Spandidos Publications Logo
  • About
    • About Spandidos
    • Aims and Scopes
    • Abstracting and Indexing
    • Editorial Policies
    • Reprints and Permissions
    • Job Opportunities
    • Terms and Conditions
    • Contact
  • Journals
    • All Journals
    • Oncology Letters
      • Oncology Letters
      • Information for Authors
      • Editorial Policies
      • Editorial Board
      • Aims and Scope
      • Abstracting and Indexing
      • Bibliographic Information
      • Archive
    • International Journal of Oncology
      • International Journal of Oncology
      • Information for Authors
      • Editorial Policies
      • Editorial Board
      • Aims and Scope
      • Abstracting and Indexing
      • Bibliographic Information
      • Archive
    • Molecular and Clinical Oncology
      • Molecular and Clinical Oncology
      • Information for Authors
      • Editorial Policies
      • Editorial Board
      • Aims and Scope
      • Abstracting and Indexing
      • Bibliographic Information
      • Archive
    • Experimental and Therapeutic Medicine
      • Experimental and Therapeutic Medicine
      • Information for Authors
      • Editorial Policies
      • Editorial Board
      • Aims and Scope
      • Abstracting and Indexing
      • Bibliographic Information
      • Archive
    • International Journal of Molecular Medicine
      • International Journal of Molecular Medicine
      • Information for Authors
      • Editorial Policies
      • Editorial Board
      • Aims and Scope
      • Abstracting and Indexing
      • Bibliographic Information
      • Archive
    • Biomedical Reports
      • Biomedical Reports
      • Information for Authors
      • Editorial Policies
      • Editorial Board
      • Aims and Scope
      • Abstracting and Indexing
      • Bibliographic Information
      • Archive
    • Oncology Reports
      • Oncology Reports
      • Information for Authors
      • Editorial Policies
      • Editorial Board
      • Aims and Scope
      • Abstracting and Indexing
      • Bibliographic Information
      • Archive
    • Molecular Medicine Reports
      • Molecular Medicine Reports
      • Information for Authors
      • Editorial Policies
      • Editorial Board
      • Aims and Scope
      • Abstracting and Indexing
      • Bibliographic Information
      • Archive
    • World Academy of Sciences Journal
      • World Academy of Sciences Journal
      • Information for Authors
      • Editorial Policies
      • Editorial Board
      • Aims and Scope
      • Abstracting and Indexing
      • Bibliographic Information
      • Archive
    • International Journal of Functional Nutrition
      • International Journal of Functional Nutrition
      • Information for Authors
      • Editorial Policies
      • Editorial Board
      • Aims and Scope
      • Abstracting and Indexing
      • Bibliographic Information
      • Archive
    • International Journal of Epigenetics
      • International Journal of Epigenetics
      • Information for Authors
      • Editorial Policies
      • Editorial Board
      • Aims and Scope
      • Abstracting and Indexing
      • Bibliographic Information
      • Archive
    • Medicine International
      • Medicine International
      • Information for Authors
      • Editorial Policies
      • Editorial Board
      • Aims and Scope
      • Abstracting and Indexing
      • Bibliographic Information
      • Archive
  • Articles
  • Information
    • Information for Authors
    • Information for Reviewers
    • Information for Librarians
    • Information for Advertisers
    • Conferences
  • Language Editing
Spandidos Publications Logo
  • About
    • About Spandidos
    • Aims and Scopes
    • Abstracting and Indexing
    • Editorial Policies
    • Reprints and Permissions
    • Job Opportunities
    • Terms and Conditions
    • Contact
  • Journals
    • All Journals
    • Biomedical Reports
      • Information for Authors
      • Editorial Policies
      • Editorial Board
      • Aims and Scope
      • Abstracting and Indexing
      • Bibliographic Information
      • Archive
    • Experimental and Therapeutic Medicine
      • Information for Authors
      • Editorial Policies
      • Editorial Board
      • Aims and Scope
      • Abstracting and Indexing
      • Bibliographic Information
      • Archive
    • International Journal of Epigenetics
      • Information for Authors
      • Editorial Policies
      • Editorial Board
      • Aims and Scope
      • Abstracting and Indexing
      • Bibliographic Information
      • Archive
    • International Journal of Functional Nutrition
      • Information for Authors
      • Editorial Policies
      • Editorial Board
      • Aims and Scope
      • Abstracting and Indexing
      • Bibliographic Information
      • Archive
    • International Journal of Molecular Medicine
      • Information for Authors
      • Editorial Policies
      • Editorial Board
      • Aims and Scope
      • Abstracting and Indexing
      • Bibliographic Information
      • Archive
    • International Journal of Oncology
      • Information for Authors
      • Editorial Policies
      • Editorial Board
      • Aims and Scope
      • Abstracting and Indexing
      • Bibliographic Information
      • Archive
    • Medicine International
      • Information for Authors
      • Editorial Policies
      • Editorial Board
      • Aims and Scope
      • Abstracting and Indexing
      • Bibliographic Information
      • Archive
    • Molecular and Clinical Oncology
      • Information for Authors
      • Editorial Policies
      • Editorial Board
      • Aims and Scope
      • Abstracting and Indexing
      • Bibliographic Information
      • Archive
    • Molecular Medicine Reports
      • Information for Authors
      • Editorial Policies
      • Editorial Board
      • Aims and Scope
      • Abstracting and Indexing
      • Bibliographic Information
      • Archive
    • Oncology Letters
      • Information for Authors
      • Editorial Policies
      • Editorial Board
      • Aims and Scope
      • Abstracting and Indexing
      • Bibliographic Information
      • Archive
    • Oncology Reports
      • Information for Authors
      • Editorial Policies
      • Editorial Board
      • Aims and Scope
      • Abstracting and Indexing
      • Bibliographic Information
      • Archive
    • World Academy of Sciences Journal
      • Information for Authors
      • Editorial Policies
      • Editorial Board
      • Aims and Scope
      • Abstracting and Indexing
      • Bibliographic Information
      • Archive
  • Articles
  • Information
    • For Authors
    • For Reviewers
    • For Librarians
    • For Advertisers
    • Conferences
  • Language Editing
Login Register Submit
  • This site uses cookies
  • You can change your cookie settings at any time by following the instructions in our Cookie Policy. To find out more, you may read our Privacy Policy.

    I agree
Search articles by DOI, keyword, author or affiliation
Search
Advanced Search
presentation
Experimental and Therapeutic Medicine
Join Editorial Board Propose a Special Issue
Print ISSN: 1792-0981 Online ISSN: 1792-1015
Journal Cover
April-2020 Volume 19 Issue 4

Full Size Image

Sign up for eToc alerts
Recommend to Library

Journals

International Journal of Molecular Medicine

International Journal of Molecular Medicine

International Journal of Molecular Medicine is an international journal devoted to molecular mechanisms of human disease.

International Journal of Oncology

International Journal of Oncology

International Journal of Oncology is an international journal devoted to oncology research and cancer treatment.

Molecular Medicine Reports

Molecular Medicine Reports

Covers molecular medicine topics such as pharmacology, pathology, genetics, neuroscience, infectious diseases, molecular cardiology, and molecular surgery.

Oncology Reports

Oncology Reports

Oncology Reports is an international journal devoted to fundamental and applied research in Oncology.

Experimental and Therapeutic Medicine

Experimental and Therapeutic Medicine

Experimental and Therapeutic Medicine is an international journal devoted to laboratory and clinical medicine.

Oncology Letters

Oncology Letters

Oncology Letters is an international journal devoted to Experimental and Clinical Oncology.

Biomedical Reports

Biomedical Reports

Explores a wide range of biological and medical fields, including pharmacology, genetics, microbiology, neuroscience, and molecular cardiology.

Molecular and Clinical Oncology

Molecular and Clinical Oncology

International journal addressing all aspects of oncology research, from tumorigenesis and oncogenes to chemotherapy and metastasis.

World Academy of Sciences Journal

World Academy of Sciences Journal

Multidisciplinary open-access journal spanning biochemistry, genetics, neuroscience, environmental health, and synthetic biology.

International Journal of Functional Nutrition

International Journal of Functional Nutrition

Open-access journal combining biochemistry, pharmacology, immunology, and genetics to advance health through functional nutrition.

International Journal of Epigenetics

International Journal of Epigenetics

Publishes open-access research on using epigenetics to advance understanding and treatment of human disease.

Medicine International

Medicine International

An International Open Access Journal Devoted to General Medicine.

Journal Cover
April-2020 Volume 19 Issue 4

Full Size Image

Sign up for eToc alerts
Recommend to Library

  • Article
  • Citations
    • Cite This Article
    • Download Citation
    • Create Citation Alert
    • Remove Citation Alert
    • Cited By
  • Similar Articles
    • Related Articles (in Spandidos Publications)
    • Similar Articles (Google Scholar)
    • Similar Articles (PubMed)
  • Download PDF
  • Download XML
  • View XML
Article Open Access

LncRNA np_5318 promotes renal ischemia‑reperfusion injury through the TGF‑β/Smad signaling pathway

  • Authors:
    • Jing Lu
    • Jiangang Miao
    • Jianhua Sun
  • View Affiliations / Copyright

    Affiliations: Department of Nephropathy, Yucheng People's Hospital, Yucheng, Shandong 251200, P.R. China, Department of CT, Yucheng People's Hospital, Yucheng, Shandong 251200, P.R. China, Department of Hemodialysis, Yucheng People's Hospital, Yucheng, Shandong 251200, P.R. China
    Copyright: © Lu et al. This is an open access article distributed under the terms of Creative Commons Attribution License.
  • Pages: 2833-2840
    |
    Published online on: February 18, 2020
       https://doi.org/10.3892/etm.2020.8534
  • Expand metrics +
Metrics: Total Views: 0 (Spandidos Publications: | PMC Statistics: )
Metrics: Total PDF Downloads: 0 (Spandidos Publications: | PMC Statistics: )
Cited By (CrossRef): 0 citations Loading Articles...

This article is mentioned in:



Abstract

Long noncoding (Lnc)RNA np_5318 has been proved to be involved in renal injury, while its functionality in renal ischemia‑reperfusion (I/R) injury is unknown. Therefore, the present study aimed to investigate the role of lncRNA np_5318 in the development of renal I/R injury. Renal I/R injury model and I/R cell model were established in vitro. The expression of np_5318 in I/R cell was inhibited by small interfering (si)‑np_5318 and increased by pc‑np_5318. Renal function was detected and evaluated by automatic biochemical tests. Immunohistochemical staining was performed to detect the expression cluster of differentiation (CD)31, transforming growth factor (TGF)‑β1 and (mothers against decapentaplegic homolog 3) Smad3 in renal tissue. The interaction between np_5318 and Smad3 was verified by chromatin immunoprecipitation (ChIP). Western blotting was performed to detect the expression levels of TGF‑β1, Smad3 and phosphorylated (p)‑Smad3 in renal tissue and renal cells. Expression of np_5318 in renal tissue and renal cells was detected by reverse transcription‑quantitative PCR. Relative cell viability was confirmed by MTT assay. Renal function was impaired and pathological changes in renal tissue were observed in the renal I/R injury group, indicating the renal I/R injury model was successfully established. Compared with the sham group, the expression level of np_5318 significantly increased in the renal I/R injury group. ChIP data confirmed the interaction between np_5318 and Smad3. The expression of TGF‑β1, Smad3 and p‑Smad3 in renal tissue was also significantly increased in the renal I/R injury group. Furthermore, the I/R cell model in vitro was successfully constructed and np_5318 in I/R group was significantly increased compared with the control group. Cell growth was significantly suppressed in the I/R group compared with the control group. Additionally, transfection with pc‑np_5318 significantly inhibited cell growth of I/R cells at 48 and 72 h. While inhibition of np_5318 by si‑np_5318 significantly increased the cell growth of I/R cells at 48 and 72 h. Moreover, the level of TGF‑β1, p‑Smad3 and Smad3 was significantly increased in the I/R group compared with the control group, and transfection with pc‑np_5318 significantly increased the level of TGF‑β1, p‑Smad3 and Smad3. While inhibition of np_5318 by si‑np_5318 significantly suppressed the level of TGF‑β1, p‑Smad3 and Smad3.

Introduction

Acute renal failure (ARF) of the kidney is an important cause of morbidity and mortality in hospitalized intensive care unit patients. Renal ischemia is a major cause of ARF, initiating a complex and interrelated sequence of events, resulting in injury and the eventual death of renal cells (1,2). The prognosis is complicated by the fact that reperfusion, although essential for the survival of ischemic renal tissue, causes additional damage (reperfusion-injury) (3), contributing to the renal dysfunction and injury associated with ischemia/reperfusion (I/R) of the kidney (4). I/R injury is an inevitable consequence of the procedure of kidney transplantation and has a negative impact on both short- and long-term graft survival (5-7). The pathophysiology of I/R injury is complex, with at least three major components contributing to the process of reperfusion injury: Molecular oxygen, neutrophils and components of the activated complement cascade (8-10).

Long noncoding RNA (lncRNA) is a group of non-coding RNAs with a length longer than 200 nucleotides (11). LncRNAs are not associated with protein synthesis and have previously been considered to be ‘noise’ of the transcriptome (11). However, in recent years, lncRNAs have been indicated to regulate the expression of protein-coding genes to participate in a number of pathological and physiological processes (11). It has been well established that lncRNAs are associated with the progression of a variety of human diseases, including renal ischemia-reperfusion injury, by regulating the expression of genes associated with the development and progression of the disease (12). LncRNA np_5318 has been proved to be closely correlated with the development of different kidney diseases such as transforming growth factor (TGF)-β/Smad3 (mothers against decapentaplegic homolog 3)-mediated renal inflammation (13), which is common in renal ischemia-reperfusion (14), indicating that np_5318 may also be involved in the progression of renal ischemia-reperfusion injury. However, the role of np_5318 in renal I/R injury is still unknown.

The current study aimed to explore the expression and function of np_5318 in renal I/R and investigate the potential interaction between the np_5318 and TGF-β/Smad signaling pathway in this disease. In the present study, the roles of np_5318 in renal I/R were explored by establishing I/R animal and cell models and the related mechnism was also verified using transfection experiments. It was demonstrated that lncRNA np_5318 may participate in the development of renal I/R injury through the TGF-β/Smad signaling pathway.

Materials and methods

Animal, grouping and model construction

Specific pathogen free grade female Balb/C mice (n=20; age, 3 weeks; weight, 20±5 g) were obtained from Jinan Jinfeng Experimental Animal Breeding Co., Ltd., [license number: SCXK (lu) 2014-0006]. Animals were reared under specific pathogen-free conditions (12 h dark/light cycles; 25˚C) with 95% humidity with access to food and water ad libitum. All experimental procedures were approved by the Institutional Animal Care and Use Committee of Yucheng People's Hospital. Mice were randomly divided into the sham group, renal I/R 4, 9, 24 and 48 h model groups, 6 mice in each group. Mice were fasted for 12 h before model construction. Intraperitoneal injection of 4% chloral hydrate at a dose of 400 mg/kg was performed for anesthesia. An incision was made along ventral midline to expose the kidneys. Both renal pedicles were clamped using a non-invasive vessel clip until the kidneys became purple and black. Clips were removed 45 min later to restore perfusion. Reperfusion was achieved when kidneys turned pink. Then, kidneys were collected at 4, 24 and 48 h for further analysis. Mice in the sham group were treated with the same procedure but the renal pedicles were not clamped.

Detection and evaluation of renal function

Serum creatinine (Scr) level and blood urea nitrogen (BUN) were detected using automatic biochemical test (Hitachi 7180; Hitachi, Ltd., Tokyo, Japan) at 4, 24 and 48 h after reperfusion. Renal tissue was collected for hematoxylin and eosin (HE) staining at room temperature for 24 h after reperfusion to observe the histopathological changes. A light microscope was used to observe the staining.

Immunohistochemical staining

Tissues were fixed at 4˚C in fresh 4% (w/v) formaldehyde solution for 12 h and paraffin-embedding was performed. A total of 5 paraffin-embedded sections (12 µm) were selected at each time point. Tissue sections were dewaxed and then washed with PBS. Tissue sections were blocked in blocking fluid at room temperature for 20 min to reduce nonspecific background staining caused by endogenous peroxidase. Tissue sections were then blocked with 10% serum (Roche Diagnostics) for 10 min at room temperature, followed by incubation with corresponding primary antibodies (eBioscience; Thermo Fisher Scientific, Inc.) over night at 4˚C. After washing with PBS, tissue sections were incubated with fluorescein isothiocyanate-labeled goat anti-rabbit immunoglobulin (Ig) G secondary antibody (Chemicon international; Thermo Fisher Scientific, Inc.) at room temperature for 30 min. After washing with PBS again, tissue sections were incubated with streptavidin-peroxidase solution at room temperature for half an hour. After washing with PBS, DAB color development was performed. After washing with distilled water and counter staining, the slides were sealed. A total of 5 fields of view were selected under a light microscope (x400) and positive cells were counted, and the average value was calculated to represent microvessel density.

I/R cell model in vitro

Primary human renal cells (PCS-400-012) were obtained from the American Type Culture Collection (ATCC; Manassas, VA, USA) and cultured in complete renal epithelial cell growth media (ATCC) at 37˚C in an incubator with 95% air and 5% CO2 (15). Primary human renal cells were plated to six-well plates (105 cells per well) and cultured for 24 h. Then, these cells were incubated with hypoxia treatment 0.5% O2 for 15 h, following replaced with normal culture medium under the atmosphere of constant oxygen for 6 h. After that, cells were washed and collected for further reverse transcription-quantitative (RT-q)PCR or western blotting analysis, respectively.

Cell transfection

Vector pc-np_5318 for overexpression of lncRNA np_5318 in I/R cell was constructed by inserting the coding oligonucleotides of lncRNA np_5318 into a pcDNA3.1 vector (Invitrogen: Thermo Fisher Scientific, Inc.). Small interfering (si)RNAs targeting lncRNA np_5318 (si-np_5318) were constructed for inhibition of lncRNA np_5318. For cell transfection, I/R cells as mentioned before were cultured in a six-well plates (105 cells per well) for 24 h and transfected with 10 nM pc-np_5318, si-np_5318 (5'-CCUGUGCACGUUCGAUUCAUA-3'), and their corresponding controls [pc-NC and si-NC (5'-GCGUGACGUACGUACGUACGA-3') respectively] using Lipofectamine 2000® reagent (Invitrogen; Thermo Fisher Scientific, Inc.). Cells continued to be incubated for another 48 h before subsequent experiments.

MTT assay

Using an MTT colorimetric assay, cell viability was assessed. In brief, different transfected cells at logarithmic stage were grown into a 96-well plate. After 24, 48 and 72 h of transfection, 20 ml MTT was added into each well to incubate cells for another 4 h. Then 150 ml dimethylsulfoxide was added into each well to dissolve the formazan precipitates for 10 min. The absorbance (490 nm) was measured under an absorption spectrophotometer (Olympus Corporation, Tokyo, Japan). Each experiment was repeated 3 times.

RT-qPCR

Total RNA was extracted using TRIzol reagent (Invitrogen, Thermo Fisher Scientific, Inc.). RNA concertation were determined using NanoDrop™ 2000 Spectrophotometers (Thermo Fisher Scientific, Inc.) and only the ones with a ratio of A260/A280 between 1.8 and 2.0 were used for reverse transcription to synthesize cDNA using ploy (T) as primer and SuperScript III Reverse Transcriptase kit (Thermo Fisher Scientific, Inc.) through following conditions: 55˚C for 15 min and 75˚C for 10 min. SYBR® Green Real-Time PCR Master Mixes (Thermo Fisher Scientific, Inc.) was used to prepare the PCR reaction system. Following primers were used: 5'-AACTCGCCACAGAAATCCAC-3' (forward) and 5'-ACAACCCCAAACAAGCTGTC-3' (reverse) for np_5318; 5'-TGCTGAGTATGTCGTGGAGTCTA-3' (forward) and 5'-AGTGGGAGTTGCTGTTGAAATC-3' (reverse) for GAPDH. PCR reaction conditions were: 95˚C for 40 sec, followed by 40 cycles of 95˚C for 15 sec and 60˚C for 45 sec. Cq values were processed using 2-ΔΔCq method (16). Relative expression level of each gene was normalized to endogenous control GAPDH.

ChIP

ChIP was performed using Diagenode's iDeal ChIP-seq kit for Transcription Factors (Diagenode SA, Seraing, Belgium) according to the manufacturer's protocol. Mouse embryonic fibroblasts (MEFs) were purchased from Sigma-Aldrich; Merck KGaA and were cultivated under conditions described in manufacturer's protocol. Briefly, Cross-linking was performed at 37˚C for 10 min and was quenched with glycine. DNA fragments ranged from 300-600 bp were generated through sonication using a Bioruptor (Diagenode SA). Then an antibody against Smad3 (cat. no. 06-920, 1:1200; EMD Millipore) was used for immunoprecipitation with normal IgG as control. The antibody against IgG was also purchased from EMD Millipore (1:1200; cat. no. PP64). The following primers were used in PCR to detect the precipitated DNAs: Smad binding site (SBS) for np_5318, 5'-CTCTCTCAAACAGCCTGTGG-3' and 5'-GAAATTTGGAGGTGCAATCAA-3'.

Western-blotting

Total protein extraction was performed using a Qproteome Mammalian Protein Prep kit (Qiagen GmbH, Hilden, German) according to the manufacturer's protocol. Protein concentration was measured by bicinchoninic acid method. Protein samples were denatured and 50 µg of protein was subjected to 10% SDS-PAGE gel electrophoresis, followed by transmembrane to PVDF membrane. After blocking with 5% skimmed milk at room temperature for 2 h, membranes were washed with Tween buffered TBS (TBST; 01% Tween 20). Membranes were then incubated with primary antibodies overnight at 4˚C. Primary antibodies used were rabbit anti TGF-β1 (1:2,000; cat. no. ab92486; Abcam), Smad3 (1:2,000; cat. no. ab28379; Abcam), p-Smad3 (1:2000; cat. no. ab52903; Abcam) and α-tubulin (1:2,000; cat. no. ab18251; Abcam). After that, membranes were washed three times with TBST. Membranes were then incubated with secondary antibody at room temperature for 2 h. The secondary antibody was HRP-Goat Anti-Rabbit (IgG) secondary antibody (1:2000; cat. no. ab6721; Abcam). After washing twice with TBST, 15 min for each time, ECL™ Blotting Reagents GE Healthcare (Sigma-Aldrich; Merck KGaA) was added to detect the signals. Images were processed using Bandscan 5.0 software (Nuohebio) to calculate the relative expression level of each protein.

Statistical analysis

SPSS 10.0 was used for all statistical analysis (SPSS, Inc., Chicago, IL, USA). Experimental data were expressed as the mean ± standard deviation. Comparisons within a group were performed using single factor analysis of variance and comparisons between two groups were performed using independent t test. Multiple comparison corrections were performed using Bonferroni multiple comparisons test. P<0.05 was considered to indicate a statistically significant difference.

Results

Renal I/R injury group shows obvious renal function impairment

Compared with the levels of SCr and BUN in the sham group (24.56±5.94 and 7.44±3.99 µmol/l, respectively), levels of SCr and BUN were increased in I/R group at 4 (41.61±4.79 and 14.45±0.83 µmol/l, respectively), 24 (94.42±53.89 and 39.35±15.88 µmol/l, respectively) and 72 h (36.34±4.78 and 17.42±11.48 µmol/l, respectively) after reperfusion. However, significant differences were only found at 24 h after reperfusion (P<0.05). Those data suggest that I/R can increase the levels of SCr and BUN in mice, which in turn impairs renal function (Table I).

Table I

Comparison of levels of SCr and BUN among groups.

Table I

Comparison of levels of SCr and BUN among groups.

GroupsSCr (µmol/l)BUN (µmol/l)
Sham24.56±5.947.44±3.99
I/R 4 h41.61±4.7914.45±0.83
I/R 24 h94.42±53.89a39.35±15.88a
I/R 72 h36.34±4.7817.42±11.48

[i] aP<0.05 vs. the sham group. BUN, blood urea nitrogen; SCr, serum creatinine; I/R, ischaemia/reperfusion.

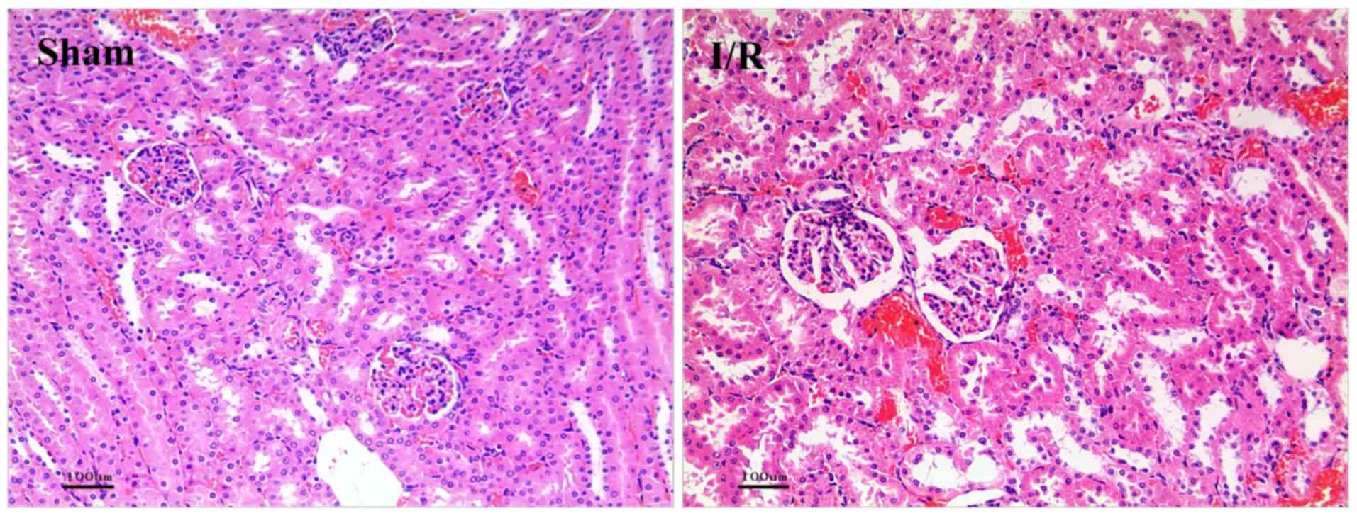
As shown in Fig. 1, the results of HE staining showed the structure of renal tissue. The sham group was normal and only local renal tubular epithelial cell degeneration was observed. Serious tubular epithelial cell swelling, vacuolar degeneration, deep nuclear staining, cell necrosis, damaged basement membrane and renal tubular lumen expansion were observed in I/R groups, indicating the successfully constructed I/R model.

Figure 1

Representative results of hematoxylin and eosin staining in kidney tissue. I/R, ischaemia/reperfusion.

Changes of microvessel density after renal I/R injury

Cluster of differentiation (CD)31 mediates the penetration of leukocytes into blood vessel walls to cause tissue damage and compensatory hyperplasia (3). The increased staining of CD31 in the vascular tissue of the sham group and I/R groups was detected by immunohistochemical staining. Results showed that the signal of CD31 in I/R groups was significantly increased at 24 and 72 h after reperfusion compared with the sham group (P<0.05). These data suggest that renal I/R can stimulate the compensatory hyperplasia of microvessels (Table II).

Table II

Comparison of positive rate of CD31 among groups

Table II

Comparison of positive rate of CD31 among groups

GroupsCD31
Sham12.04±0.78
I/R 24 h21.43±0.22a
I/R 72 h23.51±0.69a

[i] aP<0.05 vs. the sham group. CD, cluster of differentiation; I/R, ischaemia/reperfusion.

Expression level of np_5318 in vivo and in vitro

To investigate the level of np_5318 in the mice, RT-qPCR was used in the sham and I/R groups with GAPDH as endogenous control. As shown in Fig. 2A, compared with the sham group, the expression level of np_5318 was increased at 24 h after reperfusion. For the RNA interference experiment, three siRNA sequences were synthesized and the transfection efficiency was detected. The sequence was chosen with the highest transfection efficiency for demonstration (Fig. 2B). Si-np_5318 significantly decreased np_5318 level (P<0.05) and pc-np_5318 significantly increased np_5318 level compared with the Ctrl (control; P<0.01; Fig. 2B). Furthermore, an I/R cell model in vitro was constructed and these cells were divided into six groups, including I/R, I/R+si-NC, I/R+si-np_5318, I/R+pc-NC, I/R+pc-np_5318, and control groups as shown in Fig. 2B. The expression of np_5318 in these groups were confirmed by RT-qPCR. Results indicated that np_5318 in the I/R group was significantly increased compared with the control group (P<0.05). In addition, the present study confirmed that si-np_5318 significantly decreased np_5318 level in I/R group and pc-np_5318 significantly increase np_5318 level in I/R group (P<0.05). Then, relative cell viability at 24, 48 and 72 h in these groups were investigated by MTT assay (Fig. 2C). The results of the present study suggested that cell growth was significantly suppressed in the I/R groups compared with the control group (P<0.01) and transfection with pc-np_5318 significantly suppressed the cell growth of I/R cells at 48 and 72 h (P<0.01). While inhibition of np_5318 by si-np_5318 significantly increased the cell growth of I/R cells at 48 and 72 h (P<0.01). Those data suggested that the expression of np_5318 increased in I/R groups and np_5318 may promote renal I/R injury.

Figure 2

Increased expression level of np_5318 is confirmed in I/R groups and np_5318 may promote renal I/R injury. (A) The expression of np_5318 in the mice was determined by RT-qPCR in the sham and I/R groups. (B) The expression of np_5318 in these cell groups (I/R, I/R+si-NC, I/R+si-np_5318, I/R+pc-NC, I/R+pc-np_5318 and control groups) was confirmed by RT-qPCR. The transfection efficiency is shown below. Si-np_5318 significantly decreased np_5318 level and pc-np_5318 significantly increase np_5318 level. (C) Relative cell viability at 24, 48, 72 h in these groups (I/R, I/R+si-NC, I/R+si-np_5318, I/R+pc-NC, I/R+pc-np_5318 and control groups) were investigated by MTT assay. *P<0.05 and **P<0.01. si, small interfering; I/R, ischaemia/reperfusion; NC, negative control; RT-qPCR, reverse transcription-quantitative PCR; Ctrl, control; lnc, long noncoding.

LncRNA np_5318 can bind to Smad3

As shown in Fig. 3A, np_5318 contained conserved Smad3 binding sites in both human and mouse genomes. To confirm this finding, a ChIP assay was used to determine the interaction of Smad3 with the promoter regions of np_5318 in mouse embryonic fibroblast. The antibody against Smad3 could successfully immunoprecipitate the DNA fragments from MEFs containing the potential SBSs in the promoter regions of np_17856 and np_5318, supporting that Smad3 could physically interact with their promoter regions (Fig. 3B).

Figure 3

LncRNA np_5318 can bind to Smad3. (A) DNA sequence alignments of SBS in the promoter regions of np_5318. Bold and underlined sequences indicate the location of SBSs. (B) Chromatin immunoprecipitation assays for Smad3 were performed with chromatin from mouse embryonic fibroblast cells treated with TGF-β1. Precipitated DNA was amplified with oligonucleotides spanning SBS regions. Total inputs are indicated. p-Smad3, phosphorylated-mothers against decapentaplegic homolog; TGF, transforming growth factor; lnc, long noncoding; Ig, immunoglobulin; SBS, Smad binding site.

Expression of TGF-β1 and Smad3 in different groups

To determine TGF-β1 and p-Smad3 expression in the kidney, immunohistochemical staining was performed. The sham operated controls did not show any TGF-β1 and p-Smad3 expression. However, there was significant increase in TGF-β1 and p-Smad3 expression in I/R model (P<0.01) compared with the sham mice (Fig. 4). Levels of TGF-β1, Smad3 and p-Smad3 were also detected by western blotting in the renal tissue of the different groups. As shown in Fig. 5A and B, compared with the sham group, levels of TGF-β1, Smad3 and p-Smad3 were significantly increased in renal tissue of I/R group (P<0.001).

Figure 4

Renal I/R injury group shows increased TGF-β1 and p-Smad3 expression. (A) Representative results of immunohistochemical staining. (B) Normalized expression levels of TGF-β and p-Smad3. **P<0.01 vs. the sham group. p-Smad3, phosphorylated-mothers against decapentaplegic homolog; TGF, transforming growth factor; I/R, ischaemia/reperfusion; NC, negative control.

Figure 5

Levels of TGF-β1, Smad3 and p-Smad3 are determined in vivo and in vitro. (A) Representative results of western blotting for TGF-β1, Smad3 and p-Smad3 in renal tissue of different group. (B) Normalized expression levels of TGF-β1, Smad3 and p-Smad3. ***P<0.001 vs. the sham group. (C) Representative results of western blotting for TGF-β1, Smad3 and p-Smad3 in these I/R cell groups (I/R, I/R+si-NC, I/R+si-np_5318, I/R+pc-NC, I/R+pc-np_5318 and control groups). (D) Normalized expression levels of TGF-β1, Smad3 and p-Smad3. **P<0.05 and ***P<0.001. p-Smad3, phosphorylated-mothers against decapentaplegic homolog; TGF, transforming growth factor; I/R, ischaemia/reperfusion; NC, negative control.

Then levels of TGF-β1, Smad3 and p-Smad3 in cells were detected by western blotting, including I/R, I/R+si-NC, I/R+si-np_5318, I/R+pc-NC, I/R+pc-np_5318, and the control groups as shown in Fig. 5C and D. It was demonstrated that the level of TGF-β1, p-Smad3 and Smad3 was significantly increased in I/R group compared with the control group, and transfection with pc-np_5318 significantly increased the level of np_5318 compared with in the I/R group. While inhibition of np_5318 by si-np_5318 significantly suppressed the level of TGF-β1, p-Smad3 and Smad3 compared with the I/R group. Those data suggest that I/R can increase the expression levels of TGF-β1, Smad3 and p-Smad3.

Discussion

Renal IR is a process of the reduced blood supply to kidneys followed by re-oxygenation and restoration of blood flow (17). Reperfusion is critical for the recovery of renal function. However, this procedure sometimes can cause renal damage. The blocking of renal blood flow is usually required for some surgical operations, such as nephrolithotomy, surgical resection of renal tumors and renal transplantation. Renal reperfusion during those operations can also cause renal damage (18). BUN and SCr are two traditional biomarkers of kidney (19). Decreased renal function caused increases in levels of BUN and SCr (12).

Numerous studies have shown that the onset, development and progression of ischemia-reperfusion injury are closely related to the function of different lncRNAs (12-21). Yu et al (12) showed that, as a HIF-1α dependent lncRNA, expression level of psoriasis associated non-protein coding RNA induced by stress (PRINS) was upregulated under hypoxia conditions caused by I/R and PRINS can interact with RANTES to promote I/R injury. In another study, lncRNA TapSAKI was found to be upregulated in the plasma of patients with acute kidney infarction (AKI) and the expression level of TapSAKI was positively correlated with the disease severity, indicating that TapSAKI can serve as a specific biomarker for the prognosis of AKI (20). In contrast, lncRNA AK139328 was found to be downregulated in mice with liver I/R injury. In addition, AK139328 knockdown mediated by siRNA silencing was found to be able to inhibit the activation of caspase-3, reduce the expression of IP-10, inhibit the activity of nuclear factor-κB signaling and reduce the expression of various inflammatory cytokines during the development of liver I/R injury (21). It has been reported that expression level of lncRNAs np_5318 is increased during renal inflammation (13). However, to the best of our knowledge the involvement of lncRNAs np_5318 in renal I/R injury still hasn't been reported. In the present study, I/R mice models were successfully constructed and expression of lncRNAs np_5318 was found to be increased in mice with renal I/R injury compared with mice in the sham group, and the increased expression of lncRNAs np_5318 was also confirmed in I/R cells, indicating the possible involvement of np_5318 in this procedure.

The TGF-β/Smad signaling pathway plays pivotal roles in various renal diseases. The activation of TGF-β can regulate a variety of cellular functions including proliferation, differentiation, apoptosis and inflammation (22). As a member of the TGF-β super family, TGF-β1 was found to be able to play a profibrotic role by stimulating the proliferation of fibroblasts, extracellular matrix synthesis and process of epithelial-to-mesenchymal transition (23). Members of the Smad family play central roles in TGF-β signaling pathway (24). In the present study, compared with mice in the sham group, expression levels of TGF-β1 and Smad3 were increased in mice of the I/R model group, indicating that I/R injury can upregulate the expression of TGF-β1 and Smad3. In addition, the level of p-Smad3, which is the activated form of Smad3, is also increased in mice with I/R injury. Then the results in vitro also confirmed that TGF-β1, Smad3 and p-Smad3 was increased in I/R cells. Those data suggested that I/R can increase the expression levels of TGF-β1 and Smad3 and induce the activation of Smad3. Furthermore, it was demonstrated that the inhibition of lncRNAs np_5318 level in I/R cells could enhance the cell growth of I/R cells. Additionally, TGF-β1, Smad3 and p-Smad3 levels were also inhibited by the inhibition of lncRNAs np_5318 level in I/R, while the increase of lncRNAs np_5318 level provided the opposite results.

In conclusion, expression level of lncRNA np_5318 was increased in mice with renal I/R and I/R cells. np_5318 could regulate the expression of Smad3 by binding to its promoter region. In addition, levels of TGF-β1, Smad3 and p-Smad3 were increased by renal I/R. Therefore, lncRNA np_5318 may participate in the development of renal I/R injury through the TGF-β/Smad signaling pathway. The present study provides new insights into the mechanism and treatment of I/R injury. However, the present study is still limited by the small sample size. Further studies with bigger sample size are still needed to verify the conclusions in this study.

Acknowledgements

Not applicable.

Funding

No funding received.

Availability of data and materials

The datasets used and/or analyzed during the present study are available from the corresponding author on reasonable request.

Authors' contributions

JS conceived and designed the study. JL and JM performed the experiments. JL and JM wrote the paper. JL and JS reviewed and edited the manuscript. All authors read and approved the final manuscript.

Ethics approval and consent to participate

All experimental procedures were approved by the Institutional Animal Care and Use Committee of Yucheng People's Hospital.

Patient consent for publication

Not applicable.

Competing interests

The authors declare that they have no competing interests.

References

1 

Chhor V and Journois D: Perioperative acute kidney injury and failure. Nephrol The. 10:121–131. 2014.(In French). PubMed/NCBI View Article : Google Scholar

2 

Seth R, Yang C, Kaushal V, Shah SV and Kaushal GP: p53-dependent caspase-2 activation in mitochondrial release of apoptosis-inducing factor and its role in renal tubular epithelial cell injury. J Biol Chem. 280:31230–31239. 2005.PubMed/NCBI View Article : Google Scholar

3 

Malek M and Nematbakhsh M: Renal ischemia/reperfusion injury; from pathophysiology to treatment. J Renal Inj Prev. 4:20–27. 2015.PubMed/NCBI View Article : Google Scholar

4 

Snoeijs MG, van Heurn LW and Buurman WA: Biological modulation of renal ischemia-reperfusion injury. Curr Opin Organ Transplant. 15:190–199. 2010.PubMed/NCBI View Article : Google Scholar

5 

Salvadori M, Rosso G and Bertoni E: Update on ischemia-reperfusion injury in kidney transplantation: Pathogenesis and treatment. World J Transplant. 5:52–67. 2015.PubMed/NCBI View Article : Google Scholar

6 

Ponticelli C: Ischaemia-reperfusion injury: A major protagonist in kidney transplantation. Nephrol Dial Transplant. 29:1134–1140. 2013.PubMed/NCBI View Article : Google Scholar

7 

Snoeijs MG, Vink H, Voesten N, Christiaans MH, Daemen JW, Peppelenbosch AG, Tordoir JH, Peutz-Kootstra CJ, Buurman WA, Schurink GW and van Heurn LW: Acute ischemic injury to the renal microvasculature in human kidney transplantation. Am J Physiol Renal Physiol. 299:F1134–F1140. 2010.PubMed/NCBI View Article : Google Scholar

8 

Rodriguez F, Bonacasa B, Fenoy FJ and Salom MG: Reactive oxygen and nitrogen species in the renal ischemia/reperfusion injury. Curr Pharm Des. 19:2776–2794. 2013.PubMed/NCBI View Article : Google Scholar

9 

Lorenzen JM, Kaucsar T, Schauerte C, Schmitt R, Rong S, Hübner A, Scherf K, Fiedler J, Martino F, Kumarswamy R, et al: MicroRNA-24 antagonism prevents renal ischemia reperfusion injury. J Am Soc Nephrol. 25:2717–2729. 2014.PubMed/NCBI View Article : Google Scholar

10 

Eldaif SM, Deneve JA, Wang NP, Jiang R, Mosunjac M, Mutrie CJ, Guyton RA, Zhao ZQ and Vinten-Johansen J: Attenuation of renal ischemia-reperfusion injury by postconditioning involves adenosine receptor and protein kinase C activation. Transpl Int. 23:217–226. 2010.PubMed/NCBI View Article : Google Scholar

11 

Yang X, Gao L, Guo X, Shi X, Wu H, Song F and Wang B: A network based method for analysis of lncRNA-disease associations and prediction of lncRNAs implicated in diseases. PloS One. 9(e87797)2014.PubMed/NCBI View Article : Google Scholar

12 

Yu TM, Palanisamy K, Sun KT, Day YJ, Shu KH, Wang IK, Shyu WC, Chen P, Chen YL and Li CY: RANTES mediates kidney ischemia reperfusion injury through a possible role of HIF-1α and LncRNA PRINS. Sci Rep. 6(18424)2016.PubMed/NCBI View Article : Google Scholar

13 

Zhou Q, Chung AC, Huang XR, Dong Y, Yu X and Lan HY: Identification of novel long noncoding RNAs associated with TGF-β/Smad3-mediated renal inflammation and fibrosis by RNA sequencing. Am J Pathol. 184:409–417. 2014.PubMed/NCBI View Article : Google Scholar

14 

Thurman JM: Triggers of inflammation after renal ischemia/reperfusion. Clin Immunol. 123:7–13. 2007.PubMed/NCBI View Article : Google Scholar

15 

Huang X, Gao Y, Qin J and Lu S: The mechanism of long noncoding RNA MEG3 for hepatic ischemia‐reperfusion: Mediated by miR‐34a/Nrf2 signaling pathway. J Cell Biochem. 119:1163–1172. 2018.PubMed/NCBI View Article : Google Scholar

16 

Livak KJ and Schmittgen TD: Analysis of relative gene expression data using real-time quantitative PCR and the 2(-Delta Delta C(T)) method. Methods. 25:402–408. 2001.PubMed/NCBI View Article : Google Scholar

17 

Wang H, Yan Z, Qiu L, Hu Z, Qian W and Xu L: Dynamic changes of platelet endothelial cell adhesion molecule-1 (PECAM-1/CD31) on pulmonary injury induced by ischemia-reperfusion in rats. Ir J Med Sci. 180:483–488. 2011.PubMed/NCBI View Article : Google Scholar

18 

Daemen M, de Vries B and Buurman W: Apoptosis and inflammation in renal reperfusion injury. Transplantation. 73:1693–1700. 2002.PubMed/NCBI View Article : Google Scholar

19 

Vaidya VS, Ozer JS, Dieterle F, Collings FB, Ramirez V, Troth S, Muniappa N, Thudium D, Gerhold D, Holder DJ, et al: Kidney injury molecule-1 outperforms traditional biomarkers of kidney injury in preclinical biomarker qualification studies. Nat Biotechnol. 28:478–485. 2010.PubMed/NCBI View Article : Google Scholar

20 

Lorenzen JM, Schauerte C, Kielstein JT, Hübner A, Martino F, Fiedler J, Gupta SK, Faulhaber-Walter R, Kumarswamy R, Hafer C, et al: Circulating long noncoding RNA TapSAKI is a predictor of mortality in critically ill patients with acute kidney injury. Clin Chem. 61:191–201. 2015.PubMed/NCBI View Article : Google Scholar

21 

Chen Z, Jia S, Li D, Cai J, Tu J, Geng B, Guan Y, Cui Q and Yang J: Silencing of long noncoding RNA AK139328 attenuates ischemia/reperfusion injury in mouse livers. PloS One. 8(e80817)2013.PubMed/NCBI View Article : Google Scholar

22 

Chung AC, Huang XR, Meng X and Lan HY: miR-192 mediates TGF-beta/Smad3-driven renal fibrosis. J Am Soc Nephrol. 21:1317–1325. 2010.PubMed/NCBI View Article : Google Scholar

23 

Massagué J and Wotton D: Transcriptional control by the TGF-beta/Smad signaling system. EMBO J. 19:1745–1754. 2000.PubMed/NCBI View Article : Google Scholar

24 

Savage C, Das P, Finelli AL, Townsend SR, Sun CY, Baird SE and Padgett RW: Caenorhabditis elegans genes sma-2, sma-3, and sma-4 define a conserved family of transforming growth factor beta pathway components. Proc Natl Acad Sci USA. 93:790–794. 1996.PubMed/NCBI View Article : Google Scholar

Related Articles

  • Abstract
  • View
  • Download
  • Twitter
Copy and paste a formatted citation
Spandidos Publications style
Lu J, Miao J and Sun J: LncRNA np_5318 promotes renal ischemia‑reperfusion injury through the TGF‑β/Smad signaling pathway. Exp Ther Med 19: 2833-2840, 2020.
APA
Lu, J., Miao, J., & Sun, J. (2020). LncRNA np_5318 promotes renal ischemia‑reperfusion injury through the TGF‑β/Smad signaling pathway. Experimental and Therapeutic Medicine, 19, 2833-2840. https://doi.org/10.3892/etm.2020.8534
MLA
Lu, J., Miao, J., Sun, J."LncRNA np_5318 promotes renal ischemia‑reperfusion injury through the TGF‑β/Smad signaling pathway". Experimental and Therapeutic Medicine 19.4 (2020): 2833-2840.
Chicago
Lu, J., Miao, J., Sun, J."LncRNA np_5318 promotes renal ischemia‑reperfusion injury through the TGF‑β/Smad signaling pathway". Experimental and Therapeutic Medicine 19, no. 4 (2020): 2833-2840. https://doi.org/10.3892/etm.2020.8534
Copy and paste a formatted citation
x
Spandidos Publications style
Lu J, Miao J and Sun J: LncRNA np_5318 promotes renal ischemia‑reperfusion injury through the TGF‑β/Smad signaling pathway. Exp Ther Med 19: 2833-2840, 2020.
APA
Lu, J., Miao, J., & Sun, J. (2020). LncRNA np_5318 promotes renal ischemia‑reperfusion injury through the TGF‑β/Smad signaling pathway. Experimental and Therapeutic Medicine, 19, 2833-2840. https://doi.org/10.3892/etm.2020.8534
MLA
Lu, J., Miao, J., Sun, J."LncRNA np_5318 promotes renal ischemia‑reperfusion injury through the TGF‑β/Smad signaling pathway". Experimental and Therapeutic Medicine 19.4 (2020): 2833-2840.
Chicago
Lu, J., Miao, J., Sun, J."LncRNA np_5318 promotes renal ischemia‑reperfusion injury through the TGF‑β/Smad signaling pathway". Experimental and Therapeutic Medicine 19, no. 4 (2020): 2833-2840. https://doi.org/10.3892/etm.2020.8534
Follow us
  • Twitter
  • LinkedIn
  • Facebook
About
  • Spandidos Publications
  • Careers
  • Cookie Policy
  • Privacy Policy
How can we help?
  • Help
  • Live Chat
  • Contact
  • Email to our Support Team