkaria A, Kandimalla RJ, Verma D, Cameotra SS and Gill KD: Quercetin protects against chronic aluminum-induced oxidative stress and ensuing biochemical, cholinergic, and neurobehavioral impairments in rats. Neurotox Res. 23:336–357. 2013.PubMed/NCBI

12 

Guide for the Care and Use of Laboratory Animals, . National Research Council (US): Committee for the Update of the Guide for the Care and Use of Laboratory Animals. 8th. National Academies Press (US); Washington, DC: 2011

13 

Ferreira PE, Lopes CR, Alves AM, Alves ÉP, Linden DR, Zanoni JN and Buttow NC: Diabetic neuropathy: An evaluation of the use of quercetin in the cecum of rats. World J Gastroenterol. 19:6416–6426. 2013. View Article : Google Scholar : PubMed/NCBI

14 

Hirata K and Kawabuchi M: Myelin phagocytosis by macrophages and nonmacrophages during wallerian degeneration. Microsc Res Tech. 57:541–547. 2002. View Article : Google Scholar : PubMed/NCBI

15 

Mirajullah M and Shen X: Schwann cells: Leader of nervenkitt. J Ayub Med Coll Abbottabad. 14:30–33. 2002.PubMed/NCBI

16 

Burnett MG and Zager EL: Pathophysiology of peripheral nerve injury: A brief review. Neurosurg Focus. 16:E12004. View Article : Google Scholar : PubMed/NCBI

17 

Di Scipio F, Raimondo S, Tos P and Geuna S: A simple protocol for paraffin-embedded myelin sheath staining with osmium tetroxide for light microscope observation. Microsc Res Tech. 71:497–502. 2008. View Article : Google Scholar : PubMed/NCBI

18 

Yagi K: Lipid peroxides related radicals in clinical medicine free radicals in diagnostic medicine. Adv Exp Med Biol. 366:1–15. 1994. View Article : Google Scholar : PubMed/NCBI

19 

Mihara M and Uchiyama M: Determination of malonaldehyde precursor in tissues by thiobarbituric acid test. Anal Biochem. 86:271–278. 1978. View Article : Google Scholar : PubMed/NCBI

20 

Góth L: A simple method for determination of serum catalase activity and revision of reference range. Clin Chim Acta. 196:143–151. 1991. View Article : Google Scholar : PubMed/NCBI

21 

Sun Y, Oberley LW and Li Y: A simple method for clinical assay of superoxide dismutase. Clin Chem. 34:497–500. 1988.PubMed/NCBI

22 

Ellman GL: Tissue sulphydryl groups. Arch Biochem Biophys. 82:70–77. 1959. View Article : Google Scholar : PubMed/NCBI

23 

Karşıdağ S, Özcan A, Sahin S, Karşidağ S, Kabukçuoğlu F, Uğurlu K and Baş L: Electrophysiologic and histopathologic evaluation of peripheral nerve regeneration at different nerve segments and with different repair techniques. Acta Orthop Traumatol Turc. 42:278–283. 2008.(In Turkish). View Article : Google Scholar : PubMed/NCBI

24 

Tos P, Ronchi G, Papalia I, Sallen V, Legagneux J, Geuna S and Giacobini-Robecchi MG: Chapter 4: Methods and protocols in peripheral nevre regeneration experimental research: Part I-experimental models. Int Rev Neurobiol. 87:47–79. 2009. View Article : Google Scholar : PubMed/NCBI

25 

Vogelaar CF, Vrinten DH, Hoekman MF, Brakkee JH, Burbach JP and Hamers FP: Sciatic nerve regeneration in mice and rats: Recovery of sensory innervation is followed by a slowly retreating neuropathic pain-like syndrome. Brain Res. 1027:67–72. 2004. View Article : Google Scholar : PubMed/NCBI

26 

Glenn TD and Talbot WS: Signals regulating myelination in peripheral nerves and the Schwann cell response to injury. Curr Opin Neurobiol. 23:1041–1048. 2013. View Article : Google Scholar : PubMed/NCBI

27 

Li R, Wu J, Lin Z, Nangle MR, Li Y, Cai P, Liu D, Ye L, Xiao Z, He C, et al: Single injection of a novel nerve growth factor coacervate improves structural and functional regeneration after sciatic nerve injury in adult rats. Exp Neurol. 288:1–10. 2017. View Article : Google Scholar : PubMed/NCBI

28 

Wang Y, Shan Q, Meng Y, Pan J and Yi S: Mrpl10 and Tbp are suitable reference genes for peripheral nerve crush injury. Int J Mol Sci. 18:pii: E2632017. View Article : Google Scholar

29 

Galtrey CM and Fawcett JW: The role of chondroitin sulfate proteoglycans in regeneration and plasticity in the central nervous system. Brain Res Rev. 54:1–18. 2007. View Article : Google Scholar : PubMed/NCBI

30 

Yin ZS, Zhang H, Bo W and Gao W: Erythropoietin promotes functional recovery and enhances nerve regeneration after peripheral nerve injury in rats. AJNR Am J Neuroradiol. 31:509–515. 2010. View Article : Google Scholar : PubMed/NCBI

31 

Gigo-Benato D, Russo TL, Tanaka EH, Assis L, Salvini TF and Parizotto NA: Effects of 660 and 780 nm low-level laser therapy on neuromuscular recovery after crush injury in rat sciatic nerve. Lasers Surg Med. 42:673–682. 2010. View Article : Google Scholar : PubMed/NCBI

32 

Gjurasin M, Miklic P, Zupancic B, Perovic D, Zarkovic K, Brcic L, Kolenc D, Radic B, Seiwerth S and Sikiric P: Peptide therapy with Pentadecapeptide BPC 157 in traumatic nerve injury. Regul Pept. 160:33–41. 2010. View Article : Google Scholar : PubMed/NCBI

33 

Noorafshan A, Omidi A and Karbalay-Doust S: Curcumin protects the dorsal root ganglion and sciatic nerve after crush in rat. Pathol Res Pract. 207:577–582. 2011. View Article : Google Scholar : PubMed/NCBI

34 

Jiang X, Ma J, Wei Q, Feng X, Qiao L, Liu L, Zhang B and Yu W: Effect of frankincense extract on nerve recovery in the rat sciatic nerve damage model. Evid Based Complement Alternat Med. 2016:36172162016. View Article : Google Scholar : PubMed/NCBI

35 

Morani AS and Bodhankar SL: Neuroprotective effect of vitamin E acetate in models of mononeuropathy in rats. Neuroanatomy. 7:33–37. 2008.

36 

Smith D, Tweed C, Fernyhough P and Glazner GW: Nuclear factor-kappaB activation in axons and Schwann cells in experimental sciatic nevre injury and its role in modulating axon regeneration: Studies with etanercept. J Neuropathol Exp Neurol. 68:691–700. 2009. View Article : Google Scholar : PubMed/NCBI

37 

Maeda T, Kiguchi N, Kobayashi Y, Ozaki M and Kishioka S: Pioglitazone attenuates tactile allodynia and thermal hyperalgesia in mice subjected to peripheral nerve injury. J Pharmacol Sci. 108:341–347. 2008. View Article : Google Scholar : PubMed/NCBI

38 

Goraca A, Ciejka E and Piechota A: Effects of extremely low frequency magnetic field on the parameters of oxidative stress in heart. J Physiol Pharmacol. 61:333–338. 2010.PubMed/NCBI

39 

Ragy MM: Effect of exposure and withdrawal of 900-MHz electromagnetic waves on brain, kidney and liver oxidative stress and some biochemical parameters in male rats. Electromagn Biol Med. 34:279–284. 2015. View Article : Google Scholar : PubMed/NCBI

40 

Yurekli AI, Ozkan M, Kalkan T, Saybasili H, Tuncel H, Atukeren P, Gumustas K and Seker S: GSM base station electromagnetic radiation and oxidative stress in rats. Electromagn Biol Med. 25:177–188. 2006. View Article : Google Scholar : PubMed/NCBI

41 

Tkalec M, Stambuk A, Srut M, Malarić K and Klobučar GI: Oxidative and genotoxic effects of 900 MHz electromagnetic fields in the earthworm Eisenia fetida. Ecotoxicol Environ Saf. 90:7–12. 2013. View Article : Google Scholar : PubMed/NCBI

42 

Meral I, Mert H, Mert N, Deger Y, Yoruk I, Yetkin A and Keskin S: Effects of 900-MHz electromagnetic field emitted from cellular phone on brain oxidative stres and some vitamin levels of guinea pigs. Brain Res. 1169:120–124. 2007. View Article : Google Scholar : PubMed/NCBI

43 

Celino FT, Yamaguchi S, Miura C, Ohta T, Tozawa Y, Iwai T and Miura T: Tolerance of spermatogonia to oxidative stress is due to high levels of Zn and Cu/Zn superoxide dismutase. PLoS One. 6:e169382011. View Article : Google Scholar : PubMed/NCBI

44 

Hall ED and Braughler JM: Effects of intravenous methylprednisolone on spinal cord lipid peroxidation and Na+ + K+)-ATPase activity. Dose-response analysis during 1st hour after contusion injury in the cat. J Neurosurg. 57:247–253. 1982. View Article : Google Scholar : PubMed/NCBI

45 

Lanza C, Raimondo S, Vergani L, Catena N, Sénès F, Tos P and Geuna S: Expression of antioxidant molecules after peripheral nerve injury and regeneration. J Neurosci Res. 90:842–848. 2012. View Article : Google Scholar : PubMed/NCBI

46 

Ozturk O, Tezcan AH, Adali Y, Yıldırım CH, Aksoy O, Yagmurdur H and Bilge A: Effect of ozone and methylprednisolone treatment following crush type sciatic nerve injury. Acta Cir Bras. 31:730–735. 2016. View Article : Google Scholar : PubMed/NCBI

47 

Gutteridge JM: Lipid peroxidation and antioxidants as biomarkers of tissue damage. Clin Chem. 41:1819–1828. 1995.PubMed/NCBI

48 

Galloway EB III, Jensen RL, Dailey AT, Thompson BG and Shelton C: Role of topical steroids in reducing dysfunction after nevre injury. Laryngoscope. 110:1907–1910. 2000. View Article : Google Scholar : PubMed/NCBI

49 

Lee M, Doolabh VB, Mackinnon SE and Jost S: FK506 promotes functional recovery in crushed rat sciatic nerve. Muscle Nerve. 23:633–640. 2000. View Article : Google Scholar : PubMed/NCBI

50 

Halliwell B and Gutteridge JM: Role of free radicals and catalytic metal ions in human disease: An overview. Methods Enzymol. 186:1–85. 1990. View Article : Google Scholar : PubMed/NCBI

51 

da Silva EL, Piskula MK, Yamamoto N, Moon JH and Terao J: Quecetin metabolites inhibit copper ion-induced lipid peroxidation in rat plasma. FEBS Lett. 430:405–408. 1998. View Article : Google Scholar : PubMed/NCBI

52 

Elik M, Serdaroğlu G and Özkan R: Mİrisetin ve kuersetin bileşiklerinin antioksidan etkinliklerinin dft yöntemiyle incelenmesi. CÜ Fen Bil Dergisi. 28:53–65. 2007.

53 

Heo HJ and Lee CY: Protective effects of quercetin and vitamin C against oxidative stress-induced neurodegeneration. J Agric Food Chem. 52:7514–7517. 2004. View Article : Google Scholar : PubMed/NCBI

54 

Chen MM, Qin J, Chen SJ, Yao LM, Zhang LY, Yin ZQ and Liao H: Quercetin promotes motor and sensory function recovery following sciatic nerve-crush injury in C57BL/6J mice. J Nutr Biochem. 46:57–67. 2017. View Article : Google Scholar : PubMed/NCBI

55 

Hu QH, Wang C, Li JM, Zhang DM and Kong LD: Allopurinol, rutin, and Quercetin attenuate hyperuricemia and renal dysfunction in rats ınduced by fructose ıntake: Renal organicion transporter ınvolvement. AM J Physiol Renal Physiol. 297:F1080–F1091. 2009. View Article : Google Scholar : PubMed/NCBI

56 

Raju TA, Lakshmi AN, Anand T, Rao LV and Sharma G: Protective effects of Quercetin during ınfluenza virus-ınduced oxidative stres. Asia Pac J Clin Nutr. 9:314–317. 2000. View Article : Google Scholar : PubMed/NCBI

57 

Pawlikowska-Pawlega B, Gruszecki WI, Misiak LE and Gawron A: The study of the quercetin action on human erythrocyte membranes. Biochem Pharmacol. 66:605–612. 2003. View Article : Google Scholar : PubMed/NCBI

58 

Sugantha Priya E, Selvakumar K, Bavithra S, Elumalai P, Arunkumar R, Raja Singh P, Brindha Mercy A and Arunakaran J: Anti-cancer activity of quercetin in neuroblastoma: An in vitro approach. Neurol Sci. 35:163–170. 2014. View Article : Google Scholar : PubMed/NCBI

59 

Gholami M, Khayat ZK, Anbari K, Obidavi Z, Varzi A, Boroujeni MB, Alipour M, Niapoor A and Gharravi AM: Quercetin ameliorates peripheral nerve ischemia-reperfusion injury through the NF-kappa B pathway. Anat Sci Int. 92:330–337. 2017. View Article : Google Scholar : PubMed/NCBI

60 

Yu J, Zhang Y, Sun S, Shen J, Qiu J, Yin X, Yin H and Jiang S: Inhibitory effects of astragaloside IV on diabetic peripheral neuropathy in rats. Can J Physiol Pharmacol. 84:579–587. 2006. View Article : Google Scholar : PubMed/NCBI

61 

Cheng CY, Yao CH, Liu BS, Liu CJ, Chen GW and Chen YS: The role of astragaloside in regeneration of the peripheral nerve system. J Biomed Mater Res A. 76:463–469. 2006. View Article : Google Scholar : PubMed/NCBI

62 

Zhang X and Chen J: The mechanism of astragaloside IV promoting sciatic nerve regeneration. Neural Regen Res. 8:2256–2265. 2013.PubMed/NCBI

63 

Tohda C, Tamura T, Matsuyama S and Komatsu K: Promotion of axonal maturation and prevention of memory loss in mice by extracts of Astragalus mongholicus. Br J Pharmacol. 149:532–541. 2006. View Article : Google Scholar : PubMed/NCBI

64 

Pilotte N, Papaiakovou M, Grant JR, Bierwert LA, Llewellyn S, McCarthy JS and Williams SA: Improved PCR-based detection of soil transmitted helminth infections using a next-generation sequencing approach to assay design. PLoS Negl Trop Dis. 10:e00045782016. View Article : Google Scholar : PubMed/NCBI

65 

Klasan GS, Ivanac D, Erzen DJ, Picard A, Takasawa S, Peharec S, Arbanas J, Girotto D and Jerkovic R: Reg3G gene expression in regenerating skeletal muscle and corresponding nerve. Muscle Nerve. 49:61–68. 2014. View Article : Google Scholar : PubMed/NCBI

66 

Al-Jumaily M, Kozlenkov A, Mechaly I, Fichard A, Matha V, Scamps F, Valmier J and Carroll P: Expression of three distinct families of calcium-activated chloride channel genes in the mouse dorsal root ganglion. Neurosci Bull. 23:293–299. 2007. View Article : Google Scholar : PubMed/NCBI

Related Articles

  • Abstract
  • View
  • Download
  • Twitter
Copy and paste a formatted citation
Spandidos Publications style
Türedi S, Yuluğ E, Alver A, Bodur A and İnce İ: A morphological and biochemical evaluation of the effects of quercetin on experimental sciatic nerve damage in rats. Exp Ther Med 15: 3215-3224, 2018.
APA
Türedi, S., Yuluğ, E., Alver, A., Bodur, A., & İnce, İ. (2018). A morphological and biochemical evaluation of the effects of quercetin on experimental sciatic nerve damage in rats. Experimental and Therapeutic Medicine, 15, 3215-3224. https://doi.org/10.3892/etm.2018.5824
MLA
Türedi, S., Yuluğ, E., Alver, A., Bodur, A., İnce, İ."A morphological and biochemical evaluation of the effects of quercetin on experimental sciatic nerve damage in rats". Experimental and Therapeutic Medicine 15.4 (2018): 3215-3224.
Chicago
Türedi, S., Yuluğ, E., Alver, A., Bodur, A., İnce, İ."A morphological and biochemical evaluation of the effects of quercetin on experimental sciatic nerve damage in rats". Experimental and Therapeutic Medicine 15, no. 4 (2018): 3215-3224. https://doi.org/10.3892/etm.2018.5824
Copy and paste a formatted citation
x
Spandidos Publications style
Türedi S, Yuluğ E, Alver A, Bodur A and İnce İ: A morphological and biochemical evaluation of the effects of quercetin on experimental sciatic nerve damage in rats. Exp Ther Med 15: 3215-3224, 2018.
APA
Türedi, S., Yuluğ, E., Alver, A., Bodur, A., & İnce, İ. (2018). A morphological and biochemical evaluation of the effects of quercetin on experimental sciatic nerve damage in rats. Experimental and Therapeutic Medicine, 15, 3215-3224. https://doi.org/10.3892/etm.2018.5824
MLA
Türedi, S., Yuluğ, E., Alver, A., Bodur, A., İnce, İ."A morphological and biochemical evaluation of the effects of quercetin on experimental sciatic nerve damage in rats". Experimental and Therapeutic Medicine 15.4 (2018): 3215-3224.
Chicago
Türedi, S., Yuluğ, E., Alver, A., Bodur, A., İnce, İ."A morphological and biochemical evaluation of the effects of quercetin on experimental sciatic nerve damage in rats". Experimental and Therapeutic Medicine 15, no. 4 (2018): 3215-3224. https://doi.org/10.3892/etm.2018.5824
Follow us
  • Twitter
  • LinkedIn
  • Facebook
About
  • Spandidos Publications
  • Careers
  • Cookie Policy
  • Privacy Policy
How can we help?
  • Help
  • Live Chat
  • Contact
  • Email to our Support Team