Spandidos Publications Logo
  • About
    • About Spandidos
    • Aims and Scopes
    • Abstracting and Indexing
    • Editorial Policies
    • Reprints and Permissions
    • Job Opportunities
    • Terms and Conditions
    • Contact
  • Journals
    • All Journals
    • Oncology Letters
      • Oncology Letters
      • Information for Authors
      • Editorial Policies
      • Editorial Board
      • Aims and Scope
      • Abstracting and Indexing
      • Bibliographic Information
      • Archive
    • International Journal of Oncology
      • International Journal of Oncology
      • Information for Authors
      • Editorial Policies
      • Editorial Board
      • Aims and Scope
      • Abstracting and Indexing
      • Bibliographic Information
      • Archive
    • Molecular and Clinical Oncology
      • Molecular and Clinical Oncology
      • Information for Authors
      • Editorial Policies
      • Editorial Board
      • Aims and Scope
      • Abstracting and Indexing
      • Bibliographic Information
      • Archive
    • Experimental and Therapeutic Medicine
      • Experimental and Therapeutic Medicine
      • Information for Authors
      • Editorial Policies
      • Editorial Board
      • Aims and Scope
      • Abstracting and Indexing
      • Bibliographic Information
      • Archive
    • International Journal of Molecular Medicine
      • International Journal of Molecular Medicine
      • Information for Authors
      • Editorial Policies
      • Editorial Board
      • Aims and Scope
      • Abstracting and Indexing
      • Bibliographic Information
      • Archive
    • Biomedical Reports
      • Biomedical Reports
      • Information for Authors
      • Editorial Policies
      • Editorial Board
      • Aims and Scope
      • Abstracting and Indexing
      • Bibliographic Information
      • Archive
    • Oncology Reports
      • Oncology Reports
      • Information for Authors
      • Editorial Policies
      • Editorial Board
      • Aims and Scope
      • Abstracting and Indexing
      • Bibliographic Information
      • Archive
    • Molecular Medicine Reports
      • Molecular Medicine Reports
      • Information for Authors
      • Editorial Policies
      • Editorial Board
      • Aims and Scope
      • Abstracting and Indexing
      • Bibliographic Information
      • Archive
    • World Academy of Sciences Journal
      • World Academy of Sciences Journal
      • Information for Authors
      • Editorial Policies
      • Editorial Board
      • Aims and Scope
      • Abstracting and Indexing
      • Bibliographic Information
      • Archive
    • International Journal of Functional Nutrition
      • International Journal of Functional Nutrition
      • Information for Authors
      • Editorial Policies
      • Editorial Board
      • Aims and Scope
      • Abstracting and Indexing
      • Bibliographic Information
      • Archive
    • International Journal of Epigenetics
      • International Journal of Epigenetics
      • Information for Authors
      • Editorial Policies
      • Editorial Board
      • Aims and Scope
      • Abstracting and Indexing
      • Bibliographic Information
      • Archive
    • Medicine International
      • Medicine International
      • Information for Authors
      • Editorial Policies
      • Editorial Board
      • Aims and Scope
      • Abstracting and Indexing
      • Bibliographic Information
      • Archive
  • Articles
  • Information
    • Information for Authors
    • Information for Reviewers
    • Information for Librarians
    • Information for Advertisers
    • Conferences
  • Language Editing
Spandidos Publications Logo
  • About
    • About Spandidos
    • Aims and Scopes
    • Abstracting and Indexing
    • Editorial Policies
    • Reprints and Permissions
    • Job Opportunities
    • Terms and Conditions
    • Contact
  • Journals
    • All Journals
    • Biomedical Reports
      • Information for Authors
      • Editorial Policies
      • Editorial Board
      • Aims and Scope
      • Abstracting and Indexing
      • Bibliographic Information
      • Archive
    • Experimental and Therapeutic Medicine
      • Information for Authors
      • Editorial Policies
      • Editorial Board
      • Aims and Scope
      • Abstracting and Indexing
      • Bibliographic Information
      • Archive
    • International Journal of Epigenetics
      • Information for Authors
      • Editorial Policies
      • Editorial Board
      • Aims and Scope
      • Abstracting and Indexing
      • Bibliographic Information
      • Archive
    • International Journal of Functional Nutrition
      • Information for Authors
      • Editorial Policies
      • Editorial Board
      • Aims and Scope
      • Abstracting and Indexing
      • Bibliographic Information
      • Archive
    • International Journal of Molecular Medicine
      • Information for Authors
      • Editorial Policies
      • Editorial Board
      • Aims and Scope
      • Abstracting and Indexing
      • Bibliographic Information
      • Archive
    • International Journal of Oncology
      • Information for Authors
      • Editorial Policies
      • Editorial Board
      • Aims and Scope
      • Abstracting and Indexing
      • Bibliographic Information
      • Archive
    • Medicine International
      • Information for Authors
      • Editorial Policies
      • Editorial Board
      • Aims and Scope
      • Abstracting and Indexing
      • Bibliographic Information
      • Archive
    • Molecular and Clinical Oncology
      • Information for Authors
      • Editorial Policies
      • Editorial Board
      • Aims and Scope
      • Abstracting and Indexing
      • Bibliographic Information
      • Archive
    • Molecular Medicine Reports
      • Information for Authors
      • Editorial Policies
      • Editorial Board
      • Aims and Scope
      • Abstracting and Indexing
      • Bibliographic Information
      • Archive
    • Oncology Letters
      • Information for Authors
      • Editorial Policies
      • Editorial Board
      • Aims and Scope
      • Abstracting and Indexing
      • Bibliographic Information
      • Archive
    • Oncology Reports
      • Information for Authors
      • Editorial Policies
      • Editorial Board
      • Aims and Scope
      • Abstracting and Indexing
      • Bibliographic Information
      • Archive
    • World Academy of Sciences Journal
      • Information for Authors
      • Editorial Policies
      • Editorial Board
      • Aims and Scope
      • Abstracting and Indexing
      • Bibliographic Information
      • Archive
  • Articles
  • Information
    • For Authors
    • For Reviewers
    • For Librarians
    • For Advertisers
    • Conferences
  • Language Editing
Login Register Submit
  • This site uses cookies
  • You can change your cookie settings at any time by following the instructions in our Cookie Policy. To find out more, you may read our Privacy Policy.

    I agree
Search articles by DOI, keyword, author or affiliation
Search
Advanced Search
presentation
Experimental and Therapeutic Medicine
Join Editorial Board Propose a Special Issue
Print ISSN: 1792-0981 Online ISSN: 1792-1015
Journal Cover
December-2019 Volume 18 Issue 6

Full Size Image

Sign up for eToc alerts
Recommend to Library

Journals

International Journal of Molecular Medicine

International Journal of Molecular Medicine

International Journal of Molecular Medicine is an international journal devoted to molecular mechanisms of human disease.

International Journal of Oncology

International Journal of Oncology

International Journal of Oncology is an international journal devoted to oncology research and cancer treatment.

Molecular Medicine Reports

Molecular Medicine Reports

Covers molecular medicine topics such as pharmacology, pathology, genetics, neuroscience, infectious diseases, molecular cardiology, and molecular surgery.

Oncology Reports

Oncology Reports

Oncology Reports is an international journal devoted to fundamental and applied research in Oncology.

Experimental and Therapeutic Medicine

Experimental and Therapeutic Medicine

Experimental and Therapeutic Medicine is an international journal devoted to laboratory and clinical medicine.

Oncology Letters

Oncology Letters

Oncology Letters is an international journal devoted to Experimental and Clinical Oncology.

Biomedical Reports

Biomedical Reports

Explores a wide range of biological and medical fields, including pharmacology, genetics, microbiology, neuroscience, and molecular cardiology.

Molecular and Clinical Oncology

Molecular and Clinical Oncology

International journal addressing all aspects of oncology research, from tumorigenesis and oncogenes to chemotherapy and metastasis.

World Academy of Sciences Journal

World Academy of Sciences Journal

Multidisciplinary open-access journal spanning biochemistry, genetics, neuroscience, environmental health, and synthetic biology.

International Journal of Functional Nutrition

International Journal of Functional Nutrition

Open-access journal combining biochemistry, pharmacology, immunology, and genetics to advance health through functional nutrition.

International Journal of Epigenetics

International Journal of Epigenetics

Publishes open-access research on using epigenetics to advance understanding and treatment of human disease.

Medicine International

Medicine International

An International Open Access Journal Devoted to General Medicine.

Journal Cover
December-2019 Volume 18 Issue 6

Full Size Image

Sign up for eToc alerts
Recommend to Library

  • Article
  • Citations
    • Cite This Article
    • Download Citation
    • Create Citation Alert
    • Remove Citation Alert
    • Cited By
  • Similar Articles
    • Related Articles (in Spandidos Publications)
    • Similar Articles (Google Scholar)
    • Similar Articles (PubMed)
  • Download PDF
  • Download XML
  • View XML

  • Supplementary Files
    • Supplementary_Data.pdf
Article Open Access

Predictive value of plasmacytoid dendritic cells and Toll‑like receptor‑9 regarding the treatment efficacy of interferon‑α in HBeAg‑positive chronic hepatitis B patients

  • Authors:
    • Yue Chen
    • Jia‑En Yang
    • Jing‑Mo Tang
    • Qian‑Guo Mao
    • Qi‑Zhong Zheng
    • Ying Zheng
  • View Affiliations / Copyright

    Affiliations: Department of Hepatology Unit, Xiamen Hospital of Traditional Chinese Medicine, Beijing University of Traditional Chinese Medicine, Xiamen, Fujian 361001, P.R. China, Department of Pathology, Xiamen Hospital of Traditional Chinese Medicine, Beijing University of Traditional Chinese Medicine, Xiamen, Fujian 361001, P.R. China
    Copyright: © Chen et al. This is an open access article distributed under the terms of Creative Commons Attribution License.
  • Pages: 4541-4546
    |
    Published online on: November 1, 2019
       https://doi.org/10.3892/etm.2019.8161
  • Expand metrics +
Metrics: Total Views: 0 (Spandidos Publications: | PMC Statistics: )
Metrics: Total PDF Downloads: 0 (Spandidos Publications: | PMC Statistics: )
Cited By (CrossRef): 0 citations Loading Articles...

This article is mentioned in:



Abstract

Hepatitis B virus (HBV) infection represents a public health threat and a challenge for the medical community. Untimely treatment may lead to liver cirrhosis and even liver cancer. At present, the major treatment for hepatitis B e antigen (HBeAg)‑positive chronic hepatitis B patients includes administration of interferon‑α (IFN‑α), which has anti‑viral and immunomodulatory effects. Plasmacytoid dendritic cells (pDCs) and Toll‑like receptor-9 (TLR‑9) have important roles in anti‑viral therapy. However, their predictive value regarding the efficacy of IFN‑α treatment of HBeAg‑positive chronic hepatitis B (CHB) patients has remained elusive. A total of 178 patients with CHB and HBeAg‑positive status, who had not received any previous anti‑HBV treatment, were enrolled in the present study. All patients were treated with IFN‑α. HBV DNA load, hepatitis B surface antigen and serum alanine aminotransferase were measured prior to and following 48 weeks of treatment. According to HBV levels, the patients were divided into a response group and non‑responders group. To determine the amount of pDCs, blood dendritic cell antigen 2 (BDCA‑2)‑ and immunoglobulin‑like transcript 7 (ILT7)‑expressing cells in liver biopsies were detected using immunohistochemistry. TLR‑9 expression in peripheral blood mononuclear cells was determined by reverse transcription‑quantitative PCR. There was no significant difference in the proportion of pDCs (BDCA‑2; ILT7) and TLR‑9 mRNA expression between the response group and the non‑responders group prior to IFN‑α treatment. After IFN‑α treatment, BDCA‑2, ILT7 and TLR‑9 mRNA expression was obviously increased in the response group compared with that in the non‑responders group (P<0.05). Increased expression of BDCA‑2, ILT7 and TLR‑9 mRNA was negatively correlated with HBV DNA (P<0.05). Increased levels of pDCs and TLR‑9 were negatively correlated with HBV DNA, and were thus capable of predicting the IFN‑α treatment response in patients with CHB and HBeAg‑positive status.

Introduction

The hepatitis B virus (HBV) infection rate remains high throughout the world. Hundreds of millions of infected individuals have chronic hepatitis B (CHB), which represents a serious threat to public health (1,2). China is a moderately endemic area of HBV infection, the treatment of which is thus one of the serious challenges for China's medical community (3,4). After initial acute infection, certain individuals continue to be infected, the disease gradually turns into CHB. Untimely treatment may lead to cirrhosis and even liver cancer (5). At present, the major therapeutic measures for patients with CHB include nucleotide drugs and IFN-α, the latter of which is more advantageous due to exerting anti-viral and immunomodulatory effects with low drug resistance (6,7). At present, the goal of HBV treatment is to inhibit viral replication for a long time, thereby reducing hepatic inflammatory necrosis, reducing liver tissue fibrosis and improving the prognosis in terms of CHB (8). However, the efficacy of IFN therapy remains limited. The hepatitis B e antigen (HBeAg)-negative rate of patients with HBeAg-positive CHB is low and the treatment cost is high (9,10). Therefore, it is important to effectively evaluate the efficacy of IFN-α in the treatment of patients with HBeAg-positive CHB.

Dendritic cells (DCs) are potent antigen-presenting cells that activate primary T cells and participate in immune response processes, including anti-viral response (11). Plasmacytoid DCs (pDCs), which secrete a large amount of type I IFN, are among the naturally occurring type I IFN cells and therefore have strong anti-viral effects (12,13). Toll-like receptors (TLRs) are pattern recognition receptors that participate in the innate immune response by recognizing pathogen-associated molecular patterns. TLR family members include TLR1-TLR11 (14). TLR9 is a member of the TLR family and has an important role in the anti-viral response. It has been identified that pDCs express TLR9 on their surface, and a TLR9 expression deficit leads to inability of pDCs to secrete type I IFN during viral infection (15,16). However, in the process of IFN-α treatment of HBeAg-positive CHB patients, no previous study has reported on the detection of pDCs and the expression of TLR9, to the best of our knowledge. Therefore, the aim of the present study was to analyze the correlation of pDCs and TLR9 expression with HBV DNA in HBeAg-positive CHB patients receiving IFN therapy in order to evaluate the predictive value regarding treatment response.

Materials and methods

General patient information

A total of 178 patients with HBeAg-positive CHB who were not previously treated for HBV were enrolled at Xiamen Hospital of Traditional Chinese Medicine (Xiamen, China) between January 2014 and December 2015. The patients had a mean age of 34.83±12.3 years (range, 15–62 years). The enrolled patients were treated with recombinant type I IFN-α; a variety of different forms of IFN-α are under development and clinical investigation (17).

The inclusion criteria were as follows: Compliance with diagnostic criteria based on the Guidelines for the Prevention and Treatment of Chronic Hepatitis B published by Chinese Medical Association Liver Diseases Branch and the Chinese Medical Association Infectious Diseases Branch (18); IFN-α treatment (subcutaneous injection at 5MU, 3 times a week) for 48 weeks, and in all of the responder cases, alanine aminotransferase (ALT) levels were normal after 6 months of IFN-α treatment (19). The exclusion criteria were as follows: Combination with other type of hepatitis virus infection or HIV infection; combination with autoimmune diseases, including hyperthyroidism, thyroiditis or systemic lupus erythematosus; combination with severe heart disease, tumor, or dysfunction or failure of a vital organ; recent anti-viral or immunomodulatory therapy; recent liver protection or enzyme-lowering therapy; pregnancy; mental disorders that limit the ability of the patient to cooperate with the research; and poor compliance. The patients were divided into a response group and non-responders group based on treatment outcomes (levels of HBV DNA). A total of 40 healthy individuals with matched age and gender were selected and used as the normal controls. The current study was approved by the Medical Ethics Committee of Xiamen Hospital of Traditional Chinese Medicine (Xiamen, China) and all subjects had provided written informed consent.

Major reagents and instruments

The hepatitis B surface antigen (HBsAg) enhanced chemiluminescence detection kit was purchased from Roche Diagnostics. RNA extraction kit (cat. no. AP-MN-MS-RNA-250) was from Axygen; Corning Inc., and reverse transcription (RT) kit was purchased from Takara Biotechnology Co., Ltd. (cat. no. RR037A). Mouse anti-human BDCA-2 (cat. no. 748001) and ILT7 monoclonal antibodies (cat. no. 562500) were purchased from BD Pharmigen; BD Biosciences. Goat anti-mouse biotin-labeled secondary antibody (cat. no. 31800), diaminobenzidine (DAB) chromogenic reagent and immunohistochemistry (IHC) streptavidin peroxidase conjugated method (SP) kit were purchased from Zymed (Thermo Fisher Scientific, Inc.). The Labsystem Version 1.3.1 microplate reader was purchased from Bio-Rad Laboratories, Inc. The ABI 7700 Fast Quantitative PCR Reactor was from ABI (Thermo Fisher Scientific, Inc.). The Cobas c311 automatic biochemical analyzer was purchased from Roche Diagnostics. The C6015-2 B-ultrasonic instrument was purchased from SonoSite, Inc.

Sample collection

Peripheral blood was collected from patients with CHB prior to and following 48 weeks of treatment. Peripheral blood (8 ml) was drawn into tubes coated with EDTA. Within 30 min, samples were centrifuged at 820 × g for 10 min at room temperature, generating the one-step centrifugation plasma sample (~4 ml). Aliquots of 1 ml of the plasma were transferred to 1.5-ml tubes and centrifuged at 16,000 × g for 10 min at room temperature. Subsequently, white particles (e.g. cellular debris) were removed from the bottom of the tube and the supernatant, the two-step centrifugation plasma sample, was obtained and transferred to a fresh tube (~2 ml). Liver tissue was collected by liver biopsy for IHC staining under the guidance of liver B-ultrasound for localization. A 18G cook biopsy needle was used. The liver tissue specimen was >1.5 cm in length, or with intact hepatic lobules containing >3 portal areas.

Liver routine indicator test

The ALT content in plasma was detected using an automated biochemical analyzer. HBsAg was quantified using chemiluminescence. RT-quantitative (RT-q) PCR was used to detect HBV DNA with a sensitivity of 500 copies/ml.

RT-qPCR

Total RNA was extracted from peripheral blood mononuclear cells with TRIzol reagent according to the manufacturer's protocol. Next, total RNA was reverse transcribed to complementary DNA using the RT kit. Rox SYBR Master Mix (Eurogentec) was used for qPCR. The primers used were designed using PrimerPremier 6.0 software (Premier Biosoft International). The PCR thermocycling conditions were as follows: 55°C for 1 min, followed by 35 cycles of 92°C for 30 sec, 60°C for 30 sec and 72°C for 30 sec. GAPDH was used as a loading control. The relative expression was calculated using the 2−ΔΔCq method (20). The sequences of the PCR primers (5′-3′) were as follows: GADPH forward, AGTACCAGTCTGTTGCTGG, and reverse, TAATAGACCCGGATGTCTGGT; TLR9 forward, CCAGTCATTCACGGCTCTTGTA and reverse, GCGTCGATGGTTGTGCTAATT.

IHC

The paraffin blocks from liver biopsies were fixed in 10% neutral buffered formalin were processed into 4–5 µm paraffin sections. The pDC cell surface markers BDCA-2 (1:1,000 dilution of an antibody) and ILT7 (1:1,000 dilution of an antibody) were detected by IHC SP method. The tissue slice was dewaxed and incubated in 3% H2O2 (VWR International) for 8 min at room temperature to eliminate endogenous peroxidase activity. After blocking with 5% normal goat serum (Thermo Fisher Scientific, Inc.), the slice was incubated with the corresponding primary antibodies against BDCA-2, ILT7 or TLR-9 at 4°C overnight. After washing with PBS, the slice was incubated in biotin-labeled secondary antibody (1:5,000) at 37°C for 30 min. Next, the slice was incubated in horseradish-labeled streptavidin (0.25 mg/ml) at 37°C for 30 min. The sample was then incubated with DAB Plus (cat. no. K3468; Dako) for 4 min at 37°C, followed by incubation with hematoxylin as the counterstain (Automation Hematoxylin; cat. no. S3301; Dako) at 37°C for 5 min. The slice was then washed with water. Finally, the slice was redyed with hematoxylin for 30 sec at 37°C, sealed and observed under a light microscope (BX63 model; Olympus Corporation).

Statistical analysis

The continuous measurement data conforming to a normal distribution were expressed as the mean ± standard deviation and compared by a student's t-test. All statistical analyses were performed with SPSS 11.5 software (SPSS, Inc.). Enumeration data were compared using the χ2 test. Pearson analysis was adopted for correlation analysis. P<0.05 was considered to indicate statistical significance.

Results

General information

The characteristics of the entire study cohort are provided in Table I. The clinicopathological features of the responders and non-responders are compared in Table II. There was no significant difference in the general clinical data between the two groups, including gender, age and body weight. IFN-α-treated patients had a higher cumulative incidence of HBeAg seroconversion and a lower incidence of cirrhosis and hepatocellular cancer than for untreated controls at the end of follow-up (median, 6.8 years; range, 1.1–16.5 years; Table II).

Table I.

Characteristics of the study cohort (n=178).

Table I.

Characteristics of the study cohort (n=178).

CharacteristicValue
Age (years)34.83±12.3
Male145 (74.0)
HBcrAg (log U/ml)7.72±1.1
HBV DNA (log IU/ml)7.58±1.4
HBsAg (log IU/ml)4.02±1.1
HBeAg (log IU/ml)2.13±0.99
HBV genotype
  A42 (21.4)
  B32 (16.3)
  C48 (26.9)
  D49 (27.5)
  Other/mixed6 (3.1)
  Missing1 (0.5)

[i] Values are expressed as the mean ± standard deviation or n (%). HBV, hepatitis B virus; HBeAg, hepatitis B e antigen; HBsAg, hepatitis B surface antigen; HBcrAg, hepatitis B core-related antigen.

Table II.

General patient information compared between responders and non-responders.

Table II.

General patient information compared between responders and non-responders.

ParameterNon-responders (n=101)Response (n=77)P-value
Sex (male/female)62/4941/360.120
Age (years)40.7±4.142.1±5.80.080
Body weight (kg)59.8±6.360.1±5.30.230
Cirrhosis34 (34%)14 (18%)0.041
Hepatocellular carcinoma13 (13%)2 (3%)0.011
HBeAg seroconversion52 (52%)58 (75%)0.031
HBsAg clearance40 (0.4%)2 (3%)0.030

[i] Mean, 11 years; median, 6.6 years; range, 1.1–16.5 years. Values are expressed as the mean ± standard deviation or n (%). All data were obtained at the end of the follow-up. HBeAg, hepatitis B e antigen; HBsAg, hepatitis B surface antigen.

Analysis of liver function indicators

There was no significant difference in ALT, HBV DNA load and HBsAg between the response group and the non-responders group prior to IFN-α treatment. After treatment, the ALT levels, HBV DNA load and HBsAg expression were obviously different between the two groups (P<0.05; Table III). The amount of pDCs and TLR-9 were higher in normal than in HBeAg-positive CHB patients (Fig. S1)

Table III.

Analysis of liver function indicators.

Table III.

Analysis of liver function indicators.

ParameterNon-responders (n=101)Response (n=77)
ALT (U/l)
  Prior to treatment120±25130±17
  After treatment79±16a32±8a,b
HBV DNA (copies/ml)
  Prior to treatment 0.93±1.92×108 0.81±3.21×108
  After treatment 0.31±1.32×108a0a,b
HBsAg (IU/ml)
  Prior to treatment 43712.15±5672.23 46789.67±6172.42
  After treatment 122564.21±4987.62a 3982.17±25631.1a,b

a P<0.05 compared with prior to treatment

b P<0.05 compared with non-responders group. Values are expressed as the mean ± standard deviation. HBV, hepatitis B virus; HBsAg, hepatitis B surface antigen; ALT, alanine amiontransferase.

pDC analysis

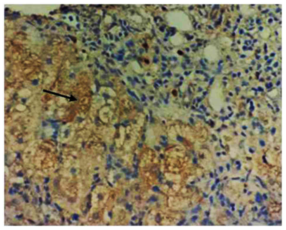
The changes in the levels of pDCs in the response group and non-responders group prior to and after treatment with IFN-α were analyzed. The pDC markers BDCA-2 and ILT7 were detected by IHC analysis, and they were uniformly expressed throughout the cytoplasm of these cells (Fig. 1, arrow). There was no significant difference in amount of pDCs (BDCA-2 and ILT7 expressions) between the response group and the non-responders group prior to IFN-α treatment. After IFN-α treatment, BDCA-2 and ILT7 expression was obviously increased in the response group compared with that in the non-responders group (P<0.05; Fig. 2).

Figure 1.

Representative image for the immunohistochemical detection of blood dendritic cell antigen 2- and immunoglobulin-like transcript 7-positive pDC cells. Positive staining was observed in the cytoplasm (black arrow; magnification, ×100).

Figure 2.

Analysis of the amount of pDCs (BDCA-2 and ILT7 positive cell numbers) in the two groups prior to and after treatment. Blood dendritic cell antigen 2 and immunoglobulin-like transcript 7 were detected by immunohistochemistry with the SP method. *P<0.05 compared with before treatment; #P<0.05, compared with non-responders group. pDCs, plasmacytoid dendritic cells; SP, streptavidin peroxidase.

TLR-9 expression analysis

TLR-9 mRNA expression in the response group and non-responders group prior to and after treatment with IFN-α was assessed by RT-qPCR. There was no statistically significant difference in TLR-9 mRNA expression between the response group and the non-responders group prior to IFN-α treatment. After IFN-α treatment, TLR-9 mRNA expression was markedly upregulated in the response group compared with that in the non-responders group (P<0.05; Fig. 3). It was then investigated which type of cell was responsible for the increase in the expression of TLR9 after anti-viral therapy. The expression of TLR9 in the cytoplasm of epithelial cells in the liver biopsies of the response group was higher than that in the non-responders group after anti-viral therapy (Fig. S2)

Figure 3.

TLR-9 expression in the two groups prior to and after treatment. *P<0.05 compared with prior to treatment; #P<0.05 compared with non-responders group. TLR, Toll-like receptor.

Correlation analysis of pDCs or TLR-9 expression with HBV DNA content

The correlation between pDCs or TLR-9 expression and HBV DNA content was then analyzed. It was demonstrated that with the increase of pDCs and TLR-9 expression, the HBV DNA content declined. Therefore, these parameters were negatively correlated with the HBV DNA content (P<0.05), suggesting that pDCs and TLR-9 expressions may predict the IFN-α treatment response in patients with HBeAg-positive CHB (Table IV).

Table IV.

Correlation analysis of pDCs and TLR-9 expression with HBV DNA content.

Table IV.

Correlation analysis of pDCs and TLR-9 expression with HBV DNA content.

CorrelationR-valueP-value
pDCs vs. HBV DNA−0.718<0.05
TLR-9 vs. HBV DNA−0.672<0.05

[i] TLR, Toll-like receptor; HBV, hepatitis B virus; pDCs, plasmacytoid dendritic cells.

Discussion

pDCs are mainly produced by bone marrow hematopoietic stem cells, which are continuously released into peripheral blood as plasma-like cells. They specifically express TLR-7 and TLR-9, and the type I IFN produced may directly exert anti-viral effects. At the same time, the anti-viral ability of natural killer (NK) and B lymphocytes is enhanced, so that pDCs stimulate the innate as well as the acquired immune response, which resembles a bridge between innate immunity and specific immune response (21). It has been observed in vitro that that administration of IFN-α promotes the maturation of pDCs and promotes the production of IL-12, thereby acting on CD40-activated B cells to promote plasma cells and immunoglobulin secretion (22,23). Therefore, pDCs are involved in the activation of T cells, B cells and NK cells. During viral infection, pDCs differentiate into mature DCs and regulate T-cell function. It is of great clinical significance to explore the expression and role of pDCs in infection and treatment of CHB patients. However, there is currently a lack of established specific surface markers for pDCs. Since ILT7 and BDCA-2 are selectively expressed in pDCs, which are human pDC-specific and not expressed in any other mature DCs or peripheral lymphocytes, they were used as specific markers for pDCs in the present study (24,25). The present results confirmed that after IFN-α treatment, the expression of BDCA-2 and ILT7 in the response group was significantly higher than that in the non-responders group, suggesting that the expression of pDCs predicts the IFN-α treatment response in HBeAg-positive CHB patients.

TLR-9 is only expressed on the surface of human B cells and pDCs. The surface molecules on pDCs include BDCA-2 and ITL7, and they may be upregulated upon activation with TLR-9. The TLR7/9-dependent pathway appears to be a predominant mode of nucleic acid sensing in pDCs, but is essential for TLR9-induced IFN production by pDCs. This indirectly accelerates the maturation, differentiation and proliferation of lymphocytes (26,27). TLR-9 assists pDCs in chemotaxis of lymph nodes and aggregation, which in turn assists in the exertion of the anti-viral effect (28). The direct causal association between pDC-derived IFN and lupus progression/severity is difficult to establish in the human system and is to be elucidated in animal models (29).

In the present study, the expression of TLR-9 was analyzed in the peripheral blood of patients with HBeAg-positive CHB treated with IFN-α, providing a reference for the safe and effective treatment of HBV infection. The present study confirmed that after IFN-α treatment, the mRNA expression of TLR-9 was markedly upregulated in the response group compared with that in the non-responders group, and was negatively correlated with the HBV DNA content, suggesting that the expression of TLR-9 may also predict the treatment effect of IFN-α. In line with this, previous studies suggested that markers of fibrosis were obviously higher in non-responders than in responders (30,31). In the present study, TLR-9 expression was detected in peripheral blood mononuclear cells and not in liver tissues, which is a limitation.

The present study demonstrated changes in the levels of pDCs and the expression of TLR-9 in patients with HBeAg-positive CHB treated with IFN-α, and analyzed their predictive significance regarding treatment response. Further study is required to explore the mechanistic roles of pDCs and TLR-9 in the treatment of CHB patients with IFN-α.

In conclusion, increased levels of pDCs and TLR-9 were negatively correlated with HBV DNA, and may thus predict the IFN-α treatment response in patients with HBeAg-positive CHB. The present study provided a theoretical basis for selecting more effective anti-HBV programs for patients with CHB. However, as the range of follow-up is very wide, further studies with close follow-ups are required to confirm this finding in the future.

Supplementary Material

Supporting Data

Acknowledgements

Not applicable.

Funding

This work was supported by the Xiamen Science and Technology Fund (grant no. 3502Z20144028).

Availability of data and materials

All data generated or analyzed during this study are included in this published article.

Authors' contributions

YC, JEY, JMT, QGM and QZZ performed the experiments and analyzed the data. YZ designed the study and wrote the manuscript.

Ethics approval and consent to participate

The current study was approved by the Xiamen Hospital of Traditional Chinese Medicine and consent was obtained for participation.

Patient consent for publication

Informed consent for the publication of data was obtained from all patients.

Competing interests

The authors declare that they have no competing interests.

Glossary

Abbreviations

Abbreviations:

HBV

hepatitis B virus

HBeAg

hepatitis B e antigen

IFN-α

interferon-α

pDCs

plasmacytoid dendritic cells

TLR-9

Toll-like receptor-9

ALT

alanine aminotransferase

BDCA-2

blood dendritic cell antigen 2

ILT7

immunoglobulin-like transcript 7

References

1 

Tang X, Yan L, Li H, Du L, Shi Y, Huang F and Tang H: Increased expression of phosphoenolpyruvate carboxykinase cytoplasmic isoform by hepatitis B virus X protein affects hepatitis B virus replication. J Med Virol. 91:258–264. 2019. View Article : Google Scholar : PubMed/NCBI

2 

Yambasu EE, Reid A, Owiti P, Manzi M, Murray MJS and Edwin AK: Hidden dangers-prevalence of blood borne pathogens, hepatitis B, C, HIV and syphilis, among blood donors in Sierra Leone in 2016: Opportunities for improvement: A retrospective, cross-sectional study. Pan Afr Med J. 30:442018. View Article : Google Scholar : PubMed/NCBI

3 

Herrero-Fernández I, Rosado-Sánchez I, Genebat M, Tarancón-Díez L, Rodríguez-Méndez MM, Pozo-Balado MM, Lozano C, Ruiz-Mateos E, Leal M and Pacheco YM: Improved CD4 T cell profile in HIV-infected subjects on maraviroc-containing therapy is associated with better responsiveness to HBV vaccination. J Transl Med. 16:2382018. View Article : Google Scholar : PubMed/NCBI

4 

Chen M, Du D, Zheng W, Liao M, Zhang L, Liang G and Gong M: Small hepatitis delta antigen selectively binds to target mRNA in hepatic cells: A potential mechanism by which hepatitis D virus down-regulates glutathione S-transferase P1 and induces liver injury and hepatocarcinogenesis. Biochem Cell Biol. 97:130–139. 2019. View Article : Google Scholar : PubMed/NCBI

5 

Howell J, Pedrana A, Cowie BC, Doyle J, Getahun A, Ward J, Gane E, Cunningham C, Wallace J, Lee A, et al: Aiming for the elimination of viral hepatitis in Australia, New Zealand, the Pacific Islands and Territories: Where are we now and barriers to meeting WHO targets by 2030. J Gastroenterol Hepatol. 34:40–48. 2019. View Article : Google Scholar : PubMed/NCBI

6 

Li MR, Zheng HW, Ma SM, Liu YY, Qie LX, Li JQ, Wang DH, Sun XL, Ren GF, Zheng YH, et al: Correlations between serum hepatitis B surface antigen and hepatitis B core antibody titers and liver fibrosis in treatment-naive CHB patients. J Chin Med Assoc. 81:1052–1059. 2018. View Article : Google Scholar : PubMed/NCBI

7 

Yang J, Yang G, He H, Ning L, Liu Z, Fu Q, Chen H, Deng H, Wang Z and Luo K: Association of characteristics of HBV quasispecies with hepatitis B surface antigen seroconversion after pegylated interferon-α-2a treatment in child patients. Antivir Ther. 23:567–574. 2018. View Article : Google Scholar : PubMed/NCBI

8 

Lutterkort GL, Wranke A, Hengst J, Yurdaydin C, Stift J, Bremer B, Hardtke S, Keskin O, Idilman R, Manns MP, et al: Viral dominance patterns in chronic hepatitis delta determine early response to interferon alpha therapy. J Viral Hepat. 25:1384–1394. 2018. View Article : Google Scholar : PubMed/NCBI

9 

Cao WH, Li MH, Pan CQ, Lu Y, Zhang L, Ran CP, Wu SL, Hua WH, Liu SA, Shen G, et al: Quantitation of plasmacytoid dendritic cells in chronic hepatitis B patients with HBeAg positivity during PEG-IFN and entecavir therapy. J Interferon Cytokine Res. 38:197–205. 2018. View Article : Google Scholar : PubMed/NCBI

10 

Karamitros T, Papatheodoridis G, Paraskevis D, Hatzakis A, Mbisa JL, Georgopoulou U, Klenerman P and Magiorkinis G: Impact of interferon-α receptor-1 promoter polymorphisms on the transcriptome of the hepatitis B virus-associated hepatocellular carcinoma. Front Immunol. 9:7772018. View Article : Google Scholar : PubMed/NCBI

11 

Sepulveda-Toepfer JA, Pichler J, Fink K, Sevo M, Wildburger S, Mudde-Boer LC, Taus C and Mudde GC: TLR9-mediated activation of dendritic cells by CD32 targeting for the generation of highly immunostimulatory vaccines. Hum Vaccin Immunother. 15:179–188. 2019. View Article : Google Scholar : PubMed/NCBI

12 

Tomasello E, Naciri K, Chelbi R, Bessou G, Fries A, Gressier E, Abbas A, Pollet E, Pierre P, Lawrence T, et al: Molecular dissection of plasmacytoid dendritic cell activation in vivo during a viral infection. EMBO J. 37:e988362018. View Article : Google Scholar : PubMed/NCBI

13 

Wimmers F, Subedi N, van Buuringen N, Heister D, Vivié J, Beeren-Reinieren I, Woestenenk R, Dolstra H, Piruska A, Jacobs JF, et al: Single-cell analysis reveals that stochasticity and paracrine signaling control interferon-alpha production by plasmacytoid dendritic cells. Nat Commun. 9:33172018. View Article : Google Scholar : PubMed/NCBI

14 

Frank MJ, Reagan PM, Bartlett NL, Gordon LI, Friedberg JW, Czerwinski DK, Long SR, Hoppe RT, Janssen R, Candia AF, et al: In situ vaccination with a TLR 9 agonist and local low dose radiation induces systemic responses in untreated indolent lymphoma. Cancer Discov. 8:1258–1269. 2018. View Article : Google Scholar : PubMed/NCBI

15 

Atreya R, Reinisch W, Peyrin-Biroulet L, Scaldaferri F, Admyre C, Knittel T, Kowalski J, Neurath MF and Hawkey C: Clinical efficacy of the Toll-like receptor 9 agonist cobitolimod using patient-reported-outcomes defined clinical endpoints in patients with ulcerative colitis. Dig Liver Dis. 50:1019–1029. 2018. View Article : Google Scholar : PubMed/NCBI

16 

Xu J, Lee JW, Park SK, Lee SB, Yoon YH, Yeon SH, Rha KS, Choi JA, Song CH and Kim YM: Toll-like receptor 9 ligands increase type I interferon induced B-cell activating factor expression in chronic rhinosinusitis with nasal polyposis. Clin Immunol. 197:19–26. 2018. View Article : Google Scholar : PubMed/NCBI

17 

Gibbert K, Schlaak JF, Yang D and Dittmer U: IFN-α subtypes: Distinct biological activities in anti-viral therapy. Br J Pharmacol. 168:1048–1058. 2013. View Article : Google Scholar : PubMed/NCBI

18 

Hou J, Wang G, Wang F, Cheng J, Ren H, Zhuang H, Sun J, Li L, Li J, Meng Q, et al: Guideline of prevention and treatment for chronic hepatitis B (2015 update). J Clin Transl Hepatol. 5:297–318. 2017. View Article : Google Scholar : PubMed/NCBI

19 

Zhu S, Zhang H, Dong Y, Wang L, Xu Z, Liu W, Gan Y, Tang H, Chen D, Wang F and Zhao P: Antiviral therapy in hepatitis B virus-infected children with immune-tolerant characteristics: A pilot open-label randomized study. J Hepatol. 68:1123–1128. 2018. View Article : Google Scholar : PubMed/NCBI

20 

Livak KJ and Schmittgen TD: Analysis of relative gene expression data using real-time quantitative PCR and the 2(-Delta Delta C(T) method. Methods. 25:402–408. 2001. View Article : Google Scholar : PubMed/NCBI

21 

Xi Y, Troy NM, Anderson D, Pena OM, Lynch JP, Phipps S, Bosco A and Upham JW: Critical role of plasmacytoid dendritic cells in regulating gene expression and innate immune responses to human rhinovirus-16. Front Immunol. 8:13512017. View Article : Google Scholar : PubMed/NCBI

22 

Cédile O, Jørgensen LØ, Frank I, Wlodarczyk A and Owens T: The chemokine receptor CCR2 maintains plasmacytoid dendritic cell homeostasis. Immunol Lett. 192:72–78. 2017. View Article : Google Scholar : PubMed/NCBI

23 

Ainola M, Porola P, Takakubo Y, Przybyla B, Kouri VP, Tolvanen TA, Hänninen A and Nordström DC: Activation of plasmacytoid dendritic cells by apoptotic particles-mechanism for the loss of immunological tolerance in Sjögren's syndrome. Clin Exp Immunol. 191:301–310. 2018. View Article : Google Scholar : PubMed/NCBI

24 

Ruben JM, García-Romo GS, Breman E, van der Kooij S, Redeker A, Arens R and van Kooten C: Human plasmacytoid dendritic cells acquire phagocytic capacity by TLR9 ligation in the presence of soluble factors produced by renal epithelial cells. Kidney Int. 93:355–364. 2018. View Article : Google Scholar : PubMed/NCBI

25 

Murayama G, Furusawa N, Chiba A, Yamaji K, Tamura N and Miyake S: Enhanced IFN-α production is associated with increased TLR7 retention in the lysosomes of palasmacytoid dendritic cells in systemic lupus erythematosus. Arthritis Res Ther. 19:2342017. View Article : Google Scholar : PubMed/NCBI

26 

Torigoe M, Sakata K, Ishii A, Iwata S, Nakayamada S and Tanaka Y: Hydroxychloroquine efficiently suppresses inflammatory responses of human class-switched memory B cells via Toll-like receptor 9 inhibition. Clin Immunol. 195:1–7. 2018. View Article : Google Scholar : PubMed/NCBI

27 

Han N, Zhang Z, Jv H, Hu J, Ruan M and Zhang C: Culture supernatants of oral cancer cells induce impaired IFN-α production of pDCs partly through the down-regulation of TLR-9 expression. Arch Oral Biol. 93:141–148. 2018. View Article : Google Scholar : PubMed/NCBI

28 

White MP, Webster G, Leonard F and La Flamme AC: Innate IFN-γ ameliorates experimental autoimmune encephalomyelitis and promotes myeloid expansion and PDL-1 expression. Sci Rep. 8:2592018. View Article : Google Scholar : PubMed/NCBI

29 

Reizis B, Bunin A, Ghosh HS, Lewis KL and Sisirak V: Plasmacytoid dendritic cells: Recent progress and open questions. Annu Rev Immunol. 29:163–83. 2011. View Article : Google Scholar : PubMed/NCBI

30 

Lebensztejn DM, Sobaniec-Lotowska ME, Kaczmarski M, Voelker M and Schuppan D: Matrix-derived serum markers in monitoring liver fibrosis in children with chronic hepatitis B treated with interferon alpha. World J Gastroenterol. 12:3338–3343. 2006. View Article : Google Scholar : PubMed/NCBI

31 

Lebensztejn DM, Sobaniec-Łotowska ME, Bauer M, Kaczmarski M, Voelker M and Schuppan D: Serum fibrosis markers as predictors of an antifibrotic effect of interferon alfa in children with chronic hepatitis B. Eur J Gastroenterol Hepatol. 17:843–848. 2005. View Article : Google Scholar : PubMed/NCBI

Related Articles

  • Abstract
  • View
  • Download
  • Twitter
Copy and paste a formatted citation
Spandidos Publications style
Chen Y, Yang JE, Tang JM, Mao QG, Zheng QZ and Zheng Y: Predictive value of plasmacytoid dendritic cells and Toll‑like receptor‑9 regarding the treatment efficacy of interferon‑α in HBeAg‑positive chronic hepatitis B patients. Exp Ther Med 18: 4541-4546, 2019.
APA
Chen, Y., Yang, J., Tang, J., Mao, Q., Zheng, Q., & Zheng, Y. (2019). Predictive value of plasmacytoid dendritic cells and Toll‑like receptor‑9 regarding the treatment efficacy of interferon‑α in HBeAg‑positive chronic hepatitis B patients. Experimental and Therapeutic Medicine, 18, 4541-4546. https://doi.org/10.3892/etm.2019.8161
MLA
Chen, Y., Yang, J., Tang, J., Mao, Q., Zheng, Q., Zheng, Y."Predictive value of plasmacytoid dendritic cells and Toll‑like receptor‑9 regarding the treatment efficacy of interferon‑α in HBeAg‑positive chronic hepatitis B patients". Experimental and Therapeutic Medicine 18.6 (2019): 4541-4546.
Chicago
Chen, Y., Yang, J., Tang, J., Mao, Q., Zheng, Q., Zheng, Y."Predictive value of plasmacytoid dendritic cells and Toll‑like receptor‑9 regarding the treatment efficacy of interferon‑α in HBeAg‑positive chronic hepatitis B patients". Experimental and Therapeutic Medicine 18, no. 6 (2019): 4541-4546. https://doi.org/10.3892/etm.2019.8161
Copy and paste a formatted citation
x
Spandidos Publications style
Chen Y, Yang JE, Tang JM, Mao QG, Zheng QZ and Zheng Y: Predictive value of plasmacytoid dendritic cells and Toll‑like receptor‑9 regarding the treatment efficacy of interferon‑α in HBeAg‑positive chronic hepatitis B patients. Exp Ther Med 18: 4541-4546, 2019.
APA
Chen, Y., Yang, J., Tang, J., Mao, Q., Zheng, Q., & Zheng, Y. (2019). Predictive value of plasmacytoid dendritic cells and Toll‑like receptor‑9 regarding the treatment efficacy of interferon‑α in HBeAg‑positive chronic hepatitis B patients. Experimental and Therapeutic Medicine, 18, 4541-4546. https://doi.org/10.3892/etm.2019.8161
MLA
Chen, Y., Yang, J., Tang, J., Mao, Q., Zheng, Q., Zheng, Y."Predictive value of plasmacytoid dendritic cells and Toll‑like receptor‑9 regarding the treatment efficacy of interferon‑α in HBeAg‑positive chronic hepatitis B patients". Experimental and Therapeutic Medicine 18.6 (2019): 4541-4546.
Chicago
Chen, Y., Yang, J., Tang, J., Mao, Q., Zheng, Q., Zheng, Y."Predictive value of plasmacytoid dendritic cells and Toll‑like receptor‑9 regarding the treatment efficacy of interferon‑α in HBeAg‑positive chronic hepatitis B patients". Experimental and Therapeutic Medicine 18, no. 6 (2019): 4541-4546. https://doi.org/10.3892/etm.2019.8161
Follow us
  • Twitter
  • LinkedIn
  • Facebook
About
  • Spandidos Publications
  • Careers
  • Cookie Policy
  • Privacy Policy
How can we help?
  • Help
  • Live Chat
  • Contact
  • Email to our Support Team