Spandidos Publications Logo
  • About
    • About Spandidos
    • Aims and Scopes
    • Abstracting and Indexing
    • Editorial Policies
    • Reprints and Permissions
    • Job Opportunities
    • Terms and Conditions
    • Contact
  • Journals
    • All Journals
    • Oncology Letters
      • Oncology Letters
      • Information for Authors
      • Editorial Policies
      • Editorial Board
      • Aims and Scope
      • Abstracting and Indexing
      • Bibliographic Information
      • Archive
    • International Journal of Oncology
      • International Journal of Oncology
      • Information for Authors
      • Editorial Policies
      • Editorial Board
      • Aims and Scope
      • Abstracting and Indexing
      • Bibliographic Information
      • Archive
    • Molecular and Clinical Oncology
      • Molecular and Clinical Oncology
      • Information for Authors
      • Editorial Policies
      • Editorial Board
      • Aims and Scope
      • Abstracting and Indexing
      • Bibliographic Information
      • Archive
    • Experimental and Therapeutic Medicine
      • Experimental and Therapeutic Medicine
      • Information for Authors
      • Editorial Policies
      • Editorial Board
      • Aims and Scope
      • Abstracting and Indexing
      • Bibliographic Information
      • Archive
    • International Journal of Molecular Medicine
      • International Journal of Molecular Medicine
      • Information for Authors
      • Editorial Policies
      • Editorial Board
      • Aims and Scope
      • Abstracting and Indexing
      • Bibliographic Information
      • Archive
    • Biomedical Reports
      • Biomedical Reports
      • Information for Authors
      • Editorial Policies
      • Editorial Board
      • Aims and Scope
      • Abstracting and Indexing
      • Bibliographic Information
      • Archive
    • Oncology Reports
      • Oncology Reports
      • Information for Authors
      • Editorial Policies
      • Editorial Board
      • Aims and Scope
      • Abstracting and Indexing
      • Bibliographic Information
      • Archive
    • Molecular Medicine Reports
      • Molecular Medicine Reports
      • Information for Authors
      • Editorial Policies
      • Editorial Board
      • Aims and Scope
      • Abstracting and Indexing
      • Bibliographic Information
      • Archive
    • World Academy of Sciences Journal
      • World Academy of Sciences Journal
      • Information for Authors
      • Editorial Policies
      • Editorial Board
      • Aims and Scope
      • Abstracting and Indexing
      • Bibliographic Information
      • Archive
    • International Journal of Functional Nutrition
      • International Journal of Functional Nutrition
      • Information for Authors
      • Editorial Policies
      • Editorial Board
      • Aims and Scope
      • Abstracting and Indexing
      • Bibliographic Information
      • Archive
    • International Journal of Epigenetics
      • International Journal of Epigenetics
      • Information for Authors
      • Editorial Policies
      • Editorial Board
      • Aims and Scope
      • Abstracting and Indexing
      • Bibliographic Information
      • Archive
    • Medicine International
      • Medicine International
      • Information for Authors
      • Editorial Policies
      • Editorial Board
      • Aims and Scope
      • Abstracting and Indexing
      • Bibliographic Information
      • Archive
  • Articles
  • Information
    • Information for Authors
    • Information for Reviewers
    • Information for Librarians
    • Information for Advertisers
    • Conferences
  • Language Editing
Spandidos Publications Logo
  • About
    • About Spandidos
    • Aims and Scopes
    • Abstracting and Indexing
    • Editorial Policies
    • Reprints and Permissions
    • Job Opportunities
    • Terms and Conditions
    • Contact
  • Journals
    • All Journals
    • Biomedical Reports
      • Information for Authors
      • Editorial Policies
      • Editorial Board
      • Aims and Scope
      • Abstracting and Indexing
      • Bibliographic Information
      • Archive
    • Experimental and Therapeutic Medicine
      • Information for Authors
      • Editorial Policies
      • Editorial Board
      • Aims and Scope
      • Abstracting and Indexing
      • Bibliographic Information
      • Archive
    • International Journal of Epigenetics
      • Information for Authors
      • Editorial Policies
      • Editorial Board
      • Aims and Scope
      • Abstracting and Indexing
      • Bibliographic Information
      • Archive
    • International Journal of Functional Nutrition
      • Information for Authors
      • Editorial Policies
      • Editorial Board
      • Aims and Scope
      • Abstracting and Indexing
      • Bibliographic Information
      • Archive
    • International Journal of Molecular Medicine
      • Information for Authors
      • Editorial Policies
      • Editorial Board
      • Aims and Scope
      • Abstracting and Indexing
      • Bibliographic Information
      • Archive
    • International Journal of Oncology
      • Information for Authors
      • Editorial Policies
      • Editorial Board
      • Aims and Scope
      • Abstracting and Indexing
      • Bibliographic Information
      • Archive
    • Medicine International
      • Information for Authors
      • Editorial Policies
      • Editorial Board
      • Aims and Scope
      • Abstracting and Indexing
      • Bibliographic Information
      • Archive
    • Molecular and Clinical Oncology
      • Information for Authors
      • Editorial Policies
      • Editorial Board
      • Aims and Scope
      • Abstracting and Indexing
      • Bibliographic Information
      • Archive
    • Molecular Medicine Reports
      • Information for Authors
      • Editorial Policies
      • Editorial Board
      • Aims and Scope
      • Abstracting and Indexing
      • Bibliographic Information
      • Archive
    • Oncology Letters
      • Information for Authors
      • Editorial Policies
      • Editorial Board
      • Aims and Scope
      • Abstracting and Indexing
      • Bibliographic Information
      • Archive
    • Oncology Reports
      • Information for Authors
      • Editorial Policies
      • Editorial Board
      • Aims and Scope
      • Abstracting and Indexing
      • Bibliographic Information
      • Archive
    • World Academy of Sciences Journal
      • Information for Authors
      • Editorial Policies
      • Editorial Board
      • Aims and Scope
      • Abstracting and Indexing
      • Bibliographic Information
      • Archive
  • Articles
  • Information
    • For Authors
    • For Reviewers
    • For Librarians
    • For Advertisers
    • Conferences
  • Language Editing
Login Register Submit
  • This site uses cookies
  • You can change your cookie settings at any time by following the instructions in our Cookie Policy. To find out more, you may read our Privacy Policy.

    I agree
Search articles by DOI, keyword, author or affiliation
Search
Advanced Search
presentation
Experimental and Therapeutic Medicine
Join Editorial Board Propose a Special Issue
Print ISSN: 1792-0981 Online ISSN: 1792-1015
Journal Cover
December-2019 Volume 18 Issue 6

Full Size Image

Sign up for eToc alerts
Recommend to Library

Journals

International Journal of Molecular Medicine

International Journal of Molecular Medicine

International Journal of Molecular Medicine is an international journal devoted to molecular mechanisms of human disease.

International Journal of Oncology

International Journal of Oncology

International Journal of Oncology is an international journal devoted to oncology research and cancer treatment.

Molecular Medicine Reports

Molecular Medicine Reports

Covers molecular medicine topics such as pharmacology, pathology, genetics, neuroscience, infectious diseases, molecular cardiology, and molecular surgery.

Oncology Reports

Oncology Reports

Oncology Reports is an international journal devoted to fundamental and applied research in Oncology.

Experimental and Therapeutic Medicine

Experimental and Therapeutic Medicine

Experimental and Therapeutic Medicine is an international journal devoted to laboratory and clinical medicine.

Oncology Letters

Oncology Letters

Oncology Letters is an international journal devoted to Experimental and Clinical Oncology.

Biomedical Reports

Biomedical Reports

Explores a wide range of biological and medical fields, including pharmacology, genetics, microbiology, neuroscience, and molecular cardiology.

Molecular and Clinical Oncology

Molecular and Clinical Oncology

International journal addressing all aspects of oncology research, from tumorigenesis and oncogenes to chemotherapy and metastasis.

World Academy of Sciences Journal

World Academy of Sciences Journal

Multidisciplinary open-access journal spanning biochemistry, genetics, neuroscience, environmental health, and synthetic biology.

International Journal of Functional Nutrition

International Journal of Functional Nutrition

Open-access journal combining biochemistry, pharmacology, immunology, and genetics to advance health through functional nutrition.

International Journal of Epigenetics

International Journal of Epigenetics

Publishes open-access research on using epigenetics to advance understanding and treatment of human disease.

Medicine International

Medicine International

An International Open Access Journal Devoted to General Medicine.

Journal Cover
December-2019 Volume 18 Issue 6

Full Size Image

Sign up for eToc alerts
Recommend to Library

  • Article
  • Citations
    • Cite This Article
    • Download Citation
    • Create Citation Alert
    • Remove Citation Alert
    • Cited By
  • Similar Articles
    • Related Articles (in Spandidos Publications)
    • Similar Articles (Google Scholar)
    • Similar Articles (PubMed)
  • Download PDF
  • Download XML
  • View XML
Case Report Open Access

Laparoscopic treatment of a huge seminal vesicle calculus: A case report and review of literature

  • Authors:
    • Han Yang
    • Yinlei Wang
    • Jie Gao
    • Ping Wang
    • Xingkang Jiang
    • Dawei Tian
    • Hailong Hu
  • View Affiliations / Copyright

    Affiliations: Department of Urology, The Second Hospital of Tianjin Medical University, Tianjin 300211, P.R. China
    Copyright: © Yang et al. This is an open access article distributed under the terms of Creative Commons Attribution License.
  • Pages: 4799-4803
    |
    Published online on: November 1, 2019
       https://doi.org/10.3892/etm.2019.8160
  • Expand metrics +
Metrics: Total Views: 0 (Spandidos Publications: | PMC Statistics: )
Metrics: Total PDF Downloads: 0 (Spandidos Publications: | PMC Statistics: )
Cited By (CrossRef): 0 citations Loading Articles...

This article is mentioned in:



Abstract

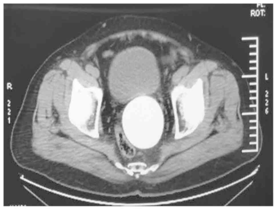
A 67‑year‑old male patient had a history of repeated urinary tract infections for numerous years. X‑ray examination revealed a large calcific density in the pelvic cavity, with a diameter of 10.4 cm and a CT value of ~792.9 HU. On MRI of the pelvis, the lesion displayed with extremely low signals. The inside of the stone had a concentric ring shape with a slightly higher signal and the patient was diagnosed with a large left seminal vesicle calculus. Laparoscopic surgery was selected to treat the stone. The patient recovered rapidly and the symptoms, including urgency, urinary frequency, as well as lower abdominal and perineal pain, were obviously improved. The present case study reports on the largest seminal vesicle calculus reported in the current English literature in addition to a brief literature review. Cases of seminal vesicle calculi (SVC) are rare. The present study reports on a case of SVC, which is the largest reported in current English literature, to the best of our knowledge.
View Figures

Figure 1

Figure 2

Figure 3

Figure 4

Figure 5

View References

1 

Christodoulidou M, Parnham A and Nigam R: Diagnosis and management of symptomatic seminal vesicle calculi. Scand J Urol. 51:1–8. 2017.PubMed/NCBI

2 

Lee TH, Juan YS, Jang MY, Wang HS and Shen JT, Lee TH, Juan YS, Jang MY, Wang HS and Shen JT: Successful seminal vesiculoscopic lithotripsy of seminal vesicle stone: A case report and literature review. Urolog Sci. 25:134–146. 2014. View Article : Google Scholar

3 

Yang SC, Rha KH, Byon SK and Kim JH: Transutricular seminal vesiculoscopy. J Endourol. 16:343–345. 2002. View Article : Google Scholar : PubMed/NCBI

4 

Corriere JN Jr: Painful ejaculation due to seminal vesicle calculi. J Urol. 157:6261997. View Article : Google Scholar : PubMed/NCBI

5 

Singh I and Ansari M: Idiopathic bilateral giant seminal vesicle calculi and calcification of the male ejaculatory system: Current review of diagnosis and management. Indian J Surg. 68:38–40. 2006.

6 

Cho IR, Lee MS, Rha KH, Hong SJ, Park SS and Kim MJ: Magnetic resonance imaging in hemospermia. J Urol. 157:258–262. 1997. View Article : Google Scholar : PubMed/NCBI

7 

Cuda SP, Brand TC, Thibault GP and Stack RS: Case report: Endoscopic laser lithotripsy of seminal-vesicle stones. J Endourol. 20:916–918. 2006. View Article : Google Scholar : PubMed/NCBI

8 

Schwartz BF: Stones of the urethra, prostate, seminal vesicle, bladder, and encrusted foreign bodiesUrinary Stone Disease. Stoller ML and Meng MV: Humana Press; New Jersey: pp. 661–681. 2007, View Article : Google Scholar

9 

Hadidi M, Hadidy A, Alrabadi AF, Ahdul-Wahab AD and Murshidi MM: Bilateral very large calcium oxalate stones in the seminal vesicles: Case report and literature review. Urol Res. 39:509–513. 2011. View Article : Google Scholar : PubMed/NCBI

10 

Shimada M and Yoshida H: Ex vivo ultrathin endoscopy of the seminal vesicles. J Urol. 156:1388–1390. 1996. View Article : Google Scholar : PubMed/NCBI

11 

Ozgok Y, Kilciler M, Aydur E, Saglam M, Irkilata HC and Erduran D: Endoscopic seminal vesicle stone removal. Urology. 65:5912005. View Article : Google Scholar : PubMed/NCBI

12 

Han CH, Liang Q, Dong BZ, Hao L, Fan T, Zhang JJ, Zhang WD, Chen B, Qiu XZ, Zhou XJ and Pei CS: The transurethral seminal vesiculoscopy in the diagnosis and treatment of the seminal vesicle disease. Cell Biochem Biophys. 66:851–853. 2013. View Article : Google Scholar : PubMed/NCBI

13 

King BF, Hattery RR, Lieber MM, Williamson B Jr, Hartman GW and Berquist TH: Seminal vesicle imaging. Radiographics: A review publication of the Radiological Society of North America, Inc. 9:653–676. 1989. View Article : Google Scholar : PubMed/NCBI

14 

Li YK: Diagnosis and management of large seminal vesicle stones. Br J Urol. 68:322–323. 1991. View Article : Google Scholar : PubMed/NCBI

15 

Wilkinson AG: Case report: Calculus in the seminal vesicle. Pediatr Radiol. 23:3271993. View Article : Google Scholar : PubMed/NCBI

16 

Carachi R and Gobara D: Recurrent epididymo-orchitis in a child secondary to a stone in the seminal vesicle. Br J Urol. 79:9971997. View Article : Google Scholar : PubMed/NCBI

17 

Kilciler M, Saglam M, Ozgok Y, Somuncu I, Erduran D and Harmankaya C: Giant seminal vesicle stones. Report of two cases. Urol Int. 69:250–251. 2002. View Article : Google Scholar : PubMed/NCBI

18 

Namjoshi SP: Large bilateral star-shaped calculi in the seminal vesicles. J Postgrad Med. 48:122–123. 2002.PubMed/NCBI

19 

Modi PR: Case report: Endoscopic management of seminal vesicle stones with cutaneous fistula. J Endourol. 20:432–435. 2006. View Article : Google Scholar : PubMed/NCBI

20 

Han P, Yang YR, Zhang XY and Wei Q: Laparoscopic treatment of a calcium fluorophosphate stone within a seminal vesicle cyst. Asian J Androl. 10:337–340. 2008. View Article : Google Scholar : PubMed/NCBI

21 

Yun SJ, Kim TH, Kwon WA, Kim YJ, Lee SC and Kim WJ: A large stone in the dilated left seminal vesicle: Laparoscopic removal and partial seminal vesiculectomy. Korean J Urol. 49:656–658. 2008. View Article : Google Scholar

Related Articles

  • Abstract
  • View
  • Download
  • Twitter
Copy and paste a formatted citation
Spandidos Publications style
Yang H, Wang Y, Gao J, Wang P, Jiang X, Tian D and Hu H: Laparoscopic treatment of a huge seminal vesicle calculus: A case report and review of literature. Exp Ther Med 18: 4799-4803, 2019.
APA
Yang, H., Wang, Y., Gao, J., Wang, P., Jiang, X., Tian, D., & Hu, H. (2019). Laparoscopic treatment of a huge seminal vesicle calculus: A case report and review of literature. Experimental and Therapeutic Medicine, 18, 4799-4803. https://doi.org/10.3892/etm.2019.8160
MLA
Yang, H., Wang, Y., Gao, J., Wang, P., Jiang, X., Tian, D., Hu, H."Laparoscopic treatment of a huge seminal vesicle calculus: A case report and review of literature". Experimental and Therapeutic Medicine 18.6 (2019): 4799-4803.
Chicago
Yang, H., Wang, Y., Gao, J., Wang, P., Jiang, X., Tian, D., Hu, H."Laparoscopic treatment of a huge seminal vesicle calculus: A case report and review of literature". Experimental and Therapeutic Medicine 18, no. 6 (2019): 4799-4803. https://doi.org/10.3892/etm.2019.8160
Copy and paste a formatted citation
x
Spandidos Publications style
Yang H, Wang Y, Gao J, Wang P, Jiang X, Tian D and Hu H: Laparoscopic treatment of a huge seminal vesicle calculus: A case report and review of literature. Exp Ther Med 18: 4799-4803, 2019.
APA
Yang, H., Wang, Y., Gao, J., Wang, P., Jiang, X., Tian, D., & Hu, H. (2019). Laparoscopic treatment of a huge seminal vesicle calculus: A case report and review of literature. Experimental and Therapeutic Medicine, 18, 4799-4803. https://doi.org/10.3892/etm.2019.8160
MLA
Yang, H., Wang, Y., Gao, J., Wang, P., Jiang, X., Tian, D., Hu, H."Laparoscopic treatment of a huge seminal vesicle calculus: A case report and review of literature". Experimental and Therapeutic Medicine 18.6 (2019): 4799-4803.
Chicago
Yang, H., Wang, Y., Gao, J., Wang, P., Jiang, X., Tian, D., Hu, H."Laparoscopic treatment of a huge seminal vesicle calculus: A case report and review of literature". Experimental and Therapeutic Medicine 18, no. 6 (2019): 4799-4803. https://doi.org/10.3892/etm.2019.8160
Follow us
  • Twitter
  • LinkedIn
  • Facebook
About
  • Spandidos Publications
  • Careers
  • Cookie Policy
  • Privacy Policy
How can we help?
  • Help
  • Live Chat
  • Contact
  • Email to our Support Team