Spandidos Publications Logo
  • About
    • About Spandidos
    • Aims and Scopes
    • Abstracting and Indexing
    • Editorial Policies
    • Reprints and Permissions
    • Job Opportunities
    • Terms and Conditions
    • Contact
  • Journals
    • All Journals
    • Oncology Letters
      • Oncology Letters
      • Information for Authors
      • Editorial Policies
      • Editorial Board
      • Aims and Scope
      • Abstracting and Indexing
      • Bibliographic Information
      • Archive
    • International Journal of Oncology
      • International Journal of Oncology
      • Information for Authors
      • Editorial Policies
      • Editorial Board
      • Aims and Scope
      • Abstracting and Indexing
      • Bibliographic Information
      • Archive
    • Molecular and Clinical Oncology
      • Molecular and Clinical Oncology
      • Information for Authors
      • Editorial Policies
      • Editorial Board
      • Aims and Scope
      • Abstracting and Indexing
      • Bibliographic Information
      • Archive
    • Experimental and Therapeutic Medicine
      • Experimental and Therapeutic Medicine
      • Information for Authors
      • Editorial Policies
      • Editorial Board
      • Aims and Scope
      • Abstracting and Indexing
      • Bibliographic Information
      • Archive
    • International Journal of Molecular Medicine
      • International Journal of Molecular Medicine
      • Information for Authors
      • Editorial Policies
      • Editorial Board
      • Aims and Scope
      • Abstracting and Indexing
      • Bibliographic Information
      • Archive
    • Biomedical Reports
      • Biomedical Reports
      • Information for Authors
      • Editorial Policies
      • Editorial Board
      • Aims and Scope
      • Abstracting and Indexing
      • Bibliographic Information
      • Archive
    • Oncology Reports
      • Oncology Reports
      • Information for Authors
      • Editorial Policies
      • Editorial Board
      • Aims and Scope
      • Abstracting and Indexing
      • Bibliographic Information
      • Archive
    • Molecular Medicine Reports
      • Molecular Medicine Reports
      • Information for Authors
      • Editorial Policies
      • Editorial Board
      • Aims and Scope
      • Abstracting and Indexing
      • Bibliographic Information
      • Archive
    • World Academy of Sciences Journal
      • World Academy of Sciences Journal
      • Information for Authors
      • Editorial Policies
      • Editorial Board
      • Aims and Scope
      • Abstracting and Indexing
      • Bibliographic Information
      • Archive
    • International Journal of Functional Nutrition
      • International Journal of Functional Nutrition
      • Information for Authors
      • Editorial Policies
      • Editorial Board
      • Aims and Scope
      • Abstracting and Indexing
      • Bibliographic Information
      • Archive
    • International Journal of Epigenetics
      • International Journal of Epigenetics
      • Information for Authors
      • Editorial Policies
      • Editorial Board
      • Aims and Scope
      • Abstracting and Indexing
      • Bibliographic Information
      • Archive
    • Medicine International
      • Medicine International
      • Information for Authors
      • Editorial Policies
      • Editorial Board
      • Aims and Scope
      • Abstracting and Indexing
      • Bibliographic Information
      • Archive
  • Articles
  • Information
    • Information for Authors
    • Information for Reviewers
    • Information for Librarians
    • Information for Advertisers
    • Conferences
  • Language Editing
Spandidos Publications Logo
  • About
    • About Spandidos
    • Aims and Scopes
    • Abstracting and Indexing
    • Editorial Policies
    • Reprints and Permissions
    • Job Opportunities
    • Terms and Conditions
    • Contact
  • Journals
    • All Journals
    • Biomedical Reports
      • Information for Authors
      • Editorial Policies
      • Editorial Board
      • Aims and Scope
      • Abstracting and Indexing
      • Bibliographic Information
      • Archive
    • Experimental and Therapeutic Medicine
      • Information for Authors
      • Editorial Policies
      • Editorial Board
      • Aims and Scope
      • Abstracting and Indexing
      • Bibliographic Information
      • Archive
    • International Journal of Epigenetics
      • Information for Authors
      • Editorial Policies
      • Editorial Board
      • Aims and Scope
      • Abstracting and Indexing
      • Bibliographic Information
      • Archive
    • International Journal of Functional Nutrition
      • Information for Authors
      • Editorial Policies
      • Editorial Board
      • Aims and Scope
      • Abstracting and Indexing
      • Bibliographic Information
      • Archive
    • International Journal of Molecular Medicine
      • Information for Authors
      • Editorial Policies
      • Editorial Board
      • Aims and Scope
      • Abstracting and Indexing
      • Bibliographic Information
      • Archive
    • International Journal of Oncology
      • Information for Authors
      • Editorial Policies
      • Editorial Board
      • Aims and Scope
      • Abstracting and Indexing
      • Bibliographic Information
      • Archive
    • Medicine International
      • Information for Authors
      • Editorial Policies
      • Editorial Board
      • Aims and Scope
      • Abstracting and Indexing
      • Bibliographic Information
      • Archive
    • Molecular and Clinical Oncology
      • Information for Authors
      • Editorial Policies
      • Editorial Board
      • Aims and Scope
      • Abstracting and Indexing
      • Bibliographic Information
      • Archive
    • Molecular Medicine Reports
      • Information for Authors
      • Editorial Policies
      • Editorial Board
      • Aims and Scope
      • Abstracting and Indexing
      • Bibliographic Information
      • Archive
    • Oncology Letters
      • Information for Authors
      • Editorial Policies
      • Editorial Board
      • Aims and Scope
      • Abstracting and Indexing
      • Bibliographic Information
      • Archive
    • Oncology Reports
      • Information for Authors
      • Editorial Policies
      • Editorial Board
      • Aims and Scope
      • Abstracting and Indexing
      • Bibliographic Information
      • Archive
    • World Academy of Sciences Journal
      • Information for Authors
      • Editorial Policies
      • Editorial Board
      • Aims and Scope
      • Abstracting and Indexing
      • Bibliographic Information
      • Archive
  • Articles
  • Information
    • For Authors
    • For Reviewers
    • For Librarians
    • For Advertisers
    • Conferences
  • Language Editing
Login Register Submit
  • This site uses cookies
  • You can change your cookie settings at any time by following the instructions in our Cookie Policy. To find out more, you may read our Privacy Policy.

    I agree
Search articles by DOI, keyword, author or affiliation
Search
Advanced Search
presentation
Experimental and Therapeutic Medicine
Join Editorial Board Propose a Special Issue
Print ISSN: 1792-0981 Online ISSN: 1792-1015
Journal Cover
July-2019 Volume 18 Issue 1

Full Size Image

Sign up for eToc alerts
Recommend to Library

Journals

International Journal of Molecular Medicine

International Journal of Molecular Medicine

International Journal of Molecular Medicine is an international journal devoted to molecular mechanisms of human disease.

International Journal of Oncology

International Journal of Oncology

International Journal of Oncology is an international journal devoted to oncology research and cancer treatment.

Molecular Medicine Reports

Molecular Medicine Reports

Covers molecular medicine topics such as pharmacology, pathology, genetics, neuroscience, infectious diseases, molecular cardiology, and molecular surgery.

Oncology Reports

Oncology Reports

Oncology Reports is an international journal devoted to fundamental and applied research in Oncology.

Experimental and Therapeutic Medicine

Experimental and Therapeutic Medicine

Experimental and Therapeutic Medicine is an international journal devoted to laboratory and clinical medicine.

Oncology Letters

Oncology Letters

Oncology Letters is an international journal devoted to Experimental and Clinical Oncology.

Biomedical Reports

Biomedical Reports

Explores a wide range of biological and medical fields, including pharmacology, genetics, microbiology, neuroscience, and molecular cardiology.

Molecular and Clinical Oncology

Molecular and Clinical Oncology

International journal addressing all aspects of oncology research, from tumorigenesis and oncogenes to chemotherapy and metastasis.

World Academy of Sciences Journal

World Academy of Sciences Journal

Multidisciplinary open-access journal spanning biochemistry, genetics, neuroscience, environmental health, and synthetic biology.

International Journal of Functional Nutrition

International Journal of Functional Nutrition

Open-access journal combining biochemistry, pharmacology, immunology, and genetics to advance health through functional nutrition.

International Journal of Epigenetics

International Journal of Epigenetics

Publishes open-access research on using epigenetics to advance understanding and treatment of human disease.

Medicine International

Medicine International

An International Open Access Journal Devoted to General Medicine.

Journal Cover
July-2019 Volume 18 Issue 1

Full Size Image

Sign up for eToc alerts
Recommend to Library

  • Article
  • Citations
    • Cite This Article
    • Download Citation
    • Create Citation Alert
    • Remove Citation Alert
    • Cited By
  • Similar Articles
    • Related Articles (in Spandidos Publications)
    • Similar Articles (Google Scholar)
    • Similar Articles (PubMed)
  • Download PDF
  • Download XML
  • View XML
Article Open Access

Transvaginal/transrectal ultrasound-guided aspiration biopsy for diagnosis of pelvic/pelvic floor tumors in females: A retrospective analysis

  • Authors:
    • Chuanfen Gao
    • Ling Wang
    • Chaoxue Zhang
    • Xin Li
  • View Affiliations / Copyright

    Affiliations: Department of Ultrasound, The First Affiliated Hospital of Medical University of Anhui, Hefei, Anhui 230022, P.R. China, Department of Interventional Ultrasound, Chinese PLA General Hospital, Beijing 100853, P.R. China
    Copyright: © Gao et al. This is an open access article distributed under the terms of Creative Commons Attribution License.
  • Pages: 352-357
    |
    Published online on: May 9, 2019
       https://doi.org/10.3892/etm.2019.7563
  • Expand metrics +
Metrics: Total Views: 0 (Spandidos Publications: | PMC Statistics: )
Metrics: Total PDF Downloads: 0 (Spandidos Publications: | PMC Statistics: )
Cited By (CrossRef): 0 citations Loading Articles...

This article is mentioned in:


Abstract

Ultrasound guidance for histological diagnosis is in real-time, convenient, and economical. The aim of this study was to determine whether transvaginal ultrasound (TVUS)‑ and transrectal ultrasound (TRUS)-guided aspiration biopsy allows detection of a malignant pathology of pelvic/pelvic masses. Data of 40 patients with pelvic and pelvic mass lesions by computed tomography or magnetic resonance imaging underwent TVUS- or TRUS-guided biopsy. Tissue samples obtained were assessed on suitability for histopathologic evaluation. The post-biopsy complication was monitored. All the specimens in the pelvic floor, vaginal stump, vaginal fornix, cervix, and posterior wall of the anal canal were adequate for histologic diagnosis. There were no post-biopsy complications. Transvaginal/transrectal ultrasound-guided aspiration biopsy is safe and simple. It can be used for the diagnosis and differential diagnosis of pelvic and pelvic floor lesions in women. Prospective studies are needed to test diagnostic performance across clinical scenarios.

Introduction

Ultrasound-guided intervention has many benefits. The visually clear real-time pathway guarantees negligible radiation hazard, secures procedural safety for aspiration, biopsy, and ablation in the treatment of multiple organ diseases, enhances multi-dimensional capability, provides convenience, decreases procedure time, and minimizes cost (1,2). Also, the pre-operative sampling of tumor mass is suggested to confirm the presence of cancer and ascertain morphological subtype before neo-adjuvant chemotherapy may lead to the potential diagnostic misinterpretation of tumor cells and difficulties in detecting residual tumor after neoadjuvant chemotherapy of bulky malignant tissues (3).

Ultrasound-guided intervention has technically evolved with clinical procedures conducted at the abdomen, thorax and urogenital system (4). Transvaginal ultrasound (TVUS)-guided biopsy is safe and effective in the diagnosis of pelvic lesions (5–15).

TVUS-guided gun biopsy of the uterus and ovaries in the office setting histologically confirmed 19 of the 22 (86.4%) preliminary equivocal ultrasound diagnosis of adenomyosis, leiomyoma and benign ovarian mass (5). The diagnostic accuracy of TVUS using histopathology as a gold standard in identifying endometrial hyperplasia among 263 perimenopausal women presenting with abnormal uterine bleeding was found to be 75.6% (6).

TVUS has a high negative predictive value (99.1%) for an endometrial thickness of 10.8 mm in the evaluation of 100 women with post-menopausal bleeding (7). The TVUS biopsy diagnosis of peritoneal carcinomatosis and recurrent pelvic malignancy was validated in a cohort of 50/54 (93%) women by comparison with the histopathologic specimen or clinical course and outcome (8). TVUS-guided core needle biopsy adequately obtained tumor samples from 200 women with abdominopelvic or pelvic masses with 190 of 200 (95.0%) verified before treatment (9). Of the 200, 97 (48.5%) were inoperable tumors, 13 (6.5%) were metastatic, 45 (22.5%) were recurrent and 45 (22.5%) were rare tumors (9). In 55 women with pelvic masses detected on computed tomography (CT) or magnetic resonance imaging (MRI) before the biopsy, 46 (84%) of the pelvic samples from TVUS core biopsy were confirmed to be either malignant or benign, and 5 (9%) were inflammatory lesions showing an overall diagnostic accuracy of 51/55 (93%) (10). Of the 48 women diagnosed by ultrasound alone as having adenomyosis, 37 (77%) were histologically confirmed as having adenomyosis after TVUS-guided biopsy (11). Samples obtained by TVUS guided uterine core biopsy from 80 cases of pre-menopausal women scheduled for hysterectomy proved to be useful in the investigation of early pathogenesis of adenomyosis (12).

Transrectal ultrasound (TRUS)-guided core biopsy confirmed recurrent carcinoma of the uterine cervix in 16/17 (94%) of women with non-diagnostic vaginal cytology and transvaginal punch biopsy (13). TRUS-guided biopsy revealed recurrent pelvic malignancy in 5/8 (62%) in women presenting with abdomino-pelvic and back pain (14). TRUS examination was assessed to have high diagnostic power for polycystic ovary syndrome among 183 Korean women aged 21–32 years (15).

Of the 11 studies that reported safety and efficacy, only one study reported vaginal bleeding, 10/55 (18%) and gross hematuria, 2/55 (4%) as TVUS procedure-related complications (10). There was no reported complication with TRUS-guided biopsy in any of the reports.

This study aimed to determine the accuracy and safety of transvaginal and transrectal core needle biopsy of pelvic cavity masses under ultrasound guidance. The authors undertook this study since there is scant literature on the histological findings from biopsies taken directly from the pelvic cavity and from pelvic floor lesions.

Materials and methods

Subjects

We randomly obtained medical records of female patients. A consecutive series of 40 patients with the diagnosis of pelvic or pelvic floor masses between July 2015 and August 2017 at the Department of Ultrasound of the First Affiliated Hospital of Medical University of Anhui (Hefei, China) were considered eligible and chosen for satisfying the inclusion criteria. Inclusion criteria were as follows: i) Mass was detected by MRI or positron emission tomography (PET)/CT one month prior to biopsy, ii) primary origin was undetermined; iii) mass was visible by either transvaginal or transrectal ultrasound technique, iv) mass was in proximity, v) accessible to either TVUS- or TRUS-guided biopsy for tissue sampling, and vi) histological confirmation is needed for further patient management. Exclusion criteria were as follows: i) No ultrasound-guided needle path, ii) poor coagulation function, iii) severe infection, and iv) severe heart and lung insufficiency.

Clinical laboratory indicators of patient status and risk of complication were evaluated. The laboratory indicators were complete blood count, prothrombin time, international normalized ratio, activated partial thromboplastin time. We retrospectively analyzed extracted clinicopathologic data.

Informed consent and ethics approval

Before the procedure, patients were informed of the risk of complications and potential damage to adjacent structures along the path of the needle. Consent to proceed with the biopsy was obtained before the procedure.

Before inclusion into the retrospective study, patients or legally authorized representatives of subjects were contacted. All the participants gave their informed consent for inclusion and use of patient information. The protocol of the study was approved by the Medical University of Anhui Institutional Review Board. The IRB approval project identification code is AF/SC-08/02.0. The study was conducted as per the Declaration of Helsinki.

Instrument and biopsy procedure

None of the included patients had contraindications for biopsy. Every biopsy was performed by one of two experienced physicians (CG, LW) who had worked at least five years at the interventional ultrasound department using US instrument (Logiq E9; GE Healthcare, Chicago, IL, USA). TVUS- and TRUS-guided biopsies were performed in the lithotomy position with empty bladder after sterilization of the vagina and anus (16). The procedure utilized a reusable automatic biopsy gun (Bard Biopsy, Tempe, AZ, USA) compatible with an 18 gauge 15 cm tru-cut needle. The needle was inserted parallel to the transvaginal US probe and was directed to the lesion with an attached needle guide.

Local anesthesia and conscious sedation were not used. The biopsy needle with ultrasonic dynamic monitoring led the passage avoiding bowel, blood vessels, and bladder. The morphological characteristics of the mass, size, location, relationship with the adjacent tissues, and proximity to the vagina or rectum were observed before puncture. Upon reaching the lesion edge and gaining a penetration depth of >2.0 cm with strong echo lesions, biopsy specimens were drawn from different directions (17). All the specimens obtained were immediately placed on a sterile filter paper and fixed in 10% formaldehyde solution (Sigma-Aldrich; Merck KGaA, Darmstadt, Germany). Sections and slides from paraffin-embedded tissue blocks as samples were stained with hematoxylin-eosin.

After the transvaginal procedures, three sterilized cotton balls were immediately tucked into the biopsy sites for hemostasis. Bleeding and other possible complications were checked after the cotton balls were taken out after 30 min. Patients were observed around 30 min to 1 h with frequent vital signs monitoring in a dedicated area. Safety of the procedure was concluded if there were no or minor complications. If without discomfort or complications, patients were returned to the ward or sent home. The procedure and diagnostic criteria of TRUS-guided biopsy were similar to that of TVUS (18).

Radiologic, pathologic, and clinical data analyses

All archived CT, MRI, and ultrasonography (US) images from the picture archiving and communication system (PathSpeed, GE Healthcare, Milwaukee, WI, USA) were re-evaluated. Radiologists were aware of the history of the patient illness but blinded to all other clinical information. Two radiologists independently evaluated the pelvic lesions based on the: i) lesion size, ii) lesion nature (e.g., solid or cystic) (19), and iii) lesion site. The biopsy core number was counted from images, and the biopsy distance was determined from the standard reports. The biopsy distance was defined by the measured mean length of the biopsy needle seen on US images. Disagreements of the evaluation of two radiologists were resolved by consensus. If no agreement was reached, a third evaluator was consulted for final consensus.

An experienced pathologist evaluated the histology of the specimen. The pathologist was aware of the history of the patient illness but blinded to all other clinical information including the imaging results (20). The step detects the presence or absence of malignancy thereby detecting or excluding the diagnosis (21). Possible complications based on the patients' medical records were evaluated using the Clavien-Dindo classification (22).

Results

Of the 40 female patients included in the study, 39 had TVUS, and 1 had TRUS-guided biopsy. The mean age was 54 years (range, 46–69 years). All laboratory results were within the acceptable normal range of coagulation parameters (Table I). There were no complications identified.

Table I.

Normal values of coagulation in patients undergoing TVUS- and TRUS-guided aspiration biopsy.

Table I.

Normal values of coagulation in patients undergoing TVUS- and TRUS-guided aspiration biopsy.

Hematologic testNormal range of values (reference)Cut-off
Activated partial thromboplastin time28.0–42.045
INR0.85–1.151.6
Platelets, 109/l125–35050
Prothrombin time11.0–16.018

[i] INR, international normalized ratio; TVUS, transvaginal ultrasound; TRUS, transrectal ultrasound.

The median lesion size was 5.5 cm (range, 1–15 cm). Thirty-four of the lesions were solid while six were cystic. The mean distance of the biopsy was 2.4 cm (range, 1.4–5.6 cm). The median number of biopsy cores obtained from each patient was 4.0 (range, 2–7 cores). The specimens (Table II) were obtained from pelvic cavity and pelvic floor in 18 cases (45%), the vaginal stump in 6 cases (15%), the cervix in 2 cases (5%) and the vaginal fornix in 13 cases (32.5%). Representative cases are shown in Figs. 1–4.

Figure 1.

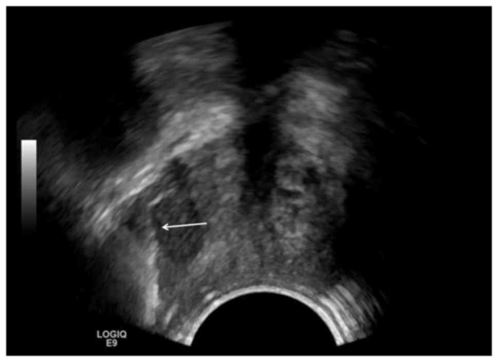
TVUS of a 67/F patient with endometrial cancer. Biopsy was taken at the vaginal stump, with a mass of 3.0×1.7 cm, indicated by the white arrows. TVUS, transvaginal ultrasound.

Figure 4.

The puncture needle enters the cervical lesion as shown by the white arrow.

Table II.

Malignancy proven lesions from transvaginal ultrasound-guided aspiration biopsies.

Table II.

Malignancy proven lesions from transvaginal ultrasound-guided aspiration biopsies.

PatientAge (years)MRI and PET/CT findings at sitesPathomorphological findingsDiagnosis
184Pelvic cystic, solid massGrayish white, poorly differentiated cancerOvarian cancer
267Vaginal stump hypoechoicLow-grade adenocarcinomaOvarian cancer
360Bottom of the pelvic floorGrayish white, poorly differentiated adenocarcinomaOvarian cancer
452Low echo above the vaginal stumpGrayish white, poorly differentiated squamous cell carcinomaCervical cancer
546Cervical anterior lip hypoechoicMedium-differentiated adenocarcinoma, metastatic carcinoma of the upper digestive source may be largeMetastatic adenocarcinoma, upper gastrointestinal
668Pelvic floor cervixGray-white, poorly differentiated urothelial carcinoma may be largeCervical cancer
746Low echo above the vaginal stumpGray-white, poorly differentiated cancer, combined with a history of breast cancer metastasis may be largeMetastatic poorly differentiated, breast
854Right ovarianGrayish white, spindle cell lesion, solid lesionOvarian cancer no excluding sex stromal tumor
947Low echo of the left uterus3 grayish white, high-grade serous carcinoma, source of female reproductive systemOvarian cancer
1062Hypoechoic lesion on the left side of the posterior vagina3 grayish white, ovarian serous carcinoma metastasisOvarian cancer
1146Cervical anterior and posterior lip hypoechoic, cervix 1, cervix 2, anterior vaginal wallHigh-grade squamous intraepithelial neoplasia CIN3, suspicious microinvasive, chronic inflammation of vaginal lesionsCervical cancer
12a47Cervical, ovary1 anterior lip of the cervix, smooth muscle; 1 posterior lip of the cervix, adenocarcinoma; 2 ovarian cancer, adenocarcinoma;Straight B junction tumor ovarian metastasis
1450Hypoepitic lesions above the vaginaGrayish white 3, leiomyomaUterine fibroids
1567Vaginal stump cystic, solid massPoorly differentiated cancerOvarian cancer
1660Right ovarian giant cysticMedium differentiated adenocarcinomaMetastatic non-small cell lung cancer, adenocarcinoma
1747Vaginal stumpPoorly differentiated cancerOvarian cancer
1852Pelvic massPoorly differentiated cancerOvarian cancer
1962Cervical hypoechoicSquamous cell carcinomaCervical cancer
2061Double ovarian solid massMetastatic poorly differentiated adenocarcinomaMetastatic non-small cell lung cancer, adenocarcinoma
2156Vaginal stumpPoorly differentiated cancerCervical cancer
2261Vaginal wall stumpPoorly differentiated cancerCervical cancer
2348Left attachment pocket solid massSerous carcinomaOvarian cancer
2471Vaginal stumpEndometriosisEndometriosis
2545Left ovary hypoechoicSpindle cell tumorSex cord stromal tumor
2652Low echo of the anterior wall of the vaginaLeiomyomaVaginal leiomyoma
2743Pelvic cystic mixed echoSerous carcinomaOvarian cancer
28a54Left genital hypoechoic lesionAdenoid cystic carcinomaOvarian cancer
2967Vaginal stumpAdenocarcinomaEndometrial cancer
3056Left ovarian solid part and posterior lip lesionPoorly differentiated cancerOvarian cancer
3152Posterior wall of the lower vaginaLeiomyomaUterine fibroids
3264Above the vaginal stumpEndometrial stromal sarcomaUterine cancer
3370Cervical hypoechoicInflammatoryInflammatory cells, cervix
3459Uterine rectal fossa lesionSerous carcinomaOvarian cancer
3542Left echo low echo noduleMetastatic cancerEndometrial cancer
3653Uterine rectal fossa lesionSerous carcinomaOvarian cancer
3746Subcutaneous hypoechoicAdenoid cystic carcinoma infiltrationVaginal cancer
3842Pelvic massLow-grade adenocarcinomaCervical cancer
3941Vaginal stumpSquamous cell carcinomaCervical cancer
4054Uterine rectal fossaLeft ovarian granulomaOvarian cancer

a Laparoscopy and transvaginal ultrasound-guided. CT, computed tomography; MRI, magnetic resonance imaging; PET, positron emission tomography.

All the specimens were adequate for histologic evaluation and diagnosis with 72% (28/39) being identified as primary and 13% (5/39) as metastatic malignancy. There was one diagnosed case of rectal cancer with a post-operative specimen from the posterior wall of the anal canal obtained by TRUS-guided biopsy (2.5%).

Discussion

A retrospective analysis was performed in our center to determine whether TVUS- and TRUS-guided aspiration biopsy allows the detection of a malignant pathology in the pelvic/pelvic floor. The study shows detection in almost all suspicious clinical cases by MRI or PET/CT consistent with a more than 90% adequacy and accuracy of other studies (8–10). An experienced pathologist provided the expertise that has optimized the use of aspiration biopsy.

TVUS- or TRUS-guided aspiration biopsy has several advantages. The biopsy is technically easy and does need anesthesia. Either of the two techniques can be used as a first-line investigation in the evaluation of women with pelvic or pelvic floor masses (6,9). The biopsy can be supplemented with procedures such as laparoscopy for lesions involving ovary and cervix as experienced in the hospital. In addition to the traditional benefits of ultrasound-guided biopsy (1,2), seeding by malignant cells seems low risk (9). Also, it is not known whether the risk of infection is high with the transrectal or transvaginal approaches. Antibiotic prophylaxis is well-established in transrectal biopsy of the prostate (23). However, whether infection and subsequent antibiotic prophylaxis are necessary for TVUS-guided biopsy remains to be observed.

The present study has several limitations. As a retrospective analysis using medical chart reviews, data inputted from medical records were not sufficient to determine diagnostic performance. Analysis to provide valid and reliable diagnostic performances (sensitivity, specificity, positive predictive value, negative predictive value, accuracy) requires the identification of a set of variables to provide the best prediction. Missing data precluded the detection of increasing diagnostic certainty from imaging to histopathology. Detection or exclusion of malignancy using test-result based sampling or case-referent sampling is ideal (21).

Second, the diagnostic test is almost always not applied in isolation but in combination (21). Interacting variables (relevant clinical variables, tumor markers, CT/MRI, clinical stage of cancer) increase sample size and may not be easy to be obtained. To conduct this kind of study, we may have to collaborate with other hospital centers. Finally, there were case scenarios in the management of cancer patients that were not encountered but are potentially significant: i) A previously diagnosed benign tumor turning out to be malignant, ii) distinguishing either a recurrence or post-treatment fibrosis, iii) whether TRUS complements TVUS, and iv) follow-up stage of cancer management.

Despite the limitations, the validity of the pathomorphologic findings and final diagnosis were not compromised because the pathologist was blinded to all other clinical information including the imaging results.

Ultrasound-guided transvaginal or transurethral biopsy seems to be a reliable and safe procedure for histopathological evaluation of the pelvic cavity and pelvic mass lesions. Prospective studies of adequate sample size are needed to evaluate the usefulness of the procedures across various clinical case scenarios.

Acknowledgements

Not applicable.

Funding

This study was supported by the National Scientific Foundation Committee of China (No. 81801723) and the Clinical Research Support Foundation of the Chinese PLA General Hospital (No. 2017FC-CXYY-3005).

Availability of data and materials

The datasets used and/or analyzed during the current study are available from the corresponding author on reasonable request.

Authors' contributions

CG. participated in the analysis and interpretation of data, and drafted the manuscript. XL made substantial contributions to the conception and design of the study. CG, LW and CZ carried out the study and collected the data. XL contributed to revising the manuscript critically for important intellectual content. All authors read and approved the final manuscript.

Ethics approval and consent to participate

This retrospective medical record review was approved by the Institutional Review Board/Clinical Medical Research Ethics Committee of the First Affiliated Hospital of Anhui Medical University (Approval no: AF/SC-08/02.0)

Patient consent for publication

Not applicable

Competing interests

The authors declare that they have no competing interests.

References

1 

Copelan A, Scola D, Roy A and Nghiem HV: The myriad advantages of ultrasonography in image-guided interventions. Ultrasound Q. 32:247–257. 2016. View Article : Google Scholar : PubMed/NCBI

2 

Park BK: Ultrasound-guided genitourinary interventions: Principles and techniques. Ultrasonography. 36:336–348. 2017. View Article : Google Scholar : PubMed/NCBI

3 

McCluggage WG, Lyness RW, Atkinson RJ, Dobbs SP, Harley I, McClelland HR and Price JH: Morphological effects of chemotherapy on ovarian carcinoma. J Clin Pathol. 55:27–31. 2002. View Article : Google Scholar : PubMed/NCBI

4 

Dietrich CF and Numberg E: A Practical Guide and Atlas. Intervention Ultrasound. 1st. Thieme; Stuttgart, Germany: pp. 4042014

5 

Walker J and Jones K: Transvaginal ultrasound guided biopsies in the diagnosis of pelvic lesions. Minim Invasive Ther Allied Technol. 12:241–244. 2003. View Article : Google Scholar : PubMed/NCBI

6 

Nazim F, Hayat Z, Hannan A, Ikram U and Nazim K: Role of transvaginal ultrasound in identifying endometrial hyperplasia. J Ayub Med Coll Abbottabad. 25:100–102. 2013.PubMed/NCBI

7 

Menon S and Sreekumari I: Role of transvaginal ultrasound in the assessment of endometrial pathology in patients with post-menopausal bleeding. Int J Reprod Contracept Obstet Gynecol. 6:1376–1380. 2017. View Article : Google Scholar

8 

Dadayal G, Weston M, Young A, Graham JL, Mehta K, Wilkinson N and Spencer JA: Transvaginal ultrasound (TVUS)-guided biopsy is safe and effective in diagnosing peritoneal carcinomatosis and recurrent pelvic malignancy. Clin Radiol. 71:1184–1192. 2016. View Article : Google Scholar : PubMed/NCBI

9 

Lin SY, Xiong YH, Yun M, Liu LZ, Zheng W, Lin X, Pei XQ and Li AH: Transvaginal ultrasound-guided core needle biopsy of pelvic masses. J Ultrasound Med. 37:453–461. 2018. View Article : Google Scholar : PubMed/NCBI

10 

Park JJ, Kim CK and Park BK: Ultrasound-guided transvaginal core biopsy of pelvic masses: Feasibility, safety, and short-term follow-up. AJR Am J Roentgenol. 206:877–882. 2016. View Article : Google Scholar : PubMed/NCBI

11 

Elkattan E, Omran E and Al Inany H: The accuracy of transvaginal ultrasound and uterine artery Doppler in the prediction of adenomyosis. Middle East Fertil Soc J. 15:73–78. 2010. View Article : Google Scholar

12 

Tellum T, Qvigstad E, Skovholt EK and Lieng M: In vivo adenomyosis tissue sampling using a transvaginal ultrasound-guided core biopsy technique for research purposes: Safety, feasibility, and effectiveness. J Minim Invasive Gynecol. Feb 8–2019.(Epub ahead of print). View Article : Google Scholar : PubMed/NCBI

13 

Roy D, Kulkarni A, Kulkarni S, Thakur MH, Maheshwari A and Tongaonkar HB: Transrectal ultrasound-guided biopsy of recurrent cervical carcinoma. Br J Radiol. 81:902–906. 2008. View Article : Google Scholar : PubMed/NCBI

14 

Giede C, Toi A, Chapman W and Rosen B: The use of transrectal ultrasound to biopsy pelvic masses in women. Gynecol Oncol. 95:552–556. 2004. View Article : Google Scholar : PubMed/NCBI

15 

Lee DE, Park SY, Lee SR, Jeong K and Chung HW: Diagnostic usefulness of transrectal ultrasound compared with transvaginal ultrasound assessment in young Korean women with polycystic ovary syndrome. J Menopausal Med. 21:149–154. 2015. View Article : Google Scholar : PubMed/NCBI

16 

Plett SK, Poder L, Brooks RA and Morgan TA: Transvaginal ultrasound-guided biopsy of deep pelvic masses: How we do it. J Ultrasound Med. 35:1113–1122. 2016. View Article : Google Scholar : PubMed/NCBI

17 

Zikan M, Fischerova D, Pinkavova I, Dundr P and Cibula D: Ultrasound-guided tru-cut biopsy of abdominal and pelvic tumors in gynecology. Ultrasound Obstet Gynecol. 36:767–772. 2010. View Article : Google Scholar : PubMed/NCBI

18 

Alborzi S, Rasekhi A, Shomali Z, Madadi G, Alborzi M, Kazemi M and Hosseini Nohandani A: Diagnostic accuracy of magnetic resonance imaging, transvaginal, and transrectal ultrasonography in deep infiltrating endometriosis. Medicine (Baltimore). 97:e95362018. View Article : Google Scholar : PubMed/NCBI

19 

Fischerova D: Ultrasound scanning of the pelvis and abdomen for staging of gynecological tumors: A review. Ultrasound Obstet Gynecol. 38:246–266. 2011. View Article : Google Scholar : PubMed/NCBI

20 

de Groot JA, Bossuyt PM, Reitsma JB, Rutjes AW, Dendukuri N, Janssen KJ and Moons KG: Verification problems in diagnostic accuracy studies: Consequences and solutions. BMJ 343 (aug02 3). d47702011.

21 

Knottnerus JA, van Weel C and W Muris J: Evaluation of diagnostic procedures. Evidence base of clinical diagnosis. 324:(2nd). Knottnerus JA: BMJ Books. (London). 477–480. 2002.

22 

Clavien PA, Barkun J, de Oliveira ML, Vauthey JN, Dindo D, Schulick RD, de Santibañes E, Pekolj J, Slankamenac K, Bassi C, et al: The Clavien-Dindo classification of surgical complications: Five-year experience. Ann Surg. 250:187–196. 2009. View Article : Google Scholar : PubMed/NCBI

23 

Noreikaite J, Jones P, Fitzpatrick J, Amitharaj R, Pietropaolo A, Vasdev N, Chadwick D, Somani BK and Rai BP: Fosfomycin vs. quinolone-based antibiotic prophylaxis for transrectal ultrasound-guided biopsy of the prostate: A systematic review and meta-analysis. Prostate Cancer Prostatic Dis. 21:153–160. 2018. View Article : Google Scholar : PubMed/NCBI

Related Articles

  • Abstract
  • View
  • Download
  • Twitter
Copy and paste a formatted citation
Spandidos Publications style
Gao C, Wang L, Zhang C and Li X: Transvaginal/transrectal ultrasound-guided aspiration biopsy for diagnosis of pelvic/pelvic floor tumors in females: A retrospective analysis. Exp Ther Med 18: 352-357, 2019.
APA
Gao, C., Wang, L., Zhang, C., & Li, X. (2019). Transvaginal/transrectal ultrasound-guided aspiration biopsy for diagnosis of pelvic/pelvic floor tumors in females: A retrospective analysis. Experimental and Therapeutic Medicine, 18, 352-357. https://doi.org/10.3892/etm.2019.7563
MLA
Gao, C., Wang, L., Zhang, C., Li, X."Transvaginal/transrectal ultrasound-guided aspiration biopsy for diagnosis of pelvic/pelvic floor tumors in females: A retrospective analysis". Experimental and Therapeutic Medicine 18.1 (2019): 352-357.
Chicago
Gao, C., Wang, L., Zhang, C., Li, X."Transvaginal/transrectal ultrasound-guided aspiration biopsy for diagnosis of pelvic/pelvic floor tumors in females: A retrospective analysis". Experimental and Therapeutic Medicine 18, no. 1 (2019): 352-357. https://doi.org/10.3892/etm.2019.7563
Copy and paste a formatted citation
x
Spandidos Publications style
Gao C, Wang L, Zhang C and Li X: Transvaginal/transrectal ultrasound-guided aspiration biopsy for diagnosis of pelvic/pelvic floor tumors in females: A retrospective analysis. Exp Ther Med 18: 352-357, 2019.
APA
Gao, C., Wang, L., Zhang, C., & Li, X. (2019). Transvaginal/transrectal ultrasound-guided aspiration biopsy for diagnosis of pelvic/pelvic floor tumors in females: A retrospective analysis. Experimental and Therapeutic Medicine, 18, 352-357. https://doi.org/10.3892/etm.2019.7563
MLA
Gao, C., Wang, L., Zhang, C., Li, X."Transvaginal/transrectal ultrasound-guided aspiration biopsy for diagnosis of pelvic/pelvic floor tumors in females: A retrospective analysis". Experimental and Therapeutic Medicine 18.1 (2019): 352-357.
Chicago
Gao, C., Wang, L., Zhang, C., Li, X."Transvaginal/transrectal ultrasound-guided aspiration biopsy for diagnosis of pelvic/pelvic floor tumors in females: A retrospective analysis". Experimental and Therapeutic Medicine 18, no. 1 (2019): 352-357. https://doi.org/10.3892/etm.2019.7563
Follow us
  • Twitter
  • LinkedIn
  • Facebook
About
  • Spandidos Publications
  • Careers
  • Cookie Policy
  • Privacy Policy
How can we help?
  • Help
  • Live Chat
  • Contact
  • Email to our Support Team