Spandidos Publications Logo
  • About
    • About Spandidos
    • Aims and Scopes
    • Abstracting and Indexing
    • Editorial Policies
    • Reprints and Permissions
    • Job Opportunities
    • Terms and Conditions
    • Contact
  • Journals
    • All Journals
    • Oncology Letters
      • Oncology Letters
      • Information for Authors
      • Editorial Policies
      • Editorial Board
      • Aims and Scope
      • Abstracting and Indexing
      • Bibliographic Information
      • Archive
    • International Journal of Oncology
      • International Journal of Oncology
      • Information for Authors
      • Editorial Policies
      • Editorial Board
      • Aims and Scope
      • Abstracting and Indexing
      • Bibliographic Information
      • Archive
    • Molecular and Clinical Oncology
      • Molecular and Clinical Oncology
      • Information for Authors
      • Editorial Policies
      • Editorial Board
      • Aims and Scope
      • Abstracting and Indexing
      • Bibliographic Information
      • Archive
    • Experimental and Therapeutic Medicine
      • Experimental and Therapeutic Medicine
      • Information for Authors
      • Editorial Policies
      • Editorial Board
      • Aims and Scope
      • Abstracting and Indexing
      • Bibliographic Information
      • Archive
    • International Journal of Molecular Medicine
      • International Journal of Molecular Medicine
      • Information for Authors
      • Editorial Policies
      • Editorial Board
      • Aims and Scope
      • Abstracting and Indexing
      • Bibliographic Information
      • Archive
    • Biomedical Reports
      • Biomedical Reports
      • Information for Authors
      • Editorial Policies
      • Editorial Board
      • Aims and Scope
      • Abstracting and Indexing
      • Bibliographic Information
      • Archive
    • Oncology Reports
      • Oncology Reports
      • Information for Authors
      • Editorial Policies
      • Editorial Board
      • Aims and Scope
      • Abstracting and Indexing
      • Bibliographic Information
      • Archive
    • Molecular Medicine Reports
      • Molecular Medicine Reports
      • Information for Authors
      • Editorial Policies
      • Editorial Board
      • Aims and Scope
      • Abstracting and Indexing
      • Bibliographic Information
      • Archive
    • World Academy of Sciences Journal
      • World Academy of Sciences Journal
      • Information for Authors
      • Editorial Policies
      • Editorial Board
      • Aims and Scope
      • Abstracting and Indexing
      • Bibliographic Information
      • Archive
    • International Journal of Functional Nutrition
      • International Journal of Functional Nutrition
      • Information for Authors
      • Editorial Policies
      • Editorial Board
      • Aims and Scope
      • Abstracting and Indexing
      • Bibliographic Information
      • Archive
    • International Journal of Epigenetics
      • International Journal of Epigenetics
      • Information for Authors
      • Editorial Policies
      • Editorial Board
      • Aims and Scope
      • Abstracting and Indexing
      • Bibliographic Information
      • Archive
    • Medicine International
      • Medicine International
      • Information for Authors
      • Editorial Policies
      • Editorial Board
      • Aims and Scope
      • Abstracting and Indexing
      • Bibliographic Information
      • Archive
  • Articles
  • Information
    • Information for Authors
    • Information for Reviewers
    • Information for Librarians
    • Information for Advertisers
    • Conferences
  • Language Editing
Spandidos Publications Logo
  • About
    • About Spandidos
    • Aims and Scopes
    • Abstracting and Indexing
    • Editorial Policies
    • Reprints and Permissions
    • Job Opportunities
    • Terms and Conditions
    • Contact
  • Journals
    • All Journals
    • Biomedical Reports
      • Information for Authors
      • Editorial Policies
      • Editorial Board
      • Aims and Scope
      • Abstracting and Indexing
      • Bibliographic Information
      • Archive
    • Experimental and Therapeutic Medicine
      • Information for Authors
      • Editorial Policies
      • Editorial Board
      • Aims and Scope
      • Abstracting and Indexing
      • Bibliographic Information
      • Archive
    • International Journal of Epigenetics
      • Information for Authors
      • Editorial Policies
      • Editorial Board
      • Aims and Scope
      • Abstracting and Indexing
      • Bibliographic Information
      • Archive
    • International Journal of Functional Nutrition
      • Information for Authors
      • Editorial Policies
      • Editorial Board
      • Aims and Scope
      • Abstracting and Indexing
      • Bibliographic Information
      • Archive
    • International Journal of Molecular Medicine
      • Information for Authors
      • Editorial Policies
      • Editorial Board
      • Aims and Scope
      • Abstracting and Indexing
      • Bibliographic Information
      • Archive
    • International Journal of Oncology
      • Information for Authors
      • Editorial Policies
      • Editorial Board
      • Aims and Scope
      • Abstracting and Indexing
      • Bibliographic Information
      • Archive
    • Medicine International
      • Information for Authors
      • Editorial Policies
      • Editorial Board
      • Aims and Scope
      • Abstracting and Indexing
      • Bibliographic Information
      • Archive
    • Molecular and Clinical Oncology
      • Information for Authors
      • Editorial Policies
      • Editorial Board
      • Aims and Scope
      • Abstracting and Indexing
      • Bibliographic Information
      • Archive
    • Molecular Medicine Reports
      • Information for Authors
      • Editorial Policies
      • Editorial Board
      • Aims and Scope
      • Abstracting and Indexing
      • Bibliographic Information
      • Archive
    • Oncology Letters
      • Information for Authors
      • Editorial Policies
      • Editorial Board
      • Aims and Scope
      • Abstracting and Indexing
      • Bibliographic Information
      • Archive
    • Oncology Reports
      • Information for Authors
      • Editorial Policies
      • Editorial Board
      • Aims and Scope
      • Abstracting and Indexing
      • Bibliographic Information
      • Archive
    • World Academy of Sciences Journal
      • Information for Authors
      • Editorial Policies
      • Editorial Board
      • Aims and Scope
      • Abstracting and Indexing
      • Bibliographic Information
      • Archive
  • Articles
  • Information
    • For Authors
    • For Reviewers
    • For Librarians
    • For Advertisers
    • Conferences
  • Language Editing
Login Register Submit
  • This site uses cookies
  • You can change your cookie settings at any time by following the instructions in our Cookie Policy. To find out more, you may read our Privacy Policy.

    I agree
Search articles by DOI, keyword, author or affiliation
Search
Advanced Search
presentation
Experimental and Therapeutic Medicine
Join Editorial Board Propose a Special Issue
Print ISSN: 1792-0981 Online ISSN: 1792-1015
Journal Cover
April-2018 Volume 15 Issue 4

Full Size Image

Sign up for eToc alerts
Recommend to Library

Journals

International Journal of Molecular Medicine

International Journal of Molecular Medicine

International Journal of Molecular Medicine is an international journal devoted to molecular mechanisms of human disease.

International Journal of Oncology

International Journal of Oncology

International Journal of Oncology is an international journal devoted to oncology research and cancer treatment.

Molecular Medicine Reports

Molecular Medicine Reports

Covers molecular medicine topics such as pharmacology, pathology, genetics, neuroscience, infectious diseases, molecular cardiology, and molecular surgery.

Oncology Reports

Oncology Reports

Oncology Reports is an international journal devoted to fundamental and applied research in Oncology.

Experimental and Therapeutic Medicine

Experimental and Therapeutic Medicine

Experimental and Therapeutic Medicine is an international journal devoted to laboratory and clinical medicine.

Oncology Letters

Oncology Letters

Oncology Letters is an international journal devoted to Experimental and Clinical Oncology.

Biomedical Reports

Biomedical Reports

Explores a wide range of biological and medical fields, including pharmacology, genetics, microbiology, neuroscience, and molecular cardiology.

Molecular and Clinical Oncology

Molecular and Clinical Oncology

International journal addressing all aspects of oncology research, from tumorigenesis and oncogenes to chemotherapy and metastasis.

World Academy of Sciences Journal

World Academy of Sciences Journal

Multidisciplinary open-access journal spanning biochemistry, genetics, neuroscience, environmental health, and synthetic biology.

International Journal of Functional Nutrition

International Journal of Functional Nutrition

Open-access journal combining biochemistry, pharmacology, immunology, and genetics to advance health through functional nutrition.

International Journal of Epigenetics

International Journal of Epigenetics

Publishes open-access research on using epigenetics to advance understanding and treatment of human disease.

Medicine International

Medicine International

An International Open Access Journal Devoted to General Medicine.

Journal Cover
April-2018 Volume 15 Issue 4

Full Size Image

Sign up for eToc alerts
Recommend to Library

  • Article
  • Citations
    • Cite This Article
    • Download Citation
    • Create Citation Alert
    • Remove Citation Alert
    • Cited By
  • Similar Articles
    • Related Articles (in Spandidos Publications)
    • Similar Articles (Google Scholar)
    • Similar Articles (PubMed)
  • Download PDF
  • Download XML
  • View XML
Article Open Access

Decreased expression of sirtuin 3 protein correlates with early stage chronic renal allograft dysfunction in a rat kidney model

  • Authors:
    • Qin Zhou
    • Daoyuan Lv
    • Yue Xia
    • Zhihong Zhao
    • Hequn Zou
  • View Affiliations / Copyright

    Affiliations: Department of Nephrology, Institute of Nephrology and Urology, The Third Affiliated Hospital of Southern Medical University, Guangzhou, Guangdong 510630, P.R. China
    Copyright: © Zhou et al. This is an open access article distributed under the terms of Creative Commons Attribution License.
  • Pages: 3725-3732
    |
    Published online on: February 28, 2018
       https://doi.org/10.3892/etm.2018.5909
  • Expand metrics +
Metrics: Total Views: 0 (Spandidos Publications: | PMC Statistics: )
Metrics: Total PDF Downloads: 0 (Spandidos Publications: | PMC Statistics: )
Cited By (CrossRef): 0 citations Loading Articles...

This article is mentioned in:



Abstract

Chronic renal allograft dysfunction (CRAD) is the primary factor affecting the long‑term survival of patients who have undergone renal transplantation. Oxidative stress and inflammation serve an important role in the pathological damage caused by CRAD in the early post‑transplantation phase. Previous studies have demonstrated that sirtuin 3 (sirt3) protects cells from oxidative stress and inflammation. A model of renal orthotopic transplantation was established in the current study and kidney samples were harvested from the rats 12 weeks following surgery. Compared with the control groups, there were significantly increased levels of serum creatinine, blood urea nitrogen and 24 h urinary protein in the allograft group (P<0.05). Pathological examinations indicated mononuclear cell infiltration and intimal proliferation in the allograft group, which had a higher Banff score compared with the control groups. There were increased levels of malondialdehyde, decreased sirt3 protein expression and decreased superoxide dismutase enzyme activity in the allograft group compared with the control groups (P<0.05). In addition, there was a negative correlation between the expression of sirt3 and 24 h urinary protein excretion, serum creatinine levels, tubulointerstitial mononuclear cell infiltration, smooth muscle cell migration in the vascular wall and Banff scores. Thus, sirt3 may serve an important protective role in the early stage of CRAD.

Introduction

Kidney transplantation is a method of treating patients with end stage renal disease. The development of immunosuppressive treatments and improvements in transplant surgery have led to a decrease in acute rejection of transplanted kidneys in the early stage following kidney transplantation, and the 1-year survival rate is now ~90% (1). However, maintaining long-term allograft function remains challenging and the 10-year survival rate is only 68% in living donor kidney allograft recipients (1). It has been demonstrated that chronic renal allograft dysfunction (CRAD) is the primary factor affecting the long-term survival of patients receiving renal allografts. Early pathological changes in CRAD include inflammatory cell infiltration into tubulointerstitial spaces, and smooth muscle cell (SMC) proliferation and migration (2). Immune and non-immune factors contribute to the pathogenesis of CRAD, including renal ischemia-reperfusion (I/R) injury, which inevitably occurs following kidney transplantation and may cause graft dysfunction. This determines the short- and long-term outcomes of transplant recipients (3). Oxidative stress serves a role in the pathophysiology of renal injury in I/R. During reperfusion, cellular metabolism increases rapidly, resulting in the increased generation of reactive oxygen species (ROS), cytokines and chemokines, which promote inflammatory cell infiltration and lead to tissue damage and graft dysfunction (4).

Sirtuin 3 (sirt3) is involved in the regulation of antioxidant pathways. Sirt3 is a member of the sirtuin protein family and is a nicotinamide adenine dinucleotide (NAD+) dependent protein deacetylase. It is highly expressed in well-oxygenated tissues, including the brain, muscles, heart, kidneys and adipose tissue (5). Sirt3 is primarily localized in the mitochondrial matrix, and its overexpression increases the oxidative capacity of mitochondria and causes a concurrent decrease in ROS levels (6). Increased expression of sirt3 protein inhibits the nuclear factor-κB (NF-κB) dependent transcriptional activity of inflammatory genes, reduces malondialdehyde (MDA) levels and increases superoxide dismutase (SOD) activity. Subsequently, overexpression of SIRT3 increases the oxidative capacity of mitochondria and produces a parallel decrease in ROS levels (7). This may be the mechanism by which sirt3 exerts antioxidant and anti-inflammatory effects in proximal tubular cells (7). However, the role of sirt3 in CRAD remains unknown. Thus, the current study investigated the expression and role of sirt3 in the early stage of CRAD in a standardized rat model.

Materials and methods

Animals

A total of 60 naive inbred male Fischer (F344) (n=30) and Lewis (Lew) rats (n=30) weighing 150–220 g, aged 8–12-week-old were purchased from Charles River Laboratories, Inc. (Beijing, China). The rats were kept in a specific pathogen free laboratory at the Animal Experimental Center of the Southern Medical University (Guangzhou, China). The rats were fed a standard rat chow diet, had free access to water, were housed under standard conditions with a controlled temperature (24±2°C), humidity (40–60%) and a 12-h light/dark cycle. The rats were acclimatized for 1 week prior to the experiment. The current study was approved by the Committee on the Ethics of Animal Experiments of the Southern Medical University (permission no. 00119486) and was performed in accordance with the Guide for the Care and Use of Laboratory Animals published by the United States National Institutes of Health (8).

Study design

Kidneys from Fischer (F344) rats were orthotopically transplanted into Lewis (LEW) rats. The Fischer-Lewis model has become the most intensively studied and widely accepted animal model of chronic renal allograft rejection because of its similarity to the progress of events following human renal transplantation, thus the Fischer-Lewis model was established in the present study (9). Rats were split into three groups as follows: i) A Lew control group consisting of uninephrectomized male Lew rats (n=10); ii) a F344 control group consisting of uninephrectomized male F344 rats (n=10); and iii) an allograft group consisting of Lew rats receiving transplants (n=10).

Uninephrectomy surgery

Surgery was performed under general anesthesia with 3% sodium pentobarbital (30 mg/kg; Hangzhou Zhongmei Huadong Pharmaceutical Co., Ltd., Hangzhou, China) on the F344 rats and the LEW rats. A half-inch incision was made on the left flank portion of abdomen and the kidney was pulled out of the abdomen by holding the perirenal fat at the lower pole with blunt forceps, which separated the kidney from the surrounding fat and supra renal gland. Furthermore, ligation of the renal artery and vein and ureter ~0.5 cm below the level of hilum with a non-absorbable surgical suturing thread was performed and the kidney was snap resected. The uninephrectomized rats received ceftriaxone via i.p. injection for 3 days.

Kidney transplantation

A total of 15 male Fischer (F344) weighing 150–220 g, aged 8–12-week-old were used for this procedure. A surgical ASX-2 microscope was purchased from Shanghai Anxin Optical Instrument Manufacture Co., Ltd. (Shanghai, China). Orthotopic kidney transplantation was performed as previously described (9). Surgery was performed under general anesthesia with 3% sodium pentobarbital (30 mg/kg) administered via intraperitoneal (i.p.) injection. The left kidney from the recipient Lew rat was removed and the left renal vessels were clamped. The left donor kidney from a F344 rat was then removed, cooled and positioned orthotopically in the recipient Lew rat. The renal arteries, veins and ureters of the donor and recipient were then anastomosed end-to-end with 10-0 prolene (Ningbo Lingqiao Biological Technology, Ningbo, China). No ureteral stents were used. A low dose of cyclosporine A (1.5 mg/kg/day; Novartis International AG, Basel, Switzerland) was administered for 10 days following transplantation to suppress acute rejection. To prevent infection, recipients received ceftriaxone (Rocephin; 20 mg/kg/day) via i.p. injection for 3 days. The right native kidney of each recipient was removed 10 days following surgery. Rats exhibiting overt signs of unsuccessful surgeries were excluded from the current study. Subsequently there were 10 rats per group following exclusion.

Tissue harvesting

All rats were anesthetized with i.p. injection of 60 mg/kg sodium pentobarbital and subjected to cardiac exsanguination 12 weeks following surgery. Kidneys were harvested from rats in all groups. However, only kidneys with no visible grafting complications, including pyelonephritis or hydronephrosis, were selected for subsequent experimentation. The kidney of each rat was cut into two sections: One section was stored at −80°C in liquid nitrogen for western blot analysis. Rat serum samples (from 2 ml blood) were used for the evaluation of blood urea nitrogen, as well as creatinine with an automatic biochemical analyzer (AU5400; Olympus, Tokyo, Japan). Urine protein excretion was measured via an enzymatic kinetic method using commercial kits purchased from Nanjing Jiancheng Biological Engineering Research Institute (Nanjing, China) and 1 ml 24-h urine samples that were taken prior to sacrifice. The second part of the kidney was fixed in 4% formalin for the histopathological examination and immunohistochemistry.

Renal histopathology

Kidney tissues were fixed in 4% paraformaldehyde at room temperature for 24 h and embedded in paraffin. Paraffin sections with a thickness of ~2 µm were stained with hematoxylin and eosin or periodic acid-Schiff (PAS) at room temperature for 30 min to assess the extent of renal pathological changes and sections were observed with a light microscope. There were ≥100 glomeruli counted in each kidney section. Using the Banff 07 Classification (10), interstitial cellular infiltration, tubulopathy/interstitial fibrosis, glomerulopathy and arterial intimal fibroplasia were scored on a scale from 0 to 3+, and the sum of these scores (range, 0–12+) was calculated for each sample.

Immunohistochemistry

Immunohistochemistry was used to detect the expression of sirt3 protein in the renal allograft tissue. Antigens were retrieved using the citric acid buffer (pH 6.0) microwave antigen retrieval method and detected via PV-9001 staining (Golden Bridge Biotechnology Co., Beijing, China). Tissues were boiled for 15 min at a temperature ranging 95–100°C and staining with PV-9001 was performed at room temperature for 60 min. The paraffin sections 4 µm thick were hydrated in an alcohol gradient (75, 85, 95, and 100% at 37°C for 3 min per concentration) and 3% hydrogen peroxide was used to block the endogenous peroxidase. Sections were then incubated with rabbit polyclonal anti-sirt3 antibodies (cat. no. 2627, 1:100; Cell Signaling Technology, Inc., Danvers, MA, USA) overnight at 4°C. Sections were washed with PBS, incubated with the goat anti-rabbit secondary antibody (cat. no. PV-9001, diluted 1:100; Golden Bridge Biotechnology Co., Ltd., Beijing, China) for 20 min at room temperature and washed a further three times with PBS. Sections were then incubated in a 3,3′-diaminobenzidine chromogen solution (OriGene Technologies, Inc., Rockville, MD, USA) and re-stained with hematoxylin at 37°C for 1 min. The intensity of positive staining for sirt3 was quantified using Image-Pro Plus software version 7.0.1.658, Media Cybernetics, Inc. (Rockville, MD, USA).

Western blot analysis

Kidney tissues stored in the −80°C freezer were homogenized on ice in a lysis buffer consisting of 0.1 mol/l Tris buffer (pH 7.4), 0.1 mmol/l EDTA, 1 mmol/l dithiothreitol, 1 mmol/l phenylmethylsulfonyl fluoride, a protease inhibitor cocktail (Roche Applied Science, Madison, WI, USA) and a protein phosphatase inhibitor. The protein concentrations of the samples were measured using a BCA Protein assay kit (Beyotime Institute of Biotechnology, Shanghai, China). Protein samples (50 µg/lane) were loaded on to a 10% SDS gel and SDS PAGE was performed. Subsequently, samples were transferred to PVDF membranes (EMD Millipore, Billerica, MA, USA), which were then blocked with 5% bovine serum albumin (cat. no. B2064; Sigma-Aldrich; Merck KGaA) in TBST for 1 h at 4°C. The membranes were then washed three times with TBST and incubated with anti-sirt3 antibodies (cat. no. 2627, 1:2,000; Cell Signaling Technology, Inc., Danvers, MA, USA) overnight at 4°C. Membranes were washed and then incubated with a goat anti-rabbit IgG, horseradish peroxidase conjugate secondary antibody (cat. no. CW0156S, 1:5,000; CWBiotech, Beijing, China) for 1 h at room temperature. The target bands were observed using the SuperSignal West Pico enhanced chemiluminescent substrate (Pierce; Thermo Fisher Scientific, Inc., Waltham, MA, USA). All analyses were repeated in triplicate. Protein band intensities were quantified using Image J software (version 1.46, National Institutes of Health, Bethesda, MD, USA).

Measurement of SOD activity and MDA levels

The SOD and MDA levels in the renal tissues were assessed using commercial Total Superoxide Dismutase and Malondialdehyde assay kits. (Nanjing Jiancheng Bioengineering Institute, Nanjing, China) according to the manufacturer's protocol. SOD activity was detected using a xanthine oxidase-based technique and MDA content was assayed using the thiobarbituric acid method.

Statistical analysis

Statistical analyses were performed using SPSS 19.0 for Windows (IBM Corp., Armonk, NY, USA). Data are presented as the mean ± standard error of the mean (SE). A one-way analysis of variance followed by the LSD test was used to determine the significance of differences in multiple-group comparisons. Spearman's rank correlation analysis was used to assess the association between different factors in the groups. P<0.05 was determined to indicate statistically significant difference.

Results

Renal functional changes

Orthotopic kidney transplantation in rats had been successfully established (Fig. 1) The levels of serum creatinine, blood urea nitrogen and 24 h urinary protein excretion were significantly increased in the allograft group compared with the F344 and Lew rat controls (P<0.05; Table I).

Figure 1.

Perfusion of a renal orthotopic transplantation in a rat. (A) Perfusion prior to transplantation. (B) Perfusion following transplantation.

Table I.

Comparison of renal function indexes and histopathological evaluations among the allograft group and the F344 and Lewis control groups.

Table I.

Comparison of renal function indexes and histopathological evaluations among the allograft group and the F344 and Lewis control groups.

GroupnSerum creatinine (µmol/l)Blood urea nitrogen (mmol/l)24 h urine protein excretion (mg/day)Quantity of infiltrated interstitial mononuclear cellsQuantity of SMCs in the vascular wallInterstitial fibrosisSummed Banff score
F344 controls1049.33±2.947.65±0.639.21±6.137.99±6.715.52±1.900.07±0.011.42±0.73
Lewis controls1046.50±6.447.35±0.8611.16±3.248.67±5.505.70±1.830.06±0.031.12±0.41
Allograft rats10 57.00±4.23a 10.49±0.42a 28.53±50.48a 34.52±7.94a 15.65±2.50a0.09±0.03 4.64±1.94a

a P<0.05 vs. F344 or Lewis control group. F344, Fischer rats; SMC, smooth muscle cell.

Histological changes

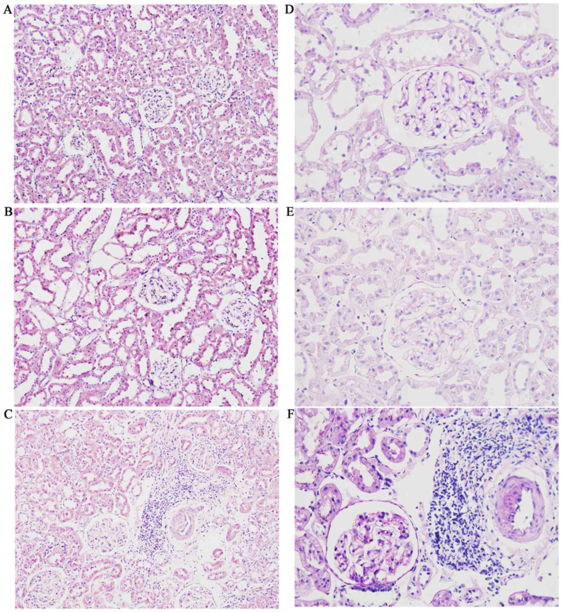
Kidney sections from the F344 and Lew control groups did not exhibit marked histological changes or SMC migration. However, kidney sections from the allograft group exhibited interstitial mononuclear cell infiltration, intimal proliferation and SMC migration (Fig. 2). The Banff scores of the allograft group were significantly higher compared with those of the two control groups (P<0.05; Table I). Early pathology change of CRAD was indicated by infiltration of mononuclear cells during tubulointerstitial inflammation and the proliferation and migration of smooth muscular cells (SMCs). The late change was observed by sclerosis of renal blood vessel and tubulointerstitial fibrosis. These findings suggested that after 12 weeks, kidney sections from the allograft group exhibited interstitial mononuclear cell infiltration. The difference in interstitial fibrosis among groups was not significant, indicating that a rat kidney transplantation model at the early stage of CRAD was successfully established.

Figure 2.

H&E staining and PAS staining of renal tissue from the allograft and F344 and Lew control groups. (A) H&E staining of renal tissue from the F344 control group. (B) H&E staining of renal tissue from the Lew control group. (C) H&E staining of renal tissue from the allograft group. Magnification, ×200. (D) PAS staining of renal tissue from the F344 control group. (E) PAS staining of renal tissue from the Lew control group. (F) PAS staining of renal tissue from the allograft group. Magnification, ×400. H&E, hematoxylin and eosin; PAS, periodic acid-Schiff; Lew, lewis rats; F344, Fischer rats.

SOD and MDA levels in renal tissues

SOD activity was decreased while the levels of MDA were increased in the renal tissues in the allograft group compared with the F344 and Lew controls (P<0.05; Table II). These results suggest that oxidative stress was present in the kidneys at the early stage of CRAD in the model established in the current study.

Table II.

Comparisons of SOD and MDA activity in renal tissue among the allograft group and the F344 and Lewis control groups.

Table II.

Comparisons of SOD and MDA activity in renal tissue among the allograft group and the F344 and Lewis control groups.

GroupnSOD (U/mg)MDA (ng/mg)
F344 controls1080.74±5.221.06±0.13
Lewis controls1077.54±3.301.29±0.19
Allograft rats10 61.15±2.74a 4.13±1.81a

a P<0.05 vs. control groups. SOD, superoxide dismutase; MDA, malondialdehyde; F344, Fischer rats.

Sirt3 expression

Immunohistochemical analysis demonstrated that sirt3 was strongly expressed in the cytoplasm of tubular epithelia cells and the renal arterioles of the kidneys from control rats. However, the expression of sirt3 was significantly decreased in the kidneys from the allograft group (P<0.05; Fig. 3). Western blotting also demonstrated that the expression of sirt3 was significantly decreased in the allograft group compared with the F344 and Lew controls (P<0.05; Fig. 4).

Figure 3.

Immunohistochemistry indicating the expression of sirt3 in rat renal tissue. (A) Sirt3 expression in the F344 control group. (B) Sirt3 expression in the Lew control group. (C) Sirt3 expression in the allograft group. Magnification, ×400. (D) Semi-quantitative analysis of immunohistochemical staining. Data are expressed as the mean ± standard error of the mean (n=10 per group). *P<0.05 vs. control groups. Sirt3, sirtuin 3; F344, Fischer rats; Lew, lewis rats; ctrls, controls.

Figure 4.

Expression of sirt3 detected by western blotting. (A) Representative western blot images presenting the expression of sirt3 protein in the allograft and F344 and Lew control groups. (B) Quantitative analysis of western blotting. Data are expressed as the mean ± standard error of the mean. Experiments were conducted in triplicate. *P<0.05 vs. control groups. Sirt3, sirtuin 3; F344, Fischer rats; Lew, lewis rats; ctrls, controls.

Correlation analysis

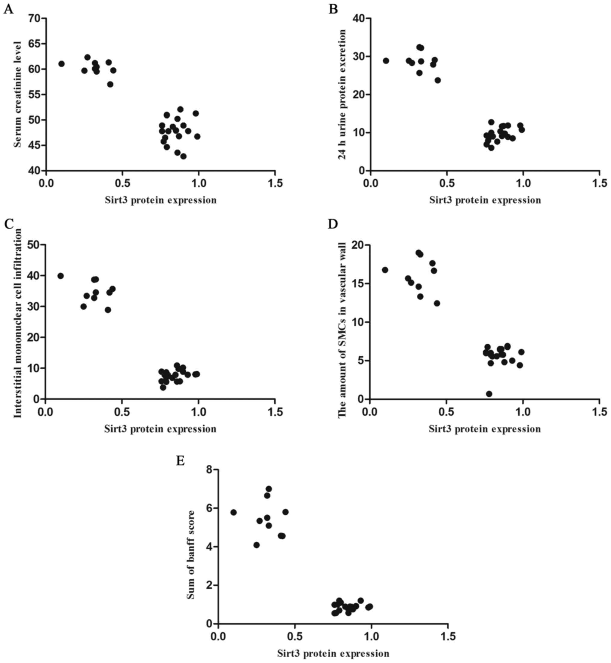
Spearman's rank correlation analysis identified that there were negative correlations between the expression of sirt3 and serum creatinine levels (r=−0.656; P<0.05; Fig. 5A), 24 h urinary protein excretion (r=−0.925; P=0.002; Fig. 5B), tubulointerstitial mononuclear cell infiltration (r=−0.564; P<0.05; Fig. 5C), the number of SMCs in the vascular wall (r=−0.669; P<0.05; Fig. 5D) and the sum of BANFF scores in allografts (r=−0.637, P<0.05; Fig. 5E).

Figure 5.

Correlational analysis of sirt3 expression and renal function indexes. (A) Sirt3 expression and serum creatinine level. (B) Sirt3 expression and 24 h urine protein excretion. (C) Sirt3 expression and tubulointerstitial mononuclear cell infiltration. (D) Sirt3 expression and the number of SMCs in the vascular wall. (E) Sirt3 expression and the sum of Banff scores. Sirt3, sirtuin 3; SMCs, smooth muscle cells.

Discussion

The current study determined the relevance of the expression of sirt3 in the pathogenesis of CRAD in a rat model. Sirt3 expression was significantly decreased in rats with CRAD at week 12. The present study demonstrated that the early changes in the pathology of rats with CRAD were tubulointerstitial mononuclear cell infiltration and SMC proliferation and migration. The decreased expression of sirt3 was correlated with the pathological hallmarks of CRAD, including urinary protein excretion, serum creatinine levels, tubulointerstitial mononuclear cell infiltration and SMC migration in the vascular wall. These results suggest that sirt3 may serve a role as an endogenous protective factor in the early stage of CRAD.

CRAD is the primary factor affecting the long-term survival of patients receiving renal allografts (1). Transplanted kidneys are prone to oxidative stress-mediated injury caused by I/R, which generates large amounts of ROS (11). Reperfusion injury and reactive oxygen compounds serve an important role in the pathophysiology of acute allograft rejection and kidney function in the early post-transplantation phase but also affect long-term kidney function (11). Levels of oxidative stress are increased in patients who have undergone transplantation, suggesting that supplementary antioxidants may be beneficial. However, the molecular mechanisms of oxidative stress in CRAD remain unclear and further studies are required.

Oxidative stress promotes inflammation by activating NF-κB, which may then aggravate oxidative stress-mediated injury. Oxidative stress and inflammation cause endothelial injury and arteriosclerosis, which are histopathological characteristics of CRAD (12). MDA is the product of lipid peroxidation inside cells and may be used as a marker to detect the level of oxidative stress occurring in an organism (13). SOD is an enzyme that removes free radicals, leading to a reduction in the production of lipid peroxides, thereby protecting cells and tissue (14). The current study investigated oxidative stress in the early stage of CRAD by establishing a rat model of the condition 12 weeks post-transplantation. SOD levels were significantly decreased while the levels of MDA were significantly increased in the renal tissues of rats in the allograft group compared with F344 and Lew control rats (P<0.05). These results are consistent with those of previous studies, which demonstrated that the levels of products from oxidizing proteins, including MDA, carbonylated proteins and 8-hydroxy-2′-deoxyguanosine are increased and glutathione levels are decreased 1 year following transplantation. These changes are also associated with atherosclerosis and high levels of serum creatinine (15,16). It has also been demonstrated that ROS are important pro-fibrogenic cytokines in chronic allograft nephropathy and oxidative stress is increased in the presence of interstitial fibrosis and tubular atrophy, which generally precede chronic allograft failure (17). A previous study conducted on 40 patients who had received kidney transplants demonstrated that increased MDA levels 1 day following kidney transplantation may be an early prognostic indicator of delayed graft function and increased levels on day 7 may be a useful predictor of 1-year graft function (11). Increased levels of MDA reflecting lipid peroxidation have been detected in rat models of chronic allograft tubular atrophy/interstitial fibrosis (18). In the current study, an increase in MDA levels and a decrease in SOD activity were detected in the renal tissues of rats in the allograft group, indicating that transplantation caused oxidative damage in the transplanted kidneys of rats in the early stage of CRAD. This is consistent with the results of the aforementioned previous studies.

To the best of our knowledge, there have been no previous studies focusing on the role served by sirt3 in the early stage of CRAD in rat models. Sirt3 is a human NAD+-dependent protein deacetylase in humans that belongs to the sirtuin family, which contains 7 proteins identified in mammals (sirt1, sirt2, sirt3, sirt4, sirt5, sirt6, sirt7) (19). Sirt3 localizes primarily in the mitochondria, regulating respiratory chain function, the tricarboxylic acid (TCA) cycle and fatty acid β oxidation. It also exhibits antioxidant activity (20). The ability of sirt3 to protect cells from oxidative damage has been demonstrated previously, supporting the idea that sirt3 serves an important role in regulating ROS homeostasis (21). Sirt3 also reduces cellular ROS levels via a mechanism dependent on the activation of superoxide dismutase 2, peroxiredoxins 3 and 5, glutathione peroxidases and the TCA cycle enzyme isocitrate dehydrogenase 2 (22,23). Sirt3 is highly expressed in renal tissues (24,25) and the sirt3 protein has been widely studied in relation to kidney disease. In a murine model of cisplatin-induced acute kidney injury, it was demonstrated that increased oxidative stress and mitochondrial damage were associated with reduced levels of sirt3. Following treatment with the antioxidant agent acetyl-l-carnitine, which enhanced the expression and activity of sirt3, renal function was improved and the extent of tubular injuries were decreased in mice (5). The overexpression of sirt3 inhibits the NF-κB signaling pathways, decreases the phosphorylation of ERK1/2 and p38, decreases the expression of inflammatory cytokines and reduces ROS levels in an experimental model of free fatty acid-mediated tubulointerstitial inflammation. This may be the molecular mechanism by which sirt3 induces antioxidant and anti-inflammatory effects (25). The results from an in vitro experiment demonstrated that increasing the expression of sirt3 may inhibit the mesangial hypertrophy induced by high glucose levels, primarily by adenosine monophosphate-activated protein kinase-mammalian target of rapamycin signaling pathways (26). The current study demonstrated that the expression of sirt3 was increased in the cytoplasm of tubular epithelia cells and in the renal arterioles of rats in the F344 and Lew control groups, whereas the expression of sirt3 was decreased in the allograft group. The mean optical density values for sirt3 in the allograft group were lower than those of the F344 and Lew control groups (P<0.05). Western blotting also indicated a decrease in the expression of sirt3 protein in the allograft group (P<0.05). There was a negative correlation between the expression of sirt3 and mononuclear cell infiltration and SMC migration in the vascular wall, indicating that decreased expression of sirt3 protein serves a significant role at the early development stage of CRAD pathogenesis. The signaling mechanisms related to oxidative stress in rat models of CRAD and the role of sirt3 in transplanted kidneys remain unclear. Sirt3 has antioxidant and anti-inflammatory effects and the results of the current study suggest that the sirt3 related signaling pathway may serve an important role in mediating the important early effects of CRAD, including mononuclear cell infiltration and vascular SMC proliferation and migration.

The current study has some limitations. The experimental grouping design is based on our previous study as follows: The allograft group consisted of Lew rats orthotopically transplanted with kidneys from F344 rats and the control groups consisted of uninephrectomized male Lew and F334 rats (9,27,28). However, the current study lacked a Lew-Lew syngeneic transplant model in which the Lew rat received a kidney from another Lew rat. To ensure the reliability of results, a Lew-Lew syngeneic transplant model should be used as a control in future studies. In addition, the pathological changes and renal function following the up-or down-regulation of sirt3 expression were not investigated due to limits of the experimental conditions. Further studies are required to investigate the pathogenic mechanisms that lead to changes in the expression of sirt3 in renal tissue during chronic allograft dysfunction.

In conclusion, to the best of our knowledge, this is the first study measuring sirt3 expression in a rat kidney transplantation model at the early stage of CRAD. The results indicate that sirt3 may be involved in pathogenic processes at the early stage of CRAD. Thus, increasing the expression of sirt3 at the early stage may be a novel therapeutic approach for attenuating the development of CRAD.

Acknowledgements

The present study was supported by the National Natural Science Foundation of China (grant no. 81270840).

Competing interests

The authors declare that they have no competing interests.

References

1 

Safinia N, Afzali B, Atalar K, Lombardi G and Lechler RI: T-cell alloimmunity and chronic allograft dysfunction. Kidney Int Suppl. S2–S12. 2010. View Article : Google Scholar : PubMed/NCBI

2 

Racusen LC and Regele H: The pathology of chronic allograft dysfunction. Kidney Int Suppl. S27–S32. 2010. View Article : Google Scholar : PubMed/NCBI

3 

Rintala JM, Savikko J, Palin N, Rintala SE, Koskinen PK and von Willebrand E: Oral Platelet-derived growth factor and vascular endothelial growth factor inhibitor sunitinib prevents chronic allograft injury in experimental kidney transplantation model. Transplantation. 100:103–110. 2016. View Article : Google Scholar : PubMed/NCBI

4 

Favreau F, Thuillier R, Cau J, Milin S, Manguy E, Mauco G, Zhu X, Lerman LO and Hauet T: Anti-thrombin therapy during warm ischemia and cold preservation prevents chronic kidney graft fibrosis in a DCD model. Am J Transplant. 10:30–39. 2010. View Article : Google Scholar : PubMed/NCBI

5 

Shi T, Wang F, Stieren E and Tong Q: SIRT3, a mitochondrial sirtuin deacetylase, regulates mitochondrial function and thermogenesis in brown adipocytes. J Biol Chem. 280:13560–13567. 2005. View Article : Google Scholar : PubMed/NCBI

6 

Giralt A and Villarroya F: SIRT3, a pivotal actor in mitochondrial functions: Metabolism, cell death and aging. Biochem J. 444:1–10. 2012. View Article : Google Scholar : PubMed/NCBI

7 

Koyama T, Kume S, Koya D, Araki S, Isshiki K, Chin-Kanasaki M, Sugimoto T, Haneda M, Sugaya T, Kashiwagi A, et al: SIRT3 attenuates palmitate-induced ROS production and inflammation in proximal tubular cells. Free Radical Bio Med. 51:1258–1267. 2011. View Article : Google Scholar

8 

National Research Council. Guide for the Care and Use of Laboratory Animals. 8th. The National Academies Press; Washington, DC: 2011

9 

Song E, Zou H, Yao Y, Proudfoot A, Antus B, Liu S, Jens L and Heemann U: Early application of Met-RANTES ameliorates chronic allograft nephropathy. Kidney Int. 61:676–685. 2002. View Article : Google Scholar : PubMed/NCBI

10 

Solez K, Colvin RB, Racusen LC, Haas M, Sis B, Mengel M, Halloran PF, Baldwin W, Banfi G, Collins AB, et al: Banff 07 classification of renal allograft pathology: Updates and future directions. Am J Transplant. 8:753–760. 2008. View Article : Google Scholar : PubMed/NCBI

11 

Fonseca I, Reguengo H, Almeida M, Dias L, Martins LS, Pedroso S, Santos J, Lobato L, Henriques AC and Mendonça D: Oxidative stress in kidney transplantation: Malondialdehyde is an early predictive marker of graft dysfunction. Transplantation. 97:1058–1065. 2014. View Article : Google Scholar : PubMed/NCBI

12 

Reinders ME, Rabelink TJ and Briscoe DM: Angiogenesis and endothelial cell repair in renal disease and allograft rejection. J Am Soc Nephrol. 17:932–942. 2006. View Article : Google Scholar : PubMed/NCBI

13 

Giera M, Lingeman H and Niessen WM: Recent advancements in the LC- and GC-based analysis of malondialdehyde (MDA): A brief overview. Chromatographia. 75:433–440. 2012. View Article : Google Scholar : PubMed/NCBI

14 

Quarrie R, Lee DS, Reyes L, Erdahl W, Pfeiffer DR, Zweier JL and Crestanello JA: Mitochondrial uncoupling does not decrease reactive oxygen species production after ischemia-reperfusion. Am J Physiol Heart Circ Physiol. 307:H996–H1004. 2014. View Article : Google Scholar : PubMed/NCBI

15 

Papazova DA, Friederich-Persson M, Joles JA and Verhaar MC: Renal transplantation induces mitochondrial uncoupling, increased kidney oxygen consumption, and decreased kidney oxygen tension. Am J Physiol Renal Physiol. 308:F22–F28. 2015. View Article : Google Scholar : PubMed/NCBI

16 

Yildiz A, Gul CB, Ocak N, Ersoy A, Sag S, Oruc A, Ayar Y, Dagel T, Dirican M and Gullulu M: Fluvastatin decreases oxidative stress in kidney transplant patients. Transplant Proc. 47:2870–2874. 2015. View Article : Google Scholar : PubMed/NCBI

17 

Zahmatkesh M, Kadkhodaee M, Mahdavi-Mazdeh M, Ghaznavi R, Hemati M, Seifi B, Golab F, Hasani K, Lessan-Pezeshki M and Einollahi B: Oxidative stress status in renal transplant recipients. Exp Clin Transplant. 8:38–44. 2010.PubMed/NCBI

18 

Ding R, Chen X, Wu D, Wei R, Hong Q, Shi S, Yin Z, Ma L and Xie Y: Effects of aging on kidney graft function, oxidative stress and gene expression after kidney transplantation. PLoS One. 8:e656132013. View Article : Google Scholar : PubMed/NCBI

19 

Rahman M, Nirala NK, Singh A, Zhu LJ, Taguchi K, Bamba T, Fukusaki E, Shaw LM, Lambright DG, Acharya JK and Acharya UR: Drosophila Sirt2/mammalian SIRT3 deacetylates ATP synthase β and regulates complex V activity. J Cell Biol. 206:289–305. 2014. View Article : Google Scholar : PubMed/NCBI

20 

Ahn BH, Kim HS, Song S, Lee IH, Liu J, Vassilopoulos A, Deng CX and Finkel T: A role for the mitochondrial deacetylase Sirt3 in regulating energy homeostasis. Proc Natl Acad Sci USA. 105:14447–14452. 2008. View Article : Google Scholar : PubMed/NCBI

21 

Bause AS and Haigis MC: SIRT3 regulation of mitochondrial oxidative stress. Exp Gerontol. 48:634–639. 2013. View Article : Google Scholar : PubMed/NCBI

22 

Qiu X, Brown K, Hirschey MD, Verdin E and Chen D: Calorie restriction reduces oxidative stress by SIRT3-mediated SOD2 activation. Cell Metab. 12:662–667. 2010. View Article : Google Scholar : PubMed/NCBI

23 

Finley LW and Haigis MC: Metabolic regulation by SIRT3: Implications for tumorigenesis. Trends Mol Med. 18:516–523. 2012. View Article : Google Scholar : PubMed/NCBI

24 

Sack MN and Finkel T: Mitochondrial metabolism, sirtuins, and aging. Cold Spring Harb Perspect Biol. 4:pii:a0131022012. View Article : Google Scholar

25 

Morigi M, Perico L, Rota C, Longaretti L, Conti S, Rottoli D, Novelli R, Remuzzi G and Benigni A: Sirtuin 3-dependent mitochondrial dynamic improvements protect against acute kidney injury. J Clin Invest. 125:715–726. 2015. View Article : Google Scholar : PubMed/NCBI

26 

Zhuo L, Fu B, Bai X, Zhang B, Wu L, Cui J, Cui S, Wei R, Chen X and Cai G: NAD blocks high glucose induced mesangial hypertrophy via activation of the sirtuins-AMPK-mTOR pathway. Cell Physiol Biochem. 27:681–690. 2011. View Article : Google Scholar : PubMed/NCBI

27 

Han C, Zou H, Li Q, Wang Y, Shi Y, Lv T, Chen L and Zhou W: Expression of the integrin-linked kinase in a rat kidney model of chronic allograft nephropathy. Cell Biochem Biophys. 61:73–81. 2011. View Article : Google Scholar : PubMed/NCBI

28 

Gu D, Shi Y, Ding Y, Liu X and Zou H: Dramatic early event in chronic allograft nephropathy: Increased but not decreased expression of MMP-9 gene. Diagn Pathol. 8:132013. View Article : Google Scholar : PubMed/NCBI

Related Articles

  • Abstract
  • View
  • Download
  • Twitter
Copy and paste a formatted citation
Spandidos Publications style
Zhou Q, Lv D, Xia Y, Zhao Z and Zou H: Decreased expression of sirtuin 3 protein correlates with early stage chronic renal allograft dysfunction in a rat kidney model. Exp Ther Med 15: 3725-3732, 2018.
APA
Zhou, Q., Lv, D., Xia, Y., Zhao, Z., & Zou, H. (2018). Decreased expression of sirtuin 3 protein correlates with early stage chronic renal allograft dysfunction in a rat kidney model. Experimental and Therapeutic Medicine, 15, 3725-3732. https://doi.org/10.3892/etm.2018.5909
MLA
Zhou, Q., Lv, D., Xia, Y., Zhao, Z., Zou, H."Decreased expression of sirtuin 3 protein correlates with early stage chronic renal allograft dysfunction in a rat kidney model". Experimental and Therapeutic Medicine 15.4 (2018): 3725-3732.
Chicago
Zhou, Q., Lv, D., Xia, Y., Zhao, Z., Zou, H."Decreased expression of sirtuin 3 protein correlates with early stage chronic renal allograft dysfunction in a rat kidney model". Experimental and Therapeutic Medicine 15, no. 4 (2018): 3725-3732. https://doi.org/10.3892/etm.2018.5909
Copy and paste a formatted citation
x
Spandidos Publications style
Zhou Q, Lv D, Xia Y, Zhao Z and Zou H: Decreased expression of sirtuin 3 protein correlates with early stage chronic renal allograft dysfunction in a rat kidney model. Exp Ther Med 15: 3725-3732, 2018.
APA
Zhou, Q., Lv, D., Xia, Y., Zhao, Z., & Zou, H. (2018). Decreased expression of sirtuin 3 protein correlates with early stage chronic renal allograft dysfunction in a rat kidney model. Experimental and Therapeutic Medicine, 15, 3725-3732. https://doi.org/10.3892/etm.2018.5909
MLA
Zhou, Q., Lv, D., Xia, Y., Zhao, Z., Zou, H."Decreased expression of sirtuin 3 protein correlates with early stage chronic renal allograft dysfunction in a rat kidney model". Experimental and Therapeutic Medicine 15.4 (2018): 3725-3732.
Chicago
Zhou, Q., Lv, D., Xia, Y., Zhao, Z., Zou, H."Decreased expression of sirtuin 3 protein correlates with early stage chronic renal allograft dysfunction in a rat kidney model". Experimental and Therapeutic Medicine 15, no. 4 (2018): 3725-3732. https://doi.org/10.3892/etm.2018.5909
Follow us
  • Twitter
  • LinkedIn
  • Facebook
About
  • Spandidos Publications
  • Careers
  • Cookie Policy
  • Privacy Policy
How can we help?
  • Help
  • Live Chat
  • Contact
  • Email to our Support Team